Пришеечный кариес: лечение, причины, профилактика прикорневого кариеса
Добавил пользователь Евгений Кузнецов Обновлено: 20.11.2025
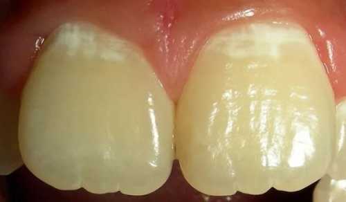
Кариес верхних резцов. Специфика поражения зубов и особенности лечения
Кариес зачастую поражает верхние резцы, хотя зона улыбки обычно не обделена гигиеническим вниманием – для чистки фронтальные зубы доступнее других. И все же передние единицы не меньше остальных подвергаются воздействию болезнетворных микроорганизмов, а лечение их является особенной темой в стоматологии.
Мало просто качественно поработать с кариозной полостью, запломбировав ее в последствие. Важно замаскировать результат лечения таким образом, чтобы он не выделялся на фоне родной эмали, а пациент мог свободно общаться и смеяться. Для реставрации верхних резцов стоматолог должен располагать высоким мастерством, достаточным опытом и дорогостоящими материалами.

Причина поражения
Появление кариеса на центральных и боковых резцах верхнего ряда обуславливают следующие факторы:
- нерегулярная гигиена либо полное ее отсутствие;
- малоэффективная чистка во время лечения брекетами;
- деминерализация эмалевого слоя и снижение защитных сил ротовой полости на фоне дефицита витаминов и микроэлементов;
- изменение нагрузки на единицы вследствие нарушений прикуса;
- сбои в работе слюнных желез, вызванные заболеваниями;
- механические, химические и термические травмы;
- нарушение ph-среды ротовой полости вследствие заболеваний ЖКТ;
- курение.
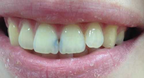
Специфика кариозного поражения верхних резцов
Кариес на центральных и боковых резцах верхнего ряда имеет ряд отличий, влияющих, как на протекание болезни, так и непосредственно на лечение.

Специалисты отмечают несколько ключевых особенностей в развитии патологии во фронтальных единицах:
- Инфицирование на начальном этапе проявляется чаще всего в виде пятен – белесых или желтоватых.
- Процесс распространения инфекции гораздо активнее по сравнению с молярами. Причиной тому является более тонкая эмаль и дентин.
- Инфекционное поражение обычно направлено в глубину. Пульпитом грозит даже точечный кариес на резцах, если проигнорировать своевременным обращением в клинику.
- Даже на начальных этапах патология заявляет о себе выраженной болью и гиперчувствительностью единиц к термораздражителям и сладкому.
- Косметический недостаток в зоне улыбки заметен практически сразу.
Классификация кариеса
Несмотря на стремительность, выявить разрушительный процесс в резцах проще. Инфицированный очаг отчетливо заметен на вестибулярной поверхности в виде мелового пятна или полости. Несколько сложнее обнаружить поражение с лингвальной стороны. Ключевым стимулом для посещения стоматолога выступают болевые ощущения, сигнализирующие об активном развитии деструктивного процесса в зубных тканях.

По глубине поражения костных структур различают кариес:
- В виде пятна. Меловые отметины на эмали – признак дефицита минералов и начинающегося разрушения поверхностного слоя зуба. Возможна реакция на сладости. Это начальная стадия кариеса, который легко лечится без вреда для зубных тканей.
- Поверхностный. Пятно буреет. Зондирование позволяет определить нарушение целостности эмали. Зуб реагирует на термическое и химическое раздражение.
- Средний. Инфекция добирается до более мягкого дентина, оставляя после себя заметное разрушение в виде полости. Цвет коронки со временем меняется. На холодное, горячее и сладкое зуб откликается выраженной болью.
- Глубокий. Деструктивные процессы идут внутри дентина. Характерно выраженное разрушение резцов, а также сильная боль от воздействия холодного/горячего и даже в состоянии покоя. Увеличивается риск осложнений.
По локализации поражения различают кариес:

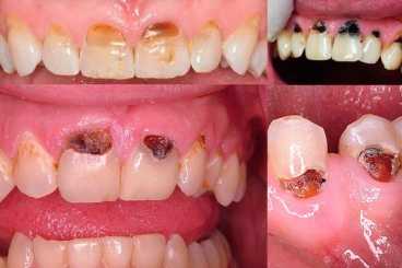
- Прикорневой. Очаг сосредоточен в пришеечной зоне. Изначально на эмали появляется желтоватое пятно, приобретающее со временем бурый цвет. Затягивание с лечением грозит серьезным разрушением тканей в области шейки резца.
- Межзубный. Распространенная разновидность кариеса, когда инфекция поражает эмаль в межзубном пространстве. В месте, где верхний слой зуба самый тонкий, остатки пищи создают благоприятную среду для жизнедеятельности бактерий.
- Контактный. Инфекция с одного зуба передается на соседний. Наблюдается в детском возрасте во время формирования молочного прикуса. Взрослые сталкиваются с подобной разновидностью кариеса из-за дефицита минералов или по причине наследственной предрасположенности.
Алгоритм лечения основывается на визуальном осмотре и результатах диагностики.
Минеральное обогащение эмали и система Icon. Данные способы лечения актуальны на начальной стадии кариеса и проводятся без бормашины. Подготовка состоит из удаления налета и шлифовки неровностей эмали. В последствие зубную поверхность обрабатывают реминерализующей пастой. Либо на пористую эмаль наносится инфильтрат с целью повышения ее прочности и устойчивости к бактериям.
Пломбирование. Популярная терапевтическая методика предполагает применение фотополимерных пломб. Лечение требует особой точности. Нужно не ошибиться с выбором оттенка материала, а также воссоздать натуральную форму единиц и промежутка между ними. При пульпите изначально лечат корневой канал, а затем выполняют реставрацию. Ввиду болезненности лечения кариеса передних зубов в клиниках зачастую предлагают проведение процедуры под медикаментозной седацией.

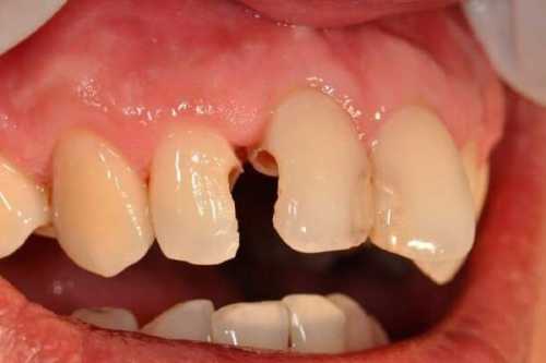
Ортопедическое восстановление. Установка пломбы невозможна в случае серьезного разрушения зуба. Восстановить красоту и функциональность резцов можно с помощью виниров или коронок из безметалловой керамики.
Экстракция. Показанием к удалению верхних резцов является полное их разрушение с осложнением, которое способствовало развитию воспаления. Таким случаем может стать запущенный прикорневой кариес. Самым эффективным решением для восполнения зубного ряда после экстракции считается имплантация.

Не забывайте о ежедневной домашней гигиене и профессиональном уходе за зубами дважды в год. Забота о здоровье ротовой полости, регулярные профосмотры у стоматолога и своевременное лечение позволят надолго сохранить эстетику улыбки.
Статьи
Коварному и незаметному разрушителю зубов подвержены, как взрослые после 35-ти лет, так и малыши в 3-4 годика. Патология локализуется на любой зубной единице, но чаще в области улыбки. Выбирает как отдельные (цветущий), так и одновременно все зубы (генерализованный). Болезнь поражает самую уязвимую прикорневую зону – шейку зуба и ткани возле нее. Ввиду незначительной толщины эмали в этом месте патогенные микробы Streptococcus mutans быстро проникают внутрь, вовлекая в разрушительный процесс каналы. Зуб портится изнутри.
Первичное разрушение проходит бессимптомно. Человек обнаруживает проблему позже, когда сталкивается с дискомфортом и болезненными ощущениями при соприкосновении с раздражителями извне. Именно в этом и кроется коварство данного вида кариеса. Лечить прикорневые кариозные полости сложно из-за близкого расположения их у линии десны. В особенности это относится к молярам. Самым сложным стоматологи считают заниматься восьмеркой (зубом мудрости). Кариесному поражению в пришеечной зоне свойственны осложнения. По его причине пациенты чаще лишаются зубов.
Среди ключевых причин развития прикорневого кариеса специалисты называют:
- слабую минерализацию эмали;
- заболевания десен и авитаминоз;
- некачественную гигиену;
- злоупотребление углеводами;
- наследственность.
Патология может быть спровоцирована дисфункцией слюнных желез. При недостаточной выработке слюны эмаль не получает должной защиты от бактерий. Размножение вредоносных микроорганизмов увеличивается и это пагубно сказывается на зубах. Разрушения могут начаться из-за неблагоприятной экологии, жесткой воды, сильного стресса, курения, злоупотребления кофе. Вследствие проблем в эндокринной системе или из-за возрастных процессов десны опускаются, оголившуюся шейку зуба начинают атаковать бактерии, что также способствует кариозному процессу в прикорневой зоне. По генерализованной форме заболевания в группе риска состоят:
- люди с ослабленным иммунитетом вследствие продолжительного системного заболевания;
- страдающие пороками сердца и дисфункцией щитовидки, больные сахарным диабетом;
- беременные;
- дети с нехваткой витаминов, с синдромом Дауна, с рахитом, а также постоянно подвергающиеся инфекционным заболеваниям;
- подростки в период изменения гормонального фона.

Стадии прикорневого кариеса:

- Пятно. Метка белого мелового цвета появляется в пришеечной зоне. Со временем она становится коричневой или даже черной под влиянием микроорганизмов. Место не реагирует на внешнее раздражение.
- Кариес поверхностный. По центру пятна в эмали вырисовывается углубление. При осмотре стоматолог может заметить изменившуюся текстуру зуба. Проблемное место при контакте с горячим и холодным выдает себя болезненными ощущениями. Иногда дискомфортно чистить зубы.
- Кариес средний. Зона поражения углубляется, дентин внутри размягчается. Поскольку процесс еще не затрагивает пульпу, то болевые ощущения кратковременные.
- Кариес глубокий. Полость разрастается в глубину. Сверху она ограничена нависающими краями эмали. Разрушения достигают пульпы. Под влиянием раздражителей постоянно ощущается боль и дискомфорт. Загрязнение полости остатками пищи способствует прогрессированию патологического процесса, что нередко приводит к достаточно серьезным осложнениям.
Как лечить прикорневой кариес?
Лечением должен заниматься только стоматолог. Домашние способы можно задействовать лишь как дополнение к профессиональным методам. Методика выбирается с учетом стадии, осложнений и особенностей больного.
При возникновении пятен проблемные участки покрывают:
- Полимерным гелем ICON, который проникает в пористую структуру зуба, наполняя в ней все изменения. Благодаря высокотекучей смоле, входящей в состав инфильтрационного средства, закрывается доступ в эмаль кариесогенным кислотам и процесс разрушения останавливается на начальном этапе.
- Препаратами на основе фтора - Ремодент, Белагель, Глуфторед. Технология называется реминерализацией, зубные ткани насыщаются фтором.
- Фторлаками. С помощью композиции микроэлементов структура эмали укрепляется, что способствует продолжительному сохранению поверхностного слоя зуба.

При выявлении кариеса на более поздних стадиях специалисты прибегают к высверливанию пораженного места с последующим наложением пломбы. В ходе лечения зубы тщательно очищаются от мягких и минерализованных отложений. К прикорневой зоне подбираются путем оттеснения десны и зачищают кариозную полость от поврежденных тканей и мягкого дентина. После подбора цвета пломбировочного состава полость закрывают пломбой, поверхность которой шлифуют в конце процедуры. Иногда специалист использует несколько вариантов пломбирующего состава. Зубы фронтальные лечатся по тому же принципу, что и коренные, только для них подбираются специальные составы, которые после пломбировки не выделяются на фоне эмали.
Борьба с пришеечным кариесом собственными силами
Остановить наступление патологии вне стоматологической клиники реально, если кариес только еще начинается. Дома можно воспользоваться:
- домашним фторированием с помощью специальных фторсодержащих паст. Повысить содержание этого элемента в организме также позволяют продукты, богатые на фтор;
- лекарственными травами. Каждую гигиеническую процедуру дополняют прополаскиванием отварами и настоями. Рот также следует полоскать и после очередного приема пищи. Лучшим противовоспалительным и бактерицидным эффектом наделены такие травы, как ромашка, аир, шалфей, лимонник китайский и др.
Нельзя пренебрегать правилами гигиены. Эмаль и десны начинают усваивать лечебные компоненты только после того, как они побудут во рту порядка 3-5 минут. Именно поэтому на чистку зубов необходимо отводить не менее пяти минут.
Как быть, если полеченный зуб болит?
Почти каждый 3-й пациент сталкивается с повышенной чувствительностью после лечения прикорневого кариеса. В норме болезненность проходит спустя пару дней. Но если проблемная зона во рту продолжает беспокоить дольше – скорее всего в лечении были допущены ошибки. Снять боль помогут анестетики и полоскания травяными отварами. Не обязательно боль связана с зубом. Нередко при лечении страдает десна. В этом случае рекомендованы противовоспалительные препараты, чтобы не допустить гнойного процесса. Из осложнений после лечения пришеечного кариеса встречается:
- некачественно пломбирование;
- воспаление из-за недостаточной обработки полости;
- пульпит.

Как избежать прикорневого кариеса?
В связи со сложностью лечения данного вида кариеса, специалисты постоянно напоминают о необходимости системной профилактики коварного разрушителя зубов. К эффективным способам предупреждения развития кариеса стоматологи относят:
- правильную и регулярную чистку профилактическими и лечебными пастами;
- профессиональную гигиену через каждых 3 месяца;
- сокращение сладостей в рационе;
- нормализацию питания и употребление витаминов;
- отказ от сигарет.
Какие нужны пасты?
- с кальцием и фтором. На начальных этапах минерализации укрепляют эмаль и угнетают нездоровую микрофлору;
- антисептические (с хлоргексидином, лизомицином и др). Убивают микробы, вызывающие кариес;
- с папаином. Средство борется с отложениями (мягкими и минерализованными), придает улыбке белоснежности.
- на растительных добавках. Лечат и укрепляют десневую ткань. Минимизируют риски формирования карманов в деснах, а, следовательно, и риски развития прикорневого кариеса.
- снижающие чувствительность. Заполняют поры твердой ткани, делая зубы устойчивее к раздражителям извне.
Для детей следует выбирать пасты из детских линеек. Чтобы не допустить развитие прикорневого кариеса у малыша, регулярно (с периодичностью раз в неделю) осматривайте у него молочные зубки. При обнаружении первых признаков поражения эмали немедленно покажите кроху стоматологу!
Генерализованный или цветущий кариес – причины, лечение, профилактика
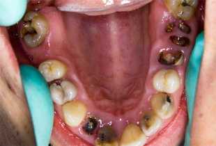
Множество порченых зубов во рту говорит о быстропрогрессирующей форме глубокого кариеса, зарождающегося на любых поверхностях - в фиссурах, на апроксимальной поверхности, в пришеечной зоне. Заболевание встречается у детей и взрослых. Ключевой признак – одновременное инфицирование 6-10-ти и более единиц, формирование на коронках сразу по несколько очагов.
Из-за масштабности поражения кариес получил название «цветущий». Развивается, как правило, на фоне ослабленного иммунитета вследствие инфекций, хронических болезней, нервно-соматических и эндокринных расстройств, и ненадлежащего ухода за ротовой полостью. Благодаря доступности стоматологии и серьезному отношению к здоровью зубов, «цветущих» улыбок на сегодня поубавилось. Но, тем не менее, пациентов с генерализованным кариесом еще нередко можно встретить.
Симптоматика
При множественной форме наблюдается стремительное инфицирование и разрушение зубных единиц. На жевательных поверхностях образуются глубокие дыры с узким входом и широким основанием. Разрушаются режущие и боковые линии резцов и клыков, считающиеся устойчивыми зонами. Поражается придесневая область, где эмалевая защита более тонкая. Болезнь подтачивает корни. Лишиться зубов можно практически за 6-10 месяцев.
Недугу свойственны кратковременная острая либо ноющая боль (вследствие забивания пустот пищевыми остатками), дискомфорт при употреблении горячего/холодного/сладкого/кислого, а также во время чистки зубов, несвежее дыхание. Из-за прогрессирования болезни ротовая полость приобретает ужасающий вид. Зубы изуродованы кариозными очагами, эмаль обильно покрыта налетом, который практически сразу же откладывается после чистки. Так происходит из-за высокой вязкости и скудности слюны, которая не в состоянии выполнять свою функцию – очищать ротовую полость. Ввиду активизации кариозного процесса в ранее пролеченных зубах летят пломбы.
У детей
Осложненная форма кариеса чаще всего встречается в дошкольном возрасте, так как эмалевый слой тонкий и пористый еще, а слюна недостаточно насыщена защитными антителами. В период до 3-х лет малыши зачастую страдают от «сосочного кариеса». Множественному поражению молочных зубов способствует кормление ребенка перед сном из бутылочки. После употребления детских смесей, молока или сладкого напитка во рту откладывается бактериальный налет.
Кариозный процесс может начаться, как осложнение после перенесения ОРВИ или ангины, когда существенно ослабевают иммунные силы организма. Статистика обследований школьников указывает на тесную взаимосвязь между инфекционными заболеваниями и кариесом. Чем чаще ребенок подвергался простудным заболеваниям, тем больше кариозных очагов у него во рту. Как правило, при цветущей форме выявляют наличие хронического тонзиллита и аденоидов.
В группу риска входят дети, страдающие врожденными пороками сердца, ревматизмом, сахарным диабетом, нефритом, туберкулезом, эндокринными расстройствами. Обширное и быстропрогрессирующее поражение сопровождает мраморную болезнь костей, диффузную склеродермию, болезни Дауна и Брутона.
Ранний кариес зарождается вследствие тяжелого рахита, когда возникает сбой в процессах роста зубочелюстного аппарата, нарушается обмен фосфора/кальция, в плазме снижается уровень кальция (гипокальциемия). Удар изначально на себя принимают детские зубы.
Многочисленное кариозное поражение встречается на фоне перестройки гормонального фона у подростков.
Иногда цветущая форма развивается вследствие плохого ухода за ротовой полостью. Дети не чистят либо недостаточно хорошо чистят зубы, отказываются посещать зубной кабинет. В подобном случае генерализованное поражение протекает хронически.
У взрослых

Генерализованная форма кариеса у взрослых свидетельствует о серьезных сбоях в работе организма. Может развиться после облучения, а также вследствие хронических заболеваний ЖКТ и эндокринной системы, нервно-соматических расстройств, нарушения работы слюнных желез.
В группу риска входят пожилые пациенты с различными хроническими заболеваниями, с нарушением усвоения микроэлементов (в особенности кальция), ВИЧ-инфицированные.
В список локальных факторов, способствующих развитию осложненного кариеса, стоматологи причислили:
- плохую индивидуальную гигиену, способствующую развитию кариесогенной инфекции;
- злоупотребление легкоусвояемыми углеводами (сахарозой, лактозой и др.), остающимися на зубах и служащими питательной средой для вредоносных микроорганизмов;
- слабую защиту эмали из-за дефицита минералов, снижения pH слюны, употребления кислой пищи.
Кроме этого человек рискует заполучить болезнь в следующих случаях:
- при недостатке витаминов и минералов в питании и питье;
- после жестких диет;
- из-за неблагополучной экологии;
- после сильного стресса;
- на вредном предприятии.
Диагностика
Обнаружить множественные очаги на разных стадиях заболевания несложно визуально. Характерным признаком также являются меловидные пятна и потемнение эмали до серого оттенка. Окончательная постановка диагноза основывается на квалифицированном осмотре с учетом установленных стоматологических критериев. Осмотр ротовой полости проходит с использованием специального зеркала и стоматологического зонда. Инфицированная единица на зондирование реагирует острой болью. При обследовании специалист определяет:
- степень повреждения зубов;
- глубину кариозного разрушения;
- чувствительность при термическом воздействии;
- реакцию нерва на электроток с помощью электрической диагностики.
Диагноз устанавливается согласно индексу КПУ, с учетом количества поверхностей с кариозными очагами и пломбами. У детей при генерализированной форме этот показатель начинается от 5-ти, а у взрослых - от 6-ти.
Рентгенографию или радиовизиографию назначают для более точной диагностики.
Терапия

Лечение множественного кариеса требует комплексного подхода вне зависимости у кого он «цветет» - у ребенка или взрослого. Направлено на удаление инфицированных зубных тканей при сохранении здоровых. Предполагает очистку всех очагов с последующей пломбировкой полостей. Процедура терапии у стоматолога включает:
- Местную анестезию при использовании инъекции с обезболивающим препаратом, который вводится в десну возле инфицированной единицы.
- Очистку кариозной полости. Бормашиной препарируют инфицированные ткани, вычищают размягченный дентин.
- Обработку антисептиками внутренней части зуба, промывание хлоргексидином или пероксидом водорода. Формирование места под пломбу.
- Удаление нерва, прочищение каналов, в случае необходимости.
- Накладывание лечебной бактерицидной повязки на основе препаратов кальция.
- Нанесение изолирующей прокладки с целью отделения пломбировочного материала от лечебной повязки.
- Временное или постоянное пломбирование, в зависимости от конкретной ситуации. Процедура проводится за раз в случае достаточной толщины стенок препарированной единицы. Какое решение примет специалист - во многом зависит от состояния причинного зуба и болевых ощущений после чистки. Молочные зубки пломбируют фторсодержащими цементами, постоянные – фотополимерными композитами.
Щадящая техника серебрения практикуется при лечении начинающегося кариеса у детей. Эмаль после процедуры темнеет и выглядит не эстетично. Но зато обеззараживаются кариозные очаги, развитие заболевания приостанавливается. Инфицированные зоны подвергают обработке препаратом на основании нитрата серебра. На серебрение уходит от силы пару минут.
Какие могут быть осложнения после лечения?
После качественного и своевременного лечения неприятных последствий, как правило, не бывает. Появление нарастающей боли спустя несколько дней после посещения стоматолога может свидетельствовать о начинающемся пульпите. В этом случае без перепломбировки не обойтись. Пломбу извлекают, инфицированную пульпу удаляют, корневые хода пломбируют. С визитом к врачу нельзя задерживаться в случае:
- постоянной тянущей боли, которая не снимается лекарственными препаратами;
- гиперемии и отека мягких тканей возле запломбированной единицы;
- некорректно установленной пломбы, размер которой вызывает болезненность.
Кроме пульпита возможно воспаление околозубных связок (периодонтит). Худшее из последствий – потеря зубной единицы (экстракция).
Профилактика

Во избежание зарождения множественного кариеса важно защитить зубы от негативного внешнего воздействия и укрепить организм. Эти две цели преследует профилактика коварного недуга у детей и взрослых. Для сохранности зубных единиц, в особенности, на ранней стадии поражения, специалисты предлагают придерживать основных превентивных мер:
- пользоваться противокариозными (противовоспалительными) зубными пастами;
- не реже 2-х раз в день проводить гигиенический уход (чистку);
- очищать межзубные промежутки флоссом;
- вымывать остатки пищи с помощью полосканий;
- придерживаться в еде температурного режима;
- ограничить в рационе сладкое и мучное;
- разнообразить питание овощами, фруктами, зерновыми и молочными продуктами;
- не запускать хронические болезни, своевременно лечить соматические расстройства.
Полезно проведение местных физпроцедур (электрофореза с препаратами фтора и кальция), реминерализации эмали через каждых 6 месяцев.
Дети с очагами множественного кариеса подлежат диспансеризации. Маленькие пациенты, поставленные на учет, регулярно наблюдаются и у стоматолога, и у педиатра.
Качественная профилактика и укрепление организма помогут надолго сохранить здоровье зубов. Крайне важно не откладывать посещения стоматологического кабинета. Только при регулярных осмотрах можно выявить зарождающееся заболевание и своевременно назначить эффективное лечение.
Кариес корня зуба ( Кариес цемента )
Кариес корня зуба ― патологический деструктивный процесс, характеризующийся разрушением твердых тканей внутрикостной (корневой) части зуба. Заболевание может протекать совершенно бессимптомно либо проявляться как косметический дефект, провоцировать боли в ходе приема пищи, чистки зубов. Кариозное поражение корня можно заподозрить уже на этапе осмотра ротовой полости и подтвердить с помощью термических проб, инструментальной диагностики (дентальной рентгенографии, ЭОД). Основные способы лечения ― пломбирование кариозного очага, реминерализующая терапия.
МКБ-10
Общие сведения
Кариес зубов распространен на всех континентах и затрагивает любые слои населения, заболеваемость им практически тотальная ‒ 80-98%. Распространенность кариеса корня (кариеса цемента) коррелирует с возрастом и составляет от 4% у пациентов до 30 лет до 35-50% в группе старше 65 лет. Поражение чаще выявляется у лиц с нарушенным зубодесневым прикреплением ‒ пациентов, страдающих заболеваниями пародонта, и пожилых людей с возрастной атрофией костной ткани. Особенно агрессивное течение наблюдается у тех, кто получает облучение области головы и шеи. Кариес цемента способен возникнуть на любом зубе, но чаще им поражаются моляры.
Причины
Современные исследователи выделяют три основных условия, провоцирующих появление кариозного очага в области корня зуба ‒ заболевание развивается только в случае их комплексного одновременного воздействия. То есть, ни одна из этих причин самостоятельно (в отсутствии двух остальных) не способна индуцировать начало патологического процесса:
- Кариесогенная микрофлора. Среди разного рода микроорганизмов, колонизирующих ротовую полость, доминируют бактерии. Некоторые из них, например, стрептококки Mutans, актиномицеты и определенные виды лактобацилл, продуцируют из углеводов, поступающих с пищей, органические кислоты, которые вызывают деминерализацию цемента. Это приводит к повышению его проницаемости, появлению кариозного очага.
- Употребление простыхуглеводов. Наибольшей кариесогенностью обладает сахароза, главным источником которой является сахар-рафинад. Бактерии расщепляют ее, синтезируя кислоту и глюкан - вещество, участвующее в образовании налета. Опасны и другие углеводы: к примеру, фруктоза и крахмал. Для начала продуцирования органических кислот углеводам нужно несколько задержаться на поверхности цемента, чтобы бактериальные клетки успели их абсорбировать.
- Снижение кариесрезистентности. Это ухудшение сопротивляемости тканей зуба и организма в целом к возникновению кариозного процесса. К подобному состоянию могут привести многие причины: уменьшение содержания кальция в структуре твердых корневых тканей, недостаточное слюноотделение, вредные привычки и т.д. Происходит снижение прочности цемента и дентина, нарушается процесс естественной очистки зубной поверхности слюной.
Вероятность развития заболевания повышается в присутствии предрасполагающих факторов. Риск кариозного поражения корневой зоны увеличивается у людей старше 60 лет, когда в силу возраста происходит атрофия костной ткани и обнажение зубных корней. Корневому кариесу часто подвергаются лица с пародонтитом, пародонтозом, рецессией десны, при которых наблюдается нарушение зубодесневого прикрепления. Опасность возрастает из-за несоблюдения гигиены ротовой полости, снижения местного иммунитета слизистой оболочки.
Патогенез
При употреблении пищевых продуктов с содержанием сахарозы или других кариесогенных углеводов микрофлора зубного налета ферментирует эти вещества, образуя органические кислоты: пировиноградную, молочную, муравьиную и т. п. Это приводит к нарушению кислотно-щелочного равновесия на поверхности зуба, в частности, в пришеечной зоне. Если корень обнажен, покрывающий его цемент подвергается воздействию кислот, которые за счет градиента концентраций проникают в него и диссоциируют, вызывая деминерализацию.
В дальнейшем патология может прогрессировать и поражать дентин, обусловливая появление кариозной полости. Она обычно заполняется остатками еды, микроорганизмами, элементами ротовой жидкости и разрушенных зубных тканей. Дентин, выстилающий стенки дефекта, деминерализуется, инфицируется, его более глубокие слои склерозируются, постепенно переходя в интактную ткань.
Классификация
В центральной части корня зуба расположен корневой канал с сосудами и нервами. Он окружен дентином, который снаружи покрыт цементом. Обе эти ткани, состоящие из минеральных солей и органических соединений в разных соотношениях, могут подвергаться кариозному процессу. В зависимости от глубины поражения в терапевтической стоматологии выделяют три формы кариеса корня:
- Начальная. Характеризуется частичным разрушением цемента, но граница с дентином сохраняется. При этом на поверхности корня может появиться коричневое или темное пятно.
- Поверхностная. Цементно-дентинное соединение разрушается, формируется неглубокий дефект коричневого цвета, окруженный верхним слоем дентина. Глубина полости не превышает 0,5 миллиметра.
- Глубокая. Эта форма отличается распространением процесса на глубину более 0,5 миллиметра. Кариозная полость отделена от пульпарной камеры лишь тонким слоем дентина.
Симптомы кариеса корня
Процесс способен протекать бессимптомно, особенно на начальной стадии, но может провоцировать боли во время чистки зубной щеткой, приема кислой, соленой или сладкой пищи, которые быстро проходят после устранения раздражителя. Иногда неприятные ощущения вызывают горячие или холодные продукты питания. Если патологический очаг в виде локального потемнения цемента расположен на губной поверхности передних зубов, больной предъявляет жалобы на неудовлетворительную эстетику. Порой пятно практически сливается с поверхностью корня либо скрывается под зубным налетом или камнем.
Когда кариозный процесс достигает цементно-дентинного соединения, проникая в поверхностные слои дентина, полость становится глубже, заполняется погибшими тканями, в ней застревает пища или зубная нить. Кратковременная боль также индуцируется химическими, температурными и механическими факторами, но может вовсе отсутствовать. Если кариес поражает слои дентина, граничащие с полостью зуба, боль чаще возникает во время приема горячей или холодной пищи. В остальном симптоматика глубокой формы кариеса схожа с таковой на его предыдущих стадиях.
Осложнения
Если не предпринимать попытки лечения кариеса корня, процесс может достигнуть полости зуба и спровоцировать пульпит. При этом болевые ощущения бывают столь невыносимыми, что поход к врачу становится невозможным больше откладывать. Если перетерпеть пульпитную боль, то она может самостоятельно исчезнуть, что свидетельствует о хронизации процесса. В дальнейшем инфекция с высокой вероятностью спровоцирует воспаление соединительнотканной связки зуба ― периодонтит, а это в случае несвоевременного обращения за врачебной помощью чревато деструкцией подлежащей кости и потерей зуба.
Диагностика
Наличие кариеса корня зуба выявляет стоматолог-терапевт. Постановка диагноза осуществляется поэтапно на первом клиническом приеме. Процесс осмотра направлен на выяснение жалоб пациента: наличия боли, ее характера и сопровождающих обстоятельств. Дополнительно выполняются различные тесты и исследования:
- Зондирование зуба. Исследование зубных рядов проводится с помощью стоматологического зеркала и острого зонда. При обследовании быстропрогрессирующего кариозного поражения отмечается его мягкая или «кожистая» консистенция и неровные, острые края. Поверхность патологического очага на стадии ремиссии обычно блестящая, гладкая, твердая с ровными, плотными краями.
- Температурные пробы. Чтобы отличить глубокий кариес корня зуба от пульпита, используют холодную воду и разогретый воск. При этом обращают внимание на длительность боли: если неприятные ощущения исчезают сразу или быстро после устранения раздражающего агента, как правило, диагностируют кариозное поражение.
- Электроодонтометрия. С помощью специального прибора определяют состояние пульпы зуба в зависимости от ее реакции на электрический ток определенной силы. В случае кариеса корня чувствительность зубной ткани к силе тока находится в диапазоне 2-6 мкА (иногда больше), при пульпите ― примерно 20-90 мкА. Показатели свыше 100 мкА вызывают подозрение на гибель пульпы и развитие периодонтита.
- Рентгенологическое исследование. Пациенту выполняется внутриротовой прицельный снимок одного или двух-трех больных зубов. На нем хорошо визуализируются размеры и глубина очага, что позволяет оценить целостность границы между дентином и цементом. Особое внимание уделяется расстоянию от дна кариозной полости до пульпарной камеры.
Лечение кариеса корня зуба
Схема лечения разрабатывается, исходя из стадии и скорости кариозного процесса, количества пораженных зубов. При этом обязательно учитывается состояние всей ротовой полости (слизистой оболочки, прикуса) и наличие у пациента сопутствующей патологии. Основные современные методики, используемые для устранения корневого кариеса, включают в себя:
- Реминерализующую терапию. Этот способ в качестве единственного метода лечения подходит только для начальной стадии заболевания. Цемент зуба подвергается воздействию местных или общих препаратов с высоким содержанием кальция и фтора, которые устраняют или стабилизируют очаг деминерализации. Ремотерапия как вспомогательный метод также показана при быстропрогрессирующем кариесе, когда патологический процесс за короткий промежуток времени поражает большое количество зубов.
- Препарирование и пломбирование. Если цементно-дентинная граница повреждена, кариозный очаг под местной анестезией поэтапно раскрывается, обрабатывается борами. Затем сформированная полость заполняется пломбой. В современных лечебных учреждениях наиболее распространены пломбировочные материалы на основе полимеров - светоотверждаемые композиты.
Прогноз и профилактика
Прогноз правильно пролеченного кариеса корня зуба можно считать благоприятным. Однако вокруг запломбированной полости часто возникает вторичный кариозный процесс, появление которого зависит от состояния здоровья пациента, его подхода к осуществлению гигиены полости рта. В настоящее время ведутся разработки и клинические испытания новых пломбировочных материалов, которые способны навсегда предупредить рецидив заболевания.
Чтобы запломбированные и интактные зубы долгие годы оставались здоровыми, нужно регулярно пользоваться зубной нитью, два раза в день после первого и последнего приема пищи чистить зубы щеткой с пастой. В течение дня после еды (особенно кондитерских продуктов, сладких фруктов) рекомендуется полоскать рот щелочной минеральной водой. Также на протяжении 5-10 минут после еды до 3-5 раз в сутки можно пользоваться жевательной резинкой без фруктовых отдушек, если отсутствуют противопоказания.
Пришеечный кариес
Пришеечный кариес – кариозный процесс с локализацией в придесневой области, то есть в области шейки зуба. В зависимости от стадии пришеечный кариес может проявляться потемнением эмали зуба в околодесневой области; повышенной чувствительностью зуба на температурные, химические и механические раздражители; образованием кариозной полости различной глубины, болевым синдромом. Пришеечный кариес диагностируется в ходе стоматологического осмотра и рентгенографии зуба. Лечение пришеечного кариеса проводится с учетом стадии кариозного поражения зуба и не отличается от такового при других видах кариеса.
Пришеечный кариес – разновидность кариеса, характеризующаяся деструкцией твердых тканей на границе коронки и корня зуба, рядом с десной. Согласно классификации, принятой в стоматологии, в зависимости от локализации выделяют фиссурный, пришеечный (цервикальный), контактный (апроксимальный) и кольцевой (циркулярный) кариес. Пришеечным кариесом могут поражаться губные, щечные, язычные поверхности боковых и фронтальных зубов. Пришеечный кариес чаще возникает у людей в возрасте 30-60 лет. Пришеечный кариес относится к числу наиболее опасных типов кариеса, поражающих зуб в наиболее уязвимом месте и способствующих его к быстрому разрушению.
Причины пришеечного кариеса
В целом кариес пришеечной области развивается вследствие тех же причин и механизмов, что и кариозные процессы других локализаций. Вместе с тем, возникновению пришеечного кариеса благоприятствуют особые условия, имеющиеся в придесневой области. В первую очередь, это труднодоступность данной зоны для качественного гигиенического ухода, а, следовательно, повышенное скопление зубного налета и образование зубного камня в пришеечной области. Прослеживается прямая связь между пришеечным кариесом и гингивитом.
Кроме этого, в области шейки зуба толщина эмали составляет всего 0,1 мм, тогда как в области бугров - 1,7 мм, а в области фиссур - 0,6-0,7 мм. Тонкий слой эмали относительно легко повреждается при чистке зубов абразивными пастами, зубными порошками, жесткими щетками.
Среди прочих факторов, развитию пришеечного кариеса могут способствовать частое употребление в пищу кислых продуктов и прием лекарственных препаратов, повышающих пористость эмали, беременность. При поражении пришеечным кариесом одновременно нескольких зубов, скорее всего, следует думать об эндокринной дисфункции (сахарном диабете, заболеваниях щитовидной железы).
Симптомы пришеечного кариеса
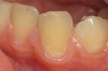
В своем развитии пришеечный кариес проходит те же стадии, что и любое другое кариозное поражение: стадию пятна, поверхностного, среднего и глубокого кариеса. В начальной стадии эмаль в области шейки зуба теряет блеск и становится матовой; на ней появляется светлое (меловидное) либо пигментированное пятно с гладкой поверхностью; клинические проявления отсутствуют.
В дальнейшем поверхность пятна становится шероховатой, что свидетельствует о начавшемся разрушении эмали; субъективные ощущения характеризуются кратковременной болезненной реакцией на химические, механические и температурные раздражители. Это свидетельствует о переходе пришеечного кариеса в следующую клинико-морфологическую стадию - поверхностную.
Слабость эмали в области шейки зуба способствует достаточно быстрому прогрессированию пришеечного кариеса в стадию среднего и глубокого кариеса, которые клинически проявляются образованием кариозной полости, застреванием пищи, болевой реакцией при разговоре, приеме пищи, чистке зубов. Глубокий кариес может сопровождаться значительным разрушением зуба и осложняться развитием пульпита. Пришеечный кариес обычно локализуется на губной или щечной поверхности зубов; иногда поражение охватывает всю прикорневую шейку зуба по типу циркулярного кариеса.
Диагностика пришеечного кариеса
Опытный стоматолог может распознать пришеечный кариес еще на стадии меловидного пятна. Как и в других случаях, проводится осмотр полости рта, зондирование, оценка гигиенического индекса. Дополнительные методы диагностики пришеечного кариеса могут включать термопробу, витальное окрашивание, электроодонтодиагностику, трансиллюминацию, рентгенографию зуба, радиовизиографическое обследование.
Лечение пришеечного кариеса
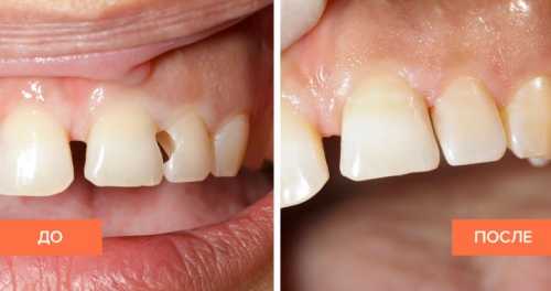
Методы лечения пришеечного кариеса зависят от стадии обращения к специалисту. На ранних этапах (стадии пятна) целесообразно проведение реминерализирующей терапии – курса аппликаций фторсодержащих препаратов, глубокого фторирования эмали.
При образовании полости процесс лечения пришеечного кариеса должен включать следующие основные этапы: местную анестезию, удаление зубных отложений, препарирование дефекта и обработку полости, наложение лечебной и изолирующей прокладки (при лечении среднего и глубокого кариеса), постановку пломбы световой полимеризации, шлифовку и полировку пломбы.
Прогноз и профилактика пришеечного кариеса
Следует помнить, что пришеечный кариес прогрессирует очень быстро, поэтому при обнаружении малейших изменений в области шейки зуба следует обратиться к стоматологу. В неосложненных стадиях с помощью современных методов лечения удается полностью восстановить эстетику и функциональное предназначение зуба. Осложнениями глубокого пришеечного кариеса часто служат также пульпиты, периодонтиты, гингивиты. Запущенный пришеечный кариес может привести к разрушению и потере зуба, для восстановления которого потребуется протезирование или дентальная имплантация.
Профилактика пришеечного кариеса включает в себя регулярный и тщательный уход за зубами с помощью индивидуально подобранных средств (зубных паст, ополаскивателей, зубной нити), соблюдение правильной техники чистки зубов, профессиональную гигиену полости рта, предупреждение заболеваний десен и эндокринных нарушений.
Читайте также:
- Отравление наполнителями лекарств и красителями
- Лучевая диагностика гиперэкстензионной травмы шейного отдела позвоночника
- Синдром Тричера Коллинза - лучевая диагностика
- Проявления алкоголизма. Синдром измененной реактивности при алкоголизме
- Патологические реакции вестибулярного анализатора. Периферические вестибулярные синдромы
