Показания для операции удлинения плюсневых костей стопы
Добавил пользователь Евгений Кузнецов Обновлено: 19.12.2025
а) Положение пациента:
- Положение на спине
- Стопа располагается на краю операционного стола для упрощения интраоперационного флюороскопического контроля
- При удлинении четвертой плюсневой кости: валик под тазобедренный сустав на стороне операции
- При удлинении первой плюсневой кости валик под тазобедренный сустав не нужен, поскольку вмешательство выполняется со стороны медиального края стопы
б) Порты и доступы:
- Через небольшие проколы кожи в плюсневую кость вводятся четыре пина
- Доступ для кортикотомии выполняется между двумя спицами, ближайшими к зоне предполагаемой кортикотомии
- Доступ для остеотомии выполняется вдоль соответствующей плюсневой кости и по возможности вне точек введения пинов
Нюансы техники:
• После рассечения кожи подлежащие ткани разводятся тупо зажимом до надкостницы
Ошибки техники:
• Натяжение кожи в точках ведения пинов нежелательно. Делайте разрез кожи только после точного выбора места введения каждого пина
в) Техника операции:
Рисунок 5 Рисунок 6 Рисунок 7
1 этап: чрескожное введение первого (дистального) пина:
- Наружный фиксатор обычно имеет вид монорельсы
- Четыре пина проводятся в одной плоскости только в ту кость, которая подпежит удлинению, и вне образуемых этой костью суставов
- Пины должны быть перпендикулярны кости и захватывать обе кортикуВные пластинки
- Дистальные пины должны распрлагатьсяюа достаточном расстоянии от проксимальных, чтобы выполнение остеотомии было максимально безопасным
- Первым мы обычно вводим наиболее дистальный пин. Он должен располагаться в плюсневой кости максимально дистально и таким образом, чтобы в процессе удлинения не пострадал ПФС
- Этот первый пин определяет положение наружного фиксатора. Мы рекомендуем сначала приложить наружный фиксатор к стопе и держать его в идеальном положении, и таким образом определить оптимальное положение этого|пина (рис. 5, А)
- Флюороскопический контроль необходим для того, чтоб мы могли убедиться в правильном проведении остальных пинов (рис. 5, Б-В)
- Удлинение первой плюсневой кости:
• Первый пин вводится в точке, выбранной по клиническим и флюороскопическим данным (рис. 6, А)
• Первый пин вводится с помощью адаптера и дрели, как показано на рис. 6, Б
• Правильность расположения первого пина подтверждается при флюороскопии в прямой проекции (рис. 6, В)
• Аналогично правильность расположения первого пина подтверждается при флюороскопии в боковой проекции (рис. 6, Г)
- Удлинение четвертой плюсневой кости:
• Сначала также выбирается идеальная точка Щля введения первого пина (рис. 7, Б)
• Первый пин вводится так, как показано на рис. 7, А
- Наружный фиксатор необходимо настроить таким образом, чтоб он мог работать как на компрессию, так и на дистракцию (т.е. не нужно накладывать фиксатор в положении полной дистракции)
Нюансы техники:
• После введения первого пина выберите идеальное для введения остальных пинов положение наружного фиксатора
• Наружный фиксатор должен размещаться по желаемой оси удлинения
• Введение первого пита (и второго) несколько подошвенней со стороны внутренней поверхности первой плюсневой кости обычно позволяет избежать тыльного сгибания первой плюсневой кости во время дистракции
Ошибки 1 этапа операции:
• Неправильное положение первого пина обычно приводит к сложностям при выборе оптимального положения наружного фиксатора
• Флюороскопический контроль позволяет подтвердить бикортикальное введение пинов, правильность и безопасность их расположения
• Если используются самонарезающие пиины, важно их вводить сразу в правильном положении, в противном случае пин утратит прочность фиксации в кости
Инструментарий и импланты:
• Патрон для пина, обеспечивающий быструю фиксацию пина в дрели без необходимости затягивато и расслаблять патрон
• Самосверлящие/самонарезающиепины малого диаметра (2,5 или 3,0 мм)
• Монорельсовый наружный фиксатор
Рисунок 8 Рисунок 9 Рисунок 10 Рисунок 11
2 этап: введение остальных пинов:
- Оставшиеся пины вводятся также под флюороскопическим контролем
- Наружный фиксатор провизорно фиксируется на первом пине и используется в качестве направителя для введения наиболее проксимального пина:
• В идеале проксимальный пин вводится проксимальнее соответствующего предплюсне-плюсневого сустава
• Перед фиксацией проксимального пина необходимо убедиться, что у нас осталось место для введения еще двух пинов и безопасного выполнения кортикото-мии. На рис. 8, А показан флюороскопический контроль положения наружного фиксатора при выборе точек введения оставшихся пинов для удлинения четвертой плюсневой кости. Фиксатор провизорно фиксирован к первому пину
- После введения проксимального пина вводятся два промежуточных пина, наружный фиксатор при этом используется в качестве направителя. На рис. 8, Б показан флюороскопический контроль после введения всех четырех пинов для удлинения четвертой плюсневой кости
- Монорельса фиксируется ко всем четырем пинам и оценивается состояние кожи в точках введения пинов. Она не должна подвергаться натяжению
- Удлинение первой плюсневой кости: вводится проксимальный пин:
• Выберите положение проксимального пина (рис. 9, А)
• Убедитесь в правильности выбранного положения пина флюороскопически (рис. 9, Б-В)
• Введите второй пин в проксимальную часть первой плюсневой ,кости (рис. 9, Г)
• На рис. 9, Д введен проксимальный пин и установлен наружный фиксатор (обратите внимание на несколько подошвенное расположение наружного фиксатора относительно плюсневой кости)
- Далее в первую плюсневую кость вводятся остальные пины:
• Вводится третий пин (рис. 10, А)
• Вводится четвертый пин (рис. 10, Б)
• На рис. 10, В представлена флюороскопическая картина после введения в первую плюсневую кость всех четырех пинов
• Еще один «плавающий пин» можно ввести с целью дополнительной стабилизации. фиксатора и с тем, чтобы предотвратить эксцентричную компрессий в области двух дистальных пинов (рис. 10, Г).
Нюансы 2 этапа операции:
• При необходимости проксимальный пин можно вводить в соответствующую клиновидную кость, в таком случае мы исключим риск проникновения одного из проксимальных пинов в плюснеклиновидный сустав (рис. 11)
Ошибки 2 этапа операции:
• При неточном введении проксимального пина бикортикальное введение двух промежуточных пинов может оказаться невозможным
• Если три оставшихся пина будут введены не в одной плоскости с первым, адекватная фиксация их окажется невозможной. Если используются самонарезающие пины, важно их вводить сразу в правильном положении, в противном случае пин утратит прочность фиксации в кости
Рисунок 12 Рисунок 13 Рисунок 14 Рисунок 15 Рисунок 16
3 этап: кортикотомия:
- Постарайтесь выполнить кортикотомию с наложенным наружным фиксатором (в противном случае вы утратите контроль над фрагментами плюсневой кости)
- При снятии фиксатора с тем, чтобы обеспечить себе большую свободу действий для выполнения кортикотомии, последующая его повторная установка приведет к некоторой потере репозиции фрагментов, как бы вы не старались этого избежать
- Кортикотомия первой плюсневой кости выполняется следующим образом:
• Выберите оптимальное место для кортикотомии (рис. 12, А)
• Убедитесь в выборе, выполнив флюороскопический контроль в прямой (рис. 12, Б) и боковой (рис. 12, В) проекциях
• Кортикотомия выполняется с помощью сагиттальной микропилы, полотно пилы при этом постоянно орошается холодной стерильной водой или физиологическим раствором (рис. 12, Г). Вместо сагиттальной пилы можно воспользоэ ваться пилкой Джигли
• Вне зависимости от выбранной техники мобилизацию надкостницы выполнять не следует. На рис. 12, Д показан мини-доступ используемый для кортикотомии
• Необходимо оставлять достаточной ширины костные мостики между зоной кортикотомии и смежными пинами (ширина костных мостиков не должна быть менее 2-3 мм)
• На рис. 12, Е кортикотомия завершена и костные фрагменты мобилизуются остеотомом
- Осторожно расяните фиксатор и убедитесь как клинически (рис. 13, А), так и рентгенологически (рио. 13, Б) в том, что кортикотомия состоялась
- Выголните полноценную компрессию в зоне кортикотомии (рис. 14) и убедитесь в отсутствии импинджмента кожи (рис. 15, А), после ушейте рану (рис. 15, Б)
- На рис. 16 показана кортикотомия четвертой плюсневой, кости
• Интраоперационная картина при выполнении кортикотомии четвертой плюсневой кости (рис. 16, А). Обратите внимание, что ближайшие к области кортикотомии пины находятся в зоне хирургического доступа, поскольку четвертая плюсневая кость в данном случае была очень короткая
• Выполните легкую дистракцию и убедитесь, что кортикотомия состоялась (рис. 16, Б)
• Выполните полноценную компрессию кортикотомии (рис. 16, В).
Нюансы 3 этапа операции:
• Наружный фиксатор должен быть настроен таким образом, чтобы обеспечивать возможность компрессии фрагментов после кортикотомии (т.е. не следует накладывать фиксатор в состоянии полной компрессии, вы должны учитывать толщину полотна пилы и необходимость компрессии фрагментов после кортикотомии)
Ошибки 3 этапа операции:
• Снятие фиксатора на момент выполнения кортикотомии может привести к тому, что вам не удастся добиться анатомичной репозиции фрагментов после кортикотомии

Рисунок 17
Инструментарий и импланты:
• Сагиттальная микропила или пилка Джигли, в зависимости от предпонтений хирурга
• Холодный стерильный физиологический раствор/вода для охлаждения полотна пилы во время кортикотомии
• Набор ключей для работы с наружным фиксатором
Показания для операции удлинения плюсневых костей стопы
а) Послеоперационное ведение и результаты:
- Нагрузка на стопу исключается до полного сращения остеотомии и снятия наружного фиксатора
- Компрессия фрагментов, выполненная во время операции, сохраняется примерно 10 дней
- На 10 день после операции начинается постепенная дистракция:
• Темп дистракции составляет 0,5-0,75 мм в сутки по 0,25 мм за один раз
• Это обычно соответствует 1/4 оборота гайки 2-3 раза в день
- Пациента необходимо подробно проинструктировать, как это делать
- В течение первых нескольких недель пациент должен осматриватьсяфечащим врачом по крайней мере раз в неделю для контроля затем, правильно ли пациент выполняет все инструкции
- Смена повязок на пинах выполняется ежедневно
Рисунок 17 Рисунок 18
- Дистракция выполняется до тех пор, пока не будет достигнута необходимая длина плюсневой кости:
• На рис. 17 показан наружный фиксатор, используемый для удлинения четвертой плюсневой кости, через четыре недели после операции
• На рис. 18 представлены несколько рентгенограмм в процессе удлинения четвертой плюсневой кости:
Рентгенография назначается через 10 дней после операции и через семь дней после начала дистракции (рис. 18, А)
Рентгенография назначается через три недели после начала дистракции (рис. 18, Б)
Рентгенография назначается через семь недель после начала дистракции (рис. 18, В)
Рентгенография назначается после снятия фиксатора, что обычно делают через 10 недель (рис. 18, Г)
На рис. 18, Д представлена рентгенограмма через два года после операции. Обратите внимание на некорригированную деформацию четвертого пальца
Клинически определяется легкая латеральная девиация четвертого пальца (рис. 18, Е)
- Наружный фиксатор оставляется до появления рентгенологических признаков прочной костной мозоли
- После снятия фиксатора на 2-3 недели, пока заживают раны от пинов, стопу можно фиксировать брейсом с регулируемым объемом движений в голеностопном суставе или гипсовой повязкой, после чего начинается постепенно возрастающая нагрузка на передний отдел стопы
- При удлинении первой плюсневой кости тактика ведения пациентов следующая (на примере такого пациента):

Рисунок 19
• Предоперационная рентгенография (рис. 19, А)
• Осмотр пациента через 10 дней после операции и дистракция на протяжении следующих 14 дней (рис. 19, Б)
• Осмотр через восемь недель после дистракции (рис. 19, В): обратите внимание на идеальное восстановление длины плюсневой кости по сравнению с противоположной стопой
• Последний контрольный осмотр (рис. 19, Г)
- Вот еще один пример удлинения первой плюсневой кости (предоперационная рентгенограмма этого пациента представлена на рис. 2:
Рисунок 2 Рисунок 20
• Внешний вид стопы с наложенным фиксатором (рис. 20, А)
• Рентгенограмма после 10 дней компрессии и через три недели после дистракции (рис. 20, Б)
• Рентгенограмма через шесть недель после дистракции (рис. 20, В)
• Рентгенограмме через 11 недель после дистракции (рис. 20, Г)
Нюансы послеоперационного ведения:
• Подробное инструктирование как самого пациента, так и членов его семьи, чаще всего позволяет избежать ошибок, связанных с неправильной работой с аппаратом наружной фиксации
• Для раннего выявления возможных проблем необходим постоянный контроль за пациентом на начальном этапе лечения
Ошибки послеоперационного ведения:
• Недостаточный контроль в процессе лечения может привести к тому, что дистракция будет выполняться слишком быстро, что не позволит сформировать костный регенерат, в результате чего сформируется ложный сустав. Слишком медленная дистракция в свою очередь может привести к преждевременной консолидации остеотомии. Вместо дистракции пациент ошибочно может выполнять компрессию фрагментов
б) Список использованной литературы. Проведено множество исследований IV уровня, посвященных дистракционному остеогенезу для удлинения плюсневых костей. Результаты этих операций неизменно хорошие, поэтому удлинение плюсневых костей можно рассматривать как рекомендацию степени В.
Операция при плоскостопии у взрослого: поперечное — продольное, показания, виды, результаты

В ортопедии выделяют продольный и поперечный своды стопы. Первые располагаются вдоль ступни и поддерживаются мышечно-связочным аппаратом. Основную роль в укреплении этих сводов играет длинная подошвенная связка. Именно ее пластику чаще всего выполняют в случае развития продольного плоскостопия.
Поперечный свод стопы образован головками I-V плюсневых костей. В норме они образуют своеобразную арку. Поперечный свод поддерживается связками, сухожилиями и головкой мышцы, приводящей большой палец стопы. При нарушении мышечно-связочного баланса у человека возникает поперечное плоскостопие. Как правило, оно осложняется вальгусной деформацией I пальца стопы.

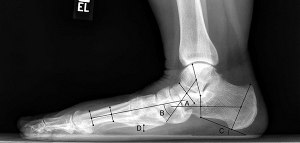
Рентген плоской стопы.
По статистике, Hallux Valgus разной степени выявляют у 100% пациентов с поперечным плоскостопием. Во время хирургического вмешательства врачам приходится одновременно устранять обе патологии.
Показания и цели хирургического лечения
Плоскостопие – это серьезное ортопедическое заболевание, ведущее к прогрессивному нарушению функций стопы. Оно вызывает сильные боли и трудности при ходьбе, доставляющие человеку немало страданий. Операция помогает устранить болезненные симптомы и вернуть ступням приятный внешний вид.
Основные принципы оперативного лечения плоскостопия:
- Дифференцированный подход, учет степени деформации и вариабельности анатомо-функционального строения стопы.
- Устранение всех компонентов плоскостопия и исключение их повторного появления в будущем.
- Прочное соединение костных структур с целью ранней активизации пациентов и восстановления подвижности пальцев.
- Обязательно сохранение всех точек опоры (пяточная кость, головки I и V плюсневой кости) при лечении разных видов плоскостопия.

Фото до и после операции.
Отметим, что после операций на ступнях пациент не нуждается в ношении гипса и ходьбе с костылями. Уже на следующий день он может свободно вставать с постели, предварительно надев специальную обувь. В туфлях Барука больному необходимо ходить на протяжении нескольких недель после хирургического вмешательства.

Операция при плоскостопии позволяет быстро восстановить функции стопы. В большинстве случаев пациенты возвращаются к привычному образу жизни уже спустя 3 месяца.
Операция при продольном плоскостопии
Когда возникает необходимость коррекции продольного плоскостопия, врачи делают операции на внутренней и/или задней части стопы. При слабовыраженной деформации они выполняют пластику связок и сухожилий. В более тяжелых случаях им приходится делать операции на костях предплюсны.
Таблица 1. Особенности разных видов хирургических вмешательств.
Факт! Лицам старше 30 лет артродез делать не рекомендуется из-за риска развития стойкого болевого синдрома.

Медиализирующая остеотомия пяточной кости в сочетании с таранно-ладъевидным артродезом.
Не так давно ученые провели исследование и выяснили, какие методики наиболее эффективны в лечении продольного плоскостопия. Лучшим методом коррекции оказалась медиализирующая остеотомия пяточной кости в сочетании с таранно-ладъевидным артродезом. Она дает хороший клинический результат и редко приводит к осложнениям. В отличие от подтаранного артродеза, после такого лечения больному не требуется повторное хирургическое вмешательство.
О слабости связочного аппарата говорит появление так называемого «эластичного плоскостопия». Для патологии характерно уплощение свода стопы при ходьбе. В состоянии покоя ступни приобретают нормальный вид.
Операции при поперечном плоскостопии

Лечение комбинированного типа
Поперечно-продольное плоскостопие – это наиболее тяжелая форма заболевания. У человека деформируются сразу оба свода, а стопа становится абсолютно плоской. Лечить патологию довольно тяжело.
Цели операций при комбинированном плоскостопии:
- восстановление сводов стопы;
- надежная неподвижная фиксация костей;
- исправление деформаций I пальца;
- удаление экзостозов;
- коррекция молоткообразной деформации.

Операция продольно-поперечной деформации.
При поперечно-продольном плоскостопии человеку делают сразу несколько вмешательств. Например, больному одновременно выполняют операцию Шеде, остеотомию Scarf и артродезирование некоторых суставов плюсны. Как правило, врачи стараются сделать все за одно хирургическое вмешательство.
Восстановительный период после таких операций длится дольше, чем в остальных случаях. К счастью, пациентам не требуется гипс или костыли. В худшем случае им придется походить с фиксирующими спицами, которые снимут вместе со швами уже через 2 недели.
При тяжелом продольном плоскостопии человеку требуется пластика сухожилий задних большеберцовых мышц и краевая подкожная тенотомия ахиллова сухожилия. После такого хирургического вмешательства больному накладывают гипс, а ходить разрешают только с костылями.
Сколько стоит операция
В России цены на хирургическое лечение плоскостопия начинаются с 30 000 рублей. Отметим, что в сумму не включена стоимость предоперационного обследования, анестезии, расходных материалов и имплантов. Если же в ходе операции врачи делают сразу несколько манипуляций – лечение обойдется еще дороже. К примеру, минимальная стоимость SCARF-остеотомии в комбинации с подтаранным артродезом – 35 000 рублей.
Если посчитать, в сумме лечение за границей стоит ненамного дороже, чем в России. В Чехии за операцию и реабилитацию вы заплатите евро. В Германии – от 7 тысяч евро, в Израиле от 7 тысяч долларов (без реабилитации). Так что если вы хотите оперироваться в Европе – поезжайте в Чехию.
Корригирующая остеотомия: описание, особенности выполнения, возможные осложнения
Остеотомия – это хирургическая манипуляция, суть которой заключается в создании «искусственного перелома». Во время операции кость распиливают на две части. После этого костные фрагменты смещают в нужном направлении и фиксируют в анатомически выгодном положении.

Показания к операции
В клинической практике остеотомии чаще всего используют для коррекции осевых и торсионных деформаций нижних конечностей. Такие операции делают при дисплазии тазобедренных суставов, несоответствии длины ног, плоскостопии, вальгусной деформации стопы, искривлениях верхних конечностей и позвоночника. Во время хирургических вмешательств хирурги могут распиливать длинные трубчатые кости, позвонки, кости таза или стопы.

Основная цель остеотомии – коррекция распределения нагрузки на суставы. С помощью хирургического вмешательства врачи могут восстановить нормальное функциональное состояние суставов или «разгрузить» их поврежденные части.
Преимущества корригирующей остеотомии
В ходе вмешательства хирурги разделяют кость на части с помощью пилы, сверла или долота. Все манипуляции они выполняют в соответствии с четким предоперационным планом. Во время подготовки к хирургическому вмешательству врачи создают оптимальную схему коррекции имеющихся дефектов. Естественно, подобная тактика позволяет добиться хороших функциональных результатов.
Видео на английском, но очень информативное:
При остеотомии хирурги не трогают здоровые суставы. Это позволяет сохранить их функции и избежать осложнений, связанных со вскрытием синовиальной полости. Если же сустав поврежден, репозиция костей поможет затормозить его разрушение. К примеру, остеотомия способна задержать развитие деформирующего артроза, отстрочить операцию на суставе на 10-15 лет.
При наличии тяжелого остеоартроза или слабости связочного аппарата одной остеотомии бывает недостаточно. Поэтому для достижения нужного эффекта врачи дополняют ее реконструктивными операциями на связках, артродезированием или другими манипуляциями.
Например, при плоскостопии корригирующую остеотомию стопы нередко комбинируют с пластикой длинной плантарной связки и артродезом подтаранного сустава.
Подготовка к операции
Во время предоперационной подготовки врачи обследуют пациента и подбирают для него оптимальный план лечения. После этого специалисты обязательно согласовывают его с самим больным. Перед хирургическим вмешательством каждый человек проходит полноценное обследование.
Перечень необходимых анализов и исследований:
- общий анализ крови и мочи;
- определение группы крови, резус-фактора;
- анализы крови на RW и HbAg;
- коагулограмма;
- биохимический анализ крови;
- ЭКГ;
- рентгенография в 2-х проекциях;
- магнитно-резонансная томография (МРТ) пораженного сегмента;
- консультации невропатолога, кардиолога, эндокринолога, аллерголога и других нужных специалистов.

Во время ожидания операции врачи советуют пациентам выполнять специальные упражнения. Они помогают растянуть и укрепить мышцы, что дает возможность избежать появления контрактур в послеоперационном периоде.
Некоторые врачи отказываются оперировать пациентов с выраженным ожирением. Причина – высокий интраоперационный риск, сложности при реабилитации и высокая вероятность осложнений. Таких больных обычно оперируют после того, как они похудеют.
Пациента госпитализируют в стационар за 1 день до операции. Там он общается с лечащим врачом, подписывает информированное согласие на проведение анестезии и выполнение хирургического вмешательства. После этого больному назначают необходимые препараты, которые тот принимает под контролем медперсонала.
Вечером накануне операции человеку запрещают кушать. Утром его просят снять все украшения. Непосредственно перед хирургическим вмешательством больного переодевают в стерильную одежду и отводят в операционную.
Ход операции
Остеотомию могут выполнять под общей или местной регионарной анестезией. Выбор метода обезболивания зависит от объема хирургического вмешательства, общего состояния здоровья человека и некоторых других факторов.
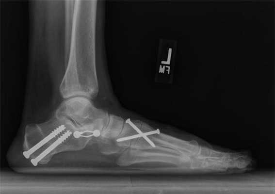
Операцию начинают с послойного рассечения мягких тканей. Получив доступ к нужной кости, хирург распиливает ее. После этого он фиксирует костные фрагменты с помощью систем наружной (аппарат Илизарова) или внутренней фиксации (накостные пластины, винты). Перед ушиванием раны врачи нередко проводят контрольное рентгенологическое исследование. Оно необходимо для подтверждения корректной фиксации кости.
Операция длится от 60 до 120 минут.
Реабилитация после корригирующей остеотомии
После хирургического вмешательства человек остается в стационаре на протяжении 3-7 дней. В послеоперационном периоде ему регулярно обрабатывают рану, дают обезболивающие средства, проводят антибиотикопрофилактику и профилактику тромбоэмболических осложнений. Также медперсонал следит за тем, чтобы пациент начал как можно раньше вставать с постели.
После выписки из стационара больной отправляется домой. Там он продолжает принимать назначенные врачом препараты. Передвигается он с помощью костылей. Швы пациенту снимают на 10-14 день после операции. После остеотомии человек должен пройти полноценную реабилитацию.
- После хирургического вмешательства каждому больному нужно проходить плановые осмотры врача. Они необходимы спустя 1, 2, 4, 6 и 12 месяцев.
- Ходить без костылей человеку разрешают через 6-12 недель. После операций на ступнях и верхних конечностях восстановительный период короче, чем после корригирующих остеотомий бедра, таза или позвоночника.
- Выполнять тяжелую физическую работу пациенту разрешают не ранее, чем через 4-8 месяцев.
- После остеотомии врачи нередко удаляют металлические имплантаты. Как правило, они делают это спустя 1-2 года. Если фиксация выполнялась аппаратом Илизарова, его снимают намного раньше.
Наиболее частые осложнения
Распиливание костей – это серьезное вмешательство, выполнение которого сопряжено с немалым риском. Нежелательные осложнения могут развиваться во время проведения манипуляции или уже в восстановительном периоде. Многие из них тяжело поддаются лечению.
Таблица 1. Возможные осложнения
| Причины | Лечение и последствия | |
| Несращение костей | Курение, плохое кровоснабжение кости, остеопороз, наличие тяжелых сопутствующих заболеваний | При несращении больному требуется повторная операция и последующая длительная реабилитация |
| Неправильное сращение | Неправильньная фиксация костных фрагментов в ходе хирургического вмешательства | Устранить дефект можно лишь с помощью еще одной операции |
| Нарушение функций близрасположенных суставов | Неправильная реабилитация или ее полное отсутствие | В большинстве случаев восстановить функции суставов можно с помощью лечебной физкультуры |
| Компартмент-синдром | Сдавление мышц кровоостанавливающим жгутом во время хирургических манипуляций | Патологию лечат консервативно с помощью определенных фармпрепаратов. В тяжелых случаях больному делают операцию – фасциотомию |
| Повреждение нервов | Невнимательность хирурга или «нестандартное» расположение нерва у конкретного пациента | Восстановить целостность и функции поврежденных нервов невозможно |
| Инфекционные осложнения | Занесение инфекции во время хирургического вмешательства или несоблюдение правил ухода за послеоперационной раной | Лечатся антибиотиками. В тяжелых случаях больному может потребоваться ревизионное вмешательство |
| Тромбоэмболические осложнения | Неадекватное назначение антикоагулянтов, отказ от ношения компрессионных чулок, поздняя мобилизация | Для лечения тромбоза используют большие дозы антикоагулянтов и антиагрегантов |
Возможные альтернативы
К сожалению, многие заболевания можно вылечить лишь с помощью корригирующей остеотомии. Это касается врожденной дисплазии тазобедренных суставов, O- и X-образной деформации нижних конечностей, тяжелого кифоза, лордоза, сколиоза. А вот при лечении плоскостопия, вальгусной деформации стопы остеотомию можно заменить другими видами вмешательств. Проблема лишь в том, что они, скорее всего, будут менее эффективными.

Остеотомия – это наиболее эффективный метод хирургического лечения многих заболеваний опорно-двигательного аппарата.
Хирургическое лечение вальгусной деформации стопы: операция по удалению шишки
В литературе можно найти описание более чем 400 методик оперативного лечения халлюс-вальгуса. В прошлом ортопеды боролись с вальгусной деформацией путем хирургического удаления суставных головок, что приводило к серьезному нарушению функций стопы. Поэтому сегодня врачи предпочитают делать менее травматичные операции.

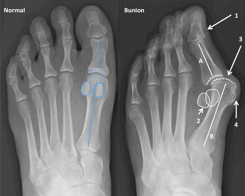
Что такое вальгусная деформация? Вначале Hallux Valgus вызывает искривление только большого пальца стопы. В результате у человека увеличивается нагрузка на головки 2-4 плюсневых костей, что ведет к молоткообразной деформации II-V пальцев. Своевременное хирургическое лечение помогает избежать этого неприятного явления.
Виды операций на стопе
Операции, которые делают при вальгусной деформации, можно условно разделить на малоинвазивные и реконструктивные. Первые менее травматичны, однако эффективны только при экзостозах и начальной деформации. Малоинвазивные хирургические вмешательства выполняют через два-три прокола размером 3-4 мм.

Шрам после вмешательства.
Таблица 1. Виды операций.
| Особенности проведения | Показания | |
| На мягких тканях | Во время операции врач работает только с мышцами, сухожилиями и суставной сумкой. | Hallux Valgus I степени без деформации головки плюсневой кости. |
| На костях | Суть таких хирургических вмешательств заключается в подпиливании костей и/или выполнении остеотомии. | Вальгусная деформация II-III степени. |
| Комбинированные | Подразумевают одновременное удаление костных наростов и пластику связок. | Выраженный Hallux Valgus с нарушением функций стопы. |

Во время малоинвазивных операций хирург использует микроинструменты, позволяющие выполнять сложные манипуляции со связками и суставной капсулой. При необходимости он подпиливает кости с помощью микрофрез, которые отдаленно напоминают стоматологический инструментарий.
Название хирургических техник
На начальных стадиях болезни врачи стараются делать малоинвазивные операции. После них пациент быстро восстанавливается и уже через 3-4 недели возвращается к привычному образу жизни. При запущенной вальгусной деформации возникает необходимость в более сложных хирургических вмешательствах.
Давайте посмотрим, какие из них чаще всего используют в современной ортопедии.
Операция McBride
Наиболее популярна среди всех хирургических вмешательств на мягких тканях стопы. Ее суть заключается в перемещении сухожилия m. adductor halluces на головку I плюсневой кости. Это позволяет сблизить между собой кости плюсны и восстановить нормальный мышечно-сухожильный баланс стопы.

К сожалению, отводящая мышца первого пальца неспособна противодействовать постоянной нагрузке. Именно поэтому частота рецидивов после операции McBride довольно высока. Если человек не устраняет действие провоцирующих факторов – у него вскоре снова развивается Hallux Valgus. Избежать этого помогает ношение ортопедической обуви, отказ от каблуков и тяжелой физической работы.
При ярко выраженных деформациях операцию McBride дополняют остеотомией I плюсневой кости SCARF.
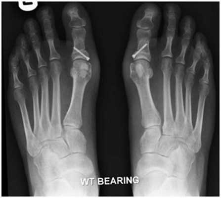
Относится к миниинвазивным операциям. Во время хирургического вмешательства больным выполняют поперечную остеотомию через кожный разрез длиной 1 см. После этого дистальный костный фрагмент смещают в латеральном направлении и фиксируют с помощью специальной спицы.

CHEVRON
В ходе операции хирург выполняет V-образую остеотомию. Он перепиливает первую плюсневую кость в области головки, а костные фрагменты соединяет с помощью специальных титановых винтов. Поскольку фиксация очень прочная, в послеоперационном периоде пациент не нуждается в гипсовой иммобилизации.
Отметим, что Chevron-остеотомия эффективна только при незначительной деформации первого пальца стопы. В наше время в ортопедии ее используют все реже. Вместо нее большинство врачей делает Scarf-остеотомию.
SCARF
Z-образная остеотомия Scarf – это золотой стандарт лечения вальгусной деформации. Она позволяет установить головку плюсневой кости под нужным углом. В ходе хирургического вмешательства врачи также убирают деформацию суставной капсулы и меняют направление некоторых сухожилий.

Когда операции Scarf недостаточно – хирурги делают проксимальную клиновидную остеотомию или артродез.
Важно! У большинства пациентов с вальгусной деформацией врачи выявляют костную мозоль (экзостоз). Нарост локализуется на медиальной поверхности головки I плюсневой кости. Как правило, его удаляют во время всех операций, в том числе и малоинвазивных.
Не путайте спиливание костного нароста с остеотомией. Это две совершенно разные манипуляции. Цель первой – убрать косметический дефект, второй – восстановить нормальное функциональное состояние стопы. Помните, что удаление костной мозоли (операция Шеде) не в состоянии излечить вас от Hallux Valgus.
Артродез при вальгусной деформации
Артродезирование – это полное обездвиживание плюсне-клиновидного сустава путем соединения формирующих его костей. Операцию делают лицам с поперечно-распластанной деформацией и Hallux Valgus с гипермобильностью I плюсне-клиновидного сустава.

Тест для выявления патологической подвижности:
- пальцами одной руки удерживайте II-V плюсневые кости;
- второй рукой возьмите I плюсневую кость и попробуйте смещать ее в тыльно-подошвенном направлении;
- посмотрите, насколько сильно вам удалось сдвинуть ее с места;
- смещение кости более чем на один сагиттальный размер большого пальца указывает на наличие гипермобильности.
Артродез – это наиболее травматичная операция, подразумевающая полное удаление плюсне-клиновидного сустава. Ее делают только в крайнем случае, когда другие методы оказываются неэффективными.
Операция молоткообразной деформация пальцев ног
Как известно, на поздних стадиях Hallux Valgus сочетается с молоткообразной деформацией II-V пальцев. Она выглядит непривлекательно и негативно сказывается на функциях стопы. Для ее исправления используют целый ряд хирургических вмешательств.

К ним относятся:
В лечении молоткообразной деформации наиболее эффективна остеотомия. Именно ее выполняют в самых тяжелых и запущенных случаях.
Восстановительный период
Вставать с постели пациентам разрешают уже на следующий день после операции. Первое время ходить им разрешают только в туфлях Барука.
В первые дни после хирургического вмешательства больные находятся под наблюдением лечащего врача. Из стационара их выписывают на 2-3 сутки. Если во время операции человеку накладывали нерассасывающиеся швы – их снимают на 10-14 день.
Что касается обуви, пациентам требуется как минимум 3 месяца носить ортопедические стельки. Надевать каблуки можно лишь спустя полгода после хирургического вмешательства. При этом их высота не должна превышать 6 см.
Цена операции на стопе
Стоимость хирургического лечения зависит от степени деформации, вида и сложности операции, уровня медицинского учреждения и квалификации работающих там специалистов. Удаление экзостоза в Москве стоит от 40 000 до 50 000 рублей. Цены на реконструктивные операции начинаются с 70 000 рублей. Отметим, что в стоимость не входит предоперационное обследование, консультации специалистов, расходные материалы и реабилитация.
Если вы хотите прооперироваться за границей – обратите внимание на Чехию. Лечение там обойдется вам в евро включая реабилитацию. В Германии и Израиле такая же операция будет стоить гораздо дороже.
Читайте также:

