Плоскоклеточный рак грушевидного синуса - лучевая диагностика
Добавил пользователь Евгений Кузнецов Обновлено: 09.11.2025
Плоскоклеточный рак грушевидного синуса - лучевая диагностика
а) Терминология:
• Злокачественная опухоль слизистой оболочки одного из отделов гортаноглотки:
о 2/3 всех случаев плоскоклеточного рака (ПКР) гортаноглотки возникают в грушевидном синусе
б) Визуализация:
• Глоточно-надгортанная складка до заперстневидной области:
о Может проявляться как небольшая первичная опухоль с лимфаденопатией
о Размер опухоли может быть больше и соответствовать стадии ТЗ-Т4; минимальная симптоматика, метастатичесая лимфаденопатия
• Возникает в области вершины, а также передней, задней, или наружной стенки
• Может заполнять грушевидный синус и (или) вызывать круговое поражение
• Обратите внимание, что ПКР черпалонадгортанной складки относится к ПКР надсвязочного отдела гортани и стадирование его осуществляется иначе
• ПЭТ с ФДГ/КТ с КУ: эффективный метод для стадирования первичного объемного образования грушевидного синуса, лимфатических узлов и отдаленных метастазов
(Слева) На изображении в сагиттальной плоскости показан ПКР грушевидного синуса. Опухоль расположена в передней стенке и распространяется в жировую клетчатку, окружающую гортань. Такое расположение опухоли не приводит обструкции дыхательных путей или нарушению глотания.
(Справа) При аксиальной КТ с КУ у мужчины 65 лет - заядлого курильщика, предъявляющего жалобы на боль в горле, визуализируется объемное образование, заполняющее правый грушевидный синус. Образование распространяется поверхностно на все стенки синуса, однако не распространяется кпереди в жировую ткань или кнаружи в щитовидный хрящ. (Слева) Аксиальная МРТ в режиме Т1ВИ С+ FS: объемное образование (ПКР), накапливающее контраст в меньшей степени, чем слизистая оболочка гортани и гортаноглотки. Правая черпалонадгортанная складка смещена кпереди, однако поверхность гортани не выглядит измененной.
(Справа) При МРТ Т1ВИ С+ FS в корональной проекции у этого же пациента визуализируется объемное образование, заполняющее вершину грушевидного синуса/ Опухоль вплотную прилежит к хрящу Ев, но не прорастает в него или в мягкие ткани снаружи. Была выполнена ПЭТ/КТ, поскольку возникло подозрение на вторичное поражение костей, но результаты оказались отрицательными. Стадия опухоли соответствует T2N1М0.
в) Дифференциальная диагностика:
• Паралич голосовой связки
• Супраглоттит
• Киста четвертой жаберной щели
• Злокачественное новообразование малой слюнной железы гортаноглотки
г) Патология:
• Имеется сильная связь с курением табака и употреблением алкоголя
• Лучевая терапия в анамнезе также является фактором риска
д) Клинические особенности:
• Симптоматика часто выражена минимально: боль в горле, дисфагия, оталгия
• В 75% случаев рак грушевидного синуса проявляется лимфаденопатией
• Лимаденопатия часто двухсторонняя (N2c)
• В 20-40% случаев возникают отдаленные метастазы
• Общая пятилетняя выживаемость: - 40%
• У 16% пациентов имеется вторая первичная опухоль
КТ, МРТ при плоскоклеточном раке заперстневидной области
а) Определение:
• Плоскоклеточный рак (ПКР) слизистой оболочки, покрывающей задний край перстневидного хряща:
о Один из трех отделов гортаноглотки:
- Три отдела гортаноглотки: грушевидные синусы, задняя стенка, заперстневидная область
б) Визуализация:
1. Общая характеристика:
• Лучший диагностический критерий:
о Иррегулярное образование, умеренно накапливающее контраст, инфильтрирующее перстневидный хрящ и гортань
• Локализация:
о Слизистая задней поверхности перстневидного хряща:
- Передняя стенка нижних отделов гортаноглотки
- От черпаловидных хрящей до нижнего края перстневидного хряща

(Слева) На рисунке показана опухоль гортаноглотки, имеющая неправильную форму, расположенная в слизистой оболочке, покрывающей задний край перстневидного хряща. На рисунке также показана эрозия хряща. Обратите внимание, что проксимальный отдел пищевода (шейный сегмент) располагается сразу же каудальнее заперстневидного отдела гортаноглотки.
(Справа) При сагиттальной КТ с КУ визуализируется экзофитное объемное образование, расширяющее нижние отделы гортаноглотки, расположенное сзади от перстневидного хряща; признаков деструкции хряща не определяется. Обратите внимание, что опухоль (плоскоклеточный рак, стадия T3N0) распространяется каудальнее нижнего края перстневидного хряща в шейный сегмент пищевода.
2. КТ при плоскоклеточном раке заперстневидной области:
• КТ с КУ:
о Иррегулярное образование, вариабельно контрастирующееся, растягивающее нижние отделы гортаноглотки
о Инфильтрирует перстневидный хрящ и гортань (спереди)
3. МРТ при плоскоклеточном раке заперстневидной области:
• Т1 ВИ: изоинтенсивный (по сравнению с мышцами) сигнал, Т2 ВИ: умеренно гиперинтенсивный сигнал
• Минимальное или умеренное накопление контраста
4. Рекомендации по визуализации:
• Лучший метод диагностики:
о КТ с КУ, т.к. длительные МР-исследования приемлемы не для всех пациентов
о МРТ может использоваться для подтверждения инвазии хряща
• Выбор протокола:
о КТ с КУ с реформатированием в сагиттальной и корональной плоскости
5. Сцинтиграфия:
• ПЭТ/КТ:
о ПКР (первичная опухоль и лимфоузлы) достоверно накапливает ФДГ

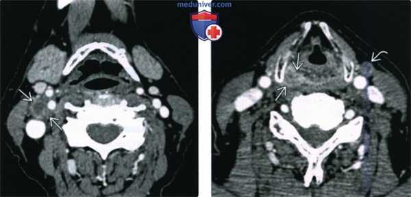
(Слева) Аксиальная КТ с КУ: опухоль, минимально накапливающая контраст, инфильтрирует черпаловидные хрящи и мягкие ткани вокруг них, но заглоточная жировая ткань В сзади визуализируется отчетливо. Сохранность заглоточной жировой клетчатки помогает отличить рак за перстневидной области от опухоли задней стенки гортаноглотки. Визуализируются измененные лимфатические узлы справа.
(Справа) При аксиальной КТ с КУ на более каудальном уровне определяется утолщение гортаноглотки и неравномерная деструкция перстневидного хряща с распространением опухоли в задние отделы гортани. Отмечается шейный лимфоузел справа. Эта опухоль представляет собой ПКР (T4aN2c).
в) Дифференциальная диагностика плоскоклеточного рака заперстневидной области:
1. Фарингит:
• Инфекция/воспаление слизистой оболочки, чаще всего у пациентов с иммунодефицитом
2. ПКР задней стенки гортаноглотки:
• Часто распространение опухоли из заперстневидной области
• Может быть сложно отличить от ПКР заперстневидной области при спадении гортаноглотки
3. Рак шейного сегмента пищевода:
• Редкая первичная опухоль; может распространяться краниально в гортаноглотку
г) Патология:
1. Общая характеристика:
• Этиология:
о Сильная связь с курением и употреблением алкоголя
о У 16% пациентов с синдромом Пламмера-Винсона развивается ПКР заперстневидной области
2. Стадирование, классификация:
• Американский Объединенный Комитет по Раку (АОКР) 2010
• Стадирование рака заперстневидной области аналогично ПКР других отделов гортаноглотки
д) Клинические особенности:
1. Проявления:
• Типичные признаки/симптомы:
о Боль в горле, дисфагия
• Другие признаки/симптомы:
о Объемное образование шеи (увеличенные лимфоузлы)
2. Демография:
• Возраст:
о Пик: 7-й десяток лет жизни
• Пол:
о М >> Ж
• Эпидемиология:
о Рак заперстневидной области возникает относительно редко (20%):
- Грушевидный синус (65%), задняя стенка (15%)
о На момент установления диагноза опухоль обычно имеет большой размер
3. Течение и прогноз:
• ПКР заперстневидной области имеет тенденцию к подслизистому распространению:
о Чаще всего каудально в пищевод (ТЗ) или краниально в ротоглотку
• Во многих случаях поздно проявляет себя - лишь при инвазии гортани
• В 60% наблюдается лимфаденопатия (III и IV уровня), часто двухсторонняя
• Наихудший прогноз среди всех вариантов ПКР головы и шеи:
о Общая пятилетняя относительная выживаемость = 30%
о Пятилетняя относительная выживаемость: 1 стадия = 49%, 4 стадия = 23%
4. Лечение:
• Небольшие опухоли (Т1-Т2):
о Выявляются редко; фарингэктомия/химиолучевая терапия
• Опухоли большего размера (Т2) могут поддаваться химиолучевой терапии
• Т3, Т4а: ларингофарингэктомия и шейная лимфодиссекция:
о Органосохраняющий метод лечения: химиолучевая терапия
• Т4b: химиолучевая терапия
е) Диагностическая памятка:
1. Советы по интерпретации изображений:
• Лучевые изменения, повышающие стадию заболевания:
о Т3: >4 см или инвазия пищевода
о Т4а: инвазия хряща или тканей возле гортани
о Т4b: обрастание сонных артерий, инвазия средостения или превертебральных тканей
• ПЭТ/КТ с КУ лучше всего подходит для первоначального стадирования
2. Рекомендации по отчетности:
• Опухоль часто бывает сложно обнаружить на томограммах:
о Объемное образование за голосовыми связками/подсвязочным отделом
о Опухоль часто прорастает в гортань: нужно оценивать инвазию перстневидного хряща
ж) Список использованной литературы:
1. Chen AY et al: Pitfalls in the staging squamous cell carcinoma of the hypopharynx. Neuroimaging Clin N Am. 23(1):67-79, 2013
2. Hall SF et al: TNM-based stage groupings in head and neck cancer: application in cancer of the hypopharynx. Head Neck. 31(1):1-8, 2009
а) Терминология:
1. Аббревиатура:
• Плоскоклеточный рак (ПКР) грушевидного синуса
2. Определение:
• Злокачественное образование слизистой оболочки одного из отделов гортаноглотки
• 2/3 случаев ПКР ротоглотки возникают в грушевидном синусе
1. Общая характеристика:
• Локализация:
о Глоточно-надгортанная складка до проксимальных отделов пищевода:
- Наружный край - боковая стенка глотки
- Внутренний край - наружная поверхность черпалонадгортанной складки, перстневидный и черпаловидный хрящи
• Размер:
о Варьирует: маленькая «неизвестная первичная опухоль» у пациента с лимфаденопатией или опухоль Т3-Т4 с минимальной симптоматикой
• Морфология:
о Иррегулярное инфильтративное и язвенное образование

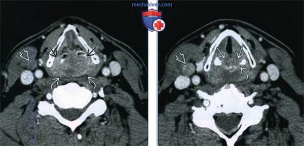
(Слева) При аксиальной КТ с КУ у курящего мужчины 55 лет, долгое время употребляющего алкоголь, у которого было обнаружено пальпируемое объемное образование шеи справа, возле бифуркации правой общей сонной артерии визуализируется увеличенный и некротически измененный лимфоузел II уровня. Была выполнена аспирационная биопсия, подтвердился ПКР. Тем не менее, первичную опухоль при клиническом обследовании выявить не удалось.
(Справа) При аксиальной КТ с КУ у этого же пациента в верхушке правого грушевидного синуса визуализируется небольшой, плохо различимый участок асимметричного накопления контраста, который был верифицирован как первичный ПКР. Обратите внимание на вторично измененный контрлатеральный лимфоузел с признаками некроза.
2. КТ при плоскоклеточном раке грушевидного синуса:
• КТ с КУ:
о Изъязвленное неправильное образование, слабо или умеренно контрастирующееся
о Может заполнять грушевидный синус и (или) вызывать круговое поражение его стенок
о Может возникать в области вершины, передней, задней, наружной стенки:
- Опухоль, расположенная в области вершины грушевидного синуса, может распространяться книзу в заперстневидную область:
Подслизистая опухоль незаметна клинически
- Передняя стенка: распространение в окологортанную клетчатку
- Боковая стенка: в окологлоточные ткани (Т4а):
Может прорастать через щитоподъязычную мембрану
Оцените признаки инвазии щитовидного хряща (Т4а)
А также признаки вовлечения сонных артерий (Т4b) при обрастании > на 270°
- Задняя стенка: инвазия превертебральных тканей (Т4b); лучевые методы диагностики позволяют исключить инвазию, но не в состоянии достоверно подтвердить ее
- В краниальном направлении часто распространяется в ротоглотку
о Обратите внимание, что ПКР черпалонадгортанной складки рассматривается как ПКР надсвязочного отдела гортани, и его стадирование осуществляется иначе
• КТ в костном окне:
о Необходимо оценить наличие эрозий хряща, деструкции или склероза:
- Склероз является высокочувствительным, но низкоспецифичным признаком, поскольку может быть обусловлен перихондритом
- Эрозия/деструкция - более точный признак инвазии
3. МРТ при плоскоклеточном раке грушевидного синуса:
• Признаки первичной опухоли:
о Т1 ВИ: низкая или промежуточная интенсивность, Т2 ВИ: промежуточная или высокая интенсивность
о Неравномерное накопление гадолиниевого контраста
• Признаки пенетрации хряща (Т4а) на МРТ:
о Гиперинтенсивный сигнал в хряще только на Т2 ВИ подозрителен на отек/перихондрит
о Пенетрация = прорастание хряща опухолью целиком
о Хрящ поражен, если
- Интенсивность сигнала в хряще на Т2ВИ =таковой в опухоли, и
- Интенсивность сигнала на Т1ВИ С+ FS = первичной опухоли
• Вторично измененные лимфоузлы могут быть солидными или некротическими:
о Необходимо обращать внимание на нечеткость краев лимфоузла как признак экстракапсулярного распространения
4. Сцинтиграфия:
• ПЭТ/КТ:
о Может использоваться для стадирования ПКР гортаноглотки на поздних стадиях для исключения метастазов в контрлатеральные лимфоузлы и М1
о Может быть полезен, когда метастатическая лимфаденопатия очевидна клинически, а первичная опухоль в грушевидном синусе скрыта
5. Рекомендации по визуализации:
• Лучший метод диагностики:
о ПЭТ/КТ с КУ лучше всего для стадирования ПКР грушевидного синуса, подтверждения лимфаденопатии, обнаружения отдаленных метастазов
о КТ с КУ часто выполняется в первую очередь
о МРТ-дополнительный метод для выявления инвазии хряща
• Выбор протокола:
о КТ с КУ: при спокойном дыхании пациента; с целью лучшей визуализации слизистой через 90 секунд после введения контраста в вену

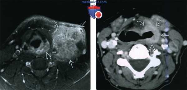
(Слева) Т1ВИ C+FS, аксиальная проекция: крупный конгломерат вторично измененных лимфоузлов. Определяются признаки эксгракапсулярного распространения опухоли и наличие новообразования в левом грушевидном синусе (низкодифференцированный ПКР, T2N2c). После химиолучевой терапии и удаления лимфоузлов с остаточной опухолью прошло четыре года, признаки рецидива не выявлены.
(Справа) При аксиальной КТ с КУ у пациента с жалобами на нарушение глотания и боль в ухе визуализируется образование, умеренно накапливающее контраст, вовлекающее все стенки грушевидного синуса, распространяющееся в окружающую клетчатку. Опухоль распространяется кзади в превертебральные мышцы в, заглоточная жировая клетчатка не визуализируется.
в) Дифференциальная диагностика плоскоклеточного рака грушевидного синуса:
1. Паралич голосовой связки:
• Вследствие расширения грушевидного синуса на стороне парализованной голосовой связки синус с другой стороны может выглядеть опухолеподобным
2. Супраглоттит:
• Воспалительное увеличение черпалонадгортанных складок
3. Киста четвертой жаберной щели:
• Аномалии третьей или четвертой жаберной щели чаще встречаются у пациентов младшего возраста
• Фистула грушевидного синуса: от вершины в нижние отделы шеи
4. Злокачественная опухоль малой слюнной железы гортаноглотки:
• Очень редкая опухоль гортаноглотки
• На МР Т2ВИ в большинстве случаев обладает сигналом неравномерной интенсивности с кистозными изменениями

(Слева) При аксиальной КТ с КУ, выполненной мужчине, похудевшему на 18 килограммов, визуализируется объемное образование (ПКР) неправильной формы, минимально накапливающее контраст, возникшее в грушевидном синусе и распространяющееся на наружную стенку ротоглотки, в т.ч. в мягкие ткани за ее пределами. Визуализируются увеличенные вторично измененные лимфатические узлы с признаками экстракапсулярного распространения опухоли в (T4aN3).
(Справа) При аксиальной КТ с КУ у мужчины 82 лет в задненаружной стенке грушевидного синуса визуализируется объемное образование (ПКР). Опухоль (T3N2bM1) сочетается с параличом левой голосовой связки, вызывает метастатическую лимфаденопатию, и метастазирует в легкие.
1. Общая характеристика:
• Этиология:
о Выраженная связь с курением и употреблением алкоголя
о Лучевая терапия также является фактором риска
• Сочетанные патологические изменения:
о В 16% случаев возникает вторая первичная опухоль:
- В 2/3 случаев метахронная, в 1/3-синхронная
- В 2/3 случаев в полости рта, гортани, пищеводе
- В 1/3 случаев - в легком, гортани
2. Стадирование, классификация плоскоклеточного рака грушевидного синуса:
• Стадирование опухолей всех трех отделов гортаноглотки (грушевидного синуса, заперстневидной области, задней стенки гортаноглотки) осуществляется с использованием одной системы
• Согласно Американскому Объединенному Комитету по Раку (АОКР) 2010
• Стадия N: аналогично опухолям ротоглотки и полости рта
• Возможные ошибки связаны с отсутствием абсолютной чувствительности (100%) методов визуализации в обнаружении инвазии превертебральной фасции:
о Сохранность заглоточной жировой пластинки: отсутствие инвазии
о Отсутствие жировой пластинки: инвазия/отсутствие инвазии
3. Макроскопические и хирургические особенности:
• Плохо отграниченное инвазивное или изъязвленное образование либо экзофитная опухоль гортаноглотки
4. Микроскопия:
• Плоскоклеточная дифференцировка, межклеточные мостики или кератинизация
1. Проявления:
• Типичные признаки/симптомы: о Боль в горле и дисфагия
о Отраженная боль в ухе:
- Внутренний гортанный нерв и аурикулярный нерв (ЧН X): иннервируют наружный слуховой проход и ушную раковину
• Другие признаки/симптомы:
о Пальпируемые лимфоузлы, неизвестное расположение первичной опухоли
2. Демография:
• Возраст:
о Обычно >50 лет
• Пол:
о М>Ж
• Эпидемиология:
о 65% ПКР гортаноглотки возникают в грушевидном синусе:
- 20% в заперстневидной области, 15% в задней стенке гортаноглотки
3. Течение и прогноз:
• Часто обнаруживается поздно (ТЗ или Т4); первичная опухоль может быть скрытой (Т1) и сочетаться с лимфаденопатией
• Частота лимфаденопатии достигает 75% из-за развитой сети лимфатических сосудов шеи:
о Чаще всего поражаются лимфоузлы II, III, IV уровня
о Часто наблюдается двухсторонняя лимфаденопатия (N2c)
• Возможно распространение опухоли кпереди (в гортань), поскольку вершина грушевидного синуса располагается на уровне голосовых связок
• В 20-40% случаев появляются отдаленные метастазы:
о В легких > в костях и печени
• Общая пятилетняя выживаемость: 40%:
о ПКР гортаноглотки: наихудший прогноз (ПКР головы и шеи)
• В 16% случаев обнаруживается вторая первичная опухоль:
о Что существенно снижает выживаемость
4. Лечение:
• Небольшие опухоли (Т1, в некоторых случаях - Т2): частичная (открытая или эндоскопическая ларингофарингэктомия) или лучевая терапия
• Большие опухоли: ларингофарингэктомия ± химиотерапия или лучевая терапия; тем не менее, чаще используется химиолучевая терапия ± органосохраняющие операции
• Лечение пациентов с опухолями на стадии Т4b: паллиативное, заключающееся в химиотерапии и (или) лучевой терапии
1. Следует учесть:
• Поскольку ПКР грушевидного синуса может обусловливать оталгию, пациенты с жалобами на боль в ухе нуждаются в лучевом исследовании глотки
2. Советы по интерпретации изображений:
• Небольшой ПКР грушевидного синуса: неизвестная первичная опухоль:
о Грушевидные синусы сложно оценить клинически
• ПКР большего размера может заполнять синус и распространяться в гортань; сложно определить, в какой стенке возникла опухоль:
о При КТ с пробой Вальсальвы или фонацией может обнаруживаться расширение грушевидного синуса
• Необходимо тщательно оценивать экстрафарингеальное распространение:
о Кпереди: в гортань
о Кнаружи: в щитоподъязычную мембрану, щитовидный хрящ
о Кзади: инвазия превертебральных тканей
о Каудально: в заперстневидную область гортаноглотки и пищевод
о Краниально: в ротоглотку
3. Моменты, которые необходимо отразить в заключении:
• У пациентов с ПКР гортаноглотки часто возникает вторая первичная опухоль
Рак гортаноглотки
Рак гортаноглотки – злокачественная опухоль нижней части глотки. На начальных стадиях протекает бессимптомно. В последующем возникают боли, ощущение инородного тела, першение, обильное слюноотделение, охриплость голоса, кашель и затруднения дыхания. Очередность появления признаков заболевания зависит от локализации неоплазии. Рак гортаноглотки склонен к агрессивному течению и раннему регионарному метастазированию. Диагноз устанавливают с учетом данных УЗИ шеи, КТ и МРТ гортаноглотки и фиброфаринголарингоскопии с биопсией. Лечение – резекция гортаноглотки, расширенная ларингэктомия, лимфаденэктомия, химиотерапия, радиотерапия.
Общие сведения
Рак гортаноглотки считается тяжелым, неблагоприятно протекающим онкологическим процессом, что обусловлено сложностью анатомического строения данной области, быстрым местным ростом неоплазии, ранним появлением лимфогенных метастазов, низкой эффективностью консервативной терапии и калечащим характером хирургических вмешательств. Средняя пятилетняя выживаемость при раке гортаноглотки составляет примерно 30%. Лечение осуществляют специалисты в сфере онкологии и отоларингологии.
Патанатомия
От 60 до 75% раков гортаноглотки локализуются в зоне грушевидных синусов. 20-25% неоплазий обнаруживаются на задней стенки гортаноглотки. Реже наблюдается поражение позадиперстневидной зоны. Примерно в 50% случаев при проведении гистологического исследования обнаруживается плоскоклеточный ороговевающий рак гортаноглотки. Около 30% приходится на плоскоклеточные неороговевающие новообразования и около 7% - на недифференцированные формы рака. В остальных случаях данные о гистологическом строении опухоли отсутствуют. Обычно наблюдается экзофитный рост рака гортаноглотки по направлению к гортани.
Подслизистый слой данной анатомической зоны содержит большое количество продольно расположенных лимфатических сосудов, объединяющихся в более крупные коллекторы. Клетки рака гортаноглотки попадают в эти сосуды и распространяются по лимфатической системе, что объясняет высокую частоту лимфогенного метастазирования. Кроме того, от гортаноглотки отходят коллекторы, собирающие лимфу из внеорганных лимфатических сосудов, располагающихся в области наружных стенок органа.
Причины
Причины возникновения рака гортаноглотки точно не выяснены, однако установлено, что существенное значение в развитии данного заболевания имеют повторяющиеся неблагоприятные химические и термические воздействия. В числе других факторов риска рака гортаноглотки исследователи указывают курение, частый прием крепких спиртных напитков, а также привычку употреблять слишком горячую и слишком острую пищу. Определенную роль играют наследственная предрасположенность и иммунные нарушения.
Классификация
С учетом распространенности местного онкологического процесса в соответствии с классификацией TNM различают следующие стадии рака гортаноглотки:
- Т1 – неоплазия диаметром менее 2 см располагается в пределах одной анатомической зоны гортаноглотки.
- Т2 – рак гортаноглотки размером 2-4 см распространяется на несколько анатомических зон либо поражает близлежащие структуры, фиксация половины гортани отсутствует.
- Т3 – выявляется узел диаметром более 4 см в сочетании с поражением нескольких анатомических зон или близлежащих структур, либо неоплазия размером 2-4 см в сочетании с фиксацией половины гортани.
- Т4 – рак гортаноглотки поражает хрящи, мышцы и жировую клетчатку, сонную артерию, щитовидную железу, пищевод и другие близлежащие анатомические образования.
Буквой N обозначают вторичные очаги в лимфоузлах, буквой M – в отдаленных органах.
Симптомы рака гортаноглотки
Какое-то время заболевание может протекать бессимптомно. Характерным признаком рака гортаноглотки является триада, обнаруживающаяся более чем у 50% больных и включающая в себя дисфагию, боли в горле и иррадиирующие боли в ушах. Специалисты считают целесообразным выделять две группы местных симптомов рака гортаноглотки: гортанные и глоточные. К числу глоточных симптомов относят дисфагию, першение, чувство инородного тела, боли и неприятные ощущения при глотании, а также усиленное слюноотделение.
В список гортанных симптомов включают изменение голоса, кашель (возможно – с кровью) и одышку, обусловленную сужением гортани. Очередность возникновения клинических признаков рака гортаноглотки определяется расположением и направлением роста неоплазии. Нередко первым проявлением опухоли становится увеличение шейных лимфоузлов. При прогрессировании рака гортаноглотки местная симптоматика становится более выраженной, дополняется общими признаками онкологического заболевания. Отмечаются слабость и потеря веса, выявляются признаки раковой интоксикации.
Диагностика
Диагноз устанавливается на основании жалоб, истории заболевания, пальпации шеи и данных дополнительных исследований. Из-за неспецифичности проявлений начальные стадии рака гортаноглотки нередко принимают за проявления хронического тонзиллита или хронического фарингита, что указывает на необходимость проявлять повышенную онкологическую настороженность при обследовании пациентов из группы риска (в возрасте старше 40 лет, курящих, злоупотребляющих алкоголем и острой пищей).
При постановке диагноза учитывают результаты КТ и МРТ гортаноглотки и УЗИ шеи. Решающую роль в выявлении рака гортаноглотки играют данные фиброфаринголарингоскопии. При проведении исследования специалист осуществляет визуальную оценку размера, локализации и структуры новообразования, а затем выполняет биопсию подозрительного участка. Окончательный диагноз выставляют онкологи на основании гистологического исследования.
Лечение рака гортаноглотки
Лечение рака гортаноглотки представляет собой сложную задачу, что обусловлено быстрым распространением опухоли, сложностью анатомо-топографических взаимоотношений органов этой зоны, а также высокой распространенностью сопутствующих заболеваний. Согласно данным исследований, у 75% пациентов с раком гортаноглотки выявляются нарушения деятельности сердечно-сосудистой системы, у 68% – дыхательной системы. Более чем у половины больных диагностируются воспалительные заболевания легких и верхних дыхательных путей. Все перечисленное создает ограничения при выборе способов лечения рака гортаноглотки и увеличивает вероятность развития осложнений во время операций и в послеоперационном периоде.
Лечебная тактика определяется распространенностью онкологического процесса. При небольших неоплазиях первой стадии осуществляют дистанционную лучевую терапию либо проводят резекцию гортаноглотки. При раке гортаноглотки первой и второй стадии без вовлечения верхушки грушевидного синуса необходима ларингэктомия выше уровня голосовой щели. На поздних стадиях рака гортаноглотки требуется расширенная ларингэктомия, лимфаденэктомия, иссечение клетчатки шеи и (при поражении пищевода) резекция шейного отдела пищевода.
В пред- и послеоперационном периоде больным с раком гортаноглотки назначают радиотерапию и полихимиотерапию. Использование консервативных лечебных методик не приводит к полной регрессии опухоли, но позволяет существенно уменьшить ее диаметр и обеспечить оптимальные условия для радикального хирургического вмешательства. В последующем пациентам с раком гортаноглотки нередко требуются реконструктивные операции для восстановления функции глотания. Для закрытия дефектов применяют местные кожные лоскуты и кожно-мышечные лоскуты на ножке. Для замещения удаленной части пищевода используют участки желудка и толстого кишечника.
Прогноз
Рак гортаноглотки считается прогностически неблагоприятным онкологическим заболеванием. Пятилетняя выживаемость после радикальных операций по поводу опухолей первой и второй стадии составляет около 50%. При распространенных онкологических процессах до пяти лет с момента постановки диагноза удается дожить примерно 30% пациентов. У многих больных раком гортаноглотки отмечается существенное снижение качества жизни, обусловленное наличием трахеостомы, нарушением голосообразования, расстройствами функций пищевода, необходимостью использования канюль, постоянного зондового питания и т. д.
Плоскоклеточный рак кожи
Плоскоклеточный рак кожи – злокачественная неоплазия, происходящая из шиповатого слоя эпидермиса. Образуется на неизмененной коже или возникает на фоне предраковых заболеваний. Имеет высокий, средний или низкий уровень дифференцировки клеток, может быть экзофитным либо эндофитным, ороговевающим либо неороговевающим. Представляет собой узел или язву с приподнятыми краями. Решающее значение для диагностики плоскоклеточного рака кожи имеют данные гистологического либо цитологического исследования. Лечение – операция, лучевая терапия, криодеструкция, лазерная вапоризация.
Плоскоклеточный рак кожи – второе по распространенности онкологическое заболевание кожных покровов после базалиомы. Составляет около 20% от общего количества злокачественных неоплазий кожи. Отличается от базалиомы более высокой склонностью к образованию вторичных очагов. Возникает в шиповатом слое эпидермиса, быстро проникает в подлежащие ткани. Плоскоклеточный рак кожи обычно обнаруживается у пожилых больных, иногда выявляется у пациентов молодого и среднего возраста. Может локализоваться в любой анатомической зоне, чаще поражает открытые участки тела, органы промежности и перианальную зону. Достаточно часто рецидивирует. Лечение проводят специалисты в сфере онкологии и дерматологии.
Причины и классификация плоскоклеточного рака кожи
Причины данной патологии достоверно не выяснены. Установлено, что неоплазия может образовываться на неизмененных кожных покровах либо трансформироваться в раковую опухоль из предраковых болезней кожи, в том числе – пигментной ксеродермы и болезни Боуэна. Иногда плоскоклеточный рак кожи формируется на фоне кератоза, кератоакантомы, очага дерматита, хронических воспалительных процессов и язв различного генеза (посттравматических, лучевых, обусловленных нарушениями местного кровоснабжения и пр.), химических и солнечных ожогов.
Одним из ведущих факторов, способствующих развитию плоскоклеточного рака кожи, считают чрезмерную инсоляцию (особенно – у светлокожих блондинов). В число предрасполагающих факторов также входят радиоактивное излучение, продолжительный профессиональный контакт с канцерогенными веществами и генетическая предрасположенность (наличие неоплазий у близких родственников). Существуют исследования, указывающие на связь между плоскоклеточным раком кожи и некоторыми вирусами папилломы.
Обычно новообразование возникает в результате суммирующего действия нескольких перечисленных факторов. Риск развития плоскоклеточного рака кожи увеличивается при нарушениях иммунитета, однако специалисты утверждают, что эндогенные факторы играют незначительную роль по сравнению с экзогенными. С учетом особенностей роста выделяют экзофитную (опухолевый тип), эндофитную (язвенный тип) и смешанные формы плоскоклеточного рака кожи. Опухоли могут быть ороговевающими либо неороговевающими, состоять из одного очага или большого количества локусов. Существует три степени дифференцировки неоплазий: высокая, средняя и низкая.
Патоморфология плоскоклеточного рака кожи
На макроскопическом уровне экзофитный рак кожи представляет собой плотный узел, эндофитный – язву. На поверхности новообразований видны очаги некроза и изъязвления. Для эндофитных опухолей характерно более раннее метастазирование в лимфоузлы. Ороговевающий плоскоклеточный рак кожи обычно имеет более высокий уровень дифференцировки, неороговевающий преимущественно представлен низкодифференцированными формами, склонными к агрессивному течению. Выраженность процессов ороговения не всегда соответствует уровню дифференцировки клеток. Высокодифференцированный плоскоклеточный рак кожи диагностируется чаще низкодифференцированного.
При гистологическом исследовании выявляются тяжи клеток шиповатого слоя эпидермиса, проникающие в глубокие слои кожи и подлежащие ткани. При изучении плоскоклеточного рака кожи определяются нормальные и атипичные клетки. Атипия характеризуется изменением формы, увеличением или уменьшением размера клеток, множественными патологическими митозами, гиперхроматозом и гиперплазией ядер. Высокодифференцированный ороговевающий плоскоклеточный рак кожи частично сохраняет обычную стратификацию, в его ткани видны «роговые жемчужины». Клетки низкодифференцированных неоплазий резко полиморфны, признаки слоев кожи полностью утрачены.
Симптомы и диагностика плоскоклеточного рака кожи
При экзофитном росте неоплазии на коже появляется плотная папула с ободком гиперемии. Плоскоклеточный рак кожи быстро растет, в зоне поражения образуется плотный малоподвижный красный либо розовый узел, покрытый ороговевшими частицами кожи либо бородавчатыми разрастаниями. Опухоль легко кровоточит, на ее поверхности возникают участки некроза и изъязвлений. Диаметр новообразования достигает 2 и более сантиметров. Изъязвление возникает через 3-4 месяца после появления папулы.
Эндофитный плоскоклеточный рак кожи представляет собой язву неправильной формы, четко отграниченную валикообразными краями от окружающих тканей. Поверхностные эндофитные опухоли покрыты коричневой коркой. Для глубоких неоплазий характерны желто-красная окраска и более выраженные крутые края. Дно новообразований бугристое, покрыто беловато-желтым налетом. Плоскоклеточный рак кожи достаточно быстро прорастает подлежащие ткани и метастазирует в лимфоузлы. Скорость роста, склонность к инвазии и время появления метастазов зависят от уровня дифференцировки неоплазии.
Диагноз выставляют дерматоонкологом с учетом анамнеза, данных осмотра, результатов гистологического и цитологического исследования. При подозрении на метастазирование назначают УЗИ регионарных лимфоузлов и другие диагностические процедуры. Дифференциальную диагностику осуществляют с базалиомой и гиперпластическими предраковыми заболеваниями: кератоакантомой, болезнью Боуэна, сенильным дискератозом, эритроплазией Кейра, аденокарциномой потовых желез, кожным рогом и некоторыми другими заболеваниями.
Лечение и прогноз при плоскоклеточном раке кожи
Тактику лечения плоскоклеточного рака кожи онкологи и дерматоонкологи выбирают в зависимости от локализации новообразования, распространенности онкологического процесса, наличия или отсутствия вторичных очагов, возраста и состояния организма больного. При небольших новообразованиях применяют лучевую терапию. Пожилым пациентам рентгенотерапию на начальном этапе обычно осуществляют при плоскоклеточном раке кожи любого размера (включая крупные опухоли). Целью лучевого лечения является полное исчезновение неоплазии или ее уменьшение до размеров, позволяющих провести радикальное хирургическое вмешательство.
Небольшие опухоли без глубокого распространения в подлежащие ткани удаляют, используя криотерапию или лазерную вапоризацию. Методики дают возможность обойтись без последующих масштабных пластических операций, поэтому особенно широко применяются при плоскоклеточном раке кожи лица. При крупных, глубоко проникающих новообразованиях выполняют традиционные операции. Плоскоклеточный рак кожи иссекают вместе с 1-2 см окружающих здоровых тканей. Проводят срочное гистологическое исследование образца, при наличии злокачественных клеток в зоне разреза объем вмешательства увеличивают. При необходимости осуществляют кожную пластику свободным кожным лоскутом, лоскутом, перемещенным с соседних участков либо лоскутом на питающей ножке с других участков тела. При больших неоперабельных неоплазиях назначают системную полихимиотерапию.
После завершения терапии пациент, страдающий плоскоклеточным раком кожи, находится на диспансерном наблюдении. Первый осмотр проводят через 1-1,5 месяца, последующие – через 3 месяца, 6 месяцев и 1 год. В дальнейшем больного осматривают ежегодно. Прогноз при плоскоклеточном раке кожи относительно благоприятный. Метастазы выявляются реже, чем при опухолях других локализаций. Чаще метастизируют крупные, рецидивирующие и глубоко проникающие неоплазии. Вероятность рецидивирования плоскоклеточного рака кожи на протяжении первого года после завершения лечения составляет 10%. На втором году рецидивирует 17% опухолей, на третьем – 21%, на пятом – 27%.
Читайте также:
- Поражение височно-нижнечелюстного сустава (ВНЧС) при болезни депонирования пирофосфата кальция дигидрата - лучевая диагностика
- Двигательная кора. Первичная моторная кора
- Профилактическая ретинопексия для предупреждения отслойки сетчатки. Показания
- Сочетанное действие токсинов. Холодовая акклиматизация в токсикологии
- Признаки ювенильного перелома дистального конца предплечья
