Предоперационная подготовка при ранениях: дренирование плевральной полости
Добавил пользователь Владимир З. Обновлено: 07.01.2026
Показания: пневмоторакс, гемоторакс, гемопневмоторакс.
Для ликвидации пневмоторакса во 2 межреберье по среднеключичной линии в плевральную полость вводится через троакар эластичная трубка диаметром 0,5 см (плевральный дренаж по Петрову).
Дистальный конец дренажной трубки погружается в раствор антисептика или производится активная аспирация при разрежении 30-40 мм рт.ст. Критерием правильной установки дренажа является отхождение пузырьков воздуха по трубке.
Основные ошибки, возникающие при установке плеврального дренажа по Петрову:
1. Дренажная трубка вводится в плевральную полость на большую глубину, При этом трубка перегибается, сворачивается и не выполняет дренажную функцию. Для избежания этого необходимо дренажную трубку ввести на глубину 2-3 см от последнего отверстия.
Боковых отверстий на трубке должно быть не очень много - до 3. Если врачу трудно установить глубину введения дренажа, необходимо поставить метку на дренажной трубке.

2. Неадекватное фиксирование дренажной трубки. Дренаж полностью выходит из плевральной полости или выпадает частично. При последней ситуации боковые отверстия оказываются в подкожной клетчатке с развитием подкожной эмфиземы. Если боковое отверстие оказывается над кожей происходит подсасывание атмосферного воздуха в плевральную полость. с возникновением коллапса лёгкого. Дренажную трубку необходимо фиксировать к коже грудной стенки двумя шёлковыми нитями у каждого края раны.
При слишком сильном затягивании лигатуры на дренажной трубке происходит её сдавление вплоть до полного пережатия просвета. Необходимо срезать лигатуру и вновь фиксировать дренажную трубку. При открытом пневмотораксе перед установкой плеврального дренажа необходимо герметизировать грудную стенку.
На следующий день после установки дренажа производится контрольная рентгеноскопия (графия) грудной клетки. При полном расправлении лёгкого и отсутствии отхождения воздуха по плевральному дренажу, дренажную трубку удаляют на 4 сутки. При этом обязателен рентген контроль. Нет чётких критериев для длительности дренирования плевральной полости при пневмотораксе. Дренаж нужно держать до полного расправления лёгкого. При патологии легочной ткани это затягивается на 2-3 недели.

При некупирующемся консервативно напряжённом пневмотораксе показана торакотомия.
Дренирование плевральной полости при гемотораксе
Основная цель: своевременное и адекватное удаление крови из плевральной полости и расправление лёгкого. Для этого устанавливают плевральный дренаж по Бюлау.
Техника: под местной анестезией в 7-8 межреберье по средней подмышечной линии делается прокол скальпелем мягких тканей, ориентируясь на верхний край нижележащего ребра. Дренажную трубку диаметром 1-1,5 см с несколькими боковыми отверстиями вводят в плевральную полость корнцангом или троакаром с диаметром более 1,5 см. Трубка двумя швами фиксируется к краям кожной раны. Нижний конец трубки с клапаном опускается во флакон с антисептиком или к вакуумной системе для активной аспирации.
Кровь из плевральной полости необходимо собрать для реинфузии.
Ошибки при установке плеврального дренажа по Бюлау:
1. Использование для дренажа трубку диаметром менее 8 мм. Тонкая дренажная трубка забивается сгустками крови и не функционирует.
2. Использование для дренажа мягких резиновых трубок. Такие трубки деформируются и сдавливаются лигатурой, тканями грудной стенки. Необходимо использовать силиконовые и полихлорвиниловые трубки.
3. Оставление в плевральной полости слишком длинного конца дренажной трубки. Проксимальный конец трубки при этом располагается в верхних отделах плевральной полости и не дренирует нижние отделы, где находится кровь. Необходимо подтянуть дренажную трубку на несколько сантиметров.
4. Ошибки при фиксации дренажной трубки к коже (подробно описано в разделе пневмоторакс).
Дренирование плевральной полости показано только при среднем и большом гемотораксе. При малом гемотораксе производится плевральная пункция.
После установки плеврального дренажа по Бюлау необходимо динамическое наблюдение.
При этом устанавливается количество выделившейся по дренажу крови и определяется дальнейшая лечебная тактика. Главная задача врача определить: продолжается внутриплевральное кровотечение, или оно остановилось? Для диагностики продолжающегося внутриплеврального кровотечения служат: клиника, количество крови по плевральному дренажу, проба Рувилуа- Грегуара – интенсивное поступление крови по дренажу, которая быстро свёртывается, на фоне клиники анемии. Наличие продолжающегося внутриплеврального кровотечения является показанием к торакотомии. В том случае, если кровотечение прекратилось, проводится контрольная рентгеноскопия грудной клетки на следующие сутки после установки плеврального дренажа. Дренажную трубку удаляют не ранее 4 суток, при полном расправлении лёгкого и отсутствии отделяемого по дренажу.
Наличие пневмоторакса и среднего гемоторакса является показанием к двойному дренированию плевральной полости (во 2 и 7 межреберьях).
Предоперационная подготовка при ранениях: дренирование плевральной полости
Этапы и техника дренирования плевральной полости
а) Показания для дренирования плевральной полости:
- Абсолютные показания: любой гемо-/пневмоторакс. Плевральный дренаж также рассматривается как профилактическое мероприятие у интубированных пациентов с травмой грудной клетки.
- Относительные показания: небольшой или полосовидный пневмоторакс около 1 см шириной при амбулаторном наблюдении, рецидивирующий плевральный выпот.
б) Предоперационная подготовка. Предоперационные исследования: рентгенография органов грудной клетки, ультразвуковое исследование, редко - компьютерная томография.
в) Специфические риски, информированное согласие пациента:
- Повреждение легкого
- Повреждение межреберных сосудисто-нервных пучков
- Повреждение внутрибрюшных органов
- Торакотомия
г) Обезболивание. Местное обезболивание.
д) Положение пациента. Лежа на спине, рука над головой.
е) Точки для дренирования плевральной полости:
- Экстренный: пятое межреберье по передней подмышечной линии.
- Простой пневмоторакс: второе межреберье по среднеключичной линии.
- Возможно введение дренажа под ультразвуковым наведением.

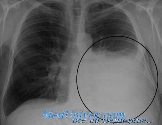
Рентгенограмма при гемотораксе
ж) Этапы дренирования плевральной полости:
- Доступ
- Вскрытие плевральной полости
- Введение дренажа
- Водяной замок
з) Анатомические особенности, серьезные риски, оперативные приемы:
- Всегда вводите дренаж непосредственно над верхним краем ребра.
- Выполняйте введение под пальцевым контролем («миниторакотомия»).
- В случаях неадекватного расправления легкого вводите более одного дренажа и присоедините их к аспирационной системе при разряжении 15-25 см водн. ст.
- Плевральный дренаж, постоянно отводящий воздух, нельзя пережимать из-за риска ятрогенного напряженного пневмоторакса.
- После первого рецидива (не позднее) спонтанного пневмоторакса необходимо выполнение торакоскопической ревизии.
и) Меры при специфических осложнениях. При упорном пневмотораксе - торакоскопия или торакотомия.
к) Послеоперационный уход после дренирования плевральной полости. Медицинский уход: удаляйте дренаж после пробного пережатия и контрольной рентгенографии.
л) Техника дренирования плевральной полости:
- Доступ
- Вскрытие плевральной полости
- Введение дренажа
- Водяной замок

1. Доступ. При пневмотораксе плевральный дренаж может быть введен вентрально через второе межреберье, а при рецидивирующем плевральном выпоте или эмпиеме плевры - через пятое-седьмое межреберье по передней или средней подмышечной линии. После инфильтрации 10-20 мл 1% местного анестетика сделайте короткий горизонтальный разрез кожи, немного каудальнее планируемого места пункции.
2. Вскрытие плевральной полости. После тупой диссекции тканей ножницами до плевры, рекомендуется вскрыть париетальную плевру, чтобы уменьшить сопротивление при введении троакара. Для этого обязательно должна быть выполнена анестезия плевры. Самый безопасный метод создания достаточно большого отверстия - введение дистальной фаланги указательного пальца в плевральную полость («миниторакотомия»).
3. Введение дренажа. После вскрытия плевры ножницами, через тот же пункционный канал вводится плевральный дренаж, снабженный троакаром.
По троакару, который проводится только через грудную стенку, дренаж продвигается дальше в плевральную полость, после чего троакар извлекается. При введении дренажа в дорзальном направлении его конец не должен перегибаться. Для профилактики кровотечения дренаж вводится непосредственно над ребром, не затрагивая межреберных сосудисто-нервных пучков.
Стальной троакар продвигается осторожно, чтобы предотвратить перфорацию легкого с последующим образованием свища. Выделение жидкости по дренажу указывает на его правильное положение.
4. Водяной замок. Следующий важный шаг - немедленное присоединение дренажа к системе с водяным замком, к которой может быть подключена аспирационная система с разряжением 15-20 см водн. ст. Плевральный дренаж надежно подшивается к коже одним или двумя прочными нерассасывающимися швами, которые в то же время закрывают кожную рану.
Видео техники дренирования плевральной полости

Редактор: Искандер Милевски. Дата обновления публикации: 18.3.2021
Дренирование грудной клетки

В современной медицинской практике дренирование грудной клетки — одно из важнейших врачебных умений. Правильная техника выполнения этой манипуляции может спасти человеку жизнь и улучшить прогноз выздоровления, сведя процент осложнений к минимуму. Поэтому врачи разных специальностей должны уметь безопасно и эффективно дренировать плевральную полость.
Дренирование грудной клетки — не самая простая процедура. Установка дренажа в данной области содержит в себе достаточно много нюансов. Их нужно знать, чтобы избежать тяжелых и трудно устраняемых осложнений.
Расскажем обо всем по порядку.
Показания
Выполнение любой процедуры начинается с показаний. В случае дренирования плевральной полости их несколько:
- пневмоторакс;
- злокачественный плевральный выпот;
- эмпиема и парапневмонический плевральный выпот;
- травматический гемопневмоторакс;
- ликвидация послеоперационных осложнений, например, после торакотомии, эзофагэктомии, кардиохирургических вмешательств.
Оценка риска
Стоит оценить степень риска, т. к. дренирование плевральной полости сопряжено с возникновением определенных осложнений. В случае с постановкой дренажа в грудную клетку стоит остерегаться двух интраоперационных осложнений: неустраняемого кровотечения и повреждения легочной ткани.
Прежде всего, стоит бояться кровотечения. Во избежание этого любая коагулопатия должна быть устранена до введения дренажа в грудную клетку. В связи с этим рекомендуется измерение количества тромбоцитов и протромбинового времени у пациентов с различными коагулопатиями в анамнезе.
Нет опубликованных данных, свидетельствующих о том, что нарушенное свертывание крови как-то влияет на осложнения в виде кровотечения при введении дренажа в грудную клетку. Однако хорошей врачебной практикой является коррекция любой коагулопатии или дефекта тромбоцитов до введения дренажа. При этом регулярные предварительные проверки количества тромбоцитов и/или протромбинового времени требуются только у пациентов с известными факторами риска.
Важно: для введения дренажа в грудную клетку варфарин следует прекратить и выдержать время для его выведения из организма (время выведения варьируется в зависимости от индивидуальных особенностей пациента от 20 до 60 часов).
Повреждение легочной ткани также является серьезным фактором риска, который нужно учитывать. Поэтому если легкое плотно прилегает к стенке грудной клетки на всем ее протяжении, то от введения дренажа необходимо воздержаться.
Инструментарий
Все оборудование, необходимое для дренирования, должно быть подготовлено до начала процедуры.
- стерильные перчатки и халат;
- кожный антисептический раствор (например, йод или спиртовой раствор хлоргексидина);
- стерильные салфетки;
- марлевые тампоны;
- шприцы и иглы разного диаметра;
- местный анестетик (1 % или 2 % раствор лидокаина);
- скальпель и лезвие;
- шовный материал;
- инструмент для тупого рассечения (например, изогнутый зажим);
- проводник с расширителями (если используется небольшая трубка);
- торакальная трубка;
- соединительные трубки;
- закрытая дренажная система (в том числе стерильная вода).
Обычно этого бывает достаточно для успешного проведения процедуры.
Положение пациента
Одним из важных моментов при дренировании грудной клетки является правильное положение пациента.
Предпочтительным положением пациента для выполнения этой процедуры является положение лежа на кровати со слегка повернутым туловищем. Рука на стороне поражения должна находиться за головой пациента, чтобы обнажить подмышечную область.
Также могут быть альтернативные варианты расположения: пациент сидит, наклонившись над соседним столом с подушкой, или в положении лежа на боку.
Анестезия
Для дренирования грудной клетки применяются местные анестетики, они вводятся перед установкой дренажа обычной иглой. В случае, если грудная стенка достаточно массивная, можно воспользоваться иглой большего диаметра.
Установка дренажа
Вставка дренажной трубки никогда не должна проводиться с какой-либо существенной силой, поскольку это повышает вероятность внезапного проникновения в грудную клетку и создает возможность повреждения жизненно важных структур. Этого можно избежать, раздвигая ткани тупым способом с последующим введением дренажа в плевральную полость.
Отдельно нужно сказать о месте дренирования. Дренаж должен устанавливаться в «безопасном треугольнике». Это треугольник, ограниченный передней границей широчайшей мышцы спины, боковой границей большой грудной мышцы и горизонтальной линией, проходящей через сосок.
Рисунок 1 | «Безопасный треугольник».
Такое введение сводит к минимуму риск для нижележащих структур и позволяет избежать повреждения мышц и окружающих тканей. Более заднее положение дренажа может быть выбрано, если предполагается наличие проходящего вблизи типичной точки дренирования сосудисто-нервного пучка. Хоть такой вариант и безопасен, нужно отметить, что это место не является предпочтительным, так как пациенту становится неудобно лежать после введения и существует риск перегиба дренажа.
Важно: если во время анестезии с помощью иглы не удается получить воздух или жидкость, дренажную трубку не следует вставлять без дальнейшего наведения изображения.
Размер дренажа
Рекомендуется использовать дренажи малого диаметра, т. к. они более удобны, чем трубки большего диаметра. Однако нет никаких доказательств терапевтического превосходства дренажей малого диаметра перед дренажами большого диаметра.
Раньше рекомендовали использовать дренажи большого диаметра, т. к. было отмечено увеличение частоты закупорки дренажа, особенно густой злокачественной или инфицированной жидкостью. Но в настоящее время большинство врачей используют катетеры меньшего размера (10–14 делений по французской шкале дренажей / French catheter scale (F)). Исследования показали, что они зачастую так же эффективны, как и трубки с отверстием большого диаметра, при этом они удобнее и лучше переносятся пациентом.
При пневмотораксе можно использовать катетеры размера 9F, хотя у некоторых пациентов сброс воздуха может превышать емкость этого небольшого катетера. В случае неэффективного дренирования пневмоторакса из-за чрезмерного сброса воздуха рекомендуется установить дренаж большего диаметра.
В случае острого гемоторакса, тем не менее, по-прежнему рекомендуются трубки большого диаметра (минимум 28–30 F), так как они выполняют двойную функцию: дренирования грудной полости и оценки продолжающейся кровопотери.
Источники:
1. Miller KS, Sahn SA. Review. Chest tubes. Indications, technique, management and complications. Chest 1987;91:258–64. [IV]
2. Parmar JM. How to insert a chest drain. Br J Hosp Med 1989;42:231–3. [IV]
3. Treasure T, Murphy JP. Pneumothorax. Surgery 1989;75:1780–6. [IV]
4. Westaby S, Brayley N. Thoracic trauma — I. BMJ 1990;330:1639–44. [IV]
5. Harriss DR, Graham TR. Management of intercostal drains. Br J Hosp Med 1991;45:383–6. [IV]
6. Iberti TJ, Stern PM. Chest tube thoracostomy. Crit Care Clin 1992;8:879–95. [IV]
7. Quigley R.L. Thoracentesis and chest tube drainage. Crit Care Cli 1995;11:111–26. [IV]
8. Tomlinson MA. Treasure T. Insertion of a chest drain : how to do it. Br J Hosp Med 1997;58:248–52. [IV]
9. Millikan JS, Moore EE, Steiner E, et al. Complications of tube thoracostomy for acute trauma. Am J Surg 1980;140:738–41. [III]
Дренирование плевральной полости.

Показания: открытый и клапанный пневмоторакс, средний и большой гемоторакс , гемопневмоторакс.
Для ликвидации пневмоторакса во 2 межреберье по среднеключичной линии в плевральную полость вводится через троакар эластичная трубка диаметром 0,5 – 1 см. (плевральный дренаж по Петрову ). Дистальный конец дренажной трубки погружается в раствор антисептика или производится активная аспирация при разрежении 30--40 мм. рт. ст. Критерием правильной установки дренажа является отхождение пузырьков воздуха по трубке.
Основные ошибки , возникающие при установке плеврального дренажа по Петрову :
1) дренажная трубка вводится в плевральную полость на большую глубину, При этом трубка перегибается , сворачивается и не выполняет дренажную функцию. Для избежания этого необходимо дренажную трубку ввести на глубину 2 --3 см. от последнего отверстия.
Боковых отверстий на трубке должно быть не очень много – 1-2. Если врачу трудно установить глубину введения дренажа, необходимо поставить метку на дренажной трубке.
2) неадекватное фиксирование дренажной трубки. Дренаж полностью выходит из плевральной полости или выпадает частично. При последней ситуации боковые отверстия оказываются в подкожной клетчатке с развитием подкожной эмфиземы. Если боковое отверстие оказывается над кожей происходит подсасывание атмосферного воздуха в плевральную полость. с возникновением коллапса лёгкого. Дренажную трубку необходимо фиксировать к коже грудной стенки двумя шёлковыми нитями у каждого края раны.
На следующий день после установки дренажа производится контрольная рентгено-
скопия( графия ) грудной клетки. При полном расправлении лёгкого и отсутствии отхождения воздуха по плевральному дренажу, дренажную трубку удаляют на 4 сутки. При этом обязателен рентген контроль. Нет чётких критериев для длительности дренирования плевральной полости при пневмотораксе. Дренаж нужно держать до полного расправления лёгкого . При патологии легочной ткани это затягивается на 2--3 недели.
Дренирование плевральной полости при гемотораксе.
Техника: под местной анестезией в 7 -8 межреберье по средней подмышечной линии делается прокол скальпелем мягких тканей , ориентируясь на верхний край нижележащего ребра. Дренажную трубку диаметром 1--1,5 см. с несколькими боковыми отверстиями вводят в плевральную полость корнцангом или троакаром с диаметром более 1,5 см.Трубка двумя швами фиксируется к краям кожной раны. Нижний конец трубки с клапаном опускается во флакон с антисептиком или к вакуумной системе для активной аспирации.
1) использование для дренажа трубку диаметром менее 8мм. Тонкая дренажная трубка забивается сгустками крови и не функционирует;
2) использование для дренажа мягких резиновых трубок. Такие трубки деформируются и сдавливаются лигатурой , тканями грудной стенки. Необходимо использовать силиконовые и полихлорвиниловые трубки.
3) оставление в плевральной полости слишком длинного конца дренажной трубки. Проксимальный конец трубки при этом располагается в верхних отделах плевральной полости и не дренирует нижние отделы , где находится кровь. Необходимо подтянуть дренажную трубку на несколько см..
4) ошибки при фиксации дренажной трубки к коже.( подробно описано в разделе пневмоторакс).
Дренирование плевральной полости показано толко при среднем и большом гемотораксе. При малом гемотораксе производится плевральная пункция.
При этом устанавливается количество выделившейся по дренажу крови и определяется дальнейшая лечебная тактика. Главная задача врача определить : продолжается внутриплевральное кровотечение , или оно остановилось?Для диагностики продолжающегося внутриплеврального кровотечения служат : клиника, количество крови по плевральному дренажу, проба Рувилуа- Грегуара.-интенсивное поступление крови по дренажу, которая быстро свёртывается, на фоне клиники анемии. Наличие продолжающегося внутриплеврального кровотечения является показанием к торакотомии. В том случае , если кровотечение прекратилось , проводится контрольная рентгеноскопия грудной клетки на следующие сутки после установки плеврального дренажа. Дренажную трубку удаляют не ранее 4 суток, при полном расправлении лёгкого и отсутствии отделяемого по дренажу.
Наличие пневмоторакса и среднего гемоторакса является показанием к двойному дренированию плевральной полости ( во 2 и 7 межреберьях).
Удаление дренажа из плевральной полости.Марлевую подушечку размером 1010 см или салфетку, сложенную в несколько слоев, с одной стороны обильно смачиваютвазелиновоймазью или гелем (А). Удаляют повязку, снимают швы. Одной рукой плотно прижимают подушечку к месту выхода дренажа, другой рукой захватывают дренаж (Б). Во время выполнения больным пробы Вальсальвы быстро, но без рывков, удаляют дренажную трубку, не прекращая давления на подушечку. По окончании процедуры подушечку фиксируют лейкопластырем (В). Если дренажная трубка находилась в плевральной полости более 48 ч, возможно проникновение воздуха через раневой канал. В этом случае увеличивают количествовазелиновоймази и поверх подушечки накладывают герметичную повязку (из непористого материала). Повязку не снимают до заживления раневого канала. Нельзя пережимать и удалять дренажи, по которым еще недавно поступал воздух. Это может привести к образованию напряженного пневмоторакса, угрожающего жизни. Если по дренажу поступает большое количество крови, нужно пережать дренажную трубку, а больного перевести в операционную

Трехбаночная дренажная система.(Верхний рисунок) БутыльАчерез трубкуаподсоединяют к централизованной разводке вакуума, по трубкебв эту бутыль свободно поступает воздух. Величина отрицательного давления в бутылиАрегулируется длиной подводной части трубкиб(в данном случае 20 см). Таким образом, бутыльАслужит для регулировки отрицательного давления, которое по трубкевпередается на бутыльБи по трубкег— на бутыльВ.БутыльБслужит водяным затвором. Воздух может поступить в нее из бутылиВпо трубкег,только преодолев сопротивление двухсантиметрового столба жидкости. БутыльВпредназначена для сбора жидкости, отсасываемой из плевральной полости. Отрицательное давление, под действием которого в бутыльВпо трубкедпоступает жидкость из плевральной полости, в данном случае составляет 18 см вод. ст. Такого давления обычно достаточно, чтобы обеспечить эффективное дренирование. Трехбаночная система позволяет поддерживать отрицательное давление в плевральной полости на постоянном уровне независимо от количества отделяемого по дренажу. Если по дренажу из плевральной полости отделяется воздух, в бутылиБпоявляются пузыри. (Нижний рисунок) Принцип трехбаночной дренажной системы положен в основу многих имеющихся в продаже аспираторов (например, Плеврэвак, Торадрейн). В этих приборах все три «бутыли» объединены в один блок, секции которого, обозначенные буквамиА,БиВ,соответствуют бутылямА,БиВна верхнем рисунке
Дренирование плевральной полости

Дренирование проводится с целью удаления из плевральной полости жидкости, крови или воздуха, а также с целью устранения смещения средостения, расправления легкого, которые могут спровоцировать расстройства гемодинамического типа.
Проводится процедура исключительно с помощью ассистента – самостоятельно доктор провести диагностику не сможет.
Дренирование производится посредством использования дренажных банок, в которых находится стерильная вода, торакальных дренажных катетеров, иглодержателя, ножниц, двух зажимов, двух упаковок шелковых ниток для швов, скальпеля, иглы с оранжевыми и зелеными павильонами, десятимиллиметрового шприца и анестетика местного типа. Также понадобятся стерильные перевязочные материалы.
Для проведения процедуры пациент должен дать сознательное согласие. Перед дренированием пациента необходимо подготовить. Первое условие – это голодный желудок, запрещается употреблять пищу как минимум за двенадцать часов до запланированной манипуляции. После общего осмотра доктор в обязательном порядке назначает ряд обследований: УЗИ-диагностика, рентгенография или КТ, ОАК с указанием количества тромбоцитов, анализ крови на группу и наличие заболеваний крови, анализ крови на гепатит и СПИД.
При плановом хирургическом вмешательстве (происходит крайне редко) пациенту запрещают прием антикоагулянтных препаратов как минимум за неделю до дренирования. Процедура начинается с правильного размещения пациента: катетер вводится в периферическую вену, пациент удобно размещается на здоровом боку с поднятой рукой вверх со стороны дренирования. Иногда дренирование производится в положении сидя.
Далее доктор определяет место для введения дренажа. Основным условием является введение его по верхнему реберному краю. При пневмотораксе – 5-8 межреберье посредине аксиллярной линии, реже используется второй межреберный промежуток. При наличии не осумкованной жидкости – 5-8 межреберье по аксиллярной линии и никак иначе. При осумкованном гидротораксе или пневмотораксе – дренаж вводится в соответствии с размещением «сумки» с жидкостью (в обязательном порядке необходимо правильно установить локализацию).
Доктор маркером обозначает место прокола. Производится обработка этого места местным анестетиком (больным с нарушениями ЦНС может назначаться общая анестезия).
Показания и противопоказания дренирования

Среди показаний для проведения пункции лечебно-диагностического типа и дренирования плевральной полости при наличии УЗИ-контроля стоит отметить:
- наличие у больного искусственной вентиляции легких и нет возможности переместить пациента в сидячее положение;
- наличие ограниченного плеврита и небольшого объема выпота.
Особенно внимательно нужно относиться к пациентам:
- у которых визуализируются заболевания крови;
- с наличием врожденных патологий ЦНС, сердечно-сосудистой системы и легких.
Процедура назначается только в том случае, если существуют прямые показания и отсутствуют противопоказания. Процедура также может послужить появлению следующих осложнений: повреждение межреберного сосуда (как следствие вызывает сильное кровотечение), неправильное размещение дренажной трубки (вызывает сильные болевые ощущения), инфицирование.
Дренирование необходимо выполнять максимально быстро, для того чтобы меньше воздуха попало в грудную полость и не вызвать «падения» легкого.
Методы дренирования
В зависимости от патологии доктор назначает определенный метод дренирования. Правильно подобранный метод существенно увеличивает его эффективность:
- Вакуумный метод Редона – медицинская бутылка герметично закрывается капроновой крышкой. В банке находится кипящая вода. Подключается бутылка к дренажной трубке, и в процессе охлаждения воды производится самоотток внутри плевральных скоплений. Данный метод позволяет убрать порядка ста восьмидесяти миллилитров жидкости.
- Способ Субботина – используется два герметичных сосуда, фиксация которых производится один под другим. Между сосудами есть плотная соединительная трубка. В верхнем сосуде есть вода, нижний – пустой. Под воздействием силы притяжения вода постепенно переливается из верхнего сосуда в нижний, при этом создается вакуум, который и позволяет выкачать всю избыточную плевральную жидкость.
- Закрытый вакуумный метод – используется герметичная тара и шприц Жане. Посредством использования шприца производится откачка воздуха. Трубка подключается к герметичной таре и производится вакуумное откачивание жидкости. Важно создать идеально герметичное пространство сосуда.
- Активная аспирация – самый эффективный метод, который подразумевает использование водоструйного или электронного насоса. Особенностью данного метода является не только эффективная откачка жидкости, но и быстрое стягивание технологической раны.
Метод определяет доктор, учитывая особенности организма пациента и стадии заболевания, а также наличие необходимого оборудования и достаточного уровня навыков врача. Рекомендуем выбирать клиники с опытными и высокопрофессиональными докторами.
Установка и удаление плеврального дренажа
Доктор выполняет небольшой разрез в межреберье, аккуратно и быстро вводит дренажную трубку, фиксируя ее П-образным швом. Далее в зависимости от метода дренирования подключаются к трубке емкости. Трубка фиксируется стабильно вдоль тела для обеспечения самооттока жидкости.
После того как повторные результаты КТ показали, что в грудной полости нет жидкости и воздуха, доктор назначает удаление дренажной трубки. Важно в период удаления трубку не пережимать. Сначала снимается лейкопластырная повязка, аккуратно и быстро ослабляются швы и изымается дренаж. Важно удалять трубку не расшатывая, одним движением руки, в этот момент пациент должен задержать дыхание.
Получившаяся рана ушивается и накладывается повязка. Перевязка и обработка раны проводится каждый день, при этом доктор обращает внимание на состояние швов и на самочувствие пациента. При положительном исходе процедуры (без рецидива и негативных последствий) швы снимаются на десятые сутки.
После операции могут возникнуть осложнения в виде рецидивирующего пневмоторакса или гидроторакса, подкожной эмфиземы, эмпиемы, отека легког, кровотечения. Для того чтобы своевременно обнаружить осложнение и устранить его, пациент в обязательном порядке находится в стационаре под пристальным присмотром докторов.
Читайте также:
- Принципы операций на грудной клетке при травмах
- Диагностика лимфоцитарного гипофизита по МРТ головного мозга
- Воспаление сальникового подвеска. Выводы по острому аппендициту.
- Вторичная сидеробластическая анемия - анемии, вызываемые изониазидотерапией и отравлением свинцом
- Допплеровское исследование ригидности миокарда. Факторы влияющие на ригидность миокарда
