Рентгенограмма, КТ, МРТ при надблоково-локтевой мышце
Добавил пользователь Владимир З. Обновлено: 03.12.2025
МРТ локтевого сустава – безвредный и безболезненный метод обследования, который помогает диагностировать различные заболевания, в том числе на ранних этапах их развития. При помощи магнитно-резонансной томографии можно выявить изменения в структурах тканей, наличие опухолей, воспалений, аневризмы и прочие патологические процессы.
В каких случаях направляют на МРТ
При сильных болях в области локтевого сустава, которые наблюдаются продолжительное время (во время движения и в состоянии покоя), человек, естественно, настораживается и начинает беспокоиться. Во многих случаях прием лекарственных препаратов ни к чему не приводит, а самолечение может лишь ухудшить ситуацию. С такими симптомами не стоит долго откладывать визит к специалисту, ведь это может привести к необратимым пагубным последствиям. Также в некоторых ситуациях может потребоваться операбельное вмешательство.
Не всегда рентген или КТ могут выявить нарушения, поэтому в таких случаях врач-травматолог направляет пациента на дополнительное исследование, а именно, МРТ локтевого сустава в Москве. Такая диагностика незаменима при подозрении на опухоль, помогает дифференцировать воспалительные процессы от дегенеративных, установить наличие старых травм или неправильно сросшихся костей и активно используется для людей с диагнозом остеомиелита.
МРТ назначается пациентам со следующими показаниями:
- хронические боли в суставе, которые не поддаются лечению;
- переломы или травмы сустава;
- повреждение связок;
- покраснение и отек в области локтя;
- нарушение подвижности сустава;
- подозрение на наличие скопления жидкостей внутри капсулы.
Также томография локтевого сустава необходима, если у пациента есть противопоказания к проведению рентгенологического исследования.
Что позволяет выявить магнитная томография
В результате такого диагностического обследования выявляют следующие нарушения:
- бурсит, который заключается в воспалении слизистых сумок и часто возникает в результате полученных травм или больших физических нагрузок;
- гигрому – она часто является осложнением после бурсита;
- абсцессы или гнойные воспаления тканей;
- наличие инфекционного заражения в кости;
- остеонекроз, который возникает из-за плохого притока крови к костям;
- повреждение мышечной ткани;
- перелом костей;
- наличие опухолей в мышцах, кости или мягких тканях.
Вполне разумная стоимость МРТ локтевого сустава позволяет выявить большое количество болезней и нарушений, причем, на ранних стадиях, что помогает предотвратить дальнейшее развитие болезней. После получения результатов врач назначит пациенту соответствующее лечение или направит к другому специалисту, который займется его проблемой.
Как проходит МРТ локтевого сустава
Томография чаще всего не требует дополнительной подготовки, кроме случая, когда нужно использовать контраст. Тогда пациенту нужно воздержаться от употребления воды за 4-6 часов до проведения сканирования, а также не пить алкогольные напитки на протяжении нескольких дней перед диагностикой.
Процесс исследования проходит следующим образом:
- человек ложится на стол, где его фиксируют при помощи ремней и валиков, чтобы сохранить неподвижность;
- стол помещается в кольцо машины томографа;
- пациент в ходе диагностики должен лежать ровно и не делать никаких движений; микрофон, который находится внутри аппарата, позволяет в любой момент связаться с технологом.
При проведении процедуры не запрещается присутствовать родственникам, которые будут находиться в одном помещении с пациентом.
Так как аппарат достаточно шумный и во время работы издает громкие звуки, часто пациенту на время, пока он будет находиться внутри, выдают шумопоглощающие наушники.
Перед исследованием человеку нужно снять все металлические предметы и медицинские съемные аппараты. В исследовательских центрах ему выдают одноразовую рубашку для прохождения диагностики.
Перед процедурой необходимо сообщить врачу информацию в отношении:
- присутствия на теле татуировок, ведь в некоторых случаях их наносят при помощи красок, в состав которых входит железо;
- наличия хронических заболеваний и аллергии на различные препараты или вещества;
- существующей боязни замкнутого пространства или же невозможности долгое время сохранять неподвижность.
Продолжительность исследования обычно занимает от 10 до 60 минут, затем через 2 часа или на следующий день выдаются результаты в виде снимков. С ними пациент направляется к врачу, который выдал ему направление на МРТ.
Противопоказания для проведения томографии
Как любой другой вид медицинской диагностики, проводить томографию в некоторых случаях не рекомендуется. Ее надо заменить другим видом исследования в силу следующих причин:
- во время первого триместра беременности;
- при наличии протезов клапанов в сердце;
- если установлен кардиостимулятор;
- в случае, если вес человека превышает 110 кг;
- когда в среднем ухе установлены ферромагнитные или электронные имплантаты.
Врач не сможет сразу сказать, сколько стоит МРТ локтевого сустава, ведь это зависит от клиники, в которой будут его проводить, наличия дополнительных услуг и прочего. Поэтому лучше сразу узнать стоимость, созвонившись с медицинским центром, чтобы не попасть в затруднительную ситуацию.
Где можно сделать МРТ локтевого сустава
Если нужно сделать такое обследование, стоит обратиться в надежный многопрофильный медицинский центр. При этом цена МРТ локтевого сустава будет зависеть от сложности процедуры. На прием к специалисту стоит записаться заранее, выбрав удобную дату и время. Для этого нужно позвонить по указанным номерам телефона или заполнить онлайн-форму.
Цена в Москве на МРТ локтевого сустава зависит от множества различных факторов, поэтому стоит уточнить эту информацию заранее. Также не будет лишним изучить проводимые центром акции, которые помогают воспользоваться различными услугами и при этом сэкономить.
Рентгенограмма, КТ, МРТ при надблоково-локтевой мышце
а) Определение:
• Добавочная мышца, идущая от медиального надмыщелка плечевой кости к медиальному краю локтевого отростка, которая может вызывать компрессию локтевого нерва
б) Визуализация:
1. Общая характеристика:
• Лучший диагностический критерий:
о Замена нормального удерживателя локтевого канала мышцей на всех осевых изображениях
• Локализация:
о Проксимальная верхняя стенка локтевого канала
о Переходит от медиального надмыщелка плечевой кости к медиальному краю локтевого отростка
• Размер:
о Может варьировать от тонкой полоски до большой объемной мышцы
• Морфология:
о Мышца овальной формы на осевом и фронтальном изображениях

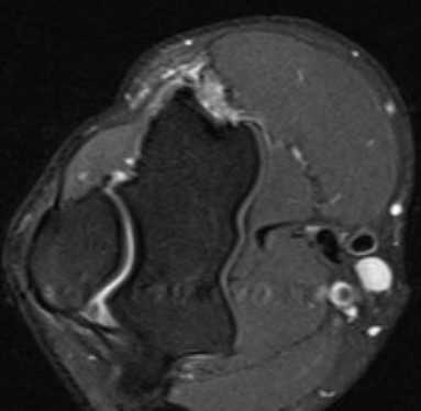
(Слева) На рисунке показана надблоково-локтевая мышца, добавочная мышца, идущая от медиального надмыщелка плечевой кости к медиальному краю локтевого отростка и проходящая над частью верхней стенки канала локтевого нерва. При этом варианте нормы локтевой нерв может сдавливаться в канале локтевого нерва, что приводит к нейропатии локтевого нерва.
(Справа) На фронтальной MPT Т1ВИ визуализируется дополнительная надблоково-локтевая мышца, медиальнее локтевого отростка.
2. Рентгенография при надблоково-локтевой мышце:
• Признаки изменений отсутствуют
3. КТ при надблоково-локтевой мышце:
• Овальная мышца в нормальной локализации верхней стенки локтевого канала
4. МРТ при надблоково-локтевой мышце:
• Соответствует сигналу от нормальной мышцы на всех МР частотах
• Патологическое контрастирование отсутствует
• Вторичный неврит локтевого нерва: увеличение, выступающий ↑ сигнал на Т2 ВИ от локтевого нерва в локтевом канале
5. УЗИ при надблоково-локтевой мышце:
• Отчетливая визуализация мышечной ткани, замещающей сегмент дугообразной связки в верхней стенке локтевого канала
• Гиперемия отсутствует
• При вторичной нейропатии локтевого нерва может наблюдаться локальное увеличение локтевого нерва
6. Рекомендации по визуализации:
• Лучший метод визуализации:
о МРТ
• Рекомендация по протоколу:
о Диагноз основывается на анализе осевых изображений

(Слева) На осевой MPT Т1ВИ у этого же пациента визуализируется надблоково-локтевая мышца, образующая верхнюю стенку локтевого канала кзади от медиального мыщелка плечевой кости Локтевой нерв находится в локтевом канале и может быть сдавлен, что приводит к нейропатии локтевого нерва.
(Справа) Осевая MPT Т2 ВИ у этого же пациента на этом же уровне подтверждает, что надблоково-локтевая мышца соответствует сигналу от нормальной мышцы на всех частотах, что свидетельствует об идентичности.
в) Дифференциальная диагностика надблоково-локтевой мышцы:
1. Выступающая медиальная головка трехглавой мышцы:
• Более вертикальная ориентация, чем у надблоково-локтевой мышцы
• Соответствует сигналу от мышцы на всех частотах
• Сочетается с синдромом щелкающего трицепса (локтя)
2. Синовит:
• Менее очерчен
• Высокоинтенсивный сигнал на МРТ Т2 ВИ
3. Опухоль:
• Как правило, не соответствует сигналу от мышцы на всех частотах
• Может контрастироваться после введения контраста
4. Гематома:
• Не соответствует сигналу от мышцы на всех частотах
• Часто ↑ Т1 сигнал
• Отсутствует центральное контрастирование
• Анамнез травмы
г) Клинические особенности:
1. Проявления:
• Типичные признаки/симптомы:
о Случайная находка
• Другие признаки/симптомы:
о Нейропатия локтевого нерва
2. Демография:
• Возраст:
о Любой возраст
• Пол:
о М = Ж
3. Течение и прогноз:
• Если отмечается нейропатия локтевого нерва, она может прогрессировать и потребуется оперативное лечение
4. Лечение:
• Физиотерапия, НПВС
• Хирургическая резекция, если нет ответа на консервативное лечение
д) Диагностическая памятка:
1. Следует учесть:
• Опухоль или синовит
2. Советы по интерпретации изображений:
• Соответствует сигналу от мышцы на всех МР частотах
3. Рекомендации по отчетности:
• Описывают толщину и объем дополнительной мышцы
• Описывают любые морфологические изменения или изменения сигнала в локтевом нерве
Что показывает МРТ локтевого сустава
МРТ локтя прочно вошло в медицинскую практику, как высокоинформативный и безопасный метод диагностики большого спектра различных патологий связок, нервов, кровеносных сосудов, мышц, хрящевой и костной ткани. Он имеет множество преимуществ, одним из которых является отсутствие облучения организма, как при использовании рентгеновского излучения, что делает исследование абсолютно безвредным даже для детей. Его суть заключается в применении мощного магнитного поля и обработке компьютерной программой возвращающихся сигналов, что позволяет получать послойные изображения мягких тканей толщиной не более 3 мм. Но самостоятельно правильно разобраться в том, что показывает МРТ локтевого сустава, без должного образования и навыков невозможно. В этом на помощь пациенту всегда приходит рентгенолог и лечащий врач.
Патологии локтевого сустава
Локтевой сустав имеет достаточно сложное строение. Он образован 4-мя разными суставами, которые сосредоточены в одной капсуле, а за кровоснабжение отвечает несколько артерий, имеющих множество разветвлений. Точно рассмотреть патологические изменения в области локтевого сустава с помощью УЗИ или других методов диагностики бывает сложно или даже невозможно. Поэтому часто используется магнитно-резонансная томография локтевого сустава, позволяющая одномоментно получить предельно четкие данные о состоянии всех его анатомических структур.
Каждая из составляющих локтевого сустава (непосредственно сустав, кровеносные сосуды, мышцы, сухожилия, нервы) может претерпевать патологические изменения разного рода. Чаще всего встречаются воспалительные, инфекционные заболевания, но также возможно обнаружение аномалий развития, дегенеративных процессов, травматических изменений, опухолей и ряда других патологий, большинство из которых можно на самых ранних стадиях диагностировать с помощью МРТ.
Какие заболевания покажет МРТ локтевого сустава?
Перечень заболеваний, что показывает МРТ локтевого сустава без применения любых других диагностических методов, достаточно обширен. С помощью этого вида томографии можно обнаружить:
- врожденные аномалии развития локтевого сустава;
- травмы сустава и их последствия, неправильно сросшиеся переломы;
- дегенеративно-дистрофические изменения в суставе, артроз;
- воспалительные процессы, в частности синовит, артрит, бурсит;
- новообразования доброкачественной или злокачественной природы в мягких тканях и костных структурах, включая абсцессы, кисты;
- повреждение срединного и лучевого локтевых нервов;
- асептический некроз;
- медиальный и латеральный эпикондилит и пр.

МРТ локтевого сустава в корональной плоскости. В подкожно-жировой клетчатке локтевого сустава отмечаются множественные образования неправильной вытянутой формы, местами сливающиеся между собой — вероятно, венозная мальформация.
Показания к МРТ локтевого сустава
МРТ широко используется в медицинской практике, так как ее результаты точны, а полученные изображения позволяют рассмотреть все структуры локтевого сустава. Но в виду высокой стоимости процедуры ее назначают не каждому пациенту, а только при наличии веских показаний. Она проводится в следующих случаях:
- постоянные боли в локтевом суставе, плохо или вовсе не поддающиеся консервативному лечению;
- тяжелые воспаления, в которые вовлекаются окружающие мягкие ткани;
- подозрения на образование опухолей;
- трудности или дискомфорт при сгибании или разгибании локтя;
- установление причины развития нейропатии локтевого нерва;
- обнаружение неясных изменений на рентгеновских снимках.

МРТ локтевого сустава в сагиттальной плоскости. Отмечается повышенное скопление свободной синовиальной жидкости в полости локтевого сустава. Синовиальная оболочка умеренно гипертрофирована.

а) МРТ локтевого сустава в аксиальной плоскости
МРТ необходима, когда другие исследования не дали достаточного количества информации или при невозможности выполнения компьютерной томографии при подозрениях на наличие патологий или травм костей. Также к ее помощи прибегают при подготовке и планировании операции на локте, а затем после ее завершения или для контроля эффективности проводимой терапии обнаруженных заболеваний.

б)МРТ локтевого сустава в корональной плоскости. Общее сухожилие разгибателей в месте прикрепления к латеральному надмыщелку плечевой кости неравномерно утолщено, МР-сигнал от него неоднородно повышен на PD FS-ВИ и Т2-ВИ за счет выраженного отека и разволокнения (признаки латерального эпикондилита), общая целость его не нарушена. Окружающие мягкие ткани с признаками отека.
В особых случаях требуется проведение МРТ с введением контрастного вещества. В такой ситуации получаемое изображение более точное и детальное, на нем ярко визуализируются кровеносные сосуды и новообразования. Это позволяет правильно дифференцировать злокачественные опухоли от доброкачественных, определить их границы, а также получить массу другой ценной диагностической информации.
Но процедуру не проводят, если у пациента имеются в теле металлические имплантаты или инородные тела, а также на ранних сроках беременности. Применение контраста недопустимо на протяжении всей беременности, а также при тяжелых патологиях почек. Наличие клаустрофобии не является поводом отказываться от сканирования. Но в тяжелых случаях обследование можно сделать в аппарате открытого типа, хотя предпочтение всегда отдают закрытым томографам.
Подготовка к МРТ локтевого сустава
Магнитно-резонансная томография не подразумевает прямого вмешательства в организм и не требует специальной подготовки. Только если пациенту назначено проведение исследования с контрастом, ему рекомендуется за 2—4 часа до его начала отказаться от приема пищи.
В целом всю подготовку следует свести к правильному подбору одежды. Желательно выбрать такие предметы, которые будут полностью лишены металлических частей, включая нижнее белье. С собой следует взять паспорт, направление от врача и результаты предыдущего исследования.
Как делают МРТ локтевого сустава?
Непосредственно в клинике перед началом процедуры после заполнения всех необходимых документов пациента провожают в специальное помещение, где ему следует оставить мобильный телефон, украшения или переодеться в одноразовый халат, если все же в одежде присутствуют металлические элементы. При необходимости выполнения МРТ локтевого сустава с контрастом медперсонал устанавливает катетер, через который во время процедуры будет вводиться контрастный препарат.
Пациент ложится на специальную кушетку, где его фиксируют специальными ремнями и устанавливают специальную катушку на уровне локтевого сустава. Поскольку во время процедуры наблюдается сильный шум, способный доставлять дискомфорт обследуемому, ему могут предлагаться беруши или наушники. В руку пациенту дается специальная “груша”, с помощью которой он может связаться со специалистом, который делает МРТ и сообщить, если вдруг почувствует себя плохо. Поле этого стол томографа задвигается в аппарат, медперсонал покидает помещение и начинается исследование.
Проведение процедуры в аппаратах закрытого и открытого типа имеют несущественные отличия, за исключением того, что в первом случае пациент погружается в закрытую трубу, а во втором она больше напоминает полукруг. Но это существенно влияет на информативность исследования. Полученные изображения при проведении МРТ в закрытом аппарате предоставят более полную информацию о состоянии органов, сухожилий и других анатомических структур.
Процедура длится не более получаса. Все это время важно сохранять полную неподвижность. В противном случае нет гарантии, что она покажет незначительные отклонения от нормы. После ее завершения стол томографа выдвигается из тоннеля, медперсонал помогает пациенту освободиться и подняться. МРТ переносится хорошо и никоим образом не сказывается на самочувствии человека. Только иногда при использовании контраста могут наблюдаться маловыраженные побочные эффекты в виде головной боли или тошноты, которые самостоятельно проходят через несколько часов после процедуры.
Поскольку проведение МРТ не подразумевает лучевой нагрузки, т. е. вредоносного для человека облучения, процедуру можно делать столько раз, сколько потребуется даже в течение небольших отрезков времени.
Расшифровка МРТ снимков локтя
Результаты исследования оформляются в виде серии послойных снимков, которые предоставляются пациенту распечатанными или на цифровых носителях. К ним обязательно прилагается заключение специалиста. В нем будет указано, какая патология локтевого сустава обнаружилась на МРТ, какие особенности имеет, где находится и предположительная природа или причина возникновения. Также в заключении приводится описание всех анатомических структур локтевого сустава и возможный диагноз.
Результаты МРТ выдаются пациенту в тот же день. Для расшифровки снимков рентгенологу требуется от 30 минут до часа, в зависимости от сложности ситуации и загруженности. Заключение вместе с носителем информации отдается пациенту на руки или направляется в электронном виде непосредственно его врачу по указанным в направлении координатам.
Правильно оценить результаты МРТ и поставить точный диагноз может только лечащий врач. Для этого он сопоставляет обнаруженные патологические изменения с характером клинической картины, анамнезом больного и только после этого подбирает подходящее на его взгляд лечение. Спустя некоторое время лечащий врач может повторно назначить МРТ локтевого сустава для оценки результативности проводимой терапии, а так как процедура не предполагает облучение, бояться частого выполнения томографии не стоит.
а) Терминология:
1. Синонимы:
• Свободные тела, свободные фрагменты, суставная мышь
2. Определения:
• Один или более хрящевых, костных или костно-хрящевых фрагментов в суставной щели
• Могут быть связаны с синовиальной оболочкой или свободно перемещаться в суставе; следовательно, свободные тела не могут быть точным диагностическим критерием:
о Предпочтительный термин внутрисуставное тело/фрагмент
1. Общая характеристика:
• Лучший диагностический критерий:
о Оссифицированный фрагмент (ы) в проекции сустава на рентгенограммах
• Локализация:
о Может быть в любом месте в капсуле локтевого сустава
о Наиболее часто в венечной и локтевой ямках
• Размер:
о Размеры могут варьировать от одного миллиметра до нескольких сантиметров
• Морфология:
о Острый: острые края; может содержать кость, хрящ или оба вида ткани
о Хронический: часто с более гладким контуром, покрытый кортикальным слоем, ± связан с синовиальной оболочкой
(Слева) На фронтальной МРТ Т1ВИ у мужчины 57 года визуализируется крупный внутрисуставной фрагмент на латеральной стороне и дегенеративный остеофитоз на медиальной стороне.
(Справа) На осевой MPT Т2ВИ FS у этого же пациента визуализируются несколько тел с низким сигналом около лучеголовчатого сустава. Такие тела лучше оценивать на длинных частотах, как например, в этом случае, если они окружены суставной жидкостью. (Слева) На осевой МРТ Т1ВИ у этого же пациента лучше визуализируются жиросодержащие костные фрагменты и их края, покрытые кортикальным слоем, указывающим на хронический характер.
(Справа) На осевой МРТ Т2ВИ визуализируется крошечное внутрисуставное тело в локтевом суставе. Физиологическое количество суставной жидкости достаточно для выделения даже небольших тел. (Слева) На осевой МРТ РDВИ визуализируется склеротическое, внутрисуставное тело с низкоинтенсивным сигналом в венечной ямке. В этом случае не удалось выявить отчетливого донорского участка.
(Справа) На сагиттальной МРТ Т2ВИ у этого же пациента очень хорошо визуализируется небольшой фрагмент, несмотря на отсутствие значительного количества суставной жидкости. МР-артрография для выявления внутрисуставных тел в локтевом суставе требуется редко, если только тела малого размера не находятся в необычной локализации и не покрыты синовиальной оболочкой.
2. Рентгенография при внутрисуставном теле локтевого сустава:
• Чисто хрящевые фрагменты не видны на рентгенограммах
• Костный фрагмент (ы) разной величины, видимый в капсуле локтевого сустава во всех проекциях
• Фрагменты могут быть покрыты гладким кортикальным слоем в случае хронического поражения
• Часто сочетаются с суставным выпотом
• Донорский участок может быть виден как субхондральное просветление:
о Типичная локализация - головка плечевой кости
3. КТ при внутрисуставном теле локтевого сустава:
• Аналогична рентгенографии, но лучше видны более мелкие фрагменты
• Лучший метод для точной локализации фрагментов в суставе:
о КТ-артрография:
- Дополнительная возможность: выявление хрящевых дефектов
- Улучшенная визуализация неоссифицированных тел
4. МРТ при внутрисуставном теле локтевого сустава:
• Т1 ВИ:
о Если фрагмент содержит костный мозг, то в центре интенсивный сигнал и низкий сигнал по кортикальному ободку
о Если фрагмент не содержит костный мозг, то обычно низкий сигнал
о Не одинаково полезна при выявлении донорских участков, кроме случаев с крупным костным дефектом
• Т2 ВИ:
о Если фрагмент содержит костный мозг, то центральный сигнал соответствует характеристикам нормального желтого костного мозга
о Если фрагмент не содержит костный мозг, то низкий сигнал
• Т2 ВИ FS:
о Как правило, низкий сигнал на всех частотах
о Полезная для выявления донорских участков
• PD/промежуточная:
о Может отличить хрящевую часть костно-хрящевых фрагментов
о Полезная при выявлении донорских участков
• Т1 ВИ С + FS:
о Отсутствие контрастирования внутрисуставных тел О Можно увидеть гиперконтрастирование синовиальной оболочки
о Может помочь отличить прикрепление фрагментов к синовиальной оболочке
• МР-артрография полезна, если:
о Отсутствует значительный суставной выпот
о Имеется множество маленьких фрагментов
о Целостность донорского участка хряща вызывает сомнение
• Внешний вид фрагмента зависит от состава
5. УЗИ при внутрисуставном теле локтевого сустава:
• Можно увидеть крупные тела при обоих следующих условиях:
о Улучшение визуализации при большом выпоте
о Ультразвуковое исследование сустава с физиологическим раствором
6. Рекомендации по визуализации:
• Лучший метод визуализации:
о Обычно достаточно рентгенографии
о МРТ при маленьких или неоссифицированных фрагментах:
- Некоторые исследователи выступают за МР-артрографию, но обычно в ней нет необходимости
• Рекомендация по протоколу:
о МРТ Т2 ВИ + FS в нескольких плоскостях является наиболее чувствительной:
- Особенно в осевой и сагиттальной проекциях
о МРТ Т1 ВИ является полезной для визуализации более крупных фрагментов, содержащих желтый костный мозг
о МРТ PD ВИ ± FS полезна при различении костных, хрящевых и костно-хрящевыми отломков
(Слева) На сагиттальной МРТ Т1В И у юного бейсбольного питчера определяется значительная неровность суставной поверхности головки плечевой кости и визуализируется тело с низким сигналом кзади к лучеголовчатому суставу.
(Справа) На сагиттальной МРТ Т2ВИ FS у этого же пациента на том же уровне лучше виден хрящевой дефект в головке плечевой кости, подлежащий костный мозг, образующаяся киста и склеротическое внутрисуставное тело. Тело здесь хорошо визуализируется вследствие большого объема выпота. (Слева) На осевой МРТ Т2ВИ FS на уровне мыщелков плечевой кости визуализируется криволинейный хрящевой фрагмент в локтевой ямке с большим объемом суставного выпота.
(Справа) На осевой МРТ РDВИ у этою же пациента видна хрящевая природа фрагмента; если бы тело было костным, был бы виден более выступающий кортикальный слой. Коано-хрящевой фрагмент содержал бы и кость, и хрящ. Этот фрагмент состоит полностью из суставного хряща и поэтому имеет промежуточный сигнал. (Слева) На сагиттальной КТ определяется оскольчатый перелом венечного отростка и маленькое внутрисуставное тело в венечной ямке.
(Справа) На сагиттальной КТ у этою же пациента, в окне мягких тканей определяется большой объем суставного выпота. Несколько малых внутрисуставных тел, которые не были хорошо видны в костных окнах, находятся в локтевой ямке; малые или менее плотно оссифицированные тела часто лучше видны именно в этом режиме визуализации.
в) Дифференциальная диагностика внутрисуставного тела локтевого сустава:
1. Надблоковая дорсальная кость:
• Врожденный дополнительный центр оссификации в проксимальной половине локтевого отростка
• Внутрисуставная
• Со временем может увеличиться
2. Сесамовидная кость локтевого сустава:
• Сесамовидная кость в дистальном конце трехглавой мышцы
3. Острый перелом:
• Часто ассоциирован с внутрисуставными телами
4. Синовиальный остеохондроматоз:
• Внутрисуставные тела могут быть не видны на рентгенограмме
• Тела могут не соответствовать сигналу костного мозга на МРТ
5. Синовиальная гемангиома:
• Скорее канальцевые, чем округленные структуры
6. Локальный узловой синовит:
• Как правило, один узел
• Наиболее часто наблюдается в коленном суставе обычно в подколенной жировой ткани
7. Локальный пигментированный виллезонодулярный синовит:
• Содержит гемосидерин, который можно принять за оссификацию на МРТ
• Отсутствие минерализации на рентгенограммах или КТ
• Обычно большой выпот
8. Древовидная липома:
• Выступающая субсиновиальная жировая клетчатка с листовидными синовиальными выростами
9. Синовиальная складка:
• Прямолинейная форма
• Прикрепляется к синовиальной оболочке, обычно в более чем в одной локализации
10. Воздушные пузырьки (МР-артрография):
• Зона отсутствия сигнала на всех частотах
• Скопление в несвязанном участке сустава
(Слева) На боковой рентгенограмме визуализируются несколько фрагментов с выраженным кортикальным слоем в венечной и локтевой ямках. В лучеголовчатом суставе определяются дегенеративные изменения.
(Справа) На передне-задней рентгенограмме у этого же пациента у нескольких тел определяется зрелый кортикальный слой , указывающий на хронический характер этот процесса. В таких случаях исходный донорский участок часто определить невозможно. Хронический характер меньших фрагментов латерально от головки лучевой кости не столь очевиден. (Слева) На фронтальной МРТ Т2ВИ FS у пациента 15 лет с переломом головки лучевой кости в анамнезе определяется деформация сросшегося перелома головки лучевой кости с потерей суставного хряща.
(Справа) На фронтальной МРТ Т2ВИ FS немного кзади у этого же пациента в локтевой ямке и в центральной части сустава визуализируются внутрисуставные тела. (Слева) На осевой MPT PDBИ FS у этого же пациента визуализируется малый костно-хрящевой фрагмент между локтевым отростком и плечевой костью. Обратите внимание на разницу между кортикальной костью (низкоинтенсивный сигнал) и суставным хрящом (промежуточный сигнал) во фрагменте.
(Справа) На сагиттальной МР-артрограмме Т1ВИ определяются дегенеративные изменения в головке лучевой кости и головке плечевой кости. Внутрисуставные фрагменты визуализируются кзади от этот сустава и кпереди от головки лучевой кости. МР-артрография позволяет выявить малые внутрисуставные тела.
г) Патология. Макроскопические и хирургические особенности:
• Отломки острого перелома:
о Нормальный гиалиновый хрящ ± подлежащая субхондральная кость
• Хронические тела:
о Как правило, оссифицированные
о По внешнему виду напоминают пластинки вследствие отложения минералов в слоях (как жемчужина в устрице)
о Может вторично покрыться синовиальной оболочкой:
- Неподвижный
- Может наблюдаться контрастирование синовиальной оболочки, прилежащей или окружающей тело
д) Клинические особенности:
1. Проявления:
• Типичные признаки/симптомы:
о Боль
о Ограничение движений
о Крепитация
о Выпот
о Воспаление
• Другие признаки/симптомы:
о ± Эрозия прилежащей кости вследствие продолжительного трения
2. Демография:
• Пол:
о М>Ж
• Эпидемиология:
о Локтевой сустав является вторым по частоте местом выявления внутрисуставных антител
3. Течение и прогноз:
• Может привести к обострению остеоартрита
• Прогрессирование боли и ограничение движений
• Хронический суставной выпот
4. Лечение:
• Острые костно-хрящевые фрагменты могут быть возвращены на прежнее место
• Может потребоваться удалить более крупные, более хронические тела:
о Обычно по причине ограниченного объема движений
• Восстанавливают сопутствующие костно-хрящевые дефекты
е) Диагностическая памятка:
1. Следует учесть:
• Наличие острого перелома или костно-хрящевого дефекта
2. Советы по интерпретации изображений:
• В случае отчетливого костно-хрящевого дефекта может быть визуализирован донорский участок
• Размеры дефекта и фрагмента (ов) должны примерно совпадать
3. Рекомендации по отчетности:
• Измеряют крупные фрагменты, описывают локализацию
• Описывают донорский участок, если таковой найден
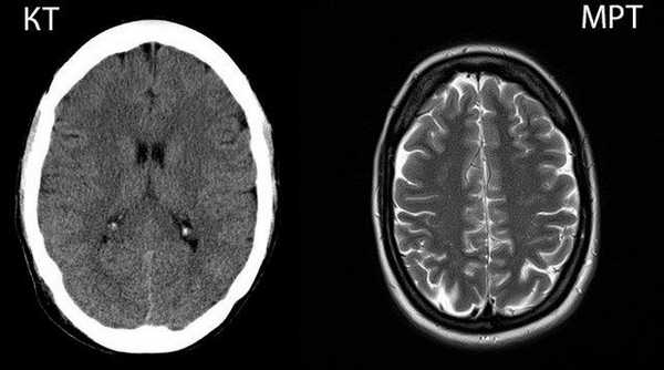
КТ и МРТ: в чем отличия и что лучше?
Компьютерная и магнитно-резонансная томографии — это современные информативные диагностические процедуры, которые позволяют с высокой степенью точности и детализации визуализировать внутренние структуры организма. Оба метода предполагают получение послойных снимков интересующей зоны в разных плоскостях. Основное, чем отличается КТ от МРТ – это принцип сканирования. Методы основаны на разных технологиях и применяются в различных клинических ситуациях. Исходя из задач диагностики, лечащий врач определяет, что лучше — КТ или МРТ, а затем назначает наиболее рациональный метод диагностики для конкретного случая.
Пациентам медицинского центра «СМ-Клиника» доступны все передовые методы диагностики. В клинике можно пройти компьютерную и магнитно-резонансную томографию на современном оборудовании. Расшифровкой результатов занимаются опытные специалисты-рентгенологи, которые регулярно повышают свою квалификацию в лучших научных центрах РФ и зарубежом.
Принцип действия КТ и МРТ: в чем разница
Компьютерная и магнитно-резонансная томография относятся к лучевым методам диагностики. Основное отличие КТ от МРТ заключается в технологии воздействия на организм с целью получения изображения.
Компьютерная томография использует ионизирующее излучение (рентген-сканирование). Метод базируется на способности тканей организма в различной мере задерживать рентгеновские лучи. При прохождении сквозь интересующую область лучи максимально поглощаются плотными тканями (например, костями) и легко проникают сквозь мягкотканные элементы. В результате на снимках хорошо визуализируются кости и другие плотные структуры - конкременты, инородные тела.
Отличие компьютерной томографии от стандартной рентгенографии — в количестве получаемых снимков. В ходе КТ вокруг пациента вращается трубка, которая посылает лучи, а специальные датчики их улавливают. В результате процедуры получают пошаговые рентгеновские снимки зоны исследования. Чем чаще вращается трубка, тем меньше шаг сканирования, и, соответственно, выше разрешающая способность.
МР-томография базируется на явлении ядерно-магнитного резонанса, свойственного атомам водорода, содержащимся в молекулах воды. Больше всего воды присутствует в мягких тканях. Ткани, которые содержат мало воды (например, кости), визуализируются плохо. Датчик томографа регистрирует изменения состояния атомов водорода под воздействием радиоизлучения в постоянном магнитном поле.

В результате получают пошаговые снимки в трех плоскостях, на которых видны мягкотканные структуры организма.
Специальные режимы МР-сканирования позволяют улучшать визуализацию различных внутренних структур. Ангиорежим подразумевает сканирование определенной части тела и вычитание зон, которые не дают сигнала (таких, как движущаяся кровь в сосудах). Существуют специальные режимы для визуализации проводящих трактов в мозге - требуются для сложных операций, режим для исследования сердца, позволяющий оценить сократительную способность миокарда и другие режимы, предоставляющие уникальные возможности для диагностики заболеваний различных органов и систем.
Понимая, в чем состоит разница между КТ и МРТ, можно сделать логический вывод о большей информативности процедуры относительно тех или иных видов тканей. Однако диагностические возможности методов можно расширить с помощью контрастных веществ. При КТ применяют йодсодержащий контраст, который распределяется в организме с током крови и делает видимыми сосуды и некоторые мягкие ткани. Это позволяет в ряде случаев применять КТ для исследования внутренних органов, новообразований и сосудов.
МРТ с усилением подразумевает введение в организм препаратов гадолиния. Причины назначения исследования с контрастом при МРТ сходны с таковыми при КТ- необходимость визуализации структур, которые невозможно или трудно исследовать в нативном режиме. Накопление контраста в очагах воспаления и опухолях упрощает диагностику некоторых заболеваний. На качество визуализации костной ткани при МРТ усилитель не влияет.
Показания к проведению КТ и МРТ
КТ и МРТ востребованы в пульмонологии, кардиологии, неврологии и нейрохирургии, травматологии и ортопедии, урологии, гинекологии, гастроэнтерологии, онкологии и других направлениях медицины. Оба метода считаются дорогостоящими, поэтому они редко используются в рутинной диагностике. Чаще их применяют при необходимости прояснить клиническую ситуацию.
Компьютерную томографию в основном применяют для диагностики заболеваний костной ткани и органов с неоднородной структурой (например, легких). Возможность визуализации рыхлых элементов организма с помощью контрастного вещества позволяет использовать метод в диагностике новообразований и патологий сосудов. КТ также назначают при подозрении на нарушения мозгового кровообращения (например, при диагностике геморрагических инсультов).
Магнитно-резонансную томографию применяют для исследования мягких тканей и внутренних органов различной локализации. Поводом для назначения процедуры является подозрение на патологию любого паренхиматозного органа, мышц, нервов, сосудов, мягких элементов суставов (хрящей, капсулы и связок), подкожно-жировой клетчатки, кожи и пр. МРТ рекомендуют провести при сомнительных результатах УЗИ, а также при несоответствии клинической картины установленному диагнозу. Исследование незаменимо при онкопоиске. Метод позволяет визуализировать первичные и вторичные опухоли на ранних этапах развития и с точностью оценивать их влияние на окружающие ткани.
Что сделать пациенту, КТ или МРТ, всегда определяет лечащий врач. Клиницист учитывает анамнез, жалобы, результаты других диагностических исследований и предварительный диагноз. Исследования не являются взаимоисключающими и не заменяют друг друга. В спорных ситуациях врач может назначить оба метода диагностики. Результаты КТ и МРТ качественно дополняют друга, позволяют собрать максимум сведений о патологических изменениях и поставить правильный диагноз.
Что позволяет выявить КТ и МРТ, отличия
Диагностические возможности КТ и МРТ достаточно широкие. Обе процедуры позволяют диагностировать следующие нарушения в организме:
- морфологические изменения органов и тканей;
- отклонения от нормы в топографии анатомических структур;
- аномалии развития органов и их систем;
- воспалительные процессы;
- гнойные изменения;
- очаги фиброза;
- некроз тканей;
- патологии сосудов;
- дегенеративно-дистрофические изменения в костно-суставном аппарате и пр.
Какая разница между КТ и МРТ в отношении диагностических возможностей, можно понять по специфике методов?

КТ хорошо показывает любые структурные изменения костной ткани (трещины костей, переломы, остеомаляцию и т.п.). Метод информативен относительно васкулярных патологий и кровотечений.
МРТ позволяет досконально изучить структуру мягких тканей. Процедура информативна в выявлении демиелинизирующих заболеваний головного и спинного мозга, ишемических изменений любой локализации, повреждений капсульно-связочного аппарата суставов и т.д.
Противопоказания к обследованиям: КТ и МРТ
КТ и МРТ имеют противопоказания, среди которых выделяют абсолютные (проведение процедуры невозможно или опасно для пациента) и относительные (диагностика может быть проведена при определенных условиях).
Абсолютные противопоказания к КТ:
- установленная беременность;
- состояние пациента, не позволяющее ему находиться в томографе.
При внутривенном контрастировании – аллергические реакции на йодсодержащие препараты и пищевые продукты.
Относительные противопоказания:
- при использовании усилителя: уровень креатинина и мочевины выше нормы;
- бронхиальная астма (тяжелое течение)
- тиреотоксикоз.
- клаустрофобия (боязнь замкнутого пространства).
Абсолютные противопоказания к МРТ:
- присутствие в организме ферромагнитных металлических осколков, имплантов, скоб (например, на сосудах), протезов и пр.;
- наличие в организме вживленных систем (например, имплантат внутреннего уха, инсулиновая помпа);
- тяжелое состояние обследуемого (необходимость ИВЛ и т. п.);
- беременность (первые 12 недель).
- неадекватное поведение пациента;
- острые психические состояния заболевания;
- клаустрофобия (боязнь замкнутого пространства).
При внутривенном контрастировании:
- аллергические реакции на контрастное вещество;
- уровень креатинина и мочевины выше нормы.
Диагностические возможности «СМ-Клиника»
КТ и МРТ выполняется на современном высокотехнологичном оборудовании
В клинике используется европейское оборудование. МРТ выполняется на аппаратах нового поколения Siemens MAGNETOM ESSENZA 1,5 Тесла и Siemens SOMATOM AERA 1,5 Тесла. Центр располагает современными компьютерными томографами, среди которых Siemens SOMATOM Perspective (128 срезов).
Специалисты в области лучевой диагностики с многолетним стажем
Эффективность современных методов диагностики во многом зависит от навыков и опыта специалистов, которые проводят расшифровку снимков. Рентгенологи «СМ-Клиника» регулярно совершенствуют свои навыки и объединяют усилия в сложных клинических ситуациях.
Комфортные условия для пациентов
Отделение лучевой диагностики работает круглосуточно, что позволяет проводить исследования в любое удобное время. Расшифровка результатов проводится сразу по завершении исследования, а заключение выдается в течение 1,5–2 часов. В распоряжении пациентов парковка, wi-fi, буфеты для комфортного нахождения в клинике.
Читайте также:
