Переломы плеча
Добавил пользователь Евгений Кузнецов Обновлено: 14.12.2025
Описание заболевания, симптомы и причины, методы лечения.
Перелом плечевой кости — патологическое состояние, при котором наблюдается дефект в непрерывности костной ткани. Возникает при падениях с высоты, ударах, выстрелов в руку из огнестрельного оружия В настоящее время с учетом роста социального бытового травматизма перелом плеча является распространенным патологическим состоянием, требующим оказания скорой медицинской помощи.
Согласно классификации переломы плечевого сустава разделяются на открытые и закрытые. Патогенетически имеются сходные механизмы, однако ввиду тяжелых анатомических повреждений открытый перелом плечевой кости прогностически менее благоприятен, требует проведения экстренной операции.
Перелом плеча сопровождается выраженной клинической симптоматикой. Если речь идет не об открытом переломе, когда в просвет раны зияют костные отломки, то на первом месте стоит интенсивная боль, не дающая совершать травмированной рукой никакие движения. Пациент держит плечо в вынужденном положении, придерживая его здоровой рукой.
Ввиду анатомического прохождения пучка из подключичной области не исключаются его повреждения, при которых может или нарушаться, или полностью отсутствовать кровоток ниже места перелома. Клинически конечность холодная, пульс не прощупывается, что требует безотлагательного вмешательства хирургов травматологов и сосудистых хирургов. Сразу после повреждения, вызывающего перелом плечевого сустава, возникает выраженный отек, гемартроз, длительное время не спадающий. При тяжелых переломах даже визуально можно заметить деформацию плечевой кости.
Для подтверждения диагноза подробно собранного анамнеза недостаточно, клиническая картина далеко не всегда может указывать на перелом, тем более, его вид согласно классификации (наличие костных отломков, смещение ). Всегда проводится рентгенография, дающая ответ на многие вопросы, и являющаяся основанием для постановки диагноза.
Общие принципы лечения переломов плеча
В зависимости от вида перелома (проксимального конца, диафиза, дистального конца плечевой кости), и тяжести перелома назначают консервативное или оперативное лечение переломов плечевого сустава.
Перелом проксимального конца плеча
По данным иностранных источников, до 85% диагностированных переломов проксимального отдела плечевой кости происходят без смещения костных фрагментов, поэтому они не требуют хирургического вмешательства, а лечатся консервативно. При переломах со смещением консервативное лечение перелома плечевой кости не показано, так как оно приводит к несращению или сращению в неправильном, порочном положении, что, в свою очередь, ведет к выраженному нарушению функции конечности. В целом результат лечения зависит от тяжести травмы, типа перелома, качества репозиции, а также в немалой степени от настойчивости и уровня мотивации пациента. Наилучшие результаты наблюдаются у активных пациентов с высоким уровнем самодисциплины.
Консервативное лечение: в современной травматологии консервативное лечение показано только при стабильных переломах без смещения или с минимальным смещением, их частота может достигать 70–80%. При правильной оценке показаний к консервативному лечению в 80–87% случаев можно достичь хороших функциональных результатов.
Оперативное лечение: оперативное лечение перелома плеча с нестабильностью и смещением предпочтительнее консервативного, которое часто приводит к постоянной боли, ограничению движений и нарушению функции конечности в целом. Основными задачами лечения переломов проксимального отдела плечевой кости являются:
анатомичная репозиция;
стабильная первичная фиксация, но способы достижения.
Оперативное лечение на сегодняшний день является наиболее эффективным методом лечения оскольчатых переломов проксимального отдела плечевой кости, но его сложная форма, оскольчатый характер переломов и смещение костных фрагментов затрудняют выполнение стабильной анатомической фиксации. Ключевым моментом в лечении переломов проксимального отдела плечевой кости является сохранение васкуляризации ее головки.
Преимуществами метода открытой репозиции и внутренней фиксации (ORIF) являются анатомическая реконструкция, ранняя мобилизация конечности и хороший функциональный результат. Многие авторы указывают на то, что «золотым стандартом» при оперативном лечении пациентов с нестабильными переломами проксимального отдела плечевой кости является метод открытой репозиции (ORIF) с остеосинтезом накостными имплантатами с угловой стабильностью винтов (тип LCP).
Переломы диафиза плеча
Составляют примерно 1% от числа всех переломов. Обычно это результат прямой травмы, однако часто встречается и непрямой механизм, например, при занятиях армрестлингом. Консервативное лечение переломов плеча возможно и с неплохими результатами. Хорошо переносится умеренная угловая деформация (до 20? рекурвации и 30? варусной деформации), ротация и укорочение (до 3 см).
Может использоваться гипсовая повязка в классическом е? варианте от здоровой лопатки до суставов на больной руке, так и короткие гипсовые повязки (функциональный метод лечения).
Срок иммобилизации — 6–8 недель.
Скелетное вытяжение
Скелетное вытяжение не имеет своих специфических показаний. Этот метод предпочтительнее использовать, когда больному необходим длительный постельный режим, для лучшего управления отломками, или в редких случаях развития трофических нарушений. Спицу лучше проводить за надмыщелковую область плеча с внутренней стороны на 2 см выше внутреннего надмыщелка, возможно расположение спицы в локтевом отростке.
Методов оперативного лечения переломов большое количество, однако, предпочтение следует отдавать наиболее щадящим, простым, физиологичным, обеспечивающим стабильную фиксацию и раннюю функцию.
Существуют абсолютные показания к оперативному лечению.
- множественная травма;
- открытые переломы;
- билатеральные переломы плеча;
- патологические переломы;
- «Плавающий» локоть;
- сочетанное повреждение сосудов;
- нейропатия лучевого нерва после закрытой репозиции;
- ложный сустав.
Перелом дистального конца плеча
открытая анатомичная репозиция и стабильная внутренняя фиксация для внутрисуставных переломов;
восстановление осевых взаимоотношений для внутрисуставных переломов;
ранняя функция в локтевом суставе для всех переломов дистального отдела плечевой кости.
Показано только для внесуставных переломов. В связи с тем, что консервативное лечение переломов плеча указанной локализации требует обездвиживания локтевого сустава, а также в связи со сложностью анатомического строения дистального эпифиза плечевой кости, техника закрытой репозиции и иммобилизации гипсовой повязкой применяется редко.
То есть если отломки не смещены, может потребоваться только иммобилизация шиной, лонгетой или косынкой, чтобы удерживать локоть в необходимом положении пока не срастется перелом. Врачу необходимо пристально следить за сращением перелома, для чего требуется частое выполнение рентгенограмм.
Используется для большинства внутрисуставных переломов дистального отдела плечевой кости. Внеочаговая фиксация фрагментов аппаратом чаще используется как средство стабилизации перелома в случаях тяжелых повреждений мягких тканей в зоне перелома или других противопоказаний к погружной фиксации.
Оперативное лечение переломов дистального отдела плечевой кости обычно включает сопоставление отломков. Металлические импланты (пластины и винты) служат для того чтобы фиксировать костные фрагменты до полного их сращения. При таком виде операции лечение перелома плечевой кости длится долго, но пациент начинает совершать первые движения уже спустя неделю и быстро возвращается к прежнему образу жизни с некими небольшими ограничениями.
Показания к хирургическому лечению. Обычно операция необходима, когда:
имеет место перелом со смещением отломков;
имеет место открытый перелом (отломки проткнули кожу).
Противопоказания:
анестезиологический риск;
неудовлетворительное состояние мягких тканей;
нестабильное общее состояние пациента.
Доступ
Существует два основных и наиболее широко используемых хирургических доступа при операциях в области дистального отдела плечевой кости — задний с отсечением локтевого отростка и латеральный.
Примеры лечения переломов плечевой кости
Перелом плечевой кости в недавнем прошлом являлся чрезвычайно серьезной проблемой для пациента. При таком переломе пациент на несколько месяцев лишался возможности обслуживать себя в быту, т.к. одной рукой затруднительно выполнять даже элементарную бытовую работу. Также пациент был вынужден носить массивную гипсовую или пластиковую повязка, что делает проблематичным нормальное ношение одежды, поездки в транспорте, гигиенические процедуры (невозможно просто нормально принять душ).
На фотографии показан пример повязки наложенная при переломе плечевой кости по "старым" принципам лечения. Не сложно представить, как себя чувствует пациент в такой повязке, учитывая то, что носить ее необходимо не менее 2 мес.
На современном этапе развития травматологии существуют методики, позволяющие эффективно помочь пациенту, не обременяя его ношением гипсовой или пластиковой повязки, в ближайшие сроки после операции, буквально за несколько дней, вернуть его к нормальному образу жизни.
Приведем некоторые клинические примеры лечения пациентов с переломами различных отделов плечевой кости.
Все операции были выполнены специалистами Ортоцентра.
Переломы верхнего отдела плеча (проксимального отдела плечевой кости).
Такие переломы при некорректном лечении могут привести к выраженным нарушениям движений в плечевом суставе, когда пациент элементарно не может достать рукой до головы. Оперативное лечение таких переломов сложно и требует высокой квалификации хирурга и применения современных методик. При соблюдении этих условий в настоящее время можно достичь практически полного восстановления функции плечевого сустава.
Примеры из практики специалистов Ортоцентра.
Пациентка с тяжелым переломом верхнего отдела (хирургической шейки) плечевой кости.
Рентгенограмма до операции.
Выполнена операция: металлоостеосинтез плечевой кости современной полиаксиальной пластиной LCP.
Гипсовая повязка после операции не применялась, сразу разрешен полный объем движений в плечевом суставе, разработка суставов. Пациентка смогла выйти на работу через несколько дней после операции, полностью обслуживала себя в быту, носила нормальную одежду, т.е. в ближайшие сроки после операции вернулась к нормальной жизни.
Результат через 1 мес. после операции. Функция конечности полностью восстановлена.
Пациентка с очень тяжелым переломом верхнего отдела плечевой кости со значительным смещением отломков.
Рентгенограмма до операции.
Выполнена операция: металлоостеосинтез плечевой кости полиаксиальной пластиной LCP.
Гипсовая повязка после операции не применялась, сразу после операции начата физкультура для суставов и мышц конечности.
Результат через 1,5 мес. после операции.
Конечность совершенно не отличается от здоровой, рубца на месте операции не видно (накладывался косметический шов). Функция плечевого сустава полностью восстановлена.
Пациентка с оскольчатым переломом верхнего отдела плечевой кости.
Рентгенограмма до операции.
Выполнена операция: металлоостеосинтез плечевой кости высокотехнологичным стержнем Targon.
Гипсовая повязка после операции не применялась, сразу после операции начата физкультура для суставов и мышц конечности.
Результат через 3 дня после операции.
Еще не сняты швы, виден отек, кровоподтеки на конечности после перелома. Пациентка уже может выполнять несложную бытовую работу, обслуживать себя без посторонней помощи.
Переломы среднего отдела плеча (диафиза плечевой кости).
Раньше операция выполнялась через большой разрез (15-20 см.) для установки пластины. При этом существует риск повреждения лучевого нерва, который проходит в средней трети плеча. Лучевой нерв чрезвычайно чувствителен к воздействию и иногда смещение его в сторону для установки пластины приводит к блоку проведения по нему импульсов на несколько месяцев. Большой разрез также ведет к длительному заживлению послеоперационной раны, выраженному болевому синдрому, необходимо длительное время ограничивать нагрузку на конечность.
В настоящее время при достаточной квалификации хирурга и современном оснащении операцию можно выполнить через небольшие разрезы, которые становятся незаметными через некоторое время после операции, с минимальной травматизацией тканей и минимальным риском осложнений.
Пациент с оскольчатым переломом среднего отдела плечевой кости.
Выполнена операция: металлоостеосинтез плечевой кости стержнем с блокирующими винтами, введенным ретроградно.
Гипсовая повязка после операции не применялась, сразу после операции начата физкультура для суставов и мышц конечности.
Результат через 4 мес. после операции.
Видно, что мышцы, функция суставов полностью восстановились.
Пациентка с переломом среднего отдела плечевой кости.
Выполнена операция: металлоостеосинтез плечевой кости стержнем с блокирующими винтами, введенным ретроградно.
Результат через 2 мес. после операции.
Функция конечности полностью восстановились.
Внутрисуставные переломы нижнего отдела (мыщелков) плечевой кости с повреждением локтевого сустава.
Такие переломы чрезвычайно сложны для лечения, что обусловлено сложным анатомическим строением локтевого сустава, как правило, многооскольчатым характером перелома, низкой плотностью костной ткани костей в данной зоне, особенно у пожилых пациентов вследствие остеопороза. При нестабильной фиксации после операции необходима гипсовая повязка, что ведет к формированию ограничений движений (контрактура) в локтевом суставе, иногда движения в полном объеме пациенты не могут разработать никогда. При неадекватном восстановлении сложной суставной поверхности локтевого сустава после операции развивается артроз, сопровождающийся болями и ограничением движений.
Для полноценного восстановления конечности после переломов данного типа требует высокая квалификация хирурга и использование современных методик операций.
Приведем несколько клинических примеров из личного опыта специалистов Ортоцентра.
Пациентка с тяжелым внутрисуставным переломом нижнего отдела (мыщелков) плечевой кости с тяжелым повреждением локтевого сустава.
Рентгенограмма до операции.
Выполнена операция: металлоостеосинтез плечевой кости современными пластинами LCP, анатомия локтевого сустава полностью восстановлена.
Гипсовая повязка после операции не применялась, сразу разрешена разработка движений в суставах конечности. Результат через 5 дней после операции. Швы еще не сняты, виден отек, кровоподтеки на конечности после перелома. Уже видна хорошая функция конечности.
Результат через 3 мес. после операции. Функция конечности полностью восстановлена.
Пациентка с тяжелым внутрисуставным переломом нижнего отдела (мыщелков) плечевой кости с повреждением локтевого сустава.
Рентгенограмма до операции.
Выполнена операция: металлоостеосинтез плечевой кости пластинами LCP, анатомия локтевого сустава полностью восстановлена. Гипсовая повязка после операции не применялась, сразу разрешена разработка движений в суставах конечности.
Результат через 14 дней после операции. Швы только что сняты. Уже видна функция конечности, достаточная для обслуживания себя в быту.
Результат через 3 мес. после операции. Функция конечности полностью восстановлена.
Пациентка с чрезвычайно тяжелым повреждением: тяжелым внутрисуставным переломом нижнего отдела плечевой кости с повреждением локтевого сустава с перелом средней трети локтевой кости со смещением отломков (дорожная травма).
Рентгенограмма до операции.
Выполнена операция: металлоостеосинтез плечевой кости пластинами LCP, анатомия локтевого сустава полностью восстановлена, остеосинтез локтевой кости стержнем с блокированием через небольшие разрезы-проколы (до 1 см.).
Гипсовая повязка после операции не применялась, сразу разрешена разработка движений в суставах конечности. Результат через 3 недели после операции. Уже видна хорошая функция конечности.
Результат через 4 мес. после операции. Функция конечности полностью восстановлена. Конечность ничем не отличается от здоровой.
Переломы плечевой кости

У больных пожилого и старческого возраста с выраженным остеопорозом в подавляющем большинстве случаев показано консервативное лечение, заключающееся в отказе от гипсовой иммобилизации и раннем начале активных движений в поврежденном суставе. У больных среднего и молодого возраста необходимо стремиться к одномоментной закрытой репозиции с кратковременной иммобилизацией ортезной повязкой.
При неудаче закрытой репозиции в этой группе больных показан остеосинтез с максимально ранним началом активных движений. При этом применяется как накостный остеосинтез пластинами с угловой стабильностью, так и интрамедуллярный блокированный остеосинтез.



Переломы диафиза плечевой кости
Переломы диафиза плеча, как и все другие, подразделяются на переломы от прямой и непрямой травм. При прямом приложении силы возникают поперечные, оскольчатые и многооскольчатые (в том числе и сегментарные) переломы, а при непрямом — винтообразные (косые) с дополнительным осколком или без него. Одним из типичных вариантов перелома от непрямой травмы являются закрытые винтообразные переломы, полученные во время армрестлинга. В последние годы их число заметно увеличилось, видимо, за счет популяризации этого вида единоборств.


«Золотым стандартом» лечения таких переломов является блокированный интрамедуллярный остеосинтез. Методика позволяет через мини-доступы выполнять репозицию и обеспечивать стабильную фиксацию переломов.


Переломы дистального отдела плечевой кости
Составляют 2-3% всех переломов. Наиболее часто встречается чрезнадмыщелковый внутрисуставной перелом. Большинство низкоэнергетических переломов дистального отдела плечевой кости возникает в результате падения на локоть с высоты роста или при падении на разогнутую руку. При этом возможно сочетанное повреждение проксимального отдела предплечья – перелом локтевого отростка, вывих лучевой кости, вывих локтевой кости и пр.
Причиной высокоэнергетических повреждений, чаще всего, является ДТП. В зависимости от расположения линии излома, переломы дистального отдела плечевой кости принято подразделять на внесуставные и внутрисуставные переломы.


Лечение
Консервативное лечение показано только для внесуставных переломов. Использование консервативного метода лечения предполагает наличие хорошего контакта врача и пациента – необходимый уровень контроля перелома и состоятельности фиксирующего элемента, а также выполнение пациентом рекомендаций лечащего врача. Оперативное лечение используется для большинства внутрисуставных переломов дистального отдела плечевой кости.


Государственная клиническая больница №29 им. Н.Э.Баумана – это современная многопрофильная высокотехнологичная больница с уникальной полуторавековой историей и традицией, оказывающая высококачественную медицинскую помощь в круглосуточном режиме.
Перелом плеча
Плечевая кость, плечо (лат. — Нumerus) — относится к длинным костям. Плечевая кость составляет костную основу почти половины свободной верхней конечности и является ее начальным отделом. Как и любая длинная кость, плечевая состоит из тела (диафиза) и концов (эпифизов) — проксимального, образованного головкой плечевой кости соединяющий плечо с лопаткой посредством плечевого сустава, и дистального — образующего плечевую составляющую локтевого сустава.
В связи с большой степенью свободы движений плеча в плечевом суставе (шаровидный сустав, самый подвижный в организме человека) проксимальный отдел плеча является местом прикрепления многих мышц и связок, благодаря которым осуществляется чрезвычайно сложный и сбалансированный процесс движений плеча в плечевом суставе, а вместе с ним и всей свободной верхней конечности.
Причем практически при любых движениях головка плечевой кости всегда строго центрирована в суставе. Диафиз плечевой кости формирует рычаг плеча и служит местом прикрепления части мышц сгибателей и разгибателей, обеспечивающих одноименные движения плеча в плечевом суставе, предплечья — в локтевом.
В связи с многообразием функций плеча, сложностью анатомического строения повреждения данной области влекут значительные нарушения функции всей верхней конечности. Причем если образно рассматривать свободную верхнюю конечность как цепь последовательных звеньев, и плечо это начальное звено в цепи, то чем выше повреждение, тем значительнее нарушения функции всей цепи.
Скорейшее восстановление функции верхней конечности играет важнейшую роль в жизни человека: самообслуживании, профессиональной и творческой деятельности, обучении, осязательном восприятии окружающего мира.
Повреждения плеча — это довольно часто встречающаяся патология. Имеется большое разнообразие травм как кости — переломы костей, переломы костей кисти, вывих ключицы, так и мягких тканей (разрывы мышц, сухожилий, связок, сосудов и нервов), часто встречаются и различные вывихи головки плечевой кости.
Перелом плеча

Переломы плечевой кости довольно широко распространены и составляют от 5 до 20 % от всего числа переломов костей скелета. Переломы плечевой кости, как правило, встречаются в виде изолированных повреждений, реже в сочетании с другими повреждениями костей и мягких тканей.
Переломы плечевой кости наблюдаются при непрямом воздействии силы — падение на вытянутую руку, либо при прямом воздействии (удары в область плеча, падение на приведенное к туловищу плечо, и т.д.). Данный вид травмы распространен довольно широко среди мужчин и женщин, среди молодых и пожилых пациентов.
Переломы плечевой кости характеризуются большим разнообразием.
Диагностика переломов плеча
Диагностика переломов плечевой кости — это клиническое обследование больного (осмотр, сравнительная оценка, измерение, пальпация и т.д.), рентгенологическое обследование — это стандартная рентгенография, специальные рентгенологические укладки при необходимости.
Рентгенкомпьютерная томография, для верификации повреждений мягких тканей — это МРТ. Для постановки точного и правильного диагноза, а так же для определения дальнейшей тактики лечения, очень важно, чтобы диагностику проводил квалифицированный врач специалист — врач-травматолог ортопед.
Осложнения при переломах плеча
Осложнения переломов плечевой кости: — встречаются довольно часто и в отдаленном периоде в определенных случаях или при неадекватном лечении представлены несросшимися переломами, неправильно сросшимися переломами, а так же псевдоартрозами (ложными суставами).
В момент получения травмы переломы плечевой кости могут осложниться повреждением структур окружающих плечевую кость: повреждение сосудисто-нервного пучка, мышц и сухожилий проявляющиеся кровотечением, неврологическими нарушениями в поврежденной руке, расстройствами функции верхней конечности.
Лечение переломов плеча
Лечение переломов плечевой кости: в травматолого-ортопедическом отделении нашей клиники проводится лечение переломов, и вывихов плечевой кости в зависимости от вида и типа повреждения.
Возможны варианты консервативного (безоперационного) и оперативного лечения. Хирургическое лечение переломов плеча основано на новейших достижениях отечественной и зарубежной науки в сфере травматологии и ортопедии.
Переломы плеча
Показаниями к хирургическому вмешательству при данных переломах определяются общими и местными сопутствующими повреждениями, типом и стабильностью перелома, качеством костной ткани, а также возрастом пациента.
Консервативное лечение предпочтительно у пожилых пациентов с сопутствующей патологией и при переломах без смещения отломков.
Достижение наилучших результатов возможно при хорошей репозиции отломков и фиксации их в правильном положении до наступления сращения. Для этих целей используются методы накостного остеосинтеза пластинами и винтами, внутрикостного остеосинтеза стержнями с блокированием или эндопротезирования.
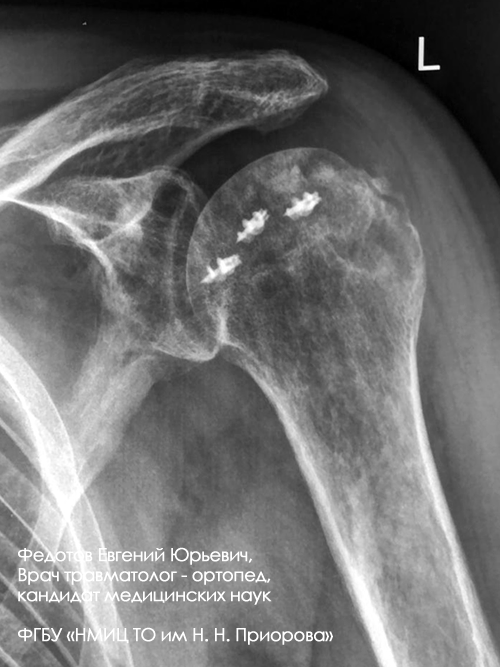
Перелом большого бугорка плечевой кости


Операция: Открытая репозиция, анкерная фиксация большого бугорка плечевой кости.

Неправильно срастающийся оскольчатый перелом большого бугорка плечевой кости.




Операция: Открытая репозиция большого бугорка плечевой кости с фиксацией анкерным швом

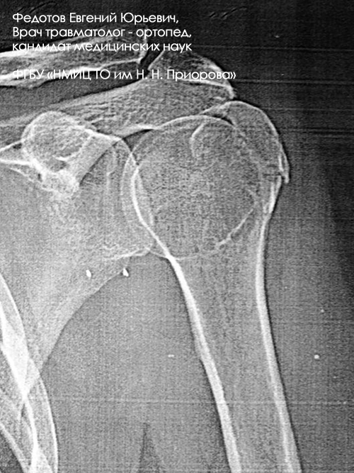
Закрытый многооскольчатый внутрисуставный со смещением перелом проксимального отдела плечевой кости.




Операция: открытая репозиция отломков проксимального отдела плечевой кости, накостный остеосинтез пластиной и винтами

Перелом диафиза плечевой кости
Переломы диафиза плечевой кости составляют примерно 1% от всех переломов. Обычно они являются следствием прямой травмы, но также могут возникать и в тех видах спорта, где велики ротационные силы, например, в бейсболе и армрестлинге. Переломы в/3 плечевой кости могут приводить к повреждению подмышечного нерва. Переломы средней и дистальной трети могут подвергать опасности лучевой нерв.
Остеосинтез пластиной позволяет хирургу выполнить хорошую репозицию и создать стабильную фиксацию компонентов с межфрагментарной компрессий костных отломков. Пластина в таких случаях является наилучшим средством при коррекции деформации и остается методом выбора при лечении ложных суставов плечевой кости.
Другим вариантом лечения переломов диафиза является интрамедуллярный остеосинтез.
Закрытый перелом ср/3-н/3 плечевой кости со смещением.



Операция: открытая репозиция отломков ср/3-н/3 плечевой кости, остеосинтез пластиной и винтами

Перелом дистального отдела плечевой кости
Переломы дистального отдела плечевой кости составляют 2-6% всех переломов области локтевого сустава у взрослых. Имеется распределение переломов относительно возраста и пола с пиками частоты у молодых мужчин и пожилых женщин. Большинство переломов у пожилых представлены внутрисуставными повреждениями с вовлечением обеих колонн.
Внутрисуставные повреждения имеют относительно благоприятный прогноз при открытой репозиции и стабильной фиксации.
Современные методы фиксации пластинами и винтами обеспечивают возможность надежной реконструкции, так что собственный локтевой сустав может быть сохранен у подавляющего большинства пациентов.
У пациентов с выраженным остеопорозом достичь стабильной внутренней фиксации дистального суставного конца плечевой кости бывает нелегко, поэтому может рассматриваться возможность тотального эндопротезирования локтевого сустава
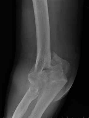
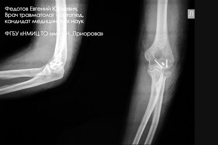
Закрытый внутрисуставной перелом головочки, блока мыщелка и наружного надмыщелка плечевой кости со смещением.




Операция: открытая репозиция отломков дистального мыщелка плечевой кости, наружного надмыщелка, остеосинтез пластиной и винтами.


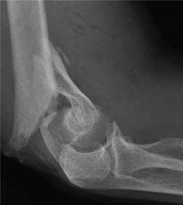
Закрытый внутрисуставной перелом головочки и части блока плечевой кости со смещением.


Операция: открытая репозиция отломков головочки и части блока плечевой кости, остеосинтез винтами.

Федотов Евгений Юрьевич,
Врач травматолог - ортопед, кандидат медицинских наук
Ведет амбулаторный прием в КДЦ (консультативно- диагностическом отделении) для взрослых
Содержание данного веб-сайта не является публичной офертой и носит исключительно информационный характер.
2020 © ФГБУ "НМИЦ ТО им. Н.Н. Приорова" Минздрава России, официальный сайт. Медицинская лицензия фс-99-01-009693 от 30.10.2019. Лицензия №2635 от 07.09.2017 "На осуществление образовательной деятельности"
Читайте также:
