Пузырный занос
Добавил пользователь Евгений Кузнецов Обновлено: 02.11.2025
Пузырный занос — это вид трофобластической болезни, который характеризуется разрастанием ворсин хориона в стенке матки при отсутствии нормальной эмбриональной ткани или частичном присутствии элементов нежизнеспособного плода. Данная патология возникает в случае нарушения процесса физиологического оплодотворения зрелой яйцеклетки с нормальным набором хромосом одним зрелым гаплоидным сперматозоидом. Пузырный занос имеет вид поликистозного образования, кисты которого заполнены прозрачной жидкостью. Часто его сравнивают с «гроздьями винограда».
Все трофобластические болезни характеризуется быстрым ростом и стремительным прогрессированием патологии, инвазивностью и высоким риском малигнизации. Поэтому при верификации пузырного заноса следует немедленно начать лечение. В противном случае женщине грозит серьезная опасность: тяжелое маточное или внутреннее кровотечение, образование злокачественной опухоли, что в конечном этапе может привести к летальному исходу.
Содержание:
Причины возникновения пузырного заноса
Пузырный занос можно отнести к патологическим «продуктам зачатия», поскольку для его формирования требуются дефектная яйцеклетка и сперматозоид. В каких случаях слияние двух половых клеток способствует формированию данной патологии трофобласта:
- При попадании одного сперматозоида в безъядерную яйцеклетку.
- В случае проникновения двух гаплоидных или одного диплоидного сперматозоида в нормальную зрелую яйцеклетку.
- Потеря генетического материала матери в яйцеклетке из-за аномальной гестации, что приводит к удвоению генетического материала отца.
Что при этом происходит? Поскольку образовавшаяся зигота (результат слияния сперматозоида и яйцеклетки) не владеет генетической информацией матери, для восстановления диплоидного набора хромосом удваиваются те хромосомы, которые есть. В результате формируется эмбрион, который владеет двойным комплектом хромосом отца: 46 ХХ или 46 ХУ. Это состояние называется полным пузырным заносом. При частичном пузырном заносе яйцеклетку с одинарным набором непарных хромосом одновременно оплодотворяют 2 сперматозоида, что приводит к триплоидии – 69 ХХХ, 69 ХХУ, 69 ХУУ.
К сожалению, до этого времени не удалось установить конкретные и обоснованные причины данной патологии. Существует несколько гипотетических факторов, которые повышают риск возникновения пузырного заноса:
- бактериальная, вирусная или паразитарная инфекция половых органов;
- гормональный дисбаланс (в частности, дефицит эстрогена);
- внематочная беременность;
- ранняя или поздняя беременность;
- наличие пузырного заноса в анамнезе;
- большое количество родов у женщины;
- невынашивание беременности;
- дефицит витамина группы А в рационе;
- близкородственные половые связи.
Виды пузырного заноса
Пузырный занос различается по степени трансформации трофобласта:
- Полный пузырный занос характеризуется изменением ткани всего трофобласта, отсутствием нормальных эмбриональных и плацентарных тканей. Патология развивается в случае отсутствия у эмбриона генетического материала со стороны матери при удвоении отцовского гаплоидного хромосомного набора.
- Частичный пузырный занос может содержать нежизнеспособные элементы плацентарной и эмбриональной ткани на фоне частичного перестроения ворсин хориона. Он возникает в основном при диспермии нормальной или дефектной яйцеклетки, оплодотворении яйцеклетки сперматозоидом с диплоидным набором хромосом.
- Деструирующий (инвазивный) пузырный занос – редкая форма заболевания, когда ворсины хориона прорастают в соседние ткани (все слои стенки матки, влагалище, органы брюшной полости). При этом измененные ткани трофобласта становятся источником опасных для жизни маточных и внутренних кровотечений, субстратом для злокачественной трансформации клеток и формирования хорионкарциномы.
Симптомы пузырного заноса
В первые недели беременности пузырный занос ничем себя не выдает и скрывается под клинической картиной нормальной физиологической беременности: задержка менструации, тошнота, рвота, субъективные признаки. Но по мере прогрессирования данной патологии развиваются характерные симптомы, а именно:
- выделение из половых путей темной крови со сгустками и «пузырьками»;
- постоянная тошнота, многократная и утомляющая рвота;
- повышенное выделение слюны;
- боль внизу живота;
- признаки анемии: бледность кожных и слизистых оболочек, усталость, головокружение, появление «мушек» перед глазами;
- преэклампсия, эклампсия;
- повышенное артериальное давление;
- отеки;
- несоответствие размеров матки ожидаемому сроку беременности;
- отсутствие объективных признаков беременности: при пальпации матки не прощупываются мелкие структуры тела плода, отсутствуют движения плода и его сердцебиение, а при сонографии в полости матки визуализируется только поликистозное образование.
Когда ткань пузырного заноса прорастает в соседние органы, может возникать клиника «острого живота».
Диагностика пузырного заноса
Единственным общим признаком физиологической беременности и пузырного заноса является повышенный уровень хорионического гонадотропина (ХГЧ). Но при трофобластической болезни уровень данного гормона значительно превышает показатели, характерные для физиологической беременности.
На ранних этапах беременности пузырный занос может протекать бессимптомно, поэтому женщины не обращаются к акушеру. Но уже при первом скрининговом УЗИ можно выявить данную патологию.
Диагностика пузырного заноса предусматривает:
- Осмотр акушера-гинеколога. Быстрое увеличение размеров матки по отношению к сроку гестации может свидетельствовать о пузырном заносе.
- УЗИ – это «золотой стандарт» диагностики трофобластической болезни. На сонографии отсутствуют признаки эмбриона, вместо этого в матке визуализируется характерная картина «снежной бури» – поликистозное гомогенное образование.
- При кардиотокографии (КТГ) не регистрируется сердцебиение плода.
- В некоторых случаях проводится гистероскопия.
- Для диагностики инвазивного роста ткани пузырного заноса применяют диагностическую лапароскопию.
- После удаления пузырного заноса его ткань подлежит обязательному гистологическому исследованию.
- При подозрении на злокачественное перерождение тканей трофобласта женщине проводится анализ крови на специфические онкомаркеры.
Пузырный занос характеризуется высоким риском малигнизации клеток трофобласта и формированием хорионэпителиомы и хорионкарциномы. Данные опухоли могут метастазировать в другие органы: головной мозг, легкие, печень. Для исключения очагов вторичного распространения применяются дополнительные визуализационные методы обследования: УЗИ брюшной полости, рентгенография органов грудной клетки, КТ, МРТ.
Трофобластическая болезнь – это прямое показание к хирургическому вмешательству. В предоперационном периоде женщине следует пройти программу лабораторно-инструментального обследования:
- общий анализ крови и мочи;
- рентгенография органов грудной клетки;
- анализ крови на сифилис;
- биохимический анализ крови (креатинин, мочевина, печеночные пробы);
- коагулограма;
- ЭКГ, при потребности – ЭхоКГ.
После радикального лечения пузырного заноса женщине необходимо каждую неделю определять уровень свободного хорионического гонадотропина (b-ХГЧ) в венозной крови, раз в две недели делать сонографию органов малого таза и рентгенографию органов грудной клетки.
Методы лечения пузырного заноса
Пузырный занос — это патологическое новообразование, от которого нужно избавляться. В некоторых ситуациях это происходит самостоятельно (путем «рождения» пузырного заноса). Но в большинстве случаев используют искусственный метод удаления при помощи вакуум-аспирации или выскабливания полости матки. Для извлечения небольшого образования, а также с целью контроля после проведения вакуум-аспирации применяется кюретаж полости матки.
Для ликвидации деструирующего пузырного заноса применяются объемные хирургические вмешательства. Чаще всего проводится гистерэктомия – удаление матки без придатков. В случае инвазивного роста пузырного заноса и его прорастания в брюшную полость осуществляются лапароскопические операции. В послеоперационном периоде таким пациенткам часто назначают курс химиотерапии и лучевой терапии.
Последствия пузырного заноса
При отсутствии корректного лечения пузырный занос может вызвать развитие тяжелых осложнений и привести к:
- малигнизации пузырного заноса с образованием злокачественной опухоли: хорионэпителиомы или хорионкарциномы;
- маточным и внутренним кровотечениям;
- бесплодию;
- внутриматочным инфекциям;
- тромбозам;
- инфекционным осложнениям (септицемии);
- аменорее.
Часто после перенесенного пузырного заноса появляются проблемы с последующим наступлением беременности и родов. Для сохранения репродуктивного потенциала женщины следует исключить все возможные факторы риска, регулярно проходить гинекологические осмотры, тщательно планировать беременность, осуществить преконцептуальную профилактику генетических заболеваний и врожденных пороков развития у будущего ребенка.
Пузырный занос
Пузырный занос - своеобразное изменение ворсинчатой оболочки, в основе которого лежит перерождение ворсин хориона.
При пузырном заносе происходит резкий отек ворсин, они разрастаются и, превращаются в пузырьки, наполненные светлой жидкостью, которые напоминают гроздья винограда.

Пузырный занос бывает полным и частичным. При полном пузырном заносе перерождаются все ворсины хориона, при частичном пузырном заносе - только часть их. Может возникнуть деструктивный (разрушающий) пузырный занос, при котором пузырьки прорастают в стенку матки на разную глубину и разрушают ее ткани. Группой риска по развитию пузырного заноса являются женщины, перенесшие ранее пузырный занос, с воспалительными заболевания гениталий и с нарушениями гормональной функции яичников. Обычно наблюдается у женщин в возрасте 20-30 лет.
Симптомы и течение:
- При пузырном заносе отмечается задержка менструаций на 2-3 мес. и более, на фоне которой появляются кровянистые выделения, вызванные отторжением пузырьков заноса.
- Характерно несоответствие размеров матки сроку предполагаемой беременности.
- При увеличении размеров матки, соответствующих сроку беременности более 20 нед., наличие плода в матке установить не удается даже с помощью специальных диагностических методов.
- В отличие от нормально протекающей беременности симптомы раннего токсикоза выражены значительно сильнее.
- Важнейшим критерием диагностики пузырного заноса является титр хорионического гонадотропина, который по сравнению с нормально протекающей беременностью, увеличивается более чем в тысячу раз.
- При УЗИ органов малого таза определяется картина "снеговой бури" в матке.
- Нередко развиваются двусторонние кисты яичников.
Лечение пузырного заноса
После установления диагноза пузырного заноса производят удаление пузырного заноса из полости матки, для этого используют выскабливание полости матки кюреткой, вакуум-аспирацию. При появлении кровотечения, угрожающего жизни женщины, производят операцию удаления матки. Все удаленные ткани обязательно направляются на гистологическое исследование.
После получение результатов гистологического исследования, женщина направляется на консультацию к онкологу, для решения вопроса о необходимости химиотерапии. Необходимо тщательное наблюдение в женской консультации в течение 2 лет с систематическим исследованием реакции на наличие хорионического гонадотропина (каждые 3-4 мес.).
Если отрицательная реакция становится положительной, то показана срочная госпитализация для исключения хорионэпителиомы - злокачественной опухоли, нередко развивающейся после пузырного заноса (в начальных стадиях растёт медленно и поддаётся лечению). Эта опухоль быстро растет и дает массивное метастазирование (в первую очередь в легкие). Поэтому всем больным пузырным заносом производят рентген исследование органов грудной клетки для диагностики возможных осложнений.
Беременность противопоказана на протяжении 2 лет.
Оформите заявку на сайте, мы свяжемся с вами в ближайшее время и ответим на все интересующие вопросы.
Пузырный занос
Пузырный занос при беременности – крайне редкое заболевание, которое напрямую связано с патологией трофобласта – временного органа, отвечающего за развитие плаценты. Относят данную патологию к трофобластическим опухолям – эти образования доброкачественные и поддаются лечению, зародыш чаще всего погибает.
Внимание!
Здесь вы сможете выбрать врача, занимающегося лечением Пузырный занос Если вы не уверены в диагнозе, запишитесь на прием к терапевту или врачу общей практики для уточнения диагноза.
Статьи на тему Пузырный занос:
Причины
Симптомы
Диагностика
Лечение
Какой врач лечит Пузырный занос
Маммолог, гинеколог, имеет первую врачебную категорию, проходила практику в частных клиниках Туниса под руководством профессоров Хеди Хавири и Летаиеф Жемни. Занимается лечением эндокринных, воспалительных, инфекционных и предраковых состояний в гинекологии.
Консультация маммолога с узд -1050грн; Базовый осмотр гинеколога (консультация+осмотр+кольпоскопия+мазки) - 1450 грн.
УЗИ-специалист, акушер-гинеколог, проводит УЗ-скрининг беременных, исследование состояния щитовидной железы, молочных желез, почек, органов малого таза, кольпоскопию, лечение шейки матки (радиоволновое)
Квалифицированный акушер-гинеколог и гинеколог-эндокринолог Клиники Выходного Дня, специалист по вопросам женского здоровья и репродуктивной медицины. Доктор более 10 лет работает в сфере гинекологии и знает, как помочь при самых сложных ситуациях и заболеваниях женской репродуктивной системы. Екатерина Алексеевна консультирует по вопросам, связанным с наступлением менопаузы, предоставляет компетентную консультацию по планированию беременности и лечению гинекологических заболеваний
Причины
Причины пузырного заноса заключаются в неправильном наборе хромосом, дублировании отцовских и полном или частичном отсутствии материнских. Такая аномалия случается, если оплодотворение «неполноценной» яйцеклетки происходит двумя сперматозоидами. «Неполноценная» – это яйцеклетка с неправильным набором хромосом или безъядерная.
Первый случай дает развитие частичного пузырного заноса, второй случай – полного. У пациенток, страдающих пузырным заносом, сперматозоид и яйцеклетка соединяются в полости матки, но развитие плода не начинается. Взамен этого в матке начинают формироваться цисты, напоминающие пузыри с прозрачной жидкостью. Пузырный занос обычно развивается только в пределах матки и не распространяется по органам и тканям. Также возникновение заболевания возможно при инфицировании токсоплазмами, при нарушениях гормонального фона и вследствие мутации хромосом.
Существует несколько видов пузырного заноса:
- полный или же простой вид – патологические изменения на всем хорионе;
- частичный пузырный занос – патологические изменения частичны и носят местный характер;
- деструирующая форма – самая тяжелая патология, может перерождаться в злокачественное образование.
Симптомы
Признаки пузырного заноса по своей природе схожи с большим количеством аномалий беременности. При всех ниже перечисленных симптомах женщина должна в срочном порядке обратиться к акушеру-гинекологу. Пузырный занос проявляется следующими симптомами:
- увеличение матки, несоответствующее срокам беременности (разница в 3-4 недели);
- маточное кровотечение, которое проявляется с первых месяцев беременности. Кровь темного цвета, жидкая, с наличием пузырьков заноса;
- отсутствие факторов, подтверждающих беременность – сердечных тонов и признаков движения плода;
- тошнота, анемия, вследствие большой кровопотери, частый токсикоз;
- развитие на фоне патологии двусторонних кист яичников.
Диагностика
Первым в списке диагностики должно быть проведение вагинального исследования, при котором врач пальпаторно может почувствовать изменения в матке. В этом случае назначается ультразвуковое обследование, проводится исследование крови на определение уровня гормона бета-ХГ, при необходимости проводятся печеночные пробы.
Лечение
Пузырный занос требует безотлагательного лечения. Возможны два варианта лечения заноса – хирургический и химический метод. Хирургическим методом является выскабливание полости матки, удаление патологических отростков путем вакуум-аспирации. Для лучшего отторжения заноса назначают окситоцин. Последующие 8 недель после операции показано наблюдение у акушера-гинеколога, исследование уровня бета-ХГ в крови, а также контрольные УЗИ один раз в две недели. Химический метод является системным ввиду того, что все лекарственные препараты поступают в кровоток организма и разносятся по всем органам и тканям, уничтожая обнаруженные злокачественные клетки. Химиотерапия может быть проведена как в виде приема таблеток, так и внутривенными и внутримышечными инъекциями.
Осложнения
Перенесенный пузырный занос имеет ряд последствий – бесплодие, аменорея (отсутствие менструации), патологию у новорожденных (если беременность была сохранена), развитие злокачественной формы трофобластической болезни. Проведение профилактических мероприятий и адекватное лечение может позволить женщине сохранить репродуктивную функцию и иметь высокие шансы на нормальную последующую беременность. У 80% женщин, которые перенесли пузырный занос, происходит ремиссия, но она не требует дополнительного лечения.
Пузырный занос
Кафедра акушерства, гинекологии и перинатологии Первого Московского медицинского государственного университета им. И.М. Сеченова Минздрава России, Москва, Россия
Московский областной НИИ акушерства и гинекологии
Московский областной НИИ акушерства и гинекологии
Московский областной НИИ акушерства и гинекологии
Полный пузырный занос при беременности двойней
Журнал: Архив патологии. 2017;79(5): 43‑48
Кафедра акушерства, гинекологии и перинатологии Первого Московского медицинского государственного университета им. И.М. Сеченова Минздрава России, Москва, Россия
Описано наблюдение полного пузырного заноса (ППЗ) при беременности двойней. Сочетание ППЗ с нормальной плацентой и жизнеспособным плодом, по данным литературы, встречается с частотой 1 случай на 20 000—100 000 беременностей, требует дифференциальной диагностики с частичным пузырным заносом и мезенхимальной дисплазией плаценты, характеризуется высокой частотой осложнений. Частота персистирующей трофобластической болезни достигает при подобном сочетании 50%. В описываемом наблюдении беременность закончилась самопроизвольным выкидышем на сроке беременности 16—17 нед. При морфологическом исследовании определялись плод без врожденных пороков с плацентой нормальной массы и строения и прилежащая к нормальной плаценте ткань, имеющая макро- и микроскопические признаки ППЗ. Диагноз подтвержден отсутствием экспрессии р57 в трофобласте и строме ворсин в ткани пузырного заноса. Через 2 мес после выкидыша у пациентки была диагностирована персистирующая трофобластическая болезнь.
Кафедра акушерства, гинекологии и перинатологии Первого Московского медицинского государственного университета им. И.М. Сеченова Минздрава России, Москва, Россия
Московский областной НИИ акушерства и гинекологии
Московский областной НИИ акушерства и гинекологии
Московский областной НИИ акушерства и гинекологии
Пузырный занос, один из вариантов гестационной трофобластической болезни, в европейских странах и США встречается с частотой 0,5—1,8 случая на 1000 беременностей [1]. Полный пузырный занос (ППЗ) характеризуется генерализованным отеком бессосудистых ворсин, которые становятся пузырькововидными, гиперплазией ворсинчатого трофобласта, отсутствием эмбриона/плода. При частичном пузырном заносе (ЧПЗ) гидропической трансформации подвергается лишь часть ворсин, гиперплазия трофобласта выражена слабее, васкуляризация ворсин сохранена. Плод имеется, но часто отстает в развитии, рано погибает, возможны множественные пороки.
В большинстве случаев ППЗ имеет диплоидный набор хромосом, причем все они отцовского происхождения. Полагают, что хромосомный набор сперматозоида удваивается, а ядро яйцеклетки при этом инактивируется или погибает. Реже наблюдается диспермное оплодотворение. При ЧПЗ кариотип триплоидный, при этом дополнительный третий набор хромосом имеет отцовское происхождение. Если дополнительный набор хромосом материнского происхождения, то гидропическая трансформация ворсин не развивается. Таким образом, кистозная трансформация ворсин хориона с образованием пузырного заноса обусловлена преобладанием в кариотипе зародыша отцовских хромосом [2].
Дифференциальная диагностика пузырного заноса, неразвивающейся беременности и ряда других, не связанных с пузырным заносом поражений ворсин, может представлять значительные трудности в первую очередь при раннем пузырном заносе, когда характерные изменения еще недостаточно выражены. Алгоритм дифференциальной диагностики данных заболеваний представлен в современных руководствах [1, 3].
Иммуногистохимическое исследование с антителами к р57 позволяет идентифицировать ППЗ. Ингибитор циклинзависимой киназы р57 кодируется геном CDKN1C, расположенным на хромосоме 11р15.5, импринтирован на отцовской хромосоме и экспрессируется с материнской хромосомы. В нормальной ткани плаценты при ЧПЗ и не связанных с пузырным заносом поражениях ворсин экспрессия р57 наблюдается в трофобласте и строме ворсин и во вневорсинчатом трофобласте, тогда как при ППЗ, в котором все хромосомы имеют отцовское происхождение, экспрессия р57 в клетках ворсинчатого трофобласта и строме ворсин отсутствует. Следует отметить, что в промежуточном трофобласте экспрессия р57 имеется, что может служить внутренним положительным контролем. Для анализа генотипа используют проточную цитометрию, цитогенетическое и молекулярно-генетическое исследование [1, 2].
Пузырный занос может развиваться при многоплодной беременности, обусловленной оплодотворением двух (крайне редко большего числа) яйцеклеток. Чаще всего наблюдается сочетание ППЗ и нормальной плаценты с плодом, частота подобного сочетания составляет 1 случай на 20 000—100 000 беременностей [4]. L. Lin и соавт. [5] на основании данных 12 455 случаев гестационной трофобластической болезни в Северной и Южной Америке указывают, что многоплодная беременность с ППЗ в сочетании с жизнеспособным плодом встретилась в 0,5% всех случаев пузырного заноса.
При ультразвуковом исследовании (УЗИ) определяются жизнеспособный плод и плацента нормального строения, к которой прилежит везикулярная ткань; в большинстве случаев плацентарная ткань с признаками ППЗ располагается в нижнем маточном сегменте. Такая ультразвуковая картина требует дифференциальной диагностики с ЧПЗ и мезенхимальной дисплазией [6]. В редких случаях нормальная и пораженная ППЗ плаценты располагаются отдельно.
При многоплодной беременности с ППЗ чаще, чем при одноплодной, наблюдаются дородовые кровотечения, артериальная гипертензия, гипертиреоз, чрезмерная рвота — осложнения, обусловленные высоким уровнем хорионического гонадотропина человека (ХГЧ) [7]. Частота развития персистирующей трофобластической болезни (ПТБ), согласно данным литературы, составляет от 37 до 50% и существенно выше, чем при одноплодной беременности с ППЗ [7—9]. Вместе с тем N. Sebire и соавт. [4] указывают, что частота ПТБ при многоплодной беременности с ППЗ существенно не отличается от таковой при одноплодной беременности с ППЗ и составляет 16% у женщин, которым прервали беременность в I триместре, и 21% у женщин, пролонгировавших беременность. По мнению большинства исследователей, частота ПТБ не зависит от того, была беременность прервана или пролонгирована.
Приводим собственное наблюдение ППЗ при беременности двойней, диагноз которого был поставлен при патолого-анатомическом исследовании.
Пациентка 27 лет, беременность первая. Кровянистые выделения из половых путей впервые появились на сроке беременности 8—9 нед, была диагностирована ретрохориальная гематома, в связи с чем проходила лечение в условиях стационара. При повторной госпитализации по месту жительства на сроке 13—14 нед в связи с угрозой прерывания беременности при УЗИ высказано подозрение на ЧПЗ, сывороточный уровень ХГЧ превышал 1 000 000 МЕ/л.
На сроке беременности 14—15 нед консультирована онкологом, поставлен диагноз ЧПЗ. Рекомендованы пролонгирование беременности, УЗИ в динамике, контроль показателей ХГЧ и альфа-фетопротеина 1 раз в месяц, консультация генетика. Беременная вновь госпитализирована по месту жительства с угрозой прерывания, кровянистыми выделениями, анемией (гемоглобин 79 г/л). К сожалению, мы не располагает данными о динамике концентрации ХГЧ в крови пациентки в течение беременности.
Пациентка обратилась в Московский областной институт акушерства и гинекологии на сроке беременности 16—17 нед с жалобами на кровянистые выделения из половых путей, слабость, в анализе крови гемоглобин 60 г/л.
При поступлении акушерский срок 16—17 нед. Визуально матка увеличена до 24 нед. При УЗИ в полости матки определяется один живой плод, по фетометрии соответствующий 16—17 нед беременности. Плацента расположена по задней стенке матки и в дне, верхняя 1/3 плаценты обычной структуры, толщиной 17 мм, на остальной 2/3 площади плацента утолщена до 70 мм, определяется в виде опухолевидной ткани размером 180×90×100 мм (V 840 см 3 ), однородной ячеистой структуры с множеством анэхогенных включений в виде сот разного диаметра.
Кровоток в гидропически измененной части плаценты не усилен, без локусов повышенной васкуляризации. Измененная ткань плаценты определяется в проекции шейки матки, нижним полюсом достигает наружного зева (который открыт) и частично влагалища. Выделения сукровичные жидкие, обильные.
Клинический диагноз: беременность 16—17 нед. Частичный пузырный занос.
В связи с начавшимся поздним выкидышем произведено ручное удаление содержимого матки, вакуум-аспирация содержимого полости матки. Послеоперационный период протекал без осложнений. На 3-и сутки после операции уровень ХГЧ составил 45 401 МЕ/л, что соответствует 16 нед беременности. Пациентка выписана на 5-е сутки в удовлетворительном состоянии, рекомендован контроль ХГЧ 1 раз в неделю. Через 2 мес у пациентки был диагностирован рецидив трофобластической болезни.
Морфологическое исследование
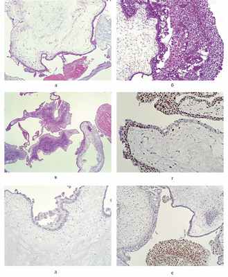
На исследование направлены плод и послед. Плод мужского пола массой 127 г (норма для срока беременности 16—17 нед 130—180 г), теменно-копчиковый размер 12 см (норма 10—11 см) правильного телосложения, пороков развития не выявлено. Послед в виде фрагментов общей массой 517 г (при норме 80—100 г). Один из фрагментов массой 85 г представлен тканью плаценты размером 11×5×1 см со сформированной хориальной пластинкой, по периферии с дефектами ткани, с центрально прикрепленной пуповиной диаметром 0,3 см, содержащей 3 сосуда (рис. 1, а). Базальная пластинка утолщена, светло-серая, паренхима отечная, бледная. Остальная часть плаценты представлена гроздевидными скоплениями пузырьков диаметром 0,2—0,6 см, диаметр отдельных пузырьков превышал 3 см (см. рис. 1, б), на разрезе определяются обширные тромбы с участками разной давности, наибольший из них диаметром 4 см (см. рис. 1, в).

Рис. 1. Макроскопический вид плаценты (описание в тексте).
При микроскопическом исследовании в фрагменте плацентарного диска с сохранными хориальной и базальной пластинками определяется ворсинчатое дерево, соответствующее гестационному сроку, представленное преимущественно недифференцированными промежуточными ворсинами с немногочисленными узкими сосудами и формирующимися дифференцированными промежуточными ворсинами (рис. 2, а). При ИГХ-исследовании с антителами к р57 позитивная ядерная реакция выявлена в цитотрофобласте, клетках стромы и вневорсинчатом трофобласте, что соответствует распределению данного маркера в нормальной плацентарной ткани (см. рис. 2, в, г). Позитивная ИГХ-реакция с Ki-67 определяется в немногочисленных клетках ворсинчатого цитотрофобласта, клетках стромы и в клеточных островках (см. рис. 2, б).

Рис. 2. Плацента нормального строения. а — промежуточные недифференцированные и формирующиеся дифференцированные ворсины с немногочисленными узкими сосудами; б — позитивная реакция с Ki-67 в немногочисленных клетках стромы и клетках цитотрофобласта ворсин; в, г — позитивная ядерная реакция с р57 в клетках стромы и ворсинчатом цитотрофобласте.
Часть последа с кистозной трансформацией микроскопически представлена крупными отечными ворсинами, в большинстве из которых определяются полости (цистерны), в некоторых ворсинах спавшиеся, и небольшим числом ворсин среднего диаметра с отечной стромой без образования полостей. Сосуды в ворсинах отсутствуют. Выражена пролиферация трофобласта местами с образованием криброзных и сосочковых структур, а также умеренным полиморфизмом клеток (рис. 3, а, б). Встречаются группы некротизированных ворсин, преимущественно располагающиеся вблизи тромбов (см. рис. 3, в). ИГХ-реакция с р57 в трофобласте и строме ворсин отрицательная, во вневорсинчатом трофобласте положительная (см. рис. 3, д, е). Реакция с Ki-67 позитивная в большинстве клеток цитотрофобласта ворсин и во вневорсинчатом трофобласте (см. рис. 3, г).

Рис. 3. Полный пузырный занос. а, б — крупные отечные ворсины с цистернами, некоторые ворсины спавшиеся, выражена пролиферация трофобласта; в — группы некротизированных ворсин; г — многочисленные Ki-67-позитивные клетки цитотрофобласта ворсин и вневорсинчатого трофобласта; д — отсутствие экспрессии р57 в трофобласте и строме ворсин; е — положительная экспрессия р57 во вневорсинчатом трофобласте при отсутствии экспрессии в ворсинах;. а—в — окраска гематоксилином и эозином; г—е — иммуногистохимическая реакция.
Результаты макро- и микроскопического исследований плаценты позволили с высокой долей вероятности предполагать наличие дихориальной двойни с развитием ППЗ в одной из плацент и гибелью зародыша и нормальным развитием второй плаценты с незначительной задержкой роста плода. Отсутствие экспрессии р57 в трофобласте и стромальных клетках ворсин в гидропически трансформированной части последа при нормальном распределении указанного маркера во втором последе подтвердило диагноз беременности двойней с ППЗ одной из плацент.
Описанное нами наблюдение является типичным примером течения и исхода многоплодной беременности с ППЗ. Антенатальная диагностика данного состояния сложна, сочетание ультразвуковых признаков пузырного заноса с нормальной плацентарной тканью и жизнеспособным плодом часто расценивается как ЧПЗ. Согласно литературным данным, ППЗ при беременности двойней чаще сопровождается осложнениями, чем ППЗ при одноплодной беременности, а частота ПТБ достигает 50%. В настоящее время не существует единой точки зрения на тактику ведения такой беременности. При принятии решения оо пролонгировании беременности следует учитывать высокий риск дородовых кровотечений и развития гестационной трофобластической неоплазии. Многоплодная беременность с ППЗ часто заканчивается выкидышами или преждевременными родами на ранних сроках, рождение доношенного ребенка наблюдается крайне редко.
Пузырный занос

Пузырный занос – это частный случай трофобластической болезни (специфические опухоли, ассоциированные с беременностью). Для этой патологии характерна частичная или полная гидропическая дегенерация хориальных ворсин, когда в их просвете скапливается патологическая жидкость. Хорион не может выполнять присущие ему функции, в результате чего плод на ранних стадиях, как правило, погибает. Гибели плода также может способствовать аномальный кариотип.
О заболевании
Пузырный занос представляет собой доброкачественную опухоль, при которой нарушается рост и развитие трофобласта. Из последнего в норме должен развиться хорион, который вскоре трансформируется в плацентарную ткань. При полном пузырном заносе этот процесс не происходит.
Заболевание встречается с частотой 1 случай на 800-3000 родов. Как правило, патология развивается у молодых (до 30-летнего возраста) или возрастных (старше 40 лет) пациенток. Затрагивает женщин, имеющих неопределенное количество сексуальных партнеров. Особую группу риска составляют пары с разницей в возрасте более 10 лет и лица подросткового возраста.
На данный момент актуальна генетическая теория патогенеза. Во-первых, развитие пузырного заноса происходит в результате нарушения развития плодного яйца вследствие хромосомных аббераций. Во-вторых, происхождение связано с преобладанием отцовских хромосом в кариотипе зародыша. Причиной этого может быть оплодотворение одной яйцеклетки несколькими сперматозоидами, либо одним сперматозоидом с диплоидным (удвоенным) набором хромосом. Наблюдаются аномалии развития и уродства плода.
Основными проявлениями пузырного заноса являются кровотечения из матки (вместе с кровью часто выделяются белесые пузырьки) и высокий уровень хорионического гонадотропина (ХГЧ). При проведении бимануального обследования выявляются большие размеры матки, которые не соответствуют сроку гестации. Для подтверждения диагноза требуется проведение ультразвукового сканирования и определение концентрации в крови ХГЧ. Лечение заболевания заключается в вакуум-аспирации патологического образования и последующем динамическом наблюдении за пациенткой.
После пузырного заноса при беременности на ранних сроках всегда существует риск злокачественной трофобластической опухоли. Однако чаще всего наступает полное излечение (в 80% случаев). Для своевременной диагностики злокачественной трансформации хориальной ткани в динамике оценивается концентрация ХГЧ. Обычно она нормализуется через 2 месяца после вакуум-экстракции патологического образования. Если через 8 недель определяется повышенный уровень ХГЧ, то высока вероятность хорионкарциномы – требуется дополнительное обследование.
Специфической профилактики пузырного заноса не существует, но можно снизить риск возникновения данной патологии. Для этого рекомендуется предгравидарная подготовка обоих супругов накануне зачатия.
Классификация пузырного заноса
Пузырный занос может быть двух видов:
- Полный. Все ворсины хориона подверглись гидропической дегенерации и сдавливают кровеносные сосуды, из-за чего кровоток отсутствует. Трофобласт патологически пролиферирует. При этом эмбрион/плод не обнаруживается. Подобная ситуация чаще всего связана с аномалиями оплодотворения. При кариотипировании обнаруживаются патологические хромосомные наборы, которые свидетельствуют о том, что либо оплодотворилась пустая яйцеклетка без хромосом (одним или двумя сперматозоидами), либо сперматозоиды имели аномальный хромосомный набор.
- Частичный. Эта ситуация, как правило, наблюдается при триплоидном хромосомном наборе, когда в одну яйцеклетку одновременно проникают 2 спермия. В результате только часть ворсин хориона подвергается гидропической дегенерации, поэтому плод может развиваться, однако чаще всего случается его гибель (хориальные/плацентарные ворсины являются функционально неполноценными).
В зависимости от гистологических характеристик пузырный занос классифицируется на 3 типа:
- Простой – имеется только отек стромы и кистозная дегенерация ворсин.
- Пролиферирующий – содержит большое количество ядер, эпителий утолщен (несмотря на высокий пролиферативный потенциал, онкологические риски не повышаются).
- Деструирующий – гидропически измененные ворсины преодолевают барьер из базальной пластины и проникают в толщу мышечной оболочки матки. Представляет опасность перфорации маточной стенки.
Симптомы пузырного заноса
Основными симптомами пузырного заноса могут быть:
- кровянистые выделения из половых путей, которые отмечаются практически у всех женщин с данной патологией – этот симптом возникает на ранних сроках либо во втором триместре и обусловлен отслойкой плаценты от децидуальной оболочки;
- увеличение размеров матки, которое опережает предполагаемый срок беременности;
- повышение уровня артериального давления – примерно у 30% женщин с данной патологией;
- неукротимая рвота беременных в первом триместре;
- учащение пульса и дрожание кончиков пальцев, которое обусловлено вторичным тиреотоксикозом (ХГЧ имеет сходство с тиреотропным гормоном, поэтому может повышать функциональную активность щитовидной железы);
- тека-лютеиновые кисты яичников, которые могут достигать больших размеров – их развитие обусловлено постоянной стимуляцией гонадной ткани высокими концентрациями хорионического гонадотропина.
Во время эвакуации пузырного заноса повышается риск эмболии легочной артерии, когда частички хориальных ворсин могут попасть в капилляры и далее в легочные сосуды. Это сопровождается выключением части легкого из газообмена, в результате чего появляется дыхательная недостаточность, проявляющаяся в первую очередь одышкой. Риск этого осложнения составляет 2%.
Причины пузырного заноса
Причина пузырного заноса кроется в патологическом оплодотворении. Факторами риска этого заболевания могут являться:
- раннее наступление первой беременности;
- иммунные нарушения;
- дефицит в пище каротина и аскорбиновой кислоты;
- недостаток белков;
- воспалительные заболевания органов малого таза;
- генетическая предрасположенность;
- молодой возраст беременной (для простого пузырного заноса) и возраст старше 40 лет (для пролиферирующего варианта);
- наличие пузырного заноса в анамнезе;
- низкий социально-экономический статус пары;
- сопутствующие соматические заболевания пары.
Получить консультацию
Если у Вас наблюдаются подобные симптомы, советуем записаться на прием к врачу. Своевременная консультация предупредит негативные последствия для вашего здоровья.
Узнать подробности о заболевании, цены на лечение и записаться на консультацию к специалисту Вы можете по телефону:
Читайте также:
