Признаки болезни Севера
Добавил пользователь Владимир З. Обновлено: 28.01.2026
Этот термин был введен Джеймсом Уорреном Севером в 1912 году. Одна из наиболее распространенных причин боли в пятке среди детей в возрасте от 10 до 12 лет. Также известный как апофизит пяточной кости, это состояние представляет собой болезненное воспаление пяточной кости, вызванное повторяющимися микротравмами на неокостеневшем апофизе из-за растяжения Ахиллова сухожилия. Другими распространенными повреждениями при тракции являются апофизит подвздошной кости, апофизит медиального надмыщелка или локоть Малой лиги, апофизит нижнего полюса надколенника или синдром Синдинга-Ларсена-Йоханссона, апофизит бугорка большеберцовой кости или болезнь Осгуда-Шлаттера и апофизит пятой плюсневой кости.
Клинически значимая анатомия
Апофиз имеет более высокий состав волокнистого хряща. Апофиз пяточной кости обычно появляется у детей в возрасте 7-9 лет и окостеневает как самостоятельный центр окостенения примерно к 15-17 годам. Ахиллово сухожилие вставляется в нижнюю, заднюю и слегка медиальную часть пяточной кости. Пластины роста пяточной кости подвергаются сильному напряжению со стороны подошвенного апоневроза и Ахиллова сухожилия [1].
Этиология/факторы риска
Болезнь Севера - это остеохондроз, вызванный перегрузкой. Эта С-образная зона роста воспаляется вторично из-за повторяющегося тягового напряжения Ахиллова сухожилия.
Факторы риска могут включать:
- Высокие физические и спортивные нагрузки, особенно те, которые включают повторяющийся бег и прыжки
- Тугость тяжа на пятке
- Слабое сгибание голеностопного сустава
- Плохо амортизирующая или изношенная спортивная обувь
- Бег по твердым поверхностям
- Биомеханические факторы, такие как варусная деформация колена, плоскостопие или полая приведенная стопа[2][3]
- Ожирение
Эпидемиология
Болезнь Севера - это синдром чрезмерного роста, подобный болезни Осгуда-Шлаттера. Рост прямо пропорционален величине нагрузки, оказываемой на ростовые пластины пяточной кости.
Активные дети и подростки, особенно в период полового созревания или в начале спортивного сезона (например, гимнасты, баскетболисты и футболисты), часто страдают этим заболеванием [4][5]. Это заболевание чаще всего возникает в начале периода резкого роста. Соотношение мальчиков и девочек составляет 2-3:1 [5]. Это происходит только у растущих детей и никогда не происходит после полового созревания [6].
Характеристики/клиническая картина
Этот синдром может возникать в одностороннем или двустороннем порядке [7]. Частота двусторонней инфекции составляет примерно 60 % [2].
Общие признаки и симптомы:
- Боль обычно отсутствует, когда ребенок встает утром [5]
- Усиление боли при переносе веса, беге или прыжках [4][5]
- Болезненность при медиальной и латеральной компрессии пятки [6]
- Эритемы, отека или изменений кожи не обнаружено [6]
- Может быть связано с другими аномалиями стопы
- Ребенок может хромать в конце физической активности [1][5]
- Ограниченный диапазон сгибания голеностопного сустава, вторичный по отношению к натянутости ахиллова сухожилия. Боль постепенно проходит с отдыхом. Все спортивные занятия, включая бег, следует прекратить, пока у ребенка болит пятка.
Дифференциальный диагноз
Боль в задней части пятки может возникать из-за
- Ахиллова сухожилия
- Деформация Хаглунда
- Ретрокальканеальный бурсит
- Стрессовый перелом пяточной кости
- Пяточная шпора
- Синдром пяточной подушки
Диагностические процедуры
Рентгенография
В большинстве случаев рентгенограммы бесполезны, потому что апофиз пяточной кости у нормальных детей часто фрагментирован и плотен. Но они могут быть использованы для исключения других травм.
Ультразвуковое исследование
Диагностическое ультразвуковое исследование может показать фрагментацию вторичного ядра окостенения пластины роста пяточной кости. Это безопасный диагностический инструмент, и также может быть использован для исключения тендинопатии Ахиллова сухожилия и/или ретрокальканеального бурсита [8].
МРТ
МРТ показала изменения сигнала в заднем эпифизе пяточной кости и может помочь локализовать воспаление до апофиза [9].
Обследование
- Болезненность при пальпации.
- Тест на пассивную дорсифлексию лодыжки: показывает уменьшение дорсифлексии. Этот тест также может спровоцировать болезненную реакцию.
- Тест на сжатие: Медиолатеральная компрессия пластины роста пяточной кости для выявления боли при болезни Севера [1]. Выполняется над нижней третью задней части пяточной кости. Этот тест является наиболее важным для диагностики апофизита пяточной кости.
- Стояние на цыпочках усиливает боль в пятке.
- Биомеханические аномалии: плоскостопие, вальгусная деформация и др.
- Отек и другие изменения кожи являются индикаторами различных патологических состояний и не характерны для болезни Севера. Хотя может быть легкая припухлость.
- Походка может быть нормальной; пациент может ходить прихрамывая или демонстрировать сильный удар пяткой.
- Избыточный вес
Физиотерапия
Поскольку это условие самоограничивающееся, оно разрешается по мере взросления ребенка. Лечение зависит от тяжести симптомов у ребенка. Во время активной фазы уровень активности пациента должен быть ограничен только болью.
Симптомы обычно проходят через несколько недель - 2 месяца после начала терапии [4][5][7].
Признаки болезни Севера
Пяточный эпифизит и бурсит. Диагностика и лечение
Пяточный эпифизит (болезнь Севера), наблюдаемое у детей, обычно мальчиков в возрасте 9—14 лет. Оно представляет собой вялотекущую воспалительную реакцию в заднем эпифизе пяточной кости, который, в отличие от остальной пяточной кости, имеет отдельный центр окостенения. Последний появляется у ребенка в возрасте 10 лет и сливается с пяточной костью в возрасте 15 лет.
Эпифиз подвергается тяге ахиллова сухожилия, и заболевание это можно классифицировать как остеохондропатию наряду с такими остеохондропатиями, как болезнь Легга—Кальве—Пертеса или болезнь Осгуда—Шлаттера.

Пациент жалуется на боль в заднем отделе пятки ниже места прикрепления ахиллова сухожилия, которая усиливается при стоянии на пальцах или беге. Начало постепенное, больной отмечает облегчение при расслаблении мышц голени при согнутом коленном суставе и стопе в положении эквинуса. Болезненность наиболее выражена по внутренней и наружной сторонам, где эпифизарная пластинка расположена подкожно.
Рентгенограммы в ранней стадии обычно неинформативны. Позже, однако, при сравнении со здоровой стороной можно определить фрагментацию эпифиза.
Заболевание — самокупирующееся, при рецидивах лечение симптоматическое до закрытия эпифизарной линии. Рекомендуется уменьшить натяжение ахиллова сухожилия, подложив под пятку прокладку толщиной 0,6 см для выведения стопы в положение эквинуса, а также назначить покой и обезболивающие средства. В тяжелых случаях может потребоваться иммобилизация стопы гипсовой повязкой в положении эквинуса.
Ахиллов бурсит и задний пяточный бурсит
В пяточной области имеются две синовиальных сумки, в которых может развиться воспалительный процесс. Первая располагается между пяточной костью и ахилловым сухожилием и называется сумкой пяточного сухожилия, вторая — между ахилловым сухожилием и кожей и носит название задней пяточной сумки.
В последнем случае бурсит обычно развивается от трения плохо подобранной обувью и особенно часто встречается у женщин, носящих туфли на высоком каблуке. Сумка обычно растянута жидкостью и воспалена. В хронических случаях сумка утолщена вместе с вышележащей кожей; отмечаются болезненность и припухлость сзади на пятке, где трет обувь. При ахиллобурсите пациент жалуется на боли при движении, пальпация выявляет локализованную болезненность чуть кпереди от ахиллова сухожилия.
Лечение ахиллобурсита включает покой, тепло и приподнятое положение конечности. Больным с задним пяточным бурситом необходимо подобрать подходящую обувь на низком каблуке. В острых случаях можно вырезать задник обуви. Пункция сумки и введение гидрокортизона приводят к быстрому стиханию симптомов.
Редактор: Искандер Милевски. Дата обновления публикации: 18.3.2021
Рентгенограмма, МРТ при болезни Севера
а) Определения:
• Соответствует воспалению апофиза заднего отростка пяточной кости у лиц, не достигших скелетной зрелости
• Апофиз: участок кости, возникший из самостоятельного ядра окостенения, не влияет на рост кости в длину
б) Визуализация:
1. Рекомендации по визуализации:
• Лучший метод визуализации:
о МРТ
2. Рентгенография при болезни Севера:
• При рентгенографии изменения обычно отсутствуют
• Фрагментация и склерозирование апофиза заднего отростка пяточной кости достоверными признаками апофизита не являются:
о Могут быть обнаружены и у детей без клинической симптоматики
3. МРТ при болезни Севера:
• Отек костного мозга в апофизе заднего отростка пяточной кости и в ее прилежащих отделах
• Передний ахиллобурсит (ретрокальканеальный)
• Паратендинит ахиллова сухожилия:
о Жидкость в паратендинии ахиллова сухожилия

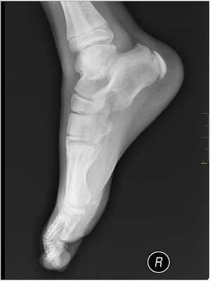
(Левый) Мальчик 12 лет. Выявлена клиническая симптоматика болезни Севера. При рентгенографии голеностопного сустава в боковой проекции определяются склерозированный и фрагментированный апофиз пяточной кости, а также зубчатый контур метафиза, что часто можно наблюдать и у детей без клинической симптоматики. Симптомы болезни Севера могут выявляться при тендинопатии ахиллова сухожилия, реакции апофиза на избыточную тягу ахиллова сухожилия или стресс-переломе пяточной кости.
(Правый) Пациент, у которого выявлена клиническая симптоматика болезни Севера. При МРТ в сагиттальной плоскости на Т1ВИ визуализируются отек костного мозга пяточной кости и признаки переднего ахиллобурсита.
в) Дифференциальная диагностика болезни Севера:
1. Стресс-перелом:
• В случае наличия клинической симптоматики, характерной для болезни Севера, при МРТ часто обнаруживают стресс-перелом пяточной кости возле апофиза
• Некоторые авторы утверждают, что болезнь Севера соответствует невыявленному стресс-перелому
2. Подошвенный фасциит:
• Утолщение подошвенной фасции
• Отек фасции и прилежащих тканей
3. Ювенильный идиопатический артрит:
• Воспаление в области прикрепления ахиллова сухожилия или подошвенной фасции
• Как правило, при дебюте серонегативной спондилоартропатии в подростковом возрасте
4. Синдром канала предплюсны:
• Ущемление латеральной пяточной ветви большеберцового нерва приводит к развитию болевого синдрома в пяточной области
5. Синдром Хаглунда:
• Формирование костного выступа вызывает бурсит, тендинопатию ахиллова сухожилия и боли в пяточной области
• В данной возрастной группе встречается редко
6. Тендинопатия ахиллова сухожилия:
• Возникает в результате длительной избыточной нагрузки на сухожилие
• При МРТ выявляется утолщение сухожилия ± некоторое повышение интенсивности сигнала от него
• В данной возрастной группе встречается редко
7. Однокамерная костная киста:
• В пяточной кости обнаруживается часто
• Как правило, клиническая симптоматика отсутствует
• Может способствовать возникновению перелома, что приводит к появлению болей в пяточной области

(Левый) У этого же пациента при МРТ в сагиттальной плоскости на Т2ВИ в режиме FS видно, что отек костного мозга захватывает не только буюр пяточной кости, но и апофиз. В синовиальной сумке кпереди от ахиллова сухожилия выявляется жидкость. Также определяются признаки паратендинита ахиллова сухожилия.
(Правый) У этого же пациента при МРТ в аксиальной плоскости на Т2 ВИ в режиме FS, помимо отека костного мозга пяточной кости, визуализируется отек квадратной мышцы подошвы.
г) Патология:
1. Общая характеристика:
• Этиология:
о Развитие болезни связывают с физической активностью, в особенности с прыжками: - Часто встречается у футболистов
о Возникает в результате тянущего усилия ахиллова сухожилия или подошвенной фасции, прикладываемого к апофизу
• Сопутствующие патологические изменения:
о Передний ахиллобурсит
2. Краткие анатомические сведения:
• Апофиз заднего отростка пяточной кости появляется в возрасте 7 лет, к 15 годам сливается с пяточной костью
• В норме апофиз часто разделен на несколько частей и склерозирован:
о В одном из исследований фрагментированный апофиз был выявлен у 50% лиц в группе контроля
• Прилежащий метафиз часто характеризуется фестончатым контуром, который не совсем конгруэнтен апофизу
д) Клинические особенности:
1. Проявления:
• Типичные признаки/симптомы:
о Боли в области заднего отростка пяточной кости у лиц, не достигших скелетной зрелости
о Боли усиливаются при физической нагрузке, уменьшаются в покое
о Чувствительность пробы, при которой пациент стоит на одной пятке, составляет 100%
о Чувствительность пробы на сжатие составляет 97%
3. Течение и прогноз:
• Купируется самостоятельно
4. Лечение:
• Покой, ношение пяточной стельки
• Растягивание ахиллова сухожилия
е) Диагностическая памятка:
1. Следует учесть:
• При МРТ часто обнаруживают другую причину появления клинической симптоматики, характерной для болезни Севера
2. Советы по интерпретации изображений:
• Рентгенография не позволяет достоверно подтвердить наличие данного заболевания:
о Выполняется, чтобы исключить другие причины развития болевого синдрома в пяточной области
Болезнь Севера

Болезнь Севера представляет собой синдром чрезмерного использования, который чаще всего встречается у юных спортсменов, соревнующихся в прыжках и беге. Среди его других названий – пяточный апофизит или синдром Осгуда-Шлаттера стопы. Впервые болезнь описал Джеймс Уоррен Север в 1912 г. Данная проблема связана с постоянным возникновением микротравм из-за тракции ахиллова сухожилия. Тракция сухожилия происходит в области вторичного центра окостенения пяточной кости, что влечет за собой повреждение ее апофиза. Причина этого тракционного апофизита – повторяющиеся микротравмы или чрезмерное использование пятки юными спортсменами.
Клинически значимая анатомия
Пяточная кость расположена в задней, подошвенной области стопы. Ахиллово сухожилие прикрепляется внизу, сзади и примерно посередине пяточной кости. Плантарная фасция берет начало от медиального бугорка в подошвенной части пяточной кости. Ближе к эпифизу лежит апофиз, куда ахиллово сухожилие фактически и вплетается. Ростковая зона пяточной кости и ее апофиз испытывают большую нагрузку от плантарной фасции и ахилла. Кроме того, разница в темпе роста мышцы и кости может приводить к укорочению трицепса голени, в результате чего может снизиться амортизация между стопой и поверхностью опоры. Кроме того, у ахиллова сухожилия имеется довольно широкая область прикрепления, которая анатомически связана с плантарным апоневрозом. Фактически это помогает предотвратить травматические разрывы центра оссификации.
Эпидемиология/Этиология
Болезнь Севера — это остеохондроз, вызванный слишком большими нагрузками на область прикрепления ахиллова сухожилия к пяточной кости и эпифизарную пластинку роста. Эта зона роста по форме напоминает букву «С» и может воспаляться из-за повторяющегося тракционного напряжения ахиллова сухожилия. Эпифизит пяточной кости часто поражает молодых спортсменов и, как считается, возникает из-за бега и прыжков.
Друзья, совсем скоро состоится вебинар Ольги Гламаздиной «Стопы: практика». Узнать подробнее…
Чаще всего болезнь Севера обнаруживается у активных детей и подростков в возрасте 7-15 лет. Особенно часто он возникает во время пубертатного скачка роста или в начале спортивного сезона у гимнастов, баскетболистов и футболистов. В основном заболевание проявляется в начале скачка роста. Чаще болеют мальчики (соотношение 2-3:1).
Ни один из этих этиологических факторов не был проверен проспективно. Кроме того, имеющиеся исследования не проводились систематически, в связи с чем надежность или достоверность измерений не была достаточно изучена.
Клиническая картина
Данный синдром может возникнуть как унилатерально, так и билатерально. Частота встречаемости билатерального варианта – примерно 60%.
Наиболее общими являются следующие признаки и симптомы:
- Боль в нижней части пятки (над медиальной и боковой поверхностью кости).
- Обычно боль отсутствует утром после пробуждения.
- Боль усиливается после поднятия тяжестей, бега или прыжков (боль, связанная с активностью).
- Ощущение скованности в этой области.
- Болезненная чувствительность в области прикрепления сухожилия.
- Ограниченная дорсифлексия в голеностопном суставе из-за напряженного ахиллова сухожилия.
- Симптоматику могут ухудшать такие факторы как твердая поверхность, изношенная или низкокачественная обувь.
- Боль постепенно проходит во время отдыха.
Надежность или обоснованность методов, используемых для получения данных о дорсифлексии в голеностопном суставе или биомеханической деформации пока еще не были прокомментированы представителями научного сообщества. По этой причине качество полученных данных снижается. Также стоит отметить, что, хотя боль и хромота и были упомянуты в качестве симптомов, пока что не было предпринято ни одной попытки оценить боль количественно или оценить ее воздействие на человека.
Дифференциальный диагноз
- Заболевания опорно-двигательного аппарата: ахиллобурсит, теносиновит, растяжение связок голеностопного сустава или перитендинит, ретрокальканеальный экзостоз или бурсит, плантарный фасциит. При всех этих состояниях тест на сжатие апофизарной области будет отрицательный.
- Инфекционные заболевания или эндогенные причины: туберкулез, ревматоидный артрит, ревматическая лихорадка, кисты, опухоли, остеомиелит. При указанных заболеваниях вовлекаются и другие части тела, поэтому распознать их особого труда не составляет.
- Травмы: инородные тела, ущемление нижнего пяточного нерва, разрывы сухожилий или связок, переломы и стрессовые переломы, синдром предплюсневого канала, ушибы.
- Другие причины: тарзальная коалиция. Сниженный объем движения в подтаранном суставе и отрицательный тест на сжатие.
Диагностика

- Рентгенография: в большинстве случаев рентгеновские снимки оказываются бесполезными, поскольку очень часто у детей апофиз пяточной кости фрагментирован и плотен. Однако с помощью рентгена можно исключить другие травмы.
- Ультразвуковое исследование: с его помощью можно обнаружить фрагментацию вторичных ядер окостенения в пяточной кости при болезни Севера. Это безопасно для здоровья ребенка, поскольку при УЗИ не используется радиация. Данная диагностическая процедура, в том числе, помогает исключить тендинопатию ахилла и/или ретрокальканеальный бурсит.
Обследование
- Болезненность и чувствительность при пальпации (перед прикреплением ахиллова сухожилия и вдоль задней границы пяточной кости).
- Пассивный тест на дорсифлексию в голеностопном суставе: будет выявлено снижение амплитуды. Кроме того, данный тест может спровоцировать боль.
- Тест на сжатие: медиолатеральная компрессия пластины роста пяточной кости будет провоцировать боль при болезни Севера. Манипуляция выполняется на нижней трети пяточной кости. Данный тест является наиболее важным для диагностирования пяточного апофизита.
- В положении стоя на носках усиливается боль в пятках.
- Нарушения в биомеханике: плосковальгусная стопа, варус переднего отдела стопы, варус заднего отдела стопы, полая стопа, плоская стопа и вальгусная деформация переднего пальца стопы.
- Появление отеков и другие изменения на коже не характерны для болезни Севера и указывают на иные патологические состояния. Впрочем, небольшая отечность может присутствовать и при болезни Севера.
- Походка может оставаться нормальной. Пациент также может прихрамывать или громко топать пяткой.
- Избыточный вес.
Физическая терапия
В первую очередь специалисту следует сообщить пациенту и его родителям, что болезнь Севера не относится к разряду опасных. И что она пройдет сама по себе по мере взросления подростка (в возрасте 16-18 лет). Лечение зависит от тяжести симптомов. Ограничение активности ребенка должно определяться только степенью боли. Подходы в лечении болезни могут сильно отличаться.
Лечение
- Относительный покой/cкорректированный отдых или полный отказ от спорта.
- Криотерапия.
- Стретчинг трицепса голени и укрепление экстензоров.
- Ношение ортеза ночью для создания положения дорсифлексии в голеностопном суставе (обычно используется при плантарном фасциите). Данная мера позволяет облегчить симптомы и поддерживать мобильность сустава.
- Стретчинг плантарной фасции.
- Мягкие мобилизации субталарного сустава и переднего отдела стопы.
- Использование ортопедических изделий (подпяточников, стелек, стелек-подушек), лейкопластыря или подкладывание мягкого под пятку – для снижения ударной нагрузки.
- Электрическая стимуляция.
- Рекомендация носить поддерживающую обувь.
- Ультразвук, НПВС.
- Гипсование (2-4 недели), костыли (при серьезных случаях).
- Инъекции кортикостероидов не рекомендуются.
- Как дополнение – кетопрофен в виде геля.
- Тейпирование.
Симптомы обычно проходят через несколько недель — 2 месяца после начала терапии. После возвращения в спорт рекомендуется прикладывать холод и делать растяжку в конце тренировки – чтобы сохранить результат и не допустить появления пяточного апофизита.
Мнения достойных экспертов и плохо проведенные исследования серии случаев – вот основная доказательная база по данному заболеванию. Необходимо проводить проспективные, хорошо спроектированные исследования описываемого заболевания, на основании которых станет возможно уверенно говорить о самой болезни и ее лечении.
Болезнь Севера или эпифизит пяточной кости

Эпифизит пяточной кости – распространённая патология, которая редко диагностируется на ранней стадии. Между тем именно она называется в числе потенциальных причин развития пяточной шпоры и плантарного фасциита.
Обратить внимание стоит на постоянно появляющиеся боли в области дистального конца большеберцовых костей. Дистальная часть этих трубчатых костей входит в состав голеностопного сустава. При ходьбе наблюдается небольшое смещение и ротация. В результате этого в процесс вовлекается пяточная кость, на которую приходится достаточно серьезная амортизационная и физическая нагрузка.
Кости голеностопного сустава покрыты гиалиновым хрящом, который обеспечивает им защиту и скольжение относительно друг друга при движении. Деформация хрящевой ткани постепенно приводит к её дисплазии на фоне нарушения трофики. Так возникают предпосылки для распространения воспалительной реакции на надкостницу пяточной кости.
Болезнь Севера или пяточный эпифизит является серьезной патологией опорно-двигательного аппарата, которая может привести к гнойному расплавлению костной ткани (при проникновении патогенной микрофлоры), спровоцировать разрастание остеофитов (пяточная шпора) или осложниться разрывом связок и сухожилий в области воспаления.
Пяточный эпифизит проявляется достаточно бурно. Это острая боль в области пятки, которая усиливается при наступании. Обычно болевой синдром не возникает спонтанно. Для его появления необходимо подвергнуть нижние конечности достаточно серьезной нагрузке. Он появляется после длительной ходьбы. Первые клинические проявления могут возникать в подростковом возрасте. На фоне гормональных изменений в организме подростка происходит размягчение и частичная деформация хрящевой ткани. Она может утрачивать свои амортизационные и защитные свойства. Поэтому мальчики 14 – 16 лет зачастую жалуются родителям на то, что после уроков физкультуры у них сильно болят пятки и они с трудом на них наступают. Не оставляйте без внимания данные проявления. Если не начать современное лечение, то может сформироваться плоскостопие или косолапость, появиться признаки разрастания ткани пяточной кости или образования рубцовых деформаций в плантарной фасции.
В пожилом возрасте пяточный эпифизит зачастую сопряжен с развитием деформирующего остеоартроза голеностопного сустава. Головки костей постепенно растрескиваются и подвергаются образованию на них костных наростов. Затрудняется подвижность в голеностопном суставе. В результате этого начинается укорочение сухожилий ис вязок. Нарушается процесс микроциркуляции крови и лимфатической жидкости. При тотальном снижении кровотока на фоне усиливающегося атеросклероза может быть спровоцирована реакция атрофии хрящевой и костной ткани.
При развитии асептического некроза пяточной кости возникают клинические проявления эпифизита. Но при детальной диагностике выявляются характерные отличительные признаки: остеопороз, остеомаляция, снижение плотности хрящевой ткани, образование контрактурных рубцов и т.д.
У молодых людей, ведущих активный образ жизни, эпифит пяточной кости может быть связан с травматическим воздействием. Это растяжения и разрывы связок и сухожилий голеностопного сустава, трещины и переломы большеберцовой и малоберцовой костей. После любой травмы следует обращать внимание на явления воспалительной реакции и своевременно обращаться к врачу для проведения диагностики и лечения.
Если вас беспокоит боль в области пятки неясной этиологии, то рекомендуем как можно быстрее обратиться к ортопеду. В Москве вы можете записаться на бесплатный прием к данному доктору в нашей клинике мануальной терапии. Здесь ведут прием опытные доктора. Они проведут осмотр, поставят диагноз, порекомендуют по мере необходимости провести дополнительные лабораторные обследования. Для всех пациентов разрабатывается индивидуальный план лечения.
Для того, чтобы записаться на бесплатный прием, заполните форму обратной связи, расположенную внизу данной страницы. С вами свяжется администратор клиники и согласует время, удобное для вашего визита.
Причины развития пяточного эпифизита
Болезнь Севера или пяточный эпифизит у взрослых развивается по многим причинам. В большинстве случаев предпосылки закладываются в младенческом возрасте. Дело в том, что пяточная кость на момент рождения ребенка еще не полностью сформирована. Существует хрящевая ткань с двумя параллельными центрами окостенения, т.е. образования костных трабекул. Их заполнение происходит постепенно и заканчивается полностью к концу первого года жизни малыша.
Если в этом время наблюдается дефицит витамина D или кальция в составе периферической крови, то процесс окостенения тормозиться. Формируется несостоятельность пяточной кости. В дальнейшем при бурном росте в подростковом возрасте или после травматического воздействия может развиваться эпифизит пяточной кости у взрослых или подростков.
Стоит учитывать, что один из центров окостенения пяточной кости продолжает активно функционировать до возраста 7-8 лет. В этот период наблюдается изменение постановки стопы, могут формироваться предпосылки для плоскостопия или косолапости. Поэтому рекомендуется детей в возрасте 5-6 лет обязательно показывать ортопеду для исключения вероятности развития различных патологий стопы и нижней конечности.
Эпифизит пяточной кости у детей и взрослых может развиваться по следующим причинам:
- чрезмерные физические нагрузки на нижние конечности;
- постоянное травмирование связок, сухожилий, фасций и мышц;
- воспалительные процессы асептического характера в местах скопления капиллярной крови при небольших сосудистых разрывах на фоне чрезмерного напряжения мышечного волокна (например, при длительной ходьбе в обуви с неудобной колодкой);
- патологическое тыльное сгибание с ротацией стопы при ходьбе ввиду неполного развития связочного и сухожильного аппарата;
- дефицит витамина D на фоне отсутствия достаточного количества солнечных лучей в течение календарного года (именно по этой причине патология называется болезнью Севера);
- разволокнение связочного и сухожильного аппарата на фоне несостоятельности ткани при регулярном микроскопическом травмировании (это касается людей, которые не уделяют должного внимания правильному выбору подходящей обуви для повседневной носки и занятий спортом);
- нарушение процесса формирования свода стопы, плоскостопие и косолапость – в результате этого амортизационная нагрузка в основном оказывается на пяточную кость, провоцируя атрофию хрящевой ткани и разрушение костных трабекул;
- укорочение связок и сухожилий (может быть следствием длительной иммобилизации конечности при ношении гипсовой повязки после перелома костей голени);
- деформирующий остеоартроза голеностопного сустава и формирование конструкторы или анкилоза;
- суставная форма болезни Бехтерева;
- снижение тонуса мышц голени и стопы при сосудистых нарушениях (варикозное расширение вен нижних конечностей, диабетическая ангиопатия, атеросклероз, облитерирующий эндартериит и т.д.);
- инфекции, распространяющиеся лимфогенным и гематогенным путем;
- проникновение инфекции через поврежденные кожные покровы;
- опухоли костной, связочной и соединительной ткани.
Существуют и другие предпосылки. Это нарушение обмена веществ, избыточная масса тела, ведение малоподвижного образа жизни, курение, употребление алкогольных напитков и т.д. Все эти факторы риска следует исключать до начала лечения.
Клинические симптомы пяточного эпифизита
Пяточный эпифизит у ребенка и взрослого человека проявляется практически одинаковыми клиническими симптомами. Первым признаком является воспалительная реакция на усиленную физическую нагрузку. В покое любые проявления болезни отсутствуют. При длительной ходьбе, беге, после прогулок на лыжах возникает резкая колющая боль в области пятки. Она локализуется в дистальной зоне и усиливается при постановке ноги на ступню. При постановке стопы на пальцы не возникает неприятных ощущений. С помощью этого нехитрого теста проводится дифференциальная диагностика и исключается плантарный фасциит.
Постепенно боль смещается на заднюю и боковую поверхность. Пациент начинает замечать дискомфорт в этой области при попытке обуть ноги в привычную для него обувь. Болевой синдром усиливается после физической активности. В первой половине дня он не проявляется.
При осмотре отмечается гиперемия кожных покровов и легкая степень отёчности. Пальпация пяточной кости болезненная. Для постановки точного диагноза может потребоваться рентгенографическое обследование и МРТ. С помощью этих видов диагностики можно исключить вероятность развития заболеваний с похожей клинической картиной: остеохондропатия, пяточный бурсит, фасциит, подагрический артрит, ревматоидный артрит, костный туберкулез, болезнь Шница и др.
При развитии осложнений происходит частичный или полный разрыв хрящевой ткани. Это вызывает усиление боли. Появляется ограниченность в подвижности стопы. Быстро нарастает отечность вокруг голеностопного сустава, зачастую она обусловлена внутренним кровотечением. В тяжелых случаях повышается температура тела, требуется срочная медицинская помощь, поскольку болевой синдром максимально сильный.
Лечение эпифизита пяточной кости
Начинать лечение эпифизита пяточной кости у детей и взрослых нужно на ранней стадии. Это позволит избежать грозных осложнений. например, при разрыве хрящевой ткани и разрушении кости может сформироваться пяточная шпора или начаться некроз. В этом случае пациент может остаться хромым на всю оставшуюся жизнь.
Лечение эпифизита пяточной кости проводят консервативными методами. Хирургическая операция по остеопластике может потребоваться только в исключительных случаях. Рекомендуется параллельно с лечением проводить прием витаминных и минеральных комплексов, восполнять дефицит витамина D (если он есть).
В нашей клинике мануальной терапии лечением пяточного эпифизита занимается ортопед. Он рекомендует в остром периоде исключать физические нагрузки. Затем разрабатывает курс реабилитации с целью восстановления костной ткани. В него могут входить лазерное воздействие, физиопроцедуры, лечебная гимнастка, массаж, остеопатия, рефлексотерапия и многое другое.
Если вам необходимо лечение эпифизита пяточной кости, то вы можете записаться на бесплатный прием ортопеда в нашу клинику мануальной терапии прямо сейчас. Для этого заполните форму обратной связи ниже на странице.
Читайте также:
- Пищевое отравление Cryptosporidium parvum и его лечение
- Доброкачественные опухоли ногтя и возле ногтя
- Рентгенограмма, КТ при вывихе голеностопного сустава
- Механизмы развития метгемоглобинемии - патофизиология
- Лечение ботулизма. Противоботулиническая антитоксическая сыворотка. Антисыворотка при ботулизме. Профилактика ботулизма. Предупреждение ботулизма.
