Киста кармана Ратке на МРТ
Добавил пользователь Владимир З. Обновлено: 13.12.2025
Краниофарингиома (опухоль кармана Ратке, опухоль гипофизарного хода, опухоль Эрдхайма) – доброкачественная опухоль головного мозга, эмбрионального происхождения. Обычно локализуется в гипоталамо-гипофизарной области и развивается из клеток эмбрионального глоточного кармана Ратке. По мере роста в ткани опухоли могут возникать кисты, заполненные желто-бурой жидкостью с большим содержанием белка и холестерина.
Может появляться в любом возрасте (чаще у детей). Ввиду того, что в процессе роста опухоль может сдавливать жизненно важные структуры головного мозга, чаще всего пациенту показано лечение краниофарингиомы.
Большинство краниофарингом располагается супраселлярно, но примерно 15% — в пределах турецкого седла. Они целиком или частично состоят из кист, нередко содержат кальций и выстланы слоистым чешуйчатым эпителием. Считается, что краниофарингиомы — это болезнь детского возраста. Однако до 45% больных к моменту установления диагноза оказываются старше 20 лет, а 20% — старше 40 лет.
Лечение
В терапии краниофарингиомы может применяться как радиохирургическое лечение на КиберНоже в качестве единственного метода лечения, так и комплексный подход, включающий, кроме радиохирургии, высокоточную лучевую терапию IMRT на современном линейном ускорителе и другие методы лечения онкологии.
Результат лечения зависит от стадии, на которой выявлена опухоль. Наибольшую эффективность демонстрирует безоперационное лечение опухолей головного мозга на КиберНоже. Во время лечения высокая доза ионизирующего излучения разово подводится в объем, отвечающий пространственным контурам опухоли. Такой подход позволяет избежать серьезного хирургического вмешательства, которое сопряжено с рисками повреждения здоровых тканей головного мозга в процессе доступа к опухоли.
Радиохирургическое лечение на системе КиберНож

Радиохирургическая система КиберНож
Лечение краниофарингиомы на КиберНоже проводится с применением пространственной 3Д-визуализации взаимного расположения опухолевых тканей и соседствующих участков здоровых клеток головного мозга. Данная модель позволяет программному комплексу КиберНожа рассчитать количество тонких пучков излучения и позицию, с которой каждый из них будет подан, с тем, чтобы сформировать равномерно высокую дозу излучения в пределах опухоли и при этом не подвергнуть облучению здоровые ткани.
Затем после формирования такого плана лечения проводится одна или несколько фракций (сеансов) радиохирургии. Без крови, без боли, без разрезов, анестезия не требуется — лечение на КиберНоже проводится амбулаторно и пациент по завершению фракции (сеанса лечения) может в тот же день вернуться к обычному распорядку дня.

Лечение краниофарингиомы: план радиохирургического лечения, учитывающий расположение опухоли и здоровых структур головного мозга
Количество фракций, общая длительность и стоимость лечения определяется в каждом конкретном случае индивидуально. Соответственно, общая стоимость лечения, на которую также влияют индивидуальная необходимость дополнительных процедур или диагностики, отличается для каждого пациента.
Независимо от стадии, на которой диагностирована опухоль у пациента, тактику лечения краниофарингиомы определяет междисциплинарный консилиум, в котором участвуют врачи различных специальностей, в т.ч. нейрохирург, радиохирург и т.д.
Лучевая терапия (радиотерапия)

Современный линейный ускоритель Elekta
Традиционным при этом виде опухоли считается нейрохирургическое вмешательство. Однако нейрохирургия не всегда возможна ввиду общего состояния пациента, кроме того, не всегда есть возможность полного удаления опухоли в местах ее прорастания в критически важные для организма структуры. В таких случаях может применяться высокоточная лучевая терапия IMRT.
Отличием IMRT-лучевой терапии от устаревших методик ее проведения является контролируемая пошаговая доставка заданной высокой дозы ионизирующего излучения в ту часть головного мозга, в котором размещена опухоль. При этом общая доза, губительная для клеток краниофарингиномы, формируется в зонах пересечения одиночных полей излучения, а те структуры организма, через которые проходит каждый из пучков получают лишь незначительную часть общей дозы.
Лечение краниофарингиомы начинается с создания пространственной 3D-визуализации взаимного расположения опухолевых тканей (либо границ удаленной опухоли) и соседствующих участков здоровых клеток головного мозга. Эта модель, разрабатываемая на базе МРТ и КТ-исследований, позволяет рассчитать количество, форму и позицию подачи пучков излучения, на пересечении которых сформируется требуемая доза. После утверждения плана лечения пациенту предстоит пройти несколько ежедневных фракций (сеансов).
Количество фракций, общую длительность (включает время необходимое для проведения предварительной диагностики и консультаций, время на разработку точного плана лечения) лечения, его стоимость определяется в какждом конкретном случае. Соответственно, общая стоимость лечения, на которую также влияют индивидуальная необходимость дополнительных процедур или диагностики, отличается для каждого пациента.
Диагностика
Краниофарингомы обычно хорошо видны при проведении КТ и МРТ исследований. Однако ключевым моментом в их диагностике является опыт специалиста (врача-рентгенолога), который проводит рассмотрение снимков.
Симптомы
Клиническая симптоматика краниофарингом определяется их близостью к зрительным нервам и хиазме, гипоталамо-гипофизарной системе и ликворопроводящим путям.
Краниофарингиомы могут оставаться нераспознанными в течение многих лет. Как правило, краниофарингиомы проявляются между 10 и 20 годами. Секреция гормонов аденогипофиза отсутствует или сильно снижена. Иногда поражается нейрогипофиз, что приводит к несахарному диабету. Краниофарингиому следует заподозрить при задержке роста, отставании костного возраста от паспортного, ожирении. Возможны нарушения зрения.
Примерно у 80% детей симптомы повышения внутричерепного давления с головными болями, рвотой и отеком сосков зрительных нервов обусловлены гидроцефалией. Потеря зрения и сужение полей зрения встречаются в 60% случаев. Иногда дети отличаются низкорослостью (7—40%), но чаще у них наблюдают отставание костного возраста. Примерно в 20% случаев отмечают запаздывание полового развития, а в ряде случаев — несахарный диабет.
Примерно 80% взрослых больных жалуются на ухудшение зрения, и еще у 10% зрительные нарушения выявляют при тщательном обследовании. Отек зрительного нерва обнаруживают примерно у 15% взрослых больных.
Около 40% страдают головными болями, 25%—расстройствами психики или изменениями личности, 25% — гипогонадизмом. Гиперпролактинемия отмечается у 30—50% больных, но уровень пролактина редко превышает 100—150 нг/мг.
Могут иметь место также несахарный диабет (15%), увеличение массы тела (15%) и пангипопитуитаризм (7%). В редких случаях содержимое кисты изливается в спинномозговую жидкость, давая картину асептического менингита.
Киста кармана Ратке
Киста кармана Ратке это доброкачественное образование, представляющее собой выстланную эпителием кисту овальной, округлой или ганетелевидной формы. Впервые описана Goldzieher в 1913, как случайная находка при секции. Описание кист кармана Ратке увеличилось с распространением компьютерной томографии (КТ) и магнитно-резонансной томографии (МРТ).
Патология
Карман Ратке формируется на 4й неделе эмбрионального развития из выроста эпителия крыши ротовой полости. Передняя стенка кармана дает начало передней доле гипофиза (pars distalis). Задняя стенка кармана не пролиферирует и остается в виде промежуточной доли гипофиза (pars intermedia). Просвет кармана сужается формируя щель, которая обычно облитерируется. Отсутсвие облитерации считается причиной формирования кист Ратке. Стенки кисты обычно выстланы однослойным однорядным эпителием, часто содержащим бокаловидные клетки и ворсинки. Встречающиеся внутрипросвеные узелки, которые макроскопически определяются в виде белесоватого налета на стенках кисты, представляют слущенный эпителий.
Гистология
При рутинном окрашивании гематоксилин-эозином в стенке кисты кармана Ратке определяется однослойный однорядный цилиндрический или кубический эпителий с бокаловидными клетками. Иногда наблюдается однослойный многорядный эпителий. При метаплазии, в 9-39% случаев, наблюдается плоский эпителий, что связывают с высоким риском рецидива.
Клиника
Кисты кармана Ратке чаще всего не проявляют себя клинически в течении жизни. Симптоматическе кисты кармана Ратке чаще встречаются на 4-5 декадах жизни у женщин [6,7,8]. Типичные симптомы: головные боли, эндокринная дисфункция и снижение зрения. Гормональные расстройства включают в себя гиперпролактинемию и дефицита гормона роста, снижение уровня кортизола в крови и гипогонадизм [5]. В 7%-20% случаев встречается несахарный диабет. “Апоплексия кисты кармана Ратке”, недавно описанный термин, подразумевает резкое возникновение симптоматики сочетающееся с признаками внутрикистозного кровоизлияния при визуализации [3].
Диагностика
При визуализации киста кармана Ратке представляет хорошо отграниченное, срединно расположенное, не усиливающиеся образование между передней и промежуточной долями гипофиза. 40% кист имеет интраселлярную локализацию, 60% - имеют супраселлярный компонент. Чисто супраселлярная локализация встречается редко.
Компьютерная томография
Киста кармана Ратке при компьютерной томографии характеризуется как кистозное образование селлярнй или супраселлярной локализации, с четкими границами, сниженной плотности. Крупные размеры могут приводить к ремоделированию прилежащих костей. Простые кисты могут быть неотличимы от арахноидальных кист и эпидермоидов. Комплексные кисты могут быть неотличимы от краниофарингиомы или аденомы гипофиза. За счет вариабельности в визуализации компьютерную томографию нельзя использовать как единственный метод диагностики.
- нативно
- однородное гипоинтенсивное образование, обычно не содержащее кальцинатов
- иногда может иметь смешанную изо- гипоинтенсивную плотность
Магнитно-резонансная томография
Кисты кармана Ратке почти всегда имеют гомогенную интенсивность МР сигнала, в то время как кистозные краниофарингеомы и аденомы с кровоизлиянием имеют гетерогенный сигнал. [9] Уровни жидкости подразумевают кровоизиляние в анамнезе. Хотя кисты кармана Ратке не имеют характерных только для данной нозологии МР признаков. Большинство кист можно отнести к двум группам:
- Кисты кармана Ратке с низкой интенсивностью МР сигнала на Т1 взвешенных изображениях и высокой интенсивностью сигнала на Т2 взвешенных изображениях,
- Кисты кармана Ратке с высокой интенсивностью МР сигнала на Т1 взвешенных изображениях и различной интенсивностью МР сигнала на Т2 взвешенных изображениях
В первой группе содержимое кисты серозное и имеет сигнальные характеристики соответствующие ЦСЖ. Во второй группе содержимое кист богато мукополисахаридами, которые считаются продуктами муцин-продуцирующих клеток в стенке кисты. В редких случаях повышенный сигнал на Т1 взвешенных изображениях сочетается с низким МР сигналом на Т2 взвешенных изображениях за счет комбинации факторов включающих наличие мукополисахаридов, продуктов распада гемоглобина, высокого содержания холестерола и сушенных клеточных масс.
Эндокринные нарушения при наличии кисты кармана Ратке: представление клинического случая
Одной из причин развития ряда эндокринных нарушений является наличие кисты кармана Ратке, образовавшейся вследствие аномалии развития гипофиза в эмбриональном периоде. В настоящее время диагностика заболевания затруднена ввиду сложности интерпретации данных визуализирующих методик и неоднозначной клинической картины. В статье представлен клинический случай пациентки с кистой кармана Ратке, длительный период протекавшей под маской пролактиномы.
Ключевые слова
Для цитирования:
For citation:
Введение
Киста кармана Ратке (ККР) представляет собой доброкачественную анатомическую структуру, формирующуюся в результате аномальной инволюции кармана Ратке с развитием кист между адено- и нейрогипофизом. ККР – вторая по распространенности патология гипоталамо-гипофизарной области после аденом гипофиза, популяционная частота по данным аутопсий составляет от 13–33% [1, 2].
Патогенетически ККР схожи с краниофарингиомами. Размеры ККР варьируют от нескольких миллиметров до 4–5 см, содержимое, как правило, незначительно по объему и представляет собой смесь белка и холестерина. ККР чаще располагаются интра- или супраселлярно [3].
Кисты кармана Ратке малого размера в основном характеризуются бессимптомным течением, в то время как крупные образования сдавливают близлежащие структуры – нервную ткань, зрительный перекрест, гипофиз, вызывая соответствующую симптоматику: головные боли (33–81%), нарушение зрения (33–75%), гипофизарную дисфункцию (19–81%). В ряде случаев первым клиническим проявлением ККР является апоплексия гипофиза [5, 4].
Среди эндокринных нарушений наиболее распространены гипопитуитаризм, гиперпролактинемия, водно-электролитные расстройства [1, 4, 7].
Гиперпролактинемия при наличии ККР обусловлена так называемым «stalk»-эффектом – сдавлением ножки гипофиза и нарушением адекватного транспорта дофамина. При этом наблюдается умеренное повышение уровня пролактина (не более 5000 мЕд/л), что, однако, может иметь место при пролактиномах и неактивных аденомах гипофиза. Более того, в ряде случаев наблюдается сочетание ККР с пролактиномой, верифицирующееся уже после проведения хирургического вмешательства и гистологического исследования полученного материала. Уровень пролактина при этом может достигать значительных цифр (более 10 000 мЕд/л) [6].
Рис. 1. Формирование гипофиза путем слияния части нейроэпителия промежуточного мозга с эпителием первичного рта, формирующего карман Ратке, передняя и задняя стенки которого впоследствии образуют переднюю и промежуточную доли гипофиза [2].
Дефицит гормонов передней доли гипофиза при наличии ККР значимых размеров развивается в 19–81% случаев. Наиболее часто наблюдается гипогонадотропный гипогонадизм (60%), реже – вторичная надпочечниковая недостаточность (36%) и вторичный гипотиреоз (до 36%), дефицит СТГ по разным данным составляет от 12 до 79% [2]. При этом вероятность развития дисфункции передней доли гипофиза не коррелирует с размерами кисты Ратке, но ассоциируется с гипер- или изоденным МР-сигналом на Т1-взвешенных МР-изображениях [4].
Распространенность несахарного диабета при ККР варьирует от 3 до 19%, развитие синдрома неадекватной секреции антидиуретического гормона с гипонатриемией наблюдается достаточно редко [2].
В ряде случаев первым клиническим проявлением ККР становятся кровоизлияние в ее полость или апоплексия гипофиза, сопровождающиеся выраженными головными болями, нарушением зрительной функции, тошнотой или рвотой [7].
Диагностика ККР базируется на данных радиологических методов обследования – КТ и МРТ. Обычно ККР представляет собой хорошо отграниченное образование овоидной, сферической или гантелеобразной формы, по данным МРТ – кистозного строения, иногда с незначительным утолщением стенки, при выполнении КТ-томографии – изоденное гомогенное с небольшим повышением плотности в сравнении с мозговой тканью. Учитывая различную тактику ведения пациентов с аденомами (пролактиномами) и ККР, в ряде случаев во избежание диагностических ошибок целесообразно повторное проведение радиологического исследования в специализированном медицинском учреждении. Так, по данным ФГБУ Эндокринологический научный центр у 21% пациентов с первичным диагнозом «аденома гипофиза» подтверждалось наличие ККР или других неопухолевых образований кармана Ратке [8].
У большинства асимптоматических пациентов не отмечено значимых изменений размеров ККР в течение длительного периода наблюдения (до 9 лет). В то же время в литературе описаны клинические случаи как регресса кисты вследствие разрыва ее оболочки или при преобладании абсорбции содержимого над секрецией, так и значимого увеличения размеров ККР за счет, соответственно, гиперпродукции секрета, интракистозного кровоизлияния или инфекционного воспаления [9].
Небольшие по размеру ККР с асимптоматическим течением не требуют лечения. Наличие эффектов компрессии (гиперпролактинемия, гипофизарный дефицит, сдавление зрительных нервов) является показанием к выполнению хирургического вмешательства. Как правило, задача операции сводится к дренированию содержимого кисты или разрушению ее стенки эндоназальным транссфеноидальным доступом [9, 2].
Эффективность оперативного лечения в достижении нормопролактинемии составляет практически 100%, ослабление головных болей и восстановление зрительных нарушений наблюдается в 40–100% и 33–100% соответственно. Частичный гипопитуитаризм регрессирует в 14–50%, полного восстановления гормональной функции при пангипопитуитаризме, как правило, добиться не удается [5, 4, 10].
Несмотря на успех хирургического лечения в купировании симптоматики ККР, частота рецидивов заболевания остается достаточно высокой. Временной интервал возникновения рецидива колеблется от 4 недель до 24 лет, в основном 5–6 лет, что предполагает наблюдение пациента в течение как минимум 5 лет после оперативного лечения [11].
Клинический случай
В данной статье представлен клинический случай пациентки с кистой кармана Ратке, длительный период протекавшей под маской пролактиномы.
Пациентка О. впервые обратилась к эндокринологу в возрасте 12 лет с жалобами на выраженную жажду и обильное мочеотделение. На основании клинических симптомов и лабораторных исследований диагностирован несахарный диабет, назначено лечение десмопрессином с положительным эффектом. Препарат пациентка принимала в течение 6 лет, после чего, в связи с самопроизвольной нормализацией показателей водно-электролитного баланса, проведена постепенная отмена десмопрессина.
В 20 лет пациентка обратилась к эндокринологу с жалобами на белесоватые выделения из молочных желез, нерегулярный менструальный цикл по типу олиго-аменореи, лабильность артериального давления. В ходе госпитализации на основании данных лабораторно-инструментального обследования диагностирована гиперпролактинемия (уровень пролактина 2500 мЕд/л, макропролактин менее 60%), по данным МРТ отмечено наличие эндоселлярного объемного образования гипофиза с супраселлярным ростом размерами 17*16*14 мм, расцененное как пролактинсекретирующая аденома гипофиза. Назначена терапия малыми дозами агонистов дофамина, которую пациентка получала около 20 лет. На фоне медикаментозного лечения поддерживалась стойкая нормопролактинемия. При динамическом наблюдении в 36 лет выявлено умеренное уменьшение размеров образования гипофиза до 12*15*15 мм.
В 40 лет пациентка вновь обратилась в ФГБУ Эндокринологический научный центр МЗ РФ с жалобами на отсутствие беременности в течение 5 лет. При осмотре – конституция нормостеническая, ИМТ 20,5 кг/м2. Кожные покровы светлые, чистые, нормальной влажности. Видимые слизистые розовые, чистые. Подкожная жировая клетчатка развита умеренно. Щитовидная железа при пальпации мягко-эластичной консистенции, безболезненна, подвижна при глотании. Тоны сердца ясные, ритмичные, шумов нет, ЧСС 79 в минуту, АД 120/80 мм рт.ст. Дыхание везикулярное, хрипов не отмечалось. Живот при пальпации мягкий, безболезненный, печень не увеличена. Стул и мочеиспускание без особенностей. Выделений из молочных желез нет. При сборе гинекологического анамнеза обращало на себя внимание проведение 4 безуспешных попыток экстракорпорального оплодотворения в течение последних 5 лет.
В ходе лабораторного обследования показатели общего анализа крови и мочи в пределах референсных значений, отмечено некоторое снижение протромбинового времени до 9,4 сек (10–14), повышение протромбина до 169% (70–130), общего холестерина до 5,87 ммоль/л (3,3–5,2). В гормональном анализе крови на фоне приема каберголина в дозе 0,25 мг в неделю – уровень пролактина 932,8 мЕд/л (90–540). По данным МР-томографии головного мозга в хиазмально-селлярной области подтверждено наличие объемного образования размерами 12*15*15 мм с выраженным кистозным компонентом и супраселлярным распространением (хиазма интактна). Учитывая ряд специфических признаков, специалистами отделения магнитно-резонансной томографии верифицирована киста кармана Ратке (рис. 2).
Рис. 2. Динамика объемного образования гипоталамо-гипофизарной области (А, Б – 2009 г., В, Г – 2011 г., Д, Е – 2015 г.).
Пациентке выполнено эхокардиографическое исследование, значимой патологии по стороны клапанного аппарата сердца не выявлено. По данным офтальмологического исследования, патологии зрительного тракта и полей зрения не выявлено.
В связи с длительным периодом отсутствия беременности пациентка планировала зачатие с использованием вспомогательных репродуктивных технологий. Согласно заключению гинеколога, причиной бесплодия в большей степени являлось снижение овариального резерва. Ввиду отсутствия данных за наличие аденомы гипофиза, противопоказаний к проведению индукции суперовуляции не выявлено. Рекомендовано увеличение дозы каберголина до 0,5 мг в неделю для достижения нормопролактинемии перед проведением протокола ЭКО.
Заключение
Таким образом, развитие ККР нередко сопровождается различными эндокринными и водно-электролитными дисфункциями, а МР-диагностика является ключевым фактором постановки правильного диагноза и определения тактики ведения пациента. В данном клиническом случае совокупность анамнестических данных (дебют заболевания с несахарного диабета с последующей полной ремиссией, наличие стойкой умеренной гиперпролактинемии, купирующейся на фоне минимальных доз агонистов дофамина) и сведения динамической МР-томографии (уменьшение размеров образования, присутствие выраженного кистозного компонента) свидетельствовали о наличии у пациентки ККР. Несмотря на предпочтительность хирургического лечения остаточных структур кармана Ратке, в случае данной пациентки принято решение продолжить терапию агонистами дофамина. При выборе тактики дальнейшего ведения учитывались сведения о длительности стабильного периода заболевания, об отсутствии компрессии жизненно важных структур гипоталамо-гипофизарной области, желание пациентки иметь беременность в ближайшее время и возможность тщательного наблюдения.
Дополнительная информация
Конфликт интересов отсутствует.
Информация о вкладе каждого автора: Ворот ни кова С.Ю. – сбор и обработка материала, написание текста; Воронцов А.В., Владимирова В.П., Авер киева Е.В. – сбор и обработка материала; Дзеранова Л.К., Пигарова Е.А. – внесение изменений и проверка текста.
Киста кармана Ратке — симптомы и диагностика
Киста кармана Ратке — доброкачественное образование, расположенное внутри турецкого седла основания черепа. Они являются выстланными эпителием интраселлярными кистами, которые, как считается, развиваются из остаточных структур зародышевого кармана Ратке. Обычно они представляют собой образования округлой, овоидной или гантелевидной формы. Они встречаются часто и имеются у 13-33% людей и иногда вызывают компрессию подлежащих структур, что приводит к появлению таких симптомов, как головные боли, нарушения зрения или дефицит гормонов гипофиза.
Исследования показали, что выявленные при помощи лучевых методов кисты не изменяются со временем или же несколько уменьшаются в размерах; это позволяет предположить, что при отсутствии симптомов сдавления предпочтительным является консервативный подход в лечении.
Визуализация значительно улучшилась с внедрением в клиническую практику компьютерной томографии (КТ) и магнитно-резонансной томографии (МРТ).
Сделать МРТ гипофиза в Санкт-Петербурге
На изображениях ниже можно посмотреть, как киста Ратке выглядит на снимке .
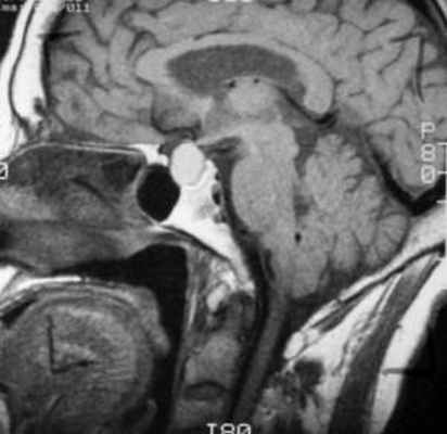
![f1]()
МРТ: киста кармана Ратке. На Т1-взвешенном сагиттальном изображении, полученном до введения контраста, заметно четко очерченное образование в области турецкого седла – с распространением в супраселлярную цистерну. Отмечается гомогенно высокая интенсивность сигнала в образовании по сравнению с паренхимой головного мозга.
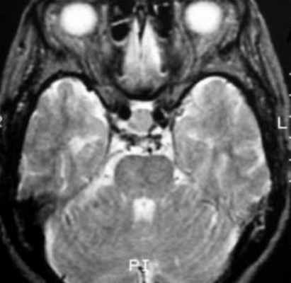
![f2]()
Т2-взвешенное аксиальное изображение (тот же пациент, что и на предыдущем изображении).
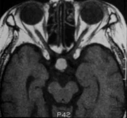
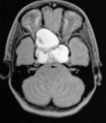
![f3]()
Т2-взвешенное аксиальное изображение: изоинтенсивное коре образование (тот же пациент, что и на предыдущем изображении).
Почему образуется киста кармана Ратке
Как установили Voelker с соавторами, по наиболее общепринятой теории происхождения, эти образования развиваются из истинных остаточных структур кармана Ратке, существовавшего во внутриутробном периоде.
Карман Ратке возникает примерно на 24й день эмбрионального развития в виде дорсального дивертикула ротовой ямки; это образование выстлано эпителиальными клетками эктодермального происхождения. Примерно в это же время формируется воронка гипофиза в виде выроста нейроэпителия из диэнцефалона. К пятой неделе он дорастает до воронки и облитерируется у щечно-глоточной перепонки. В течение шестой недели он отделяется от орального эпителия. Затем из его передней стенки развивается дистальная часть гипофиза. Задняя стенка не пролиферирует и остается в виде плохо различимой промежуточной части гипофиза.
Остаточный просвет кармана уменьшается до узкой щели, которая, в большинстве случаев, исчезает. Считается, что персистенция и расширение этой щели приводит к возникновению кисты Ратке.
Схема развития кисты из зародышевого кармана Ратке.
Некоторые авторы придерживаются иных теорий касательно формирования этих кист: в частности, по некоторым теориям, источником развития является нейроэпителий или эндодерма, или же предполагается их развитие путем метаплазии клеток передней доли гипофиза.
Анатомия
При патологоанатомическом исследовании размер кист варьирует от 2 до 40 мм. Её капсула часто тонкая и может быть прозрачной, голубоватой, серой, белой, желтой, розовой, коричневой или зеленоватой. Кистозная жидкость внутри обычно густая или желеобразная (коллоидная), но также может быть водянистой, серозной или напоминающей по консистенции машинное масло. Чаще всего жидкость желтого цвета, но иногда описывается и белесое, прозрачное, серое или зеленоватое содержимое.
При гистологическом исследовании кисты обычно состоят из васкуляризированной соединительнотканной стромы и трех типов эпителиальных клеток: реснитчатого эпителия, нереснитчатого эпителия и секретирующих слизь клеток. Нереснитчатый эпителий представлен одним слоем плоских клеток или же в виде нескольких рядов цилиндрического эпителия. Fager и Carter пришли к выводу, что наличие реснитчатого эпителия и секретирующих слизь клеток в ткани гипофиза является патогномоничным признаком кисты этого типа.
В ходе ретроспективного анализа Shin с соавторами обнаружили, что все исследованные были интраселлярными по происхождению в месте их изначальной локализации. Вследствие своей кистной природы, большинство из исследованных в данной работе проникали в супраселлярную цистерну через щель в диафрагме турецкого седла. Как сообщает Voelker по результатам ретроспективного анализа 155 клинических случаев с симптоматическими, кисты характеризовались интраселлярным и супраселлярным расположением у 71% пациентов. Область турецкого седла была расширена у 80%.
Симптомы
В 80% случаев, нет никаких симптомов и патология обнаруживается случайно при проведении КТ или МРТ. Размер подавляющего большинства кист составляет менее 2 см в диаметре. Симптоматически они встречаются редко, но могут увеличиваться в размерах и вызывать сдавление гипофиза, ствола гипофиза, зрительного перекреста или гипоталамуса.
Симтоматически они весьма различны по клиническим проявлениям. В исследовании симптоматики у 11, проведенном Rao с коллегами, у 8 пациентов развились зрительные симптомы. В другом исследовании, проведенном Eguchi с соавторами, зрительные признаки имелись у 47% пациентов. К ним относилось снижение остроты зрения, атрофия зрительного нерва, нарушения полей зрения и хиазмальный синдром. В исследование Eguchi были включены 19 пациентов, у 4 из которых был несахарный диабет, у 3 – аменорея и/или галакторея, а у 2 — пангипопитуитаризм. При систематическом эндокринологическом обследовании наблюдалась дисфункция гипофиза различной степени. К прочим нарушениям относились головные боли и, реже, эпилепсия.
В исследовании Voelker с коллегами, чаще всего отмечалась гипофункция гипофиза со множественными эндокринопатиями. У более молодых пациентов, в возрасте от 4 до 22 лет, признаки гипопитуитаризма наблюдались с раннего возраста и сопровождались задержкой развития. Вторым наиболее частым признаком являлись нарушения зрения, включавшие в себя нарушения полей зрения вследствие компрессии зрительного перекреста. Другим частым симптомом была головная боль, лобной локализации в 57% случаев. Shin с соавторами описали также импотенцию или пониженное либидо в качестве наиболее частой эндокринологической патологии у мужчин; у женщин чаще всего имелась гиперпролактинемия. В добавление к описанным выше симптомам, эндокринологические развиваются вторично вследствие аденомы гипофиза. Среди редких или необычных признаков, связанных с темой исследований, отмечалась апоплексия гипофиза, гипофизит, гигантские кисты, обширное распространение во фронтальную область и необычные формы кист, асептический менингит, внутрикистный абсцесс, сфеноидит и синдром пустого турецкого седла.
Методы диагностики
Методом выбора в диагностики является МРТ хиазмально-селлярной области (гипофиза). Должны быть получены тонкие срезы в сагиттальной и корональной плоскостях, проведенные через турецкое седло. Исследование должно сопровождаться контрастным усилением. КТ-снимки также могут быть полезными при их оценке. Результаты КТ особенно полезны в диагностике сопутствующих костных изменений и отложений кальцинатов.
Ограничения методов
МРТ превосходит КТ по качеству визуализации и оценки размеров кисты Ратке. Сагиттальные и корональные МРТ-снимки позволяют получить достоверную информацию о взаимном расположении образования и зрительных нервов, зрительного перекреста и гипоталамуса. МРТ в корональной проекции также позволяет выявить латеральное распространение кисты за пределы турецкого седла и оценить ее расположение относительно внутренних сонных артерий и кавернозных синусов. Метод Магнитно резонанстной томографии превосходит КТ по возможностям мультипланарной визуализации и контрастного разрешения.
Преимуществом КТ является лучшее отображение небольших кальцинатов. Это преимущество значимо, потому что наличие кальцинатов может указать на альтернативный диагноз, например, на краниофарингиому, хотя кальцинаты небольших размеров иногда определяются при этом заболевании. КТ также превосходит МРТ в оценке ассоциированной перестройки костной ткани.
Что важно знать
Важно не перепутать Ратке с кистозной аденомой гипофиза. В случае аденомы среди жалоб отмечаются симптомы гормональных нарушений, нарушения зрения и головные боли. Нередко диагноз аденомы ставится тогда, когда у пациента Ратке, и наоборот. Для достоверного разграничения этих двух состояний бывает полезной экспертная расшифровка МРТ, проведенная опытным нейрорадиологом. Второе мнение помогает поставить точный диагноз.
Рентгенография турецкого седла
Кисты кармана обычно не вызывают увеличения области турецкого седла на обзорном рентгенографическом снимке черепа. У пациентов с симптоматическими кистами на обзорном рентгеновском снимке обычно определяется необычная конфигурация турецкого седла, от легкой асимметрии дна турецкого седла до массивных эрозий на кости. У некоторых пациентов отмечаются интра- или супраселлярные кальцинаты.
Достоверность диагностических данных, полученных при стандартной рентгенографии, достаточно низкая. Выявляемые изменения неспецифичны: им могут соответствовать другие часто встречающиеся изменения области турецкого седла, например, аномалии конфигурации турецкого седла или аденома гипофиза.
КТ при кисте Ратке
На КТ киста обычно выглядит в виде хорошо очерченного гиподенсного образования турецкого седла, иногда с распространением в супраселлярное пространство. Вследствие различного содержимого, они могут быть изоденсны или гиперденсны относительно паренхимы головного мозга.
Они обычно характеризуются тонкой стенкой, которая может накапливать контраст. Значительные различия в контрастном усилении разных кист на КТ-снимках могут отражать плоскоклеточную метаплазию стенки или смещение к периферии ткани гипофиза в виде ободка. Экстравазация кистного содержимого может вызывать воспаление подлежащих структур, что приводит к накоплению контраста.
Кальцинаты бывают редко. Сложные кисты могут иметь внутренние перегородки. Крупные могут вызывать перестройку костной ткани, расширение турецкого седла, остеопороз его спинки.
Снимков КТ недостаточно для подтверждения диагноза, поскольку полученные данные не позволяют однозначно исключить другую патологию. Простые могут быть неотличимы от арахноидальных или эпидермоидных кист. Более сложные бывает сложно отличить от краниофарингиомы или аденомы гипофиза. Поэтому диагноз должен быть поставлен на основании сочетания клинических, биохимических, патологоанатомических и радиологических данных.
МРТ при кисте кармана Ратке
МР-картина может быть очень различной (см. изображения ниже). Несмотря на то, что не было определено никаких специфичных МРТ-признаков, большинство можно разделить на следующие две группы:
1) С низкой интенсивностью сигнала на Т1-взвешенных изображениях и высокой интенсивностью на Т2-ввешенных изображениях
2) С высокой интенсивностью сигнала на Т1-взвешенных изображениях и вариабельной интенсивностью сигнала на Т2-взвешенных изображениях
![f4]()
Т1-взвешенное сагиттальное изображение, полученное до контрастного усиления: видна хорошо определяемая киста в зоне турецкого седла, изоинтенсивная спинно-мозговой жидкости. Отмечается соответствующая норме высокая интенсивность сигнала задней доли гипофиза сзади.
![f5]()
На Т1-взвешенном корональном изображении она видна рамером чуть менее сантиметра в центральной части турецкого седла. Слегка гиперинтенсивна по сравнению со спинно-мозговой жидкостью.
![f6]()
На этом Т2-взвешенном изображении она изоинтенсивна спинно-мозговой жидкости.
![f7]()
Крупная гиперинтенсивна по сравнению со спинно-мозговой жидкостью на аксиальном протонно-взвешенном изображении. Отмечается расширение турецкого седла с латеральным отклонением чуть заслоненной, но проходимой кавернозной частью внутренней сонной артерии.
Сделать МРТ гипофиза в Санкт-Петербурге
Содержимое первой группы напоминает спинномозговую жидкость (СМЖ). Во второй группе усиление сигнала на Т1-взвешенных изображениях связано с высоким уровнем содержания мукополисахаридов, что, как считается, является следствием увеличения числа муцин-секретирующих клеток в стенке, а также повышенной активности этих клеток.
Редкие случаи высокой интенсивности сигнала на Т1-взвешенных изображениях и низкой интенсивности на Т2-взвешенных изображениях связаны с сочетанием различных факторов, включающих в себя наличие мукополисахаридов, застарелое кровоизлияние, значительное содержание холестерина или клеточного детрита стенки кисты. Они практически всегда однородны по интенсивности сигнала, в то время как для других патологических образований, таких как краниофарингеомы и геморрагические аденомы, чаще характерна гетерогенность интенсивности сигнала.
Имеют тонкую стенку, которая может контрастироваться при вводе контрастных веществ на основе гадолиния. Различные варианты контрастирования гадолинием могут отражать плоскоклеточную метаплазию стенки или смещенную к периферии в виде ободка ткань гипофиза.
Данные по связи интенсивности сигнала и ее клинических проявлений очень редки. В 1997 году Takeichi с коллегами исследовали 78 пациентов, включая 9 собственных пациентов, и сообщили, что с интенсивностью сигнала, соответствующей спинно-мозговой жидкости, характеризовались медленным ростом, большим размером и часто вызывали зрительную симтоматику. Симптоматические с другой интенсивностью сигнала были меньшего размера.
Режим DWI-SSFSE со значениями ИКД может также быть использован в дифференциальной диагностике, краниофарингеом и геморрагических аденом гипофиза.
Насколько достоверна МРТ?
Нет ни одного характерного МРТ-признака, который можно было бы использовать для достоверной дифференциальной диагностики кист кармана Ратке и других кистозных образований селлярной или супраселлярной области. Простые могут быть неотличимы от арахноидальных или эпидермоидных кист. Более сложные может быть трудно отличить от краниофарингеомы или аденомы гипофиза.
Кистозные аденомы гипофиза могут напоминать первые при отсутствии солидного контрастируемого компонента на МРТ. Такие признаки, как наличие уровня жидкость-жидкость, гипоинтенсивного ободка на Т2-взвешенных изображениях, внутренних перегородок (септ), и расположение латеральнее срединной линии, чаще соответствуют аденомам гипофиза, в то время как наличие внутрикистного узла может быть чаще ассоциировано с темой исследований.
Вследствие значительного варьирования данных КТ и МРТ, для предоперационного установления диагноза требуется сочетание клинических, биохимических и радиографических данных. Дифференциальный диагноз очень важен, поскольку лечение и хирургический подход значительно отличаются от таковых при других возможных патологиях. При сомнениях в диагнозе можно получить второе мнение по МРТ гипофиза.
Лечение
Если не сопровождается клиническими симптомами, она не требует лечения. Рекомендуется наблюдение за ней в течение некоторого времени, при отсутствии роста — её можно оставить в покое.
При доказанной клинической симптоматике самым частым подходом в лечении является транссфеноидальная резекция, в ходе которой она частично иссекается и дренируется. Этот метод достаточно эффективен и помогает сохранить функциональную активность гипофиза. Радикальное иссечение может повлечь за собой дополнительное лишнее повреждение гипофиза и, таким образом, не является методом выбора. При транссфеноидальной резекции её вскрывают, получают образец биопсийного материала из стенки и устанавливают дренаж через клиновидную пазуху. Реконструктивные операции турецкого седла не требуются, за исключением тех случаев, когда имеет место интраоперационное истечение спинномозговой жидкости (ликворея). У тех пациентов, у которых этот метод неприменим вследствие затрудненного доступа, проводится краниотомия, обычно с использованием правого лобного лоскута.
Сроки постоперационного динамического наблюдения варьируют у разных пациентов от 1 недели до 26 лет (в среднем, 34 месяца). Исходом операции для большинства пациентов является разрешение или уменьшение выраженности симптомов. У пациентов с гипопитуитаризмом или с несахарным диабетом обычно не удается добиться улучшения. После операции наиболее значимое улучшение наступает со стороны исчезновения неврологической симптоматики (71%), а затем – офтальмологической (70% пациентов). У более, чем 65% наступает улучшение с аменореей, галактореей, олигоменореей. Головные боли и нарушения полей зрения исчезают у 82% и 70% пациентов, соответственно.
К хирургическим осложнениям относится истечение СМЖ через нос (у 7% пациентов), несахарный диабет (4% пациентов) и менингит (4% пациентов). Редким хирургическим осложнением, отмеченным Baskin, являлась перфорации носовой перегородки. Образование внутрикистного абсцесса является излечимым осложнением; его развитие следует заподозрить при радиологических признаках даже при отсутствии лихорадки. Хирургическое лечение и назначение антибиотиков являются эффективными у большинства пациентов.
Частота рецидивов после краниотомии в два раза превышает таковую после транссфеноидальной резекции. Кроме этого, отдельно отмечалось попадание содержимого в субарахноидальное пространство; это приводит к асептическому менингиту. В случае рецидива, наиболее оправданным методом является обширное удаление кисты; некоторые специалисты рекомендуют облучение гипофиза, хотя роль этого метода в предотвращении рецидивов остается неясной. Fager и Carter рекомендуют полную эвакуацию содержимого со свободным вскрытием ее стенки для лечения симптоматических кист кармана Ратке. Рецидивы после такой операции происходят редко.
Интересным аспектом лечения является её уменьшение в размерах под действие высокодозной терапии стероидными гормонами. Несмотря на то, что патофизиологический механизм такого лечения не ясен, достоверно показано, что стероидные гормоны оказывают эффект на секрецию и абсорбцию внутрикистной жидкости, что позволяет предположить, что терапия с использование глюкокортикостероидов может быть полезна пациентам с этим диагнозом, сопровождающимися воспалительными изменениями. Необходимы дальнейшие исследования для оценки эффективности этого метода в лечении.
Другим вариантом хирургического лечения является удаление интра- или супраселлярной кисты кармана Ратке эндоскопическим эндоназальным доступом под прямым зрительным контролем с целью хорошей визуализации и сохранения ткани гипофиза. Этот подход может улучшить течение постоперационного периода поскольку не вызывает заложенности носа и возможных проблем с дыханием.
Киста кармана Ратке
![Фото]()
Согласно статистике, приблизительно 1 % всех доброкачественных новообразований занимает киста кармана Ратке. Этот недуг возникает в головном мозге. Патологическое образование имеет овальную или округлую форму и локализуется преимущественно между передней и задней долями гипофиза. Наполнена киста кармана Ратке мукоидным и десквамированным эпителием. Размеры новообразования варьируются в пределах от нескольких миллиметров до 2-4 см. Сама киста не представляет особой угрозы организму человека. Однако при существенном увеличении в размерах новообразование может оказывать давление не близлежащие ткани и структуры и этим провоцировать ряд неприятных осложнений.
Информацию из данного раздела нельзя использовать для самодиагностики и самолечения. В случае боли или иного обострения заболевания диагностические исследования должен назначать только лечащий врач. Для постановки диагноза и правильного назначения лечения следует обратиться к профильному специалисту.
![Онлайн-консультация врача в Московской клинике]()
Симптомы заболевания
Довольно продолжительное время киста кармана Ратке может никак не проявляться. То есть ее течение не сопровождается характерными симптомами. В медицинской практике есть случаи, когда человек узнавал о наличии у себя новообразования только при диагностике других заболеваний. Клинические проявления начинают возникать лишь по мере роста кистозного образования. Его увеличение оказывает существенное давление на гипофиз и хиазму зрительного нерва. На фоне этого процесса появляются такие характерные симптомы:
- бессонница и другие расстройства сна;
- частое головокружение;
- галлюцинаций;
- частичная утрата памяти;
- сбои в координации движений;
- патологический шум и звон в ушах;
- неуверенная походка.
Лица, у которых развивается киста кармана Ратке, страдают от беспричинных приступов тошноты и рвоты. Иногда у больных наблюдаются психические расстройства и затуманенность и мыслей. Также примерно у 80 % пациентов этот недуг сопровождается патологиями эндокринной системы. Во многом наличие характерных проявлений и уровень их выраженности зависит от интенсивности давления, которое патологическое образование оказывает на соседние ткани, нервы и сосуды.
![Фото Киста кармана Ратке]()
Причины кисты кармана Ратке
Не смотря на стремительное развитие медицины, отчего именно появляется эта патология, доподлинно неизвестно. Но многие ученые, занимающиеся этим вопросом, выделяют определенные провоцирующие факторы. К самым распространенным относятся такие:
- генетическая предрасположенность;
- воздействие инфекционных заболеваний;
- воспалительные процессы;
- интоксикация;
- вирусные недуги, перенесенные в эмбриональный период;
- неконтролируемый прием некоторых медикаментов;
- влияние радиации или других видов облучения.
В ходе изучения патологии специалисты выделили определенных людей, которые входят в группу риска. Итак, наиболее подвержены этому заболеванию:
- люди, старше 45 лет;
- пациенты, у которых в анамнезе имеется воспаление мозга;
- люди, перенесшие или склонные к мозговым кровоизлияниям;
- лица, чья трудовая деятельность проходит на вредном производстве;
- пациенты, переболевшие энцефалитами.
Также спровоцировать патологию может длительное пребывание под прямыми солнечными лучами. Кроме того, немаловажную роль в развитии недуга играет наследственность. Так, люди в семейном анамнезе которых имеются родственники, перенесшие этот недуг больше подвержены его появлению.
К какому врачу обратиться?
Читайте также:










