Рентгенограмма, КТ, МРТ при оссифицирующем миозите (гетеротопической оссификации)
Добавил пользователь Владимир З. Обновлено: 17.11.2025
Что такое оссифицирующий миозит и почему он развивается
- Оссифицирующий миозит - внекостное неопухолевое окостенение или гетеротопическая оссификация .
Ограниченный оссифицирующий миозит (локальный):
- обычно развивается в возрасте около 30 лет
- Мужчины поражаются более часто, чем женщины.
- Отсутствие травмы в анамнезе
- Нейропатическая форма: особенно при травме головы или параплегии (20-25%), отсутствие половой предрасположенности
- Идиопатическая форма.
Прогрессирующий оссифицирующий миозит (болезнь Мюнхмейера):
Посттравматический ограниченный оссифицирующий миозит (оссифицирующая гематома):
- сочетается с травматическим повреждением мышц или мягких тканей
- Предрасположенность к развитию в проксимальных отделах конечности и области тазобедренного сустава
- Часто развивается после перенесенной травмы (травматический оссифицирующий миозит)
- Более 60% случаев возникает после тотальной артропластики тазобедренного сустава
- Типичные симптомы в 10—20% случаев
- Тугоподвижность сустава в 10% случаев.
Нейропатический ограниченный оссифицирующий миозит:
- сочетается с параплегией или травмой головы
- В области плечевого или локтевого сустава (после травмы головы) или дистальнее места повреждения спинного мозга
- Этиология не установлена
- Возможен нейродегенеративный или воспалительный механизм.
Прогрессирующий оссифицирующий миозит:
- Врожденная, наследственная форма (очень редкая)
- Обычно новая мутация гена
- Аутосомно - доминантный тип наследования
- Окостенение в мышцах, сухожилиях, апоневрозах и коже.
Какой метод диагностики оссифицирующего миозита выбрать: МРТ, КТ, рентген, УЗИ
Методы выбора
Что покажут рентгеновские снимки конечностей при оссифицирующем миозите
- В мягких тканях через 3-4 нед. после травмы определяется нечеткое, размытое поражение
- Через 4-8 нед. четко различим периферический край зоны окостенения
- Окостенение мышц прогрессирует от периферии к центру
- Центр обычно остается свободным от костной ткани (обызвествленная гематома)
- Поражение обычно отграничено от расположенных рядом элементов скелета.
- обычно распространенные кальцинаты в области локтевого или плечевого сустава или, у пациентов с параплегией, дистальнее места поражения спинного мозга
- Поражение может иметь сходство с посттравматической формой или может располагаться линейно вдоль мышечных волокон.
Прогрессирующий оссифицирующий миозит:
- распространяется от краниального к каудальному и от дорсального к вентральному направлению
- Возможна центральная оссификация
- Многокамерное поражение.

Мужчина 29 лет с болевым синдромом в верхних отделах правого плеча и наличием затруднений при разгибании в плечевом суставе в течение 2 мес. Отсутствие травмы в анамнезе. Рентгенография локтевого сустава. Четко ограниченный, с гладким краем округлый участок окостенения в мягких тканях латеральнее дистального отдела плечевой кости. Оссифицирующий миозит, подтвержденный при рентгенологическом исследовании.
Что покажут снимки КТ костей конечностей при оссифицирующем миозите
- Зональная структура (кальцинированная периферическая зона с некальцинированным центром) определяется лучше, чем при рентгенологическом исследовании
- Лучше визуализируется расстояние от кортикального слоя расположенной рядом кости.

Мужчина 32 лет. КТ. Травматическое повреждение правой паховой области за несколько лет до исследования. В месте прикрепления прямой мышцы живота округлый зрелый участок окостенения с периферическим формированием нового кортикального слоя, типичный для оссифицирующего миозита. В отличие от околокостной остеосаркомы, при оссифицирующем миозите кальцинаты крупнее на периферии, чем в центре.
Что покажут снимки МРТ костей конечностей при оссифицирующем миозите
- Локализованное объемное образование
- Некоторая часть гиперинтенсивная, остальная часть поражения гипоинтенсивная (участки кровоизлияния) на Т2-взвешенном изображении
- Обычно гипоинтенсивное на Т1 -взвешенном изображении (частично гиперинтенсивное при наличии кровоизлияния)
- Часто отек окружающих мягких тканей или мышц
- Негомогенное накопление контрастного вещества
- Иногда кольцевидное накопление контрастного вещества
- Центральная зона более легко различима при более зрелом поражении: на Т2-взвешенном изображении или изображении последовательности STIR негомогенная, промежуточная или высокая интенсивность МР-сигнала
- Периферические участки исчезновения МР-сигнала (окостенение) на Т1-взвешенном и Т2-взвешенном изображении.
Проводят ли сцинтиграфию при оссифицирующем миозите
- Выраженное накопление радионуклида 99Тс при сканировании кости
- Хороший маркер активности процесса заболевания
- Низкая специфичность
- Исключение многоочагового поражения (прогрессирующий оссифицирующий миозит).
Клинические проявления
Посттравматическая форма:
- болевой синдром первоначально прогрессирует, затем притупляется после 2-3 мес.
- Обычно поражает область бедра, ягодичную область или область локтевого сустава
- Особенно при нейропатической форме, массивные мостовидные кальцинаты
- Возможна тугоподвижность сустава.
- множественные, преимущественно околосуставные участки окостенения, которые могут приводить к полной иммобилизации сустава
- Лабораторные тесты для оценки течения заболевания: уровень щелочной фосфатазы в сыворотке крови (достоверная корреляция с активностью заболевания, так же как и сцинтиграфией).
Методы лечения или как лечить оссифицирующий миозит
- При посттравматической форме первоначально консервативное лечение симптомов оссифицирующего миозита (локальное охлаждение в острой фазе, НПВС, бисфосфонаты)
- Хирургическое удаление является методом выбора после завершения процесса окостенения
- Цель лечения - восстановление функции сустава.
Течение и прогноз
- Возможна спонтанная резорбция (но встречается редко) при посттравматической форме
- При прогрессирующем оссифицирующем миозите раннее начало потери подвижности сустава, уже в раннем подростковом возрасте
- Гибель обычно вследствие инфекционного процесса (пневмония).
Что хотел бы знать лечащий врач
- Полное распространение процесса заболевания
- Распространенность
- Дифференциальная диагностика с опухолью (особенно с остеосаркомой).
Какие заболевания имеют симптомы, схожие с оссифицирующим миозитом
Остеосаркома
- Окостенение обычно более выражено в центре поражения, чем на периферии
- Образуется из кости; при околокостной саркоме обычно определяется взаимосвязь непосредственно с кортикальным слоем
Рентгенограмма, КТ, МРТ при оссифицирующем миозите (гетеротопической оссификации)
Оссифицирующий миозит (гетеротопическая оссификация) - лучевая диагностика
а) Терминология:
• Гетеротопическое формирование кости и хряща в мягких тканях:
о Доброкачественный самоограничивающийся процесс, одиночный очаг
(Слева) Рисунок, коронарная плоскость: ранние признаки оссифицирующего миозита (ОМ): рыхлое объемное образование, деформирующее жировую клетчатку, и отек подкожных мягких тканей. Прилежащая кость не изменена.
(Справа) Рисунок, коронарная плоскость: признаки ОМ, выявляющиеся спустя 3-4 недели от его возникновения. Заметно некоторое уменьшение объемного образования и исчезновение отека подкожных мягких тканей. Показаны периостальная реакция и отек кортикального слоя. В этой стадии лучевая картина ОМ может быть наиболее трудной для интерпретации. (Слева) Рисунок, коронарная плоскость: признаки ОМ спустя 6-8 недель от начала возникновения. По периферии патологического участка имеется новообразованная зрелая костная ткань в центре - менее зрелая костная ткань.
(Справа) Рисунок, коронарная плоскость: признаки ОМ спустя 5-6 месяцев. К этому времени костная ткань в периферических отделах образования созревает полностью. В структуре образования могут выявляться трабекулы, однако чаще, особенно в аксиальной плоскости, в центральных отделах обнаруживают менее зрелую костную ткань. Образование характеризуется отсутствием мягкотканного компонента по периферии. Часто в этом периоде размер образования начинает уменьшаться.
б) Визуализация:
• Классическая картина: зрелая костная ткань в мягких тканях, выявляется на поздней стадии:
о На ранней стадии картина неспецифична: костная ткань аморфна и по внешнему виду сходна с опухолевой костной тканью
• Рентгенографическая картина характеризуется наличием отличительных особенностей, которые зависят от времени, прошедшего после травмы:
о 0-2 недели: мягкотканное объемное образование с нечетким контуром
о 3-4 недели: в структуре объемного образования выявляется аморфный остеоид; может наблюдаться периостальная реакция
о 6-8 недели: начинает формироваться четкий кортикальный слой вокруг кружевоподобной центральной части объемного образования
о 5-6 месяцы: формирование зрелой костной ткани
о Со 2 по 6 месяц определяется типичный для оссифицирующего миозита характер созревания костной ткани: по периферии располагается зрелый кортикальный слой костной ткани, а менее зрелая костная ткань - в центре
о Ближе к концу этого периода размер зоны оссификации может начать уменьшаться
о >7 месяцев: может наблюдаться уменьшение объемного образования; кнутри от зрелого кортикального слоя могут выявляться трабекулы
• КТ: к 4-6 неделе (раньше, чем при рентгенографии) визуализируется периферический ободок упорядоченной минерализации
• МРТ: лучевая картина зависит от возраста образования; соответствует лучевой картине, выявляемой по данным других методов лучевой диагностики:
о На любой стадии может наблюдаться отек костного мозга, периостальная реакция и периферический отек
в) Диагностическая памятка:
• Ключевыми факторами, позволяющими поставить диагноз, являются сведения о травме в анамнезе и ее давности, в то же время пациенты могут отрицать факт получения травмы
• Не следует выполнять биопсию на ранней стадии оссифицирующего миозита во избежание ошибочного диагноза опухоли
а) Терминология:
1. Аббревиатуры:
• Оссифицирующий миозит (ОМ)
• Гетеротопическая оссификация (ГО)
2. Определения:
• Гетеротопическое формирование кости и хряща в мягких тканях: доброкачественный самоограничивающийся процесс, одиночный очаг
• Термин «миозит» вводит в заблуждение:
о Чаще этот процесс выявляется в мышце
о Также может наблюдаться в фасции, сухожилии и жировой клетчатке
о Более корректным является термин «гетеротопическая оссификация»: однако термин «оссифицирующий миозит» по-прежнему широко употребляется
б) Визуализация:
1. Общая характеристика:
• Лучший диагностический критерий:
о На поздней стадии в мягких тканях выявляется зрелая костная ткань
о На ранней стадии картина неспецифична: костная ткань аморфна и по внешнему виду сходна с опухолевой костной тканью
• Локализация:
о Часто встречается в областях, подверженных частой травматизации:
- Локтевая ямка после вывиха в локтевом суставе
- Переднебоковые отделы бедра у футболистов
- Жировая клетчатка возле аддукторов у наездников
о Область плечевого и локтевого сустава у пациентов с ожогами
о Около костей таза и тазобедренного сустава у пациентов с повреждением спинного или головного мозга
• Размер: может составлять несколько сантиметров в длину или в диаметре
• Морфология: зависит от времени, прошедшего после травмы:
о Все методы лучевой диагностики позволяют выявить прогрессирование изменений
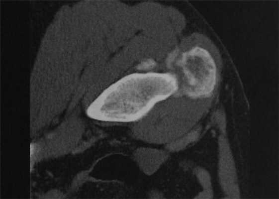
(Слева) При КТ проксимальных отделов бедра в аксиальной плоскости у пациента 30 лет определяется образование, характеризующееся четким гиперденсным краем и гиподенсной центральной зоной. Такой характер оссификации является типичным для оссифицирующего миозита. При паростальной остеосаркоме характер оссификации противоположный (оссифицированный центр, мягкие ткани по периферии). Это исследование было выполнено спустя 22 недели после травмы.
(Справа) У этого же пациента при КТ в аксиальной плоскости через 22 недели после предыдущего исследования размер образования уменьшился, при этом сохранился доброкачественный характер оссификации, свойственный ОМ. (Слева) Рентгенография в ПЗ проекции: определяются настораживающие изменения: периостальная реакция и слабо различимый костный матрикс в мягких тканях. Такая картина может выявляться на ранней стадии оссифицирующего миозита или поверхностной остеосаркомы.
(Справа) При остеосцинтиграфии в ПЗ проекции виден неспецифический интенсивный уровень поглощения Тс-99m образованием и надкостницей. Во многих случаях проведение остеосцинтиграфии не является экономически обоснованным, поскольку это исследование не позволяет получить дополнительную диагностическую информацию. (Слева) У этого же пациента при МРТ с контрастным усилением в аксиальной плоскости на Т1ВИ в режиме FS в мягких тканях, как и ожидалось, определяется объемное образование с гипоин-тенсивным центром и отеком по периферии. Эта картина не позволяет дифференцировать миозит и поверхностную остеосаркому.
(Справа) При МРТ в коронарной плоскости на Т2ВИ в режиме FS гиперинтенсивный центр образования окружен типоинтенсивным ореолом. Выявляется гиперинтенсивный отек по периферии. Такая картина является ранним проявлением специфического для ОМ характера оссификации, происходящей по направлению от периферии к центру. Эти изменения можно считать патогномоничными, что позволяет не выполнять биопсию.
2. Рентгенография при оссифицирующем миозите (гетеротопической оссификации):
• Рентгенографическая картина характеризуется наличием отличительных особенностей, которые зависят от времени, прошедшего после травмы
• 0-2 недели: мягкотканное объемное образование с нечетким контуром
• 3-4 недели: в структуре объемного образования выявляется аморфный остеоид; может наблюдаться периостальная реакция
• 6-8 недели: начинает формироваться четкий кортикальный слой вокруг кружевоподобной центральной части объемного образования
• 5-6 месяцы: формирование зрелой костной ткани:
о В период со 2 по 6 месяц определяется типичный для оссифицирующего миозита характер созревания костной ткани: по периферии располагается зрелый кортикальный слой костной ткани, а менее зрелая костная ткань - в центре
о Ближе к концу данного периода размер зоны оссификации может начать уменьшаться
• >7 месяцев: может наблюдаться уменьшение объемного образования; кнутри от зрелого кортикального слоя могут выявляться трабекулы
3. КТ при оссифицирующем миозите (гетеротопической оссификации):
• Лучевая картина зависит от давности процесса и отражает гистологические особенности
• Ранние признаки: гиподенсное мягкотканное объемное образование
• К 3-4 неделе аморфная костная ткань визуализируется лучше, чем при рентгенографии
• К 4-6 неделе (раньше, чем при рентгенографии) визуализируется периферический ободок упорядоченной минерализации
• В поздней стадии по периферии образования выявляется кортикальный слой костной ткани, при этом центральные отделы характеризуются меньшей плотностью (могут содержать трабекулы)
4. МРТ при оссифицирующем миозите (гетеротопической оссификации):
• Лучевая картина зависит от давности процесса и отражает гистологические особенности
• На любой стадии может наблюдаться отек костного мозга, периостальная реакция и периферический отек
• Ранняя стадия:
о Т1 ВИ: изоинтенсивный сигнал по сравнению с мышцами
о Последовательности, чувствительные к жидкости: выраженно негомогенный гиперинтенсивный сигнал
• Промежуточная стадия:
о Т1 ВИ: изоинтенсивный сигнал по сравнению с мышцами, может выявляться деформация жировой клетчатки
о Последовательности, чувствительные к жидкости: гиперинтенсивное объемное образование, окруженное криволинейными неровными зонами гипоинтенсивного сигнала:
- Гипоинтенсивный ореол может быть неполным или плохо визуализироваться, однако его наличие позволяет дифференцировать ОМ с опухолевым процессом, в результате которого формируется костная ткань
- Является эквивалентом кортикального слоя по периферии образования, выявляемом на ранних стадиях при рентгенографии или КТ
- В редких случаях криволинейные участки выявляются на ранней стадии, однако чаще на 3-4 неделе
о Выраженное контрастирование
• Поздние стадии:
о Объемные образования негомогенной структуры с четким контуром, характеризующиеся изоинтенсивным сигналом по сравнению с костями и наличием отека
5. Рекомендации по визуализации:
• Лучший метод визуализации:
о В зависимости от давности процесса может потребоваться выполнение не только рентгенографии, но и КТ или МРТ
(Слева) При МРТ в аксиальной плоскости на Т2 ВИ в режиме FS определяется изоинтенсивно-гиперинтенсивное овальное образование, возможно, содержащее в структуре уровни жидкостей. Также выявляется периферический отек. Такая картина не является специфичной.
(Справа) У этот же пациента при МРТ с контрастным усилением в аксиальной плоскости на Т1ВИ в режиме FS визуализируется тетерогенное контрастирование образования. Лучевая картина более характерна для агрессивного процесса, однако специфичной не является. Помимо прочих заболеваний, в дифференциальный ряд следует включить оссифицирующий миозит. Пациент отрицал факт получения травмы, однако о травме бедра часто забывают. (Слева) У этого же пациента при МРТ в коронарной плоскости на Т1ВИ центральные отделы образования изоинтенсивны по сравнению с мышцами, а периферические - гипоинтенсивны. Такая картина свидетельствует в пользу периферического характера оссификации.
(Справа) При КТ на реконструкции в сагиттальной плоскости визуализируются оссифицированные периферические отделы образования, что подтверждает диагноз ОМ. Следует помнить, что ОМ может характеризоваться контрастированием и довольно агрессивной лучевой картиной при МРТ. При отсутствии изменений на рентгенограмме типичная картина ранней аморфной или периферической оссификации может быть выявлена при КТ. (Слева) Пациент, у которою было выявлено пальпируемое объемное образование. На рентгенограмме (не показана) изменения отсутствовали. При МРТ в аксиальной плоскости на Т2ВИ в режиме FS определяются гетерогенно гиперинтенсивное объемное образование и отек надкостницы. Однако отек кортикальною слоя кости отсутствует. Следует отметить криволинейный характер оссификации, который позволяет заподозрить оссифицирующий миозит.
(Справа) Рентгенография тазобедренною сустава в боковой проекции: спустя 9 недель после предыдущего исследования визуализируется периферический характер оссификации В, патогномоничный для оссифицирующею миозита. Лучевая картина и временная периодизация соответствуют именно этому диагнозу.
в) Дифференциальная диагностика оссифицирующего миозита (гетеротопической оссификации):
1. Опухолевый кальциноз:
• Мягкотканное объемное образование периартикулярной локализации (неоссифицированное)
• Изолировано от прилежащей кости
2. Паростальная остеосаркома:
• Формирование преимущественно в мягких тканях зрелой костной ткани, связанной с прилежащей костью
• Противоположный характер оссификации
о Центральные отделы паростальной остеосаркомы содержат более зрелую костную ткань, периферические - менее зрелую
3. Низкодифференцированная поверхностная остеосаркома или остеосаркома мягких тканей:
• Формирование в мягких тканях менее зрелой костной ткани
• На ранней стадии аморфной костной ткани может напоминать ОМ
• Противоположный характер оссификации:
о Центральные отделы содержат более зрелый остеоид, периферические - менее зрелый;
4. Остеохондрома (экзостоз):
• Кость нормального строения, развивающаяся из метафизарной области материнской кости
• «Стебелек» костного мозга, окруженный кортикальным слоем и характеризующийся наличием на конце хрящевой покрышки
• При тщательном изучении лучевая картина не соответствует ОМ
5. Прогрессирующая оссифицирующая фибродисплазия:
• Аутосомно-доминантное заболевание с вариабельной экспрессивностью, характеризующееся нарушением развития мезодермы
• Поражаются интерстициальные ткани, а вследствие атрофии от давления еще и мышцы
• Прогрессирующая оссификация поперечнополосатых мышц, сухожилий, связок и фасций
6. Пролиферативный миозит:
• Доброкачественная миопатия, обусловленная воспалительным процессом
• Проявляется болезненным мягкотканным объемным образованием, характеризующимся быстрым ростом и плотной структурой; лучевая картина сходна с ОМ
• Гипоинтенсивный или изоинтенсивный сигнал на Т1 ВИ
• Гиперинтенсивный сигнал на Т2 ВИ; интенсивное контрастирование
• На ранней стадии МРТ не позволяет отличить пролиферативный миозит от ОМ; отсутствует оссификация
(Слева) Рентгенография в ПЗ проекции: в приводящих мышцах бедер определяется ОМ на поздней стадии, что подтверждается формированием кортикального слоя по периферии и трабекул в центре. Этот пациент-заядлый наездник.
(Справа) Рентгенография в ПЗ проекции: в дистальных отделах диафиза бедренной кости визуализируются отверстия от спиц, установленных для фиксации обожженной конечности. Возле отверстий выявляется классическая картина оссифицирующего миозита. Вероятность развития этого заболевания у пациентов с ожогами особенно высока. (Слева) Рентгенография тазобедренного сустава в боковой проекции у погонщицы скота 26 лет: в мягких тканях определяется объемное образование, состоящее из незрелого остеоида. В соответствии с клинической картиной был заподозрен оссифицирующий миозит, однако исключить остеосаркому на данной стадии развития образования нельзя.
(Справа) У этой же пациентки при МРТ в аксиальной плоскости на Т2 ВИ в режиме FS визуализируется образование с периферической инфильтрацией и отеком. Патологический процесс выглядит достаточно агрессивно. Следует отметить наличие небольших гипоинтенсивных оссифицированных очагов. (Слева) У этой же пациентки при МРТ с контрастным усилением в аксиальной плоскости на Т1ВИ в режиме FS определяется интенсивное контрастирование образования. При этом более четко выявляется «ореол» оссификации, позволяющий заподозрить скорее оссифицирующий миозит, чем опухоль.
(Справа) При УЗИ в продольной проекции подтверждается циркулярное обызвествление периферических отделов образования, соответствующее оссифицирующему миозиту. Для подтверждения ожидаемой эволюции образования была назначена рентгенография.
г) Патология:
1. Общая характеристика:
• Этиология:
о В пораженных мягких тканях выявляются стволовые клетки-предшественницы, обусловливающие формирование остеоида
о При соответствующем стимулировании стволовые клетки дифференцируются в остеобласты, которые продуцируют остеоид
о Экспериментально было установлено, что стимулировать ГО могут костные морфогенетические белки
о Явным стимулом обычно является травма, однако пациент может забыть или не сообщить о ней по причине ее скрытого характера
о Гетеротопическая оссификация может возникнуть в результате отрывного перелома, особенно произошедшего в области таза:
- Костная ткань формируется между отломками кости
- Аналогичные временная периодизация и характер осси-фикации, как и при ОМ
- В группе риска находятся пациенты возраста 14-25 лет: от периода оссификации апофизов до их слияния
- Типичная локализация: передняя верхняя подвздошная ость, передняя нижняя подвздошная ость, апофиз седалищной кости, апофизы аддукторов
о Повышенный риск развития у пациентов с ожогами
о Повышенный риск развития у пациентов с повреждением головного мозга:
- Выраженность напрямую зависит от тяжести повреждения
о Повышенный риск развития у пациентов с повреждением спинного мозга:
- Высокая вероятность рецидивирования после резекции
о Может встречаться при прочих неврологических расстройствах: тетанусе, полиомиелите, синдроме Гийена-Барре
о Существует риск развития изолированной ГО у пациентов, перенесших тотальное эндопротезирование тазобедренного сустава
2. Микроскопия:
• Гистологические изменения при ОМ соответствуют лучевой картине:
о Неделя 1 -4: псевдосаркоматозный вид центральных отделов, напоминающих костную ткань при опухолевом процессе
о Неделя 4-8: по периферии выявляется аморфный остеоид, в центре - клетки
о После 8 недели: последовательное созревание костной ткани по периферии образования
д) Клинические особенности:
1. Проявления:
• Типичные признаки/симптомы:
о Первые две недели: болезненное объемное образование в мягких тканях: теплое, рыхлое на ощупь
2. Демография:
• Возраст: любой
• Пол: М>Ж, особенно при повреждении спинного мозга
• Эпидемиология ГО:
о У 20-30% пациентов с неврологическим дефицитом
о У 33-49% пациентов с параплегией
о У 5% пациентов, перенесших тотальное эндопротезирование тазобедренного сустава; у 1% пациентов характеризуется большой выраженностью
3. Течение и прогноз:
• Одиночный травматический очаг может стабилизироваться и регрессировать:
о Резидуальный: симптомы зависят от размера/локализации
• ГО у пациентов с повреждением головного или спинного мозга регрессирует реже:
о Может приводить к ограничению объема движения
о При расположении в области, которая подвергается большой нагрузке, может развиваться изъязвление
4. Лечение:
• При наличии симптомов может быть выполнена резекция патологического образования после его созревания
• Для профилактики развития ГО у пациентов с тотальным эндопротезированием тазобедренного сустава может проводиться облучение малыми дозами
• В ранней стадии ГО возможна длительная терапия этидронатом
е) Диагностическая памятка:
1. Следует учесть:
• Ключевыми факторами, позволяющими поставить диагноз, являются сведения о травме в анамнезе и ее давности, в то же время пациенты могут отрицать факт получения травмы
• Не следует выполнять биопсию на ранней стадии оссифицирующего миозита
• Во избежание ошибок врач лучевой диагностики, онколог и патоморфолог должны работать сообща
2. Советы по интерпретации изображений:
• Не следует расценивать формирование аморфного остеоида в ранней стадии, как проявление опухолевого процесса
• При ОМ часто встречаются периостальная реакция, отек кортикального слоя кости, костного мозга и мягких тканей
• Следует обращать внимание на упорядоченную структуру периферических отделов образования, которое при рентгенографии и КТ проявляется наличием созревшей костной ткани, а при MPT-наличием «ореола»
Редкие болезни, симулирующие опухоль мягких тканей
а) Терминология:
• Различные заболевания, которые могут имитировать мягкотканные опухоли
(Слева) При МРТ в аксиальной плоскости на Т2ВИ в режиме FS в бедре определяется участок гетеротопической оссификации (оссифицирующий миозит). Овальный участок характеризуется изоинтенсивным и гиперинтенсивным сигналом, периферическим отеком и, вероятно, наличием уровня жидкостей.
(Справа) У этого же пациента при МРТ с контрастным усилением в аксиальной плоскости на Т1ВИ в режиме FS определяется патологический участок в бедре с гетерогенным контрастированием. При МРТ зона гетеротопической оссификации, также известная как оссифицирующий миозит, в мышце может контрастироваться и характеризоваться агрессивной лучевой картиной. (Слева) У этого же пациента при нативной КТ в аксиальной плоскости хорошо виден периферический характер оссификации, являющийся типичным признаком оссифицирующего миозита. КТ позволяет подтвердить наличие таких изменений, если они были заподозрены при рентгенографии.
(Справа) Рентгенография локтевого сустава в боковой проекции у другого пациента: в дистальных отделах плеча визуализируется объемное образование, обусловленное длительно текущим оссифицирующим миозитом. Образование характеризуется ровным четким контуром и относительно нечеткой структурой центральных отделов.
б) Дифференциальная диагностика:
• Оссифицирующий миозит/гетеротопическая оссификация:
о Гетеротопическое формирование кости и хряща
о В 40% случаев выявить причину не удается
о Типичным признаком является прогрессирование оссификации от периферии к центру
• Ганглионарная киста:
о Может быть не связана с полостью сустава
о МРТ: интенсивность сигнала соответствует жидкости, выявляется тонкий ободок контрастирования
• Синовиальная киста:
о Выстлана синовиальной оболочкой, обычно связана с полостью сустава
о МРТ: интенсивность сигнала соответствует жидкости, выявляется тонкий ободок контрастирования
о Гетерогенная структура за счет наличия кровоизлиянии или детрита
• Некроз жировой клетчатки:
о Вариабельная картина: от неспецифического уплотнения мягких тканей до образования, имитирующего липому или липосаркому
о Узелок с четким контуром, расположенный обычно между кожными покровами и костным выступом
• Ревматоидный узелок:
о Сопутствующие эрозивные изменения кости и синовит при ревматоидном артрите
• Отложение амилоида:
о Отложение патологического белка, часто вокруг суставов
о КТ: объемное образование, изоденсное по сравнению с мышцами ± эрозивные изменения кости
о Часто выявляется у пациентов, которым проводят диализ
• Повреждение мышцы:
о Патологический контур мышцы при пальпации ± гематома
в) Диагностическая памятка:
• При отсутствии патогномоничных лучевых признаков для исключения опухоли может потребоваться выполнение биопсии или повторного исследования через небольшой промежуток времени
Травматический оссифицирующий миозит ( Гетеротопическая оссификация , Кальцификация и оссификация мышцы , Травматическая параоссальная костная формация )
Травматический оссифицирующий миозит – это заболевание, при котором после травмы в мышечной ткани формируется зона кальцификации. Провоцируется значительным однократным повреждением или повторной микротравматизацией. Сопровождается появлением быстро растущего, твердого, резко болезненного образования в толще мышцы, ограничением движений. В последующем боли уменьшаются, участок кальцификации рассасывается или окостеневает. При адекватном лечении функция конечности восстанавливается. Диагноз выставляется на основании клинических данных, результатов рентгенографии и других визуализационных методик. Лечение – массаж, физиотерапия. Операции требуются редко.
МКБ-10
Общие сведения
Оссифицирующий миозит травматического генеза (гетеротопическая оссификация, кальцификация и оссификация мышцы, травматическая параоссальная костная формация) – самая распространенная разновидность данной патологии. В отличие от врожденной генерализованной формы миозита протекает с локальным поражением одного мускула, имеет благоприятный исход. Чаще всего формируется в области плеча, второе место по распространенности занимает оссифицирующий миозит области тазобедренного сустава. Страдают преимущественно молодые мужчины спортивного телосложения с хорошо развитой мускулатурой.
Причины
В анамнезе больных имеется четкая связь с травматическим повреждением, но пусковые факторы миозита точно не установлены. Оссифицирующее поражение мускула возникает в следующих случаях:
- Значительная однократная травма. Патология чаще развивается после тупых травм с размозжением или раздавливанием мышечной ткани, обширными кровоизлияниями и крупными гематомами.
- Повторяющиеся микротравмы. Связаны с профессией или занятиями спортом. Наиболее распространены у футболистов, встречаются у теннисистов, грузчиков, военных и пр.
- Эндопротезирование сустава. В последние десятилетия в связи с широким распространением эндопротезирования все большую клиническую значимость приобретают оссифицирующие формации в зоне оперированных крупных суставов (тазобедренного, коленного).
Многие авторы указывают, что наряду с характером повреждения и значительной мышечной массой пациентов существенную роль играют особенности реабилитации, в частности – преждевременное увеличение объема движений и слишком энергичный массаж.
Патогенез
Очаг окостенения появляется на месте гематомы или кровоизлияния, происходит не непосредственно из мышечной ткани, а из соединительнотканных прослоек в толще мускула. Причиной его формирования является метаплазия фиброзной ткани, которая минерализуется и постепенно приобретает структуру губчатой кости. Размеры оссифицирующей формации обычно превышают 5 см.
Иногда вокруг основной зоны поражения выявляются мелкие островки аналогичного строения. Процесс оссификации начинается через 20-30 дней, реже – со второй недели после травмы и завершается спустя 3-6 или более месяцев. К этому моменту на поверхности очага образуется кортикальный слой, участок приобретает полное сходство с обычной костью.
Симптомы оссифицирующего миозита
Общим признаком заболевания является появление растущего опухолевидного образования, сопровождающееся болями и нарушением функции конечности. Образование имеет костную плотность, резко болезненно при пальпации. Болевой синдром усиливается при движениях. Через несколько месяцев боли постепенно стихают, ограничение движений нередко сохраняется. Степень нарушения функций зависит от объема и расположения очага, наличия или отсутствия его связи с надкостницей и других факторов.
Оссифицирующий миозит плеча
Возникает в области плечевой мышцы, чаще всего – после заднего вывиха локтевой кости или обеих костей предплечья. Вероятность развития не зависит от качества и времени вправления. Оссифицирующая формация проявляется формированием твердой припухлости и болями по передней поверхности плеча в нижней трети или ближе к локтевому суставу, ограничением сгибания предплечья.
Оссифицирующий миозит тазобедренного сустава и бедра
Провоцирующим фактором становится эндопротезирование тазобедренного сустава, перелом или вывих бедренной кости, обширные ушибы ягодичной области. В зависимости от вида травмы поражаются различные мышцы – четырехглавая, средняя ягодичная, приводящие. При вовлечении средней ягодичной мышцы участок затвердения обнаруживается в верхней или наружной части ягодицы, снаружи над тазобедренным суставом. Страдает отведение и вращение.
Оссификаты в зоне квадрицепса располагаются на передней поверхности: чуть ниже ТБС при вывихах, в средней или нижней части сегмента – при переломах. Развитие заболевания сопровождается ограничением сгибания голени и разгибания бедра, серьезно нарушается функция ходьбы. При вовлечении приводящих мускулов оссифицирующий миозит поражает передневнутреннюю поверхность тазобедренного сустава или внутреннюю поверхность бедра в верхней половине сегмента. Выявляется ограничение разгибания и приведения, поворота ноги кнаружи.
У футболистов оссифицирующие гетеротопии обычно появляются по наружной поверхности бедра, развиваются в результате столкновений. Страдают латеральная широкая (наружная часть квадрицепса), двуглавая, полусухожильная или полуперепончатая мышцы. Возможны нарушения разгибания, сгибания или вращения голени, разгибания бедра и туловища.
Осложнения
Обширные и гетеротопические очаги сопровождаются развитием контрактуры близлежащего сустава. В тяжелых случаях формируется внесуставной анкилоз. Перечисленные осложнения существенно ограничивают трудоспособность и возможности самообслуживания пациентов с миозитом, становятся причиной инвалидности.
Диагностика
Больным, перенесшим значительную однократную травму, диагноз выставляется курирующими врачами-травматологами, поскольку оссифицирующий процесс развивается в период лечения и реабилитации. При повторной микротравматизации пациенты могут обращаться к ортопедами или онкологам. План обследования включает следующие мероприятия:
- Объективный осмотр. На ранних стадиях в мышце выявляется твердая припухлость, резко болезненная при пальпации и движениях. Образование может быть неподвижным, связанным с надкостницей, подвижным или малоподвижным. В последующем размер опухоли увеличивается, болезненность уменьшается. Ограничения функции конечности достаточно вариабельны.
- Рентгенография. Является традиционным методом исследования при оссифицирующей гетеротопии. На снимках обнаруживаются облаковидные затемнения причудливой формы, напоминающие начальные этапы образования костной мозоли. В последующем тени сгущаются и достигают костной плотности.
- УЗИ мягких тканей. Чаще применяется в период манифестации миозита, когда измененные участки еще не просматриваются на рентгенограммах. Позволяет определить локализацию, форму и структуру образований. При прогрессировании оссификации выявляет дополнительные фрагменты обызвествления, не которые не визуализируются на рентгеновских снимках.
Дифференциальную диагностику проводят с остеосаркомой. Признаками оссифицирующего миозита являются изоляция от кости и отсутствие изменений близлежащей кости по данным визуализационных методик. В сомнительных случаях рекомендовано гистологическое исследование тканей оссификата.
Лечение травматического оссифицирующего миозита
На начальной стадии показаны консервативные мероприятия. При недавних крупных травмах лечение осуществляется в травматологическом отделении, в последующем пациент переводится под амбулаторное наблюдение. После окончательного оформления очага при ограничении функций и отсутствии признаков рассасывания проводятся хирургические вмешательства.
Консервативная терапия
Важнейшими элементами лечения являются специальный режим и тщательный подбор методов реабилитации. При прогнозировании возможного развития оссифицирующего миозита или появлении первых симптомов необходима иммобилизация конечности с последующей постепенной разработкой без форсирования физической активности.
Нагрузка на пораженный сегмент должна быть безболевой. Рекомендуется активная гимнастика. Пассивные форсированные упражнения и массаж на стадии формирования очага противопоказаны, поскольку могут спровоцировать увеличение оссификата. После «созревания» костного включения рекомендованы массаж и физиотерапия. В отдельных случаях, в том числе – при рецидивах после удаления зоны окостенения применяется рентгенотерапия.
Хирургическое лечение
Оперативные вмешательства показаны после появления структурированного участка костной ткани. При планировании операции необходимо учитывать возможность рецидива, поэтому данный метод лечения рекомендован только в случае существенного нарушения функции конечности, ограничения трудоспособности.
Гетеротопический очаг иссекают вместе с капсулой, стараясь минимально травмировать окружающие ткани. Выполняют тщательный гемостаз. Образовавшуюся полость ушивают, устанавливают вакуумный дренаж, чтобы не допустить формирования гематомы, которая может стать источником рецидива.
Прогноз
Прогноз обычно благоприятный. При планомерном комплексном консервативном лечении большинство оссификатов рассасывается или уменьшается в размерах, функции конечности восстанавливаются. При околосуставной локализации, распространении окостенения на всю мышцу или ее значительную часть возможны снижение или утрата трудоспособности.
Профилактика
Превентивные мероприятия включают предупреждение травматизма, ранее начало лечения переломов и вывихов, обязательное вскрытие и адекватное дренирование крупных гематом в мышечных массивах. Большое значение имеет продуманная постепенная реабилитация, исключающая использование форсированных методов восстановления функции конечности.
2. Посттравматические гетеротопические оссификации локтевого сустава/ Каралин А.Н., Овечкин Л.А. и др.// Казанский медицинский журнал – 2017 – Т.98, №3.
3. Гетеротопическая оссификация (взгляд на проблему)/ Корж А.А., Дедух Н.В.// Ортопедия, травматология и протезирование – 2004 - №4.
Читайте также:
