Показания для дренирования псевдокисты поджелудочной железы в двенадцатиперстную кишку
Добавил пользователь Евгений Кузнецов Обновлено: 29.12.2025
Киста поджелудочной железы – полость, которая окружена капсулой и заполнена жидкостью. Самой распространённой морфологической формой кистозных поражений поджелудочной железы являются постнекротические кисты. В Юсуповской больнице врачи выявляют кисты в поджелудочной железе благодаря применению современных инструментальных методов диагностики: ультразвукового исследования (УЗИ), ретроградной холангиопанкреатографии, магнитно-резонансной томографии (МРТ), компьютерной томографии (КТ). Обследование пациентов проводят с помощью новейшей диагностической аппаратуры ведущих мировых производителей.
Увеличению количества пациентов с кистозными поражениями поджелудочной железы способствует неукротимый рост заболеваемости острым и хроническим панкреатитом, возрастание числа деструктивных и осложнённых форм заболеваний. Частота постнекротических кист поджелудочной железы увеличивается благодаря внедрению эффективных методик консервативной терапии острого и хронического панкреатита.
На фоне проведения интенсивной терапии терапевтам Юсуповской больницы всё чаще удаётся остановить процесс деструкции, снизить частоту гнойно-септических осложнений. Хирурги применяют инновационные методики лечения кист поджелудочной железы. Тяжёлые случаи заболевания обсуждаются на заседании Экспертного Совета с участием профессоров и врачей высшей категории. Ведущие хирурги коллегиально принимают решение о тактике ведения пациентов.

Врождённые (дизонтогенетические) кисты поджелудочной железы образуются в результате пороков развития ткани органа и его протоковой системы. Приобретенные кисты поджелудочной железы бывают следующими:
Ретенционными – развиваются в результате сужения выводных протоков железы, стойкой закупорки их просвета новообразованиями, камнями;
Дегенерационными – образуются вследствие повреждения ткани железы при панкреонекрозе, опухолевом процессе, кровоизлияниях;
Пролиферационными – полостные новообразования, к которым относятся цистаденомы и цистаденокарциномы;
Паразитарными – эхинококковыми, цистицеркозными.
В зависимости от причины заболевания выделяют кисты поджелудочной железы алкогольной природы и развивающиеся вследствие желчекаменной болезни. С увеличением количества участившихся террористических актов, дорожно-транспортных происшествий, природных и техногенных катастроф значение приобретает образование ложных кист поджелудочной железы при тяжёлых абдоминальных травмах. В зависимости от локализации кистозного образования различают кисту головки, тела или хвоста поджелудочной железы.
Истинные кисты составляют 20% кистозных образований поджелудочной железы. К истинным кистам относят:
Врождённые дизонтогенетические кисты железы;
Приобретенные ретенционные кисты;
Цистаденомы и цистаденокарциномы.
Отличительная особенность истинной кисты – наличие эпителиальной выстилки на внутренней её поверхности. Истинные кисты в отличие от ложных образований обычно не достигают больших размеров и нередко являются случайными находками во время операции.
Ложная киста наблюдается в 80% всех кист поджелудочной железы. Она образуется после травмы поджелудочной железы или острого деструктивного панкреатита, которые сопровождались очаговым некрозом ткани, разрушением стенок протоков, кровоизлияниями и выходом панкреатического сока за пределы железы. Стенки ложной кисты представляют собой уплотнённую брюшину и фиброзную ткань, изнутри не имеют эпителиальной выстилки, а представлены грануляционной тканью. Полость ложной кисты обычно заполнена некротическими тканями и жидкостью. Её содержимое – серозный или гнойный экссудат, который содержит большую примесь сгустков изменённой крови и излившегося панкреатического сока. Ложная киста может располагаться в головке, теле и хвосте поджелудочной железы и достигать больших размеров. В ней выявляют 1-2 литра содержимого.
Среди кистозных образований поджелудочной железы хирурги выделяют следующие основные разновидности, которые отличаются механизмами и причинами образования, особенностями клинической картины и морфологии, необходимой в применении хирургической тактикой:
Экстрапанкреатические ложные кисты возникают на почве панкреонекроза или травмы поджелудочной железы. Они могут занимать всю сальниковую сумку, левое и правое подреберья, иногда располагаются в других отделах грудной и брюшной полостей, забрюшинном пространстве;
Интрапанкреатические ложные кисты обычно являются осложнением рецидивирующего очагового панкреонекроза. Они имеют меньшие размеры, чаще располагаются в головке поджелудочной железы и нередко сообщаются с её протоковой системой;
Кистозное расширение панкреатических протоков по типу их водянки наиболее часто встречается при алкогольном калькулёзном панкреатите;
Ретенционные кисты чаще исходят из дистальных отделов поджелудочной железы, имеют тонкие стенки и не сращены с окружающими тканями;
Множественные тонкостенные кисты неизмененной в остальных отделах поджелудочной железы.
Стадии
Процесс формирования постекротической кисты поджелудочной железы проходит 4 стадии. На первой стадии возникновения кисты в сальниковой сумке образуется полость, заполненная экссудатом вследствие перенесенного острого панкреатита. Эта стадия продолжается 1,5-2 месяца. Вторая стадия – начало формирования капсулы. В окружности несформировавшейся псевдокисты появляется рыхлая капсула. На внутренней поверхности сохраняются некротические ткани с полинуклеарной инфильтрацией. Продолжительность второй стадии 2-3 месяца с момента возникновения.
На третьей стадии завершается формирование фиброзной капсулы псевдокисты, прочно сращенной с окружающими тканями. Интенсивно протекает воспалительный процесс. Он носит продуктивный характер. За счёт фагоцитоза завершается освобождение кисты от некротических тканей и продуктов распада. Продолжительность этой стадии варьируется от 6 до 12 месяцев.
Четвёртая стадия – обособление кисты. Только спустя год начинаются процессы разрушения сращений между стенкой псевдокисты и окружающими тканями. Этому способствует постоянное перистальтическое движение органов, которые сращены с неподвижной кистой, и длительное воздействие протеолитических ферментов на рубцовые сращения. Киста становится подвижной, легко выделяется из окружающей ткани.

Симптомы и диагностика
Клинические признаки кисты поджелудочной железы обусловлены основным заболеванием, на фоне которого она возникла, наличием самой кисты и возникшими осложнениями. Киста небольших размеров может протекать бессимптомно. При остром и хроническом панкреатите во время очередного рецидива болезни врачи Юсуповской больницы определяют в зоне проекции поджелудочной железы малоболезненное округлое образование, которое может навести на мысль о кисте железы. Наиболее часто бессимптомно протекают кисты врожденного характера, ретенционные кисты и цистаденомы небольших размеров.
Боли в зависимости от величины кисты и степени давления ее на соседние органы и нервные образования, на солнечное сплетение и нервные узлы по ходу крупных сосудов могут быть следующего характера:
Приступообразными, в виде колики;
При выраженном болевом синдроме пациент иногда принимает вынужденное коленно-локтевое положение, ложится на правый или левый бок, стоит, наклонившись вперёд. Боли, вызываемые кистой, часто оцениваются больными как чувство тяжести или давления в подложечной области, которые усиливаются после еды.
Более резкие боли сопровождают острую форму кисты в начальной фазе её формирования. Они – следствие панкреатита травматического или воспалительного происхождения и прогрессирующего протеолитического распада тканей железы. Опухолевидное образование, которое прощупывается в подложечной области, является наиболее достоверным признаком кисты поджелудочной железы. Иногда оно возникает и вновь исчезает. Это связано с периодическим опорожнением полости кисты в панкреатический проток.
К более редким признакам кисты поджелудочной железы относятся следующие симптомы:
Показания для дренирования псевдокисты поджелудочной железы в двенадцатиперстную кишку
ГБУЗ Москвы «Научно-исследовательский институт скорой помощи им. Н.В. Склифосовского» Департамента здравоохранения Москвы, Москва, Россия
ГБУЗ «Научно-исследовательский институт скорой помощи им. Н.В. Склифосовского» Департамента здравоохранения Москвы, Москва, Россия;
ФГБОУ ДПО «Российская медицинская академия непрерывного профессионального образования», Москва, Россия
- SPIN РИНЦ: 4044-9661
- Scopus AuthorID: 55970485700
- ResearcherID: P-9151-2017
- ORCID: 0000-0003-1270-5414
Первый опыт эндоскопического лечения кистозных образований поджелудочной железы доброкачественного генеза
В статье представлен первый опыт применения эндоскопического метода лечения 23 пациентов с кистозными образованиями поджелудочной железы доброкачественного генеза. Цель исследования — оценить результаты эндоскопического цистогастро- и цистодуоденального стентирования при кистозных образованиях поджелудочной железы доброкачественного генеза. Материал и методы. Пролечены 23 пациента с острым панкреатитом и псевдокистой поджелудочной железы. Всем пациентам при поступлении выполнено ультразвуковое исследование (УЗИ), результаты которого позволили выявить кистозные образования поджелудочной железы, что явилось показанием к наложению цистогастроанастомоза. Пациентам в зависимости от расположения псевдокисты поджелудочной железы через желудок или двенадцатиперстную кишку в полость кисты вводили цистотом и выполняли аспирацию содержимого, после чего под рентгенологическим контролем производили контрастирование с целью определения ее точных размеров и герметичности, наличия связи с внутрипротоковой системой поджелудочной железы. Затем устанавливали пластиковый или металлический стент и проводили визуальный осмотр. Сразу после манипуляции выполняли рентгенографию органов брюшной полости с целью установления наличия или отсутствия свободного газа. После наложения цистогастроанастамоза на 2-е и 7-е сутки после операции проводили контроль с применением эндоскопической ультрасонографии для оценки адекватности дренирования псевдокисты. При неадекватном дренировании выполняли цистоназальное дренирование с использованием назобилиарного дренажа и последующей ежедневной санацией кисты. Результаты. Применение эндоскопического метода дренирования псевдокист под контролем эндоскопической ультрасонографии позволило достигнуть полного регресса полости кисты у 81,8% пациентов и уменьшения полости кисты более чем в 2 раза — у 18,2%. Выводы. Доказана высокая эффективность эндоскопического метода дренирования псевдокист под контролем эндоскопической ультрасонографии. Данный метод отличается малоинвазивностью, минимальным риском развития послеоперационных осложнений и летальности, коротким послеоперационным периодом по сравнению с оперативными вмешательствами, выполняемыми с применением лапаротомного или лапароскопического доступов.
В структуре острых хирургических заболеваний органов брюшной полости острый панкреатит (ОП) занимает 3-е место, составляя от 4,5 до 10% [1—7]. Отмечено, что заболеваемость ОП не имеет тенденции к снижению, а летальность с 1990 по 2015 г. возросла на 62% [8].
Деструктивные формы ОП в ранние сроки осложняются парапанкреатическим инфильтратом или абсцессом, перитонитом или флегмоной забрюшинной клетчатки. К поздним осложнениям относятся псевдокисты (ПК), частота выявления которых составляет от 0,1 до 1 случая на 100 000 взрослого населения в год [9, 10]. У мужчин в 57—84% случаев развитие ОП с исходом в ПК поджелудочной железы (ПЖ) связано со злоупотреблением алкоголем [11]. У женщин наиболее частым этиологическим фактором является желчнокаменная болезнь, которая встречается в 31—65% случаев [12]. На 2-м месте по частоте образования кист как у мужчин, так и у женщин находится травматический панкреатит, при котором псевдокисты формируются в 10—20% случаев [13].
Остается актуальной проблема выбора срока, объема и вида оперативного вмешательства. Приоритетные параметры для решения о хирургическом лечении следующие: 1) локализация и размеры ПК; 2) «зрелость» стенок ПК; 3) взаимосвязь с протоковой системой ПЖ [14—16]. На сегодняшний день широко используются различные варианты резекционных и дренирующих операций с лапаротомным или лапароскопическим доступом [15, 16]. При этом длительность стационарного лечения достигает 28 дней. В 15—29% наблюдений оперативное лечение сопровождается осложнениями, летальность достигает 17% [17—19].
Впервые эндоскопическое чрезжелудочное дренирование ПК с аспирацией содержимого выполнено в 1975 г. Эта операция заключалась в опорожнении кисты в просвет желудка. Попадание желудочного сока привело к инфицированию и нагноению ПК, а также к быстрой облитерации цистогастроанастомоза [16]. Это послужило поводом к разработке метода цистоназального дренирования ПК с аспирацией содержимого и ее санацией [20]. Наиболее перспективным методом является формирование эндоскопического цистогастроанастомоза с использованием синтетических стентов, предотвращающих быструю облитерацию соустья [21—23].
Цель исследования — оценить результаты эндоскопического цистогастро- и цистодуоденального стентирования при кистозных образованиях поджелудочной железы доброкачественного генеза.
Материал и методы
С ноября 2011 г. по декабрь 2018 г. в Научно-исследовательском институте скорой помощи им. Н.В. Склифосовского пролечены 23 пациента (20 (87%) мужчин и 3 (13%) женщины, средний возраст составил 52 года (39; 59 лет)) с ОП и развитием ПК П.Ж. Выполнено эндоскопическое дренирование ПК.
Диагноз ПК ПЖ установлен на основании анамнеза и трансабдоминального ультразвукового исследования (УЗИ), эндоскопической ультрасонографии (ЭУС) и компьютерной томографии (КТ). Для оценки сроков образования ПК использовали классификацию J. Howard и J. Jordar (1960), модифицированную J. Berk и W. Haubrich (1965), согласно которой все ПК делятся на острые — до 90 сут, подострые — от 91 до 180 сут и хронические — более 181 сут [7].
Размер и локализацию ПК устанавливали по данным УЗИ и К.Т. Все П.К. разделили в зависимости от размера на гигантские — более 15,1 см, большие — от 10,1 до 15 см, средние — от 5,1 до 10 см, малые — менее 5 см. Кроме этого, определяли их локализацию в П.Ж. При наличии нескольких кист учитывали локализацию наибольшей из них.
Для эндоскопического дренирования ПК под контролем ЭУС использовали ультразвуковую эндоскопическую систему Exera II и конвексный эхоэндоскоп Olympus GF-UCT140 («Olympus Corporation», Япония), рентгеновскую установку («Ziehm Imaging», Германия), цистотом («Соок Medical», США, Дания, Ирландия), струну диаметром 9 мм («Olympus Corporation», Япония), пластиковые стенты типа Pig Tail («Olympus Corporation», Япония), металлические саморасширяющиеся стенты Endostars и специальные саморасширяющиеся стенты для дренирования кист ПЖ HANAROSTENT («M.I. Tech Co. Ltd.», Республика Корея).
Вмешательство выполняли под общей анестезией в положении больного на спине. При осмотре желудка или двенадцатиперстной кишки выявляли выбухание их стенок за счет сдавления извне. При ЭУС определяли расстояние между стенками и выявляли бессосудистую область для безопасной установки стента. Применение ЭУС позволило выбрать точку дренирования ПК, которая у 20 (87%) пациентов локализовалась в желудке, у 3 (13%) — в двенадцатиперстной кишке. Через намеченную точку выполняли гастроцистостомию или дуоденоцистостомию. Аспирировали содержимое и контрастировали ПК для определения ее точных размеров, герметичности и связи с протоковой системой ПЖ. В просвет кисты по каналу цистостомы заводили струну, по которой устанавливали пластиковый или металлический стент. Инструменты извлекали и проводили визуальный осмотр стента. Выполняли рентгеноскопию для оценки размеров полости. При выявлении связи ПК с протоковой системой ПЖ проводили эндоскопическую ретроградную панкреатикографию, вирсунготомию и стентирование главного панкреатического протока пластиковым стентом длиной 6 см, диаметром 5 °F.
После операции выполняли рентгенографию брюшной полости с целью установления наличия или отсутствия свободного газа. На 2-е и 7-е сутки после операции проводили УЗИ.
В послеоперационном периоде всем пациентам внутривенно вводили цефтриаксон 1,0 г 2 раза в сут или метронидазол 500 мг 3 раза в сут в течение 7 дней; внутривенно вводили 0,9% раствор хлорида натрия по 500 мл 2 раза в сутки в течение 3 дней. В качестве антисекреторной терапии применяли омепразол 20 мг 2 раза в сут в течение 7 дней. Проводили спазмолитическую терапию — дротаверин 40 мг внутримышечно 2 раза в сут в течение 7 дней. Для купирования болевого синдрома использовали трамадол — 50 мг или тримеперидин — 10 мг.
Эффективность эндоскопической операции оценивали по изменению объема полости кисты по данным УЗИ или К.Т. При невозможности адекватного дренирования ПК пластиковым стентом под рентгенологическим контролем устанавливали саморасширяющийся стент и назобилиарный дренаж диаметром 7 °F с последующей ежедневной санацией полости ПК.
Для оценки хирургических осложнений применяли классификацию хирургических осложнений Clavien—Dindo (2004).
Результаты и обсуждение
Причиной ОП с развитием ПК у 15 (65,2%) пациентов явилась желчнокаменная болезнь, у 7 (30,5%) — злоупотребление алкоголем, у 1 (4,3%) — перенесенная операция резекция хвоста ПЖ по поводу цистаденомы. Средний срок повторного обращения после перенесенного панкреонекроза составил в среднем 315 (135; 720) дней. При этом острые формы ПК выявлены у 3 (13%) пациентов, подострые — у 4 (17,4%), хронические — у 16 (69,6%), что свидетельствует о рецидивирующем течении О.П. Гигантские П.К. при УЗИ были выявлены у 3 (13%) больных, большие — у 5 (21,7%), средние — у 14 (60,9%), малые — у 1 (4,4%). У всех пациентов с гигантскими ПК имело место сдавление антрального отдела желудка и двенадцатиперстной кишки, что приводило к сочетанию болевого синдрома с нарушением эвакуации из желудка.

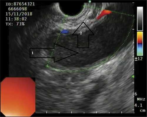
ПК локализовались в теле ПЖ у 7 (30,4%) пациентов, в хвосте ПЖ — у 7 (30,4%), в головке ПЖ — у 6 (26,2%) (рис. 1). Рис. 1. Псевдокиста головки поджелудочной железы (изображение при ультразвуковом исследовании). Стрелками указаны полость псевдокисты (1), бессосудистая зона (2). The arrows indicate pseudocyst cavity (1), avascular zone (2). У 3 (1%) больных имело место сочетанное расположение ПК в головке и теле ПЖ.

Пластиковые стенты применяли при наличии «зрелой» фиброзной капсулы толщиной от 3 до 9 мм и однородном содержимом кисты. Металлические саморасширяющиеся стенты устанавливали в отсутствие капсулы, при инфицированном содержимом и наличии секвестров (рис. 2). Рис. 2. Состояние после цистогастростомии. а — саморасширяющийся стент в просвете инфицированной кисты указан стрелкой (изображение получено при эндоскопической ультрасонографии); б — саморасширяющийся стент в просвете инфицированной кисты указан стрелкой 2 (по данным рентгенографии); в — пластиковый стент в просвете неинфицированной кисты указан стрелкой (изображение получено при эндоскопической ультрасонографии); г — пластиковый стент в просвете неинфицированной кисты указан стрелками (по данным рентгенографии). a — self-expanding stent inside infected cyst is indicated by the arrow 2 (us); b — self-expanding stent inside infected cyst is indicated by the arrow 2 (X-ray); c — plastic stent inside sterile cyst is indicated by the arrow (us); d — plastic stent inside sterile cyst is indicated by the arrows (X-ray).

После эндоскопической цистогастростомии у 8 (34,7%) больных отмечен умеренный болевой синдром в верхних отделах живота, у 6 (26,1%) — сочетание болевого и диспепсического синдромов, у 4 (17,4%) — выраженный болевой синдром, у 3 (13%) — подъемы температуры тела до субфебрильных цифр. Не предъявляли никаких жалоб 2 (8,7%) больных. Точка доступа для эндоскопического дренирования зависела от локализации ПК: при ее расположении в хвосте оптимальными областями для стентирования были тело желудка (56,5%) и задняя стенка антрального отдела желудка (21,7%), а при ее расположении в головке — двенадцатиперстная кишка (13,1%) (см. таблицу). Локализация цистостомы в желудке и двенадцатиперстной кишке (n=23) Примечание. Данные представлены в виде абсолютных и производных (%) величин.
Серозно-геморрагическое содержимое ПК было у 20 (85%) больных, в связи с этим им были установлены пластиковые стенты, а гнойное содержимое — у 3 (15%), что явилось показанием для применения саморасширяющихся стентов.
Связь ПК с протоковой системой ПЖ имелась у 2 (8,7%) пациентов, что явилось показанием к стентированию главного панкреатического протока. На момент выписки по данным УЗИ жидкостные образования в тканях ПЖ у пациентов отсутствовали, а полость кисты не определялась.
Выраженный болевой синдром после цистогастростомии отметили у 4 (17,4%) пациентов в 1-е сутки. При рентгеноскопии в брюшной полости выявлен свободный газ. На фоне консервативной терапии болевой синдром купирован. При УЗИ выявлено минимальное количество жидкости в брюшной полости у 2 больных. При УЗИ на 3-и и 4-е сутки жидкость в брюшной полости отсутствовала, полость ПК не определялась.
При попытке эндоскопической цистогастростомии у 1 (4,3%) пациента отмечено большое количество свободного газа в брюшной полости. При ЭУС выявлено разобщение стенок желудка и ПК, что явилось показанием к конверсии и хирургическому наложению цистогастроанастомоза.

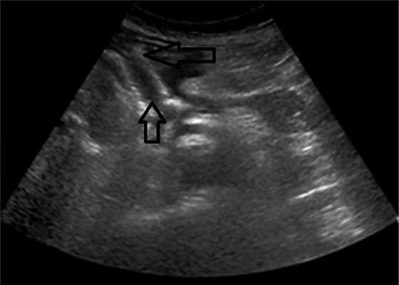
Контрольное УЗИ, выполненное перед выпиской, выявило отсутствие жидкостного образования у 18 (81,9%) пациентов, у 4 (18,2%) — уменьшение полости ПК более чем в 2 раза (рис. 3). Рис. 3. Стент в области головки поджелудочной железы, полость отсутствует, стрелками указаны края стента (изображение при ультразвуковом исследовании).
Таким образом, осложнения возникли у 5 (21,7%) из 23 больных, у 4 из них отмечали хирургические осложнения I степени и в 1 наблюдении — IIIb степени.
Ведущую роль в диагностике ПК играет УЗИ, которое у всех пациентов позволило обнаружить кистозное образование, оценить его размеры, локализацию, толщину капсулы. Для выявления бессосудистой области, необходимой для безопасной установки стента, использовали ЭУС. Для уточнения связи с протоковой системой ПЖ применяли эндоскопическую ретрограднаю панкреатографию. КТ применили у 3 больных, если данные УЗИ не позволяли оценить связь ПК с окружающими органами.
При наличии сформированной фиброзной капсулы и однородном жидкостном содержимом кисты выполняли установку пластиковых стентов. Отсутствие капсулы свидетельствует о наличии острого жидкостного скопления, которое нельзя дренировать через желудок. При выявлении секвестров, признаков инфицирования содержимого и в отсутствие капсулы при минимальной длине анастомоза (менее 1 см) устанавливали металлический саморасширяющийся стент.
После аспирации содержимого из ПК выполняли бактериологическое исследование, а также биохимическое исследование для определения уровня амилазы. Это позволило подтвердить инфицирование ПК и при необходимости скорректировать антибактериальную терапию, а также оценить связь ПК с протоковой системой ПЖ.
Всем пациентам после эндоскопического оперативного вмешательства рекомендовано проведение рентгенологического исследования органов брюшной полости с целью установления наличия или отсутствия свободного газа. Как показал наш опыт, после вмешательства наличие свободного газа у 8,7% пациентов не явилось показанием к обязательной конверсии, достаточно было динамического наблюдения.
Выполнение повторных УЗИ в фиксированные сроки позволяет оценить динамику изменения размеров П.К. Таким образом, предложенная лечебная тактика показала эффективность данного метода лечения ПК, однако малое число наблюдений является поводом для дальнейшего продолжения исследования.
Полученные данные имеют ограниченную © степень статистической значимости и IV уровень доказательности публикации (по классификации степени достоверности публикаций Оксфордского центра доказательной медицины).
Заключение
Эндоскопическое дренирование псевдокист поджелудочной железы под контролем эндоскопической ультрасонографии является высокоэффективным методом лечения: у 81,8% пациентов достигнут полный регресс полости, у 18,2% отмечено ее уменьшение более чем в 2 раза. Эндоскопическая цистогастростомия (цистодуоденостомия) является эффективным методом лечения с минимальным риском послеоперационных осложнений: конверсия потребовалась лишь у 1 (4,3%) больного. При острой псевдокисте показана установка саморасширяющегося стента, что позволяет выполнять программную санацию полости псевдокисты и проводить цистоназальное дренирование. При хронической псевдокисте рекомендуется устанавливать пластиковый стент, этого достаточно для адекватного дренирования ПК.
Ложная киста поджелудочной железы
Ложная киста поджелудочной железы (псевдокиста) – полость в паренхиме поджелудочной железы, лишенная эпителиальной выстилки и содержащая панкреатический секрет и тканевой детрит. Причиной развития патологии наиболее часто являются панкреатиты (острые и хронические), реже – травмы брюшной полости. Основной признак заболевания - боль, интенсивность которой максимально выражена на первом этапе формирования полости. Также характерны диспепсические жалобы. Диагностическая программа включает рентгенографию органов брюшной полости, УЗИ и КТ поджелудочной железы, РХПГ. Лечение комплексное: фармакотерапия, эндоскопические и хирургические вмешательства (дренирующие или удаление кисты).
МКБ-10


Общие сведения
Ложная киста поджелудочной железы относится к опухолеподобным процессам. Данная патология представляет серьезную проблему в гастроэнтерологии, тесно связанную с увеличением заболеваемости населения острыми и хроническими панкреатитами, которые являются основной причиной формирования псевдокист. При алкогольном панкреатите ложные кисты поджелудочной железы образуются у 34-50% пациентов.
Псевдокисты склонны к нагноению, перфорации, малигнизации, образованию плохо поддающихся лечению внутренних и наружных свищей, чем обусловлена высокая летальность при данной патологии – до 53%. Клиническая картина псевдокисты часто маскируется под обострение основного заболевания, в ряде случаев ложные кисты являются интраоперационными находками. Несмотря на постоянное совершенствование методик лечения, в том числе микрохирургических, на сегодняшний день отсутствует единый лечебно-диагностический алгоритм и «золотой стандарт» лечения пациентов.

Причины ложной кисты поджелудочной железы
Наиболее часто формированию панкреатических псевдокист предшествует острый и хронический панкреатит, при этом острая форма сопровождается формированием полости в паренхиме железы в половине, а хроническая – в 80% случаев. В зоне повреждения паренхимы органа происходят деструктивные изменения, отграничение воспалительной массы с ее уплотнением и последующим разрастанием в строме соединительной ткани. Тканевой детрит постепенно уничтожается иммунными клетками, и на его месте остается полость без эпителиальной выстилки.
Реже причиной образования ложных кист поджелудочной железы выступает травма органа. Посттравматические псевдокисты - это гематомы с большим количеством панкреатических ферментов. Они обладают склонностью к быстрому нагноению, в связи с чем требуют неотложного хирургического вмешательства. Отдельным вариантом посттравматических псевдокист являются ятрогенные ложные кисты, которые формируются после оперативных вмешательств. Такие псевдокисты представляют собой затеки желчи (это осложнение характерно для лапароскопической холецистэктомии) или панкреатического сока (развиваются после резекции поджелудочной железы). После обширных хирургических вмешательств в поджелудочной железе может скапливаться осумкованная перитонеальная жидкость.
Иногда псевдокисты образуются при ограничении воспалительного процесса вследствие применения высоких дозировок ингибиторов панкреатических ферментов. Такие ложные кисты протекают на фоне хронического панкреатита. Редкой причиной формирования ложных кист поджелудочной железы является атеросклероз сосудов данного органа.
Классификация ложных кист поджелудочной железы
Панкреатические псевдокисты классифицируют по этиологии: возникающие после деструктивного панкреатита, посттравматические и другие. В зависимости от локализации различают псевдокисты головки, тела и хвоста панкреас.
Отдельно выделяют 4 стадии псевдокист, образующихся на месте очага деструкции паренхимы органа:
- Первая стадия характеризуется образованием начальной полости в зоне инфильтрации и аутолитических процессов, длится около шести недель.
- На второй стадии полость ограничивается рыхлой соединительнотканной капсулой, при этом продолжается разрушение инфильтрата иммунными клетками. Этот период может длиться 2-3 месяца.
- На третьей стадии псевдокиста «созревает» – образуется капсула из фиброзной ткани. Данный процесс происходит примерно через полгода от начала заболевания.
- Четвертая стадия характеризуется окончательным формированием плотной капсулы, которая легко отделяется от окружающих тканей.
В практической гастроэнтерологии чаще используется следующая классификация псевдокист:
- острые (до 2-3 месяцев)
- подострые (до полугода)
- хронические (более полугода).
Симптомы ложной кисты поджелудочной железы
Ведущим симптомом панкреатической псевдокисты является боль. Ее характеристики зависят от размера, локализации, а также стадии формирования полости. Наиболее интенсивную боль испытывают пациенты в первом периоде «созревания» псевдокисты, когда происходят деструктивные процессы в паренхиме органа. Через некоторое время боль стихает, становится тупой. У некоторых пациентов остается только ощущение дискомфорта. В дальнейшем возможны повторные болевые приступы, которые связаны с гипертензией в протоках поджелудочной железы. Значительное усиление боли может свидетельствовать о развитии таких осложнений, как разрыв, нагноение, кровоизлияние в полость псевдокисты.
Локализация болевых ощущений зависит от расположения псевдокисты: при образовании в области головки панкреас боли возникают в правом подреберье, тела и хвоста – в эпигастрии и левом подреберье. Некоторых пациентов беспокоят постоянные боли, что может быть связано с давлением псевдокисты на солнечное сплетение. В таких случаях ощущения усиливаются при смене положения тела, физических нагрузках, давлении поясом одежды. Характерны также диспепсические жалобы: тошнота, рвота, ухудшение аппетита.
Диагностика ложной кисты поджелудочной железы
Важную роль в диагностике панкреатических псевдокист играет оценка анамнеза и объективное обследование пациента. Консультация гастроэнтеролога позволяет выявить в анамнезе указания на недавно перенесенный острый панкреатит или обострение хронического, травму живота, а также наличие после них «светлого промежутка». При пальпации живота определяется боль, в некоторых случаях (при крупных псевдокистах) - асимметрия, прощупывание округлого образования.
Результаты лабораторных исследований обычно малоинформативны, поскольку выявляют изменения, причиной которых является первичное заболевание - панкреатит (лейкоцитоз, повышение СОЭ, возможно повышение билирубина и активности щелочной фосфатазы). Характерно изменение уровня панкреатических ферментов: на первой стадии формирования псевдокисты после купирования болевого синдрома определяется гиперферментемия, на более поздних стадиях – гипоферментемия.
При проведении рентгенографии органов брюшной полости возможно обнаружение тени псевдокисты, а также смещения двенадцатиперстной кишки или желудка. Более информативна ультразвуковая диагностика. УЗИ поджелудочной железы позволяет визуализировать ложную кисту, оценить ее локализацию и размеры, в некоторой степени – связь с протоковой системой, а также наличие или отсутствие осложнений (нагноения, кровоизлияния в полость). В случае сдавления холедоха выявляется расширение желчных протоков, при портальной гипертензии – селезеночной и воротной вен. При малигнизации псевдокисты визуализируются неровные контуры ее стенки.
Эзофагогастродуоденоскопия проводится с целью выявления косвенных признаков воспалительного процесса в поджелудочной железе, сдавления желудка и двенадцатиперстной кишки: над участками сдавления определяются эрозии слизистой оболочки, может быть обнаружено варикозное расширение вен пищевода.
Важным методом диагностики панкреатических псевдокист является эндоскопическая ретроградная холангиопанкреатография (ЭРХПГ). Данный метод исследования позволяет оценить связь полости псевдокисты с протоковой системой, что играет определяющую роль в выборе лечебной тактики. Однако в связи с тем, что существует высокий риск инфицирования полости в ходе исследования, ЭРХПГ проводится исключительно перед хирургическим вмешательством для выбора метода лечения.
Для окончательной верификации диагноза, детальной оценки состояния ложной кисты поджелудочной железы и ее содержимого выполняются такие диагностические исследования, как МРТ поджелудочной железы, цитологическое исследование содержимого кисты. Дифференциальная диагностика проводится с ретенционными кистами, доброкачественными кистомами, злокачественными опухолями поджелудочной железы.

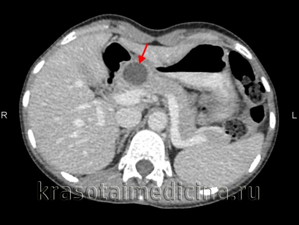
КТ органов брюшной полости. Псевдокиста поджелудочной железы у пациента после приступа острого панкреатита
Лечение ложной кисты поджелудочной железы
На данном этапе фармакотерапия комбинируется с ранним чрескожным пунктированием с установкой катетера. Катетер может находиться в полости псевдокисты до нескольких месяцев, что дает возможность выполнять промывание антисептическими растворами, аспирацию содержимого, а также пломбирование полости силиконовыми быстротвердеющими композициями. До формирования фиброзной капсулы псевдокисты применяется выжидательная тактика, которая обоснована и при бессимптомных ложных кистах поджелудочной железы. При этом активные методы применяются только при появлении клинических симптомов (сдавление соседних органов, боль).
Во втором и последующих периодах формирования псевдокисты ведущим методом лечения является дренирование. В настоящее время в клинической практике более часто применяются эндоскопические малоинвазивные методы, включающие цистогастростомию и цистодуоденостомию. В ходе данных вмешательств выполняется пункция стенки желудка или двенадцатиперстной кишки в области сдавления псевдокистой и установка стента, который может находиться в анастомозе несколько недель. Однако данные методы лечения имеют определенные недостатки: существует риск инфицирования псевдокисты с попаданием химуса в ее полость, раздражения слизистой пищеварительной трубки, кровотечения, а также рубцевания соустья, что приводит к рецидивам.
Хирургическое лечение показано при больших размерах ложных кист поджелудочной железы (более 6-7 сантиметров в диаметре), быстром их увеличении, длительно существующих полостях, большом количестве детрита в полости, а также при травматической этиологии. Также операция проводится при нагноении, перфорации, кровотечении, формировании свищей, неэффективности других методов лечения. Для лечения панкреатических псевдокист выполняется наружное дренирование (вскрытие псевдокисты с вшиванием в рану передней брюшной стенки), внутреннее дренирование (вскрытие кисты, ее ушивание и наложение анастомоза с желудком, двенадцатиперстной или тощей кишкой), удаление кисты (цистэктомия или резекция части панкреас с псевдокистой).
Прогноз и профилактика
Прогноз при ложных кистах поджелудочной железы зависит от причины их развития и выбора оптимального метода лечения в каждом конкретном случае. Послеоперационная летальность при данной патологии очень высокая – около 50%. В то же время рецидивы после различных видов лечения, в том числе эндоскопических, развиваются в 30% случаев. Существует высокий риск таких осложнений, как кровотечение, нагноение, перфорация псевдокисты, формирование свищей, малигнизация. Профилактика панкреатических псевдокист сводится к предупреждению панкреатитов (отказу от употребления алкоголя, рациональному питанию), травм брюшной полости.
Киста поджелудочной железы
Киста поджелудочной железы – ограниченное стенками образование в паренхиме органа, заполненное жидкостным содержимым, которое развивается вследствие травматического или воспалительного повреждения поджелудочной железы. Симптомы зависят от размеров, локализации и причины формирования кисты и варьируют от ощущения дискомфорта до выраженного болевого синдрома, сдавления соседних органов. Для оценки размеров, расположения кисты, ее связи с протоковым аппаратом и выбора тактики лечения проводится УЗИ, КТ, МРТ поджелудочной железы, ЭРХПГ. Лечение хирургическое: внутреннее или наружное дренирование, реже – резекция части железы с кистой.

Киста поджелудочной железы – патология, распространенность которой в последние годы увеличилась в несколько раз, причем страдают преимущественно лица молодого возраста. Гастроэнтерологи причину этого видят в росте заболеваемости острыми и хроническими панкреатитами различной этиологии (алкогольной, билиарной, травматической). Киста поджелудочной железы является наиболее распространенным осложнением хронического панкреатита (до 80% случаев). Сложность данной патологии заключается в отсутствии единого представления о том, какие именно образования следует относить к панкреатическим кистам, общей классификации, отражающей этиологию и патогенез, а также стандартов оказания медицинской помощи.
Некоторые авторы к кистам поджелудочной железы относят образования, имеющие ограниченные стенки и заполненные панкреатическим соком, другие специалисты считают, что содержимым кисты может быть также некротизированная паренхима органа, кровь, воспалительный экссудат или гной. В любом случае, мнения сходятся в том, что для формирования кисты поджелудочной железы непременно должны быть следующие условия: повреждение паренхимы органа, затруднение оттока панкреатического секрета, а также локальное нарушение микроциркуляции.
Причины
Наиболее частая причина развития кист поджелудочной железы – панкреатиты. Острое воспаление поджелудочной железы осложняется развитием кист в 5-20% случаев, при этом полость обычно формируется на третьей – четвертой неделе заболевания. При хроническом панкреатите постнекротические кисты поджелудочной железы образуются в 40-75% случаев. Чаще всего основным этиологическим фактором является алкогольная болезнь. Реже кисты образуются после травм поджелудочной железы, а также вследствие желчнокаменной болезни с нарушением оттока панкреатического сока, обструктивного хронического панкреатита с нарушением оттока по вирсунгову протоку, опухолей большого дуоденального соска, рубцового стеноза сфинктера Одди.
Формирование кисты поджелудочной железы при панкреатите происходит следующим образом. Повреждение ткани органа сопровождается локальным скоплением нейтрофилов и лимфоцитов, деструктивными процессами и воспалением. При этом область повреждения отграничена от окружающей паренхимы. В ней происходит разрастание соединительной ткани, формируются грануляции; тканевые элементы внутри очага постепенно разрушаются иммунными клетками, и на этом месте остается полость. Если киста поджелудочной железы сообщается с протоковой системой органа, в ней накапливается панкреатический сок, также возможно скопление тканевых некротических элементов, воспалительного экссудата, а при повреждении сосудов – крови.
При нарушении пассажа по общему панкреатическому протоку формируются кисты поджелудочной железы, имеющие эпителиальную выстилку, внутри которых накапливается панкреатический сок. Ключевым патогенетическим механизмом их образования является внутрипротоковая гипертензия. Доказано, что внутри полости кисты давление может в три раза превышать нормальные показатели внутри протоков.
Классификация
Условно все кисты поджелудочной железы по морфологическим признакам подразделяют на два типа: сформированные вследствие воспалительного процесса и не имеющие эпителиальной выстилки (некоторые авторы называют такие образования псевдокистами, другие не выделяют в отдельную группу) и образованные при обструкции протоков и имеющие эпителий (ретенционные).
Для характеристики кист поджелудочной железы, образовавшихся как осложнение острого панкреатита, наиболее часто используется Атлантская классификация, согласно которой выделяют острые, подострые жидкостные образования и абсцесс поджелудочной железы. Остро развившиеся образования не имеют окончательно сформированных собственных стенок, в их роли могут выступать как паренхима железы, так и протоки, парапанкреатическая клетчатка, даже стенки соседних органов. Хронические кисты поджелудочной железы характеризуются уже сформировавшимися из фиброзной и грануляционной ткани стенками. Абсцесс – это заполненная гноем полость, образовавшаяся при панкреонекрозе или нагноении кисты.
В зависимости от локализации различают кисты головки, тела и хвоста поджелудочной железы. Выделяют также неосложненные и осложненные (перфорацией, нагноением, свищами, кровотечением, перитонитом, малигнизацией) панкреатические кисты.
Симптомы кисты поджелудочной железы
Клиническая картина при наличии кисты поджелудочной железы может существенно отличаться в зависимости от размера, расположения образования, причины его формирования. Довольно часто панкреатические кисты не вызывают симптоматики: полости диаметром до 5 сантиметров не сдавливают соседние органы, нервные сплетения, поэтому пациенты не испытывают дискомфорта. При крупных кистах основным признаком является болевой синдром. Характерный симптом - «светлый промежуток» (временное улучшение клинической картины после острого панкреатита или травмы).
Наиболее интенсивная боль наблюдается в период формирования псевдокисты при остром панкреатите или обострении хронического, поскольку имеют место выраженные деструктивные явления. Со временем интенсивность болевого синдрома снижается, боль становится тупой, может остаться только ощущение дискомфорта, которое в сочетании с анамнестическими данными (перенесенная травма или панкреатит) позволяет заподозрить заболевание. Иногда на фоне такой скудной симптоматики развиваются болевые приступы, причиной которых является внутрипротоковая гипертензия. Резкая выраженная боль может свидетельствовать также о разрыве кисты, постепенное усиление боли на фоне повышения температуры тела и явлений интоксикации – о ее нагноении.
Существенно отличаются симптомы кисты поджелудочной железы, если она сдавливает солнечное сплетение. При этом пациенты испытывают постоянную выраженную жгучую боль, иррадиирующую в спину, которая может усиливаться даже от сдавления одеждой. Состояние облегчается в коленно-локтевом положении, боль купируется только наркотическими анальгетиками.
Симптомами кисты поджелудочной железы могут быть и диспепсические явления: тошнота, иногда – рвота (ею может заканчиваться приступ боли), неустойчивость стула. В результате снижения экзокринной функции органа нарушается всасывание в кишечнике питательных веществ, снижается вес.
Для данной патологии характерен синдром сдавления соседних органов: если киста находится в области головки железы - возможна механическая желтуха (иктеричность кожи и склер, кожный зуд); при сдавлении воротной вены развиваются отеки на нижних конечностях; если образование нарушает отток мочи по мочеточникам, характерна задержка мочеиспускания. Редко крупные панкреатические кисты сдавливают просвет кишечника, в таких случаях может развиться неполная кишечная непроходимость.
Диагностика кисты поджелудочной железы
Консультация гастроэнтеролога при подозрении на панкреатическую кисту позволяет выявить характерные жалобы пациента, анамнестические данные. При осмотре живота возможна его асимметрия – выпячивание в области расположения образования. При проведении лабораторных анализов обычно специфических изменений нет, возможен незначительный лейкоцитоз, увеличение СОЭ, в некоторых случаях – повышение уровня билирубина и активности щелочной фосфатазы. Концентрация ферментов поджелудочной железы зависит не столько от наличия кисты, сколько от стадии панкреатита и степени повреждения железы. Примерно в 5% случаев нарушается эндокринная функция панкреас и развивается вторичный сахарный диабет.
Высокоинформативны инструментальные методы визуализации кисты. УЗИ поджелудочной железы позволяет оценить размеры образования, а также косвенные признаки осложнений: в случае нагноения определяется неравномерность эхосигнала на фоне полости, при малигнизации – неоднородность контуров. Компьютерная томография и магнитно-резонансная томография (МРТ поджелудочной железы) дают более детальную информацию о размерах, расположении кисты, наличии ее связи с протоками. В качестве вспомогательного метода может применяться сцинтиграфия, при которой киста определяется как «холодная зона» на фоне общей паренхимы органа.
Особое место в диагностике кисты поджелудочной железы отводится эндоскопической ретроградной холангиопанкреатографии (ЭРХПГ). Данная методика дает детальную информацию о связи кисты с протоками железы, что определяет тактику лечения, однако при проведении обследования существует высокий риск инфицирования. Поэтому в настоящее время ЭРХПГ проводится исключительно при решенном вопросе о хирургическом лечении с целью выбора способа операции.
Лечение кисты поджелудочной железы
Лечение кисты поджелудочной железы хирургическое. Не существует единой тактики ведения пациентов с этим заболеванием, и выбор операции зависит от причин формировании кисты, ее размеров, морфофункциональных изменений ткани органа, а также состояния протоковой системы.
Специалисты в области хирургической гастроэнтерологии выделяют три основных направления тактики при кисте поджелудочной железы: ее удаление, внутреннее и наружное дренирование. Удаление образования производится путем резекции части поджелудочной железы вместе с кистой, при этом объем определяется размерами кисты и состоянием паренхимы органа (может быть выполнена резекция головки железы, дистальная, панкреатодуоденальная резекция).
Внутренние дренирующие вмешательства могут проводиться путем наложения анастомоза между кистой и желудком (цистогастростомия), двенадцатиперстной (цистодуоденостомия) или тонкой кишкой (цистоэнтеростомия). Данные методы считаются наиболее физиологичными: они обеспечивают пассаж панкреатического секрета, устраняют болевой синдром, редко приводят к рецидивам.
Наружное дренирование кисты применяется реже. Такое вмешательство показано при нагноении полости, несформировавшихся кистах, обильной васкуляризации образования, а также тяжелом общем состоянии пациента. Подобные операции являются паллиативными, поскольку существует риск нагноения и рецидивирования кисты, формирования панкреатических свищей, которые очень плохо поддаются консервативному лечению и иногда требуют проведения технически намного более сложных вмешательств. Любой вид дренирующих операций проводится только после подтверждения неопухолевой этиологии образования.
В последнее время все большую распространенность приобретают малоинвазивные дренирующие оперативные вмешательства, которые используются как альтернативное лечение. Однако, несмотря на малую инвазивность и теоретическую перспективность таких методов лечения, очень часто развиваются осложнения в виде формирования наружных панкреатических свищей, сепсиса.
Консервативная терапия при кисте поджелудочной железы определяется основным заболеванием. В случае панкреатита обязательно назначается диета, направленная на максимальное снижение панкреатической секреции. Применяются замещающие препараты, анальгетики, проводится контроль уровня гликемии, при необходимости – ее коррекция.
Прогноз и профилактика кисты поджелудочной железы
Прогноз при кисте поджелудочной железы зависит от причины заболевания, своевременности диагностики и хирургического лечения. Данная патология характеризуется высокой частотой осложнений – от 10 до 52% всех случаев сопровождаются нагноением, перфорацией, образованием свищей, озлокачествлением или внутрибрюшным кровотечением. Даже после хирургического лечения существует риск рецидивирования. Профилактика кист поджелудочной железы заключается в отказе от алкоголя, своевременном адекватном лечении заболеваний желудочно-кишечного тракта (ЖКБ, панкреатитов), рациональном питании.
Можно использовать как срединную лапаротомию, так и двусторонний подрёберный доступ. Органы брюшной полости осматривают для исключения иной патологии.
В описываемом случае большую псевдокисту можно увидеть и пропальпировать кзади от желудка. Поскольку киста прилежит непосредственно к задней стенке желудка, составляющей переднюю стенку кисты, её можно легко дренировать путём цистогастростомии. Однако щёлочное содержимое кисты, поступающее через такое соустье, будет вызывать раздражение слизистой оболочки антральной части желудка, изредка осложняющееся кровотечением. Поэтому мы предпочитаем другой метод дренирования кисты — цистоеюностомию в У-образную браншу тощей кишки по Ру — во всех случаях, когда это возможно.

После натягивания брыжейки поперечной ободочной кишки в краниальном направлении можно увидеть кисту и прощупать её через брыжейку ободочной кишки. Этот манёвр обеспечивает прекрасный доступ для внутреннего дренирования кисты в тощую кишку по Ру. В это время содержимое кисты обычно аспирируют, чтобы подтвердить, что она находится именно в пальпируемой зоне.
Кроме того, нужно взять биоптат из какой-либо части кисты, чтобы убедиться в том, что это не цистаденокарцинома. Если обнаруживают несоответствие между размером пальпируемой массы и величиной кисты, идентифицированной при РКТ-сканировании, можно выполнить цистографию. Для этого в кисту инъецируют рентгеноконтрастное вещество и проводят рентгенографию на операционном столе. Тень кисты на снимке должна соответствовать размерам пальпируемого образования. Если выявлена разница размеров, нужно полагать, что либо существует вторая псевдокиста, либо псевдокиста многокамерная, и она не будет полностью опорожняться через точку, где производили пункционную аспирацию.

Конструируют браншу У-образного анастомоза по Ру длиной 60 см. Методика её создания была описана выше. Эту браншу помещают в удобную позицию рядом с кистой, ранее идентифицированной при пункционной аспирации. Цистоеюностомию выполняют двухрядными швами. Наружный ряд отдельных узловых швов по задней поверхности анастомоза выполняют шёлковыми лигатурами № 3/0. После завершения заднего наружного ряда швов делают отверстие в кисте. Для этого можно применить либо скальпель, либо диатермокоагулятор.
После вскрытия кисты в неё вводят наконечник отсоса и аспирируют содержимое. Если ранее не была выполнена биопсия стенки кисты, её выполняют в этот момент и отправляют материал для срочного гистологического исследования (срезов замораживающим микротомом), чтобы исключить любые подозрения на кистозную опухоль. Внутренний ряд швов по задней губе анастомоза — герметизирующий обвивной шов, выполняемый рассасывающейся синтетической лигатурой № 3/0. Его продолжают по передней поверхности анастомоза по способу Connell.

Наружный ряд одиночных узловых швов передней стенки анастомоза делают шёлком № 3/0.
После завершения анастомоза хирург должен убедиться в его достаточных размерах путём пальпации. К соустью подводят трубки двух закрытых дренажных систем из силиконового пластика. Несостоятельность анастомоза возникает редко. Вставка на иллюстрации представляет анатомию соустья сбоку. В описываемом случае киста плотно приращена к задней стенке желудка, поэтому хирург мог без труда выполнить цистогастростомию. Однако, как показано на схеме, соустье с тонкой кишкой по способу Ру обеспечивает идеальное внутреннее дренирование кисты в сегмент пищеварительного тракта, выключенный из пассажа кишечных масс.


Редактор: Искандер Милевски. Дата обновления публикации: 18.3.2021
Читайте также:
