Поражения кишечника при злокачественных лимфомах. Лимфогранулематоз кишечника
Добавил пользователь Евгений Кузнецов Обновлено: 02.11.2025
Лимфома – это злокачественное заболевание, которое характеризуется поражением лимфатических узлов и внутренних органов, в которых скапливаются «опухолевые» лимфоциты.
Акции
Полное обследование на онкологические заболевания для мужчин и женщин.
Онкоконсилиум может потребоваться как при лечении в «СМ-Клиника», так и пациентам других медицинских учреждений с целью получения альтернативного мнения.
«СМ-Клиника» предоставляет своим пациентам предоперационное обследование со скидкой до 72%!
Консультация врача-хирурга по поводу операции бесплатно!
Содержание статьи:
Лимфома (lymphoma) – злокачественная опухоль клеток иммунитета.При ней лимфоциты увеличиваются до гигантских размеров, бесконтрольно делятся и поражают лимфатическую систему: лимфоузлы, костный мозг, вилочковую железу.
От других онкологических заболеваний лимфома отличается диссеминацией по всему организму: с током лимфы переродившиесязлокачественныеклетки попадают во внутренние органы и критически нарушают их работу. Болезнь долго течет бессимптомно, а когда начинает проявляться, то часто весь организм уже поражен.
Большинство лимфом характеризуется прогрессирующим течением и высокой злокачественностью с метастазированием. Тем не менее при раннем их выявлении благоприятный прогноз достигает ~90%.
Статистические данные о лимфомах:
- Ежегодно в России выявляют около 25 000 пациентов с раком данного типа – это 4% от всех онкобольных.
- Мужчины болеют чаще, чем женщины.
- Возрастной пик заболеваемости – 30-34 года и после 60 лет.
- В группе риска – больные с артритом двух и более суставов.
- Провоцирующий фактор – дефицит селена в организме.
- Есть предположение, что окрашивание волос чаще 1 раза в месяц темной краской увеличивают риск развития лимфомы на 26%.
- Считается что витамин Д обладает защитными свойствами против лимфомы.
- Благодаря современным методикам и препаратам за последние 10 лет смертность от лимфом в России снизилась на 27%.
Виды лимфом
Различают две основные группы заболевания – лимфому Ходжкина и неходжкинские лимфомы. Они развиваются из разного типа клеток, отличаются характером течения и по-разному реагируют на терапию.
Лимфома Ходжкина (ЛГМ) – лимфогранулематоз, злокачественная гранулема.ХарактеризуетсяпоражениемВ-лимфоцитов. Отличается агрессивным течением, при этом хорошо поддается лечению Источник:
И.И. Яковцова, В.Д. Садчиков, В.М. Садчикова, О.В. Долгая, С.В. Данилюк, А.Е. Олейник Лимфома Ходжкина: эволюция клинических классификаций // Вестник проблем биологии и медицины, 2013, №3, т.2 (103), с.62-69 .
Неходжкинские лимфомы (НХЛ)поражают не только В-, но и Т-лимфоциты. Всего выделено 30 подтипов.Большинство из них менее агрессивно, но и труднее лечится.
Классификация неходжкинских лимфом в соответствии с 4-й редакцией ВОЗ 2008 года:
- В-лимфобластная НХЛ;
- болезнь тяжелых цепей;
- В-клеточный пролимфоцитарный лейкоз;
- волосатоклеточный лейкоз;
- диффузная В-крупноклеточая НХЛ;
- лейкоз Беркитта;
- НХЛ из клеток мантийной зоны;
- лимфоплазмоцитарная НХЛ;
- медиастинальная диффузная В-крупноклеточая НХЛ;
- нодальная В-клеточная НХЛ маргинальной зоны;
- первичная экссудативная НХЛ;
- плазмоклеточная плазмоцитома/миелома;
- селезеночная НХЛ маргинальной зоны;
- фолликулярная НХЛ;
- хронический лимфолейкоз;
- экстранодальная В-клеточная НХЛ маргинальной зоны;
- Т-лимфобластная НХЛ;
- агрессивный NK-клеточный лейкоз;
- анапластическая крупноклеточная НХЛ с первичным поражением кожи;
- анапластическая крупноклеточная НХЛ с первичным системным поражением;
- ангиоиммунобластная Т-клеточная НХЛ;
- гепатолиенальная Т-клеточная НХЛ;
- грибовидный микоз Сезари;
- неуточненная периферическая Т-клеточная НХЛ;
- Т-клеточная панникулитоподобная НХЛ подкожной клетчатки;
- Т-клеточный лейкоз;
- Т-клеточный лейкоз из больших гранулярных лимфоцитов;
- Т-клеточный пролимфоцитарный лейкоз;
- экстранодальная NK/T-клеточная лимфома назального типа;
- энтеропатическая Т-клеточная НХЛ.
По характеру поражения и патогенезу все лимфомы делятся на 3 основные группы:
- агрессивные – для них характерно быстрое развитие с ярко выраженной симптоматикой;
- экстранодальные – первичное поражение формируется не в лимфатических узлах, а сразу во внутренних органах;
- индолентные – отличаются своим медленным и благоприятным течением; могут не требовать терапии, иногда достаточно регулярно наблюдаться у врача.
Для каждого вида лимфом существует особая схема лечения.
Стадии лимфом
В зависимости от распространенности опухоли определяют стадию патологического процесса. В соответствии с международной классификацией AnnArborвыделяют 4 стадии заболевания:
- На 1-й стадии в лимфомный процесс может быть вовлечена одна группа лимфатических узлов.
- На 2-й допускается вовлечение двух и более групп по одну сторону от диафрагмы.
- На 3-й стадии опускается поражение лимфатических узлов по обе стороны диафрагмы.
- На 4-й стадии в процесс вовлекаются внутренние органы – мозг, сердце, печень, селезенка, желудок, кишечник.
Каждую стадию дополнительно маркируют титрами А и Б. Титр А указывает на отсутствие ключевых симптомов – лихорадки, сильной ночной потливости и резкого снижения веса. Титр Б указывает, что такие проявления есть.
Причины возникновения лимфом
Единого причинного фактора развития заболевания не выделено. На данный момент ученые считают, что патпроцесс запускается комплексом причин. К ним относят:
- наследственную предрасположенность;
- регулярные контакты с токсинами и канцерогенами;
- вирус герпеса, гепатита, хеликобактер пилори и другие инфекционные заболевания;
- аутоиммунные и иммунодефицитные состояния;
- повторяющиеся пневмонии;
- иммуноподавляющую терапию после пересадки почек, стволовых леток и т. д.;
- операции по вставке грудных имплантатов (предположительно).
Симптомы
Помимо основных симптомов – лихорадки, сильной ночной потливости и резкого снижения веса – для патологии характерны:
- слабость и повышенная утомляемость;
- повышение температуры;
- потеря веса;
- увеличение лимфатических узлов (часто, но не всегда; при этом они безболезненны и не уменьшаются в результате лечения антибиотиками, как при инфекционных заболеваниях).
Иногда возможен кожный зуд. При поражениях опухолью грудной клетки возможны затрудненное дыхание, одышка и кашель. При локализации новообразования в брюшной полости наблюдают расстройства пищеварения, тошноту, рвоту, распирающие боли в животе и нижней части спины. При поражении костного мозга больные жалуются на боли в костях.Если в патологию вовлечены лицевые и черепные структуры, есть жалобы на головные боли и распирающие боли в лице и шее.
Диагностика лимфом
Диагноз ставят по результатам микроскопического исследования биоптата – образца лимфоидной ткани. По результатам дифференциальной биопсии определяют тип опухоли.
Чтобы выявить опухоли в разных частях тела, применяют методы лучевой диагностики: рентгенографию, сцинтиграфию, магниторезонансную, позитронно-эмиссионную и компьютерную томографию. При необходимости уточнить некоторые особенности патпроцесса назначают лабораторные анализы крови – иммуноферментотипирование методом проточной цитометрии, молекулярно-генетические и цитогенетические исследования Источник:
Wang HW, Balakrishna JP, Pittaluga S, Jaffe ES Diagnosis of Hodgkin lymphoma in the modern era // Br J Haematol. 2019 Jan;184(1):45-59. doi: 10.1111/bjh.15614. Epub 2018 Nov 8 .
Методы лечения
Наиболее распространенные методы лечения лимфом:
- лучевая терапия;
- химиотерапия;
- радиотерапия;
- биологическая терапия;
- трансплантация стволовых клеток;
- хирургическое вмешательство.
Они применяются как в виде отдельных курсов, так и в комплексе. Выбор лечебной схемы зависит от вида опухоли и общего состояния больного.
Лечебная тактика
Индолентные лимфомы могут не требовать лечения, а только наблюдения онкогематолога. Терапия показана при первых признаках прогрессирования патпроцесса. При локализованных опухолях достаточно радиотерапевтического облучения пораженных структур. При генерализованных формах показана химиотерапия.
При агрессивном течении заболевания одна из наиболее эффективных лечебных схем – химиотерапия по протоколу СНОР в сочетании с иммунотерапевтическимипрепаратами из группы моноклональных антител. При высокоагрессивных видах опухолей может быть назначена высокодозная химиотерапия в сочетании с трансплантацией кроветорных стволовых клеток.
Лечение отдельных типов лимфом
Основной метод лечения лимфомы Ходжкина ЛГМ– химиотерапия. Противоопухолевые цитотоксины назначают в разных лекарственных формах. Химиотерапия носит цикличный характер – медикаментозные курсы чередуются с периодами реабилитации Источник:
Sermer D, Pasqualucci L, Wendel HG, Melnick A, Younes A Emerging epigenetic-modulating therapies in lymphoma // Nat Rev Clin Oncol. 2019 Aug;16(8):494-507.doi: 10.1038/s41571-019-0190-8 .
Радиотерапия – излучение высокой мощности – в качестве самостоятельного лечения ЛГМ может быть оправдана в отдельных случаях – когда в процесс вовлечена одна, максимум две группы лимфатических узлов. Чаще ее назначают в комплексе с химиотерапией. На поздних стадиях заболевания метод показан в качестве паллиативного лечения.
Биологические препараты – моноклональные антитела – при лечении лимфомы применяют для активизации иммунной системы. Лучевую терапию проводят регионарно, в области вовлеченных в онкологический процесс лимфоузлов.
В некоторых случаях при лечении ЛГМ оправдано удаление селезенки. Если увеличенные лимфатические узлы сдавливают соседние органы,может быть показано их иссечение.
При рецидивах заболевания, а также с целью уничтожения раковых клеток, на которые не действуют стандартные дозировки лучевой и химиотерапии, назначают высокие терапевтические дозы, разрушающие вместе с опухолью ткани костного мозга. После такого курса показана трансплантация органа. Взятые заранее собственные либо донорские стволовые клетки формируют новую иммунную систему.
Хорошие результаты в лечении НХЛ демонстрирует также комбинация лучевой и химиотерапии. В некоторых случаях успешно применяют инновационную техникулюмбально-пункционного введения противоопухолевых антител.
НХЛ с агрессивным течением плохо поддаются лечению. Наиболее эффективный метод борьбы с этим заболеванием – пересадка костного мозга.
Прогнозы
Прогноз для пациентов с лимфомами зависит от стадии процесса, возраста и состояния больного, а также от результатов терапии. При лимфоме Ходжкина пациенты молодого возраста на ранних стадиях,как правило, полностью выздоравливают. У 8 из 10 удается добиться устойчивой ремиссии. Пятилетняя выживаемость при 1-й стадии составляет 95%, при 4-й – 65%.
При НХЛ селезенки, лимфоузлов и слизистых средняя пятилетняя выживаемость – порядка 70%. При НХЛ ЖКТ, слюнных желез, глазных орбит средняя пятилетняя выживаемость – около 60%. Менее благоприятный прогноз у агрессивных НХЛ молочных желез, яичников, ЦНС и костей – пятилетняя выживаемость в среднем меньше 30%.
Клинические рекомендации после лечения лимфом и профилактика
Избегайте факторов риска – интоксикаций и контакта с канцерогенами. Вакцинируйтесь, а если заболели инфекционной болезнью – не занимайтесь самолечением.
При первых признаках лимфомы обращайтесь к врачу. Ежегодно проходите профилактические медосмотры, придерживайтесь правильного питания и старайтесь вести здоровый образ жизни.
Источники:
Михайлов Алексей Геннадьевич оперирующий онколог, врач высшей квалификационной категории, к.м.н. стаж: 21 год
Информация в статье предоставлена в справочных целях и не заменяет консультации квалифицированного специалиста. Не занимайтесь самолечением! При первых признаках заболевания необходимо обратиться к врачу.
Лимфомы (лимфогранулематоз и неходжкинские лимфомы)
Информацию из данного раздела нельзя использовать для самодиагностики и самолечения. В случае боли или иного обострения заболевания диагностические исследования должен назначать только лечащий врач. Для постановки диагноза и правильного назначения лечения следует обращаться к Вашему лечащему врачу.
Лимфомы: причины появления, симптомы, диагностика и способы лечения.
Определение
Лимфомы представляют собой группу злокачественных опухолевых заболеваний лимфатической ткани, которая в нормальных условиях отвечает за иммунитет. Одним из первых клинических симптомов лимфом является увеличение лимфатических узлов разных локализаций.
Лимфомы, как и другие злокачественные опухоли, обладают склонностью к метастазированию, то есть миграции опухолевых клеток через кровь и лимфу, а также контактным путем в интактные (здоровые) ткани с последующим размножением в них.
Практически все виды лимфогранулематоза, или лимфомы Ходжкина, и около 65% неходжскинских лимфом проявляются безболезненным увеличением лимфатических узлов - 2 см и более. Однако диагноз того или иного вида лимфомы устанавливают исключительно на основании морфологического исследования биопсийного материала, взятого из опухоли.
Заболеваемость лимфомой Ходжкина в России составляет около 2 случаев на 100 тыс. населения в год, а неходжкинскими лимфомами – 5–7 случаев на 100 тыс.
Причины появления лимфом
Существует несколько возможных причин развития лимфом. Важно понимать, что в основе развития любого злокачественного заболевания, в том числе и лимфом, лежит нарушение функций клеток.
Способность к неконтролируемому росту опухоли возникает при нарушении естественного процесса деления клетки: в норме клетка делится ограниченное количество раз, созревает, выполняет определенную функцию, после чего заканчивает свою жизнь.
Для злокачественных клеток характерно нарушение процессов созревания и дифференцировки (процесса, в ходе которого клетка приобретает специфические особенности и способность выполнять определенные функции). У клеток появляются новые функции – они начинают продуцировать белки и токсины, возникает способность «ускользать от иммунного надзора», в результате чего меняется процесс естественной гибели клетки (апоптоза).
Некоторые вирусы могут напрямую влиять на ДНК лимфоцитов и способствовать их превращению в злокачественные клетки.
Лимфоциты делятся на два подвида: Т- и В-клетки (Т- и В-лимфоциты). Заражение Т-клеточным лимфотропным вирусом человека (HTLV-1) повышает риск возникновения у пациента определенных типов Т-клеточной лимфомы. Вирус передается половым путем и через кровь, а также от матери к ребенку через грудное молоко.
Вирусы, ослабляющие иммунологический надзор, косвенно являются причиной развития некоторых типов лимфом.
Некоторые инфекции могут стать причиной развития лимфомы из-за постоянной активации иммунной системы. При хронических инфекциях вырабатывается огромное количество лимфоцитов, что повышает вероятность возникновения мутаций во время деления клеток и ведет к риску формирования лимфомы. К подобным инфекциям относят Helicobacter pylori (часто встречается при хроническом гастрите и язвенной болезни желудка и двенадцатиперстной кишки), Chlamydophila psittaci (риск развития лимфомы в тканях глаза), вирусы гепатита В и С при длительном инфицировании.
К неинфекционным факторам риска развития лимфом относят:
- Воздействие химических веществ. Многочисленные исследования доказали, что влияние гербицидов, инсектицидов, бензола связано с повышенным риском развития лимфом.
- Наличие аутоиммунных заболеваний (ревматоидного артрита, системной красной волчанки и т.д.) является значимым фактором риска развития лимфом.
- Радиационное облучение оказывает большое влияние на скорость возникновения мутаций клеток и их озлокачествление.
- Генетические факторы. Наличие близкого родственника, страдающего лимфомой, значительно увеличивает риск.
- Врожденная недостаточность иммунитета при некоторых заболеваниях.
- Возраст. Некоторые типы лимфом развиваются у детей и подростков, а другие, напротив, у лиц старше 60 лет.
- Грудные импланты в редких случаях способствуют развитию одного из типов крупноклеточной лимфомы молочных желез.
Для лимфомы Ходжкина характерно наличие специфических клеток Рид–Березовского–Штернберга в пораженных лимфатических узлах, селезенке, печени или костном мозге.

Увеличенные шейные лимфоузлы у пациента с лимфомой Ходжкина
К группе неходжкинских лимфом относятся:
- фолликулярная лимфома;
- лимфома маргинальной зоны;
- диффузная крупноклеточная В-клеточная лимфома;
- лимфома из клеток мантии;
- лимфома Беркитта;
- первичная лимфома центральной нервной системы;
- нодальные Т-клеточные лимфомы;
- первичные кожные лимфомы;
- неходжкинские лимфомы у больных, инфицированных ВИЧ;
- неходжкинские лимфомы у больных, инфицированных вирусами гепатита В и С.
Самый ранний симптом – увеличение лимфатических узлов на фоне полного благополучия. Увеличенные лимфоузлы безболезненны.
Различные клинические проявления зависят от локализации опухоли: если происходит рост опухоли в лимфатических узлах грудной клетки, возможно сдавливание дыхательных путей и появление охриплости голоса, нарушение глотания, затруднение дыхания, навязчивый кашель.
При расположении лимфомы в средостении появляется синдром сдавления верхней полой вены: возникают головные боли, отек и расширение вен лица и шеи.
В некоторых случаях присутствуют только общие симптомы: потеря аппетита, снижение массы тела, повышение температуры тела, ночная потливость, слабость, иногда – кожный зуд и боль в увеличенных лимфоузлах.
На фоне снижения иммунитета могут присоединяться инфекционные заболевания - часто активируется вирус ветряной оспы, проявляющийся опоясывающим герпесом.
Описаны случаи поражения органов брюшной полости (проявляется увеличением объема живота за счет роста опухоли и скопления жидкости, появлением болей, желтухи, тошноты и рвоты) и костного мозга (боли в костях, спине, частые переломы, бледность, повышенная кровоточивость).
Диагностика лимфом
Диагноз того или иного вида лимфомы устанавливают исключительно на основании морфологического исследования биопсийного материала (кусочка или целого лимфоузла, полученного в ходе небольшой операции), взятого из опухоли (гистологические, цитогенетические и молекулярно-генетические методы исследования). Дополнительные исследования врач назначит для диагностики стадии заболевания и его осложнений. Список исследований зависит от предположительной локализации опухоли и может быть изменен.
- Клинический анализ крови.
Синонимы: Общий анализ крови, ОАК. Full blood count, FBC, Complete blood count (CBC) with differential white blood cell count (CBC with diff), Hemogram. Краткое описание исследования Клинический анализ крови: общий.
Лимфогранулематоз (лимфома Ходжкина)

«Лимфома Ходжкина — одно из первых онкозаболеваний, которое было успешно пролечено для большой группы больных во всем мире. Благодаря современной системе TomoTherapy®, установленной в нашей клинике, мы лечим даже самые тяжелые формы лимфомы Ходжкина со сложными локализациями. Облучение на нашем аппарате ведется одновременно для нескольких зон и нам удается выдерживать индивидуальную дозу для каждой из них».
Что такое лимфогранулематоз?
Лимфома Ходжкина (синонимы: лимфогрануломатоз, болезнь Ходжкина) — это опухолевое заболевание лимфатической системы. Патология составляет примерно 1% всех онкологических заболеваний, ежегодно регистрируемых в мире. Лимфогрануломатоз может проявиться в любом возрасте, однако отмечается два пика заболевания: первый приходится на возраст 20-29 лет, второй на 60 лет и старше.
Лимфогранулематоз — это заболевание, которое, как уже говорилось, поражает лимфатическую систему человека. Онколог может полностью подтвердить диагноз, если в новообразованиях будут присутствовать так называемые гигантские клетки Березовского-Штернберга-Рида, которые “сообщают” врачу об аномалии в нормальном функционировании тканей.
Болезнь Ходжкина — злокачественная опухоль, но рак это или нет? С медицинской точки зрения, данное новообразование не входит в группу раковых патологий, так как системность поражения не соответствует и терапия болезни достаточно простая. Мужчины подвержены развитию патологии больше, чем женщины. Опухолевые клетки Березовского-Штернберга-Рида могут обнаружить только специалисты в результате обследования пациента после сдачи биохимического анализа крови. Именно поэтому настолько важно обратиться в хороший медицинский центр.

Лимфогранулематоз — причины
Причины развития лимфомы до конца еще не выявлены. Установлено, что пациенты с иммунодефицитными состояниями гораздо чаще подвергаются заболеванию. В 40-60% случаев болезни Ходжкина у людей обнаруживается вирус Эпштейна-Барра. Основываясь на данном факте, рассматривается определенная роль вируса в развитии лимфомы.
Лимфомы — это не наследственное заболевание, заражение от человека к человеку не возможно. Также редко причиной лимфомы могут быть врожденные генетические дефекты. Этиология достоверно не понятна, но в медицине есть данные о повышенной заболеваемости среди жителей определенных регионов, что дает возможность сделать выводы о влиянии вирусов и внешних факторов на частоту заболеваемости среди населения.
Среди предрасполагающих факторов медики выделили следующие:
- Наследственность (если у кого-то из родственников были диагностированы патологии лимфоидной ткани, то велика вероятность развития данной патологии).
- Иммунодефицит с рождения или приобретенный в течение жизни.
- Аутоиммунные патологии, например, красная волчанка.
Отмечается тесная связь инфекционного мононуклеоза с развитием болезни Ходжкина. Тем не менее, эта патология развивается не у всех людей, у которых присутствует вирус в крови. Согласно проводимым исследованиям изолированное воздействие этого фактора определяет вероятность развития патологии только лишь в 0,1%. При этом вирус Эпштейна-Барра по статистике выявляется у 90 процентов населения планеты. В группу риска входят также люди с разного рода иммунодефицитными состояниями, например те, у кого диагностирована ВИЧ-инфекция.
Симптомы лимфогранулематоза
Симптомы патологии проявляются по-разному: заболевание начинает свое развитие в лимфоузлах, а дальнейший болезненный процесс может переходить практически на все органы, зачастую сопровождаясь различно выраженными интоксикационными проявлениями. Картину лимфогранулематоза определяет локализация опухоли, поражение того или иного органа.
Первый признак патологии — увеличение лимфоузлов. В 60-75% случаев онкопроцесс начинается в шейно-надключичных лимфоузлах, чаще поражается правая сторона. Обычно увеличение лимфоузлов не приводит к ухудшению самочувствия и человек не замечает никаких изменений. В 15-20% случаев изначально поражаются лимфоузлы средостения. Это может быть случайно обнаружено при рентгенологическом обследовании или когда увеличение лимфоузлов становится значительным. Во втором случае больные обращаются в лечебное учреждение с жалобами на кашель, одышку, отечность и синюшность лица, иногда — боли за грудиной.
В единичных случаях лимфогранулематоз начинается с поражения парааортальных лимфоузлов, у больного могут появиться боли в спине, усиливающиеся ночью. У 5-10% больных лимфогранулематоз начинается с лихорадки, похудания, ночных потов, а кожный зуд встречается у 20-25% больных. При дальнейшем развитии лимфогранулематоза возможно поражение всех лимфоидных и остальных систем, органов организма. Наиболее часто кроме лимфатических узлов лимфома Ходжкина поражает кости и легочную ткань. Вовлечение в процесс легких клинически может никак не проявляться, а вот при повреждении костей появляются боли. Наряду с локальной симптоматикой пациента серьезно мучают общие проявления (симптомы группы B):
- Лихорадочное состояние (высокая температура тела), которое не проходит более 7 дней.
- Сильнейшее отделение пота в период ночного сна.
- Не контролируемая потеря массы тела (более 10 процентов потери веса в течение полугода).
Симптомы «B» характеризуют наиболее серьезное протекание патологии и дают возможность определить надобность назначения интенсивного лечения. Среди прочей симптоматологии характерными для данного заболевания можно выделить:
- Состояние слабости, нет желания принимать какую-либо пищу, полный упадок сил.
- Кожные покровы сильно чешутся.
- Кашель, болевой синдром в грудной клетке, человеку трудно дышать.
- Болевой синдром в области брюшины, расстройство пищеварительной системы.
- Асцит.
- Болевой синдром в костной ткани.
- Увеличение лимфатических узлов.
В ряде случаев первые симптомы опасной патологии в течение долгого срока проявляются постоянным ощущением вялости и быстрой усталостью. Проблемы с дыханием развиваются, когда идет увеличение лимфоузлов внутри грудины. По мере разрастания узлов и продолжения поражения организма они начинают давить на трахею, провоцируют развитие кашля и прочих проблем с дыхательной системой. Эти симптомы становятся более ярко выраженными, когда человек лежит. Иногда человек может ощущать болевой синдром за грудой клеткой.
Важно понимать: как только развились первые симптомы лимфомы Ходжкина (желательно до того, как увеличились лимфатические узлы и пошло поражение внутренних органов), нужно посетить хороший медицинский центр, где врач проведет комплексную диагностику и подберет эффективный метод лечения.
Лимфома

Лимфома – онкологическое заболевание, при котором источником злокачественного опухолевого роста становится лимфоидная ткань. Диагностикой и лечением занимаются онкологи и онкогематологи.
Лимфома характеризуется неуклонно прогрессирующим течением, протекая в начале практически бессимптомно, с неспецифической неярко выраженной симптоматикой. Важно диагностировать любую из лимфом на ранней стадии патологического процесса – это облегчит лечение и улучшит прогноз. Именно поэтому при появлении нетипичных состояний следует обращаться за помощью к профессионалам – врачам сети медицинских центров «СМ-Клиника». Наши специалисты проверят диагноз и порекомендуют вам эффективную схему лечения лимфомы.
О заболевании
Пациентов, столкнувшихся впервые с данной патологией, несомненно, волнует вопрос, что же это за болезнь – лимфома. Этим термином обозначают целую группу опухолевых заболеваний, характеризующихся бесконтрольным ростом клеток лимфатической системы, увеличением числа патологически измененных лимфоцитов. Такие новообразования поражают лимфатические узлы, печень, селезенку и другие органы, особенно те, в которых имеется хотя бы небольшое количество лимфоидной ткани. На поздних стадиях страдают и органы, не имеющие прямого отношения к лимфосистеме, сдавливающиеся увеличенными лимфатическими узлами извне. Неспецифические признаки лимфомы нередко становятся причиной поздней диагностики, которая значительно ухудшает прогноз пациента к выздоровлению. Внимательное отношение к собственному здоровью и здоровью своих близких поможет вам вовремя обнаружить лимфому и начать столь необходимое лечение.
Виды лимфом
Согласно современной классификации, все лимфомы делятся на две группы:
- Лимфогранулематоз, или лимфома Ходжкина – злокачественное новообразование, при котором в лимфатических узлах обнаруживаются гигантские опухолевые клетки – клетки Березовского-Штернберга-Рида. Чаще источником становятся шейные или надключичные лимфоузлы.
- Неходжкинские лимфомы – объединяют в себе более 30 заболеваний, встречаются чаще (в 60% случаев данной патологии).
По тяжести течения различают 4 стадии лимфомы:
- I – злокачественными клетками поражены лимфоузлы одной области тела;
- II – патологический процесс затрагивает две и более групп лимфатических узлов выше или ниже диафрагмы;
- III – в онкопроцесс вовлечены лимфоузлы с обеих сторон диафрагмы (и выше, и ниже ее, например, шейные и паховые); также может быть поражена селезенка, участки тела вне лимфоузлов или иметь место сразу оба варианта;
- IV – определяется поражение лимфатических узлов разных частей организма, органов вне лимфатической системы.
Симптомы лимфомы
Проявления болезни зависят от места образования, типа лимфомы и других факторов. Наиболее характерный симптом – увеличение одного или нескольких лимфатических узлов, которое легко обнаружить путем пальпации или при визуальном осмотре. Увеличение внутригрудных лимфоузлов удается заподозрить по ряду косвенных признаков или с помощью дополнительных методов исследования. Ранние стадии болезни часто не имеют симптомов и обнаруживаются случайно во время плановых обследований.
Пациент, страдающий лимфомой, может обратить внимание на такие изменения в своем состоянии:
- увеличение поверхностных лимфатических узлов – они заметны визуально или прощупываются пальцами, эластичны, безболезненны;
- повышение температуры тела без видимых причин;
- постоянная усталость, слабость, быстрая утомляемость;
- головная боль, головокружение;
- повышенная потливость (особенно ночью);
- одышка, затруднение вдоха, ощущение неполного вдоха;
- необъяснимое похудение;
- чувство беспокойства, эмоциональная неустойчивость, нарушение сна;
- перепады настроения.
При активном распространении опухолевых лимфоцитов в организме пациенты чаще всего жалуются на лихорадку, ночную потливость, слабость и уменьшение массы тела. Если новообразование формируется в отдельном органе, возникают более специфические симптомы, характеризующиеся нарушением его функции, например, затруднения дыхания, проблемы с пищеварением, боли в животе.
Причины лимфомы
Точные причины возникновения лимфом неизвестны. Отдельные лимфоциты могут начать делиться бесконтрольно под влиянием внешних или внутренних неблагоприятных факторов – генетических мутаций или воздействия химических веществ. Ученые отмечают важную роль наследственности в развитии болезни.
Обнаружена связь между развитием лимфом и воздействием на организм следующих факторов риска:
- Инфекционные заболевания, влияющие на состояние иммунитета и лимфатическую систему – ВИЧ-инфекция, вирус Эпштейна-Барра и гепатит C. Предполагается, что бактерия Helicobacter pylori, вызывающая язвенную болезнь желудка, также может спровоцировать рост лимфомы.
- Особенности образа жизни человека: употребление избыточного количества красного мяса, курение, алкоголизм и чрезмерное воздействие солнечного света на кожу.
- Врожденные или приобретенные иммунодефициты. Пациенты, перенесшие пересадку костного мозга, имеют повышенный риск возникновения лимфомы.
- Химические вещества. Доказано, что ряд химикатов провоцирует опухолевое деление лимфоцитов. В первую очередь речь об инсектицидах, гербицидах и цитостатических препаратах.
- Аутоиммунные заболевания, при которых защитная система организма атакует здоровые ткани.
Только в редких случаях врачам удается уточнить причину возникновения болезни у конкретного пациента.
Получить консультацию
Если у Вас наблюдаются подобные симптомы, советуем записаться на прием к врачу. Своевременная консультация предупредит негативные последствия для вашего здоровья.
Узнать подробности о заболевании, цены на лечение и записаться на консультацию к специалисту Вы можете по телефону:

Почему «СМ-Клиника»?
Диагностика лимфомы в «СМ-Клиника»
В начале диагностического процесса врач расспрашивает пациента о жалобах и изучает данные анамнеза для выявления факторов риска болезни. Затем он проводит общий осмотр, во время которого ощупывает (пальпирует) лимфатические узлы и ищет другие внешние признаки заболевания. Точный диагноз может быть поставлен только после уточняющих лабораторных и инструментальных обследований.
Взрослым пациентам с признаками и симптомами лимфомы могут быть назначены:
- Анализ крови – общий (клеточный состав) и биохимический (печеночные и почечные ферменты, онкомаркеры, ПЦР-диагностика инфекций).
- Пункционная биопсия пораженных лимфатических узлов или иных тканей с последующим цито- и гистологическим исследованием полученного материала. Наиболее надежный и точный метод диагностики.
- Ультразвуковое обследование подкожных лимфатических узлов, печени, селезенки или других органов – в зависимости от локализации новообразований.
- Компьютерная или магнитно-резонансная томография. Высокоинформативные, надежные методы визуальной диагностики, результаты которых представляют качественные послойные изображения органов и тканей.
Результаты дополнительных методов исследования позволяют гематоонкологу верно оценить стадию заболевания, обнаружить вторичные новообразования в других органах, а на основании этих данных – назначить пациенту наиболее эффективную в его ситуации схему терапии.
Мнение эксперта
Как врач, часто сталкивающийся с лимфомами, могу сказать, что многие пациенты, обнаружив увеличенные лимфоузлы, не спешат к врачу. Сначала они занимаются самолечением – прикладывают к подкожным образованиям теплые компрессы или, напротив, лед, обрабатывают растворами антисептиков и используют иные методы народной медицины. Этого делать нельзя! Даже если причина увеличения лимфоузлов не лимфома, а инфекция, неправильные действия со стороны больного могут усугубить процесс, утяжелить течение болезни. А при лимфоме тепло, воздействующее на новообразование, приведет к ускоренному размножению злокачественных клеток и распространению их по организму с образованием удаленных очагов опухоли. Нельзя заниматься самолечением! Первым делом надо выяснить природу симптоматики, обратившись к грамотному врачу, и только потом начинать терапию.
Лечение
Схему лечения лимфомы врач подбирает в каждом случае индивидуально, в зависимости от конкретной клинической ситуации, тяжести состояния пациента. Задача лечебных мероприятий – уничтожить максимальное количество злокачественных клеток, достичь ремиссии. Гематоонкологи сети медицинских центров «СМ-Клиника» применяют в своей практике наиболее эффективные, современные лекарственные средства и постоянно следят за состоянием пациента путем регулярных осмотров его и проведения обследований.
Консервативное лечение
Пациенту с лимфомой в «СМ-Клиника» могут быть назначены такие варианты терапии:
- Химиотерапия – лечение с применением цитостатиков (лекарственных препаратов, уничтожающих злокачественные клетки и предотвращающих дальнейший рост опухоли). Пациент получает медикаменты внутривенно или внутрь. Химиотерапию проводят в несколько циклов и перерывами между ними, позволяющими организму человека восстановиться. Даже после достижения ремиссии курсы химиотерапии продолжаются, что позволяет достичь максимального результата. Во время лечения врач внимательно следит за состоянием пациента и при наличии побочных эффектов препаратов назначает корректирующую их терапию.
- Медикаментозное лечение. Иммунотерапия и препараты гормонов воздействуют на некоторые виды злокачественных лимфоцитов, угнетая их размножение и рост, уменьшая размер опухоли.
- Лучевая терапия – воздействие на пораженные ткани радиацией. Уменьшает размер новообразования и облегчает симптомы болезни. Как правило, применяется вместе с химиотерапией.
При неэффективности вышеуказанных методов консервативного лечения пациенту могут быть рекомендованы трансплантация костного мозга или введение стволовых клеток.
Хирургическое лечение
При локализации злокачественной опухоли в определенном органе пациенту проводят оперативное вмешательство. В большинстве случаев оно оправдано при новообразованиях желудочно-кишечного тракта. Хирург нашей клиники объяснит пациенту ход операции и назначит обследования для определения точной тактики вмешательства.
В зависимости от области расположения опухоли пациенту может быть проведено открытое вмешательство, эндоскопическая или лапароскопическая операция. Врач стремится полностью удалить пораженные ткани и соседние лимфатические узлы для предотвращения рецидива. Перед началом операции пациенту вводят наркоз, после нее – назначают консервативную терапию.
Профилактика
Специфической профилактики лимфом не разработано. Уменьшить риск развития этой патологии поможет соблюдение следующих рекомендаций:
- ограничение в рационе красного мяса и мясных полуфабрикатов;
- отказ от вредных привычек;
- своевременное лечение инфекций;
- скрининговые обследования при обнаружении факторов риска.
Реабилитация
Больные, которые получают химиотерапию, между ее циклами нуждаются в приеме поддерживающего общеукрепляющего лечения, сбалансированном питании и положительных эмоциях, возможно, в проведении сеансов психотерапии.
Пациенты, получавшие лечение лимфомы, независимо от его результата нуждаются в диспансерном наблюдении у онкогематолога. Лица, достигшие ремиссии болезни, посещают врача сначала каждые три месяца, затем дважды в год – проходят осмотр и дополнительные методы обследования, позволяющие оценить качество ремиссии. Отсутствие рецидивов болезни в течение 5 лет – показатель того, что человек выздоровел и может быть снят с наблюдения.
Лимфома Ходжкина: лечение и диагностика
Лимфома Ходжкина лечение, симптомы, признаки, прогноз
Содержание:
Лимфома Ходжкина (лимфогранулематоз, ЛГМ, болезнь Ходжкина), является одним из видов лимфом. Это заболевание поражает лимфатическую систему, которая состоит из лимфатических узлов, которые объединены между собой кровеносными сосудами. Возникая в одной группе лимфоузлов, злокачественные клетки могут распространяться на другие группы, а на более поздних стадиях заболевания – на внутренние органы.

Причины возникновения лимфомы Ходжкина
Причины возникновения болезни Ходжкина до настоящего времени остаются не совсем ясными. Ряд исследований указывает на определенную наследственную предрасположенность к лимфогранулематозу, в других проводится параллель между этим заболеванием и рядом вирусных инфекций, а точнее вируса Эпштейна-Барр. Фрагменты генома этого вируса обнаруживаются в 20-50 % исследованных биопсий. Тем не менее, не существует абсолютных доказательств, что именно вирус Эпштейна-Барр является причиной развития болезни.
Болеют лимфогранулематозом чаще мужчины, чем женщины.
Первый пик заболеваемости приходится на возраст 20-29 лет, затем после 55 лет вероятность заболеть постепенно повышается.
Как развивается лимфогранулематоз? Симптомы лимфомы Ходжкина

Чаще всего первыми симптомами является безболезненное увеличение лимфатических узлов на фоне полного здоровья. Иногда увеличенные лимфатические узлы могут давить на близлежащие сосуды или органы и вызывать отеки, кашель или затруднение дыхания. Но чаще всего узлы в грудной клетке обнаруживаются во время рентгенографии грудной клетки.
В подавляющем большинстве случаев распространение болезни на ранних этапах происходит предсказуемо – контактным путем поражаются соседние группы лимфатических узлов. Селезенка чаще поражена у больных с вовлечением лимфатических узлов ниже диафрагмы. После вовлечения в опухолевый процесс селезенки резко возрастает риск распространения опухоли вместе с током крови в другие органы (гематогенная диссеминация).
Поражение печени, костей, костного мозга, почек и других органов и тканей редко встречается у больных на момент постановки диагноза, и обычно наблюдается на фоне распространенного опухолевого процесса и симптомов интоксикации (повышенная температура тела, сильная ночная потливость, потеря веса, аппетита).
Диагностика лимфогранулематоза

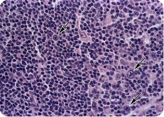
Основным подтверждением диагноза является нахождение в биоптате пораженного узла клеток Березовского-Рида-Штернберга.
Это большие по размеру клетки (по сравнению с лимфоцитами) с несколькими ядрами. Специфических изменений лабораторных показателей при лимфоме Ходжкина не наблюдается.
Показатели изменяются как следствие изменений, вызванных заболеванием:
- увеличивается скорость оседания эритроцитов (это характерно для всех иммунных и воспалительных процессов);
- пониженное число лимфоцитов в крови (вызвано основной причиной лимфомы – затруднением роста и размножения лимфоцитов);
- снижение количества красных клеток крови (вызвано влиянием заболевания на процесс формирования кровяных клеток).
Все эти проявления не представляют исключительные признаки только одного заболевания, а присущи очень многим, поэтому анализ крови при диагностике лимфомы Ходжкина не является определяющим.
Методы инструментальной диагностики, такие как ультразвуковая и рентгеновская диагностика (включая применение компьютерной томографии) используются в качестве вспомогательных для уточнения локализации и размеров поражённых лимфатических узлов или внутренних органов.
Лечение лимфомы Ходжкина

Стандартной схемой лечения болезни Ходжкина является в настоящее время схема ABVD.
В схему ABVD включены такие препараты, которые назначают внутривенно в первый и четырнадцатый дни.
- Дакарбазин – 375 мг/м2;
- Блеомицин – 10 мг/м2;
- Доксорубицин по 25 мг/м2;
- Винбластин – 6 мг с интервалом в две недели между курсами.
А на пятнадцатый день после последнего введения препарата начинают следующий цикл лечения.
Результаты международных исследований показывают, что для распространенных форм лимфогранулематоза с неблагоприятным прогнозом предпочтительнее может быть лечение по схеме ВЕАСОРР в режиме с эскалацией дозы.
В схему ВЕАСОРР входят следующие препараты для внутривенного введения:
- в первый день – Циклофосфамид по 650 мг/м2 и Доксорубицин по 25 мг/м2;
- затем в первый, второй и третий дни назначают Этопозид по 100 мг/м2;
- в восьмой день Блеомицин по 10 мг/м2 и Винкристин по 1,4 мг/м2.
- с первого по седьмой дни – Прокарбазин по 100 мг/м24;
- Преднизолон по 40 мг/м2 в течение двух недель.
И очередной курс начинают через семь дней после последнего применения преднизолона или на двадцать второй день от начала курса.
Лучевая терапия всегда проводится после завершения химиотерапии.
Реабилитация и возможные осложнения

Благодаря развитию медицины, в настоящее время лечение лимфомы Ходжкина осуществляется достаточно успешно: около 70 % достигают пятилетней ремиссии и поэтому необходимо уделять особое внимание осложнениям, которые ухудшают качество жизни и иногда даже приводят к гибели пациента.
Инфекционные заболевания
Прежде всего, необходимо помнить о повышенной восприимчивости таких пациентов к инфекционным заболеваниям, особенно это относится к больным после спленэктомии. Рекомендуется раннее начало антибактериальной терапии при признаках инфекции.
Лучевой пульмонит
Частым осложнением лучевой терапии на область средостения являются постлучевые пульмониты с исходом в пневмофиброз. Самостоятельным фактором, приводящим к фиброзированию легочной ткани, а также фактором, потенцирующим воздействие облучения, является применение блеоцина, входящего в схемы АВVD и BEACOPP. Поэтому суммарная доза блеоцина не должна превышать 200 мг/м2. Применение кортикостероидов и антибактериальная терапия достаточно эффективны в лечении пульмонитов у этой категории больных.
Бесплодие
Серьезным осложнением химиотерапии является бесплодие, развивавшееся более чем у половины больных, получавших лечение по схеме МОРР и ее аналогам (СОРР, LVPP и др.). При использовании схемы ABVD частота стойкой азооспермии или аменореи значительно снизилась, тем не менее, на Западе для мужчин считается желательной криоконсервация спермы перед началом лечения.
Вторичные злокачественные образования
Наиболее серьезной проблемой является развитие вторичных злокачественных новообразований.
Достаточно сказать, что через 17 лет после окончания первичного лечения смертность от индуцированных опухолей (лейкозы, неходжкинские лимфомы, солидные опухоли) превышает смертность от собственно лимфогранулематоза. При этом лейкозы и системные заболевания в первую очередь связывают с последствиями лучевой терапии, а солидные опухоли наиболее часто развиваются в облученных органах и тканях.
Именно развитие поздних осложнений ведет к постоянному поиску оптимальных режимов лечения больных в зависимости от факторов прогноза.
Целью поиска является максимально возможное уменьшение дозы химиопрепаратов и лучевой терапии без потери эффективности лечения.
Читайте также:
