Рентгенография, КТ при чрезбрыжеечной послеоперационной грыже
Добавил пользователь Евгений Кузнецов Обновлено: 20.12.2025
Рентгенограмма, КТ при парадуоденальной грыже
а) Определение:
• Врожденная внутренняя грыжа, проявляющаяся выбуханием петель кишечника через дефект в брыжейке
б) Визуализация:
1. Общая характеристика парадуоденальной грыжи:
• Лучший диагностический критерий:
о КТ с контрастным усилением: группа расширенных петель тонкой кишки в верхних отделах брюшной полости справа или слева, с наличием деформации брыжеечных сосудов
• Локализация:
о Слева (75%): протрузия тонкой кишки через ямку Ландцерта (возле связки Трейца) в брыжейке возле двенадцатиперстной кишки (снаружи от ее четвертой части)
о Справа (25%): выбухание тонкой кишки через ямку Вальдейера в области брыжейки тощей кишки (снизу по отношению к третьей части двенадцатиперстной кишки)
2. Рентгенография парадуоденальной грыжи:
• Рентгенография:
о Рентгенография органов брюшной полости в передне-задней проекции в положении пациента лежа: группа растянутых петель тонкой кишки в верхних отделах живота справа или слева

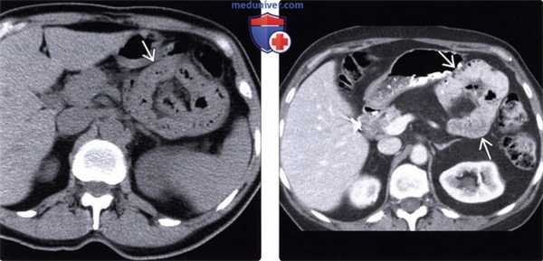
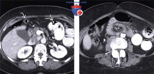
(Слева) На аксиальной нативной КТ определяется группа «инкапсулированных» петель тонкой кишки в левой половине брюшной полости. Обратите внимание на локализацию этих петель, тесно прилежащих к дистальным отделам двенадцатиперстной кишки, задней стенке желудка и ободочной кишке - в полном соответствии с местоположением парадуоденальной грыжи.
(Справа) На аксиальной КТ с контрастным усилением визуализируется группа незначительно расширенных петель тонкой кишки S3 в левом верхнем квадранте, смещающих желудок кпереди. Брыжеечные сосуды, кровоснабжающие участки кишки, выпавшие в грыжу, сходятся в центре (группы петель кишечника).
3. КТ при парадуоденальной грыже:
• Левосторонняя парадуоденальная грыжа:
о Группа мешковидно расширенных петель тонкой кишки с наличием «капсулы», локализованных между телом (или хвостом) поджелудочной железы и желудком слева от связки Трейца:
- Петли кишки выпадают в мешок, образованный брыжейкой нисходящей и дистальных отделов поперечной ободочной кишки
- Печеночный изгиб ободочной кишки находится обычно спереди от грыжевого мешка
о Грыжевой мешок может оказывать объемное воздействие на заднюю стенку желудка, область перехода двенадцатиперстной кишки в тощую, смещая их книзу и кнутри, на поперечную ободочную кишку, смещая ее книзу/кпереди
о Расширенные, полнокровные брыжеечные сосуды, питающие петли кишки, находящиеся в грыжевом мешке:
- Нижняя брыжеечная вена и левая ободочная артерия лежат спереди и с внутренней стороны от края грыжевого мешка, причем вена часто смещается влево
• Правосторонняя парадуоденальная грыжа:
о Группа расширенных прикрытых петель тонкой кишки справа в верхних отделах живота снаружи и снизу от нисходящей части двенадцатиперстной кишки:
- Восходящая ободочная кишка располагается снаружи от грыжевого мешка
- Грыжевой мешок оказывает объемное воздействие на правый мочеточник, смещая его кнаружи
о Нетипичный извитой ход верхней брыжеечной артерии (ВБА) и вены (ВБВ), обеспечивающих коровок в участке кишки, лежащей в грыжевом мешке:
- ВБВ смещена кпереди и влево
- Патологическая извитость ветвей ВБА, проникающих в грыжевой мешок и кровоснабжающих тощую кишку
- Основной ствол ВБА и правая ободочная вена располагаются вдоль переднего края грыжевого мешка
о Часто сочетается с отсутствием поворота кишечника
• Обструкция тонкой кишки:
о Петли кишки внутри грыжевого мешка могут быть расширенными (или обычными) в зависимости от наличия или отсутствия обструкции тонкой кишки, с наличием переходной зоны, отграничивающей растянутые петли кишки в грыжевом мешке, и сужением дистальных отделов кишечника
о Нужно подозревать ишемические изменения кишки в грыжевом мешке, если она выглядит утолщенной, воспаленной или имеет нетипичные характеристики контрастного усиления
4. Рентгеноскопия при парадуоденальной грыже:
• Пассаж бария по тонкой кишке:
о Нетипично тесно прижатые друг к другу, сгруппированные петли кишечника справа или слева в верхних отделах живота; петли тонкой кишки при этом часто не визуализируются в проекции таза:
- Слева: конгломерат петель тощей кишки овоидной формы с четкими контурами в верхнем левом квадранте снаружи от восходящего отдела двенадцатиперстной кишки
- Справа: конгломерат петель тонкой кишки овоидной формы снаружи и снизу от восходящего отдела двенадцатиперстной кишки
- Сгруппированные петли тонкой кишки имеют вид мешка с четкими краями
о В случаях кишечной обструкции (полной либо частичной) может определяться переходная зона между расширенной и не измененной кишкой
о В просвете кишки внутри грыжевого мешка может наблюдаться застой, замедление прохождения контраста, а также фиксация кишки:
- Правосторонние парадуоденальные грыжи обычно больше, чем левосторонние; петли кишки, выпавшие в грыжу на правой стороне, фиксированы в большей степени, чем слева
о Боковая проекция: забрюшинное смещение выпавших в грыжевой мешок петель кишки
5. Ангиография:
• Артериография (верхней брыжеечной артерии): неизмененные ветви, кровоснабжающие тощую кишку, отходят от левого края основного артериального ствола, внезапно меняют свое направление в правую сторону и кзади - к петлям кишки в грыжевом мешке
6. Рекомендации по визуализации:
• Лучший метод визуализации:
о КТ с контрастным усилением, рентгеновское исследование тонкой кишки с контрастом (пассаж бария)

(Слева) На аксиальной КТ с контрастным усилением определяется овоидной формы группа петель тощей кишки в верхнем левом квадранте. Обратите внимание на четко очерченные края грыжевого мешка вокруг выпавшей кишки, а также на брыжеечные сосуды, сходящиеся к центру мешка. Данные изменения типичны для левосторонней пара-дуоденальной грыжи.
(Справа) На отсроченной рентгенограмме верхних отделов ЖКТ у этого же пациента определяется группа плотно прилегающих друг к другу расширенных петель тощей кишки и замедление прохождения контраста в нерасширенные дистальные отделы тонкой кишки.
в) Дифференциальная диагностика парадуоденальной грыжи:
1. Чрезбрыжеечная внутренняя грыжа:
• Внутренняя грыжа, которая чаще всего является приобретенной и возникает в результате оперативного вмешательства (обычно после наложения гастроэнтероанастомоза по Ру, трансплантации печени):
о Редко возникает в результате врожденного дефекта брыжейки (обычно у детей)
• Сгруппированные петли тонкой кишки в периферических отделах живота, петли кишки, расположенные нетипично близко от брюшной стенки, а также с наружной стороны от ободочной кишки:
о Чаще определяются справа
о В отличие от парадуоденальных, чрезбрыжеечные грыжи не выглядят «прикрытыми» или заключенными в мешок
• Большие чрезбрыжеечные грыжи могут проявляться обструкцией кишечника, странгуляцией или ишемией
2. Обструкция с формированием «закрытой» петли:
• При обструкции тонкой кишки в двух отдельных точках, расположенных на одном уровне, формируется «закрытая» петля
• Обычно причиной формирования «закрытой» петли является спаечный процесс, реже - внутренняя или наружная грыжа
• Расширенные петли кишки выглядят патологически измененными, спаянными, тесно прижатыми друг к другу, с радиальной конфигурацией петель кишки и брыжеечных сосудов, вытянутых по направлению к центру
о Может определяться симптом «водоворота» (whirl sign), проявляющийся спиралевидным «завихрением» брыжейки и вытянутых брыжеечных сосудов по направлению к центру
• Высокий риск перекрута кишечной петли (вольвулюс), странгуляции и инфаркта кишки
3. Околослепокишечная внутренняя грыжа:
• Группа петель тонкой кишки (обычно подвздошной), расположенных нетипично (сзади и снаружи от слепой кишки, с распространением в латеральный канал)
• Выбухание кишки через околослепокишечную ямку (дефектный участок в брыжейке слепой кишки)
• Располагается ниже по сравнению с правосторонней парадуоденальной грыжей (чаще в правом нижнем квадранте, чем в правом верхнем)

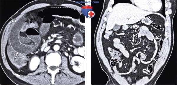
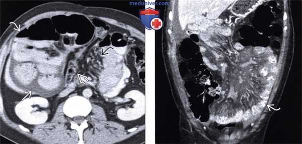
(Слева) На аксиальной КТ определяется правосторонняя парадуоденальная грыжа, которая стала причиной обструкции тонкой кишки. Обратите внимание на U-образную конфигурацию кишечной петли в грыжевом мешке.
(Справа) На корональной КТ с контрастным усилением определяется левосторонняя парадуоденальная грыжа, выглядящая «инкапсулированной» (типичное проявление). Обратите внимание на полнокровные брыжеечные сосуды, идущие прямо в грыжевой мешок.
г) Патология:
1. Общая характеристика парадуоденальной грыжи:
• Этиология:
о Чаще всего возникает в результате врожденной аномалии брыжейки или при нарушении ее развития:
- Аномалии прикрепления брыжейки восходящей или нисходящей ободочной кишки — образование патологических отверстий — внутренняя грыжа
о Может также быть осложнением оперативного вмешательства или травмы:
- Патологический дефект в брыжейке в результате операции или травмы → патологическое смещение тонкой кишки и правой половины ободочной кишки — внутренняя грыжа
о Левосторонняя парадуоденальная грыжа: выбухание тонкой кишки через ямку Ландцерта в брыжейке:
- Отверстие в брюшине снаружи от дистальных отделов двенадцатиперстной кишки обнаруживается у 2% населения
- Петля кишки выпадает в карман, образованный брыжейкой дистальных отделов поперечной, а также нисходящей ободочной кишки, позади верхней брыжеечной артерии
о Правосторонняя парадуоденальная грыжа: протрузия тонкой кишки через ямку Вальдейера:
- Ямка Вальдейера выявляется приблизительно у 1% населения
- Брыжейка тощей кишки расположена сразу же позади ВБА и ниже поперечного отдела двенадцатиперстной кишки
- Петля кишки выпадает в карман, образованный брыжейкой нисходящей ободочной кишки
• Сопутствующие патологические изменения:
о Правосторонние парадуоденальные грыжи часто сочетаются с несостоявшимся поворотом кишечника
2. Стадирование, градация и классификация парадуоденальной грыжи:
• Классификация грыж зависит от локализации:
о Внутренние или внутрибрюшные: выбухание петель кишечника через дефектный участок внутри брюшной полости
о Наружные: выбухание петель кишечника через дефект в стенке живота или таза
о Диафрагмальные: протрузия петель кишечника через ворота диафрагмы или врожденный дефект
• Внутренние грыжи в свою очередь делятся на:
о Парадуоденальные
о Чрезбрыжеечные послеоперационные
о Отверстия Винслоу, околослепокишечные
о Межсигмовидные и чрезсальниковые
• В зависимости от локализации парадуоденальные грыжи подразделяются на:
о Левосторонние (75%) и правосторонние (25%)
3. Макроскопические и хирургические особенности:
• Расширенные петли кишечника, проникающие в дефект брыжейки
д) Клинические особенности:
1. Проявления парадуоденальной грыжи:
• Наиболее частые признаки/симптомы:
о Грыжи небольшого размера клинически «немые» и разрешаются спонтанно
о Большие грыжи могут проявляться неопределенными неприятными ощущениями, увеличением живота, болью схваткообразного характера в околопупочной области, наличием пальпируемого объемного образования, локальной болезненностью:
- Отсутствие специфической симптоматики делает клиническую диагностику практически невозможной; решающая роль в диагностике парадуоденальных грыж принадлежит методам лучевой диагностики
о Право- и левосторонние парадуоденальные грыжи могут проявляться болью после приема пищи; очень часто симптоматика появляется, начиная с детского возраста, но учитывается ретроспективно
о Могут иметь место симптомы кишечной обструкции (тошнота, рвота, боль в животе, вздутие живота)
2. Демография:
• Возраст:
о Любой, но чаще всего от 40 до 60 лет
• Пол:
о М:Ж = 3:1
• Эпидемиология:
о Наиболее частый вариант среди всех внутренних грыж (более 50%)
о Парадуоденальная грыжа обычно является врожденной, и редко связана с оперативным вмешательством или травмой
о Редкая причина обструкции тонкого кишечника (в 0,5-4,1 % всех случаев)
о Крайне высокий (больше 50%) риск ущемления и странгуляции на протяжении всей жизни
3. Течение и прогноз:
• Осложнения:
о Заворот петли кишки, ишемия кишки, странгуляция
о Омертвение кишки, шок, летальный исход
• Прогноз благоприятный при раннем хирургическом вмешательстве, однако риск неблагоприятного исхода сохраняется у пациентов с обструкцией кишечника и другими осложнениями
4. Лечение парадуоденальной грыжи:
• Все парадуоденальные грыжи должны вестись хирургическим путем (с закрытием дефекта в брыжейке):
о Чаще всего вмешательство осуществляется открытым доступом, хотя и лапароскопическая операция также возможна
е) Диагностическая памятка:
1. Следует учесть:
• Нужно предполагать ущемление и ишемические изменения петель кишки, если они выглядят утолщенными внутри грыжевого мешка и обладают нетипичными характеристиками контрастного усиления
2. Совет по интерпретации изображений:
• Группа расширенных петель тонкой кишки с наружной стороны от восходящей/нисходящей двенадцатиперстной кишки с наличием приближенных друг к другу/извитых брыжеечных сосудов
ж) Список использованной литературы:
1. Liao YH et al: Right paraduodenal hernia: characteristic MDCT findings. Abdom Imaging. 36(2):130-3, 2011
Рентгенография, КТ при чрезбрыжеечной послеоперационной грыже
Лучевая диагностика вентральной грыжи
а) Терминология:
• Вентральная грыжа - общее понятие, включающее различные грыжи передней и боковой брюшной стенки
б) Визуализация вентральной грыжи:
• Эпигастральные и гипогастральные грыжи возникают в белой линии (по средней линии живота):
о Эпигастральными называют грыжи, возникающие между пупком и мечевидным отростком грудины
о Гипогастральными грыжами называют грыжи, которые возникают ниже пупка
• Инцизионные грыжи возникают в области повреждения (разреза, прокола ит.д.) брюшной стенки
• КТ: самый точный метод диагностики вентральных грыж:
о Дефект в мышечно-фасциальных пластинках брюшной стенки с выбуханием в него сальника ± кишечника
(Слева) На аксиальной КТ визуализируется грыжа, в мешке которой находится тонкая кишка, выходящая в дефект по средней линии над пупком, не доходя до мечевидного отростка грудины (эпигастральная грыжа). Кишка в грыжевом мешке не выглядит измененной, не определяется признаков обструкции или ишемического поражения.
(Справа) На аксиальной КТ с контрастным усилением у более молодой женщины, предъявляющей жалобы на тошноту и рвоту, обусловленную странгуляцией содержимого грыжевого мешка, определяется грыжевое выпячивание части тонкой кишки в дефект брюшной стенки после лапароскопии, с наличием обструкции кишки. Часть кишечника, расположенная дистальнее от грыжи, резко сужена. (Слева) На аксиальной КТ с контрастным усилением у женщины средних лет с жалобами на тошноту и рвоту определяется вентральная грыжа с ущемленной петлей кишки и наличием признаков кишечной обструкции, а также асцит, свидетельствующий об ишемическом поражении кишки.
(Справа) При аксиальной КТ с контрастом выявлена вентральная грыжа, содержимым которой является в значительной степени утолщенная, не усиливающаяся при введении контраста петля тонкой кишки. Эта грыжа не вправляется при клиническом исследовании, при оперативном вмешательстве обнаружены ишемические изменения петли кишки в грыжевом мешке.
в) Патология:
• Вентральные грыжи могут быть приобретенными или генетически детерминированными:
о Инцизионные грыжи: приобретенные, возникающие в области оперативного вмешательства, разреза или иного повреждения брюшной стенки
- Могут быть следствием ранее выполненной операции на органах брюшной полости, лапароскопии, перитонеального диализа или проникающего ранения (колотого, резаного)
о Эпигастральные и гипогастральные грыжи: возможна генетическая предрасположенность-ослабление белой линии живота:
- Приобретенные факторы риска включают в себя: ожирение, повышение внутрибрюшного давления и расхождение мышц брюшной стенки
г) Клинические особенности:
• Инцизионные грыжи обычно возникают в первые четыре месяца после оперативного вмешательства, но в некоторых случаях могут проявляться спустя многие годы
• Вентральные грыжи не разрешаются спонтанно и практически всегда увеличиваются со временем
• Часто ущемляются и сдавливаются в воротах грыжевого мешка
• Терапия при асимптоматических грыжах является предметом дискуссии, но, в принципе, хирургическое лечение более показано в связи с наличием риска ущемления и странгуляции:
о Пластика сетчатым имплантом без натяжения тканей сегодня является «золотым стандартом» в лечении
Лучевая диагностика чрезбрыжеечной послеоперационной грыжи
а) Терминология:
• Выбухание петель кишечника сквозь врожденный либо приобретенный в результате операции или травмы дефект в брыжейке
б) Визуализация чрезбрыжеечной послеоперационной грыжи:
• Обструкция тонкой кишки с расширением петель и наличием области перехода между расширенными и не расширенными петлями
• Петли тонкой кишки, сгруппированные в периферических отделах брюшной полости
• Смещение жировой клетчатки сальника, прикрывающей выпавшую кишечную петлю, а также наличие петель кишечника, непосредственно контактирующих с брюшной стенкой
• Петли кишечника обнаруживаются с наружной стороны от ободочной кишки (нормальным считается положение ободочной кишки снаружи от тонкой кишки)
• Грыжа обычно не прикрыта и не заключена в мешок
• Чаще всего возникает справа
(Слева) На графическом изображении среза в аксиальной плоскости проиллюстрирована растянутая петля тонкой кишки, выбухающая в дефект брыжейки. Обратите внимание на периферическое положение тонкой кишки, смещение кнутри ободочной кишки, а также смещение брыжеечных сосудов.
(Справа) На аксиальной КГ с контрастным усилением у пациента после резекции ободочной кишки, выполненной ранее, визуализируется группа расширенных петель тонкой кишки в левой половине брюшной полости с передней стороны от поперечной ободочной кишки, а также брыжеечные сосуды, деформированные и переполненные кровью. Эти изменения являются типичными для чрезбрыжеечной грыжи. (Слева) На аксиальной КТ с контрастом у пациента с хирургическим вмешательством на органах брюшной полости в анамнезе визуализируются множественные растянутые, заполненные калом петли тонкой кишки В -проявление тонкокишечной обструкции.
(Справа) На корональной КТ с контрастным усилением у этого же пациента определяется, что эти петли В сгруппированы в боковых отделах живота, непосредственно примыкают к брюшной стенке и смещают ободочную кишку. Эти признаки в совокупности являются типичными для послеоперационной чрезбрыжеечной грыжи.
в) Дифференциальная диагностика:
• Кишечная обструкция с формированием «закрытой» петли
• Парадуоденальная или околослепокишечная внутренняя грыжа с наличием обструкции
г) Патология:
• У взрослых пациентов обычно обусловлена выполненным ранее оперативным вмешательством:
о Чаще всего возникает в результате наложения обходного Y-образного анастомоза желудка по Ру и трансплантации печени
о Намного чаще возникает, если петля Ру находится позади ободочной кишки
• Практически всегда является врожденной у детей:
о Может возникать вторично в результате пренатальной ишемии кишечника с утолщением листков брыжейки
д) Клинические особенности:
• Чрезбрыжеечные грыжи большого размера могут проявляться симптомами обструкции тонкой кишки:
о Чаще проявляются острой симптоматикой, чем другие типы внутренних грыж
о Высокий риск перекрута петли кишки (30%) и ишемии (40%)
о Возникает обычно спустя месяцы после хирургического вмешательства
• Лечение: лапаротомия с декомпрессией кишки и закрытием дефекта в брыжейке
Послеоперационная грыжа
Послеоперационная грыжа характеризуется выходом внутренних органов (кишечника, большого сальника) через дефекты в области хирургического рубца за пределы брюшной стенки. Послеоперационная грыжа определяется в виде опухолевидного выпячивания в зоне послеоперационного рубца, сопровождается болью в животе, при ущемлении - тошнотой, рвотой, отсутствием стула и отхождения газов. Диагностика послеоперационной грыжи включает осмотр хирурга, выполнение рентгенографии желудка, ЭГДС, герниографии, УЗИ брюшной полости и грыжевого выпячивания, КТ органов брюшной полости. Выявление послеоперационной грыжи требует проведения герниопластики с использованием местных тканей или синтетических протезов.


Общие сведения
Послеоперационные грыжи (рубцовые грыжи, грыжи рубца, вентральные грыжи) развиваются в ранние или отдаленные сроки после операций. Частота образования послеоперационных грыж после вмешательств на брюшной полости в оперативной гастроэнтерологии составляет 6-10%. Среди других грыж брюшной полости на долю послеоперационных дефектов приходится до 20–22%.
Послеоперационные грыжи появляются в тех анатомических областях, где проводились типовые операционные разрезы, обеспечивающие доступ к органам брюшной полости: в области белой линии живота (после верхней или нижней срединной лапаротомии), правой подвздошной области (после операций на слепой кишке, аппендэктомии), области пупка, правом подреберье (после холецистэктомии, резекции печени), левом подреберье (после операций на селезенке), боковой поясничной области (после операций на почках и мочеточниках), надлобковой области (после гинекологических и урологических операций).
Причины
В большинстве случаев послеоперационной грыжей осложняются хирургические вмешательства, проводимые в экстренном порядке. Такие ситуации исключают возможность проведения адекватной предоперационной подготовки органов ЖКТ, что после операции приводит к нарушению моторики кишечника (метеоризму, замедлению пассажа кишечных масс), повышению внутрибрюшного давления, ухудшению дыхательной функции, кашлю и в итоге – к ухудшению условий для формирования послеоперационного рубца.
Определенную роль в образовании послеоперационной грыжи играют дефекты операционной техники и послеоперационные осложнения – использование некачественного шовного материала, чрезмерное натяжение местных тканей, воспаление, гематомы, нагноение, расхождение швов. Часто послеоперационные грыжи формируются после длительной тампонады или дренирования брюшной полости.
Послеоперационные грыжи нередко образуются при нарушениях режима самим пациентом: повышенной физической нагрузке после операции, несоблюдении рекомендуемой диеты, отказе от ношения бандажа и др. Появление послеоперационных грыж нередко связано с общей ослабленностью, рвотой, развитием пневмонии или бронхита в послеоперационном периоде, запорами, беременностью и родами, ожирением, сахарным диабетом, системными заболеваниями, сопровождающимися изменением структуры соединительной ткани.
Послеоперационными грыжами могут осложняться практически любые операции на брюшной полости. Наиболее часто послеоперационные грыжи образуются после операций по поводу прободной язвы желудка, калькулезного холецистита, аппендицита, кишечной непроходимости, перитонита, пупочной грыжи или грыжи белой линии живота, кисты яичника, миомы матки, проникающих ранений брюшной полости и др.
Классификация
По анатомотопографическому делению в хирургии различают медиальные послеоперационные грыжи (срединные, верхние срединные и нижние срединные) и латеральные (верхние боковые, нижние боковые – лево- и правосторонние). По величине послеоперационного дефекта грыжи могут быть малыми (не изменяющими конфигурацию живота), средними (занимающими часть отдельной области брюшной стенки), обширными (занимающими отдельную область брюшной стенки), гигантскими (занимающими 2-3 и более областей).
Также послеоперационные грыжи делятся на вправимые и невправимые, одно- и многокамерные. Отдельно рассматриваются рецидивные послеоперационные грыжи, в т. ч. и многократно рецидивирующие. Все обозначенные критерии учитываются при выборе способов устранения послеоперационных грыж.
Симптомы послеоперационной грыжи
Основным проявлением грыжи служит появление выпячивания по линии послеоперационного рубца и по его сторонам. На ранних стадиях послеоперационные грыжи являются вправимыми и не доставляют болевых ощущений. Болезненность и увеличение опухолевидного выпячивания появляется при резких движениях, натуживании, подъеме тяжестей. При этом в горизонтальном положении грыжа уменьшается или легко вправляется.
В дальнейшем боль в животе становится постоянной, иногда приобретает схваткообразный характер. Среди других симптомов послеоперационной грыжи отмечаются вздутие кишечника, запоры, отрыжка, тошнота, снижение активности. При грыжах, расположенных над лобком, могут отмечаться дизурические расстройства. В области грыжевого выпячивания на передней брюшной стенке развивается раздражение и воспалительные изменения кожи.
Послеоперационные грыжи могут осложняться копростазом, ущемлением, перфорацией, частичной или полной спаечной кишечной непроходимостью. При осложненном развитии послеоперационной грыжи отмечается быстрое нарастание боли в животе; появляются тошнота и рвота, кровь в испражнениях или задержка стула и газов. Грыжевое выпячивание становится невправимым в положении лежа на спине.
Диагностика послеоперационной грыжи
При осмотре грыжа определяется как несимметричное выбухание в области послеоперационного рубца. В вертикальном положении, при натуживании пациента или покашливании размеры опухолевидного выпячивания увеличиваются. Иногда через растянутый и истонченный рубец определяется перистальтика кишечных петель, шум плеска и урчание.
С помощью УЗИ брюшной полости и грыжевого выпячивания удается получить данные о форме и размерах грыжи, наличии или отсутствии спаечных процессов в брюшной полости, изменений в мышечно-апоневротических структурах брюшной стенки и др.
В процессе комплексного рентгенологического обследования (обзорная рентгенография брюшной полости, рентгенография желудка, рентгенография пассажа бария по кишечнику, ирригоскопия, герниография) уточняется функциональное состояние ЖКТ, отношение внутренних органов к послеоперационной грыже, наличие спаек. Для уточнения необходимых параметров послеоперационной грыжи и определения методов ее устранения может потребоваться проведение МСКТ или МРТ органов брюшной полости, эзофагогастродуоденоскопии, колоноскопии.

КТ органов брюшной полости. Постоперационная инцизионная грыжа передней брюшной стенки справа, содержащая часть толстой кишки
Лечение послеоперационной грыжи
Консервативная тактика при послеоперационных грыжах допустима только в случае наличия весомых противопоказаний к хирургическому вмешательству. В этих ситуациях рекомендуется соблюдение диеты, исключение физических нагрузок, борьба с запорами, ношение поддерживающего бандажа.
Радикальное избавление от послеоперационной грыжи может быть произведено только хирургическим способом – с помощью герниопластики. Метод герниопластики послеоперационной грыжи избирается, исходя из локализации и величины выпячивания, наличия спаечных процессов между органами брюшной полости и грыжевым мешком.
При небольших и неосложненных послеоперационных дефектах (менее 5 см) может быть выполнено простое ушивание апоневроза, т. е. пластика передней брюшной стенки местными тканями. Средние, обширные, гигантские, длительно существующие и осложненные послеоперационные грыжи требуют укрытия дефекта апоневроза с помощью синтетического протеза (герниопластика с установкой сетчатого протеза). При этом используются различные способы установки сетчатой системы по отношению к анатомическим структурам брюшной полости. В этих случаях нередко требуется разделение спаек, рассечение рубцов; при ущемлении послеоперационной грыжи - резекция кишки и сальника.
Прогноз и профилактика
Послеоперационные грыжи, даже при отсутствии осложнений, приводят к снижению физической и трудовой активности, косметическому дефекту, ухудшению качества жизни. Ущемление послеоперационной грыжи довольно часто (в 8,8% случаев) приводит к летальному исходу. После хирургического устранения послеоперационной грыжи (за исключением случаев многократного рецидивирования) прогноз удовлетворительный.
Профилактика послеоперационных грыж требует от хирурга выбора правильного физиологичного оперативного доступа при различных видах вмешательств, соблюдения тщательной асептики на всех этапах операции, использования качественного шовного материала, адекватной предоперационной подготовки и ведения больного после операции.
В постоперационном периоде от пациента требуется неукоснительное выполнение рекомендаций по питанию, ношению бандажа, физической активности, нормализации веса, ограничению физических нагрузок, регулярному опорожнению кишечника.
а) Определение:
• Выбухание петель кишечника сквозь приобретенный либо врожденный дефект в брыжейке
1. Общая характеристика:
• Лучший диагностический критерий:
о Обструкция тонкой кишки у пациента после трансплантации печени или наложения обходного Y-образного анастомоза желудка по Ру с патологическим группированием растянутых петель тонкой кишки по периферии брюшной полости
• Локализация:
о Патологические отверстия в брыжейке тонкой или ободочной кишки:
- Чаще всего с правой стороны
о Послеоперационные грыжи в результате наложения:
Y-образного обходного желудочного анастомоза по Ру возникают в трех типичных местах:
- Брыжейка поперечной ободочной кишки (80%)
- Брыжейка тонкой кишки (14%)
- Позади петли Ру (6%) (грыжа Петерсена)
о Грыжи после пересадки печени могут возникать в брыжейке поперечной ободочной кишки (чаще) или тонкой кишки
• Размер:
о Дефект в брыжейке может иметь размер от нескольких миллиметров до нескольких сантиметров
2. Рентгенография при чрезбрюшинной послеоперационной грыже:
• Рентгенография:
о Обструкция с формированием «закрытой» петли: в значительной степени растянутый сегмент тонкой кишки с множественными уровнями «жидкость-газ»
о Сжатые и расширенные петли тонкой кишки с нетипичной локализацией в брюшной полости (часто бывают смещены в направлении к периферическим отделам живота)

(Слева) На аксиальной КТ с контрастным усилением у пациента после наложения обходного анастомоза желудка определяется дилятация «малого желудка», отводящей петли, проксимальных отделов тонкой кишки, а также резкое сужение дистальных отделов тонкой кишки и ободочной кишки.
(Справа) На аксиальной КТ с контрастным усилением у этого же пациента отчетливо определяется «скручивание» корня брыжейки тонкой кишки, полнокровие брыжеечных вен, по которым осуществляется отток крови из сегментов кишки, находящихся в грыже, подвергшихся обструкции. Эти изменения обусловлены чрезбрыжеечной внутренней грыжей и заворотом кишки.
3. КТ при чрезбрюшинной послеоперационной грыже:
• Обструкция тонкой кишки с дилатацией кишечных петель и наличием переходной зоны между расширенными и не расширенными петлями кишки, и с выраженным сужением дистальных отделов кишечника
• Сгруппированные, находящиеся в стесненном положении петли тонкой кишки в периферических отделах брюшной полости, непосредственно прилежащие к брюшной стенке:
о Петли кишки обнаруживаются снаружи от ободочной кишки, в то время как в норме ободочная кишка должна занимать более наружное положение относительно тонкой
о Смещение жировой клетчатки сальника, прикрывающей петли кишки, выпавшей в грыжу, с обструкцией кишечных петель, непосредственно прилежащих к брюшной стенке
о Смещение ободочной кишки кзади и книзу (чаще) или кнутри
о Право- или левостороннее смещение основного артериального брыжеечного ствола с растяжением и сдавливанием дистальных ветвей брыжеечных сосудов
о Чаще всего возникает справа
о Грыжа обычно не «прикрыта» и не имеет мешка в отличие от парадуоденальных грыж
• Дополнительные находки, которые могут привести к заключению о наличии обструкции по типу «закрытой» петли кишки или перекрута петли (вольвулюс):
о Признак «водоворота» (заворот кишки со «скручиванием» брыжеечных сосудов по направлению к центру)
о Брыжеечные сосуды выглядят полнокровными, тесно прижатыми друг к другу, «скрученными»
о Утолщение стенки кишки и асцит, особенно в случае ишемии кишечника
• Малые чрезбрыжеечные грыжи в дефектном участке брыжейки поперечной ободочной кишки после наложения обходного анастомоза желудка по Ру:
о Небольшая группа расположенных позади желудка петель тонкой кишки с объемным воздействием на заднюю стенку желудка:
- Избыточно расширенная петля Ру
- Нет смещения ободочной кишки или жировой клетчатки
4. Рентгеноскопия при чрезбрюшинной послеоперационной грыже:
• Пассаж бария по тонкой кишке:
о Прижатые друг к другу петли кишки, расположенные нетипично по периферии брюшной полости (чаще всего справа)
о Не определяется мешка, в котором бы находились петли кишки; группа петель не имеющих четких границ
о Обструкция тонкой кишки, выраженная в различной степени, с наличием переходной области между расширенной и не расширенной кишкой
о В сегменте кишки, находящемся в грыже, могут быть выявлены фиксация, стаз, замедление прохождения контраста
о Рентгенограммы в боковой проекции могут использоваться для определения смещения петель кишки в грыжевом выпячивании
5. Рекомендации по визуализации:
• Лучший метод визуализации:
о КТ с контрастным усилением

(Слева) На аксиальной КТ с контрастом определяется группа расширенных петель тонкой кишки, лежащих снаружи от смещенной ободочной кишки. Определяется также умеренно выраженный, не распространенный асцит, визуализируются полнокровные сосуды, что типично для грыжи брыжейки.
(Справа) На корональной КТ с контрастным усилением у пациента после панкреатодуоденэктомии (операции Уиппла) визуализируется тощая кишка, расположенная нетипично — напротив брюшной стенки. Стенка тощей кишки утолщена, брыжеечные сосуды полнокровны; определяется также небольшой асцит. В этом случае послеоперационная грыжа брыжейки послужила причиной ишемии кишки.
в) Дифференциальной диагностика чрезбрюшинной послеоперационной грыжи:
1. Обструкция с формированием «закрытой» петли:
• При обструкции тонкой кишки в двух отдельных точках, расположенных на одном уровне, формируется «закрытая» петля
• Обычно причиной формирования «закрытой» петли является спаечный процесс, изредка-внутренняя или наружная грыжа
• Высокий риск перекрута кишечной петли (вольвулюс), странгуляции и инфаркта кишки
• Петли в значительной степени расширенной и истонченной тонкой кишки, тесно прилежащие друг к другу, с наличием жидкости в просвете:
о Патологически растянутые петли кишечника и брыжеечные сосуды имеют «извитой» ход, сходясь радиально к центру
• Может быть неотличима от чрезбрыжеечной грыжи, особенно если имеет место заворот петли кишки
2. Парадуоденальная внутренняя грыжа с обструкцией (кишечника):
• Группа патологически расширенных петель тонкой кишки справа или слева (чаще) в верхнем этаже брюшной полости, которые выглядят «инкапсулированными»
• Наличие «капсулы» является ключевой особенностью при дифференциальной диагностике с чрезбрыжеечной грыжей
3. Околослепокишечная внутренняя грыжа с обструкцией:
• Выбухание тонкой кишки через дефект в брыжейке слепой кишки
• Группа петель тонкой кишки располагается сзади и снаружи от слепой кишки и распространяется в правый латеральный карман
• В анамнезе отсутствуют упоминания о хирургическом вмешательстве, грыжевое выпячивание располагается в правом нижнем квадранте (чрезбрыжеечные грыжи чаще обнаруживаются в правом верхнем квадранте)

(Слева) На аксиальной КТ с контрастом у пациента с болью в животе после тотальной колэкто-мии (по причине язвенного колита) визуализируется грыжевое выпячивание тонкой кишки через дефект в брыжейке сигмовидной кишки, а также скручивание сосудов брыжейки в области грыжи.
(Справа) На аксиальной КТ с контрастным усилением, выполненной пациенту с выраженной болью и снижением системного давления, определяется признак «водоворота», который заключается в «скручивании» проксимальных отделов тонкой кишки и брыжеечных сосудов вокруг своей оси. При хирургическом вмешательстве было обнаружено грыжевое выпячивание тонкой кишки в дефект брыжейки.
1. Общая характеристика:
• Этиология:
о Патогенез и механизм развития:
- Образование патологических дефектов в брыжейке в результате хирургического вмешательства либо аномалий развития брыжейки
Неправильная фиксация брыжейки или наличие дефектов в ней может привести к патологической подвижности тонкой кишки, что способствует выпадению петель тонкой кишки (подвздошной/тощей) в дефект и формированию грыжи
Дефект может увеличиваться со временем из-за повторяющихся выпадений грыжи, либо из-за быстрого снижения веса у пациентов после бариатрического оперативного вмешательства
Грыжевое выпячивание кишки может быть единовременным и преходящим либо периодическим
о Чрезбрыжеечная послеоперационная грыжа:
- Грыжи в брыжейке у взрослых пациентов практически всегда связаны с оперативным вмешательством:
Дефект в брыжейке может быть обусловлен либо невозможностью закрытия при оперативном вмешательстве, либо повреждением тканей/импланта, закрывающих дефект
- Чаще всего возникает после наложения обходного анастомоза желудка по Ру или трансплантации печени, однако любое оперативное вмешательство на тонкой или толстой кишке может являться пусковым моментом для развития грыжи:
Риск возникновения грыжи выше, когда петля Ру находится в положении позади ободочной кишки (смещена книзу позади поперечной ободочной кишки)
о Намного реже чрезбрыжеечные грыжи возникают при положении петли Ру спереди от ободочной кишки (сверху от поперечной ободочной кишки), т. к, при этом не создается дефектный участок в брыжейке поперечной ободочной кишки:
Грыжи чаще возникают при лапароскопическом вмешательстве, чем при открытом
о Врожденная чрезбрыжеечная грыжа:
- Грыжи брыжейки у детей практически всегда являются врожденными
- Дефект в брыжейке (обычно 2-5 см в диаметре) находится возле связки Трейца либо илеоцекального клапана
- Причины возникновения неизвестны; может возникать вторично вследствие пренатальной ишемии кишечника и сопровождаться истончением листков брыжейки
2. Стадирование, градация и классификация чрезбрыжеечной послеоперационной грыжи:
• Классификация грыж, основанная на их локализации:
о Внутренние или внутрибрюшные: выбухание петель кишечника через дефектный участок, расположенный внутри брюшной полости
о Наружные: выпадение петель кишечника через дефект в стенке живота или таза
о Диафрагмальные: протрузия петель кишечника через ворота диафрагмы, ее врожденный или приобретенный дефект
• Классификация внутренних грыж:
о Чрезбрыжеечные
о Парадуоденальные
о Отверстия Винслоу, околослепокишечные
о Межсигмовидные и сальниковые
• Чрезбрыжеечная грыжа: делится на два типа в зависимости от этиологии:
о Чрезбрыжеечная послеоперационная (чаще всего у взрослых пациентов)
о Врожденная (наиболее часто у детей)
• Чрезбрыжеечная грыжа: три типа в зависимости от локализации:
о Грыжа брыжейки ободочной кишки: выбухает сквозь дефект в брыжейке поперечной ободочной кишки, «классическим» вариантом является грыжа после наложения обходного желудочно-тонкокишечного анастомоза по Ру
о Грыжа брыжейки тонкой кишки: выбухает сквозь дефект в брыжейке тонкой кишки
о Грыжа Петерсена: выбухаение тонкой кишки позади петли Ру через отверстие в брыжейке поперечной ободочной кишки
1. Проявления чрезбрыжеечной послеоперационной грыжи:
• Наиболее частые признаки/симптомы:
о Малые грыжи могут быть клинически «немыми»
о Грыжи большего размера проявляются симптомами обструкции тонкой кишки:
- Неопределенный дискомфорт, боль в околопупочной области, увеличение живота, пальпируемое объемное образование, тошнота и рвота
о Симптомы могут возникать периодически в течение длительного времени (менее опасный вариант) или проявляться остро (более опасный), хотя по сравнению с другими типами внутренних грыж чаще имеет место острая симптоматика
о Грыжа возникает спустя месяцы после операции (в среднем через 235 дней):
- Обструкция тонкой кишки в первый месяц после операции связана, скорее всего, с образованием спаек
2. Демография:
• Возраст:
о Бимодальное распределение, характерное и для «взрослой», и для «детской» возрастных групп:
- Чаще всего у детей грыжа является врожденной:
Генетически детерминированный дефект в брыжейке тонкой кишки (возле связки Трейца или в илеоцекальной области)
- У взрослых обычно является результатом ятрогенного повреждения брыжейки (чрезбрыжеечная послеоперационная грыжа)
о Обычно возникает у пациентов с избыточным весом после наложения обходного желудочного анастомоза по Ру:
Наиболее типичный возрастной период: между 40 и 60 годами
• Пол:
о М• Эпидемиология:
о Внутренние грыжи обнаруживаются при вскрытии в 0,2—0,9%
о Около 50% всех внутренних грыж составляют послеоперационные грыжи брыжейки
3. Течение и прогноз:
• Осложнения: перекрут петли кишки, ишемия, странгуляция:
о Более высокий риск перекрута петли кишки (вольвулюс) (ок. 30%), ишемического поражения (ок. 40%) по сравнению с другими внутренними грыжами
4. Лечение чрезбрыжеечной послеоперационной грыжи:
• Лапаротомия, декомпрессия кишки, закрытие дефекта в брыжейке
е) Диагностическая памятка. Советы по интерпретации изображений:
• Группа растянутых петель тонкой кишки, которые не имеют «капсулы», не «прикрыты», прилежат к брюшной стенке; с наличием располагающихся близко друг к другу брыжеечных сосудов «скрученного» характера
ж) Список использованной литературы:
1. Kundaragi NG et al: Stretched bowel sign in combined transmesocolic and transomental internal hernia: A case report and review of literature. Indian J Radiol Imaging. 24(2): 171-4, 2014
Читайте также:
- Морфология аллергической тугоухости. Аллергический средний отит
- Рентгенограмма, КТ при переломе диафизов большеберцовой и малоберцовой костей
- Осложнения задней шейной декомпрессии межпозвоночного отверстия и ламинэктомии
- Диагностика рака ободочной кишки. Лечение рака ободочной кишки
- Суправентрикулярные экстрасистолии. Примеры суправентрикулярных экстрасистолий
