Рентгенограмма, КТ, МРТ при чрезмыщелковом (надмыщелковом) переломе локтевого сустава
Добавил пользователь Владимир З. Обновлено: 08.11.2025
Локтевой сустав — важное анатомическое образование, которое объединяет кости плеча и предплечья. Если он функционирует с нарушениями, то возникают трудности с выполнением самых простых движений. Человек испытывает дискомфортные ощущения во время еды, расчесывания, подъема тяжести, захвата любого предмета. Когда локтевой сустав двигается, то одновременно в пространстве перемещаются и поворачиваются кости предплечья, запястья, фаланг. Только за счет нормальной работы сочленения мы можем выполнять сложные движения кистью.
При переломах образующих его костей происходит ограничение функций всей руки. Возникают препятствия при попытке выполнить любое элементарное движение, например, развернуть кисть вверх. Полное восстановление функций локтя возможно только при размещении костей и их отломков в анатомическом положении, обеспечивая их быстрое сращение. Ведущий метод диагностики всех переломов локтевого сустава — рентгенография. Метод лечения зависит от локализации и тяжести травмы, возраста пациента. Если консервативное лечение (наложение гипса) не окажет эффекта, больного готовят к хирургической операции.

Немного анатомии
Локтевой сустав образован локтевой, плечевой, лучевой костями. Локоть сформирован двумя суставами. При соединении костей плеча и предплечья образуется первый; благодаря ему локоть сгибается и разгибается. Второе сочленение формируется за счет локтевой кости и гладкой головки лучевой кости. Во время движения в сочленении локтевая кость вращается вокруг лучевой. Основные функции этого сустава:
- супинация, или поворот кисти ладонью кверху;
- пронация, или ее разворот ладонью вниз.
У нижней трети плечевой кости сложная форма. Ее центральный отдел немного выше локтя делится на две части, поддерживающие мыщелки. Их можно обнаружить при прощупывании мягких тканей, расположенных справа и слева от локтевого сустава. На участке с мыщелками есть определенное количество выступов и борозд, в которых находятся концы костей. В этих анатомических структурах они сочленяются, смещаются относительно кости плеча.

Костные поверхности выстланы прочным и одновременно эластичным гиалиновым хрящом. Он белый, гладкий, скользкий, защищает от повреждения кости, которые часто и монотонно смещаются в локтевом сочленении. Плавные и безболезненные движения обеспечивают хрящевые ткани. В отличие от других анатомических элементов тела они практически не снабжаются кровью. Синовиальная жидкость для них служит источником:
- молекулярного кислорода;
- питательных и биологически активных веществ.
Хрящ в большинстве случаев повреждается во время перелома. Для его дальнейшего функционирования нужна ювелирная репозиция (сопоставление, совмещение) отломков.
Основная задача терапии любого перелома — восстановление суставных поверхностей. Если полноценной регенерации хрящевых тканей не происходит, то значительно повышается риск необратимых осложнений.
Травматологи проводят лечение так называемого посттравматического артроза локтя — дегенеративно-дистрофической патологии, провоцирующей анкилоз (полную или частичную суставную неподвижность). Очень опасны переломы головок лучевых костей локтевых суставов. Кровообращение в этой части локтя полностью нарушается. При дефиците питательных веществ высока вероятность необратимого разрушения костной головки.
Клиническая картина
Во время перелома возникает острая боль. Один из ведущих симптомов травмы — хруст, напоминающий треск переламываемых сухих ветвей. Болезненные ощущения обычно локализованы на задней стороне сустава. Для травмы также характерны следующие признаки:
- боль иррадиирует в область плеча и предплечья;
- через несколько минут после повреждения начинает формироваться отек, интенсивность которого быстро нарастает;
- кожа в области повреждения прохладная, бледная, иногда синюшная;
- гематома образуется немного позже. Сначала происходят точечные кровоизлияния из-за разорвавшихся крупных сосудов. Постепенно кровь изливается в подкожную клетчатку и на передней поверхности локтя появляется обширная гематома;
- при открытом переломе кожа повреждается, а из раны могут выступать костные отломки и острые края трубчатых костей;
- пострадавший не способен произвести движения травмированной рукой — согнуть и разогнуть локоть, развернуть кисть.

Обычно локоть деформирован. Нередко возникает настолько острая боль, что пациент может потерять сознание. При пальпации доктор обнаруживает крупные отломки, оценивает тяжесть травмы. Симптомы трещины в локтевом суставе выражены не настолько ярко. Формируется крупная гематома, область повреждения отекает, но ограничения движений не происходит. Пострадавший придерживает травмированную руку здоровой для снижения интенсивности болезненных ощущений.
Разновидности переломов локтя и методы лечения
Локтевой сустав — стабильное анатомическое образование за счет наличия эластичных связок, расположенных по обе стороны сочленения. Травматологи очень редко диагностируют вывихи локтя из-за его прочного связочно-сухожильного аппарата. Стабильность обеспечивают и крепкие двуглавые и трехглавые мышцы, пересекающие суставы. Человек способен сгибать локоть благодаря надежному креплению бицепса к лучевой кости. А за разгибание отвечает трицепс, который присоединен к отростку локтя. В результате такого сложного анатомического строения у пострадавших выявляются разнообразные переломы.

В результате удара или падения могут образовываться трещины в локтевом суставе. Они бывают одиночными или множественными, а по расположению к костной осевой линии — линейными, косыми, спиралеобразными. При трещинах в кости сустав сохраняет опорную функцию. Если они не сопровождаются переломом, то для полного выздоровления достаточно ношения гипсовой повязки.
Переломы нижних отделов плечевых костей
Перелом, не затрагивающий суставные поверхности, называется внесуставным. При его диагностировании прогноз на полное выздоровление благоприятный. Внесуставные травмы выявляются немного выше локтя, обычно в области надмыщелков. Даже наложение гипсовой повязки плохо иммобилизует сочленение, поэтому сразу проводится хирургическая операция. Врач сопоставляет фрагменты в анатомическом положении, закрепляет их металлическими пластинами и винтами. Форма хирургических приспособлений соответствует изгибам костей. Это обеспечивает стабильную фиксацию и быстрое сращение перелома. Операция, проведенная по такой методике, позволяет пострадавшему раньше приступить к разработке движений.
Частая травма локтя — отрыв медиального надмыщелка, сопровождающийся его переломом, из-за запредельной тяги коллатеральных связок. Происходит отсоединение костного отломка, попадающего в суставную полость и полностью блокирующего движения. Попытка согнуть или разогнуть локоть приводит к возникновению сильной, пронизывающей боли. Показана открытая операция с фиксацией костного фрагмента к участку отрыва. Иногда восстановить сочленение возможно консервативным способом, но только при нахождении отломка рядом с местом его отрыва.

При установлении внутрисуставного перелома прогноз на полное выздоровление хуже. Задачами терапии становится качественное совмещение отломков и восстановление хрящевых поверхностей. Чаще всего диагностируются следующие травмы:
- переломы плечевых костей в области их головчатых возвышений. Отломки смещаются внутрь суставов, ограничивая их функционирование. Травмирование часто происходит при падении с упором на вытянутую руку или при вывихе. Пациентам показана хирургическая терапия. Крупные отломки закрепляют винтами в правильном положении. Маленькие фрагменты, не подлежащие репозиции, удаляют;

- травмы чрезмыщелковые, межмыщелковые. Это самые часто диагностируемые виды переломов, обычно возникающие при сильном ударе в локоть. Поддерживающие надмыщелки костные структуры разрушаются, что становится причиной изменения соотношения костей. Для таких травм характерно серьезное повреждение хрящевых тканей, восстановление которых является сложной задачей. После репозиции суставных элементов они крепятся винтами и пластинами до полного их сращения. Это не станет ограничением для постепенной разработки сустава.

Во время диагностирования оценивается состояние кровеносных сосудов, степень кровоизлияния в суставы. При проведении операции хирургу приходится восстанавливать и поврежденные нервы. Если этим этапом пренебречь, то разовьются тяжелейшие осложнения. Нарушение иннервации спровоцирует потерю чувствительности кисти, также возможно значительное снижение объема движений в локте.
Перелом проксимального отдела локтевой кости
При таких травмах обычно повреждения локализованы в верхних третях локтевых костей. Происходит перелом локтевого отростка (переломо-вывихи Монтеджи).

Если произошло спровоцированное тягой трицепса смещение фрагмента, то проводится только оперативное лечение. Хирург восстанавливает хрящевые и костные ткани, а затем фиксирует отломки спицами и проволокой. Удаляют спицы примерно через полгода после оценки состояния локтя. А пластины извлекаются позже — через 1-2 года.
Благодаря близкому расположению локтевого отростка к коже операция длится недолго и не представляет сложности. Но есть и исключения — многооскольчатые переломы с повреждениями венечных отростков. Они закрепляются специальными хирургическими металлическими конструкциями.
Перелом шейки и головки лучевой кости
При переломе руки в локтевом суставе человеком утрачивается способность вращения лучевой кости. Это приводит снижению функциональной активности предплечья. Пострадавший также не может повернуть кисть, взять любой предмет. Иногда костные отломки смещаются в суставные полости, блокируя движения. Опасным осложнением травмы становится повреждение костными фрагментами кровеносных сосудов, ответственных за трофику лучевой кости. При незначительном смещении фрагментов операция не проводится. Функции локтя восстанавливаются при наложении гипсовой повязки. Если фрагменты блокировали сочленение, то производится внутренняя их фиксация винтами и пластинами. При многооскольчатом переломе пациенту показано эндопротезирование костной головки.

Образующие локтевой сустав кости расположены близко к поверхности кожи, поэтому часто диагностируются открытые переломы. При таких травмах повреждаются сразу несколько элементов, расположенных внутри сустава. При открытом переломе проводится хирургическая операция. Иссекаются поврежденные, загрязненные ткани на участке разрыва кожи, а затем кости закрепляются аппаратами внешней фиксации. Как только раны заживают, приспособление удаляется. Теперь кости крепятся пластинами, винтами, которые извлекаются после полного восстановления функций руки. Такой метод проведения операции снижает вероятность инфицирования суставных полостей болезнетворными бактериями.
Эффективность терапии зависит от своевременного обращения за медицинской помощью. Руку пострадавшего следует зафиксировать повязкой в виде косынки, прикладывать к области отека холодовой компресс на 10-15 минут каждый час, дать таблетку Нурофена, Диклофенака, Найза или Кеторола. Человека следует как можно быстрее доставить в травмпункт для обследования и лечения.
Рентгенограмма, КТ, МРТ при чрезмыщелковом (надмыщелковом) переломе локтевого сустава
а) Терминология:
1. Синонимы:
• Надмыщелковый перелом у детей
о В большинстве случаев, действительно, чрезмыщелковый
• Перелом Гартланда
2. Определения:
• Перелом дистального эпиметафиза плечевой кости, проходящий через как медиальный, так и латеральный надмыщелки
• Ориентация: поперечный
• Не захватывает суставную поверхность плечевой кости
• Переходит на суставную капсулу
• Механизм: разгибательная сила при вытянутой руке
б) Визуализация:
1. Общая характеристика:
• Лучший диагностический критерий:
о Поперечная линия перелома через оба мыщелка плечевой кости
о В острый период: положительный симптом жировой подушки (выпот в локтевом суставе)
о У детей: симптом передней линии плечевой кости
• Локализация:
о Дистальный эпиметафиз плечевой кости:
- Внутрикапсулярная часть (в локтевом суставе)
- Проходит через тонкую кость между мыщелками
- Не затрагивает суставные поверхности
• Размер:
о Один крупный отломок дистального эпиметафиза плечевой кости:
- Захватывает оба мыщелка плечевой кости
• Морфология:
о Горизонтальная линия перелома проходит через медиальный и латеральный мыщелки плечевой кости
о Переходит на капсулу локтевого сустава
о Дистальный отломок обычно смещается кзади и медиально или вообще не смещается
о Взрослые: полный перелом
о Дети: может быть неполный:
- У детей редко отмечается отделение дистального эпифиза плечевой кости

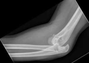
(Слева) На боковой рентгенограмме у четырехлетнего мальчика определяется надмыщелковый перелом плечевой кости после падения на выпрямленную руку. Обратите внимание на смещение головки кзади относительно линии вдоль переднего коркового слоя дистального эпиметафиза плечевой кости. Положительный симптом жировой подушки подтверждает внутрисуставную природу перелома. Следовательно, это действительно чрезмыщелковый перелом.
(Справа) На передне-задней рентгенограмме у этого же пациента не видна линия перелома, что является характерным для этой возрастной группы, кроме случаев с переломом с более значительным смещением.
2. Рентгенография при чрезмыщелковом (надмыщелковом) переломе локтевого сустава:
• Поперечная линия перелома через медиальный и латеральный мыщелки плечевой кости:
о Линия перелома не видима в 25% случаев у детей
о В некоторых случаях линия перелома видима только на косой проекции
• Не захватывает суставную поверхность плечевой кости
• Может быть со смещением:
о Обычно кзади и медиально
• Симптом положительной жировой подушки = гемартроз
• Симптом передней линии плечевой кости у детей:
о В боковой проекции линия проходит вдоль переднего кортикального слоя дистальной трети диафиза плечевой кости
о Линия должна пересекать среднюю 1/3 головки
о Если линия переходит на переднюю 1/3 головки или кпереди:
- перелом
• Значительное смещение мыщелков кпереди при сгибательном типе
3. КТ при чрезмыщелковом (надмыщелковом) переломе локтевого сустава:
• Линия перелома, расположенная в капсуле локтевого сустава
• Перелом бывает сложно заметить в осевых проекциях
• На фронтальных и сагиттальных изображениях с реформатированием видно распространение поперечного перелома
• Значительное смещение мыщелков кпереди при сгибательном типе
• Отсутствие перехода на суставную поверхность плечевой кости
• Суставной выпот/гемартроз
4. МРТ при чрезмыщелковом (надмыщелковом) переломе локтевого сустава:
• Линия перелома пересекает медиальный и латеральные мыщелки
• Без перехода на суставную поверхность дистального эпиметафиза плечевой кости
• Редко с захватом дистальной зоны роста плечевой кости
о Высокий сигнал на Т2ВИ FS в зоне роста
о Расширение зоны роста
• Внутрикапсулярная локализация перелома
• Суставной выпот/гемартроз
5. Рекомендации по визуализации:
• Лучший метод визуализации:
о Рентгенография
• Рекомендация по протоколу:
о Рентгенограмма:
- Передне-задняя, боковая и косая проекции
- Истинная боковая проекция необходима для оценки симптома передней линии плечевой кости
о КТ:
- Тонкослойная истинная осевая томография
- Необходима фронтальная и сагиттальная томография с реформатированием
о МРТ:
- Угловые изображения относительно плечевой кости, а не предплечья
- Фронтальная плоскость, определяемая по линии, проходящей через широчайшие части мыщелков на истинной осевой томограмме

(Слева) В боковой проекции у женщины 87 лет после падения определяется повреждение Гартланда II типа с задним смещением мыщелков плечевой кости относительно диафиза и задним угловым отклонением, но с сохранением контакта с задним кортикальным слоем.
(Справа) На снимке в боковой проекции у девятилетнего ребенка определяется полное смещение кзади мыщелков плечевой кости и отсутствие контакта между отломками, составляющими повреждение Гартланда III типа. Поскольку перелом не переходит на мыщелки, он является истинным надмыщелковым переломом.
в) Дифференциальная диагностика чрезмыщелкового (надмыщелкового) перелома локтевого сустава:
1. Истинный надмыщелковый перелом:
• Внекапсулярный
• Со смещением
• Пожилые пациенты
2. Межмыщелковый перелом:
• Линия перелома проходит между мыщелками плечевой кости
• Перелом переходит на суставную поверхность
3. Перелом медиального мыщелка:
• Перелом не захватывает латеральный мыщелок
• Перелом переходит на суставную поверхность
4. Перелом латерального мыщелка:
• Перелом не захватывает медиальный мыщелок
• Перелом переходит на суставную поверхность
5. Вывих предплечья:
• Локтевая кость смещается относительно дистального конца плечевой кости
• Лучеголовчатый сустав обычно разорван
• Может быть ассоциирован с переломом дистального конца плечевой кости

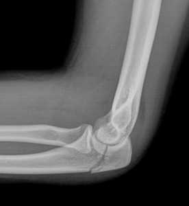
(Слева) На снимке определяется чрезмыщелковый перелом плечевой кости у женщины 63 лет после падения на выпрямленную руку. Линия перелома пересекает оба мыщелка, но не переходит на суставную поверхность. Имеется незначительное медиальное смещение дистального отломка, что является частой находкой при таких травмах.
(Справа) На фронтальной компьютерной томограмме с реформатированием без контрастирования у этой же пациентки подтверждается чрезмыщелковый ход перелома и отчетливо видно медиальное смещение дистального отломка. Кроме того, данные КТ подтверждают сохранность суставной поверхности плечевой кости.
г) Патология:
1. Общая характеристика:
• Сопутствующие патологические изменения:
о Другие переломы локтевого сустава:
- Локтевой отросток
- Медиальный мыщелок
о Перелом дистального конца лучевой кости (частота 5-6%)
о Тракционное повреждение нервно-сосудистого пучка:
- Плечевая артерия (частота 0,5%)
- Передняя межкостная ветвь срединного нерва (частота 4%)
2. Стадирование, градации и классификация чрезмыщелкового (надмыщелкового) перелома локтевого сустава:
• Разгибательный тип:
о Чаще у детей и пожилых
о Дети:
- Смещение кзади и медиально
- Классификация Гартланда:
I тип: без смещения
II тип: со смещением с интактным задним кортикальным споем
III тип: разрыв заднего кортикального слоя без контакта с ним
о Пожилые:
- Обычно без смещения
• Сгибательный тип:
о Значительное смещение
о Венечный отросток заключен между смещенными мыщелками и диафизом плечевой кости
о Может быть оскольчатый
• Большинство метафизарные без захвата суставной поверхности (переломы дистального эпиметафиза плечевой кости по классификации АО/ОТА)
д) Клинические особенности:
1. Проявления чрезмыщелкового (надмыщелкового) перелома локтевого сустава:
• Типичные признаки/симптомы:
о Боль и припухлость локтевого сустава
о Деформация при смещении
• Другие признаки/симптомы:
о Жалобы со стороны нервно-сосудистого пучка:
- Обычно при переломах со смещением
- Временное поражение нерва (частота 10-16%)
2. Демография:
• Возраст:
о Бимодальный:
- Дети:
Часто - Взрослые:
Обычно пожилые
• Пол:
о М>Ж
• Эпидемиология:
о 60% переломов локтевого сустава у детей
о В результате падения на вытянутую руку + чрезмерное разгибание
3. Течение и прогноз:
• Хороший прогноз при правильной репозиции и стабилизации отломка:
о Полный объем движений может не восстановиться до одного года
• Осложнения:
о Неудачная репозиция
о Варусная деформация локтевого сустава при неправильной репозиции
о Повреждение срединного нерва:
- Может быть травматическое или ятрогенное
- До 5% случаев сопровождаются хронической нейропатией срединного нерва
о Контрактура Фолькмана:
- Ишемическая сгибательная контрактура кисти
- Вследствие нераспознанного сосудистого повреждения
- Редкая (частота - 0,5%)
4. Лечение:
• Закрытая репозиция переломов без смещения (I типа и некоторых II типа по Гартланду)
• Хирургическая фиксация при переломах без смещения (III типа и некоторых II типа по Гартланду):
о Обычно достаточно фиксации спицей/стержнем Киршнера
о Открытая репозиция и внутренняя фиксация при подозрении на повреждение сосуда
е) Диагностическая памятка:
1. Следует учесть:
• Подвижный локтевой сустав:
о Переломы дистального эпиметафиза плечевой кости и проксимальной трети предплечья изолируют локтевой сустав
• Патологический перелом:
о Имеющееся деструктивное образование приводит к образованию неровных краев перелома и просветления
• Межмыщелковые переломы:
о Линия перелома проходит между мыщелками и переходит на суставную поверхность
• Изолированный перелом медиального или латерального мыщелка:
о Перелом захватывает только один мыщелок
о Линия перелома переходит на суставную поверхность
2. Советы по интерпретации изображений:
• Приподнимание жировых подушек у детей раннего возраста после падения на вытянутую руку = чрезмыщелковый перелом, если не доказано иное
• Симптом передней линии перелома может быть единственным симптомом у детей раннего возраста
• Наличие суставного выпота/гемартроза указывает на переход перелома на капсулу локтевого сустава
• Симптом жировой подушки может отсутствовать при вытекании содержимого из разорванной суставной капсулы
• Обычно наблюдается при переломах с выраженным смещением
3. Рекомендации по отчетности:
• Описывают смещение или угловое отклонение любого отломка
• Истинная боковая рентгенограмма важна для оценки передней линии плечевого сустава
• Следует принимать во внимание жестокое обращение с неходячими детьми
ж) Список использованной литературы:
1. Guven MF et al: Results of displaced supracondylar humerus fractures treated with open reduction and internal fixation after a mean 22.4 years of follow-up. J Shoulder Elbow Surg. 24(4):640-6, 2015
2. Kang S et al: The prognostic value of the fracture level in the treatment of Gartland type III supracondylar humeral fracture in children. Bone Joint J. 97-BO): 134-40, 2015
3. Isa AD et al: Functional outcome of supracondylar elbow fractures in children: a 3- to 5-year follow-up. Can J Surg. 57(4):241 -6, 2014
4. Mulpuri К et al: The treatment of displaced supracondylar humerus fractures: evidence-based guideline. J Pediatr Orthop. 32 Suppl 2:S143-52, 2012
5. Mallo G et al: Use of the Gartland classification system for treatment of pediatric supracondylar humerus fractures. Orthopedics. 33(1): 19, 2010
6. Omid R et al: Supracondylar humeral fractures in children. J Bone Joint Surg Am. 90(5): 1121 -32, 2008
7. Shrader MW: Pediatric supracondylar fractures and pediatric physeal elbow fractures. Orthop Clin North Am. 39(2): 163-71, v, 2008
Рентгенограмма, КТ, МРТ, УЗИ при переломе латерального мыщелка локтевого сустава
а) Определения:
• Любой перелом латерального мыщелка плечевой кости, переходящий на сустав:
о Кроме переломов, захватывающих только внесуставную часть мыщелка
о Кроме переломов, захватывающих оба мыщелка
о Значительно чаще у детей
1. Общая характеристика:
• Лучший диагностический критерий:
о Прямая линия перелома, проходящая через латеральный мыщелок плечевой кости и переходящая на локтевой сустав
• Локализация:
о Латеральный мыщелок дистального эпиметафиза плечевой кости
• Размер:
о Может образоваться отломок от малой до крупной величины
• Морфология:
о Как правило, косая ориентация
о Переходит на суставную поверхность дистального эпиметафиза плечевой кости:
- Латерально от латерального блокового гребня → стабильное повреждение
- Медиально от латерального блокового гребня → нестабильное повреждение
- Дети — ход через хрящ дистального эпифиза плечевой кости (повреждения Салтера-Харриса IV типа)

(Слева) На передне-задней рентгенограмме перелома латерального мыщелка Милча II у взрослого пациента визуализируется линия перелома В, переходящая на локтевой сустав медиальне латерального блокового гребня. Переломы Милча II встречаются чаще, чем I тип.
(Справа) На фронтальной КТ с реформатированием у этого же пациента входная точка перелома визуализируется лучше. При локализации перелома медиальне латерального блокового гребня В он визуализируется лучше, так как повреждение Милча II типа и поэтому оно сопровождается нестабильностью локтевого сустава.
2. Рентгенография при переломе латерального мыщелка локтевого сустава:
• Дети:
о Часто виден только небольшой отломок кости, отделившейся от латерального мыщелка плечевой кости
о По величине отломка на рентгенограмме можно сильно недооценить истинную величину повреждения:
- Может быть II или IV тип Салтера-Харриса
- Невозможно оценить величину перелома через неоссифицированный эпифиз
о Острый — симптом положительной жировой подушки
• Взрослые:
о Прямая линия перелома, проходящая через латеральный мыщелок плечевой кости
о Лучше видна в передне-задней проекции
о Острый → симптом положительной жировой подушки
3. КТ при переломе латерального мыщелка локтевого сустава:
• Более информативна у взрослых пациентов в сравнении с детьми
• Косое линейное просветление в латеральном мыщелке, переходящее на суставную поверхность
• Переход перелома на сустав:
о Латеральнее латерального блокового гребня
о Медиальнее латерального блокового гребня
4. МРТ при переломе латерального мыщелка локтевого сустава:
• Дети: для оценки величины перелома в неоссифицированном дистальном эпифизе плечевой кости необходимо выполнение МРТ:
о По величине костного отломка на рентгенограммах возможна значительная недооценка истинных размеров повреждения
о Определяет повреждение ростковой пластинки, затем проводят итоговую оценку по классификации Салтера-Харриса
• Линия перелома в латеральном мыщелке плечевой кости имеет низкоинтенсивный сигнал на всех МР-частотах
• Отек окружающего костного мозга имеет низкоинтенсивный сигнал на Т1ВИ и высокоинтенсивный сигнал на Т2ВИ
5. УЗИ при переломе латерального мыщелка локтевого сустава:
• Дети: может быть выявлено поражение эпифизарного хряща, суставного хряща
• Может не дать общей картины повреждения, которая необходима хирургам
6. Рекомендации по визуализации:
• Лучший метод визуализации:
о Рентгенограммы в острый период травмы:
- Три проекции
о КТ: величина перелома, взаимоотношение и положение различных отломков у взрослых:
- Полезна для характеристики следующих свойств:
Точные плоскости перелома
Смещение суставной поверхности
Смещение и ротация отломков
о МРТ: величина повреждения через неоссифицированный дистальный эпифиз плечевой кости у детей:
- Переход перелома на или через суставной хрящ дистального эпифиза
- Повреждение ростковой пластинки (Салтера-Харриса II или IV)
- Локализация перелома относительно латерального блокового гребня
• Рекомендация по протоколу:
о Начинают со стандартных рентгенограмм локтевого сустава:
- Передне-задняя и боковая проекции
- Косая проекция полезна при переломах без смещения
о КТ:
- Наиболее информативна у взрослых
- Получают тонкие срезы в истинной осевой плоскости
- Реформатирование в истинной сагиттальной и истинной фронтальной плоскостях
о МРТ:
- Наиболее информативна у детей
- Фронтальная и сагиттальная Т2ВИ FS, чтобы показать:
Перелом в неоссифицированном дистальном эпифизе плечевой кости
Сложные плоскости перелома

(Слева) На передне-задней рентгенограмме локтевого сустава у ребенка младшего возраста визуализируется характерная в этом возрасте тонкая линия перелома латерального мыщелка. Здесь невозможно увидеть повреждение эпифизарного хряща и суставной поверхности, но это следует предположить.
(Справа) Передне-задняя интраоперационная ренттеноартрограмма у этого же пациента подтверждает анатомическое сопоставление поверхностей суставного хряща после репозиции.
в) Дифференциальная диагностика перелома латерального мыщелка локтевого сустава:
1. Межмыщелковый перелом:
• Линия перелома обычно проходит между мыщелками и переходит на диафиз плечевой кости в форме буквы Y или Т
• Чаще у взрослых
2. Чрезмыщелковый перелом локтевого сустава:
• Поперечный перелом через верхние части обеих мыщелков
• Не переходит на суставную поверхность
• Чаще у детей
3. Надмыщелковый перелом:
• Поперечный перелом дистальной трети диафиза плечевой кости с сохранением мыщелков
• Внесуставной
• Необычная травма
4. Вывих предплечья:
• Неправильное положение локтеплечевого и лучеголовчатого суставов
• Может быть ассоциирован с другими переломами
5. Перелом головки:
• Обычно у взрослых
• Разделение и ротация суставных поверхностей латерального мыщелка плечевой кости
6. Отрыв латерального надмыщелка:
• Внесуставная травма в результате варусного давления
• Отломок может быть совсем маленьким

(Слева) На передне-задней рентгенограмме перелома латерального мыщелка у двухлетнего ребенка виден отделившейся костный отломок. Слабо выраженный перелом через ростковую пластинку подтверждает, что это повреждение Салтера-Харриса.
(Справа) На боковой рентгенограмме у этого же пациента определяется перелом латерального мыщелка с незначительным отделением метафизарного участка. Ростковая пластинка повреждена.
1. Общая характеристика:
• Этиология:
о Обычно в результате действия варусной силы на локтевой сустав
о Может быть в результате падения на выпрямленную руку:
- Подводит проксимальный конец лучевой кости к латеральному мыщелку
2. Стадирование, градации и классификация перелома латерального мыщелка локтевого сустава:
• Классификация Милча:
о Прогнозирует стабильность локтевого сустава на основании повреждения латерального блокового гребня
о Милч I:
- Менее частый тип
- Перелом переходит на локтевой сустав латерально от латерального блокового гребня
- Сохраняется срединно-боковая стабильность локтевого сустава
- IV тип Салтера-Харриса у детей
о Милч II:
- Более частый тип
- Перелом переходит на локтевой сустав у или медиально от латерального блокового гребня
- Срединно-боковая нестабильность локтевого сустава
- II тип (необычный) или IV тип Салтера-Харриса у детей
• Классификация Якоба:
о На основании смещения отломка
о I тип:
- Смещение незначительное (- Суставная поверхность сохраняет нормальное положение
о II тип:
- Шарнирное смещение от 2 до 4 мм метафизарного отломка
- Суставная поверхность сохраняет нормальное положение
о III тип:
- Полное смещение
- Ротация отломка
- Нестабильный локтевой сустав
1. Демография:
• Возраст:
о Чаще у детей
о Диапазон: 4-10 лет
о Пик: шесть лет
о Может встречаться у пациентов со зрелым скелетом
• Эпидемиология:
о Второй по частое перелом локтевого сустава у детей
о 17% переломов локтевого сустава у детей
о
2. Течение и прогноз:
• Без лечения - остаточная боль и, возможно, деформация, особенно, при повреждении Милча II
• Осложнения:
о Остеоартрит
о Варусная деформация локтевого сустава
о Замедленное срастание
о Несрастание
о Избыточный рост латерального мыщелка:
- Вследствие гиперемии
- 40% переломов латерального мыщелка
о Остеонекроз латерального мыщелка:
- Очень редко
о Вальгусная деформация локтевого сустава:
- Вследствие остановки развития латеральной зоны роста
3. Лечение:
• Зависит от смещения перелома:
о Якоб I:
- Длинная лонгета на руку
- Сгибание локтевого сустава на 90°
- В случае замедленного срастания или смещения по оси → операция
о Якоб II:
- Подкожная фиксация, если возможно
- Открытая фиксация о Якоб III:
- Открытая репозиция и фиксация
1. Следует учесть:
• Повреждение неоссифицированной зоны роста и эпифиза у детей
о Салтера-Харриса II или IV
• Поражение латерального блокового гребня, чтобы отличить стабильное повреждение от нестабильного:
о Перелом латерально от гребня → более стабильное повреждение
о Перелом медиально от гребня → нестабильное повреждение
2. Советы по интерпретации изображений:
• У детей раннего возраста рентгенограмма может ввести в заблуждение:
о Истинная величина повреждения может включать в себя суставной хрящ, что хорошо видно только на МРТ
о Любой перелом латерального мыщелка у ребенка раннего возраста предполагает поражение суставной поверхности (Салтера-Харриса IV), если не доказано иное
• Классификация Милча определяется локализацией перелома:
о Латерально от латерального блокового гребня → стабильный
о Медиально от латерального блокового гребня → нестабильный локтевой сустав
3. Рекомендации по отчетности:
• Необходимо описать наличие: или отсутствие повреждения латерального блокового гребня
о У детей обычно требуется МРТ
• Перелом типа Салтера-Харриса (II в сравнении с IV) у детей
• Степень смещения и ротации дистального отломка
Рентгенограмма, КТ, МРТ, УЗИ при переломе медиального мыщелка локтевого сустава
а) Определения:
• Внутрисуставной перелом через медиальный мыщелок плечевой кости → дистальная суставная поверхность или ростковая пластинка:
о Кроме переломов, захватывающих только внесуставную часть мыщелка
о Кроме переломов, захватывающих оба мыщелка
1. Общая характеристика:
• Лучший диагностический критерий:
о Прямая линия перелома, проходящая через медиальный мыщелок плечевой кости → локтевой сустав
• Локализация:
о Медиальный мыщелок дистального эпиметафиза плечевой кости
• Размер:
о Могут образоваться отломки от малого до большого размера
о Мелкие отломки, исходящие из внесуставного надмыщелка, относятся к другому повреждению
• Морфология:
о Как правило, косой/неравномерный по ориентации
о Переходит на суставную поверхность дистального эпиметафиза плечевой кости:
- Медиальнее латерального блокового гребня
- Латеральнее латерального блокового гребня
- Дети: линия перелома проходит через эпифизарный хрящ дистального эпиметафиза плечевой кости (повреждение Салтера-Харриса IV типа):
В некоторых случаях эпифиз не захватывается (Салтера-Харриса I)

(Слева) На передне-задней рентгенограмме перелома медиального мыщелка у годовалого ребенка визуализируется линия перелома, идущая к латеральной суставной поверхности плечевой кости. Место перехода на суставную поверхность у маленького ребенка невозможно увидеть только при МРТ или УЗИ. Это повреждение Милча II.
(Справа) У девушки 29 лет с ювенильным идиопатическим артритом в передне-задней проекции определяется перелом медиального мыщелка, переходящий на суставную поверхность. Массивные эрозии и деформации у пациентки связаны с длительным артритом.
2. Рентгенография при переломе медиального мыщелка локтевого сустава:
• Взрослые:
о Прямая линия перелома, проходящая через медиальный мыщелок плечевой кости
о Лучшая визуализация в передне-задней проекции
о Острая травма → положительный симптом жировой подушки
• Дети:
о Часто виден только мелкий отломок кости, отделенный от медиального мыщелка плечевой кости проксимальнее ростковой зоны
о Величина отломка на рентгенограмме может быть - Переход линии перелома через хрящевой эпифиз не очевиден на рентгенограммах
о Острая травма → положительный симптом жировой подушки
3. КТ при переломе медиального мыщелка локтевого сустава:
• Более информативна у взрослых, чем у детей
• Косая линия просветления, идущая от суставной поверхности дистального эпиметафиза плечевой кости → медиальный мыщелок плечевой кости
• Захват латеральной стенки блока является важным признаком при определении стабильного локтевого сустава:
о Медиальнее латерального блокового гребня→ стабильный
о Латеральнее латерального блокового гребня → нестабильный
4. МРТ при переломе медиального мыщелка локтевого сустава:
• Линия перелома в латеральном мыщелке плечевой кости: ↓ сигнал на всех МР частотах
• Окружающий костный мозг характеризуется ↓ сигналом на Т1ВИ и ↑ сигналом на Т2ВИ
• МРТ имеет решающее значение при определении размера повреждения у детей с неоссифицированным дистальным эпифизом плечевой кости:
о Не следует недооценивать истинный размер повреждения, исходя из величины костного отломка на рентгенограммах
о Определяет поражение ростковой зоны
5. УЗИ при переломе медиального мыщелка локтевого сустава:
• Кроме того, может использоваться для оценки степени повреждения эпифиза у детей
6. Рекомендации по визуализации:
• Лучший метод визуализации:
о Острая травма: рентгенография:
- Три проекции
о КТ: величина перелома, отношение и положение различных отломков у взрослых
о МПРТ: величина повреждения через неоссифицированный дистальный эпифиз плечевой кости у детей
• Рекомендации по протоколу:
о Начинают со стандартных рентгенограмм локтевого сустава:
- Передне-задняя и боковая проекции являются обязательными
- Косая проекция полезна при переломах без смещения
о КТ:
- Наиболее полезна у детей
- Полезна для характеристики:
Точных плоскостей перелома
Локализации перелома относительно латерального блокового гребня
Отклонения суставной поверхности
Смещения отломков
Ротации отломков
- Необходимы тонкие срезы в истинной осевой плоскости
- Реформатирование в истинной сагиттальной и истинной фронтальных плоскостях
о МРТ:
- Наиболее информативна у детей
- На фронтальных и сагиттальных Т2-взвешенных изображениях с жироподавлением лучше видны плоскости сложного перелома:
Захват латерального блокового края
- ↑ Т2 сигнал в ростковой зоне указывает на повреждение Салтера-Харриса
- Переход перелома на или через дистальный суставной хрящ
- Как правило, дает более полную картину для хирургов, чем УЗИ; УЗИ используют при невозможности выполнения МРТ

(Слева) Фронтальная КТ с реформатированием у этой же пациентки помогает лучше оценить суставную поверхность. Перелом медиального мыщелка переходит на сустав латеральнее латерального блокового гребня, что относит его к повреждению Милча II типа, подразумевающее нестабильность. Кроме этого, при КТ была детально визуализирована деформация сустава.
(Справа) На передне-задней рентгенограмме у мужчины 60 лет с хронической болью в локтевом суставе можно видеть хроническое несрастание перелома медиального мыщелка. В локтевом суставе имеются легкие дегенеративные изменения.
в) Дифференциальная диагностика перелома медиального мыщелка локтевого сустава:
1. Межмыщелковый перелом:
• Линия перелома обычно проходит между мыщелками и переходит на диафиз плечевой кости в виде буквы Y или Т
• Чаще у взрослых
2. Двухмыщелковый перелом:
• Обычно в виде буквы Y, которая разделяет оба мыщелка от диафиза плечевой кости
• Чаще у взрослых
3. Чрезмыщелковый перелом локтевого сустава:
• Поперечный перелом обеих мыщелков плечевой кости с сохранением суставной поверхности
• Чаще у детей раннего возраста
4. Вывих предплечья:
• Отсутствие сопоставления эпифизов локтеплечевого и лучеголовчатого суставов
• Может быть сочетаться с другими переломами
5. Механизм вальгусного давления/локтевой сустав игрока малой лиги:
• Внесуставное повреждение вследствие вальгусного давления
• Отломок может быть очень маленьким
• Захватывает медиальный надмыщелок, а не мыщелок

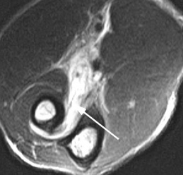
(Слева) На фронтальной МРТ Т1ВИ у этого же пациента визуализируется отломок медиального мыщелка под кортикальным слоем, связанный с передним пучком локтевой коллатеральной связки.
(Справа) На осевой МРТ Т2ВИ FS у этого же пациента определяется отек костного мозга в отломке или в прилежащем нативном медиальном мыщелке. В суставе незначительное количество жидкости.
1. Общая характеристика:
• Этиология:
о Может возникать в результате падения на вытянутую руку с вальгусным положением локтевого сустава
о Падение на локтевой отросток, когда локтевой отросток вклинивается в медиальный мыщелок
о Отрыв мыщелка вследствие сильного сокращения сгибателя и пронатора (нечастый)
2. Стадирование, градации и классификация перелома медиального мыщелка локтевого сустава:
• Классификация Милча:
о Прогнозируется стабильность локтевого сустава на основании повреждения латерального блокового гребня
о Милч I:
- Перелом переходит на локтевой сустав медиально от латерального блокового гребня
- Срединно-боковая стабильность локтевого сустава сохраняется
- IV тип Салтера-Харриса
- Более частый тип, чем Милч II
о Милч II:
- Перелом переходит на локтевой сустав у или латерально от латерального блокового гребня
- Срединно-боковая нестабильность локтевого сустава
- II или IV тип Салтера-Харриса
- Менее частый, чем Милч I
• Классификация Кифойла:
о На основании смещения отломков медиального мыщелка
о I тип:
- Перелом без смещения через метафиз медиального мыщелка вниз на зону роста
- Повреждения Салтера-Харриса II типа
- Не захватывает дистальный эпифиз плечевой кости или переходит на локтевой сустав
о II тип:
- Перелом без смещения через метафиз и эпифиз медиального мыщелка
- Повреждения Салтера-Харриса IV типа
- Переходит на локтевой сустав
о III тип:
- Смещение отломка перелома
- Кроме того, отломок может быть ротирован
1. Проявления:
• Типичные признаки/симптомы:
о Боль и припухлость около локтевого сустава, в частности, в области медиального мыщелка плечевой кости
2. Демография:
• Возраст:
о Пиковая частота: 7-14 лет
о Может встречаться у взрослых
• Эпидемиология:
о Редкий
3. Течение и прогноз:
• Без лечения → остаточная боль и, вероятно, деформация:
о Особенно, повреждение Милча II
• Осложнения:
о Остеоартрит
о Варусная деформация локтевого сустава
о Замедленное срастание
о Несрастание
о Избыточный рост медиального мыщелка
4. Лечение:
• Зависит от смещения перелома:
о Переломы без смещения → консервативное лечение:
- Закрытая гипсовая лонгета
- КТ для оценки расположения отломка в гипсовой лонгете
о Переломы со смещением (Кифойла III) необходимо репонировать:
- Открытая репозиция и внутренняя фиксация
- Точная репозиция отломка имеет большое значение для достижения хорошего исхода
1. Следует учесть:
• Повреждение суставного хряща у детей:
о Салтера-Харриса IV
• Повреждение латерального блокового гребня, чтобы отличить стабильное повреждение от нестабильного:
о Перелом медиально гребня — обычно более стабильное повреждение
о Перелом латерально гребня — обычно нестабильное повреждение
2. Советы по интерпретации изображений:
• У детей раннего возраста рентгенограмма может быть неинформативной:
о Истинное повреждение может захватывать суставной хрящ, которое хорошо визуализируется только при МРТ
• Классификация Милча зависит от локализации перелома:
о Медиально от латерального блокового гребня → стабильный локтевой сустав
о Латерально от медиального блокового гребня → нестабильный локтевой сустав
3. Рекомендации по отчетности:
• Необходимо описать наличие или отсутствие повреждения латерального блокового гребня
• Степень смещения и ротация дистального отломка
• Тип перелома Салтера-Харриса (II в сравнении с IV)
ж) Список использованной литературы:
1. Lynsky ML et al: When is a medial epicondyle fracture a medial condyle fracture? Am J Orthop (Belle Mead NJ). 41 (1 ):24-8, 2012
2. Edmonds EW: How displaced are "nondisplaced" fractures of the medial humeral epicondyle in children? Results of a three-dimensional computed tomography analysis. J Bone Joint Surg Am. 92(17):2785-91,2010
3. Louahem DM et al: Displaced medial epicondyle fractures of the humerus: surgical treatment and results. A report of 139 cases. Arch Orthop Trauma Surg. 130(5):649-55, 2010
4. Leet Al et al: Medial condyle fractures of the humerus in children. J Pediatr Orthop. 22(1 ):2-7, 2002
5. Nagi ON et al: Fractures of the medial humeral condyle in adults. Singapore Med J. 41 (7):347-51,2000
6. Papavasiliou V et al: Fractures of the medial condyle of the humerus in childhood. J Pediatr Orthop. 7(4):421-3,1987
7. Bensahel H etal: Fractures of the medial condyle of the humerus in children. J Pediatr Orthop. 6(4):430-3,1986
8. Kilfoyle RM: Fractures of the medial condyle and epicondyle of the elbow in children. Clin Orthop Relat Res. 41:43-50, 1965
Травмы локтевого сустава
Основным методом диагностики травм локтевого сустава традиционно является рентгенологический. Дополнительное значение имеет МРТ. Роль МРТ состоит в выявлении признаков артроза, повреждения связок, мышц и выявлении эпикондилита а также кубитального тоннельного синдрома.
Дислокации локтевого сустава
Дислокации локтевого сустава без перелома рассматриваются как простые, с переломом – как комплексные. Наиболее типичные переломы – это головки лучевой кости и переломы локтевого отростка. В некоторых случаях наблюдается триада из перелома головки лучевой кости, перелома венечного отростка локтевой кости и подвывиха назад.

Триада: перелом головки лучевой кости, перелом венечного отростка и подвывих назад. Рентгенограмма в боковой проекции.

Перелом локтевого отростка локтевой кости. Рентгенограмма в боковой проекции.
Переломы области локтевого сустава
В области локтевого сустава встречаются дистальные переломы плечевой кости. У детей это чаще всего простые надмыщелковые (супракондилярные) переломы. Они делятся на три типа: тип 1 -без смещения, тип 2 – со смещением, но без повреждения кортикального слоя, и тип 3 – с полным смещением. Поскольку не всегда удается увидеть линию перелома, следует обращать внимание приподнимание переднего комка жировой клетчатки и расположение передней линии плеча. Она в норме пересекает на боковых снимках головку в средней ее трети. Реже встречаются медиальные эпикондилярные переломы и латеральные эпикондилярные переломы.
Помимо переломов плечевой кости наблюдаются переломы лучевой и локтевой кости. Эти типы переломов характерны для взрослых. Обычно переломы головки лучевой кости изолированные, но могут быть и в сочетании с переломом венечного отростка локтевой кости и повреждением связочного аппарата. Изредка встречаются переломы локтевого отростка локтевой кости, обычно при прямом ударе или падении на локоть.
На МРТ локтевого сустава при любом переломе видна реакция костного мозга. Это помогает в диагностике, если перелом сразу не виден на рентгенограмме. В дальнейшем можно прицельно дообследовать подозрительную область. При консолидировавшихся переломах на МРТ остается видна линия перелома, а окружающий костный мозг нередко подвергается жировой дегенерации. МРТ в СПб стало необходимым компонентом обследования пациентов с травмой суставов и осуществимо в высоких полях или открытом МРТ. МРТ СПб дает возможность исследовать методом МРТ локтевой сустав в разных центрах, однако, наш опыт позволяет рекомендовать обследование именно у нас.

Рентгенограмма (слева) и МРТ локтевого сустава (справа). Суставная мышь (стрелка). Выпот и синовит на Т2-взвешенной МРТ.
Хронические и острые повреждения мягких тканей
При однотипных движениях нередко встречаются эпикондилиты и синдром складки локтевого сустава. Эти патологии хорошо видны при МРТ локтевого сустава. При МРТ в СПб, мы особо обращаем внимание на состояние мягких тканей, так как их изменения еще могут быть причиной тоннельных синдромов. Кроме того вследствие травмы при МРТ области локтевого сустава наблюдаются повреждения мышц.

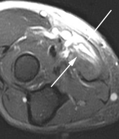
МРТ локтевого сустава. Т2-взвешенная МРТ, аксиальный срез ниже суставной щели. Разрыв двуглавой мышцы плеча (стрелка).

МРТ локтевого сустава. Т2-взвешенная аксиальная МРТ. Разрыв круглого пронатора (стрелка).
Читайте также:
