Признаки вывиха предплечья
Добавил пользователь Евгений Кузнецов Обновлено: 07.01.2026
Множество людей в своей жизни сталкивались с различными вывихами суставов. Травма может произойти на работе, на отдыхе, во время тренировки. Вывих локтевого сустава — один из самых частых повреждений верхних конечностей.
Как результат травмы — сильная боль, отек и деформация в области локтевого сустава. Данное заболевание требует обязательной консультации травматологи и дальнейшего лечения.
Существует три варианта возникновения вывиха локтя:
- На фоне артрита или артроза и ослабления связок и мыщц происходит изменение и разрушение костей сустава.
- Вывих локтевой кости - это результат смещения суставного конца одной из костей из-за прямого воздействия на локоть.
- Механизм травмы заключается в непрямом давлении на сустав, когда сила прилагается к плечевой или лучевой кости, вследствие чего образуется рычаг.
Второй вариант считается наиболее распространенным случаем вывиха локтевой и лучевой кости.
Причины возникновения вывиха локтя
- Получение удара. Во время серьезной физической нагрузки, при ДТП или драке — человек может получить такую травму. А также вывих может произойти и при нанесении удара пациентов по твердой поверхности.
- Падение. Падающий человек интуитивно выставляет вперед руки для смягчения падения. На кисть приходится высокая нагрузка. На травму оказывает влияние угол, под которым человек выставляет верхние конечности, его масса тела и скорость падения.
- Резкий рывок. Вывих локтевого сустава со смещением может произойти, если сильно дернуть человека за руку. Обычно такая травма может произойти во время тренировки по дзюдо или самбо.
- Травма на производстве. Подобные повреждения человек обычно получает на работе, связанной с тяжелым физическим трудом. Представители рабочих профессий чаще всего травмируются во время работы.
Симптомы вывиха локтевого сустава:
При вывихе локтя характерными симптомами считаются следующие признаки:
- Изменение формы сустава. Внешне будет заметно, что локоть выглядит не так, как раньше.
- Сильная боль. Пациент может ощущать в области локтя сильную боль, и при попытке двигать рукой — движения будут трудными и болезненными. В состоянии покоя пациент не будет чувствовать облегчение. Болевые ощущения могут охватывать плечо и предплечье.
- Ограниченность в движениях. У пациента с вывихом локтя наблюдается частичная или даже полная ограниченность при попытке шевелить и двигать рукой. Если все же были приложены усилия, чтобы согнуть руку — это заканчивается резкой болью в области поражения.
- Отечность. Область локтя опухает, и отек не спадает сразу после вправления, отек спадает постепенно.
- Цвет. Ввиду воспаления, кожа на месте вывиха и по всей конечности становится красного или лилового цвета.
- Снижение чувствительности. При таком виде травмы может неметь рука.
- Спазмы. Из-за повреждения сосудов, связок и мышц часто проявляются спазмы в травмированной руке.
- Ухудшение самочувствия. Из-за травмы больной будет испытывать общее недомогание, выражающееся в повышении температуры, жаре или ознобе. Пульс может быть учащенным или, наоборот, замедленным.
Диагностика вывиха локтевого сустава
Травматолог, перед определением метода лечения, обязательно проводит тщательную диагностику, чтобы отличить проблему от других. Например, от закрытого перелома или локтевого бурсита.
В первую очередь врач проводит сбор анамнеза, узнает, что предшествовало травме, затем проводит тщательный осмотр и пальпацию, определяет чувствительность в поврежденной конечности.
Возможно направление пациента на следующие анализы:
- рентген;
- УЗИ сосудов;
- общие анализы крови, мочи;
- биопсия внутрисуставного вещества.
Дополнительно проводят забор анализов на выявление сопутствующих хронических патологий, которые определят методику лечения.
Вправление вывиха локтя
Травматолог после сбора анамнеза скорее всего прибегнет к вправлению сустава. Перед этим пациенту показан прием обезболивающих, возможна блокада сустава анестетиками, следует также внутримышечно ввести миорелаксанты, направленные на расслабление мышечных волокон. Вправлять пораженный сустав должен только профессионал.
В зависимости от степени и вида поражения врач выберет определенный метод вправления.
Далее для облегчения состояния пациента необходима качественная иммобилизация в течение 2 недель. При вывихе локтя у ребенка, симптомы которого значительно ярче, правильная ликвидация любых движений в суставе приведет к быстрому восстановлению.
В период лечения пациенту необходим прием медикаментов:
- обезболивающих;
- противовоспалительных;
- миорелаксантов;
- ангиопротекторов;
- витаминных комплексов.
Целесообразность терапии определенных лекарственных групп и курс лечения выбирает травматолог в зависимости от возрастных особенностей пациента, сложности травмы.
Вывих предплечья
Вывих предплечья - это смещение суставных поверхностей локтевой, лучевой и плечевой кости относительно друг друга. Повреждение сопровождается резкой болью, деформацией и значительным отеком сустава. Движения невозможны. Диагноз устанавливается на основании данных осмотра и результатов рентгенологического исследования. При необходимости уточнения характера травмы дополнительно выполняется МРТ или КТ. Лечение вывихов предплечья осуществляется путем их вправления и последующей фиксации сустава гипсовой повязкой в течение 2-3 недель. После снятия гипса проводится восстановительная терапия : физиолечение, массаж, ЛФК.
МКБ-10
Общие сведения
Вывих предплечья занимает второе место по частоте и составляет от 18 до 27% от общего числа вывихов. У детей вывих предплечья встречается чаще, нередко сочетается с переломом костей плеча и предплечья. Вывих предплечья может быть неполным (суставные поверхности частично соприкасаются) или полным (соприкосновение суставных поверхностей отсутствует). В абсолютном большинстве случаев (более 90%) в результате травмы вывихиваются обе кости предплечья. Изолированные вывихи одной из двух костей предплечья наблюдаются редко.
Патанатомия
Локтевой сустав образован суставными поверхностями плечевой, лучевой и локтевой костей и окружен тонкой суставной капсулой, которая по бокам укреплена двумя прочными связками.
Классификация
В травматологии и ортопедии выделяют следующие виды вывихов обеих костей предплечья:
- задние;
- передние;
- кнутри;
- кнаружи;
- расходящиеся вывихи.
Кроме того, могут наблюдаться изолированные вывихи лучевой кости (кзади, кпереди, кнаружи) и изолированные вывихи локтевой кости.
Виды вывиха предплечья
Задний вывих
Возникает в результате непрямой травмы (падения на переразогнутую в локтевом суставе вытянутую руку). Капсула локтевого сустава при этом разрывается, нижняя часть плеча смещается вперед. Задний вывих предплечья может сочетаться с переломом мыщелков плечевой кости у взрослых или с переломом надмыщелков плеча у детей.
Пациент с задним вывихом предплечья жалуется на резкую боль в области повреждения. Рука находится в вынужденном положении легкого сгибания. Сустав деформирован, увеличен в объеме, активные движения в локтевом суставе невозможны, при попытке пассивных движений определяется характерное пружинящее сопротивление. При осмотре спереди предплечье выглядит укороченным. Локтевой отросток смещен кверху и кзади. В области локтевого сгиба пальпируется нижняя часть плечевой кости.
Передний вывих

Встречается редко. Причиной переднего вывиха предплечья становится прямой удар в область локтевого сустава при согнутой в суставе руке. Такие вывихи могут сочетаться с переломом локтевого отростка. Травма сопровождается резкой болью. При осмотре выявляется удлинение предплечья на стороне поражения, западение в области локтевого отростка. Активные движения в локтевом суставе невозможны, при попытке пассивных возникает пружинящее сопротивление. Функция сустава ограничена меньше, чем при задних вывихах предплечья.
Боковые вывихи
Наблюдаются редко. Могут сочетаться с повреждением срединного или локтевого нерва с выпадением чувствительности в зоне иннервации. Как и другие вывихи, сопровождаются резкой болезненностью, невозможностью активных движений в суставе и пружинящим сопротивлением при попытке пассивных движений.
Наружный вывих предплечья возникает в результате прямого воздействия на локтевой сустав изнутри кнаружи. Редко бывает полным. Сопровождается деформацией, отеком, смещением оси сустава кнаружи. Вывих предплечья кнутри также возникает в результате прямого удара, только в этом случае удар направлен снаружи внутрь. Пациент предъявляет жалобы на резкую боль. Локтевой сустав отечен, деформирован, ось сустава смещена кнутри.
Лечение вывиха предплечья
На этапе оказания первой помощи производится фиксация поврежденной конечности. Необходимая длина шины – от кончиков пальцев до верхней трети плеча пострадавшего. Больному вводят анальгетики и транспортируют в отделение травматологии.
Вправление вывихов предплечья производится травматологом-ортопедом под общим наркозом или местной анестезией. Выбор метода вправления вывиха зависит от вида вывиха предплечья. После вправления передних и задних вывихов гипсовая повязка накладывается на 1-2 недели, после вправления боковых вывихов – на срок до 3 недель. По окончании этого срока назначают физиопроцедуры (СМТ, парафинолечение, электрофорез) и лечебную гимнастику.
Изолированные вывихи и подвывихи у детей
Такие вывихи встречаются достаточно редко. Исключение – подвывих головки лучевой кости у детей в возрасте до 5 лет. Преобладающий возраст пострадавших – от 1 до 3 лет. Повреждение возникает в результате резкого дерганья, потягивания за руку или попытки удержать ребенка за руку во время падения. Ребенок жалуется на умеренную боль в области сустава. Рука вытянута вдоль туловища, сгибание в суставе резко болезненно. Определяется болезненность при пальпации локтевого сустава, лучезапястного сустава и предплечья.
Рентгенологические исследования при данной травме малоинформативны, поэтому проводятся только в сомнительных случаях. Для вправления головки врач плавно тянет за предплечье, постепенно сгибает руку в локтевом суставе и поворачивает ладонью вниз, одновременно надавливая на головку лучевой кости. В момент вправления можно услышать характерный негромкий щелчок. Вправление подвывиха головки лучевой кости у детей производится легко, мягко и практически безболезненно. Анестезия места повреждения не требуется, поскольку доставляет ребенку больше неприятных ощущений, чем само вправление.
Лечение. Локтевой сустав. Вывихи
Описание заболевания, симптомы и причины, методы лечения.
Вывихом локтевого сустава называется смещение двух основных костей предплечья из места их сочленения с плечевой костью. Также могут выходить из сочленения и другие указанные кости по отношению друг к другу. Часто вывих локтевого сустава в обиходе называют вывих локтя, что, как показывает практика, является одним и тем же названием.
Чаще всего вывихи в травматологии являются причинами травматизма, случившегося на транспорте, в быту и в других местах. Реже врач имеет дело с так называемым привычном вывихе, когда сила травмирующего агента невелика или может вовсе отсутствовать, но две кости по отношению к суставной поверхности располагаются неравномерно, что указывает на слабость связочного аппарата сустава. Не исключен и привычный вывих локтевого сустава, который возникает также на фоне слабости связок по причине воспалительных процессов, предшествующих длительное время нелеченных вывихов, растянувшие указанные анатомические образования Исходя из биомеханики, вывих локтя может случиться с высокой долей вероятности при падении человека на вытянутую руку, а не при ударе в области сустава.
Вывих локтевого сустава имеет достаточно типичные признаки, подтверждающиеся методами инструментальной диагностики. Первым делом пациента беспокоит боль, не стихающая и интенсивная. От момента приложения силы она не становится меньше, что ее отличает от боли при ушибе, гемартрозе и многих других патологических состояниях в травматологии. Сразу же присоединяется отек локтевого сустава. Вывих локтя в первые часы никогда не провоцирует повышение местной температуры, а также покраснения, что должно натолкнуть врача на поиск других заболеваний или имеющихся сопутствующих патологий у пациента.
Ввиду особенностей анатомического строения, а именно близости прохождения пучка встречаются клинические ситуации, когда по причине вывиха он травмируется также. В этом случае может отсутствовать или быть ослабленной пульсация лучевой и локтевой артерий, что означает нарушение или полное прекращение кровотока по ним. В этом случае показана срочная госпитализация в стационар с возможным проведением хирургической операции. Разумеется, в данном случае лечение вывиха локтя только оперативное, по жизненным показаниям. Если затронут нерв, то боли становятся интенсивными, могут иррадиировать в различные участки плеча.
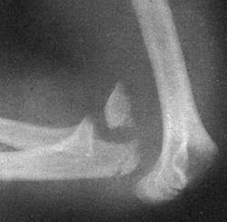
Диагностика вывиха локтевого сустава, как уже сказали, проста. Благодаря доступному визуальному осмотру у опытных не вызывает сомнений постановка диагноза. Однако, для того, чтобы лечение вывиха локтя проходило без скрытых нюансов, делается контрольный рентгенографический снимок. Нередко помимо вывиха имеется и перелом со смещением костных отломков
Первая помощь
Сражу же после травмы необходимо приложить лед. Далее следует осуществить проверку на повреждение нерва: проверьте пульс. Для этого поочередно надавить на ногти на руках. Если состояние нормальное, они посветлеют, а через пару секунд вернут свой розоватый оттенок. Также необходимо проверить работу нервов. Чтобы проверить радиальный нерв, согните кисть в области сустава. Чтобы проверить ульнарный нерв, разведите пальцы в стороны. Чтобы проверить медиальный нерв, сведите мизинец и большой палец. Проверить чувствительность кожи. Для этого необходимо коснуться участка от кисти до локтя.
В зависимости от тяжести повреждения врач назначает консервативное или оперативное лечение вывиха локтевого сустава.
Консервативный метод
Лечение вывиха локтя — это довольно сложный процесс. После обследований врач назначает определенные процедуры. Для начала, это релокация, то есть вправление. Больной сустав возвращается на привычное место. Перед началом данного процесса вводят обезболивающий препарат, чтобы снизить боль. Обезболивание в травматологии подразумевает не только создание комфортных условий для пациента, но и спокойную работу для хирурга. Мышцы пациента при достижении необходимого порога обезболивания расслабляются, что делает процедуру вправления легкой и эффективной. Лечение вывиха локтевого сустава всегда требует определеных условий и индивидуального подхода к пациенту; особенности психического статуса порою требуют проведения внимательной беседы с пациентом.
Методика вправления зависит от вида вывиха:
Задний вывих вправляется методом сгибания (сустав растягивается, а потом сгибается) или методом «перезагибания» (травмированный сустав сгибается ещё больше).
Передний вывих вправляется при максимальном сгибании и одновременном смещении сустава назад.
После этого поврежденный сустав фиксируют, чтобы исключить вероятность движений в нем (накладывают тугую повязку или гипс.
Далее консервативная методика включает в себя: различные виды прогреваний, физиотерапию, массаж с помощью различных приборов, включая разнообразные виды: прямой и непрямой.
Оперативный метод
При осложнениях (повреждение локтевого нерва или перелом венечного отростка) лечение вывиха локтевого сустава проводится только оперативным путём. Наибольшие шансы на благополучное вправление вывиха — в первые сутки после травмы. Вывихи, которым «исполнился» месяц всегда вправляются оперативно, и то без гарантий на успех.
Вывихи в локтевом суставе

Вывихи суставов – довольно распространённая травма, с которой многие сталкивались. Вывих локтя по частоте возникновения входит в тройку лидеров среди повреждений верхних конечностей данного типа. Локтевой сустав сформирован тремя суставными поверхностями: плечевой, локтевой и лучевой костью. Вывих локтя – это травма, в результате которой происходит смещение суставных поверхностей лучевой и локтевой костей (предплечья) относительно плечевой кости.
Основные причины возникновения вывихов локтевого сустава
Причины возникновения – это:
- результат падения на вытянутую руку, вперед либо назад (задний вывих, встречающийся чаще всего). Падение на согнутый локоть вперед происходит значительно реже (передний вывих)
- прямой удар в область сустава
- случайное вытягивание (у детей до трех лет)
Признаки вывиха
- острая боль в локте
- ограничение любых движений (при желании пошевелить рукой возникает резкая боль)
- появление отечности в области локтевого сустава
- онемение и потеря чувствительности в поврежденной руке
- жар или озноб
- стремительное повышение температуры

Диагностика данной травмы
При вывихе необходимо срочно обратиться к врачу-травматологу. Диагностика предусматривает предварительный осмотр пострадавшего и назначение комплекса исследований, а именно:
- рентгенография (на основании рентгена сустава определяется степень его поражения, вероятность смещения кости, наличие повреждения мягких тканей, мышц или нервных окончаний)
- артериограмма (рентген-исследование сосудов или УЗИ) (если рука неподвижна)
- пульсометрия
Специалисты, к которым следует обратиться

Лечение
Основные методы лечения травмированного локтевого сустава:
- Вправление вывиха врачом-травматологом в отделении травматологии (под общим наркозом или местной анестезией)
- Наложение гипсовой шины (после вправления вывиха) на область от трети плеча до выступающих головок пястных костей,с фиксацией сроком на 7-10 дней
- При повреждении связок, артерий или нервов может потребоваться хирургическое вмешательство
Реабилитация после вывиха локтевого сустава
После предпринятого лечения наступает длительный период восстановления полноценной работоспособности локтя. Для этого используют следующие методы:
- Лечебная гимнастика (ЛФК) – комплекс физических упражнений для возвращения суставу подвижности
- Физиотерапия (различные виды прогревания и др.)
- Плавание (назначается через четыре недели после снятия гипсовой повязки, значительно ускоряет разработку суставов)
- Массаж (для усиления кровотока к поврежденному суставу, вариант массажа подбирает врач)
- Компрессы, мази (для снабжения тканей сустава необходимыми полезными веществами)
- Витаминотерапия
Во время реабилитации необходимо носить поддерживающие повязки.
Неблагоприятным последствием при осложненных вывихах может быть тугоподвижность или контрактура суставов (ограничение подвижности в суставе). Поэтому восстановительный период может затянуться на более длительный срок. В целом прогноз выздоровления благоприятный.
Вывих предплечья

Возникновение вывиха предплечья
Причины
Прямое (падения) или непрямое воздействие на соединительные области. Искусственное насильственное ускорение сокращения мышц, разгибания и сгибания.
Симптомы
- интенсивная боль;
- в момент получения может быть слышен характерный щелчок;
- вынужденное полуразогнутое положение, ограничение как активных, так и пассивных движений (возникает пружинящее сопротивление), ощущение нестабильности;
- увеличение в объеме и деформация тканей (в поражённой области на коже образуются кровоподтёки);
- снижение чувствительности, онемение.

Травма локтя
Диагностика
Диагностику важно произвести в течение первых двух-трёх часов, поскольку нарастающие отёк и напряжение мышц в последующем сделают исправление затруднительным.
Ярко выраженная клиническая симптоматика зачастую позволяет определить основной диагноз, но виды и специфику каждого конкретного случая, от чего в дальнейшем будет зависеть выбор лечебной тактики, определяют с помощью рентгена суставов (в двух проекциях, количество которых увеличивают при необходимости). Эта процедура обязательна для проведения для каждого пострадавшего.
Если рентгенологические исследования оказываются малоинформативными, в сложных случаях назначается компьютерная томография суставов. Если всё же есть сомнения в правильности диагноза, то его можно подтвердить с помощью магнитно-резонансной томографии локтевого сустава.
Лечение
Осуществляется в травматологических отделениях. Самолечение исключено. Консультация врача, который специализируется на таких ситуациях и его наблюдение за протеканием процесса восстановления крайне важны.
Для свежих увечий, без осложнений, при вправлении (которое являет собой действие обратное самой травме), подходит местная анестезия. Практически во всех случаях целесообразна консервативная классическая методология коррекции.
Задние формы вывихов, застарелые и с осложнениями корректируются под общим наркозом.
При вправлении учитываются данные рентгенологического исследования, при этом рентгенография делается как до начала, так и по завершению лечебных и восстановительных мероприятий.
Больное место локально фиксируется, накладывается шина или косыночная повязка. Преждевременно снимать шины, или иммобилизационные повязки категорически запрещено. Это может спровоцировать возникновение привычного вывиха.
Если с помощью закрытого вмешательства устранить не удаётся, применяется оперативное. Может потребоваться пластика сустава. Если в месте травмы накапливается жидкость, назначается пункция локтевого сустава.
Наибольшую опасность для пациента представляет повреждение лучевой артерии, а также нервов и сосудов. Поэтому все решения относительно процесса лечения и манипуляции должен проводить опытный, квалифицированный специалист.
Реабилитация проходит под контролем ортопеда. Примерно через неделю после снятия фиксации назначается лечебная физкультура и гимнастика, курс лечебного массажа, иглоукалывание, электромиотерапия, физиотерапевтические, специальные тепловые процедуры.
Вначале важно максимально устранить нагрузки на поражённое место. Затем давать их понемногу, постепенно увеличивая. Если лечение не производить, происходит переход в застарелую форму, ограничивается подвижность, что становится первопричиной хронических болей.
Застарелые, долго игнорируемые (провоцируют развитие тугоподвижности в локте), неправильно продиагностированные травмы крайне сложно поддаются исправлению до первоначального состояния.
Профилактика
Основой профилактики является избежание ударов и травмирования. Если деятельность, при которой их риск высок, неизбежна, необходимо применять средства защиты. Развивать и укреплять мышечно-связочный аппарат.
Читайте также:
