Признаки недостаточной экспозиции на цифровой (компьютерной) рентгенограмме и ее коррекция
Добавил пользователь Евгений Кузнецов Обновлено: 27.01.2026
Рентгенологические методы исследования являются ведущими в диагностике заболеваний челюстно-лицевой области, что обусловлено их достоверностью и информативностью. Методы рентгенодиагностики нашли широкое применение в практике терапевтической стоматологии (для выявления заболеваний пери- и пародонта); в ортопедической стоматологии (для оценки состояния сохранившихся зубов, периапикальных тканей, пародонта), что определяет выбор ортопедических мероприятий. Востребованы рентгенологические методы и челюстно-лицевой хирургией в диагностике травматических повреждений, воспалительных заболеваний, кист, опухолей и других патологических состояний.
Методика и техника рентгенологического исследования зубов и челюстей имеет свои особенности.
В стоматологической практике применяют следующие методы лучевой диагностики:
• Внутриротовая контактная рентгенограмма
• Внутриротовая рентгенография вприкус
• Внеротовые рентгенограммы
• Панорамная рентгенография
• Ортопантомография
• Радиовизиография
Дополнительные методы исследования:
• Компьютерная томография
• Магнитно-резонансная томография
• Методы с введением контрастных веществ

1. Внутриротовая контактная рентгенография
Основой рентгенологического исследования при большинстве заболеваний зубов и пародонта по-прежнему служит внутриротовая рентгенография.
Выполняется на специальном дентальном рентгеновском аппарате (хотя может быть выполнена и на обычном).
Для внутриротовой рентгенографии используют пакетированную или специально нарезанную (3x4 см) пленку, упакованную в светонепроницаемые стандартные пакеты.
На одном снимке можно получить изображение не более 2-3 зубов
2. Внутриротовая рентгенография вприкус.
Рентгенограммы вприкус выполняют в тех случаях, когда невозможно сделать внутриротовые контактные снимки (повышенный рвотный рефлекс, тризм, у детей), при необходимости исследования больших отделов альвеолярного отростка (на протяжении 4 зубов и более) и твердого неба, для оценки состояния щечной и язычной кортикальных пластинок нижней челюсти и дна полости рта.
Стандартный конверт с пленкой вводят в полость рта и удерживают сомкнутыми зубами. Рентгенограммы вприкус используют для исследования всех зубов верхней челюсти и передних нижних зубов.
Также окклюзионная рентгенография применяется и для получения изображения дна полости рта при подозрении на конкременты поднижнечелюстной и подъязычной слюнных желез, для получения изображения челюстей в аксиальной проекции. Она позволяет уточнять ход линии перелома в пределах зубного ряда, расположение костных осколков, состояние наружной и внутренней кортикальных пластинок при кистах и новообразованиях, выявлять реакцию надкостницы
3. Внеротовые (экстраоральные) рентгенограммы.
Внеротовые рентгенограммы дают возможность оценить состояние отделов верхней и нижней челюстей, височно-нижнечелюстных суставов, лицевых костей, не получающих отображения или видимых лишь частично на внутриротовых снимках.
Ввиду того что изображение зубов и окружающих их образований получается менее структурным, внеротовые снимки используют для их оценки лишь в тех случаях, когда выполнить внутриротовые рентгенограммы невозможно (повышенный рвотный рефлекс, тризм и т.п.).
Подбородочно-носовую проекцию применяют для исследования верхней челюсти, верхнечелюстных пазух, полости носа, лобной кости, глазницы, скуловых костей и скуловых дуг.
На рентгенограммах лицевого черепа в лобно-носовой проекции видны верхняя и нижняя челюсти, на них проецируются кости основания черепа и шейные позвонки.

Рентгенографию тела и ветви нижней челюсти в боковой проекции проводят на дентальном рентгенодиагностическом аппарате.
Рентгенограмму черепа в передней аксиальной проекции выполняют для оценки стенок верхнече¬люстной пазухи, в том числе задней, полости носа, скуловых костей и дуг; на ней видна нижняя челюсть в аксиальной проекции.
4. Панорамная томография
Более трех десятилетий назад в арсенал рентгенодиагностики заболеваний зубочелюстной системы, ЛОР-органов и других отделов черепа вошла панорамная рентгенография. При этом методе исследования аппликатор рентгеновской трубки вводят в рот пациента, а кассета располагается вокруг верхней или нижней челюстной дуги. В обоих случаях пациент придерживает кассету с наружной стороны ладонями, плотно прижимая ее к мягким тканям лица.
Проводится также и боковая панорамная томография, на боковом панорамном снимке одновременно отображаются зубы верхнего и нижнего ряда каждой половины челюсти.

Прямые панорамные рентгенограммы имеют преимущество перед внутриротовыми снимками по богатству деталями изображения костной ткани и твердых тканей зубов. При минимальной лучевой нагрузке они позволяют получить широкий обзор альвеолярного отростка и зубного ряда, облегчают работу рентгенолаборанта и резко сокращают время исследования. На этих снимках хорошо видны полости зуба, корневые каналы, периодонтальные щели, межальвеолярные гребни и костная структура не только альвеолярных отростков, но и тел челюстей. На панорамных рентгенограммах выявляются альвеолярная бухта и нижняя стенка верхнечелюстной пазухи, нижнечелюстной канал и основание нижнечелюстной кости.
На основании панорамных снимков диагностируют кариес и его осложнения, кисты разных типов, новообразования, повреждения челюстных костей и зубов, воспалительные и системные поражения. У детей хорошо определяется состояние и положение зачатков зубов.
5. Ортопантомография
Панорамная зонография, или, как ее чаще называют, ортопантомография, явилась своего рода революцией в рентгенологии челюстно-лицевой области и не имеет себе равных по ряду показателей (обзор большого отдела лицевого черепа в идентичных условиях, минимальная лучевая нагрузка, малые затраты времени на исследование).
Панорамная зонография позволяет получить плоское изображение изогнутых поверхностей объемных областей, для чего используют вращение рентгеновской трубки и кассеты.
Преимуществом ортопантомографии является возможность демонстрировать межчелюстные контакты, оценивать Результаты воздействия межчелюстной нагрузки по состоянию замыкающих пластинок лунок и определять ширину периодонтальных путей.
Ортопантомограммы демонстрируют взаимоотношения зубов верхнего ряда с дном верхнечелюстных пазух и позволяют выявить в нижних отделах пазух патологические изменения одонтогенного генеза.

Особенно важно использовать ортопантомографию в детской стоматологии, где она не имеет конкурентов в связи с низкими дозами облучения и большим объемом получаемой информации. В детской практике ортопантомография помогает диагностировать переломы, опухоли, остеомиелит, кариес, периодонтиты, кисты, определять особенности прорезывания зубов и положение зачатков.
6. Радиовизиография
Радиовизиография дает изображение, регистрируемое не на рентгеновской пленке, а на специальной электронной матрице, обладающей высокой чувствительностью к рентгеновским лучам. Изображение с матрицы, по оптоволоконной системе передается в компьютер, обрабатывается в нем и выводится на экран монитора. В ходе обработки оцифрованного изображения может осуществляться увеличение его размеров, усиление контраста, изменение, если необходимо, полярности — с негатива на позитив, цветовая коррекция.
Компьютер дает возможность более детального изучения тех или иных зон, измерения необходимых параметров, в частности длины корневых каналов, денситометрии. С экрана монитора изображение может быть перенесено на бумагу — с помощью принтера, входящего в комплект оборудования. Из всех достоинств цифровой обработки рентгеновского изображения мы отметим особо такие: быстроту получения информации, возможность исключения фотопроцесса и снижение дозы ионизирующего излучения на пациента в 2-3 раза.
7. Компьютерная томография (КТ).
Метод позволяет получить изображение не только костных структур челюстно-лицевой области, но и мягких тканей, включая кожу, подкожную жировую клетчатку, мышцы, крупные нервы, сосуды и лимфатические узлы.
Компьютерная томография широко используется при распознавании заболеваний лицевого черепа и зубочелюстной системы: патологии височно-нижнечелюстных суставов, врожденных и приобретенных деформаций, переломов, опухолей, кист, системных заболеваний, патологии слюнных желез, болезней носо- и ротоглотки.
Метод позволяет разрешить диагностические затруднения, особенно при распространении процесса в крылонебную и подвисочную ямки, глазницу, клетки решетчатого лабиринта.
С помощью КТ хорошо распознаются внутричерепные осложнения острых синуситов (эпидуральные и субдуральные абсцессы), вовлечение в воспалительный процесс клетчатки глазницы, внутричерепные гематомы при травмах челюстно-лицевой области.
Компьютерная томография позволяет точно определить локализацию поражений, провести дифференциальную диагностику заболеваний, планирование оперативных вмешательств и лучевой терапии.
8. Контрастные методы.
Среди многочисленных способов контрастных рентгенологических исследований при челюстно-лицевой патологии наиболее часто используются артрография височно-нижнечелюстных суставов, ангиография, сиалография, дакриоцистография.
Сиалография заключается в исследовании протоков крупных слюнных желез путем заполнения их йодсодержащими препаратами. С этой целью используют водорастворимые контрастные или эмульгированные масляные препараты (дианозил, ультражидкий липойодинол, этийдол, майодил и др.). Перед введением препараты подогревают до температуры 37—40 °С, чтобы исключить холодовый спазм сосудов.
Исследование проводят с целью диагностики преимущественно воспалительных заболеваний слюнных желез и слюнокаменной болезни.
В отверстие выводного протока исследуемой слюнной железы вводят специальную канюлю, тонкий полиэтиленовый или нелатоновый катетер диаметром 0,6—0,9 мм или затупленную и несколько загнутую инъекционную иглу. После бужирования протока катетер с мандреном, введенный в него на глубину 2—3 см, плотно охватывается стенками протока. Для исследования околоушной железы вводят 2—2,5 мл, поднижнечелюстной — 1 — 1,5 мл контрастного препарата.
Рентгенографию проводят в стандартных боковых и прямых проекциях, иногда выполняют аксиальные и тангенциальные снимки.

Введение контрастных веществ в кистозные образования осуществляют путем прокола стенки кисты. После отсасывания содержимого в полость вводят подогретое контрастное вещество. Рентгенограммы выполняют в двух взаимно перпендикулярных проекциях.
Контрастирование свищевых ходов (фистулография) выполняют с целью определения их связи с патологическим процессом или инородным телом. После введения контрастного вещества под давлением в свищевой ход производят рентгенограммы в двух взаимно перпендикулярных проекциях.
Для контрастирования артериальных и венозных сосудов челюстно-лицевой области (при образованиях, гемангиомах) контрастный препарат можно вводить тремя способами. Наиболее простым из них является пункция гемангиомы с введением контрастного вещества в толщу опухоли и регистрацией изображения на отдельных снимках. Чтобы получить представление о распространенности опухоли в прямой и боковой проекциях, пункцию выполняют 2 раза. Методика обеспечивает выявление характера венозных изменений, но не всегда позволяет увидеть детали кровотока, подходящие к гемангиоме сосуды, и не пригодна для контрастирования артериальной сосудистой сети.
При кавернозных гемангиомах и артериовенозных шунтах практикуют введение контрастных препаратов в приводящий сосуд, который выделяют операционным путем.
При пульсирующих артериальных и артериовенозных образованиях производят серийную ангиографию после введения контрастных препаратов в приводящий сосуд.
Целенаправленное комплексное использование в единой схеме обследования пациентов с патологией зубочелюстной области клинических и рентгенологических данных позволяет не только сделать более точной первичную и дифференциальную диагностику, но и объективно оценить эффективность проводимого лечения. Используя цифровое изображение, можно выполнить коррекцию искажений, благодаря улучшению визуальных характеристик добиться выявления тонких дифференциально-диагностических патологических состояний, осуществить передачу изображения по электронной почте для последующих консультаций специалистами.
Перспективы дальнейшего использования рентгенокомпьютерной сети в стоматологической практике связаны с увеличением технических возможностей современной рентген-аппаратуры, оптимизацией компьютерных программ для анализа изображения, а также разработкой рациональных диагностических алгоритмов комплексного клинико-рентгенологического обследования пациентов в зависимости от нозологической формы заболевания и задач предстоящего лечения.
Признаки недостаточной экспозиции на цифровой (компьютерной) рентгенограмме и ее коррекция
а) Признаки недостаточной экспозиции:
1. Качество рентгенограммы позволяет не повторять рентгенографию, однако требует внесения корректив при последующем исследовании, если:
• Отсутствуют ошибки анализа гистограммы
• Уровень яркости был нормализован согласно ТС
• Показатель ИЗ смещен в сторону нижнего порогового значения, но не выходит за его пределы
• Изменение «окна» отображения позволяет улучшить визуализацию деталей
2. Качество рентгенограммы требует повторения рентгенографии, если:
• Отсутствуют ошибки анализа гистограммы
• Уровень яркости был нормализован согласно ТС
• Показатель ИЭ смещен за пределы нижнего порогового значения (таблица ниже)
• ЗИ характеризуются низкой исходной контрастностью, из-за чего некоторые или все детали отображаются белым цветом. При этом изменение «окна» отображения не позволяет улучшить их видимость (рис. 1).
• Уменьшается отношение С/Ш, и отмечается:
РИСУНОК А Рентгенограмма черепа в ПЗ проекции, полученная с помощью аппарата CareStream CR в условиях недостаточной экспозиции (значение ИЭ составило 1400). На изображении отмечается квантовый шум. Если бы значение мАс было увеличено в четыре раза, то показатель ИЭ возрос бы с 600 до 2000 единиц—идеального значения для данной цифровой системы. РИСУНОК 1 Рентгенограмма правого плечевого сустава в нижневерхней аксиальной проекции и рентгенограмма таза. В обоих случаях значение ИЭ указывало на недостаточную экспозицию, вследствие чего на изображениях выявляется квантовый шум. В отличие от первой рентгенограммы на второй отмечается вуалирование рассеянным излучением, из-за чего она выглядит «серой». Это вызвано большей толщиной тела пациента. РИСУНОК 2 Рентгенограмма органов грудной клетки в ПЗ проекции, полученная с помощью аппарата CareStream CR. Значение ИЭ составляло 1600 единиц, что привело к появлению квантового шума. Увеличение значения кВп на 15% позволит увеличить показатель ИЭ на 300 единиц и приблизить его к идеальному значению 2000 единиц, результатом чего станет улучшение контрастного разрешения и устранение квантового шума.
• Квантовый шум в проекции анатомических деталей, имеющих большую плотность и толщину (наиболее заметен при увеличении изображения во время постобработки; рис. А и 2)
• Вуалирование рассеянным излучением всей рентгенограммы при исследовании крупных пациентов, вследствие чего изображение становится «серым» (см. рис. 1)
б) Этапы коррекци значений мАс или кВп при недостаточной экспозиции:
Этап 1. Определите, возникла ли ошибка при анализе гистограммы (таблицы ниже). Если ошибка отсутствует, перейдите к этапу 2


Этап 2. Определите, была ли достаточной пенетрация рентгеновским излучением самых плотных и крупных деталей в области ЗИ, убедившись, что кортикальный слой костей видим. Если кортикальный слой не визуализируется, значит он не был пенетрирован
• Если кортикальный слой костей не был пенетрирован, то требуется регулировка кВп
• Если кортикальный слой костей виден, то кВп можно изменить не более чем на 15% от оптимального значения, а остальную коррекцию выполнить с помощью изменения мАс
Этап 3. Определите суммарные коррективы, которые необходимо внести для смещения показателя ИЭ к идеальному значению (таблица выше) и устранения квантового шума на рентгенограмме (рис. 3 и 4)
• Если проникающая способность излучения была достаточной, а показатель ИЭ меньше идеального в два раза, то для увеличения величины экспозиции ПИ в два раза необходимо умножить исходное значение мАс на 2. Если исходное значение мАс составляло 20, то новое составит 40
• Если проникающая способность излучения была недостаточной, а показатель ИЭ меньше идеального в два раза, используйте правило 15%: при изменении пикового киловольтажа на 15% величина экспозиции ПИ изменится в два раза. Чтобы рассчитать итоговое значение кВп при увеличении исходного на 15%, необходимо исходное значение кВп умножить на 0,15 и полученное произведение прибавить к исходному значению. Например, если исходно напряжение составляло 60 кВп, то при увеличении его на 15% новое значение напряжения составит 69 кВп
• Если проникающая способность излучения была недостаточной, а показатель ИЭ меньше идеального в четыре раза, то в этой ситуации увеличивать напряжение более чем на 15% сверх оптимального, как правило, не следует, поскольку избыточное превышение оптимального значения может привести к ухудшению избирательного поглощения и увеличению рассеивания в сторону ПИ. Дополнительно увеличить экспозицию в два раза можно за счет регулировки мАс
Этап 4. При рентгенографии крупных пациентов ослабить шум, обусловленный рассеянным излучением, можно за счет уменьшения размеров экспозиционного поля, добавления отсеивающей решетки или использования решетки с более высоким отношением
в) Другие причины недостаточной экспозиции и способы ее корректировки:
1. Отсеивающие решетки:
• Использование отсеивающей решетки в том случае, если по методике делать этого не требуется, или использование отсеивающей решетки с высоким отношением, если по методике требуется малое отношение: для коррекции значения мАс воспользуйтесь соответствующим коэффициентом преобразования отсеивающей решетки (КПОР), приведенном в таблице ниже

• Наклон отсеивающей решетки относительно горизонтали или наклон ЦП в сторону свинцовых пластин, вследствие чего на рентгенограмме будет отмечаться эффект отсечения решеткой с той стороны, куда направлен ЦЛ (если использовалась параллельная решетка), или по всему изображению (если использовалась сфокусированная решетка): расположите отсеивающую решетку перпендикулярно ЦЛ. Если ЦЛ должен быть направлен под углом, то расположите решетку так, чтобы наклон свинцовых пластин соответствовал наклону ЦЛ
• РИПИ не соответствует фокусному расстоянию отсеивающей решетки, вследствие чего эффект отсечения решеткой будет отмечаться с каждой стороны рентгенограммы: увеличьте или уменьшите РИПИ, чтобы оно попало в диапазон фокусировки отсеивающей решетки.
• Сфокусированная отсеивающая решетка перевернута вверх дном, вследствие чего эффект отсечения решеткой будет отмечаться с каждой стороны рентгенограммы: разверните решетку правильной стороной вверх
• Сфокусированная сетка не центрирована, вследствие чего эффект отсечения решеткой будет отмечаться по всей рентгенограмме; изображение будет смещено в сторону относительно центра ПИ: совместите ЦЛ и центр отсеивающей решетки
2. РИПИ и РОПИ (чтобы показатель ИЭ был близок к идеальному, выполните коррекцию перед экспозицией):
• РИПИ было увеличено без эквивалентного увеличения мАс: чтобы отрегулировать мАс, используйте формулу поддержания плотности старое мАс/новое мАс=старое РИПИ 2 / новое РИПИ 2
• РОПИ было увеличено без увеличения мАс (если при исследовании образуется большое количество рассеянного излучения, которое не достигнет ПИ при увеличении РОПИ): увеличьте мАс на 10% на каждые 2,5 см увеличения РОПИ
3. Коллимация (чтобы показатель ИЭ был близок к идеальному, выполните коррекцию перед экспозицией):
• Значительное уменьшение экспозиционного поля без увеличения мАс (если при исследовании образуется большое количество рассеянного излучения, которое не достигнет ПИ). При уменьшении размера с 35x43 см до 25x30 см увеличьте мАс на 35%, а при уменьшении с 35x43 см до 20x25 см — соответственно на 50%
4. Кумулятивный процесс (чтобы показатель ИЗ был близок к идеальному, выполните коррекцию перед экспозицией.):
• Кумулятивный процесс приводит к увеличению плотности или толщины тканей, что требует увеличения экспозиции: отрегулируйте мАс или кВп в соответствии с рекомендациями для кумулятивного процесса, перечисленными в таблице ниже

• Резервный таймер был установлен на меньшее время, чем было необходимо для экспозиции: установите резервный таймер на значение 150-200% от ожидаемого времени ручной экспозиции при данном исследовании
• Контроль плотности был оставлен на значении «минус» (-), установленном для предыдущего пациента: увеличьте значение для контроля плотности
• Ионизационная камера (камеры) находилась под структурой с более низким атомным числом или меньшей плотностью и толщиной, чем область ЗИ: выберите ионизационную камеру (камеры), центрированную под областью ЗИ
• Неадекватная коллимация привела к образованию избыточного количества рассеянного излучения, достигшего ионизационной камеры и обусловившего преждевременное прекращение экспозиции: уменьшите размер коллимированного поля
• Активированная ионизационная камера не была полностью покрыта областью ЗИ, если выполнялось исследование анатомической структуры небольшого размера или структуры, расположенной на периферии: не используйте АКЭ. Задайте технические параметры вручную
Сокращения: АКЭ — автоматический контроль экспозиции; ЗИ — зона интереса; ИЭ — индекс экспозиции; кВп — пиковый киловольтаж; мАс — миллиампер-секунды; отношение С/Ш — отношение сигнал/шум; ПИ — приемник изображения; РИПИ — расстояние «источник-приемник изображения»; РОПИ — расстояние «объект-приемник изображения»; ТС — таблица сравнения; ЦЛ — центральный луч.
Всё про экспозицию: что это такое, как настроить, экспокорреция и брекетинг
На снимке так темно, что не видно модель? Или весь кадр получился настолько пересвеченным, будто вы сфотографировали белый лист бумаги? Всё это значит, что у вас неправильная экспозиция.
Экспозиция в фотографии — это результат того, сколько света попало на матрицу или плёнку камеры за определённое время. Если света было мало, то снимок будет слишком тёмным — недоэкспонированным, а если слишком много, то сцена окажется пересвеченной, то есть переэкспонированной.
Разбираемся, что такое экспозиция, и выясняем, как её настроить и измерить, а также какие параметры в настройках фотоаппарата на неё влияют.
Как настроить экспозицию в фотоаппарате в ручном режиме
В ручном режиме (M от Manual) фотограф сам регулирует основные настройки камеры. На экспозицию влияют три основных параметра:
В эпоху плёночной фотографии экспозицию настраивали с помощью экспопары — сочетания настроек диафрагмы и выдержки. Там нельзя повлиять на ISO — это постоянная величина, которая зависит от параметров плёнки.
Диафрагма
Параметр, который определяет то, как много света попадёт на матрицу. Количество света регулируется за счёт степени раскрытия так называемых лепестков диафрагмы. Обозначается буквой f и числом. Например, f/1.8, f/5.6. Чем меньше это число, тем шире диафрагма открыта и тем светлее будет фотография.
Ещё диафрагма влияет на резкость и глубину резко изображаемого пространства (ГРИП) — зону, в которой объекты изображены чётко, без размытия. Чем больше её число, тем больше областей снимка будет в резкости. Именно поэтому для групповых портретов диафрагму поднимают (написали для вас гайд про то, как снять групповой портрет).
Маленькое значение диафрагмы увеличивает шанс, что фокус промажет, но зато создаёт красивое размытие на фоне. Рисунок этого размытия называется боке. Форма «бокешек» зависит от конструкции объектива — чем больше лепестков диафрагмы, тем более округлый рисунок боке. Вы можете придать ему любую форму самостоятельно (как это сделать, читайте в тексте).
Выдержка
Регулирует, как долго свет попадает в камеру. Это происходит за счёт того, что затвор фотоаппарата остается открытым, позволяя светочувствительному элементу (матрице, плёнке) собирать свет.
Выдержка отображается с помощью дробного числа (например, 1/125, 1/1000) или значком “, обозначающим секунды (например, 5“ — это 5 секунд). Чем меньше число, тем темнее будет кадр. Чем больше — тем светлее.
Также длинную выдержку используют для творческих съёмок — создают эффект движения или шлейфа за объектом, рисуют светом. Кроме того, длинная выдержка незаменима при ночных съёмках, когда камере нужно долго собирать свет, чтобы выдать картинку.
Показывает чувствительность матрицы к свету. В цифровых камерах на эту функцию можно повлиять, а в доцифровую эпоху ISO оставалось неизменным и зависело от светочувствительности плёнки. Отображается целым числом — 100, 640, 800 и т.д. Чем больше цифра, тем светлее кадр.
Слишком высокое значение ISO может снизить качество фотографии — на ней появляются шумы. На слишком высоком значении ISO шумов так много, что картинка «рассыпается». Поэтому существует понятие «рабочее ISO» — предельное значение светочувствительности, на котором шумы не мешают. Оно зависит от возможностей камеры (и, в общем-то, её дороговизны), и может быть как 800, так и 6400.
Комбинируя все три параметра, можно правильно выставить экспозицию фото, сохранив при этом максимальное качество.
Брекетинг экспозиции
Брекетинг, или по-другому «вилка», позволяет сделать несколько одинаковых кадров с разными настройками. Например, три кадра: средней яркости, темнее и светлее. То же самое можно сделать с балансом белого, чтобы получить средний снимок, более холодный и более тёплый.
Зачем нужен брекетинг экспозиции?
- Получить три кадра с разной яркостью, если вы не уверены в настройках экспозиции. В итоге на выбор будет несколько снимков, из которых можно отобрать удачный.
- Получить несколько кадров, чтобы в дальнейшем совместить их в графическом редакторе. Это удобно, если в одной сцене есть участки с сильными перепадами яркости. Например, при съёмке пейзажей. Так, на одном снимке на небе будут видны красивые облака, но нижняя часть кадра уйдет в глубокую тень, тогда как на другом кадре небо будет полностью белым и бестекстурным, зато трава насыщенной и детальной. Соединив эти два снимка, вы получите идеально экспонированную фотографию. Так вы расширяете динамический диапазон изображения. Этот эффект называется HDR.
Как включить брекетинг экспозиции
- Зайдите в меню или найдите на дисплее камеры функцию Компенсация экспозиции/AEB.
- С помощью колёсика задайте разброс экспозиции. Это то, насколько кадры будут отличаться между собой по яркости. Нажмите OK.
Если вы снимаете на Nikon, то зажмите на фотоаппарате кнопку BKT (есть не у всех моделей) и задайте шаг экспозиции с помощью колёсика регулировки параметров.
- Сделайте три одинаковых кадра. Проще всего это будет сделать в серийной съёмке. Для большей стабильности можно установить камеру на штатив.
Как настроить экспозицию в автоматических режимах фотоаппарата
Если вы — новичок, которого пугает ручной режим, не расстраивайтесь. В автоматических и полуавтоматических режимах есть возможность настраивать экспозицию, чтобы добиваться оптимального результата. Речь идет о режимах Tv или S (приоритет выдержки), Av или A (приоритет диафрагмы) и P (программный).
Как правило, камера сама хорошо определяет, как нужно выставить настройки для оптимальной экспозиции. Для этого она измеряет яркость сцены, принимая за эталон области среднесерого тона. Считается, что такие области отражают примерно ⅕ света, попадающего на неё, что равно коэффициенту отражения 18% (эта информация понадобится, когда речь пойдет про карты серого для настройки экспозиции).
Режимы замера экспозиции
Для более точного замера и автоматической компенсации экспозиции у камеры может быть до несколько специальных режимов. Рассмотрим, чем они отличаются и в какой ситуации какой из них лучше применять.
Усреднённый замер
Оценивает кадр целиком, учитывая яркость всех частей снимка. В современных камерах встречается редко.
Оценочный (Canon) или матричный (Nikon) замер
Также его иногда называют матричным или многозонным замером. Кадр разбивается на несколько зон. В каждой из них камера замеряет экспозицию и выправляет яркость на основе полученных данных.
Центровзвешенный или центровзвешенный усреднённый замер
Считывает данные со всей сцены сразу, но основной упор идёт на центр кадра. Это логично, ведь по задумке главный объект сцены часто располагают в центре. Детального анализа всей сцены, как в случае с оценочным замером, не происходит. Это позволяет использовать также компенсацию экспозиции (о ней ниже), так как камера не вносит автоматические корректировки. Удобен для репортажной и портретной съемок.
Точечный замер
Измеряется яркость лишь небольшого участка кадра, а все остальные зоны игнорируются. Обычно это центр кадра, хотя многие производители камер дают пользователю возможность переставить точку измерения экспозиции в другую область кадра. Удобно, если вы снимаете объект, контрастный к фону. Например, белый объект на чёрном фоне или наоборот. Также хорошо показывает себя в студийной съёмке с контровым светом.
Частичный замер
Разновидность точечного режима. Также охватывает небольшую точку на кадре, но большего размера, чем при точечном замере. Если точечный замер захватывает примерно 5% кадра, то частичный — около 15%. Подходит для портретной съёмки.
Проблемы с автоматической экспозицией возникают, когда в кадре много слишком светлых или слишком тёмных объектов. Например, при съёмке на снегу, свадебных портретах невесты в белом платье или жениха в чёрном костюме. В таких случаях камера считает, что вот эти чёрные и белые области на самом деле признак того, что сцена слишком тёмная или слишком светлая. Тогда экспозиция может выставиться некорректно. В таких случаях можно воспользоваться функцией компенсации экспозиции.
Компенсация экспозиции
Компенсация экспозиции или экспокоррекция позволяет фотографу вручную заставить камеру сделать более светлый или более тёмный кадр. Чтобы сделать снимок светлее, нужна положительная компенсация экспозиции, а чтобы темнее — отрицательная.
Как включить режим экспокоррекции
- Поставьте фотоаппарат в один из режимов — P, Av (A), Tv (S).
- Выберете настройку на дисплее — Компенсация экспозиции/установка брекетинга экспозиции.
- Сдвиньте метку. Отрицательное значение сделает картинку темнее, а положительное — светлее.
По умолчанию экспокоррекция в фотоаппарате настраивается с определённым шагом. Шаг — двукратное увеличение или уменьшение количества света, которое попадает на матрицу или плёнку. Например, у камер Canon это ⅓ ступени (то есть, ⅓ от шага). Это то, насколько сильно будет светлеть или темнеть фотография после применения настройки. В меню фотоаппарата можно самостоятельно задать этот шаг, то есть разницу между каждым новым выбранным числом.
Настройка экспозиции по серой карте
- Поместите карту серого в сцену. Чем больше пространства она займет, тем лучше. Это позволит избежать ошибок.
- Переведите камеру в режим точечного замера экспозиции. Это нужно, чтобы фотоаппарат замерял яркость отдельного участка, а не всей сцены.
- Сделайте замер по серой карте.
- Заблокируйте экспозицию. У камер разных производителей эта кнопка или функция может называться по-разному. Например, у Fujifilm это кнопка AEL/AFL, у Nikon — кнопка A AE-L/AF-L, Canon — кнопка AE, Sony — AEL.
Это особенно полезно, если в кадре много чёрного или белого, когда фотоаппарат по ошибке может принять эти цвета за серый в слишком тёмной или слишком светлой сценах.
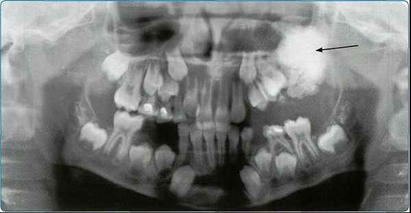
Рентгенология в стоматологии
Когда-то давно применение рентгеноскопов для диагностики совершило настоящую революцию в медицине, дав врачам уникальную возможность выявлять заболевания и повреждения, видя проблему в буквальном смысле этого слова. Значение этого открытия трудно переоценить - невозможно подсчитать, сколько людей обязаны ему своим здоровьем или жизнью. С тех пор методы исследования с помощью рентгеновских лучей совершенствуются и трудно найти область практической медицины, где они не применялись бы в той или иной форме.
Существует даже специальный раздел фундаментальной медицины, изучающий влияние рентгеновского излучения на организм человека - рентгенология. Также эта наука занимается тем, что изучает и совершенствует методы обследования с помощью рентгеновских лучей, стремясь сделать их максимально безопасными, быстрыми и точными.
В стоматологической диагностике рентгенологические исследования занимают важное место, несмотря на совершенствование других способов диагностики, потому что позволяют провести детальное обследование полости рта и выявить различные проблемы с зубочелюстной системой, они информативны и достоверны. Рентгеноскопия используется и в терапевтической стоматологии для диагностирования заболеваний полости рта, в ортопедической стоматологии - для изучения состояния зубов, их положения и состояния тканей, в челюстно-лицевой хирургии – для выявления травм, воспалительных процессов и других патологических состояний.
Практическая рентгенология в стоматологии позволяет лечащему врачу получить объективную картину заболевания и подобрать оптимальные способы лечения, поэтому аппаратура для рентгеноскопии есть в каждой хорошей клинике. Разумеется, далеко не каждый визит к стоматологу сопряжен с необходимостью делать рентгеновский снимок - врачи стараются не назначать эту процедуру без необходимости, так как большие дозы облучения вредны для здоровья. Но в некоторых случаях, например при подготовке к процедуре протезирования или удаления зубов, без рентгенологов не обойтись.
Техника безопасности
Применение рентгенологических методов обследования в стоматологии требует от врача тщательного соблюдения техники безопасности и осторожности, так как рентгеновское излучение может повредить и пациенту, и врачу. Важнейшее условие - контроль за дозами облучения, особенно в детской рентгенологии. Использование радиовизиографов последнего поколения для обследований пациентов стоматологов, позволяет значительно уменьшить дозу облучения и получить яркое и детальное изображение исследуемого участка, что очень важно для врачей.
Подобная медицинская техника дорога, но хорошие стоматологические клиники, дорожащие здоровьем и хорошим самочувствием своих пациентов, не скупятся на подобные расходы. Многие из тех, кому часто приходится обращаться за помощью к врачам-дантистам, в курсе, что обследование на радиовизиографах нового образца не причиняет дискомфорт, так как все необходимые снимки делаются очень быстро. Кроме того, такое обследование значительно более безопасно, чем на аппаратуре предыдущего поколения, поэтому пациенты часто задают вопросы о наличии таких аппаратов, опираясь на эту информацию при принятии решения об обращении в ту или иную стоматологическую клинику.
Методы лучевого исследования
- обзорная рентгенография;
- внеротовая рентгенография зубов и челюстей;
- внутриротовая рентгенография.
Обзорные рентгенограммы могут выполняться в трех проекциях — прямой, боковой и передней полуаксиальной, что позволяет получить изображение всего лицевого и мозгового черепа. Прямая проекция может быть выполнена при носолобном или носоподбородочном прилежании к кассете. Показаниями для снимков в носолобной проекции являются: травмы и заболевания мозгового и лицевого черепа. Данная укладка используется также при сиалографии и фистулографии. Снимки в носоподбородочной проекции применяются: для исследования костей среднего и верхнего этажей лицевого черепа, придаточных пазух носа. Состояние зубов на рентгенограммах в прямой проекции не анализируется.
Боковые снимки черепа производятся как обязательное дополнение к прямым. Однако изучать состояние костей лицевого скелета по этим снимкам из-за суммационного эффекта правой и левой половины черепа достаточно сложно. Обычно доступны обзору лишь грубые, обширные костные изменения. Боковые снимки чаще выполняются для исследования состояния мозгового черепа, его основания, турецкого седла, основной и лобной пазух, а также для определения локализации инородных тел.
Аксиальные и передние полуаксиальные снимки выполняются при необходимости исследования всех структур основания черепа, костей средней зоны лица, в том числе глазниц, гайморовых пазух, скуловых костей.
Внеротовые (экстраоральные) снимки челюстей выполняются как с помощью дентальных, так и других рентгеновских аппаратов. Используется рентгеновская пленка и соответствующие кассеты с усиливающими экранами. Внеротовые рентгенограммы выполняют для изучения нижней челюсти, скуловых костей, височно-нижнечелюстного сустава (ВНЧС), а также при сиалографии, фистулографии. Показаниями для таких снимков могут быть воспалительные, опухолевые, травматические повреждения челюстей, обширные кисты, поражения периодонта нижней челюсти при невозможности выполнения внутриротовых рентгенограмм. Для изучения состояния ВНЧС могут быть примененены специальные укладки по Шюллеру, по Парма. Снимки выполняются обязательно с обеих сторон для сравнения суставов.
- Контактная рентгенография по правилу изометрии.
- Интерпроксимальная рентгенография.
- Рентгенография вприкус (окклюзионная).
- Рентгенография с увеличением фокусного расстояния параллельным пучком лучей (длиннофокусная рентгенография).
В последние годы появилась новая отрасль лучевой диагностики – цифровая рентгенография, которая представляет собой не столько самостоятельный метод рентгенодиагностики, сколько прогрессивную модификацию трансформации энергии рентгеновского пучка. Если при классической рентгенографии приемником излучения являлась рентгеновская пленка, то при цифровой - это высокочувствительные датчики, непосредственно формирующие цифровое изображение (прямая цифровая рентгенография), или электронно-оптические преобразователи, которые создают аналоговый видеосигнал, в дальнейшем с помощью аналогово-цифрового преобразователя превращаемый в цифровой сигнал. Цифровой код затем обрабатывается компьютером и трансформируется опять в видимое (аналоговое) изображение на экране монитора. Компьютерная обработка информации позволяет улучшить качество изображения путем манипуляций с контрастностью, яркостью, четкостью, размерами, путем устранения технических погрешностей, выделением зон интереса. Достоинствами цифровой рентгенографии являются также значительное снижение лучевой нагрузки (в десятки раз), экономических затрат (поскольку не используется дорогостоящая рентгеновская пленка), возможность архивирования информации. Принцип цифровой обработки информации используется также в компьютерной, магнитно-резонансной томографии и при некоторых режимах ультразвуковой диагностики. В настоящее время цифровая рентгенография стала ведущим методом лучевой диагностики.
В стоматологических центрах «ИНТАН» используют дентальный конусно-лучевой томограф GXCB-500 фирмы GENDEX (США) и аппаратуру фирмы SIRОNA (Германия). Совместно с дентальным рентгеновским аппаратом Heliodent Vario, здесь используется визиограф Sirona Sidexis, что также позволяет существенно уменьшить лучевую нагрузку на человека: сенсорные датчики, ими оснащены радиовизиографические системы, чувствительнее рентгеновской пленки в 10 раз!
Также, в центрах «ИНТАН» широко используется ORTHOPHOS XG 5 DS - цифровой рентгеновский аппарат, который предназначен для панорамной и томографической съемки всей челюсти, а также височно-нижнечелюстных суставов и околоносовых пазух, он незаменим для имплантологии, протезирования и ортодонтии.Панорамный снимок зубов на этом аппарате делается за несколько секунд, а доза облучения настолько незначительна, что его рекомендуют к использованию в детской стоматологии.
Экспозиция. Поправка экспозиции.
Экспозиция – это количество света, нужное для создания фотографии. Ничего сложного.

Экпозиция. Поправка экспозиции
Экспозиция дозируется основными средствами:
В основном, в цифровой фотографии принято говорить, что экспозиция зависит только от выдержки, диафрагмы и ISO, но на самом деле все, кто так говорят, опускают работу вспышки.
Экспозиция меряется в единицах экспозиции E.V. (Exposure Value).

Экспозиция снимка без изменения +-0
Важно: если зафиксировать значение ISO и мощность вспышки (как, например на старых пленочных камерах), то останется возможность изменять только выдержку затвора фотоаппарата и диафрагму объектива. В таком случае, выдержку и диафрагму называют экспопарой. Они пара, потому, что при изменении одной, другая подстраивается под вторую. Эту подстройку как раз осуществляет камера.
Самое важное: изменяя один из параметров основной четверки, нужно изменить и один из трех остальных для сохранения текущей экспозиции. Так, изменяя выдержку, нужно будет либо изменить значение диафрагмы, либо значения ISO для сохранения текущего значения экспозиции.

Экспозиция сдвинута на 1.33 ступени влево, так как на снимке много темных участков
За правильную экспозицию в камере отвечает экспонометр. Экспонометр – это специальный датчик в камере, который делает замер количества света, “поглощаемое” объективом, и рассчитывает “правильные” параметры выдержки, диафрагмы и значения ISO, а иногда и мощности вспышки для создания “правильной” экспозиции.
Под правильной экспозицией обычно подразумевают сбалансированное заполнение снимка светлыми и темными участками, обычно, экспонометр пробует сделать “правильную” гистограмму. Вообще, как экспономерт это делает, очень сложно объяснить на пальцах.

Экспозиция сдвинута на 1.33 ступени влево, хотя, по идеи здесь нужно было сдвигать вправо. Это специфика самой камеры.
Замер экспозиции в автоматических режимах
В автоматических режимах, фактически во всех режимах кроме P,A,S,M камера полностью сама определяет параметры выдержки, диафрагмы и ISO. Если включена вспышка, то еще и рассчитывается мощность для вспышки. В зависимости от режима съемки высчитываются приоритеты того или иного параметра в экспозиции.

без поправки экспозиции
Поправка экспозиции
Обычно камера (фотоаппарат) имеет возможность сдвинуть общую экспозицию снимка влево или вправо по гистограмме (либо добавить количества света, либо уменьшить количество света). За это отвечает специальная кнопка, которую очень легко найти, она имеет обозначение “+-“. Например, на камерах Nikon, поправку “+-” можно использовать только в творческих режимах P,A,S,M, во всех других режимах поправка будет недоступна.

Поправка экспозиции. Наглядно видно, что изменилось. -1, 0, +1
Поправка экспозиции с выключенной вспышкой и выключеным авто ISO:
1. В режиме A (приоритет диафрагмы) – при использовании “+-” камера будет изменять выдержку затвора для компенсации экспозиции
2. В режиме S (приоритет выдержки) – при исопльзовании “+-” камера будет изменять диафрагму для компенсации экспозиции
3. В режиме M (ручной режим) – камера не будет реагировать на поправку “+-” если выключена функция АВТО ISO. Если же функция АВТО ISO включена, то камера будет изменять значение ISO.
4. В режиме P (программный режим) – камера может изменять и выдержку и диафрагму
Если же вспышка включена, то компенсация происходит и с изменением мощности вспышки и других параметров. Особенно, при включенной вспышке (в режиме автоматической мощности вспышки TTL) сильно чувствуется поправка “+-” при ручном режиме M.

С некоторыми задачами экспонометр камеры справляется хорошо. И поправку не нужно использовать
Поправка мощности вспышки
Еще одним усложнением при работе с “+-” является отдельная функция поправки мощности вспышки. Эта функция имеет пиктограмму такую же как и “+-“, но еще добавляется значок молнии. Эта функция непосредственно влияет на поправку мощности вспышки. Изменяется точно так же, на определенное количество E.V. Очень сложно рассчитывать одновременно поправку мощности вспышки и экспозиции. Например, если включена обычная поправка экспозиции “+-” c значением +0.3EV и “молния +-” с значением +0.7EV, то общая экспозиция будет иметь сдвиг +1EV.

Съемка в сложных условиях тумана требует поправку экспозиции
А еще хуже, что мощность вспышки при использовании внешних вспышек меняется в двух местах – на камере, и на самой вспышке. На камере может стоять поправка мощности вспышки +1E.V., а на самой внешней вспышке может стоять поправка мощности -0.7E.V. в конечном итоге фотография получит +0.3E.V. поправки общей экспозиции от стандарта, который предложит автоматика камеры.
А если накрутить все три значения поправок экспозиции: вспышки в меню камеры, внешней вспышки и общей экспозиции, то черт ногу сломает рассчитывать конечный результат.

Сильная поправка экспозиции в лево (в сторону теней), чтобы придать снимку нужный эффект силуэта.
Зачем нужна поправка экспозиции
Поправка нужна для создания нужной фотографу экспозиции снимка. Камера всегда пробует сделать что-то среднее, которое совсем не годится для создания нужного эффекта на фотографии. Потому, фотограф делает поправку и получает либо чуть более светлый снимок, либо, чуть темный.
Не удобней ли вместо поправки экспозиции использовать ручной режим?
Нет, не удобней, когда идет активная съемка, то лучше всего работать в полуавтомате P,A,S и выполнять поправку, нежели наугад делать снимки. Как показывает мой опыт, полностью ручной режим хорош только для неспешных сцен, фотоэкспериментов, студийной съемки. Если снимать в полуавтомате P,A,S, то обычно камера делает более-менее нормальную экспозицию, которую легко дотянуть, снимая в RAW.
Зачем вообще в ручном режиме М поправка экспозиции?
- При включенной вспышке современные камеры все таки делают замер экпозиции и с помощью мощности вспышки пробуют сделать “правильны снимок”, учитывая поправку от замеренной нормы. Поправка работает, только если сцена недоэкспонированная по мнению камеры.
- При включенном авто ISO современные камеры , также, все таки делают замер экпозиции и с помощью подстройки ISO пробуют сделать “правильный снимок”, учитывая поправку от замерянной нормы.
- В видоискателе удобно смотреть отклонения экспозиции с указанной поправкой от нормы, которую показывает камера.
- При переходе в другой режим, например P,A,S поправка “+-” начинает работать, иногда, это очень удобно.

Сильная поправка экспозиции влево для того, чтобы спасти фактуру кожи от пересвета, частый прием при съемке людей
Когда нужно использовать поправку экспозиции?
На самом деле, именно фотограф решает, когда и зачем нужно ему выполнять поправку экспозиции. Есть общие рекомендации:
- Увеличивать компенсацию при съемке белого на белом
- Уменьшать при съемке черного на черном (черного кота на черном фоне)
- Обычной поправки экспозиции, когда экспозамер камеры “врет”.
Но, каждая современная цифрозеркальная камера имеет свой собственный экспозамер, который замеряет по своим критериям. Нужно привыкнуть именно к своей камере, знать точно, в каких сценах камера сделает “пересвет” или “недосвет”. Приведу фактический пример: моя простенькая камера Nikon D80 имеет плохое свойство сдвигать экспозицию в светлые тона, тем самым делать переэкспонирование сцены.
Личный опыт
Я частенько использую поправку экспозиции. В основном, не больше +-2 e.v. Все современные цзк имеют такую функцию, и это очень удобно и практично. Я не даю советов по настройке экспозиции, так как каждый сам должен решить, как именно подчеркнуть с помощью экспозиции нужную атмосферу в фотографии.

Иногда и со вспышкой камера нормально отрабатывает экспозицию
Ничего не понятно и сложно
Если не знаете как, лучше поправлять экспозицию, попробуйте воспользоваться брекетингом эскозиции. А еще проще – снимайте в RAW и корректируйте экспозицию в RAW конверторе, таком как Adobe Camera Raw, Adobe Lightroom и родных программах для камеры. Из RAW можно практически без потери качества баловаться поправкой экспозиции на +-2 E.V.

Свет фонаря с поправкой экспозиции
Вывод:
Поправка экспозиции помогает достичь нужного эффекта в фотографии и просто подкорректировать автоматику замера экспозиции в камере. Поправка экспозиции – это творческий элемент, который всегда нужно подбирать индивидуально при каждом снимке. Если есть вопросы по поводу поправки экспозиции, задавайте в комментариях, так как тема достаточно сложная. Советую ознакомится со смежной темой – методы замера экспозиции.
Помощь проекту. Спасибо за внимание. Аркадий Шаповал.
Добавить комментарий:
Комментарии: 147, на тему: Экспозиция. Поправка экспозиции.
To Fix
‘Вообще, как экспономеРТ это делает, очень сложно объяснить на пальцах’
Кстати, а не считается ли это чем-то постыдным, что ли в среде фотографов, такие параметры как экспозиция подгонять на компьютере?)) Дело в том, что я обратила внимание, что то ли я страдаю недокспонированными кадрами, либо у RAW формата такая особенность?
Всегда снимки в A режиме кажутся темноватыми и конвертер это подтверждает наглядно, почти при любых значениях диафрагмы и выдержки.(у меня максимальная 3.5). Хотя иногда бывают ситуации, когда момент для снимка (непостановочный) возникает моментально и совсем с другими параметрами освещенности, чем фотограф ожидал-замерял. Что делать тогда, если снимок сделан с неверной экспозицией? Спасибо.
где-то читал, что никон делает это специально, чтобы потом не было пересветов. может байка)
Нашла свою ошибку. Поправка экспозиции может вестись двумя режимами в 90-м (на отжатой кнопке +- на верхней панели корпуса (всегда) либо без нее в авто-режимах). Видимо шаловливые руки. У меня стояло изначально минус 2ев, убрала поправку).
Так что, в моем случае – скорее байки про безруких фотографов.
Спасибо за помощь
Пункт меню b2: Простая поправка экспозиции. Если сделать Вкл., то поправку экспозиции можно установить, повернув один из дисков управления. Если сделать Выкл., то поправку экспозиции можно установить, только нажав кнопку “+/-” и вращая главный диск управления.
Не бойтесь поправки экспозиции, в ряде случаев, предпочтительнее “недосветить” кадр и потом вытянуть в редакторе, чем пересветить и выбросить, или получить нужную экспозицию и потерять резкость из-за длинной выдержки, и как результат тоже выброшенный кадр.
Информацию из теней легче вытянуть, чем из пересветов, т.к. “выбитые” цвета, это фактически отсутствие информации.
Спасибо, просто последнее время освещения как раз хватало, а делать однообразные правки в рав-конвертере немного удручало. Но на будущее учту
Нет, ваша методика мне ясна.
А вот интересна возможность снять пейзаж с большой ГРИП, снимая на относительно открытой диафрагме несколько кадров, с наводкой на разную дистанцию, с последующей ‘сшивкой’ кадров, аналогично стековой съемке макро.
Здравствуйте! Подскажите пожалуйста!? Когда в видоискателе смотришь и видишь экспонометр показывает кол-во рисок в плюс! Это значит нужно наоборот корректировать рисочки в минус. Немного я запутался сори!
Здравствуйте, Аркадий.
Не могли бы Вы поделиться мыслями про экспокоррекцию при съемке в тумане. Многие интернет – статьи рекомендуют +( 1-2)ev, однако в литературе встречал рекомендации минус (1-2)ev.
Nikon F75 автоматически устанавливает чувствительность фотопленки по DX – коду, изменить которую в ручную не позволяет. При использовании кассеты без DX-кода устанавливает ISO 100. Если установлена пленка в кассете без кода, с чувствительностью 250 ISO какую надо ставить экспокоррекцию, для правильной экспозиции?
На F75 получится только – 1.5 EV, так как экспопоправка в данной тушке меняется только шагом 0.5 стопа. Разницу между -1.33 и -1.5, наверно не заметите.
Огромное спасибо за помощь.
То есть можно пользоваться третьступенной ГОСТовской шкалой (ГОСТ 10691-84).
Еще упущено использовать путем выбора кнопкой экспозамера с наведением датчика на нужную часть в кадре,при точечном и центро взвешенном режиме на участок кадра с не до светом.в таком случае коррекцию ставить с минусом,потому,что светлый участок кадра имеет преимущество в замере экспонометра, и получает преимущество для себя в более короткую выдержке,а остальные участки будут не досвечены,т.е.темными, и с большим зерном.На примере ночной съемке освещенной площади обрамленной много этажными домами с темными окнами.Как правило часто экспозамер в камере настроен в матричном режиме, и освещенный участок от ночных фонарей и автомобилей получает выдержку для себя,т.е. короче чем окружающие темные объекты,по=этому стены с окнами и разными колонами не дополучат света, и будут слабо просматриваемыми,получается,что в глаза бросаются блестящие рельсы ,асфальт ,яркие точки ламп на столбах,и фары автомобилей.Вот только здесь не вяжется теория добавки плюсовой экслокоррекции,когда мы хотим осветлить участок в кадре.Может я понял это,как машинист паровоза получавший корочки после окончания курсов,на последний вопрос к комиссии спросил:”а куда волы запрятали в паровоз,шо он едет,а волов не видно”.
В Nikon D200, как только включаешь камеру и не нажимаешь ни одной кнопки, происходит автоматический экспозамер, который постоянно изменяется, в зависимости от количества света проходящего через объектив. Эти действия камеры видны на верхнем экране. Из-за этого, как мне кажется, данная модель потребляет много энергии, что очень быстро сказывается на батарее.
Вопрос: Возможно ли отключить эту принудительную функцию? На других моделях ведь такого излишества нет.
Читайте также:
