Расстройства при параличе диафрагмы. Проявления паралича диафрагмы
Добавил пользователь Евгений Кузнецов Обновлено: 07.01.2026
Рассмотрены причины возникновения пареза диафрагмы в зависимости от уровня поражения, в частности, нейропатии диафрагмального нерва различной этиологии. Представлено клиническое наблюдение идиопатической двусторонней нейропатии диафрагмального нерва, приведены сведения из литературы по этой проблеме.
Ключевые слова
Полный текст
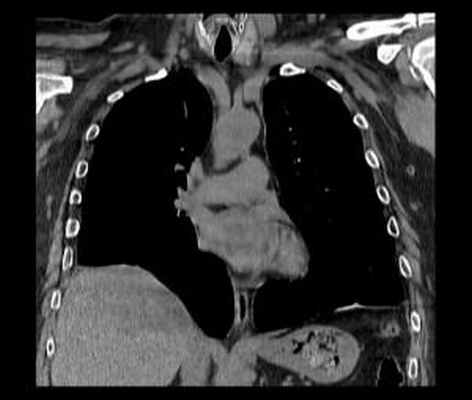
Нейрогенные парезы дыхательной мускулатуры осложняют течение ряда заболеваний центральной и периферической нервной системы. В отдельных случаях они могут быть преобладающими или единственно манифестными, вызывая диагностические трудности имитацией заболеваний дыхательной системы. Парезы диафрагмы и развившаяся на этом фоне дыхательная недостаточность могут быть следствием множества патологических процессов, включая миелит, болезни мотонейрона, полинейропатии, болезни нервно-мышечных синапсов, некоторые миопатии, герпетические полирадикулоневриты, травматические повреждения диафрагмального нерва, поражения шейного сплетения, заболевания грудной клетки и поддиафрагмальные патологические процессы [17]. Причины дисфункции диафрагмы можно классифицировать в зависимости от уровня поражения [4]. Продолговатый или спинной мозг поражается при демиелинизирующем процессе, однако парез диафрагмы довольно редко встречается при рассеянном склерозе [12, 18]. Высокое поражение спинного мозга (на уровне С1 или С2) приводит к параличу диафрагмы, в то время как при среднешейном поражении (на уровне С3-С5) функция диафрагмы частично сохраняется. Около 40% пациентов с поражением на уровне С3 нуждаются в искусственной вентиляции легких (ИВЛ), и лишь 15% пациентов с повреждением на уровне С4 или С5 [18, 33]. Заболевания верхних мотонейронов спинного мозга, как, например, боковой амиотрофический склероз или полиомиелит, часто приводят к дисфункции диафрагмы и дыхательной недостаточности. Парез диафрагмы может развиться как непосредственно сразу после инфицирования вирусом полиомиелита, так и спустя многие годы (в среднем, 35 лет) [9, 18]. К другим причинам, вызывающим парез диафрагмы и захватывающим мотонейроны спинного мозга относятся сирингомиелия, паранео-пластические моторные нейропатии и спиналь-ные мышечные атрофии. В большинстве случаев причиной осложнений и летального исхода при этих состояниях является дыхательная недостаточность [18]. Повреждение непосредственно самого диафрагмального нерва - чаще всего результат ятрогенного воздействия на него во время операции или сдавления опухолью [18, 21, 28]. В литературе описаны случаи проявления аневризмы грудного отдела аорты в форме паралича диафрагмального нерва. Симптомы также включали дисфонию, хроническую боль в груди и прогрессирующую дисфагию [5, 24]. К другим состояниям, способным вызвать непосредственное поражение диафрагмального нерва можно отнести травмы, инфекционные поражения (герпетическая инфекция, болезнь Лайма) и воспалительные процессы. Синдром Гийена-Барре часто осложняется вовлечением диафрагмального нерва [18, 31]. Так, от 20% до 30% госпитализированных пациентов с установленным диагнозом синдрома Гийена-Барре нуждаются в эндотрахеальной искусственной вентиляции легких [15]. Согласно данным исследования в Англии 25% и 23% [15] больным синдромом Гийена-Барре необходима ИВЛ [6]. Известно, что приблизительно у 5% пациентов с невралгической амиотрофией (синдромом Пэрсонейдж-Тёрнера) имеется вовлечение диафрагмального нерва [18, 29]. Болезни с нарушением синаптической передачи могут манифестировать с дисфункции диафрагмы. Острая дыхательная недостаточность часто возникает при миастеническом кризе, что приводит к необходимости искусственной вентиляции легких. Реже дисфункция диафрагмы встречается при синдроме Ламберта-Итона, ботулизме, наследственных и приобретенных миопатиях, а также при отравлении аминогликозидами, фосфорорганическими веществами [18]. Важно помнить о вероятности развития атрофии диафрагмы, которая может возникнуть даже после короткого периода искусственной вентиляции легких. Она связана с атрофией как быстро, так и медленно сокращающихся мышечных волокон. Так, недостаточное питание или такие метаболические сдвиги, как гипофосфатемия, гипомагниемия, гипокалиемия, гипокальциемия могут способствовать дисфункции диафрагмы и продлевать потребность в искусственной вентиляции [14, 18, 19]. Среди пациентов с диспноэ, ортопноэ или гиперкапнической дыхательной недостаточностью неуточненной этиологии следует учитывать возможность наличия нейропатии диафрагмального нерва (НДН) [30]. В современной литературе она часто описывается в сочетании с болью в шее и плече, часто возникающей после инфекционных заболеваний или операций, что позволило считать НДН возможной состовляющей невралгической амиотрофии плечевого пояса (синдрома Персонейджа-Тернера). Идиопатическая НДН, вероятно, является отдельной нозологической формой в спектре иммуноопосредованных фокальных нейропатий, и, напротив, не ассоциирована с такими симптомами как боли в плече, шее, парезом верхней конечности [16, 17, 20, 23, 29, 30, 32]. Различают одностороннюю и двустороннюю НДН. Односторонняя НДН зачастую не приводит к значимым дыхательным нарушениям и протекает клинически бессимптомно, что объясняет ее гиподиагностику и, как следствие, малую распространенность описаний в литературе [16, 23]. Интерес представляет клиническое наблюдение НДН, сделанное в нашей клинике. Больной К., 39 лет, поступил в приемное отделение Республиканской клинической больницы 09.04.2015 г. с жалобами на выраженную одышку экспираторного характера в покое, сухой непродуктивный кашель, повышение температуры до 37,6˚С. Заболел около 3 недель назад, когда на фоне полного здоровья появилась одышка в покое, усиливающаяся при физической нагрузке, надевании специализированной формы (больной работает пожарным). Одышка продолжалась на протяжении около 2 недель, затем присоединилось повышение температуры до 37,5˚С, кашель. Отмечает, что за неделю до начала заболевания появились ноющие боли в плече, не связанные с движением, продолжались 2 дня, затем появились ноющие боли в шее, которые купировались внутримышечным введением диклофенака в течение 3 дней. У пациента из сопутствующих заболеваний в анамнезе вирусный гепатит С, минимальной степени активности, по поводу чего один год назад получал лечение интерфероном. Пациент не злоупотребляет алкоголем, курил с 16-летнего возраста в течение 23 лет по 1-2 пачки сигарет в день, бросил курить в ноябре 2014 года. Наследственный анамнез не отягощен. При поступлении общее состояние тяжелое ввиду диспноэ. Температура тела 37,6˚С. Телосложение правильное, питание достаточное, костно-мышечная система без особенностей. Кожа и видимые слизистые физиологической окраски, теплые, нормальной влажности. Дыхание жестковатое, ослаблено в нижних отделах, хрипов нет, ЧДД 19 в минуту. Сатурация кислорода 93% без подачи кислорода. Тоны сердца приглушены, ритмичные, АД 160/100 мм рт. ст., ЧСС 89 в минуту. Живот мягкий, безболезненный, на вдохе западение передней брюшной стенки. Периферических отеков нет. В неврологичес- ком статусе: сознание ясное, поведение адекватное, команды выполняет. ЧМН: без особенностей. Объем активных и пассивных движений конечностей полный. Мышечная сила достаточная по всем группам. Сухожильные рефлексы с верхних и нижних конечностей равные, живые. Поверхностная, глубокая чувствительность не изменена. Координаторные пробы выполняет удовлетворительно, в пробе Ромберга устойчив. Менингеальных знаков нет. Функции органов таза не нарушены. Пациент был переведен в отделение реанимации и интенсивной терапии и подключен к аппарату “Dager Savina” в режиме BIPAP для проведения неинвазивной масочной ИВЛ. Проведены обследования: ИФА на гепатит С от 10.04.2015 положительный, RW, HBsAg, ВИЧ от 10.04.2015 отрицательно. ОАК от 09.04.2015: лейкоциты 10,0*109/л, эритроциты 4,77*1012/л, гемоглобин 144 г/л, гематокрит 41,5%, тромбоциты 287000. ОАМ от 10.04.2015: цвет соломенно-желтый; прозрачная; удельный вес 1015; белок - отрицательно; лейкоциты единичные в поле зрения; эритроциты 1-2 в поле зрения; бактерии +. БАК от 09.04.2015: калий 4,3 ммоль/л, натрий 136 ммоль/л, общий белок 67,5 г/л, мочевина 7,3 ммоль/л, креатинин 80 мкмоль/л, АЛТ 29 ед/л, АСТ 15 ед/л, КФК 137 ед/л, ЛДГ 118 ед/л, общий билирубин 4,4 ммоль/л, холестерин 4,32 ммоль/л. Коагулограмма от 09.04.2015: ПТИ 98%, фибриноген 4,3 г/л, АЧТВ 27 сек. ЭКГ от 09.04.2015: синусовый ритм с ЧСС 67 в мин., нормальное положение ЭОС (+41˚), RV5>V6>RV4. Рентгенограмма ОГК от 10.04.2015: легочная ткань воздушна. Легочный рисунок диффузно обогащен за счет перибронхиальных и периваскулярных уплотнений, интерстициальной сетчатости, сгущен в нижних отделах легких. Корни с не совсем четкой структурой, полнокровны. Высокое стояние диафрагмы. Костодиафрагмальные синусы свободны, тень сердца без особенностей (рис. 1). Спирометрия от 02.04.2015: ОФВ1 1,88л, ЖЕЛ 2,07 л, ФЖЕЛ 2,33 л, ОФВ1/ФЖЕЛ 81%, рестрикция средне-тяжелой степени, возможно умеренные обструктивные нарушения; после пробы с бронхолитиком без динамики (ОФВ1/ФЖЕЛ 80%). УЗИ плевральных полостей от 12.04.2015: в правой плевральной полости жидкость не визуализируется; в левой плевральной полости жидкость не визуализируется. РКТ легких от 02.04.2015: РКТ признаки компрессионных ателектазов обоих легких, релаксации обоих куполов диафрагмы (рис.2). Стимуля-ционная ЭМГ от 20.04.2015: латентность М-ответа при стимуляции диафрагмального нерва справа составила 6,2 мс, слева 6,3 мс (при норме от 6 до 9 мс); амплитуда М-ответа при стимуляции диафрагмального нерва справа составила 0,5 мкВ, слева 0,4 мкВ (при норме от 3,5 до 7,4 мкВ). Кино-МРТ от 20.04.2015: отме- чается двухстороннее отсутствие дыхательной экскурсии центральных и задних отделов диафрагмы с наличием слабой пассивной дыхательной экскурсии передних отделов диафрагмы, осуществляемой за счет движений передней брюшной стенки; МРТ-признаки двустороннего паралича диафрагмы. Таким образом, пациенту был выставлен диагноз: Двусторонний полисегментарный ателектаз-аневмония на фоне паралича куполов диафрагмы, обусловленного двусторонней идиопатической нейропатией диафрагмального нерва. Пациент получал лечение: неинвазивная масочная ИВЛ, 2,4% раствор эуфиллина 10,0 в/в капельно на 250,0 0,9% раствора натрия хлорида, клексан 0,4 мл п/к, ацетилцистеин 9,0 в/в, цефотаксим 1 г на 10,0 0,9% раствора натрия хлорида в/м №10. На фоне проведенной терапии состояние пациента нормализовалось, однако сохранялась одышка при физической нагрузке. При динамическом наблюдении до настоящего момента у пациента сохраняются жалобы на одышку при быстрой ходьбе, физической нагрузке, после еды и в положении лежа, объективно сохраняется парадоксальное дыхание. Ниже представлены основные выводы, полученные в результате анализа литературы, посвященной проблеме нейропатии ДН. S. Podnar (2015) выделил критерии диагноза НДН: 1) амплитуда М-ответа
Двусторонний паралич диафрагмы (клиническое наблюдение)
Актуальность. Дисфункция диафрагмы является редкой причиной респираторных нарушений с многообразием клинических проявлений, что усложняет диагностику и лечение.
Цель работы. Приведенное клиническое наблюдение демонстрирует возможность выявления двустороннего паралича диафрагмы с использованием доступных общеклинических и инструментальных методов диагностики.
Из физикальных данных большую диагностическую значимость имеют высокое
стояние нижних границ легких с ограничением подвижности, парадоксальное движение диафрагмы при пробе Мюллера. Рентгенологическое исследование органов грудной клетки демонстрирует высокое стояние обоих куполов диафрагмы, наличие субсегментарных ателектазов в базальных отделах легких. Имеет место выраженная гипоксемия: сатурация кислорода в клино- и ортостазе составила соответственно 72% и 96%. При исследовании функции внешнего дыхания определяются значительные нарушения по рестриктивному типу, снижение жизненной емкости легких. Ультразвуковое исследование диафрагмы выявило гиперэхогенность, отсутствие утолщения на вдохе и дыхательной подвижности куполов диафрагмы. Электромиография подтвердило грубую аксонопатию диафрагмального нерва справа и слева.
Учитывая стабилизацию состояния при проведении CPAP-терапии, лечебной физкультуры, массажа грудной клетки с последующим исчезновением признаков двустороннего паралича диафрагмы логично предположить идиопатический вариант дисфункции диафрагмы.
Заключение. Представленный случай демонстрирует сложности диагностики двустороннего паралича диафрагмы. Окончательный диагноз стал возможен с использованием рекомендованных при подозрении на дисфункцию диафрагмы специфических методов исследования. При идиопатическом варианте двустороннего паралича диафрагмы, имевшего место в клиническом наблюдении, прогноз благоприятный, отмечена спонтанная ремиссия.
Ключевые слова
Об авторах
Заведующий кафедрой факультетской терапии имени проф. Гармаша В.Я., д.м.н., профессор,
SPIN: 7903-4609, Researcher ID: S-6270-2016.
Автор заявляет об отсутствии потенциального конфликта интересов, требующего раскрытия в данной статье.
Доцент кафедры факультетской терапии имени проф. Гармаша В.Я.
SPIN: 4034-9430, Researcher ID: AAM-5246-2021
Автор заявляет об отсутствии потенциального конфликта интересов, требующего раскрытия в данной статье
Доцент кафедры факультетской терапии имени проф. Гармаша В.Я.
SPIN: 7524-9816, Researcher ID: AAI-4243-2021.
Автор заявляет об отсутствии потенциального конфликта интересов, требующего раскрытия в данной статье.
Доцент кафедрыфакультетской терапии имени проф. Гармаша В.Я.
Автор заявляет об отсутствии потенциального конфликта интересов, требующего раскрытия в данной статье.
Доцент кафедры факультетской терапии имени проф. Гармаша В.Я.
SPIN: 3984-1944, Researcher ID: D-6849-2018.
Автор заявляет об отсутствии потенциального конфликта интересов, требующего раскрытия в данной статье.
К.м.н., заведующая пульмонологическим отделением
Автор заявляет об отсутствии потенциального конфликта интересов, требующего раскрытия в данной статье.
Список литературы
3. Бабаян Г.Б., Зорин Р.А., Пшенников А.С. и др. Предикторы неврологического дефицита при гемодинамически значимых стенозах сонных и позвоночных артерий // Наука молодых (Eruditio Juvenium). 2019; 7(4):533-540. DOI:10.23888/HMJ201974533-540.
4. Лапина Т.В., Вишневский А.А. Повреждение диафрагмального нерва и повреждение диафрагмы в практике торакального хирурга. Анналы хирургии. 2007; 5: 11-16. eLIBRARY ID: 9918926.
5. Горбунков С.Д., Варламов В.В., Гичкин А.Ю. и др. Ультразвуковая оценка состояния диафрагмы у больных, прошедших отбор для хирургической редукции объема легких. Вестник хирургии имени И.И. Грекова. 2015; 174 (5): 13-17. DOI:10.24884/0042-4625-2015-174-5-13-17.
6. Carron M., Freo U., BaHammam A.S. et al. Complications of non-invasive ventilation techniques: a comprehensive qualitative review of randomized trials. Br J Anaesth. 2013; 110:896-914. DOI:10.1093/bja/aet070 .
7. McCool Dennis F. Reproduced with permission. Dysfunction of the Diaphragm. N Engl J Med. 2012; 366: 932-42. DOI:10.1056/NEJMc1204076.
8. Ракита Д.Р., Куспаналиева Д.С. Особенности вентиляционных расстройств у больных с заболеваниями внутренних органов. Российский медико-биологический вестник имени академика И.П. Павлова. 2011; (4): 82-86. DOI:10.17816/pavlovj2011482-86.
9. Rochester D.F. Energy expenditure of the diaphragm or "he thinks the diaphragm is the heart". Am. J. Respir. Crit. Care Med. 2001; 164 (12):2145-6. DOI: 10.1164/ajrccm.164.12.2109050.
10. Мендреcова А.Т., Лукашкин М.А., Голухова Е.З. и др. Послеоперационные легочные осложнения у кардиохирургических пациентов. Креативная кардиология. 2010; (1): 5-16. eLIBRARY ID: 15170890.
11. Fayssoil A., Behin A., Ogna A. et al. Diaphragm: Pathophysiology and Ultrasound Imaging in Neuromuscular Disorders. Journal of Neuromuscular Diseases. 2018; 5 (1): 1-10. DOI:10.3233/JND-170276.
12. Fernández-Vázquez E., Sáez-Roca G., Valdivia-Salas M.M. Idiopathic bilateral diaphragm paralysis: Bi-PAP treatment. Arch Bronconeumol. 2002; (38):251-252. DOI:10.1016/s0300-2896(02)75207-1.
13. Laghi F., Tobin M. J. Disorders of the respiratory muscles. Am J Respir Crit Care Med. 2003; 168: 10-48. DOI:10.1164/rccm.2206020.
14. Spiesshoefer J., Henke C., Kabitz H-J. et al. Inspiratory muscle dysfunction relates to clinical disease severity in patients with type I myotonic dystrophy. European Respiratory Journal. 2019. Sept. DOI:10.1183/13993003. congress-2019. PA3930.
17. Solh A.A. El, Aquilina A., Pineda L. et al. Noninvasive ventilation for prevention of post-extubation respiratory failure in obese patients. European Respiratory Journal. 2006: 28 (3): 588–595. DOI: 10.1183/09031936.06.00150705.
18. Windish W., Walterspacher S., Siemon K. et al. Guidelines for non-invasive and invasive mechanical ventilation for treatment of chronic respiratory failure. Pneumologie. 2010; 64:640-52. DOI:10.1055/s-0030-1255558.
19. Паршин В.Д., Паршин В.В., Мирзоян О.С.и др. Операции на диафрагме в плановой торакальной хирургии. Хирургия. Журнал им. Н.И.Пирогова. 2013; (8):7-14. eLIBRARY ID: 20192248.
Расстройства при параличе диафрагмы. Проявления паралича диафрагмы
Расстройства при параличе диафрагмы. Проявления паралича диафрагмы
При левосторонней операции заметного расстройства сердечной деятельности в большинстве случаев не наблюдается, несмотря на то что нередко происходят очень характерные изменения фигуры сердца: вследствие приподнятия левого диафрагмального купола, приподнимается и сердечная верхушка, сердце как бы сплющивается снизу вверх и кажется шире. Чем выше стоит диафрагма, тем выше поднимается верхушка сердца и тень его делается шире. Однако следует оговориться, что если паралич диафрагмы при здоровом сердце может совершенно не отражаться на его функции, то при заболеваниях сердечно-сосудистой системы после операции на диафрагмальном нерве может возникнуть ряд иногда тяжелых расстройств.
Желудочно-кишечные расстройства после операции искусственного паралича диафрагмы встречаются не часто. Лапинна 284 операции наблюдал желудочные расстройства в 8 случаях; из них в 2 случаях они были ярко выражены (вздутие живота, тошнота и рвота), в остальных же б случаях имелись жалобы на ощущение необычной полноты в желудке после приема пищи и отрыжку. Эти явления исчезли в течение 2 дней после операции. Во всех случаях операция была левосторонней.
Мы также наблюдали иногда диспептические явления после операции, но они никогда не достигали большой интенсивности. Вообще следует отметить, что расстройства функции желудка наблюдаются гораздо реже, чем можно было бы ожидать, так как, согласно экспериментальным исследованиям Корнмана, Шпанир, Черткова и Кондратьевой, положение желудка после паралича диафрагмы всегда меняется. После операции справа желудок принимает более горизонтальное положение, после левосторонней операции — более вертикальное. В литературе имеются указания, что после левосторонней операции у больных наблюдается рвота, отрыжка, запоры, сменяющиеся поносами. В редких случаях эти явления носят упорный характер.

Аускультация больных с искусственным параличом диафрагмы обнаруживает лишь слегка ослабленное дыхание. Вальтер определенно отмечает заметное ослабление дыхания, тогда как Александер указывает, что ни в одном его случае дыхательный шум не становился более тихим или бронхиальным. При перкуссии мы никогда не отмечали укорочения перкуторного звука. Александер тоже указывает, что он никогда не получал заметного притупления на оперированной стороне, тогда как, по данным Вальтера, перкуторное укорочение звука большей частью бывает выраженным. Спирометрия показывает уменьшение жизненной емкости легких на 300—-500 см3.
Что касается отдельных симптомов, то следует отметить небольшое повышение температуры в некоторых случаях там, где она до операции была нормальной. Обычно через несколько дней температура возвращается к норме. Причины этой температуры не совсем ясны. Возможно, что в таких случаях имеет место увеличение инфильтративных явлений вокруг очага (каверны). Количество мокроты в первые дни увеличивается, она делается жиже и отделение ее облегчается. Через несколько дней после операции количество мокроты начинает уменьшаться. В некоторых случаях наблюдается уменьшение и даже полное прекращение кашля, что объясняется тем покоем, который создается для легкого в результате паралича диафрагмы.
- Вернуться в оглавление раздела "Хирургия"
Информация на сайте подлежит консультации лечащим врачом и не заменяет очной консультации с ним.
См. подробнее в пользовательском соглашении.
Паралич
Информацию из данного раздела нельзя использовать для самодиагностики и самолечения. В случае боли или иного обострения заболевания диагностические исследования должен назначать только лечащий врач. Для постановки диагноза и правильного назначения лечения следует обращаться к Вашему лечащему врачу.
Паралич: причины появления, при каких заболеваниях возникает, диагностика и способы лечения.
Определение
Паралич – полная утрата движений в одной или нескольких частях тела, потеря мышцей или группой мышц мышечной силы, неспособность к выполнению движений. В некоторых случаях термин используется для описания нарушений сократительной способности мышц. Паралич не является самостоятельным заболеванием, но лишь одним из симптомов многих органических патологий нервной системы.
Разновидности паралича
Любое повреждение нервной системы может привести к нарушению двигательной функции. Различают органические, функциональные и рефлекторные параличи.
Органические параличи формируются из-за того, что на нервную систему (на любом ее уровне) воздействуют опухоли, травмы, инфекции или какие-либо другие факторы.
Функциональные параличи в большинстве случаев возникают в результате образования так называемой застойной области торможения в головном мозге, из-за чего к мышцам не поступает команда, чтобы те сокращались. В процессе развития заболевания не возникает патологических изменений, рефлексы остаются в норме, мышечный тонус поддерживается на должном уровне.
Рефлекторные параличи обусловлены поражением периферического двигательного нейрона, могут быть вызваны поражением любого участка нервного проводящего пути.
С анатомической точки зрения различают параличи, вызванные поражением центральной нервной системы (головного или спинного мозга), и параличи, связанные с поражением периферических нервов.
Многообразие причин параличей отражается на патоморфологических изменениях, которые могут иметь самые разные характер и локализацию.
Паралич подразделяют по степени выраженности, стойкости и распространенности. Он может быть полным или частичным, необратимым или преходящим, локализованным или распространенным.
Ни один из этих клинических типов не является самостоятельной патологией, однако существуют отдельные виды паралича, представляющие самостоятельные заболевания. К ним относятся болезнь Паркинсона (дрожательный паралич), полиомиелит (детский паралич), паралич Белла, бульбарный паралич, псевдобульбарный паралич, семейный периодический паралич, паралич вследствие поражения плечевого сплетения, детский церебральный паралич и другие.
Разрушение, дегенерация, воспаление, образование очагов (бляшек), склероз, демиелинизация – наиболее типичные варианты патологических изменений нервной ткани, выявляющихся при параличе. По своему развитию различают острый и вялый паралич. В первом случае симптоматика нарастает очень быстро, во втором обездвиживание развивается постепенно.
Выделяют следующую классификацию паралича, основанную на распространенности процесса:
- моноплегия – паралич одной конечности с одной стороны тела;
- параплегия – паралич двух конечностей одного типа, например, обеих рук;
- гемиплегия – паралич развивается в конечностях с одной стороны;
- тетраплегия – одновременно поражаются все четыре конечности;
- офтальмоплегия – паралич мышц, которые обеспечивают двигательную активность глаз.
При поражении периферических двигательных нейронов вместо повышения мышечного тонуса происходит его снижение. Поражаются отдельные мышцы, в которых выявляются атрофия и электрофизиологическая реакция перерождения. В парализованной конечности глубокие рефлексы снижаются или совсем пропадают, клонусы отсутствуют.
Психогенный паралич, не имеющий в своей основе органического поражения, может имитировать один из этих вариантов либо сочетать черты того и другого. Центральный паралич может проявляться в чистом виде или сочетаться с чертами периферического паралича. Как правило, ему сопутствуют сенсорные и трофические расстройства, а также изменения сосудистого тонуса.
Возможные причины паралича
Существуют разные причины паралича, но все они сводятся к поражению нервной системы, вызванному травмой, опухолью, абсцессом или воспалением. Кроме того, паралич может возникнуть как результат демиелинизирующих заболеваний, связанных с разрушением белка, который обеспечивает проведение нервного импульса по волокнам, – миелина. К таким заболеваниям относятся: рассеянный склероз, рассеянный энцефаломиелит и др.
Причинами паралича также могут являться:
- миастения – заболевание, характеризующееся патологической утомляемостью мышц;
- миопатия – врожденные или приобретенные нарушения метаболизма в мышечной ткани;
- отравление ботулотоксином (ботулизм), алкоголем, промышленными ядами, ртутью, фосфорорганическими соединениями, солями тяжелых металлов, нервно-паралитическими ядами;
- эпилепсия;
- заболевания, связанные с дисфункцией мотонейронов, вследствие чего возникает патология работы мышц и паралич конечностей;
- повреждение крупного нервного ствола;
- боковой амиотрофический склероз (прогрессирующая дегенерация центральной нервной системы);
- острое нарушение мозгового кровообращения;
- иммунновоспалительные заболевания, в частности синдром Гийена-Барре;
- врожденные или наследственные дегенеративные заболевания центральной нервной системы;
- новообразования (доброкачественные и злокачественные, в том числе метастатические);
- травмы, если они связаны с повреждением двигательных проводящих путей или непосредственно двигательных центров;
- инфекционные болезни (сифилис, туберкулез, полиомиелит, вирусный энцефалит, клещевой энцефалит, менингит);
- некоторые медицинские препараты (например, миорелаксанты «выключают» диафрагму, что практикуется при проведении полостных операций);
- радиационное облучение;
- переохлаждение.
Чтобы установить причину паралича, следует обратиться к врачу-терапевту , врачу общей практики или врачу-неврологу . При детском параличе необходимо срочно показать ребенка врачу-педиатру. Врач проведет необходимое обследование, консультации с профильными специалистами, назначит необходимое лечение.
Диагностика и обследования при параличах
Первым и самым частым проявлением паралича обычно является невозможность перемещаться и управлять опорно-двигательным аппаратом из-за отсутствия силы в мышцах или целой группе мышц, а именно:
- полное отсутствие мышечной силы в мышцах верхних конечностей, в результате чего становится невозможным выполнить такие действия, как захват предмета, поднятие, сгибание и разгибание руки;
- полное отсутствие мышечной силы в мышцах нижних конечностей, что сопровождается отсутствием активных движений в пораженной конечности;
- свисание головы вперед, что наблюдается при параличе задних мышц шеи.
При некоторых параличах нарушается функция тазовых органов, что сопровождается автоматическим рефлекторным опорожнением мочевого пузыря и недержанием кала.
Симптоматика паралича зависит и от его разновидности:
- при поражении лицевого нерва появляются сильные головные боли;
- при бульбарном параличе развивается обездвиживание языка;
- при параличе диафрагмы наступает остановка дыхания;
- при спастическом параличе гортани наступает спазм верхних дыхательных путей;
- симптомом верхнего акушерского паралича (паралича Дюшена-Эрба) у детей является нарушение функции мышц плечевого пояса;
- при дистальном акушерском параличе (параличе Дежерин-Клюмпке) наблюдается паралич мышц гипотенара, тенара, червеобразных и межкостных, длинных сгибателей кисти и пальцев, в результате кисть находится в положении «когтистой лапы» или свисает.
После общего осмотра назначаются лабораторные и инструментальные методы исследования. Для обнаружения признаков отравления необходим токсикологический анализ крови. Общий анализ крови позволяет выявить признаки воспаления.
Синонимы: Общий анализ крови, ОАК. Full blood count, FBC, Complete blood count (CBC) with differential white blood cell count (CBC with diff), Hemogram. Краткое описание исследования Клинический анализ крови: общий.
Расстройства при параличе диафрагмы. Проявления паралича диафрагмы

Диафрагма (diaphragma от греч. — перегородка), или грудобрюшная преграда — это куполообразная перегородка, которая разделяет грудную и брюшную полости. Выделяют центральную сухожильную и краевую мышечную части диафрагмы. Сокращаясь и расслабляясь диафрагма принимает участие в акте дыхания.
Релаксация диафрагмы – одностороннее стойкое высокое расположение диафрагмы, сохраняющей свою непрерывность и прикрепление в обычных местах.
В основе заболевания — повреждение диафрагмального нерва, при котором диафрагма расслабляется и не сокращается (т.е. наступает её релаксация). Так как в брюшной полости положительное давление, а в грудной клетке в большей части отрицательное, то органы брюшной полости давят на релаксированный купол диафрагмы. Таким образом, купол диафрагмы поднимается выше обычного, сдавливая собой соответствующее легкое. Часто заболевание так и называют — релаксация купола диафрагмы.
При диафрагмальной грыже органы брюшной полости перемещаются в грудную клетку через образовавшийся дефект, слабую зону диафрагмы или через расширенное естественное отверстие диафрагмы. В отличие от грыж при релаксации диафрагмы имеется резкое истончение ее и отсутствие мышц в целом купоне диафрагмы или в какой-либо части. Этот участок или весь купол выпячивается высоко в грудную клетку вместе с прилежащими органами брюшной полости. Выраженные грыжевые ворота при этом отсутствуют, поэтому ущемление при этом заболевании невозможно.
Релаксация диафрагмы — причины
Наиболее частой причиной травмы диафрагмального нерва являются операции на органах средостения:
- маммарно-коронарное шунтирование;
- тимэктомия;
- удаление опухолей средостения;
- операции по поводу рака легкого с расширенной лимфаденэктомией;
- операции на диафрагме и другие.
Соответственно, основным методом профилактики является тщательная визуализация и предупреждение повреждений диафрагмального нерва во время операций на органах средостения.
На втором месте по частоте развития релаксации диафрагмы стоит травма груди и шеи. Повреждения диафрагмального нерва могут возникать при гематоме средостения, травме шейного отдела позвоночника, разрывах диафрагмы, в которые вовлечен диафрагмальный нерв.
Классификация
Разделяют врожденную и приобретенную релаксации диафрагмы. Виды приобретенной:
- травматическая;
- вследствие воспалительных процессов;
- идиопатическая.
По расположению релаксация может быть:
- левосторонняя — релаксация левого купола диафрагмы;
- правосторонняя — релаксация правого купола диафрагмы.
Расслабление диафрагмы может быть полным (тотальным) или частичным (локальным).
Локальная релаксация диафрагмы
Частичная или локальная релаксация диафрагмы, как правило, наблюдается справа. Чаще всего ограниченная релаксация локализуется в передне-медиальном отделе диафрагмы справа, что может объясняться слабостью мышечных пучков, отходящих в этой области от задней поверхности грудины. Слева этот участок прикрыт париетальным листком перикарда и верхушкой сердца. При этом купол диафрагмы дугообразно выпячивается в сторону легкого, а печень деформируется, повторяя форму области релаксации.
Причиной ограниченной релаксации могут быть следующие заболевания:
- эхинококкоз печени и селезенки;
- поддиафрагмальный абсцесс;
- наддиафрагмальный осумкованный плеврит;
- кисты перикарда;
- базальная пневмония;
- ограниченная гипоплазия диафрагмы.
Главным признаком ограниченной релаксации является локальное дугообразное выпячивание передне-медиальной части диафрагмы и ее истончение на этом участке. Чаще заболевание протекает бессимптомно, реже больные предъявляют жалобы на боль в груди или в области сердца, кашель; могут встречаться и диспепсические явления.
Признаки релаксации диафрагмы
По клиническому течению релаксации диафрагмы выделяют 4 формы:
- бессимптомную;
- со стертыми клиническими проявлениями;
- с выраженными клиническими симптомами;
- осложненную (заворот желудка, язва желудка, кровотечение и др.).
Выраженность симптомов релаксации диафрагмы весьма различна – от полного отсутствия симптомов заболевания до значительных функциональных расстройств пищеварительной, дыхательной, сердечно-сосудистой и других систем.
Симптомы зависят от выраженности смещения диафрагмы и органов брюшной и плевральной полостей, а также от стороны поражения: наиболее выраженной, как правило, бывает левосторонняя релаксация. При этом из брюшной полости высоко вверх поднимаются желудок, толстая кишка, селезенка, реже – тонкая кишка. Смещенный вверх желудок претерпевает те же изменения положения, что и при диафрагмальной грыже – его большая кривизна поворачивается кверху и прилежит к диафрагме.
Наиболее характерные симптомы
- приступы боли и слабости;
- потеря массы тела;
- одышка;
- кашель;
- ощущение сердцебиения.
В каждом отдельном случае на первый план выступает определенная группа симптомов со стороны тех органов, функция которых наиболее нарушена. В зависимости от этого выделяют три основных синдрома:
- дыхательный,
- сердечно-сосудистый;
- пищеварительный.
У детей выделяют особую кардиореспираторную форму релаксации.
Дыхательный синдром проявляется одышкой после незначительной физической нагрузки, изменения положения тела и, что особенно характерно, после приема пищи. Частым проявлением дыхательного синдрома является раздражающий сухой кашель, также возникающий после приема пищи или изменения положения тела. Дыхательный синдром обусловлен выключением половины диафрагмы из дыхания, давлением ее на нижние отделы легкого.
Сердечно-сосудистый синдром связан со смещением сердца и характеризуется тахикардией, аритмией, ощущением сердцебиения и ангинозными болями. Он обусловлен смещением и ротацией сердца вследствие высокого стояния купола диафрагмы.
При пищеварительном синдроме отмечается:
- дисфагия (в том числе и пародоксальная);
- боли в эпигастрии и подреберье;
- чувство тяжести после еды;
- частые отрыжки;
- икота;
- изжога;
- урчание в животе;
- тошнота и рвота;
- метеоризм и запоры,
- дисфагия.
Причиной указанных жалоб является выпадение динамической функции диафрагмы, перегиб абдоминального отдела пищевода, заворот желудка с растяжением его и нарушением кровообращения, что может провоцировать развитие эрозивного гастрита, венозного стаза и язв. Осложнениями могут быть рецидивирующие желудочно-кишечные кровотечения; в литературе имеются даже описания случаев гангрены желудка.
Диагностика
ЭКГ. Инструментальные исследования дают возможность выявить нарушения функции внешнего дыхания, характерно значительное уменьшение ЖЕЛ. На электрокардиограмме у таких больных часто наблюдаются экстрасистолы, признаки замедления внутрижелудочковой проводимости и нарушения коронарного кровообращения.
Рентген. Рентгенологическое исследование является решающим в диагностике релаксации, при этом определяются следующие симптомы:
- стойкое повышение уровня расположения соответствующего купола диафрагмы до 2 – 5 ребра;
- в горизонтальном положении диафрагма и прилежащие к ней органы брюшной полости смещаются кверху;
- контур диафрагмы представляет собой ровную, непрерывную дугообразную линию.
Нередко выявляется ателектаз нижних отделов легкого и смещение средостения.

Релаксация диафрагмы рентген (левый купол)
КТ. Наиболее информативным методом исследования является компьютерная томография, дающая полную информацию о степени релаксации и характере изменений органов грудной и брюшной полостей. Во всех случаях релаксации, даже при небольшой ее выраженности, наблюдается ателектаз и воспалительные изменения базальных сегментов легкого. С внедрением компьютерной томографии практически отпала надобность в остальных традиционных методах дифференциальной диагностики.

Релаксация правого купола диафрагмы на КТ
Лечение
Лечение релаксации диафрагмы только хирургическое.
Показанием к плановой операции является релаксация:
- сопровождающаяся болевым синдромом;
- сдавлением и уменьшением объема легкого с нарушениями функции дыхания;
- смещением средостения с нарушениями сердечно-сосудистой деятельности;
- высоким стоянием органов желудочно-кишечного тракта с нарушениями пищеварения.
Экстренные показания к операции возникают при завороте желудка, разрыве диафрагмы, остром желудочном кровотечении и других осложнениях.
Задачей хирургического вмешательства является восстановление исходного уровня стояния диафрагмы, в результате чего грудные и брюшные органы должны занять свое нормальное положение. Операция заключается в пластике диафрагмы собственными тканями или пластике сетчатым протезом.
Современным и перспективным направлением хирургии диафрагмы при ее релаксации являются торакоскопические и лапароскопические операции. Общеизвестные преимущества эндоскопических операций – прежде всего минимальное повреждение дыхательной мускулатуры грудной стенки.
В отделении торако абдоминальной хирургии и онкологии РНЦХ им. Петровского предпочтение отдается оперативному лечению диафрагмы из лапароскопического доступа. Опыт выполнения данных оперативных вмешательств из лапароскопического и торакоскопического доступов составляет более 10 лет.
Пластика диафрагмы проводится сетчатым протезом. Российский научный Центр хирургии является одним из основоположников хирургии диафрагмы с использованием синтетических протезов. Аллопластику (сетчатым протезом) диафрагмы применяют с 1951 г., у истоков создания метода стоял выдающийся отечественный хирург и основатель Центра хирургии, академик Б.В. Петровский.
Вас может заинтересовать: Хирургия диафрагмы, Грыжи диафрагмы.
Прогноз
Прогноз лечения благоприятный. Важно соблюдать рекомендации при выписке из стационара и исключения вредных социальных факторов. Выздоровление с восстановлением трудоспособности происходит через 1-2 месяца от операции.
Лечение в отделении торакоабдоминальной хирургии РНЦХ им. Петровского
Если Вы ищете клинику для лечения релаксации диафрагмы — обращайтесь в наш центр. Лечение в отделении торако-абдоминальной хирургии — это торакальные хирурги с огромным опытом работы, новейшее оборудование и комфортные условия стационара. Ознакомьтесь с отзывами пациентов нашего отделения.
Мы осуществляем лечение бесплатно по программе ОМС, ДМС и на коммерческой основе. Оказываем помощь в рамках высокотехнологичной медицинской помощи.
Релаксация диафрагмы МКБ 10 код: J98.6. Болезни диафрагмы.
Принимаем на лечение жителей всех регионов России. Узнайте подробности, как попасть на лечение в отделение торако-абдоминальной хирургии РНЦХ.
Для записи на консультацию позвоните по телефонам:
Отправьте заявку на консультацию, заполнив форму на нашем сайте и прикрепив необходимые документы.
Читайте также:
