Прототекоз и его лечение
Добавил пользователь Владимир З. Обновлено: 11.12.2025
Protothecosis является инфекционным заболеванием , которое в организме человека, крупного рогатого скота , собак и других видов могут возникать и зеленые водоросли из рода Prototheca инициируется. Эти водоросли и их родственники из рода Helicosporidium являются особенными водорослями в том смысле , что они также могут вызывать инфекции у организмов, которые не проявляют никаких нарушений иммунной системы. Двумя наиболее распространенными видами являются Prototheca wickerhamii и Prototheca zopfii . У людей заболевание, впервые описанное в 1964 г., в основном вызывается P. wickerhamii . Оба типа патогенны для собак . Водоросли встречаются во всем мире в сточных водах и почвах; Однако, несмотря на относительно высокую инфекционную нагрузку, инфекции возникают редко и могут быть связаны с дефектами иммунной системы . Терапия не стандартизирована, в литературе описаны различные процедуры с противогрибковыми средствами , хирургическое удаление и дезинфекция .
Содержание
Прототеки
Когда в 1894 году были впервые выделены прототеки, они все еще считались грибами . После того, как их таксономический статус долгое время оставался спорным, теперь считается, что протеки произошли в результате мутаций от одноклеточных зеленых водорослей рода Chlorella . Тем не менее, клеточная стенка из хлореллы содержит галактозу и галактозамин , а Prototheca не содержит эти вещества . Хлореллы содержат хлорофилл и, таким образом, осуществляют фотосинтез , в то время как прототеки не содержат хлорофилла и питаются сапротрофно , то есть гниющим органическим материалом.
Прототекоз у человека
Патогенез
О патогенезе прототекоза известно немного. Протезы обычно имеют низкую вирулентность, и инфекции обычно локализованы. Заражение происходит, с одной стороны, при поверхностном контакте с зараженными веществами; однако заражение кожных повреждений прототипами более распространено.
Более тяжелые формы прототекоза обычно возникают только при нарушении иммунной системы . В частности, клеточный иммунитет, по-видимому, играет важную роль: Prototheca фагоцитируются в здоровом организме нейтрофильными гранулоцитами (PMN) и, таким образом, становятся безвредными, при этом присутствие IgG и термостабильного опсонина важно для оптимального контроля. Однако ни одна из причин нейтропении не связана с раком, но в большинстве случаев СПИД обычно связан с повышенным риском прототекоза. Предполагается, что более тяжелые формы прототекоза связаны с качественными и количественными недостатками функции PMN.
Эпидемиология
Прототекоз - редкая инфекция у человека и обычно не передается от человека к человеку; скорее, заражение происходит через прототеки в окружающей среде. Prototheques живущие commensally на поверхности тела может вызвать к оппортунистической инфекции при наличии предрасполагающих факторов : Prototheques на кожу и ногти, а также в дыхательных путей и пищеварительного тракта также могут быть обнаружены и у здоровых людей. Более чем в половине всех клинических случаев прототекоза местный или системный иммунодефицит может проявляться как благоприятный фактор.
Факторы риска прототекоза включают ослабленную иммунную систему, связанную с применением кортикостероидов или раком кроветворной системы , трансплантацией органов и хирургией в целом, сахарный диабет и алкогольную зависимость . Заболевания, которые лечатся иммунодепрессантами, также увеличивают риск прототекоза. Большинство пациентов старше 30 лет; Случаются также случаи у новорожденных и детей.
Географически прототекоз встречается на всех континентах, кроме Антарктиды . Он выше среднего на юго-западе США и в сельских районах Тайваня . Особенно подвержены риску заражения рисовые полевые работники, рыбаки, фермеры, аквариумисты и люди, работающие с сырыми морепродуктами .
клиника
Protothecosis делятся на три клинические формы: кожные поражения ( Кожный protothecosis ), бурсит локтевого отросток (локоть бурсит) и тела широко распространенные или системные инфекции. Описаны также необычные формы, такие как инфекция мочевыводящих путей , кольпит (воспаление женских половых органов), пневмония и менингит . Кожные инфекции и бурсит локтевого сустава обычно хронические; острые системные формы редки и возникают только у пациентов с сильно ослабленной иммунной системой.
Кожный прототекоз
Кожный прототекоз (кожная форма) является наиболее распространенной формой заболевания, встречающейся у людей, и составляет немногим более половины всех случаев. Это может произойти в связи с травмами кожи и / или слизистой оболочки, но также возникает независимо от травм. Симптомы развиваются медленно и обычно не проходят спонтанно. Поражения обычно бывают язвенными (изъязвленными), гнойными и твердыми, но могут принимать другие формы. Если прототекоз возникает как осложнение после хирургической процедуры, это может привести к образованию узелков, синовиту (воспалению суставов) и хроническим мокнущим ранам.
Предполагается инкубационный период в несколько недель . Поражения обычно остаются локальными и распространяются только у пациентов с ослабленным иммунитетом. В основном они встречаются на открытых местах, то есть на конечностях и лице .
Олекраноновый бурсит
Вызванный Прото счетчиков , бурсит локтевого отростка является воспаление задней части локтевого сустава , расположенного бурсы , в бурса subcutanea отростка . Инфекция обычно возникает в результате перфорирующих (проникающих через кожу) повреждений, которые позволяют прототеке проникать в бурсу. Симптомы появляются через несколько недель после травмы и проявляются в виде опухшей, слегка затвердевшей и болезненной сумки. Описаны также инфекции, вызванные заражением существующей раны, и инфекции без предыдущих перфорационных повреждений.
Системный прототекоз
Системный или диссеминированный protothecosis происходит главным образом у пациентов с иммунодефицитом. Во всем мире описано 23 случая; в 21 из них возбудителем был P. wickerhamii . Наиболее часто поражаются структуры кожи и подкожной клетчатки , кишечника , брюшины , крови и селезенки . Системный прототекоз чаще всего является осложнением рака, трансплантации органов или СПИДа. В трех из описанных случаев протекальный перитонит был результатом катетеризации . Также описан прототекальный сепсис как осложнение установки центрального венозного катетера . Часто, помимо протекоза, у пораженных пациентов обнаруживаются другие инфекции, вызванные условно-патогенными микроорганизмами , из-за их иммунной недостаточности .
диагноз
Прототекоз обычно выявляется поздно, потому что он не является приоритетным для дифференциальной диагностики инфекции. Обычно подозрение на протекоз возникает только тогда, когда пациенты безуспешно лечились против других патогенов в течение длительного периода времени. Диагностика в основном основана на морфологической идентификации прототипов под микроскопом , при этом могут использоваться разные цвета . Обследование может проводиться непосредственно с образцами раневого экссудата и / или тканей; Кроме того, рекомендуется микробиологический посев . Кроме того, описаны молекулярно-биологические методы диагностики. Однако серологические тесты не подходят для диагностики у людей.
микроскопия
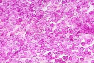
Прототекены имеют форму от сферической до эллипсоидной , имеют очень выраженную клеточную стенку и содержат несколько толстостенных автомобильных пор . Диаметр варьируется от 8,1 × 24 мкм до 10,8 × 26,9 мкм; сферические поры автомобиля имеют диаметр от 9 до 11 мкм. В отличие от дрожжей , прототеки не образуют бутонов . Они трудно окрасить с Его окрашиванием , но могут быть легко окрашивали с Gridley окрашиванием , Grocott-Гоморите окрашивание или реакцию PAS . Прототеку морфологически можно спутать с несколькими грибами , включая Blastomyces dermatitidis , Cryptococcus neoformans и Pneumocystis jirovecii .
Окрашивание HE ( хорошо виден эозинофильный инфильтрат )
Помимо большого количества прототипов, на срезах тканей можно наблюдать ряд патологических реакций. Возможные реакции варьируются от гранулематозного воспаления с выраженным некрозом тканей до полного отсутствия воспалительных реакций, несмотря на наличие прототипов. При кожном прототекозе микроорганизмы обычно располагаются в средней и сосочковой дерме . Диссеминированные прототекозы приводят к выраженным эозинофильным инфильтратам и фиброзу пораженных органов.
микробиология
Микробиологическая идентификация прототипов основана на внешнем виде колоний , микроскопической идентификации и нескольких характерных метаболических свойствах в культуре. Прототеки относительно нетребовательны и легко выращиваются на различных обычных питательных средах . Однако многие селективные питательные среды, распространенные в культуре грибов, непригодны для культивирования, поскольку содержащийся в них циклогексимид также подавляет пролиферацию прототеки. Средами, подходящими для выращивания прототек, являются агар с декстрозой Сабуро , кровяной агар , говяжий бульон и агар между мозгом и сердцем . Поскольку образцы часто содержат другие микроорганизмы помимо прототипов , для отбора добавляются 5-фторцитозин и гидрофталат калия , которые подавляют рост большинства бактерий и грибов. Protothecae можно отличить от дрожжей путем добавления рибостамицина , который подавляет рост прототеки, но не дрожжей.
Инкубацию проводят при 30 ° С в течение 72 часов. Для медленнорастущих прототипов может потребоваться инкубация в течение семи дней при 25 ° C. Оптимальная температура составляет от 25 до 37 ° C, и колонии обычно видны через 48 часов. Макроскопически они кажутся мягкими, влажными, дрожжевыми, белыми или слегка желтоватыми. Организмы растут либо аэробно, либо микроаэрофильно .
P. wickerhamii и P. zopfii , два наиболее важных возбудителя протекоза, можно различить на основе нескольких свойств, которые описаны в следующей таблице:
| свойство | Prototheca wickerhamii | Prototheca zopfii |
|---|---|---|
| Внешний вид колоний | Полусферический, гладкий край | Плоский, грубый, пуговица посередине, край волнистый |
| Потребление глицерина | + | + |
| Рост на сахарозе | - | - |
| Рост на трегалозе | + | - |
| Рост на н-пропаноле | - | + |
| Рост на аргинине | + | + |
| Рост на глюкозе | + | + |
| Рост на галактозе | ± | ± |
| Рост на клотримазоле | - | + |
| Рост при 37 ° C | + | + |
Молекулярная биология
Для диагностики прототекоза обычно достаточно микроскопических и микробиологических исследований. Кроме того, но и молекулярно - биологические методы могут быть использованы: Идентификация P. wickerhamii является флуоресценцией в гибридизация (FISH) с использованием рРНКа с помощью соответствующей ДНК - зондов , возможно потому , что клеточные стенки счетчиков Проты по предварительной обработке с СТАВОМ для этих зондов можно сделать проницаемой . Определение П. zopfii с помощью ПЦР в рДНК также возможно.
терапия
Ситуация с резистентностью in vitro
Прототики проявляют естественную резистентность к антибиотикам и антимикотикам in vitro, а также могут приобретать новые резистентности в процессе терапии. Ситуация с естественным сопротивлением показана в следующей таблице. Кроме того, для P. zopfii было обнаружено присутствие β-лактамазы .
| вещество | Минимальная ингибирующая концентрация (МИК) в мкг / мл |
|---|---|
| Гентамицин | От 0,2 до 0,9 |
| Тетрациклин * | > 100 |
| Флуконазол | От 8 до> 200 |
| Итраконазол | 0,39 до> 100 |
| Кетоконазол | От 1 до 60 |
| Миконазол | От 0,1 до> 100 |
| Клотримазол | 5 к 6 |
| Полимиксин B | 0,39 до 100 |
| 5-фторцитозин | > 100 |
| Амфотерицин B * | От 0,15 до 12,5 |
| Вориконазол | 0,15 до> 16 |
| Нистатин | От 1 до> 100 |
| Пентамидин | 4-й |
| Гризеофульвин | > 200 |
* Тетрациклин и амфотерицин B проявляют синергетический эффект против Prototheken.
Чувствительность Prototheken к полиенам и азолам объясняется тем, что их клеточные мембраны содержат эргостерин . МИК испытание прототипов для сопротивления , как правило , не является необходимым в практике, поскольку результаты , полученные таким образом , коррелируют лишь в ограниченной степени с клинической успешности терапии . Поэтому тесты на резистентность рекомендуются только в том случае, если попытки терапии не увенчались успехом.
Протоколы терапии
Нет ни стандартных рекомендаций по лечению, ни последовательных клинических результатов лечения протекоза. Там являются также нет клинических исследований , сравнивающих различные методы лечения друг с другом. На практике сочетаются хирургическая и медикаментозная формы терапии. Прототекоз не излечивается спонтанно, и неэффективность лечения не редкость.
При кожном прототекозе описанные успешные методы лечения включают полное хирургическое удаление пораженного участка кожи, местное применение амфотерицина B и различных азолов, местное применение амфотерицина B в сочетании с системным введением тетрациклинов, системное введение амфотерицина B с иссечением и без него. и системное введение тетрациклинов. Неудачи лечения описаны для тетрациклина, итроконазола, флуконазола, фторцитозина и кетоконазола; непостоянный терапевтический успех для системного введения пенициллина , гризеофульвина и эметина, а также для местного применения дезинфицирующих средств, таких как перекись водорода , хлоргексидин , перманганат калия , сульфат меди , пикриновая кислота , соединения аммония и йодид калия . Продолжительность терапии варьируется от нескольких дней до нескольких недель.
В случае бурсита отростка, вызванного Prototheken, терапия заключается в хирургическом удалении инфицированной сумки. В качестве альтернативы можно рассмотреть возможность дренирования в сочетании с инстилляцией амфотерицина B в бурсу. Также рекомендуется системное лечение итраконазолом в течение двух месяцев.
Системное лечение амфотерицином B, комбинацией амфотерицина B и доксициклина и флуконазолом описано для диссеминированного прототекоза . Перитонит, вызванный Prototheken, лечили путем прямого внутрибрюшинного введения амфотерицина B. Удаление исходного очага инфекции или удаление инородных тел в сочетании с системным введением лекарств рекомендуется как наиболее осторожный метод лечения. Терапия азолами рассматривается критически, так как большинство неудач терапии приходится на эту группу препаратов; поэтому использование амфотерицина B кажется более целесообразным. Продолжительность описанной терапии сильно варьируется и составляет от пяти дней до восьми месяцев; В качестве крайнего случая была описана терапия менингита, вызванного Прототекеном, амфотерицином B и азолами в течение шести лет, которая, однако, не могла устранить патогены.
Прототекоз в ветеринарии
Домашний скот
Домашняя собака

Собаки с острой слепотой и диареей, у которых развивается экссудативная отслойка сетчатки, должны быть обследованы на протекоз. Диагностика производится через культуру или непосредственно через микроскопическое обнаружение водорослей в биопсии или в спинно - мозговой жидкости , стекловидном теле или моче . Диссеминированный прототекоз трудно лечить, но в некоторых случаях было показано , что противогрибковые препараты эффективны. Прогноз кожного прототекоза умеренный и зависит от возможности хирургического удаления пораженной кожи. Прогноз диссеминированной формы плохой, что также может быть связано с тем, что болезнь обычно распознается и лечится поздно.
Другие виды животных
Прототекоз у домашних кошек встречается очень редко . Первый случай был описан в 1976 году; пораженная кошка имела колеблющуюся массу на задней лапе. Несколько других описанных случаев были кожными инфекциями.
В случае атлантического лосося , инфекция рыбы ювенального по Prototheca salmonis была описана в рыбном хозяйстве .
веб ссылки
Индивидуальные доказательства
Эта статья посвящена проблеме со здоровьем. Он не используется для самодиагностики и не заменяет диагноз врача. Обратите внимание на информацию по вопросам здоровья !
| Эта статья была добавлена в список отличных статей 5 марта 2010 года в этой версии . |
- Эта страница последний раз была отредактирована 28 июля 2020 в 13:30.
Прототекоз и его лечение
Московский областной научно-исследовательский клинический институт им. М.Ф. Владимирского
ФГБУ "Российский научный центр хирургии им. акад. Б.В. Петровского" РАМН, Москва
Центр здоровой кожи, Москва
НИИ неврологии ФГБОУ ВО «Первый Санкт-Петербургский государственный медицинский университет им. акад. И.П. Павлова» Минздрава России, Санкт-Петербург, Россия
Наблюдение прототекоза кожи
Журнал: Архив патологии. 2017;79(1): 52‑55
В статье приведено описание случая редкой оппортунистической инфекции — поражение кожи одноклеточной нехлорофилловой водорослью рода Prototheca. Дано подробное патоморфологическое описание очагов кожного прототекоза — пандермального воспалительного инфильтрата, гранулем, псевдоэпителиоматозных разрастаний эпидермиса, внутриэпидермальных абсцессов. Даны критерии обнаружения возбудителя в гистологических срезах.
Возбудителем прототекоза является одноклеточная безхлорофилловая водоросль рода Prototheca, жизненный цикл который схож с водорослями рода Chlorella. Установлены возбудители заболеваний человека — P. wickerhamii и P. zopfii, такие возбудители широко распространены в окружающей среде, особенно в стоячей воде, почве, биологических отходах [1].
Наиболее частыми факторами риска заражения прототекозом считают диабет [6], длительный прием кортикостероидов [7], описывают также случаи ассоциации прототекоза со злокачественными новообразованиями [8].
Клиническая манифестация прототекоза кожи неспецифична: папулы, бляшки, узелки, веррукозные, эрозивно-язвенные элементы, коросты, экземоподобные, герпетиформные поражения. Наиболее типичная локализация кожного прототекоза — лицо, шея, конечности, реже — передняя и задняя поверхности торса. Заражение обычно происходит путем инокуляции возбудителя при микротравмах кожи.
Диагноз прототекоза обычно ставят на основании гистологического исследования биоптата. Характерными патоморфологическими проявлениями прототекоза являются пандермальный воспалительный инфильтрат, состав которого зависит от длительности патологического процесса, и образование некротизирующихся эпителиоидно-клеточных гранулем с гигантскими многоядерными клетками. При длительно существующих веррукозных поражениях обычно развивается псевдоэпителиоматозная гиперплазия эпидермиса с множественными внутриэпидермальными абсцессами. Возбудитель выявляется в очагах некроза, абсцедирования и гранулемах в виде почкующихся сферических организмов диаметром около 20 мкм с отчетливой клеточной мембраной. Трудность выявления возбудителей прототекоза в гистологических срезах определяется тем, что они не окрашиваются гематоксилином и эозином и обычно имеют вид оптически пустых пузырьков, но иногда удается увидеть округло-овальные тельца со слабоэозинофильным содержимым и двухслойной клеточной мембраной. При окрашивании реактивом Шиффа хорошо видны клеточная мембрана, эндоспоры и пылевидная гранулярность цитоплазмы. Для P. wickerhamii характерны септированные спорангии, напоминающие морулы. В случаях затруднений в гистологической диагностике желательна идентификация возбудителя путем посева отделяемого или тканевого материала на микологических средах.
Приводим собственное наблюдение прогрессирующего прототекоза кожи у женщины 66 лет.
Пациентка У., 66 лет, пенсионерка, жительница Московской области, обратилась за медицинской помощью в апреле 2015 г. по поводу опухолевидного, постепенно увеличивающегося образования кожи передней брюшной стенки, существующего длительное время (более года). В анамнезе — ректосигмоидальная резекция по поводу рака (гистологически высокодифференцированная аденокарцинома T3N0M0) в 2000 г. До настоящего времени колостома не закрыта, отмечается мацерация окружающей кожи.
Проживает в квартире многоэтажного дома, имеет участок земли для огорода. В качестве удобрения использует биологические отходы, которые покупает в зоопарке и ветлечебнице. Начало заболевания связывает с укусами комаров и расчесами во время работы на огороде.
При осмотре на коже передней брюшной стенки слева имеется опухолевидное образование с четкими неровными контурами размером 15×10×6 см, красновато-бурого цвета, с мелкобугристой поверхностью, эрозиями, трещинами и гнойно-геморрагическим отделяемым (рис. 1). По Панч-биопсии поставлен диагноз кондиломы Бушке—Левенштейна. После предварительной антибактериальной терапии выполнено радикальное иссечение образования с пластикой местными тканями.

Рис. 1. Поражение передней брюшной стенки пациентки У., 66 лет.
Спустя 10 мес (февраль 2016 г.) снова обратилась к дерматологу, так как появились образования аналогичные удаленному, одно на коже задней поверхности голени и два на коже правого предплечья, наибольшее из которых достигало размера 4,3×4 см. Все образования удалены хирургическим путем. Для уточнения диагноза гистологические препараты и операционный материал одного из очагов на предплечье направлены в патологоанатомическое отделение Московского областного научно-исследовательского клинического института им. М.Ф. Владимирского.
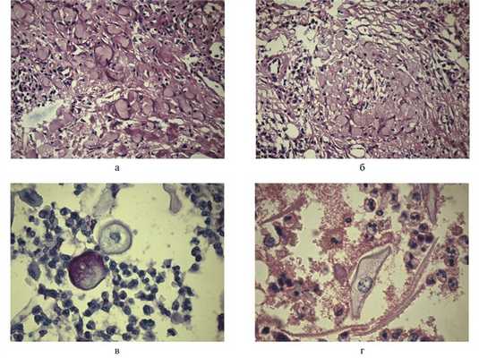
В гистологических препаратах образования передней брюшной стенки определяется веррукозная гиперплазия эпидермиса с гиперкератозом и глубокими погружными разрастаниями эпидермиса в подлежащий воспалительный инфильтрат по типу псевдокарциноматозной гиперплазии (рис. 2, а). Имеются множественные абсцессы с примесью акантолитических клеток как в поверхностных, так и в глубоких разрастаниях эпидермиса (см. рис. 2, б). Вся толща дермы занята воспалительным инфильтратом, состоящим преимущественно из клеток, характерных для иммунного воспаления (лимфоциты, плазматические клетки, макрофаги) с гнездными скоплениями нейтрофилов и примесью эозинофилов. На фоне диффузного воспалительного инфильтрата определяются множественные гранулемы из эпителиоидных гистиоцитов с примесью округлых оптически пустых пузырькововидных образований и многоядерных гигантских клеток, часть гранулем в центре с гомогенным некрозом и/или лейкоцитарным детритом (см. рис. 2, в, г). В глубоких отделах дермального инфильтрата формируется рубец с гиалинозом коллагена, в подкожной клетчатке иммунная реакция с образованием множественных лимфоидных фолликулов.

Рис. 2. Патоморфология кожного прототекоза той же пациентки. а — пандермальный воспалительный инфильтрат, псевдоэпителиоматозные разрастания эпидермиса; б — внутриэпидермальный абсцесс с примесью акантолитических клеток; в — формирующаяся эпителиоидно-клеточная гранулема; г — лейкоцитарный детрит в центре гранулемы и гигантские многоядерные клетки. а—г — окраска гематоксилином и эозином; а, б — ×100, в, г — ×200.
В гистологических препаратах образований кожи голени в участках склероза определяются множественные крупные овальной формы слабоэозинофильные пузырькововидные тельца, окруженные отчетливой двухслойной мембраной, как бы «встраивающиеся» в коллаген, по всей вероятности, погибшие спорангии прототеки (рис. 3, а). Скопления таких же телец определяются периваскулярно и по типу гранулем (см. рис. 3, б). В воспалительном инфильтрате, преимущественно в абсцессах, встречаются жизнеспособные почкующиеся спорангии прототеки (см. рис. 3, в), в том числе с формированием морулярных телец, и единичные крупные одноклеточные организмы ланцетовидной формы со светлой цитоплазмой, центрально расположенным ядром и двухконтурной клеточной мембраной (см. рис. 3, г).

Рис. 3. Прототека в гистологических срезах биоптата. а — спорангии прототеки в участке склероза; б — гранулемоподобные скопления спорангий прототеки; в — почкующиеся спорангии прототеки; г — прототека. а, б, г — окраска гематоксилином и эозином; в — ШИК; а, б — ×400; в, г — ×1000 (иммерсия).
В наиболее свежем образовании, располагающемся на предплечье, на большем протяжении эпидермис сохранен, имеются поверхностные эрозии и очаговые кровоизлияния в верхней дерме, в воспалительном инфильтрате определяется большое количество «молодых» спорангиев — оптически пустых округло-овальных телец с хорошо выраженной оболочкой, окрашивающихся реактивом Шиффа.
На основании результатов гистологического исследования пациентке поставлен диагноз кожного прототекоза и назначена терапия оргуналом (интраконазол) в дозе 400 мг 1 раз в сутки в течение 3 мес.
Несмотря на широкую распространенность прототеки в окружающей среде, случаи заболевания у человека диагностируются редко, врачи, в том числе и дерматологи, не знакомы с этой патологией. Прототекоз относится к оппортунистическим инфекциям, однако, судя по наблюдениям, описанным в литературе, он может развиваться и у людей с достаточно сохранным иммунитетом, особенно кожная форма этого заболевания [4].
Исходя из собственного опыта, можно предположить, что диагноз прототекоза не ставится при исследовании кожных биопсий, поскольку спорангии прототеки могут быть приняты за макрофаги, многоядерные гигантские клетки и даже за пузырькововидные артефакты.
Дифференциальный диагноз прототекоза следует проводить с глубокими микозами, болезнью кошачьей царапины, туберкулезом и другими инфекционными гранулематозами.
В приведенном наблюдении у пациентки были все условия для заражения прототекозом: дефектность иммунитета, обусловленная перенесенным онкологическим заболеванием и длительной работой на вредном химическом предприятии, постоянная травматизация кожи из-за наличия колостомы, а также характерный эпидемиологический анамнез: использование во время работы на огороде биологических отходов из ветлечебницы и зоопарка.
Отравление глутаматом натрия и его лечение
В качестве возможных этиологических факторов развития "синдрома китайских ресторанов" указывались аспартам, алкоголь, высокие дозы натрия, дефицит витамина В6 и др., но соответствующих клинических испытаний не проводилось. Не подкреплены клиническими данными и другие предполагаемые причины этого расстройства — кофе, высокое содержание натрия в некоторых китайских блюдах, гистамин, сульфиты, рефлюкс-эзофагит и бактериальное заражение пищи.
а) Патофизиология отравления глутаматом натрия. Глутамат, скармливаемый неполовозрелым подопытным животным, по-видимому, разрушает у них нейроны центральной нервной системы в гипоталамусе. Значение этих данных для человека неизвестно. Глутаматы и белковые гидролизаты (богатые ОГН) присутствуют во многих пищевых продуктах.
Экспертная группа, образованная Федерацией Американских обществ экспериментальной биологии в рамках договора с Управлением FDA, не обнаружила данных, позволяющих связать ОГН с каким-либо серьезным расстройством здоровья у населения страны в целом. В опубликованном отчете говорится, что после потребления примерно 3 г ОГН или близкого к нему "свободного глутамата" за один прием пищи у некоторых людей развиваются кратковременные отрицательные реакции.
Ряд продуктов, например спелые томаты и сыр пармезан, содержит высокие концентрации свободного глутамата, образующегося в них естественным путем.
Доказательства причастности к ним ОГН до сих пор неубедительны. Большинство провокационных проб с ОГН не дало клинической картины СКР. Типичный СКР отмечался только при употреблении китайских блюд. Хотя в реальности СКР мало кто сомневается, его причина до сих пор не выявлена.
Пациенты выздоравливали после симптоматического лечения. Провокационные дозы ОГН (1 — 2 г) были введены двум пациентам, испытывавшим через 1 — 2 ч после употребления пищи с ОГН либо головную боль, либо приступы сильной боли и давящего ощущения в верхней части живота, потливости и жжения в груди. В обоих случаях провокация вызвала соответствующую симптоматику. У одного пациента через 10 мин началась тяжелая генерализованная головная боль. У другого через 30 мин после приема 2 г ОГН отмечены одышка, сердцебиение, онемение ног и ощущение жара в лице и груди.
в) Лечение отравления глутаматом натрия. Управление FDA планирует сделать обязательным указание "содержит глутамат" на этикетках рядом с названием продуктов из гидролизованного белка, содержащих значительное количество этой соли. Некоторые меры предосторожности для людей с возможной чувствительностью к ОГН предложил Swan.
1. Покупая продукты, внимательно читайте этикетки! Не употребляйте соевый соус, бульонные кубики, порошковые или баночные супы. Будьте осторожны с сухими продуктами, мясными полуфабрикатами, консервами (кроме натуральных овощных и фруктовых), замороженными готовыми обедами и "экзотическими блюдами".
2. Избегайте подаваемой в разнос пищи, включая еду в самолетах.
3. Если вы собираетесь сходить в ресторан:
а. Позвоните заранее и закажите блюда без ОГН.
б. Подкрепитесь перед выходом (домашним сыром или стаканом молока).
в. Ограничьте алкогольные напитки.
г. Не ешьте закусок (за исключением оливок, свежих овощей и т. п.) и супов.
д. Учитывайте, что многие заранее приготовленные ингредиенты блюд (соусы, овощные гарниры и т. п.) содержат ОГН.
е. Избегайте блюд "в кастрюльке", восточной пищи, маринованного мяса и "фирменных" блюд (последние обычно готовятся заранее в больших количествах с использованием ОГН).
ж. Не стесняйтесь лишний раз напомнить, чтобы еду для вас готовили без ОГН. Выбирайте свежеприготовленные на открытом огне или на сковороде под крышкой мясо или рыбу без соуса и приправ.
з. Избегайте салатных заправок, заменяя их растительным маслом и уксусом.
и. Выпейте чашку кофе во время еды или по крайней мере перед уходом.
к. Придя домой, напишите в FDA жалобу на испытанные вами трудности, потребовав исключить ОГН из списка считающихся безвредными пищевых добавок.

Редактор: Искандер Милевски. Дата обновления публикации: 18.3.2021
В разделе собраны статьи по диагностике и лечению отравлений анальгетиками (НПВС, парацетамолом).
3. Отравления антиаритмиками (лекарствами для лечения аритмии)
В разделе собраны статьи по диагностике и лечению отравлений лекарствами применяемых для лечения аритмий сердца.
4. Отравления антибиотиками, противовирусными, антипаразитарными, противогрибковыми препаратами
В разделе собраны статьи по диагностике и лечению отравлений лекарствами для лечения инфекций (антибиотиками, противовирусными, антипаразитарными, противогрибковыми препаратами).
5. Отравления антидепрессантами
В разделе собраны статьи по диагностике и лечению отравлений антидепрессантами применяемых в лечении депрессии.
6. Отравления антигистаминными препаратами
В разделе собраны статьи по диагностике и лечению антигистаминными препаратами.
7. Отравления гормонами (гормональными препаратами)
В разделе собраны статьи по диагностике и лечению отравлений гормонами (гормональными препаратами).
8. Отравления лекарствами для лечения болезней легких и дыхательных путей
В разделе собраны статьи по диагностике и лечению отравлений бронходилататорами, глюкокортикоидами, муколитиками, бета-2-адреномиметиками.
9. Отравления лекарствами для лечения болезней желудка и кишечника
В разделе собраны статьи по диагностике и лечению отравлений антацидами, блокаторами протонной помпы, антидиарейными, салицилатами.
10. Отравления лекарствами влияющими на кровь
В разделе собраны статьи по диагностике и лечению отравлений лекарствами влияющими на гемостаз, цитокинами, препаратами железа, бифосфонатами, инфузионными растворами.
11. Отравления лекарствами для снижения артериального давления
В разделе собраны статьи по диагностике и лечению отравлений антигипертензивными препаратами, применяемых в терапии гипертонической болезни.
12. Отравления агонистами (стимуляторами) дофаминовых рецепторов
В разделе собраны статьи по диагностике и лечению отравлений агонистами (стимуляторами) дофаминовых рецепторов.
13. Отравления наркотиками и другими психоактивными веществами
В разделе собраны статьи по диагностике и лечению отравлений наркотиками и другими психоактивными веществами.
14. Отравления нейролептиками (антипсихотичесими препаратами)
В разделе собраны статьи по диагностике и лечению отравлений нейролептиками применяемых в лечении психозов.
15. Отравления противосудорожными лекарствами от эпилепсии
В разделе собраны статьи по диагностике и лечению отравлений противосудорожными лекарствами (противоэпилептическими препаратами).
16. Отравления снотворными лекарствами и другими седативными
В разделе собраны статьи по диагностике и лечению отравлений снотворными лекарствами и другими седативными.
18. Отравления противоопухолевыми препаратами (цитостатиками)
В разделе по токсикологии собраны статьи по диагностике и лечению отравлений контрастными веществами.
19. Отравления взрывчатыми веществами (взрывчаткой)
В разделе по токсикологии собраны статьи по диагностике и лечению отравлений взрывчатыми веществами (взрывчаткой).
19. Отравления нефтью и ее продуктами переработки
В разделе по токсикологии собраны статьи по диагностике и лечению отравлений нефтью и ее продуктами переработки.
21. Отравления металлами
В разделе по токсикологии собраны статьи по диагностике и лечению отравлений металлами.
22. Отравления пестицидами
В разделе по токсикологии собраны статьи по диагностике и лечению отравлений пестицидами.
23. Отравления компонентами пластмассы
В разделе по токсикологии собраны статьи по диагностике и лечению отравлений компонентами пластмассы.
26. Отравления растениями, грибами
В разделе по токсикологии собраны статьи по диагностике, лечению отравлений растениями, грибами.
Информация на сайте подлежит консультации лечащим врачом и не заменяет очной консультации с ним.
См. подробнее в пользовательском соглашении.
Тиреотоксикоз (гипертиреоз) - симптомы и лечение
Что такое тиреотоксикоз (гипертиреоз)? Причины возникновения, диагностику и методы лечения разберем в статье доктора Курашова О. Н., эндокринолога со стажем в 28 лет.
Над статьей доктора Курашова О. Н. работали литературный редактор Маргарита Тихонова , научный редактор Сергей Федосов
Определение болезни. Причины заболевания
Тиреотоксикоз (гипертиреоз) — гиперметаболический процесс, вызванный избытком тиреоидных гормонов в организме и их токсическим воздействием на различные органы и ткани. Клинически характеризуется увеличением щитовидной железы и поражением других систем и органов. [3] [5] [11]

Первые описания этой патологии были найдены в работах персидского врача Джурджани, созданных в 1100 году. [5] [11]
Данный синдром встречается как у женщин (до 2%), так и у мужчин (до 0,2%). Чаще он возникает у людей в возрасте 20-45 лет.
Причины тиреотоксикоза
Причин возникновения тиреотоксикоза множество. К основным относятся:
- повышение продукции гормонов щитовидной железой вследствие различных заболеваний (диффузно-токсический, узловой зоб и другие);
- избыточный приём препаратов, содержащих гормоны щитовидной железы (нарушение назначенной схемы лечения гипертиреоза).
Факторы риска
Провоцирующим фактором синдрома является дополнительное количество йода, поступающее в организм при самостоятельном использовании йодных добавок.
Состояние тиреотоксикоза при диффузно-токсическом зобе является аутоиммунным заболеванием. Обычно оно развивается в результате избыточной выработки антител к рецептору тиреотропного гормона (ТТГ), производимого гипофизом.
Возникновение тиреотоксического состояния возможно при возникновении функциональной автономии уже существующего узла щитовидной железы — одно- и многоузлового зоба. Это заболевание развивается достаточно долго, в основном у людей, старше 45 лет. Так, в отсутствие воздействия ТТГ — основного физиологического стимулятора [7] [8] — узлы синтезируют количество тиреогормонов, превышающее потребность организма. [5] [6] [11]
Тиреотоксикоз при беременности
Во время беременности потребность организма женщины в тиреоидных гормонах возрастает на 30–50 %, поэтому изменение работы щитовидной железы происходит уже с первых недель беременности. Вследствие этого у 2 % беременных развивается гестационный гипертиреоз. Беременным рекомендуется вовремя обратиться к лечащему врачу, провести диагностику и подобрать необходимое индивидуальное лечение.
При обнаружении схожих симптомов проконсультируйтесь у врача. Не занимайтесь самолечением - это опасно для вашего здоровья!
Симптомы тиреотоксикоза (гипертиреоза)
При опросе пациентов с подозрением на повышенную функцию щитовидной железы выявляются:
- непредсказуемая возбудимость, эмоциональная неустойчивость, беспричинная плаксивость;
- беспокойство и нарушение концентрации внимания, возникающее при нахождении в обществе;
- ежедневное нарушение сна;
- суетливость при выполнении любой работы;
- слабость во время ходьбы;
- повышенная потливость диффузного характера, не зависящая от физического или эмоционального напряжения, ощущение «жара»;
- периодические сердцебиения;
- дрожь в теле и нарастающая потеря веса (наблюдаются редко).
Эмоциональные расстройства сочетаются с двигательно-волевыми: появляется необходимость в постоянном движении и хореоподобные подёргивания. Причём тремор конечностей и тела - типичный симптом тиреотоксикоза. [2] [3] [5] [11]
Читайте также:
