Плоские бородавки. Диагностика и лечение
Добавил пользователь Евгений Кузнецов Обновлено: 24.01.2026
Вирусная бородавка у ребенка – это проявление папиломавирусной инфекции (ПВИ), характеризующееся доброкачественным пролиферативным ростом ткани эпидермиса и слизистых оболочек. Простые бородавки имеют вид узелковых элементов розового или телесного цвета, возвышающихся над уровнем кожи. Также к вирусным образованиям относятся кондиломатозные образования в аногенитальной области. Для диагностики заболевания достаточно визуального осмотра, сбора жалоб, проведения дерматоскопии. Основной способ лечения — деструкция физическими или химическими способами.
МКБ-10
Общие сведения
Вирусные бородавки часто встречаются в педиатрической практике. По статистическим данным, ими страдает 10% детского населения. На данную патологию приходится треть от первичных дерматологических консультаций. Пик заболеваемости отмечается в возрасте 12-17 лет. У детей, рожденных от матерей с ПВИ, в первый год жизни частота обнаружения вируса в носоглотке достигает 30% и выше. Истинную заболеваемость выявить сложно по нескольким причинам: низкая обращаемость пациентов, самолечение, самопроизвольный регресс бородавок у части детей.
Причины
Этиологический фактор развития вирусной бородавки у ребенка — ДНК-содержащий вирус папилломы человека (ВПЧ) из семейства Papovaviridae. Вирус паразитирует на коже и аногенитальной слизистой. Семейство насчитывает более 179 подвидов (штаммов) представителей. Непосредственными возбудителями вирусных бородавок являются ВПЧ следующих типов: 1, 4, 2, 7, 6, 10, 11, 31-34. Из них онкогенными считаются 31, 33, 16, 18, 11 и 6 штаммы.
Основной механизм передачи ВПЧ у детей реализуется при контакте с кожей, слизистыми больного или вирусоносителя. Вирус сохраняет жизнедеятельность во влажной среде, поэтому возможно заражение в местах общественного пользования (туалет, бассейн, баня). Доказана возможность вертикальной передача вируса ‒ от матери к ребенку трансплацентарно или интранатально. В подростковом возрасте актуален половой путь передачи, в младшем ‒ самозаражение (перенос из одной зоны в другую).
Средняя продолжительность инкубационного периода 1-3 месяца, возможно латентное носительство сроком до года. Обязательным условием проникновения ВПЧ в глубокие слои дермы является повреждение кожного покрова: микротравмы, ссадины. Заражению способствуют факторы:
- позитивный ВИЧ-статус;
- иммунодефицитные состояния;
- гипергидроз;
- психоэмоциональное или соматическое истощение организма.
Патогенез
Папилломавирус обладает тропностью к эпителиальным клеткам, которые содержит кожа, слизистые оболочки. Попадая в клетку, вирус перемещается в ядро. Используя свой геном и ресурс клетки-хозяина, вирус начинает репликацию — синтез себе подобных вирионов. Таким образом, в поврежденном слое происходит продукция новых вирусных клеток.
Постепенно активность пролиферации снижается, участок гиперплазии ограничивается. Так формируется объемное, четко очерченное образование — вирусная бородавка. ВПЧ латентно находится в базальном слое дермы до нескольких лет. Активация продукции новых вирионов может наступить при воздействии провоцирующего фактора.
Классификация
В мире нет единой классификации вирусных бородавок у детей. Детские дерматологи зачастую пользуются разделением бородавок по категориям, основанным на морфологии и расположении образований:
- Обыкновенные (вульгарные). Наиболее частый вид вирусных бородавок в педиатрии. Элементы узелковой формы, с локализацией на тыльных поверхностях стоп, кистей.
- Плоские, или юношеские. Распространены у подростков. Излюбленное расположение — кожа лица.
- Околоногтевые. Имеют вид ограниченных уплотнений кожи около ногтевого ложа.
- Подошвенные (плантарные). Плоские или мозаичные вирусные элементы, формирующиеся на подошве. Обычно имеется связь с нагрузкой на стопу, ее повышенной потливостью.
- Остроконечные кондиломы. Очень редкое заболевание для детского возраста. Бородавки появляются при передаче вируса половым или вертикальным путем.
Симптомы
К общим проявлениям вирусных бородавок у ребенка относят наличие патологического образования на слизистой или коже, которое вызывает неприятные ощущения или болезненность при пальпации, деформацию подлежащего участка (подошва, околоногтевой валик). Разные типы бородавок имеют свои клинические особенности.
Вульгарные бородавки представляют собой плотные папулы до 0,5 см в диаметре с шероховатой поверхностью. Папула может быть как единичной, так и с множественными сателлитами вокруг первичного очага. Околоногтевые бородавки — бляшки или узелки розового оттенка, расположенные по периферии от ногтя. В процессе разрастания вызывают разрушение ногтевого валика.
Плантарные бородавки располагаются на подошвенной поверхности, часто в области переднего отдела стопы, в местах интенсивной нагрузки. Выглядят бугристыми или плоскими образованиями, иногда при ходьбе вызывают болезненность. Разрастаясь, подошвенные бородавки сливаются, занимая большую поверхность, формируя очаги мозаичного гиперкератоза на подошве.
Юношеские бородавки визуально определяются как небольшие узелки (1-3 мм) в тон кожи, с гладкой поверхностью. Чаще формируются в области лица, но возможно появление и на других частях тела. Кондиломы — это вирусные разрастания телесного или розового цвета, по форме схожие с цветной капустой, петушиным гребнем. Располагаются в зоне промежности.
Осложнения
Вирусная бородавка у ребенка ‒ не безобидное заболевание. Несвоевременная терапия грозит развитием ассоциированных патологий. Образования, расположенные на лице и открытых участках, представляют эстетический дефект, что может привести к психологическим проблемам у ребенка. Самое опасное осложнение вирусной бородавки — озлокачествление. Предраковые заболевания развиваются при заражении онкогенными подтипами ВПЧ. Дети, страдающие аногенитальными бородавками, в будущем имеют высокий риск развития раковых опухолей шейки матки, полового члена, гигантской опухоли Бушке-Левинштейна.
Диагностика
Постановка диагноза не вызывает особых сложностей у педиатра и дерматолога, базируется на типичной клинике и анамнестических данных. При наличии более 5-ти элементов ребенка консультирует иммунолог. Вирусная бородавка у детей требует дифференциации с контагиозным моллюском, эпителиальным бородавчатым невусом, базалиомой. Алгоритм обследования:
- Первичная консультация. Для анамнеза характерны жалобы на постепенное разрастание образования, возможно, контакт с больным ПВИ. Визуально определяется вид бородавки, локализация. Характерный признак – наличие темных точек внутри пролиферативной ткани (затромбированные сосуды).
- Дерматоскопия. Проведение исследования рекомендовано при неясной клинической картине. Вирусная бородавка под дерматоскопом выглядит как плотный узелок с множеством капилляров.
- Биопсия. Исследование проводят в случае подозрения на злокачественное новообразование. Бородавочный биоптат не содержит атипичных клеток, выглядит как доброкачественная эпителиома.
Лечение
Принципы лечения
В детской дерматологии существует правило: вирусные бородавки, которые не беспокоят ребенка и не имеют риска малигнизации, требуют только активного наблюдения. Такие образования могут самопроизвольно регрессировать в течение двух лет. Обязательно нужно лечить бородавки у больных с иммунодефицитными состояниями во избежание самозаражения.
Также терапия показана, если бородавка вызывает зуд, болезненность, создает психологический дискомфорт, кровоточит. Основным способом лечения вирусной бородавки у ребенка остается удаление путем деструкции. Иммунолог может назначить противовирусную терапию препаратами интерферона.
Физическая деструкция
Для детей данный вид терапии приоритетный, так как не имеет токсических побочных реакций. Выбор метода зависит от расположения бородавки, ее типа, размера. Любая из техник проводится на фоне местного обезболивания (анестезирующий крем или инфильтративная анестезия раствором лидокаина):
- Криодеструкция. Суть метода – воздействие на зону пролиферации жидким азотом. Используется контактный криозонд со специальными насадками. Время экспозиции ‒ до пяти минут. Повторные процедуры проводятся по необходимости спустя 1–2 недели.
- Электрокоагуляция. Разрушение вирусной бородавки происходит в результате действия электрического тока низкой мощности. Коагулятор провоцирует послойное термическое повреждение патологической ткани. Техника бескровная, позволяющая максимально точно работать в очаге.
- Радиокоагуляция. При данном виде деструкции используются электромагнитные волны. Под воздействием радиоволны происходит разрыв межклеточных связей, патологическая ткань расслаивается и разрушается.
- Лазерная деструкция. Удаление бородавки происходит путем лазерной абляции. Воздействие лучом длится в зависимости от размера образования до 2-3 минут. Если есть необходимость повтора, следующая манипуляция проводится через 1 месяц.
Химическая деструкция
Основа методики – аппликационное нанесение местных средств с кератолитическим действием с целью цитолиза патологических тканей. К применению у детей разрешены несколько кислот: салициловая 15-40%, щавелевая, уксусная, молочная, азотная в разных комбинациях. Схема лечения зависит от течения заболевания. Препаратом выбора для терапии плоских бородавок являются крема на основе транс-ретиноевой кислоты (форма витамина А). Курс использования длительный – до трех месяцев.
Хирургическое лечение
Оперативное вмешательство оправдано при риске атипичной трансформации вирусной бородавки у ребенка, при обширной площади поражения. Способы хирургической коррекции:
- Иссечение тупым методом. Для удаления образования используются неострые хирургические инструменты – ножницы специальной конструкции. Метод считается самым эффективным у детей. Имеет наименьшее количество рецидивов – около 10%.
- Кюретаж. Представляет собой вылущивание бородавки хирургической кюреткой. Эффективность потенцирует параллельное проведение криодеструкции. Кюретаж используют при вирусных бородавках средних размеров.
- Эксцизия. Полноценное оперативное лечение с удалением бородавки скальпелем в пределах здоровой ткани. Метод травматичный, поэтому используется при крайней необходимости. Эксцизия показана при глубоком повреждении дермы.
Прогноз и профилактика
На сегодняшний день нет метода, который бы гарантировал полное выздоровление. Рецидивы вирусных бородавок у ребенка происходят в 10-30% случаев. С другой стороны, у половины больных возможно самопроизвольное разрешение болезни. К методам специфической профилактики можно отнести вакцинацию против ВПЧ, но прививка не защищает от всех штаммов вируса. Неспецифическая защита включает общее оздоровление организма: закаливание, полноценное питание, рациональный режим дня. Для подростков важное значение имеет гигиена половой жизни.
1. Папилломавирусная инфекция сегодня: клиническое разнообразие, лечение и профилактика/ Касихина Е.И.// Лечащий врач.‒ 2011.
2. Бородавки у детей: особенности клиники, терапии/ Левончук Е.А., Яхницкий Г.Г.// Проблемы здоровья и экологии. — 2010.
Плоские бородавки. Диагностика и лечение
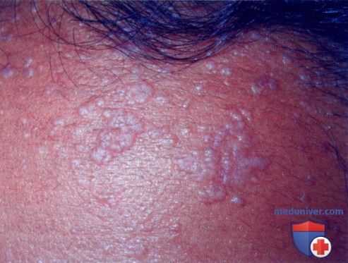
а) Пример из истории болезни. У 16-летней девушки, обратившейся к врачу, отмечаются множественные плоские очаги на лбу. Высыпания начались с нескольких очагов, распространившихся за последние три месяца. Были диагностированы плоские бородавки, и в качестве начальной терапии назначен имиквимод местно.

Плоские бородавки на лбу у пациентки
б) Распространенность (эпидемиология):
• Плоские (ювенильные, юношеские) бородавки (verruca plana) чаще всего встречаются у детей и молодых взрослых.
• Плоские бородавки - самая редкая форма бородавок, но в случае возникновения они обычно бывают многочисленными.
в) Этиология (причины), патогенез (патология):
• Как и остальные типы бородавок, плоские бородавки вызываются вирусом папилломы человека (ВПЧ).
• Плоские бородавки могут распространяться линейно после расчесов или травмы, например, в результате бритья.
• Лечение плоских бородавок особенно проблематично, поскольку они существуют длительно, расположены обычно на косметически значимых участках и устойчивы к терапии.
Плоские бородавки на щеке Плоская бородавка при увеличении. Обратите внимание на типичную маленькую папулу с уплощенной поверхностью Плоские бородавки над коленным суставом у молодой женщины, которые, возможно, распространились во время бритья ног
г) Клиника плоских бородавок. Множественные мелкие папулы с уплощенной поверхностью розового, светло-коричневого или светло-желтого цвета.
д) Типичная локализация на теле. Плоские бородавки обычно наблюдаются на лбу, вокруг рта, на тыльной стороне кистей, а также на участках сбривания волос, таких как нижняя часть лица у мужчин и голени у женщин.
е) Анализы при заболевании. Хотя биопсия обычно не требуется, при необходимости диагноз можно подтвердить, исследовав биоптат, полученный методом тангенциального иссечения.
ж) Дифференциальная диагностика плоских бородавок:
• Папулы с плоской поверхностью, которые можно принять за плоские бородавки наблюдаются при плоском лишае. Необходимо выявить характерные признаки плоского лишая, такие как симметричное расположение элементов, лиловый оттенок окраски и сетчатые очаги на слизистой полости рта (полосы Уикхема - сетчатый тонкий белый рисунок на очагах). Типичное расположение очагов плоского лишая иное, чем плоских бородавок. Наиболее характерные места поражения - лодыжки, запястья и спина.
• Очаги себорейного кератоза имеют более темную пигментацию и выглядят как «насаженные» или «наклеенные» образования, при внимательном рассмотрении заметны «роговые кисты».
• Плоскоклеточная карцинома подозревается, если наблюдается неравномерный рост, пигментация, изъязвление очагов или резистентность к терапии, особенно при локализации образования на открытых воздействию солнца участках и при иммунодефицитпых состояниях.
Плоские бородавки Плоские бородавки
з) Лечение плоских бородавок:
• Специфической противовирусной терапии, которая бы воздействовала на ВПЧ, в настоящее время не существует.
• Вариантами лечения плоских бородавок являются салицилаты, 5 фторурацил, криотерапия или третиноин.
• Лечение местными препаратами салициловой кислоты в форме жидкости или пластыря является наиболее эффективным для всех типов бородавок. Согласно данным, полученным в пяти плацебоконтролируемых исследованиях, успех был достигнут в 73% случаев. Применяется четыре курса лечения. Салициловая кислота более приемлема для лечения очагов на ногах, чем на лице.
• При плоских бородавках может применяться 5-фторурацил (крем Efudex 5%, Flouroplex 1%). Крем наносится на пораженные участки два раза в день в течение 1-5 недель. Поскольку препарат вызывает повышенную фоточувствительность, в период лечения необходима защита от воздействия солнечного излучения. После применения препарата иногда остается стойкая гипо- или гиперпигментация, но эту нежелательную реакцию можно свести к минимуму, используя аппликатор с ватным наконечником для точного воздействия на очаг, устраняющего захват прилегающих участков.
• Также при плоских бородавках может применяться криохирургия. Участки, подвергнутые криотерапии, как правило, хорошо заживают, и дополнительной анестезии не требуется, что важно, когда плоские бородавки занимают большую площадь. Жидкий азот подается до тех пор, пока границы шарика заморозки не превысят пределы очага на 1-2 мм: при плоских бородавках для этого обычно требуется 5-10 секунд. В зонах заморозки могут наблюдаться гипонигментация, потеря волос и разрушение потовых желез. Методика проведения и реакция на лечение те же, что и при обычных бородавках.
• Еще один метод терапии - применение крема третиноина в концентрациях 0,023%, 0,05% или 1,0%. Препарат наносится перед сном на весь пораженный участок. Частоту применения подбирают индивидуально, добиваясь легкого мелкого шелушения и эритемы. Важно обеспечить защиту от солнца. Лечение может потребовать нескольких недель или месяцев, в конце концов, оказавшись неэффективным. В поддержку этого метода не найдено ни одного опубликованного исследования.
и) Консультирование врачом пациента:
• Чтобы предотвратить распространение бородавок, пациенты не должны прикасаться к очагам и расчесывать их.
• Для профилактики распространения бородавок бритвы, которыми пользуются в области очагов, не должны применяться на здоровой коже или другими людьми.
к) Наблюдение пациента врачом:
• Для оценки эффективности лечения необходимо запланировать повторную встречу с пациентом через 2-3 недели после окончания курса лечения.
л) Список использованной литературы:
1. Williams Н, Pottier A, Strachan D. Are viral warts seen more commonly in children with eczema? Arch Dermatol. 1993;129:717-720.
2. Gibbs S, Harvey I.Topical treatments for cutaneous warts. Cochrane Database of Systematic Reviews 2006, Issue 3. Art. No.: CD001781. DOI: 10.1002/14651858.CD001781. pub2.
3. Lockshin NA. Flat facial warts treated with fluorouracil. Arch Dermatol. 1979;115:929-1030.
4. Lee S, Kim J G, Chun SI.Treatment of verruca plana with 5% 5-fluorouracil ointment. Dermatologica. 1980; 160:383-389.
5. Culler K, Kagen MH, Don PC, McAeer P,Weinberg JM.Treatment of facial verrucae with topical imiquimod cream in a patient with human immunodeficiency virus. Acta Derm Venereol. 2000;80:134-135.
6. Kim MB.Treatment of flat warts with 5% imiquimod cream, 1 Eur Acad Dermatol Venereol 2006;20( 10): 1349— 1350,
7. Schwab R A, Elston DM.Topical imiquimod for recalcitrant facial flat warts. Cutis. 2000;65:160-162.
Плоская бородавка
Плоская бородавка — доброкачественное кожное образование, представляющее собой плоский узелок размером до 5 мм, незначительно возвышающийся над поверхностью кожного покрова. Плоские бородавки, как правило, множественные и располагаются группами на лице, тыле кистей, голенях. Диагноз основывается на визуальном осмотре образования и подтверждается проведением гистологического исследования удаленной бородавки. Лечение плоских бородавок заключается в их удалении жидким азотом, электрокоагуляцией, радиоволновым методом или при помощи лазера.
Плоские бородавки относятся к доброкачественным новообразованиям кожи, несклонным к злокачественной трансформации. Встречаются они довольно редко и составляют около 4% от всех бородавок. Чаще всего плоские бородавки наблюдаются у молодых людей и детей. По этой причине они получили свое второе название — юношеские. Диагностикой и лечением плоских бородавок занимается дерматология.
Причины возникновения плоской бородавки
Как и другие виды бородавок, а также папилломы и кондиломы, плоские бородавки являются следствием инфицирования человека вирусом папилломы (ВПЧ). Вирус передается от человека к человеку контактным путем при прямом контакте во время рукопожатия, объятий или через поцелуй, а также опосредованно через поручни и перила, ручки дверей, лифтовые кнопки, библиотечные книги, различные предметы общего пользования и т. п.
Заражение ВПЧ происходит через мелкие повреждения (порезы, царапины) на коже или слизистых. Из поверхностных слоев кожи вирус проникает внутрь человеческого организма, персистирует в нервной системе и остается там практически навсегда. При этом ВПЧ долгое время может никак не проявляться клинически. Появление плоских бородавок связано с активным размножением вируса в коже, приводящим к ее локальному разрастанию. Активация вируса может быть обусловлена снижением общего иммунитета, испугом, эмоциональным напряжением, хроническими стрессовыми ситуациями.
Постоянное нахождение ВПЧ в организме человека обуславливает частое рецидивирование плоской бородавки после ее удаления. Кроме того, при травмировании бородавки или ее неадекватном лечении может происходить самозаражение ВПЧ и распространение процесса в здоровые участки кожи с появлением на них новых плоских бородавок.
Проявления плоской бородавки
Плоская бородавка — это слегка возвышающаяся над общей поверхностью кожи папула (узелок) с плоской верхушкой, имеющая округлую или неправильную форму. Плоская бородавка имеет четкие границы и гладкую поверхность. Отличительной особенностью является отсутствие процессов ороговения кожи в области бородавки, благодаря чему поверхность ее остается гладкой и блестящей, без образования каких-либо выростов. Окраска плоской бородавки варьирует от цвета здоровой кожи до розового или светло-коричневого, размер не превышает 5 мм. Характерно отсутствие кожного рисунка на поверхности бородавки.
Обычно плоские бородавки появляются группами из нескольких обособленных друг от друга элементов, не склонных к слиянию. Их типичная локализация — кожа лица (чаще всего подбородок и лоб), тыльная поверхность кистей, голени. Появление плоских бородавок не связано с какими-либо неприятными ощущениями. Однако они представляют собой заметный косметический дефект, в связи с чем могут вызывать у пациента психологический дискомфорт, особенно при расположении бородавок на лице. В некоторых случаях в области бородавок отмечается незначительный зуд.
Диагностика плоской бородавки
Диагноз плоской бородавки дерматолог устанавливает путем тщательного визуального осмотра и дополнительной дерматоскопии образования. Гистологическое исследование тканей бородавки после ее удаления позволяет подтвердить диагноз со 100% точностью. Для выявления инфицированности пациента ВПЧ проводится ПЦР исследование. В плане онконастороженности пациентам с бородавками рекомендовано обследование на ВПЧ высокого канцерогенного риска.
Дифференциальную диагностику плоской бородавки проводят в основном с другими видами бородавок. От бородавки обыкновенной плоская бородавка отличается более мелким размером и плоской поверхностью, от нитевидной бородавки — отсутствием разрастаний, от подошвенной — другой локализацией.
Лечение плоской бородавки
Достаточно часто отмечается самопроизвольное исчезновение плоских бородавок. Кроме того, благодаря своей форме они редко подвергаются травмированию. Поэтому удаление плоской бородавки связано в основном с желанием пациента избавиться от нее как от косметического дефекта.
Существует множество народных рецептов лечения плоских бородавок. Однако самолечение чревато развитием осложнений, распространением вируса папилломы человека по организму и возникновением новых бородавок. При принятии решения об удалении плоской бородавки лучше всего обратиться за помощью к дерматологу. Врач подберет наиболее оптимальный способ лечения, при необходимости назначит противовирусный курс терапии ВПЧ.
Учитывая частое расположение плоских бородавок на лице, следует сразу заметить, что для их удаления не подходит хирургическое иссечение или электрокоагуляция, поскольку эти способы лечения часто приводят к образованию на месте удаления рубцов. Криодеструкция бородавки сопряжена с опасностью слишком глубокого замораживания тканей, после которого также может остаться рубец.
Наиболее эффективными методами, дающими хороший косметический результат, являются радиоволновое удаление и их удаление бородавок лазером. Их применение позволяет произвести оптимальную глубину воздействия и обеспечивает одновременную коагуляцию сосудов, что препятствует распространению вируса.
К осложнениям удаления плоских бородавок относятся: ожоги, образование рубцов, неполное удаление бородавки, приводящее к ее разрастанию. Применение современных способов удаления, профессионализм и опытность врача. Осуществляющего лечение, сводят возможность развития осложнений к минимуму. Единственное, чего не может гарантировать ни один способ лечения плоской бородавки — это отсутствие ее повторного возникновения после удаления. Это связано с постоянным пребыванием ВПЧ в организме. Удаление бородавок на фоне проводимой противовирусной терапии способствует переходу вируса в латентное состояние и снижает риск рецидива.
Подошвенная бородавка
Подошвенная бородавка — твердое и плоское образование на коже стопы, несколько возвышающееся над ее уровнем и покрытое слоем ороговевшего эпителия. Основной метод диагностики подошвенной бородавки — дерматоскопия. Расположение бородавки на подошве приводит к ее постоянному травмированию и возникновению болезненности во время ходьбы. По этой причине подошвенная бородавка часто требует лечения, хотя и может пройти самостоятельно. К методам удаления относятся криотерапия, электрокоагуляция, удаление радиоволновым аппаратом или лазером.
Подошвенная бородавка относится к доброкачественным новообразованиям кожи и составляет примерно 34% от всех бородавок. Диагностированием и лечением бородавок занимается дерматология. Применение народных методов избавления от бородавок и самолечение крайне нежелательно. Подошвенная бородавка имеет глубоко уходящий в кожу корень и его неполное удаление приведет к новому росту бородавки, а излишнее повреждение окружающих тканей — к появлению бородавок на других участках тела.
Причины возникновения подошвенной бородавки
Папилломы, кондиломы и все виды бородавок (обыкновенные, плоские, нитевидные, подошвенные) имеют одинаковую природу — заражение организма вирусом папилломы (ВПЧ). Вирус распространяется среди людей через инфицированные клетки кожи (контактным путем). Наиболее благоприятной для него является влажная и теплая среда. Поэтому заражение ВПЧ часто происходит в бассейнах, саунах, банях и спортивных залах. При достаточно сильной работе иммунитета ВПЧ в организме человека пребывает в латентном состоянии и не дает клинических проявлений. Сбой в иммунной системе приводит к активации вируса и появлению на коже вышеуказанных образований.
Развитию подошвенной бородавки может способствовать избыточная потливость (гипергидроз) или сухость кожи стоп; неудобная обувь, вызывающая сдавление или трение кожи стопы; различные деформации стопы (плоскостопие, деформирующий остеоартроз, артриты мелких суставов стопы); заболевания, приводящие к нарушению трофики тканей стопы (сахарный диабет, варикоз нижних конечностей, атеросклероз и др.), повреждения кожи стопы.
Проявления подошвенной бородавки
Подошвенная бородавка представляет собой твердое четко отграниченное уплотнение на подошве. Чаще всего она имеет овальную или округлую форму и размер около 1-2 см. Образование на 1-3 мм выступает над общим уровнем кожного покрова. Цвет кожи в области подошвенной бородавки обычно не изменен, но может быть светло-коричневым или розовым.
Поверхность бородавки в начале ее образования гладкая. Со временем она покрывается наслоениями ороговевшего эпидермиса, становится шероховатой и приобретает серо-желтый оттенок. Иногда в центре подошвенной бородавки отмечается кратероподобное углубление. Черно-коричневые точки, которые нередко можно увидеть на поверхности бородавки, обусловлены тромбированием поверхностных капилляров.
Как правило, подошвенная бородавка носит единичный характер. Появление дочерних бородавок свидетельствует о высокой активности вируса. Множественные бородавки придают мозаичный рисунок пораженному участку подошвы, за что и были названы «мозаичными бородавками».
Может наблюдаться самостоятельное исчезновение подошвенной бородавки. В таком случае на коже стопы не остается никакого следа. Но чаще, из-за постоянного травмирования, саморазрешение бородавки не происходит. Не болезненная сама по себе, она начинает причинять пациенту значительный дискомфорт и даже резкую боль, связанную с трением и давлением бородавки о подошву обуви.
Диагностика подошвенной бородавки
По своему внешнему виду подошвенная бородавка часто напоминает мозоль или участок кожного гиперкератоза. Отличить ее от этих образований может только профессиональный дерматолог. Для этого проводится дерматоскопия. Чтобы лучше исследовать образование врач предварительно производит соскабливание верхних слоев ороговевшего эпителия. Отсутствие кожного рисунка на поверхности образования и выявление характерного симптома «тромбированных капилляров» говорят в пользу подошвенной бородавки. Положительные результаты ПЦР-диагностики на ВПЧ подтверждают инфицированность пациента.
Для определения глубины прорастания подошвенной бородавки пациенту назначается УЗИ кожного образования. При подозрении на злокачественный характер образования проводится консультация дерматоонколога. При выявлении деформаций и заболеваний стопы необходима консультация подолога.
Подошвенную бородавку дифференцируют с кератодермией подошв и ладоней при синдроме Райтера. Меньшие размеры образования, не коническая, а плоская форма, симптом «тромбированных капилляров» и отсутствие воспалительных изменений вокруг ороговевших наслоений позволяют отличить подошвенную бородавку от кератодермии. Ладонно-подошвенные сифилоиды имеют некоторое сходство с подошвенной бородавкой. От последней их отличают множественный характер, безболезненность и характерное расположение в виде колец или дуг, положительный RPR-тест на сифилис.
Лечение подошвенной бородавки
Удаление подошвенной бородавки осложнено ее более глубоким, по сравнению с другими видами бородавок, прорастанием в дерму. По этой причине электрокоагуляция, например, не всегда подходит для избавления от бородавки. Ее применение возможно только в случае неглубокого расположения подошвенной бородавки и часто осложняется образованием рубца.
Хорошие результаты дает криодеструкция бородавки. Ее результат зависит от опытности врача, так как слишком глубокое воздействие может привести к заживлению ранки с образованием рубца, а слишком поверхностное — к рецидиву бородавки. После обработки жидким азотом на месте бородавки остается волдырь, который нельзя травмировать до момента его заживления (около 7 дней). Удаление лазером дает лучший косметический результат и позволяет регулировать глубину воздействия наиболее оптимальным образом. Удаление бородавок лазером производится быстро и безболезненно, а заживление занимает несколько дней.
Для удаления подошвенной бородавки может быть применен также радиоволновой метод, при котором бородавка вырезается радионожем. Одновременно происходит прижигание сосудов, что предупреждает кровотечение и попадание вируса из бородавки в кровь. Хирургическое иссечение подходит для подошвенных бородавок большого размера. Оно проводится обычным скальпелем под местным обезболиванием и может осложниться образованием рубца.
Профилактика подошвенной бородавки
Первичная профилактика появления подошвенной бородавки состоит в предупреждении инфицирования ВПЧ. Особое внимание при этом следует уделить обязательному ношению индивидуальной обуви в общественных душевых, бассейнах и банях. Немаловажное значение, особенно для людей с заболеваниями стоп, имеет правильный уход за кожей стопы: регулярный педикюр, пилинг стоп и их обработка размягчающими средствами.
Пациентам с деформацией стоп необходимо пользоваться ортопедическими стельками, ортезами, разгрузочными корректорами. При повышенной потливости ступней важно подбирать обувь из натуральных материалов и использовать подсушивающие средства. При сухости и трещинах на коже подошв необходимы питательные и увлажняющие кремы, лечебные ванночки для ног.
Вторичная профилактика подошвенной бородавки заключается в назначении пациенту наряду с удалением бородавки противовирусных препаратов и иммунокорректоров.
Бородавки. Клиника и диагностика
а) Пример из истории болезни. К врачу привели 11-летнюю девочку с бородавками на пальцах, неподдающимися лечению безрецептурными лекарственными средствами. Бородавки вызывали беспокойство у матери и ребенка, поэтому они хотели от них избавиться. Мать обеспокоена также тем, что бородавки повреждают ногти ребенка. Девочка выдержала дискомфортное лечение жидким азотом и выразила желание удалить таким способом все свои бородавки. Матери рекомендовали купить 40% салициловую кислоту, чтобы продолжить лечение в домашних условиях, удаляя любые остаточные бородавки.

Обыкновенные бородавки на кисти у 11-летней девочки. Такие околоногтевые бородавки особенно трудно поддаются эрадикации
Вирус папилломы человека (ВПЧ) представляет собой ДНК-содержащий вирус, поражающий кожу и слизистые оболочки. Самым распространенным клиническим проявлением инфицирования этим вирусом являются бородавки. Существует более 150 различных подтипов ВПЧ, выделенных па основании тестирования ДНК. Некоторые из них инфицируют специфические участки тела или типы эпителия. Отдельные типы ВПЧ способны вызывать озлокачествление, но на ороговевшей коже такая трансформация происходит редко.
• Бородавки встречаются у 10% детей, подростков и молодых взрослых. Они чаще всего наблюдаются в возрасте между 12 и 16 годами.
• Кожные бородавки чаще всего наблюдаются у детей и молодых взрослых. Они достаточно широко распространены у торговцев мясом. К другим предрасполагающим факторам относятся атопический дерматит и пониженный клеточно-опосредуемый иммунитет, например, при СПИДе или приеме иммуносупрессивных средств.
• Заражение ВПЧ происходит при контакте кожи с кожей и возможно при нарушении целостности эпителия, вызванной мацерацией или травмой, что позволяет вирусу инфицировать базальные слои.
• Бородавки нередко поражают кожу па противоположных пальцах, образуя картину «целующихся бородавок».
• Лица с субклинической инфекцией могут служить резервуаром для ВПЧ.
• Инкубационный период после инокуляции длится примерно 2-6 месяцев.
• 60-70% кожных бородавок обычно разрешаются через 3-24 месяца без лечения.
Увеличенное изображение обыкновенной бородавки на бедре у молодого человека. Обратите внимание на цилиндрические выступы на поверхности бородавки Бородавки могут поражать кожу на соседних пальцах, образуя картину «целующихся бородавок»
г) Клиника и диагностика бородавок:
• Диагноз бородавок базируется на клинической картине. Бородавка скрывает нормальный кожный рисунок.
• Обыкновенные бородавки (verruca vulgaris) представляют собой четко очерченные, твердые шершавые папулы с неровной, имеющей выступы поверхностью. Бородавки обычно бессимптомные, за исключением тех случаев, когда они расположены на подвергающихся давлению участках.
• Бородавки могут образовывать цилиндрические выросты. Такие выросты четко видны на пальцевых бородавках. Выросты часто сливаются, образуя четко организованный мозаичный узор на поверхности обыкновенных бородавок.
д) Типичная локализация на теле:
• К местам типичной локализации относятся тыльная поверхность кисти, межпальцевые промежутки, сгибательные поверхности и области вокруг ногтей (околоногтевые бородавки).
е) Биопсия при заболевании:
• Если хирургическим скальпелем удалить поверхностный слой бородавки, можно заметить точечные геморрагические капилляры или черные точки, которые представляют собой тромбированные капилляры. При сомнительном диагнозе рекомендуется выполнить биопсию путем тангенциального иссечения.
Бородавки Бородавки
ж) Дифференциация бородавок:
• Высыпания себорейного кератоза обычно имеют более темную окраску и выглядят как «наклеенные» или «насаженные», а при рассмотрении с близкого расстояния заметны «роговые кисты». Они также распространены по всему телу.
Читайте также:
- Диагностика нарушений гемостаза - коагулограмма
- Иммуногенность вакцин. Оценка иммуногенности вакцинации.
- Как замаскировать синяки под глазами? Убираем синяки
- Признаки растяжения капсулы и адгезивного капсулита плечевого сустава на артрограмме
- Профилактика вредных привычек. Ортопедическая аппаратура.
