Пневмоторакс и торакопластика. Обезболивание при торакопластике
Добавил пользователь Евгений Кузнецов Обновлено: 27.01.2026
Воронкообразная деформация грудной клетки (ВДГК, pectus exavatum) — наиболее распространенный дефект развития передней грудной стенки, для которого характерно формирование различного по глубине и форме западения грудины и передних отделов ребер. Частота развития ВДГК равна 0,1—0,8 на 100 новорожденных, встречается от 2 до 9 раз чаще у лиц мужского пола [1]. Впервые ВДГК описал Bauhinus в 1600 г. [1].
Хирургическое лечение — единственный эффективный метод коррекции ВДГК. Многочисленные исследования показали улучшение качества жизни как детей, так и взрослых после хирургической коррекции ВДГК [2—6].
Впервые торакопластику при ВДГК произвел Meyer в 1911 г., выполнив остеотомию грудины и ребер в комбинации с наружным вытяжением [1]. В 1949 г. M. Ravitch [7] предложил методику операции, в основу которой была положена резекция деформированных хрящевых отрезков ребер (от реберной дуги до III ребра) с поперечной стернотомией и последующей фиксацией грудины в корригированном положении. Разными авторами было предложено более 80 способов коррекции ВДГК, однако большинство из них сегодня представляют только исторический интерес. В настоящее время применяют два основных способа коррекции ВДГК: радикальную торакопластику, являющуюся модификацией операции M. Ravitch, и минимально инвазивную торакопластику по D. Nuss, предложенную в 1998 г., суть которой заключается в элевации грудинореберного комплекса за счет ретростернального проведения через симметричные малоинвазивные доступы С-образно изогнутой пластины вогнутой поверхностью кпереди с последующим ее переворотом на 180° [8].
Отсутствие отдаленных результатов наблюдения за пациентами старше 18 лет после малоинвазивной торакопластики, а также относительно высокий риск повреждения органов и крупных сосудов средостения (включая сердце) во время ретростернального проведения пластины до настоящего времени ограничивают широкое применение этой методики [9, 10]. Помимо этого, прогрессивное снижение эластичности передней грудной стенки с возрастом потенциально ограничивает возможность полноценной коррекции при использовании малоинвазивной технологии у пациентов старше 18 лет [11, 12].
В настоящем исследовании представлены результаты коррекции ВДГК у пациентов старшего возраста.
Материал и методы
В торакальном отделении Института хирургии им. А.В. Вишневского проведено проспективное одноцентровое нерандомизированное исследование в период с марта 2012 г. по март 2016 г. По единому протоколу лечены 74 пациента с врожденными деформациями грудной клетки — воронкообразной и килеобразной (ВДГК и КДГК).
Из анализа были исключены 10 пациентов: 8 с КДГК, 1 пациент, которому выполнена повторная фиксация ранее установленной пластины, и 1 пациент в связи с частичным отсутствием данных в первичной документации.
Выполнена статистическая обработка данных 64 пациентов с ВДГК, в том числе 41 (64,1%) мужчины и 23 (35,9%) женщин, соотношение 1,8:1. Возраст пациентов от 18 до 44 лет с медианой 23 (20;26) года. Пациенты были разделены на две группы: 50 (78,1%) пациентам 1-й группы выполнена малоинвазивная торакопластика (операция Насса), 14 (21,9%) пациентам 2-й группы — радикальная торакопластика по типу Равича с имплантацией пластины с эффектом памяти формы. Группы были сопоставимы по возрасту, полу, росту, массе тела, ИМТ и сопутствующим заболеваниям.
Все пациенты обследованы по стандартному протоколу: МСКТ грудной клетки с 3D-реконструкцией (для определения степени деформации и ее взаимоотношения с внутренними органами, моделирования будущей формы грудной клетки), МРТ грудного отдела позвоночника, расчет индекса Гижицкой, ЭхоКГ, спирометрия и стандартные лабораторные исследования.
Для оценки эластических свойств передней грудной стенки всем пациентам проведена проба Вальсальвы: глубокий вдох и форсированный выдох с задержкой дыхания и последующей оценкой подвижности передней грудной стенки. Положительный результат пробы Вальсальвы служил показанием к проведению малоинвазивной торакопластики.
Степень деформации оценивали по индексу Гижицкой — отношению наименьшего поперечного размера грудной клетки к наибольшему. Эти расстояния измеряют по боковым проекциям рентгенограмм грудной клетки. Так, II степень деформации была выявлена у 49 (76,6%) пациентов из 64, III степень — у 12 (18,8%) пациентов при равном соотношении симметричной и асимметричной форм — 30 и 31 пациентов соответственно. У 3 пациентов наблюдалась комбинированная деформация грудины: сочетание западения грудины с протрузией мечевидного отростка (на фоне рецидива и гиперкоррекции ВДГК после первичной торакопластики) (табл. 1).

Таблица 1. Распределение больных в зависимости от степени и формы деформации
Эхокардиография выполнена в 55 (85,9%) наблюдениях из 64. Снижение ударного объема от 43 до 48 мл при норме 50—80 мл отмечено у 6 пациентов, а минутного объема сердца — только у 1 пациента (2,9 л при норме 3—6 л) из 64. Пролапс передней створки митрального клапана I степени выявлен у 28 (50,9%) пациентов, II степени — у 2 (3,6%) пациентов. Обнаруженные изменения имели клиническое значение только у одной пациентки 44 лет с ИБС III функционального класса, трикуспидальной регургитацией 2-й степени, незначительным повышением расчетного систолического давления в правом желудочке (35 мм рт.ст.), снижением ударного объема до 43 мл и тахиаритмией.
Изменения функции внешнего дыхания при спирометрии выявлены у 12 (32,4%) пациентов из 64. Уровень жизненной емкости легких ниже 80% нормы обнаружен у 8 пациентов, уменьшение объема форсированного выдоха за первую секунду до 66,2—74,6% должного (при норме выше 75%) — у 5 пациентов. Вентиляционных нарушений, имеющих клиническое значение, выявлено не было.
Синдром Марфана был диагностирован у 1 (1,6%) пациента из 64 (95% ДИ 0,3—8,3%). По поводу рецидива деформации после ранее проведенной коррекции оперированы 7 больных (из них 3 с комбинированной деформацией). Рецидивы ВДГК были отмечены у пациентов после радикальной торакопластики без имплантации стабилизатора (n=1) и с имплантацией пластины из никелида титана (n=2), в одном наблюдении рецидив развился после миниинвазивной торакопластики по Нассу и по одному наблюдению — после торакопластики по Баирову и Палтиа. В 6 наблюдениях при устранении рецидива выполнена радикальная торакопластика по типу Равича с имплантацией пластины с эффектом памяти формы. Больному с рецидивом ВДГК после операции Насса произведена повторная миниинвазивная торакопластика с хорошим клиническим результатом.
Послеоперационная аналгезия. Все пациенты в послеоперационном периоде по единому протоколу получали мультимодальное обезболивание с оценкой эффективности анальгетического эффекта по визуально-аналоговой шкале (ВАШ). Так, перед началом операции устанавливали эпидуральный катетер, в который в послеоперационном периоде через эластомерную помпу вводили наропин (2 мг в 1 мл) в течение 48—72 ч. Одновременно пациенты получали парацетамол по 1000 мг 2—3 раза в сутки внутривенно и нестероидный противовоспалительный анальгетик (кеторол, ксефокам) 2—3 раза в сутки с добавлением опиоидов (трамадол 2,0 мл 5% раствора) при ВАШ больше 5 баллов. Послеоперационные осложнения оценены по классификации Dindo—Clavien [13].
Статистическая обработка результатов исследования проведена с помощью пакета прикладных программ Statistica 8.0 фирмы «Stat Soft Inc.» (США). При распределении признака, отличном от нормального, данные представлены в виде медианы с интерквартильным размахом (25-й и 75-й процентили). Для оценки различий групп по количественным признакам применялся U-критерий Манна—Уитни, для качественных — критерий χ 2 .
Результаты
Выбор метода коррекции ВДГК в настоящем исследовании основан на определении мобильности передней грудной стенки при физикальном осмотре в сочетании со степенью деформации. Только у одной пациентки с сердечной недостаточностью на фоне снижения фракции выброса операция выполнена по медицинским показаниям, у всех остальных больных, включая группу с рецидивом деформации, показания имели косметический характер. Все пациенты были удовлетворены непосредственным косметическим результатом (рис. 1 и 2).

Рис. 1. Вид грудной клетки пациента А., 50 лет. а — до радикальной торакопластики по типу Равича с имплантацией пластины из металла с эффектом памяти формы; б — через 7 сут и 6 мес после операции.

Рис. 2. Вид грудной клетки пациента Н., 26 лет. а — до миниинвазивной торакопластики по Нассу; б — через 7 сут после операции.
Длительность операции. Минимальная и максимальная продолжительность операции в 1-й группе (операция Насса) составила 40 и 245 мин с медианой 90 (80; 105) мин, во 2-й группе (операция по типу Равича) — 130 и 335 мин с медианой 225 (185; 250) мин. Несмотря на статистически достоверные различия во времени операции между группами миниинвазивной и радикальной торакопластики (р<0,001), на «кривой обучения» плато до настоящего времени не достигнуто, что может свидетельствовать об ожидаемом снижении продолжительности операции в этой группе по мере накопления большего опыта (рис. 3).

Рис. 3. «Кривая обучения». Продолжительность миниинвазивной торакопластики.
Послеоперационная аналгезия. В группе малоинвазивной торакопластики минимальная длительность стояния эпидурального катетера составила 2 дня, максимальная — 8 дней, медиана — 4 (3; 5) дня, в группе радикальной торакопластики — 3 и 12 дней соответственно, медиана — 6 (5; 7) дней. Обнаружены статистически значимые различия продолжительности эпидуральной аналгезии (р=0,003). Назначение трамадола в 1-й группе потребовалось 49 (98%) пациентам, минимальная продолжительность составила 2 дня, максимальная — 20 дней, медиана — 6 (5; 7) дней. Во 2-й группе трамадол был назначен в 13 (92,9%) наблюдениях длительностью от 4 до 11 дней с медианой 7 (6; 9) дней. Обнаружены статистически значимые различия (р=0,04).
Активизация. Пациентов 1-й группы активизировали на 2-е сутки после операции. Во 2-й группе в связи с нарушением каркасности передней грудной стенки соблюдали постельный режим в течение 4—6 дней после операции. Минимальные и максимальные сроки активизации пациентов в 1-й группе составили 1 и 6 дней соответственно, медиана — 3 (2; 4) дня, во 2-й группе — 3 дня и 8 дней, медиана — 6 (5; 7) дней. Различия во времени активизации между двумя группами статистически значимы (р<0,01).
Продолжительность послеоперационного пребывания пациентов в стационаре в группе малоинвазивной торакопластики варьировала от 7 до 21 дня с медианой 9 (8; 11) дней, в группе радикальной торакопластики — от 10 до 15 дней с медианой 12,5 (11; 14) дня (р<0,01), что можно объяснить более поздними сроками активизации пациентов после радикальной торакопластики.
Ранние осложнения. Осложнения I и IIIa степени (по классификации Dindo—Clavien) в послеоперационном периоде развились у 46 (71,8%) пациентов. Осложнений в раннем послеоперационном периоде в 1-й группе не было у 16 (32%) пациентов из 50 (95% ДИ 20,8—45,8%), во 2-й группе — у 2 (14,3%) пациентов из 14 (95% ДИ 4,0—40,0%). Большинство осложнений не потребовало дополнительных манипуляций. Так, в 1-й группе пациентов пункционно-дренажное лечение (по поводу гидро- и/или пневмоторакса и в одном наблюдении лизирующейся гематомы) выполнено 14 (28%) пациентам из 50 (95% ДИ 17,5—41,7%), во 2-й группе — 1 (7,1%) пациенту из 14 (95% ДИ 1,3—31,5%).
Подкожная эмфизема диагностирована у одной пациентки в группе малоинвазивной торакопластики. Также в 1-й группе наблюдали один случай дисковидного ателектаза в проекции средних отделов левого легкого. У одной пациентки в послеоперационном периоде на основании данных рентгенографии органов грудной клетки отметили частичную релаксацию левого купола диафрагмы. Все перечисленные осложнения не потребовали дополнительной хирургической коррекции. Статистически значимых различий по частоте развития ранних послеоперационных осложнений в исследуемых группах не выявлено (табл. 2).

Таблица 2. Характеристика ранних послеоперационных осложнений после различных видов торакопластики Примечание. * — любое отклонение от нормального течения послеоперационного периода, не требующее фармакологической или хирургической коррекции; ** — потребовалась хирургическая коррекция без общей анестезии (пункция, дренирование и др.).
За период наблюдения (март 2012 г. — март 2016 г.) обращений по поводу миграции опорной пластины или рецидива ВДГК не было.
Таким образом, проведенное исследование показало возможность снижения продолжительности операции, более ранние сроки активизации, меньший срок послеоперационного пребывания в стационаре и сопоставимую частоту ранних послеоперационных осложнений в группе пациентов, которым выполнена малоинвазивная торакопластика по Нассу, по сравнению с этими показателями в группе радикальной торакопластики по типу Равича с имплантацией пластины из металла с эффектом памяти формы. Операция Насса — эффективный и безопасный метод коррекции воронкообразной деформации грудной клетки у пациентов старше 18 лет. Необходимы дальнейшие рандомизированные исследования для оценки отдаленных результатов малоинвазивной торакопластики у пациентов старшего возраста.
Пневмоторакс и торакопластика. Обезболивание при торакопластике
Пневмоторакс и торакопластика. Обезболивание при торакопластике
В заключение необходимо упомянуть еще об одном положении, которое является обязательным для всех случаев. Торакопластика может быть предпринята только тогда, когда применение пневмоторакса совершенно невозможно из-за облитерации плевральной полости или когда воздушный пузырь, поджимая только здоровую часть легкого и не оказывая никакого влияния на пораженную часть, остается неэффективным. В этих случаях длительное применение пневмоторакса является нецелесообразным и не следует медлить с торакопластикой.
Поскольку при попытках наложить больному пневмоторакс не всегда удается сразу найти плевральную полость, необходимо эти попытки повторить, делая проколы в различных местах. Несоблюдение этого правила может быть причиной неприятных, а иногда и тяжелых осложнений как во время операции, так и в послеоперационном периоде: во время торакопластики при наличии свободной плевральной полости может произойти разрыв париетальной плевры с развитием травматического пневмоторакса.
Если во время операции удается не ранить плевру, то в послеоперационном периоде в таких случаях чаще всего развиваются экссудативные плевриты.
Все сказанное о показаниях и противопоказаниях к торакопластике свидетельствует о том, что вопрос об операции должен решаться совместно хирургом и фтизиатром.

Обезболивание при торакопластике
При торакопластике обезболивание имеет огромное значение. Помимо того что у туберкулезного больного повышена нервная возбудимость и он более остро реагирует на всякие манипуляции, следует еще принять во внимание, что операция производится в области, где сосредоточены органы дыхания и кровообращения. Всякие вмешательства вблизи этих органов, а особенно вмешательства травматичные, создают гораздо более предрасполагающие условия для развития шока, чем операции в других областях.
В вопросе о том, каким обезболиванием следует пользоваться при торакопластике, до сих пор еще нет полного единодушия, хотя большинство хирургов считает, что торакопластику следует производить под местной анестезией.
Сторонники общего наркоза видят его преимущество в том, что глубокий сон больного позволяет хирургу спокойно оперировать. Очень важно, по их мнению, также то, что больной «не присутствует)) на операции, чем в значительной степени щадится его психика. Мы, наоборот, считаем это отрицательной стороной общего наркоза, так как находим, что «участие больного» в операции не только желательно, но просто необходимо: никто не является во время операции более полезным помощником хирургу, чем сам больной.
Держа хирурга все время в курсе тех изменений, которые происходят в его состоянии под влиянием операции, больной может во-время заставить хирурга изменить первоначальный план вмешательства, уменьшив его размеры. Существенным недостатком общего наркоза является также то, что при нем подавляются все рефлексы (наркоз при торакопластике должен быть очень глубоким), в том числе и кашлевой рефлекс.
Быть может, это не играет роли в тех случаях, когда больной выделяет незначительное количество мокроты, но, если количество мокроты велико, это имеет существенное значение, так как откашливание мокроты во время операции может предупредить развитие аспирационных осложнений; это тем более важно, что в первые часы и даже сутки, после операции больных очень трудно заставить откашливать мокроту из-за значительных болей.
Информация на сайте подлежит консультации лечащим врачом и не заменяет очной консультации с ним.
См. подробнее в пользовательском соглашении.
Становление и развитие хирургии плевры, легких и средостения в г. Казани и в ТАССР

В знаменательные дни полувековой истории Советского государства невольно приходят на память первые шаги советского здравоохранения, становление и развитие советской хирургии в г. Казани и в ТАССР.
Ключевые слова
Полный текст
В знаменательные дни полувековой истории Советского государства невольно приходят на память первые шаги советского здравоохранения, становление и развитие советской хирургии в г. Казани и в ТАССР. Почти вся сознательная деятельность пишущего эти строки протекала в стенах Казанского ГИДУВа им. В. И. Ленина, первенца советских институтов усовершенствования врачей. Вновь созданный институт быстро развивал свою многогранную деятельность во всех направлениях, в том числе и в клинической хирургии.
Первой операцией в стенах новой клиники была плевротомия с резекцией ребра по поводу плевральной эмпиемы у ребенка 6 лет. Больной остался на столе в результате острого широкого пневмоторакса и качания средостения, а оператор (д-р мед. Б. П. Енохин, первый заведующий клиникой) через несколько дней скончался от сепсиса, возникшего в связи с заражением на этой операции. Смерть пациента и оператора, естественно, послужила толчком к разработке в дальнейшем более физиологичных и герметичных методов оперативного лечения при плевральных эмпиемах (подводный дренаж, активная аспирация, разгружающие пункции).
При открытом методе лечения больных диффузным гнойным плевритом часто возникали хронические эмпиемы, плевральные свищи, не поддававшиеся консервативному лечению. Мы впервые в Казани стали широко применять в таких случаях торакопластику по Шеде (множественное иссечение ребер с обязательным удалением ошвартованной париетальной плевры) с хорошими результатами и небольшой псслеоперационной летальностью. Герметическая плевротомия и модулированная торакопластика нашли в последующем широкое применение не только в ТАССР, но и за ее пределами, чему способствовал выход в свет монографии «Гнойный плеврит и его лечение» в 1935 г.
Гнойный плеврит чаще возникает в результате пневмонии и абсцесса легкого. При нагноительных процессах легкого в те времена лечение было консервативным, длительным и часто безуспешным. Шагом вперед тогда считалось переливание крови. До 75% больных излечивались самостоятельно в результате прорыва гнойника в бронхиальное дерево или плевральную полость — путь сложный и рискованный.
Лишь полостной абсцесс легкого, периферически расположенный, служил показанием к хирургическому вмешательству — одно- или двухмоментной пневмотомии. Эта операция производится по известным показаниям и в наши дни. Она сравнительно проста по технике, но часто сопровождается образованием незаживающего бронхиального свища и недостаточно дренирует гной наружу. В наше время чаще применяется радикальное вмешательство — удаление пораженной доли, а при множественных рассеянных гнойниках — всего легкого.
Вскоре после Октябрьской революции перед советским здравоохранением встал ряд серьезных проблем и среди них — борьба с туберкулезом. В Казани был создан институт туберкулеза, преобразованный затем в республиканскую больницу, республиканский диспансер, а на местах — районные диспансеры. Делу был придан широкий, серьезный, государственный размах. Стало очевидно, что без помощи хирургов проблема лечения больных легочным туберкулезом, в особенности кавернозным, не может быть успешно разрешена. Были организованы специальные курсы по фтизиохирургии в Москве (H. Н. Стойко), на которых обучалось тогда всего 10 хирургов, изъявивших желание работать в этой области, среди них был и автор статьи. Мы были привлечены к работе, главным образом для хирургической коллапсотерапии, в 1925 г. Простейшим видом коллапсотерапии был и остается искусственный пневмоторакс. Он, однако, часто бывает малоэффективным из-за внутриплевральных сращений. Внутриплевральное пережигание тяжей по Якобеусу стало с течением времени наиболее частой операцией, дополняющей неэффективный пневмоторакс.
Еще более распространенной в начальном периоде развития фтизиохирургии стала операция на диафрагмальном нерве — френикоэкзерез, а затем френикоалкоголизация, благодаря своей легкости и малому риску. Искусственный паралич диафрагмы без достаточных оснований нашел широчайшее применение главным образом при двусторонних процессах, низко расположенных кавернах, инфильтратах, при невозможности наложения искусственного пневмоторакса или в сочетании с последним на противоположной стороне. Френикоэкзерез оказался эффективным не более чем в 10—15%. В наше время он вовсе не применяется. Такая же участь постигла верхушечную коллапсотерапию (френикоэкзерез+резекция первого ребра+скаленотомия + апиколиз). В свое время мы сообщали о 100 операциях типа Коффи с удовлетворительными результатами, но впоследствии также отказались от нее в пользу паравертебральной (одно- или многомоментной) экстраплевральной торакопластики, дававшей гораздо лучшие результаты — 70% выздоровлений при 1% летальности (преимущественно при кавернах). Экстраплевральная пломба не получила в Казани признания. Она вскоре была оставлена и ее приверженцами. Вскрытие каверны (кавернотомия) нашло, применение преимущественно при гигантских кавернах с возможной иногда последующей торакопластикой. В разработке новых по тому времени оперативных методов лечения больных с гнойными процессами легких и плевры, а также легочным туберкулезом впоследствии принимали активное участие сотрудники нашей клиники: М. М. Шалагин, H. X. Ситдыков, Н. И. Любина, В. М. Авдеичева, И. С. Сигал.
С началом Великой Отечественной войны все наше внимание было направлено на лечение раненных в грудь и живот. Был открыт специальный грудной госпиталь по лечению раненых с осложнениями после проникающих ранений груди (огнестрельные хронические плевральные эмпиемы, остаточные полости, инородные тела, бронхиальные свищи, нагноения легких, поздние кровотечения). В нем развернулась большая работа по долечиванию раненых хирургическим путем. Почти ежедневно производились разнообразные операции, наиболее часто — расширенные плевротомии, удаление разнообразных инородных тел из легкого и плевральной полости, остановка кровотечения. Активное лечение при ранних осложнениях проникающих ранений груди, закрытом и открытом пневмотораксе, гемотораксе явилось лучшей профилактикой поздних осложнений. С продвижением наших войск далеко на запад к нам поступали главным образом раненые с поздними осложнениями (хронические эмпиемы, остаточные полости, бронхиальные свищи), требовавшими сложных операций. Наиболее частой из них была интраплевральная торакопластика, ограниченная размерами остаточной полости, но по необходимости широкая. Интраплевральная торакопластика нередко сочеталась с удалением инородных тел и закрытием бронхиальных свищей, встречавшихся нам при торакопластике примерно в 75%. Уточнению подробностей осложнений огнестрельных ранений груди способствовали контрастные методы рентгенодиагностики (заполнение остаточной полости, фистулография, бронхография), проводившиеся Д. Е. Гольдштейном, А. Н. Кревером, Л. С. Тябиной и др. Благодаря этим методам наши представления о механизме и патогенезе проникающих ранений груди и их последствий значительно расширились.
Результаты торакопластики оказались вполне удовлетворительными при невысокой летальности, но достигались дорогой ценой — искривлением и деформацией грудной клетки. Более физиологичная и сохраняющая функцию операция — декортикация легкого по Делорму, не получившая признания среди хирургов в мирное время, снова приобрела «гражданские права» в практике военного времени, но под защитой и препаровкой тканей новокаиновым инфильтратом по методу А. В. Вишневского. Опасности декортикации (кровотечение, эмболия, переход инфекции с плевры на легкое) были таким образом почти полностью устранены. В последние годы войны и первые годы после войны сочетание декортикации с малой торакопластикой оказалось наилучшим выходом из положения не только при остаточных полостях, но и при бронхиальных свищах. Важным условием успешной ликвицации последних явилась мышечная пластика, предложенная А. А. Абражановым. Таким образом, считавшаяся до войны весьма маловероятной возможность излечения раненых с остаточной полостью и бронхиальным свищом оказалась вполне осуществимой в громадном большинстве случаев. Это. несомненно, явилось большим достижением советской военно-полевой хирургии. Переливание крови и сульфамидные препараты (антибиотиков тогда еще не было) способствовали успехам хирургов.
Уже в первый год Великой Отечественной войны была организована научная бригада по изучению патогенеза, диагностики, профилактики и лечения при осложнениях после проникающих ранений груди, в которую вошли кроме хирургов патологи, рентгенологи, терапевты ГИДУВа. Часто проводились научно-практические конференции, обсуждались вопросы патологической анатомии, рентгенодиагностики и оперативного лечения раненых с осложнениями после ранений. Результаты дружной работы членов бригады нашли отражение в многочисленных научных статьях, двух сборниках, двух монографиях проф. Ю. А. Ратнера и проф. М. М. Шалагина и доложены на заседании
Ученого совета Минздрава РСФСР, заключительной конференции госпиталей и на XXV съезде хирургов СССР. Даже в наше время изредка еще обращаются раненные в грудь с различными поздними осложнениями, требующими оперативного лечения.
Полученный во время войны опыт дослужил толчком к развитию большой грудной хирургии. Страх перед широкой торакотомией рассеялся. Первые операции удаления легкого или доли его в нашей стране были произведены А. В. Вишневским, С. И. Спасокукоцким, А. Н. Бакулевым, а затем и в провинции, главным образом по поводу нагноительных процессов. Легочную ножку перевязывали одной обшей лигатурой. Операции шли под местной анестезией. В Казани первая пульмонэктомия была с успехом выполнена нами в 1954 г. также под местной анестезией, но с изолированной обработкой элементов корня, с ушиванием культи бронха вручную. Удаление легкого в этих условиях требовало много времени и труда и часто сопровождалось развитием шока на операционном столе, несмотря на новокаиновую блокаду корня и средостения. Длительность и травматичность операции нередко приводили к вторичному шоку, расстройствам сердечной деятельности и дыхания, а ненадежное ушивание культи бронха — к развитию эмпиемы и бронхиального свища. Послеоперационная смертность у лучших торакальных хирургов достигала 30%. В последующем хирурги при пульмонэктомии перешли на раздельную обработку элементов корня. Сложные способы обработки культи бронха были почти всеми оставлены. Они оказались не лучше, чем обычные (узловатые) швы через края стенок бронха. Мало спасают от развития бронхиального свища различные пластические ткани, применяемые для укрытия культи бронха.
При ограниченных гнойниках легкого и в особенности при нагноившихся бронхоэктазах хирурги все чаще прибегают к резекции легкого, главным образом лобэктомии. Технически лобэктомия оказывается иногда труднее пульмонэктомии, но переносится больным легче, при ней меньше смертность, она сохраняет непораженную легочную паренхиму. В принципе техника обоих вмешательств почти одинакова — осуществляется изолированная обработка сосудов и бронха (главного или долевого). Культя последнего легко прикрывается соседней долей. Опасность глубокого шока при лобэктомии значительно меньше, чем при пульмонэктомии. Коллапсотерапия при легочных нагноениях (искусственный пневмоторакс, френикоэкзерез, торакопластика, экстраплевральная пломба) по аналогии с туберкулезом не показана. Мы ни разу не прибегали к ней в своей практике.
С прогрессом легочной хирургии в корне изменилось наше отношение к методам коллапсотерапии при туберкулезе. Торакопластика как самостоятельный метод применяется все реже. Искусственный пневмоторакс, как простейший вид коллапсотерапии. по-прежнему, естественно, находит широкие показания в сочетании с антибактериальными препаратами. Но при больших и множественных кавернах, туберкулемах удаление пораженной доли или сегмента, а в далеко зашедших случаях и всего пораженного легкого является, понятно, обоснованным в гораздо большей степени, чем любой вид коллапсотерапии. Не подлежит сомнению, что радикальная операция при гигантской каверне и туберкуломе надежно избавляет больного от опасности обсеменения, а окружающих его — от заражения. Именно при туберкулезе радикальная операция является сравнительно мало опасной и обеспечивает хорошие результаты.
Прошло немногим более 20 лет после первой резекции легкого при туберкулезе, произведенной нами, а число хирургов в ТАССР, владеющих ею, перевалило за десяток. Труднейшая задача лечения больных с туберкулезными эмпиемами получила некоторое разрешение путем полного удаления всего плеврального мешка (плеврэктомия), иногда в сочетании с удалением всего легкого (плевропульмонэктомия). Эти операции впервые с успехом произведены в Казани доц. И. С. Сигалом. Простая перевязка легочной вены при туоеркулезе (Л. К. Богуш) нами лично и, насколько мне известно, другими казанскими хирургами не производилась, в особенности при открывшейся возможности радикального вмешательства на патологическом очаге. Перевязка легочной артерии, по нашему опыту, может оказаться успешной при массивном легочном кровотечении, когда радикальная операция почему-либо неосуществима, о чем мы уже сообщали (Казанский мед. ж., 1966, 2). Таким образом, фтизиохирургия прошла за сравнительно короткий исторический отрезок времени большой путь от скромной коллапсотерапии до больших радикальных операций, от сегментэктомии до пульмонэктомии.
Прогресс грудной хирургии открыл широкие возможности для радикального вмешательства при опухолях легких и средостения, ранее казавшихся совершенно недоступными. Проблема лечения при доброкачественных опухолях и кистах легкого и средостения может считаться полностью разрешенной. Удаление кист в наше время не представляет серьезных технических трудностей. При интимных сращениях кисты с крупными сосудами можно вначале опорожнить кисту, вскрыв ее, и под контролем пальца почти без риска выделить. Дермоидные и тератоидные кисты, невриномы средостения, целомические (перикардиальные) кисты легкого удаляют чрезплевральным путем. Летальность при этих операциях приближается к нулю, о чем мы сообщали совместно с доц. Н. А. Колсановым. Также почти безопасно удаление плотных доброкачественных опухолей легкого (фибром, гамартом) путем атипической или клиновидной резекции. Эти операции на легких и средостении дают наибольшее удовлетворение хирургу. Плотные доброкачественные опухоли средостения (тимома, внутригруднойзоб) встречаются сравнительно редко, невринома — чаще. Они удаляются обычно чрез- плевральным путем, без медиастинотомии. Злокачественные опухоли средостения (лимфосаркома, лимфогранулематоз) подлежат рентгено- или химиотерапии. Оперативное вмешательство при этих страданиях необоснованно, рискованно и чаще производится ошибочно. Мы до сих пор в таких случаях избегали его.
Чаще всего приходится оперировать при злокачественных опухолях легкого — раке и очень редко саркоме. Технически удаление легкого или доли его при раке не отличается от тех же вмешательств при напіоении и туберкулезе. Обычно пульмонэктомия при раке, ввиду отсутствия спаек и рубцов, производится проще, чем при других заболеваниях. Если же регионарные метастазы распространились на средостение, то операция, как правило, отпадает. Речь обычно идет о пульмонэктомии. Лобэктомию производят главным образом при периферическом раке без метастазов в корне легкого. При центральном раке показана пульмонэктомия, причем бронх пересекается ближе к стенке трахеи, а иногда у самой стенки. С накоплением опыта радикализм операции может быть обеспечен полностью, но, к сожалению, больные поступают к хирургу поздно. Лишь один из пяти в среднем имеет шансы на возможность радикального вмешательства.
Диагностика рака легкого с каждым годом улучшается. Томография, бронхография, бронхоскопия, ангиография, цитологическое исследование мокроты и в особенности центрифугата смыва бронхов разработаны и широко применяются в Казани как в нашей, так и в других клиниках и больницах.
Вопрос об операбильности может быть часто решен до операции на основании прескаленной биопсии и в особенности бифуркационной биопсии (Б. Л. Еляшевич). Дифференциальный диагноз чаще проводится с туберкулезом и нагноением. Прежде чем попасть к хирургу, больные долго лечатся у терапевтов и физиотерапевтов.
Непосредственные результаты операции за последние годы значительно улучшились (до 10% летальности вместо прежних 30%), но отдаленные неутешительны. Они могут быть улучшены, если больные будут поступать к хирургу раньше. Ценным подспорьем в ранней диагностике при часто бессимптомном или малосимптомном течении рака легкого у пожилых людей может служить флюорография. Сочетание операции с химио- и рентгенотерапией улучшает отдаленные результаты.
Успехам хирургии легких и средостения в значительной мере способствовали не только более совершенные методы диагностики и антибиотики, но в еще большей степени интубационный наркоз и новые отечественные ушивающие аппараты (УКЛ, УТК). Они вдвое сокращают время операции, уменьшают опасность шока и кровотечения, развития бронхиального свища, благодаря чему расширились показания к торакотомии, ставшей как бы повседневной операцией, доступной и молодым хирургам. Операции на легких и средостении производятся сейчас не только в клиниках и больницах г. Казани, но и во многих районных больницах (в Бугульме, Альметьевске, Зеленодольске, Уруссе и др.).
Оглядываясь на путь, пройденный внутригрудной хирургией легких, плевры и средостения — от резекции ребра до резекции легкого, можно без преувеличения сказать, что этот путь блистательный и что о нем раньше мы могли только мечтать.
Пневмоторакс (травматический)

Травматический пневмоторакс – это скопление воздуха в плевральной полости, которое происходит по причине травмы и приводит к частичному или полному коллапсу легкого. Симптомы включают боль в груди от причинной травмы, и в некоторых случаях –одышку. Постановка диагноза осуществляется на основании результатов рентгенографии грудной клетки. Лечение обычно проводят с использованием зондовой торакостомией.
Спонтанный пневмоторакс Пневмоторакс Пневмоторакс – это скопление воздуха в плевральной полости, что приводит к частичному или полному коллапсу легкого. Пневмоторакс может развиваться спонтанно, в результате травм или медицинских. Прочитайте дополнительные сведения Пневмоторакс может быть вызван проникающей или тупой травмой; у многих пациентов также развивается гемоторакс Гемоторакс Гемоторакс – это накопление крови в плевральной полости. (См. также Обзор торакальной травмы (Overview of Thoracic Trauma)). Обычной причиной гемоторакса является разрыв легкого, межреберного. Прочитайте дополнительные сведения Простой односторонний пневмоторакс, даже массивный, хорошо переносится большинством пациентов, если они не имеют клинически значимого фонового заболевания легких. Тем не менее, напряженный пневмоторакс Пневмоторакс (напряженный) Напряженным пневмотораксом называют скопление воздуха в плевральной полости под давлением, сдавление легких и уменьшение венозного оттока по направлению к сердцу. (См. также Обзор торакальной. Прочитайте дополнительные сведенияСимптомы и признаки травматического пневмоторакса
У пациентов с травматическим пневмотораксом обычно наблюдается плевритная боль в грудной клетке, одышка, тахипноэ и тахикардия.
Шумы дыхания могут быть уменьшены, а при поврежденном гемотораксе характерны коробочные шумы при перкуссии — в основном при массивном пневмотораксе. Тем не менее, такие проявления присутствуют не всегда, и могут быть трудно идентифицируемыми в шумной обстановке реанимационных мероприятий. Подкожная эмфизема вызывает потрескивающие или похрустывающие звуки при пальпации; проявления могут быть локализованы на небольшой площади или на значительной части грудной клетки, и/или распространяться на область шеи; обширное распространение проявлений предполагает повреждение трахеобронхиального дерева.
Наличие воздуха в средостении может вызывать характерный хруст синхронно с сердцебиением (синдром Хаммена или «медиастинальный хруст»), но эти проявления не всегда присутствуют, а также в некоторых случаях могут быть вызваны повреждением пищевода.
Диагностика травматического пневмоторакса
Рентгенография грудной клетки
Обычно диагноз устанавливают с использованием рентгенографии. Ультрасонография (выполняется у постели больного во время начальной реанимации, расширенная целенаправленная оценка с помощью сонографии при травме (Extended Focused Assessment With Sonography in Trauma)[E-FAST]) и КТ более чувствительны при небольшем пневмотораксе, чем рентгенография грудной клетки.
Размер пневмоторакса, выраженный в процентах от объема гемиторакса, занятого воздухом, может быть оценен на основании результатов рентгенографического исследования Диагностика Пневмоторакс – это скопление воздуха в плевральной полости, что приводит к частичному или полному коллапсу легкого. Пневмоторакс может развиваться спонтанно, в результате травм или медицинских. Прочитайте дополнительные сведенияЛечение травматического пневмоторакса
Как правило, зондовая торакостомия
Лечение большинства случаев пневмоторакса происходит с использованием зонда для торакостомии (например, 28 френч), введенного в 5-й или 6-й межреберный промежуток спереди на уровне средней подмышечной линии.
Для пациентов с малым пневмотораксом с отсутствием респираторных симптомов может применяться обычное наблюдение с последовательным проведением рентгенографических исследований грудной клетки до тех пор, пока легкое не расширится повторно. Кроме этого, возможно размещение небольшого катетера типа пигтейл. Тем не менее, зондовая торакостомия должна проводиться для пациентов, которым следует применять общий наркоз, вентиляцию с положительным давлением и/или подачу воздуха, так как эти меры могут преобразовать малый, простой (неосложненный) пневмоторакс в напряженный пневмоторакс Пневмоторакс (напряженный) Напряженным пневмотораксом называют скопление воздуха в плевральной полости под давлением, сдавление легких и уменьшение венозного оттока по направлению к сердцу. (См. также Обзор торакальной. Прочитайте дополнительные сведенияЕсли масштабная утечка воздуха сохраняется после проведения зондовой торакостомии, следует подозревать повреждение трахеобронхиального дерева и назначить бронхоскопию или неотложную консультацию хирурга.
Ключевые моменты
Результаты физического обследования могут быть неубедительными или нормальными, особенно при малом пневмотораксе.
Хотя КТ и УЗИ являются более чувствительными методами исследований, проведение рентгенографии грудной клетки обычно считается достаточным для установления диагноза.
Зондовая торакостомия показана в случаях, если пневмоторакс вызывает респираторные симптомы или является средним или массивным, или в случаях, если необходима подача воздуха, вентиляция с положительным давлением или общая анестезия.
Авторское право © 2022 Merck & Co., Inc., Rahway, NJ, США и ее аффилированные лица. Все права сохранены.
Дефекты развития грудной клетки и их лечение

Представлен опыт лечения 69 больных с воронкообразной и 5 — с килевидной деформацией грудной клетки. Преобладали больные старше 14 лет. При выполнении торакопластики в обязательном порядке производили радикальную субнадхрящничную резекцию деформированных реберных хрящей. Грудинореберный комплекс при воронкообразной деформации фиксировали танталовыми скобками при помощи оригинального сшивающего аппарата, пластиной Paltia и перемещением мечевидного отростка на заднюю поверхность грудины. Пациентов с килевидной деформацией оперировали по Ravitch-1. У 76% больных отмечались явления правостороннего гемоторакса, что могло быть связано с возрастом оперируемых, а также с использованием сшивающего аппарата. Вскрытие правого плеврального листка авторы не считают серьезным осложнением, полагая, что это можно рассматривать как выгодный путь для дренирования зоны оперативного вмешательства. Применение избранных методов торакопластики и индивидуальный подход к ведению послеоперационного периода позволили добиться хороших ближайших и отдаленных (до 10 лет) результатов у 98,6% больных.
Ключевые слова
Полный текст
К дефектам развития грудной клетки относятся ее воронкообразная, килевидная, комбинированная деформации, врожденная расщелина грудины, реберно-мышечный дефект грудной стенки и ряд редких состояний, связанных в основном с дефектами развития позвоночника (костовертебральная дисплазия, деформации грудной стенки при сколиозах и т.д.). Основное клиническое значение имеют первые два дефекта развития, которые встречаются более чем у 0,3% населения [4], причем 1/10 часть их требует хирургической коррекции по самым строгим показаниям.
Первое из известных описаний больного с воронкообразной деформацией грудной клетки относится к 1594 г. и принадлежит J. Schenck, а первая удачная торакопластика была выполнена немецким хирургом L. Meyer в 1911 г. [4]. В нашей стране торакопластика у взрослого больного впервые произведена Н.А. Богоразом в 1949 г., а у детей — Г.А. Баировым в 1960 г. и Н.И. Кондрашиным в 1961 г. С тех пор предложено более 80 различных методик хирургической коррекции этой деформации, большинство из которых имеют лишь исторический интерес. Подробная классификация методов торакопластики и анализ их результатов были представлены нами ранее [6].
Не останавливаясь подробно на историческом аспекте, можно отметить приоритет в рассматриваемой области американских (М.М. Ravitch), немецких (F. Rehbein) хирургов. В нашей стране пионерами разработки проблемы лечения детей с воронкообразной и килевидной деформациями грудной клетки были Г.А. Баиров [1] и Н.И. Кондрашин [3]. Первая работа, посвященная хирургическому лечению деформаций грудной клетки у взрослых, вышла из НИИ хирургии им. А.В. Вишневского [5].
Целью настоящей работы является ретроспективный анализ комплексного лечения детей и взрослых с дефектами развития грудной клетки, проведенного в ЦИТО за 10 лет.
МАТЕРИАЛ И МЕТОДЫ
Общая характеристика клинических наблюдений представлена в таблице. Большая доля взрослых пациентов среди наших больных обусловлена двумя немедицинскими факторами: 1) достаточным числом в Московском регионе детских хирургов, оперирующих на грудной клетке, при практически полном отсутствии таковых во «взрослой» сети; 2) малой информированностью поликлинических детских врачей о современных возможностях хирургической коррекции дефектов развития грудной клетки.
Показаниями к хирургической коррекции воронкообразной деформации грудной клетки были П-Ш степень деформации по классификации Gizicka [цит. 2], функциональные изменения со стороны кардиореспираторной системы (перегрузка правых отделов сердца, уменьшение функциональной остаточной емкости легких более чем на 20%), снижение массы тела более чем на 20%, ортопедические проблемы, связанные с деформацией позвоночника и нарушением его статики. Больных с воронкообразной деформацией I степени оперировали лишь при их настойчивом желании избавиться от косметического дефекта либо при обнаружении достоверных признаков прогрессирования деформации. Показания к коррекции килевидной деформации носили исключительно косметический характер и сводились к желанию пациента или его родителей устранить уродующий дефект.
Оперативное вмешательство выполнялось под комбинированным эндотрахеальным наркозом.
Торакопластика по поводу воронкообразной деформации грудной клетки состояла в субнадхрящничной резекции деформированных участков ребер (хрящевых и, при необходимости, костных отделов) и передней, клиновидной и поперечной стернотомии по верхней границе деформации. Фиксация грудинореберного комплекса в корригированном положении осуществлялась сшиванием грудины в месте стернотомии танталовыми М-образными скобками при помощи оригинального аппарата [6], пластиной Paltia [9] и перемещением мечевидного отростка на мышечной ножке на заднюю поверхность грудины (рис. 1). Из многочисленных доступов к грудинореберному комплексу мы считаем оптимальным разрез, состоящий из трех лучей, у мальчиков и поперечный волнообразный субмаммарный доступ у девочек и женщин. Грудные мышцы мобилизовывали по Ravitch, стараясь минимально отсепаровывать кожу и молочные железы.

Рис. 1. Схема торакопластики при воронкообразной деформации грудной клетки (а) и модифицированный аппарат СРКЧ-22 для сшивания грудины (б).
Килевидную деформацию устраняли торакопластикой по Ravitch-1 [7] без существенных модификаций. Отличием можно считать использование тех же доступов, что и при воронкообразной деформации.
Залогом успешного ведения раннего послеоперационного периода после торакопластики мы считаем адекватное плановое обезболивание, раннее восстановление функции кишечника и устранение плевральных осложнений.
Независимо от состояния больного в 1-е сутки обезболивание проводилось наркотическими анальгетиками (промедол) каждые 4 ч. На 2-е сутки наркотические анальгетики чередовались с ненаркотическими, на 3-и сутки применялись ненаркотические анальгетики, промедол назначался только на ночь.
Распределение больных по виду деформации грудной клетки, возрасту и полу
Возраст и пол больных
Обозначения: ВДГК — воронкообразная, КДГК — клиновидная деформация грудной клетки.
Всем пациентам с 1-х суток до появления самостоятельного стула проводили инъекции церукала или мотилиума, ежедневные гипертонические клизмы, ограничивали питание, особенно употребление сладких продуктов и газосодержащих напитков. Нарушение режима питания в 1-е сутки после торакопластики вызвало у одного пациента развитие острого расширения желудка, что потребовало полностью перейти на парентеральное питание.
Пример 1. Больной Б., 16 лет, диагноз: воронкообразная деформация грудной клетки III степени. Произведена торакопластика по описанной выше методике. После стабилизации общего состояния на 2-е сутки переведен из отделения реанимации в профильное отделение. В нарушение рекомендованного режима питания съел 2 банана. Через 2 ч после этого появились тошнота, вздутие живота, рвота. Перистальтика кишечника практически не прослушивалась. На фоне проведения адекватного обезболивания (упомянутые явления вызвали дополнительную болевую реакцию) установлен назогастральный зонд, выполнено промывание желудка. Одновременно проводилась медикаментозная стимуляция кишечника с применением гипертонических клизм. Явления острого расширения желудка и пареза кишечника были купированы. Парентеральное питание продолжалось еще 2 сут. Дальнейшее течение послеоперационного периода без осложнений.
Швы (косметические) снимали на 5-е сутки, укрепляя кожную рану еще на 3 сут полосками лейкопластыря. В течение 5—7 дней больные находились на строгом «щитовом» режиме, затем им разрешалось садиться и на следующий день — ходить. Через 12-20 сут после торакопластики, в зависимости от возраста и состояния, пациентов выписывали домой.
Пластину Paltia удаляли через 4-6 мес, после формирования каркаса грудной клетки, надежность которого оценивали на основании данных рентгенографии и ультразвукового исследования.
Правосторонний гемоторакс был отмечен нами у 76% больных. Столь высокая частота его может быть связана с возрастом пациентов, тяжестью деформации грудной клетки и особенностью торакопластики с использованием сшивающего аппарата. Применение последнего требует «высокой» мобилизации плевры и перикарда в загрудинном пространстве для введения бранши с ответной матрицей.
Следует сказать, что мы не считаем серьезным осложнением вскрытие при торакопластике правого плеврального листка (левый, «оттесненный» сердцем, практически никогда не повреждается). Более того, коммуникацию загрудинного пространства с правой плевральной полостью можно рассматривать как выгодный путь дренирования зоны оперативного вмешательства. С одной стороны, при положении больного на спине в раннем послеоперационном периоде кровь и транссудат свободно стекают в правую плевральную полость, откуда легко могут быть удалены. С другой стороны, место пункции либо дренирования правой плевральной полости расположено достаточно далеко от зоны операции и пластины Paltia, что снижает риск гнойных осложнений, катастрофических в имплантационной хирургии.
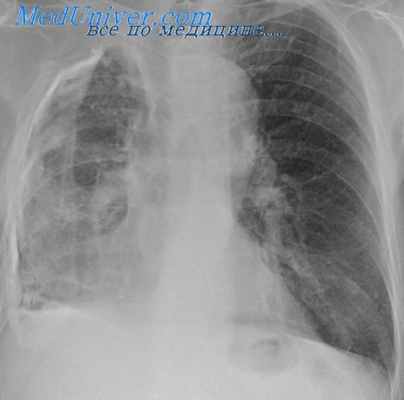
В 6 случаях, когда во время операции было четко видно, что правая плевра не повреждена, проводилось дренирование ретропекторального пространства. У 2 взрослых пациентов из этой группы — мужчин 24 лет с тяжелой килеццдной и 36 лет с воронкообразной деформацией грудной клетки III степени — развилось осложнение, которое никогда не встречалось нам у детей. После перевода больных в вертикальное положение состояние их резко ухудшилось, появились клинические и рентгенологические признаки наличия большого количества жидкости в правой плевральной полости. Это осложнение мы связываем с прорывом в правую плевральную полость ретростернальной гематомы.
Пример 2. Больной Л., 36 лет, диагноз: воронкообразная деформация грудной клетки III степени. Произведена торакопластика по модифицированной методике Salamaa—Paltia. При выполнении операции явного повреждения плевры не отмечено, поэтому дренирование плевральной полости не осуществлялось. При ультразвуковом исследовании в 1-е сутки после операции определялось около 100 мл жидкости в правой плевральной полости. Произведена пункция, получено 70 мл геморрагического содержимого. В последующие дни течение послеоперационного периода без осложнений. На 7-е сутки пациент вертикализирован, разрешено ходить. На 9-е сутки появились одышка, слабость, субфебрильная температура. Аускультативно определялось резкое ослабление дыхания справа, притупление перкуторного звука в нижних отделах грудной клетки, на обзорной рентгенограмме грудной клетки — уровень жидкости в правой плевральной полости. Произведена пункция плевральной полости, удалено 900 мл геморрагического содержимого. Через 4 дня — повторная плевральная пункция, получено 400 мл более светлой геморрагической жидкости. Проводились противовоспалительная терапия, дыхательная гимнастика. Скопления жидкости в плевральных полостях не отмечалось. На 20-е сутки пациент выписан из стационара в удовлетворительном состоянии. Через 6 мес удалена пластина Paltia. При осмотре через 1 год жалоб не предъявляет, каркас грудной клетки сформирован правильно (рис. 2).
В последнее время мы не стремимся во что бы то ни стало сохранить целость правой плевры и расширяем показания к дренированию правой плевральной полости.

Рис. 2. Больной Л. 36 лет. Воронкообразная деформация грудной клетки III степени.a — до оперативного лечения, б — через 1 год после торакопластики.
РЕЗУЛЬТАТЫ И ОБСУЖДЕНИЕ
Применение избранных методов торакопластики по поводу воронкообразной и килевидной деформаций грудной клетки позволило у 73 (98,6%) из 74 больных получить хорошие ближайшие и отдаленные (до 10 лет) результаты. У одного па циента результат расценен как удовлетворительный в связи с наличием умеренной асимметрии грудной клетки (из-за несоблюдения рекомендованного режима у него через 2,5 мес после торакопластики произошел отрыв пластины, что потребовало ее досрочного удаления).
Пример 3. Больной П., 16 лет, диагноз: воронкообразная деформация грудной клетки III степени. При поступлении жалобы на одышку после незначительной физической нагрузки, периодические боли за грудиной. На ЭКГ отмечается перегрузка правых отделов сердца, блокада правой ножки пучка Гисса, при исследовании функции внешнего дыхания — снижение функциональной остаточной емкости легких на 30%. Произведена торакопластика по модифицированной методике Salamaa—Paltia. В послеоперационном периоде проводилось активное дренирование правой плевральной полости в течение 2 сут. Получено 450 мл геморрагического отделяемого. Дальнейшее течение послеоперационного периода без осложнений. Через 6 мес удалена пластина Paltia. Результат лечения хороший, каркас грудной клетки сформирован правильно. При осмотре через 2 года: каркас грудной клетки сформирован правильно, на фоне роста (пациент вырос на 15 см) рецидива деформации нет (рис. 3).
Следует отметить, что сочетание радикальной резекции реберных хрящей по Ravitch со сшиванием грудины в месте стернотомии оригинальным аппаратом, установкой пластины Paltia и использованием приема «гамак» обеспечивало достижение правильной конфигурации грудной клетки сразу после операции и отсутствие флотации грудины в раннем послеоперационном периоде. Это в свою очередь позволяло рано стабилизировать кардиореспираторные функции у оперированных больных (экстубация проводилась на операционном столе) и рано вертикализировать пациентов. Относительно высокий процент правостороннего гемоторакса после таких операций мы считаем несущественным по сравнению с выгодой надежной стабилизации грудинореберного комплекса.

Рис. 3. Больной П. 16 лет. Воронкообразная деформация грудной клетки III степени, асимметричный корпорокостальный тип.a — внешний вид до операции, б — через 2 года после торакопластики по модифицированной методике Salamaa—Paltia; в — рентгенограмма и компьютерная томограмма грудной клетки до операции, г — рентгенограммы после торакопластики.

Рис. 4. Больной Н. 18 лет. Килевидная деформация грудной клетки. а — внешний вид до оперативного лечения, б — через 3 года после торакопластики по Ravitch; в — компьютерные томограммы грудной клетки до операции.
Таким образом, применение современных методов торакопластики позволяет излечить более 98% больных с дефектами развития грудной клетки. Разумеется, это возможно только при соответствующем анестезиологическом и реаниматологическом обеспечении и адекватной реабилитации.
Читайте также:
