Рак носоглотки
Добавил пользователь Владимир З. Обновлено: 27.01.2026
Уведомляем Вас о том, что на данном сайте содержится информация, предназначенная для медицинских специалистов (дипломированных медицинских работников, студентов медицинского образовательного учреждения или представителей компании, работающей в сфере здравоохранения)
Если Вы не являетесь специалистом здравоохранения, администрация не несет ответственности за возможные отрицательные последствия, возникшие в результате самостоятельного использования Вами информации с сайта без предварительной консультации с врачом.
Вы являетесь сотрудником сферы здравоохранения?
Рак носоглотки
Злокачественные опухоли носоглотки у детей составляют 1-3% от всех злокачественных опухолей детского возраста и 10-12% от опухолей области головы и шеи. В литературе рак носоглотки у детей описывается под названием "недифференцированный рак или недифференцированная карцинома носоглоточного типа".
К факторам риска развития рака носоглотки можно отнести: ионизирующее излучение, использование гербицидов и пестицидов, наличие иимунодефицита, генетическую предрасположенность.
Предполагают, что вирус Эпштейна-Барр является одной из основных причин возникновения рака носоглотки.
Антитела к этому вирусу обнаруживаются у 100% больных с этой опухолью.
Рак носоглотки у детей характеризуется агрессивным течением и может поражать лимфатические узлы, легкие, печень, кости. У 70-75% больных на момент установления диагноза уже имеются метастазы в шейных лимфатических узлах.
Рак носоглотки выявляется наиболее часто у детей в возрасте 10-15 лет, причем чаще среди мальчиков.
Признаки и симптомы рака носоглотки
У некоторых детей опухоль носоглотки может протекать под видом острого респираторного заболевания (насморк, кашель, подъем температуры). В других случаях на фоне видимого благополучия появляется затруднение носового дыхания, выделения из носа, гнусавость голоса.
В дальнейшем могут появиться головные боли, носовые кровотечения, снижение слуха, деформация в области ротоглотки, лица и шеи, затруднение дыхания.
Ведущими симптомами при раке носоглотки являются расстройства носового дыхания. В большинстве случаев отмечается двустороннее затруднение носового дыхания, что связано с наличием крупной опухоли в носоглотке.
Неправильная трактовка появившихся признаков и симптомов может привести к ошибочному диагнозу и назначению противовоспалительного лечения и физиотерапии. Все это приводит к запущенности опухолевого процесса.
По мере роста опухоли появляются слизистые и гнойные выделения из носа, гнилостный запах, носовые кровотечения за счет распада опухоли. Рост опухоли может привести к прорастанию ее в кости основания черепа и крупные нервы, повышению внутричерепного давления, приводящего к сильным головным болям.
Диагностика рака носоглотки
Особенности клинического течения рака носоглотки у детей приводит к запоздалой диагностике. Так, 95% больных поступают в больницу с распространенным опухолевым процессом - в III-IV стадиях заболевания.
При осмотре ребенка следует обратить внимание на асимметрию и деформацию в области лица и шеи.
Первичный осмотр с помощью зеркала и пальцевое обследование позволяют заподозрить опухоль носоглотки.
Рентгенография носоглотки и, в случае необходимости, компьютерная томография (КТ) дают возможность выявить опухоль, характер роста, распространенность процесса, поражение костных структур.
Ценным и важным методом диагностики опухолей носоглотки является эндоскопическое исследование (эпифарингоскопия), при котором можно не только детально рассмотреть опухоль, но и выполнить биопсию подозрительной на опухоль ткани (взять кусочек опухоли для исследования).
Ультразвуковое исследование (УЗИ) области шеи целесообразно выполнить для обнаружения поражения лимфатических узлов.
Радиоизотопное сканирование помогает выявить метастазы в лимфатические узлы и отличить рак носоглотки от других злокачественных опухолей.
Стадии (распространенность) рака носоглотки
После всестороннего обследования устанавливается стадия заболевания, что необходимо для планирования и лечения и оценки прогноза (исхода) заболевания.
I стадия - небольшая опухоль на боковой стенке носоглотки, отсутствие поражения шейных лимфатических узлов.
II стадия - опухоль занимает не более половины носоглотки, одностороннее поражение лимфатических узлов шеи.
III стадия - опухоль занимает всю носоглотку, одно- или двустороннее поражение лимфатических узлов шеи.
IV стадия - обширное местное распространение, множественное поражение шейных лимфатических узлов, отдаленные метастазы.
Лечение и прогноз (исход) рака носоглотки
Учитывая особенности клинического течения рака носоглотки и высокую вероятность местного распространения, полное хирургическое удаление опухоли бывает, как правило, невозможным.
В связи с этим облучение является основным методом лечения больных раком носоглотки. Общая длительная (5-летняя) и безрецидивная выживаемость в этом случае составляет соответственно 50 и 35%.
Из побочных реакций и осложнений лучевой терапии нужно отметить повреждение слизистой оболочки полости рта и носоглотки, облысение, гиперпигментацию кожи, спазм жевательной мускулатуры, нарушение роста зубов, недоразвитие и деформацию челюстно-лицевого скелета.
Кроме того, рак носоглотки чувствителен к химиотерапии, поэтому это метод лечения рекомендуется у всех больных.
Для комбинированной химиотерапии используют: винкристин, доксорубицин, циклофосфамид, блеомицин, проспидин, 5-фторурацил, ифосфамид, этопозид, платидиам.
Побочными проявлениями химиотерапии являются: стоматиты, облысение, токсический гепатит, функциональные нарушения со стороны сердца и почек.
У больных с ранними стадиями заболевания возможно достижения полного выздоровления в 80% случаев. В случае появления отдаленных метастазов вероятность длительной ремиссии минимальная. При поражении костей основания черепа и черепно-мозговых нервов у пациентов обычно прогноз неблагоприятный.
Мероприятия 2022 года
Архив мероприятий
Противораковое общество РОССИИ создано по инициативе ученых-онкологов и главных врачей онкологических диспансеров, представляющих более 50 регионов России, с целью претворения в жизнь программы профилактики рака в России
Рубрики
Контакты
Рак носоглотки
Рак носоглотки — редкая злокачественная опухоль. В России он составляет 0,19% всех онкологических заболеваний у мужчин и 0,07% у женщин.


Глотка представляет собой полый орган длиной около 12 см. Она начинается за носовой полостью и книзу переходит в гортань, пищевод. Анатомически глотка состоит из трех частей: носоглотки, ротоглотки и гортаноглотки. Носоглотка является верхней частью. Она соединена с носовой полостью с помощью внутренних носовых отверстий — хоан, книзу переходит в ротоглотку. На ее боковых стенках находятся правое и левое глоточные отверстия слуховых (евстахиевых) труб, соединяющих глоту с барабанными полостями (средним ухом). Позади этих отверстий находятся скопления лимфоидной ткани — трубные миндалины. Между задней и верхней стенками носоглотки находится глоточная миндалина. Злокачественные опухоли носоглотки чаще всего развиваются из плоского эпителия, образующего слизистую оболочку органа.
В международной клинике Медика24 пациенты с подозрением на рак носоглотки могут пройти все необходимые исследования и, если диагноз подтвердится, немедленно начать лечение в соответствии с современными международными протоколами.
Классификация, гистологические типы рака носоглотки
Около 70% злокачественных опухолей носоглотки представлены новообразованиями из эпителиальной ткани. Чаще всего встречаются три разновидности рака:
- недифференцированный неороговевающий рак — наиболее распространенный в западных странах гистологический тип;
- дифференцированный неороговевающий рак;
- ороговевающий рак.
Также в носоглотке встречаются лимфомы — опухоли из лимфоидной ткани, аденокарциномы — злокачественные новообразования из малых слюнных желез.
Причины, факторы риска рака носоглотки
Точные причины развития рака носоглотки в каждом конкретном случае установить невозможно. Вероятность возникновения злокачественной опухоли повышают некоторые факторы риска:
- Пол: у мужчин заболевание диагностируют в 2–3 раза чаще, чем у женщин.
- Большое количество соленого мяса и рыбы в рационе. Риски помогает снизить диета, которая содержит много фруктов, овощей, орехов, бобовых, с ограничением количества молока и мяса.
- Инфекция, вызванная вирусом(вирус герпеса 4 типа), обнаруживается практически у всех пациентов с раком носоглотки. Однако, связь между этими патологиями пока не до конца понятна, потому что инфекция широко распространена (обычно заражение происходит еще в детстве), а злокачественная опухоль возникает редко.
- Семейный анамнез — наличие рака носоглотки у близких родственников. Неизвестно, связано ли это с носительством определенных генов или общими условиями жизни.
Некоторые исследования также связывают повышенный риск развития рака носоглотки с курением, чрезмерным употреблением алкоголя, воздействием определенных вредных веществ на рабочем месте.

Симптомы
Нередко первым признаком рака носоглотки, который замечает сам пациент, становится увеличение лимфатических узлов на шее в результате их поражения раковыми клетками. Увеличенные лимфатические узлы представляют собой плотные образования, которые можно почувствовать под кожей при ощупывании, либо заметные визуально «шишки».
Нередко заболевание проявляется в виде потери слуха, звона, боли и ощущения заложенности в ухе в результате обструкции слуховой трубы. Эти симптомы должны особенно сильно насторожить, если они возникли только с одной стороны.
Частые инфекции уха обычно встречаются в детском возрасте, когда ввиду анатомических особенностей евстахиевой трубы возбудители из носоглотки легко проникают в среднее ухо. У взрослого человека повторяющиеся отиты могут свидетельствовать о злокачественной опухоли.
Другие возможные симптомы рака носоглотки:
- постоянная заложенность носа;
- повторяющиеся носовые кровотечения;
- головные боли;
- онемение, боль в лице;
- затруднение открывания рта;
- «туман» перед глазами;
- двоение в глазах;
- затрудненное дыхание;
- нарушение речи.
Как и при большинстве других онкологических заболеваний, симптомы, возникающие при раке носоглотки, неспецифичны. Чаще всего так проявляются другие болезни, например, инфекции. Если симптомы сохраняются долго, нужно посетить . Он проведет осмотр и, при подозрении на злокачественную опухоль, направит к онкологу.
В международной клинике Медика24 прием пациентов ведут врачи-специалисты с большим клиническим опытом. Записывайтесь на прием в удобные для вас день и время: наш доктор внимательно оценит ваши симптомы, проведет осмотр и назначит необходимые виды диагностики.
Позаботьтесь о себе, запишитесь на консультацию сейчас
Методы диагностики
Большинство злокачественных опухолей носоглотки можно выявить во время осмотра с помощью специальных методов:
- Непрямая назофарингоскопия — осмотр носоглотки с помощью маленького зеркальца и источника света через ротовую полость. Это устаревший метод, в настоящее время он применяется редко.
- Прямая назофарингоскопия — осмотр носоглотки с помощью назофарингоскопа, инструмента, представляющего собой тонкую гибкую трубку с видеокамерой и источником света на конце. Его вводят через нос.
Обнаружив опухоль, проводят биопсию: удаляют образец ткани и направляют в патоморфологическую лабораторию для гистологического анализа. Если в образце обнаруживают раковые клетки — диагноз злокачественной опухоли подтвержден.
Если на шее имеются увеличенные подкожные лимфоузлы, проводят тонкоигольную аспирационную биопсию. В увеличенный узел вводят иглу и с помощью вакуума получают образец опухолевой ткани.

Чтобы оценить, успела ли опухоль распространиться в соседние органы, регионарные лимфоузлы, образовать отдаленные метастазы, проводят:
- рентгенографию грудной клетки, костей;
- компьютерную томографию;
- МРТ;
- ПЭТ/.
Стадии рака носоглотки
Выделяют следующие стадии рака носоглотки:
- Стадия 0: «рак на месте», который находится в пределах слизистой оболочки носоглотки и не распространяется на соседние структуры.
- Стадия I: рак, который не выходит за пределы носоглотки, либо вторгается в полость носа, ротоглотку.
- Стадия II: опухоль в пределах носоглотки, ротоглотки и носовой полости с очагами в близлежащих лимфоузлах не более 6 см, либо злокачественная опухоль, которая распространяется в ткани, окружающие глотку, без поражения лимфатических узлов.
- Стадия III: рак, который может распространяться в носовую полость, ротоглотку, ткани, окружающие глотку, в нижнюю часть черепа, придаточные носовые пазухи. Имеются очаги в лимфатических узлах.
- Стадия IVA: злокачественная опухоль, которая распространяется внутрь черепа, глазницу, жевательное пространство, подвисочную ямку, поражает нервы. Имеются очаги в регионарных лимфатических узлах.
- Стадия IVB: злокачественная опухоль любого размера с очагами поражения в лимфатических узлах более 6 см, либо в надключичной ямке.
- Стадия IVC: опухоль имеет любые размеры, может быть поражено любое количество регионарных лимфоузлов, имеются отдаленные метастазы.
Методы лечения
Тактику лечения при раке носоглотки определяет стадия заболевания, размеры злокачественного новообразования, возраст и общее состояние здоровья пациента.
Хирургические методы
Обычно злокачественную опухоль носоглотки очень сложно удалить, при этом с ней удается успешно бороться с помощью лучевой терапии, противоопухолевых препаратов, поэтому хирургическое лечение зачастую не рассматривается в качестве основного.
Благодаря развитию эндоскопической хирургии, некоторые небольшие злокачественные новообразования носоглотки удается полностью удалить во время назофарингоскопии. Но такие вмешательства показаны лишь небольшому количеству пациентов и проводятся только в специализированных клиниках, где есть необходимое оборудование и врачи, прошедшие соответствующую подготовку.
Чаще всего к хирургическим вмешательствам при раке носоглотки прибегают для того, чтобы удалить пораженные опухолью близлежащие лимфатические узлы.
Лучевая терапия при раке носоглотки
Злокачественные опухоли носоглотки обычно обладают высокой чувствительностью к ионизирующим излучениям, поэтому зачастую лучевая терапия применяется в качестве основного метода лечения. В большинстве случаев ее сочетают с химиопрепаратами — проводят так называемую химиолучевую терапию.
В лечении рака носоглотки применяются следующие разновидности лучевой терапии:
- Классическое облучение из внешних источников. Современные аппараты позволяют генерировать излучение, которое максимально точно повторяет контуры злокачественного новообразования, таким образом, практически не затрагиваются здоровые ткани.
- Стереотаксическая радиохирургия в международной клинике Медика24 проводится с помощью современной установки КиберНож. Аппарат генерирует рентгеновские лучи, которые фокусируются в месте расположения злокачественной опухоли и уничтожают ее.
- Брахитерапия применяется редко. Суть процедуры в том, что в злокачественную опухоль или в окружающие ее ткани помещают имплантат, который содержит частицы, испускающие ионизирующее излучение. Они уничтожают опухолевые клетки и практически не распространяются в окружающие здоровые ткани. Имплантат находится в стенке носоглотки несколько дней, после чего его удаляют.
Химиотерапия
Химиотерапия при раке носоглотки применяется в следующих ситуациях:
- В качестве основного метода лечения вместе с лучевой терапией при поздних стадиях заболевания. Некоторые химиопрепараты повышают чувствительность раковых клеток к облучению.
- Индукционную химиотерапию проводят перед курсом химиолучевой терапии.
- Если химиотерапию проводят после химиолучевой терапии, ее называют адъювантной.
- При раке носоглотки с отдаленными метастазами химиотерапию (как правило, в сочетании с лучевой терапией) применяют в качестве метода паллиативного и симптоматического лечения.
Чаще всего применяют химиопрепарат цисплатин. В сочетании с лучевой терапией его назначают отдельно, а в качестве адъювантной терапии — обычно в комбинации с . При распространенном раке носоглотки схема химиотерапии может включать такие препараты, как карбоплатин, доксорубицин, эпирубицин, паклитаксел, доцетаксел, гемцитабин, блеомицин, метотрексат.
При распространенном раке носоглотки в сочетании с химиотерапией и лучевой терапией эффективен таргетный препарат Цетуксимаб (Эрбиткус). Он блокирует рецептор эпидермального фактора роста (EGFR) — белок, который в некоторых случаях присутствует в большом количестве на раковых клетках в носоглотке и способствует их бесконтрольному размножению.
При рецидивировавшем и распространенном раке носоглотки после химиотерапии могут быть эффективны иммунопрепараты из группы ингибиторов контрольных точек: Пембролизумаб (Китруда), Ниволумаб (Опдиво). Они блокируют молекулу , которая мешает иммунным клеткам активироваться и уничтожать раковые клетки.
В международной клинике Медика24 применяются все новейшие поколения противоопухолевых препаратов. Наши врачи проводят лечение в соответствии с современными международными протоколами.
Рак носоглотки
Плоскоклеточная карцинома является самым частым видом рака носоглотки. Симптомы развиваются поздно и включают односторонние кровянистые выделения из носа, носовую обструкцию, потерю слуха, ушную боль, отечность лица и онемение лица. Диагноз ставится на основании результатов биопсии, КТ исследования, МРТ исследования, ПЭТ КТ. Лечение проводят лучевой терапией, химиотерапией, в редких случаях – хирургическое лечение.
Рак носоглотки может возникать в любой возрастной группе, включая подростков, и распространен в регионе Южно-Китайского моря. Хотя рак носоглотки довольно редко встречается в США и Западной Европе, он является обычным в Азии и одним из наиболее распространенных видов рака среди китайских иммигрантов в США, особенно среди имеющих южнокитайское и юго-восточноазиатское происхождение. В течение нескольких поколений распространенность среди китайских американцев постепенно уменьшается, приближаясь к уровню заболеваемости среди американцев некитайского происхождения, что предполагает связь этиологии с экологической составляющей. Считается, что присутствие нитритов в пище и соленой рыбы повышают риск развития этого заболевания. К факторам риска также относится вирус Эпштейна – Барр Инфекционный мононуклеоз Инфекционный мононуклеоз вызывается вирусом Эпштейна – Барр (ЭБВ, герпесвирус человека тип 4), проявлениями заболевания является общая слабость, лихорадка, фарингит и увеличение лимфатических. Прочитайте дополнительные сведенияСреди других злокачественных новообразований носоглотки встречаются: мукоэпидермоидная карцинома, аденокарцинома, лимфомы, фибросаркома, остеосаркома, хонросаркома и меланома.
Симптомы и признаки рака носоглотки
Рак носоглотки часто проявляется появлением на шее пальпируемых лимфатических узлов, пораженных метастазами. Еще одним симптомом, которым часто проявляется это заболевание, является снижение слуха, как правило, вызванное закупоркой евстахиевой трубы, в результате чего появляется выпот в полости среднего уха. Прочие симптомы включают ушную боль, гнойную кровавую ринорею, явные носовые кровотечения, парез черепного нерва и увеличение шейных лимфоузлов. Как правило поражаются 4, 6 и 3 пары черепных нервов вследствие их близкого расположения к кавернозному синусу. Лимфоузлы одной половины шеи тесно взаимосвязаны с лимфоузлами противоположной стороны, вследствие чего характерно двустороннее метастазирование.
Стадирование рака носоглотки
Эндоскопическое исследование и биопсия
Лучевая диагностика для определения стадии процесса
При подозрении на рак носоглотки рекомендовано проведение диагностической эндоскопии носоглотки, взятие биопсии подозрительного участка ткани. Не следует назначать открытую биопсию шейных лимфоузлов в качестве начальной процедуры ( Новообразование в области шеи Новообразование в области шеи Появление образования на шее могут заметить пациенты или члены их семей или оно может быть обнаружено во время обычного осмотра. Оно может быть безболезненным или, наоборот, в зависимости от. Прочитайте дополнительные сведения ), хотя в ряде случаев приемлема пункционная биопсия и часто рекомендована.
Выполняют МРТ головы с контрастированием гадолинием (с подавлением сигнала от жировой ткани) головы с особым вниманием к носоглотке и основанию; основание черепа поражается примерно у 25% пациентов. КТ исследование также необходимо для более детального описания костей основания черепа. ПЭТ КТ применяют для диагностики степени распространенности процесса. (Cм. таблицу Стадии рака носоглотки [Staging of Nasopharyngeal Cancer] Стадирование назофарингеального рака .)
Рак носоглотки
Отдел лучевого и хирургического лечения заболеваний головы и шеи Медицинского радиологического научного центра им. А.Ф. Цыба — филиала ФГБУ «Национальный медицинский исследовательский радиологический центр» Минздрава России, Обнинск, Россия, 249036
ФГБУ "Медицинский радиологический научный центр" Минздрава России, Обнинск
Первый Московский государственный медицинский университет им. И.М. Сеченова, Национальный научно-исследовательский медицинский радиологический центр Минздрава России, Институт повышения квалификации Федерального медико-биологического агентства, Москва
Отдел лучевого и хирургического лечения заболеваний головы и шеи Медицинского радиологического научного центра им. А.Ф. Цыба — филиала ФГБУ «Национальный медицинский исследовательский радиологический центр» Минздрава России, Обнинск, Россия, 249036
Отдел лучевого и хирургического лечения заболеваний головы и шеи Медицинского радиологического научного центра им. А.Ф. Цыба — филиала ФГБУ «Национальный медицинский исследовательский радиологический центр» Минздрава России, Обнинск, Россия, 249036
Особенности ранней диагностики злокачественных новообразований носоглотки
Журнал: Вестник оториноларингологии. 2017;82(5): 9‑11
Отдел лучевого и хирургического лечения заболеваний головы и шеи Медицинского радиологического научного центра им. А.Ф. Цыба — филиала ФГБУ «Национальный медицинский исследовательский радиологический центр» Минздрава России, Обнинск, Россия, 249036
Рассмотрены факторы риска, особенности клинической симптоматики, инструментальной, лабораторной и патоморфологической диагностики злокачественных новообразований носоглотки. Выполнение в полном объеме данных рекомендаций позволит своевременно их диагностировать.
Отдел лучевого и хирургического лечения заболеваний головы и шеи Медицинского радиологического научного центра им. А.Ф. Цыба — филиала ФГБУ «Национальный медицинский исследовательский радиологический центр» Минздрава России, Обнинск, Россия, 249036
ФГБУ "Медицинский радиологический научный центр" Минздрава России, Обнинск
Первый Московский государственный медицинский университет им. И.М. Сеченова, Национальный научно-исследовательский медицинский радиологический центр Минздрава России, Институт повышения квалификации Федерального медико-биологического агентства, Москва
Отдел лучевого и хирургического лечения заболеваний головы и шеи Медицинского радиологического научного центра им. А.Ф. Цыба — филиала ФГБУ «Национальный медицинский исследовательский радиологический центр» Минздрава России, Обнинск, Россия, 249036
Отдел лучевого и хирургического лечения заболеваний головы и шеи Медицинского радиологического научного центра им. А.Ф. Цыба — филиала ФГБУ «Национальный медицинский исследовательский радиологический центр» Минздрава России, Обнинск, Россия, 249036
Злокачественные опухоли глотки — относительно немногочисленная группа среди общего числа всех злокачественных новообразований. Так, согласно статистике, абсолютное число впервые выявленных злокачественных новообразований глотки в России в 2014 г. у мужчин составило 4320 случаев, а среди женщин — 712 [1].
В странах Западной Европы заболеваемость раком носоглотки составила 1,7 на 100 000 населения (2004 г.), а смертность от этой патологии — примерно 1,5 на 100 000 населения. Мужчины болеют значительно чаще, чем женщины, за исключением стран Юго-Восточной Азии, где эти показатели примерно одинаковы и составляют более 2 на 100 000 населения [2].
В связи с этим остается актуальной проблема своевременного выявления больных раком носоглотки. На ранних стадиях заболевания эта группа больных характеризуется хорошими отдаленными результатами лечения. Напротив, местно-распространенный рак носоглотки определяет менее благоприятный прогноз, ограничение методов лечения за счет инвазии опухоли в окружающие структуры (мышцы, кости черепа и позвоночника, нервы, магистральные сосуды) и раннее начало регионарного метастазирования [3]. По данным различных авторов, от 55 до 82% больных раком носоглотки поступают на лечение с местно-распространенными стадиями опухолевого процесса и поражением регионарных лимфатических узлов [1, 4, 5] (рис. 1). Длительное малосимптомное течение на ранних стадиях заболевания, поздняя обращаемость, низкая онкологическая настороженность врачей общей практики и врачей-оториноларингологов являются основными причинами поздней диагностики злокачественных новообразований носоглотки. И это при том, что патогномоничные признаки заболевания почти всегда выявляются при тщательном сборе анамнеза и обязательном осмотре носоглотки.

Рис. 1. Внешний вид пациента с метастатическим поражением шейных лимфоузлов (стрелки).
Причины возникновения злокачественных новообразований носоглотки до сих пор мало изучены. Однако можно выделить ряд факторов риска, свойственных этому заболеванию:
— монголоидная раса [6];
— носительство вируса Эпштейна—Барр [7];
— редкие наследственные факторы [8];
— употребление крепких алкогольных напитков [9];
Ранние клинические проявления новообразований носоглотки малоспецифичны и скудны. Наиболее часто у этой группы пациентов можно выявить один или несколько приведенных ниже симптомов:
— увеличение шейных лимфатических узлов, возможно двустороннее. Несмотря на то что увеличение шейных лимфатических узлов является признаком более поздних стадий заболевания, этот симптом может долгое время оставаться первым и единственным, особенно при отсутствии визуально определяемой опухоли носоглотки либо малых ее размеров;
— затруднение носового дыхания (чаще одностороннее), снижение обоняния;
— рецидивирующие носовые кровотечения (исключая особенности кровоснабжения передних отделов перегородки носа);
— снижение слуха (чаще по типу звукопроведения) развивается, как правило, на стороне поражения. Шум в ушах;
— рецидивирующий средний отит, экссудативный средний отит;
— симптомы, характерные для поражения черепных нервов (II, III, IV, V, VI или IX, X, XI, XII пары);
— носовой оттенок голоса.
При наличии подозрения на новообразование носоглотки пациент должен быть углубленно обследован врачом-отоларингологом совместно с онкологом. Обязательными манипуляциями являются: эпифарингоскопия (задняя риноскопия), эндоскопическое обследование (с помощью жесткого или гибкого эндоскопа) полости носа, носоглотки, ультразвуковое исследование органов шеи.
При выявлении опухоли или тканей, подозрительных на принадлежность к опухолевым, необходимо произвести их биопсию с последующим морфологическим и иммуногистохимическим исследованием (рис. 2). Причем наибольшее диагностическое значение имеет оценка соотношения показателей количественного состояния паренхиматозного и сосудистого компонентов опухоли [10].

Рис. 2. Эндофотография носоглотки. Новообразование правой боковой стенки носоглотки (стрелка).
При наличии лимфаденопатии (независимо от уровня поражения лимфоузлов) необходимо произвести аспирационную биопсию измененных лимфатических узлов под контролем ультразвукового исследования. Часто метастатические узлы на шее принимают за воспалительную патологию. При дифференциальной диагностике необходимо обратить внимание на отсутствие гиперемии кожи, локальных болей, локального повышения температуры и общей интоксикации. Исключение составляют больные в более поздних стадиях, когда метастатические узлы подвергаются распаду, прорастают кожу. Опираясь на собственный опыт, авторы не рекомендуют открытую биопсию шейных лимфоузлов до завершения «неинвазивного» этапа обследования, а тем более их вскрытие. Это положение подтверждают клинические рекомендации EORTC. Подобные манипуляции могут приводить к стимуляции метастатического процесса, осложнить в дальнейшем проведение радикального хирургического лечения на лимфатических путях шеи.
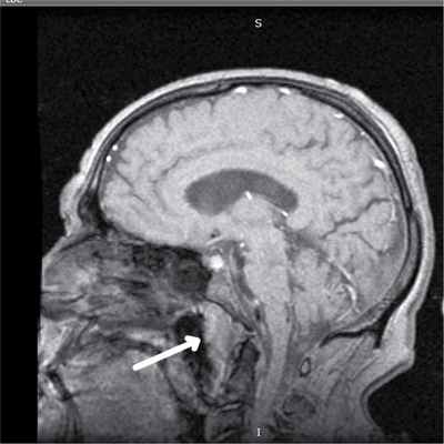
Для уточнения степени распространения опухоли, определения деструктивных изменений черепа, вовлечения в процесс черепно-мозговых нервов, исключения опухолей головного мозга, распространяющихся в носоглотку, необходимо выполнить спиральную рентгеновскую компьютернную томографию [11] или конусно-лучевую компьютерную томографию (3D). Диагностическую ценность представляют магнитно-резонансная томография, ПЭТ-КТ (рис. 3).

Рис. 3. МРТ-исследование головы в сагиттальной проекции. Новообразование носоглотки (стрелка).
У пациентов с длительной шейной лимфаденопатией, которая является единственным симптомом, необходимо произвести диагностику лимфопролиферативных заболеваний, носительства вируса Эпштейна—Барр [12]. Целесообразна консультация таких больных другими специалистами: невропатолога, офтальмолога, гематолога.
Дифференциальный диагноз злокачественных новообразований носоглотки следует проводить с неспецифическими воспалительными заболеваниями ЛОР-органов (гипертрофия носоглоточной миндалины, хронический аденоидит, синуситы, аллергический ринит, киста Торнвальда), доброкачественными новообразованиями носоглотки и полости носа (ангиофиброма, хоанальный полип), неврологическими заболеваниями, связанными с поражением черепных нервов, лимфопролиферативными заболеваниями (лимфома Ходжкина, неходжкинские лимфомы), опухолями головного мозга, инфекционными процессами.
Таким образом, злокачественные новообразования носоглотки на начальных этапах характеризуются низкой специфичностью симптомов, которые чаще всего сходны с проявлениями неспецифических воспалительных заболеваний назофарингеальной зоны. Анатомо-топографическое расположение носоглотки создает определенные трудности для физикального осмотра этих пациентов. Однако приобретение определенных навыков позволяет их с успехом преодолеть. Относительно редкая встречаемость злокачественных новообразований носоглотки (примерно 1% от всех злокачественных новообразований) определяет низкую онкологическую настороженность врачей общей практики и последующую ошибочную тактику.
Выполнение в обязательном порядке всех рекомендуемых диагностических манипуляций позволит выявить поражение носоглотки на ранних стадиях опухолевого процесса и обеспечить высокие результаты последующего лечения.
Назофарингеальная карцинома (рак носоглотки)
Носоглоточная карцинома – это рак, который возникает в носоглотке, расположенной сзади носа в верхней части горла. Носоглоточная карцинома редко встречается в Соединенных Штатах Америки. Однако эта форма превалирует в других частях света, особенно в Юго-восточной Азии.
Ранняя диагностика носоглоточной карциномы затруднена, поскольку осмотр носоглотки является несколько сложным, а симптомы носоглоточной карциномы также могут возникать и в более обычных обстоятельствах. Обычно для лечения носоглоточной карциномы используется химиотерапия, радиационная терапия или и то, и другое. Можно обсудить окончательное лечение заболевания со своим врачом.
Каковы симптомы рака носоглотки?
На ранних стадиях рак носоглотки может оставаться бессимптомным. Узнаваемые симптомы рака носоглотки включают следующие:
• Опухоль на шее, вызванная опухшим лимфатическим узлом
• Кровь в слюне
• Кровь в выделениях из носа
• Заложенность носа
• Нарушение слуха
• Частые инфекции уха
• Головная боль
Когда следует проконсультироваться с врачом?
На ранней стадии рак носоглотки может не всегда предупреждать вас о визите к врачу. Однако вы обязательно должны связаться с врачом, если обнаружили атипичные или постоянные изменения в организме, такие как необычная заложенность носа.
Что вызывает рак носоглотки?
Рак вызывается бесконтрольным ростом здоровых клеток в связи с одной или несколькими генетическими мутациями, вторжением в соседние структуры и, наконец, распространением в другие части тела. Рак носоглотки появляется в сквамозных клетках, которые выстилают внутреннюю поверхность носоглотки.
Несмотря на то, что основополагающий механизм мутаций, вызывающий рак носоглотки, точно не известен, выявлены определенные факторы риска, повышающие риск возникновения рака носоглотки, такие как вирус Эпштейна-Барр. С другой стороны, не может быть выяснено, почему рак не возникает у некоторых людей со всеми факторами риска, в то время как у других людей без факторов риска развивается носоглоточная карцинома.
Каковы факторы риска возникновения рака носоглотки?
Исследователи идентифицировали следующие факторы, повышающие риск возникновения рака носоглотки:
• Рак носоглотки больше встречается у мужчин, чем у женщин.
• Этот вид рака больше превалирует в Китае, Юго-восточной Азии и Северной Африке. В Соединенных Штатах Америки у иммигрантов из Азии риск возникновения этого вида рака выше, чем у азиатов, родившихся в США. Риск возникновения рака носоглотки также выше у эскимосов на Аляске.
• Возраст: Носоглоточная карцинома может возникать в любом возрасте, но чаще всего диагностируется у лиц в возрасте 30 - 50 лет.
• Засоленные или вяленые продукты питания: Химические вещества, выделяемые паром при приготовлении засоленных продуктов питания, таких как рыба и овощи, могут попадать в носовую полость и повышать риск возникновения рака носоглотки. Воздействие этих химических веществ в более раннем возрасте еще больше повышает риск.
• Вирус Эпштейна-Барр: Этот распространенный вирус обычно ведет к признакам и симптомам, которые напоминают симптомы обычной простуды. Иногда он может вызывать инфекционный мононуклеоз. Вирус Эпштейна-Барр также связан с несколькими редкими видами рака, включая и рак носоглотки.
• Семейный анамнез: Если у вас есть член семьи с раком носоглотки, риск будет выше.
Каковы осложнения при раке носоглотки? Осложнения при раке носоглотки включают следующее:
• Вторжение в близлежащие структуры из-за роста опухоли: Прогрессирующая стадия рака носоглотки может вызывать осложнения, если рост вызывает вторжение в близлежащие структуры, такие как горло, кости и мозг.
• Распространение рака на другие части тела: Рак носоглотки часто распространяется за пределы носоглотки.
Регионарные метастазы присутствуют у большинства пациентов с носоглоточной карциноме. Это подразумевает, что клетки первичной опухоли мигрируют в близлежащие области, такие как лимфатические узлы шеи. Раковые клетки обычно распространяются и вторгаются в кости, легкие и печень в плане отдаленных метастазов.
Какие меры предосторожности можно предпринять в целях профилактики рака носоглотки?
Нет какого-то определенного способа предотвратить носоглоточную карциному. Однако если вы озабочены риском возникновения рака носоглотки, вам лучше избегать определенных привычек, которые, как известно, вызывают эту болезнь. Например, вы можете решить сократить количество потребляемой соленой и вяленой пищи, или вообще прекратить употреблять такую пищу.
Скрининг-тесты для рака носоглотки
В Соединенных Штатах Америки и в других частях света, где заболевание встречается редко, обычно на наличие носоглоточной карциномы не проверяют. Однако врачи могут предложить скрининг-тест людям, проживающим в частях света с высокой степенью риска, таких как некоторые регионы Китая, где носоглоточная карцинома очень распространена. При скрининговых процедурах может быть предложен анализ на вирус Эпштейна-Барр.
Читайте также:
