Рак щитоязычного протока - лучевая диагностика
Добавил пользователь Евгений Кузнецов Обновлено: 30.01.2026
Киста щитоязычного протока - лучевая диагностика
а) Терминология:
• Киста (КЩЯП) остатка щитоязычного протока (ЩЯП):
о Между слепым отверстием в корне языка ложем щитовидной железы ниже уровня подъязычной кости
б) Визуализация:
• Лучший диагностический критерий: кистозное образование шеи по средней линии выше подъязычной кости или срединно/пара-медианно в подъязычных отделах
• В 20-25% случаев выше уровня подъязычной кости
• Примерно в 50% случаев на уровне подъязычной кости
• 25% случаев в подподъязычном отделе шеи:
о В подподъязычных мышцах = симптом «когтя»
• Может накапливать контраст при присоединении инфекции
(Слева) На рисунке показан ход щитоязычного протока, начинающегося на уровне слепою отверстия и распространяющегося до ложа щитовидной железы. Обратите внимание, что проток вплотную прилежит к средней части подъязычной кости. Кисты могут возникать в любом месте по ходу протока.
(Справа) При сагиттальной КТ с КУ в корне языка по средней линии визуализируется объемное образование с ровными краями, выглядящее кистозным. Образование было случайно выявлено на КТ, выполненном с целью оценки распространенности инфекции глубоких тканей шеи (изменения не продемонстрированы), и впоследствии было верифицировано как киста щитоязычною протока. (Слева) При сагиттальной КТ с КУ у ребенка с жалобами на боль в горле и затруднение глотания в подъязычном пространстве по средней линии визуализируется гиподенсное объемное образование с фестончатыми краями, распространяющееся в сторону корня языка и в область валлекул. При морфологическом исследовании подтвердилась киста щитоязычного протока с признаками воспаления.
(Справа) На Т1ВИ в сагиттальной проекции у ребенка с рецидивом кисты щитоязычного протока в корне языка по средней линии визуализируется кистозное образование. Отмечается деформация языка и верхней части объемного образования, обусловленная ларингеальной маской, используемой для анестезии.
в) Дифференциальная диагностика:
• Лимфатическая мальформация
• Дермоидная или эпидермоидная киста полости рта
• Язычная щитовидная железа
• Абсцесс поднижнечелюстного или подъязычного пространства
• Смешанное ларингоцеле
• Цепочка некротически измененных «дельфийских» лимфоузлов
г) Патология:
• Нарушение инволюции ЩЯП и персистирующая секреция эпителиальных клеток — киста щитоязычного протока
• Может располагаться в любом месте по ходу ЩЯП
д) Клинические особенности:
• Самая распространенная врожденная аномалия шеи
• Лечение: эксцизия кисты и средних отделов подъязычной кости
е) Диагностическая памятка:
• Важно отметить, как киста располагается по отношению к подъязычной кости: выше, ниже или на одном уровне
• Любые узлы или грубые обызвествления позволяют заподозрить сопутствующий рак щитовидной железы
• УЗИ ложа щитовидной железы позволяет подтвердить ее (железы) наличие
Рак щитоязычного протока - лучевая диагностика
Кафедра оториноларингологии Ярославской государственной медицинской академии
Рак щитоязычного протока
Журнал: Вестник оториноларингологии. 2018;83(6): 46‑47
Приведено описание клинического наблюдения рака щитоязычного протока. Представлены краткий обзор литературы, этиопатогенез, методы диагностики и лечения данной патологии.
Зачаток щитовидной железы (ЩЖ) развивается у зародыша человека из выпячивания середины дна первичной глотки между I и II парами жаберных карманов. Это выпячивание раздваивается, давая начало правой и левой долям ЩЖ, смещается вниз и сливается с частью четвертого кармана, оставаясь связанным с дном глотки щитоязычным протоком, который исчезает ко 2-му месяцу внутриутробной жизни, оставляя после себя только перешеек и проксимальную часть в виде ямки в корне языка [1]. Нарушение эмбриогенеза щитовидной железы определяет ее различного рода аномалии. К ним относятся кисты щитоязычного протока, язычная щитовидная железа, а также срединные и боковые остатки тиреоидной ткани [2, 3]. Очень редко аберрантная тиреоидная ткань локализуется по бокам от основной железы. В эктопированной и аберрантной тиреоидной ткани независимо от процессов в основной ЩЖ могут развиваться доброкачественные и злокачественные опухоли [4, 5]. Источником возникновения опухоли являются остатки не полностью облитерированного щитоязычного протока или срединной кисты шеи, в которых могут сохраняться частицы ЩЖ. В литературе отсутствуют данные о частоте рака щитоязычного протока и приводятся лишь единичные наблюдения данной патологии. Опухоли обнаруживаются случайно при гистологическом исследовании удаленной срединной кисты шеи. Макроскопически аденома и рак имеют вид кисты, на внутренней поверхности которой определяется небольшой округлый, буроватого цвета узел мягкой консистенции. При развитии рака киста не меняет обычную форму и консистенцию. Лишь в единичных наблюдениях отмечена инфильтрация окружающих тканей. Опухоль, как и киста, практически не смещается, болевых ощущений нет, поэтому дифференциальная диагностика таких заболеваний затруднена. Микроскопически опухоли имеют строение папиллярной аденокарциномы и значительно реже — плоскоклеточного рака.
Приводим клиническое наблюдение.
Пациент П., 57 лет, обратился в центр хирургии «Голова—шея» Ярославской областной клинической онкологической больницы в октябре 2012 г. с жалобами на наличие медленно увеличивающегося в размере опухолевидного образования на передней поверхности шеи, которое стал замечать в течение последних 2 лет. При осмотре больного: по средней линии передней поверхности шеи в верхней трети, в области проекции подъязычной кости определяется образование до 4,0 см в диаметре, мягкоэластичной консистенции, безболезненное, не спаянное с окружающими тканями, напоминающее кисту шеи. Произведена пункция. Цитологическое заключение от 20.10.12: на фоне крови и гомогенного вещества значительное количество зрелых лимфоцитарных элементов. Данных за злокачественную опухоль нет. Со стороны других органов и систем — без патологии. Лабораторные и биохимические показатели крови и мочи — в пределах возрастной нормы. Результаты УЗИ шеи: щитовидная железа расположена типично, толщина перешейка 5 мм, правая доля 48×17×24 мм, левая доля 45×17×22 мм — без узловых образований. По передней поверхности шеи в области проекции подъязычной кости и щитоподъязычной мембраны — неоднородное гипоанэхогенное образование неправильной формы 46×40×22 мм, с четкими, ровными контурами. При цветовом допплеровском картировании (ЦДК) кровоток не регистрируется. По ходу сосудистого пучка слева увеличенные лимфатические узлы размером от 7×4 до 13×7 мм, контуры четкие, ровные, структура однородная. Заключение: новообразование передней поверхности шеи, срединная киста шеи?
На основании результатов предоперационного обследования выставлен диагноз: срединная киста шеи.
Пациенту рекомендовано удаление новообразования передней поверхности шеи (предположительно срединной кисты шеи). В ходе операции многокамерное кистозное новообразование до 5×3 см в диаметре, уходящее своим отрогом в подподъязычное пространство, было тупым и острым путем мобилизовано, иссечено с парциальной резекцией подъязычной кости и щитоязычного протока, идущего к корню языка.
Послеоперационное гистологическое заключение: папиллярный рак гетеротопированной щитовидной железы с инвазией в скелетные мышцы шеи, без прорастания в подъязычную кость.
Учитывая гистологическое заключение, спустя месяц пациенту выполнена операция — тиреоидэктомия. Гистологическое исследование: ЩЖ размером 7×4×2,5 см, ткань щитовидной железы нормального строения, без узловых образований. Послеоперационный период протекал без осложнений, пациенту назначена гормональная заместительная терапия — L-тироксин 200 мкг в сутки под контролем уровня ТТГ. Пациент направлен в МРНЦ Обнинска, где проходил курс радиойодтерапии 70 мкКюри 131 .
При контрольном осмотре в ноябре 2017 г. года признаков рецидива и метастазирования опухоли не выявлено.
Особенностью данного наблюдения является редкая локализация гетеротопированного папиллярного рака щитоязычного протока, симулирующего срединную кисту шеи, при отсутствии патологии щитовидной железы.
а) Терминология:
1. Аббревиатура:
• Рак щитоязычного протока (РЩП)
2. Определение:
• Злокачественная опухоль, возникающая из остатков эмбрионального щитоязычного протока:
о Чаще всего возникает внутри кисты щитоязычного протока
б) Визуализация:
1. Общая характеристика:
• Лучший диагностический критерий:
о Солидный компонент ± кальцификаты внутри кисты
о Неоднородная эктопированная ткань щитовидной железы ± кальцификаты
• Локализация:
о От корня языка (слепое отверстие) до нижних отделов шеи
о В 50% случаев кисты щитоязычного протока располагаются рядом с подъязычной костью:
- 25% выше, 25% ниже
• Размер:
о Размер кистозного компонента может быть различным
о Размер опухолевого компонента часто невелик (1 см)

(Слева) КТ с КУ, коронарная проекция. Срединное кистозное образование шеи, которое плотно спаяно с подъязычной костью. У верхнего края кисты имеются плотные кальцификаты и накапливающий контраст мягкотканный компонент.
(Справа) КТ с КУ, сагиттальная реконструкция. Солидное неоднородное образование? расположенное сразу ниже подподъязычной кости, у нижней части которого имеются кальцификаты. Над подъязычной костью визуализируется небольшой дополнительный остаток эктопированной ткани. Щитовидная железа в своем типичном месте отсутствовала.
2. КТ при раке щитоязычного протока:
• КТ с контрастированием:
о Кистозное образование вдоль средней линии шеи (на уровне подъязычной кости или выше), либо парамедианно (ниже подъязычной кости):
- Обратить внимание на наличие солидного компонента ± кальцификатов
- Иногда выглядит как инвазивная солидная опухоль
о Опухоль может располагаться внутри эктопированной части щитовидной железы:
- Неоднородное строение ± кальцификаты
о Простое воспаление редко приводит к кальцификации
3. МРТ при раке щитоязычного протока:
• Солидный компонент внутри щитоязычной кисты
• Вариабельный сигнал на Т1 и Т2ВИ:
о Зависит от наличия тиреоглобулина, воспаления, кровоизлияний
4. УЗИ при раке щитоязычного протока:
• Серошкальное УЗИ:
о Анэхогенное или гипоэхогенное образование вдоль срединной линии шеи:
- Обратить внимание на солидный компонент ± эхоучастки (кальцификаты)
5. Сцинтиграфия:
• ПЭТ/КТ:
о Может захватывать ФДГ:
- Не является специфичным признаком злокачественности
6. Рекомендации по визуализации:
• Лучший метод визуализации:
о КТ с контрастированием позволяет увидеть кальцификаты, характерные для злокачественной опухоли
о КТ /МРТ: выявляют солидный и кистозный компоненты
• Протокол исследования:
о КТ с контрастированием: для обнаружения кальцификатов кисту нужно оценить и в костном, и в мягкотканном окнах

(Слева) КТ с КУ, аксиальная проекция. Рак щитоязычного протока. Кистозное образование располагается парамедиально в подсвязочном отделе, прорастая в подподъязычные мышцы. Кистозный компонент расположен под слизистой оболочкой подсвязочного отдела гортани. Во внешнем отделе этой кистозной опухоли определяется накапливающий контраст узел, в толще которого имеются кальцификаты.
(Справа) МРТ Т2ВИ в сагиттальной проекции. Кистозное образование, расположенное ниже подъязычной кости. Расположенный выше солидный узел имеет сигнал от промежуточного до низкого. Этот узел, накапливающий контраст, оказался карциномой щитоязычного протока.
в) Дифференциальная диагностика рака щитоязычного протока:
1. Киста щитоязычного протока:
• Врожденное образование по срединной поверхности шеи
• Киста, может иметь дольчатое строение ± солидные компоненты
2. Язычная эктопия щитовидной железы:
• Врожденная аномалия, связанная с нарушением нисхождения щитовидной железы
• Щитовидная железа либо отсутствует, либо находится слишком высоко на шее
• В редких случаях в ее толще возникает рак
3. Дермоид и эпидермоид полости рта:
• Кистозное или заполненное жировой клетчаткой образование на дне полости рта или в поднижнечелюстной области
• Не связано с подъязычной кистой
д) Клинические особенности:
1. Проявления:
• Типичные признаки/симптомы:
о Увеличивающееся в размерах образование, расположенное вдоль средней линии шеи; по симптоматике отличить от доброкачественной кисты невозможно
о Диагноз чаще всего выставляется после гистологического изучения препарата кисты
2. Демография:
• Возраст:
о Чаще встречается у взрослых, средний возраст = 40 лет
о У детей встречается редко, средний возраст = 13 лет
• Пол:
о Чуть чаще возникает у женщин
• Эпидемиология
о - В литературе приводится значение инцидентности в 6,5%
3. Лечение:
• Полное удаление кисты щитоязычного протока (по Sistrunk)
• Часто приходится выполнять тиреоидэктомию
е) Диагностическая памятка:
1. Следует учесть:
• Наличие кальцификатов говорит в пользу злокачественности
• Наличие солидных компонентов в кисте может быть следствием ее предшествующего воспаления:
о Перед удалением необходимо выполнить ТАБ
2. Советы по интерпретации изображений:
• В ходе любого исследования необходимо внимательно осматривать кисту на наличие солидного компонента и кальцификатов
• Всегда следует описывать наличие/отсутствие нормальной ткани щитовидной железы
ж) Список использованной литературы:
1. Shah S et al: Squamous cell carcinoma in a thyroglossal duct cyst: a case report with review of the literature. Am J Otolaryngol. 36(3):460-2, 2015
2. Wei Set al: Pathology of thyroglossal duct: an institutional experience. Endocr Pathol. 26(1):75-9, 2015
3. Carter Yet al: Thyroglossal duct remnant carcinoma: beyond the Sistrunk procedure. Surg Oncol. 23(3):161-6, 2014
4. Forest VI et al: Thyroglossal duct cyst carcinoma: case series. J Otolaryngol Head Neck Surg. 40(2): 151-6, 2011
5. Glastonbury CM et al: TheCT and MR imaging features of carcinoma arising in thyroglossal duct remnants. AJNR Am J Neuroradiol. 21(4):770-4, 2000
Рак желчных протоков: симптомы, диагностика и лечение
Рак желчных протоков (холангиокарцинома) является довольно редкой мутационной опухолью, рост которой начинается из патологических клеток внутренней оболочки желчных протоков. На начальных стадиях развития данная коварная патология может протекать без характерных симптомов, что затрудняет её раннюю диагностику. Чаще всего рак желчных протоков обнаруживается уже в неоперабельной фазе.
Лечение рака желчных протоков врачи-онкологи Юсуповской больницы проводят с применением самых эффективных подходов и расширенных инновационных методов, обеспечивающих существенное улучшение прогноза заболевания и качества жизни пациентов, страдающих онкопатологиями.

Рак желчных протоков: симптомы
На ранних стадиях рак желчевыводящих путей протекает, как правило, бессимптомно. Однако по мере роста мутационного очага происходит закупорка желчевыводящих путей, в результате чего нарушается отток желчи в тонкий кишечник. Вследствие всасывания желчи в кровь у больных возникает механическая желтуха.
К характерным, хотя и неспецифическим признакам прогрессирующей опухоли относятся следующие симптомы:
- желтуха
- болевой синдром в области правого подреберья
- появление тошноты и рвоты
- снижение аппетита (иногда полный отказ от пищи)
- похудение
- развитие общей слабости
- повышенная утомляемость.
Рак желчных протоков: диагностика
Своевременная диагностика рака желчевыводящих путей имеет огромное значение для благоприятного исхода. При подозрении на опухоль желчных протоков врачи Юсуповской больницы назначают пациентам тщательное обследование. В распоряжении специалистов центра онкологии Юсуповской больницы имеется высокотехнологичное оборудование, позволяющее выявить рак желчных протоков на начальных стадиях развития, благодаря чему значительно улучшается прогноз лечения.
Оценить функцию органов ЖКТ позволяет проведение расширенных анализов крови. Решающая роль принадлежит инструментальным методам исследования, самым доступным и безвредным из которых является ультразвуковое исследование.
Наиболее информативной методикой визуализации желчевыводящих путей, выявления канцерогенного очага, а также оценки его локализации и размеров на сегодняшний день является холангиопанкреатография. Суть данного исследования заключается во введении с помощью эндоскопа контрастного вещества в желчный и панкреатический протоки (через фатеров сосочек) и последующем рентгенологическом сканировании.
Если по тем или иным причинам не удается провести холангиопанкреатографию, пациентам Юсуповской больницы назначают чрескожную или чреспеченочную холангиографию с введением контрастного вещества в один из протоков инъекционно.
Исследовательский курс в Юсуповской больнице пациентам при наличии подозрений на рак желчевыводящих путей проводится с использованием таких общепринятых исследовательских мероприятий, как магнитно-резонансная томография и позитронно-эмиссионная томография.
Кровоснабжение патологического очага оценивается с помощью ангиографии – сканирования сосудистой системы.
Опухоль в желчном протоке: лечение хирургическим способом
Единственным радикальным и высокоэффективным методом лечения рака желчевыводящих путей является хирургическое удаление опухоли.
Окончательный вывод о том, является ли патобразование операбельным или неоперабельным, специалисты центра онкологии Юсуповской больницы делают на основании результатов проведенного обследования.
При выявлении холангоцеллюлярного рака точное определение объема онкопоражения, планирование индивидуальной лечебной схемы и прогноз дальнейшего течения онкопатологии не представляет сложности для квалифицированных врачей-онкологов Юсуповской больницы.
Если диагностированы проксимальные онкоопухоли, полученные результаты обследования не всегда могут быть однозначными, что объясняется особенностями анатомического строения этого отдела.
Степень операбельности внутрипеченочной неоплазии определяется в процессе проведения оперативных мер.
При неоплазии, развившейся в воротах печени, проводится резекция опухоли с близлежащими тканями. При вовлечении в патологический процесс печеночной артерии или воротной вены и полном нарушении оттока желчи больным назначают паллиативную терапию.
При диагностике неоперабельной неоплазии разрабатывается протокол поддерживающей терапии.
Химиотерапевтические методы могут применяться в следующих случаях:
- после радикального удаления патологического очага с целью полной ликвидации оставшихся злокачественных клеток;
- для симптоматической онкотерапии при тяжелой онкологии желчевыводящих путей, в случае её неоперабельности;
- при рецидивах рака желчевыводящих протоков после лечения.
После хирургического вмешательства пациент находится под строгим врачебным наблюдением. В первые двое суток – в палате интенсивной терапии. Как правило, после операции пациенты пребывают в стационаре две недели.
Опухоль в желчном протоке: лечение другими способами
В основе радиотерапии лежит высокоэнергетическое излучение, которое разрушает клетки опухоли. Как правило, подобный вид лечения применяется после хирургического удаления злокачественного новообразования для того, чтобы предупредить рецидивы.
Для того, чтобы уменьшить размеры опухоли и добиться её резектабельности, применяют предоперационную и адъювантную лучевую терапию.
Кроме того, лучевую терапию могут назначать без операции, а также без химиотерапии или в комплексе с ней, что позволяет улучшить выживаемость пациентов с неоперабельной опухолью желчных протоков.
Химиотерапия предполагает уничтожение опухолевых клеток специальными препаратами.
Химиотерапевтическое лечение применяется в следующих случаях:
- после хирургического лечения рака желчных протоков для ликвидации оставшихся опухолевых клеток;
- при рецидивах заболевания;
- для облегчения симптомов в ходе паллиативного лечения.
Чаще всего химиотерапию используют в качестве системного воздействия на организм, обеспечивающего уничтожение раковых клеток любой локализации. Однако данный вид лечения имеет и свои недостатки: ни один современный химиопрепарат не обладает направленным действием, в результате чего могут страдать не только опухолевые, но и здоровые ткани организма больного. Этим обусловлено развитие побочных эффектов, для преодоления которых химиотерапевтическое лечение в Юсуповской больнице проводится курсами, с перерывами между ними.
Паллиативная терапия позволяет уменьшить проявления заболевания и улучшить качество жизни больных, страдающих онкозаболеваниями. Она назначается при отсутствии эффективности радикальных вариантов лечения. Паллиативное лечение в Юсуповской больнице состоит из различных способов отведения желчи (оперативных и неоперативных), химиотерапии, радиотерапии и симптоматической терапии.
Одним из современных методов, восстанавливающих нормальную проходимость протока, является стентирование желчных протоков при опухоли. Отзывы пациентов Юсуповской больницы, перенесших данную процедуру, подтверждают её эффективность.
В ходе проведения стентирования в желчный проток вводится специальное устройство, благодаря которому восстанавливается его просвет, чем создаются условия для беспрепятственного прохождения желчи.
После выписки из Юсуповской больницы пациенты находятся под наблюдением врачей-гастроэнтерологов, которые следят за строгим выполнением всех полученных рекомендаций и контролируют процесс восстановления. Это необходимо для достижения максимально положительного результата лечения и предупреждения или раннего выявления осложнений и рецидивов опухоли.
Рак желчных протоков: продолжительность жизни
Холангиокарцинома относится к злокачественным новообразованиям с неблагоприятным прогнозом. Выживаемость пациентов, страдающих данной патологией, даже после операции, как правило, составляет около двух лет.
Однако ранняя диагностика и грамотное лечение, которое проводят высококвалифицированные специалисты Юсуповской больницы позволяет значительно улучшить прогноз выживаемости больных с диагнозом «рак желчных протоков». Продолжительность жизни после хирургического лечения зависит от наличия у больного метастатических процессов, сопутствующих заболеваний, а также степени дифференцированности опухоли, общего состояния и возраста пациента.
Благодаря применению в центре онкологии Юсуповской больницы современных методик лучевой и химиотерапии обеспечивается профилактика рецидивов заболевания и улучшение прогноза на излечение.
Записаться на прием к врачу центра онкологии Юсуповской больницы, узнать стоимость диагностических исследований и лечебных мероприятий можно по телефону, или у координаторов, задав вопросы онлайн на сайте клиники.
1. Аббревиатуры:
• Киста щитоязычного протока (КЩЯП)
• Остаток щитоязычного протока (ЩЯП)
2. Определение:
• Остаток ЩЯП, расположенный между слепым отверстием в корне языка и ложем щитовидной железы в подподъязычном отделе шеи
1. Общая характеристика:
• Лучший диагностический критерий:
о Объемное образование шеи, расположенное срединно выше уровня подъязычной кости, или ниже — по средней линии/парамедианно
• Локализация:
о В 20-25% выше уровня подъязычной кости
о Практически в 50% случаев на уровне подъязычной кости
о в 25% ниже уровня подъязычной кости
о Супрагиоидный отдел: срединно; инфрагиоидный отдел шеи: срединно или парамедианно, в подподъязычных мышцах
• Размер:
о Варьирует; обычно 2-4 см
• Морфология:
о Киста округлой или вытянутой формы

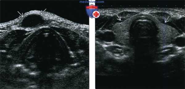
(Слева) На поперечной сонограмме в подкожных тканях визуализируется гипоэхогенное объемное образование с ровными краями, расположенное парамедианно справа, спереди от подподъязычных мышц. Образование было оперативно удалено, подтвердилась КЩЯП.
(Справа) На поперечной сонограмме у ребенка с подозрением на кисту щитоязычного протока в области предполагаемой локализации в нижних отделах шеи визуализируется щитовидная железа, имеющая нормальный вид (состоящая из двух долей). У всех пациентов, обследуемых на предмет КЩЯП, важно документально отразить наличие щитовидной железы в ожидаемом месте и отсутствие патологических изменений с ее стороны.
2. КТ при кисте щитоязычного протока:
• КТ с КУ:
о Гиподенсное кистозное образование шеи, расположенное срединно и накапливающее контраст в виде тонкого ободка:
- При инфицировании стенка кисты может накапливать контраст
- В редких случаях обнаруживаются перегородки
о Надподъязычная КЩЯП:
- Корень языка или задние отделы дна полости рта
о На уровне подъязычной кости:
- Срединно, обычно вплотную к подъязычной кости спереди
- Может выбухать в преднадгортанниковое пространство
о Подподъязычная КЩЯП:
- Погружена в подподъязычные мышцы=симптом «когтя»
- Более каудальные КЩЯП обычно располагаются парамедианно
о - Солидное эксцентрическое образование в кисте, часто с обызвествлениями
- Может иметь микроскопические размеры, вследствие чего не обнаруживается на томограммах
- Обычно у взрослых, но может наблюдаться и у подростков; самый юный пациент-десятилетний ребенок
3. МРТ при кисте щитоязычного протока:
• Т1ВИ:
о Обычно сигнал низкой интенсивности:
- Гиперинтенсивный сигнал: жидкость, содержащая белок
• Т2ВИ:
о Равномерно гиперинтенсивный сигнал
• Т1ВИ С+:
о Киста не накапливает контраст:
- При инфицировании контрастное усиление в виде «ободка»
4. УЗИ при кисте щитоязычного протока:
• Анэхогенное или гипоэхогенное срединное образование шеи:
о ± внутренние эхогенные включения (±кровоизлияния или инфекция):
о Наличие эхогенных включений внутри кисты не соотносится с гистологическими признаками кровоизлияния или инфекции
• При исследовании нижних отделов шеи необходимо убедиться в отсутствии патологических изменений щитовидной железы, наличии обеих долей
5. Рекомендации по визуализации:
• У детей КЩЯП проявляются «классически»:
о УЗИ используется только для визуализации щитовидной железы
о КТ или МРТ при инфицировании или неясном диагнозе
• У взрослых: КТ или МРТ при супрагиоидных и инфицированных кистах
• Сцинтиграфия при подозрении на эктопическую ткань щитовидной железы

(Слева) При сагиттальной КТ с КУ у ребенка с рецидивирующей кистой щитоязычного протока в надподъязычном отделе шеи по средней линии визуализируется объемное образование неоднородной структуры с бугристыми краями, наличие которого позволяет предположить воспаление остатка щитоязычного протока. Обратите внимание, что средняя часть подъязычной кости отсутствует, что связано с ранее выполненной операцией Систранка.
(Справа) При сагиттальной МРТ Т2ВИ у ребенка, которому данное исследование было выполнено из-за судорожных припадков в корне языка по средней линии визуализируется случайно выявленное объемное образование с гиперинтенсивным сигналом, которое впоследствии было верифицировано как КЩЯП.
в) Дифференциальная диагностика кисты щитоязычного протока:
1. Дермоид и эпидермоид полости рта:
• Дермоид: жир, жидкость или смешанный компонент
• Эпидермоид: жидкость
• Поднижнечелюстное пространство, подъязычное пространство, корень языка
• Никогда непосредственно не вовлекает подъязычную кость
2. Лимфатическая мальформация:
• Однокамерная или многокамерная
• Отграниченная или распространяющаяся на несколько анатомических зон
• Не накапливает контраст, если не присоединяется инфекция или, если не является комбинированной венозно-лимфатической мальформацией
• Уровни «жидкость-жидкость», обусловленные кровоизлиянием
3. Язычная щитовидная железа:
• Солидное образование, накапливающее контраст; гиперденсное на КТ без КУ
4. Абсцесс поднижнечелюстного или подъязычного пространства:
• Этиология: инфекции зубов или слюнных желез
• Не погружен в подподъязычные мышцы
• Скопление гноя, окруженное толстой стенкой, накапливающей контраст
5. Смешанное ларингоцеле:
• Обусловлено патологическим процессом в гортани
• Не погружено в подподъязычные мышцы
6. Цепочка некротически измененных «дельфийских» лимфоузлов:
• Сложно отличить от инфицированной КЩЯП:
о Редко встречается у детей

(Слева) УЗИ в поперечной плоскости у ребенка с вновь появившимся объемным образованием передних отделов шеи слева: визуализируется патологический гетерогенный очаг без признаков кровотока при цветовой допплерографии, но с выраженными эхогенными включениями, наличие которых позволяет заподозрить дермоид или рак в КЩЯП. При патоморфологическом исследовании подтвердилась киста, не осложненная кровоизлиянием, инфекцией, без признаков наличия злокачественной опухоли.
(Справа) УЗИ в поперечной плоскости у восьмилетнего ребенка: визуализируется типичная подподъязычная КЩЯП в виде анэхогенного объемного образования, расположенного парамедианно и обусловливающего легкое сдавливание левой доли щитовидной железы, в остальном выглядящей нормальной.
г) Патология:
1. Общая характеристика:
• Генетические нарушения:
о Редко встречаются семейные случаи:
- Обычно у женщин
- Аутосомно-доминантный тип наследования
о Аномалии развития щитовидной железы часто возникают в одной семье
• Этиология:
о Нарушение обратного развития ЩЯП и персистирующая секреция эпителиальными клеток, выстилающих проток → КЩЯП:
- КЩЯП или эктопическая ткань щитовидной железы может обнаруживаться в любом месте по ходу ЩЯП
• Сопутствующие патологические изменения:
о Агенезия щитовидной железы, эктопия, пирамидальная доля
о В исключительных случаях сочетается с раком щитовидной железы:
- Чаще всего папиллярный рак ЩЯП
• Эмбриогенез и анатомия:
о ЩЯП начинается возле слепого отверстия в задней трети языка о Зачаток щитовидной железы возникает в основании языка и спускается в область конечного расположения (ложе щитовидной железы) вдоль ЩЯП
о Проходит через корень языка в области дна полости рта → возле подъязычной кости или через нее → спереди от подподъязычных мышц → в ложе щитовидной железы спереди от щитовидного или перстневидного хряща
о ЩЯП обычно подвергается обратному развитию на 5-6 неделе внутриутробного развития, при этом слепое отверстие и пирамидальная доля щитовидной железы в норме остаются
о Нарушение инволюции протока и персистирующая секреция:
- КЩЯП
2. Макроскопические и хирургические особенности:
• Киста с ровными краями, выглядящая простой; наличие хода, направленного к подъязычной кости ± к слепому отверстию
3. Микроскопия:
• Киста, выстланная респираторным или плоским эпителием
• Небольшие включения ткани щитовидной железы и коллоида
• ± рак щитовидной железы, преимущественно папиллярный
1. Проявления:
• Типичные признаки/симптомы:
о Безболезненное объемное образование шеи, поддающееся сдавлению, с рыхлой структурой, расположенное срединно или парамедианно
о Другие признаки/симптомы:
- Рецидивирующее образование шеи, расположенное срединно, связанное с инфекциями верхних дыхательных путей или травмой
- ± данные о оперативных вмешательствах, выполненных ранее, и попытках дренирования «абсцесса шеи»
- Редко КЩЯП, расположенная в языке → обструкция дыхательных путей у младенцев
- Небольшие кисты, преимущественно в корне языка, могут становиться случайной находкой при МРТ головного мозга
о Физикальное исследование:
- Если КЩЯП расположена рядом с подъязычной костью, она приподнимается при высовывании языка
2. Демография:
• Возраст:
о В 90% случаев • Пол:
о Врожденная киста: М• Эпидемиология:
о Самая распространенная врожденная патология шеи:
- 90% врожденных неодонтогенных кист
- Встречается в три раза чаще кист жаберных щелей
о При посмертном исследовании у >7% населения обнаруживаются остатки ЩЯП в том или ином его участке
3. Течение и прогноз:
• Рецидивирующее, перемежающееся «набухание» объемного образования, обычно после легких инфекций верхних дыхательных путей
• Быстрое увеличение образования позволяет предположить инфицирование или сопутствующий дифференцированный рак щитовидной железы:
о Рак связан с КЩЯП (<1%)
о Дифференцированный рак щитовидной железы (85%: папиллярный рак)
4. Лечение:
• Хирургическое (полная резекция) = операция Систранка:
о Иссечение протока, идущего к слепому отверстию
о Киста удаляется целиком вместе со средней частью подъязычной кости:
- Даже если при лучевых методах исследования не выявлено явной связи между кистой и подъязычной костью
- Исключение: КЩЯП инфрагиоидного отдела шеи
о Позволяет снизить уровень рецидивов от 50% до • Изолированная язычная КЩЯП может быть удалена при эндоскопии
• Прогноз при полной хирургической резекции крайне благоприятный
• Рецидивы при неполной резекции часто возникают снаружи и осложняются:
о Послеоперационные инфекции обусловливают повышение риска рецидива
е) Диагностическая памятка. Следует учесть:
• Отношение кисты к подъязычной кости: выше ее, на одном уровне или ниже
• Любые сопутствующие узлы или грубые обызвествления подозрительны на рак щитовидной железы
• УЗИ ложа щитовидной железы выполняется для того, чтобы убедиться в ее (железы) наличии
Читайте также:
