Причины тостокишечной непроходимости у новорожденного. Омфалоцеле - гастрошизис
Добавил пользователь Morpheus Обновлено: 30.10.2025
УЗИ, МРТ при гастрошизисе у плода
а) Определения: 
• Парамедианный дефект передней брюшной стенки, проникающий на всю ее толщину: 
о Практически всегда правосторонний 
• Чаще всего встречается простая форма гастрошизиса: 
о Другие аномалии развития и выраженное расширение кишечника отсутствуют 
• Сложная форма гастрошизиса (12-15%): 
о Расширение кишечника, выпадение печени, другие аномалии развития
б) Лучевая диагностика:
1. Общие сведения: 
• Критерии диагностики: 
о Нормальное место прикрепления пуповины + выпадение кишечника: 
- Характерно выпадение кишечника на значительном протяжении: 
Тонкая кишка вовлечена всегда 
Толстая кишка вовлечена часто 
- Грыжевой мешок может содержать желудок и мочевой пузырь 
- Редко может содержать печень 
о Оболочка грыжевого мешка отсутствует
 (Слева) УЗИ плода в III триместре. Гастрошизис. Определяется грыжевое выпячивание желудка плода через дефект в передней брюшной стенке. Выпадение желудка (ST) чаще всего обнаруживают в III триместре, данная находка может быть преходящей. 
(Справа) Фотография недоношенного новорожденного с гастрошизисом. Справа от места прикрепления пуповины В определяются расширенный желудок и тонкая кишка, выпадающие через дефект в передней брюшной стенке. Грыжевое выпячивание желудка само по себе не связано с риском неблагоприятного исхода, однако в сочетании с преждевременными родами смертность и частота осложнений повышаются. (Слева) Свободное баллотирование петель кишечника, находящихся за пределами брюшной полости, отсутствует. Стенка кишечника утолщена, эхоген-ность повышена, петли кишечника, находящиеся за пределами брюшной полости, покрыты «ложной» оболочкой - фибриновой пленкой. Данная реакция может быть обусловлена воздействием амниотической жидкости. 
(Справа) УЗИ того же плода. В брюшной полости визуализируется несколько значительно расширенных петель кишечника Данный ультразвуковой признак обладает наибольшей чувствительностью в диагностике атрезии или кишечной непроходимости. У новорожденного выявлена кишечная непроходимость вследствие атрезии тощей кишки. (Слева) МРТ плода с простой формой гастрошизиса, Т2-ВИ, сагиттальная плоскость. Определяется грыжевое выпячивание петель кишечника без выраженного расширения. Объем амниотической жидкости снижен, что часто наблюдают при данной патологии. Многоводие с большей точностью позволяет прогнозировать поражение кишечника. 
(Справа) УЗИ плода с осложненным гастрошизисом и многоводием. Петли кишечника, находящиеся в брюшной полости, значительно расширены. Петли, расположенные снаружи, имеют значительно меньшие размеры. Данная находка позволяет заподозрить тяжелое поражение кишечника. 
2. УЗИ при гастрошизисе у плода: 
• УЗИ в режиме серой шкалы: 
о Расширение кишечника (>7 мм): 
- Характерно расширение петель кишечника за пределами брюшной полости (88%): 
Не является прогностическим фактором атрезии кишечника 
Прогрессирует с увеличением срока беременности 
- Расширение петель кишечника в брюшной полости: с большой вероятностью позволяет предположить патологию кишечника: 
Расширение >14 мм связано с ↑ частоты атрезии (29%) 
Прогностическая ценность отрицательного результата при расширении петель кишечника в брюшной полости о Строение стенки кишечника: 
- Утолщенная, гиперэхогенная, бугристая: 
Вторичный химический перитонит, вызванный контактом с амниотической жидкостью 
Покрыта фибриновой и серозной пленкой 
- Сопутствующие нарушения: кишечная непроходимость, атрезия, другие патологии кишечника: 
о Часто наблюдают аномальное расположение желудка: 
Желудок «притянут» к месту прикрепления пуповины 
Желудок может находиться за пределами брюшной полости (временно или постоянно) 
о Чаще диагностируют маловодие, чем многоводие: 
- Многоводие может свидетельствовать об атрезии кишечника или кишечной непроходимости 
о Часто наблюдают ЗРП 
• Импульсная допплерография: 
о Исследование верхней брыжеечной артерии не позволяет сформулировать прогноз для состояния кишечника и акушерского исхода 
о Изменение кровотока в ПА связано с ЗРП, кишечной непроходимостью, внутриутробной смертью плода 
• ЦДК: 
о Предпочтительный метод исследования места прикрепления пуповины
3. МРТ при гастрошизисе у плода: 
• Режим Т2-ВИ: 
о Петли кишечника, находящиеся за пределами брюшной полости, имеют сигнал высокой интенсивности 
• Информативна при затрудненной визуализации: 
о Ожирение беременной, маловодие 
• Позволяет исследовать сопутствующие аномалии развития: 
о В особенности аномалии развития головного мозга
4. Рекомендации по лучевой диагностике: 
• Диагностика возможна во время скринингового УЗИ в I триместре: 
о Дифференциальную диагностику проводят между физиологической грыжей пупочного канатика (в основании места прикрепления пуповины) и гастрошизисом (парамедианный правосторонний дефект) 
• Во время скринингового УЗИ во II триместре необходимо визуализировать брюшную стенку по обе стороны от места прикрепления пуповины 
• Тщательное наблюдение за состоянием плода в III триместре: 
о ЗРП является показанием к досрочному родоразрешению 
о Биофизический профиль и наблюдение за состоянием плода 
о Как правило, отмечают прогрессирующее расширение кишечника 
о При острых осложнениях со стороны кишечника в некоторых случаях может потребоваться досрочное родо-разрешение: 
- Заворот кишок, приводящий к ишемии 
- Признаки перфорации кишечника 
о Чаще диагностируют маловодие, чем многоводие
 (Слева) Изначально у плода было диагностировано омфалоцеле, однако при ЦДК определяется пуповина, прикрепленная к брюшной стенке. Печень, желудок и тонкая кишка находятся за пределами брюшной полости и не покрыты оболочкой. У плода диагностирована сложная форма гастрошизиса с вовлечением печени. 
(Справа) МРТ другого плода с га-строшизисом и выпадением печени Т2-ВИ. Определяется сопутствующая косолапость. МРТ позволяет отчетливо визуализировать гиперинтенсивные, расширенные, свободно баллотирующие петли кишечника. Сопутствующие аномалии выявляют достаточно редко.  (Слева) 3D УЗИ того же плода со сложной формой гастрошизиса. Печень, а также желудок и тонкая кишка преимущественно находятся за пределами туловища. Прогноз неблагоприятный. Данный порок развития большинство авторов расценивают как летальный. При выявлении настолько тяжелых аномалий развития необходимо исключить синдром амниотических перетяжек. 
(Справа) Фотография того же плода после рождения. Находки УЗИ подтвердились. Печень желудок и тонкая кишка находятся за пределами брюшной полости, пуповина прикреплена к брюшной стенке (не показана). (Слева) УЗИ плода в III триместре. Мочевой пузырь выпадает через дефект, расположенный парамедианно по отношению к месту прикрепления пуповины. Также присутствуют удвоение почки и гидронефроз. Данные находки выявлены у плода впервые. Гидронефроз разрешился после первичной хирургической редукции. 
(Справа) 3D УЗИ другого плода с выпадением мочевого пузыря (BL). Петли тонкой кишки (SB) не расширены. Выпадение мочевого пузыря может быть преходящей находкой, не связанной с неблагоприятным прогнозом. 
в) Дифференциальная диагностика гастрошизиса у плода:
1. Омфалоцеле: 
• Дефект в центральной части передней брюшной стенки + грыжевой мешок, представленный брюшиной: 
о Чаще всего содержит печень + кишечник на некотором протяжении 
о Пуповина прикрепляется к грыжевому мешку омфалоцеле (иногда прикрепление краевое) 
• Омфалоцеле, содержащее только кишечник, может быть неотличимо от гастрошизиса: 
о Свободное баллотирование кишечника отсутствует, пуповина прикрепляется к грыжевому мешку 
• Встречается при анеуплоидии: 
о Чаще всего присутствуют другие аномалии развития 
• Разрыв омфалоцеле встречается редко: 
о Дифференциальная диагностика с гастрошизисом затруднена
2. Аномалия предшественника аллантоидного стебелька: 
• Причудливый дефект передней брюшной стенки: 
о Часто сопровождается выпадением органов грудной клетки 
о Характерно наличие сколиоза + аномалий развития конечностей 
• Плод «прикреплен» к плаценте: 
о Укорочение пуповины 
• Аномалия практически всегда летальна
3. Синдром амниотических перетяжек: 
• Клиническая картина и степень тяжести варьируют 
• Поражены сразу несколько частей тела 
• Часто вовлечены голова и шея 
• Дефекты по типу рассечения, не подчиняющиеся закономерностям эмбриогенеза
4. Клоакальная экстрофия: 
• Невизуализирующийся мочевой пузырь + омфалоцеле, содержащее только кишечник 
• Дефект в нижней части передней брюшной стенки: 
о Низко расположенное место прикрепления пуповины + образование книзу от места прикрепления пуповины, представленное мягкими тканями 
о Содержит слизистую оболочку или фрагмент мочевого пузыря 
• Часто сопровождается другими аномалиями развития гениталий и почек
5. Физиологическая грыжа пупочного канатика: 
• Петли кишечника возвращаются в брюшную полость к 11-12 нед. 
• Длина грыжевого выпячивания не должна превышать 1 см 
• Всегда расположена по средней линии, в основании находится место прикрепления пуповины
 (Слева) Желудок плода частично находится за пределами туловища, петли кишечника, находящиеся за пределами брюшной полости, расширены Петли кишечника, расположенные в брюшной полости, не изменены. 
(Справа) Исследование кишечника с контрастированием, выполненное у новорожденного после пластики гастрошизиса и обструкции тонкой кишки. Толстая кишка целиком расположена в левой половине брюшной полости. У всех плодов с гастрошизисом отмечается нарушение поворота кишечника той или иной степени. В данном случае определяется незавершенный (отсутствующий) поворот. Толстая кишка расширена и целиком находится в левой половине брюшной полости. Тонкая кишка, заполненная газом, находится справа. (Слева) Исследование кровотока в верхней брыжеечной артерии у плода с гастрошизисом. Кроме того, визуализируется венозный кровоток. По данным исследований, измерение кровотока в верхней брыжеечной артерии не имеет значимой прогностической ценности положительного результата. 
(Справа) Рентгенограмма новорожденного с гастрошизисом. Визуализируется рентгеноконтрастный мешок Silo. Исходы при ранней аллопластике мешком Silo (  (Слева) УЗИ плода в III триместре. Петли кишечника, находящиеся за пределами брюшной полости, значительно расширены. При последующих исследованиях расширение не определялось. Однако одновременно с этим отмечали нарастающее количество гиперэхогенного детрита В в амниотической жидкости, что позволило заподозрить перфорацию кишечника. 
(Справа) Новорожденному потребовалась резекция значительного участка кишечника, что привело к синдрому короткой кишки. На рентгенограмме определяется нарушение поворота кишечника (тонкая кишка находится в правой части брюшной полости). Небольшой участок толстой кишки находится в левой части брюшной полости и завершается калоприемником. 
г) Патологоанатомические особенности:
1. Общие сведения: 
• Этиология: 
о Нарушение закрытия вентральной стенки туловища в 5-7 нед.: 
- Причиной нарушения сворачивания эмбриона может явдяться дефицит мезодермы 
о Теории сосудистой этиологии в настоящее время не рассматриваются: 
- Возможное исключение - сопутствующая амиоплазия 
• Генетические факторы: 
о Чаще возникает случайным образом: 
- Риск повторного возникновения 1% 
о Описаны случаи семейного наследования о Связь с анеуплоидией менее вероятна: 
- Специфический дефект отсутствует 
• Сопутствующая патология: 
о Всегда сопровождается нарушением или отсутствием поворота кишечника 
о Пороки развития, не связанные с ЖКТ (10-20%): 
- Пороки сердца (чаще всего) 
- Аномалии ЦНС: 
Септооптическая дисплазия, дисгенезия коры головного мозга 
Синдром ФСМ 
• Аномалии развития почек: 
- Аномалии развития конечностей: 
Амиоплазия, артрогрипоз 
Косолапость 
о Другие аномалии развития ЖКТ: 
- Гипоплазия желчного пузыря, меккелев дивертикул
2. Макроскопические изменения и исследование операционного материала: 
• Дефект передней брюшной стенки сравнительно малых размеров (• Пораженные петли кишечника воспалены и отечны 
• Атрезия: 
о Множественная или протяженная атрезия 
• Левосторонние дефекты встречаются крайне редко
д) Клинические особенности:
1. Клиническая картина: 
• Высокой чувствительностью в отношении диагностики порока обладает УЗИ плода: 
о Чаще всего диагноз ставят по данным исследования анатомии плода во II триместре 
о Диагностика возможна в I триместре (>12-й недели) 
• ↑ уровня α-фетопротеина в сыворотке крови матери во II триместре (95%): 
о Уровень выше, чем при омфалоцеле, по причине отсутствия оболочки грыжевого мешка
2. Демографические особенности: 
• Эпидемиология: 
о 4,5:10 000 родов: 
- ↑ заболеваемости; 2,3:10 000 родов в 1995 г. 
о Заболеваемость плодов от юных матерей в 6-10 раз выше, чем от матерей в возрасте >25 лет: 
- Средний возраст: по данным большинства исследований, 21-22 года 
о Другие факторы риска: 
- Табакокурение (20-30% случаев) 
- Употребление наркотиков (6%) 
- Низкий социально-экономический статус 
- Низкий индекс массы тела
4. Лечение гастрошизиса у плода: 
• Консенсус в отношении предпочтительных сроков родоразрешения и хирургического лечения отсутствует: 
о Подходы к лечению в различных медицинских центрах отличаются 
• Первичное закрытие дефекта и аллопластика мешком Silo: 
о При аллопластике, выполненной в течение - Полноценное кормление в обоих случаях становится возможным в одинаковом возрасте 
- Общий срок госпитализации не различается о Выполнение аллопластики в течение >5 дней жизни связано с неблагоприятными исходами 
о Аллопластика связана с более продолжительной искусственной вентиляцией легких 
• Рекомендовано родоразрешение через естественные пути: 
о КС выполняют по стандартным показаниям 
о Тазовое предлежание является противопоказанием к родоразрешению через естественные пути или наружному акушерскому повороту плода на головку из-за риска повреждения сосудов кишечника 
• Консенсус в отношении оптимальных сроков родоразрешения отсутствует: 
о По результатам недавнего исследования, частота внутриутробной смерти плода не ↑ при родоразрешении в >35 нед. 
о Наблюдение за состоянием плода в >36 нед. и родоразрешение в 37 нед., предположительно, улучшают исходы 
о Для ускорения созревания легких показано введение кортикостероидов 
• Родоразрешение в условиях стационара III уровня: 
о Тщательный контроль за водным балансом и потерями тепла 
о Недостаточно бережная транспортировка повышает риск повреждения кишечника
е) Особенности диагностики. Признаки, учитываемые при интерпретации результатов: 
• Многоводие часто коррелирует с наличием осложнений со стороны кишечника 
• Ухудшение состояния кишечника в ряде случаев служит поводом для досрочного родоразрешения: 
о Преждевременные роды на фоне гастрошизиса связаны с неблагоприятным прогнозом
ж) Список использованной литературы: 
1. Goetzinger KR et al: Sonographic predictors of postnatal bowel atresia in fetal gastroschisis. Ultrasound Obstet Gynecol. 43(4):420-5, 2014 
2. Lusk LA et al: Multi-institutional practice patterns and outcomes in uncomplicated gastroschisis: a report from the University of California Fetal Consortium (UCfC). J Pediatr Surg. 49(12): 1782-6, 2014 
3. Overcash RT et al: Factors associated with gastroschisis outcomes. Obstet Gynecol. 124(3):551-7, 2014 
4. Grant NFI et al: Elective preterm birth for fetal gastroschisis. Cochrane Database Syst Rev. 6:CD009394, 2013 
5. South AP et al: Metaanalysis of the prevalence of intrauterine fetal death in gastroschisis. Am J Obstet Gynecol. 209(2): 114.e1—13,2013 
6. Ajayi FA et al: Ultrasound prediction of growth abnormalities in fetuses with gastroschisis. J Matem Fetal Neonatal Med. 24(3):489-92, 2011
- Вернуться в оглавление раздела "Акушерство."
Редактор: Искандер Милевски. Дата обновления публикации: 16.10.2021
Врожденная кишечная непроходимость
Врожденная кишечная непроходимость (ВКН) встречается при пороках развития ЖКТ, нарушениях иннервации кишечной стенки, генетических заболеваниях. Основные признаки патологии: многократная рвота с примесью зеленого цвета, отсутствие стула, вздутие и болезненность живота. У ребенка быстро ухудшается состояние, нарастает обезвоживание, полиорганная недостаточность. Диагностика проводится на поздних гестационных сроках по УЗИ, у новорожденных врожденная кишечная непроходимость выявляется с помощью рентгенографии, сонографии, ирригоскопии. При ВКН выполняется хирургическая коррекция порока.
МКБ-10
Общие сведения
Врожденная непроходимость кишечника — самая распространенная патология в абдоминальной хирургии неонатального периода. По разным данным, заболевание диагностируется с частотой от 1:1500 до 1:2700 среди живорожденных новорожденных. У мальчиков и девочек наблюдается одинаково часто. Актуальность болезни обусловлена тяжелыми нарушениями работы желудочно-кишечного тракта, высоким риском осложнений и вероятностью отдаленных негативных последствий оперативного лечения.
Причины
Нарушение пассажа пищевых и каловых масс по кишечной трубке — следствие врожденных пороков развития. Чаще всего патология возникает на фоне атрезии и кишечных стенозов, которые могут локализоваться на разной высоте. Реже этиологическим фактором выступают аномалии кишечной стенки (болезнь Гиршпрунга, нейрональная дисплазия), нарушения поворота и фиксации брыжейки (синдром Ледда, кишечный заворот).
Причиной непроходимости у новорожденного могут стать внекишечные факторы. Например, патологическое состояние диагностируется при сдавлении кишечных петель извне кольцевидной поджелудочной железой, опухолью, аберрантным сосудом. В редких случаях врожденная кишечная непроходимость вызвана мекониальным илеусом и является одним из компонентов муковисцидоза.
Точные причины возникновения пороков не установлены, однако в акушерстве выделяют несколько тератогенных факторов, которые действуют на плод в критические периоды роста. К возможным повреждающим агентам относят физические (ионизирующее излучение, гипертермия, гипотермия), химические (полихлорированные бифенолы, пестициды и гербициды, тяжелые металлы), биологические факторы (вирусы и бактерии, проникающие через плаценту к плоду).
Патогенез
Если врожденная непроходимость связана с аномальным формированием поджелудочной железы, необратимые изменения возникают уже через 1-1,5 месяца с момента зачатия. При болезни Гиршпрунга нарушается миграция нервных клеток в кишечную стенку, в результате чего участок кишечника не получает иннервацию и не перистальтирует. При муковисцидозе развитие непроходимости обусловлено закупоркой кишечной трубки вязким и плотным меконием.
Классификация
По локализации выделяют высокую (препятствие на уровне желудка или двенадцатиперстной кишки) и низкую кишечную непроходимость, при которой поражается тощая, подвздошная или толстая кишка. Второй вариант встречается намного чаще. По степени нарушений пассажа кала бывает полная и частичная форма болезни. По времени возникновения выделяют внутриутробный и приобретенный варианты аномалии.
Симптомы
При высокой врожденной непроходимости признаки появляются с первых часов жизни младенца. У ребенка открывается рвота содержимым зеленоватого цвета. Если стеноз локализован ниже дуоденального сосочка, в желудочном содержимом заметна желчь. Живот запавший, но в эпигастрии периодически определяется вздутие, исчезающее после рвоты или срыгивания. Прикосновения к передней стенке живота не доставляют младенцу дискомфорта. Может быть скудный мекониальный стул.
Низкая врожденная непроходимость характеризуется отсутствием мекония, вместо которого из прямой кишки выделяются скудные слизистые массы. Рвота начинается позже, в среднем спустя 48 часов после рождения ребенка. Рвотные массы содержат примеси желчи, через несколько суток они приобретают зловонный каловый запах. У новорожденного отмечается сильное вздутие живота, расширение вен на передней брюшной стенке, при пальпации ребенок кричит и плачет от боли.
Осложнения
Для высокой непроходимости характерно быстрое ухудшение состояния ребенка, нарастающее обезвоживание, нарушения кислотно-основного равновесия крови. Развиваются олигурия и анурия, сгущение крови, формируется полиорганная недостаточность. Без лечения состояние переходит в фазу декомпенсации и может закончиться смертью младенца. Основное осложнение непроходимости толстого кишечника — перфорация и мекониальный перитонит.
Грозным последствием любой формы врожденной кишечной непроходимости является мальабсорбция, тяжелые нарушения питания и связанная с ними нутритивная недостаточность. Новорожденный ребенок стремительно теряет массу тела (10% и более процентов от исходных показателей). Даже после реконструктивной операции возможны осложнения в виде дисбактериоза, пищевых аллергий, синдрома «короткой кишки», который проявляется тяжелыми диспепсическими расстройствами.
Диагностика
Врожденная непроходимость часто выявляется при пренатальном УЗИ на 24-30 неделях беременности. По данным исследования врач определяет расширение желудка, верхних отделов кишечника, увеличение размеров живота плода, отсутствие кишечных гаустр. Характерным признаком является многоводие у матери, вызванное нарушениями заглатывания и утилизации околоплодных вод. В план постнатальной диагностики включаются:
- Зондирование желудка. Лечебно-диагностический метод рекомендован всем пациентам, у которых подозревается врожденная аномалия развития кишечной трубки. Если по зонду получают жидкость объемом более 25-30 мл с зеленоватой или желтой окраской, подозревают локализацию дефекта в двенадцатиперстной или начальном отделе тощей кишки.
- Рентгенограмма брюшной полости. Для дуоденальной обструкции патогномоничен симптом "bubble double" — наличие двух газовых пузырей в области желудка и 12-перстной кишки. Врожденная низкая непроходимость проявляется множественными горизонтальными уровнями жидкости, которые соответствуют перерастянутым отделам тонкой и толстой кишки.
- УЗИ брюшных органов. При ультразвуковой визуализации определяют расширение проксимального фрагмента кишечника, его заполнение однородной массой (меконием). В пораженной участке отсутствуют перистальтические движения. УЗИ в энергетическом режиме показано для своевременной диагностики синдрома Ледда.
- Ирригоскопия. При помощи исследования диагностируется низкая врожденная кишечная непроходимость. При контрастировании толстого кишечника врач выявляет микроколон — шнуроподобную кишку с малым диаметром, на слизистой оболочке которой не контрастируются характерные складки.
Лечение врожденной кишечной непроходимости
Консервативная терапия
После постановки диагноза врожденной непроходимости сразу прекращают кормление ребенка грудным молоком или смесью и переходят на парентеральное питание. Для декомпрессии ЖКТ и выведения остаточного содержимого устанавливают назогастральный зонд. Назначается вливание солевых и коллоидных растворов, чтобы восполнить водный баланс и дефицит микроэлементов.
Антибактериальная терапия показана в превентивных целях, чтобы предотвратить перитонит, аспирационную пневмонию, генерализованную инфекцию. После хирургического лечения продолжается системная антибиотикотерапия, а спустя 12-24 часа начинают вводить препараты для стимуляции перистальтики. В течение 1-3 недель постепенно переходят с парентерального на энтеральное питание.
Хирургическое лечение
Оперативное вмешательство в первые дни жизни — основной метод лечения, который восстанавливает проходимость кишечной трубки, обеспечивает нормальное питание младенца. Техника хирургической помощи зависит от вида и степени тяжести аномалии. Детские хирурги проводят резекцию кишечного участка, накладывают обходные или Т-образные анастомозы, вскрывают кишечник и эвакуируют мекониальную пробку. При осложненных пороках выполняется двухэтапная операция.
Прогноз и профилактика
При резекции небольшого участка кишечной трубки и отсутствии врожденного системного заболевания наблюдается быстрая реабилитация и полное восстановление пищеварения. Удаление большого отрезка ЖКТ, формирования «короткой кишки», наличие муковисцидоза — прогностически неблагоприятные факторы. Таким детям зачастую нужны повторные операции, назначение специальных питательных смесей. Меры профилактики врожденной кишечной непроходимости не разработаны.
2. Врожденная кишечная непроходимость у новорожденных/ А.С Панченко, С.Г. Гаймоленко, Н.П. Намоконова, Л.С. Кириллова // Забайкальский медицинский журнал. — 2015.
3. Диагностика и лечение врожденной кишечной непроходимости у новорожденных. Н.Ш. Эргашев, Ж.Б. Саттаров // Современная медицина: актуальные вопросы. — 2013.
4. Результаты хирургического лечения детей с врожденной кишечной непроходимостью. Н.М. Лыськов // Практическая медицина. — 2008.
Омфалоцеле
Омфалоцеле – врожденная аномалия передней брюшной стенки, при которой органы брюшной полости выходят за ее пределы в составе грыжевого мешка. Клинически патология проявляется эвентрацией петель кишечника, желудка, печени и других органов, прикрытых висцеральной брюшиной, через грыжевые ворота в участке пупочного кольца. Антенатальная диагностика включает в себя УЗИ ОБП, определение уровня α-фетопротеина, амниоцентез с дальнейшим кариотипированием. Лечение хирургическое, предусматривает радикальное или поэтапное погружение содержимого грыжевого пешка обратно в брюшную полость с последующей пластикой передней брюшной стенки.
Омфалоцеле (эмбриональная грыжа, грыжа пупочного канатика) – аномалия развития, при которой происходит выпячивание органов брюшной полости, укрытых висцеральной брюшиной, сквозь переднюю брюшную стенку. Впервые данную патологию описал французский хирург А. Паре в 1634 году. В среднем заболеваемость составляет порядка 2,2:10000 новорожденных. Точную частоту, с которой встречается омфалоцеле, установить невозможно, поскольку в большинстве случаев такие беременности прерываются. У мальчиков данная патология возникает в 1,5 раза чаще, чем у девочек. Наибольшая склонность наблюдается у представителей европеоидной расы – 85% от всех случаев омфалоцеле. Для представителей негроидной расы этот показатель составляет 13%, монголоидной – 2%. Примерно 55% случаев патологии диагностируется при беременности у женщин в возрасте старше 35 лет. Общая летальность зависит от сопутствующих расстройств и колеблется от 9 до 60% новорожденных. При изолированной форме и адекватном лечении прогноз для жизни и здоровья ребенка благоприятный.
Причины омфалоцеле
Омфалоцеле – это гетерогенное заболевание, при котором нарушается процесс внутриутробного вправления физиологической пупочной грыжи. Патогенетически это может быть результатом пороков развития пупочного кольца и передней брюшной стенки, генетических аномалий, неполного погружения органов обратно в брюшную полость или дефектов строения кишечника.
При внутриутробном развитии кишечника плода, а именно – в процессе его трансформации от первичной кишечной трубки до зрелых петель происходит его физиологической разворот. Данный процесс начинается с 5 недели беременности. От этого момента и до 10 недели кишечник сильно увеличивается в объеме, из-за чего не помешается в брюшной полости. Петли давят на брюшную стенку, формируя физиологическую пупочную грыжу. К концу 10 недели абдоминальная полость стремительно прибавляет в объеме, на фоне чего происходит самостоятельное вправление эвентрации. Если данный механизм нарушается силу различных патологических изменений, возникает омфалоцеле.
Способствовать возникновению данной патологии могут вредные привычки матери (алкоголь, курение, наркотики), нерациональный прием медикаментов, беременность после 35 лет, при которой растет риск хромосомных аномалий – синдромов Патау, Эдвардса. Довольно часто омфалоцеле выступает в роли одного из симптомов таких патологий, как синдром Беквита-Видемана, пентада Кантрелла, синдром амниотических тяжей, порок развития стебля тела, OEIS комплекса. Крайне редко удается установить наследственную склонность, что свидетельствует о возможной генетической предрасположенности.
Классификация и симптомы омфалоцеле
В педиатрии в зависимости от размера дефекта и его содержания выделяют следующие формы омфалоцеле:
- Малая. Диаметр – до 5 см. Наиболее распространенная форма. Содержит 1-2 кишечные петли. В основном выступает в роли проявлений хромосомных аномалий.
- Средняя. Размер дефекта пупочного кольца – от 5 до 10 см. В составе грыжевого мешка содержатся 2-4 кишечные петли.
- Большая. Дефект передней брюшной стенки составляет более 10 см. Помимо петель кишечника через него выходит часть печени, желудок и другие органы.
По наличию сопутствующих патологий выделяют:
- Изолированное омфалоцеле. Грыжа пупочного канатика – единственная развившаяся внутриутробная патология.
- Сочетанная форма. Помимо дефекта пупочного кольца у ребенка присутствуют хромосомные мутации (25-35%), пороки развития сердечно-сосудистой (15-50%) и мочеполовой систем (до 15%). Характерны грыжи пищеводного отверстия диафрагмы и дисплазии тазобедренных суставов, другие скелетные аномалии.
Омфалоцеле является врожденной патологией, которая диагностируется еще в антенатальном периоде. После родов общее состояние ребенка зависит от сопутствующих заболеваний и срока гестации. При омфалоцеле характерны преждевременные роды, масса тела ребенка 1500г и меньше. Объективные признаки визуализируются уже с момента рождения. Определяется дефект передней брюшной стенки, который локализирован по срединной линии на уровне пупочного кольца. В этом месте находится образование, представленное петлями тонкого и толстого кишечника, возможно – желудком и печенью, покрытыми висцеральными листком брюшины. В 10-20% наблюдается анте- или интранатальный разрыв грыжевого мешка. Пуповина также входит в состав омфалоцеле. Абдоминальные мышцы развиты нормально. Другие возможные пороки развития зависят от сопутствующих патологий и могут включать в себя деформации позвоночного столба и конечностей, макроглоссию, макросомию, атрезию ануса и т. д.
Диагностика омфалоцеле
В современных условиях наличие омфалоцеле определяется еще в I триместре беременности благодаря инструментальным и лабораторным методам исследования. Ведущую роль играет УЗ-диагностика. В зависимости от аппарата установить наличие данной патологии можно уже на 11-14 неделе. Основной признак – эвентрация петель кишечника, печени, желудка за пределы брюшной полости в участке крепления пуповины к брюшной стенке. Все вышедшие органы покрыты мембраной, состоящей из брюшины, вартонового студня и амниотической оболочки. Наличие данной мембраны важно для проведения дифференциальной диагностики с гастрошизисом. При внутриутробном разрыве грыжевого мешка петли кишечника прикрывает только амнион. Также на потенциальное развитие омфалоцеле может указывать размер ворот физиологической грыжи, составляющий свыше 7 мм в диаметре. УЗИ позволяет выявить другие проявления присутствующих генетических патологий. Повторные исследования проводятся каждые 2-3 недели, т. к. возможно самостоятельно закрытие дефекта в более поздние сроки.
Лабораторная диагностика омфалоцеле осуществляется при помощи биохимического исследования крови с измерением уровня α-фетопротеина. При врожденных пороках развития этот показатель будет значительно выше нормы для имеющегося срока беременности. Для подтверждения генетических аномалий показано проведение амниоцентеза с дальнейшим кариотипированием.
Лечение омфалоцеле
При антенатальной постановке диагноза омфалоцеле роды проводятся в специализированном перинатальном центре в условиях развернутой операционной. При малых и средних размерах дефекта пупочного кольца и отсутствии угрожающих жизни матери и ребенка состояний родоразрешение может осуществляться через естественные родовые пути. Во всех других ситуациях показано кесарево сечение в связи с большим риском интранатального разрыва грыжевого мешка. Дальнейшая терапевтическая тактика зависит общего состояния ребенка, размеров пупочной грыжи и сопутствующих патологий.
Консервативная терапия используется при невозможности провести хирургическое вмешательство. Как правило, она применяется при больших формах омфалоцеле и комбинации с множественными тяжелыми аномалиями развития. Лечение заключается в формировании плотной корки и рубца, что трансформирует данную патологию в массивную вентральную грыжу, которую в дальнейшем оперируют. С этой целью применяют дубящие средства (5% перманганат калия, нитрат серебра), которые наносят на вертикально зафиксированный за пуповину грыжевой мешок 2-3 раза в день. Консервативное лечение используется крайне редко, т. к. при нем имеется большая вероятность инфицирования и сепсиса, риск разрыва оболочек, массивной спаечной болезни в дальнейшем. Предпочтение отдается раннему оперативному вмешательству.
Хирургическая тактика при омфалоцеле напрямую зависит от размеров дефекта брюшной стенки, операции могут проводиться в один или несколько этапов. Начинают такое лечение на протяжении первых 1-2 дней жизни ребенка. При одномоментном вмешательстве выполняется погружение содержимого грыжевого мешка в абдоминальную полость и послойное зашивание брюшной стенки с ее пластикой и формированием пупка. Такая тактика – метод выбора, при омфалоцеле малых и средних размеров с минимальной торакоабдоминальной диспропорцией. В других случаях прибегают к поэтапному лечению. Первый этап – подшивание силиконового мешка с силопластиковым покрытием и помещением в него содержимого грыжевого мешка. По мере постепенного погружения органов в абдоминальную полость данный мешок перевязывают, уменьшая его в объеме. На 5-15 день выполняется второй этап – удаление мешка и формирование минимальной вентральной грыжи посредством ушивания дефекта. В возрасте 5-7 месяцев эта грыжа удаляется, после чего осуществляется полноценная пластика брюшной стенки.
После первого этапа или одноэтапной операции ребенок помещается в кувез для поддержания температурного режима, применяются обезболивающие, антибиотики широкого спектра действия. Режим питания парентеральный. При необходимости выполняется декомпрессия желудка через назо- или орогастральный зонд, проводится инфузионная терапия и ИВЛ. После проведенного лечения следует длительный реабилитационный период, в течение которого осуществляется коррекция всех послеоперационных осложнений.
Прогноз и профилактика омфалоцеле
В целом прогноз для детей с омфалоцеле сомнительный. Исход зависит от срока гестации, сопутствующих хромосомных аномалий и анатомических пороков развития, диаметра дефекта пупочного кольца, объема и содержания грыжевого мешка, результатов проведенного лечения. Как правило, при адекватной терапии и отсутствии сопутствующих патологий, несовместимых с жизнью, вероятность благоприятного исхода достаточно велика. При изолированной форме омфалоцеле малого размера, несмотря возможные отдаленные осложнения хирургического лечения (ГЭРБ, спаечная болезнь, пупочная грыжа), дальнейший рост и развитие ребенка не будут отличаться от возрастной нормы. На протяжении всего периода реабилитации показано диспансерное наблюдение у лечащего педиатра, хирурга и семейного врача.
Профилактика заключается в медико-генетическом консультировании семейных пар, планировании беременности, полном отказе матери от вредных привычек. С целью ранней диагностики омфалоцеле необходимо регулярно посещать женскую консультацию и проходить соответствующие обследования: УЗИ и измерение α-фетопротеина крови.
Кишечная непроходимость у детей
Кишечная непроходимость у детей — это нарушение продвижения каловых масс по ЖКТ, вызванное механическими препятствиями, расстройствами иннервации или комбинацией этих факторов. Заболевание проявляется сильным болевым синдромом, неукротимой рвотой, задержкой дефекации и газов. Диагностический поиск включает физикальное обследование ребенка, применение инструментальных методов — обзорной рентгенографии брюшной полости, сонографии, лапароскопии. Лечение состоит из декомпрессии кишечника и назначения медикаментов, при неэффективности которых проводится хирургическое вмешательство.
Частота встречаемости кишечной непроходимости составляет около 5 случаев на 100 тыс. населения, она примерно одинакова для детского и взрослого возраста. Пик выявления заболевания приходится на первые недели жизни младенцев в случае с врожденными формами, а приобретенные варианты болезни в основном регистрируются у детей после 3 лет. Мальчики болеют чаще, чем девочки. Проблема кишечной непроходимости до сих пор остается острой в детской хирургии. Несмотря на разнообразие методов лечения, патология часто дает осложнения. При несвоевременной помощи 5-7% случаев заканчиваются смертью.
Врожденная кишечная непроходимость возникает под влиянием пороков развития ЖКТ, которые нарушают пассаж каловых масс. К этой группе причин принадлежат стенозы и атрезии, сдавление кишечника извне аномальными сосудами, кольцевидной поджелудочной железой или эмбриональными тяжами брюшины. Изредка патология встречается у детей на фоне мекониального илеуса. Приобретенные формы болезни имеют множество этиологических факторов:
- Образование спаек. Спаечные процессы после перенесенных травм и операций на брюшной полости являются самой распространенной причиной нарушения пассажа кала у детей. Заболевание чаще наблюдается в раннем периоде после хирургического вмешательства (в первые 4-5 недель), но может проявляться спустя несколько месяцев.
- Глистная инвазия. Закупорка просвета кишки сплетенным клубком гельминтов характерна для аскаридоза. Глисты поселяются в кишечнике и достигают большого размера, из-за чего сначала возникают затруднения в продвижении кала и хронические запоры, которые впоследствии заканчиваются непроходимостью.
- Новообразования. Менее распространенная причина заболевания у детей, но ее нельзя исключать. Патологию вызывают доброкачественные полипы и злокачественные образования, опухоли соседних органов, которые сдавливают кишку извне. Возможно развитие кишечной непроходимости у больных с дивертикулом Меккеля.
- Неврологические нарушения. Спинальные и церебральные болезни сопровождаются изменением иннервации кишечной стенки, вследствие чего угнетается ее моторика, останавливается продвижение кала. Реже поражение периферических нервов обусловлено метаболическими расстройствами (гипокалиемией), экзогенной интоксикацией.
К предрасполагающим факторам относят нарушения питания: употребление большого объема пищи за один раз, переход с грудного на искусственное вскармливание. Они способствуют изменению кишечной моторики. Вероятность развития непроходимости повышается у детей, страдающих болезнью Гиршпрунга, врожденными особенностями строения ЖКТ — длинной брыжейкой, долихосигмой.
При непроходимости нарушаются функции тонкой и толстой кишки (моторная, секреторная, всасывательная), что приводит к эндогенной интоксикации и расстройствам гомеостаза. Ишемия кишечной стенки сочетается с повышением ее проницаемости для бактерий и токсинов, которые поступают в систему воротной вены и лимфатические сосуды. Кишечник становится основным источником интоксикации, усугубляя возникшие функциональные нарушения и формируя «замкнутый круг».
В зависимости от времени появления патологию подразделяют на врожденную, обусловленную пороками развития, и приобретенную, которая проявилась у детей с другими заболеваниями органов ЖКТ. По локализации поражения бывает тонкокишечная (до 80% случаев) и толстокишечная непроходимость. По течению выделяют острую и хроническую форму. Однако более значима классификация по механизму развития, согласно которой существует 3 варианта кишечной непроходимости:
- Механическая. Формируется при закупорке кишечного просвета изнутри копролитами, клубком глистов и т.д. (обтурационная форма) либо при сдавлении кишки извне (странгуляционная).
- Динамическая. Развивается вследствие нарушения иннервации и моторики ЖКТ, при этом механические препятствия продвижению кала отсутствуют. Делится на паралитическую и спастическую формы.
- Смешанная. Самая частая разновидность кишечной непроходимости у детей — по разным данным, составляет от 30% до 83% в структуре заболеваемости. Возникает по причине кишечных инвагинаций, спаек в брюшной полости.
В течении кишечной непроходимости выделяют 3 главных симптома: задержка газов и стула, боли в животе, многократная рвота. Болевой синдром при механической и спастической форме заболевания отличается постоянством, неуклонно нарастает, периодически усиливается, что связано с прохождением перистальтической волны. Для паралитической непроходимости типичны постоянные тупые абдоминальные боли.
При низкой толстокишечной непроходимости у детей не отходят стул и газы, а при тонкокишечной возможна дефекация за счет опорожнения отделов ЖКТ, расположенных ниже препятствия. Если патология вызвана инвагинацией, в кале находят примеси крови, что иногда ошибочно воспринимается как дизентерия или колит другой этиологии и затрудняет диагностику.
Рвота является важный критерием: чем раньше от начала заболевания она развивается, тем выше локализация патологического процесса в кишечнике. Сначала симптом связан с перерастяжением кишечника, раздражением его нервных окончаний. Рвотные массы содержат частицы переваренной пищи и желудочный сок. Позже рвота становится неукротимой, ребенок отрыгивает скудное количество слизи и желчи.
При кишечной непроходимости пациент имеет характерный внешний вид. Он лежит, согнувшись и прижав ноги к животу либо стонет и мечется по постели во время приступа боли. Живот сильно вздут, асимметричен, при попытке к нему прикоснуться боли усиливаются. Лицо приобретает страдальческое выражение, кожа сероватого оттенка, губы пересыхают и трескаются.
Распространенное последствие болезни у детей — токсикоз с эксикозом, обусловленным эндогенным отравлением организма, массивными потерями жидкости со рвотой и отсутствием поступления воды в связи с отказом ребенка от питья. Состояние сопровождается расстройствами гемодинамики, гипоксическим повреждением головного мозга. Если больному вовремя не оказана медицинская помощь, кишечная непроходимость переходит в стадию полиорганных нарушений и перитонита.
Детский хирург получает ценную информацию при сборе анамнеза и физикальном исследовании. При перкуссии живота определяют тимпанит с металлическим оттенком, аускультативно вначале болезни выслушивают усиленную перистальтику и шум плеска. Обязательно выполняется ректальное пальцевое исследование. В диагностическом поиске информативны инструментальные методы исследования:
- Рентгенография брюшной полости. Патогномоничный симптом кишечной непроходимости — чаши Клойбера, которые представляют собой перерастянутые петли кишки, заполненные калом и газами. На рентгенограмме заметен симптом перистости (отечные складки слизистой).
- УЗИ органов брюшной полости. Исследование эффективно для диагностики воспалительных инфильтратов и опухолей, которые выступают механическим препятствием продвижению кала. Из-за выраженной пневматизации и пареза кишечника сонография не всегда показательна, в 5-10% случаев бывает гипердиагностика.
- Лапароскопия. Диагностическая визуализация состояния брюшной полости через лапароскоп с оптическим прибором — наиболее ценный метод обследования. У детей его используют в затруднительных ситуациях, когда неинвазивные способы не дают достоверной информации.
Лечение
Ребенка с кишечной непроходимостью экстренно госпитализируют в хирургический стационар. Лечение начинают с декомпрессии желудка путем постановки тонкого зонда, что уменьшает степень интоксикации. Для стимуляции работы кишечника вводятся препараты из группы ингибиторов холинэстеразы, а через 30-40 минут ставится сифонная клизма. При схваткообразных болях показаны спазмолитики. Консервативные мероприятия эффективны в 50% случаев.
При безуспешности медикаментозных методов ребенку назначается ургентная операция. В ходе вмешательства производится ревизия брюшной полости, выявляется и резецируется пораженный участок кишки, разделяются спайки и раскручиваются завороты кишечника. Операция завершается наложением анастомоза для восстановления целостности ЖКТ. В послеоперационном периоде детям проводят дезинтоксикационную, инфузионную и антибактериальную терапию.
Кишечная непроходимость относится к опасным состояниям, но при ранней диагностике и комплексной терапии ее удается ликвидировать. Менее благоприятный прогноз при осложнении патологии перитонитом, тяжелой степенью токсикоза и полиорганной недостаточностью. Превентивные меры включают своевременное выявление и лечение предрасполагающих заболеваний у детей, совершенствование техники абдоминальных операций, нормализацию рациона питания ребенка.
1. Национальные клинические рекомендации Российского общества хирургов «Острая неопухолевая кишечная непроходимость». — 2015
2. Спаечная кишечная непроходимость как одна из причин неотложных состояний у детей. Е.Ю. Дьяконова, И.В. Поддубный, А.С. Бекин // Диагностика в педиатрии. — 2015
3. Оценка эффективность диагностики острой кишечной непроходимости у детей. П.Е. Пермяков, А.А. Жидовинов // Российский вестник детской хирургии, анестезиологии и реаниматологии. — 2015
Причины тостокишечной непроходимости у новорожденного. Омфалоцеле - гастрошизис
Советы при непроходимости кишечника у новорожденных и грудных детей
1. Каковы симптомы непроходимости кишечника у новорожденных?
Симптомы непроходимости кишечника зависят от ее уровня. При высокой кишечной непроходимости рано возникает рвота (рвота с примесью желчи — всегда тревожный симптом). Вздутие живота обычно выражено незначительно. Наоборот, низкая кишечная непроходимость проявляется после первого дня жизни, когда возникает резкое вздутие живота и рвота. На непроходимость кишечника указывает отсутствие отхождения мекония.
2. Как проводится дифференциальный диагноз непроходимости кишечника у новорожденных?
Осматривают область заднего прохода, чтобы исключить его атрезию. Затем производят обзорную рентгенографию брюшной полости. Степень наполнения кишечника газом зависит от уровня непроходимости. Попыток дифференцировать непроходимость тонкой и толстой кишки не предпринимают.
а) Высокая непроходимость (газа в кишечнике мало): 
- Атрезия или стеноз двенадцатиперстной кишки. 
- Незавершенный поворот кишечника с заворотом средней кишки. 
- Атрезия тощей кишки.
б) Низкая непроходимость (газа в кишечнике много): 
- Атрезия подвздошной кишки. 
- Мекониальный илеус или мекопиальпая пробка. 
- Болезнь Гиршпрунга

Толстокишечная непроходимость
3. В каких случаях показано контрастное рентгенологическое исследование желудочно-кишечного тракта?
При перитоните или наличии свободного газа в брюшной полости незамедлительно производят диагностическую лапаротомию. При незавершенном повороте кишечника контрастное рентгенологическое исследование верхнего отдела желудочно-кишечного тракта выявляет отсутствие типичной подковообразной формы двенадцатиперстной кишки; переход ее в тощую происходит в правом верхнем квадранте живота. Петли тонкой кишки расположены справа внизу.
Нередко имеется расширение двенадцатиперстной кишки с уровнем жидкости. При атрезии двенадцатиперстной кишки видна растянутая двенадцатиперстная кишка, оканчивающаяся слепо. Ирригоскопия оказывает большую помощь в диагностике непроходимости толстой кишки, а при мекопиальиом илеусе — даже терапевтическое воздействие.
Данные ирригоскопии по типу непроходимости: 
а) Атрезия подвздошной кишки. Микроколоп; заброса бария в терминальную часть подвздошной кишки нет. 
б) Мекониальный илеус. Микроколоп; заброс бария в терминальную часть подвздошной кишки с дефектами заполнения. 
в) Мекониальпая пробка. Толстая кишка нормальных размеров; крупные дефекты наполнения в левой ее половине. 
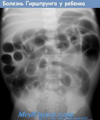
г) Болезнь Гиршпрунга. Сужение прямой и сигмовидной кишок; расширение проксимальных отделов толстой кишки.
4. Какова клиническая картина атрезии тощей кишки? Чем отличается атрезия двенадцатиперстной кишки от атрезии тощей?
Атрезия желудочно-кишечного тракта может локализоваться па любом уровне: в двенадцатиперстной кишке (50%), тощей (45%) или толстой (5%). Атрезия двенадцатиперстной кишки обусловлена тем, что на 8—10 неделе внутриутробного развития не произошла ее реканализация. Причина атрезии тощей и толстой кишок — нарушения внутриутробного развития сосудов брыжейки.
а) При атрезии двенадцатиперстной кишки первым симптомом бывает рвота с примесью желчи (в 85% случаев атрезия локализуется ниже фатерова соска). В первый день жизни значительного вздутия живота нет. Приблизительно в 25% случаев атрезии двенадцатиперстной кишки сопутствует трисомия 21-й хромосомы. Классический признак атрезии двенадцатиперстной кишки — два газовых пузыря на обзорной рентгенограмме брюшной полости — растянутый желудок и верхняя часть двенадцатиперстной кишки.
При стенозе двенадцатиперстной кишки или незавершенном повороте кишечника с заворотом средней кишки газ обнаруживается и в тонкой кишке. В таком случае необходима контрастная рентгенография верхнего отдела желудочно-кишечного тракта для исключения незавершенного поворота кишечника с заворотом средней кишки. Для коррекции атрезии двенадцатиперстной кишки накладывают дуоденодуоденальный анастомоз.
б) При атрезии тощей кишки рвота с примесью желчи и умеренное или резкое вздутие живота возникает на второй—третий день жизни. Обзорная рентгенография брюшной полости выявляет растянутые кишечные петли с уровнями жидкости; ирригоскопия — микрокодов. Заброса бария в растянутые кишечные петли нет. С другими пороками развития атрезия тонкой кишки сочетается редко. Для коррекции атрезии накладывают анастомоз конец в конец с ограниченно резекцией кишки или без нее.
в) При атрезии толстой кишки рвота с примесью желчи возникает после второго дня жизни; имеется умеренное или резкое вздутие живота. Меконий не отходит. При обзорной рентгенографии брюшной полости выявляются растянутые кишечные петли с уровнями жидкости, указывающие на низкую кишечную непроходимость; при ирригоскопии — микрокодов, причем толстая кишка как бы “обрезана”. Приблизительно в 20% случаев атрезия толстой кишки сочетается с пороками развития сердца, костно-мышечной системы, стенки живота, других отделов желудочно-кишечного тракта. Для устранения атрезии толстой кишки делают ее ограниченную резекцию с наложением первичного анастомоза.
5. Клиническая картина незавершенного поворота кишечника с заворотом средней кишки. Показано ли при нем экстренное хирургическое вмешательство?
На 6-12 неделе внутриутробного развития кишечник выходит из брюшной полости, растет, а затем возвращается в нее, поворачиваясь при этом против часовой стрелки, и фиксируется. При незавершенном повороте кишечника нарушается процесс его поворота и фиксации. Последняя происходит неправильно, вследствие чего узость основания брыжейки предрасполагает к завороту кишки. Вращения средней кишки вокруг снабжающей ее кровью верхней брыжеечной артерии (незавершенный поворот кишечника с заворотом средней кишки) приводит к обструкции кишки с нарушением кровообращения (странгуляционной непроходимости).
В связи с угрозой ишемии кишки показано экстренное хирургическое вмешательство. Промедление грозит некрозом всей средней кишки и смертью. При незавершенном повороте кишечника с заворотом средней кишки у здорового до того новорожденного или у более старшего ребенка, не имеющего в анамнезе хирургических операций, возникает рвота с примесью желчи, вздутие живота и шок той или иной степени. Обзорная рентгенография брюшной полости выявляет два газовых пузыря и газ в дистальной части тонкой кишки.
При тяжелом состоянии ребенка никакие другие исследования не нужны. Показана лапаротомия. Если диагноз вызывает сомнения, а состояние ребенка стабильное, производят контрастное рентгенологическое исследование верхнего отдела желудочно-кишечного тракта. Ирригоскопия не показана. Она позволяет диагностировать незавершенный поворот кишечника, но исключить заворот средней кишки с ее помощью невозможно. При лапаротомии производят коррекцию незавершенного поворота кишечника с резекцией тонкой кишки или без нее, в зависимости от тяжести ишемического повреждения кишки.
 
6. Что такое мекониальный илеус? Чем он отличается от мекониалыюй пробки?
а) Мекониальный илеус представляет собой закупорку терминального отдела подвздошной кишки вязким липким меконием. Почти всегда мекониальный илеус связан с муковисцидозом, хотя описаны его случаи у недоношенных в отсутствие муковисцидоза. Муковисцидоз наследуется аутосомно-рецессивно. В результате трех основных парных делений на 7-й хромосоме нарушается транспорт хлоридов в апикальных мембранах эпителиальных клеток. Сочетание повышенной вязкости слизи, образуемой измененными железами слизистой кишечника с недостаточностью поджелудочной железы приводит к повышению вязкости мекония и закупорке им просвета терминальной части подвздошной кишки. У 15% новорожденных с муковисцидозом развивается мекониальный илеус.
На 2—3-й день жизни возникает непереносимость пищи, рвота с примесью желчи и вздутие живота. Живот при пальпации мягкий, тестоватый. На обзорной рентгенограмме брюшной полости видны многочисленные расширенные кишечные петли без уровней жидкости (низкая кишечная непроходимость), иногда нижний правый квадрант живота имеет вид матового стекла (симптом Нейхаузера). Ирригоскопия выявляет микрокодов и многочисленные мелкие дефекты наполнения в терминальной части подвздошной кишки (густой меконий). В противоположность большинству форм кишечной непроходимости у новорожденных, при мекониальном илеусе к хирургическому вмешательству прибегают только при неэффективности консервативного лечения, сочетанию с другими пороками развития (например, атрезией кишки) или осложнениях (завороте или перфорации кишки).
При неосложненном мекониальном илеусе в 60% случаев эффективны клизмы с амидотризоатом натрия (гастрографин) и промывания прямой кишки. Цель хирургического вмешательства, если оно показано, — удаление мекония, закупоривающего кишку, путем ее ограниченной резекции или энтеростомии с эвакуацией мекония и промывания дистальной части кишечника.
б) При мекониальной пробке имеет место закупорка толстой кишки густым меконием. В отличие от мекониального илеуса мекопиальная пробка редко (менее чем в 5% случаев) связана с муковисцидозом. Иногда она наблюдается при болезни Гиршпрунга, поэтому при ней обязательно делают аспирационную биопсию прямой кишки, чтобы исключить последнюю. Кроме того, всем больным определяют концентрацию хлоридов в ноте или проводят генетическое исследование для исключения муковисцидоза.
7. Что такое болезнь Гиршпрунга и энтероколит Гиршпрунга?
Нейроны, иннервирующие кишечник, происходят из нервного гребня. На 5-12-й неделях беременности клетки нервного гребня мигрируют в краниальном и каудальном направлении и рассеиваются в стейке кишки (в мышечном слое они образуют сплетение Ауэрбаха, в подслизистом — Мейсснера). Болезнь Гиршпрунга — следствие нарушения миграции клеток нервного гребня, из-за которого интрамуральные нервные сплетения кишечника не развиваются. Неполноценность иннервации приводит к повышению тонуса толстой кишки и ее непроходимости, скорее функциональной, чем механической.
Обычно болезнь Гиршпрунга наблюдается как изолированный порок развития, по у 10% больных имеется трисомия 21-й хромосомы. У новорожденных с болезнью Гиршпрунга наблюдается нарастающее вздутие живота, рвота, замедленное отхождение мекония или его отсутствие в первые 48 часов жизни. В более старшем возрасте характерны постоянные запоры, вздутие живота, истощение. Объективный осмотр выявляет только резкое вздутие живота. Рентгенологические данные указывают на низкую кишечную непроходимость. Ирригоскопия облегчает диагноз.
Так как болезнь Гиршпрунга поражает наиболее дистальные отделы толстой кишки всегда, а проксимальные — в различной степени, при ирригоскопии выявляется спастическое сокращение прямой и сигмовидной кишок и расширение проксимальных отделов толстой кишки. В пользу диагноза болезни Гиршпрунга свидетельствует замедленная (более 24 часов) эвакуация контрастного вещества. Аганглиоз, выявленный при аспирационной биопсии прямой кишки, подтверждает диагноз. Хирургическая коррекция заключается в резекции пораженного аганглиозом сегмента (прямой кишки и дистальных отделов ободочной) с наложением анастомоза.
Энтероколит Гиршпрунга возникает вследствие застоя кишечного содержимого, избыточного размножения бактерий и повреждения слизистой. В отсутствие лечения он может быстро прогрессировать, приводя к сепсису, шоку и даже летальному исходу (в 10% случаев). В большинстве случаев он развивается у неоперированных больных, но иногда встречается и после радикальной хирургической операции.
 
8. Что такое инвагинация? Какова терапевтическая тактика при ней?
Инвагинация представляет собой внедрение проксимального отрезка кишки в просвет дистального. Инвагинация кишки приводит к ее отеку, нарушению кровообращения и обструкции. Около 2/3 случаев инвагинации наблюдается у детей до 2 лет. Очевидно, это обусловлено идиопатической гипертрофией лимфоидной ткани терминальной части подвздошной кишки с ее внедрением в слепую (илеоцекальная инвагинация).
Об инвагинации следует подумать, если у здорового до того ребенка 6-9 месяцев появляются схваткообразные боли в животе, рвота и кровянистый стул. Живот обычно вздут. В правом нижнем квадранте или в средней части живота пальпируется объемное образование или возникает ощущение пустоты в правой подвздошной области (симптом Данса (Dance)). При обзорной рентгенографии брюшной полости обнаруживаются симптомы низкой кишечной непроходимости или объемного образования в правом нижнем квадранте живота. Введение в прямую кишку бария или воздуха используется не только с диагностической, но и с лечебной целью.
Ирригоскопия выявляет непроходимость толстой кишки. В вышележащий отдел кишечника барий не попадает. Расправление инвагинации путем осторожного повышения гидростатического давления бариевой взвеси (резервуар с пей поднимают не более чем на 30 см) или давления воздуха (не выше 120 см водного столба) бывает успешным в 90% случаев. При клинической картине сепсиса или перитонита такое расправление противопоказано из-за риска перфорации кишки. Если попытка гидростатического расправления не удалась, показана лапаротомия и ручное расправление. Реже возникает необходимость в резекции кишки и наложении анастомоза. В 5% случаев наблюдается рецидив инвагинации.
P.S. Данса симптом (J.B.H. Dance, 1797-1832, франц. врач) — ощущение пустоты, возникающее при пальпации в правой подвздошной области; признак илеоцекальной инвагинации, обусловленный перемещением инвагинированного участка кишки в правое подреберье.
9. Какие пороки развития не всегда вызывают кишечную непроходимость у новорожденных и остаются недиагностированными?
Хотя в большинстве своем эти пороки диагностируются в первую педелю или в первый месяц жизни, все они, кроме атрезии кишки, могут остаться недиагностированными до старшего детского и даже взрослого возраста.
а) Стеноз двенадцатиперстной кишки. В отличие от атрезии при стенозе имеется только сужение кишки, а не полная обструкция. В первые годы жизни, пока ребенок получает молоко, молочные смеси или кашицеобразную пищу, оно может не проявляется. При перемежающихся болях в животе и симптомах обструкции выхода из желудка показано контрастное рентгенологическое исследование верхних отделах желудочно-кишечного тракта, особенно детям с трисомией 21-й хромосомы.
б) Незавершенный поворот кишечника. В 1/3 случаев незавершенный поворот кишечника диагностируется после первого месяца жизни. Он сопровождается перемежающимися болями в животе и обычно диагностируется при контрастном рентгенологическом исследовании верхних отделов желудочно-кишечного тракта. При возникновении кишечной непроходимости у детей, не подвергавшихся хирургическим вмешательствам в брюшной полости, следует подумать о незавершенном повороте кишечника с заворотом средней кишки.
в) Мекониальный илеус. Дети с муковисцидозом часто страдают запорами. Сочетание запоров и болей в правом нижнем квадранте живота указывает па низкую кишечную непроходимость. Клизма с амидотризоатом натрия используется не только с диагностической, по и с лечебной целью.
г) Болезнь Гиршпрунга. В 1/3 случаев заболевание диагностируется в возрасте старше 1 года. Длительные запоры, не поддающиеся лечению, являются показанием к биопсии прямой кишки, особенно у больных с трисомией 21-й хромосомы. Инвагинация. В 1/3 случаев инвагинация возникает после 2 лет жизни. У 1/3 больных с инвагинацией старше 2 лет имеются предрасполагающие к ней патологические изменения (полип, опухоль, гематома, дивертикул Меккеля).
Редактор: Искандер Милевски. Дата обновления публикации: 18.3.2021
Читайте также:
- Онкоцитарная аденома или аденома из клеток Гюртля. Постбронхиальный рак Гецовой
- Пролапс митрального клапана при синдроме Marfan или Ehlers-Danlos. ПМК при синдроме истонченной дряблой кожи
- Связи базальных ганглиев: двигательная петля, когнитивная петля, лимбическая петля, глазодвигательная петля
- Меры профилактики производственного травматизма
- Гормоны кишечника и их функция
