Питуицитома на МРТ головного мозга
Добавил пользователь Владимир З. Обновлено: 28.11.2025
Дифференциально-диагностический ряд заболеваний белого вещества является очень длинным. Выявленные с помощью МРТ очаги могут отражать нормальные возрастные изменения, но большинство очагов в белом веществе возникают в течение жизни и в результате гипоксии и ишемии.
ПРИ КАКИХ БОЛЕЗНЯХ ВОЗНИКАЮТ ОЧАГИ
В БЕЛОМ ВЕЩЕСТВЕ?
Очаговые изменения сосудистого генеза
- Атеросклероз
- Гипергомоцистеинемия
- Амилоидная ангиопатия
- Диабетическая микроангиопатия
- Гипертония
- Мигрень
Воспалительные заболевания
- Рассеянный склероз
- Васкулиты: системная красная волчанка, болезнь Бехчета, болезнь Шегрена
- Саркоидоз
- Воспалительные заболевания кишечника (болезнь Крона, язвенный колит, целиакия)
Заболевания инфекционной природы
- ВИЧ, сифилис, боррелиоз (болезнь Лайма)
- Прогрессирующая мультифокальная лейконцефалопатия
- Острый рассеянный (диссеминированный) энцефаломиелит (ОДЭМ)
Интоксикации и метаболические расстройства
- Отравление угарным газом, дефицит витамина B12
- Центральный понтинный миелинолиз
Травматические процессы
- Связанные с лучевой терапией
- Постконтузионные очаги
Врожденные заболевания
- Обусловленные нарушением метаболизма (имеют симметричный характер, требуют дифференциальной диагностики с токсическими энцефалопатиями)
Могут наблюдаться в норме
- Перивентрикулярный лейкоареоз, 1 степень по шкале Fazekas
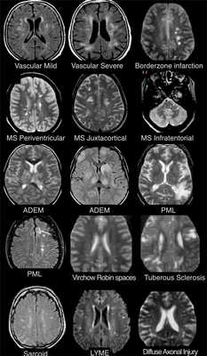
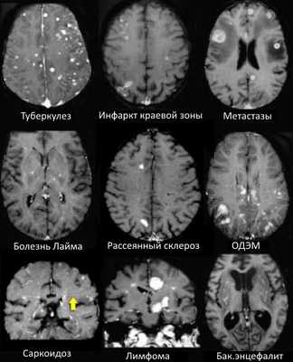
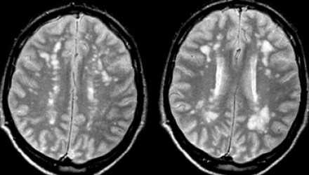
МРТ ГОЛОВНОГО МОЗГА: МНОЖЕСТВЕННЫЕ ОЧАГОВЫЕ ИЗМЕНЕНИЯ

На изображениях определяются множественные точечные и «пятнистые» очаги (некоторые из них будут рассмотрены более детально).
Рассеянный склероз — хроническое аутоиммунное заболевание, при котором поражается миелиновая оболочка нервных волокон головного и спинного мозга, характеризующееся многоочаговостью поражения белого вещества центральной нервной системы, ремиттирующе-прогредиентным течением, вариабельностью неврологических симптомов и преимущественным поражением лиц молодого возраста (подробнее с диагностическими критериями указанного заболевания Вы можете ознакомится в статье «Современные критерии диагностики рассеянного склероза», опубликованной на нашем сайте).
Острые нарушения мозгового кровообращения:
- Главное отличие инфарктов (инсультов) этого типа — это предрасположенность к локализации очагов только в одном полушарии на границе крупных бассейнов кровоснабжения. На МР-томограмме представлен инфаркт в бассейне глубоких ветвей.
Острый диссеминированный энцефаломиелит (ОДЭМ)
- Основное отличие: появление мультифокальных участков в белом веществе и в области базальных ганглиев через 10-14 дней после перенесенной инфекции или вакцинации. Как при рассеянном склерозе, при ОДЭМ может поражаться спинной мозг, дугообразные волокна и мозолистое тело; в некоторых случаях очаги могут накапливать контраст. Отличием от РС считается тот момент, что они имеют большой размер и возникают преимущественно у молодых пациентов. Заболевание отличается монофазным течением
- Характеризуется наличием мелких очажков размером 2-3 мм, имитирующих таковые при РС, у пациента с кожной сыпью и гриппоподобным синдромом. Другими особенностями являются гиперинтенсивный сигнал от спинного мозга и контрастное усиление в области корневой зоны седьмой пары черепно-мозговых нервов.
Саркоидоз головного мозга
- Распределение очаговых изменений при саркоидозе крайне напоминает таковое при рассеянном склерозе.
Прогрессирующая мультфокальная лейкоэнцефалопатия (ПМЛ)
- Демиелинизирующее заболевание, обусловленное вирусом Джона Каннигема у пациентов с иммунодефицитом. Ключевым признаком являются поражения белого вещества в области дугообразных волокон, не усиливающиеся при контрастировании, оказывающие объемное воздействие (в отличие от поражений, обусловленных ВИЧ или цитомегаловирусом). Патологические участки при ПМЛ могут быть односторонними, но чаще они возникают с обеих сторон и являются асимметричными.
- Ключевой признак: гиперинтенсивный сигнал на Т2 ВИ и гипоинтенсивный на FLAIR
- Для зон сосудистого характера типична глубокая локализация в белом веществе, отсутствие вовлечения мозолистого тела, а также юкставентрикулярных и юкстакортикальных участков.
ДИФФЕРЕНЦИАЛЬНАЯ ДИАГНОСТИКА МНОЖЕСТВЕННЫХ ОЧАГОВ, УСИЛИВАЮЩИХСЯ ПРИ КОНТРАСТИРОВАНИИ

На МР-томограммах продемонстрированы множественные патологические зоны, накапливающие контрастное веществ (некоторые из них описаны далее подробнее).
- Большинство васкулитов характеризуются возникновением точечных очаговых изменений, усиливающихся при контрастировании. Поражение сосудов головного мозга наблюдается при системной красной волчанке, паранеопластическом лимбическом энцефалите, б. Бехчета, сифилисе, гранулематозе Вегенера, б. Шегрена, а также при первичных ангиитах ЦНС.
- Характеризуются выраженным перифокальным отеком.
Острые нарушения мозгового кровобращения
- Периферические инфаркты краевой зоны могут усиливаться при контрастировании на ранней стадии.
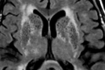
ПЕРИВАСКУЛЯРНЫЕ ПРОСТРАНСТВА ВИРХОВА-РОБИНА
Слева на Т2-взвешенной томограмме видны множественные очаги высокой интенсивности в области базальных ганглиев. Справа в режиме FLAIR сигнал от них подавляется, и они выглядят темными. На всех остальных последовательностях они характеризуются такими же характеристиками сигнала, как ликвор (в частности, гипоинтенсивным сигналом на Т1 ВИ). Такая интенсивность сигнала в сочетании с локализацией описанного процесса являются типичными признаками пространств Вирхова-Робина (они же криблюры).
Пространства Вирхова-Робина окружают пенетрирующие лептоменингеальные сосуды, содержат ликвор. Их типичной локализацией считается область базальных ганглиев, характерно также расположение вблизи передней комиссуры и в центре мозгового ствола. На МРТ сигнал от пространств Вирхова-Робина на всех последовательностях аналогичен сигналу от ликвора. В режиме FLAIR и на томограммах, взвешенных по протонной плотности, они дают гипоинтенсивный сигнал в отличие от очагов иного характера. Пространства Вирхова-Робина имеют небольшие размеры, за исключением передней комиссуры, где периваскулярные пространства могут быть больше.

На МР-томограмме можно обнаружить как расширенные периваскулярные пространства Вирхова-Робина, так и диффузные гиперинтенсивные участки в белом веществе. Данная МР-томограмма превосходно иллюстрирует различия между пространствами Вирхова-Робина и поражениями белого вещества. В данном случае изменения выражены в значительной степени; для их описания иногда используется термин «ситовидное состояние» (etat crible).
Пространства Вирхова-Робина увеличиваются с возрастом, а также при гипертонической болезни в результате атрофического процесса в окружающей ткани мозга.
НОРМАЛЬНЫЕ ВОЗРАСТНЫЕ ИЗМЕНЕНИЯ
БЕЛОГО ВЕЩЕСТВА НА МРТ
К ожидаемым возрастным изменениям относятся:
- Перивентрикулярные «шапочки» и «полосы»
- Умеренно выраженная атрофия с расширением борозд и желудочков мозга
- Точечные (и иногда даже диффузные) нарушения нормального сигнала от мозговой ткани в глубоких отделах белого вещества (1-й и 2-й степени по шкале Fazekas)
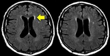
Перивентрикулярные «шапочки» представляют собой области, дающие гиперинтенсивный сигнал, расположенные вокруг передних и задних рогов боковых желудочков, обусловленные побледнением миелина и расширением периваскулярных пространств. Перивентрикулярные «полосы» или «ободки» это тонкие участки линейной формы, расположенные параллельно телам боковых желудочков, обусловленные субэпендимальным глиозом.

На магнитно-резонансных томограммах продемонстрирована нормальная возрастная картина: расширение борозд, перивентрикулярные «шапочки» (желтая стрелка), «полосы» и точечные очажки в глубоком белом веществе.
Клиническое значение возрастных изменений мозга недостаточно хорошо освещено. Тем не менее, имеется связь между очагами и некоторыми факторами риска возникновения цереброваскулярных расстройств. Одним из самых значительных факторов риска является гипертония, особенно, у пожилых людей.
Степень вовлечения белого вещества в соответствии со шкалой Fazekas:
- Легкая степень – точечные участки, Fazekas 1
- Средняя степень – сливные участки, Fazekas 2 (изменения со стороны глубокого белого вещества могут расцениваться как возрастная норма)
- Тяжелая степень – выраженные сливные участки, Fazekas 3 (всегда являются патологическими)
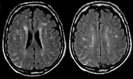
ДИСЦИРКУЛЯТОРНАЯ ЭНЦЕФАЛОПАТИЯ НА МРТ
Очаговые изменения белого вещества сосудистого генеза — самая частая МРТ-находка у пациентов пожилого возраста. Они возникают в связи с нарушениями циркуляции крови по мелким сосудам, что является причиной хронических гипоксических/дистрофических процессов в мозговой ткани.
На серии МР-томограмм: множественные гиперинтенсивные участки в белом веществе головного мозга у пациента, страдающего гипертонической болезнью.
На МР-томограммах, представленных выше, визуализируются нарушения МР-сигнала в глубоких отделах больших полушарий. Важно отметить, что они не являются юкставентрикулярными, юкстакортикальными и не локализуются в области мозолистого тела. В отличие от рассеянного склероза, они не затрагивают желудочки мозга или кору. Учитывая, что вероятность развития гипоксически-ишемических поражений априори выше, можно сделать заключение о том, что представленные очаги, вероятнее, имеют сосудистое происхождение.
Только при наличии клинической симптоматики, непосредственно указывающей на воспалительное, инфекционное или иное заболевание, а также токсическую энцефалопатию, становится возможным рассматривать очаговые изменения белого вещества в связи с этими состояниями. Подозрение на рассеянный склероз у пациента с подобными нарушениями на МРТ, но без клинических признаков, признается необоснованным.

На представленных МР-томограммах патологических участков в спинном мозге не выявлено.
У пациентов, страдающих васкулитами или ишемическими заболеваниями, спинной мозг обычно не изменен, в то время как у пациентов с рассеянным склерозом в более чем 90% случаев обнаруживаются патологические нарушения в спинном мозге. Если дифференциальная диагностика очагов сосудистого характера и рассеянного склероза затруднительна, например, у пожилых пациентов с подозрением на РС, может быть полезна МРТ спинного мозга.

Вернемся снова к первому случаю: на МР-томограммах выявлены очаговые изменения, и сейчас они гораздо более очевидны. Имеет место распространенное вовлечение глубоких отделов полушарий, однако дугообразные волокна и мозолистое тело остаются интактными. Нарушения ишемического характера в белом веществе могут проявляться как лакунарные инфаркты, инфаркты пограничной зоны или диффузные гиперинтенсивные зоны в глубоком белом веществе.
Лакунарные инфаркты возникают в результате склероза артериол или мелких пенетерирующих медуллярных артерий. Инфаркты пограничной зоны возникают в результате атеросклероза более крупных сосудов, например, при каротидной обструкции или вследствие гипоперфузии.
Структурные нарушения артерий головного мозга по типу атеросклероза наблюдаются у 50% пациентов старше 50 лет. Они также могут обнаруживаться и у пациентов с нормальным артериальным давлением, однако более характерны для гипертоников.
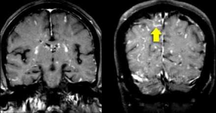
САРКОИДОЗ ЦЕНТРАЛЬНОЙ НЕРВНОЙ СИСТЕМЫ

Распределение патологических участков на представленных МР-томограммах крайне напоминает рассеянный склероз . Помимо вовлечения глубокого белого вещества визуализируются юкстакортикальные очаги и даже «пальцы Доусона». В итоге было сделано заключение о саркоидозе. Саркоидоз не зря называют «великим имитатором», т. к. он превосходит даже нейросифилис по способности симулировать проявления других заболеваний.

На Т1 взвешенных томограммах с контрастным усилением препаратами гадолиния, выполненных этому же пациенту, что и в предыдущем случае, визуализируются точечные участки накопления контраста в базальных ядрах. Подобные участки наблюдаются при саркоидозе, а также могут быть обнаружены при системной красной волчанке и других васкулитах. Типичным для саркоидоза в этом случае считается лептоменингеальное контрастное усиление (желтая стрелка), которое происходит в результате гранулематозного воспаления мягкой и паутинной оболочки.

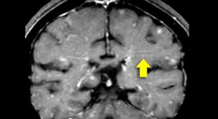
Еще одним типичным проявлением в этом же случае является линейное контрастное усиление (желтая стрелка). Оно возникает в результате воспаления вокруг пространств Вирхова-Робина, а также считается одной из форм лептоменингеального контрастного усиления. Таким образом объясняется, почему при саркоидозе патологические зоны имеют схожее распределение с рассеянным склерозом: в пространствах Вирхова-Робина проходят мелкие пенетрирующие вены, которые поражаются при РС.
БОЛЕЗНЬ ЛАЙМА (БОРРЕЛИОЗ)
На фотографии справа: типичный вид сыпи на коже, возникающей при укусе клеща (слева) — переносчика спирохет.
Болезнь Лайма, или боррелиоз, вызывают спирохеты (Borrelia Burgdorferi), переносчиком инфекции являются клещи, заражение происходит трансмиссивным путем (при присасывании клеща). В первую очередь при боррелиозе на возникает кожная сыпь. Через несколько месяцев спирохеты могут инфицировать ЦНС, в результате чего появляются патологические участки в белом веществе, напоминающие таковые при рассеянном склерозе. Клинически болезнь Лайма проявляется острой симптоматикой со стороны ЦНС (в том числе, парезами и параличами), а в некоторых случаях может возникать поперечный миелит.

Ключевой признак болезни Лайма — это наличие мелких очажков размером 2-3 мм, симулирующих картину рассеянного склероза, у пациента с кожной сыпью и гриппоподобным синдромом. К другим признакам относится гиперинтенсивный сигнал от спинного мозга и контрастное усиление седьмой пары черепно-мозговых нервов (корневая входная зона).
ПРОГРЕССИРУЮЩАЯ МУЛЬТИФОКАЛЬНАЯ ЛЕЙКОЭНЦЕФАЛОПАТИЯ, ОБУСЛОВЛЕННАЯ ПРИЕМОМ НАТАЛИЗУМАБА
Прогрессирующая мультифокальная лейкоэнцефалопатия (ПМЛ) является демиелинизирующим заболеванием, обусловленным вирусом Джона Каннингема у пациентов с иммунодефицитом. Натализумаб представляет собой препарат моноклоанальных антител к интегрину альфа-4, одобренный для лечения рассеянного склероза , т. к. он оказывает положительный эффект клинически и при МРТ исследованиях.
Относительно редкий, но в то же время серьезный побочный эффект приема этого препарата — повышение риска развития ПМЛ. Диагноз ПМЛ основывается на клинических проявлениях, обнаружении ДНК вируса в ЦНС (в частности, в цереброспинальной жидкости), и на данных методов визуализации, в частности, МРТ.
По сравнению с пациентами, у которых ПМЛ обусловлен другими причинами, например, ВИЧ, изменения на МРТ при ПМЛ, связанной с приемом натализумаба, могут быть описаны как однородные и с наличием флюктуации.
Ключевые диагностические признаки при этой форме ПМЛ:
- Фокальные либо мультифокальные зоны в подкорковом белом веществе, расположенные супратенториально с вовлечением дугообразных волокон и серого вещества коры; менее часто поражается задняя черепная ямка и глубокое серое вещество
- Характеризуются гиперинтенсивным сигналом на Т2
- На Т1 участки могут быть гипо- или изоинтенсивными в зависимости от степени выраженности демиелинизации
- Примерно у 30% пациентов с ПМЛ очаговые изменения усиливаются при контрастировании. Высокая интенсивность сигнала на DWI, особенно по краю очагов, отражает активный инфекционный процесс и отек клеток

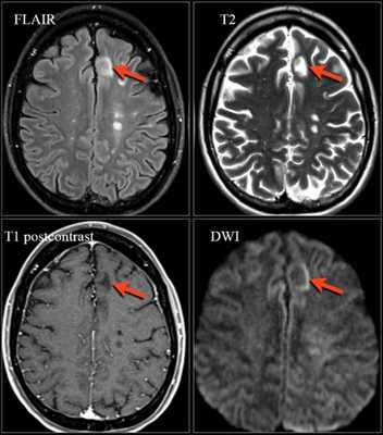
На МРТ видны признаки ПМЛ, обусловленной приемом натализумаба. Изображения любезно предоставлены Bénédicte Quivron, Ла-Лувьер, Бельгия.
Дифференциальная диагностика между прогрессирующим РС и ПМЛ, обусловленной приемом натализумаба, может быть достаточно сложной. Для натализумаб-ассоциированной ПМЛ характерны следующие нарушения:
Питуицитома на МРТ головного мозга
Зернистоклеточная опухоль на МРТ головного мозга
а) Терминология:
• Новообразование, возникающее из питуицитов, специализированных глиальных клеток нейрогипофиза и воронки
• Редкая неэндокринная опухоль селлярной области низкой степени злокачественности
• Ранее именовалась питуицитомой; зернистоклеточной опухолью нейрогипофиза
б) Визуализация зернистоклеточной опухоли:
• Объемное образование селлярной/супраселлярной областей или воронки с четкими контурами, накапливающее контраст
• 1,5-6,0 см
• КТ: гиперденсное объемное образование селлярной/супраселлярной областей:
о Редко может наблюдаться кальцификация
• Лучший инструмент визуализации: МРТ с получением высокоразрешающих изображений селлярной области
• При выявлении объемного образования селлярной/супраселлярной областей, расположение которого выглядит отдельно от передней доли гипофиза, предполагайте зернистоклеточную опухоль
(Слева) МРТ, постконтрастное Т1 -ВИ, корональный срез: в селлярной и супраселлярной областях определяется крупное объемное образование, накапливающее контраст и контактирующее с левыми отделами зрительного перекреста. При резекции была выявлена зернистоклеточная опухоль. Рентгенологические проявления опухоли имитируют намного более частую макроаденому гипофиза.
(Справа) МРТ, Т1-ВИ, сагиттальный срез: у жен -щины 31 года с жалобами на головной боль и зрительные нарушения визуализируется объемное образование селлярной и супраселлярной областей, смещающее кверху зрительный перекрест. По ходу нижних отделов образования визуализируется гиперинтенсивный очаг. (Слева) МРТ, постконтрастное Т1 -ВИ, корональный срез: у этой же пациентки отмечается периферическое контрастное усиление объемного образования.
(Справа) МРТ, постконтрастное Т1 -ВИ, сагиттальный срез: у этой же пациентки определяется периферическое контрастное усиление объемного образования с зоной гипоинтенсивного сигнала в его центральных отделах. Также виден гиперинтенсивный очаг, напоминающий внутрикистозный узловой компонент, что характерно для кисты кармана Ратке. При патоморфологическом исследовании была выявлена зернистоклеточная опухоль нейрогипофиза. В системе классификации ВОЗ 2007 г. зернистоклеточная опухоль была признана отдельным видом опухоли.
в) Дифференциальная диагностика:
• Макроаденома гипофиза
• Лимфоцитарный гипофизит
• Питуицитома
• Веретеноклеточная онкоцитома
• Киста кармана Ратке
г) Патология:
• I степень злокачественности по классификации ВОЗ (grade I)
д) Клиническая картина зернистоклеточной опухоли:
• Обычно бессимптомное течение (малые размеры образования)
• Наиболее частым проявлением при поступлении пациента в лечебное учреждение являются дефекты полей зрения, обусловленные компрессией зрительного перекреста
• Менее частые симптомы: пангипопитутаризм, галакторея, аменорея, снижение либидо, нейропсихологические изменения
• Обычно у взрослых: 5-6-е десятилетия жизни
• Обычно доброкачественное клиническое течение
а) Терминология:
• Редкая опухоль, возникающая из питуицитов, специализированных глиальных клеток нейрогипофиза и воронки
б) Визуализация питуицитомы:
• Накапливающее контраст объемное образование в селлярной или супраселлярной области, растущее из нейрогипофиза или воронки
• Характерна супраселлярная локализация (в области воронки); чистая интраселлярная локализация наблюдается менее часто
• МРТ: солидное объемное образование с сигналом от изо- до гипоинтенсивного:
о «Яркое пятно» в задних отделах гипофиза часто отсутствует о Вариабельный характер контрастного усиления, обычно интенсивное и однородное
• Лучший инструмент визуализации: высокоразрешающая МРТ селлярной области (толщина среза 2,5-3 мм):
о Сагиттальные и корональные Т1-ВИ, корональные Т2-ВИ, постконтрастные сагиттальные и корональные Т1-ВИ в режиме подавления сигнала от жира
в) Дифференциальная диагностика:
• Аденома гипофиза
• Лимфоцитарный гипофизит
• Гиперплазия гипофиза
• Зернистоклеточная опухоль
(Слева) Сагиттальный срез: питуицитома, поражающая ножку гипофиза и нейрогипофиз. Дольчатое супраселлярное объемное образование без значимой компрессии смежных структур — характерные признаки этого редкого веретеноклеточного глиального новообразования низкой степени злокачественности.
(Справа) Микропрепарат, окраска гематоксилином и эозином: типичные доброкачественные признаки питуицитомы: биполярные веретенообразные клетки с обильной эозинофильной цитоплазмой. Ядерная атипия и митозы отсутствуют. При иммуногистохимическом исследовании на GFAP наблюдалось интенсивное окрашивание, указывающее на астроцитарное происхождение опухоли. (Слева) МРТ, Т1-ВИ, сагиттальный срез: супраселлярное объемное образование с четкими контурами распространяющееся в задние отделы седла. Обратите внимание на отсутствие нормального «яркого пятна» гипофиза, что часто наблюдается при питуицитоме.
(Справа) МРТ, постконтрастное Т1-ВИ, корональный срез: у этого же пациента отмечается интенсивное однородное контрастное усиление данной крупной питуицитомы. Такой характер накопления контраста характерен для этоих редких опухолей нейрогипофиза или воронки. Эти хорошо васкуляризированные образования относятся к опухолям I степени злокачественности.
г) Патология:
• Отличается от зернистоклеточной опухоли (классификация ВОЗ, 2007 г.)
• I степень злокачественности по классификации ВОЗ (grade I)
• Хорошо отграниченное округлое или овальное солидное объемное образование
• Хирургическое вмешательство: гиперваскулярная опухоль
д) Клиническая картина питуицитомы:
• Часто возникают нарушение зрения и эндокринная дисфункция
• Возможно бессимптомное течение
• Хирургическая резекция: лечение первичной опухоли; транссфеноидальный доступ с учетом васкуляризации опухоли затруднен
е) Диагностическая памятка:
• При локализации объемного образования в структуре задних отделов железы, интраселлярной его локализации вне железы или при вовлечеии в процесс ножки гипофиза предполагайте питуицитому
Питуицитома
Питуицитома – редкая глиальная опухоль, источником которой являются питуициты, локализующаяся исключительно в нейрогипофизе и воронке гипофиза.
Терминология
В литературе существует много противоречивых данных о том, что именно называть «питуицитомой», поскольку в старых публикациях под этим названием авторы объединяли и другие патологии, которые впоследствии были выделены в отдельные нозологические единицы:
- зернисто-клеточная опухоль гипофиза («хористома»);
- пилоцитарная астроцитома нейрогипофиза.
По текущей классификации опухолей ЦНС ВОЗ (2016) термин «питуицитома» ограничивает отдельную группу глиальных опухолей низкой злокачественности задней доли гипофиза и его воронки, источником которой являются питуициты.
Эпидемиология
Пик заболеваемости питуицитомами соответствует возрасту 40-60 лет, хотя по данным некоторых публикаций этот диапазон может увеличиваться (7-83 лет). Существует незначительная предрасположенность у лиц мужского пола.
Патология
Питуицитома по классификации ВОЗ относится к опухолям I степени злокачественности.
Микроскопические черты
Гистологически питуицитома – хорошо определяемая опухоль, состоящая из удлиненных биполярных звездчатых или веретенообразных клеток с хорошим кровоснабжением.
Макроскопические черты
Эти опухоли хорошо описаны: от мягкой до средней консистенции с серой или желтой однородной или гранулированной поверхностью. Некроз и кистозная дегенерация не характерны.
Иммунофенотип
- S100: +
- vimentin: +
- TTF1: положительное ядерное окрашивание;
- GFAP: варьирует;
- EMA : варьирует;
- Ki-67 – менее 2%.
Радиографические признаки
Обычно питуицитомы характеризуются гомогенным усилением либо гипофизарной ямки, либо в супраселлярной области. Размер варьирует, от нескольких мм до нескольких см.
- Т1: изоинтенсивное солидное образование; часто отсутствие «яркого пятна» в задней доле;
- Т1 С+: яркое контрастное усиление;
- Т2: гетерогенный сигнал, от гипо- до изоинтенсивного;
Цифровая субтракционная ангиография
Питуицитомы имеют богатую капиллярную сеть, что объясняет их обычное контрастное усиление и склонность к кровотечению при хирургическом вмешательстве. Кровоснабжаются эти опухоли обычно из менинго-гипофизарного ствола и верхних гипофизарных артерий.
Лечение и прогноз
Поскольку питуицитома – доброкачественная и медленно растущая опухоль, то при бессимптомном течении избирается выжидательная тактика. При наличии масс-эффекта опухоль требует резекции. Также необходимо помнить, что высокая васкуляризация опухоли может создать трудности при традиционном трансфеноидальном оперативном подходе.
Полная резекция достаточно трудноосуществима вследствие наличия близлежащих структур, вследствие чего возможен рецидив.
Дифференциальный диагноз
При наличие маленького образования, расположенного в воронке гипофиза, в дифференциальный ряд включаются:
Диагностика питуицитомы по КТ, МРТ головного мозга
а) Терминология:
1. Синонимы:
• Менее предпочтительные термины: инфлибулома и астроцитома задней доли гипофиза
2. Определение:
• Редкая опухоль, возникающая из питуицитов, специализированных глиальных клеток нейрогипофиза и воронки
б) Визуализация:
1. Общие характеристики питуицитомы:
• Лучший диагностический критерий:
о Накапливающее контраст объемное образование в селлярной или супраселлярной областях, растущее из нейрогипофиза или воронки
• Локализация:
о Характерна супраселлярная локализация (в области воронки): чистая интраселлярная локализация встречаетя менее часто
• Размеры:
о Вариабельны (от 1-2 мм до 4 см)
• Морфология:
о Четкие контуры, округлое или овальное солидное объемное образование
2. КТ признаки питуицитомы:
• Бесконтрастная КТ:
о Гиперденсное объемное образование селлярной и/или супраселлярной областей; кальцифицируется редко

(Слева) МРТ, Т1-ВИ, сагиттальный срез: супраселлярное объемное образование с четкими контурами распространяющееся в задние отделы седла. Обратите внимание на отсутствие нормального «яркого пятна» гипофиза, что часто наблюдается при питуицитоме.
(Справа) МРТ, постконтрастное Т1-ВИ, корональный срез: у этого же пациента отмечается интенсивное однородное контрастное усиление данной крупной питуицитомы. Такой характер накопления контраста характерен для этоих редких опухолей нейрогипофиза или воронки. Эти хорошо васкуляризированные образования относятся к опухолям I степени злокачественности.
3. МРТ признаки питуицитомы:
• Т1-ВИ:
о Солидное объемное образование с сигналом от изо- до гипоинтенсивного
о «Яркое пятно» в задних отделах гипофиза часто отсутствует
• Т2-ВИ:
о Неоднородный гипо-изоинтенсивный сигнал
• Постконтрастные Т1-ВИ:
о Вариабельное контрастное усиление, обычно интенсивное и однородное
4. Рекомендации по визуализации:
• Лучший инструмент визуализации:
о Высокоразрешающая МРТ селлярной области (толщина среза 2,5-3 мм)
• Совет по протоколу исследования:
о Сагиттальные и корональные Т1-ВИ, корональные Т2-ВИ, постконтрастные сагиттальные и корональные Т1-ВИ в режиме подавления сигнала от жира
в) Дифференциальная диагностика питуицитомы:
1. Аденома гипофиза:
• Может быть неотличима от питуицитомы; обычно в передней доле железы
• Накапливающее контраст объемное образование в селлярной и/или супраселлярной областях
2. Лимфоцитарный гипофизит:
• Может вовлекаться в процесс сам гипофиз (передняя > задняя доли) или его ножка
• Обычно у беременных или женщин в околородовом периоде
3. Гиперплазия гипофиза:
• Обычно наблюдается диффузное увеличение размеров железы
4. Метастатическое поражение:
• Часто известна первичная опухоль; часто множественность поражения
5. Зернистоклеточная опухоль:
• Глиальное новообразование, возникающее в нейрогипофизе или воронке
г) Патология:
1. Общие характеристики питуицитомы:
• Этиология:
о Возникает из питуицитов в нейрогипофизе или воронке
о Отличается от зернистоклеточной опухоли (классификация ВОЗ, 2007 г.)
2. Стадирование и классификация:
• I степень злокачественности по классификации ВОЗ (grade I)
3. Макроскопические и хирургические особенности:
• Хорошо отграниченное округлое или овальное солидное объемное образование:
о Некроз и кистозная дегенерация встречаются нечасто
о Редко опухоль инфильтрирует окружающие структуры, включая зрительный перекрест и пещеристый синус
• Хирургическое вмешательство: гиперваскулярная опухоль
4. Микроскопия:
• Удлиненные, биполярные веретенообразные клетки с обильной цитоплазмой
• Часто наблюдаются периваскулярные лимфоцитарные агрегаты
• Виментин (+), белок S100 (+), GFAP (+)

(Слева) Сагиттальный срез: питуицитома, поражающая ножку гипофиза и нейрогипофиз. Дольчатое супраселлярное объемное образование без значимой компрессии смежных структур — характерные признаки этого редкого веретеноклеточного глиального новообразования низкой степени злокачественности.
(Справа) Микропрепарат, окраска гематоксилином и эозином: типичные доброкачественные признаки питуицитомы: биполярные веретенообразные клетки с обильной эозинофильной цитоплазмой. Ядерная атипия и митозы отсутствуют. При иммуногистохимическом исследовании на GFAP наблюдалось интенсивное окрашивание, указывающее на астроцитарное происхождение опухоли.
д) Клиническая картина:
1. Проявления питуицитомы:
• Наиболее частые признаки/симптомы:
о Часто возникают нарушение зрения и эндокринная дисфункция:
- Головная боль, аменорея, галакторея, снижение либидо, бесплодие, несахарный диабет, гипопитуитаризм
о Возможно бессимптомное течение
3. Течение и прогноз:
• Доброкачественная медленно растущая опухоль
• Продолженный рост после субтотальной резекции наблюдается нечасто
4. Лечение питуицитомы:
• Хирургическая резекция: лечение первичной опухоли; транссфеноидальный доступ с учетом васкуляризации опухоли затруднен
• Противоречивые данные о эффективности лучевой терапии
• Может быть полезна предоперационная эмболизация
е) Диагностическая памятка. Обратите внимание:
• При локализации объемного образования в структуре задних отделов железы, интраселлярной его локализации вне железы или при вовлечеии в процесс ножки гипофиза предполагайте питуицитому
Читайте также:
- Меланотическая нейроэктодермальная опухоль. Киста зубной пластинки. Врожденные зубы.
- Лечение мегалобластической анемии - препараты
- Лечение пузырчатки. Рекомендации
- Диагностика хронического идиопатического миелофиброза (ХИМФ) - дифференциация
- Диссоциативное расстройство личности: что такое раздвоение личности, симптомы и лечение
