Раневые осложнения в торакальной хирургии. Нагноение торакальных ран
Добавил пользователь Евгений Кузнецов Обновлено: 28.11.2025
Микрофлора нагноения торакальных ран. Антибиотикопрофилактика нагноения ран
Микрофлора была исследована у 277 больных хроническими нагноениями легких. В зависимости от особенностей предоперационной подготовки было выделено две группы.
Первую группу (80 человек) составили больные, у которых наряду с общеукрепляющей терапией основным видом лечения явились антибиотики широкого спектра действия с учетом чувствительности к ним микрофлоры. В комплексной бронхологической санации кроме антибиотиков использовались протеолитические ферменты.
Во второй группе (197 человек) особенностью предоперационной подготовки являлось исключение антибиотиков и применение иммунизации стафилококковым анатоксином. В качестве антибактериальной терапии при комплексной бронхологической санации использовали Фурагин—К.
Основной флорой бронхиального дерева обеих групп больных являлся стафилококк. Изучение комплекса его патогенных свойств показало, что из 362 штаммов 296 обладали признаками патогенности и являлись гемолитическими и плазмо-коагулирующими, а также обладали высокой гиалуронидаз-ной и лецитиназной активностью.
Монокультура встретилась у 22 больных, у остальных выделены ассоциации из 2—3—4 видов микробов. Наиболее часто встречались ассоциации из 3-х видов микробов (67%) В 26 микробных ассоциациях превалировал стафилококк. (79,7%).

Нам не удалось связать характер течения процесса с видовым составом микробных ассоциаций, а также обнаружить зависимость течения патологического процесса от количества микроорганизмов, участвующих в ассоциации у различных групп больных. В ряде случаев течение процесса у больных с двумя видами микробов было более тяжелым, чем при ассоциациях из 3—4 видов. При изучении ассоциаций микробов у больных с различными формами хронических нагноений характер микрофлоры не имел существенных различий.
Чувствительность микрофлоры определялась к 13 антибиотикам. При поступлении больных процент чувствительных микробных ассоциаций и чистой культуры патогенного стафилококка к антибиотикам в первой и второй группах не имел заметной разницы и был низким. Однако, по сравнению с микробными ассоциациями чувствительность чистой культуры патогенного стафилококка была почти ко всем антибиотикам выше, иногда в два и более раз. Эти данные подтверждают мнение о том, что участвующие в ассоциации дрожжевые грибки, кишечная палочка и другие микробы оказывают взаимное влияние на устойчивость к антибиотикам.
За время предоперационной подготовки (в среднем 30—40 дней в первой группе и 14—20 дней — во второй) характер микрофлоры независимо от вида предоперационной подготовки оставался без изменений. В то же время изменение чувствительности ее к антибиотикам имело определенную связь с особенностями подготовки.
В первой группе больных чувствительность микробных ассоциаций и чистой культуры патогенного стафилококка либо не изменилась, либо снизилась.
Во второй группе больных число чувствительных микробных ассоциаций резко возросло к 8 из 10 антибиотиков, особенно юренщиллину, также возросла чувствительность чистой культуры патогенного стафилококка.
Таким образом, исключение из предоперационной подготовки антибиотиков, сочетание нитрофурановых, сульфаниламидных препаратов на фоне иммунизации стафилококковым анатоксином привело к значительному повышению чувствительности микрофлоры к антибиотикам, особенно пенициллинового ряда и расширило возможности более рационального и эффективного использования их в послеоперационном периоде.
Изучение микрофлоры, как уже было сказано выше, показало, что тяжесть течения заболевания не всегда определяется характером микробных ассоциаций, поэтому естественным оказалось предположить наличие других моментов, отягощающих течение процесса — наличие у больных нарушения иммунных реакций.
Информация на сайте подлежит консультации лечащим врачом и не заменяет очной консультации с ним.
См. подробнее в пользовательском соглашении.
Раневые осложнения в торакальной хирургии. Нагноение торакальных ран
Крупные успехи, достигнутые в области торакальной хирургии, позволили улучшить результаты оперативного лечения больных, значительно снизив процент осложнений. Однако, послеоперационные гнойно-воспалительные осложнения у больных хроническими нагноениями легких до настоящего времени являются одним из наиболее частых и серьезных осложнений, приводящих к гибели больных. Процент их, по данным литературы, колеблется от 4 до 45.
Консервативное лечение больных, подготовка их к операции стали более совершенными, особенно при использовании комплексных бронхологических методов санации. Поэтому привлекает пристальное внимание увеличение за последние годы количества больных с тяжелыми формами хронических нагноений, а также частоты и тяжести послеоперационных осложнений. Участилось количество случаев агрессивного течения инфекции с вовлечением в процесс значительных участков легкого и, нередко, плевры с преобладанием деструктивных процессов над репаративными, что бесспорно отягощает течение операции и послеоперационного периода.
Несмотря на большое количество проведенных исследований, до настоящего времени остаются мало изученными многие важные вопросы, касающиеся взаимосвязи микробного фактора, иммунного состояния организма и антибиотикотерапии у данной категории больных.
Одной из самых трудных и сложных проблем остается профилактика послеоперационных гнойно-воспалительных осложнений.

В работе учтен опыт хирургического лечения в клинике около 2000 больных. В основу ее положены результаты детального клинического исследования и изучения 382 больных, оперированных по поводу хронических нагноений легких за последние годы .
Основными моментами, благоприятствующими течению инфекции являются:
1) вирулентность микрофлоры, ее антибиотикоустойчивость;
2) нарушение иммунобиологической реактивности организма;
3) наличие некротических тканей и тканей с нарушенным кровообращением в очаге внедрения инфекции, благоприятствующих ее размножению.
Для выявления причин возникновения послеоперационных гнойно-воспалительных осложнений приобретает особое значение изучение видового состава микрофлоры, ее вирулентности, чувствительности к антибиотикам, а также тех изменений, которые происходят в видовом составе микрофлоры и ее чувствительности в результате проводимого лечения. Необходимость в тщательном изучении микрофлоры возникла в связи с возможностью широкого применения новейших антибиотиков в различных комбинациях и в сочетании с ферментамч соответственно чувствительности к ним микрофлоры. Было обнаружено, что несмотря на эффективность санации бронхиального дерева перед операцией, процент послеоперационных гнойных осложнений с каждым годом имел тенденцию к увеличению, а в конце 1967 и 1968 гг. возрос в 3 раза.
ГБУЗ «Московская городская онкологическая больница №62» Департамента здравоохранения Москвы, Москва, Россия
РНЦХ им. акад. Б.В. Петровского РАМН
ФГБНУ «РНЦХ им. акад. Б.В. Петровского», Москва, Россия
Институт хирургии им. А.В. Вишневского Минздравсоцразвития РФ, Москва
Отделение кардиореанимации и интенсивной терапии ФГБУ РНЦХ им. акад. Б.В. Петровского РАМН, Москва
Российский научный центр хирургии им. акад. Б.В. Петровского, РАМН, Москва
Российский научный центр хирургии им. акад. Б.В. Петровского РАМН, Москва
Российский научный центр им. Б.В. Петровского РАМН
ФГБУ «Российский онкологический научный центр им. Н.Н. Блохина» Минздрава России, Москва, Россия
Отделение хирургии аорты и ее ветвей (зав. — д.м.н. Э.Р. Чарчян), ФГБУ «Российский научный центр хирургии им. акад. Б.В. Петровского» (дир. — акад. Ю.В. Белов), Москва, Россия
Лечение гнойных торакальных осложнений у больной пожилого возраста после операции Крауфорда
Журнал: Хирургия. Журнал им. Н.И. Пирогова. 2014;(5): 67‑70
Кононец П.В., Чарчян Э.Р., Базаров Д.В., Печетов А.А., Еременко А.А., Бабаев М.А., Орешкина Т.Д., Шарипжанова Р.Д., Абдумурадов К.А., Богов А.А., Хетагуров М.А., Чекини А.К., Ким С.Ю. Лечение гнойных торакальных осложнений у больной пожилого возраста после операции Крауфорда. Хирургия. Журнал им. Н.И. Пирогова. 2014;(5):67‑70.
Kononec PV, Charchian ÉR, Evseev EP, Pechetov AA, Eremenko AA, Babaev MA, Oreshkina TD, Sharipzhanova RD, Abdumuradov KA, Bogov AA, Khetagurov MA, Chekini AK, Kim SYu. Purulent thoracic complications treatment in elderly patient after Crawford's surgery. Pirogov Russian Journal of Surgery = Khirurgiya. Zurnal im. N.I. Pirogova. 2014;(5):67‑70. (In Russ.).
В соответствии с прогнозами ООН к 2025 г. численность людей в возрасте старше 60 лет превысит 1 млрд, что составит 15% всего населения Земли. Такая тенденция прослеживается и в России. При этом одним из актуальных вопросов гериатрии являются болезни органов дыхания и сердечно-сосудистой системы, которые занимают важное место в структуре заболеваний у людей пожилого и старческого возраста, оказывая существенное влияние на качество и продолжительность жизни. Отчетливо прослеживается тенденция к росту числа больных пожилого возраста, нуждающихся в кардиохирургической помощи. Если в 1997 г. средний возраст первично оперированных больных составил 64 года, то в 2004 г. он достиг 68 лет, при этом число больных старше 70 лет возросло с 12,3 до 37,5% [3].
Несмотря на более чем полувековую историю, реконструктивная хирургия аорты остается одним из сложных и драматичных разделов сердечно-сосудистой хирургии. На современном этапе хирургия аневризм грудного отдела аорты практически перестала быть предметом дискуссий в отношении техники реконструкции аорты, а повышение клинической эффективности операции зависит преимущественно от хирургического опыта отдельных клиник.
По данным литературы, к основным нерешенным проблемам можно отнести высокий риск операции, связанный с хирургической травмой и нарушениями гомеостаза на фоне ряда тяжелых сопутствующих заболеваний у больных пожилого возраста [1].
Количество послеоперационных осложнений у больных пожилого и старческого возраста значительно выше, чем у больных других возрастных групп. Данное различие обусловлено ослаблением адаптационных возможностей старческого организма, снижением регенерационной способности тканей и устойчивости к инфекциям, а также наличием хронических трофических расстройств, связанных с длительным анамнезом заболевания. В доступной литературе мы не встретили публикаций, посвященных хирургическому лечению тяжелых инфекционных внутриплевральных осложнений в сочетании с нагноением послеоперационной раны у больных, перенесших реконструктивную операцию на торакоабдоминальной аорте.
Приводим собственное клиническое наблюдение.
Больная О., 74 лет, поступила 20.03.13 в отделение хирургии аорты и ее ветвей РНЦХ с жалобами на боли в поясничной области и периодический кашель. В 2010 г. при рентгенографии органов грудной клетки выявлено расширение грудного отдела аорты. При компьютерной томографии грудной клетки диагностирована аневризма нисходящего отдела аорты. В 2013 г. при КТ отмечена отрицательная динамика в виде увеличения диаметра нисходящей аорты и тотального распространения пристеночных тромботических масс на грудной отдел аорты.
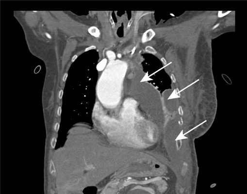
Общее состояние при поступлении средней степени тяжести. Обращали на себя внимание одышка и цианоз слизистых. По данным КТ органов грудной клетки, восходящая аорта на уровне бифуркации трахеи расширена до 4,1 см. Диаметр брахицефального ствола в области устья 1,2 см, левые общая сонная и подключичная артерии не расширены и без значимых стенозов. Диаметр дуги аорты у устья брахицефального ствола 3,6 см, в области устья левой подключичной артерии - 3,8 см, диаметр аорты в области перешейка 3,2 см. Отмечается расширение нисходящей грудной аорты от уровня перешейка до 5,9 см (ранее 4,5 см) и наличие серповидного тромба протяженностью 2,8 см в аксиальном сечении. Тромботические массы распространяются на всю грудную аорту. На уровне левого предсердия диаметр нисходящей аорты 4,5 см, у ножек диафрагмы - 3,3 см, в супраренальном сегменте брюшной аорты - 3,2 см (рис. 1). Рисунок 1. Компьютерные томограммы органов грудной клетки с внутривенным контрастированием. а - 3D-реконструкция. Расширение всей грудной аорты; б - поперечный срез. Внутрипросветный тромб, распространяющийся на нисходящую аорту.
Установлен диагноз: аневризма торакоабдоминального отдела аорты. III тип по Crawford. Расширение восходящей аорты. Кроме того, у больной имелось несколько сопутствующих заболеваний, включая артериальную гипертензию III стадии, ИБС, атеросклеротический кардиосклероз, наджелудочковую экстрасистолию, хроническую обструктивную болезнь легких легкой степени, аутоиммунный тиреоидит, эутиреоз, болезнь Хортона (гигантоклеточный артериит), распространенный остеохондроз позвоночника.
02.04 выполнена операция: резекция аневризмы торакоабдоминального отдела аорты из левого торакоабдоминального доступа. Протезирование аорты синтетическим протезом Vascutec 26 мм от устья левой подключичной артерии до устья нижней брыжеечной артерии с включением двух пар спинальных артерий (артерии Адамкевича) на единой площадке, чревного ствола, верхней брыжеечной, правой почечной артерий на единой площадке в бок протеза аорты, имплантация левой почечной артерии в протез аорты (по методике Crawford).

Послеоперационный период протекал тяжело и осложнился дыхательной недостаточностью на фоне гнойного распространенного трахеобронхита. На 6-е сутки при рентгенологическом исследовании выявлено осумкованное скопление жидкости в левой плевральной полости и снижение прозрачности левого легкого (рис. 2). Рисунок 2. Компьютерная томограмма на 6-е сутки после операции. Осумкованные скопления жидкости в левой плевральной полости (указаны стрелками).
Подозрение на свернувшийся гемоторакс и явления нарастающей дыхательной недостаточности послужили показанием к экстренной операции. 11.04 выполнены торакотомия, частичная декортикация левого легкого, некрэктомия мягких тканей грудной стенки, резекция V и VI ребер, санация и дренирование левой плевральной полости. В посеве из плевральной полости получен рост Acinetobacter baumannii и Enterobacter cloacae.
Послеоперационный период осложнился нагноением и некрозом мягких тканей грудной стенки слева, несостоятельностью швов мягких тканей и ребер, остеомиелитом и перихондритом V и VI ребер. Выраженная дыхательная недостаточность и необходимость проведения продленной ИВЛ явились показанием к трахеостомии.
В связи с тяжестью состояния больной в условиях реанимационного отделения на 7-е сутки после экстренной реторакотомии выполнена хирургическая обработка раны с резекцией некротизированных мягких тканей, разведением краев раны до костных структур грудной стенки с последующим низковакуумным местным воздействием на рану в течение 28 дней. Для создания низкого давления (–80 мм рт.ст.) в ране использован аппарат «Супрасорб» CNP1 (Lohmann & Rauscher) с рабочим диапазоном отрицательного давления от –1 до –250 мм рт.ст. В качестве перевязочного материала использовали антибактериальные салфетки Kerlix.
Местную и системную антибактериальную терапию проводили с учетом показателей роста микрофлоры из раны и чувствительности к антибактериальным препаратам. Многократные посевы раневого отделяемого выявили наличие роста полирезистентной флоры: Acinetobacter baumannii и Enterobacter cloacae, что явилось показанием к проведению массивной антибактериальной (амоксиклав, ципринол, диоксидин, зивокс, брамитоб), противовоспалительной, иммуностимулирующей терапии (3 курса пентаглобина, галавит, имунофан), коррекции белковых нарушений и анемии. Также больная получала постоянное зондовое энтеральное питание, выполнялись многократные санационные бронхоскопии.

В результате проводимого лечения на 23-и сутки в локальном статусе раны отмечена выраженная положительная динамика в виде появления сочных грануляций и отсутствия фибринозных наложений (рис. 3). Рисунок 3. Внешний вид послеоперационной раны на 23-и сутки после экстренной операции. Остеомиелит и перихондрит ребер, разрастания сочных грануляций на стенках раны. Положительная динамика наблюдалась и в общем состоянии больной.
В связи с этим проведен консилиум и принято решение о выполнении завершающего этапа хирургического лечения больной в объеме повторной хирургической обработки раны с одномоментной миопластикой обширного дефекта мягких тканей.

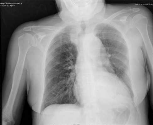
Деканюляция трахеи произведена через 45 дней после трахеостомии. При рентгенологическом исследовании выявлена положительная динамика в виде увеличения прозрачности левого легкого и отсутствия жидкости в левой плевральной полости (рис. 5). Рисунок 5. Рентгенограмма грудной клетки в прямой проекции на 17-е сутки после закрытия раны. Левое легкое без очаговых изменений. Свободной жидкости в плевральных полостях не определяется.
На 90-е сутки больная в удовлетворительном состоянии, без признаков дыхательной недостаточности, со стабильной гемодинамикой выписана на амбулаторное лечение и реабилитацию.
Наиболее неблагоприятным осложнением после операций на сердце и аорте является медиастинит (частота возникновения 1-4%). L. Dacey и соавт. [9], детально изучившие причины и факторы риска медиастинита, показали, что наиболее часто осложнениям подвержены больные, которым операция выполнялась в экстренном порядке, а также больные с различными сопутствующими заболеваниями и выраженной сердечной недостаточностью (с фракцией выброса менее 40%). Особое значение в развитии этого осложнения отводится ожирению, в зависимости от степени выраженности которого вдвое повышается риск развития медиастинита. Частота ранней окклюзии шунтов при инфекционных осложнениях также значительно выше - через 12 мес после перенесенного медиастинита тромбированными оказались 38% шунтов по сравнению с 9% у больных с неосложненным течением послеоперационного периода.
Другое грозное осложнение - эмпиема плевры, которая после таких вмешательств в литературе упоминается гораздо реже. Причина, вероятнее всего, кроется в том, что кардиохирурги реже используют в качестве доступа торакотомию, а также редко вскрывают плевральные полости во время стернотомии. Тем не менее наблюдения эмпиемы у кардиохирургических больных имеют место. Зарубежные исследователи называют ведущими причинами инфекционных плевральных осложнений у кардиохирургических больных пневмонию и внутриплевральные кровотечения с исходом в свернувшийся гемоторакс [10]. Кроме того, следует отметить и чрезвычайную травматичность торакоабдоминального доступа при операциях на грудной и брюшной аорте. Этот доступ сопровождается пересечением большого массива мышц и нередко нескольких ребер, что, несомненно, является неблагоприятным фактором риска развития инфекционных осложнений, особенно у пожилых больных со сниженными репарационными способностями. По мнению большинства авторов, больные пожилого возраста входят в группу риска по развитию легочно-плевральных осложнений после операции на сердце и аорте [12, 13]. Лечение эмпиемы плевры остается трудной задачей современной торакальной хирургии. Предложено множество алгоритмов, включающих консервативное лечение таких больных с использованием промывных дренажных систем, торакоскопические санации плевральной полости и более радикальные хирургические вмешательства с иссечением мешка эмпиемы и декортикацией легкого [7, 11, 14, 15].
Сочетание эмпиемы плевры с нагноением послеоперационной раны грудной стенки существенно ухудшает прогноз у больных с заболеваниями сердца. Лечение принимает более затяжной, многоэтапный характер, при этом значительное внимание уделяется местному раневому процессу, поскольку наличие очага инфекции в ране и в плевральной полости располагает к генерализации инфекции с исходом в септическое состояние.
В последнее время появились публикации, посвященные методу вакуумного лечения ран [5, 6, 8]. Метод лечения ран путем воздействия контролируемым отрицательным давлением, по-другому называемый вакуум-терапией, является в настоящий момент признанным стандартом в лечении острых и хронических инфицированных ран. Его применение позволяет значительно сократить сроки очищения ран, добиться раннего купирования гнойного воспалительного процесса, а также более быстрого заживления раны. Принцип метода заключается в создании в ране локальной зоны разряжения, что способствует:
- хорошей эвакуации раневого отделяемого;
- очищению раны от раневого детрита;
- стимуляции кровотока в ране;
- уменьшению отека в окружающих тканях;
- сокращению размеров раны.
Адаптационные способности пожилого человека по сравнению с таковыми у людей более молодого возраста значительно снижены. Вместе с тем в старческом возрасте чаще проявляется ряд заболеваний, для лечения которых необходимо проведение сложных и травматичных хирургических вмешательств. Хирургический стресс и послеоперационная боль усиливают нагрузку практически на все жизненно важные системы организма. Правильное ведение интра- и послеоперационного периода у пожилых больных является одной из актуальных задач современной гериатрии [2]. Наличие сопутствующих заболеваний и возрастных изменений повышает степень риска возникновения осложнений и неблагоприятного исхода [4]. Успехи и достижения современной анестезиологии и реаниматологии позволяют выполнять операции у больных пожилого и старческого возраста. При неосложненном течении послеоперационного периода результаты хирургического лечения этой категории больных не хуже, чем у лиц молодого возраста, однако присоединение легочно-плевральных инфекционных осложнений имеет катастрофические последствия и в большинстве наблюдений заканчивается летальным исходом.
В приведенном наблюдении показано, что пожилой возраст не является абсолютным противопоказанием к хирургическому вмешательству любой сложности. При развитии гнойных торакальных послеоперационных осложнений целесообразен мультидисциплинарный подход с привлечением торакальных хирургов, реаниматологов, эндоскопистов. Лечебный процесс, с одной стороны, должен быть максимально радикальным и эффективным, включая повторные санационные операции. С другой стороны, с учетом ограниченных резервов организма больных необходимо использовать безопасные и щадящие технологии, к которым, по нашему мнению, относится система для вакуумной терапии ран.
Институт хирургии им. А.В. Вишневского Минздрава РФ, Москва
Институт хирургии им. А.В. Вишневского, Москва
ФГБУ НМИЦ «Институт хирургии им. А.В. Вишневского» Минздрава России, Москва, Россия
Несостоятельность шва бронха после пневмонэктомии — одно из самых тяжелых осложнений в торакальной хирургии, летальность в этом случае достигает 20—30%. Частота несостоятельности культи главного бронха после пневмонэктомии зависит от многих факторов: этиологии первичного заболевания, соматического статуса пациента и компенсации сопутствующих заболеваний, варианта формирования шва, длины культи бронха и в специализированных отделениях торакальной хирургии составляет от 2,5 до 13,3% [1—4].
Тактика лечения пациентов с БПС зависит от сроков диагностики несостоятельности культи бронха — при ранней несостоятельности оправданы попытки повторной резекции и ушивания культи главного бронха, в то время как при развитии эмпиемы плевры целесообразно этапное лечение с ликвидацией бронхоплеврального свища после санации плевральной полости. Сегодня нет единого взгляда на тактику лечения пациентов с несостоятельностью культи главного бронха при неспецифической эмпиеме плевры — предложены различные методы эндобронхиальной окклюзии главного бронха, трансцервикальной эндоскопической окклюзии культи бронха. Однако эти технологии не имеют широкого распространения, а их преимущества и недостатки описаны в отдельных сериях наблюдений [5—9]. Одна из радикальных операций при бронхиальных свищах — трансстернальная трансперикардиальная окклюзия культи главного бронха, подробно описанная Л.К. Богушем и соавт. [10] в 1972 г., до настоящего времени широко распространена во фтизиохирургии. Однако публикации о выполнении этой операции у пациентов с неспецифической эмпиемой плевры как в российской, так и в зарубежной литературе немногочисленны. В настоящей работе представлены дифференцированный подход к выбору метода ликвидации бронхоплеврального свища и результаты выполнения трансстернальной окклюзии культи главного бронха на фоне неспецифической эмпиемы плевры.
Материал и методы
В период с апреля 2005 г. по декабрь 2016 г. проведено лечение 32 пациентов с бронхоплевральными осложнениями после анатомических резекций легких. Пневмонэктомия выполнена 27 пациентам по поводу немелкоклеточного рака легкого, метастатического поражения и воспалительных заболеваний легких — 15 (55,5%), 3 (11,1%) и 9 (33,3%) больных соответственно. Два пациента исключены из анализа в связи с отсутствием данных в первичной медицинской документации.
Проанализированы результаты лечения 25 пациентов с несостоятельностью культи главного бронха и неспецифической эмпиемой плевры после пневмонэктомии. Медиана возраста составила 59 лет (50; 61 год), преобладали мужчины (23:2). Правосторонняя пневмонэктомия выполнена 15 (60%) пациентам (95% ДИ 40,7—66,7). Длительность течения заболевания от манифестации эмпиемы плевры до госпитализации в стационар составила 3—58 мес, медиана 21 (16; 36) мес. Таким образом, у всех пациентов наблюдали хроническую эмпиему плевры на фоне бронхоплеврального свища.
Основными жалобами пациентов были кашель с обильным отхождением слизисто-гнойной мокроты, одышка при физической нагрузке, нарушение фонации (вплоть до афонии), субфебрильная температура тела.
Пациенты обследованы по единому протоколу, который включал бронхоскопию с измерением длины культи главного бронха, диаметра свищевого хода; бронхоальвеолярный лаваж и бактериологическое исследование отделяемого из трахеобронхиального дерева; мультиспиральную компьютерную томографию (МСКТ) грудной клетки с трехмерной реконструкцией трахеобронхиального дерева и элементов корня легкого.
На первом этапе лечения проводили санацию остаточной плевральной полости. В связи с длительным течением заболевания для обеспечения адекватной санации плевральной полости формирование торакостомы потребовалось 12 (48%) пациентам, дренирование и торакоскопическая санация проведены 8 (32%) и 5 (20%) пациентам соответственно.
После завершения санации плевральной полости пациентов разделили на две группы в зависимости от длины культи главного бронха: 20 мм и более — 1-я группа (основная), менее 20 мм — 2-я группа (контроль). В 1-й группе 9 (36%) пациентам выполнена трансстернальная окклюзия культи главного бронха, во 2-й группе 16 (64%) пациентам выполнена пластика культи бронха перемещенным мышечным лоскутом на сосудистой ножке (14; 87,5%) или прядью большого сальника (2; 12,5%).
В основной группе диаметр свищевого хода составил от 2 до 15 мм, длина культи бронха варьировала от 20 до 60 мм. Преобладали мужчины — 8:1. Соотношение право- и левосторонней несостоятельности культи бронха составило 4:5. Одномоментное хирургическое лечение проведено 3 пациентам — выполнена трансстернальная окклюзия культи бронха с одномоментной торакоскопической санацией остаточной плевральной полости. Этапное лечение, включавшее формирование боковой торакостомы, в последующем основной этап (трансстернальная окклюзия) и отсроченная торакопластика осуществлены 5 пациентам. Время выполнения трансстернальной окклюзии 240—280 мин, медиана 261 (235; 300) мин.
Описание операции
Положение пациента на спине с приведенными вдоль тела руками и «валиком» под лопатками. Интубация главного бронха единственного легкого под контролем фибробронхоскопии. Все пациенты оперированы из полной срединной стернотомии. После выделения структур переднего средостения отдельными лигатурами фиксировали безымянную вену, брахицефальный ствол, общую сонную артерию. Переднебоковые стенки трахеи мобилизовали от шейного отдела до бифуркации. При правосторонней локализации бронхоплеврального свища после удаления медиастинальной клетчатки из аортокавального промежутка выполняли рассечение переднего листка перикарда. Из окружающих тканей выделяли культю главного бронха и через аортокавальный промежуток с помощью сшивающего аппарата выполняли его окклюзию на минимальном расстоянии от бифуркации трахеи (см. рисунок).

Аортокавальный промежуток (пространство Амбруцини) (рисунок Е.А. Воробьевой). Центральную культю главного бронха дополнительно укрепляли отдельными узловыми швами. При наличии факторов риска несостоятельности культи бронха формировали мышечный лоскут на питающей ножке из медиальной порции правой большой грудной мышцы, которым дополнительно укрепляли окклюзированную культю главного бронха. При левосторонней локализации мобилизацию осуществляли по левой стенке трахеи до бифуркации последней с диссекцией и мобилизацией дуги аорты и левого предсердия.
С целью контроля герметичности бронхиальной культи выполняли водную пробу и санационную бронхоскопию. В ретростернальное пространство устанавливали один термопластичный силиконовый дренаж. У 2 пациентов одномоментно выполнена санация остаточной плевральной полости через мини-торакотомию с установкой проточно-промывного дренажа.
Результаты
Результаты лечения пациентов прослежены в период от 18 до 110 мес, медиана 48 (19; 52) мес. Результаты хирургического лечения оценивали как хорошие (при купировании воспаления, отсутствии бронхоплеврального свища и ликвидации торакостомы), удовлетворительные (отсутствие бронхоплеврального свища при возможном сохранении, постоянном или временном, торакостомы) и неудовлетворительные (рецидив бронхоплеврального свища и/или эмпиемы плевры).
Умерли 2 (8%) пациента (95% ДИ 2,2—25), из них 1 — после трансстернальной окклюзии и 1 в группе контроля — после пластики культи бронха лоскутом широчайшей мышцы спины. Причины летальных исходов — острая дыхательная недостаточность на фоне острого респираторного дистресс-синдрома и прогрессирование полиорганной недостаточности на фоне гнойно-септических осложнений на 12-е и 36-е сутки после операции соответственно.
Рецидива заболевания после выполнения трансстернальной окклюзии не было. В группе контроля рецидив бронхоплеврального свища отмечен у 2 (12,5%) пациентов (95% ДИ 3,5—36).
Медиана продолжительности лечения в стационаре составила 13 (13;16) сут у пациентов после трансстернальной окклюзии культи главного бронха и 20 (11; 35) сут в группе контроля (p<0,05).
Таким образом, хороший и удовлетворительный результаты лечения после трансстернальной окклюзии культи главного бронха достигнуты у 23 (92%) из 25 пациентов (95% ДИ 75—97,8).
По данным Европейского общества торакальных хирургов (ESTS), частота несостоятельности культи главного бронха после пневмонэктомии составляет 1,8% [11]. Стандартизация лечения этой разнородной группы пациентов крайне сложна, в связи с этим до сих пор актуален опыт отдельных учреждений и публикации серий клинических наблюдений [12, 13]. Алгоритм лечения пациентов с несостоятельностью культи бронха после пневмонэктомии включает 3 основные задачи: санацию плевральной полости, ликвидацию патологического бронхоплеврального соустья и устранение дефекта мягких тканей грудной клетки. В систематическом обзоре I. Zahid и соавт. [14], проанализировав результаты исследований, отвечающих на вопрос о лучшем методе лечения эмпиемы плевры после пневмонэктомии, пришли к выводу, что открытые операции обеспечивают лучший контроль над заболеванием, сопряжены с меньшей продолжительностью стационарного лечения и меньшей частотой повторных операций. В нашей серии наблюдений торакостомия на первом этапе лечения была необходима 12 (48%) из 25 пациентов, дренирование и торакоскопическая санация проведены 8 (32%) и 5 (20%) пациентам соответственно.
Настоящая работа посвящена дифференциальному подходу к выбору метода ликвидации бронхоплеврального соустья, который традиционно основан на оценке длины культи бронха и диаметра свищевого хода, фазы эмпиемы плевры, выраженности интоксикационного синдрома, характера предшествующих операций.
Трансстернальная окклюзия культи главного бронха — один из методов лечения несостоятельности культи главного бронха, предложенный J. Ambruzini в 1961 г. В 1964 г. Л.К. Богуш и Ю.Л. Семененков модифицировали метод Ambruzini, для улучшения доступа к культе бронха стали широко вскрывать перикард по передней, верхней и задней поверхностям, повторно обрабатывать и рассекать культю легочной артерии, что создавало наилучшие условия для манипуляций в аортокавальном промежутке [10]. Отдельные технические особенности выполнения трансстернальной окклюзии модифицированы и оптимизированы разными авторами, однако до настоящего времени выполнение окклюзии главного бронха через срединную стернотомию остается сложной операцией, и выполнять ее рекомендуется только в специализированных отделениях торакальной хирургии. Медиастинальная лимфоаденэктомия при расширенной пневмонэктомии предопределяет сложность мобилизации трахеи и главных бронхов на фоне выраженного спаечного процесса, что является одной из особенностей операций при неспецифической эмпиеме плевры. При определении показаний к трансстернальной окклюзии в настоящем исследовании длина культи бронха не менее 20 мм была определена в качестве пограничной. Это обусловлено в первую очередь опытом выполнения трансстернальной окклюзии главного бронха в конкретном учреждении и выбором аппаратного шва для повторного формирования культи бронха, что требует большей длины бронха, чем при ручном шве. Необходимо отметить, что, по данным Л.К. Богуша и соавт. [10], минимально достаточная для выполнения трансстернальной окклюзии длина культи бронха определена равной 15 мм. Еще одной обсуждаемой технической особенностью операции остается необходимость иссечения дистальной части культи резецируемого бронха. В нашем исследовании экстирпация дистальной культи бронха не выполнена у 4 из 9 пациентов в связи с выраженностью спаечных процессов в области средостения, а также в связи с интимной связью с культей легочной артерии. При отказе от удаления дистальной части культи бронха выполняли электрокоагуляцию слизистой оболочки и его ушивание с медиастинальной стороны. С целью профилактики реканализации культи бронха проксимальную и дистальную культи бронха разобщали лоскутом перикарда или мышечным лоскутом (Ginsberg). За время наблюдения рецидива свища (т.е. реканализация культи бронха) не наблюдали. Небольшое количество наблюдений не позволяет сделать окончательное заключение о необходимости указанной манипуляции, однако полученные результаты свидетельствуют о целесообразности соотношения риска и потенциальной пользы, возможности обоснованного отказа у части пациентов от этой манипуляции.
К преимуществам трансстернальной окклюзии относят снижение количества рецидивов и длительности пребывания в стационаре. Однако необходимо отметить, что такое преимущество обусловлено в большей степени тяжестью общего состояния пациентов и фазой раневого процесса, в которой находятся больные при выборе других методов лечения.
Таким образом, меньшая травматичность и хорошая воспроизводимость трансстернальной окклюзии культи главного бронха в сравнении с транспозицией свободных тканевых лоскутов при длине культи бронха 20 мм и более на фоне хронической эмпиемы плевры позволяет рассматривать эту операцию в качестве метода выбора у отобранной группы пациентов.
Авторы заявляют об отсутствии конфликта интересов.
The authors declare no conflicts of interest.
Сведения об авторах
Печетов А.А., Грицюта А.Ю., Есаков Ю.С., Леднев А.Н. Трансстернальная окклюзия культи главного бронха при бронхоплевральном свище и неспецифической эмпиеме плевры. Хирургия. Журнал им. Н.И. Пирогова. 2019;7:5-9. doi: 10.17116/hirurgia2019071
Классификация ран. Раневой процесс

Рана - любое повреждение тканей, сопровождающееся нарушением целостности покровов тела. К такому повреждению может вести воздействие различных факторов: механических, термических, химических, лучевых. Комбинированные раны возникают при одновременном воздействии нескольких видов повреждающих факторов. Одномоментное или ограниченное по времени воздействие внешних повреждающих факторов приводит к образованию острых ран. Хронические раны являются результатом длительного постоянного неблагоприятного воздействия на ткани. Природа этого воздействия часто эндогенная, например, нарушения артериального или венозного кровоснабжения, иннервации, или постоянное подтекание экссудата из гнойной полости. Другой частой причиной образования хронических ран служит длительное локальное давление на ткани.
Раны являются одним из самых частых травматических повреждений. Пострадавшие получают ранения в бытовых, производственных, боевых и криминальных условиях. Характерно, что большая часть пострадавших находится в молодом трудоспособном возрасте. Кроме того, раны наносятся при выполнении оперативных вмешательств. В последнем случае главной особенностью является возможность создания условий, сводящих к минимуму риск раневых осложнений. Общим для всех ран за исключением послеоперационных является то, что они всегда контаминированы микроорганизмами, и зачастую осложняются развитием инфекции.
Раневой процесс
Основными клиническими признаками ран сразу после их нанесения являются наличие дефекта кожи или слизистых, кровотечение и боль. В дальнейшем клиническая картина соответствует фазам течения раневого процесса.
Образование любой раны сопровождается последовательностью местных и общих реакций организма. Общие реакции более выражены при образовании острых ран. Они заключаются в типичных проявлениях стресс-синдрома - усилении всех процессов жизнедеятельности под влиянием симпатической нервной системы и гормонов, повышении основного обмена и катаболизма. При всасывании в кровоток продуктов распада тканей и микробных токсинов, стимулирующих лейкоциты к выбросу цитокинов, могут иметь место системные воспалительные реакции: лихорадка, увеличение количества лейкоцитов, тахикардия и прочие. В отсутствие осложнений эти явления полностью купируются через 4-5 суток.
Местные реакции организма направлены на восстановление целостности поврежденных тканей. Заживление ран различных органов и тканей имеет свои особенности, зависящие от их морфологического строения. Раневой процесс может существенно различаться по длительности, но всегда сопровождается образованием соединительно-тканного рубца. Без образования рубца заживают только поверхностные раны без повреждения росткового слоя кожи. Выделяют 3 фазы течения раневого процесса (рис. 11. 1).
Фаза воспаления – начинается сразу после ранения и в отсутствие осложнений продолжается в среднем 4-5 суток. Характеризуется типичными сосудистыми реакциями - вазоконстрикцией, сменяющейся вазодилатацией, экссудацией с выходом плазменных белков, миграцией и выходом форменных элементов крови в зону повреждения, выпадением фибрина с отграничением зоны повреждения, отеком и инфильтрацией окружающих тканей. В последующем фибрин подвергается фибринолизу, при этом происходит очищение раны от некротизированных тканей и микроорганизмов с участием лейкоцитов и их ферментов.
Фаза регенерации или пролиферации в среднем продолжается 2-4 недели. Процессы регенерации начинаются уже с 1 суток после ранения, и их продолжительность зависит от величины раневого дефекта и морфологии поврежденных тканей. Происходит миграция фибробластов, образование коллагена и основного вещества, новообразование кровеносных сосудов с развитием грануляционной ткани в месте тканевого дефекта. Постепенно уменьшаются экссудация и отек, грануляционная ткань со дна раны заполняет весь дефект. Грануляционная ткань содержит много новообразованных сосудов и практически не иннервирована. При нормальном течении раневого процесса поверхность гранулирующих ран яркая, «сочная», при перевязках характерна высокая контактная кровоточивость и незначительная болезненность.
Фаза эпителизации и реорганизации рубца в зависимости от морфологии тканей продолжается от нескольких недель до года. Эпителизация начинается от краев раны одновременно с образованием грануляционной ткани. Данный процесс регулируется действием эпидермального хейлона, являющегося контактным ингибитором пролиферации. Сразу после формирования рубца начинается его перестройка: происходит образование эластических волокон и развитие новой фиброзной сети, а содержание воды в рубцовой ткани снижается.
На течение раневого процесса влияют различные общие и местные факторы. К общим факторам относятся: возраст, состояние питания и иммунный статус пациента, различные нарушения гомеостаза, сопутствующие заболевания, в том числе сахарный диабет, прием противовоспалительных средств, цитостатиков, массивная антибиотикотерапия. К местным факторам, влияющим на течение раневого процесса, относится состояние кровоснабжения и степень травматизации тканей в зоне повреждения, уровень микробной контаминации раны и качество ухода за раной.
По степени обсемененности и наличию признаков инфекции все раны делятся на 3 вида: асептические, контаминированные и инфицированные.
· Асептическими являются только операционные раны при «чистых» оперативных пособиях.
· Контаминированные – это раны, обсемененные микрофлорой, но без признаков нагноения. К ним относятся все случайные раны после их нанесения и часть операционных ран.
· Инфицированные – это гнойные раны, то есть раны с признаками наличия инфекционно-воспалительного процесса. Они подразделяются на первично инфицированные – образовавшиеся после операций по поводу острых гнойных процессов, и вторично инфицированные – раны, нагноившиеся в процессе заживления.
Раневой процесс заканчивается заживлением раны. Выделяют следующие типы заживления ран:
· Заживление первичным натяжением – заживление без нагноения. Оно происходит с развитием линейного рубца без образования видимой межуточной ткани. Такое заживление свойственно для ран с ровными жизнеспособными краями, отстающими друг от друга не более чем на 1 см, и при микробной контаминации тканей ниже критического уровня. Операционные раны при наложении первичных швов обычно заживают первичным натяжением.
· Задержанное первичное - заживление по типу первичного натяжения. Это заживление без нагноения при отсроченном закрытии раны швами.
· Заживление вторичным натяжением – заживление через нагноение и гранулирование с развитием грубого рубца и образованием видимой межуточной ткани. Имеет место при обширных дефектах тканей, не допускающих первичного сопоставления стенок раны и при развитии раневой инфекции.
· Заживление под струпом – заживление без рубца. Имеет место при поверхностных ранах без повреждения росткового слоя кожи. Под струпом, состоящим из фибрина и форменных элементов крови, происходит быстрая регенерация эпидермиса.
Описанное выше течение раневого процесса характерно для ран, явившихся результатом одномоментного воздействия повреждающего фактора. При длительном или постоянном неблагоприятном воздействии, приводящем к нарушению функционирования покровов тела и затрудняющем заживление, имеющем место в случае образования хронических ран, характерно наличие признаков сразу всех трех его фаз. Дно хронической раны одновременно покрыто фибрином и грануляциями, возможно наличие участков некроза и гнойного отделяемого. Грануляции вялые, бледные. Края раны и ткани вокруг уплотнены. Часто имеет место краевая эпителизация. Обычно пальпация зоны повреждения малоболезненна.
Окружающие ткани имеют изменения, характерные для заболевания, вызвавшего образование хронической раны. Если повреждающие факторы не устранены, хронические раны даже при интенсивном лечении длительно не заживают, а после заживления рецидивируют – в той же или в соседней области. При длительно существующих хронических ранах имеется риск их малигнизации.
Читайте также:
- Причины появления родинок - невусов эпидермального меланоцитарного происхождения
- МРТ при доброкачественной смешанной опухоли околоушной железы
- Иммуногистохимия опухолей. Маркерные белки промежуточных волокон.
- Колленхима. Строение и функции колленхимы.
- Методы коррекции постгипоксической ишемии миокарда у новорожденных.
