Перикардит: причины, симптомы и лечение
Добавил пользователь Алексей Ф. Обновлено: 09.01.2026
Сухой перикардит – воспаление околосердечной сумки с отложением нитей фибрина между его париетальным и висцеральным листками. Признаками сухого перикардита служат боль за грудиной, усиливающаяся при глотании, дыхании, кашле; миалгия, слабость, лихорадка, одышка, шум трения перикарда. Диагностика сухого перикардита основана на аускультативных данных, лабораторных тестах, показателях ЭКГ, ЭхоКГ и рентгенографии, КТ и МРТ. При выявлении сухого перикардита назначаются НПВС, глюкокортикостероиды.

Общие сведения
Сухой перикардит – острое воспаление перикардиальных листков, сопровождающееся выпадением фибрина на их поверхность. В кардиологии перикардит является наиболее частой формой поражения перикарда, которая, по данным аутопсий, диагностируется в 2-6% случаев. Наиболее тяжелым течением отличаются констриктивный перикардит, гнойный перикардит, экссудативный перикардит.
Сухой перикардит служит самой распространенной формой воспаления перикарда и наиболее ранней стадией развития других этиологических форм перикардита. Ведущий морфологический признак сухого перикардита - образование фибринозного экссудата и отложение нитей фибрина на листках перикарда, что затрудняет их скольжение относительно друг друга.

Причины сухого перикардита
Этиология сухого перикардита может быть различной. Обычно сухой перикардит развивается при вирусном поражении сердечной сорочки вирусом Коксаки и энтеровирусом ECHO. Вторичный сухой перикардит может быть обусловлен ревматизмом: в таких случаях перикард редко поражается изолированно и обычно сочетается с вовлечением в воспалительный процесс эндокарда и миокарда, заставляя говорить о тяжелом заболевании сердца – панкардите. В ревматологии также встречаются сухие перикардиты, сопровождающие течение системной красной волчанки, склеродермии, ревматоидного артрита, подагры.
Следующей по частоте причиной сухого перикардита служит туберкулез. Сухой перикардит туберкулезной этиологии нередко протекает параллельно с туберкулезом плевры и брюшины. Возможно развитие сухого перикардита при терминальной хронической почечной недостаточности (азотемической уремии). Сухой перикардит может диагностироваться при трансмуральном инфаркте миокарда (эпистенокардитический перикардит). К более редким, но потенциально возможным причинам сухого перикардита относят крупозную пневмонию, опухоли средостения, бронхогенный рак, сепсис, цингу, брюшной тиф, травмы сердца и пр.
Патогенез сухого перикардита
Сухой перикардит относится к острому воспалению перикарда, которое длится 2-3 недели. Исходом сухого перикардита служит либо излечивание, либо переход в экссудативный или слипчивый перикардит. С учетом распространенности поражения перикардиальных листков различают ограниченный и распространенный сухой перикардит.
Строго говоря, термин «сухой перикардит» является несколько формальным, поскольку воспаление сопровождается пропотеванием в полость перикарда жидкой части плазмы, богатой белками крови, в т. ч. фибриногеном. Однако в дальнейшем жидкая фракция всасывается, а фибриноген откладывается на перикардиальных листках в виде фибрина. Постепенно фибринозные массы утолщаются, плотно срастаясь с подлежащей тканью. Наибольшее количество фибрина скапливается в атриовентрикулярной борозде. Тяжи фибрина тянутся между листками перикарда; обрываются при вскрытии, придавая «лохматый» вид сердцу («сог villosum» - так называемое ворсинчатое или волосатое сердце). При сухом перикардите в воспаление часто вовлекаются субэпикардиальные слои миокарда.
При благоприятном исходе сухого перикардита фибрин полностью расплавляется под действием ферментов и всасывается листками перикарда. В противном случае происходит организация фибрина с образованием рубцовой ткани, ведущая к утолщению перикарда или сращению его листков.
Симптомы сухого перикардита
Сухой перикардит чаще манифестирует с неспецифических проявлений: недомогания, повышенной утомляемости, слабости, снижения аппетита, потливости, субфебрилитета, познабливания. Как правило, воспаление перикарда сопровождается выраженной загрудинной болью, обусловленной раздражением нервных рецепторов сердечной сумки или вовлечением в воспаление плевры и нервных стволов. Боли при сухом перикардите могут иметь ноющий, режущий, колющий, жгучий, царапающий характер; их интенсивность варьирует от слабой, едва ощутимой до сильной, напоминающий ангинозные или инфарктоподобные.
Усиление болей происходит при глубоком вдохе, глотании, кашле, в положении на левом боку, при надавливании на грудную клетку. Облегчение отмечается в положении сидя, лежа на правом боку, при наклоне туловища вперед, в коленно-локтевом положении. В зависимости от зоны воспалительного очага, боли могут локализоваться за грудиной и иррадиировать в шею, левое плечо, спину либо располагаться в эпигастрии, симулируя острый живот.
Из-за резкой болезненности вдоха пациенты с сухим перикардитом дышат поверхностно и жалуются на нехватку воздуха. Нередко возникает сухой кашель, который не приносит облегчения, а лишь усиливает боль. Раздражение диафрагмальных нервов при сухом перикардите может сопровождаться икотой, тошнотой и рвотой, дисфагией.
В отличие от стенокардии, боли при сухом перикардите не купируются нитратами, не иррадиируют в кисть и присутствуют постоянно, что служит важными дифференциально-диагностическими признаками. Бурно развивающийся сухой перикардит может протекать с резкой интенсивным болевым синдромом, артериальной гипотонией, аритмиями – в этом случае его следует отличать от инфаркта миокарда.
Диагностика сухого перикардита
Диагноз сухого перикардита устанавливается в процессе динамического наблюдения, оценки аускультативных данных, изменений ЭКГ, исследования кардиоспецифических ферментов, ЭхоКГ, рентгенографии грудной клетки, иногда – МСКТ и МРТ сердца.
Патогномоничным объективным признаком сухого перикардита служит шум трения перикарда, выслушиваемый в прекардиальной области. Шум трения перикарда может иметь только систолический компонент, два компонента - систолический и диастолический или три компонента - пресистолический, систолический и диастолический. В последнем случае сухой перикардит следует отличать от митрального стеноза.
Электрокардиографические изменения при сухом перикардите характеризуются подъемом SТ сегмента, депрессией PR (PQ)сегмента. Через несколько суток ST сегмент возвращается к норме, а зубец Т становится отрицательным. Рентгенологически при сухом перикардите может обнаруживаться небольшое увеличение сердца. Эхокардиография выявляет утолщение листков перикарда.
При исследовании биохимических показателей крови обращает внимание повышение активности трансаминаз, креатинфосфокиназы, лактатдегидрогеназы, изофермента КФК-МВ. При вероятной аутоиммунной этиологии сухого перикардита исследуются ревматоидный фактор, уровень комплемента, антинуклеарные антитела. Подозрение на туберкулезный перикардит диктует необходимость организации консультации фтизиатра, проведения туберкулиновых кожных проб, ПЦР-диагностики.
Лечение сухого перикардита
При сухом перикардите проводится этиотропная и симптоматическая терапия. Этиотропное лечение направлено на устранение основного заболевания, вызвавшего развитие сухого перикардита.
Симптоматическая терапия сухого перикардита включает назначение НПВП (индометацина, ибупрофена, ацетилсалициловой к-ты и др); при отсутствии желаемого эффекта показан прием глюкокортикостероидов (преднизолона). Альтернативным методом лечение является прием колхицина в комбинации с НПВП или в качестве монотерапии.
Прогноз и профилактика сухого перикардита
Обычно под влиянием проводимой терапии сухой перикардит разрешается в течение 2-х недель. В 10–15% случаев в ближайшие месяцы возможен рецидив сухого перикардита, что заставляет думать об аутоиммунных механизмах. Обычно неблагоприятно протекает уремический перикардит.
Больным, перенесшим сухой перикардит, необходим ЭхоКГ-контроль для исключения наличия выпота в перикарде. Течение сухого перикардита может осложняться экссудативным перикардитом с тампонадой сердца (15%), констриктивный перикардитом (10%). Профилактика сухого перикардита подразумевает раннее начало активного этиопатогенетического лечения основного заболевания.
Экссудативный перикардит ( Выпотной перикардит )
Экссудативный перикардит – это воспаление серозного перикарда, сопровождающееся накоплением выпота в перикардиальном пространстве. Признаками экссудативного перикардита могут быть тяжесть и боль в груди, одышка, дисфагия, кашель и осиплость голоса, отечность лица, набухание шейных вен, симптомы сердечной недостаточности и тампонады сердца. Установить диагноз помогают результаты рентгенографии, ЭхоКГ и ЭКГ, мультиспиральной КТ, пункции перикарда. Лечение включает прием НПВС, кортикостероидов, терапию основного заболевания (антибиотики, цитостатики, противотуберкулезные препараты и т.д.), по показаниям - пункцию перикарда, перикардэктомию.
МКБ-10

Экссудативный (выпотной) перикардит протекает как осложнение или клиническое проявление различных заболеваний сердца, легких и других внутренних органов. Формирование экссудативного перикардита в большинстве случаев включает стадию сухого перикардита, реже экссудат накапливается в перикардиальной щели с самого начала. Образование экссудата обусловлено повышением проницаемости сосудов серозной оболочки сердца при воспалительном процессе в перикарде.
Причины
Экссудативный перикардит редко наблюдается как самостоятельная патология, обычно он является частным проявлением полисерозита или следствием другого заболевания, приводящего к повреждению перикарда. По происхождению выделяют инфекционные (специфические и неспецифические), неинфекционные (иммуногенные, токсические, механические) и идиопатические экссудативные перикардиты.
Инфекционные перикардиты
Неспецифические инфекционные перикардиты чаще вызываются:
- кокковыми формами бактерий (стафилококком, стрептококком, пневмококком)
- вирусами (гриппа, ECHO, Коксаки).
Специфические перикардиты могут быть этиологически связаны с возбудителями:
- туберкулеза;
- брюшного тифа;
- бруцеллеза;
- туляремии;
- грибковых инфекций (при кандидозе, гистоплазмозе);
- паразитарных заболеваний (при амебиазе, эхинококкозе);
- риккетсиозов.
Туберкулезный экссудативный перикардит часто возникает при лимфогенном проникновении микобактерий из средостенных и трахеобронхиальных лимфоузлов в перикард. Гнойный экссудативный перикардит может развиться после операций на сердце, при инфекционном эндокардите, на фоне иммуносупрессивной терапии, при прорыве абсцесса легкого.
Неинфекционные перикардиты
Во многих случаях этиологию неинфекционного экссудативного перикардита установить не удается. Среди диагностированных причин по распространенности лидируют:
- злокачественные опухоли перикарда (мезотелиома);
- инвазии и метастазы при раке легкого, раке молочной железы, лейкозах, лимфоме;
- диффузные заболевания соединительной ткани (ревматизм, системная красная волчанка);
- аллергические процессы (сывороточная болезнь);
- уремия в терминальной стадии ХПН;
- облучение средостения;
- ранние сроки инфаркта миокарда (эпистенокардический перикардит);
- гипотиреоз;
- нарушении холестеринового обмена (ксантоматозный перикардит).
Патогенез
Гемодинамическое значение выпота при экссудативном перикардите зависит от объема, скорости поступления жидкости и адаптивного потенциала наружного листка перикарда. При медленном поступлении экссудата за счет растяжения и увеличения объема перикарда внутриперикардиальное давление и внутрисердечная гемодинамика длительное время заметно не изменяются. При экссудативном перикардите может накапливаться до 1-2 л жидкости, приводящей к сдавлению прилегающих к сердцу органов и нервных путей.
При быстром накоплении выпота и невозможности перикарда увеличить свой объем отмечается существенный подъем давления в перикардиальной полости и развитие тампонады сердца. Выпот при экссудативном перикардите со временем может подвергаться организации с замещением грануляционной тканью, приводящим к утолщению перикарда с сохранением перикардиального пространства или его облитерацией.
Классификация
По клиническому течению экссудативный перикардит может быть острый или хронический; сопровождающийся развитием тампонады сердца или без таковой. По составу воспалительной жидкости различают:
- Серозный перикардит. Экссудат образуется на ранних стадиях воспаления и состоит преимущественно из воды и альбуминов
- Серозно-фиброзный. Имеет значительное число нитей фибрина
- Геморрагический. Связан с тяжелым повреждением сосудов и включает большое количество эритроцитов
- Гнойный. Содержит много лейкоцитов и фрагменты некротизированных тканей.
- Гнилостный. Ихорозный экссудат возникает при попадании в воспалительный выпот анаэробной микрофлоры.
Симптомы экссудативного перикардита
Проявления экссудативного перикардита зависят от скорости накопления жидкости, степени сдавления сердца и выраженности воспалительного процесса в перикарде. Вначале основными жалобами являются тяжесть и ноющие боли в грудной клетке. По мере накопления жидкости в полости перикарда, в связи с механическим сдавлением рядом расположенных органов, возникает одышка, дисфагия, лающий кашель, осиплость голоса.
Характерна отечность лица и шеи, набухание шейных вен на вдохе, постепенное развитие симптомов сердечной недостаточности. Шум трения перикарда не характерен, но может выслушиваться при умеренном выпоте в определенном положении тела больного. Имеют место общие проявления, связанные с причиной развития экссудативного перикардита: при инфекционном генезе - озноб, лихорадка, интоксикация; при хроническом туберкулезном процессе добавляется потливость, отсутствие аппетита, похудание, гепатомегалия.
При гнойном экссудативном перикардите возможны инфекционные очаги в близлежащих органах, септический процесс. Эпистенокардический экссудативный перикардит возникает в течение 4-хсуток суток после инфаркта миокарда и проявляется одышкой, ортопноэ, набуханием шейных вен. Ревматический перикардит обычно развивается на фоне тяжелого панкардита; уремический – сопровождается клинической картиной ХПН.
В случае опухолевого генеза перикардит сопровождается обильным выпотом, болью в груди, предсердными аритмиями, развитием тампонады сердца. При большом объеме выпота больные вынужденно принимают сидячее положение, что облегчает их состояние.
Диагностика
У больных с экссудативным перикардитом отмечается небольшое выбухание передней грудной стенки и легкая отечность в прекадиальной области, ослабление или исчезновение верхушечного толчка, расширение границ относительной и абсолютной сердечной тупости, притупление перкуторного тона под углом левой лопатки. О развитии тампонады сердца свидетельствует увеличение ЦВД, падение АД, тахикардия с преходящей аритмией, парадоксальный пульс.
Установить диагноз экссудативного перикардита и дифференцировать его от других заболеваний сердца (острого инфаркта миокарда, острого миокардита) помогают:
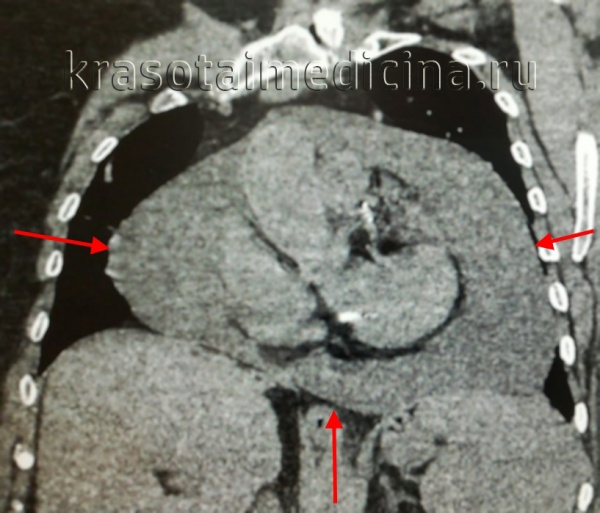
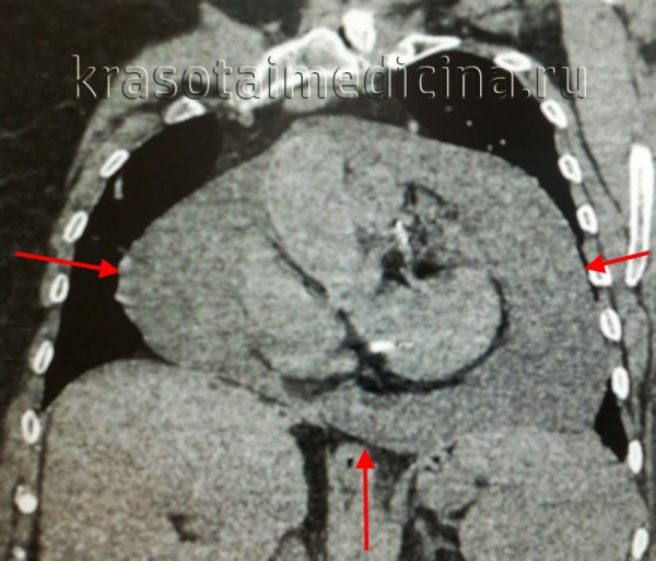
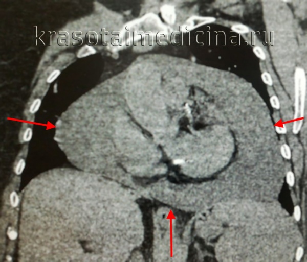
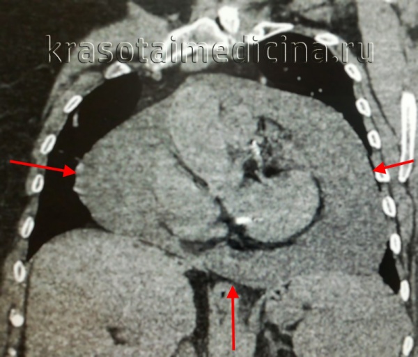
- Рентгенография грудной клетки. На рентгенограмме при значительном объеме жидкости наблюдается увеличение тени и сглаживание сердечного контура, изменение формы сердца (треугольная – при длительно существующем хроническом экссудате), ослабление пульсации сердца. Мультиспиральная КТ подтверждает наличие патологического выпота и утолщение перикардиальных листков.
- Эхокрдиография. Наиболее точный и специфичный метод диагностики экссудативного перикардита даже с небольшим объемом выпота - ЭхоКГ, визуализирующая наличие эхонегативного (свободного) пространства между листками перикарда, диастолическую сепарацию париетальной пластинки и эпикарда, утолщение перикарда. В тяжелых случаях отмечается нарушение ритмичных движений сердца, при тампонаде – диастолический коллапс правых отделов сердца.
- Электрокардиография. ЭКГ в случае экссудативного перикардита выявляет снижение амплитуды всех зубцов.
- Пункция перикарда. Для уточнения причины экссудации и верификации диагноза экссудативного перикардита выполняют пункцию перикарда и исследование характера перикардиальной жидкости (общеклиническое, бактериологическое, цитологическое, анализ на AHAT и LE-клетки). Возможно проведение биопсии перикарда с морфологическим исследованием полученной ткани.

Лечение экссудативного перикардита
Лечение экссудативного перикардита проводят в стационаре, тактика ведения больных определяется объемом и этиологией патологии, выраженностью гемодинамических нарушений. При остром процессе в перикарде необходим мониторинг показателей АД, ЧСС, ЦВД.
- Фармакотерапия. Для снятия болевого синдрома, лихорадки и более скорого рассасывания выпота при экссудативном перикардите назначают НПВС (ибупрофен, индометацин), глюкокортикостероиды (преднизолон). Проводят активное лечение основного заболевания с применением антибактериальных, противотуберкулезных, цитостатических препаратов, проведением гемодиализа и т. д.
- Пункция перикарда. Показана для эвакуации большого скопления жидкости, не рассасывающейся в течение 2-3 недель; при тампонаде сердца и гнойном перикардите. Если после повторных пункций и дренирования перикардиальный выпот продолжает быстро накапливаться, выполняют перикардэктомию, торакоскопическую фенестрацию.
Прогноз и профилактика
Основным осложнением острого экссудативного перикардита является тампонада сердца; в 30% случаев при распространении воспаления на миокард предсердий может возникать пароксизмальная мерцательная аритмия или суправентрикулярная тахикардия. Возможен переход экссудативного перикардита в хронический и констриктивный. В случае развития тампонады сердца существует высокий риск летального исхода. Прогноз экссудативного перикардита зависит от причины поражения перикарда и своевременности лечения; при отсутствии тампонады сердца он относительно благоприятный.
Профилактика экссудативного перикардита заключается в предупреждении и ранней этиопатогенетической терапии тех заболеваний, которые могут приводить к его развитию. В этой связи вопрос профилактики экссудативного перикардита является актуальным не только для кардиологии, но и ревматологии, пульмонологии и фтизиатрии, онкологии, аллергологии.
Перикардит
Перикардит – воспаление околосердечной сумки (наружной оболочки сердца- перикарда) чаще инфекционного, ревматического или постинфарктного характера. Проявляется слабостью, постоянными болями за грудиной, усиливающимися при вдохе, кашлем (сухой перикардит). Может протекать с выпотеванием жидкости между листками перикарда (экссудативный перикардит) и сопровождаться сильной одышкой. Выпотной перикардит опасен нагноением и развитием тампонады сердца (сдавлением сердца и сосудов накопившейся жидкостью) и может потребовать экстренного хирургического вмешательства.

Перикардит может проявляться как симптом какого-либо заболевания (системного, инфекционного или кардиального), являться осложнением при различных патологиях внутренних органов или травмах. Иногда в клинической картине заболевания именно перикардит приобретает первостепенное значение, в то время как другие проявления болезни уходят на второй план. Перикардит не всегда диагностируется при жизни пациента, примерно в 3 – 6% случаев признаки ранее перенесенного перикардита определяются только на аутопсии. Перикардиты наблюдаются в любом возрасте, но чаще встречаются среди взрослого и пожилого населения, причем заболеваемость перикардитом у женщин выше, чем у мужчин.
Причины перикардита
Воспаление в перикарде может быть инфекционным и неинфекционным (асептическим). Самыми распространенными причинами перикардита служат ревматизм и туберкулез. При ревматизме перикардит обычно сопровождается поражением других слоев сердца: эндокарда и миокарда. Перикардиты ревматической и в большинстве случаев туберкулезной этиологии являются проявлением инфекционно-аллергического процесса. Иногда туберкулезное поражение перикарда происходит при миграции инфекции по лимфатическим протокам из очагов в легких, лимфатических узлах.
Риск развития перикардита увеличивается следующих состояниях:
- инфекции - вирусные (грипп, корь) и бактериальные (туберкулез, скарлатина, ангина), сепсис, грибковое или паразитарное поражение. Иногда воспалительный процесс переходит с соседних с сердцем органов на перикард при пневмонии, плеврите, эндокардите (лимфогенным или гематогенным путем)
- аллергические заболевания (сывороточная болезнь, лекарственная аллергия)
- системные заболевания соединительной ткани (системная красная волчанка, ревматизм, ревматоидный артрит и др.)
- болезни сердца (как осложнение инфаркта миокарда, эндокардита и миокардита)
- повреждения сердца при травмах (ранение, сильный удар в область сердца), операциях
- злокачественные опухоли
- обменные нарушения (токсическое воздействие на перикард при уремии, подагре), лучевое поражение
- пороки развития перикарда (кисты, дивертикулы)
- общие отеки и гемодинамические нарушения (приводят к накоплению в перикардиальном пространстве жидкого содержимого)
При перикардите воспалительный процесс затрагивает серозную тканевую оболочку сердца – серозный перикард (париетальную, висцеральную пластинку и перикардиальную полость). Изменения перикарда характеризуются увеличением проницаемости и расширением кровеносных сосудов, инфильтрацией лейкоцитов, отложением фибрина, спаечным процессом и формированием рубцов, кальцификацией перикардиальных листков и сдавлением сердца.
Различают перикардиты первичные и вторичные (как осложнение при заболеваниях миокарда, легких и других внутренних органов). Перикардит может быть ограниченным (у основания сердца), частичным или же захватывать всю серозную оболочку (общий разлитой).
В зависимости от клинических особенностей выделяют перикардиты острые и хронические.
Острые перикардиты
Острые перикардиты развиваются быстро, продолжаются не более 6 месяцев и включают:
1. Сухой или фибринозный - результат увеличенного кровенаполнения серозной оболочки сердца с выпотеванием в перикардиальную полость фибрина; жидкий экссудат присутствует в малом количестве.
2. Выпотной или экссудативный - выделение и накопление жидкого или полужидкого экссудата в полости между париетальным и висцеральным листками перикарда. Выпотной экссудат может быть различного характера:
- серозно-фибринозный (смесь жидкого и пластического экссудата, в небольших количествах может полностью рассасываться)
- геморрагический (кровянистый экссудат) при туберкулезном и цинготном воспалении перикарда.
- с тампонадой сердца - накопление в полости перикарда излишка жидкости может вызвать повышение давления в перикардиальной щели и нарушение нормального функционирования сердца
- без тампонады сердца
- гнойный (гнилостный)
- бессимптомный (без стойких нарушений кровообращения)
- с функциональными нарушениями сердечной деятельности
- с отложением в измененном перикарде солей кальция («панцирное» сердце»)
- с экстракардиальными сращениями (перикардиальными и плеврокардиальными)
- констриктивный - с прорастанием перикардиальных листков фиброзной тканью и их кальцификацией. В результате уплотнения перикарда появляется ограниченность наполнения камер сердца кровью во время диастолы и развивается венозный застой.
- с диссеминацией по перикарду воспалительных гранулем («жемчужница»), например, при туберкулезном перикардите
- Гидроперикард - скопление серозной жидкости в полости перикарда при заболеваниях, которые осложнились хронической сердечной недостаточностью.
- Гемоперикард - скопление крови в перикардиальном пространстве в результате разрыва аневризмы, ранения сердца.
- Хилоперикард - скопление хилезной лимфы в полости перикарда.
- Пневмоперикард - наличие газов или воздуха в перикардиальной полости при ранении грудной клетки и перикарда.
- Выпот при микседеме, уремии, подагре.
- Первичные опухоли: доброкачественные – фибромы, тератомы, ангиомы и злокачественные – саркомы, мезотелиомы.
- Вторичные – поражение перикарда в результате распространения метастазов злокачественной опухоли из других органов (легких, молочной железы, пищевода и др.).
- Паранеопластический синдром – поражение перикарда, возникающее при воздействии злокачественной опухоли на организм в целом.
- Анализы. Общий, иммунологический и биохимический (общий белок, фракции белка, сиаловые кислоты, креатинкиназа, фибриноген, серомукоид, СРБ, мочевина, LE-клетки) анализы крови проводят для уточнения причины и характера перикардита.
- Электрокардиография. ЭКГ имеет большое значение в диагностике острого сухого перикардита, начальной стадии экссудативного перикардита и адгезивного перикардита (при сдавливании полостей сердца). В случае экссудативного и хронического воспаления перикарда наблюдается снижение электрической активности миокарда. ФКГ (фонокардиография) отмечает систолические и диастолические шумы, не связанные с функциональным сердечным циклом, и периодически возникающие высокочастотные колебания.
- Лучевая диагностика. Рентгенография легких информативна для диагностики экссудативного перикардита (наблюдается увеличение размера и изменение силуэта сердца: шаровидная тень – характерна для острого процесса, треугольная – для хронического). При накоплении в полости перикарда до 250 мл экссудата размеры тени сердца не изменяются. Отмечается ослабленная пульсация контура тени сердца. Тень сердца плохо различима за тенью наполненного экссудатом перикардиального мешка. При констриктивном перикардите видны нечеткие контуры сердца из-за плевроперикардиальных сращений. Большое количество спаек может обусловить "неподвижное" сердце, не изменяющее форму и положение при дыхании и смене положения тела. При «панцирном» сердце отмечаются известковые отложения в перикарде. КТ грудной клетки, МРТ и МСКТ сердца диагностирует утолщения и кальцификацию перикарда.
- ЭхоКГ. Эхокардиография - основной метод диагностики перикардита, позволяющий выявить наличие даже малого количества жидкого экссудата (~ 15 мл) в перикардиальной полости, изменение движений сердца, наличие сращений, утолщения листков перикарда.
- Диагностическая пункция перикарда. В случае выпотного перикардита позволяет провести исследование экссудата (цитологическое, биохимическое, бактериологическое, иммунологическое). Наличие признаков воспаления, гноя, крови, опухоли помогает установить правильный диагноз.
- инфекционные (бактерии, вирусы, грибки, простейшие и др.),
- неинфекционные (аллергические заболевания, системные заболевания соединительной ткани, некоторые заболевания крови, нарушения обмена веществ, травмы, воздействие радиации, лечение некоторыми гормональными препаратами, онкологические заболевания ).
- слабость;
- потливость;
- утомляемость отсутствие или снижение аппетита;
- повышенная температура.
- Острый перикардит – до 1-2 месяцев от начала заболевания. Виды острого перикардита: экссудативный (выпотной), фибринозный (сухой).
- Подострый перикардит – от 2 до 6 месяцев от начала заболевания. Виды подострого перикардита: экссудативный (выпотной); адгезивный (слипчивый); констриктивный (сдавливающий).
- Хронический перикардит – более 6 месяцев от начала заболевания. Виды хронического перикардита: экссудативный (выпотной); адгезивный (слипчивый); констриктивный (сдавливающий); сдавливающий перикардит с кальцификацией («панцирное сердце»).
- анализ крови (клинический, биохимический, иммунологический) – есть ли в крови признаки воспаления; - видно количество жидкости в перикардиальной полости; ; ;
- КТ грудной клетки;
- в некоторых случаях диагностическая пункция или биопсия перикарда.
- Инфекционные агенты: вирусы, бактерии, грибы и даже паразиты. Воспалительный процесс в перикарде запускается под воздействием экзо- и эндотоксинов, которые выделяют микроорганизмы.
- Аутоиммунные заболевания соединительной ткани, такие как красная волчанка или склеродермия. При этом в организме синтезируются антитела к собственным клеткам, которые повреждают соединительную ткань и вызывают системное воспаление.
- Заболевания сердца. Результатом серьезных повреждений сердечной мышцы служит распространение патологического процесса на окружающий перикард. Такое может наблюдаться при трансмуральном инфаркте миокарда, инфекционном или реактивном миокардите.
- Поражение других органов, например, почек, может привести к перикардиту. При серьезном нарушении выделительной функции и формировании почечной недостаточности наблюдается отложение продуктов метаболизма в серозных полостях, в том числе в плевре и перикарде.
- Проникающие травмы перикарда, нарушающие целостность перикардиальных листков.
- Метастазирование опухолей, которое вызывает канцероматоз перикарда.
- Причины перикардита разнообразны, а, значит, и подходы к лечению зависят от того, что вызвало воспаление. Но в отсутствии своевременной диагностики и коррекции этого состояния исход всегда одинаков. Итогом хронического перикардита является тампонада сердца, которая приводит к смерти пациента.
- экссудативный перикардит (когда в полости накапливается воспалительная жидкость – экссудат);
- адгезивный перикардит (когда преобладает «сухое» воспаление и формируются спайки);
- констриктивный перикардит (когда происходит сдавление сердца и обызвествление стенок перикарда).
Форменные элементы крови (лейкоциты, лимфоциты, эритроциты и др.) в разных количествах обязательно присутствуют в экссудате в каждом случае перикардита.
Хронические перикардиты
Хронические перикардиты развиваются медленно, более 6 месяцев и делятся на:
1. Выпотной или экссудативный.
2. Адгезивный (слипчивый) - представляет собой остаточные явления перикардитов различной этиологии. При переходе воспалительного процесса из экссудативной стадии в продуктивную в полости перикарда происходит формирование грануляционной, а потом рубцовой ткани, листки перикарда слипаются с образованием спаек между собой, или с соседними тканями (диафрагмой, плеврой, грудиной):
Также встречаются невоспалительные перикардиты:
В перикарде могут возникать различные новообразования:
Кисты (перикардиальные, целомические) являются редкой патологией перикарда. Их стенка представлена фиброзной тканью и аналогично перикарду выстлана мезотелием. Кисты перикарда могут быть врожденными и приобретенными (последствие перикардита). Перикардиальные кисты бывают постоянными по объему и прогрессирующими.
Симптомы перикардита
Проявления перикардита зависят от его формы, стадии воспалительного процесса, характера экссудата и скорости его накопления в полости перикарда, выраженности спаечного процесса. При остром воспалении перикарда обычно отмечается фибринозный (сухой) перикардит, проявления которого меняются в процессе выделения и накопления экссудата.
Сухой перикардит
Проявляется болью в области сердца и шумом трения перикарда. Боль в грудной клетке – тупая и давящая, иногда отдающая в левую лопатку, шею, оба плеча. Чаще возникают умеренные боли, но бывают сильные и мучительные, напоминающие приступ стенокардии. В отличие от боли в сердце при стенокардии для перикардита характерно ее постепенное нарастание, длительность от нескольких часов до нескольких дней, отсутствие реакции при приеме нитроглицерина, временное затихание от приема наркотических анальгетиков. Пациенты могут одновременно ощущать одышку, сердцебиение, общее недомогание, сухой кашель, озноб, что сближает симптоматику заболевания с проявлениями сухого плеврита. Характерным признаком боли при перикардите является ее усиление при глубоком дыхании, глотании, кашле, перемене положения тела (уменьшение в сидячем положении и усиление в положении лежа на спине), дыхание поверхностное и частое.
Шум трения перикарда выявляется при выслушивании сердца и легких больного. Сухой перикардит может закончиться излечением через 2—3 недели или перейти в экссудативный или адгезивный.
Экссудативный перикардит
Экссудативный (выпотной) перикардит развивается как следствие сухого перикардита или самостоятельно при бурно начинающихся аллергических, туберкулезных или опухолевых перикардитах.
Появляются жалобы на боли в области сердца, чувство стеснения в грудной клетке. При накоплении экссудата происходит нарушение циркуляции крови по полым, печеночной и воротной венам, развивается одышка, сдавливается пищевод (нарушается прохождение пищи - дисфагия), диафрагмальный нерв (появляется икота). Почти у всех больных отмечается лихорадка. Для внешнего вида пациентов характерно отечное лицо, шея, передняя поверхность грудной клетки, набухание вен шеи ("воротник Стокса"), бледная с цианозом кожа. При осмотре отмечается сглаживание межреберных промежутков.
Осложнения
В случае экссудативного перикардита возможно развитие острой тампонады сердца, в случае констриктивного перикардита – возникновение недостаточности кровообращения: сдавление экссудатом полых и печеночных вен, правого предсердия, что затрудняет диастолу желудочков; развитие ложного цирроза печени.
Перикардит вызывает воспалительные и дегенеративные изменения в прилегающих к выпоту слоях миокарда (миоперикардит). За счет развития рубцовой ткани наблюдается сращение миокарда с близлежащими органами, грудной клеткой и с позвоночником (медиастино-перикардит).
Своевременно диагностировать воспаление перикарда очень важно, так как оно может представлять угрозу для жизни больного. К таким случаям относятся сдавливающий перикардит, экссудативный перикардит с острой тампонадой сердца, гнойный и опухолевый перикардиты. Необходимо провести дифференциацию диагноза с другими заболеваниями, главным образом, с острым инфарктом миокарда и острым миокардитом, выявить причину перикардита. Диагностика перикардита включает сбор анамнеза, осмотр больного (выслушивание и выстукивание сердца), проведение лабораторных исследований.

Лечение перикардита
Терапия острых перикардитов
Метод лечения перикардита выбирается врачом в зависимости от клинико-морфологической формы и причины заболевания. Пациенту с острым перикардитом показан постельный режим до стихания активности процесса. В случае хронического перикардита режим определяется состоянием больного (ограничение физической активности, диетическое питание: полноценное, дробное, с ограничением потребления соли).
При острых фибринозных (сухих) перикардитах назначается преимущественно симптоматическое лечение: нестероидные противовоспалительные препараты (ацетилсалициловая кислота, индометацин, ибупрофен и др.), анальгетики для снятия выраженного болевого синдрома, препараты, нормализующие обменные процессы в сердечной мышце, препараты калия.
Лечение острых экссудативных перикардитов без признаков сдавления сердца, в основном, аналогично таковому при сухих перикардитах. При этом обязателен регулярный строгий контроль основных показателей гемодинамики (АД, ЦВД, ЧСС, сердечного и ударного индексов и др.), объема выпота и признаков развития острой тампонады сердца.
Если экссудативный перикардит развился на фоне бактериальной инфекции, или в случаях гнойного перикардита применяют антибиотики (парантерально и местно - через катетер после дренирования полости перикарда). Антибиотики назначают с учетом чувствительности выявленного возбудителя. При туберкулезном генезе перикардита применяют 2 – 3 противотуберкулезных препарата в течение 6-8 месяцев. Дренирование используют также для введения в перикардиальную полость цитостатических средств при опухолевом поражении перикарда; для аспирации крови и введения фибринолитических препаратов при гемоперикарде.
Лечение вторичных перикардитов
Применение глюкокортикоидов (преднизолона) способствует более быстрому и полному рассасыванию выпота, особенно при перикардитах аллергического генеза и развивающихся на фоне системных заболеваний соединительной ткани. включается в терапию основного заболевания (системная красная волчанка, острая ревматическая лихорадка, ювенильный ревматоидный артрит).
При быстром нарастании накопления экссудата (угрозе тампонады сердца) проводят пункцию перикарда (перикардиоцентез) для удаления выпота. Пункцию перикарда применяют и при затянувшемся рассасывании выпота (при лечении более 2 недель) для выявления его характера и природы (опухолевой, туберкулезной, грибковой и др.). В некоторых случаях прибегают к фенестрации перикарда.
Пациентам с констриктивным перикардитом в случае хронического венозного застоя и сдавления сердца проводят операции на перикарде: резекцию рубцово-измененных участков перикарда и спаек (субтотальная перикардэктомия).
Прогноз в большинстве случаев благоприятный, при правильном, начатом своевременно лечении трудоспособность пациентов восстанавливается практически полностью. В случае гнойного перикардита при отсутствии неотложных лечебных мероприятий заболевание может представлять опасность для жизни. Слипчивый (адгезивный) перикардит оставляет стойкие изменения, т.к. хирургическое вмешательство оказывается недостаточно эффективным.
Возможна только вторичная профилактика перикардита, которая заключается в диспансерном наблюдении у кардиолога, ревматолога, регулярном контроле электрокардиографии и эхокардиографии, санации очагов хронической инфекции, здоровом образе жизни, умеренной физической нагрузке.
Перикардит – это воспалительное заболевание тканевой оболочки сердца (перикарда), инфекционной или неинфекционной природы.
Перикард состоит из наружного и внутреннего листков, между которыми в норме содержится небольшое количество жидкости. Жидкость нужна для облегчения трения при сокращении сердечной мышцы.
Перикардит способен выступать самостоятельным изолированным заболеванием или быть осложнением заболеваний других органов и систем.

Причины развития перикардита
Встречаются идиопатические перикардиты (случаи заболевания перикардитом, когда причину воспаления установить невозможно).
В развитии перикардита играет большую роль изменение состава или количества перикардиальной жидкости под влиянием вышеперечисленных факторов.
Симптомы перикардита
Симптомы перикардита бывают сердечными и общими, степень и выраженность симптомов зависят от формы и стадии заболевания.
Основной сердечный симптом – боль в сердце, ощущается в 90% случаев. Боль обычно локализуется за грудиной или в левой половине грудной клетки, может отдавать в левую руку. Интенсивность боли различна: от почти незаметной до крайне острой, инфарктоподобной. Характер и интенсивность боли меняется в зависимости от положения тела. Боль уменьшается в положении лежа на правом боку с подтянутыми к груди ногами, при наклоне вперед. Происходит это потому, что в таком положении при сокращениях сердца воспаленные стенки сердечной сумки меньше соприкасаются. Боль усиливается при кашле, глубоком вдохе, лежа на спине. При некоторых видах перикардита боли может не быть совсем. Другой частый симптом – появление недостаточности кровообращения (одышка при напряжении и в покое, отеки )
К общим симптомам относят:
Если перикардит развился как осложнение другого заболевания, на первом плане могут присутствовать симптомы поражения других органов и систем.
Виды и формы перикардита
Экссудативный перикардит.
В результате воспалительного процесса происходит накопление большого количества жидкости в полости перикарда. Жидкость может содержать различные клеточные элементы и вещества, в зависимости от их наличия экссудативный перикардит делиться на некоторые подвиды (гнойный, геморрагический, уремический и т.д.).
Если выпот накапливается очень быстро, наружный листок перикарда не успевает растягиваться, происходит сдавливание камер сердца, резко падает сердечный выброс, развивается острая сердечно- сосудистая недостаточность. Этот процесс называется тампонадой сердца. Тампонада сердца - жизнеугрожающее состояние, требует экстренной госпитализации и лечения.
Если жидкость в полости перикарда накапливается медленно, успевает растянуться внешний листок перикарда, сдавливания стенок сердца и нарушения его работы не происходит. В полости перикарда может накапливаться более 1 литра жидкости. Увеличенная сердечная сумка иногда мешает нормальному функционированию расположенных рядом органов (пищевод, трахея, легкие, возвратный нерв), что проявляется нарушениями глотания, кашлем, осиплостью голоса и другими симптомами.
Фибринозный перикардит.
В перикардиальной полости образуется жидкость (воспалительный выпот), содержащая фибриноген. Часть жидкости отсасывается через лимфатические сосуды, но волокна фибрина оседают на листках сердечной сумки, ограничивая их движение.
Адгезивный перикардит.
При адгезивном перикардите в результате воспалительного процесса на листках перикарда разрастается соединительная ткань, образующая спайки.
Констриктивный перикардит.
При констриктивном перикардите в результате воспалительного процесса вся полость сердечной сумки заполняется рубцовой тканью, вызывая сдавление сердечных камер и нарушая функцию сердца.
Сдавливающий перикардит с кальцификацией («панцирное сердце»).
При «панцирном» сердце в результате воспалительного процесса листки перикарда уплотняются, спаиваются между собой, в них откладывается кальций. Жесткая и малоподвижная сердечная сумка нарушает работу сердца.

Диагностика и лечение перикардитов
Перикардит – заболевание очень «хитрое», в силу своих неспецифичных, на взгляд непрофессионала, симптомов и «маскировки» под некоторые другие заболевания. При подозрении на перикардит обязательна консультация кардиолога. При бессимптомном или малосимптомном течении перикардита диагностика заболевания затруднена. Залог корректного и эффективного лечения – качественная диагностика.
Очень важно, провести все необходимые исследования в максимально быстрые сроки. Может понадобиться:

Часто назначаются дополнительные исследования для уточнения причин перикардита.
Правильно интерпретировать результаты обследования и выработать схему лечения может только опытный врач. При грамотном, своевременном лечении прогноз, как правило, благоприятный. Методы лечения перикардита очень разные и зависят от его природы, течения, сопутствующих заболеваний. Лечение может быть как медикаментозное, так и хирургическое (пункция перикарда, биопсия перикарда, хирургическое лечение рубцов).

Перикардит представляет собой воспаление сердечной сумки, или перикарда – это оболочка, покрывающая снаружи сердечную мышцу.
Почему возникает перикардит?
Выделяют следующие основные причины, вызывающие перикардит:
Какие различают перикардиты?
По патофизиологическому механизму перикардит подразделяют на:
Такое разделение весьма условно, потому что на различных этапах патологического процесса вид воспаления может трансформироваться. А формирование участков обызвествления является исходом любого перикардита при отсутствии адекватной терапии.
Начало перикардита, симптомы и первые признаки довольно характерны. Главным поводом для обращения к врачу является боль в грудной клетке. Болевой синдром при этом заболевании может быть достаточно выраженным и стойким. Но бывают случаи, когда на первое место по выраженности выходит лихорадка. Ее сочетание с одышкой и болью в груди часто ошибочно принимают за пневмонию.
Болевой синдром при этой кардиальной патологии может иметь иррадиацию, как при стенокардии напряжения – в левую руку и лопатку. Но отличительными признаками боли при перикардите служит отсутствие связи с физической нагрузкой. Болезненность практически постоянная и усиливается при перемене положения тела, глубоком вдохе.
Помимо боли перикардит всегда сопровождается дополнительными симптомами: общая слабость, повышение температуры тела, одышка при небольшой физической нагрузке, наличие перебоев в работе сердца, снижение АД. В отличие от стенокардии лекарственные препараты на основе нитратов не приносят облегчения.
Если вы заметили подобные симптомы у себя или у своих близких, нужно срочно обратиться к врачу, ведь ценой промедления может стать человеческая жизнь. Только профессиональный кардиолог, осмотрев пациента и назначив незамедлительно инструментальное обследование, сможет точно поставить диагноз и порекомендовать адекватное лечение.
В противном случае, если своевременно не назначаются лекарственные препараты, неминуемо возникает грозное осложнение – тампонада сердца. При тампонаде происходит скопление большого количества экссудата в полости перикарда. Следствием служит то, что сердечная мышца буквально сдавливается и не может полноценно сокращаться.
Итогом такого сдавления является острая сердечно-сосудистая недостаточность, остановка сердца и смерть пациента. В этом случае привычные способы реанимации редко дают положительный эффект, и снова заставить сердце сокращаться может только освобождение перикарда от избыточного количества экссудативной жидкости.
Читайте также:
