Показания и противопоказания для катетеризации с целью экстракорпоральной мембранной оксигенации (ЭКМО)
Добавил пользователь Алексей Ф. Обновлено: 10.01.2026
Категории МКБ: Другая уточненная септицемия (A41.8), Сепсис новорожденного, обусловленный другими бактериальными агентами (P36.8), Сепсис новорожденного, обусловленный кишечной палочкой [escherichia coli] (P36.4), Стрептококковая септицемия (A40)
Общая информация
Краткое описание
Рекомендовано
Экспертным советом
РГП на ПХВ «Республиканский центр
развития здравоохранения»
Министерства здравоохранения
и социального развития
Республики Казахстан
от «30» сентября 2015 года
Протокол № 10
Название протокола: Экстрокорпоральный метод лечение Грамм – негативного сепсиса.
Экстрокорпаральный метод лечение Грамм – негативного сепсиса - это экстракорпоральное очищение крови сорбционными технологиями, в частности липополисахарид-адсорбция. Данный метод обладает способностью удалять из крови циркулирующий эндотоксин, предотвращая развитие каскада воспалительных реакций. Эта технология особенно эффективна для лечения грамм-негативного сепсиса, вызванного Escherichia spp., Klebsiella spp., Proteus spp., Pseudomonas aeruginosa, Enterobacter spp. etc.
Код протокола:
Код(ы) МКБ-10:
Р36 – Бактериальный сепсис новорожденных
Ρ36.4 – Сепсис новорожденного, обусловленный кишечной палочкой (Escherichia coli)
P36.8 – Сепсис новорожденного, обусловленный другими бактериальными агентами
А40 – Сепсис
А41.8 – Септицемия уточненная
Сокращения, используемые в протоколе:
| АЧТВ – активированное частичное тромбопластированное время Ht – гематокрит IL – 6 интерлейкин LAL – тест – лимулюсамёбоцитный лизатный тест (активность эндотоксина) PiCCO – Pulse Contour Cardiac Output (Непрерывное измерение сердечноговыброса с помощью анализа формы пульсовой волны) SaO2 – насыщение крови кислородом SOFA – TheSepsis-relatedOrganFailureAssessment (Шкала обследования при органной недостаточности, связанной с сепсисом) TNFα, IL-1β, IL-6 – противовоспалительные цитокины АД ср – среднее артериальное давление АИК – Аппарат искусственного кровообращения АЛТ – аланинаминотрансферраза АСТ – Аспартатаминотрансферраза АТ –III – Антитромбин Б/х крови – биохимия крови ЕАА – анализ активности эндотоксина КОС – кислотно-основное состояние КЩС – кислотно – щелочное состояние крови ЛЖ – левый желудочек ЛПС – липополисахарид ММГ – модуль массообменный для гемосорбции МНО – международное нормализованное отношение ОАК – общий анализ крови ОАМ – общий анализ мочи СРБ – С реактивный белок ФВ – фракция выброса ЭКГ – электрокардиография ЭКМО – Экстракорпоральная мембранная оксигенация ЭХО-КГ – эхокардиография |
Дата разработки протокола: 2015 год.
Категория пациентов: дети и взрослые.
Пользователи протокола: анестезиологи-реаниматологи, перфузиологи, эфферентологи.
Примечание: в данном протоколе используются следующие классы рекомендаций и уровни доказательств:
Классы рекомендаций:
Класс I – польза и эффективность диагностического метода или лечебного воздействия доказана и и/или общепризнаны
Класс II – противоречивые данные и/или расхождение мнений по поводу пользы/эффективности лечения
Класс IIа – имеющиеся данные свидетельствуют о пользе/эффективности лечебного воздействия
Класс IIb – польза / эффективность менее убедительны
Класс III – имеющиеся данные или общее мнение свидетельствует о том, что лечение неполезно/ неэффективно и в некоторых случаях может быть вредным
| А | Высококачественный мета-анализ, систематический обзор РКИ или крупное РКИ с очень низкой вероятностью (++) систематической ошибки результаты которых могут быть распространены на соответствующую популяцию. |
| В | Высококачественный (++) систематический обзор когортных или исследований случай-контроль или Высококачественное (++) когортное или исследований случай-контроль с очень низким риском систематической ошибки или РКИ с невысоким (+) риском систематической ошибки, результаты которых могут быть распространены на соответствующую популяцию. |
| С | Когортное или исследование случай-контроль или контролируемое исследование без рандомизации с невысоким риском систематической ошибки (+). Результаты которых могут быть распространены на соответствующую популяцию или РКИ с очень низким или невысоким риском систематической ошибки (++ или +), результаты которых не могут быть непосредственно распространены на соответствующую популяцию. |
| D | Описание серии случаев или неконтролируемое исследование или мнение экспертов. |
| GPP | Наилучшая фармацевтическая практика. |

Автоматизация клиники: быстро и недорого!
- Подключено 300 клиник из 4 стран
- 800 RUB / 4500 KZT / 27 BYN - 1 рабочее место в месяц

Автоматизация клиники: быстро и недорого!
- Подключено 300 клиник из 4 стран
- 1 место - 800 RUB / 4500 KZT / 27 BYN в месяц
Мне интересно! Свяжитесь со мной
13-15 октября, Алматы, "Атакент"
600 брендов, более 150 компаний-участников из 20 стран.
Новинки рынка стоматологии. Цены от производителей
Классификация
Диагностика
Перечень основных и дополнительных диагностических мероприятий:
Перечень основных диагностических мероприятий:
Перечень обязательных исследований проводимые на всех этапах:
1 – этап до начала 1-й процедуры, последующие 3 этапа через каждые 24 часа.
· термометрия;
· общий анализ крови;
· общий анализ мочи;
· показатели коагулограммы;
· биохимические показатели крови (креатинин, мочевина, АСТ, АЛТ, билирубин,
глюкоза, общий белок, альбумин);
· микробиологическое исследование биологических сред;
· прокальцитониновый тест;
· определение С – реактивного белка;
· концентрация эндотоксина (LAL-тест, Cambrex, USA);
· ЭКГ;
· ЭХО-КГ;
· рентгенография органов грудной клетки.
Перечень дополнительных диагностических мероприятий:
· Гемодинамические параметры: непрерывное измерение сердечного выброса с помощью анализа формы пульсовой волны;
· Измерение внутригрудного объема крови (ВГОК), который является волюметрическим показателем преднагрузки на сердце;
· Измерение постнагрузки на сердце (артериальное давление и системное сосудистое сопротивление);
· Измерение внесосудистой воды легких (ВСВЛ). Повышение данного показателя свидетельствует о накоплении жидкости в интерстиции легких и позволяет диагностировать отек легких;
· Вариабельность ударного объема (ВУО). Данный индекс является динамическим индикатором чувствительности сердца на объемную нагрузку (применим только в условиях ИВЛ);
· Концентрация противовоспалительных цитокинов.
Лечение
· снижение концентрации прокальцитонина и цитокинов;
· стабилизация гемодинамики;
· нормализация кислородно-транспортной функции крови;
· восстановление иммунного равновесия;
· профилактика развития полиорганной недостаточности.
Показания и противопоказания для проведения процедуры/ вмешательства:
Показания к процедуре/ вмешательству:
· клинические признаки септического шока;
· лабораторно подтвержденная эндотоксемия;
· грамотрицательная бактериальная инфекция;
· лабораторные признаки тяжёлого сепсиса.
Противопоказания к процедуре/вмешательству:
· несанированный очаг инфекции;
· продолжающееся кровотечение;
· гиперчувствительность к полимиксину В;
· тяжесть состояния по шкале APACHE II выше 32 баллов;
· ФВ ЛЖ < 30% или сердечный индекс < 2,0 л/мин/м2;
· АД ср < 65mm.Hg при условии зависимости от больших доз катехоламинов.
· наличие инкурабельной патологии.
Требования к проведению процедуры/вмешательства:
Меры безопасности и противоэпидемический режим согласно Санитарным правилам «Санитарно-эпидемиологические требования к объектам здравоохранения», утвержденным постановлением Правительства Республики Казахстан от 17 января 2012 года №87.
Техническое обеспечение:
· роликовый насос;
· аппарат искусственного кровообращения (АИК);
· аппарат гемодиализа;
· аппарат экстракорпоральной мембранной оксигенации (ЭКМО);
· монитор для контроля гемодинамики;
· аппарат искусственной вентиляции легких;
· двухпросветные катетеры;
· центрифужный насос и система магистралей;
· канюли для канюляции центральных или периферических сосудов;
· оксигенатор;
· теплообменник, газовый смеситель, датчики – детекторы воздушных пузырей, давления, потока.
Требование к подготовке пациента:
· подготовка кожного покрова непосредственно перед процедурой (бритье подмышечных впадин, передней поверхности грудной полости и живота, паховых областей);
· установка внутрисосудистых катетеров;
· коррекция функциональных систем крови: восполнение объема циркулирующей жидкости, гемодилюция (снижение гематокритного числа до 0,3 л/л), улучшение реологических свойств крови (введение дезагрегантов и реокорректоров: пентоксифиллин – 1,0-3,0 мг/кг массы, гидроксэтилкрахмал - 10-20 мл/кг массы и др.), устранение электролитного дисбаланса;
· у больных с печеночной недостаточностью любого генеза для повышения антитромбинового потенциала организма показано переливание одногруппной свежезамороженной плазмы (3-5 мл/кг массы);
· за 10 мин до начала гемосорбции больному вводится гепарин в дозе 0,5-1,0 мг/кг массы;
· седация: мидазолам 0,2-0,4 мг/кг в/в, Диазепам 0,3-0,5 мг/кг в/в; пропофол 4-7 мг/кг/ч;
· анальгезия: фентанил 5 мкг/кг/ч.
Методика проведения процедуры/вмещательства:
Подготовка сорбента.
Перед гемосорбцией производят внешний осмотр ММГ с гемосорбентом: соответствие показателей этикетки настоящей инструкции, целостность модуля. Процедуры проводятся с использованием перфузионной системы или аппарата для гемодиализа.
Заполнение экстракорпорального контура адсорбера производится 500 мл 0,9% раствором натрия хлорида. При заполнении экстракорпорального контура аппарата для гемодиализа, картридж промывается 4000 мл 0,9% раствора натрия хлорида с последующим заполнением 500 мл физиологического раствора с добавлением 2000 ЕД гепарина (для взрослых) или 500 ЕД гепарина на 250 мл физиологического раствора (для детей). Скорость кровотока поддерживается в пределах 100–150 мл/мин. В качестве антикоагулянта применяется гепарин, доза которого подбирается индивидуально для каждого больного, в зависимости от исходного состояния свертывающей системы крови и показателей активированного времени свертывания до и во время процедуры. В среднем доза гепарина составляет 4–10 Ед/кг/ч, с целью поддержания времени свертывания крови в пределах 180–200 с. Общий объем перфузии - не менее 1,0 ОЦК.
Учитывая возможность тромбирования экстракорпорального контура, на этапе подготовки процедуры селективной ЛПС-адсорбции, необходимо соблюдение протокола заполнения и промывки сорбентов гепаринизированным раствором, при проведении процедуры поддерживать активированное время свертывания в пределах 180-240 сек.
Скорость кровотока через сорбент для эффективной элиминации эндотоксина должна составлять 80-120 мл/мин, а длительность процедуры не должна быть менее 120 минут.
У больных с ОПН целесообразно сочетанное применение процедуры высокообъемной гемодиафильтрации и селективной ЛПС-адсорбции.
В данном случае возможно увеличение скорости кровотока до 150 мл/мин. Процедура проводится в режиме предилюции со скоростью замещающего раствора 100-150 мл/мин и скоростью диализирующего раствора 500 мл/мин. Длительность процедуры при сочетанном применении высокообъемной гемодиафильтрации и селективной ЛПС-адсорбции может быть увеличена до 240 минут.
Индикаторы эффективности процедуры:
· снижение уровня прокальцитонина до 0,5- < 2нг/мл (нанограмм/миллилитр). снижение или нормализация температуры;
· уменьшение частоты сердечных сокращений до 90 уд/мин или ≤100 уд/мин (взрослые), до 140 – 120 (у детей);
· уменьшение частоты дыхания или перевод с ИВЛ на спонтанное дыхание;
· снижение СРБ;
· снижение или нормализация количества лейкоцитов с уменьшением количества незрелых форм;
· повышение показателей уровня среднего АД (среднего артериального давления) с 60-65 мм Hg до 90-100 мм Hg(взрослые) с 30 – 50 до 60 – 80(дети);
· нормализация гемодинамических показателей:
Таблица №1.[15]
| Оценка | Показатель | 1 степень | 2 степень | 3 степень | 4 степень |
| Оксигенация | PaO2/FiO2, ммрт.ст. | ||||
| Коагуляция | Тромбоциты | ||||
| Печень | Билирубин, мг/дл, мкмоль/л | 1,2-1,9 (20-32) | 2,0-5,9 (33-101) | 6,0-11,9 (102-204) | >12 (>204) |
| Сердечнососудистая система | Гипотензия или степень инотропной поддержки | САД | Допамин < 5(мг*кг*мин) | Допамин>5 (мг*кг*мин) или адреналин | Допамин>15 (мг*кг*мин) или адреналин >0,1 (мг*кг*мин) норадреналин >0,1 (мг*кг*мин) |
| ЦНС | Показатель по шкале комы Glasgow, в баллах | 13-14 | 10-12 | 6-9 | |
| Почки | Креатинин, мг/дл, мкмоль/л. Возможна олигурия | 1,2-1,9 (110-170) | 2,0-3,4 (171-299) | 3,5-4,9 (300-440) или | > 5,0 (> 440) или |
Дисфункция каждого органа (системы) оценивается отдельно, в динамике, ежедневно, на фоне интенсивной терапии.
Показания и противопоказания для катетеризации с целью экстракорпоральной мембранной оксигенации (ЭКМО)
Методика венозно-венозной катетеризации с целью экстракорпоральной мембранной оксигенации (ЭКМО)
Более 60% пациентам с ЭКМО в неонатальной практике в регистре ELSO (Extracorporeal Life Support Organisation) проведено лечение с помощью венозно-артериального шунтирования. При дыхательной недостаточности венозно-артериальная ЭКМО постепенно замещается вено-венозной методикой с использованием одного двухпросветного катетера.
Катетер устанавливают в правое предсердие. Кровь забирается из этой камеры сердца и возвращается сюда же. В таком случае необходима катетеризация только правой яремной вены, что позволяет избежать манипуляций с сонной артерией.
К преимуществам вено-венозной ЭКМО также относят поддержание нормального пульсирующего кровотока и возврат клеток крови, проходящие через контур ЭКМО, в малый круг кровообращения, а не большой (теоретическое преимущество). Устройство оригинального вено-венозного катетера приводит к существенной рециркуляции, что ограничивает его использование при скорости потока в ЭКМО более 350 мл/мин.
Rais-Bahrami разработал новую конструкцию катетера, в которой степень рециркуляции существенно ниже. Двухпросветный катетер устанавливают в правое предсердие, направляя оксигенированную кровь из возвращающего просвета через трехстворчатый клапан для минимизации рециркуляции. Выпускают такие катетеры размерами 12, 15 и 18 Fr. В таком случае возможно проведение вено-венозной ЭКМО у большего количества новорожденных.
Двухпросветные вено-венозные катетеры:
1. Катетер «Kendall», размер 14 Fr («Kendall» Health Care Products, Mansfield, MA, USA).
2. Катетеры «OriGen», размеры 12, 15 и 18 Fr («OriGen» Biomedical, Austin, TX, USA).

Схематичное изображение катетера для вено-венозной экстракорпоральной мембранной оксигенации, введенного в среднюю часть правого предсердия.
Преимущества вено-венозного шунтирования при ЭКМО:
1. Обеспечивают превосходную поддержку функции дыхания.
2. Помогают избежать лигирования сонной артерии.
3. Оксигенированная кровь попадает в малый круг кровообращения.
4. Клетки крови из контура ЭКМО возвращаются в малый круг кровообращения, а не в большой.
Недостатки вено-венозного шунтирования при ЭКМО:
1. Отсутствует поддержка деятельности сердца.
2. ЭКМО зависит от состояния функций сердца пациента.
3. Положение и вращение катетера имеют крайне важное значение.
4. Зависит от величины рециркуляции.

Схема перевода венозно-артериальной (а) в вено-венозную (б) ЭКМО.
Двухпросветный вено-венозный катетер соединяют с Y-образным переходником для объединения просветов.
Методика катетеризации при вено-венозном шунтировании при ЭКМО
Методика катетеризации для вено-венозной ЭКМО по существу аналогична таковой для венозно-артериальной, за исключением следующих особенностей.
1. Определяют и выделяют как внутреннюю яремную вену, так и сонную артерию, но двухпросветный катетер вводят только во внутреннюю яремную вену. Можно наложить свободную силиконовую петлю на сонную артерию для облегчения быстрого перехода на венозно-артерильный доступ.
2. Катетер продвигают артериальной стороной вверх и вперед по отношению к венозному колену двухпросветного катетера. Необходимо избегать изгибания катетера или формирования завитка в нем. Правильному расположению катетера помогает направление оксигенированной крови к трехстворчатому клапану. Таким образом, сводится к минимуму рециркуляция оксигенированной крови обратно в контур ЭКМО.
3. Проксимальный конец внутренней яремной вены также катетеризируют для дренирования крови, оттекающей от головы, путем введения катетера в луковицу яремной вены.
Катетер соединяют с венозной трубкой контура ЭКМО через переходник Люэра. Для этого применяют самодельный, покрытый гепарином венозный катетер Кармеды «Bio-Medicus», сделанный специально для использования в качестве краниального катетера.
Такая методика позволяет выполнить дополнительное венозное дренирование для контура ЭКМО, предотвращая застой венозной крови, а также измерять сатурацию венозной крови, поступающей от головного мозга.
4. В случае использования катетера луковицы яремной вены для измерения церебральной сатурации следует внимательно подключаться к контуру; воздух быстро всасывается в венозную часть контура, если запорный краник плохо закрыт или оставлен открытым.
Редактор: Искандер Милевски. Дата обновления публикации: 18.3.2021
Экстракорпоральная мембранная оксигенация (ЭКМО) — применение модифицированного аппарата искусственного кровообращения в сочетании с мембранным оксигенатором для замещения функций сердечно-сосудистой системы у пациентов с обратимой легочной и/или сердечной недостаточностью, у которых все возможные традиционные методы лечения не дали результата.
Потребовались десятилетия лабораторных и клинических исследований, чтобы ЭКМО в настоящее время стала общепринятым стандартом лечения новорожденных с дыхательной недостаточностью, при которой традиционные методы лечения неэффективны. Большая часть причин, вызывающих дыхательную недостаточность у новорожденных, являются самокупирующимися.
В таких случаях ЭКМО дает время для разрешения патологического процесса в легких и устранения легочной гипертензии, которая часто сопровождается дыхательной недостаточностью у новорожденных.
Показание для катетеризации с целью экстракорпоральной мембранной оксигенации (ЭКМО). Установка катетеров в сонную артерию и внутреннюю яремную вену для использования в венозно-артериальной ЭКМО, которую следует проводить у пациентов с выраженной нестабильностью сердечно-сосудистой системы.

Схема контура венозно-артериальной экстракорпоральной мембранной оксигенации.
Отток крови из правого предсердия в мешок контура с током через мембранное легкое, теплообменник и возврат крови в дугу аорты через катетер сонной артерии.
Относительные противопоказания для катетеризации с целью экстракорпоральной мембранной оксигенации (ЭКМО)
1. Гестационный возраст менее 34 нед.
2. Масса тела при рождении менее 2000 г.
3. Неконтролируемая коагулопатия или заболевания, сопровождаемые геморрагическим синдромом.
4. Врожденный порок сердца без заболевания легких. Исключение — пациенты с заболеваниями сердца в послеоперационном периоде (тема не рассматривается в этой нашей статье).
5. Обратимая патология легких.
6. Внутричерепное кровоизлияние более I—II степени.
7. Врожденный порок развития, требующий немедленного лечения.
8. Продолжительность ИВЛ в «жестких режимах» более 10-14 дней.
9. Выраженный эффект при использовании ИВЛ и/или ингаляции оксида азота (NO).
Меры предосторожности
1. Для предотвращения воздушной эмболии перед установкой венозного катетера следует убедиться, что у пациента наступила миоплегия.
2. Учитывают следующие факторы.
а. Катетеризация внутренней яремной вены перед установкой катетера ЭКМО может вызвать образование сгустка, что приводит к необходимости тромбоэктомии.
б. Грубые манипуляции с внутренней яремной веной могут вызвать спазм и невозможность установки катетера соответствующего размера.
в. Разрыв сосуда может привести к необходимости стернотомии для его пластики. Соответствующие инструменты должны быть приготовлены на прикроватном столике. Необходимо обеспечить должный запас крови необходимой группы в банке крови.
г. Сложности при катетеризации могут сопровождаться значительной кровопотерей, что может быть причиной гипотензии, поэтому кровь для экстренного использования должна быть доступна (10-20 мл/кг).
д. Блуждающий нерв расположен позади сосудов шеи и может быть поврежден или затронут во время выделения сосудов. В результате развивается брадикардия или другие формы аритмии.
е. Необходимы мониторинг функций жизненно важных органов и пульсоксиметрия в течение всей процедуры; клиническое наблюдение за состоянием новорожденного затруднено из-за использования операционного белья.
ж. В случае ручной вентиляции мешок Амбу не следует класть на прикроватный столик после того, как уложено операционное белье. В результате выхода кислорода из мешка возможно воспламенение при использовании электрокаутера.
Видео ЭКМО - история, показания, методика к.м.н, доцент И.И Афуков
Методика венозно-артериальной катетеризации с целью экстракорпоральной мембранной оксигенации (ЭКМО)
Методика:
1. Укладывают новорожденного, обеспечив тепло к ногам.
2. Вводят фентанил (10-20 мкг/кг).
3. В целях миорелаксации вводят панкуроний (0,1 мг/кг).
4. Для разгибания шеи подкладывают под плечи валик и поворачивают голову влево. Следует проверить, что подушка Боуи также уложена. Следует обратить внимание на предотвращение гипотензии.
5. Проводят мониторинг витальных функций, при необходимости дополнительно вводят фентанил и/или панкуроний.
6. Широко обрабатывают кожу в области шеи справа, грудную клетку и околоушную область раствором бетадина.
7. Закрывают стерильными пеленками всю кроватку.
8. Для фиксации пеленок к коже используют материал «Steri-Drape» (3M Health Care, St. Paul, MN, USA).
9. В месте разреза кожу инфильтрируют ксилокаином 0,25% с адреналином (AstraZeneca, Wayne, PA, USA).
10. Ждут в течение 3 мин наступления анестезии.

а - Новорожденный, уложенный для катетеризации, с подложенным под плечи валиком и головой, повернутой влево. Обозначено место разреза в области шеи.
б - Анатомические ориентиры над грудино-ключично-сосцевидной мышцей для выполнения разреза электрокаутером.
11. Выполняют вертикальный разрез длиной 1-2 см над правой грудино-ключично-сосцевидной мышцей примерно на 1 см выше правой ключичной головки с помощью электрокаутера.
12. Продолжают использовать электрокаутер для рассечения подкожно-жировой клетчатки.
13. Коагулируют все видимые кровоточащие участки.
14. Разделяют волокна грудино-ключично-сосцевидной мышцы кровоостанавливающим зажимом и с помощью наложенных на мышцу кровоостанавливающих зажимов разводят в стороны.
15. Вскрывают влагалище сонной артерии, стараясь не повредить блуждающий нерв.
16. Орошают общую сонную артерию и внутреннюю яремную вену 1% раствором лидокаина для дилатации сосудов.
17. Под артерией проводят силиконовую петлю, а проксимально и дистально накладывают шелковые лигатуры 2-0 на зажимы, но не затягивают их. Избегают врезания лигатур в артерию.
18. Стараются не проводить избыточные манипуляции с внутренней яремной веной. Некоторые специалисты предпочитают выделять вену после катетеризации артерии во избежание спазма вены.
19. Определяют необходимую длину катетера:
а. Идентифицируют яремную вырезку и мечевидный отросток грудины.
б. Артериальный катетер вводят примерно на одну треть расстояния между яремной вырезкой и мечевидным отростком, обычно это 3-4 см.
в. Венозный катетер вводят примерно наполовину расстояния между яремной вырезкой и мечевидным отростком, обычно это 7-7,5 см.
г. Расстояния отмечают на катетерах с помощью петли шовного материала 2-0 или с помощью имеющихся меток.
д. Проводят гепаринизацию путем болюсного введения 75-150 ЕД/кг гепарина (в зависимости от оцененного риска кровотечения), выжидают 60-90 с, перед тем как продолжить катетеризацию.
Катетеризация артерии
1. Затягивают дистальную лигатуру на сонной артерии и накладывают зажим типа «Бульдог» на проксимальную часть артерии. Перед наложением зажима ожидают, пока кровь расширит артерию.
2. Выполняют артериотомию с помощью лезвия скальпеля № 11 и накладывают два шва-держалки проленом 6-0 (Ethicon, Somerville, NJ, USA) на проксимальной стороне артериотомии. Всегда используют швы-держалки для предотвращения разрывов внутренней оболочки артерии.
3. По желанию наносят лубрикант на расширитель «Гарретта» и расширяют артерию до соответствующего размера катетера.
4. Накладывают стерильный зажим для трубок на катетер. Наносят на катетер лубрикант и вставляют катетер в сосуд после удаления зажима типа «Бульдог».
5. Фиксируют катетер, затягивая шелковую лигатуру (2-0) над петлей в 0,5-1 см от сосуда («тапочек») (рис. 32-6).
6. Накладывают вторую шелковую лигатуру (2-0). Затягивают дистальный узел вокруг катетера и затем связывают дистальную и проксимальную лигатуры вместе. Некоторые хирурги делают два узла проксимальнее и один дистальнее для дополнительной безопасности.
7. Дают крови заполнить катетер, чтобы она вытеснила воздух.

а - Разделение волокон грудино-ключично-сосцевидной мышцы и вскрытие влагалища сонной артерии.
б - сонную артерию выделяют вместе с наложенным зажимом.
Показано место артериотомии с наложенными проленовыми (6-0) швамидержалками; ниже - увеличенный фрагмент рисунка а (вставка).
в - фиксируют катетер проксимальной и дистальной лигатурами на «тапочке»; ниже — увеличенный фрагмент рисунка а (вставка).
Катетеризация вены
1. Выделяют вену и фиксируют двумя шелковыми (2-0) лигатурами. За лигатуры, наложенные на вену, не следует тянуть во избежание спазма вены.
2. Накладывают зажим типа «Бульдог» на проксимальный конец вены, чтобы кровь наполнила вену и растянула ее. Затем лигируют дистальный конец вены шелковой лигатурой (2-0).
3. Выполняют венотомию лезвием скальпеля № 11 и накладывают два анкерных шва проленом (6-0), как швы-держалки при катетеризации артерии.
4. Наносят лубрикант на венозный катетер, накладывают стерильный зажим для трубок на катетер и расширяют венотомическое отверстие.
5. Вводят катетер, при этом ассистент тянет за проксимальную лигатуру и нажимает на область печени для увеличения обратного тока крови через катетер (для снижения риска воздушной эмболии).
Возможно легкое сопротивление продвижению катетера при прохождении через верхнюю апертуру грудной клетки, если продвигать катетер с усилием (может привести к разрыву вены). Осторожно продвигают катетер по направлению вниз и кзади.
6. Фиксируют так же, как и артерию. Стимулируют ток крови обратно в катетер путем осторожного надавливания на область печени.

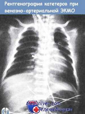
Правильное расположение артериального и венозного катетеров при рентгенографии.
Видна рентгеноконтрастная точка, обозначающая кончик катетера для экстракорпоральной мембранной оксигенациии марки «Bio-Medicus» (указана стрелкой).
7. По желанию рану тампонируют рассасывающейся желатиновой губкой, смоченной в тромбине для местного применения или выпускаемом с местным фибриновым уплотнителем в целях гемостаза.
Криопреципитат и тромбин применяют местно для формирования фибринового сгустка. Для этого их капают на операционное поле из отдельных шприцев (отношение 1:1). Примечание. При смешивании в одном шприце образуется плотный сгусток. В настоящее время подобные препараты выпускаются фармакологическими компаниями и известны как «Tisseel HV Fibrin Sealant» (Baxter Hyland Division, Glendale, CA, USA)
8. Проверяют положение катетера с помощью рентгенографии органов грудной клетки и/или ЭхоКГ, если пациент находится в стабильном состоянии. В случае нестабильного состояния пациента, переведенного на ЭКМО, исследование проводят после достижения адекватной оксигенации, но перед ушиванием операционной раны.
Рекомендации по применению ЭКМО при тяжелой легочной и/или сердечной недостаточности у пациентов с COVID-19

Российская межрегиональная общественная организация специалистов по экстракорпоральной мембранной оксигенации (РосЭКМО) подготовила этот документ для своевременного и безопасного применения ЭКМО у пациентов с COVID-19 в условиях пандемии на основе имеющихся на данный момент времени данных. Это согласованные рекомендации ведущих российских центров ЭКМО.
COVID-19 является новым заболеванием, вызванным новым вирусом SARS-CoV-2, появившемся в декабре 2019 года и вызвавшим всемирную пандемию. Поэтому эти рекомендации основаны на ограниченном опыте и будут обновляться по мере поступления новой информации. Актуальная информация размещена на сайте РосЭКМО.
Лишь у небольшой части пациентов с COVID-19 (по имеющимся оценкам из Китая и Италии – от 2 до 5%) развивается тяжелая дыхательная недостаточность и острый респираторный дистресс-синдром (ОРДС), требующие интенсивной терапии. Но при этом смертность у пациентов с потребностью в искусственной вентиляции легких очень высока. ЭКМО может быть средством спасения жизни у пациентов COVID-19 с тяжелыми формами ОРДС или рефрактерной сердечной недостаточностью. Первоначальный опыт работы с ЭКМО в Японии и Южной Корее (более 50 случаев), Европе (более 150 случаев) показывает возможность выживания таких пациентов. В обзоре в The Lancet Respiratory Medicine рассматривается роль ЭКМО и центров ЭКМО во время пандемии COVID-19 и рекомендуется использовать ЭКМО при наличии опытных центров, ресурсов и возможностей (1). В текущих рекомендациях ВОЗ применение вено-венозной (ВВ) ЭКМО показано пациентам с COVID-19 и тяжелым ОРДС в опытных центрах с достаточным количеством случаев для клинического опыта. Рекомендации ведущих мировых экспертов описывают общие требования к организации центра ЭКМО для лечения ОРДС (2). Общие рекомендации по показаниям и ведению пациентов на ЭКМО размещены на сайте международной организации экстракорпоральной поддержки жизни – ELSO (3). Society of Critical Care Medicine также опубликовало рекомендации по ведению пациентов с COVID-19 и рекомендует использовать ЭКМО в случае неэффективности обычного лечения (4). Потребность в ЭКМО при COVID-19 пока неясна, для справки при эпидемии гриппа H1N1 в Австралии и Новой Зеландии в 2009 году частота использования ЭКМО составляла 2,6 случая на миллион населения или 1% от общего количества госпитализированных, при MERS ЭКМО использовалась у 5,8% пациентов.
Но в связи с интенсивным использованием ресурсов медицинских учреждений в период пандемии, а также необходимостью дополнительной подготовки персонала и отработки навыков взаимодействия междисциплинарной команды при инициировании программы ЭКМО РосЭКМО не рекомендует запускать новые центры ЭКМО, не имеющие опыта, с единственной целью лечения пациентов с COVID-19 . Во время вспышки эпидемии COVID-19 для наибольшего шанса получения пользы от применения ЭКМО целесообразно сконцентрировать пациентов с тяжелыми (жизнеугрожающими) формами COVID-19 в больницы, где уже имеется опыт применения ЭКМО (не менее 10 случаев).
ЭКМО показана пациентам с высоким риском летального исхода. Существует несколько критериев измерения риска смертности при ОРДС, но большинство включают PaO2/FiO2 ниже 100, несмотря на оптимальную терапию. В недавнем многоцентровом проспективном исследовании EOLIA имеются три показания, которые определяют тяжелый ОРДС, когда ЭКМО может быть полезна (5). Следует использовать стандартизированные алгоритмы для лечения ОРДС – рисунок 1 (6). Если пациенты соответствуют показаниям, то ЭКМО следует начинать немедленно в опытном центре (7).
Рис. 1. Алгоритм лечения тяжелого острого респираторного дистресс-синдрома

PEEP – положительное давление в конце выдоха
PaO 2 / FiO 2 – отношение парциального давления кислорода в артериальной крови к фракциональной концентрации кислорода во вдыхаемой газовой смеси
PaCO 2 – парциальное давление углекислого газа в артериальной крови
ЭКМО – экстракорпоральная мембранная оксигенация
* - частота дыхания увеличена до 35 в минуту и давление плато < 32 см H 2 O
Следует учитывать, что использование ECMO для COVID-19 происходит во время пандемии, которая может перегрузить имеющиеся ресурсы больницы!
Из-за сложности и длительного обучения команды для выполнения экстракорпоральной поддержки при сердечно-легочной реанимации (ECPR), центры, которые в настоящее время не предоставляют такую поддержку, не должны инициировать эту программу в условиях ограниченных ресурсов. Неопытным центрам ЭКМО не следует использовать ECPR для пациентов с COVID-19 на период пандемии в условиях ограниченности ресурсов. В опытных центрах ECPR может рассматриваться как опция при внутрибольничной остановке сердца у пациента с COVID-19 в зависимости от наличия ресурсов. Тем не менее, у пациентов с COVID-19 должно приниматься во внимание соотношение рисков и выгод при использовании ECPR, учитывая потенциал перекрестной контаминации персонала и использование защитных средств многочисленными участниками процедуры в условиях ограниченных ресурсов .
Молодые пациенты с незначительными или отсутствующими сопутствующими заболеваниями имеют наивысший приоритет для использования ЭКМО во время пандемии COVID-19. Также приоритетом является медицинский персонал. Следует понимать, что это динамическая расстановка приоритетов. По мере изменения ресурсов приоритеты должны меняться в зависимости от того, что можно безопасно и успешно делать в условиях конкретной больницы.
Сердечная недостаточность у пациентов с COVID-19
У пациентов с COVID-19 возможно развитие тяжелой сердечной недостаточности (миокардит, гипоксическая кардиомиопатия и др). Сердечная недостаточность должна подтверждаться и оцениваться эхокардиографией. При невозможности поддержания адекватной гемодинамики обычной терапией (включая кардиотоники, вазопрессоры, инфузионную терапию) показана Вено-Артериальная (ВА) ЭКМО, предпочтительно в виде Вено-Артерио-Венозной (ВАВ) ЭКМО с учетом поражения легких и риска развития синдрома Арлекина. Своевременное эхокардиографическое обследование показано при наличии любого клинического подозрения на сердечную дисфункцию или признаки нарушения кровообращения.
Использование ЭКМО по другим показаниям во время пандемии возможно при наличии соответствующих ресурсов больницы (в первую очередь персонала).
Противопоказания для применения ЭКМО
Стандартные противопоказания остаются в силе: неизлечимое заболевание с плохим краткосрочным прогнозом (менее 6 месяцев), серьезное повреждение центральной нервной системы.
- Исключения для COVID-19 при ограниченных ресурсах должны определяться конкретными больницами или регионами.
- Поскольку прогноз при полиорганной недостаточности хуже, пациентов с тяжелыми сопутствующими заболеваниями следует исключать.Не рекомендуется подключать ЭКМО с оценкой поSOFA >12 баллов.
- Так как прогноз ухудшается с возрастом, следует учитывать возраст с балансом наличия ресурсов и возможностей для улучшения результатов. Мы не рекомендуем использовать ЭКМО у пациентов старше 70 лет.
- Так как прогноз при длительной механической искусственной вентиляции легких ухудшается, не рекомендуется подключать ЭКМО пациентам с длительностью механической ИВЛ более 10 дней.
- Почечная недостаточность не является противопоказанием при возможности почечно-заместительной терапии.
Защитные меры для персонала
Следует использовать стандартные меры предосторожности по COVID-19, рекомендованные ВОЗ и национальными организациями здравоохранения.
Из-за высокой контагиозности COVID-19 ЭКМО сопряжена с риском инфицирования персонала в связи с выделением пациентами инфицированных жидкостей и аэрозолей (мокрота из дыхательных путей, кровь и другое). Чтобы свести к минимуму риск перекрестного инфицирования медицинского персонала и уменьшить осложнения, связанные с ЭКМО, мы рекомендуем следующие меры предосторожности при проведении ЭКМО у пациентов с COVID-19:
- Пациенты должны размещаться в изолированной зоне (бокс) с отрицательным давлением; в качестве альтернативы, должна быть обеспечена адекватная вентиляция помещения (12-тикратный воздухообмен/час), если отрицательное давление не может быть применено
- Чтобы избежать ненужных входов/выходов из изолированной зоны, ненужного перемещения потенциально инфицированного персонала/материалов/оборудования, все материальные ресурсы, включая аппаратуру, хирургические инструменты, расходные материалы, лекарства, препараты крови, должны быть тщательно подготовлены и перемещены в эту зону
- Количество персонала в изолированной зоне должно быть ограничено до необходимого минимума
- Весь персонал должен быть обеспечен средствами индивидуальной защиты не ниже FFP2/N95
- Аппарат ультразвукового исследования (УЗИ) должен находиться у кровати пациента и использоваться для визуализации сосудов перед и во время канюляции, мониторинга сердца и проводников по время канюляции, мониторинга сердечной деятельности и гемодинамики.
- Кровать с пациентом должна быть поднята на оптимальный уровень для облегчения канюляции
- Оптимальным выбором для ВВ ЭКМО является канюляция дренажной канюлей правой бедренной вены, возвратной канюлей – правой яремной вены, с обязательной эхокардиографической оценкой при проведении канюль и их правильном позиционировании в правом предсердии. Канюляция должна осуществляться по методу Сельдингера для уменьшения риска кровотечения и инфекции.
Ведение пациентов с COVID-19 на ЭКМО
После начала ЭКМО ИВЛ рекомендуется проводить в режиме «отдыха» легких: пиковое давление на вдохе не выше 20 см H2O, дыхательный объем 3-6 мл/кг, частота дыхания 10-15 в мин. Параметры объемной скорости кровотока и потока кислородо-воздушной смеси через контур ЭКМО рекомендуется подбирать для поддержания артериальной сатурации на уровне > 90%, pH>7,3, PaCO2 40-45 mm Hg (допустима гиперкапния до 60 mm Hg у пациентов с ХОБЛ).
Требуется больше информации о эффективном лечении пациентов с COVID-19 с использованием ЭКМО. Поэтому информация о применении ЭКМО при тяжелом течении COVID-19 должна собираться и анализироваться. Пожалуйста, внесите вашего пациента в Регистр РосЭКМО в тот момент, когда он будет подключен (и позже, когда выписан). Ранняя запись в Регистре позволит РосЭКМО предоставить оперативные и актуальные данные о результатах и осложнениях ЭКМО при COVID-19 в России!
Читайте также:
