Растяжения связок акромиально-ключичного сочленения
Добавил пользователь Владимир З. Обновлено: 05.01.2026
Разрыв акромиально-ключичного (АК) сочленения развивается при повреждении связки, соединяющей ключицу и верхнюю часть лопатки. Такое состояние требует неотложной помощи. Разрыв может быть частичным, со слабой болезненностью, или полным, с сильной болью и образованием шишки или выпуклости над плечом. Подобная травма, как правило, является следствием удара по наружной стороне плеча или падения на плечо. В большинстве случаев, разрыв заживает самостоятельно, но иногда приходится прибегать к операции.
Скорая помощь
Если травма вызвана сильным ударом или у пострадавшего слабый пульс, необходимо вызвать скорую.
При возникновении сильной боли, похолодания или онемения пальцев, ограниченности движения или деформации плеча, следует незамедлительно обратиться к врачу.
Чего ожидать?
При легкой травме связка только растянута, ключица — не смещена, может присутствовать умеренная болезненность. В более тяжелых случаях, могут быть порваны одна или две связки и нарушено положение ключицы. В наиболее тяжелых ситуациях порванными оказываются обе связки, а сустав деформирован. Подобное состояние сопровождается сильной болью. Прикладывание льда, обеспечение покоя и медикаментозное лечение могут облегчить боль и снять отек, а поддерживающая повязка – обеспечить комфорт на время заживления. При значительной деформации может потребоваться операция по восстановлению связок. Независимо было ли осуществлено хирургическое вмешательство или нет, необходимы реабилитационные мероприятия для возвращения в норму двигательной способности, гибкости и силы.
Чем сильнее разрыв, тем больше времени пройдет до того момента, когда плечо сможет двигаться без боли. Но у большинства пострадавших функция сустава полностью восстанавливается довольно быстро.
Лечение
Лечение может включать:
- прикладывание льда первые 12 часов;
- прием безрецептурных препаратов для снятия отека и боли;
- обеспечение покоя плечу;
- ношение поддерживающей повязки (7-10 дней);
- хирургическое обрезание конца ключицы, если боль сохраняется;
- оперативную реконструкцию связок;
- физиотерапию.
Что можно предпринять самому?
Облегчить состояние при травме можно:
- фиксацией плеча поддерживающей повязкой;
- прикладыванием льда сразу после травмы и на протяжении пути к врачу для снятия отека;
- приемом ацетаминофена или ибупрофена для уменьшения боли;
- исключением физической активности на время заживления травы (2-10 недель);
- легкими упражнениями для укрепления мышц плеча согласно рекомендациям врача.
Чем усугубляется?
Полный разрыв, другие травмы плеча усугубляют тяжесть состояния.
Когда обращаться к врачу?
При возникновении боли и отека или отсутствии улучшения, следует обратиться к врачу.
О чем спросить врача?
- Может ли разрыв АК сочленения быть причиной наблюдаемых симптомов?
- Какие обследования требуются?
- Насколько серьезна травма?
- Какое лечение потребуется?
- Каков прогноз?
Постановка диагноза
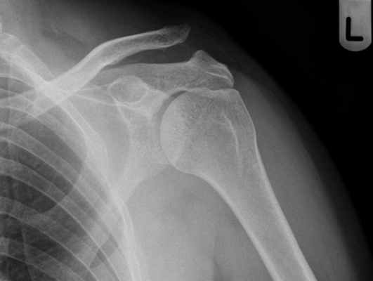
Диагноз устанавливается на основании истории заболевания, данных осмотра и рентгенологического обследования.
Разрыв акромиально-ключичного сочленения
Акромиально-ключичный сустав состоит из двух костей, которые соединены прочно друг с другом при помощи суставной капсулы и связок. При этом между костями сохраняется некоторая подвижность, что необходимо для увеличения амплитуды движений в плече.

Повреждения акромиально-ключичного сочленения возникают обычно при падении на область плечевого сустава, редко с высоты собственного роста, чаще – при падении с велосипеда, мотоцикла и т.п. По данным разных авторов, вывихи акромиального конца ключицы составляют от 1 до 17,2% среди других вывихов и занимают третье место, уступая лишь вывихам плеча и предплечья.


В тех случаях, когда повреждение ограничивается разрывом ключично-акромиальных связок, наблюдается неполный вывих или подвывих акромиального конца ключицы. Если же разрываются мощные ключично-клювовидные связки (трапециевидная и конусовидная), происходит полный надакромиальный вывих ключицы.
Клиническая картина и диагностика разрыва акромиально-ключичного сочленения
При осмотре обращает на себя внимание укорочение надплечья, кажущееся удлинение руки. В свежих случаях, до развития значительного отека, видна ступенеобразная деформация в области ключично-акромиального сочленения. Отчетливо выявляется характерный симптом «клавиши»: в положении больного стоя надавливают на акромиальный конец ключицы, одновременно слегка смещая кверху за локоть приведенное плечо больного. Конец ключицы легко вправляется, «утапливается» и возвращается в порочное положение при прекращении давления. Через 1–2 дня обычно появляется кровоподтека на коже в области сустава.
Появление кровоподтека в подключичной области, в области большой грудной мышцы, болезненность в этой области обычно сопутствуют разрыву ключично-клювовидных связок, то есть полному вывиху. Окончательный диагноз устанавливается при анализе рентгенограммы, которая должна выполняться в положении стоя со свободно опущенными вдоль туловища руками. Расширение ключично-клювовидного пространства при разобщении сочлененных поверхностей свидетельствуют о полном вывихе. В сомнительных случаях делают снимок здорового сустава для сравнения.
Лечение
Неполные вывихи акромиально-ключичного сустава, как правило, лечатся консервативно. Верхняя конечность помещается на косынку, ключично-акромиальное сочленение обезболивается путем местного введения 10–15 мл 1–2% раствора новокаина, продолжительной иммобилизации не требуется. Через 2–3 дня назначаются ЛФК, физиотерапевтическое лечение.
Полные вывихи акромиального конца ключицы лечатся хирургическим путем. Оперативное лечение с использованием современных способов прочной фиксации позволяет отказаться от внешней иммобилизации, рано начинать восстановительное лечение и значительно сократить сроки нетрудоспособности.
Государственная клиническая больница №29 им. Н.Э.Баумана – это современная многопрофильная высокотехнологичная больница с уникальной полуторавековой историей и традицией, оказывающая высококачественную медицинскую помощь в круглосуточном режиме.
Разрыв акромиально-ключичного сочленения (акромиальный вывих ключицы)

Разрыв акромиально-ключичного сочленения — повреждение, которое часто встречается у людей, занимающихся контактными и бросковыми видами спорта. Травма довольно распространенная: составляет до 40 % всех спортивных повреждений плеча. Наиболее частая причина травматизации — падение на локоть или плечо.

Повреждение акромиально-ключичного сочленения сопровождается следующими симптомами.
- Сильная боль в надплечье.
- Отек и гематома в области ключицы.
- Невозможность активных движений в плечевом суставе.
- Деформация кости в области ключицы.
При первых признаках повреждения следует незамедлительно обратиться к врачу: травма может привести к ограничению подвижности руки.
К какому врачу обратиться с разрывом акромиально-ключичного сочленения?
Диагностикой и лечением повреждения занимается травматолог. Он же накладывает повязку. Во время реабилитационного периода и при назначении операции необходимо консультирование у хирурга.
Почему следует обратиться к травматологам «Скандинавии»
«Скандинавия» — современная клиника, оснащение которой позволяет диагностировать и лечить даже такие сложные травмы, как разрыв акромиально-ключичного сочленения. Своим пациентам мы предлагаем:
- консультацию у травматологов с опытом работы более 5 лет;
- прохождение всех необходимых исследований в день первой консультации;
- моментальные результаты рентгенографии;
- комфортабельный стационар с телевидением и Wi-Fi.
Для иностранных и иногородних граждан возможен прием без полиса ОМС и других документов. Подробности вы можете уточнить у оператора.

Как проходит первая консультация у травматолога
Во время первой консультации врач уточняет ваши личные данные, а также информацию о получении травмы, что помогает ему выбрать тактику лечения. После осмотра и проведения рентгенографии травматолог может назначить консультацию у хирурга и невролога.
Диагностика разрыва акромиально-ключичного сочленения
Для диагностики травмы используют рентгенографию. Исследование позволяет определить характер повреждения и подобрать оптимальную тактику лечения. При появлении неврологической симптоматики может потребоваться компьютерная томография.
Методы лечения разрыва акромиально-ключичного сочленения в «Скандинавии»
Клиника «Скандинавия» оборудована всем необходимым для консервативного и хирургического лечения травм.
- При вывихах без смещения врач накладывает ограничительную повязку и выписывает анальгетики для уменьшения болевого синдрома.
- При вывихах со смещением хирург проводит операцию по остеосинтезу с винтами или пластинами.
Хирургическое вмешательство показано также пожилым пациентам и при объемных повреждениях.
Записаться на прием к травматологу
Лечение разрывов акромиально-ключичного сочленения
Описание заболевания, симптомы и причины, методы лечения.
Повреждение связок АКС
Акромиально-ключичный сустав состоит из двух костей, соединяющихся между собой при помощи связок и собственной капсулой сустава. Сустав относится к категории малоподвижных, движения в котором возможны только при высокоамплитудных взмахах руки. Несмотря на такую мнимую малозначимость, акромиально-ключичный сустав выполняет ряд важных биологических функций, а именно:
1) Участвует в скоординированных движениях верхней конечности
2) Удерживает лопатку
3) Выполняет амортизирующую функцию для плечевого сустава
Повреждения сустав возможны при травмах, наносимых по верхней трети плеча и непосредственно по самому плечевому суставу. Нередко, когда в научной литературе можно встретить сокращенную аббревиатуру, как повреждение АКС, что также является одним и тем же названием, укороченным для простоты восприятия. Травмы сочленения не редкость в современном мире.
Симптомы повреждения АКС
При повреждениях сочленения клиническая картина зависит от тяжести травмы и места перелома, разрыва связки, вывиха Интенсивные боли с ограничением подвижности плечевого сустава возникают при переломах и вывихах по задней линии. Если осмотреть пациента до появления отека, в первые часы, то можно увидеть деформацию в области проекции ключицы, а также ложное удлинение травмированной верхней конечности. При более мелких повреждениях АКС боль появляется только при совершении движений в суставе.
Запишитесь на приём к врачу травматологу-ортопеду Ондар Темиру Евгеньевичу и получите эффективную программу лечения:
Способы лечения повреждения АКС
Лечение повреждений акромиально-ключичного сочленения остается актуальной задачей современной травматологии и ортопедии ввиду распространенности данной патологии и наличия дискуссионных вопросов относительно ее лечения. Вывихи акромиального конца ключицы составляют от 7,0 до 26,1% среди всех вывихов скелета и более 10% случаев острой травмы плечевого пояса, занимая по частоте третье место после вывихов в плечевом и локтевом суставах. До настоящего времени предложено более 270 консервативных и более 100 оперативных методов лечения вывихов акромиального конца ключицы (АКК).
Все эти методики делятся на консервативный и оперативный методы лечения.
Консервативный способ
При применении большинства известных методов лечения повреждения АКС требуется длительная иммобилизация, что снижает функциональные возможности аппарата плечевого пояса и верхней конечности, делает невозможным проведение раннего функционального лечения, предрасполагает к формированию контрактур в плечевом суставе. Это, в свою очередь, требует дополнительного восстановительного лечения, что ведет к увеличению сроков временной нетрудоспособности.
При частичном повреждении сочленения у людей ведущий неспортивный образ жизни возможно применение консервативного лечения, которое включает:
- ограничение физических нагрузок;
- иммобилизацию ортезом на 3–4 недели;
- курс физиотерапевтических процедур;
- лечебня гимнастика;
- массаж.
Оперативный способ
Основным методом лечения повреждений сустава, в частности при полном вывихе, когда произошел разрыв как в , так и сочленениях является операция. Оперативный метод позволяет устранить вывих ключицы и стабильно зафиксировать ее в физиологичном положении. Существуют различные методики и подходы при лечении вывиха акромиального конца ключицы.
Типы операции: вывих ключицы с разрывом связок
Фиксацию сочленения можно провести металлическими фиксаторами. Задачей фиксации ключицы является создание условий для восстановления поврежденных связок. Этот метод позволяет пациенту в послеоперационном периоде лечиться без внешней иммобилизации, начать реабилитацию на 12 сутки после операции. Недостатком указанного метода является необходимость проведения повторной операции через 3–4 месяца с целью удаления фиксатора.
Метод фиксации сочленения. Этот метод позволяет фиксировать связку, минимизировать операционную травматизацию мягких тканей области плеча. Метод малоинвазивной реконструкции сочленения наиболее применим у пациентов не ведущих активный образ жизни, у женщин (минимальный послеоперационный рубец).
В послеоперационном периоде применяется внешняя иммобилизация косыночной повязкой до снятия швов. Активные движения рукой больные, как правило, начинают со 2–3 недели после операции.
центр «Новый Шаг» предлагает эффективные методы лечения повреждений акромиально-ключичного сочленения. Записаться на консультацию можно по телефону или через обратной связи.
центр «Новый Шаг»:
мы будем счастливы вернуть вам радость активной жизни!
РАЗРЫВ АКРОМИАЛЬНО-КЛЮЧИЧНОГО СОЧЛЕНЕНИЯ ПЛЕЧЕВОГО СУСТАВА

Плечевой сустав вместе с лопаткой соединён со всем остальным скелетом при помощи одной кости - ключицы.
Ключица, в свою очередь, соединена с грудиной посредством грудино-ключичного сочленения. А лопатка соединена с ключицей посредством акромиально-ключичного сочленения (АКС).
Акромиально-ключичное сочленение удерживается на месте посредством ключично - акромиальных и ключично - клювовидных связок.
Как можно получить разрыв акромиально-ключичного сочленения АКС.
Повреждение или разрыв акромиально-ключичного сочленения может произойти при падении на вытянутую руку во время спортивных занятий, катании на роликах, коньках, сноуборде или при падении на прямую руку зимой во время гололеда.
Что чувствуешь, если повредил АКС.
При 1-ой степени повреждения определяется опухлость в области крепления акромиального конца ключицы к лопатке,
при 2-ой степени мы можем видеть «синдром клавиши», ключица при надавливании утапливается и, при отпускании, возвращается обратно подобно клавише рояля.
При 3-ей степени разрыва АКС присутствует видимая деформация, конец ключицы выступает над лопаткой на весь свой диаметр.
Как помочь себе при травме плечевого региона.
Доврачебная помощь при травме плечевого сустава заключается в наложении холода на место наибольшей болезненности и в иммобилизации верхней конечности косыночной повязкой.
Поставить диагноз можно на основании рентгеновского снимка.
Что нужно для постановки диагноза при повреждении АКС.
Для постановки диагноза и для определения степени повреждения акромиально-ключичного сочленения наиболее информативным методом исследования является рентген.
На рентгене при первой степени разрыва акромиально-ключичного сочленения будет видно расхождение между ключицей и акромионом.
При второй степени мы видим выступание ключицы над акромионом на расстояние не более половины ее диаметра.
При третьей степени ключица выступает над лопаткой на полный свой диаметр и даже более того.
На основании рентгена, при третьей степени повреждения, пациенту дополнительно назначается МРТ- это исследование позволит нам точно определить какие именно связки оказались разорваны, степень разрыва и поможет с выбором тактики хирургического лечения.
Лечение разрыва акромиально-ключичного сочленения.
Тактика лечения разрыва АКС выбирается врачом исходя из степени повреждения сочленения и давности травмы.
Как правило 1-ая и 2-ая степень повреждения лечится консервативно.
На границе между 2-ой и 3-ей степенью повреждения и при 3-ей степени необходима операция.
Существует несколько способов хирургического лечения разрыва АКС:
- открытая операция, выполняется через разрез тканей плечевого сустава.
- артроскопическая, наиболее современная, малотравматичная операция на АКС.
Открытая операция на акромиально-ключичном сочленении.
При открытой операции выполняется разрез в районе ключицы, при этом дельтовидная мышца отсепаровывается (отделяется анатомически не разрезая, а отчищая) от ключицы, обнажаются разорванные связки, в основание клювовидного отростка, либо вокруг него, проводится тонкая синтетическая лента, которая прижимает ключицу к клювовидному отростку обеспечивая, тем самым, заживление связок (конической и трапециевидной).
Артроскопия акромиально-ключичного сочленения при острой,
до 2-ух недель с момента травмы, степени повреждения.
Выполнив артроскопические доступы под дельтовидной мышцей и под акромионом мы визуализируем разорванные связки. В основании клювовидного отростка выполняется отверстие, в которое мы проводим специальную синтетическую 2 мм ленту Fiber Tape и титановую пуговицу Endo Button, которая заклинивается под клювовидным отростком. Затем, между конической и трапециевидной связками, через ключицу, не повреждая волокна дельтовидной мышцы и связки, выполняется второе отверстие, в которое пропускается эта же лента и далее она фиксируется на ключице при помощи второго реконструктивного фиксатора Endo Button.
Артроскопия акромиально-ключичного сочленения при подострой,
до 3 месяцев с момента травмы, степени повреждения.
При подострой степени повреждения АКС нами выполняется модифицированная операция WEAVER-DUNN.
Дополнительно к установленным пуговицам, которые прижимают ключицу к клювовидному отростку, предварительно прошитая часть корако-акромиальной связки разворачивается и фиксируется к ключице. Таким образом производится несвободная пластика ключично-клювовидных связок при помощи акромиально-ключичной связки.
Модифицированная операция WEAVER-DUNN непроста для исполнения. Для проведения ее при достаточной визуализации, требуется анестезиологическое обеспечение высокого уровня, которым наша клиника оснащена.
Артроскопия акромиально-ключичного сочленения при застарелой,
более 3 месяцев с момента травмы, степени повреждения.
На таком сроке помочь пациенту с разрывом акромиально-ключичного сочленения можно выполнив сухожильную пластику АКС. При этой операции в дополнение к пуговицам-фиксаторам и синтетической ленте из полусухожильной мышцы пациента, выделенной из подколенной области формируется петля, которая проводится вокруг клювовидного отростка, закрепляется в каналах в ключице и фиксируется к акромиальному отростку.
Почему мы можем перемещать корако-акромиальную связку?
Корако-акромиальная связка-это рудиментальное образование, утратившее своё основное значение в процессе эволюционного развития, вызывающее, зачастую, импинджмент синдром и ее перемещение можно считать скорее благом для пациента.
Мы используем несоосную технику сверления туннелей в местах анатомического крепления связок, позволяющую нам сделать сложную операцию наиболее элегантно. Такой метод выполнения сложнее для хирурга, но наиболее оптимален для восстановления пациента.
Почему стоит выбирать метод артроскопии для операции на АКС.
В 30 процентах случаев, при травме акромиально-ключичного сочленения, происходит разрыв передне-верхнего сегмента суставной губы плечевого сустава- SLAP. То есть, каждому третьему пациенту выполняя операцию на АКС артроскопическим способом, мы, используя те же доступы, можем дополнительно выполнить и артроскопический шов суставной губы. Если в остром состоянии повреждение суставной губы можно рефиксировать в анатомическом положении, то в запущенных случаях выполняется тенодез сухожилия длинной головки бицепса, что несколько не физиологично.
Своевременное артроскопическое лечение, направленное на устранение нестабильности в акромиально-ключичном сочленении, обеспечивает сращение не только связок, но и внутрисуставного диска. Плечевой сустав начинает функционировать физиологично, тем самым предотвращается развитие артроза АКС, развитие импинджмент синдрома плеча и, как следствие, такого грозного состояния как разрыв вращательной(ротаторной) манжеты плеча.
Послеоперационный период при операции на акромиально-ключичном сочленении.
Связки АКС срастаются 3-4 недели с момента проведения операции.
Все это время пациенту рекомендована иммобилизация в мягкой отводящей шине с нейтральной ротацией.
На 3-4 неделе назначается реабилитационная программа, при успешном прохождении которой и по истечении 4 месяцев после операции, возможны любые спортивные нагрузки без каких-либо ограничений.
*Разрыв акромиально-ключичного сочленения-это повод для срочного обращения к специалисту по хирургии плеча.
*В нашей клинике операции на акромиально-ключичном сочленении (АКС) выполняются артроскопически, без разрезов.
Длительность артроскопической операции около 1 часа.
*Артроскопическая операция на акромиально-ключичном сочленении требует от хирурга наличия значительных навыков и опыта.
Читайте также:
