Диагностика лимфоцитарного гипофизита по МРТ головного мозга
Добавил пользователь Владимир З. Обновлено: 08.11.2025
Диагностика гиперплазии гипофиза по КТ, МРТ головного мозга
а) Определение гиперплазии гипофиза:
• Верхняя граница значения высоты гипофиза в норме варьирует в зависимости от возраста и пола:
о Беременные/кормящие женщины: 12 мм
о Молодые женщины детородного возраста: 10 мм
о Мужчины, женщины в постменопаузе: 8 мм
о Младенцы, дети: 6 мм
• Нефизиологическая гиперплазия наблюдается:
о При длительном гипотиреозе, болезни Аддисона, нарушении функции других органов-мишеней или при некоторых нейроэндокринных новообразованиях
б) Визуализация:
1. Общие характеристики гиперплазии гипофиза:
• Лучший диагностический критерий:
о Увеличенный в размерах гипофиз, однородно накапливающий контрастное вещество, с выпуклым верхним краем
о Может иметь узловую структуру, имитирующую аденому
• Локализация:
о Турецкое седло; железа может распространяться в супрасаллярную область, компримировать смежные структуры
• Размеры:
о От > 10 мм до 5 мм
2. КТ признаки гиперплазии гипофиза:
• Бесконтрастная КТ:
о Увеличение размеров гипофиза без его кальцификации
• КТ с контрастированием:
о Однородное контрастное усиление

(Слева) На рисунке коронального среза показана физиологическая гиперплазия гипофиза. Железа равномерно увеличена в размерах и имеет слегка выпуклый верхний край.
(Справа) МРТ, постконтрастное Т1-ВИ, сагиттальный срез: у женщины 38 лет, которой проводилось лечение по поводу бесплодия, с жалобами на головную боль определяется однородное контрастное усиление гипофиза вертикальный размер которого составляет 12 мм.
3. МРТ признаки гиперплазии гипофиза:
• Т1-ВИ:
о Изоинтенсивный гипофизу сигнал
• Т2-ВИ:
о Изоинтенсивный гипофизу сигнал
• Постконтрастные Т1-ВИ:
о Характерно диффузное контрастное усиление железы
о Может вызвать локальное усиление узловатости структуры
о МРТ с динамическим контрастированием: накапливает контраст аналогично гипофизу
4. Рекомендации по визуализации:
• Лучший инструмент визуализации:
о МРТ с 3-миллиметровыми срезами, малым полем обзора
• Совет по протоколу исследования:
о Сагиттальные/корональные Т1-; корональные Т2-ВИ
о Динамические корональные постконтрастные Т1-ВИ
о Постконтрастные сагиттальные/корональные Т1-ВИ в режиме подавления сигнала от жира
в) Дифференциальная диагностика гиперплазии гипофиза:
1. Макроаденома гипофиза:
• Может быть неотличима от гиперплазии
2. Микроаденома гипофиза:
• Может быть неотличима от гиперплазии
• При динамическом исследовании контрастное усиление опухоли происходит медленнее, чем нормальной железы
3. Лимфоцитарный гипофизит:
• Увеличенный в размерах гипофиз и/или его ножка
• Беременные или женщины в послеродовом периоде
4. Венозный застой:
• Может возникать при внутричерепной гипотензии
• Дуральные артериовенозные фистулы

(Слева) МРТ, постконтрастное Т1-ВИ, корональный срез: у кормящей женщины 28 лет наблюдается характерная физиологическая гиперплазия. Железа имеет слегка выпуклый верхний край и высоту 14 мм.
(Справа) МРТ, проведенное той же пациентке спустя год, постконтрастное Т1-ВИ, корональный срез: нормальный внешний вид гипофиза - со временем произошло разрешение послеродового физиологического увеличения железы.
г) Патология:
1. Общие характеристики гиперплазии гипофиза:
• Этиология:
о Ответ на гормональную стимуляцию ортотопически или эктопически секретируемыми релизинг-гормонами гипоталамуса:
- Ортотопическая секреция: ответ на дисфункцию органов-мишеней
- Эктопическая секреция: активность нейроэндокринных опухолей
о Физиологическая гиперплазия возникает при беременности и лактации
2. Микроскопия:
• Узловая гиперплазия характеризуется заметным увеличением долек, нарушением архитектоники
• Диффузная гиперплазия требует формального количества клеток
• Гиперплазия соматотрофов обычно имеет диффузный характер, возникает при нейроэндокринных опухолях:
о Опухоль клеток островков Лангерганса, феохромоцитома, карциноидная опухоль бронха или щитовидной железы
о Связана с синдромом МакКьюна-Олбрайта, синдромом множественных эндокринных неоплазий и комплексом Карни
• Гиперплазия лактотрофов: диффузный > узловой характер:
о Может наблюдаться при беременности и лактации, лечении эстрогенами, первичном гипотиреозе, болезни Кушинга
• Гиперплазия кортикотрофов: узловой или диффузный характер:
о Связана с болезнью Кушинга, нейроэндокринными опухолями, некупированной болезнью Аддисона
• Гиперплазия тиротрофов:
о Длительный первичный гипотиреоз, возможна связь с гиперплазией лактотрофов
• Гиперплазия гонадотрофов (например, синдром Клайнфельтера, Тернера)
д) Клиническая картина:
1. Проявления:
• Наиболее частые признаки/симптомы
о Зависят от типа клеток, подвергнутых гиперплазии
2. Лечение:
• При связи с гипотиреозом регрессия происходит после терапии гормонами щитовидной железы
• Купирование дисфункции органов-мишеней или лечение нейроэндокринной опухоли
е) Диагностическая памятка. Обратите внимание:
• Гиперплазия может имитировать аденому:
о В дифференциальной диагностике могут быть полезны клинические данные
• Если у мальчиков предподросткового возраста рентгенологическая картина схожа с аденомой предполагайте дисфункцию органов-мишени
Лимфоцитарный гипофизит: клинический случай
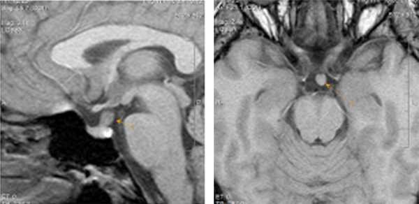
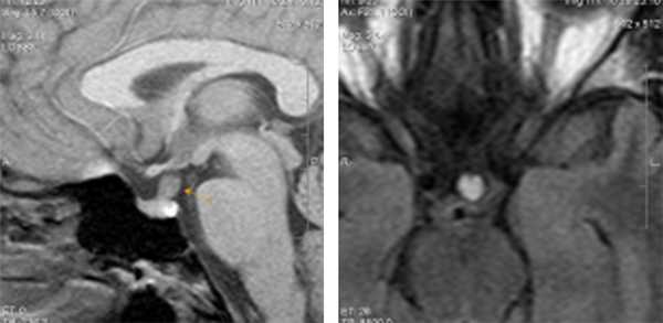
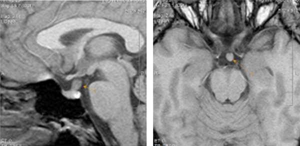
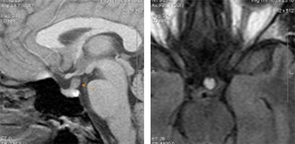
В центр МРТ Эксперт Воронеж обратилась пациентка, 31 год, с жалобами на головные боли справа и чувство тяжести в правых отделах шеи. Других жалоб пациентка не предъявляла, клинико-лабораторных данных о наличии дисфункции гипоталамо-гипофизарной системы предоставлено не было.
При проведении МРТ головного мозга
было выявлено умеренно выраженное утолщение и повышение интенсивности МР-сигнала от воронки гипофиза. Других изменений в проекции гипофиза, гипоталамуса, параселлярных областей не визуализировалось. Помимо этого, были обнаружены очаги глиоза больших полушарий головного мозга.


При совместном обсуждении этого случая на вебинаре
доктора наших центров подтвердили выявленные изменения и оставался вопрос верной трактовки данной патологии.
Данная картина в виде утолщения ножки гипофиза с достаточно четкими ровными контурами и повышение интенсивности МР-сигнала от нее характерна для заболевания воспалительной этиологии – лимфоцитарного гипофизита (когда происходит вовлечение в процесс воронки гипофиза, но при этом остаются интактными другие отделы гипофиза – адено- и нейрогипофиз). Среди других нозологий были выделены: а) инфундибулит другой этиологии, например при гранулематозном воспалительном процессе - саркоидозе б) вместе с тем, данные только МР-томографического исследовния, без достаточно четких клинико-лабораторных данных, не позволяют исключить и неопластического процесса данной локализации, в частности герминомы; в) гамартома гипоталамуса также выставлялась нашими докторами в дифференциально-диагностический ряд; г) метастатическое поражение воронки гипофиза.
К каким выводам пришли в ходе вебинара:
из выстроенного дифференциального ряда врачи исключили гамартому (поскольку для данной патологии характерны другие сигнальные характеристики при МР-исследовании, клинически она проявляется преждевременным половым созреванием, насильственным смехом и плачем,чего не было в данном случае). Также из диф. ряда было исключено метастатическое поражение воронки (четкость и ровность контуров, симметричность, однородность, отсутствие узловатых утолщений – нехарактерные признаки для метастаза).
Дальнейшая дифференциальная диагностика
проводилась между гипофизитом (воспалительным процессом) и изменениями неопластического характера. В результате пришли к выводу, что выявленные изменения более специфичны для изменений воспалительного характера - лимфоцитарного гипофизита (в виде изолированного гипофизита). Но при этом полученная МР-картина не позволяет полностью исключить и неопластического процесса воронки гипофиза (герминомы) – что менее вероятно с учетом клинических данных и результатов внутривенного контрастирования.
Что еще необходимо сделать:
согласно данным зарубежной литературы необходимо проводить морфологическое дообследование (биопсию) с целью окончательной верификации диагноза (воспалительного или неопластического характера).
Что дал метод МРТ в данном случае:
возможность выявить небольшой по размерам участок изменений в головном мозге, в воронке гипофиза (максимальный размер утолщенной воронки гипофиза всего 0,7 см), но при этом крайне важные клинически изменения, требующие дальнейшего наблюдение и, возможно, морфологической верификации .
Что необходимо для окончательного подтверждения/верификации диагноза:
консультация нейрохирурга, эндокринолога с лабораторным исследованием уровня гормонов гипофиза и гипоталамуса; лабораторное исследование на наличие аутоиммунного процесса (С-реактивный белок, волчаночные антитела, антинуклеарные антитела). Наблюдение в динамике; морфологическое дообследование.
Информационные данные:
Лимфоцитарный гипофизит – редкое аутоиммунное воспалительное заболевание, которое может поражать изолированно и/или совместно аденогипофиз, нейрогипофиз и воронку гипофиза. При этом специфичных аутоантигенов (по которым можно установить диагноз лабораторным способом) на данный момент не выявлено. Именно поэтому, биопсия является единственным методом исследования, позволяющим поставить верный диагноз. В связи с этим, диагностика и дифференциальная диагностика данной болезни – сложная проблема. Клинические проявления зачастую неспецифичны и могут включать в себя головную боль, усталость, тошноту, рвоту, несахарный диабет и клинику гипопитуитаризма. Чаще диагностируется у женщин во время беременности и в послеродовый период, но может быть связан и с другими аутоиммунными заболеваниями.
Лечение: при подтверждении диагноза лимфоцитарного гипофизита в 1 очередь используются кортикостероиды (гидрокортизон, дексаметазон). Эту терапию можно начинать и без окончательно установленного диагноза с целью нейровизуализационной оценки (с помощью МРТ гипофиза) наличия/отсутствия соответствующей положительной динамики. Также возможно применение цитостатиков. Хирургическое, радиохирургическое лечение применяются в редких случаях при отсутствии/недостаточности эффекта от консервативной терапии.
В центр МРТ Эксперт Воронеж обратилась пациентка, 31 год, с жалобами на головные боли справа и чувство тяжести в правых отделах шеи. Других жалоб пациентка не предъявляла, клинико-лабораторных данных о наличии дисфункции гипоталамо-гипофизарной системы предоставлено не было.было выявлено умеренно выраженное утолщение и повышение интенсивности МР-сигнала от воронки гипофиза. Других изменений в проекции гипофиза, гипоталамуса, параселлярных областей не визуализировалось. Помимо этого, были обнаружены очаги глиоза больших полушарий головного мозга.доктора наших центров подтвердили выявленные изменения и оставался вопрос верной трактовки данной патологии.Данная картина в виде утолщения ножки гипофиза с достаточно четкими ровными контурами и повышение интенсивности МР-сигнала от нее характерна для заболевания воспалительной этиологии – лимфоцитарного гипофизита (когда происходит вовлечение в процесс воронки гипофиза, но при этом остаются интактными другие отделы гипофиза – адено- и нейрогип
Лимфоцитарный гипофизит


Диагностика лимфоцитарного гипофизита по МРТ головного мозга
а) Терминология:
1. Сокращения:
• Лимфоцитарный гипофизит (ЛГ)
2. Синонимы:
• Аденогипофизит, первичный гипофизит, воспаления ножки гипофиза
3. Определение:
• Идиопатическое воспаление гипофиза и/или его ножки
1. Общие характеристики лимфоцитарного гипофизита:
• Лучший диагностический критерий:
о Утолщение ножки гипофиза (без ее нормального сужения) ± объемное образование гипофиза
• Локализация:
о Супраселлярная, интраселлярная
• Размеры:
о Обычно < 10 мм, но могут достигать 2-3 см
• Морфология:
о Округленный гипофиз с утолщением воронки (возможно утолщение по типу луковицы), с отсутствием ее нормального сужения
2. МРТ признаки лимфоцитарного гипофизита:
• Т1-ВИ:
о Утолщение ножки гипофиза (> 2 мм + исчезновение его нормального сужения) о ± увеличение размеров гипофиза
о В 75% случаев наблюдается отсутствие «яркого пятна» задней доли гипофиза
• Т2-ВИ:
о Изо-/гипоинтенсивный сигнал
• Постконтрастные Т1-ВИ:
о Интенсивное и равномерное контрастное усиление
о Может наблюдаться утолщение твердой мозговой оболочки или слизистой оболочки основной пазухи носа

(Слева) На рисунке сагиттального среза показан лимфоцитарный гипофизит. Обратите внимание на утолщение воронки с исчезновением нормального ее сужения «сверху вниз», а также инфильтрацию передней доли гипофиза.
(Справа) МРТ, Т2-ВИ, корональный срез: у беременной женщина со зрительными и эндокринными нарушениями в селлярной/супраселлярной областях определяется гиперинтенсивное объемное образование, смещающее зрительный перекрест кверху. При хирургическом вмешательстве с целью декомпрессии зрительного перекреста был выявлен лимфоцитарный гипофизит Рентгенологическая картина имитирует макроаденому гипофиза.
3. Рекомендации по визуализации:
• Совет по протоколу исследования:
о МРТ: преконтрастныетонкосрезовые (< 3 мм) сагиттальные, корональныеЛ -ВИ и Т2-ВИ
о Корональные динамические постконтрастные Т1-ВИ (может наблюдаться отсроченное контрастное усиление гипофиза)
в) Дифференциальная диагностика лимфоцитарного гипофизита:
1. Макроаденома:
• Селлярное и супраселлярное объемное образование
• Увеличение в объеме/эрозия турецкого седла
• Несахарный диабет часто наблюдается при ЛГ, но редко-при аденоме
2. Гиперплазия гипофиза:
• Ножка гипофиза обычно в норме
о У молодых женщин, поздние сроки беременности/околоро-довой период
• Может наблюдаться при гипотиреозе, болезни Аддисона, дисфункции органов-мишеней, нейроэндокринных новообразованиях
3. Подростковые изменения гипофиза:
• Увеличение размеров железы с равномерным контрастным усилением
4. Гранулематозное поражение:
• Саркоидоз, гистиоцитоз из клеток Лангерганса (ГКЛ), гранулематоз с полиангиитом; часто развиваются на фоне системной болезни
5. Гипофизарная карликовость:
• Ножка гипофиза может выглядеть укороченной и утолщенной
6. Эктопия задней доли гипофиза:
• Гиперинтенсивный очаг в области серого бугра или укороченной ножки гипофиза

(Слева) МРТ, постконтрастное Т1-ВИ, сагиттальный срез: у мужчины 37 лет с пангипопитутаризмом на фоне лечения ипилимумабом по поводу метастатической меланомы отмечаются относительно крупные размеры гипофиза. По сравнению с предыдущей МРТ, проведенной шесть недель назад, размеры железы увеличились вдвое. Такая картина согласуется с лекарственно-индуцированным гипофизитом.
(Справа) МРТ, постконтрастное Т1-ВИ, сагиттальный срез: у пациента в возрасте 50 лет с несахарным диабетом определяется локальное утолщение воронки гипофиза, обусловленное лимфоцитарным инфундибулонейрогипофизитом.
1. Общие характеристики лимфоцитарного гипофизита:
• Этиология:
о Аутоиммунное, воспалительное заболевание
о Другие типы гипофизита включают:
- Гранулематозный (саркоидоз, ГКЛ, инфекционное поражение и т.д.)
- IgG4-связанный гипофизит
- Связанный с лекарственными средствами (иммунотерапия рака [например, ипилимумаб])
2. Макроскопические и хирургические особенности:
• Диффузное увеличение в размерах гипофиза/его ножки
3. Микроскопия:
• Острая стадия:
о Плотный инфильтрат из В-/Т-лимфоцитов, плазматических клеток, иногда эозинофилов; ± лимфоидные фолликулы
о Гранулемы, гигантские клетки или организмы отсутствуют; новообразование отсутствует
• Хроническая стадия: может наблюдаться протяженный фиброз
1. Проявления лимфоцитарного гипофизита:
• Наиболее частые признаки/симптомы:
о Головная боль, зрительные нарушения
• Клинический профиль:
о Женщина в околородовом периоде с головной болью, множественной эндокринной недостаточностью
о Мужчина среднего возраста с несахарным диабетом (лимфоцитарный инфундибулонейрогипофизит)
3. Течение и прогноз:
• Часто разрешается самостоятельно
• Недиагностированный лимфоцитарный гипофизит (ЛГ) без лечения может привести клетальному исходу вследствие пангипопитуитаризма
4. Лечение лимфоцитарного гипофизита:
• Консервативное (стероидная, гормональная заместительная терапия)
е) Диагностическая памятка. Советы по интерпретации изображений:
• Лимфоцитарный гипофизит (ЛГ) может имитировать аденому гипофиза
ж) Список литературы:
1. Tauziede-Espariat A et al: The prevalence of lgG4-positive plasma cells in hypophysitis: a possible relationship to IgG4-related disease. Clin Neuropathol. ePub, 2015
2. Chodakiewitz Y et al: Ipilimumab treatment associated pituitary hypophysitis: clinical presentation and imaging diagnosis. Clin Neurol Neurosurg. 125:125-BO, 2014
3. Imber BS et al: Hypophysitis: a single-center case series. Pituitary. ePub, 2014
Маленький, но важный. Когда нужна МРТ гипофиза?
Хотя этот орган невелик, но его значение для организма крайне важно. Гипофиз называют регулятором жизнедеятельности и гарантом хорошего состояния здоровья. О том, в каких случаях и как проводится МРТ-исследование гипофиза, нам рассказал врач-рентгенолог «МРТ Эксперт» Новосибирск Евгений Николаевич Кликич.
- Евгений Николаевич, что это за орган - гипофиз? Какую роль он выполняет в организме?
- Гипофиз (иначе питуитарная железа) – маленькая структура, расположенная в основании черепа, которую по праву нарекли «покровителем гормонов». Будучи размером с небольшую фасолину, этот орган вырабатывает более десяти гормонов, влияющих на рост человека, функционирование щитовидной железы, надпочечников, желез репродуктивной системы. То есть гипофиз контролирует и руководит деятельностью этих эндокринных органов, поддерживая гормональный баланс в организме.
- Когда требуется проведение магнитно-резонансной томографии гипофиза?
- В подавляющем большинстве случаев на это исследование к нам направляют пациентов врачи-эндокринологи. Зачем они назначают МРТ гипофиза? Чаще всего с целью исключения микро- и макроаденом гипофиза – одной из частых патологий органа. Также данный вид исследования рекомендован при гипофизитах – воспалительных изменениях в ткани гипофиза.
Прицельная МРТ гипофиза может понадобиться после обнаружения патологических изменений в его структуре, либо в области его расположения, после проведённого МРТ головного мозга. Эта информация будет полезна неврологам и нейрохирургам. Иногда пройти этот вид обследования рекомендуют пациентам врачи-офтальмологи при расстройствах зрительной функции. Это связано с особенностью расположения гипофиза и возможностью сдавления им зрительных нервов вследствие патологических изменений, с последующим нарушением зрения.
- Что показывает МРТ гипофиза? Какие изменения органа можно увидеть на МРТ-снимке?
- Хорошо визуализируются опухолевые образования - макро- и микроаденомы, кисты, воспалительные изменения в органе, аномалии его развития, краниофарингиомы, метастазы опухолей.
- С какой целью проводят МРТ-исследование гипофиза с контрастированием?
- Практика показывает, что проведение МРТ этого органа без применения контраста малоинформативно. Мы обычно проводим МРТ-диагностику гипофиза с динамическим контрастированием. Особенность данного исследования в том, что специалист вводит контрастное вещество в вену и параллельно осуществляет серию снимков в разных фазах контрастирования. Это позволяет определить расположение и размеры микроаденом и других опухолей гипофиза, выявить их связь с окружающими тканями, а также оценить интенсивность кровотока в исследуемой области.
МРТ гипофиза с контрастом рекомендовано также пациентам перед нейрохирургическим вмешательством по поводу удаления опухолей в данном отделе головного мозга.
Подробнее об МРТ-исследованиях с контрастным веществом читайте в нашей статье
- В чём заключается подготовка к МРТ гипофиза?
- Специфической подготовки нет. Однако, как и перед любым магнитно-резонансным исследованием, следует снять с себя все металлические аксессуары. Пациенты должны информировать врача об имеющейся аллергии, чтобы исключить возможность развития аллергической реакции на вводимый препарат.
- Существуют ли противопоказания к МРТ гипофиза?
- Да. Среди них наличие в теле пациента ферромагнитных имплантов, электронных устройств (например, кардиостимулятора), искусственных сердечных клапанов. Беременным МРТ гипофиза назначают в исключительных случаях, а в первом триместре такая процедура не проводится вовсе. Исследование с контрастированием также не выполняется пациентам с хронической почечной недостаточностью 3-4 степени.
Читайте материал по теме: Можно и нельзя в МРТ
- Как проводится МРТ гипофиза?
- Человек ложится на стол томографа, на спину. Для обеспечения максимальной неподвижности голова фиксируется специальным креплением. Затем проводится сканирование. Продолжительность исследования составляет 30 – 40 минут.
- В чём преимущество магнитно-резонансной томографии для диагностики патологических процессов гипофиза по сравнению с другими методами исследования?
- Магнитно-резонансная диагностика считается «золотым стандартом» в исследовании гипофиза.
Касательно вопроса, что лучше - рентген-диагностика, КТ или МРТ гипофиза, могу сказать, что магнитно-резонансная томография отличается большей безопасностью (нет ионизирующего излучения) и высокой информативностью. На КТ-снимках небольшие микроаденомы легко спутать с тканью самой железы, тогда как на МРТ визуализируются очень чётко самые мелкие новообразования. Изменения гипофизарной ямки на рентгеновском снимке различимы только при крупных новообразованиях гипофиза, поэтому данный метод исследования мало пригоден для раннего выявления патологических изменений.
О компьютерной томографии подробнее читайте здесь
Хотелось бы отметить, что часто к нам направляют пациентов на МРТ головного мозга, подразумевая, что на снимках можно будет увидеть и детально оценить патологии гипофиза, как части мозга. Это ошибочное мнение, так как эти два исследования существенно отличаются. При проведении сканирования головного мозга осуществляются снимки срезов толщиной в 5 мм, а при прицельном исследовании гипофиза мы получаем срезы через каждые 2-3 мм. Такая детализация позволяет разглядеть мельчайшие изменения в органе.
Беседовала Севиля Ибраимова
Для справки:
Кликич Евгений Николаевич
В 2015 году окончил медико-биологический факультет Сибирского государственного медицинского университета.
С 2015 по 2016 год проходил интернатуру в этом же ВУЗе по специальности «Рентгенология».
Врач-рентгенолог в «МРТ Эксперт» Новосибирск. Принимает по адресу: ул. Якушева д.41, к2
Читайте также:
- Показания для дивертикуляризации двенадцатиперстной кишки и панкреатического дренажа при травме
- Патоморфология гипоксии новорожденного. Нарушение зрительного анализатора
- Психоневрозы хронического аппендицита. Формы хронических аппендицитов
- Связывание SRP с рецептором при закреплении белков на мембране ЭПР
- Становление опийной зависимости. Нарушение нозогнозии при опийной наркомании
