Послеродовой эндометрит
Добавил пользователь Валентин П. Обновлено: 22.11.2025
Послеродовой эндометрит (ПЭ) остается актуальной проблемой для современного акушерства. Он занимает четвертое место в структуре инфекционных осложнений, нередко приводит к генерализации процесса, развитию сепсиса, с которым связаны 11% материнской смертности (МС) [1, 2]. По данным клинических рекомендаций 2017 г., в России М.С., связанная с сепсисом во время родов и в послеродовом периоде, в общей структуре МС достигает 3,6% [3].
Несмотря на значительный прогресс в профилактике и диагностике инфекционных осложнений, распространенность ПЭ после физиологических родов составляет 1—3%, после патологически протекающих — 2—5%, после кесарева сечения — от 5 до 20% [3]. В настоящее время ПЭ рассматривается как полимикробное заболевание с широким спектром возбудителей: стрептококков, стафилококков, условно патогенных аэробных и анаэробных микроорганизмов [4, 5]. Реже встречаются микоплазма, хламидии, вирусы. Однако основными возбудителями считаются ассоциации факультативных аэробных и облигатных неклостридиальных анаэробных микроорганизмов: Escherichia coli, различные штаммы Enterobacter spp., Enterococcus spp., Proteus spp., Klebsiella spp., Bacteroides spp., Peptostreptococcus spp., Streptococcus agalactiae, Staphylococcus spp. [6, 7].
Классическая форма ПЭ формируется на 1—5-е сутки после родов и сопровождается повышением температуры тела более 38 °C, ознобом, появлением гнойных выделений из влагалища, болезненностью внизу живота, слабостью, головной болью, сухостью кожных покровов, тахикардией [1, 8].
В клинической картине все чаще встречаются стертые и атипичные формы П.Э. Это обусловлено широким применением антибиотиков с целью профилактики и лечения послеродовых осложнений у пациенток с такими предрасполагающими факторами риска [9, 10], как факторы, связанные с состоянием организма матери до беременности и во время нее (социальный статус, хронические воспалительные заболевания, сахарный диабет, преэклампсия/эклампсия различной степени тяжести, угроза прерывания беременности, обострение эктрагенитальной патологии). Особое значение имеют факторы, связанные с родоразрешением (хориоамнионит, несвоевременное излитие околоплодных вод и длительный безводный промежуток, аномалии родовой деятельности, многократные влагалищные исследования, травма мягких родовых путей, оперативные вмешательства, экстренное кесарево сечение при длительности родов более 15 ч и/или безводном промежутке свыше 12 ч, патологическая кровопотеря). Все эти факторы могут привести к развитию внутриматочной инфекции [11—13].
Клиническая картина стертой формы ПЭ не отражает тяжести состояния родильницы. Первые симптомы заболевания проявляются в течение 1—7-х суток. Широкое применение современных клинико-лабораторных методов диагностики, которые используются в повседневной практике, не всегда позволяет своевременно уточнить диагноз ПЭ [14, 15].
Согласно клиническим рекомендациям 2017 г., ультразвуковое исследование (УЗИ) матки не должно применяться для диагностики послеродового эндометрита, так как УЗИ не обладает высокой чувствительностью, но оно необходимо для выявления остатков плацентарной ткани, гематометры, которые являются факторами риска развития ПЭ [2]. При выявлении клинических или эхографических признаков эндометрита после самопроизвольных и особенно оперативных родов всем больным показано проведение гистероскопии.
Информативность гистероскопии в диагностике послеродового и послеоперационного эндометритов составляет 91,4% и является самой высокой среди всех методов исследования [16], исключая патоморфологический (100%). Проведение гистероскопии допустимо со 2-го дня послеродового периода.
Трудности диагностики ПЭ, а в особенности стертых и атипичных форм, приводят нас к поиску новых подходов с использованием таких современных и высокоточных технологий, как УЗИ, включающие 2D- и 3D-эхографию тела и полости матки, ЦДК и 3D-допплерометрию сосудистой сети матки.
По данным С. Атиллы [17] и T. van den Bosch [18], при оценке параметров кровотока в аркуатных артериях матки при неосложненном течении послеродового периода медиана систолодиастолического соотношения (СДО) составляет 2,45, индекса резистентности (ИР) — 0,58. Кроме того, в исследованиях D. van Schoubroeck [19] выявлено, что большинство зон повышенной васкуляризации миометрия отражает промежуточную стадию инволюции плацентарного ложа и не является причиной патологического течения послеродового периода. Повышение васкуляризации миометрия типично для послеродового периода и не требует вмешательства в отсутствие клинических проявлений.
В работе Л.С. Логутовой и соавт. [20] при использовании трехмерной энергетической допплерографии показано, что кровоток в миометрии изменялся в зависимости от клинической ситуации: при послеродовом эндометрите по сравнению с показателями здоровых родильниц индекс васкуляризации был снижен на 54,1%, индекс кровотока — на 38,7%, а васкуляризационно-поточный индекс — в 1,8 раза.
У родильниц с гематолохиометрой была выявлена неоднородность показателей трехмерной допплерографии: 1) повышение индексов васкуляризации и кровотока на 63,9 и 45,3% соответственно относительно нормативных значений, васкуляризационно-поточный индекс был в 2,4 раза выше аналогичного показателя у здоровых родильниц (р<0,05); 2) достоверное снижение индекса васкуляризации и индекса кровотока на 53,8 и 35,3% со снижением васкуляризационно-поточного индекса в 1,7 раза относительно нормы (р<0,05).
Понятно, что ранняя диагностика послеродовых осложнений способствует своевременной коррекции и профилактике генерализации процесса. В связи с этим целью исследования был поиск предикторов развития послеродового эндометрита.
Материал и методы
На протяжении более 10 лет в институте выполняется ультразвуковой скрининг послеродовой матки: на 3—5-е сутки всем родильницам проводится УЗИ послеродовой матки.
Нами был проведен ретроспективный анализ 4485 историй родов за 2016—2018 гг. Для скрининговой оценки определяли линейные параметры матки — длину и переднезадний размер, объем, состояние полости матки — ширину, структуру стенок. УЗИ проведено на аппаратах Samsung WS 80 и VOLUSON E10 OLED. Оценивали содержимое полости матки — количество, структуру, эхогенность, наличие пристеночных включений. Объем тела и полости матки определяли при использовании технологии 3D. Исследование сосудистой сети матки включало определение показателей кровотока в маточных артериях и их ветвях — аркуатных артериях. Результаты допплерометрии сравнивали с нормативными показателями, предложенными Ю.П. Титченко [20].

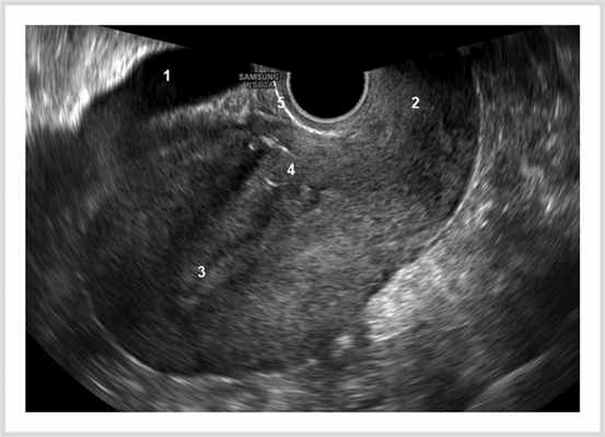
Нормальной картиной послеродовой матки считали инволюцию матки, соответствующую суткам послеродового периода: сомкнутую полость в виде линейного М-эха или расширение полости до 10 мм с однородным гиперэхогенным содержимым (рис. 1). Рис. 1. Нормальная эхограмма послеродовой матки. 1 — мочевой пузырь; 2 — шейка матки; 3 — нормальная полость матки; 4 — нормальный шов после кесарева сечения; 5 — неизмененная пузырно-маточная складка.

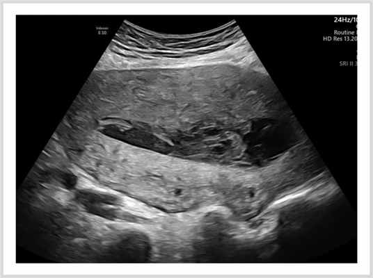
Расширение полости матки более 10 мм с неоднородным содержимым и субинволюцию матки без клинических проявлений воспалительного процесса расценивали как гематолохиометру (рис. 2). Рис. 2. УЗ-картина гематолохиометры.
Появление в расширенной полости пристеночных налетов фибрина, пузырьков газа считали признаками течения эндометрита. При визуализации гиперэхогенных пристеночных фрагментов с локусами кровотока формировали заключение об остатках плацентарной ткани.
При наличии гематолохиометры, подозрении на эндометрит или остатки плацентарной ткани проводилась гистероскопия с лечебно-диагностической целью. Проведено морфологическое исследование содержимого полости матки, полученного после всех оперативных вмешательств.
Результаты
По данным УЗ-скрининга в 110 (2,45%) наблюдениях выявлена гематолохиометра, в 28 (0,62%) — остатки плацентарной ткани. Таким образом, осложненное течение послеродового периода, по данным эхографического скрининга, составило 3,07%.
С учетом результатов УЗИ выполнено 138 (3,07%) гистероскопий. По гистероскопической картине диагноз гематолохиометры подтвержден в 104 (75,3%) наблюдениях, остатки плацентарной ткани установлены у 26 (18,8%), в 8 наблюдениях выявлен послеродовой эндометрит, что составило 5,7% от числа осложнений послеродового периода и 0,17% от общего количества проанализированных историй родов.
При морфологическом исследовании в 104 наблюдениях подтверждена гематолохиометра, у 24 пациенток установлены остатки плацентарной ткани, у 10 родильниц — эндометрит.
После получения морфологического заключения ретроспективно проведен анализ объемных показателей матки, в том числе гемодинамических. Заключение о наличии субинволюции матки при УЗИ делали в тех наблюдениях, когда на 5-е сутки после родов размеры матки превышали таковые при 12—13 нед беременности, т. е. длина тела матки превышала 120 мм, переднезадний размер — 70 мм, объем матки превышал 500 см 3 . В данном случае показатель объема матки более достоверен в сравнении с линейными показателями [20]. Показатели объема послеродовой матки представлены в табл. 1. Таблица 1. Объем матки у обследованных родильниц на 5-е сутки послеродового периода Примечание. * — достоверность различий (р<0,05). При наличии гематолохиометры и эндометрита отмечено достоверное увеличение объема тела матки, причем если при гематолохиометре объем тела матки был увеличен на 34,9%, то при эндометрите — на 20,4%.
Наибольший интерес представляет исследование гемодинамики матки в различных ситуациях послеродового периода. Использование импульсной допплерометрии в режиме цветового допплеровского картирования и трехмерной допплерографии позволило нам сопоставить полученные данные с патофизиологическими процессами, происходящими в органах при воспалении.

При использовании импульсной допплерометрии установлено, что показатели сосудистой резистентности в аркуатных артериях матки при физиологическом течении послеродового периода были следующими: СДО — 2,40±0,40; ИР — 0,57±0,07 (табл. 2). Таблица 2. Показатели импульсной допплерометрии в аркуатных артериях матки у обследованных родильниц Примечание. * — различие показателей при физиологическом течении послеродового периода и при его осложнениях достоверно (р<0,05); 1) и 2) — варианты допплерометрических показателей (объяснение см. в тексте).
У родильниц с гематолохиометрой выявлено два варианта допплерометрических показателей: 1) умеренное снижение индексов сосудистой резистентности в аркуатных артериях матки на стороне плацентарного ложа: СДО было снижено на 16,6%, ИР — на 10,5%; 2) достоверное увеличение показателей СДО и ИР в аркуатных артериях матки по сравнению с показателями здоровых родильниц как на стороне плацентарного ложа, так и на противоположной стороне на 21 и 22% соответственно.
У родильниц с послеродовым эндометритом отмечено достоверное увеличение индексов сосудистой резистентности как на стороне плацентарного ложа, так и на противоположной стороне матки (см. табл. 2). На стороне плацентарного ложа СДО и ИР превышали идентичные показатели у здоровых родильниц на 29,1 и 40,3%, на противоположной стороне — на 30 и 20% соответственно.
Таким образом, у родильниц с гематолохиометрой повышение показателей импульсной допплерометрии в аркуатных артериях матки — СДО более 2,9, а ИР — более 0,71 — можно рассматривать как неблагоприятный фактор в отношении прогноза развития послеродового эндометрита.
Проведенное исследование показывает, что наиболее точным методом диагностики послеродового эндометрита остается морфологический, при УЗИ не во всех случаях возможно дифференцировать остатки плацентарной ткани на фоне гематолохиометры. Начальные признаки послеродового эндометрита не имеют однозначных эхографических признаков. В то же время применение гистероскопии, обладающей высокой точностью в верификации диагноза, нецелесообразно как инвазивного, дорогостоящего, с возможными осложнениями метода. Несомненна ценность УЗИ для диагностики гематолохиометры как первого признака нарушения инволюции матки в послеродовом периоде и предиктора формирования инфекционных осложнений. Понятно, что трехмерная реконструкция в режиме цветового и энергетического картирования никогда не станет скрининговым методом диагностики эндометрита. Однако данное исследование показывает, что при выявлении гематолохиометры у родильницы допплерометрические показатели в аркуатных артериях так же, как и ранее описанные показатели объемного кровотока, разделяются на две группы. В одном варианте гемодинамика приближается к нормальным значениям для послеродового периода с сохранением скоростей кровотока и индексов резистентности, с гиперваскуляризацией стенки матки. В другом варианте повышение СДО и ИР сопоставимо со снижением объемных показателей кровотока, тенденция изменений более характерная для группы пациенток с эндометритом.
Заключение
Выявление в послеродовом периоде гематолохиометры с повышением систолодиастолического отношения более 2,90, индекса резистентности более 0,71 можно считать неблагоприятными признаками в отношении развития послеродового эндометрита. Применение этих критериев у пациенток группы высокого риска развития послеродового эндометрита позволит своевременно выявлять неблагоприятное течение послеродового периода и предупреждать прогрессирование инфекционного процесса.
Послеродовой эндометрит
Эндометрит после родов – заболевание, при котором в тканях внутренней поверхности матки развивается воспалительный процесс. Возникает после родовой деятельности или кесарева сечения. Воспаление тканей вызывают бактерии. Патология считается самым распространенным осложнением после родов. Она легко поддается лечению.
Послеродовой эндометрит – инфекционное заболевание внутреннего слоя матки после вагинальных родов или кесарева сечения. Бактерии проникают через гениталии, ЖКТ или травмированные ткани.
У каждой четвёртой роженицы эндометрит протекает в тяжёлой форме, выходит за пределы матки и вызывает различные варианты осложнений: кровотечение, абсцесс, перитонит.
Причины эндометрита после родов
Типичная причина послеродовой инфекции эндометрия – разрушение естественного барьера, роль которого выполняет слизистая шейки матки. Во время родов она повреждается, инфекция поднимается вверх по половым путям и беспрепятственно попадает в эндометрий.
При кесаревом сечении бактерии попадают в открытую рану, при этом источником заражения может стать как внешняя (занесённая, например, через медицинский инструмент), так и внутренняя инфекция.
Возбудители послеродового эндометрита:
- половые инфекции – уреаплазмоз, хламидиоз, микоплазмоз;
- кишечные бактерии – стафилококки, стрептококки.
В каких случаях риск инфекционного заражения повышается?
- Низкий иммунитет роженицы.
- Наличие ИППП в анамнезе.
- Затяжные роды.
- Сложное родоразрешение.
- Проведение диагностических процедур в период беременности: амниоцентез, кордоцентез.
- Наличие хронических воспалительных заболеваний – например, пиелонефрита.
- Несоблюдение правил интимной гигиены.
Возбудители послеродового эндометрита попадают в матку не только по восходящему пути, но и через кровь или лимфатические сосуды, поэтому состав инфекции зачастую полимикробный.
Для выявления всех инфекционных агентов нужна дифференциальная диагностика.
Что требуется для диагностики послеродового эндометрита
Симптомы послеродового эндометрита
Для постановки диагноза «послеродовой эндометрит» достаточно выявить 2 из 5 характерных симптомов:
- температура от 38 градусов и выше;
- болезненность матки;
- тазовая боль;
- гнойные, неприятно пахнущие выделения;
- медленное уменьшение размеров матки – субинволюция.
Дополнительные признаки – озноб, общее недомогание, умеренное кровотечение.
Выделяют 3 формы болезни, исходя из симптоматики:
- классическая – в 1-5 сутки после родов наблюдаются все вышеперечисленные симптомы;
- абортивная – на 2-4 сутки признаки воспаления хорошо выражены, но после лечения быстро пропадают, наступает выздоровление;
- стёртая (характеризуется волнообразным течением) – на 5-7 сутки температура повышается незначительно, ярких симптомов воспаления нет, общее состояние то ухудшается, то улучшается.
Стёртая, или лёгкая, форма диагностируется обычно у женщин, родивших самостоятельно. После кесарева сечения болезнь протекает тяжело: с сильными болями, тахикардией, анализы показывают лейкоцитоз, анемию (понижение уровня гемоглобина).
Методы лечения послеродового эндометрита
Первоочередные действия – обеспечение лечебно-охранительного режима. Необходимо создать физический и психологический покой пациентке.
Лечебные мероприятия
- Гистероскопия – санация очагов инфекции, удаление пораженных тканей, остатков плаценты.
- Назначение антибиотиков широкого спектра действия.
При умеренной несостоятельности швов на матке, они накладываются вторично через лапароскопический доступ.
Если эндометрит прогрессирует и лечение не даёт результатов, проводится радикальная операция – гистерэктомия или сальпингэктомия.
По результатам бактериологического исследования отделяемого из матки могут быть назначены следующие препараты:
- Амоксициллин;
- Цефтриаксон с Метронидазолом;
- Ампициллин.
Для стимуляции сократительной деятельности матки назначают Окситоцин или Но-Шпу.
Отсутствие признаков улучшения в течение 2-3 суток говорит о том, что лечение неэффективно и требует коррекции.
Перед назначением альтернативной терапии необходимо повторно пройти обследование для исключения других источников инфекции. Им может быть, например, гной, скопившийся в матке.
Врач выполняет смену режима медикаментозного лечения, подбирает другие антибиотики. В норме симптомы воспаления должны исчезнуть в течение 2 суток. Если процесс запущен, имеются признаки септического заражения, решается вопрос об оперативном вмешательстве.
Подробнее о лечении послеродового эндометрита
Осложнения послеродового эндометрита
Если женщина, находясь дома, не обратила внимания на симптомы, то инфекция будет распространяться на другие органы, с молоком может попасть в организм ребёнка, вызвать тромбофлебит тазовых вен, септический шок и даже смерть роженицы. Самым тяжёлым, необратимым последствием заболевания является тотальное удаление матки и придатков.
Послеродовой эндометрит

Процесс рождения ребенка нередко провоцирует различные осложнения. Одним из наиболее серьезных является эндометрит. Он характеризуется инфекционным воспалением эндометрия — внутреннего слоя матки. Согласно статистике, наиболее подвержены развитию послеродового эндометрита женщины, перенесшие кесарево сечение. Он наблюдается в 20 % случаев. При самопроизвольных родах патология возникает у 3-5 % пациенток. Для того чтобы избежать негативных последствий — бесплодия, перитонита, тазового абсцесса — следует как можно раньше начинать лечение болезни.
Информацию из данного раздела нельзя использовать для самодиагностики и самолечения. В случае боли или иного обострения заболевания диагностические исследования должен назначать только лечащий врач. Для постановки диагноза и правильного назначения лечения следует обратиться к профильному специалисту.

Симптомы эндометрита после родов
Врачи выделяют 3 основных вида заболевания, которые могут наблюдаться в послеродовой период. При эндометрите после родов симптомы и их интенсивность варьируются в зависимости от формы патологии:
- Классическая форма. Проявления возникают на 1-5 день после родов. Пациентки жалуются на лихорадку, слабость, сухость кожи, неприятно пахнущие выделения, увеличение пульса, боли внизу живота.
- Абортивная форма характеризуется возникновением тех же симптомов, что и при классической. Она проявляется на 2-4 день. При начале лечения какие-либо признаки пропадают и состояние женщины быстро улучшается.
- Стертая форма. Считается наиболее серьезным видом заболевания, поскольку протекает довольно легко. При стертой форме эндометрита после родов симптомы появляются на 5-7 день. Температура тела при этом повышается до 37-37,5 градусов, имеется незначительный дискомфорт в животе. Чаще всего болезнь имеет волнообразное течение.
Если патология развивается после кесарева сечения, то к проявлениям классической формы могут добавиться нарушения стула, ощущения вздутия живота, проблемы с мочеиспусканием.

Причины
Поскольку под послеродовым эндометритом подразумевают инфекционное заболевание, основной его причиной является именно поражение микроорганизмами. Это могут быть бактерии, которые выходят в состав нормальной микрофлоры влагалища и не представляют опасности при их небольшом количестве, а также болезнетворные, попадающие из мочеполового тракта пациентки. К факторам, провоцирующим развитие заболевания, относят:
- Травматические повреждения слизистой оболочки;
- Скопление крови в полости матки;
- Длительную продолжительность родов;
- Воспаления органов мочеполовой системы;
- Бактериальный вагиноз;
- Большую потерю крови во время родов.
Вызывать возникновение эндометрита после родов может также ослабленный в связи с родовой деятельностью иммунитет.
Какой врач лечит послеродовой эндометрит?
Диагностикой и терапией заболевания занимается врач-гинеколог. В некоторых случаях может потребоваться помощь такого врача как:
Послеродовой эндометрит
Послеродовой эндометрит – это инфекционное заболевание матки, типичной причиной которой является восходящая бактериальная инфекция, вызванная возбудителем из нижних отделов половых путей или желудочно-кишечного тракта. Симптомы – болезненность матки, боли в животе, лихорадка, недомогание, иногда выделения. Диагноз устанавливается на основании клинических данных, редко на основании данных посева. Лечение проводится антибиотиками широкого спектра действия (например, комбинацией клиндамицин + гентамицин).
Частоту послеродового эндометрита определяет главным образом способ родоразрешения
Роды через естественные родовые пути: от 1 до 3%
Плановое кесарево сечение (выполнено до начала родов): от 5 до 15%
Незапланированное кесарево сечение (выполнено после начала родов): от 15 до 20%
Характеристики пациенток также оказывают влияние на заболеваемость.
Этиология послеродового эндометрита
Эндометрит может развиваться после хориоамнионита в родах или в послеродовом периоде. Предрасполагающие условия включают следующее:
Длительный разрыв плодных оболочек
Неоднократные пальцевые исследования шейки матки
Задержка отделения плаценты или ручное удаление фрагментов плаценты в матке
Бактериальная колонизация нижних половых путей
Юный возраст матери
Низкий социоэкономический статус
Инфекция чаще всего полимикробная; наиболее распространенные патогены:
Грамположительные кокки (преобладают стрептококки группы В, Staphylococcus epidermidis и Enterococcus spp)
Инфекция может возникать в эндометрии (эндометрит), параметрии (параметрит) и/или миометрии (миометрит).
Реже встречаются перитонит, внутритазовый абсцесс, тромбофлебит вен таза Тромбоз глубоких вен (ТГВ) Тромбоз глубоких вен (ТГВ) – это процесс свертывания крови в глубокой вене конечности (обычно это область голени или бедра) или таза. ТГВ является первичной причиной тромбоэмболии легочной артерии. Прочитайте дополнительные сведения ) или их комбинация. Редко – септический шок Сепсис и септический шок Сепсис представляет собой клинический синдром с развитием жизнеугрожающей органной дисфункции, вызванный нарушением регуляции ответа на инфекцию. При септическом шоке происходит критическое. Прочитайте дополнительные сведения с его осложнениями, включая смерть.
Симптомы и признаки послеродового эндометрита
Как правило, наиболее ранними симптомами послеродового эндометрита (чаще всего, в пределах 24–72 часов после родов) являются боли в нижних отделах живота и болезненность матки, затем присоединяется лихорадка. Общими симптомами являются озноб, головная боль, недомогание и анорексия. Иногда единственный симптом – субфебрильная температура тела.
Наблюдаются бледность, тахикардия и лейкоцитоз, увеличенная, мягкая и болезненная матка. Выделения в небольшом количестве либо обильные, зловонные, с кровью. Когда воспалительный процесс поражает параметральную клетчатку, отмечаются сильные боли и высокая температура; появляются уплотнения в основании широких связок, которые распространяются на тазовые стенки или дугласов карман.
Тазовый абсцесс может проявляться в виде пальпируемого образования, изолированного от матки или прикрепленного к ней, или лихорадки и боли в животе, которая сохраняется, несмотря на стандартную терапию антибиотиками.
Диагностика послеродового эндометрита
Обычно выполняют тесты, исключающие другие причины (например, общий анализ мочи или ее посев)
Диагностика в первые 24 часа основывается на клинических данных – болевые ощущения, чувствительность и температура > 38 ° C после родов.
Спустя 24 часа у пациентов с повышенной температурой ≥ 38 ° C в течение 2 дней подряд следует заподозрить послеродовой эндометрит, если нет других очевидных причин. Другими причинами лихорадки и болей внизу живота могут быть инфекция мочевыводяших путей Инфекции мочевыводящих путей (ИМП) : Введение Инфекции мочевых путей (ИМП) можно разделить на инфекции верхних мочевых путей, которые вовлекают почки ( пиелонефрит), и инфекции нижних мочевых путей, которые затрагивают мочевой пузырь (. Прочитайте дополнительные сведения (ИМП), раневая инфекция, тазовый септический тромбофлебит и инфекция в области промежности. Болезненность матки часто бывает трудно отличить от болезненности рубца у пациенток, которые перенесли кесарево сечение.
У пациенток с невысокой температурой и отсутствием болей в животе ищут другие причины, такие как ателектаз Ателектаз Ателектаз - это спадение легочной ткани с потерей объема легкого. При обширном ателектазе пациенты могут испытывать одышку или респираторную недостаточность. Также у них может развиваться пневмония. Прочитайте дополнительные сведенияВыполняют общий анализ мочи и посев мочи.
Посев эндометрия показан редко, потому что материал, полученный через цервикальный канал, почти всегда загрязнен влагалищной и цервикальной микрофлорой. Посев эндометрия необходимо выполнять только в тех случаях, когда эндометрит является нечувствительным к стандартным схемам антибактериальной терапии и нет других источников инфекции; для взятия посева используют стерильные зеркала и инструменты, чтобы избежать загрязнения; образцы посылают для посевов на аэробную и анаэробную культуру.
Посев крови назначают только в тех случаях, когда эндометрит нечувствителен к обычным схемам антибактериальной терапии или имеются клинические симптомы и результаты исследования, предполагающие септикемию.
Если, несмотря на надлежащее лечение эндометрита, лихорадка сохраняется более 48 часов (некоторые врачи допускают временную точку 72 часа), без тенденции к снижению пиковой температуры, можно заподозрить другие причины, такие как, абсцесс таза и тромбофлебит вен таза (в частности, когда на снимках нет признаков абсцесса). Визуализация органов брюшной полости и таза, как правило, КТ, может выявить абсцесс, но выявление тромбофлебита возможно только при наличии тромбов больших размеров. Если визуализация не выявляет патологии, применяется гепарин для лечения предполагаемого тазового тромбофлебита, который, как правило, является диагнозом исключения. Ответ на лечение подтверждает диагноз.
Здравый смысл и предостережения
Если при надлежащем лечении послеродового эндометрита через 48–72 часа высокая температура не снижается, следует заподозрить внутритазовый абсцесс или септический тромбофлебит тазовых вен (особенно, если абсцесс не обнаруживается с помощью визуализирующих методов исследования).
Послеродовой эндометрит
Послеродовой эндометрит – это инфекция матки, типичной причиной которой является восходящая бактериальная инфекция с нижних отделов генитального и желудочно-кишечного тракта. Симптомы – болезненность матки, боли в животе, лихорадка, недомогание, иногда выделения. Диагноз устанавливается на основании клинических данных, редко на основании данных посева. Лечение проводится антибиотиками широкого спектра действия (например, комбинацией клиндамицин + гентамицин).
Частоту послеродового эндометрита определяет главным образом способ родоразрешения
Роды через естественные родовые пути: от 1 до 3%
Плановое кесарево сечение (выполнено до начала родов): от 5 до 15%
Незапланированное кесарево сечение (выполнено после начала родов): от 15 до 20%
Характеристики пациенток также оказывают влияние на заболеваемость.
Этиология послеродового эндометрита
Эндометрит может развиваться после хориоамнионита в родах или в послеродовом периоде. Предрасполагающие условия включают следующее:
Отсроченный разрыв плодного пузыря и родоразрешение
Неоднократные мануальные исследования
Задержка остатков плаценты в матке
Колонизация бактериями нижних половых путей
Юный возраст матери
Низкий социоэкономический статус
Инфекция чаще всего полимикробная; наиболее распространенные патогены:
Грамположительные кокки (преобладают стрептококки группы В, Staphylococcus epidermidis и Enterococcus spp)
Инфекция может возникать в эндометрии (эндометрит), параметрии (параметрит) и/или миометрии (миометрит).
Реже встречаются перитонит, внутритазовый абсцесс, тромбофлебит вен таза Тромбоз глубоких вен (ТГВ) Тромбоз глубоких вен (ТГВ) – это процесс свертывания крови в глубокой вене конечности (обычно это область голени или бедра) или таза. ТГВ является первичной причиной тромбоэмболии легочной. Прочитайте дополнительные сведения ) или их комбинация. Редко – септический шок Сепсис и септический шок Сепсис представляет собой клинический синдром с развитием жизнеугрожающей органной дисфункции, вызванный нарушением регуляции ответа на инфекцию. При септическом шоке происходит критическое. Прочитайте дополнительные сведения с его осложнениями, включая смерть.
Симптомы и признаки послеродового эндометрита
Как правило, наиболее ранними симптомами послеродового эндометрита являются боли в нижних отделах живота и болезненность матки, с последующей лихорадкой, чаще всего, в пределах 24–72 часов после родов. Общими симптомами являются озноб, головная боль, недомогание и анорексия. Иногда единственный симптом – субфебрильная температура тела.
Наблюдаются бледность, тахикардия и лейкоцитоз, увеличенная, мягкая и болезненная матка. Выделения в небольшом количестве либо обильные, зловонные, с кровью. Когда воспалительный процесс поражает параметральную клетчатку, отмечаются сильные боли и высокая температура; появляются уплотнения в основании широких связок, которые распространяются на тазовые стенки или дугласов карман.
Тазовый абсцесс может проявляться как пальпируемое опухолевидное образование отдельно от матки или прилежащее к ней.
Диагностика послеродового эндометрита
Обычно выполняют тесты, исключающие другие причины (например, общий анализ мочи или ее посев)
Диагностика в первые 24 часа основывается на клинических данных – болевые ощущения, чувствительность и температура > 38 ° C после родов.
Спустя 24 часа следует заподозрить послеродовый эндометрит, если нет других очевидных причин повышения температуры ≥ 38 ° C в течение последующих 2 дней. Другими причинами лихорадки и болей внизу живота могут быть инфекция мочевыводяших путей Инфекции мочевыводящих путей (ИМП) : Введение Инфекции мочевых путей (ИМП) можно разделить на инфекции верхних мочевых путей, которые вовлекают почки (пиелонефрит), и инфекции нижних мочевых путей, которые затрагивают мочевой пузырь (цистит). Прочитайте дополнительные сведения (ИМП), раневая инфекция, тазовый септический тромбофлебит и инфекция в области промежности. Болезненность матки часто бывает трудно отличить от болезненности рубца у пациенток, которые перенесли кесарево сечение.
У пациенток с невысокой температурой и отсутствием болей в животе ищут другие причины, такие как ателектаз Ателектаз Ателектаз - это спадение легочной ткани с потерей объема легкого. При обширном ателектазе пациенты могут испытывать одышку или респираторную недостаточность. Также у них может развиваться пневмония. Прочитайте дополнительные сведения
Выполняют общий анализ мочи и посев мочи.
Посев эндометрия показан редко, потому что материал, полученный через цервикальный канал, почти всегда загрязнен влагалищной и цервикальной микрофлорой. Посев эндометрия необходимо выполнять только в тех случаях, когда эндометрит является нечувствительным к стандартным схемам антибактериальной терапии и нет других источников инфекции; для взятия посева используют стерильные зеркала и инструменты, чтобы избежать загрязнения; образцы посылают для посевов на аэробную и анаэробную культуру.
Посев крови назначают только в тех случаях, когда эндометрит нечувствителен к обычным схемам антибактериальной терапии или имеются клинические симптомы и результаты исследования, предполагающие септикемию.
Если, несмотря на надлежащее лечение эндометрита, лихорадка сохраняется более 48 часов (некоторые врачи допускают временную точку 72 часа), без тенденции к снижению пиковой температуры, можно заподозрить другие причины, такие как, абсцесс таза и тромбофлебит вен таза (в частности, когда на снимках нет признаков абсцесса). Визуализация органов брюшной полости и таза, как правило, КТ, может выявить абсцесс, но выявление тромбофлебита возможно только при наличии тромбов больших размеров. Если визуализация не выявляет патологии, применяется гепарин для лечения предполагаемого тазового тромбофлебита, который, как правило, является диагнозом исключения. Ответ на лечение подтверждает диагноз.
Здравый смысл и предостережения
Послеродовые септические заболевания что это такое
Об утверждении регионального клинического протокола профилактики послеродовых гнойно-септических инфекций
В соответствии с Положением о департаменте здравоохранения Кировской области, утвержденным постановлением Правительства области от 16.04.2013 № 205/215, с целью обеспечения качества оказания медицинской помощи населению:
1. Утвердить региональный клинический протокол профилактики послеродовых гнойно-септических инфекций (далее – протокол) согласно приложению.
2. Главным врачам областных государственных медицинских организаций Кировской области обеспечить внедрение протоколов и мониторинг их выполнения при проведении внутреннего контроля качества и безопасности медицинской деятельности.
3. Контроль за исполнением распоряжения возложить на заместителя главы департамента здравоохранения Кировской области
Глава департамента Е.Д. Утемова
| ПОДГОТОВЛЕНО | |
| Начальник отдела по развитию медицинской помощи детям и службы родовспоможения департамента здравоохранения Кировской области | М.В. Савинова |
СОГЛАСОВАНО | |
| Заместитель главы департамента здравоохранения Кировской области | А.В. Пересторонина |
| Заместитель начальника отдела правовой и кадровой работы департамента здравоохранения Кировской области | Ю.Е. Коковихина |
Условия оказания медицинской помощи: круглосуточный стационар.
ПОСЛЕРОДОВЫЕ ГНОЙНО-СЕПТИЧЕСКИЕ ИНФЕКЦИИ (далее - ПГСИ) - заболевания, наблюдаемые у родильниц, непосредственно связанные с беременностью и родами и обусловленные бактериальной инфекцией, возникающие в течение 42 суток с момента родов. Инфекционные заболевания, выявленные в послеродовом периоде, но патогенетически не связанные с беременностью и родами (грипп, дизентерия и др.), к группе послеродовых заболеваний не относят.
Послеродовые гнойно-септические заболевания встречаются у 4-6 % родильниц. Они могут быть следствием инфицирования во время беременности и попадания инфекционного агента в процессе родов или сразу после них. Этому способствует нарушение целостности тканей мягких родовых путей во время родов, снижение иммунитета во время беременности. Одновременно беспорядочный прием антибиотиков в настоящее время приводит к появлению измененных форм микроорганизмов, которые из непатогенных становятся патогенными и могут стать причиной гнойно-септических заболеваний.
Основными возбудителями гнойно-септических заболеваний у рожениц и родильниц являются анаэробы, энтерококки, кишечная палочка, стрептококки, стафилококки. Часто наблюдается смешанная инфекция. В последнее время все большую роль играют анаэробные неспорообразующие бактерии.
Классификация. К послеродовым гнойно-септическим заболеваниям локального характера относятся: эндометрит, нагноение послеоперационной раны промежности и раны после кесарева сечения. Генерализованные формы заболевания проявляются акушерским перитонитом, сепсисом.
Выделяется группа риска по развитию ПГСИ: проведение оперативных вмешательств, наличие факторов риска.
Анализ структуры послеродовых гнойно-септических заболеваний по данным Красноярской межрайонной клинической больницы №4
Известно, что одной из основных проблем послеродового периода являются гнойно-септические заболевания (ГСЗ). Частота послеродового эндометрита (ПЭ) в популяции составляет 3–8%, при патологических родах — 10–20%, а у женщин с высоким инфекционным риском — 13,3–54,3% [1]. Своевременная диагностика и эффективное лечение пуэрперальной инфекции, в первую очередь ПЭ, несомненно, являются действенным резервом в снижении частоты генерализованных форм данной патологии, и в конечном итоге, позволяют снизить материнскую смертность и заболеваемость при развитии ГСЗ после родов и кесарева сечения [2]. Необходимость этого требует глубокого анализа причин послеродовых ГСЗ, а также поиска и совершенствования современных медицинских технологий в диагностике и лечении этой патологии [3].
В нашем исследовании нами был проанализирован 251 случай послеродовых осложнений, из них в 2013 – 83 (33,07%), в 2014 – 75 (29,88%), в 2015 – 93 (37,05%). Таким образом, за период с 2013 по 2015 год количество случаев послеродовых ГСЗ увеличилось на 3,98%. Средний возраст обследуемых больных составил 25,7±2,5 лет. Из всех случаев осложнений 205 (81,67%) были после родов через естественные родовые пути и 46 (18,33%) - после операции кесарева сечения.
Структура анализируемых случаев послеродовых осложнений представлена в таблице 1. Таким образом, наиболее часто у больных был диагностирован ПЭ (в 81,67% случаев. При анализе динамики структуры осложнений в различные годы отмечено, что частота ПЭ за период с 2013 по 2015 год возросла более чем на 6 % (таб.1).
У каждой третьей больной с послеродовыми ГСЗ анамнез был отягощен перенесенными инфекциями, передающимися половым путем (ИППП) и/или имеющимся хроническим воспалительным процессом в придатках матки. Из воспалительных заболеваний в анамнезе наиболее часто имели место: хронический аднексит в 36 случаев (45,0%), ИППП (гонорея, трихомониаз, микоплазмоз, хламидиоз) в 31 (38,8%), генитальный герпес и ЦМВ в 3 (3,8%), хронический эндометрит в 4 (5,0%), хронический пиелонефрит у 3 (3,8%) женщин, вагинальный кандидоз - у 2 (2,5%) больных
Примечание: * - достоверность различий по сравнению с показателями в 2013 году, p Пожалуйста, не занимайтесь самолечением! При симпотмах заболевания - обратитесь к врачу.
Читайте также:
