Полипы тела матки. Гиперплазия эндометрия матки.
Добавил пользователь Владимир З. Обновлено: 11.01.2026
В МКБ 10 код N84.1 присвоен полипу шейки матки. Это заболевание женских репродуктивных органов, которое занимает 3-5% в структуре гинекологической патологии. Несмотря на внедрение в клиническую практику эндоскопических методов лечения, частота рецидивов заболевания колеблется от 25,9% до 78%.
Полипы матки – это экзофитное локальное железистое образование, которое исходит из базального слоя эндометрия или эндоцервикса, имеет сосудистую ножку. Симптомами полипов матки наиболее часто являются маточные кровотечения. Если выявлен полип на шейке матки, надо ли удалять новообразование? Да, потому что вследствие хронической кровопотери у пациенток развивается анемия. Малокровие приводит к временной нетрудоспособности женщин, бесплодию. Средний возраст пациенток, страдающих полипами матки, составляет 45 лет.
Отдельные виды полипов матки (полипы шейки матки с атипией и аденоматозные полипы эндометрия) относятся к предраковым патологическим процессам. По этой причине ответ на вопрос: «Надо ли удалять полип на шейке матки?» однозначен – да. Когда у женщины есть полип шейки матки, опасно ли это? Сами по себе полипы цервикального канала опасности не представляют. Без лечения большой полип шейки матки будет постоянной причиной межменструальных кровотечений, очагом инфекций, передающихся половым путем, мешать беременности и родам.
Причины образования полипа шейки матки
Причины, по которым образуется полип в шейке матки, учёными не установлены. Наиболее вероятными причинами образования полипов шейки матки считают воспаление и гормональные нарушения. Предрасполагающими для возникновения полипов являются следующие факторы:
- Большое количество абортов;
- Хронические аднекситы и кольпиты;
- Отсутствие беременностей в анамнезе.
Образованию полипов матки способствуют патологические гены в клетках эндометрия (HNGIC-gene). Возникновение полипов эндометрия у женщин в постменопаузе связывают с заместительной гормональной терапией и препаратом «Тамоксифен», который пациентки принимают при раке молочной железы. Существует мнение, что полип матки развивается вследствие дисфункции яичников, хронического инфекционно-воспалительного процесса органов малого таза, разного рода травм данной области, полученных в результате выполнения медицинских манипуляций или во время родов.
Виды и симптомы полипов шейки матки
Полипы, расположенные в полости матки носят название полипов эндометрия. В зависимости от гистологического строения их ткани различают следующие виды полипов матки:
- Железистые – полипы, образованные из ткани внутренней оболочки матки (эндометрия), которая содержит железы;
- Железисто-фиброзные – состоят из желез эндометрия и стромы (поддерживающей их соединительной ткани);
- Фиброзные – образованы плотной фиброзной тканью, в которой содержатся и могут единичные железы, развиваются у женщин после 40 лет;
- Аденоматозные – полипы эндометрия, которые имеют высокую вероятность перехода в рак внутренней оболочки матки.
Различают следующие полипы цервикального канала шейки матки: железистые, покрытые однорядным цилиндрическим эпителием, и эпидермизированные, на поверхности которого находится метапластический многослойный эпителий. При наличии полипа цервикального канала у женщины появляются следующие симптомы:
- Нарушения менструального цикла, которые выражаются выражающиеся в увеличении интенсивности кровотечения (гиперполименорее);
- Кровянистые выделения после полового акта, которые возникают в результате травмирования новообразования;
- Межменструальные мажущие выделения.
Пациентки часто предъявляют жалобы на тянущие боли и появление тягучих белей серозного или серозно-гнойного характера. Если перечисленные выше симптомы отсутствуют, образование выявляют случайно при профилактическом гинекологическом осмотре, ультразвуковом исследовании органов малого таза, кольпоскопии. Когда «прорвался» полип шейки матки (выпал во влагалище), появляются боли во время коитуса и кровянистые мажущие выделения после полового акта.

Методы диагностики полипа матки
Гинекологи для установки диагноза полипа шейки матки и цервикального канала проводят следующие основные диагностические мероприятия:
- Осмотр наружных половых органов;
- Осмотр влагалища и шейки матки на зеркалах;
- Бимануальное (двуручное) исследование;
- Ультразвуковое исследование;
- Гистероскопию;
- Гистологическое исследование.
К дополнительным методам диагностики полипа матки относится кольпоскопия и мазок на онкологическую цитологию. Плановому хирургическому лечению подлежат женщины, которые предъявляют типичные для полипа матки жалобы. При осмотре шейки матки на зеркалах у них обнаруживаются образования, которые имеют чёткие контуры, ярко-розовый цвет, чаще грушевидную форму, гладкую поверхность. Они прикрепляются к слизистой цервикального канала и могут выступать за пределы наружного зева шейки матки.
Ультразвуковое исследование (УЗИ) позволяет врачу увидеть утолщение внутреннего слоя матки (эндометрия), наличие полипов (выростов в полости матки). Во время гистероскопии в полости матки определяются разрастания различной величины и формы. Фиброзные полипы эндометрия имеют вид бледных единичных образований округлой или овальной формы, размер которых варьирует от 0,5×1 до 0,5×1,5 см, расположенные на ножке.
Они имеют плотную структуру, гладкую поверхность, мало сосудов. Иногда фиброзные полипы эндометрия достигают больших размеров, и при гистероскопии поверхность полипа, плотно прилегающего к стенке матки, ошибочно считают атрофичной слизистой оболочкой и полип не диагностируют. При обнаружении полипозного образования его необходимо обследовать со всех сторон, оценить величину, локализацию, место прикрепления, а также величину ножки. Фиброзные полипы во время гистероскопии напоминают подслизистые миоматозные узлы.
Железисто-кистозные полипы эндометрия, в отличие от фиброзных, чаще бывают единичными, большими. Их размеры – от 0,5×1 до 5×6 см. Иногда у пациенток встречается несколько полипов. Они имеют продолговатую, конусовидную, неправильную форму, могут быть разделены перемычками. Поверхность гладкая, ровная, иногда над ней выступают кистозные образования с тонкой стенкой и прозрачным содержимым. Цвет полипов может быть бледно-розовым, бледно-жёлтым, серовато-розовым. Нередко верхушка полипа тёмно-багровая или синюшно-багровая. На поверхности полипа видна капиллярная сосудистая сеть.
Аденоматозные полипы эндометрия чаще располагаются ближе к устьям маточных труб. Их размеры небольшие, от 0,5×1 до 0,5×1,5 см. Они выглядят серыми, тусклыми, рыхлыми. Аденоматозные изменения определяются и в ткани некоторых железисто-кистозных полипов. В этом случае характер полипа при эндоскопическом исследовании определить не удаётся. Полипы внутреннего слоя матки изменяют форму при изменении скорости подачи газа или жидкости в полость матки. Они при этом сплющиваются, увеличиваются в диаметре, а при уменьшении расправляются.
Лечение полипов матки
При наличии симптомов полипа шейки консервативная и немедикаментозная терапия не применяется. Лечение состоит из следующих мероприятий:
- Удаление полипа эндометрия матки и цервикального канала;
- Профилактика рака эндометрия;
- Купирование клинических симптомов.
Если выявлен большой полип на шейке матки, как его лечить? Любой полип подлежит удалению. Полноценное удаление полипа эндометрия и цервикального канала производят с помощью гистероскопии. Одиночные полипы на ножке удаляют щипцами или ножницами, которые вводят через операционный канал гистероскопа.
После удаления полипа выполняют контрольную гистероскопию, чтобы убедиться, что ножка полипа иссечена полностью. При множественных полипах и сочетании с гиперпластическими процессами эндометрия проводят раздельное диагностическое выскабливание под контролем гистероскопии. Оперирующие гинекологи весь полученный операционный материал отправляют в лабораторию для гистологического исследования.
Удаление полипа шейки матки
Надо ли удалять полип на шейке матки? Удаление полипов матки хирургическим методом называется полипэктомия. Крупные полипы (размером 1-3см) удаляют путём откручивания. После этого основание ножки полипа прижигают электрическим током.
Удалённую ткань направляют на гистологическое исследование для определения строения полипа. Это необходимо для того чтобы исключить злокачественный характер новообразования. Последующее лечение в значительной степени зависит от результатов гистологии.
Через 4-5дней после удаления полипа матки гинекологи Юсуповской больницы проводят повторное обследование. Оно необходимо для контроля состояния места локализации образования и профилактики эндометрита. После полипэктомии в течение 7-10 дней проводят антибактериальную терапию. Если повысилась температура после удаления полипа шейки матки, следует немедленно обратиться к гинекологу. Гипертермия может быть проявлением осложнения операции. В этом случае врач назначит антибиотики последнего поколения.
Если у пациентки полипы образовались на фоне дисфункции яичников, проводят соответствующую гормональную терапию. В некоторых случаях необходимо длительное гормональное лечение. Его длительность может варьировать от трёх до шести месяцев. В течение этого времени результаты лечения контролируют с помощью гистероскопии и биопсии эндометрия.
Сургитрон
Сургитрон – современный радиохирургический аппарат. Он разработан американской фирмой «ELLMAN International». Аппарат в гинекологии применяют для удаления полипов шейки матки. Удаление полипа цервикального канала радиоволновым методом приносит исключительно положительные результаты. Удаление полипа на шейке матки сургитроном имеет следующие преимущества:
- Отсутствие контактного воздействия;
- Минимальное повреждение тканей, расположенных около полипозного образования;
- Исключение кровопотери при воздействии радиоволн;
- Безболезненность при проведении процедуры;
- Чёткий визуальный контроль всех этапов операции;
- Минимальный послеоперационный период и быстрое выздоровление.
Радиохирургическое удаление полипов шейки матки и цервикального канала сургитроном проводят при наличии следующих показаний:
- Размер полипов больше 10мм;
- Возраст пациентки старше 45 лет;
- Проблемы с зачатием и вынашиванием плода;
- Отсутствие положительного эффекта от консервативного лечения;
- Наличие аденоматозных полипов.
Отзывы женщин, которым удаляли полип шейки матки радиоволновым методом, положительные.
Лазерное удаление полипа в шейке матки
Наиболее благоприятные последствия после удаления шейки матки лазером. Лазерная технология полипэктомии обладает следующими преимуществами:
- Проводится быстро, без травм и необходимости нахождения в стационаре;
- Не приводит к утрате трудоспособности, пациентки после процедуры могут продолжать вести привычную жизнь, восстановление происходит очень быстро;
- После воздействия лазерными лучами не образуются рубцы на шейке матки, кровопотеря минимальная;
- Патологические новообразования удаляются послойно, здоровые ткани не травмируются.
После удаления полипа шейки матки биологический материал отправляют в лабораторию на гистологическое исследование. Проводится определение наличия вируса папилломы человека, который является провоцирующим фактором возникновения множества новообразований.
Инновационные методы лечения полипов матки
В настоящее время гинекологи при выборе метода лечения и тактики ведения пациентки учитывают следующие факторы:
- Размеры образования:
- Его структуру;
- Возраст женщины;
- Состояние эндометрия;
- Причины развития патологии;
- Наличие обменно-эндокринных нарушений.
В настоящее время полипы удаляют с помощью лазера. Данный вид хирургического вмешательства не оставляет рубцов и позволяет сохранить репродуктивную функцию женщины. К инновационным методам лечения полипов матки относится минигистероскопия. Операция отличается отсутствием травматизации шейки и необходимостью в наркозе.
Врач выбирает способ лечения совместно с пациенткой. При этом минигистероскопия позволяет избавиться не только от полипов, но и от миомы матки, гиперплазии эндометрия, внутриматочных синехий. Это щадящий оперативный метод.
Врач имеет возможность послойно контролировать глубину проникновения лазера, тем самым предотвращает травмирование, сокращает кровопотерю и восстановительный период. Лазер запаивает сосуды. Соединительной ткани не остаётся, что благоприятно сказывается на будущей беременности. После обработки лазером реабилитационный период составляет от 6 до 8 месяцев.
Тактика ведения пациенток в послеоперационном периоде
Если врачи удалили полип под наркозом в шейке матки, женщину оставляют под наблюдением до следующего дня. Дальнейшая тактика ведения зависит от результата гистологического исследования. При наличии фиброзных и железисто-кистозных полипах эндометрия 1 раз в год выполняют ультразвуковое исследование органов малого таза. Эти образования не требуют лечения и дополнительного обследования.
Полип на шейке матки при беременности негативно отражается на вынашивании плода. Хотя полипы относятся к доброкачественным образованиям, они требуют обязательного наблюдения у врача и лечения. Опасность патологии заключается в том, что при разрастании полипов возможен выкидыш. По этой причине лечение полипов следует проводить на этапе планирования беременности.
После гистероскопии на протяжении некоторого времени пациентку могут беспокоить спазматические боли. На протяжении двух-трёх недель могут наблюдаться незначительные выделения. Спустя неделю после операции пациентке необходимо пройти гинекологический осмотр. Врач, руководствуясь возрастом пациентки, причиной образования полипа и его характером, назначает восстановительную терапию.
При повышении температуры, появлении обильных кровянистых выделений, темной слизи с неприятным цветом, сильных и острых болях необходимо обращаться к врачу. В данном случае можно предполагать наличие осложнения – воспаления матки, её перфорацию или гематометр (скопление крови в матке). Воспаление после удаления полипа шейки матки возникает очень редко. Оно обычно спровоцировано тем, что операция проводилась на фоне скрытой инфекции, воспалительного процесса или в процессе хирургического вмешательства нарушены правила антисептики и антисептики.
Перфорация образуется в результате прокола стенки органа из-за рыхлости его структуры или плохого расширения шейки. Мелкие перфорации зарастают самостоятельно, а крупные врачи ушивают.
Для того чтобы восстановительный период протекал быстрее и без осложнений, пациентке после операции рекомендуют строго соблюдать правила личной гигиены. В это время ей не рекомендуется принимать ванны, посещать сауны и бани, купаться в открытых водоёмах. Рекомендуется принимать тёплый душ.
На протяжении месяца противопоказан приём аспирина, чрезмерные физические нагрузки, подъём тяжестей. Следует исключить спринцевания и половые контакты. Для того чтобы пройти обследование и лечение полипа матки современными методами, звоните в контакт цент Юсуповской больницы.
Гиперплазия эндометрия матки
Гиперплазия эндометрия - это доброкачественное заболевание. Основной характерной чертой данного заболевания является разрастание внутреннего слоя матки - эндометрия, что приводит к утолщению и увеличению его объема.
Эндометрий представляет собой нежную тонкую слизистую ткань, которая выстилает полость матки изнутри. Данная ткань каждый месяц быстро растет и утолщается под действием женских половых гормонов. В случае наступления беременности, эндометрий является «пуховой периной» на которую прикрепляется оплодотворенная яйцеклетка. При отсутствии беременности под действием гормонов эндометрий отторгается, выходит в виде менструальной крови.

Классификация гиперплазии эндометрия по локализации
- очаговая (наличие полипов на одной или нескольких стенках);
- тотальная ( поражает все стенки полости матки).
Классификация гиперплазии эндометрия (по гистологической картине)
- железистая (с разрастаниями железистой ткани);
- железисто- кистозная (железистая ткань в сочетании с кистами).
- атипическая (синоним “аденоматоз”) c атипическими клетками. Данный вид гиперплазии относят к предраковым заболеваниям. Риск перерождения аденоматоза в рак эндометрия составляет приблизительно 10%.
Причины гиперплазии эндометрия
В настоящее время основной причиной развития гиперплазии считается нарушение баланса женских половых гормонов, который чаще всего встречается в пубертатном периоде и перименопаузе.
Факторы риска развития гиперплазии эндометрия
- гормональные нарушения, а именно, избыток гормона эстрогена на фоне дефицита гормона прогестерона;
- сопутствующие заболевания, такие как: сахарный диабет, повышенное артериальное давление, ожирение, заболевания щитовидной железы, молочных желез и надпочечников;
- воспалительные заболевания половых органов;
- аборты и диагностические выскабливания;
- аденомиоз и миома матки;
- синдром поликистозных яичников;
- наследственная расположенность.
Симптомы, которые встречаются при гиперплазии эндометрия
Основные из них при гиперплазии эндометрия могут быть:
- обильные менструации более 3 -х прокладок в день;
- появление сгустков крови в менструальном отделяемом;
- кровянистые выделения из влагалища в любой день менструального цикла. Эти выделения женщина не связывает с менструацией. Они могут быть сразу после менструации, перед ней или в середине менструального цикла;
- в менопаузе у женщины любые кровянистые выделения, даже самые незначительные, из половых путей являются подозрением на наличие онкологического процесса.
Обследования, которые помогут выявить и поставить диагноз гиперплазии эндометрия
Лечение гиперплазии эндометрия
Практически в 100% случаев лечение гиперплазии эндометрия хирургическое.
Методами хирургического лечения гиперплазии эндометрия является гистероскопия и гистерорезектоскопия.
Гистероскопия - лечебно-диагностическая операция, которая проводится в условиях общей анестезии с использованием прибора гистероскопа. Гистероскоп имеет форму тубуса, с находящейся в ней видеокамерой. Форма гистероскопа позволяет свободно его ввести через влагалище, шейку матки в полость матки. С помощью видеокамеры хирургу в онлайн режиме доступна осмотру полость матки, можно легко выявить локализацию очагов гиперплазии, наличие или отсутствие полипов эндометрия. С помощью электрической петли, находящейся на гистероскопе под контролем видеокамеры, производится удаление очагов гиперплазии, полипов эндометрия при их наличии, возможно разъединение внутриматочных спаек (синехий). Во время операции в обязательном порядке берется биопсия тканей со всех четырех стенок матки и цервикального канала.
Данная операция проводится под общей анестезией. Продолжительность операции не превышает 30 минут, короткий период нахождения под общей анестезией позволяет врачам в тот же день отпустить пациентку домой.
В нашей Клинике данная операция проводится в условиях дневного стационара в течение 1 дня, с выпиской пациентка не позднее 16.00.
Повторная консультация врача - гинеколога проводится через несколько дней, где в зависимости от результатов гистологического исследования пациентке назначается профилактическая, противорецидивная терапия с учетом гистологической картины заболевания, возраста, сопутствующих заболевании и репродуктивных планов конкретной пациентки. Варианты послеоперационной терапии различны и назначаются в индивидуальном порядке для каждой отдельной пациентки.
При неблагоприятной ситуации ( выявлении онкологии или подозрения на онкологический процесс в результатах гистологического исследования) женщине рекомендуется консультация гинеколога- онколога с последующим хирургическим или медикаментозным лечением.
Осложнения гиперплазии
При отсутствии должного и адекватного лечения гиперплазия эндометрия приводит к тяжелой анемии с значительным снижением уровня гемоглобина, появлению слабости, повышенной усталости, сонливости, что связано с большими потерями крови во время менструации. У молодых женщин гиперплазия эндометрия может быть причиной бесплодия и невынашивания беременности. Отдельные формы гиперплазии эндометрия (железистая и кистозная гиперплазии эндометрия) являются предраковым состоянием и в случае длительного наблюдения, при отсутствии лечения, могут переродиться в рак матки.
Профилактические мероприятия при данном заболевании необходимы для того, чтобы снизить риск развития рака эндометрия и предотвратить рецидив гиперплазии.
- 1. Своевременное лечение воспалительных заболевании органов малого таза до перехода их в хроническую форму.
- 2. При наличии диагноза гиперплазия эндометрия диспансерное наблюдение врача-гинеколога 2 раза в год в течение 3 лет.
- 3. Ежегодный осмотр гинеколога, УЗИ малого таза всем женщинам вне зависимости от возраста.
- 4. Наблюдение у врача –терапевта. эндокринолога при наличии факторов риска развития гиперплазии эндометрия.
- 5. Регулярные физические нагрузки, соблюдение диеты с низким содержанием легкоусваиваемых углеводов.
Гиперплазия эндометрия. Часто задаваемые вопросы
1. Что это такое? Доброкачественный процесс, который характеризуется чрезмерным разрастанием внутреннего слоя матки.
2. Из-за чего она возникает? Из-за постоянного воздействия полового гормона эстрогена на эндометрий, который вызывает его чрезмерное разрастание. Гиперэстрогения возникает из-за нарушения центральной регулиции менструального цикла, гормонопродуцирующих опухолей яичников, неправильного использования гормональных препаратов, дефицита прогестерона (гормон II фазы менструального цикла), обладающего антипролиферативным действием, так же в результате ановуляторных циклов.
3. Это распространенное заболевание? Частота встречаемости в структуре гинекологической заболеваемости 15-50%. По данным обращаемости пациенток частота встречаемости ГПЭ- 30%. В позднем репродуктивном возрасте и в перименопаузе встречается с частотой- 50%
4. Это заболевание очень опасно? Пристального внимания врачей заслуживают:
- атипическая гиперплазия эндометрия в любом возрасте;
- атипические полипы эндометрия в любом возрасте;
- железистая гиперплазия эндометрия не поддающаяся гормонотерапии;
- рецидивирующая железистая гиперплазия эндометрия, особенно в пре- и постменопаузальном периоде.
При отсутствии должного лечения гиперплазия эндометрия может приводить к серьезным маточным кровотечениям, со снижением гемоглобина крови и вытекающими отсюда последствиями.
5. Возможно ли забеременеть на фоне гиперплазии эндометрия? Ответ – нет. Гиперплазия эндометрия не возникает спонтанно, это следствие нарушений в репродуктивной системе женщины. Нарушение баланса между звеньями регуляции менструального цикла вызывает избыток эстрогенов в организме женщины, нехватку прогестерона, вследствие этого отсутствие овуляции (выхода яйцеклетки из фолликула для оплодотворения). Так же сам эндометрий структурно изменен, поэтому является неблагоприятным для имплантации (прикрепление плодного яйца к стенке матки).
6. Часто ли гиперплазия озлокачествляется? У 3% женщин с гиперплазией эндометрия без атипии развивается рак эндометрия. У 25-33% женщин с атипической гиперплазией (по соскобу эндометрия) диагностируется рак эндометрия после гистерэктомии в течение последующего года. Поэтому обязательно комплексное лечение гиперплазии эндометрия - это проведение гистероскопии с последующим гормональным лечением. Гормональная терапия подбирается индивидуально, в зависимости от результатов гистологического исследования, периода жизни женщины (репродуктивный возраст, перименопауза, менопауза), репродуктивных планов пациентки. В некоторых клинических случаях требуется расширение объема оперативного вмешательства.
7. Как диагностировать атипическую гиперплазию эндометрия? Большую информацию врач получает при опросе пациентки во время общения (возраст менархе или время наступления менопаузы, все особенности менструального цикла- его длительность, характер выделений и т.д.).
УЗ-исследование в зависимости от периода жизни женщины, а также фазы менструального цикла может дать информацию о состоянии эндометрия. По этим данным можно заподозрить проблему, однако подтвердить или опровергнуть атипию в клетках эндометрия нельзя. Только проведение гистероскопии с последующим гистологическим исследованием материала является золотым стандартом для диагностики этого состояния. Информативность метода более 90%.
8. Обязательно ли проводить выскабливание эндометрия при гиперплазии? Раздельное выскабливание цервикального канала и полости матки несет за собой лечебный и диагностический характер. Механическое удаление измененной патогенной ткани из полости матки предотвращает маточное кровотечение, что составляет лечебный эффект. Полученный соскоб отправляется на гистологическое исследование, после которого будет дано заключение о характере ткани, наличии или отсутствии признаков злокачественного поражения.
9. Возможен ли рецидив гиперплазии эндометрия? Да, возможен. Так как причиной гиперплазии эндометрия является нарушение гормонального баланса в организме женщины, то требуется обследование её гормонального фона. Для профилактики рецидива необходимо соответствующее лечение и исключение факторов риска.
Оформите заявку на сайте, мы свяжемся с вами в ближайшее время и ответим на все интересующие вопросы.
Полипы матки
Полипы матки – очаговая гиперплазия эндометрия, характеризующаяся патологическим разрастанием слизистой полости матки в виде одиночных или множественных новообразований на широком основании или ножке. Полипы матки проявляются маточными кровотечениями, периодическими болями, бесплодием. Полипы матки диагностируются в ходе комплексного гинекологического обследования – осмотра, УЗИ, гистероскопии, гистологического исследования. Лечение полипов матки хирургическое, включающее полипэктомию и кюретаж полости матки, иногда – надвлагалищную ампутацию или экстирпацию матки.

Общие сведения
Полипы матки, или полипы эндометрия, являются локальными доброкачественными выростами из базального слоя эндометриоидных клеток, возвышающимися над слизистой матки в виде отдельных бугорков. Величина полипов матки варьирует в широких пределах - от нескольких миллиметров (величины кунжутного семечка) до нескольких сантиметров (мячика для гольфа). Полипы эндометрия могут быть как одиночными, так и множественными, связанными со стенкой матки тонкой ножкой или широким основанием. В случае множественных полипов эндометрия говорят о полипозе матки.
Обычно эндометриоидные полипы не распространяются за полость матки, но в редких случаях могут прорастать через цервикальный канал во влагалище. Полипы матки выявляются у пациенток различных возрастных групп – молодых девушек, женщин среднего и климактерического возраста; частота патологии колеблется от 6 до 20%. Полипы эндометрия нередко сочетаются с полипами цервикального канала. Полипы матки в гинекологии расцениваются как предраковое состояние и подлежат обязательному удалению.
Классификация полипов матки
Структура полипа матки представлена тремя основными компонентами: эндометриальными железами, эндометриальной стромой и центральным сосудистым каналом. Поверхность полипа покрыта эпителием, ножка включает фиброзную строму и толстостенные сосуды. Полипы матки могут изъязвляться, инфицироваться, некротизироваться, подвергаться клеточной метаплазии.
По морфологической структуре принято выделять полипы матки железистого, железисто-фиброзного, фиброзного и аденоматозного типа. Полипы матки железистого типа образованы тканью эндометрия, содержащей железы; чаще развиваются в молодом возрасте. Железисто-фиброзные полипозные образования микроскопически представлены железами эндометрия и соединительной тканью (стромой); встречаются у женщин зрелого возраста. Полипы матки фиброзного типа образованы преимущественно плотной соединительной тканью, в которой присутствуют единичные железы; такие полипы обычно диагностируются у женщин старше 40 лет. Аденоматозные полипы матки состоят из железистого эпителия с признаками пролиферации, структурной перестройки желез; имеют предпосылки к переходу в рак эндометрия, поэтому требуют к себе повышенного внимания.
Среди полипов матки отдельно различают плацентарные полипы, формирующиеся из фрагментов неудаленной полностью плаценты вследствие осложненного аборта, родов, самопроизвольного прерывания беременности, замершей беременности. Плацентарные полипы матки проявляются длительными, обильными кровотечениями, что в дальнейшем может привести к инфицированию и бесплодию.
Причины развития полипов матки
В генезисе полипов матки главная роль отводится нейрогормональному влиянию и воспалительным изменениям эндометрия. Полипы матки, как правило, развиваются на фоне гормональной дисфункции яичников и гиперэстрогении, которые сопровождаются очаговой гиперплазией эндометрия в виде полиповидных разрастаний слизистой. Наряду с полипами матки у таких пациенток могут встречаться и другие заболевания, обусловленные эстрогенией, - железистая гиперплазия эндометрия, фиброма матки, аденомиоз, мастопатия, поликистозные яичники и т. д.
Возникновению полипов матки способствуют хронические половые инфекции и женские воспалительные заболевания (эндометрит, аднексит, оофорит), травматизация матки хирургическими абортами, выскабливаниями эндометрия, длительным ношением ВМС. К группе риска по развитию полипов эндометрия относятся женщины с артериальной гипертензией, ожирением, болезнями щитовидной железы, сахарным диабетом, иммунными нарушениями, нервно-психическими травмами.
Симптомы полипов матки
Независимо от строения полипов матки, все они вызывают сходную симптоматику. После периода бессимптомного течения возникают дисфункциональные маточные кровотечения, которые могут носить циклический или ациклический характер. При полипах матки отмечаются меноррагии – обильные месячные, сукровичные предменструальные выделения, мажущие кровяные выделения вне менструации и после полового акта, метроррагии, кровотечения в менопаузе. Постоянные кровопотери часто приводят к значительной анемизации, сопровождающейся бледностью кожных покровов, головокружением, слабостью.
Для полипов матки больших размеров типично появление патологических слизистых белей, схваткообразных болей внизу живота, дискомфорта и болей во время полового акта. У женщин репродуктивного возраста полипы эндометрия часто вызывают бесплодие, у беременных - увеличивают риски выкидыша и преждевременных родов.
Симптомы полипов матки сходны с проявлениями эндометриоза, миомы матки, угрозы выкидыша, поэтому требуют профессионального обследования у гинеколога.
Диагностика полипов матки
Обследование по поводу полипов матки включает сбор гинекологического и репродуктивного анамнеза, проведение влагалищного осмотра, УЗИ малого таза, гистероскопии и метрографии, раздельного диагностического выскабливания с гистологическим исследованием эндометрия.
При гинекологическом осмотре в зеркалах можно обнаружить полипы шейки матки, в то время как полипы эндометрия обычно недоступны визуализации и пальпации. При проведении УЗИ малого таза обращает внимание наличие расширенной полости матки, утолщенного эндометрия с четкими разрастаниями слизистой однородной структуры.
Стандартом обследования при полипах матки является проведение гистероскопии – осмотра полости матки гибким прибором с видеокамерой, введенным через цервикальный канал. При этом визуально в полости матки определяются одиночные или множественные, округлые или продолговатые образования, цвет которых может быть бледно-розовым, желтоватым или темно-багровым. С помощью гистероскопии определяется количество, размеры, месторасположение полипов, а также производится их одномоментное удаление под визуальным контролем с последующей морфологической верификации диагноза.
Для получения образцов тканей также проводится диагностическое выскабливание эндометрия. В процессе метрографии – рентгенографии полости матки с контрастным веществом выявляются неровные очертания полости матки и наличие в них полиповидных выростов. Перед планированием трансцервикального удаления полипов матки требуется обследование женщины на инфекции (микоплазмоз, хламидиоз, гонорею, трихомониаз, кандидоз), бактериологическое, онкоцитологическое и микроскопическое исследование мазков из половых путей.
Оптимальным методом лечения полипов матки служит эндоскопическая полипэктомия - удаление образований в ходе гистероскопии с последующим выскабливанием эндометрия. Полипы на ножке удаляют с помощью «откручивания», ложе полипа прижигают электрокоагуляцией или криогенным методом для исключения рецидивов. После полипэктомии и выскабливания на 3-4 сутки проводится контрольное гинекологическое УЗИ.
После гистерорезектоскопии полипов матки в течение 10 дней могут отмечаться кровянистые мажущие выделения из половых путей, спазматические боли. Для профилактики инфекции на этот период ограничивается сексуальная активность. Дальнейшая лечебная тактика определяется гистотипом полипа матки, возрастом пациентки и имеющимися нарушениями менструального цикла.
При фиброзной структуре полипа матки и отсутствии менструальной дисфункции лечение ограничивается полипэктомией с кюретажем матки. Железистые или железисто-фиброзные полипы матки после их удаления в любом возрасте требуют дополнительного гормонального лечения. Для нормализации гормональных процессов производится подбор оральной контрацепции (КОК - этинилэстрадиол в комбинации с диеногестом или дезогестрелом), установка гормонального внутриматочного средства «Мирена», лечение гестагенами (прогестерон, норэтистерон, дидрогестерон).
В случае выявления аденоматозных полипов матки требуется более радикальное лечение. Женщинам пременопаузального и постменопаузального возраста производится удаление матки – надвлагалищная ампутация или гистерэктомия. При онконастороженности или наличии эндокринных нарушений показано выполнение пангистерэктомии - удаления матки с аднексэктомией.
Прогноз и профилактика полипов матки
Особенностью течения полипов матки служит их наклонность к рецидивам. Рецидивирующие полипы матки в 1,5% случаев подвержены злокачественному превращению; наибольший риск развития рака эндометрия сопряжен с аденоматозными полипами. Поэтому после окончания лечения по поводу полипов матки пациентки остаются под наблюдением гинеколога. При отсутствии лечения полипов матки развивается анемия, бесплодие. Наличие полипов эндометрия повышает вероятность выкидыша и требует учета этого фактора во время ведения беременности.
Профилактика полипов эндометрия состоит в своевременном и тщательном пролечивании воспалительных заболеваний матки и придатков, коррекции дисфункции яичников, осторожном проведении внутриматочных манипуляций.
Железистая гиперплазия эндометрия
Железистая гиперплазия эндометрия – избыточное разрастание железистой ткани эндометрия, характеризующееся его утолщением и увеличением объема. Железистая гиперплазия эндометрия проявляется обильными менструациями, дисфункциональными ановуляторными кровотечениями, анемией, бесплодием. Для определения гиперпластической трансформации эндометрия проводится УЗИ, гистероскопия, Эхо-ГСГ, биопсия эндометрия, гормональные исследования. Лечение железистой гиперплазии эндометрия включает выскабливание полости матки, гормонотерапию, при необходимости – резекцию или абляцию эндометрия.
МКБ-10

В основе железистой гиперплазии эндометрия лежат чрезмерно активные пролиферативные процессы в железистой ткани матки. Основной опасностью гиперпластических изменений эндометрия служит возможность их прогрессирования и злокачественной трансформации. Поэтому важность диагностики и лечения железистой гиперплазии эндометрия диктуется актуальностью сохранения репродуктивного потенциала женщины и профилактики рака эндометрия. Диагноз железистой гиперплазии может быть поставлен только по результатам гистологического исследования образцов эндометрия.

Причины развития железистой гиперплазии эндометрия
Гиперпластическая трансформация эндометрия может возникать у женщин любого возраста при наличии факторов риска, но чаще встречается в переходные периоды, связанные с гормональными изменениями в организме (у подростков и пациенток пременопаузального возраста).
Фоновыми генитальными процессами, сопутствующими развитию железистой гиперплазии эндометрия, являются миома матки, синдром поликистозных яичников, эндометриоз, эндометриты. Развитию железистой гиперплазии эндометрия нередко предшествуют гинекологические операции, диагностические выскабливания эндометрия, аборты. Факторами риска гиперпластических процессов матки служит отсутствие в анамнезе у женщины родов, отказ от использования гормональной контрацепции, искусственное прерывание беременности, поздняя менопауза.
К экстрагенитальным сопутствующим заболеваниям относятся сахарный диабет, мастопатия, гипертония, ожирение, заболевания щитовидной железы, печени и надпочечников. Ведущим моментом возникновения железистой гиперплазии эндометрия служит гиперэстрогения или длительное воздействие эстрогенов при снижении сдерживающего влияния прогестерона.
Классификация гиперплазии эндометрия
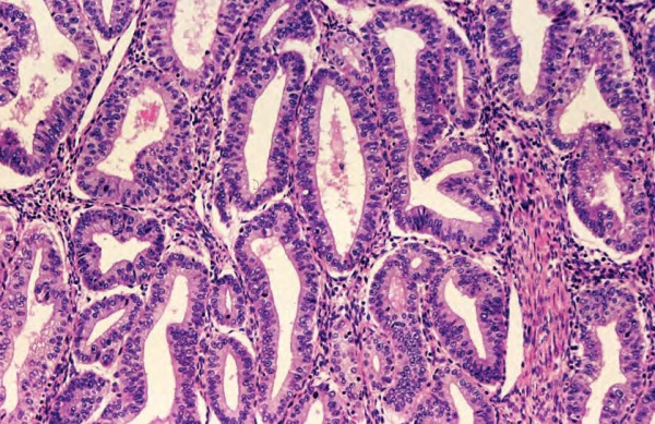
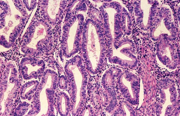
По гистологическому варианту выделяют несколько видов гиперплазии эндометрия: железистую, железисто-кистозную, атипическую (аденоматоз) и очаговую (полипы эндометрия). Железистая гиперплазия эндометрия характеризуется исчезновением разделения эндометрия на функциональный и базальный слои. Граница между миометрием и эндометрием выражена четко, отмечается увеличенное количество желез, но их расположение неравномерно, а форма неодинакова. При железисто-кистозной форме гиперплазии часть желез приобретает кистозно-измененный вид.
Для аденоматоза (атипической гиперплазии) свойственны структурная перестройка и более интенсивная пролиферация элементов по сравнению с железистой гиперплазией эндометрия, полиморфизм ядер, уменьшение числа стромальных элементов. При локальной гиперплазии отмечается разрастание железистого и покровного эпителия вместе с подлежащими тканями, ведущее к образованию эндометриальных полипов (железистых, фиброзных, железисто-фиброзных).
Наибольшую онконастороженность в гинекологии вызывают атипическая и полипозная гиперплазия, которые расцениваются как предраковое состояние. Угроза перехода аденоматоза в рак эндометрия составляет около 10%. Железистая и железисто-кистозная гиперплазия эндометрия менее склонны к озлокачествлению. Такая вероятность возрастает при их рецидивирующем течении после выскабливания эндометрия и неадекватности гормонотерапии.
Симптомы железистой гиперплазии эндометрия
Характерным симптомом железистой гиперплазии эндометрия является расстройство менструальной функции, выражающееся патологическими маточными кровотечениями. Среди форм менструальной дисфункции встречаются меноррагии (циклические кровотечения, превышающие обычные месячные по кровопотере и длительности) и метроррагии (ациклические кровотечения различной продолжительности и обильности).
Кровотечения при железистой гиперплазии эндометрия возникают после незначительной задержки менструации или в межменструальный период. Для ювенильных кровотечений, возникающих при железистой гиперплазии эндометрия у подростков, характерен прорывной характер с выделением сгустков. Длительные и обильные кровотечения со временем способствуют развитию анемии, слабости, недомогания, головокружения. Ановуляторный цикл, отмечающийся при железистой гиперплазии эндометрия, сопровождается бесплодием.
Диагностика железистой гиперплазии эндометрия
Поскольку проявления железистой гиперплазии эндометрия не являются специфичными только для данной патологии, вопросы полноценной и точной диагностики приобретают особую важность. При изучении анамнеза гинеколог расспрашивает о наследственности, особенностях течения менструального цикла, состоянии детородной функции, используемых методах контрацепции, перенесенных общих и гинекологических заболеваниях.
Кроме общего гинекологического осмотра, диагностика железистой гиперплазии эндометрия включает трансвагинальное УЗИ, в процессе которого определяется толщина эндометрия, наличие полипозных разрастаний. При помощи УЗИ-скрининга выявляется контингент женщин, нуждающихся в гистологическом подтверждении диагноза железистой гиперплазии эндометрия с помощью проведения аспирационной биопсии эндометрия либо раздельного диагностического выскабливания.
Диагностическое выскабливание выполняется накануне ожидаемой менструации или сразу после ее начала под контролем гистероскопии. Гистероскопия обеспечивает проведение адекватного кюретажа и полное удаление патологически измененного эндометрия. Соскобы эндометрия подвергаются гистологическому исследованию, позволяющему определить тип гиперплазии и установить морфологический диагноз. При железистой гиперплазии эндометрия информативность диагностической гистероскопии составляет 94,5%, тогда как трансвагинального УЗИ - 68,6%.
При железистой гиперплазии эндометрия у пациентки исследуются уровень прогестерона и эстрогенов, при необходимости – гормоны надпочечников и щитовидной железы. Вспомогательную диагностическую роль играют гистерография или радиоизотопное сканирование. Дифференциальную диагностику при кровотечениях, вызванных железистой гиперплазией эндометрия, проводят с внематочной беременностью, трофобластической болезнью, полипами или эрозией шейки матки, раком тела матки, миомой матки.
Лечение железистой гиперплазии эндометрия
Процедура раздельного диагностического выскабливания полости матки служит первым этапом лечения железистой гиперплазии эндометрия. В дальнейшем с учетом результатов гистологии подбирается схема гормонотерапии, направленная на подавление дальнейшей пролиферации эндометрия и устранение гормонального дисбаланса.
При железистой форме гиперплазии эндометрия могут назначаться КОК (Ярина, Жанин, Регулон), гестагены (Утрожестан, Дюфастон) на 3-6 месяцев. С успехом в лечении железистой гиперплазии эндометрия применяется гестагенсодержащая внутриматочная система «Мирена», оказывающая местное лечебное воздействие на эндометрий. Использование агонистов гонадотропин рилизинг-гормона (аГнРГ) эффективно у женщин старше 35 лет и перименопаузального периода. Данные препараты вызывают временное обратимое состояние искусственного климакса и аменореи.
Параллельно с гормональным лечением проводится витаминотерапия, коррекция анемии, иглорефлексотерапия, физиотерапия (электрофорез). Контрольное УЗИ в процессе терапии выполняется через три и шесть месяцев лечения; повторная биопсия эндометрия – по окончании курса. В целях стимуляции овуляторного цикла в дальнейшем применяются стимуляторы овуляции.
В случае рецидива железистой гиперплазии эндометрия на фоне гормонотерапии у пациенток, заинтересованных в деторождении, могут выполняться абляция или резекция эндометрия с помощью лазерных и электрохирургических методики под гистероскопическим контролем. При железистой гиперплазии эндометрии, осложненной эндометриозом, миомой матки, а также в период климакса методом выбора может являться удаление матки: надвлагалищная ампутация, гистерэктомия или пангистерэктомия.
Профилактика железистой гиперплазии эндометрия
После завершения курса лечения железистой гиперплазии эндометрия особую значимость приобретает вопрос предупреждения ее рецидива и рака эндометрия. В этих целях рекомендуется регулярные осмотры гинеколога, консультация гинеколога-эндокринолога и подбор контрацепции, профессиональная подготовка и ведение беременности у пациенток. От самой женщины, своевременности ее обращения к специалисту и выполнения предписаний врача, в значительной мере зависит прогноз железистой гиперплазии эндометрия.
Атипическая гиперплазия эндометрия
Атипическая гиперплазия эндометрия – это патологическое разрастание внутреннего слоя матки с появлением атипических клеток. Провоцируется избытком эстрогенов и недостатком прогестерона. Рассматривается, как предраковое заболевание. Может развиваться в любом возрасте, однако чаще выявляется после 45 лет. Сопровождается нарушениями менструального цикла и маточными кровотечениями (меноррагиями, метроррагиями). Диагноз устанавливается на основании жалоб, анамнеза и данных дополнительных исследований. Лечение – гормонотерапия, выскабливание или абляция слизистой оболочки.



Атипическая гиперплазия эндометрия – усиленная пролиферация эндометрия, сопровождающаяся изменением морфологии клеток. Данные о распространенности отсутствуют. Патология чаще выявляется у женщин в возрасте 45-55 лет. Длительная повторяющаяся гиперплазия в период климакса и менопаузы рассматривается как предраковое заболевание. Вероятность злокачественного перерождения в зависимости от формы болезни колеблется от 8 до 29%. Атипическая гиперплазия эндометрия нередко сочетается с другими заболеваниями репродуктивной системы. Тактика лечения определяется в зависимости от возраста больной, ее желания иметь детей, наличия или отсутствия сопутствующей генитальной и экстрагенитальной патологии. Лечение осуществляют специалисты в области клинической гинекологии и онкологии.
Причины
Развитие данного заболевания обусловлено увеличением уровня эстрогенов, уменьшением уровня прогестерона и наличием или отсутствием овуляции. Эстрогены и прогестерон участвуют в регуляции циклических изменений эндометрия. В первой фазе менструального цикла эстрогены обеспечивают пролиферацию клеток. Во второй фазе прогестерон подавляет пролиферацию и стимулирует секрецию. При отсутствии овуляции, относительной или абсолютной гиперэстрогенемии фаза секреции либо не наступает, либо проявляется недостаточно ярко. Клетки функционального слоя эндометрия продолжают разрастаться, возникает гиперплазия.
Факторы риска
Предрасполагающими факторами развития атипической гиперплазии эндометрия являются:
- возрастные изменения уровня половых гормонов;
- раннее начало менструаций;
- позднее начало климакса;
- заболевания и состояния, сопровождающиеся ановуляцией и нарушением функции яичников (синдром поликистозных яичников, гормонпродуцирующие опухоли яичников);
- соматические патологии: ожирение, гипертоническая болезнь, сахарный диабет и другие болезни эндокринной системы;
- воспалительные заболевания и врожденные аномалии репродуктивной системы;
- множественные аборты и диагностические выскабливания;
- наследственная предрасположенность;
- прием эстрогенсодержащих препаратов и тамоксифена.

Патогенез
Атипическая гиперплазия эндометрия характеризуется патологическим разрастанием функционального слоя слизистой оболочки матки, при этом железистая ткань эпителия подвергается более выраженным изменениям по сравнению с элементами стромы. В процессе гистологического исследования выявляется увеличение количества желез и отек стромы. Железы располагаются близко друг к другу. Сосуды расположены неравномерно. Клетки эпителия с гиперхромными ядрами. Определяются многочисленные патологические митозы.
В зависимости от особенностей расположения железистых клеток различают две формы атипической гиперплазии эндометрия: простую и аденоматозную. При простой форме наблюдается увеличение количества и избыточное разрастание клеток без изменения структуры слизистой оболочки. При аденоматозной форме из железистых клеток формируются особые структуры, отсутствующие в эндометрии здоровой матки. Эти структуры могут быть расположены на всем протяжении эндометрия (диффузная форма) или образовывать отдельные очаги (очаговая форма). Кроме того, участки аденоматозной гиперплазии могут обнаруживаться в области полипов матки.
Симптомы
Основным симптомом данного заболевания являются маточные кровотечения. У большинства пациенток такие кровотечения возникают на фоне задержки менструации сроком на 1-3 месяца. Реже (как правило, при отсутствии ожирения и явной эндокринной патологии) наблюдаются регулярные циклы при продолжительности меноррагии более 7 дней. Примерно у четверти больных с атипической гиперплазией эндометрия выявляются ановуляторные маточные кровотечения. В 5-10% случаев диагностируются метроррагии. Возможны скудные кровянистые выделения в середине менструального цикла либо при отсутствии менструаций.
Диагностика
Диагноз устанавливают на основании жалоб, данных анамнеза и результатов инструментальных исследований. В ходе опроса гинеколог выясняет возраст менархе, устанавливает длительность цикла, продолжительность и обильность менструаций, уточняет, были ли задержки цикла и кровянистые выделения. Затем врач осуществляет гинекологический осмотр и назначает на трансвагинальное УЗИ для оценки состояния эндометрия (его структуры, толщины, однородности) и выявления патологических изменений яичников (признаков опухоли, кисты или СПЯ).
Точность диагностики гиперпластических процессов при проведении УЗИ составляет 60-70%, однако подтвердить или опровергнуть атипию эндометрия с помощью ультразвукового исследования обычно не удается. Больную направляют на УЗИ на 5-7 день цикла. При длительных кровотечениях УЗИ назначают вне зависимости от фазы цикла. В норме в детородном возрасте толщина слизистой оболочки матки составляет не более 7 мм, при постменопаузе длительностью менее 5 лет – не более 5 мм, при постменопаузе длительностью более 5 лет – не более 4 мм. Увеличение толщины, неоднородность структуры и наличие эхогенных включений позволяют заподозрить гиперплазию эндометрия.
В ряде случаев после УЗИ осуществляют аспирационную биопсию с последующим гистологическим или цитологическим исследованием аспирата. Эта процедура относится к категории скрининг-тестов и выполняется в амбулаторных условиях. Однако золотым стандартом диагностики атипической гиперплазии эндометрия является гистероскопия и раздельное диагностическое выскабливание. Информативность исследования составляет более 90%.
При подозрении на СПЯ и метаболический синдром назначают анализы крови для определения уровня прогестерона, тестостерона, эстрадиола, ЛГ, ФСГ, гормонов надпочечников и щитовидной железы. Выполняют маммографию. При частых рецидивах проводят лапароскопию с биопсией или клиновидной резекцией яичников и последующим гистологическим исследованием материала.
Атипическую гиперплазию эндометрия дифференцируют с другими заболеваниями, провоцирующими маточные кровотечения:
- аденомиозом;
- полипозом;
- подслизистой фибромой матки;
- злокачественными опухолями слизистой оболочки матки (аденокарциномой, раком тела матки).

Лечение атипической гиперплазии эндометрия
Лечение данной патологии может быть как консервативным, так и оперативным, проводиться амбулаторно или в условиях стационара. Показанием к плановой госпитализации в репродуктивном возрасте являются кровотечения и кровянистые выделения, в постменопаузе – кровотечения, продолжительные водянистые или гнойные выделения. Экстренная госпитализация показана при обильных кровотечениях. Тактика лечения атипической гиперплазии эндометрия определяется с учетом возраста больной, ее желания иметь детей, наличия соматических заболеваний и болезней репродуктивной системы (особенно – аденомиоза или миомы), формы атипической гиперплазии эндометрия и количества рецидивов.
- Остановка кровотечения. При наличии метроррагии или меноррагии на первом этапе проводят мероприятия по остановке кровотечения и восполнению кровопотери. Выполняют выскабливание эндометрия, назначают окситоцин и холод на низ живота. Применяют препараты железа. При необходимости переливают кровь и кровезаменители. Осуществляют инфузионную терапию с использованием изотонического раствора, раствора глюкозы, желатиноля или декстрана для восстановления водно-электролитного баланса и улучшения реологических свойств крови.
- Фармакотерапия. Больным с атипической гиперплазией эндометрия в течение 3-6 месяцев проводят гормональную терапию, направленную на подавление пролиферации слизистой оболочки. В последующем назначают гормональные препараты для восстановления двухфазного менструального цикла или достижения стойкой менопаузы. Гормонотерапию осуществляют на фоне приема витаминов, гипосенсибилизирующих препаратов и гепатопротекторов.
- Хирургическое лечение. В качестве показаний к оперативному лечению рассматривают все случаи атипической гиперплазии эндометрия в постклимактерическом периоде, а также наличие противопоказаний к гормональной терапии, отсутствие эффекта от консервативной терапии и рецидивы заболевания у женщин репродуктивного возраста. Выполняют абаляцию эндометрия – малоинвазивное хирургическое вмешательство, целью которого является разрушение или удаление всей толщи слизистой оболочки. Операцию проводят гистероскопически с использованием высокочастотных токов.
Диспансерное наблюдение после консервативного лечения осуществляют в течение 5 лет, после хирургического вмешательства – в течение 6 месяцев.
Прогноз
Прогноз при атипической гиперплазии эндометрия зависит от возраста, склонности болезни к рецидивированию, наличия сопутствующей генитальной и экстрагенитальной патологии. Возможно полное выздоровление с сохранением репродуктивной функции, выздоровление с утратой репродуктивной функции или перерождение в злокачественную опухоль эндометрия. В последнем случае потребуется гистерэктомия или пангистерэктомия (удаление матки совместно с аднексэктомией). Прогностически неблагоприятными считаются сочетания атипической гиперплазии эндометрия с любыми обменными нарушениями и заболеваниями эндокринной системы, особенно – в возрасте старше 45 лет. Риск злокачественного перерождения при простой форме заболевания составляет 8%, при аденоматозной – 29%.
2. Лечение атипической гиперплазии эндометрия/ Е.Г. Новикова, О.В. Чулкова, С.М. Пронин// Практическая онкология. - 2004 - Т.5, №1.
3. Атипическая гиперплазия эндометрия (диагностика, клиника и лечение)/ Пушкарев В.А., Кулавский Е.В., Хуснутдинов Ш.М., Мустафина Г.Т.// Креативная хирургия и онкология. - 2010.
Читайте также:
