Примеры рентгенограмм тазобедренного сустава
Добавил пользователь Владимир З. Обновлено: 09.01.2026
Передне-задняя рентгенограмма таза. Обратите внимание на непрерывность второй крестцовой и пограничной линии. Нарушение этой непрерывности является признаком нарушения соосности. Подвздошный гребень проходит от задней верхней подвздошной ости к передней верхней подвздошной ости. Передне-задняя рентгенограмма тазобедренного сустава: надвертлужный сегмент подвздошной кости над сводом вертлужной впадины. Тонкая медиальная стенка вертлужной впадины накладывается на подвздошно-седалищную линию. Фигура слезы расположена у нижнего отдела медиальной стенки. Под «бровью» подразумевается кортикальное уплотнение свода вертлужной впадины. Рентгенография таза в проекции входа выполняется для оценки передне-задней соосности. Ветви лобковой кости почти перекрывают друг друга. Нижняя ветвь расположена несколько кзади относительно верхней. Хорошо визуализируются передняя и задняя подвздошные ости, между которыми лежит подвздошный гребень. Передний край крестцово-подвздошного сустава проецируется кнаружи от заднего края по причине косого расположения сочленения. Рентгенография таза в проекции выхода выполняется для оценки верхней и нижней соосности таза. Запирательное отверстие имеет вид «глаза совы». Рентгенограмма в проекции выхода обычно позволяет получить наилучший снимок для оценки невральных отверстий крестца. Подвздошная (левая задняя) косая рентгенограмма левого тазобедренного сустава является запирательной косой рентгенограммой правого тазобедренного сустава. С левой стороны хорошо визуализируются задняя (подвздошно-седалищная) колонна и передний край вертлужной впадины. Запирательная (левая передняя) косая рентгенограмма левого тазобедренного сустава (подвздошная косая рентгенограмма правого тазобедренного сустава). На этом снимке передняя или подвздошно-гребешковая колонна вертлужной впадины отображена в профиль. Хорошо визуализируется задний край вертлужной впадины. Рентгенография тазобедренного сустава в боковой проекции (боковая горизонтальным пучком или боковая по Johnson) наиболее часто выполняется при подозрении на перелом или для оценки поворота вертлужной впадины после тотального эндопротезирования тазобедренного сустава. Задний отдел тазобедренного сустава идентифицируется по выстоянию седалищного бугра. Боковая рентгенограмма тазобедренного сустава в положении «ноги лягушки»: передне-наружное укорочение головчато-шеечного перехода. Большой вертел накладывается на шейку бедренной кости. Шейка и диафиз бедренной кости ориентированы по одной линии. Рентгенография левого тазобедренного сустава в косой проекции была выполнена у пациента в положении стоя с задним разворотом примерно на 65°. Этот снимок демонстрирует покрытие переднего отдела головки бедренной кости, строение свода вертлужной впадины и переднего отдела головчато-шеечного перехода. Малый вертел развернут анфас и отчетливо не различим. Шейка бедренной кости в положении антеверсии по отношению к телу бедренной кости. Передне-задняя рентгенограмма крестцово-подвздошных сочленений. Два суставных края визуализируются в нижних 2/3 каждого из суставов, что отражает косую направленность сочленений от заднемедиальной к передне-латеральной поверхности. Верхняя 1/3 сустава представлена, в основном, синдесмозом и имеет положение, близкое к корональному. Заднепередняя рентгенограмма крестца в проекции Ferguson: передний и задний края суставов визуализируются в виде одной линии, что обусловлено направлением рентгеновского пучка. Легко просматриваются невральные отверстия. Дугообразные линии представляют собой верхние края невральных отверстий. На левой задней косой (правой передней косой) рентгенограмме правый крестцово-подвздошный сустав отображается в профиль, а суставные поверхности контурированы. Хрящ более толстый на подвздошной стороне сустава, поэтому ранние признаки сакроилеита будут определяться при рентгенографии на подвздошной стороне.
а) Лучевая анатомия:
1. Общие сведения:
• Передне-задняя проекция:
о Необходима центрация на лонное сочленение
о Пациент в положении лежа на спине или стоя, излучатель направлен спереди назад
о Захватывает область от подвздошного гребня до уровня ниже малых вертелов
о Может выполняться в положении пациента лежа или стоя
о Наклон таза должен быть нейтральным
о Бедра в положении внутренней ротации 10°
• Проекция входа:
о Пациент на спине, излучатель направлен спереди назад
о Излучатель направлен каудально под углом 25°
о Оптимальная визуализация контуров входа в таз
о Обеспечивает визуализацию передне-заднего смещения при переломах
• Проекция выхода:
о Пациент на спине, излучатель направлен спереди назад
о Излучатель направлен краниально под углом 25°
о Удлиняет выход из таза
о Позволяет визуализировать верхне-нижнее смещение при переломах
• Проекция Judet:
о Пациент в положении лежа на спине или стоя, излучатель направлен спереди назад о Таз ротирован кзади под углом 45°
о Косая запирательная: визуализация запирательного отверстия на пораженной стороне анфас:
- Обеспечивает визуализацию передней колонны, задней стенки вертлужной впадины на той же стороне
о Косая подвздошная: визуализация крыла подвздошной кости анфас:
- Обеспечивает визуализацию задней колонны, передней стенки вертлужной впадины на той же стороне
• Боковая проекция «ноги лягушки»:
о Пациент на спине, излучатель направлен спереди назад
о Таз прижат, бедра отведены, колени согнуты, подошвы стоп сомкнуты
• Проекция Dunn:
о Пациент на спине, излучатель направлен спереди назад
о Бедро приведено под углом 90° или 45° (модифицированная проекция Dunn)
о Аналогично проекции «лягушки», однако стопы стоят на столе
• Косая проекция:
о Пациент стоит, излучатель направлен спереди назад
о Развернут назад под углом 45-65°
о Центрация на тазобедренный сустав
• Боковая проекция Loewenstein:
о Пациент на спине, излучатель направлен спереди назад
о Таз развернут кзади под углом 45°
о Колено согнуто, наружная поверхность коленного сустава касается стола
• Рентгенограмма горизонтальным пучком в боковой проекции:
о Также известна как истинно боковая, паховая боковая или боковая проекция по Johnson
о Пациент на спине
о Здоровый тазобедренный сустав согнут
о Излучатель направлен горизонтально через сустав на стороне поражения
о Излучатель направлен краниально спереди назад
• Крестцовая проекция Ferguson:
о Пациент на животе
о Излучатель направлен каудально под углом 15° сзади наперед
• Передне-задняя крестцовая проекция:
о Крестцово-подвздошные суставы выглядят сдвоенными по причине косого расположения суставов
• Боковая крестцовая проекция:
о Пациент на боку или стоит
о Центрация на середину крестца
• Косая крестцово-подвздошная проекция:
о Пациент на спине, развернут под углом 30°
б) Рекомендации по визуализации:
• Имеется множество боковых проекций для тазобедренного сустава:
о Выполняйте рентгенографию в боковой проекции горизонтальным пучком
о Каждый боковой срез несколько иначе передает строение вертлужной впадины, шейки и головки бедренной кости
• Крестцово-подвздошные суставы лучше визуализируются на заднепередних рентгенограммах по Ferguson, чем на передне-задних рентгенограммах таза
• При травме вертлужной впадины используется проекция Judet
• Проекции входа/выхода используются при разрывах тазового кольца
в) Особенности визуализации:
• Оценка степени разворота вертлужной впадины сильно зависит от положения таза
о Проекция входа увеличивает видимую ретроверзию
о Проекция выхода увеличивает видимую антеверзию.
Примеры рентгенограмм тазобедренного сустава
На рисунках 1-3 представлены рентгенограммы тазобедренного сустава.
Рисунок 1. Рентгенограмма таза в передне-задней проекции. Рисунок 2. Рентгенограмма в боковой проекции при «позе лягушки» - бедро в положении 45° сгибания и максимальной наружной ротации. Рисунок 3. Рентгенограмма тазобедренного сустава в переднезадней проекции.
А — гребень подвздошной кости
В — поясничный отдел позвоночника
С — симфиз лонных костей
D — крестцово-подвздошное сочленение
Е — крестец
F — головка бедренной кости
G — большой вертел бедренной кости
I — седалищная кость
L — малый вертел бедренной кости
Клинический пример неполного перелома шейки левой бедренной кости
а) Анамнез. Женщина 30 лет, любительница пеших прогулок, вернулась из 50-километрового похода с жалобами на боль в левой паховой области, усиливающейся при нагрузке. Рентгенологического исследования не выполнялось.
б) Физикальное исследование. Женщина правильного телосложения, прихрамывает, ходит, опираясь на трость в правой руке. Пациентка жалуется на боль при вставании из положения сидя. У пациентки отмечается полная амплитуда движений в тазобедренном суставе, за исключением умеренного ограничения при ротации кнутри левого бедра из-за боли. Мышечная сила составляет 5/5, за исключением мышц, отводящих бедро, в которых сила равна 3+/5. Слева отмечается невыраженная атрофия отводящих мышц. Тесты на подвижность в пределах нормы. При пальпации мягких тканей болезненности не выявлено. Из-за болезненных ощущений тесты на эластичность убедительных результатов не показали.
в) Предположительный диагноз. Неполный перелом шейки левой бедренной кости.
4г) Ключевые моменты физикального исследования:
1. Болезненная хромота указывает на защитный механизм в ответ на травму.
2. Болезненное ограничение ротации кнутри указывает на вероятные патологические изменения в тазобедренном суставе, поскольку “Y” капсулярная связка натягивается при ротации кнутри, создавая капсулярный характер ограничения движения.
3. Слабость или атрофия отводящих мышц: эти мышцы, сокращаясь во время фазы односторонней опоры, не только помогают сохранять равновесие, но также защищают верхний отдел шейки бедренной кости от чрезмерного напряжения при варусном изгибе, который возникает при каждом шаге. Этот компенсаторный механизм присутствует во многих областях тела как средство, позволяющее мягким тканям уменьшать/устранять воздействие на костные элементы таких сил, которые, в противном случае, действовали бы как катастрофические растягивающие силы. Несостоятельность этих мышц из-за их относительной слабости приводит к перелому шейки бедренной кости.
Пример подозрения на остеоартрит тазобедренного сустава
Женщина 40 лет обратилась к врачу с жалобами на боль в левой паховой области. В анамнезе ни в прошлом, ни в ближайшее время травм не было. Она родилась в ягодичном предлежании, возрастное развитие без особенностей. Около года назад больная стала отмечать эпизодическую боль в левой паховой области, которая распространялась по внутренней поверхности бедра. Интенсивность боли зависела от уровня активности, связанной с весовой нагрузкой. Пациентка стала отмечать легкую хромоту при ходьбе продолжительностью более 15 минут или после стояния более 30 минут.
У нее появились трудности при посадке и выходе из нового спортивного автомобиля, ей также стало сложно подстригать ногти на ногах. В состоянии покоя боли пациентку не беспокоят, но она сообщает о скованности движений по утрам и после продолжительного нахождения в положении сидя. Она не отмечает посторонних звуков при движении, чувства покалывания или пощипывания в нижней конечности. У других членов ее семьи подобных симптомов нет. Какими-либо заболеваниями пациентка не страдает.
Физикальное исследование показало, что пациентка правильного телосложения, нормального питания, ходит с легкой приводящей хромотой.
Ее шаги одинаковой длины, длина конечностей также одинаковая, во время ходьбы она не пользуется вспомогательными устройствами. Симптом Тренделенбурга положительный, без признаков значимой слабости в конечностях. Она ложится и спускается со смотрового стола без посторонней помощи. Исследование костно-мышечной системы без особенностей, за исключением значительного ограничения ротации кнутри и кнаружи в левом тазобедренном суставе.
При рентгенологическом исследовании было выявлено значительное уплощение вертлужной впадины с сужением полости сустава и образованием околосуставных остеофитов.
Это пример вторичного остеоартрита тазобедренного сустава, что обусловлено:
- Молодым возрастом пациентки
- Полом пациентки
- Вовлечением левого тазобедренного сустава
- Рождением пациентки в ягодичном предлежании
- Отсутствием в анамнезе травмы или чрезмерной нагрузки на тазобедренный сустав.
Рекомендации по анализу рентгенограммы тазобедренного сустава в аксиолатеральной проекции (нижневерхней, по методу Данелиуса-Миллера)
Рекомендации по анализу качества изображений (рис. 1):

РИСУНОК 1 Рентгенограмма тазобедренного сустава в аксиолатеральной проекции, правильное расположение.
• Мягкие ткани противоположного бедра не накладываются на головку бедренной кости или ее шейку
• Вертлужная впадина визуализируется в профиль.
• Верхняя ветвь таза видна медиальнее головки бедренной кости (рис. 4)
• Отсутствует проекционное укорочение шейки бедренной кости
• Большой и малый вертелы визуализируются приблизительно на одном уровне (рис. 5)
• Малый вертел виден в профиль сзади.
• Большой вертел накладывается на диафиз бедренной кости (рис. 6)
• Перелом проксимального отдела бедренной кости или ее шейки: рис. 7
• Вывих тазобедренного сустава: рис. 8
• Шейка бедренной кости находится в центре экспозиционного поля
• Вертлужная впадина, большой и малый вертелы, головка и шейка бедренной кости, седалищный бугор входят в экспозиционное поле
• Любое ортопедическое приспособление, установленное в области тазобедренного сустава, должно отображаться полностью
• Ортопедическое приспособление: рис. 9
• Отсутствует избыточное рассеивание излучения
РИСУНОК 2 Правильное положение пациента для рентгенографии тазобедренного сустава в аксиолатеральной проекции. РИСУНОК 3 Правильные наклон таза, угол между бедренной костью и ЦП и положение ПИ для рентгенографии правого тазобедренного сустава в аксиолатеральной проекции (угол между ЦЛ и бедренной костью составляет 45°). РИСУНОК 4 Рентгенограмма тазобедренного сустава в аксиолатеральной проекции без наклона таза. Верхняя ветвь таза накладывается на головку бедренной кости и ее шейку. РИСУНОК 5 Рентгенограмма тазобедренного сустава в аксиолатеральной проекции. Угол между бедренной костью и ЦП был избыточным. РИСУНОК 6 Рентгенограмма тазобедренного сустава в аксиолатеральной проекции. Нижняя конечность была повернута наружу.
а) Недостаточное сгибание или отведение нижней конечности. При максимально возможном сгибании и отведении противоположной нижней конечности срединная сагиттальная плоскость может наклониться относительно рентгеновского стола так, что противоположная половина таза будет находиться выше исследуемой половины на 15-20° (или 5-7,6 см). В результате такого наклона исследуемая вертлужная впадина будет отображена в профиль, верхняя ветвь сместится медиальнее головки и шейки бедренной кости и накладываться на них не будет.
Если при рентгенографии сгибание или отведение противоположной нижней конечности будет недостаточным, или таз не будет наклонен, на рентгенограмме исследуемая вертлужная впадина отображаться в профиль не будет, а на головку и шейку бедренной кости будут накладываться мягкие ткани противоположной нижней конечности и верхняя ветвь (рис. 4). В таком случае вследствие недостаточной экспозиции крупного участка мягких тканей может возникнуть ошибка анализа гистограммы.
Если пациент не может согнуть или отвести противоположную нижнюю конечность в достаточной степени, то, чтобы улучшить качество рентгенограммы, следует наклонить противоположную половину таза на 5-7,6 см выше исследуемой половины.
б) Избыточный наклон ЦЛ к бедренной кости. Если угол между бедренной костью и ЦЛ превышает 45°, на рентгенограмме шейка бедренной кости будет проекционно укорочена, а проксимальный край большого вертела будет визуализироваться проксимальнее малого вертела и будет накладываться частично на шейку (рис. 5).
в) Недостаточный наклон ЦЛ к бедренной кости. Если угол между бедренной костью и ЦЛ не достигает 45°, на рентгенограмме шейка бедренной кости будет проекционно укорочена, а проксимальный край большого вертела будет визуализироваться на уровне малого вертела или дистальнее. Однако ошибиться в укладке таким образом нельзя, поскольку этому препятствует положение рентгеновского стола и рентгеновской трубки.
г) Наружная ротация нижней конечности. Если при рентгенографии тазобедренного сустава в аксиолатеральной проекции исследуемая нижняя конечность не будет повернута внутрь, большой вертел будет визуализироваться сзади, а малый вертел будет перекрыт (рис. 6). Чем больше наружная ротация, тем меньше большой вертел будет перекрыт диафизом бедренной кости
РИСУНОК 7 Рентгенограмма тазобедренного сустава в аксиолатеральной проекции, перелом шейки бедренной кости. РИСУНОК 8 Рентгенограмма тазобедренного сустава в аксиолатеральной проекции, вывих эндопротеза тазобедренного сустава. РИСУНОК 9 Рентгенограмма тазобедренного сустава в аксиолатеральной проекции. Установлено металлическое ортопедическое приспособление (эндопротез). РИСУНОК 10 Правильное положение ПИ для рентгенографии тучных пациентов (угол между ЦП и бедренной костью составляет 45°).
д) Перелом проксимального отдела бедренной кости или ее шейки. При подозрении на перелом проксимального отдела бедренной кости или ее шейки нижнюю конечность поворачивать внутрь не следует, а следует сохранить исходное положение пациента, если иное не предписано в вашем медицинском учреждении. Поскольку нижняя конечность в таких случаях внутрь не поворачивается, то допускается, чтобы большой вертел визуализировался сзади, а малый вертел накладывался на диафиз бедренной кости (рис. 7).
е) Вывих тазобедренного сустава. При подозрении на вывих тазобедренного сустава поворачивать нижнюю конечность внутрь не следует, а следует сохранить исходное положение пациента. Поэтому на рентгенограмме в аксиолатеральной проекции головка бедренной кости будет визуализироваться впереди и проксимальнее вертлужной впадины (рис. 8).
ж) Ортопедические приспособления для тазобедренного сустава и проксимального отдела бедренной кости. Если рентгенография таза в ПЗ проекции назначена пациенту, у которого в области тазобедренного сустава или проксимального отдела бедренной кости установлено ортопедическое приспособление, на рентгенограмме в аксиолатеральной проекции такое приспособление должно быть отображено полностью (рис. 9). Для этого может потребоваться расположить ПИ и ЦЛ дистальнее, а также использовать ПИ большего размера.
з) Тучный пациент. У пациентов с большой толщиной мягких тканей с латеральной стороны верхний край ПИ и отсеивающей решетки должен располагаться выше подвздошного гребня (рис. 10). Это приведет к проекционному увеличению вследствие большего расстояния «объект-приемник изображения» (РОПИ), но позволит отобразить на рентгенограмме тазобедренного сустава в аксиолатеральной проекции вертлужную впадину и головку бедренной кости.
Пример анализа рентгенограмм тазобедренного сустава в аксиолатеральной проекции
Рентгенограмма 1:

а) Анализ. Мягкие ткани противоположного бедра и верхняя ветвь таза накладываются на головку и шейку исследуемой бедренной кости. Противоположная нижняя конечность была недостаточно согнута и отведена, вследствие чего таз находится горизонтально. Большой вертел визуализируется сзади, а малый вертел накладывается на ди-афиз бедренной кости. Исследуемая нижняя конечность была повернута наружу.
б) Коррекция. Согните и отведите противоположную нижнюю конечность настолько, насколько пациент может это сделать. Если пациент не способен согнуть и отвести противоположную нижнюю конечность, то наклоните таз так, чтобы противоположная его половина располагалась на 5-7,6 см выше исследуемой половины. Поверните нижнюю конечность внутрь так, чтобы надмыщелки бедренной кости находились параллельно ПИ, а стопа была повернута внутрь на 15-20° относительно вертикали.
Рентгенограмма 2:

а) Анализ. Большой вертел визуализируется на уровне середины расстояния между малым вертелом и головкой бедренной кости. Угол между бедренной костью и ЦЛ был избыточным.
Рентгенография ТБС: особенности проведения, диагностические возможности и расшифровка
Рентген тазобедренного сустава – это простой метод визуализации, который доступен и широко применяется в ортопедии и травматологии. С его помощью выявляют переломы, вывихи, подвывихи и грубые дефекты в строении костной ткани. Но рентгенография малоинформативна на ранних стадиях остеоартроза, при поражениях связочно-капсульного аппарата сустава. Она не позволяет увидеть мягкие ткани, в чем сильно уступает магнитно-резонансной томографии.

Место рентгенографии в диагностике заболеваний ТБС
В современной медицине популярны высокоточные визуализирующие методы исследования (МРТ, КТ). Врачи используют их все чаще, пренебрегая традиционной рентгенографией. На прием к травматологам нередко приходят пациенты, имеющие на руках только результаты МРТ, но не имеющие рентгенограммы. Такая ситуация выглядит странно и нелогично.
Поскольку рентгенография — недорогой метод исследования, ее используют на первичном уровне медицинской помощи. Семейный врач или терапевт имеет право назначить пациенту только рентген. На КТ и МРТ больного могут направлять травматолог, ортопед, хирург, другой узкий специалист (если это необходимо).
Если вы впервые обратились к врачу с жалобами на боли в ТБС, а он сразу же назначил вам МРТ – не спешите выкладывать круглую сумму за дорогое обследование. Подобное назначение обычно неоправданно. Вам лучше сходить на консультации к другим специалистам.
- низкая цена;
- доступность;
- быстрота обследования;
- возможность наблюдать патологию в динамике;
- безопасность при грамотном назначении.
Рентгенография позволяет диагностировать многие заболевания и травматические повреждения ТБС. Более точные визуализирующие методы исследования обычно требуются для уточнения диагноза и выбора тактики лечения. Иногда рентгенография бессильна в диагностике незначительных изменений в суставе, сопровождающихся болевым синдромом. Поэтому при сильных болях неизвестной этиологии пациентам могут назначать МРТ, КТ или УЗИ.
В чем основные различия между КТ и МРТ? Магнитно-резонансная томография позволяет выявить повреждения суставной капсулы, связок и мягких тканей. На компьютерных томограммах хорошо визуализируются мелкие костные дефекты, которые не видны на рентгене.
Насколько безопасно обследование
При исследовании ТБС организм получает сравнительно небольшую дозу радиации, которая не превышает 1,5 миллизиверт. Подобное облучение не способно навредить здоровому человеку. Но рентген тазобедренных суставов разрешается делать не чаще 1 раза в 6 месяцев. Беременным рентгенографию можно назначать только в крайних случаях.
Безопасная доза рентгеновского облучения для взрослого здорового человека составляет 3-4 мЗ в в год. 2-2,5 миллизиверта в год каждый из нас получает из внешней среды. Источники радиации — солнечные и космические лучи, почва, еда, вода и даже воздух.
Возможности рентгенографии
В ортопедии и травматологии рентгенологическое исследование используют для диагностики деформирующего коксартроза, артритов, асептического некроза головки бедренной кости, костных новообразований, вывихов, переломов шейки бедра и т. д. Рентгтенография позволяет подтвердить наличие патологии, но не всегда дает достаточно информации. Нельзя, например, получить послойное изображение тканей, из-за чего врачи не могут определить точную локализацию патологических изменений.
Симптомы и синдромы, которые выявляют с помощью рентгенографии:
- сужение суставной щели. Признак дистрофических изменений суставных хрящей. Этот симптом выявляют у больных с деформирующим остеоартрозом и хроническими артритами; . Снижение плотности костей. Характеризуется уменьшением количества костных балок в единице объема костной ткани. Патология развивается в пожилом возрасте. Сам остеопороз протекает бессимптомно, но на его фоне зачастую развивается деформирующий остеоартроз и переломы шейки бедра;
- деструкция. Возникает вследствие инфекционного процесса. Характеризуется разрушением участков кости с их дальнейшим замещением гноем, грануляциями или опухолевой тканью. Наличие деструкции может указывать на парапротезную инфекцию, остеомиелит, злокачественные новообразования;
- некроз. Неинфекционное омертвение костной ткани. Чаще всего участки некроза появляются в области головки бедренной кости. Причина – возрастное ухудшение кровотока и обмена веществ.
Выявление того или иного признака на рентгенограмме косвенно указывает на определенную патологию. Часто для постановки диагноза врачу хватает данных анамнеза, осмотра и рентгенографического исследования.
Многие из вас интересовались, что лучше – рентген или МРТ тазобедренного сустава? Магнитно-резонансная томография дает больше возможностей визуализации, а доза облучения при обследовании практически равна нулю. Но МРТ является недешевым методом. В Москве стоимость обследования колеблется в пределах 3000-7000 рублей.
Как делают рентген тазобедренного сустава
Чтобы получить исчерпывающие сведения о состоянии пациента, ему делают обзорную рентгенограмму таза в прямой проекции. Проведение рентгенографии только одного сустава является ошибкой. Для полноценного анализа рентгенологу необходимо видеть снимки обоих ТБС. Часто выявить патологию ему помогает именно сравнение.
- Подготовка. Перед рентгеном тазобедренного сустава пациенту не нужна специальная подготовка. В кабинете рентгенолога больному требуется только снять с себя одежду и лечь на стол в то положение, которое укажет врач.
- Проведение исследования. Для получение обзорной рентгенограммы пациента укладывают на спину. Таз исследуемого не должен наклоняться и поворачиваться. Чтобы получить правильное отображение шеечно-диафизарного угла, рентгенолог разворачивает обе стопы больного кнутри на 15 градусов. Установив рентгеновскую трубку, он выходит из комнаты и делает снимок.
Рис 1. Укладка пациента при выполнении обзорной рентгенографии в прямой проекции.
- а — положение исследуемого и расстояние до рентгеновской трубки;
- b — направление луча при исследовании.

Помимо обзорного снимка, пациенту также делают рентгенографию больного сустава в боковой проекции. Существует несколько методик его получения. Выбор какой-либо из них зависит от того, какие структуры сустава требуется визуализировать. Исследование может проводиться как стоя, так и в лежачем положении.
Расшифровка результатов
Получив снимки, рентгенолог анализирует и описывает их. Записав результаты, он отдает рентгенограммы и заключение пациенту на руки. Тот идет с ними на консультацию к травматологу или ортопеду. Специалист еще раз анализирует снимки и, учитывая другие имеющиеся данные, определяет диагноз.
При расшифровке рентгена тазобедренных суставов у ребенка необходимо учитывать его возраст. Это нужно, чтобы наличие зон роста и возрастных особенностей строения ТБС не привело к диагностическим ошибкам.
Наиболее частые изменения на рентгенограммах и их описание:



Остеопороз. Проявляется видимым снижением плотности костной ткани. На рентгенограммах принимает вид участков затемнения.


Деструкция. На рентгенограмме имеет вид костного дефекта. Свежие деструктивные очаги имеют неровные контуры, застарелые – ровные и уплотненные.

Деформирующий остеоартроз. На ранних стадиях рентгенологические признаки отсутствуют. Позже о патологии говорит сужение суставной щели.
Рентгенодиагностика коксартроза: самые распространенные ошибки
Болезни суставов нужно не только правильно лечить; сначала их нужно правильно диагностировать. К сожалению, с рентгенодиагностикой коксартроза дело обстоит неважно. И даже качественные рентгеновские снимки не являются гарантией того, что пациенту:
а) поставят правильный диагноз;
б) правильно определят стадию артроза.
Ниже мы рассмотрим самые распространенные диагностические ошибки.
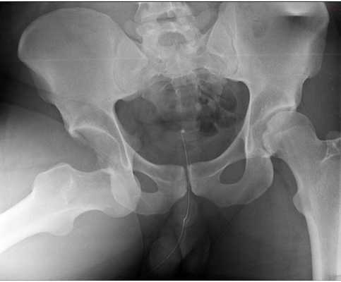
Снимок 1. На этом рентгеновском снимке изображен здоровый тазобедренный сустав. Мы можем здесь увидеть:
- правильную округлую форму головки бедренной кости;
- нормальных размеров суставную щель, т. е. достаточное расстояние между головкой бедренной кости и сочленяющейся с ней вертлужной впадиной.

Здоровый тазобедренный сустав. Фотография из архива доктора Евдокименко
Тем не менее этому пациенту почему-то поставили диагноз «коксартроз второй стадии» и приговорили к операции по замене сустава.
На самом деле никакого коксартроза у пациента не было и в помине. Да, он жаловался на боли в бедре, но эти боли были вызваны грыжей межпозвоночного диска и защемлением бедренного нерва (что впоследствии подтвердила томограмма позвоночника). Соответственно, операция по замене сустава пациенту была не нужна, а боли в бедре прошли после успешного лечения грыжи диска.
Возникает резонный вопрос: почему врач, проводивший описание рентгеновских снимков, так сильно оплошал и поставил диагноз «коксартроз второй стадии»?
Для меня ответ очевиден: рентгенолог поликлиники не имел достаточной квалификации в диагностике артрозов (может быть, потому, что артрология, т. е. наука о болезнях суставов, до сих пор очень плохо преподается в институтах). И видимо, рентгенолог рассуждал так: раз уж пациента направили на рентген тазобедренных суставов, значит, он чем-то болен.
А поскольку, по мнению этого рентгенолога, самая частая болезнь тазобедренных суставов — артроз, значит, так и запишем: у пациента коксартроз, для верности добавим: второй стадии. То, что таким образом он приговаривает пациента к операции по замене сустава, рентгенолога едва ли волновало.
Чудовищно, но, к сожалению, с такими ошибками рентгенологов мне приходится сталкиваться постоянно: чуть ли не ежедневно ко мне на прием приходят люди, которым поставили диагноз «коксартроз», а у них нет даже намека на «болезнь» и боли вызваны либо синдромом грушевидной мышцы, либо трохантеритом, либо грыжей межпозвоночного диска.
Но бывают диагностические ошибки и «в другую сторону», когда пациента лечат от несуществующей болезни позвоночника, предполагая, что боли в ноге вызваны защемлением нерва, и не видят прогрессирующий артроз тазобедренного сустава. Такой случай представлен ниже.
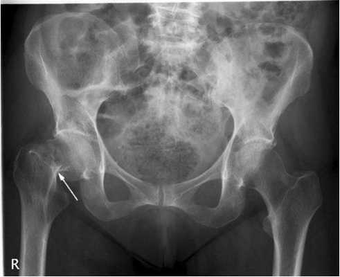
Снимок 2. Пациент обратился к врачу по поводу боли в правом паху и правом бедре, возникающей только при ходьбе или вставании со стула.

Коксартроз 2-й стадии. Фотография из архива доктора Евдокименко
Врач, осматривающий пациента, подошел к своему делу весьма формально: он осмотрел только спину больного, а ноги смотреть не стал. И хотя спина пациента была в полном порядке, вердикт медика был таким: «остеохондроз позвоночника».
В результате пациента 2 года (!) лечили от несуществующего остеохондроза. Но поскольку пациенту становилось только хуже, его, наконец, отправили на обследование. И провели, помимо прочего, рентген тазобедренных суставов. После получения рентгеновских снимков врачи наконец смогли (спустя 2 года) поставить правильный диагноз: «коксартроз».
Вот что мы видим на снимке пациента:
- головка бедренной кости «подтянулась» к вертлужной впадине, расстояние между костями совсем небольшое (уменьшение размеров суставной щели). Это говорит о том, что суставной хрящ, покрывающий сочленяющиеся части костей, стал гораздо тоньше (как вы помните, на рентгене сам хрящ не виден);
- оставшись без «хрящевого амортизатора», головка бедренной кости стала деформироваться, частично расплющиваться. Она теперь не такая идеально-круглая, как должна быть.
Такие рентгенологические изменения соответствуют коксартрозу второй стадии.
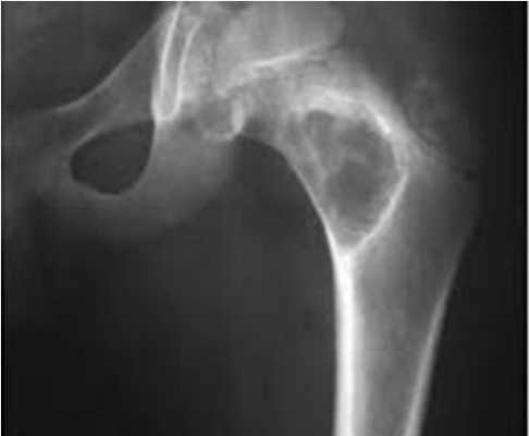
Снимок 3. Здесь представлен снимок пациентки, которой диагноз «коксартроз» поставили вовремя, еще на первой стадии болезни. Но, несмотря на своевременно поставленный серьезный диагноз, сама пациентка очень безалаберно отнеслась к своему здоровью и 5 лет игнорировала назначенное врачами правильное лечение. Вот что представлял ее сустав через 5 лет:
- суставной хрящ разрушен почти полностью (нет расстояния между костями, головка бедренной кости почти полностью «вклинилась» в вертлужную впадину);
- головка бедренной кости сильно деформирована, цвет верхней части головки на рентгене выглядит светлее (признак микроперелома костных балок из-за повышенного давления на верхнюю часть головки).

Коксартроз 3-й стадии. Фотография из архива доктора Евдокименко
Все эти рентгенологические признаки соответствуют коксартрозу третьей стадии. Третья стадия коксартроза была также подтверждена во время осмотра пациентки. К сожалению, из-за того, что пациентка халатно отнеслась к своему здоровью и не стала лечиться вовремя, ей пришлось идти на операцию по замене тазобедренного сустава.
Статья доктора Евдокименко© для книги «Боль в ногах», опубликована в 2004 году.
Отредактирована в 2012 г. Все права защищены.
Читайте также:
- Оспенноподобные угри. Красные угри
- Гормоны нейрогипофиза и их эффекты в организме. Вазопрессин (антидиуретический гормон). Аквапорины. Регуляция секреции и физиологические эффекты вазопрессина.
- Кости при синдроме Кушинга - лучевая диагностика
- Рентгенография органов грудной клетки
- Особенности речи у глухих. Мимика и жесты
