Переломы ребер
Добавил пользователь Евгений Кузнецов Обновлено: 23.11.2025
Перелом ребер – самое распространенное повреждение грудной клетки. У пожилых людей переломы ребер встречаются чаще, что обусловлено возрастным уменьшением эластичности костных структур грудной клетки. Переломы ребер сопровождаются болью в груди и приводят к ограничению подвижности грудной клетки, по этой причине дыхание становиться более поверхностным, что может вызвать нарушение легочной вентиляции. Множественные переломы ребер могут сопровождаться повреждением органов грудной клетки и представлять опасность для жизни пациента. Диагноз перелома ребер выставляется на основании данных рентгенографии, при необходимости проводится УЗИ -диагностика.
Причины
Спровоцировать перелом может любое воздействие, в качестве такового может выступать прямой удар, ДТП и т.д.
Классификация переломов ребер
Бывают двусторонние переломы, вследствие которых грудная клетка теряет необходимую устойчивость, а также происходит опасное нарушение вентиляции легких. Также случаются так называемые окончатые переломы, т.е. переломы в двух местах с одной стороны. Чаще всего переломы ребер встречаются у людей старше 40 лет. Это связано с изменениями костной ткани, которые происходят в организме человека в силу возраста. В детстве переломы ребер случаются чрезвычайно редко, поскольку детская грудная клетка обладает большой эластичностью.
Также существует следующее разделение переломов ребра: не осложненный и осложненный (повреждение тканей легкого (гемоторокс и пневмоторокс).
Симптомы
Симптомы, которые сопровождают перелом ребер:
- боль - она возникает в области перелома, усиливается при движениях, вдохе и выдохе, кашле. Уменьшение болевых ощущений возможно в покое и в положении сидя,
- поверхностное дыхание и отставание в дыхании той половины грудной клетки, где имеется травма,
- отек тканей в области повреждения,
- гематома в месте перелома — актуальна при травматическом переломе, явившемся результатом прямого механического воздействия,
- звук трущихся костей или хруст во время травмирования- актуально для переломов с большим количеством отломков, либо для множественных переломов одного ребра без смещения отдельных частей поврежденной кости.
Диагностика
Для диагностики перелома ребер используются следующие методы обследования:
клиническое обследование, рентген грудной клетки.
По мере необходимости, в зависимости от конкретной клинической ситуации, данные методы обследования могут быть дополнены другими КТ и ультразвуковым обследованием грудной клетки.
Лечение
Множественные и осложненные переломы требуют стационарного лечения. Изолированные неосложненные переломы одного-двух ребер, как правило, не требуют госпитализации, и лечатся амбулаторно.
Как правило, неосложненные переломы одного-двух ребер хорошо срастаются, и не требуют каких-либо специальных манипуляций. Пострадавшим рекомендован щадящий режим, дыхательная гимнастика, обезболивающие препараты, отхаркивающие средства.
© 2001-2022 Профилактическая медицина
Перелом ребер
Перелом ребер – это повреждение грудной клетки. Согласно статистике, по распространенности заболевание составляет около 16% от других видов переломов. В пожилом возрасте из-за уменьшения эластичности костных структур оно встречается чаще.
Если перелом ребра ничем не осложнен (40% случаев), он не представляет угрозы для здоровья пациента. Опасность травмы заключается в повреждении внутренних органов и нарушении функции дыхания (60% случаев). Множественные переломы могут привести к развитию плевропульмонального шока и нередко вызывают опасные для жизни состояния.
Причины перелома ребер
В клинической практике переломы ребер условно делят на две группы:
- возникшие в здоровых костях под действием сильного механического стимула;
- возникшие в функционально и структурно измененных костях под действием минимальной силы.
К перелому ребер могут привести:
- Удары тупым предметом в грудную клетку. Если удар несильный, повреждаются только верхние слои кожи и мышцы, если сильный — ломаются ребра.
- Дорожно-транспортные происшествия. Обычно к перелому приводит соударение грудной клетки водителя с рулем, возникшее в результате столкновения/резкого торможения. При этом кость чаще ломается в области подключичной артерии. Если же травма возникает у пешехода из-за столкновения с машиной, диагностируются несимметричные множественные переломы.
- Травмы, полученные во время занятий спортом.
- Падение с высоты. Сила повреждения костей грудной клетки зависит от скорости падения, свойств поверхности, на которую упал человек.
- Сдавливание тела между двумя предметами. Возникающее симметричное давление на ребра провоцирует двусторонний перелом ребер, костей черепа или таза. При этом кожные покровы и слизистые оболочки повреждаются редко.
Что касается паталогических переломов ребер, возникающих в функционально и структурно измененных костях, то их появлению способствуют следующие заболевания:
- метастазы злокачественных опухолей в костях;
- ревматоидный артрит;
- первичные опухоли костного мозга, костной ткани;
- приобретенное/врожденное отсутствие грудины;
- генетические аномалии развития скелета грудной клетки;
- остеопороз.
У детей переломы ребер встречаются реже, чем у взрослых. Это объясняется большей эластичностью грудной клетки в детском возрасте.
Симптомы перелома ребер
Симптомы при переломе ребер зависят от количества поврежденных костей, наличия сопутствующих патологий, а также степени поражения внутренних органов. Если сломано одно-два ребра, возникают нижеперечисленные признаки:
- Боль в месте полученной травмы. Болевой синдром является следствием раздражения костными отломками нервных окончаний, пристеночной плевры, а также разрыва мышечных тканей. Во время разговора, кашля дискомфорт усиливается.
- Поверхностное и частое дыхание. Сильная боль при переломе ребер делает невозможным глубокий вдох, поэтому больной дышит часто и поверхностно. Если произошел ушиб сердца или легкого, развивается дыхательная недостаточность.
- Принятие больным специфической позы. Чтобы уменьшить боль, пациент наклоняется в сторону поломанного ребра либо сдавливает грудную клетку с обеих сторон руками. Это позволяет снизить амплитуду дыхательных движений и уменьшить болевые ощущения во время вдоха.
- Симптом «оборванного вдоха». Пытаясь сделать глубокий вдох (даже медленно), больной начинает ощущать резкую боль, из-за которой его вдох как бы обрывается.
Если необходимо отличить перелом ребра от ушиба, внимание уделяется субъективным симптомам:
- Грудная клетка деформируется. Если сломано несколько ребер, в области груди наблюдается небольшой прогиб. Пораженная сторона будто бы уменьшается в объеме. Такой эффект возникает из-за укорочения ребер при смещении образовавшихся костных отростков.
- В области перелома появляется припухлость, отек (гематома). Развивается выраженный воспалительный процесс.
- Наличие специфического звука и тактильного ощущения, возникающего при смещении отломков костей друг относительно друга (крепитация).
- Наличие открытых ран в области грудной клетки.
- Образование подкожной эмфиземы. Из-за повреждения главных бронхов и трахеи воздух попадает в средостение и оттуда поступает под кожу шеи.
При подозрении на перелом ребер больной должен незамедлительно обратиться за квалифицированной медицинской помощью, чтобы избежать развития опасных для жизни осложнений.

Диагностика перелома ребер
Для того чтобы понять, перелом ребер у пациента или ушиб, травматологи используют следующие методы:
- Осмотр, выслушивание и выстукивание грудной клетки (позволяет определить, есть ли скопления воздуха и крови в плевральной полости).
- Рентген грудной клетки. Обычно поставить верный диагноз помогает обзорная рентгенограмма в переднезадней проекции. На снимке хорошо видна локализация переломов и их количество.
- Ультразвуковое исследование грудной клетки. Используется для диагностики перелома ребер у маленьких детей, а также для выявления наличия крови в плевре.
- Компьютерная томография. Дает возможность детально обследовать каждое поврежденное ребро, выявить изменения в структуре сердца, легких, кровеносных сосудов.
Как лечить перелом ребер
Первая медицинская помощь при переломе ребер заключается во введении больному обезболивающего средства, например, одного миллилитра раствора Промедола (2%). Если предстоит транспортировка, грудную клетку туго бинтуют.
По приезду в стационар лечение перелома ребер осуществляется по следующей схеме:
- Введение новокаина либо другого местного анестетика в область перелома. Это позволяет на время снизить чувствительность нервных волокон и уменьшить боль. Если необходимо, новокаиновую блокаду повторяют несколько раз. Если имеются противопоказания к использованию новокаина, врачи прибегают к помощи наркотических обезболивающих средств.
- Наложение круговой недавящей на ребра повязки. Молодым пациентам, которые могут долго носить гипсовую повязку, накладывается гипсовый корсет. Он уменьшает амплитуду движений, стабилизирует костные отломки, минимизирует болевой синдром и обеспечивает стимуляцию брюшного типа дыхания.
- Иммобилизация образовавшихся костных отломков специальными приспособлениями. В ситуации двустороннего перелома ребер или при образовании массивных реберных панелей производится установка пластин. Они отвечают за удержание костей в правильном положении до тех пор, пока те полностью не срастутся. Данный лечебный метод требует длительного постельного режима, поэтому используется только в крайних случаях.
В целом лечение перелома ребер в домашних условиях не предполагает постоянного постельного режима. Больному необходимо меньше двигаться, больше сидеть, выполнять легкую дыхательную гимнастику. Важно исключить физические нагрузки, резкие движения.
Лекарства, используемые при лечении перелома ребер
При переломе ребер больной должен точно выполнять врачебные рекомендации. Обычно лечение проводится с помощью нестероидных противовоспалительных препаратов, наркотических и ненаркотических обезболивающих средств:
- Диклофенака;
- Нимесила;
- Напроксена;
- Ибупрофена;
- Морфина;
- Промедола и некоторых других.
- Цефтриаксон;
- Амоксиклав и др.
Для повышения эффективности антибактериального лечения выбору средства предшествует микробиологическое исследование гнойных выделений, мокроты и других имеющихся патологических материалов.
Хирургическое лечение перелома ребер
Хирургическое лечение перелома ребер осуществляется крайне редко — при наличии серьезных осложнений, делающих самостоятельное восстановление невозможным. Так, показаниями к операции являются:
- Пневмоторакс. Из плевральной полости удаляется избыток воздуха. Для этого туда вводится трубка, подключенная к вакуумному насосу.
- Открытая рана грудной клетки. Проводится первичная обработка краев раны, хирургом удаляются нежизнеспособные фрагменты тканей. Выполняется перевязка кровоточащих сосудов, вводятся антибиотики.
- Сильное смещение костных отломков. Производится сопоставление и фиксация отломков сломанных ребер.
- Гемоторакс. Выполняется удаление крови из плевральной полости. Для этого туда вводится трубка, соединенная со специальным откачивающим оборудованием. Если кровотечение в полости плевры самостоятельно не прекращается, проводится открытая операция, направленная на перевязку кровоточащего сосуда.
- Внутреннее кровотечение, повреждение крупных кровеносных сосудов и сердца. Хирургическое лечение нацелено на восстановление целостности жизненно важных органов.
Также операция при переломе ребер может проводиться, если диагностирован тяжелый ушиб легкого, в полости плевры или в раневом канале находится инородный предмет, а также возникли сильные повреждения органов брюшной полости.
Сроки лечения перелома ребер
То, как быстро срастется перелом ребер, зависит от ряда факторов:
- возраста пациента (у пожилых людей выздоровление занимает больше времени);
- общее состояние здоровья;
- наличие смещений, отломков;
- количество сломанных ребер;
- правильность назначенного лечения.
Обычно сращение неосложненных переломов занимает у взрослых людей от 3 до 5 недель, у детей — от 2 до 3 недель. После этого периода трудоспособность пациентов полностью восстанавливается. При наличии серьезных осложнений, а также в случае хирургического лечения заболевания реабилитация может занять около двух месяцев.
Диета при переломе ребер
Во время лечения перелома ребер важно отдавать предпочтение продуктам питания, содержащим большое количество кальция. Подойдут:
- молоко, йогурты, творог, сметана, сыр;
- миндаль;
- льняное семя;
- зеленые овощи (спаржевая фасоль, брокколи);
- патока;
- лосось, сардины;
- овсяные хлопья;
- апельсиновый сок;
- тофу.
Опасность перелома ребер
Перелом ребер может приводить к повреждению межреберных суставов, органов дыхательной и сердечно-сосудистой систем. Из-за поверхностного и слишком частого дыхания у больных нередко наблюдаются застойные явления, посттравматическая пневмония.
Опасность для жизни человека представляет повреждение осколками костей сердца, легких, трахеи, плевральных мешков, крупных кровеносных сосудов.
Профилактика перелома ребер
Возникновение перелома ребра не всегда можно предотвратить. Профилактические меры направлены на снижение риска перелома. К ним относятся:
- исключение чрезмерных физических нагрузок;
- отказ от занятия экстремальными видами спорта;
- грамотное выполнение физических упражнений;
- употребление в пищу продуктов, богатых кальцием;
- отказ от курения, употребления спиртных напитков.
Данная статья размещена исключительно в познавательных целях и не является научным материалом или профессиональным медицинским советом.
Перелом ребер

Среди всех видов переломов, переломы ребер встречаются в 16 случаях из ста. Чем старше человек – тем выше вероятность получить такую травму. Это связано с возрастными изменениями в структуре костей, снижением их эластичности.
Причины перелома ребер
Перелом возникает чаще всего вследствие одной из причин:
- Падение.
- Прямое повреждение – удар в область грудной клетки.
- Сдавливающее воздействие на грудную клетку.
Среди косвенных причин появления переломов могут оказаться онкологические заболевания и опухоли, остеопороз, инфекционные заболевания.
Симптомы перелома ребер
При переломе ребер проявляются следующие признаки:
- Резкая боль в груди, которая слабеет в состоянии покоя и усиливается при чихании, кашле, разговоре, дыхании.
- Поверхностное дыхание.
- Болезненность пальпации места перелома.
- Хруст сломанных костей.
- Отечность тканей.
Диагностика перелома ребер
Для постановки диагноза собираются клинические данные. Проводятся:
- Осмотр и опрос пациента. .
- Клинические анализы крови и мочи. при необходимости.

Лечение перелома ребер
В несложных случаях используется:
- Местная анестезия, анальгетики, отхаркивающие.
- Ваго-симпатическая блокада.
- Физиотерапия.
- ЛФК.
Осложненные переломы лечатся с применением:
- Антибиотиков.
- Пункции для удаления воздуха, дренирование плевральной полости при необходимости.
- Фиксации.

Оперативное вмешательство показано при множественных переломах с разрывами бронхов и другими осложнениями, опасными для жизни пациента.
Осложнения при отсутствии лечения
Если помощь не будет оказана вовремя, могут возникать такие опасные ситуации, как:
- Повреждение органов осколками.
- Скопление газа и крови в плевральной области.
- Плеврит, пневмония.
- Подкожная эмфизема.
К какому врачу обратиться
Если есть подозрение на перелом ребер, необходимо как можно скорее обратиться к травматологу. Посетить травматологию в Москве можно в клинике ЦКБ РАН. Современное оборудование и квалифицированные врачи клиники – залог точной постановки диагноза и корректного лечения. Записаться на прием можно по номерам, указанным на сайте, или через форму записи онлайн.
Перелом ребра

Самым распространенным вариантом повреждения грудной клетки остается перелом ребра. Под этим термином специалисты понимают нарушение целостности одного или нескольких ребер в результате внешнего воздействия: травмы, ушиба, сдавления.
Причиной перелома ребра может послужить сильный удар в грудь, падение, попадание в завал под тяжелые предметы, при этом чаще всего кость ломается в месте наибольшего изгиба – на боковой поверхности грудной клетки.
Различают односторонние переломы, когда одно или несколько ребер травмируется только с одной стороны грудины, и двусторонние, которые затрагивают обе стороны грудной клетки. При двусторонних травмах наблюдается потеря устойчивости грудины и нарушение вентиляции легких.
Кроме того, выделяют следующие виды переломов ребер:
- трещины;
- поднадкостничный перелом;
- полный перелом.
В случае, когда фрагменты кости при травме прогибаются внутрь, повреждая органы и ткани, говорят о прямом воздействии. Непрямое воздействие характеризуется сдавливанием грудной клетки, поэтому ребра ломаются со стороны сжатия.
Симптомы
Ключевыми признаками перелома или трещины ребра являются:
- тупая, ноющая боль в грудной клетке, которая усиливается при движении, кашле, глубоком вдохе;
- частое поверхностное дыхание;
- вынужденное положение тела, при котором меньше всего ощущается дискомфорт;
- деформация грудной клетки;
- ссадины и другие видимые повреждения в районе травмы.
При нарушении целостности нижних ребер симптомы перелома или трещины могут имитировать поражение внутренних органов брюшной полости; боль при этом отдается в нижнюю часть живота, а проблемы с дыханием, зачастую, отсутствуют.
Диагностика
Для определения точного диагноза используются:
- клинический осмотр, в ходе которого на основании видимых признаков перелома ребра определяется, какие повреждения получил пострадавший;
- обзорная рентгенография грудной клетки, которая позволяет уточнить локализацию, характер и степень травмы, выявить наличия воздуха или крови в плевре;
- УЗ-исследование грудной клетки, помогающее оценить уровень повреждения мягких тканей и работу кровеносных сосудов.
В сложных ситуациях при множественных трещинах и сколах ребер рационально использовать компьютерную томографию, которая наглядно показывает даже незначительные изменения в костных структурах и органах грудины.

Воспользуйтесь уникальной возможностью и получите бесплатную консультацию по поводу плановой операции. Подробнее.

Операции при переломах ребер
К сожалению, консервативная тактика лечения при сложных переломах ребер и трещинах малоэффективна. В легких случаях допустимо временное наложение тугой повязки для ограничения смещения костных отломков.
При открытых ранах, кровотечении, повреждении внутренних органов костными фрагментами, при травмах со смещением помочь может только хирургическое вмешательство. В зависимости от тяжести и характера перелома хирурги используют несколько вариантов оперативной терапии.
- Реберный остеосинтез. Заключается в сопоставлении обломков костей с последующим фиксированием элементов с помощью специальных приспособлений.
- Открытая репозиция. Методика предполагает ручное соединение расходящихся костных фрагментов в ходе открытой операции на грудной клетке.
- Закрытая репозиция. Подразумевает сопоставление элементов ребер с помощью специальных аппаратов без разрезания мягких тканей.
Во время операции также проводится дренирование плевральной полости в случае, если там скапливаются кровь или воздух.
Переломы ребер срастаются у каждой возрастной категории по-разному. Чем моложе организм, тем выше шансы на скорейшее восстановление. Однако многое зависит от сопутствующих травм и заболеваний, образа жизни пациента, качества проводимого лечения.
Реабилитация
Скорость восстановления после перелома ребер зависит от тяжести исходного состояния, сопутствующих заболеваний и возможных последствий травмы. В среднем, этот период занимает от 3 недель до 4 месяцев.
Во время реабилитации необходимо:
- выполнять дыхательную гимнастику;
- ограничить спортивные занятия и чрезмерные физические нагрузки;
- регулярно заниматься лечебной физкультурой;
- употреблять больше продуктов, богатых белком и кальцием;
- тщательно соблюдать все врачебные инструкции.
Любые. Даже стабильное первоначальное состояние всего за считанные секунды может перерасти в угрозу для жизни и здоровья пострадавшего. Повреждения грудной клетки чреваты нарушением работы сердца, сосудов, органов дыхания, что может привести к необратимым последствиям.
Нужно отметить, что доврачебную помощь необходимо оказывать не всегда. Если пострадавший не испытывает признаков удушья, находится в сознании, лучше оставить все, как есть, до приезда медиков. В иных случаях нужно обеспечить приток свежего воздуха, устроить пациента в полусидящее положение с опорой на спину и внимательно следить за состоянием до появления врачей.
Соколов, В.А. Дорожно-транспортные травмы: руководство для врачей. — М.: ГЭОТАР Медиа, 2009.
Корнилов, Н. В. Травматология и ортопедия: учебник / под ред. Н. В. Корнилова, А. К. Дулаева. - 4-е изд., перераб. и доп. - Москва: ГЭОТАР-Медиа, 2020.
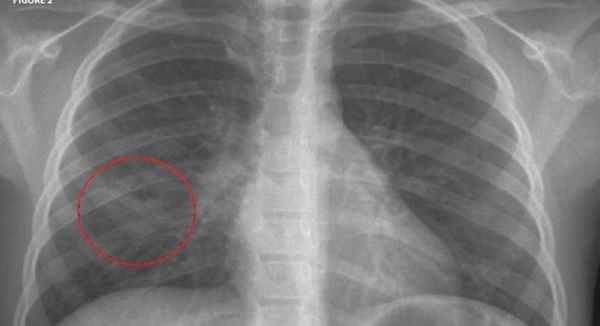
Перелом ребер
В типичных случаях переломы ребер являются результатом тупой травмы грудной клетки под действием значительной внешней силы (например, возникающие при резкой остановке автомобиля, ударе бейсбольной битой, серьезных падениях); однако у пожилых людей переломы ребер возникают под действием минимальных или умеренных усилий (например, при обычном падении). Если сломаны 3 и более смежных ребра в 2 различных местах, то результатом движения каждого повреждённого сегмента будет флотирующая грудная клетка Патологическая подвижность грудной клетки Патологическая подвижность грудной клетки возникает при множественных переломах 3-х и более смежных ребер, в результате чего сегмент грудной стенки движется отдельно от остальной части грудной. Прочитайте дополнительные сведения .
Здравый смысл и предостережения
Малая травма (например, по причине падения) у пожилых людей может привести к переломам ребер, которые могут иметь фатальные последствия.
Могут происходить сочетанные повреждения грудной клетки, в том числе следующие:
Травмы аорты, сердца и подключичной области (не типичны, но могут возникнуть при резком снижении скорости, особенно при переломах I и II ребра)
Травмы селезенки и брюшной полости (при переломах любого из ребер с VII по XII)
Трахеобронхиальные повреждения (не часто)
Осложнения
Большинство осложнений при переломах ребер происходит в результате сопутствующих травм. Переломы отдельных ребер являются болезненными, но редко вызывают осложнения. Однако, ограничение дыхания (неполный вдох по причине боли) может стать причиной развития ателектазов Ателектаз Ателектаз - это спадение легочной ткани с потерей объема легкого. При обширном ателектазе пациенты могут испытывать одышку или респираторную недостаточность. Также у них может развиваться пневмония. Прочитайте дополнительные сведенияСимптомы и признаки перелома ребер
Боль усиливается при движении туловища (включая кашель и глубокое дыхание), длится в течение нескольких недель. Поврежденные ребра являются достаточно чувствительными; иногда врач может обнаружить крепитацию над поврежденным ребром как сегмент перелома с движением при пальпации.
Диагностика перелома ребер
Обычно проводят рентгенографическое исследование грудной клетки
Пальпация грудной стенки может выявить наличие нескольких переломов ребер. Некоторые врачи считают, что у здоровых пациентов с незначительной травмой адекватной является клиническая оценка. Тем не менее, для пациентов с клинически значимой тупой травмой обычно проводят рентгенографическое исследование грудной клетки, с целью выявления сопутствующих травм (например, пневмоторакса, ушиба легких Ушиб легкого Ушибом легкого называют посттравматическое кровоизлияние и отек легких без разрыва. (См. также Обзор торакальной травмы (Overview of Thoracic Trauma)). Ушиб легкого является частой и потенциально. Прочитайте дополнительные сведения ). Многие переломы ребер не заметны на рентгенограммах грудной клетки; в этих случаях могут быть проведены специфические исследования визуализации ребер, но идентификация всех случаев переломов ребер с использованием рентгенографии не является необходимой. Выполняют другие тесты, направленные на выявление сочетанных повреждений, заподозренных клинически.
Лечение перелома ребер
Лечение переломов ребер обычно требует применения опиоидных анальгетиков, несмотря на то, что опиоиды могут также угнетать дыхание и ухудшать ателектаз Ателектаз Ателектаз - это спадение легочной ткани с потерей объема легкого. При обширном ателектазе пациенты могут испытывать одышку или респираторную недостаточность. Также у них может развиваться пневмония. Прочитайте дополнительные сведенияДля минимизации легочных осложнений пациент должен умышленно и часто (например, каждый час во время бодрствования) глубоко дышать или кашлять. Удерживание (практически шинирование) пораженной области плоскостью ладони руки или с использованием подушки способствует уменьшению болевых ощущений при глубоком дыхании или кашле. Больных госпитализируют, если у них 3 перелома и больше или есть признаки сердечно-легочной недостаточности. Иммобилизации (например, тугой повязкой) следует избегать: это ограничивает дыхательные движения и может предрасполагать к ателектазу и пневмонии. Если пациенты не могут кашлять или глубоко дышать, несмотря на пероральное или внутривенное использование анальгетиков, может назначаться эпидуральное введение лекарственных средств или блокада межреберных нервов.
Отдельным пациентам может быть полезна хирургическая стабилизация переломов ребер, особенно с флотацией грудной клетки с дыхательной недостаточностью или продолжающейся нестабильностью грудной стенки, деформацией или болью из-за несращения или неправильного сращения ( 1 Справочные материалы по лечению Тупая травма грудной клетки может привести к перелому одного или нескольких ребер. (См. также Обзор торакальной травмы (Overview of Thoracic Trauma)). Этот рентгеновский снимок грудной клетки. Прочитайте дополнительные сведенияСправочные материалы по лечению
Ключевые моменты
Случаи заболеваемости поврежденных подлежащих легких, селезенки или сосудов, а также развитие пневмонии, обусловлены ригидностью мышц, а не переломами ребер как таковыми.
Идентификация всех переломов ребер с применением рентгенографического исследования обычно не требуется.
Болевые ощущения могут быть очень серьезными и длиться в течение нескольких недель; в этом случае, как правило, назначают прием опиоидных анальгетиков.
Следует избегать тугого бинтования и применения липкой ленты, поскольку это ограничивает дыхательные движения и может предрасполагать к развитию ателектаза и пневмонии.
Авторское право © 2022 Merck & Co., Inc., Rahway, NJ, США и ее аффилированные лица. Все права сохранены.
Читайте также:
