Пяточная шпора: причины, симптомы и лечение
Добавил пользователь Евгений Кузнецов Обновлено: 23.11.2025
Пяточная шпора – одна из самых распространенных патологий костно-мышечной системы. На ее долю приходится около 10% от всех ортопедических заболеваний. Пяточная шпора, или плантарный фасциит, - это воспалительно-дистрофическое поражение подошвенной фасции, возникающее на фоне отложения солей кальция в области пяточного бугра.
Причины возникновения пяточной шпоры
Причиной образования пяточной шпоры является воспаление подошвенной фасции вследствие повышенной нагрузки на нее или из-за ее недостаточности. Развитию воспалительно-дегенеративного процесса в тканях апоневроза способствуют:
- плоскостопие с продольной деформацией стопы;
- малоподвижный образ жизни;
- избыточный вес тела;
- длительные статические нагрузки на стопы (стояние, хождение на высоких каблуках, использование неудобной обуви);
- резкие нагрузки на стопу после продолжительного периода отдыха;
- микротравмы в ходе интенсивных спортивных тренировок.
Симптомы пяточной шпоры
Главным проявлением патологии является боль. На первых этапах заболевания она возникает во время ходьбы. По мере развития и усугубления тяжести патологии болевые ощущения становятся сильнее и острее. Особенно характерна для плантарного фасциита «стартовая» боль, возникающая в момент начала движения после длительного перерыва или сна.
Во время осмотра стопы выраженных клинических признаков обычно не наблюдается, в некоторых случаях отмечается незначительная отечность в области пятки. Пальпацией выявляется боль в боковых участках пяточной кости и в середине пятки со стороны подошвы.
Интенсивность боли и выраженность симптомов патологии могут различаться и не зависят от величины костного образования. Так, даже мелкий нарост в области пяточного бугра может вызывать острую жгучую боль и стать причиной полной нетрудоспособности пациента, в то время, как образование крупного остеофита у другого больного может проявляться лишь незначительным дискомфортом во время ходьбы.
На сегодняшний день известно множество способов лечения пяточной шпоры – как клинических, так и народных. В этой статье мы подробно рассмотрим и те, и другие. Первая часть статьи посвящена способам домашнего лечения пяточной шпоры – мы не будем судить об их эффективности, а сделаем лишь краткий обзор методики их применения.
Однако напомним, что любые попытки самостоятельного лечения без консультации компетентного врача чреваты развитием еще более серьезных осложнений и могут привести лишь к ухудшению самочувствия больного. Необходимо понимать, что применение домашних методов лечения вместо полноценной врачебной терапии лишь замедлит выздоровление больного и приведет к прогрессированию заболевания.
Ортопедические стельки при пяточной шпоре
Одними из самых эффективных средств, используемых для лечения и предупреждения образования пяточной шпоры, являются ортопедические стельки. Их применение необходимо с целью разгрузки стопы и улучшения амортизации костно-мышечного аппарата при ходьбе. Наиболее эффективно устраняют боль и разгружают стопы во время движения индивидуальные ортопедические стельки, изготовленные специалистом-ортопедом под заказ. При этом учитывается анатомическая форма стопы пациента, что позволяет точно подобрать и откорректировать форму стелек. Ношение ортопедических стелек обеспечивает максимальный комфорт для пациента, как во время ходьбы, так и в статическом положении.
В медицинском центре «АЛЬФА ТЕХНОЛОГИИ» осуществляется изготовление и подбор индивидуальных ортопедических стелек Formthotics. Для этого врач-ортопед с помощью специального прибора – плантоскопа – исследует состояние тканей стоп, выявляя возможные деформации их продольного и поперечного сводов.

После тщательной плантоскопической диагностики врач изготавливает индивидуальные стельки, максимально точно повторяющие анатомические линии стоп пациента и создающие идеальные условия для функционирования их костно-мышечного аппарата. Стельки нагревают феном с целью придания материалу пластичности, пациент становится на них и врач фиксирует точный отпечаток стоп в статическом положении и во время ходьбы.
Постоянное ношение индивидуальных стелек Formthotics прекращает прогрессирование плантарного фасциита, стимулирует восстановление тканей стопы и способствует их заживлению, ускоряя выздоровление больного.
Подпяточники
Одной из разновидностей ортопедических стелек являются подпяточники. Это ортопедические изделия, представляющие собой амортизирующие вкладыши под пятку. Их изготавливают из различных натуральных или синтетических материалов (кожа, пробковое дерево, гель, силикон) с целью уменьшения ударной нагрузки на стопу и снижения боли в области пятки во время движения.
Пластырь для лечения пяточной шпоры

Среди средств домашнего лечения пяточной шпоры довольно распространены специальные аптечные пластыри. В частности, перцовый пластырь используют при сильной боли для аппликаций на область пятки в течение нескольких дней.
Какое действие оказывает лейкопластырь в данном случае? Активные компоненты, которыми он пропитан (перец, экстракт белладонны), оказывают местнораздражающий эффект, усиливая кровообращение и лимфоотток в тканях пяточной области. При этом снижаются местный отек и воспаление, а также уменьшается интенсивность боли.
Не менее популярен китайский пластырь для лечения пяточной шпоры. Его терапевтический эффект заключается в стимуляции рефлексогенных зон области пятки наряду с противовоспалительным воздействием на ткани.
Мазь для лечения пяточной шпоры
Для лечения пяточной шпоры в домашних условиях нередко используются различные мази и кремы противовоспалительного действия. Среди них наиболее часто применяют индометациновую и гидрокортизоновую мази.
При обработке пяточной области индометациновая мазь оказывает на ткани болеутоляющий эффект и устраняет местное воспаление. Гидрокортизоновая мазь, обладающая гормональным действием, снижает местную отечность и интенсивность воспалительного процесса. Для домашнего лечения пяточной шпоры также используют обезболивающие мази противовоспалительного действия ибупрофен, диклофенак и вольтарен.
Тем не менее, следует помнить, что все перечисленные лекарственные средства не устраняют причины появления пяточной шпоры, а лишь сглаживают симптомы заболевания. Кроме того, их длительное и бесконтрольное применение при отсутствии правильного этиотропного лечения может приводить к развитию побочных эффектов и усугублению тяжести болезни.
Упражнения при пяточной шпоре
Одним из широко используемых методов домашнего лечения пяточной шпоры является гимнастика для стоп. Главная цель упражнений состоит в растяжении плантарной фасции и укреплении мышц продольного свода стопы, что способствует повышению эластичности тканей и их укреплению.
Наиболее эффективными являются упражнения на перекатывание с помощью стопы теннисного мячика, собирание с пола мелких предметов с помощью пальцев ног и т.д. Упражнения следует делать после обязательной предварительной разминки и разогрева мышц.
Благоприятный эффект на подвижность суставов, состояние мышц и связок ног оказывают вращения стоп. Эти упражнения выполняют в положении сидя на стуле: вытянув ноги вперед, вращают стопы внутрь и наружу по 15 секунд, следя за тем, чтобы большие пальцы были направлены кверху.
Благодаря лечебной гимнастике улучшается кровоснабжение подошвенного апоневроза и мышц стопы, активизируются местные обменные процессы, улучшается питание тканей, что способствует ускорению их заживления и снижает риск возникновения микротравм.
Массаж при пяточной шпоре
Для лечения пяточной шпоры в домашних условиях широко применяется массаж. Цель массажа при плантарном фасциите состоит в снятии мышечного спазма, усилении микроциркуляции в пораженной области, активизации местного метаболизма, уменьшении боли и улучшении тканевой трофики. Техника массажа сочетает в себе поглаживание, растирание, разминание тканей в области пятки и всей подошвы, щипки и надавливания.
Терапевтический эффект от массажа в данном случае можно получить лишь при его сочетании с другими лечебными методами (физиотерапия, медикаментозное лечение и т.д.).
Лечение пяточной шпоры народными средствами
Существует немало способов лечения пяточной шпоры с помощью средств народной медицины.
Желчью
Медицинская желчь, которую можно приобрести в аптеке, давно используется для лечебных компрессов при пяточной шпоре. При нанесении на ткани в области патологического очага, препарат оказывает согревающее, болеутоляющее действие и ускоряет разрешение воспалительного процесса.
Димексидом
Димексид – довольно популярное средство для домашнего лечения пяточной шпоры. Раствором препарата смачивают бинт и прикладывают в виде компрессов на пораженную область. Воздействуя местно на ткани, димексид снижает боль и интенсивность воспаления, стимулирует тканевой обмен, ускоряет рассасывание инфильтратов и регенерацию тканей.
Йодом
Раствор йода также используют для местного лечения плантарного фасциита. Аппликации раствора йода оказывают на ткани местное согревающее и антисептическое действие, ускоряют местный кровоток, улучшают питание тканей, постепенно устраняя воспаление.
Уксусом
Для избавления от пяточной шпоры в народной медицине используется смесь уксуса, сливочного масла и куриного яйца. Тщательно перемешанную смесь прикладывают в виде компрессов на пяточную область с целью активизации местного кровообращения и обмена веществ, уменьшения боли и ускорения рассасывания костного нароста.
Солью

Солевые компрессы и ванночки также считаются одними из самых эффективных средств домашнего лечения пяточной шпоры. Солевые аппликации оказывают на ткани болеутоляющий, противовоспалительный и рассасывающий эффект.
Медом
Компрессы из меда и соли, прикладываемые на ночь, постепенно избавляют от боли в пятке, улучшают метаболизм и питание тканей, ускоряют рассасывание болезненных инфильтратов и снимают острое воспаление.
Клинические методы лечения
Какими бы эффективными ни казались средства народной медицины, ограничиваться лишь их применением абсолютно неразумно и недопустимо. Полноценное врачебное обследование и назначение адекватной терапии совершенно необходимы, ведь плантарный фасциит – заболевание серьезное.
К какому же врачу нужно обратиться?
При появлении симптомов пяточной шпоры следует обратиться к врачу-ортопеду или хирургу. После осмотра и проведения необходимых диагностических исследований врач назначает схему лечения, подбирает подходящие ортезы, а также при необходимости дает направление на прием к специалистам другого профиля (физиотерапевт, массажист, инструктор ЛФК и др.).
Какие клинические методы лечения пяточной шпоры используют чаще всего?
Рентгенотерапия
Лучевая терапия применяется при неэффективности консервативного лечения и упорном болевом синдроме. Локальное воздействие рентгеновских лучей на ткани в области костного выроста производит пролонгированный обезболивающий эффект. Лечение производится в несколько сеансов, длительность одной процедуры – около 10 минут. Противопоказания к рентгенотерапии - беременность и кормление грудью.
Блокады
Лекарственные блокады проводят в тех случаях, когда консервативная терапия плантарного фасциита не приносит желаемого результата. Инъекции лекарственных препаратов в область патологического очага оказывают анальгетический эффект и устраняют воспалительные явления в тканях.
Уколы
При интенсивных болях в области пятки хороший эффект оказывают уколы с гормональными препаратами стероидного происхождения (гидрокортизон, дипроспан, кеналог). Инъекции этих препаратов в область остеофита быстро купируют боль и снимают воспаление.
Медикаментами
Консервативное лечение пяточной шпоры осуществляется в комплексе с медикаментозной терапией. В группу используемых при этом медикаментозных средств входят:
- препараты анальгетического действия;
- нестероидные противовоспалительные средства (ибупрофен, диклофенак);
- гормональные препараты стероидного происхождения (гидрокортизон);
- местные противовоспалительные средства (димексид и др.).
Лечение пяточной шпоры в клинике «АЛЬФА ТЕХНОЛОГИИ»
В медицинском центре «АЛЬФА ТЕХНОЛОГИИ» лечение пяточной шпоры выполняется консервативными методами, включая физиотерапию, фармаколечение, массаж и лекарственные блокады. Наиболее выраженный терапевтический эффект при этом заболевании оказывает ударно-волновая терапия – уникальная лечебная методика, основанная на воздействии на ткани низкочастотных акустических ударных волн.

Проникая в область поражения на четко заданную глубину, волновые вибрации вызывают в тканях целый комплекс положительных изменений:
- Улучшается кровообращение и лимфоциркуляция.
- Местный метаболизм становится более интенсивным.
- Структурные элементы костного образования становятся рыхлыми и растворяются.
- Спазмированные мышцы расслабляются.
- Устраняется местная воспалительная реакция.
- Постепенно уменьшается боль, а к концу терапевтического курса исчезает окончательно.
- Активизируются процессы репарации и восстановления тканей.
Полноценное лечение пяточной шпоры ударно-волновым методом предусматривает прохождение курса из 5-8 процедур. Эффективность такого лечения очень высока: по окончании курса полное исчезновение болезненных симптомов и выздоровление наступает у 97% пациентов.
Лечение плантарного фасциита ударно-волновым методом имеет целый ряд преимуществ перед остальными методами:
- Абсолютная безопасность и безвредность (практически не имеет противопоказаний);
- Боль и признаки местного воспаления исчезают уже после первой процедуры;
- Лечение не требует использования медикаментозных препаратов и обезболивания;
- Воздействие акустических волн способствует улучшению всасывания лекарственных средств в пораженные ткани и повышает эффективность фармакотерапии.
Ударно-волновая терапия – передовая методика, гарантирующая быстрое излечение при пяточной шпоре. Приходите к нам - мы поможем Вам вернуть здоровье Ваших ног. Откройте для себя мир легкости движения - центр «АЛЬФА ТЕХНОЛОГИИ» позаботится о Вас!
Пяточная шпора
Пяточная шпора – это костный нарост в области подошвенной поверхности пяточной кости. Его появление связано с постоянным раздражением места прикрепления к пяточной кости подошвенного апоневроза. Это раздражение обычно возникает при усиленных физических нагрузках на стопу.
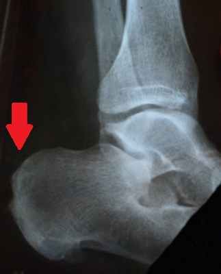
Основная причина образования костного нароста в области пяточной кости – это постоянное раздражение места прикрепления к кости сухожилий или связок, в частности, подошвенного апоневроза. В результате постоянного раздражения в этой зоне возникает воспаление. Именно оно и является причиной боли. Постепенно место прикрепления воспаленной связки или апоневроза подвергается «обызвествлению» – то есть как бы «пропитыванию» солями кальция. В этом периоде при рентгенографии стопы можно увидеть тень костного нароста – остеофит.

Основные факторы риска развития пяточной шпоры:
- Возраст старше 40 лет.
- Сопутствующие заболевания суставов стопы, такие как остеоартрит или ревматоидный артрит.
- Нарушение микроциркуляции крови в стопе.
- Другие дегенеративные заболевания.
Симптомы пяточной шпоры
Симптомы пяточной шпоры появляются не сразу после образования костного нароста. Ввиду близости сухожилий пяточная шпора может быть причиной постоянной боли в стопе. Боль при пяточной шпоре пор описанию напоминает зубную боль.
Следует отметить, что боль при пяточной шпоре возникает не из-за давления веса тела на саму шпору, а по причине воспаления мягких тканей вокруг шпоры. Давление этих воспаленных тканей, например, при наступании на пятку, и приводит к резким болям. Обычно, боль чаще всего возникает в самом начале ходьбы. Это объясняется следующим. В покое нервы и капилляры в области воспаленной ткани как бы адаптируются к отдыху стопы. Однако при резком начале движений сосуды и нервы не успевают адаптироваться к новым условиям. Вследствие этого и возникает боль.
Диагностика
Проводится путем обычного осмотра и ощупывания подошвы и пятки. При этом находится наиболее болезненная точка. Сама шпора обычно не прощупывается, однако из-за хронического воспаления мягких тканей может развиться их уплотнение, которое можно ощупать.

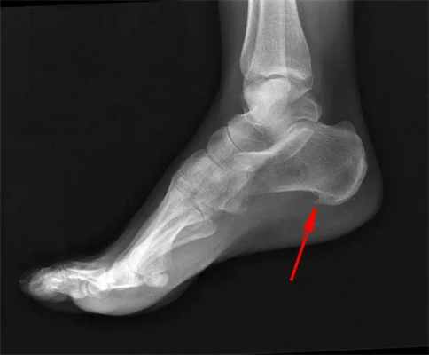
Уточнить диагноз позволяет рентгенография стопы. При этом на рентгенограмме виден костный нарост.

Лечение пяточной шпоры
Лечение шпоры на пятке часто проводится консервативно и направлено на три основных момента:
- Устранение воспаления мягких тканей вокруг шпоры;
- Профилактика воспаления;
- Устранение самой пяточной шпоры.
В клинику ортопедии и спортивной травмы Запорожской областной больницы пациенты обращаются с разными проблемами, но с единой целью – снова свободно двигаться без боли и радоваться жизни. Наталью Борисовну из Токмакского района этого счастья лишила пяточная шпора.
Женщина рассказывает, что от пяточных шпор мучилась не один год. Пробовала победить воспаление с помощью физиотерапии, всевозможных лекарств и народных средств, но они не решали проблему, а только притупляли боль в суставе. Собственный дом в селе, хозяйство, работа – жить в прежнем ритме становилось все труднее. Однажды Наталье Борисовне подсказали обратиться в клинику ортопедии и спортивной травмы – одну из лучших в Украине.
После консультации диагноз «пяточная шпора» подтвердился – на рентгеновском снимке костный нарост был четко виден. На приеме специалисты клиники объяснили женщине: методы, на которые она возлагала надежды, эффективны только в самом начале заболевания. А так как Наталье Борисовне пяточная шпора не один год мешает нормально жить, операция была единственным верным решением. Более того, медлить с вмешательством было ни в коем случае нельзя.
«Удалить шпору пациентке нужно было как можно скорее. У нее был огромный риск отрыва ахиллова сухожилии в месте прикрепления к пяточной кости. Если бы мы не провели лечение, наросты становились бы все больше. Поэтому, чтобы не допустить сложной рискованной операции по восстановлению ахиллова сухожилия, мы приняли решение не терять времени и удалить шпору, – комментирует Иван Забелин, заведующий клиникой ортопедии и спортивной травмы.


Ренген-снимок до операции Рентген стопы после операции
Во время вмешательства ортопеды клиники с помощью малотравматичных методик удалили образовавшийся нарост, поэтому теперь ничего не помешает Наталье Борисовне нормально двигаться. Сейчас пациентка чувствует себя намного лучше и уже планирует лечение пяточной шпоры на второй ноге. Пока она передвигается на костылях (так положено после операции), но через две недели женщина в полной мере ощутит эффект от лечения.
Может быть на обуви шпоры и выглядят эффектно, но для наших ног это сомнительное «украшение». Наталья Борисовна вспоминает, сколько ей пришлось пройти из-за пяточной шпоры: десятки сеансов болезненных процедур, капельницы, напрасные курсы лечения, которые приносили лишь кратковременное облегчение. Желаемый результат – возможность жить как все, работать и не страдать от боли, ей принесла операция в нашей клинике.
Пяточная шпора
Пяточная шпора – это заболевание, при котором на подошвенной стороне пяточной кости появляется выступ – экзостоз. В результате опора на стопу становится болезненной. Заболевание встречается у каждого пятого человека старше 50 лет и значительно ухудшает качество жизни.

Общая информация
Шпора развивается на фоне хронического воспаления плантарной (подошвенной) фасции. Это тонкий, но очень прочный лоскут соединительной ткани, который связывает между собой пальцы стопы и пяточную кость. Она отвечает за формирование свода стопы и в процессе ходьбы испытывает значительные нагрузки.
Эти нагрузки нередко становятся причиной микроповреждений ткани, которые заживают самостоятельно в период ночного отдыха. Если этот процесс происходит недостаточно быстро, утром травматизация повторяется. Когда человек встает с кровати, он ощущает боль различной интенсивности. Регулярное повреждение фасции неизбежно приводит к развитию воспалительного процесса, который постепенно нарастает.
Воспаление начинает захватывать расположенные рядом ткани, в частности, кость и сухожилия. На поверхности костной ткани начинается отложение солей кальция и рост отростка (остеофита), который и носит название пяточной шпоры. Он еще больше повреждает фасцию, и патологический круг замыкается. Без помощи врача ходьба становится невыносимо болезненной.
Шпора может образоваться только на одной пятке, а может поразить обе стопы. Все зависит от индивидуальной предрасположенности человека.
В зависимости от расположения патологического отростка, выделяют два основных типа заболевания:
- подошвенная (внутренняя) пяточная шпора: наиболее распространенный вариант, при котором остеофит располагается в нижней части пяточной кости;
- ахиллова (задняя, верхняя) пяточная шпора: отросток формируется в месте прикрепления ахиллова сухожилия; эта разновидность патологии встречается крайне редко.
Причины
Пяточная шпора, равно как и вызывающий ее развитие плантарный фасциит – это мультифакторное заболевание. Его возникновение обусловлено комплексным воздействием нескольких причин:
- пожилой возраст (риск появления заболевания повышается после 45-50 лет из-за изменения обмена веществ и снижения кровоснабжения нижних конечностей);
- ожирение (избыточная масса тела является причиной чрезмерной нагрузки на фасцию);
- плоскостопие, неправильная похода (нагрузка на стопу распределяется неравномерно, что приводит к повышенной травматизации отдельных ее участков);
- ношение неправильной с точки зрения ортопедии обуви (чрезмерно тесной, на высоких каблуках и т.п.);
- искривление позвоночника (сколиоз) и некоторые другие заболевания опорно-двигательного аппарата;
- беременность (смещение центра тяжести, изменения в гормональном фоне и обмене веществ);
- особенности профессии, из-за которых человек длительное время находится на ногах (продавцы, официанты, промоутеры, многие рабочие специальности) или вынужден часто носить тяжести;
- профессиональные занятия спортом;
- наследственная предрасположенность;
- нарушения обмена веществ, связанные с повышенным отложением солей в тканях (в частности, подагра);
- сосудистые заболевания, в частности, атеросклероз сосудов нижних конечностей, облитерирующий эндартериит (повышают риск развития шпоры из-за нарушения кровоснабжения тканей и ухудшения процессов регенерации);
- травмы позвоночника, нижних конечностей;
- сахарный диабет;
- заболевания костей и суставов ног (артрозы, ревматоидный и псориатический артрит и т.п.), а также использование гормональных средств для их лечения.
Симптомы
Симптомы пяточной шпоры зависят не от причины заболевания, а от локализации и размера костного нароста, а также степени запущенности процесса.
Первыми признаками неблагополучия является боль. На начальной стадии развития болезни она ощущается на уровне легкого дискомфорта и только в утренние часы. Многие люди отмечают ощущение гвоздя в пятке во время ходьбы, которое вскоре исчезает.
По мере развития заболевания боль начинает появляться после длительной нагрузки на ноги и постепенно усиливается. Интенсивность ощущений зависит не столько от величины отростка, сколько от его расположения. Чем ближе к нервным окончаниям находится остеофит, тем сильнее болит нога. Спровоцировать острый приступ может резкая опора на пятку (при вставании со стула или кровати) или подъем по лестнице. В редких случаях заболевание протекает практически бессимптомно, но воспаление все равно присутствует, а костный шип выявляется при обследовании.
Если к процессу присоединяется острое воспаление подошвенной фасции, пациенты отмечают:
- постоянное покалывание и ощущение жара в области пятки;
- покраснение кожи в пораженной области;
- огрубение кожи стоп;
- усиление болей при ходьбе.
Со временем болевой синдром становится привычным, и у человека изменяется походка. Он начинает ставить ногу так, чтобы не затрагивать пораженную область и опирается, в основном, на носок и боковую поверхность стопы. Нередко это становится причиной развития поперечного плоскостопия, что еще больше усугубляет течение болезни.
В тяжелых случаях способность к самостоятельной ходьбе полностью утрачивается из-за невыносимых болей при опоре на ногу.
Диагностика
Диагностикой и лечением пяточной шпоры занимается врач ортопед. Основным способом выявить патологию и оценить степень ее развития является рентгенография. На снимке хорошо виден костный нарост, его форма, расположение и величина.
Дополнительные методики обследования включают:
- общий и биохимический анализ крови для выявления воспалительного процесса, оценки уровня мочевой кислоты (важно для диагностики подагры) и некоторых других показателей;
- анализ мочи;
- УЗИ стопы для оценки состояния мягких тканей, выявления возможного абсцесса;
- дуплексное исследование сосудов нижних конечностей (выявляет возможные нарушения кровообращения);
- МРТ стопы, для определения состояния всех анатомических структур стопы, включая нервные волокна.
При наличии сопутствующих заболеваний назначаются соответствующие лабораторные и инструментальные исследования, консультации узких специалистов.
Важно помнить, что боль в области пятки необязательно говорит о развитии пяточной шпоры. Подобную симптоматику могут вызывать:
- подагра;
- ревматоидный артрит;
- остеомиелит (воспаление костной ткани);
- болезнь Бехтерева;
- туберкулез костей;
- травмы и т.п.
Не стоит заниматься самолечением и бесконтрольно принимать обезболивающие препараты. Выбрать подходящую схему может только врач.

Лечение пяточной шпоры
Лечение пяточной шпоры во многом зависит от ее причин и симптомов и назначается в индивидуальном порядке. Врачи используют несколько методик:
- медикаментозное лечение;
- физиотерапия - ударно-волновое воздействие; лазерное лечение;
- рентгенотерапия;
- массаж;
- лечебная физкультура и гимнастика;
От пациента в обязательном порядке требуется коррекция образа жизни и питания, а также ношения ортопедической обуви.
Медикаментозное лечение
Лекарственные препараты, используемые при лечении пяточной шпоры, направлены на снятие воспаления и болевого синдрома. Наиболее востребованы:
- нестероидные противовоспалительные средства (НПВС): средства на основе индометацина, диклофенака, ибупрофена в виде таблеток, инъекций и местных средств (кремов, мазей, обезболивающих пластырей);
- кортикостероидные препараты продленного действия (дипроспан и его аналоги), вводятся непосредственно в фасцию для остановки воспалительного процесса;
- антибиотики при наличии гнойного воспаления или при инфекционной природе заболевания.

Экспертное мнение врача
Директор, главный врач, врач-ортопед-травматолог
При наличии сопутствующих заболеваний, назначаются средства для их лечения, например, препараты для нормализации кровотока, противоподагрические средства и т.п. Подбором конкретных лекарств, их дозировки и режима приема занимается только врач.
Физиотерапия
Физиотерапия направлена на улучшение кровоснабжения и регенерации тканей, а также на усиление действия лекарственных средств. Для этого используется:
- электрофорез: введение препаратов в толщу тканей с помощью электрического тока;
- сонофорез: обработка тканей ультразвуковыми волнами, улучшающими проникновение лекарственных средств;
- ультразвуковая терапия: прогрев тканей и снижение воспалительных реакций с помощью ультразвуковых волн;
- грязевые и минеральные ванны.
Ударно-волновая терапия
Ударно-волновая терапия – это один из наиболее эффективных методов лечения пяточной шпоры на ранних стадиях развития. Методика основана на воздействии ультразвуковых волн определенной частоты, которая способствует:
- разрушению отложений кальция;
- уменьшению воспаления и отечности;
- активации регенерации тканей.
При небольшом размере пяточной шпоры методика позволяет избавиться от нее полностью, а в запущенных случаях тормозит или останавливает ее рост.
Лазерное воздействие
Прогревание глубоких слоев тканей лазером способствует улучшению кровотока в них. В результате повышается качество снабжения клеток кислородом и питательными веществами, активируются обменные процессы и восстановление пораженных тканей.
Рентгенотерапия
Эта методика лечения пяточной шпоры подходит только для людей моложе 40 лет и используется крайне редко, если другие способы не приносят эффекта. На область поражения воздействуют рентгеновскими лучами в определенной дозировке. В результате достигается стойкое купирование болевого синдрома и улучшение состояния.
Хирургическое лечение
Все предыдущие методики направлены на снятие боли и воспаления, а также улучшение состояния пациента. Правильно подобранный комплекс методик помогает затормозить процесс роста шпоры или даже полностью остановить его, но он не позволяет избавиться от него полностью. Исключение составляет ударно-волновая терапия, но она разрушает лишь совсем маленькие наросты.
Избавиться от крупной пяточной шпоры можно только хирургическим путем. При выборе классического варианта операции хирург разрезает фасцию полностью и сразу удаляет костный выступ. При полном пересечении тканей у пациента значительно меняется анатомия стопы и походка, что становится поводом для назначения группы инвалидности.
Более современной и щадящей методикой является радиочастотная микротенотомия. Суть операции заключается в устранении поврежденных тканей с помощью радиочастотных волн.
В интернете и популярной литературе можно найти большое количество домашних методик лечения пяточной шпоры с помощью трав и самодельных компрессов. Использовать их без предварительного согласования с врачом категорически запрещено. В лучшем случае состояние пациента останется без изменений, в худшем – возникнут осложнения, например, ожоги.
Гимнастика при пяточной шпоре
Упражнения лечебной физкультуры – это один из важных факторов лечения пяточной шпоры. Оно способствует улучшению кровообращения в пораженной области, а значит – стимулирует восстановление тканей при условии регулярных занятий. Минимальный комплекс включает следующие упражнения:
- приседания: пациент сгибает одну ногу и ставит ее вперед, другую отводит назад, ступни находятся на одной линии, ладони опираются на стену; из этого положения выполняются приседания без отрыва пятки от пола;
- катание предмета: в положении сидя пациент катает ногой небольшой мячик или бутылку с водой в течение 5 минут;
- «ступенька»: ноги ставятся на порог, ступеньку или стопку книг так, чтобы пятки висели в воздухе, производятся наклоны вперед с опорой на стул для растяжения мышц голеностопного сустава; в положении максимального наклона нужно замереть на 5-20 секунд, а потом вернуться в исходное положение;
- сбор предметов: с помощью пальцев ноги необходимо поднимать с пола мелкие предметы: горошины, бусины, фасоль и т.п.; в идеале упражнение выполняется стоя, но допускается и сидячее положение;
- растяжка: пациент садится на стул, кладет ступню одной ноги на колено другой и руками тянет пальцы на себя, одновременно выворачивая стопу наружу; упражнение хорошо растягивает пяточную фасцию;
- заминка: финальное упражнение выполняется с помощью скакалки, резинового эспандера, полотенца, пациент вытягивает ноги вперед в положении сидя, проводит ленту под стопами и тянет их на себя.
Идеальное время для занятий – утренние часы, когда стопы еще не перегружены.
Массаж
Массаж – еще одно средство улучшить кровообращение в стопах при пяточной шпоре. Простейший комплекс вполне можно выполнять самостоятельно. Предварительно стопы разогреваются интенсивным растиранием, после чего начинается активное воздействие:
- мелкие щипки с постепенным перемещением от кончиков пальцев к пятке;
- растирание пятки: выполняется подушечками пальцев с усилием в разных направлениях;
- круговое растирание: сначала захватывается внешний радиус пятки, затем круги концентрируются на области шипа;
- разминание: большими пальцами рук интенсивно разминается область шпоры;
- легкое поколачивание ребром ладони.
Цикл воздействия повторяется 2-3 раза и завершается растиранием и поглаживанием. В конце при необходимости используется обезболивающая мазь.
Важно помнить, что массаж не должен быть чрезмерно болезненным, а вот легкая боль – это признак правильного выполнения упражнений. Для дополнительной стимуляции пораженной области можно использовать массажную рукавичку.
Помимо классического мануального массажа допускается использование специальных рельефных ковриков и электрических массажеров.
Диета
Питание при пяточной шпоре преследует несколько целей:
- снизить массу тела и не допустить ее повышения;
- минимизировать воспалительные процессы;
- вывести из организма избыток солей.
Врачи рекомендуют придерживаться следующих правил:
- контролировать суточный калораж пищи, не допускать переедания;
- при отсутствии противопоказаний ежедневно выпивать не менее 2-3 литров чистой воды (чай, кофе, соки и другие напитки не считаются);
- сбалансировать меню по белкам, жирам и углеводам, обеспечить достаточное количество витаминов;
- регулярно делать разгрузочные дни;
- минимизировать употребление пряных, острых, копченых, соленых блюд, соусов, консервов, а также продуктов, содержащих искусственные ароматизаторы;
- исключить из рациона крепкие бульоны, грибы, субпродукты, кофе, алкоголь;
- снизить количество соли;
Профилактика
Развитие пяточной шпоры можно предупредить и значительно замедлить коррекцией образа жизни. Чтобы избежать проблем, связанных с воспалением подошвенной фасции, необходимо:
- носить удобную обувь на небольшом, удобном каблуке (рекомендуемая высота 2-4 см);
- использовать ортопедические стельки с супинатором;
- поддерживать массу тела на нормальном уровне, не допускать ожирения;
- обеспечить полноценное, сбалансированное питание, употреблять достаточное количество чистой воды;
- заниматься любительским спортом, приносящим удовольствие;
- минимизировать перегрузку ступней (длительная ходьба или пребывание в стоячем положении);
- периодически делать массаж стоп (упражнения аналогичны лечебному воздействию);
- своевременно и полноценно лечить нарушения осанки, плоскостопие.
При первых признаках боли в области пятки необходимо обратиться к врачу для обследования. Многие физиотерапевтические методики эффективны именно на ранней стадии и позволяют полностью избавиться от шпоры еще до того, как она сделает жизнь невыносимой.
Последствия и осложнения
При развитии пяточной шпоры пациенту приходится опираться на носки или боковую поверхность стопы. Это может привести к осложнениям:
- отеки и боль в голеностопном суставе;
- артрит и артроз сустава большого пальца ноги;
- развитие или усугубление плоскостопия;
- выраженные нарушения осанки.
Без лечения пяточная шпора вырастает настолько, что полностью лишает пациента возможности опереться на ногу. Качество жизни значительно ухудшается.
Лечение в клинике «Энергия здоровья»
Если Вас беспокоят боли или дискомфорт в пятке, приходите на прием в клинику «Энергия здоровья». Опытный врач ортопед выслушает и осмотрит Вас, а также назначит необходимые обследования. После постановки диагноза мы предложим современные методики лечения патологии:
- блокады для быстрого устранения боли;
- все виды физиотерапии;
- профессиональный лечебный массаж;
- обучение упражнениям лечебной физкультуры и занятия под присмотром тренера.
Дополнительно мы назначим медикаментозное лечение в соответствии с современными стандартами, а также проконтролируем эффект от терапии.
Преимущества клиники
«Энергия здоровья» - это современный многопрофильный медицинский центр, предлагающий своим пациентам комплексные услуги по лечению и профилактике заболеваний. Вот преимущества обращения к нам:
- обзорные и расширенные программы раннего выявления заболеваний;
- современное диагностическое оборудование;
- квалифицированный медперсонал, регулярно повышающий свою квалификацию;
- комплексный подход к диагностике и лечению.
Мы делаем все, чтобы обеспечить каждому пациенту максимальный комфорт с первых минут пребывания в клинике. Адекватные цены делают качественную медицину доступной.
Пяточная шпора – это всего лишь небольшой костный отросток, который, тем не менее, может полностью изменить жизнь человека. Не затягивайте с обращением к врачу, запишитесь к ортопеду «Энергии здоровья».
Пяточная шпора

Пяточная шпора — по-другому подошвенный фасциит — это заболевание, связанное с воспалением сухожилий, связок и мышц, которые находятся в районе пятки. Из-за воспалительного процесса на кости пятки начинают образовываться наросты. По мере увеличения эти наросты впиваются в мягкие ткани, вызывают боль и серьезный дискомфорт при ходьбе либо стоянии на месте с опорой на пятку.
Интересно, что далеко не все люди испытывают подобные симптомы даже в том случае, если у них появилась пяточная шпора. Очень часто ее обнаруживают внезапно — делая рентген по каким-то другим причинам.
Группы риска
Чаще всего этой проблемой страдают женщины (вероятно, из-за ношения обуви на каблуках). Их процент от всех пациентов — 80%. Основной возраст болеющих — больше сорока лет, но с такой проблемой можно столкнуться и в более молодом возрасте.
Симптомы
Основной симптом пяточной шпоры — это сильная боль, которая снижает качество жизни человека. Причем необязательно, что одновременно с болью человек будет наблюдать припухлости или покраснение на пятке (хотя и они могут присутствовать). Если краснота есть, то руками можно ощутить, что этот участок кожи более теплый, чем остальные, что связано с развитием воспаления.
Чаще всего боль, которую испытывают пациенты, можно сравнить с ощущением гвоздя в пятке. Сильнее всего она ощущается, когда человек первые несколько раз наступает на ногу после длительного отдыха или сна. Потом нога немного привыкает, боль становится чуть меньше, а к вечеру из-за замученного состояния снова начинает болеть сильнее.

Развиваются симптомы пяточной шпоры по-разному. У кого-то они появляются неожиданно — просто однажды утром человек встает с постели и испытывает жуткую боль. У других пациентов ситуация иная: проявления возникают периодически, могут быть периоды затишья. В таком случае признаки пяточной шпоры свидетельствуют о том, что процесс стал хроническим.
Как правило, стараясь избегать боли и неприятных ощущений, человек начинает беречь пятку и не наступать на нее лишний раз. Из-за этого сильно меняется походка, ходить становится неудобно. Обычно пяточная шпора появляется на одной ноге, но в редких случаях может развиться одновременно на двух.
Причины
К причинам появления пяточной шпоры относят следующее:

- Травмы. В основном такие наросты начинают формироваться после прыжков с большой высоты, когда при приземлении пятка и окружающие ткани повреждаются, а потому начинается воспаление.
- Плоскостопие. Эта причина связана с тем, что нагрузка на стопу распределяется неправильно. В результате пятка испытывает больше нагрузки, чем при правильном положении.
- Разные болезни суставов (например, ревматоидный артрит), а также растяжения.
- Перегрузка области стопы, связанная с внешним воздействием. Очень частая ситуация — неправильный выбор обуви. Причем проблема не только в каблуках — например, узкие балетки и обувь с очень тонкой подошвой тоже нежелательны для пятки. Перегрузка стоп нередко связана и с работой, если человек целый день стоит или ходит.
- Подагра. При таком заболевании происходит излишнее отложение солей, что влияет на все суставы и кости.
- Болезни, связанные с нарушением кровообращения, — например, сахарный диабет.
- ИППП. Хламидиоз, гонорея и другие инфекции влияют на состояние суставов, а потому через время может развиться и пяточная шпора.
- Естественные изменения организма, которые связаны с возрастом. Опять же, во время старения организма ткани становятся менее здоровыми, хуже выполняют естественные задачи, так что появление наростов на костях случается довольно часто.
Не всегда причины проблемы можно установить точно — часто они выявляются при других обследованиях или не имеют значения прямо сейчас для лечения заболевания.
Диагностика
Чтобы поставить диагноз, необходимо обратиться к ортопеду, хирургу-ортопеду или же терапевту, если нет возможности сразу попасть к специалистам перечисленных специальностей.
Врач проводит опрос больного, осмотр и прощупывание пятки, а также назначает рентген. Обычно этого достаточно, чтобы безошибочно определить проблему и начать с ней работать.
Лечение
Сейчас применяются разные виды лечения пяточной шпоры:

- Медикаментозное. Оно направлено на снятие воспаления и на то, чтобы устранить болевые ощущения во время ходьбы.
- MBST-терапия. Применяется для снятия отечности, обезболивания, улучшения работы сосудов.
- Лазерная терапия. Используется для стимулирования тканей, снижения отечности, устранения воспаления и также купирования болевых ощущений.
- Фонофорез. Метод объединяет возможности гормональной противовоспалительной мази и ультразвука. Под действием последнего активное вещество мази эффективнее проникает внутрь пятки и очень качественно снимает воспаление.
- Рентгенотерапия. В процессе этого метода блокируются нервные окончания возле пяточной шпоры — за счет этого боль при ходьбе уменьшается или исчезает.
- Ударно-волновая терапия. Она позволяет сделать так, чтобы нарост рассосался. Это безоперационное воздействие, которое по своей эффективности часто аналогично операции. Правда, потребуется курс процедур, чтобы добиться результатов.
Далеко не всегда все перечисленные методы срабатывают, а потому остается еще один вариант: лечение пяточной шпоры с помощью хирургического вмешательства. Как правило, такой вариант требуется 5% пациентов.
Важным моментом лечения является также изменение образа жизни и дополнительные рекомендации врачей, например:
- Носить специальные ортопедические стельки, снижающие нагрузку на пятку.
- Периодически делать контрастные ванночки для ног и массаж стоп (строго по рекомендации лечащего врача).
- Лечебные упражнения при пяточной шпоре (специальная гимнастика). Они нужны для поддержания сосудов и мышц в хорошем состоянии. Из обычного спорта людям с таким недугом доступны катание на велосипеде, плаванье. Также полезна гимнастика для стоп без нагрузки на пятку.
- Диета для восстановления обмена веществ. Как правило, нужно сконцентрироваться на правильном питании, исключить лишнюю соль и добавить в рацион достаточное количество чистой воды.
О симптомах и лечении пяточной шпоры много написано и в разных источниках, которые пропагандируют народное, домашнее лечение. Как правило, предложенные способы бесполезны и просто тратят время пациента. В более серьезных случаях, если речь идет о компрессах с агрессивными растворами, можно даже получить ожог.
Не экспериментируйте с лечением — записывайтесь в клинику АО «Медицина» в Москве — наши терапевты и ортопеды готовы предложить вам реальное лечение после тщательного обследования. Такую болезнь, как пяточная шпора, всегда можно победить при должном внимании и комплексном подходе.
Профилактика
К профилактическим мерам в данном случае относят следующее:

- Своевременное лечение всех ортопедических заболеваний: болезней позвоночного столба, плоскостопия и т. д.
- Повышенное внимание к состоянию суставов, предотвращение их заболеваний.
- Выбор правильной обуви — без высокого каблука, с устойчивой колодкой, но не слишком плоской.
- Дополнение обуви специальными стельками, которые подбираются при участии ортопеда.
- Умеренная физическая нагрузка для гармоничного развития мышц, связок и суставов.
- Исключение перегрузок стопы и травм разного характера (избегание опасных ситуаций).
- Регулярная гимнастика стоп.
- Контроль веса. Избыточные килограммы оказывают серьезную нагрузку на область пятки, что может способствовать развитию шпоры.
- Правильное питание с достаточным количеством полезных веществ.
Придерживаться этих рекомендаций стоит уже в молодом возрасте, чтобы исключить риски развития болезни в дальнейшем или отодвинуть первые признаки пяточной шпоры намного дальше по времени.
Вопросы-ответы
Как определить пяточную шпору?
Внешне у нее может и не быть никаких проявлений — обычно нарост дает о себе знать острой болью. Иногда его видно только на рентгене, а человек никакого дискомфорта не испытывает.
Как избавиться от пяточной шпоры?
Все индивидуально. Кому-то помогают самые простые методы вроде мазей и массажа, а другим людям необходимо прибегать к курсу ударно-волновой терапии или даже хирургическому вмешательству.
К какому врачу обращаться при пяточной шпоре?
Такое заболевание лечат ортопед, хирург-ортопед, хирург, терапевт — все зависит от особенностей клиники и наличия в ней тех или иных специалистов. По возможности сразу стоит обращаться к ортопеду или хирургу-ортопеду.
Пяточная шпора
Интересная статья о пяточной шпоре и подошвенном фасците: симптомы, причины и диагностика. Рассмотрены современные методы лечения как консервативные, так и оперативные.
- Пяточная шпора. Вопрос-ответ.
Тематика: Вопрос-ответПяточная шпора
Тематика: Энциклопедия заболеваний

Пяточная шпора представляет собой депозит кальция на нижней части пяточной кости. На рентгеновском снимке, пяточная шпора может выступать вперед на 0.5-1 см. Хотя пяточные шпоры часто безболезненны, тем не менее, они могут быть причиной достаточно сильных болей. Пяточные шпоры часто ассоциированы с подошвенным фасцитом. Подошвенный фасцит является наиболее частой причиной болей в нижней части пятки. Приблизительно 2 миллиона пациентов в США лечатся по поводу подошвенного фасцита каждый год. Подошвенный фасцит возникает, когда сильная полоска ткани, которая поддерживает свод стопы (плантарная фасция), раздражается и воспаляется. Пяточные шпоры на задней части пятки нередко также ассоциированы с воспалением ахиллова сухожилия (тендинитом) и могут быть причиной болезненности и болей в задней части пятки, усиливающейся при разгибании стопы.
Пяточные шпоры и подошвенный фасцит могут возникать сами по себе или же быть обусловлены наличием таких заболеваний, как артриты (в том числе и реактивный артрит Рейтера) болезнь Бехтерева, диффузный идиопатический гиперостоз. Важно отметить, что пяточная шпора может не вызывать никаких симптомов вообще, и может быть случайно обнаружена во время рентгенологического обследования.
Причина
Пяточная шпора возникает, когда формируются отложения кальция на нижней части пяточной кости и это процесс, который обычно происходит в течение многих месяцев. Пяточные шпоры часто обусловлены растяжением мышц и связок, вытяжением подошвенной фасции, и повторных разрывов мембраны, которая покрывает пяточную кость. Пяточные шпоры особенно часто встречаются у спортсменов, у которых занятия спортом связаны с больших количеством прыжков и бегом.
Факторы риска развития пяточной шпоры включают в себя:
- Нарушенная походка, при которой происходит избыточная нагрузка на пяточную кость, связки и нервы в области пятки.
- Бег по твердым поверхностям
- Плохо подобранная или изношенная обувь
- Избыточный вес, ожирение
В большинстве случаев, подошвенный фасцит развивается без определенной причины.
Но существуют определенные факторы риска, увеличивающие возможность развития подошвенного фасцита, и включают в себя:
- Пожилой возраст. Инволюционные изменения в тканях приводит к снижению эластичности подошвенной фасции и уменьшению жировой ткани в области пятки
- Диабет
- Деятельность, связанная с длительным нахождением на ногах
- Эпизоды активной физической деятельности
- Наличие плоскостопия или наоборот высокий свод стопы.
- Уплотнение икроножной мышцы и ограниченное сгибание стопы.
Функция плантарной фасции это поглощение нагрузок, которые приходятся на стопу. Но в определенный момент фасция не выдерживает нагрузок, и возникают надрывы и воспаление фасции.
Симптомы
Хотя у многих пациентов с подошвенным фасцитом есть пяточная шпора, шпоры не всегда приводят к болям. Почти у 10% процентов взрослого населения имеются шпоры, но только у 5% отмечается боль в стопе. И поэтому, лечение болей в пятке, чаще всего, не требует удаления шпоры.
Наиболее распространенные симптомы подошвенного фасцита:
- Боль в нижней части стопы около пятки
- Боль с первых шагов после вставания из постели по утрам, или после длительного периода покоя, например, после долгой поездки на автомобиле. Боль уменьшается через несколько минут ходьбы
- Увеличение болей после (а не во время) выполнения упражнений или физической деятельности.
Пяточные шпоры часто не вызывают никаких симптомов. Но пяточные шпоры могут приводить к эпизодическим болям или хронической боли - особенно во время прогулки, бега трусцой в том случае если развивается воспаление в месте формирования шпоры. В общем, причина боли не сама пяточная шпора, а травмирование мягких тканей этой шпорой.
Многие пациенты описывают боль при пяточной шпоре и подошвенном фасците, как булавку, торчащую в нижней части стопы, когда они встают утром и эта боль позже трансформируется в тупую боль. Также характерна жалоба на то, что острая боль также появляется сразу при вставании, после сидения в течение длительного периода времени
Диагностика

После изучения истории болезни, жалоб пациента, врач проводит осмотр ноги: наличие высокого свода, площадь болезненности в области пятки, наличие ограничений подвижности в стопе. Для верификации диагноза могут потребоваться инструментальные методы исследования. Рентгенография позволяет получить четкое изображение костных тканей. Это метод исследования дает возможность исключить другие причины болей в пятке,такие как перелом или артроз. Пяточная шпора хорошо визуализируется при рентгенографии.
МРТ очень информативный метод исследования, который позволяет хорошо визуализировать не только костные ткани стопы, но и мягкие ткани (связки, хрящевую ткань), что важно при диагностике повреждений плантарной фасции, ахиллова сухожилия или повреждений хрящевой ткани при артритах.
УЗИ исследование также широко применятся для диагностики пяточной шпоры и плантарного фасцита и, хотя по качеству изображения уступает МРТ, но учитывая полную безопасность, может применяться достаточно часто, например, для контроля эффективности лечения.
Лечение

Лечение пяточной шпоры может быть консервативным и оперативным. У 90 % пациентов с подошвенный фасцитом (пяточной шпорой) консервативное лечение дает эффект в течение 10 месяцев.

К консервативным методам лечения относятся:
Медикаментозное лечение включает применение препаратов группы НПВС (ибупрофен, вольтарен, напроксен), которые могут применяться как внутрь в виде таблеток, так и местно, в виде мазей, гелей с содержанием НПВС. В некоторых случаях возможно применение инъекций кортикостероидов, что позволяет быстро снять воспалительный процесс. Кортикостероид может быть введен в подошвенную фасцию, что позволяет уменьшить воспаление и боль. Но повторные инъекции стероида могут привести к разрыву фасции, и поэтому применение стероидов должно иметь четкие показания.
Экстракорпоральная ударно-волновая терапия (ЭУВТ). Во время этой процедуры мощные импульсы звуковой волны позволяют раздробить депозиты кальция в пяточной шпоре и стимулируют процесс регенерации в подошвенной фасции.
Процедура УВТ в некоторых случаях помогает избежать оперативного лечения.
Физиотерапия (лазеротерапия, электрофорез, криотерапия) позволяют значительно снизить воспалительный процесс в подошвенной фасции и уменьшить боль.
Ортопедические изделия. Существуют различные изделия, позволяющие уменьшить нагрузку на стопу, особенно эффективно действуют подпяточники, изготовленные из силикона, которые значительно уменьшают нагрузку на пяточную кость и плантарную фасцию.
ЛФК. Упражнения, направленные на укрепление мышц стопы, достаточно эффективны при лечении пяточной шпоры и подошвенного фасцита в комплексе с другими методами лечения.
Хирургические методы лечения применяются только в случае отсутствия эффекта от консервативного лечения в течение 12 месяцев.
Использование материалов допускается при указании активной гиперссылки на постоянную страницу статьи.
Читайте также:
