Показания для остеохондральной аутотрансплантации при повреждении голеностопного сустава
Добавил пользователь Валентин П. Обновлено: 08.11.2025
МЕТОДЫ ЛЕЧЕНИЯ ОСТЕОХОНДРАЛЬНЫХ ПОВРЕЖДЕНИЙ ТАРАННОЙ КОСТИ (РАССЕКАЮЩИЙ ОСТЕОХОНДРИТ) НА СОВРЕМЕННОМ ЭТАПЕ (ОБЗОР ЛИТЕРАТУРЫ)
DOI: 10.17238/issn2226-2016.2018.4.24-36 УДК 616.718.71 © Зейналов В.Т., Шкуро К.В., 2018
В.Т. ЗЕЙНАЛОВ a , К.В. ШКУРО b
ФГБУ «НМИЦ ТО им. Н.Н. Приорова» Минздрава России, Москва, 127299, Россия
Резюме: Рассекающий остеохондрит голеностопного сустава, асептический некроз блока таранной кости или больше известный в зарубежной литературе как остеохондральное повреждение таранной кости (ОХПТК) впервые описано в 1738 году Alexander Munro на основе замеченных им свободных тел в голеностопном суставе, он предположил, что травма это причина их появления. Не смотря на достаточно длинную историю с момента открытия, ОХПТК остаётся и до нашего времени сложной и запутанной проблемой, как в диагностике так и в лечении. Клиническая картина, чаще всего, представлена симптомами которые на первый взгляд могут быть не ясными и не специфичными.
С ежегодным ростом технического прогресса появляются новые возможности и увеличивается их доступность для ранней диагностики и лечении ОХПТК. Целью этой работы является тщательный анализ современных данных по этиологии, патогенезу этой сложной медицинской проблемы, оценка современных методов диагностики и лечении ОХПТК на основе их доказательности и результативности.
Выводы: Лечение остеохондральных поражений голеностопного сустава является сложной задачей. Определенные условия, такие как, возраст, размер дефекта, ограниченность дефекта, вид хирургического вмешательства, использование биопрепаратов и физиотерапии играют определенную роль в благоприятных исходах лечения. Однако, никакие процедуры поистине не восстанавливают полностью поврежденное хрящевое покрытие. Будущие исследования должны быть выполнены для разработки технологии, отвечающей принципам малоинвазивности, с возможностью более эффективно восстанавливать остеохондральные дефекты голеностопного сустава, с минимальным количеством осложнений и более быстрым восстановлением сохраняющимся на более длительный срок.
Ключевые слова: рассекающий остеохондрит, таранная кость, остохондральные повреждения, остеонекроз.
RECENT METHODS OF TREATMENT OF OSTEOCHONDRAL LESIONS (OSTEOCHONDRITIS DESSICANS) OF THE TALUS (LITERATURE REVIEW)
ZEINALOV V.T. a , SHKURO K.V. b
FSBI NMRC of Traumatology and Orthopedics after NN PRIOROV Ministry of Health of the Russia, Moscow, 127299, Russia
Summary: One from general problem among different pathological processes of ankle stays till nowadays is octeochondral lesion of the talus (OLT) based on aseptic necrosis of octeochndral bone with various deep of damaging. In spite of that this process was noticed and described by Alexander Munro in 1738 as free bodies in the ankle joint, OLT remains to our time like complex and complicated problem for both of ways in medical practice such as diagnostic and treatment. The clinical picture is represented in majority cases by symptoms that at first glance may not be clear and specific.
With the annual growth of technological progress there are new opportunities and their availability for early diagnosis and treatment of OLT increases. The aim of this work is a thorough analysis of current data on the etiology, pathogenesis of this complex medical problem, evaluation of modern methods of diagnosis and treatment of OLT on the basis of their evidence and effectiveness.
Key words: osteochondritis dessicans, talus, ankle joint, osteochondral lesions, osteonecrosis.
Введение
Рассекающий остеохондрит голеностопного сустава, асептический некроз блока таранной кости или больше известный в зарубежной литературе как остеохондральное повреждение таранной кости (ОХПТК) впервые описано в 1738 году Alexander Munro на основе замеченных им свободных тел в голеностопном суставе, он предположил, что травма это причина их появления. Не смотря на достаточно длинную историю с момента открытия, ОХПТК остаётся и до нашего времени сложной проблемой, как в диагностике так и в лечении. Клиническая картина, чаще всего, представлена симптомами которые на первый взгляд могут быть не ясными и не специфичными.
С ежегодным ростом технического прогресса появляются новые возможности и увеличивается их доступность для ранней диагностики и лечении ОХПТК.
Целью этой работы является тщательный анализ современных данных по этиологии, патогенезу этой сложной меди цинской проблемы, оценка современных методов диагностики и лечении ОХПТК на основе их доказательности и результативности.
Распространённость ОХПТК
Остеохондральное повреждение в голеностопном суставе принято считать проблемой таранной кости, однако существуют и комбинированные повреждения совместно с суставной поверхностью большой берцовой кости, в любом случае это повреждение не является рядовым и часто сопровождает другую патологию голеностопного сустава и даже может являться случайной находкой. Повреждение связочного аппарата голеностопного сустава одна из самых частых травм. Эта тенденция схожа во всех странах мира, как например только в США в год регистрируется до 2 млн таких случаев [1]. Saxena с соавторами в своей работе определили, что повреждение суставного хряща таранной кости, той или иной локализации может встречайся до 50% у пациентов перенёсших травму голеностопного сустава. Костные повреждения этой локализации представляют собой наиболее высокий риск образования ОХПТК [2]. Hintermann с соавторами обнаружил наличие ОХПТК в 73% у пациентов с переломами в области голеностопного сустава [3]. Так же в литературе встречаются ретроспективные работы по выявлению ОХПТК у солдат, данное исследования продолжалось в течение 10 лет и обнаружило наличие этого повреждения в 27 случаях на 100000 человек [4]. С развитием МРТ и КТ появилась возможность определения повреждений подобного характера, даже самого небольшого размера. ХОПТК может встречаться, как у спортсменов, так и у мало активных людей. Существует высокий процент подобных дефектов у кровных родственников имеющий предположительно наследственный и врожденный характер.
Анатомия и патофизиология
Таранная кость одна из редких костей организма которая имеет достаточно большие размеры, не имея области прикрепления мышц. И в этом аспекте она является уникальной. Кровоснабжение таранной кости осуществляется в основном ретроградно за счёт артерии тарзального синуса. Форма тела таранной кости трапециевидная, в среднем передняя поверхность той части таранной кости которая входит в состав голеностопного сустава на 2,5 мм шире, чем ее задняя часть. Кроме того, около 60% таранной кости покрыто суставным хрящом. По сравнению с другими суставами голеностопный сустав имеет высокую конгруэнтность и как следствие этого толщина суставного хряща таранной кости значительно ниже, чем у других менее конгруэнтных суставов и в среднем составляет 1,11 мм у женщин и 1,35 мм у мужчин [5].
Это относительно тонкий хрящ и менее эластичный, чем более толстое хрящевое покрытие менее конгруэнтных суставов, например такого, как коленный сустав. Недостаток эластичности во многом определяет чувствительность хрящевого покрытия таранной кости к повреждению, а так же к микропереломам лежащей под ним субхондральной кости. Переломы в области голеностопного сустава, такие как переломы лодыжек, приводят к потере естественного хрящевого покрытия, в том числе из-за увеличения контактного давления на таранную кость.
Thordarson с соавторами, продемонстрировали, что смещения при переломе наружной лодыжки с ее укорочением >2 мм или >5° наружной ротацией значительно увеличивает контактное давление в голеностопном суставе [6]. Ransay и Hamilton нашли, что подвывих таранной кости на 1 мм к наружи сокращает контакт суставных поверхностей на 42%, таким образом смещение таранной кости на 2 мм сокращает этот же контакт до 58% [7]. Формирование посттравматического ассиметричного артроза (-вальус, -варус) так же играет важную роль, увеличивая давления на суставные поверхности так при варус-артрозе на медиальный край таранной кости, так и на латеральный край кости при вальгус-артрозе соответственно [8]. Пациенты с хронической латеральной нестабильностью голеностопного сустава, также попадают в группу высокого риска по образованию остеохондральных дефектов таранной кости. DiGiovannie с соавторами обнаружили, что 14 из 60 пациентов перенёсших оперативное лечение по поводу хронической латеральной нестабильности имели ХОПТК[9]. Ferkel и Chams отметили, что 95% пациентов перенёсших операцию по Broström по поводу латеральной нестабильности голеностопного сустава имели те или иные признаки внутрисуставной патологии [10]. Gregush и Ferkel выявили, что пациенты с ХОПТК в комплексе с нестабильностью голеностопного сустава имеют результат лечения хуже, чем пациенты только с нестабильностью [11].
Повреждение суставного хряща приводит к появлению непокрытого участка нижележащей субхондральной кости, что в свою очередь приводит к увеличению влияния внутрисуставного давления на обнаженный участок субхондральной кости , и дальнейшему повреждению последней [12]. Длительное воздействие внутрисуставного давления на этот участок может негативно влиять на костную ткань, вызывая развитие склероза, остеолиза, а в конечном итоге крупных дефектов и кистозного перерождения. Выше перечисленные обстоятельства, создают порочный круг, таким образом по мере продолжающегося повреждения субхондральной кости увеличивается её неспособность удерживать хрящевое покрытие приводя к более обширному отслоению суставного хряща, а ввиду хорошей иннервации, пациенты с подобным характером повреждения испытывают выраженный болевой синдром, который становится более интенсивным после образования субхондральной кисты или многочисленных кист в месте повреждения [13].
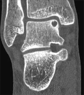
Наиболее распространенной локализацией остеохондральных повреждений таранной кости является переднелатеральной и заднемедиальной край суставной поверхности таранной кости. Исследование, основанное на изучении МРТ данных, проведенное Hembree с соавт. [14], определило, что большинство выявляемых локализаций остеохондральных повреждений таранной кости располагались медиально и центрально [15]. Независимо от этого, латеральная локализация данных повреждений связана с травмой от 93% до 98% случаев. Однако, было отмечено, что повреждения латеральной локализации в основном имеют меньшую и правильную овальную форму и возникают при эверсионных движениях в максимальном подошвенном сгибании стопы [16]. Медиальные повреждения связаны с острой травмой реже, от 61% до 70% [5]. Считается, что медиальные поврежде ния, вызваны повторяющейся микротравмой, вызванной соударением медиального края суставной поверхности таранной кости о суставную поверхность большеберцовой кости в момент максимальной супинации стопы. Медиально локализующиеся повреждения глубже, кратерообразной формы, и образуются при максимальном подошвенном сгибании стопы [16]. Остеохондральные повреждения с центральной локализацией имеют мультифакторный механизм образования и наиболее сложны в плане хирургического лечения (рис. 1).

Известно, что атравматическая этиология развития ХОПТК вносит свой вклад развитие и появление этих поражений, но отсутствует какая либо доказательная база данных, четко регламентирующая этот факт.

Биполярные остеохондральные поражения поражения суставных поверхностей дистального отдела большеберцовой и таранной костей
Остеохондральные поражения дистального отдела большеберцовой кости, встречаются гораздо реже, чем подобные поражения таранной кости, а двухполярные поражения большеберцовой и таранной встречаются еще реже. Elias с соавт. оценили МРТ исследование 38 пациентов с остеохондральными поражениями суставной поверхности дистального отдела большеберцовой кости для определения наиболее часто встречающейся локализации последних. Они обнаружили, что центральная, задняя и медиальная локализация встречалась наиболее часто (21%), так же в рамках этого исследования было выявлено, что биполярные поражения имелись в 6 из 38 случаев, и истинные “целующиеся” поражения только в 1 случае [17]. На большом количестве примеров ( 880 процедур) лечебно-диагностических артроскопических оперативных вмешательств голеностопного сустава, Mologne и Ferkel нашли только 23 пациента (2,6%) с остеохондральными поражениями суставной поверхности дистального отдела большеберцовой кости и только 6 пациентов (<1%) с биполярным поражением [18]. Большинство из выявленных ими локализаций располагались задне-центрально [19]. Несмотря на редкую встречаемость, важно знать об этих поражениях и тщательно оценивать большеберцовую кость во время диагностики. Не выявленные поражения большеберцовой кости могут привести к трудностям в реабилитации пациента и, в конечном счете, к неудовлетворительному результату лечения.
Клинические данные
Диагностика остеохондральных поражений таранной кости является трудной задачей и может создать сложности в понимании как для пациента, так и для врача. Большинство пациентов относятся подозрительно к подобному роду медицинских заключений т.к. они, в большинстве случаев, отмечают небольшую травму в анамнезе, последствия которой, по их ощущениям, нивелировались через несколько недель и болевые ощущения в голеностопном суставе появляются только при физической активности. Как правило, пациенты жалуются на боль в голеностопном суставе, только, во время или после физической активности. Loomer с соавт. в своей работе сообщают, что 94% пациентов с ОХПТК у которых были жалобы на боль в голеностопном суставе только при физической активности в 89% имели в анамнезе травму голеностопного сустава, которую они сочли незначительной [20]. При более длительном анамнезе пациенты отмечают постоянный отек и ограничение движений в области голеностопного сустава в сочетании с постоянной болью. В отдельных случаях могут присутствовать механические симптомы: щелчок, блокировка и чувство нестабильности, особенно на стадии фрагментации и дислокации некротизированного фрагмента таранной кости [21]. Этот факт не является общим симптомом, но может свидетельствовать о более серьезной стадии процесса [20].
Клиническое обследование может быть относительно неспецифичным при ОХПТК, но наиболее распространенным является выявление болезненности в проекции передних отделов голеностопного сустава локализующихся по линии сустава. Это тестируется наиболее точно при в положении максимального подошвенного сгибания стопы и голеностопного сустава, в результате чего переднелатеральные и переднемедиальные поверхности суставной поверхности таранной кости оказываются в более доступном положении. Болевые ощущения, проецирующиеся за медиальной лодыжкой при максимальном тыльном сгибании, могут свидетельствовать о заднемедиальной локализации поражения. Многими клиницистами было отмечено, что пациенты, с локализацией ОХПТК у медиального края суставной поверхности, могут предъявлять жалобы на боль только в передне-латеральной области голеностопного сустава. Объяснений этому, не логичному обстоятельству было предложено множество, такие как: отражённая боль или боль в результате неосознанной перегрузки латеральных отделов голеностопного сустава на фоне страдания медиальных отделов и др., однако, не одна из причин до настоящего времени не была убедительно доказана. Пациент с ОХПТК часто испытывает диффузную, неспецифическую болезненность, а локализация болезненности не является надежным индикатором локализации поражения. Стабильность голеностопного сустава следует оценивать с помощью определения симптомов переднего и заднего выдвижного ящика, а также инверсионных и эверсионных тестов. Тестирование стабильности голеностопного сустава, должно быть выполнено при согнутом коленном суставе, для избегания получения не объективной картины диагностики на фоне натяжения икроножной мышцы. Оценка функции подтаранного сустава, является так же обязательной процедурой для исключения патологии со стороны последнего, например, такой, как таранно-пяточная коалиция. При дифференциальном диагнозе всегда следует учитывать другие патологические состояния голеностопного сустава: импиджмент синдромы различной локализации, проблемы со стороны дистального межберцового синдесмоза, нестабильность голеностопного сустава, артрит или стресс-перелом.
Лучевая диагностика ОХПТК и классификация
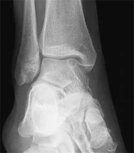
Не смотря на то, что Loomer с соавт. сообщили, что только от 50% до 66% остеохондральных дефектов обнаруживаются при помощи обычной рентгенографии, данный метод является важной отправной точкой и может быть полезен для исключения другой патологии голеностопного сустава [20]. Рентгенологическое исследование голеностопного сустава должно включать переднюю, заднюю и в 3⁄4 внутренней ротации проекции. Все проекции выполняются стоя (под нагрузкой) и называются функциональными. Функциональные рентгенограммы могут быть полезны для выявления сопутствующей нестабильности голеностопного сустава, проекция 3⁄4 во внутренней ротации, помогает в визуализации щели межберцового синдесмоза, а так же отображает передне-внутрений импижмент (таранной и большеберцовой кости) в случае его наличия. Выполненные в положении подошвенного сгибания прямая и 3⁄4 проекция во внутренней ротации могут быть полезны в выявлении заднемедиального поражения таранной кости. Рентгенологические признаки, которые могут быть определены, варьируются от небольших участков сдавления субхондральной кости до крупных отслоенных остеохондральных фрагментов. Радиографическая
система классификации была разработана Berndt и Harty в 1959 году и остается золотым стандартом. (Табл. 1) [16]. Loomer с соавторами дополнили имеющуюся классификацию, на основе не только рентгенограмм, а также МРТ (магнитно-резонансная томография) и КТ (компьютерная томография), и добавили стадию V в систему классификации Berndt и Harty [22].
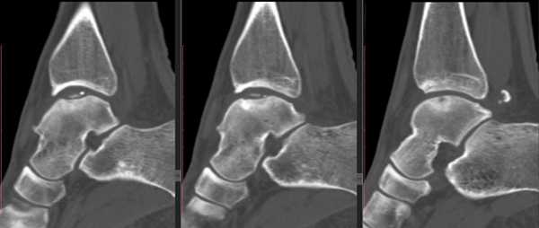
МРТ является ценным инструментом в комплексе диагностики ОХПТК для оценки отека костной ткани, а также выявления скрытых повреждений субхондральной кости и хрящевого покрытия, которые могут быть пропущены при стандартных рентгенограммах или даже КТ. МРТ – самый лучший инструмент оценки для определения стабильности и жизнеспособности фрагмента таранной кости при его отслоении и эта информация может быть решающей в тактике выбора того или иного метода хирургического лечения. Однако, для определения размеров отслоившегося фрагмента таранной кости наилучший метод КТ, так как данные размеров по МРТ могут не соответствовать действительности в сторону переоценки последних. Hepple с соавторами изучив многочисленные данные МРТ диагностики разработали систему классификации ОХПТК на основе этого метода (Табл. 2) [23]. Однако, наиболее широко принятая система классификации, основанная на КТ-это классификация Ferkel и Sgalione (Табл. 3; Рисунок 4) [24]. Классифицировать ОХПТК также возможно выполнить интраоперационно, на основе артроскопических данных о состоянии остеохондрального поражения. Наиболее широко используется система Ferkel/Cheng (Табл. 4) [25], эта система классификации, в отличие от обычных рентгенограмм, КТ и МРТ, лучше всего взаимосвязана с исходами лечения пациентов.
Показания для остеохондральной аутотрансплантации при повреждении голеностопного сустава
Показания для операции при вальгусной мальпозиции подтаранного и поперечного суставов после трехсуставного артродеза стопы
а) Показания:
- Сохраняющийся латеральный подлодыжечный импинджмент, боль в области внутреннего отдела голеностопного сустава или внутреннего свода стопы
- Рентгенологически видимый вальгусный наклон таранной кости в вилке голеностопного сустава
- Вторичный болевой синдром в наружном отделе коленного сустава, изменение походки или дисбаланс, связанные с деформацией стопы
- Симптомы, затрудняющие повседневную активность пациента
Ошибки при выборе показаний:
• Повреждение или изъявление кожи в области внутреннего свода стопы
• Диабетическая или другая периферическая нейропатия
• Поражение периферических сосудов
• Другие сопутствующие заболевания, препятствующие хирургическому лечению
Спорные моменты:
• Наиболее частой причиной несостоятельного трехсуставного артродеза является недостаточная коррекция деформации. Наиболее распространенная остаточная деформация — это вальгусная деформация заднего отдела стопы с супинацией на уровне поперечного сустава
• Медиализирующая остеотомия пяточной кости и деротационная поперечная остеотомия предплюсны позволяют в некоторой степени корригировать остаточную деформацию и с технической точки зрения являются более простыми вмешательствами. Однако ревизионный артродез обладает гораздо более значительными возможностями коррекции
• Сопутствующие артритические изменения голеностопного сустава: при минимальных и умеренных изменениях, когда оправдано сохранение голеностопного сустава, коррекция деформации заднего отдела стопы позволяет сохранить его функцию на достаточно длительный период времени. При тяжелых изменениях голеностопного сустава, когда его сохранение невозможно, коррекция деформации заднего отдела стопы все же необходима, но может быть скомбинирована с артропластикой голеностопного сустава. Включение в артродез голеностопного сустава (панартродез стопы) обеспечивает значительное купирование болевого синдрома, но ценой настолько же значительного ограничения функции
Рисунок 1 Рисунок 2
б) Обследование и лучевая диагностика:
- При осмотре стопы и голеностопного сустава в положении стоя выявляется грубая асимметричная плоская деформация стопы
- Оценивается состояние кожи и мягких тканей, локализация старых послеоперационных рубцов, пульсация на периферических сосудах и общее состояние пациента
- В ходе физикального исследования выявляется фиксированное, ригидное плоскостопие, болезненность под наружной лодыжкой и в области внутреннего отдела голеностопного сустава, а также костные деформации и болезненность в области внутреннего свода стопы. В тяжелых случаях может быть болезненность в области наружной суставной щели голеностопного сустава
- Стопа ротирована наружу относительно нижней трети голени. Ось большеберцовой кости проецируется кнутри от первого луча стопы, тогда как в норме она совпадает с осью второй плюсневой кости (рис. 1)
- Ахиллово сухожилие и сухожилие короткой малоберцовой мышцы, участвующие в формировании деформации на том этапе, когда она еще мобильна, теперь постоянно будут находиться в состоянии контрактуры, поскольку деформация фиксирована
- Необходимо оценить состояние медиальной колонны стопы на предмет гипермо-бильности/нестабильности
- На рентгенограммах голеностопного сустава и стопы можно увидеть ранее использованные импланты. Из остаточных признаков деформации на рентгенограммах будут видны избыточная вальгусная установка на уровне подтаранного блока, отведение переднего отдела стопы, дефицит подошвенного сгибания на уровне таранно-ладьевидного блока и соответствующая деформация медиальной колонны стопы. Таранная кость может принимать вальгусный наклон в вилке голеностопного сустава, могут быть признаки дегенеративных изменений голеностопного сустава (рис. 2)
- Компьютерная томография незаменима для оценки качества костного сращения и характера перестройки костной ткани. Кроме того, это исследование позволяет получить дополнительную информацию о характере имеющейся деформации
в) Хирургическая анатомия:
- Кости и сухожилия заднего отдела стопы
- Иннервация заднего отдела стопы
а) Положение пациента:
- Полубоковое положение (рис. 7)
- Коленный сустав несколько сгибается
- Под голень подкладывается подушка

Рисунок 7
Нюансы укладки пациента:
• Используйте рентгенпрозрачный операционный стол
• При необходимости должна быть в наличии С-дуга
Ошибки укладки пациента:
• При отсутствии подушки под голенью сложно добиться наружной ротации стопы и обеспечить доступ к наружному отделу голеностопного сустава (для реконструкции латеральных связок)
Оснащение:
• Артроскопическая стойка устанавливается с противоположной стороны стола
• C-дуга устанавливается на стороне операции
• Оборудование для вытяжения голеностопного сустава
Спорные моменты:
• Положение на боку в случаях, когда дефект располагается в наружном отделе голеностопного сустава или если необходима реконструкция латеральных связок
• Положение на животе в случаях, когда дефект располагается в центральном или заднем отделе голеностопного сустава или имеет место «целующийся» дефект со стороны большеберцовой кости
Рисунок 8 Рисунок 9 Рисунок 10
б) Порты и доступы:
- Переднемедиальный артроскопический порт (рис. 8)
- Переднелатеральный артроскопический порт (рис. 9)
- Расширенный медиальный доступ с остеотомией (рис. 10)
Нюансы техники:
• По возможности маркируйте на коже ход поверхностного малоберцового нерва
• Избегайте повреждения подкожной вены и нерва
• Порты следует располагать чуть ниже уровня голеностопного сустава, это улучшит визуализацию суставной поверхности таранной кости
Ошибки техники:
• Жировая клетчатка по передней поверхности голеностопного сустава не позволяет визуализировать нервы
• Если располагать порты на уровне голеностопного сустава, суставная поверхность таранной кости будет видна хуже
Оснащение:
• Сагиттальная пила
• Винты для фиксации в случае остеотомии внутренней лодыжки
• Комплект инструментов для мозаичной пластики
• Инструменты для забора трансплантата (для заполнения дефекта донорской зоны)
• Обработка одноименного коленного сустава (для забора трансплантата)
Спорные моменты:
• Варианты остеотомии внутренней лодыжки
• Остеотомия наружной лодыжки (если дефект располагается чисто в центральной и наружной зоне)
в) Техника операции:
Рисунок 11 Рисунок 12
1 этап: стандартная артроскопия голеностопного сустава:
- Медиальный порт (рис. 11)
- Латеральный порт (рис. 12)
- Вытяжение при необходимости
Нюансы 1 этапа операции:
• Выполните переднюю синовэктомию и релиз связки Бассетта
• Резецируйте передние остеофиты большеберцовой и шейки таранной кости
Ошибки 1 этапа операции:
• Расположение медиального и латерального портов на одном уровне с суставной щелью голеностопного сустава
• Плохая визуализация из-за передних остеофитов большеберцовой кости
Инструментарий и импланты 1 этапа операции:
• Тракция для расширения щели голеностопного сустава и пальпация дефекта
• Уточнение расположения дефекта
• Оценка возможности забора трансплантата в переднемедиальной части таранной кости
Спорные моменты 1 этапа операции:
• Мягкотканное вытяжение или дистракция с использованием наружного фиксатора
• Выбор подходящей зоны забора трансплантата
Рисунок 13 Рисунок 14 Рисунок 15
2 этап: остеотомия лодыжки (при необходимости):
- В случаях, когда в положении полного подошвенного сгибания визуализация медиального дефекта недостаточна, показана остеотомия внутренней лодыжки. При центральной или заднелатеральной локализации дефектов показана остеотомия наружной лодыжки
- Расширенный медиальный доступ (рис. 13)
- Остеотомия внутренней лодыжки с сохранением прикрепления и кровоснабжения дельтовидной связки (рис. 14)
- Лодыжка отводится вниз и визуализируется внутренняя поверхность таранной кости (рис. 15, А)
- При латеральной локализации дефекта, если его визуализация из стандартных переднемедиального и заднелатерального портов недостаточна, показана остеотомия наружной лодыжки из расширенного наружного доступа. Целью остеотомии является сохранение прикрепления к малоберцовой кости передней таранно-малоберцовой и пяточно-малоберцовой связок и формирование трехкомпонентной остеотомии, которая фиксируется по завершении основного этапа операции (рис. 15, Б)
- Если артроскопический доступ к медиальному дефекту невозможен (оценивается артроскопически с использованием иглы 21G), предпочтительна остеотомия внутренней лодыжки, которая выполняется насколько возможно вертикально. При некоторых центральных дефектах может быть показана передняя артротомия голеностопного сустава. При некоторых задних дефектах может быть выполнен заднемедиальный доступ, однако в таком случае возрастает риск повреждения заднего сосудисто-нервного пучка
Нюансы 2 этапа операции:
• Шевронная остеотомия достаточно проста в фиксации. Каналы для винтов необходимо сформировать до остеотомии
• В области вершины шевронного опила под ЭОП-контролем можно ввести направляющую спицу. Во избежание некроза кости в процессе опила необходимо орошать кость холодным физиологическим раствором
• Для улучшения визуализации используйте пин Штейнманна (в качестве джойстика)
• Также для улучшения визуализации можно использовать дистрактор
• В случаях остеотомии наружной лодыжки заранее обдумайте варианты ее фиксации
Ошибки 2 этапа операции:
• Слишком низкая остеотомия затруднит визуализацию внутреннего или наружного края суставной поверхности таранной кости
• Слишком высокая остеотомия внутренней лодыжки может привести к перелому пилона
• Слишком высокая остеотомия наружной лодыжки может привести к нестабильности синдесмоза
Инструментарий и импланты 2 этапа операции:
• Измерьте точный диаметр дефекта. Он должен быть заполнен 1-2 пробками
• Выбирайте наиболее подходящий донорский участок для забора аутотрансплантатов
• Убедитесь, что у вас в распоряжении есть все необходимые для забора и установки трансплантатов инструменты
• Убедитесь, что кривизна суставной поверхности трансплантата соответствует кривизне соответствующей суставной поверхности таранной кости
Спорные моменты 2 этапа операции:
• Число трансплантатов
• Как выполнить реконструкции медиального или латерального края суставной поверхности таранной кости
• Как быть с «целующимися» дефектами суставной поверхности большеберцовой кости
Рисунок 16 Рисунок 17
3 этап: удаление дефекта суставной поверхности таранной кости и замещение его трансплантатом:
- С помощью костной ложки или скальпеля определите точные границы стабильного хряща
- Удалите дефект фрезой подходящего размера и измерьте глубину получившегося ложа (рис. 16)
- При выборе донорской зоны учитывайте кривизну суставной поверхности и формируйте трансплантат длиной около 25 мм
- Выберите фрезу размера, чуть большего, чем измеренный диаметр ложа и выполните забор трансплантата
- Аккуратно импактируйте трансплантат в сформированное ложе, стараясь не повредить хрящевое покрытие (рис. 17)
- При высокой локализации дефекта в качестве донорской зоны выбирается изогнутая поверхность межмыщелковой вырезки бедра или ненагружаемая область внутреннего/наружного мыщелка
- Для нормальной фиксации трансплантата наружная или внутренняя стенка таранной кости должны быть интактными. Если стенка повреждена, перед установкой трансплантата необходимо выполнить ее пластику кортикальной костью (ауто-или алло-) с использованием погружных винтов
Нюансы 3 этапа операции:
• В зависимости от дефекта используйте фрезы диаметром 4,5, 6,5 или 10 мм
• Импактируйте трансплантат перпендикулярно поверхности таранной кости и оставляйте его несколько выше уровня окружающей суставной поверхности для компенсации резорбции кости в основании ложа и последующего погружения трансплантата
• Рассверлите основание ложа для стимуляции заживления за счет естественного кровотока окружающей костной ткани
Ошибки 3 этапа операции:
• Установка трансплантата ниже уровня суставной поверхности
• Формирование наклонного ложа, куда невозможно импактировать трансплантат
• Перелом стенки таранной кости
Инструментарий и импланты 3 этапа операции:
• Одноразовый комплект инструментов для пластики
• Забор ОАТ в области коленного сустава может привести к появлению в суставе болезненных ощущений. Этот вопрос необходимо обсудить с пациентом заранее. Описанная методика не рекомендуется для пациентов, получающих пособие по временной нетрудоспособности и некомплаентных пациентов Альтернативным выбором является аллотрансплантат из таранной кости, недостатками которого является медленная интеграция, риск коллапса и риск заражения вирусными инфекциями
Спорные моменты 3 этапа:
• Проблемы в донорской зоне
• Использование обогащенной тромбоцитами плазмы или других стимулирующих регенерацию субстанций в основании дефекта
• Использование фибринового клея или надкостничного лоскута в донорской зоне

Рисунок 18
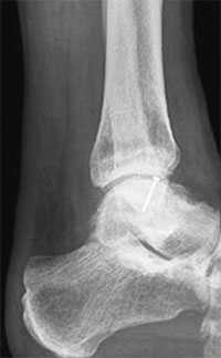
4 этап: окончательная фиксация остеотомии:
- Фиксация внутренней лодыжки двумя солидными винтами (рис. 18)
- Фиксация наружной лодыжки винтами и/или пластиной
Нюансы 4 этапа операции:
• Остеотомию и необходимые для ее фиксации металлоконструкции планируйте заранее
• Перед тем, как закончить операцию, выполните рентген-контроль
Ошибки 4 этапа операции:
• Несостоятельность металлоконструкций обычно означает погрешности в предоперационном планировании
• Грубое обращение с мягкими тканями или форсированная ретракция внутренней лодыжки могут привести к аваскулярным проблемам, невриту или инфекционным осложнениям
Инструментарий и импланты 4 этапа операции:
• Используйте технику компрессирующего и антиротационного винта
• Для фиксации наружной лодыжки при необходимости используйте пластину и винты
Спорные моменты 4 этапа операции:
• Одинарная или двойная остеотомия наружной лодыжки
• Предварительное формирование каналов для винтов или фиксация по окончании операции во избежание избыточного давления на зону мозаичной пластики

Рисунок 19
5 этап: реконструкция латеральных связок (при необходимости):
- Артроскопическая реконструкция таранно-малоберцовой связки (рис. 19)
Остеохондрит голеностопного сустава
Остеохондральные повреждения голеностопного сустава либо рассекающий остеохондрит ( в области коленного сустава называется болезнь Кёнига) – патология, с которой в своей клинической практике встретится любой доктор, специализирующийся на травматологии и ортопедии. Сегодня в медицинской практике их разделяют на переломы трансхондрального типа, остеохондриты рассекающего типа и остеохондральные переломы.
Все же три отклонения, не имеющие значительной клинической разницы между собой, объединены общим термином «остеохондральные повреждения».



а. схематическое изображение рассекающего остеохондрита таранной кости. б. на МРТ и рентгенограммах определяется рассекающий остеохондрит.
Этиология заболевания
Впервые наличие внутри сустава свободных тел, которых в норме там быть не должно, описал в 1865 году хирург Мунро. Именно он обнаружил тельца в голеностопном сочленении, пронаблюдал за пациентом и составил самое подробное на тот момент описание происходящего. Название рассекающего остеохондрита тельца получили в 1888 году от другого врача, что наблюдал их в коленном суставе.
Сегодня точно установить происхождение заболевания все еще не удалось. Болезнь часто развивается вследствие травм. Однако встречаются пациенты, у которых отсутствуют травматические повреждения голеностопа, однако присутствуют патологические тельца.
Медиальный край таранной кости в основном повреждается под воздействием частых, многократно повторяющихся травм. Свою роль могут играть разнообразные эндокринологические нарушения, формирование микроэмолов, особенности роста организма.
Область блока таранной кости также повреждается в основном при травмах. Это происходит, например, при супинации, которая должна сочетаться с внутренней ротацией и принудительным сгибанием.
Вовлечение медиальной части блока таранной кости также возможно при наружной ротации.
Особенности клинической картины
Симптомы болезни, имеют сходные особенности как у детей, так и у взрослых пациентов. Первоначально, когда патология только-только формируется, человек не обращает внимания на легкие изменения в своем самочувствии.
Прогрессирование болезни первоначально приводит к появлению неприятных ощущений в области голеностопного сочленения. Они усиливаются при ходьбе, при резких движениях, если принять неудобную позу. Изначально в покое неприятные ощущения стихают, но по мере прогрессирования рассекающего остеохондрита их длительность и интенсивность увеличивается, они начинают беспокоить даже при минимальных нагрузках или вовсе без них. В некоторых случаях отмечается отечность пораженного сочленения, появляются боли при попытке пропальпировать проблемную зону.
Некротизированный участок костной ткани постепенно отделяется от основного массива кости. Подобные частицы называют «суставными мышами». После того, как отделение произойдет, человек начнет жаловаться на появление хруста при движениях, чувство, будто сочленение «заело» на середине какого-то действия.
У некоторых пациентов из-за наличия суставных мышей развивается блокада сочленения. В этом случае сустав «заклинивает», теряется возможность движения в любом направлении. Все это сопровождается острым болевым приступом, который сложно игнорировать.
Стадии болезни и принципы диагностики
В современной медицине выделяют 4 основных стадии болезни. Деление происходит на основании рентгенологической картины, а также по выраженности симптомов недуга.
Характеризуется полным отсутствием симптоматики или жалобами, игнорируемыми пациентом в большинстве случаев. Дискомфорт носит легкий характер, боли не имеют четкой локализации. На рентгенологическом снимке в этот период врач отметит наличие овального тела, которое отделено от основного костного массива тонкой полосой светлого цвета.
Болезнь прогрессирует. Пациент предъявляет жалобы на боли умеренного характера в голеностопном суставе. Врач может обратить внимание на развитие признаков синовита. На рентгене в этот период отмечается расширение полосы просветления. Замыкательная пластинка на проблемном участке перестает быть целостной.
В этот период пациенты впервые начинают жаловаться на блокады сочленения, его «заедание» при движении. Человек обращает внимание на усиление болей, их присутствие даже в том случае, если сохраняется покой поврежденной конечности. На рентгенограмме отмечается наличие некротизированного участка, который лишь частично соединен с основной костью.
Человек отмечает нарастание болевого синдрома. Однако на 4 стадии блокады сустава развиваются реже, чем на третьей. Синовит усиливается, возможно даже изменение конфигурации сустава. На рентгене выявляется присутствие внутрисуставного тела, которое и является основным источником проблем пациента.
В большинстве случаев из инструментальных методов применяется рентгенография. Метод прост, доступен, обладает высокой диагностической ценностью.

На КТ определяется остеохондральное повреждение таранной кости.
Однако порой на рентгенографическом снимке не видны некротизированные частицы кости из-за небольших размеров. В этом случае диагностику дополняют МРТ или КТ методиками. Оба метода позволяют поставить диагноз на ранних стадиях развития патологии.

На МРТ выявляется рассекающий остеохондрит с отделением костно-хрящевого фрагмента от таранной кости.
Как проводить лечение
Лечение болезни может быть, как консервативным, так и оперативным. Доктор-ортопед выбирает оптимальный подход, ориентируясь на стадию патологии, общее состояние пациента. По мере лечения выбранный курс может корректироваться в зависимости от того, есть от него эффект, или он отсутствует.
В нашей клинике мы поддерживаем больных, начиная с момента первого обращения, и до тех пор, пока заболевание не удастся победить окончательно и бесповоротно.
Консервативная терапия
Консервативная терапия, дает наилучший эффект на ранних стадиях болезни, а также у детей и подростков. В этот период еще можно стимулировать восстановительные процессы в пораженной зоны, корректировать влияние негативных факторов, что привели к развитию остеохондропатии в области голеностопного сустава.
Консервативное лечение начинается с ограничения нагрузки на пораженный болезнью сустав. Чтобы рассекающий остеохондрит не прогрессировал, рекомендуется полностью исключить нагрузку на сочленение, вплоть до перехода на передвижение с помощью костылей на первые два месяца с начала терапии.
Лечение дополняется лекарственными препаратами. Используют:
- сосудистые средства, помогающие улучшить процессы обмена веществ в пораженной зоне, стимулировать регенерацию;
- хондропротекторы, защищающие хрящевые ткани, способствующие их восстановлению;
- симптоматические средства для устранения болезненности, купирования отека и других неприятных явлений.
Пациентам также рекомендуется пройти курс леченой физкультуры, направленный на быстрое восстановление. Приступать к упражнениям, рекомендованным врачом, можно сразу после регресса болевого синдрома.
Оперативное вмешательство
У взрослых людей даже ранние формы рассекающего остеохондрита не всегда поддаются лечению с помощью консервативной терапии. Около 50% случаев все равно заканчиваются принятием решения о необходимости операции.
Благодаря современному оснащению нашей клиники сегодня мы можем отказаться от травматичных открытых операций на голеностопном суставе. На замену им пришла артроскопия.
Суть вмешательства проста. Через небольшие разрезы врач вводит в полость сустава специальную трубку, снабженную видеокамерой. Камера дает необходимый обзор, позволяя с высокой точностью проводить операцию. В ходе артроскопии медик либо удаляет некротизированный кусок костной ткани, чтобы он не доставлял человеку неудобств, либо, если некроз не окончательно поразил участок кости, крепит доставляющую неудобства часть к основному массиву с помощью специальных скобок или винтов.
Артроскопия, метод выбора для пациентов с рассекающим остеохондритом. Операция менее травматична, восстановление после нее проходит легче и быстрее.
Если у человека есть ограничения на применение артроскопии, мы можем также провести открытую операцию на суставе, чтобы удалить костные отломки и «чистить» полость сустава.


Реабилитационные рекомендации
Послеоперационная реабилитация – не менее важный компонент лечения, чем сама операция. Потому врач уделяет ей особое внимание, тщательно знакомя пациента со всеми особенностями восстановительного периода.
После операции любого типа сустав фиксируется ортезом либо эластичным бинтом. В первое время нагрузка противопоказана, она увеличивается постепенно, по мере заживления тканей. Медик рекомендует выполнение статических упражнений, суть которых заключается в напряжении мышц. Только после того, как будет достигнута максимальная статическая нагрузка, можно переходить к другим типам упражнений. Травматические виды спорта исключают минимум на 6 месяцев. После вмешательства желательно ношение компрессионного белья, которое поможет уменьшить отек, снизить выраженность болей.


Мы наблюдаем пациентов с момента начала лечения и до полного восстановления после болезни, включая реабилитационный период. Если к развивающемуся остеохондриту отнестись серьезно, болезнь можно победить с низким риском вероятности осложнений.
Игнорирование заболевания рано или поздно приведет к развитию остеоартроза. Этот недуг затрагивает весь сустав, нарушает его конфигурацию и подвижность. Исход в этом случае – инвалидизация, которой стремятся избежать как врачи, так и пациенты.
Остеохондрит – заболевание, способное снизить качество жизни пациента. При первых его признаках нужно обратиться за помощью к травматологу-ортопеду!
Остеохондральные повреждения голеностопного сустава

Голеностопный сустав – это наиболее конгруэнтный сустав нижней конечности, а хрящевой покров образующих его костей отличается наименьшей толщиной.
- пациент с повреждениями хряща обычно испытывает болевые ощущения в глубине голеностопного сустава во время или после физической нагрузки;
- причиной болевого синдрома является повторяющееся увеличение давления внутри голеностопа во время ходьбы, которое приводит к раздражению болевых рецепторов кости на дне дефекта хряща;
- для диагностики повреждений хряща и предоперационного планирования предпочтительно использование КТ;
- выбор метода лечения при остеохондральных повреждениях зависит от продолжительности заболевания и размеров дефекта;
- первоочередным методом лечения является иссечение, дебридмент и стимуляция костного мозга, что позволяет добиться хороших/отличных результатов в 90% случаев.
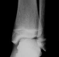
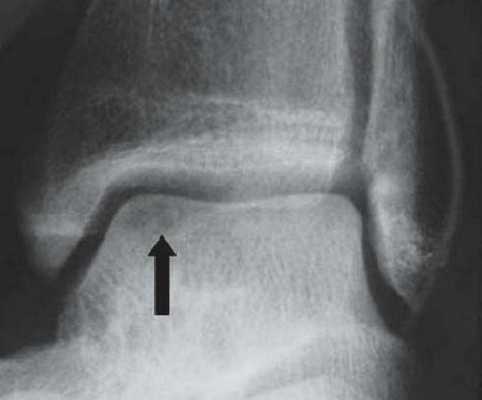
Частота (остео) хондральных дефектов блока таранной кости у пациентов со свежими повреждениями голеностопного сустава составляет 7-9%. Эти остеохондральные дефекты становятся причиной длительно сохраняющегося отека, ограничения объема движений и боли при нагрузке. Дефект может быть виден на рентгенограммах, однако чаще они оказываются неинформативными. Травматические остеохондральные повреждения отличаются низкой способность к регенерации поэтому требуют специального хирургического лечения.


Выделяют также дефекты хряща в голеностопном суставе, причины которого напрямую не связаны с травмой. Здесь могут иметь значение нарушение кровобращения в кости, некроз и, возможно, генетические факторы. Большинство из них долго протекают бессимптомно. Однако в дальнейшем они могут проявится болью и отеком, например, после эпизода травмы.
Остеохондральные дефекты обычно локализуются в области передней части блока таранной кости. При остеохондральных дефектах часто образуются свободные тела в голеностопном суставе.
Повторяющиеся перегрузки поврежденного суставного хряща могут вести к дальнейшей локальной гибели хрящевых клеток.
Средняя толщина хрящевого покрова блока таранной кости у человека составляет 1,5 мм.
Толщина суставного хряща коленного сустава, согласно исследованиям составляет 2,2 мм (1,7-2,6 мм), а средняя толщина суставного хряща тазобедренного сустава – 1,8 мм.

Хрящ образован клетками (хондроцитами), коллагеновыми волокнами (образуют аркадные структуры) и водой. На водный компонент суставного хряща человека приходится примерно 80% его массы. Благодаря своему строению суставной хрящ очень гладкий, это облегчает движения костей друг относительно друга в суставе.
Предполагается, что в формировании болевого синдрома при остеохондральных дефектах голеностопного сустава участвуют несколько механизмов. При увеличение давления в полости голеностопного сустава и внутри таранной кости формируется костная боль, а при воспалении — синовиальная боль.
Под синовиальной болью подразумевается боль от воспаленной и утолщенной синовиальной выстилки стенок сустава.
Также установлено, что надкостница и костный мозг таранной кости являются хорошо иннервируемыми тканями. Увеличение давления внутри голеностопного сустава является мощным раздражителем нервных окончаний костного мозга. Вот почему пациенты с поврежденным хрящом таранной кости периодически испытывают значительные костные боли.

Пациенты обычно испытывают боль в глубине голеностопного сустава во время или после физической активности. У некоторых пациентов отмечается небольшое ограничение объема движений в голеностопе и его припухлость.

Рентгенография
Рутинное рентгенологическое исследование включает рентгенографию обоих голеностопных суставов в прямой и боковой проекциях. На рентгенограммах можно увидеть отслоенный костный фрагмент. Изначально, на начальных стадиях болезни, площадь повреждения может быть очень мала, в связи с чем она не будет видна на рентгенограммах. Иногда изменения становятся видны только при рентгенологическом исследовании в динамике.

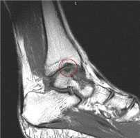
КТ и МРТ
Для предоперационного планирования, однако, предпочтительно использование компьютерной томографии (КТ). КТ включает исследование с шагом 0,5 мм и ЗD реконструкцией поврежденного сустава. МРТ полезно для диагностики сопутствующих повреждений мягких тканей (мышц, связок и сухожилий).



I стадия: небольшой компрессионный перелом.
II стадия: неполный отрыв фрагмента.
III стадия: полный отрыв фрагмента с его смещением.
IV стадия: смещенный фрагмент.
Бессимптомно существующие или минимально проявляющие себя повреждения лечатся консервативно: покой, лед, временное ограничение нагрузки и, при ощущениях нестабильности в суставе, ортезирование.
Мы используем несколько хирургических методик лечения остеохондральных повреждений голеностопного сустава. Все они чаще всего основываются на одном из следующих принципов:
- дебридмент и стимуляция костного мозга (микрофрактуринг, абразивная хондропластика, перфорация); При этом за счет выхода стволовых клеток из костно-мозгового канала в область дефекта нарастает новый суставной хрящ.
- фиксация оторванного фрагмента хряща обратно к блоку таранной кости, если он большого размера;
- стимуляция формирования суставного хряща путем имплантации аутологичных хондроцитов;
- перемещение хряща из коленного сустава (мозаичная хондропластика) или замещение дефекта искусственным хрящом.
Выбор метода лечения остеохондральных повреждений таранной кости зависит от продолжительности жалоб пациента, размеров дефекта и от того, с каким дефектом, первичным или вторичным, мы имеем дело.
По нашему опыту первичный и наиболее оптимальный метод лечения повреждений хряща голеностопа является артроскопический дебридмент и стимуляция костного мозга. Такая тактика лечения в 87% случаев позволяют добиться хороших и отличных результатов.

В острых ситуациях (от травмы прошло до 4 недель) при размерах фрагмента 18 мм и более предпочтительна фиксация его на место с использованием специальных винтов. В подростковом возрасте всегда следует отдавать предпочтение фиксации отколовшегося фрагмента даже при размерах дефект менее 18 мм. При крупных кистозных дефектах таранной кости может быть показано заполнение дефекта костным материалом.
В большинстве первичных случаях весь необходимый объем вмешательства может быть выполнен артроскопически.

При неэффективности первичного вмешательства может быть показана мозаичная хондропластика или замещение дефекта искусственным хрящом. Эти операции обычно выполняются открыто.
Методика заключается в удалении всех отколовшихся фрагментов хряща и подлежащей некротизированной (умершей) кости. Если в кости под хрящом имеются кисты, они вскрываются и специальным образом обрабатываются. Затем особым интструментом выполняется микро перфорация кости. Это приводит к высвобождению факторов роста, которые заполняют дефект хряща таранной кости.


Происходит стимуляция образования новых сосудов, в остеохондральный дефект выходят стволовые клетки костного мозга таранной кости, и он в последующем заполняется хрящом.
Во время операции снижается внутрисуставное давление на хрящ, что приводит к блокированию стимуляции нервных окончаний и уменьшению выраженности болевых ощущений у пациента.
Хорошие и отличные результаты отмечены у 86% пациентов.
Реабилитация после артроскопического дебридмента
После артроскопического дебридмента и перфорации пациентам рекомендуют активное сгибание стопы в голеностопном суставе. В течение ближайших 5-6 недель после операции допускается лишь дозированная нагрузка на стопу. Полная нагрузка разрешается через 6 недель. Бег по ровной поверхности возможен через 12 недель после операции. Возвращение к полноценной активности и занятиям спортом обычно происходит через 4-6 месяцев после операции.
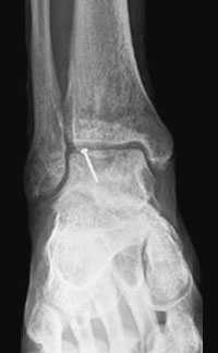
При размерах фрагмента 18 мм и более предпочтительным методом является его фиксация одним или двумя 2,0 мм винтами.

У подростков при (достаточно длительном) неэффективном консервативном лечении также следует отдавать предпочтение рефиксации отколовшегося куска таранной кости. Считается, что наличие крупного остеохондрального дефекта отрицательным образом сказывается на здоровье сустава.
Для того, чтобы оценить точные размеры и локализацию дефекта, обязательно проведение спиральной КТ.
Во время операции выполняется микроперфорация некротизированного (умерешего) участка таранной кости. После репозиции, фрагмент фиксируется 2-мя стягивающими винтами.


В качестве альтернативы металлическим винтам можно использовать биодеградируемые пины или якори.
Размеры дефекта таранной кости оценивают по результатам рентгенологического и КТ-исследования.

Перед операцией пациента информируют о возможных вариантах лечения и их результатах. Пациентам старше 55 лет предлагать мозаичную остеохондропластику следует с большой осторожностью, то же касается пациентов с многократными ранее перенесенными вмешательствами на голеностопном суставе и пациентов с признаками артроза и истончения суставного хряща.
Мозаичная хондропластика выполняется артроскопически или открыто, через небольшой кожный разрез в области голеностопного сустава. Если требуется небольшой трансплантат для заполнения дефекта хряща, то его забирают из переднего не нагружаемого отдела блока таранной кости. Однако чаще, костно-хрящевой цилиндр (трансплантат) берут из не нагружаемой зоны мыщелка бедра коленного сустава. При этом забор костно-хрящевого столбика из коленного сустава производится с применением артроскопической технологии через проколы кожи.

Операция выполняется под общей или спинальной анестезией. Выполняется стандартная артроскопическая ревизия голеностопного сустава, оцениваются размеры и локализация дефекта. Идеальным кандидатом на мозаичную остеохондропластику является пациент с дефектом хряща таранной кости диаметром более 10 мм. Важным является сохранение целостности остальных участков суставных поверхностей большеберцовой и таранной костей.
Противопоказанием к операции является дегенеративное, артрозное поражение голеностопного сустава.
Современный инструментарий для мозаичной остеохондропластики включает инструменты для точного определения диаметра и глубины требуемых трансплантатов.

Основным в операции является необходимость точно отмоделировать трансплантаты для максимального соответствия контуру суставной поверхности голеностопного сустава. От этого очень сильно зависит исход лечения.
В ходе операции производят освежевание с помощью острого бора основания дефекта хряща таранной кости до появления кровоточащей поверхности
По завершении подготовки ложа таранной кости, хирург перемещает астроскоп в коленный сустав, где выполняется забор остеохондральных трансплантатов из мыщелков бедра.

Трансплантаты забираются с помощью трубчатых полых сверил, которые обеспечивают забор трансплантата точного диаметра и длины.

Далее переходят обратно на голеностопный суставе, где в области дефекта хряща таранной кости, специальными сверлами формируется костный каналы соответствующий трансплантатам из коленного сустава по длине и диаметру. В завершении трансплантаты взятые из коленного сустава впрессовывается в сформированный в таранной кости каналы и моделируется по уровню суставной площадки.

Реабилитация
Пациентам, рекомендуется исключить нагрузку на ногу на срок 3 недели. По истечении этого периода еще в течение 3 недель рекомендуется дозированная нагрузка, не превышающая 30 кг и способствующая дальнейшей интеграции остеохондральных трансплантатов в таранную кость. Использование ортопедической обуви поможет избежать дискомфортных ощущений. Рекомендуются упражнения, направленные на восстановление полного объема движений в суставе. Ходьбе без вспомогательных средств опоры разрешается через 6 недель после операции. Вернуться к занятиям спортом можно примерно через 6 месяцев в зависимости от состояния конечности.
Читайте также:
- Добавочная треугольная кость таранной кости. Ушибы коленного сустава, осложненные гемартрозом (кровоизлиянием)
- Оригинальный сумамед и его аналоги. - В чем различие?
- Репродуктивная эндокринология у мужчин
- Рентгенограмма, МРТ при эпифизеолизе головки бедренной кости
- Стерильность альвеол. Инородные тела альвеол
