Показания для операции при гемангиоме печени
Добавил пользователь Владимир З. Обновлено: 18.12.2025
Отделенческая клиническая больница на станции «Краснодар» ОАО РЖД
Тактика лечения гемангиом печени
Журнал: Хирургия. Журнал им. Н.И. Пирогова. 2010;(6): 40‑42
Аксенов И.В., Федорченко А.Н. Тактика лечения гемангиом печени. Хирургия. Журнал им. Н.И. Пирогова. 2010;(6):40‑42.
Aksenov IV, Fedorchenko AN. Hepatic hemangioma: the choice of treatment. Pirogov Russian Journal of Surgery = Khirurgiya. Zurnal im. N.I. Pirogova. 2010;(6):40‑42. (In Russ.).
В работе представлены результаты лечения 117 больных с гемангиомой печени. С применением лазерного и плазменного скальпелей оперировано 17 больных. Обсуждается техника выполнения резекции печени с применением современных методов гемостаза. В 8 из 17 наблюдений эндоваскулярная окклюзия сосудов, питающих гемангиому, явилась окончательным методом лечения. Делается вывод о сужении показаний к оперативному лечению при гемангиоме печени и необходимости тщательного диспансерного наблюдения за пациентами с впервые выявленными опухолями.
Введение
Гемангиомы являются одними из самых распространенных опухолей печени. По данным M. Federle и соавт. [7], они выявляются у 2% взрослого населения. V. Glinkova и соавт. [9] отмечают взаимосвязь возникновения гемангиом с уровнем женских половых гормонов в крови. D. Redondo и соавт. [14] сообщают о семейном типе наследования гемангиом. В последние годы развитие медицинской техники способствовало появлению и широкому распространению различных методов диагностики очаговых поражений печени, таких как ультразвуковое исследование (УЗИ), рентгеновская компьютерная, магнитно-резонансная и позитронно-эмиссионная томографии [1, 11, 13, 15]. Проводится поиск биологических маркеров гемангиом [8] . Этот процесс в свою очередь обусловил существенные изменения в тактике лечения больных опухолями печени. Особое место при этом занимают эндоваскулярные технологии, так как они могут являться и диагностическими, и лечебными [17]. Активная хирургическая тактика, применявшаяся ранее [2-4, 7, 12], сменяется сдержанным отношением к обоснованности выполнения оперативного вмешательства [5, 10, 16], особенно базирующегося на субъективных показаниях [6].
Материал и методы
В наших клиниках с 1996 по 2008 г. находились на лечении 117 пациентов (85 женщин и 32 мужчины) в возрасте от 21 года до 73 лет с гемангиомами печени. Одиночные гемангиомы выявлены у 112 человек, множественные - у 5. В правой доле печени опухоли локализировались у 109 пациентов, в левой - у 8. Диаметр гемангиом составил от 1 до 18 см. Тактику лечения определяли в соответствии с клинической картиной, данными УЗИ и КТ с использованием ультразвуковых аппаратов Siemens, Philips, Aloka и компьютерных томографов и ангиографов Siеmens. Учитывали локализацию, размер гемангиом, наличие или отсутствие осложнений, взаимоотношение с сосудисто-секреторными структурами печени. Обязательно выполняли биохимические исследования функции печени, определяли уровень онкомаркеров (α-фетопротеин, карциноэмбриональный антиген).
Результаты и обсуждение
По поводу гемангиом больших размеров (диаметром свыше 7 см) с выраженной клинической картиной заболевания и подкапсульной локализацией операции произведены 17 пациентам (16 женщин и 1 мужчина) в возрасте от 35 лет до 61 года; 1 - левосторонняя гемигепатэктомия, 1 - одновременно правосторонняя гемигепатэктомия и резекция гемангиомы левой доли печени, 4 - резекция трех сегментов правой доли, 6 - резекция двух сегментов правой доли печени, 4 - атипичная резекция, 1 - лапароскопическая резекция гемангиомы ворот печени. В 8 наблюдениях одновременно произведена холецистэктомия по поводу желчнокаменной болезни.
Все оперативные вмешательства выполняли с применением лазерных и плазменных скальпелей. Обязательным этапом вмешательства на печени считаем выполнение интраоперационного УЗИ, позволяющего более точно определить границы резекции. Анатомическую резекцию печени производили после перевязки печеночных вен, что обеспечивает надежный гемостаз при рассечении ткани печени даже без применения лазерного или плазменного скальпеля. В большинстве наблюдений при локализации патологического процесса в правой доле прибегали к дигитоклазии. При этом широко использовали клипирование сосудисто-секреторных образований, что позволяет оставлять по линии резекции минимальное количество лигатур (клипов) перед дальнейшей обработкой раневой поверхности лазерным или плазменным скальпелем. При атипичной резекции (1-2 сегмента) используем сшивающие аппараты типа УО-60. Их применение значительно сокращает длительность операции и обеспечивает надежный гемостаз. Важным является заключительный момент оперативных вмешательств - обработка ткани печени по линии резекции.
Наибольший коагулирующий эффект дает плазменный поток, но он вызывает большее повреждение печеночной ткани (см. рис. 1 и далее на цв. вклейке). Рисунок 1. Использование плазменного скальпеля. Лазерные скальпели обеспечивают надежный желче- и гемостаз, но требуется больше времени на его выполнение (рис. 2). Рисунок 2. Использование СО2-лазера. В 2 наблюдениях для герметизации ткани печени по линии резекции применяли пластины ТахоКомб. При гистологическом исследовании во всех случаях определялись кавернозные гемангиомы (рис. 3). Рисунок 3. Микрофотография. Кавернозная гемангиома. В послеоперационном периоде не отмечали случаев желчеистечения. Поддиафрагмальный абсцесс развился у одного больного после резекции трех сегментов правой доли печени. Произведено его дренирование, после чего наступило выздоровление. У 3 больных послеоперационный период осложнился возникновением правостороннего экссудативного плеврита. Летальных исходов не было. При наблюдении за больными в сроки от 3 мес до 10 лет после резекции печени отмечена ее регенерация или компенсаторное увеличение оставшейся паренхимы.
При комплексной диагностике в 17 наблюдениях (диаметр опухолей от 4 до 7 см) использовали ангиографию. 8 пациентам успешно выполнили эмболизацию ветвей печеночной артерии, питающих гемангиому печени. Одному из них эмболизацию ветвей к гемангиоме производили в два этапа из-за множества приводящих сосудов, питающих гемангиому. 7 пациентам эмболизацию выполняли частицами PVA 300-500 мкм, 1 - «медицинским фетром». Пунктировали правую бедренную артерию (в последнее время - лучевую артерию) по методу Сельдингера, устанавливали интродьюссер 7 F, что позволяло использовать разнообразные катетеры при селективной ангиографии (рис. 4, а). Рисунок 4. Ангиограммы. а - этап операции. Катетер заводили в устье чревного ствола, выполняли ангиографию для выяснения рентгенологической картины печеночной артерии, далее - суперселективную катетеризацию приводящих сосудов, питающих гемангиому печени, с последующим введением эмболизирующих материалов. Выполняли контрольную ангиографию, при этом определялась значительная редукция кровотока в артериальных ветвях печеночной артерии, питающих гемангиому (рис. 4, б). Рисунок 4. Ангиограммы. б - после эндоваскулярной окклюзии.
Трем пациентам не удалось эмболизировать ветви правой печеночной артерии, питающие гемангиому, так как имелись анатомические особенности отхождения от чревного ствола и в одном наблюдении - стойкий спазм при катетеризации правой печеночной артерии. У 2 пациентов при выполнении ангиографии печеночной артерии не было выявлено убедительных данных, свидетельствующих о наличии гемангиомы. Результаты ангиографического исследования послужили основанием для практически полного отказа от анатомической резекции правой доли печени, так как аномалии строения правой и левой печеночных артерий (вплоть до полного двойного перекрута в воротах печени) были выявлены у 4 больных.
Послеоперационный период после выполнения эндоваскулярной окклюзии у всех пациентов протекал без осложнений. Не было выявлено изменений функционального состояния печени. При УЗИ на следующие сутки отмечалось уменьшение размера гемангиом. Двум пациенткам на 3-и сутки выполнена эндоскопическая холецистэктомия по поводу желчнокаменной болезни.
При наблюдении за больными, перенесшими эндоваскулярную окклюзию сосудов, питающих гемангиомы, в сроки от 3 мес до 5 лет роста опухолей не отмечено.
Внедрение в клиническую практику новых методов диагностики гемангиомы печени существенно сужает круг пациентов, которым показано оперативное лечение. В эту группу входят больные с гемангиомой большого размера (диаметром более 7 см), с подкапсульной ее локализацией, выраженной клинической симптоматикой заболевания, возникновением функциональных и морфологических изменений в ткани печени. Оперативные вмешательства целесообразно выполнять с применением современных методов гемостаза (лазерный скальпель, плазменный поток). Проведенные исследования свидетельствуют о необходимости внедрения эндоваскулярных технологий при лечении больных гемангиомой печени, так как они позволяют избежать возможных осложнений основного заболевания и оперативного вмешательства.
При диспансерном наблюдении за пациентами с гемангиомами диаметром от 1 до 3 см в сроки от 1 года до 12 лет роста опухолей или малигнизации не выявлено.
Таким образом, оперативное лечение показано больным с гемангиомой печени больших размеров (более 7 см), при подкапсульной локализации и наличии выраженной клинической сиптоматики заболевания.
Больные с выявленной гемангиомой печени должны находиться под диспансерным наблюдением с обязательным ежегодным ультразвуковым контролем.
Эндоваскулярные технологии должны шире применяться в лечении больных гемангиомой печени, так как они позволяют избежать возможных осложнений основного заболевания и оперативного вмешательства.
Гемангиома печени
Гемангиома печени – это доброкачественная сосудистая опухоль, поражающая одну или обе доли печени. Чаще всего ее размер не превышает 5 см, а стертая симптоматика появляется только при значительных размерах образования. Первичная диагностика обычно является случайной и происходит при обследовании по поводу другой патологии. Заподозрить неоплазию позволят УЗИ, КТ или МРТ гепатобилиарной системы. Уточняют диагноз с помощью статической сцинтиграфии печени – метод позволяет доказать доброкачественный характер новообразования. Лечение только оперативное - при достижении опухолью больших размеров, сдавлении сосудов и соседних органов, кровотечении показано удаление части печени.


Общие сведения
Гемангиома печени – сосудистое новообразование, локализующееся в паренхиме печени, не склонное к малигнизации. О происхождении гемангиом до сих пор ведутся споры, однако большинство ученых склоняются к врожденному генезу данного вида новообразований. Вероятнее всего, формирование гемангиоматозного узла в печени происходит в первом триместре беременности, в период закладки кровеносных сосудов плода, вследствие патологического воздействия на организм беременной.
Гемангиома печени встречается у 7% населения. Несмотря на бытующее мнение о редкости данного вида новообразований, неоплазия занимает второе место среди всех опухолей печени. До 80% сосудистых новообразований, обнаруженных в первые три месяца жизни, в последующем подвергаются спонтанному регрессу. Заболевание чаще выявляют у молодых женщин – это связывают со стимулирующим влиянием эстрогенов на рост сосудистых опухолей. Опасность данного образования в том, что первым его проявлением может быть массивное кровотечение с вероятным летальным исходом. Следует отметить, что распространенность патологии среди населения в последние годы неуклонно растет.

Причины
Считается, что гемангиома печени начинает формироваться еще внутриутробно из эмбриональной ткани, как дефект закладки сосудов венозного русла. Многочисленные исследования морфологического субстрата сосудистых опухолей ставят гемангиомы на промежуточную ступень между пороками развития и эмбриональными бластомами. Среди всех гемангиом внутренних органов самая частая локализация – в печени, при этом в 7-10% случаев диагностируются гигантские опухоли (более 5 см). В практической гастроэнтерологии гемангиома лидирует среди всех доброкачественных опухолей печени.
Несмотря на множество исследований, посвященных сосудистым опухолям, до сих пор не принято единого решения – является ли гемангиома истинной опухолью или же это аномалия развития сосудов. В пользу опухолевой теории говорит инвазивный рост, гормонозависимость, рецидивирование после удаления. На сторону порока развития склоняет частое возникновение множественных гемангиом, что нехарактерно для опухолей. Нередок и гемангиоматоз печени, когда практически вся паренхима поражена мелкими (от нескольких миллиметров до 2 см) гемангиомами. Иногда тотальный гемангиоматоз приводит к тяжелой печеночной недостаточности и циррозу.
Ученые связывают рост новообразования не только с размножением клеток, а также с кровоизлияниями, тромбозом и расширением опухолевых сосудов. Наибольшая из известных доброкачественных сосудистых опухолей весила более пяти килограммов, хотя средний диапазон веса составляет 300-1500 г. Обычно новообразования растут очень медленно, к зрелому возрасту достигая размеров не более нескольких сантиметров. Кавернозные гемангиомы обычно растут быстрее капиллярных. У женщин рост сосудистых опухолей более интенсивный из-за высокого уровня эстрогенов, которые стимулируют деление клеток гемангиомы.
Классификация
Само понятие "гемангиома печени" является собирательным, многие авторы сюда относят разнообразные доброкачественные сосудистые новообразования печени: доброкачественную гемангиоэндотелиому, кавернозную, гроздевидную, венозную ангиомы. Гемангиома может быть кавернозной или капиллярной. Кавернозная гемангиома состоит из полостей больших размеров, которые объединяются в одну. Многие авторы в понятие каверномы включают не только опухоль, но и пороки развития, телеангиэктазии. Капиллярная гемангиома печени состоит из множества мелких полостей, каждая из которых содержит сосуд.
Симптомы гемангиомы печени
В 70% случаев выявленная неоплазия не превышает в размерах пяти сантиметров. Такие маленькие сосудистые опухоли никак не проявляются ни клинически, ни лабораторно. При достижении больших размеров (иногда до 20 см) может появиться стертая симптоматика: увеличение печени, боли в правом подреберье, тошнота. Чаще всего проявления гемангиомы бывают связаны со сдавлением крупных сосудов и соседних органов.
Иногда первым проявлением гемангиомы печени может быть массивное внутреннее кровотечение. Вызвать разрыв сосудов гемангиомы и кровопотерю могут разнообразные факторы: резкие движения, травмы живота (даже незначительные), высокие нагрузки. Кровотечение может быть столь массивным, что приводит к смерти пациента. Именно поэтому при возникновении резких болей в животе, после травмы брюшной полости пациентам с данной неоплазией следует незамедлительно обратиться к врачу.
Диагностика
Консультация врача-гепатолога редко позволяет своевременно выявить гемангиому печени, поскольку она практически никак не проявляет себя. Обычно доброкачественная сосудистая опухоль печени обнаруживается как случайная находка во время обследования по поводу другой патологии. УЗИ печени и желчного пузыря может обнаружить в паренхиме округлое образование с четкими контурами, неоднородным содержимым. Те же данные, но гораздо более точные, получают и при МРТ печени и желчевыводящих путей, МСКТ брюшной полости.

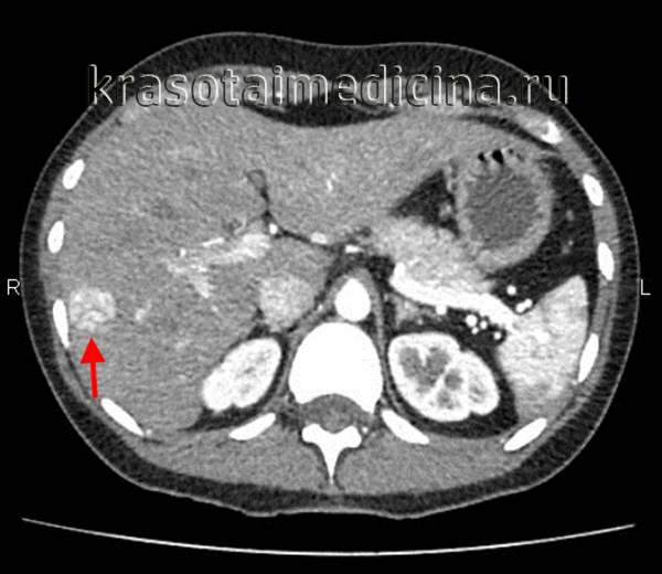
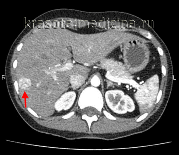
КТ ОБП С+. Гиперваскулярное объемное образование в правой доле печени, соответствующее плотности пула крови во всех фазах – гемангиома
Убедиться, что выявленная опухоль является гемангиомой печени, позволят ангиография чревного ствола (целиакография), статическая сцинтиграфия печени. Гепатосцинтиграфия используется для дифференцировки злокачественных и доброкачественных новообразований. Биохимические пробы печени (печеночные пробы) при гемангиоматозе обычно не изменены, если у пациента нет другой сопутствующей патологии (например, цирроза печени, гепатита). Клинические анализы также остаются в пределах нормы. Пункционная биопсия печени для диагностики сосудистой опухоли не используется, так как может привести к массивному кровотечению.
Большое внимание уделяется изучению генетических маркеров заболевания. Так, доказана связь А (II) группы крови с повышенным риском развития гемангиомы печени. Ученые предполагают, что развитие опухолевого процесса может иметь наследственную природу. Если исследования в данном направлении увенчаются успехом, то в будущем станет возможным выявлять группу риска по данной патологии, проводить диспансеризацию таких пациентов и диагностировать патологию еще на субклиническом этапе развития новообразования. Дифференцировать гемангиому печени следует с другими доброкачественными и злокачественными опухолями, кистами паразитарной и неинфекционной этиологии.
Лечение гемангиомы печени
От того, какого размера опухоль будет выявлена при обследовании, зависит дальнейшая тактика ведения и лечения данного пациента. Так как опухолевидное образование не всегда имеет шаровидную форму, принята единая методика измерения усредненного размера – фиксируется диаметр гемангиомы в трех взаимно перпендикулярных плоскостях ее наибольшего сечения. Неоплазии небольших размеров (до 5 сантиметров) не требуют каких-либо лечебных мероприятий. При первичном выявлении небольшой гемангиомы рекомендуют повторить УЗИ печени через 3 месяца для оценки динамики роста опухоли и общего состояния больного. В дальнейшем следует проводить ультразвуковое обследование каждые 6-12 месяцев, чтобы при повторной консультации гастроэнтеролога вовремя выявить показания к оперативному вмешательству.
Показания к удалению гемангиомы печени постоянно пересматриваются и дополняются. Специалисты сходятся во мнении, что необходимость операции должна оцениваться в каждом случае индивидуально. При этом учитываются размеры, локализация и количество новообразований, общее состояние пациента, сопутствующая патология. Главным критерием при определении показаний является сопоставление эффективности и риска операции. На сегодняшний день в пользу оперативного вмешательства свидетельствуют:
- Размеры опухоли более 50 мм.
- Быстрый рост опухоли – более чем на 50% ежегодно.
- Разрыв тканей опухоли с кровотечением.
- Тяжелая симптоматика, вызванная сдавлением опухолью сосудов или соседних органов.
- Сомнения в доброкачественности новообразования.
Однако существуют и противопоказания к проведению оперативного вмешательства – это прорастание основных венозных сосудов печени, цирроз печени, множественные гемангиомы в обеих долях печени.
При оперативном удалении неоплазий могут использоваться различные хирургические методики, в зависимости от размеров и локализации узла: сегментарная резекция печени, резекция доли печени (лобэктомия), гемигепатэктомия. Достаточно эффективными являются склерозирование и эмболизация. Указанные методы интервенционной радиологии могут использоваться и при множественных гемангиоматозных узлах, когда радикальная операция невозможна. В качестве подготовки к операции может применяться гормонотерапия – она позволяет уменьшить сосудистый узел в размерах, что в дальнейшем сводит объем операции и риск послеоперационных осложнений к минимуму.
В настоящее время разрабатывается множество современных неинвазивных методик лечения доброкачественных опухолей печени. Один из таких способов экспериментальной терапии заключается во введении в ткани гемангиомы ферромагнитных частиц с последующим созданием высокочастотного электромагнитного поля. При этом локальная температура в области опухолевого узла значительно повышается, вызывая асептический некроз, а затем – лизис поврежденных тканей.
Прогноз и профилактика
Прогноз при гемангиоме небольших размеров благоприятный. Так как данное новообразование закладывается еще внутриутробно, то единственным методом профилактики является тщательная подготовка к беременности, соблюдение здорового образа жизни и правильное питание, особенно в первом триместре. Методы профилактики возникновения неоплазия после завершения беременности не разработаны. Женщинам с данной патологией следует сообщить о своем диагнозе гинекологу, поскольку назначение данным специалистом эстрогенов может привести к росту опухоли и кровотечению.
Гемангиомы печени: причины, симптомы, лечение
Гемангиома печени – это доброкачественное сосудистое новообразование, локализирующееся в паренхиме печени. Данная опухоль в 6 раз чаще встречается у женщин, чем у мужчин, что обусловлено влиянием женского полового гормона эстрогена на ее рост и развитие.
Гемангиома печени - это опухоль, не перерождающаяся в злокачественную, и в редких случаях требующая лечения или резекции. Очень часто данное заболевание обнаруживается у беременных женщин или недавно родивших, что также вызвано повышением во время вынашивания плода уровня женского полового гормона.
Причины возникновения
На сегодняшний день точные причины возникновения гемангиомы неизвестны. Многие специалисты и вовсе считают данную сосудистую опухоль маленьких размеров (до 5 см) индивидуальным строением печени, а не проблемой, требующей лечения. Однако существует ряд факторов, способствующих росту и развитию данной сосудистой опухоли, что в будущем может влиять на общее состояние здоровья:
- генетическая предрасположенность. Доказано, что в семье, где у кровных родственников были случаи развития гемангиомы, вероятность ее развития у последующих поколений повышается. Также в истории были зафиксированы случаи возникновения этого новообразования у ребенка еще в утробе матери, что подтверждает теорию о наследственности данного заболевания;
- вторая группа крови. У людей с этой группой крови вероятность развития заболевания гораздо выше, чем у других;
- гормональный сбой. Основным фактором, влияющим на формирование гемангиомы, является повышенный уровень эстрогена в крови. Подобный гормональный дисбаланс может быть вызван беременностью, приемом гормональных контрацептивов или гормонозамещающей терапией;
- травматизация печени. Механические повреждения во время падений или ударов может в будущем стать причиной появления гемангиом.
Наши доктора, основываясь на многолетнем опыте работы, назначат корректное лечение, если в этом будет необходимость, а также проинструктируют касательно периодичности прохождения контрольных диагностических обследований в будущем.
На данный момент точно не выяснены причины появления гемангиомы – некоторые специалисты считают, что в маленьких размерах она совершенно безвредна для человеческого организма и не требует лечения, поскольку является скорее индивидуальной особенностью строения печени, чем болезнью. Однако существует ряд факторов, провоцирующих ее рост:
- гормональный дисбаланс. Половые женские гормоны эстрогены оказывают положительное влияние на рост и развитие гемангиомы, поэтому риск возникновения данного новообразования выше у когда-либо беременевших женщин, либо у тех, кто принимает гормональные контрацептивы или проходит гормонозамещающую терапию;
- наследственная предрасположенность. Бывали случаи, когда гемангиома начинала развиваться у ребенка еще в утробе матери. В этом случае гемангиома считается генетическим нарушением;
- вторая группа крови. Доказано, что люди со второй группой кровью более подвержены развитию данного сосудистого новообразования;
- механическое повреждение печени. Нередко гемангиомы появлялись вследствие сильного удара брюшной полости, а также вследствие неудачного оперативного вмешательства на печень.
Симптомы
Признаки гемангиомы печени не отличаются специфичностью и являются схожими с проявлениями других заболеваний печени, что существенно затрудняет диагностирование гемангиомы на ранних стадиях. К основным проявлениям данной сосудистой опухоли относят:
- общую слабость, утомляемость, вялость;
- боли в животе в области правого подреберья;
- тошноту, рвоту;
- повышение температуры тела;
- головокружения;
- желтуху, цианоз.
Типичность симптоматики с другими видами печеночных опухолей делает консультацию у гастроэнтеролога без предварительных обследований практически нецелесообразной. Однако если гемангиома печени тянет и болит, если человек чувствует тяжесть после еды или другие вышеперечисленные симптомы, это повод обратиться к врачу.

Виды сосудистых опухолей
Доброкачественная опухоль печени (гемангиома) представляет собой узел, состоящий из кровеносных сосудов и полостей, заполненных кровью. Такое новообразование может быть как одиночное, так и множественное. В основном данная опухоль формируется в правой доле печени, гемангиома левой доли печени встречается реже.
Гистология гемангиомы печени делится на три основных вида:
- капиллярная гемангиома печени. Это скопление маленьких сосудистых полостей, заполненных артериальной или венозной кровью. Данные новообразования, как правило, не вырастают большем чем 10 см в диаметре. Питание в капиллярных гемангиомах печени происходит за счет одного сосуда;
- кавернозная гемангиома печени. Данный узел состоит из соединений сосудистых полостей, находящихся на небольшом расстоянии друг от друга. Кавернозная гемангиома может вырастать до 25 см в диаметре и причинять человеку большой дискомфорт и болевые ощущения;
- атипичная гемангиома печени. В этом случае новообразование имеет нестандартную сосудистую структуру, покрытую ороговевшим слоем мягких тканей.
Чем опасна опухоль?
Сама по себе гемангиома не представляет никакой опасности по причине своей доброкачественности и маленьких размеров. Однако если не отслеживать динамику роста данного новообразования и никак не лечить большие узлы, гемангиома может быть чревата следующими осложнениями:
- разрывом опухоли и массивным внутренним кровотечением, что является самой большой опасностью, которую представляет собой гемангиома печени;
- сдавливанием соседних внутренних органов из-за большого размера новообразования. Огромные узлы (до 25 см в диаметре) могут вызывать сильные болевые ощущения по причины механического давления на органы малого таза, ЖКТ и др.;
- тромбозом и уплотнением опухоли.
Главной задачей гастроэнтеролога в данном случае является подбор наиболее эффективной методики лечения гемангиомы соответственно показателям пациента и особенностям его организма.
Результаты МРТ, УЗИ и компьютерной томографии
В данном случае консультация гастроэнтеролога без предварительной диагностики является малорезультативной, поскольку в большинстве случаев гемангиома не имеет видимых признаков и может быть выявлена лишь во время различного рода диагностических мероприятий. Обследованиями, позволяющими увидеть гемангиому и определить ее диаметр, являются:
- ультразвуковое исследование. Гемангиома печени на УЗИ зачастую заметна в паренхиме печени в виде округлого образования с неоднородным содержимым и четкими контурами;
- МСКТ брюшной полости;
- гепатосцинтиграфия – это метод, позволяющий исследовать мягкие ткани на предмет злокачественности. Биопсия при данном диагнозе запрещена, поскольку повреждение опухоли может вызвать массивное внутреннее кровотечение, так как само новообразование состоит из сосудов;
- МРТ и КТ печени и желчевыводящих путей. Данные исследования позволяют увидеть новообразование более точно с разных сторон. Перед этими обследованиями пациенту обязательно вводят в вену специальный препарат - контраст, поскольку гемангиома печени на КТ с контрастом очерчивается заметнее, и шанс спутать ее с иным новообразованием существенно уменьшается.
Наши врачи грамотно и внимательно относятся к составлению плана лечения каждого пациента, ведь только индивидуальный подход к выздоровлению дает ожидаемые результаты.

Накапливает ли гемангиома печени контраст при КТ?
Сложность компьютерной томографии в данном случае состоит в том, что небольшую гемангиому на обследовании легко спутать с такими патологиями, как:
- метастазы в печени. При условии выявления множественных опухолей в печени, врач может предположить, что они могут являться как гемангиомами, так и вторичными опухолевыми узлами (метастазами). Для более четкой картинки вводится контрастирующее вещество. Гемангиома печени контраст накапливает глыбками, в итоге получается изображение, характерное для гемангиомы, или напротив, подтверждающее теорию о метастазах в печени. Также в случае подозрения на метастазы рекомендуется проводить трехфазную КТ;
- печеночноклеточный рак. Большие сосудистые опухоли по структуре характеризуются неоднородной структурой, что может обозначать фиброз, наличие кальцинатов, а также некроз. Контрастирование происходит по признакам раковой опухоли. Доброкачественная опухоль констатируется по периферии к центру, что в некоторых случаях помогает рентгенологу определить характер опухоли.
Лечение
Лечение гемангиомы печени может быть как оперативным, так и консервативным - в зависимости от состояния и размера опухоли. К наиболее эффективным и распространённым методам относятся:
- прием препаратов, нормализирующих гормональный фон;
- прием препаратов с бета-блокаторами;
- удаление гемангиомы печени оперативным путем (резекция доли печени (лобэктомия), сегментарная резекция печени);
- эмболизация артерий, снабжающих новообразование. Данный способ является малоинвазивным и применяется для закупоривания кровеносных сосудов опухоли. В результате гемангиома печени уменьшается, а в последствии и вовсе пропадает, не беспокоя человека болевыми синдромами. Используется эмболизация для удаления как капиллярных, так и кавернозных гемангиом паренхимы печени;
- электрокоагуляция сосудов опухоли;
- лазерное облучение;
- склерозирование;
- радиолучевая терапия.
Однако не каждую гемангиому необходимо удалять. Существуют определенные показатели, наличие которых определяет необходимость удаления опухоли и способ, которым оно будет выполнено:
- если опухоль стремительно растет (более 50% объема за год);
- если человека беспокоят болевые или дискомфортные ощущения;
- если новообразование мешает функционированию внутренних органов;
- если диаметр гемангиомы превышает 7 см;
- если человека мучают симптомы, свидетельствующие о разрыве гемангиомы: резкая боль в области правого подреберья, головокружение, слабость, рвота, повышение температуры тела;
- если у врача есть подозрения на злокачественный характер новообразования в печени.
Для определения большинства показаний предварительно проводят диагностику, подтверждающую или опровергающую опасения врачей. Обследованиями для обнаружения гемангиомы печени являются:
- УЗИ печени;
- компьютерная томография;
- МРТ брюшной полости;
- статическая сцинтиграфия печени, которая позволяет определить доброкачественное новообразование или злокачественное.
Пункционная биопсия гемангиомы печени противопоказана, поскольку отщипывание образца мягких тканей может привести к серьезному внутреннему кровотечению.

Диета
Любое заболевание ЖКТ требует специальной диеты вне зависимости от выбранного курса лечения. Несоблюдение правил питания грозит увеличением опухоли или развитием побочных осложнений. Меню при гемангиоме печени должно преимущественно состоять из:
- сезонных овощей, фруктов, богатых клетчаткой и витамином В12;
- морской и речной рыбы;
- печени животных и птиц;
- нежирного мяса;
- продуктов молочного производства (кефир, творог, нежирный сыр);
- жидких блюд.
При гемангиоме печени противопоказаны следующие продукты:
- жирная острая пища;
- газированные напитки и крепкий кофе;
- консервированные продукты;
- соленья и другие продукты с большим содержанием соли;
- сахар и продукты с его содержанием;
- копченая пища.
Придерживаясь диеты и соблюдая все рекомендации врача, можно избавиться от гемангиомы в краткие сроки.
Прогнозы
Прогнозы при гемангиоме печени благоприятные, поскольку это доброкачественное заболевание, не перерождающееся в злокачественное. Важно соблюдать все указания врача для получения ожидаемого результата.
Специалисты Юсуповской больницы помогают пациентам избавляться от гемангиом самыми современными и действенными методами. Условия в стационаре позволят пациенту чувствовать себя комфортно, а приветливый и квалифицированный медицинский персонал сделает все, чтобы пребывание в нашей клинике было максимально комфортным и приятным.
Диагностика и лечение рака печени
Рак печени – это злокачественная опухоль, которая быстро увеличивается в размерах и даёт метастазы. Она может быть первичной или представлять собой метастазы из других органов. Заболевание в течение длительного времени протекает бессимптомно или проявляется неспецифическими признаками.
Диагностику рака печени онкологи Юсуповской проводят с помощью новейших методов исследования. Для лечения заболевания используют эффективнейшие противоопухолевые препараты, обладающие минимальным спектром побочных эффектов. Хирурги применяют инновационные методики оперативных вмешательств. Медицинский персонал обеспечивает профессиональный уход за пациентами.

Первичный рак печени возникает в среднем в 30 раз реже, чем вторичный. Как правило, злокачественная опухоль печени возникает на фоне наличия другого онкологического процесса в организме и его метастазирования (например, рак матки или желудка с метастазами в печень). Рак печени в 30 лет возникает также часто, как и в 50 и 60 – данное заболевание не имеет возрастных категорий. Активному метастазированию печень подвержена ввиду интенсивного кровообращения в этом органе. Существует ряд факторов риска, оказывающих влияние на формирование злокачественного новообразования в печени:
- хроническое воспаление печени. Цирроз, гепатит С и В существенно повышают риск развития онкологического процесса в печени;
- алкоголизм. Бесконтрольное употребление алкоголя разрушает клетки печени, обеспечивая благоприятные условия для формирования злокачественного новообразования;
- неправильное питание и, как следствие, избыточный вес. Чрезмерное скопление жира и замедление метаболизма повышают риск развития рака. Печень перестает справляться с объемами потребляемых гидрогенизированных жиров и постепенно теряет свои функции;
- гемохроматоз. Данный диагноз предполагает нарушение обмена железа в организме, вследствие чего в органах ЖКТ происходит его скопление;
- сердечная недостаточность;
- заражение паразитами;
- сахарный диабет;
- сифилис;
- желчнокаменная болезнь;
- воздействие радиации и онкогенных вирусов;
- нарушения работы эндокринной, лимфатической и кровеносной систем;
- нарушения в работе желчевыводящих путей;
- накопление в организме контрастного вещества торотраста. Он способен сохраняться в организме долгие года и со временем вызывать опухоль печени;
- прием препаратов, которые токсически воздействуют на печень;
- курение. Курение негативно влияет на здоровье человека, а в особенности на работу печени;
- пожилой возраст. С возрастом органы перестают работать также хорошо, как в молодости - снижается скорость обмена веществ и вероятность развития рака становится выше;
- отягощенная наследственность.
Обычно злокачественные новообразования печени развиваются под воздействием нескольких причин и провоцирующих факторов.

На первых стадиях рак печени протекает практически бессимптомно. Больного может беспокоить слабость и быстрая утомляемость, однако подозрений на рак печени это, как правило, не вызывает. В основном опухоль начинает проявляться после распространения за пределы печени или метастазирования в другие органы. Главными клиническими проявлениями рака печени являются:
- боли в районе правого подреберья;
- повышение температуры тела;
- чувство тяжести, обостряющееся после приема пищи;
- беспричинное снижение веса;
- снижение аппетита;
- желтушность кожных покровов и склер;
- тошнота, рвота, отрыжка воздухом;
- склонность к поносам или запорам;
- пальпируемый твердый узел в области печени;
- увеличение объема живота за счет скопления патологической жидкости;
- окрашивание кала в светлый цвет;
- темный цвет мочи;
- анемия;
- кожный зуд;
- носовые или желудочно-кишечные кровотечения.
Для того чтобы установить как можно раньше диагноз, следует обратиться к гастроэнтерологу при появлении первых признаков нарушения функции печени. После проведенного обследования пациента проконсультирует онколог. Ранняя диагностика злокачественных новообразований печени позволяет провести адекватную терапию, увеличивающую длительность жизни.
Симптомы у мужчин
Для мужчин характерны типичные проявления рака печени. Среди них выделяют:
- кожный зуд;
- увеличение размеров живота;
- гепатомегалия;
- эмоциональная лабильность.
В некоторых случаях возможно развитие гинекомастии, а также снижение либидо.
Симптомы у женщин
Симптомы рака печени у женщин ничем не отличаются от общих признаков. Врачи утверждают, что опасность для представительниц женского пола заключается в более поздних проявлениях заболевания. Характерными изменениями для женщин считаются:
- появление оволосения по мужскому типу;
- огрубение голоса;
- снижение либидо;
- уплотнения в области груди и подмышек.

Первичный рак печени в основном развивается из гепатоцитов – клеток печени, либо из клеток желчного протока. Специалисты различают несколько видов опухолей печени:
- карциносаркома;
- саркома;
- лимфома печени. Возникает из-за разрастания атипичных лимфоцитов. Отличается данное новообразование быстрым ростом и распространением метастазов в отдаленные органы;
- гепатоцеллюлярная карцинома - крайне редкая форма опухоли в печени. Главной причиной возникновения данного вида рака является цирроз или гепатит В и С;
- цистаденокарцинома. Строение данного новообразования схоже со строением кисты. Основными проявлениями заболевания являются сильные резкие боли в животе и головокружения. Цистаденокарцинома склонна быстро расти, вследствие чего часто становится причиной сдавливания соседних внутренних органов;
- гепатобластома – опухоль, характерная для детского возраста. Характеризуется снижением веса при непропорциональном увеличении живота;
- холангиоцеллюлярный рак печени (рак ворот печени). Достаточно редкая форма онкологического заболевания, связанная с мутацией клеток желчных протоков. Выявляется, как правило, на поздних стадиях, когда лечение уже не приносит результатов;
- ангиосаркома. Самый сложный и практически не поддающийся лечению рак печени. Метастазы при ангиосаркоме распространяются очень быстро, не давая возможности врачам купировать или замедлить их рост. Причинами появления данной опухоли становится длительный контакт с ядовитыми и токсичными веществами на производствах;
- меланома печени. Одна из самых тяжелых опухолей печени. В основном возникает на почве метастазирования другой опухоли или вследствие развития меланобластомы;
- фиброламеллярная карцинома. Проявляется данное новообразование печени сильными болями в эпигастрии и верхнем отделении живота, если опухоль выросла до размеров 20 и более сантиметров. Поддаётся лечению на ранних стадиях;
- недифференцированная саркома. Опухоль печени в этом случае быстро растет и развивается, распространяя метастазы в соседние органы. Часто обнаруживается в детском возрасте и практически не лечится.
Своевременная диагностика обеспечивает быстрое определение диагноза, что при онкологических заболеваниях чрезвычайно важно. Не следует откладывать поход к врачу, ведь именно это может спасти вам жизнь.
Ангиосаркома печени
Крайне агрессивное злокачественное новообразование, которое возникает при контакте с токсичными химическими веществами (мышьяком, медью, винилхлоридом) и при воздействии радиоактивного излучения – ангиосаркома печени. Нередко рост опухоли начинается на фоне накопления в организме торотраста, который ранее принимали в качестве контрастного вещества при выполнении рентгенологических исследований.
Симптоматика ангиосаркомы является малоспецифичной – у пациента может наблюдаться боль в животе, вздутие, лихорадка, снижение веса и аппетита. При пальпации может ощущаться уплотнение, во время аускультации доктор может услышать характерные шумы. Установить диагноз на ранней стадии развития патологического процесса затруднительно, поскольку дебют заболевания не сопровождается клиническими признаками злокачественной опухоли.
Ангиосаркому выявляют с помощью тех же методов, что и другие виды злокачественных новообразований печени. На рентгенограммах можно увидеть торотраст в печени и селезёнке. Во время диагностической лапароскопии хирурги проводят биопсию и отправляют участки патологически изменённых тканей на гистологическое исследование. Поскольку ангиосаркому выявляют на поздней стадии, пациентам проводят паллиативную терапию в условиях хосписа.
Гемангиоэндотелиома печени
Клиническая картина гемангиоэндотелиомы печени не отличается от других видов опухолей. Поначалу болезнь протекает бессимптомно, впоследствии возникают характерные признаки рака печени – желтушность кожных покровов, лихорадка, слабость, быстрая утомляемость, внезапное и стремительное снижение веса. Нередко данное заболевание влечет за особой обширное внутреннее кровотечение. Ученые связывают это с поражением новообразованием соседних кровеносных сосудов и ухудшением свертываемости крови.
Результативными методами лечения гемангиоэндотелиомы являются:
- лучевая терапия. Применяется данная методика к первичной патологии, повторный курс лучевой терапии при рецидиве является неэффективным;
- оперативное вмешательство. Является наиболее эффективным методом лечения опухоли печени, так как позволяет ликвидировать очаг заболевания. Однако операция не является гарантией к полному выздоровлению, так как метастазы хирургическим путем удалить невозможно;
- химиотерапия. Данный метод подразумевает использование препаратов, разрушающих злокачественные клетки. Химиотерапия чревата ухудшением общего самочувствия пациента и в основном применяется в случаях неоперабельной повторной опухоли.
Врачи клиники онкологии Юсуповской больницы в своей практике используют лишь самые современные методы лечения, которые позволяют улучшить качество жизни пациента.
Метастазы
Метастазы являются главной опасностью любого онкологического заболевания, поскольку их практически невозможно остановить или предупредить их распространение.
Метастазы первичного рака печени способны распространяться в желудок, головной мозг, легкие, пищевод, вены и артерии, сердечную мышцу, сосуды, кости и позвоночник. Метастазы из печени попадают в организм следующими путями:
- через лимфоток;
- через кровеносную систему;
- через разрастание за пределы печени и повреждение соседних тканей и органов.
К сожалению, метастазы встречаются в 40% случаев рака печени и часто поражают жизненно важные органы, которые в последствии крайне тяжело лечить.
Осложнения
Неконтролируемое течение рака печени опасно возникновением осложнений. Их появление зависит от многих факторов. Среди возможных осложнений выделяют:
- кровотечение из опухоли;
- нагноение опухолевого очага;
- нарушение оттока желчи в связи со сдавлением желчных путей;
- нарушение кровообращения в связи со сдавлением органов брюшной полости большими размерами опухоли;
- асцит.
Перечисленные симптомы требуют немедленной диагностики и проведения оперативного вмешательства. Без этого возможен летальный исход.
Онкологи Юсуповской больницы проводят комплексное обследование, позволяющее быстро установить диагноз рака печени и верифицировать вид опухоли. Оно включает следующие исследования:
Общий анализ крови – увеличивается количество лейкоцитов и скорости оседания эритроцитов;
Биохимический анализ крови – повышается уровень билирубина, АЛТ, АСТ;
Определение уровня специфического опухолевого антигена (онкомаркера) АПФ.
С помощью ультразвукового исследования, которое выполняется с применением аппаратуры экспертного класса, обладающей высокой разрешающей способностью, определяют локализацию и размеры опухоли. УЗИ используют как для первичной диагностики, так и с целью динамического контроля состояния новообразования.
Магнитно-резонансная, компьютерная томография выполняется с целью уточнения размера образования, степени прорастания в окружающие ткани и органы, отдалённых метастазов.
Лапароскопия проводится с целью уточнения распространения опухолевого процесса. Во время исследования хирург выполняет биопсию – проводит забор участков тканей для гистологического исследования.

Стадии
Определение стадии заболевания с помощью клинического, инструментального и лабораторного исследования позволяет врачам клиники онкологии выработать оптимальную тактику ведения пациента.
При первой стадии рака печени размеры опухоли не превышают двух сантиметров. Клинические симптомы отсутствуют. В отдельных случаях пациенты ощущают повышенную утомляемость и дискомфорт в области правого подреберья.
На второй стадии заболевания размеры опухоли достигают пяти сантиметров. Наблюдается инвазия атипичных клеток в сосуды. Пациентов беспокоит тяжесть и тупая ноющая боль в правом подреберье. По мере прогрессирования патологического процесса боль усиливается.
Третья стадия рака печени сопровождается распространением опухоли на другие органы и ткани. Выраженный болевой синдром вынуждает больного обратиться к врачу.
Врачи клиники онкологии Юсуповской больницы индивидуально подходят к выбору методов лечения каждого пациента, у которого выявлен рак печени. Комплекс лечебных мероприятий зависит от следующих факторов:
- расположение патологического очага;
- стадия развития опухоли;
- наличие или отсутствие метастазов;
- состояние пациента;
- сопутствующие заболевания.
Решение о необходимости и целесообразности того или иного метода терапии принимается после тщательно проведенной диагностики. Лечение рака печени включает в себя:
- Лекарственные препараты. Действующие вещества медикаментов оказывают токсическое воздействие на раковые клетки. При этом здоровые ткани не повреждаются. Химиотерапия при раке печени не имеет лечебного действия.
- Лучевая терапия. Локальное воздействие на опухоль приводит к уменьшению ее размеров. В результате уменьшается болевой синдром. Лучевая терапия используется на всех стадиях лечения рака печени.
- Абляция. Суть метода заключается во введении в опухолевое образование этанола. Затем на патологический очаг воздействуют микроволновым излучением. Абляция эффективна при наличии рака печени размером менее 3 см в диаметре.
- Сосудистая эмболизация. Кровообращение в области опухоли нарушается благодаря введению в сосуды специальных препаратов. В результате образование уменьшается в размерах. Сосудистая эмболизация эффективна при опухолях до 5 см в диаметре. Данный метод часто используется вместе с другими видами лечения рака печени.
- Оперативное вмешательство. При наличии операбельного рака показано удаление опухоли или трансплантация печени.

Питание
Состояние пациента улучшается при соблюдении специальной диеты. Повара Юсуповской больницы готовят блюда из качественных продуктов, которые не содержат нитратов, ГМО и канцерогенных пищевых добавок. В случае неконтролируемого снижения веса увеличивают суточную калорийность за счёт белковых продуктов. При приготовлении блюд отдают предпочтение щадящим кулинарным технологиям: варке, тушению, на пару и гриле, запеканию в духовке.
Из рациона пациента исключают следующие продукты:
- магазинные соусы;
- копчености и соленья;
- наваристые бульоны;
- маргарин и другие тяжелые жиры;
- свежую выпечку;
- алкогольные напитки;
- крепкий чай и кофе.
Прогноз
Поскольку рак печени часто диагностируют в конечной стадии опухолевого процесса, поэтому прогноз для выздоровления в большинстве случаев пессимистичный. Проводимая паллиативная терапия направлена на уменьшение выраженности симптомов заболевания, облегчение общего состояния. При наличии сопутствующих патологий летальный исход наступает спустя 6 месяцев или 1 год после постановки диагноза.Средняя продолжительность жизни после возникновения данного заболевания около 2 лет при правильно подобранном эффективном лечении.
Профилактика
Снизить риск развития рака печени можно, если соблюдать следующие врачебные рекомендации:
- исключить алкогольные напитки;
- контролировать вес;
- соблюдать технику безопасности при работе с токсичными веществами;
- избегать незащищенного полового акта;
- не принимать наркотические средства;
- наносить тату или татуаж только в проверенных салонах;
- вовремя проводить вакцинацию против гепатита В;
- проходить ежегодный профилактический осмотр у врача.
Лечение рака печени в Юсуповской больнице назначают квалифицированные онкологи сообразно характеру опухоли, ее виду и стадии. Все терапевтические процедуры проводятся под четким контролем медицинского персонала, готового оказать помощь в любую минуту. В нашей клинике можно пройти любые виды обследований с использованием профессионального современного оборудования.
Гемангиома — самая распространенная доброкачественная опухоль печени, которая выглядит как клубок из расширенных кровеносных сосудов. Она не повышает риск развития рака, но может приводить к некоторым другим осложнениям. По данным разных научных исследований, гемангиомы встречаются у 0,5–20% населения. Чаще всего они протекают бессимптомно, и человек может всю жизнь не знать о том, что у него есть такая патология.

В большинстве случаев гемангиомы обнаруживают случайно, когда проводят обследование по другому поводу. Средний возраст пациентов на момент постановки диагноза — 30–50 лет. Женщины болеют в 4–6 раз чаще по сравнению с мужчинами.
Почему возникают гемангиомы печени?
Точные причины развития гемангиом неизвестны. Считается, что это врожденное заболевание, которое возникает неправильного развития кровеносных сосудов. Опухоль печени гемангиома присутствует в организме человека с рождения, но ее рост, , может усиливаться под влиянием некоторых факторов:

При каких симптомах нужно обратиться к врачу?
Гемангиома печени у взрослых чаще всего не вызывает симптомов. Обычно симптомными становятся большие (гигантские) гемангиомы диаметром более 10 см. У пациента могут возникать следующие жалобы:
- Боль в верхней части живота справа (под правым ребром).
- Быстрое насыщение. Приняв небольшое количество пищи, человек чувствует себя сытым.
- Тошнота и рвота.
Эти симптомы неспецифичны. Они возникают при разных заболеваниях, и по ним нельзя установить точный диагноз. Обычно, если имеется подозрение на патологию печени, первым делом врач назначает пациенту ультразвуковое исследование. Чувствительность и специфичность метода повышается, если УЗИ сочетают с цветной допплерографией. При этом удается получить больше полезной информации и более точно установить диагноз.

Современный точный метод диагностики гемангиом и других образований печени — ультразвуковое исследование с контрастированием. Это относительно новая методика, ее применяют не во всех клиниках.
Для подтверждения диагноза выполняют компьютерную томографию или МРТ. Если проводят КТ, то желательно выполнять ее с динамическим контрастированием. Делают снимки без контрастного усиления, затем пациенту внутривенно вводят раствор контрастного вещества и выполняют снимки повторно.
Еще более информативный метод диагностики — МРТ. Она может выявить небольшие гемангиомы, которые не удается обнаружить с помощью УЗИ и компьютерной томографии. Лучше всего опухоль видна на изображениях. Для того чтобы сделать снимки более информативными, прибегают к внутривенному контрастированию гадолинием.
В некоторых случаях приходится прибегать к артериографии — рентгенографическому исследованию, во время которого вводят раствор рентгеноконтрастного вещества в артерию.
Позаботьтесь о себе, запишитесь на консультацию сейчас
В каких случаях нужно лечить пациента с гемангиомой печени?
Это сложный вопрос, и для того, чтобы получить на него ответ, нужно обратиться к опытному . Как уже упоминалось выше, в большинстве случаев гемангиомы печени не растут и не вызывают симптомов, их обнаруживают случайно. Даже если опухоль и растет, то обычно очень медленно. Заметить это можно только по результатам обследований в динамике, через длительные промежутки времени. При этом, даже если образование имеет большие размеры, это еще не значит, что оно будет вызывать симптомы или приведет к осложнениям.
В одном проспективном исследовании врачи наблюдали за состоянием гемангиом печени у 47 пациентов. Спустя 1–6 лет с момента постановки диагноза опухоль увеличилась в размерах только у одного человека. Не было выявлено ни одного случая трансформации гемангиомы в злокачественную опухоль. Во время других исследований не выявлено никаких противопоказаний для беременности и приема оральных контрацептивов у женщин с бессимптомными гемангиомами печени. У большинства больных можно ограничиться консервативными мерами.
Остается открытым вопрос о том, нужны ли повторные рентгенологические исследования после того, как у человека диагностирована гемангиома печени, и если нужны, то как часто. Некоторые эксперты рекомендуют повторно проводить рентгенологическую диагностику спустя 6 и 12 месяцев. Если никаких изменений в динамике не обнаружено, повторные рентгенологические исследования не нужны. Но существуют исключения, в некоторых случаях рекомендуется регулярный контроль:
- Если беспокоят боли в животе, причину которых не удается установить.
- У женщин — во время беременности и приема препаратов эстрогенов.
- Если гемангиома имеет диаметр 10 см и более — при этом повышен риск осложнений.
Хирургическое лечение гемангиомы печени
Выделяют четыре основные группы показаний к хирургическому лечению гемангиом печени:
- Если пациента беспокоят выраженные симптомы.
- Если гемангиома очень быстро растет.
- Если по результатам обследования не удается разобраться, является ли опухоль гемангиомой или представляет собой злокачественное новообразование.
- Если возникают осложнения, например, спонтанный разрыв гемангиомы.
Чаще всего хирург удаляет только опухоль (энуклеация — вылущивание из окружающих здоровых тканей) или часть печени, в которой она находится (резекция). В очень редких случаях, когда опухоль гигантская, неоперабельная или вызывает серьезные осложнения, приходится прибегать к трансплантации печени.
Существуют и минимально инвазивные вмешательства:
- Эмболизация — процедура, во время которой в печеночную артерию вводят специальный препарат, состоящий из микроскопических частиц. Они закупоривают просвет сосудов, питающих гемангиому, что приводит к ее гибели. При этом здоровая ткань печени не страдает за счет «запасных» путей кровоснабжения.
- Радиочастотная аблация (РЧА) предполагает введение в опухоль , на которую подают радиочастотные волны. За счет этого патологически измененные ткани нагреваются и погибают.
- Микроволновая аблация (МВА) — процедура, аналогичная РЧА, но во время нее на электрод подают волны в микроволновом диапазоне. Это более современный метод, он позволяет уничтожать более крупные по сравнению с РЧА образования.
- Кибер-нож — установка, которая генерирует рентгеновские лучи, они фокусируются в месте локализации опухоли и уничтожают ее, практически не затрагивая окружающие здоровые ткани. Этот метод относится к стереотаксической радиохирургии.
- Лучевую терапию печени в настоящее время практически не применяют ввиду риска серьезных осложнений и доступности более безопасных методов лечения.
Нужно ли оперировать человека, у которого большая гемангиома печени? Насколько в таких случаях высоки риски опасных осложнений? Врачи и ученые часто дискутируют на эту тему, однозначного ответа нет. В каждой ситуации решение нужно принимать индивидуально.
Консервативная терапия
Читайте также:
- Коллатеральный кровоток. Местные нарушения кровообращения
- Отравление цитронелловым маслом (Cymbopogon nardus Rendle, Cymbopogon winterianus Jowitt)
- Разрушающий и внутриглазной офтальмомиазы. Диагностика и лечение
- Лучевая диагностика дермоида и эпидермоида полости рта
- Классификация опущения молочной железы (птоза)
