Радионуклидное сканирование
Добавил пользователь Евгений Кузнецов Обновлено: 27.01.2026
Проводится для диагностики заболеваний костной системы, как первичных, так и вторичных. Исследование проводится в один день через 2-4 часа после инъекции радиофармпрепарата.
Подготовка к исследованию. Специальной подготовки не требуется.
Однофотонная эмиссионная компьютерная томография (ОФЭКТ) зон интереса
После проведения планарных исследований при необходимости более точного определения размера, формы и локализации патологического очага возможно проведение однофотонной эмиссионной компьютерной томографии интересующей части тела. Обычно томография проводится сразу после планарного исследования.
ОФЭКТ/КТ зон интереса
Комбинация данных, полученных при ОФЭКТ с точными анатомическими данными, полученными при РКТ, обеспечивает новый уровень диагностической информации. Применение гибридной технологии позволяет достоверно определять наличие или отсутствие патологического процесса.
Точное совмещение анатомических и функциональных изображений повышает надежность определения локализации очагов поражения. Обычно ОФЭКТ/КТ проводится сразу после планарного исследования.
Сцинтиграфия и ОФЭКТ щитовидной железы
Выполняется для определения анатомо-топографических характеристик щитовидной железы, а также выявления "холодных", "теплых" и "горячих" очагов в ткани органа и выявления функциональной автономии «горячего» узла. В зависимости от цели исследования, оно может проводиться в несколько фаз в один день: через 10-15 минут после внутривенной инъекции радиофармпрепарата и через 2-3 часа. При проведении супрессивной пробы повторное исследование проводится после 7-дневного приема гормонов железы.
Подготовка к исследованию. Необходимо отменить прием препаратов, содержащих йод за 3-4 недели до исследования, а гормональные и антитиреоидные препараты – за 1-2 недели.
Сцинтиграфия и ОФЭКТ паращитовидных желез
Выполняется для определения «горячих» очагов в ткани органа при подозрении на аденому или рак. Исследование проводится в две фазы в один день: через 10-15 минут после внутривенной инъекции радиофармпрепарата и через 2-3.
Подготовка к исследованию. Специальной подготовки не требуется.
Динамическая сцинтиграфия гепатобилиарной системы
Позволяет определить функциональное состояние печени и желчевыводящих путей. Исследование проводится в один день сразу после инъекции радиофармпрепарата.
Подготовка к исследованию. Голодание перед исследованием не менее 4 часов.
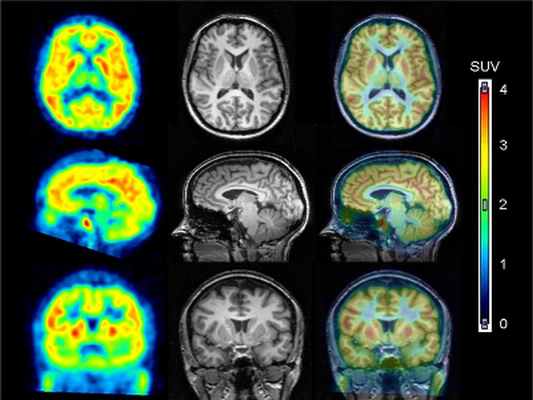
ОФЭКТ/МРТ головного мозга (гибридизация с ранее проведенным МРТ)

Применяется для дифференциальной диагностики злокачественных новообразований головного мозга с доброкачественными, инфекционными или посттерапевтическими процессами. Исследование проводится в один день через 10-15 минут после внутривенной инъекции радиофармпрепарата.
Подготовка к исследованию. Специальной подготовки не требуется.
ОФЭКТ/КТ зоны интереса для определения «сигнального» лимфоузла при злокачественных новообразованиях различных локализаций
Позволяет выявить «сигнальный» лимфоузел пораженного органа до хирургического лечения. Что позволяет исследовать этот лимфоузел во время операции и определить объем оперативного вмешательства. Исследование проводится в один день в несколько фаз: через 10 минут после подкожных инъекций радиофармпрепарата и через 1-2 часа. При необходимости выполняется дополнительное исследование.
Подготовка к исследованию. Специальной подготовки не требуется.
ОФЭКТ/КТ зоны интереса для определения первичной опухоли и пораженных лимфоузлов при злокачественном поражении различных локализаций
Применяется для выявления первичной опухоли и метастазов в лимфоузлах, а также прогнозировать чувствительность опухоли к химиотерапии. Это позволяет уточнить стадию заболевания и определить дальнейшую тактику лечения. Исследование проводится в две фазы в один день: через 10-15 минут после внутривенной инъекции радиофармпрепарата и через 2 часа.
Радионуклеидное сканирование печени и селезенки
Радионуклидное сканирование печени и селезенки проводится для выявления различных заболеваний этих органов. В ходе исследования внутривенно вводятся радиоактивные вещества (радиоактивные индикаторы), которые продвигаются с кровью к печени и селезенке. Области, где радионуклиды накапливаются в большом количестве, проявляются на снимке ярким цветом, а те, где их меньше или совсем нет – темным. По тому, как изотопы располагаются в печени можно определить наличие кист, абсцессов, некоторых опухолей или проблем в работе печени. Сканирование печени и селезенки осуществляется одновременно.
Для чего необходимо радионуклидное сканирование печени и селезенки
- Выявляет заболевания печени или селезенки. При наличии заболевания печени определяет ее функциональные возможности.
- Выявляет рак печени.
- Выявляет наличие метастазов в печени или селезенке.
- Показывает состояние печени или селезенки после брюшной травмы.
Как подготовиться к радионуклидному сканированию
Перед процедурой необходимо сообщить врачу:
- о наличии или подозрении на беременность.
- о грудном вскармливании. Изотопы выводятся из организма в течение 24 часов; однако молоко необходимо сцеживать и выливать в течение двух дней после процедуры.
- о прохождении других радиологических тестов с использованием бария (ирригоскопия) или о приеме висмута (Пепто-Бисмол) в течение 4 дней перед процедурой. Барий и висмут мешают четкости изображения.
Перед процедурой необходимо опорожнить мочевой пузырь.
Следует обсудить с врачом предстоящую процедуру, связанные с ней риски, сам процесс и полученные результаты.
Как осуществляется радионуклидное сканирование печени и селезенки
Обычно исследование проводит техник-радиолог. Сканограмму расшифровывает врач-специалист по радиационному контролю и радиационной медицине.
Необходимо снять все украшения и раздеться полностью или до белья. На время процедуры пациенту может быть предложен одноразовый халат.
Техник вводит внутривенно небольшое количество радиоактивного вещества, предварительно продезинфицировав место введения иглы.
Во время процедуры пациент лежит на спине на специальном столе, прямо над ним размещается большая сканирующая камера, которая может медленно передвигаться как вдоль, так и вокруг тела пациента, отслеживая продвижение изотопов внутри организма и передавая картинку на монитор. При этом камера не является источником радиоактивного излучения.
Пациента могут попросить поменять позу для более равномерного распределения радионуклидов или задержать дыхание во время некоторых снимков. Двигаться во время исследования запрещается. Вся процедура занимает примерно час.
Что испытывает пациент во время радионуклидного сканирования
Пациент может испытать легкий укол в месте введения иглы, небольшой дискомфорт от неподвижности.
Насколько опасно радионуклидное исследование
Крайне редко встречается аллергическая реакция на введение изотопов. Большая часть радиоактивных веществ уже через день выводится из организма через почки или желудочно-кишечный тракт. Количество радионуклидов поступающих в организм в результате процедуры настолько мало, что непосредственный контакт с пациентом не представляет опасности для окружающих. Тем не менее, необходимо тщательно мыть унитаз и руки с мылом, чтобы исключить контакт с изотопами других членов семьи.
Существует малый шанс того, что даже самые незначительная доза радиации, используемая при данном исследовании, окажет негативное влияние на клетки и ткани организма.
Результаты радионуклидного сканирования
Данная процедура проводится с целью выявления заболеваний печени и селезенки. Результаты исследования бывают готовы в течение 2 дней.
Распределение радионуклидных индикаторов в норме. З оны избыточного или недостаточного накопления изотопов отсутствуют.
Размеры, форма и расположение печени и селезенки в пределах нормы.
Отклонение от нормы:
Дефекты накопления радионуклидов указывают на наличие заболеваний.
Скопление изотопов выявляет кисту, абсцесс, гематому, гемангиому или опухоль.
Скопление изотопов обнаруживается в другом месте или выявляет участок селезенки, который был пропущен во время спленэктомии – операции по удалению селезенки.
Печень или селезенка увеличены или деформированы вследствие давления опухоли.
Некоторые виды опухолей способствуют избыточному накоплению радионуклидов в печени или селезенке.
При некоторых видах опухолей радиоактивное вещество не накапливается в печени или селезенке.
Что может повлиять на результаты исследования
Помешать проведению исследования или повлиять на его результаты может :
- Беременность. Процедура не проводится во время беременности, так как даже малые дозы радиации вредны для плода.
- Наличие в организме бария или висмута. Радионуклидное сканирование проводится за несколько дней до или после исследований с использованием бария (например, ирригоскопии).
- Невозможность сохранять неподвижность во время процедуры.
Что необходимо знать
Такие исследования как компьютерная томография и магнитно-резонансная томография часто делаются вместо радионуклидного сканирования. См.«Компьютерная томография тела».
Кроме того, при наличии заболеваний печени и селезенки проводятся такие процедуры как биопсия печени, УЗИ или рентген брюшной полости. См.Биопсия печени», «УЗИ брюшной полости», «Рентген брюшной полости».
Однофотонная эмиссионная компьютерная томография (ОФЭКТ) отдельный метод исследования печени и селезенки. После введения радиоактивного вещества сканирования, специальная сцинтилляционная камера делает снимки исследуемого органа в различных ракурсах.
Некоторые виды сканирования печени и селезенки заключаются в заборе крови, которая «помечается» радиоактивными изотопами и вновь вводится пациенту. Существует вид сканирования, который поможет проверить, не остался ли фрагмент селезенки после операции по ее удалению (спленэктомии). А с помощью еще одного вида радионуклидного исследования можно выявить некоторые заболевания или области кровотечения печени.
Радионуклидное сканирование
Радиоизотопное сканирование использует излучение, выделяемое радиоизотопами (так называемый ядерный распад) для получения изображений. Радиоизотоп это нестабильным изотоп, который становится более стабильной, высвобождая энергию в виде излучения. Это излучение включает гамма-фотоны или выброс частиц (например, позитронов, используемых в позитронно-эмиссионной томографии).
Излучение радиоизотопов можно использовать для создания изображения или для лечения некоторых заболеваний (например, заболевания щитовидной железы).
Радиоизотопы, как правило, технеций-99m, в сочетании с различными стабильными, метаболически активными соединениями, образуют радиофармацевтические препараты, которые локализуются в определенной анатомической или больной структуре (ткань-мишень). Прием радиофармацевтических препаратов пероральный или внутривенный. После того как радиоизотопы достигают ткани-мишени, изображения снимаются с помощью гамма-камеры. Гамма-лучи, выделяемые радиоизотопами, взаимодействуют с сцинтиллирующими кристаллами в камере, создавая фотоны света, которые преобразуются в электрические сигналы ФЭУ. Компьютер обобщает и анализирует сигналы и интегрирует их в 2-мерные изображения. Однако точно проанализировать можно только сигналы вблизи объектива камеры, таким образом, изображение ограничено толщиной тканей и диапазоном камеры.
Портативные гамма-камеры дают возможность выполнить радиоизотопное сканирование в постели больного.
Как правило, радионуклидное сканирование считается безопасным; оно использует относительно низкую дозу радиации и дает ценную информацию (например, оно позволяет клиницистам получить изображения всего скелета, когда они подозревают, метастазов рака в кости).
Использование радионуклидного сканирования
Соединение, помеченное радиоизотопами, зависит от ткани-мишени или показания
При визуализации скелета применяется технеций-99m в сочетании с дифосфонатом; он используется для проверки кости на метастазирование или инфекцию.
При выявлении воспаления лейкоциты метят изотопами и используют для выявления очагов воспаления.
Для локализации кровотечения в желудочно-кишечном тракте эритроциты были помечены, чтобы определить, вытекли ли они из кровеносных сосудов.
При визуализации печени, селезенки или костного мозга метят серный коллоид.
При визуализации желчевыводящих путей метят производные иминодиуксусной кислоты и используют для проверки обструкции желчевыводящих путей, желчеистечения и заболеваний желчного пузыря.
Радиоизотопное сканирование также используется для передачи изображения щитовидной железы и цереброваскулярной, сердечно-сосудистой, дыхательной и мочеполовой систем. Например, в визуализации перфузии миокарда сердечная ткань принимает радиоизотопы (например, таллий) пропорционально перфузии. Этот способ можно объединить со стресс-тестированием.
Радиоизотопное сканирование также применяется для оценки опухолей.
Варианты радионуклидного сканирования
Однофотонная эмиссионная КТ (ОФЭКТ)
В ОФЭКТ применяется гамма-камера, которая вращается вокруг пациента. Полученные в результате серии изображений реконструируются на компьютере в 2-мерные томографические срезы аналогично тем, какие производятся в обычной КТ. Двухмерные изображения используются для томографической реконструкции для получения трехмерного изображения.
Недостатки радионуклидного сканирования
Облучение зависит от радиоизотопов и использованной дозы. Эффективные дозы, как правило, находятся в диапазоне от 1,5 до 17 мЗв, как показано в следующем примере:
Для сканирования легких: около 1,5 мЗв
Для сканирования костей и гепатобилиарной системы: от 3,5 до 4,5 мЗв
Для сканирования сердца с контрастным веществом Technetium (99mTc) sestamibi: около 17 мЗб
Реакции на радиоизотопы наблюдаются редко.
Область, которую можно отображать, ограничена, поскольку можно точно локализовать только сигналы возле объектива гамма-камеры. Деталировка изображения также может быть ограничена.
Часто выполнение визуализации следует откладывать на несколько часов, чтобы дать радиоизотопам время достичь ткани-мишени.
Авторское право © 2022 Merck & Co., Inc., Rahway, NJ, США и ее аффилированные лица. Все права сохранены.
Радионуклидное сканирование

Современное радиоизотопное исследование основано на участии радионуклидов в физиологических процессах организма и отличается большой степенью информативности. Методы функциональной визуализации радиоизотопной диагностики называют сцинтиграфическими. Такое название они получили, благодаря термину "сцинтилляция", который обозначает кратковременную вспышку под воздействием ионизирующего излучения.
Как это работает? В механизме работы сцинтиграфических методов диагностики используются радиофармацевтические препараты (РФП). Это медицинская лекарственная форма, в составе молекулы которой присутствует радиоактивный изотоп. Находясь в организме исследуемого, он распадается, при этом ядром изотопа испускается гамма-квант. Он в прямом смысле вылетает из тела пациента и попадает на детектор диагностического аппарата, который выполнен из особых материалов. В этот момент в детекторе происходит микровспышка света, которая регистрируется и преобразуется в пиксель на мониторе врача. В каждую единицу времени таких вспышек регистрируется большое количество от различных отделов организма - так формируется изображение.
По сути, один РФП – это одно направление диагностики или лечения. Современная общемировая радиофармацевтическая индустрия насчитывает десятки препаратов, применяющихся в различных сферах медицины, прежде всего в онкологии, кардиологии и эндокринологии.
В лаборатории радиоизотопной диагностики «НМИЦ онкологии им. Н.Н. Блохина» в повседневной практике детям выполняют следующие сцинтиграфические исследования:
- Сцинтиграфия скелета (остеосцинтиграфия);
- Сцинтиграфия с 123I-метайодбензилгуанидином (123I-MIBG);
- Сцинтиграфия мягких тканей;
- Сцинтиграфия щитовидной железы;
- Сцинтиграфическое исследование функции почек (комплексная реносцинтиграфия).
Сцинтиграфия костей с 99m-фосфанатами (или остеосцинтиграфия)
Остеосцинтиграфия - метод радионуклидной диагностики, основанный на введении в организм пациента тропного к костной ткани РФП и последующей регистрации его распределения и накопления в скелете с помощью гамма-излучения изотопа (99mTc - технеций 99 метастабильный, период полураспада 6 часов), входящего в состав препарата. Этот метод — один из наиболее востребованных в ядерной медицине за счёт высокой чувствительности выявления патологии костей. Чувствительность метода основана на способности обнаруживать функциональные, а не структурные изменения.
- Костеобразующие опухоли (доброкачественные и злокачественные);
- Хрящеобразующие опухоли (доброкачественные и злокачественные);
- Гигантоклеточная опухоль костей;
- Круглоклеточные опухоли (саркома Юинга, ПНЭТ, злокачественные лимфомы кости, множественная миелома, плазмоцитома);
- Сосудистые опухоли костей;
- Фибропластические и фиброгистиоцитарные опухоли костей;
- Опухолеподобные поражения костей (кисты, фиброзная дисплазия, болезнь Педжета, остеомиелит, и др.);
- Метастатическое поражение костей;
- Травмы;
- Артропатологии.
Сцинтиграфия с 123I-MIBG
MIBG-сканирование - это ядерно-медицинская процедура, которое включает внутривенную инъекцию РФП, называемого йод-123 метайодбензилгуанидин (MIBG).
С помощью гамма-камеры формируется диагностическое изображение, отражающее распределение РФП в организме ребёнка. Это делается для того, чтобы понять - есть ли в организме опухоль или нет. MIBG избирательно накапливается в таких опухолях как нейробластома, феохромацитома и параганглиомы, медуллярный рак щитовидной железы.
Подготовка к MIBG-сканированию очень индивидуальна, её предусмотрит лечащий врач. Перед сканированием ребёнок должен принять йод в виде раствора Люголя, чтобы снизить лучевую нагрузку на щитовидную железу, которая более восприимчива к радиоактивности, чем другие органы.
Что происходит во время самого сканирования?
Сканирование с MIBG выполняется в течение 2-х дней. В первый день ребёнку сделают инъекцию радиофармацевтического препарата. Во второй день проходит сканирование на гамма-камере. Время сканирования очень просто рассчитать, поскольку оно связано с ростом пациента и составляет 5 сантиметров в минуту. Вторым этапом может быть выполнено томографическое исследование, которое занимает около 30 минут на одну зону интереса.
Существуют ли какие-нибудь риски?
В редких случаях встречается индивидуальная непереносимость препарата – покраснение кожи или повышение артериального давления, но эти симптомы проходят самостоятельно и не требуют лечения. Ребёнок получает небольшую дозу ионизирующего излучения, это абсолютно безопасно и не вызывает каких-либо непосредственных или отсроченных эффектов.
Сцинтиграфия мягких тканей с 99mTc-технетрилом
Метод основан на избирательном повышенном накоплении 99mТс-Технетрила в опухолевой ткани по сравнению с окружающими её здоровыми тканями. Опухолевые клетки по сравнению с нормальными клетками обладают более высоким трансмембранным потенциалом, так что РФП здесь выступает надежным агентом для визуализации опухолевых очагов.
При помощи сцинтиграфии через 20 минут после внутривенного введения злокачественные опухоли визуализируются. Результаты многих исследований показывают, что концентрация РФП одинакова как в первичных опухолях, так и в очагах метастастазирования различных опухолей.
Злокачественные опухоли мягких тканей головы и шеи, грудной клетки, верхних и нижних конечностей.
Сцинтиграфия щитовидной железы с 99mTc-пертехнетатом
Диагностика рака щитовидной железы (РЩЖ) - это единый динамический процесс, сочетающий данные физикального осмотра с целым арсеналом наиболее информативных диагностических средств, одним из которых является радионуклидное исследование щитовидной железы (ЩЖ). Радионуклидное исследование на сегодня остаётся основным методом получения изображения, оценки функциональной активности ЩЖ и выявленных солитарных узловых образований.
- Оценка функционального состояния узловых образований ЩЖ, выявленных любым методом обследования у первичных больных;
- Своевременное выявление рецидива РЩЖ в проекции ложа удаленной железы и/или долей у пациентов РЩЖ в анамнезе;
- Обнаружение регионарных и отдаленных метастазов РЩЖ у больных после радикального лечения;
- Подозрение на наличие загрудинного расположения зоба;
- Поиск атипически расположенной ЩЖ;
- Определение связи опухолевых образований, пальпируемых в области шеи, с ЩЖ.
Комплексная реносцинтиграфия
Реносцинтиграфия у детей с онкологическими заболеваниями как правило, проводится после курсов химиотерапии для оценки функционального состояния почек, т.к. в зависимости от особенностей схемы назначенного лечения почки могут подвергнуться токсическому воздействию химиопрепаратов.
Сцинтиграфия, радионуклидная диагностика

Сцинтиграфия (радионуклидная диагностика) - современный метод лучевой диагностики, который используется для оценки функционирования различных органов и тканей. Такие методы диагностики, как рентген, УЗИ, КТ или МРТ ориентированы на выявление структурных изменений в тканях организма, и не всегда способны различить болезнь на ранних её стадиях, когда отклонения проявились на уровне биохимических изменений в тканях. В это время приходит на помощь сцинтиграфия, которую поэтому и называют молекулярной диагностикой. Радионуклидные методы исследования показаны при болезнях сердца, головного мозга, заболеваниях почек и печени, а также являются незаменимым методом в выявлении и оценке распространённости онкологических процессов.
Преимущества и подготовка к сцинтиграфии:
Выгодным отличием сцинтиграфии от других методов диагностики является распознавание патологического процесса на ранних стадиях заболевания, т.е. до того момента, как болезнь успела себя проявить.
Информация о функции органа и получение количественных характеристик степени его поражения на самых ранних стадиях.
В большинстве случаев сцинтиграфия не требует специальной подготовки, а противопоказанием к проведению сцинтиграфии является только беременность.
Радиофармпрепарат, который вводится при исследовании, обычно не вызывает никаких побочных эффектов, а лучевая нагрузка при сцинтиграфии сопоставима с рентгенографическими исследованиями.
Как проводится сцинтиграфия в Москве?
Сцинтиграфия проводится по современным протоколам и клиническим рекомендациям Европейского общества ядерной медицины (EANM) и Общества ядерной медицины и молекулярной визуализации (SNMMI).
В кровь пациента вводится небольшое количество вещества с радиоактивной меткой, которое накапливается в поврежденных или здоровых тканях.
Накопление регистрируется специальным чувствительным прибором – гамма-камерой.
Гамма-камера создает «фотографическое» изображение органов человека, накопивших введённый препарат.
Вводимое вещество практически безопасно для пациента, не вызывает аллергические реакции и быстро выводится из организма после исследования, что обеспечивает минимальную лучевую нагрузку. Процедура сканирования костей скелета и других органов протекает комфортно и безболезненно.
Сама процедура от введения радиофарм препарата до начала сцинтиграфического исследования занимает от 30 минут до 3 часов, в зависимости от вида исследования. Это необходимо для того, чтобы введенное вещество распределилось в теле человека. Исследование анализируют квалифицированные специалисты, врачи – радиологи, которые работают с каждым пациентом индивидуально. При необходимости результаты исследования консультируются сотрудниками кафедры лучевой диагностики и терапии Российского Национального Исследовательского Медицинского Университета (РНИМУ) им. Н.И. Пирогова в Москве, которая располагается на базе отделения. Заключение по результатам сцинтиграфии выдается в день исследования.
Можно обследовать практически любой орган, включая кости скелета, причём сделать обследование можно несколькими способами. При четко поставленной задаче и непрерывной обратной связи между врачом-радиологом и врачами клинических отделений, возможности сцинтиграфии практически безграничны, а помощь в постановке сложных диагнозов – неоценима, при этом цена обследования доступна для каждого пациента.
Показания и противопоказания к проведению исследования
Сканирование костей скелета рекомендуется сделать в следующих случаях:
- для выявления онкологических патологий с метастазированием в кости;
- для диагностики переломов и опухолевых процессов в костях;
- в качестве контролирующего метода за динамикой лечения;
- для определения зон с измененной костной тканью при дистрофических процессах.
Также сканирование костей скелета незаменимо, если рентгенография не смогла выявить трещины, переломы и прочие травмы костей.
Преимущества проведения сцинтиграфии у нас:
Наше отделение оснащено однофотонным эмиссионным компьютерным томографом, совмещенным с рентгеновским компьютерным томографом, что позволяет проводить исследования практически всех органов и систем человека, включая сканирование скелета, получая посрезовые изображения органов для точной локализации патологического процесса.
Каждое заключение подготавливается двумя врачами отделения (метод «двойного прочтения»), при необходимости с привлечением сотрудников кафедры лучевой диагностики и терапии ведущего медицинского университета России - РНИМУ им. Н.И. Пирогова.
Заключение выдаётся в день исследования, как правило, в течение 40-60 минут после завершения исследования.
При необходимости, бесплатно выполняются снимки в дополнительных проекциях или ОФЭКТ.
Современное отделение, построенное по современным строительным и санитарным нормам, оборудованное комнатой ожидания перед исследованием, обеспечит комфорт проведения процедуры, будь то сканирование скелета или любого другого органа.
Читайте также:
