Рентгенограмма, КТ, МРТ при ревматоидном артрите плечевого и локтевого суставов
Добавил пользователь Евгений Кузнецов Обновлено: 08.11.2025
Что необходимо знать о болезни Стила
- Как разновидность инфекционного неспецифического ревматоидного артрита известна болезнь Стила для которой характерен серонегативный хронический полиартрит в сочетании с системным воспалительным процессом.
- Ревматоидный артрит - это системное заболевание соединительной ткани с преимущественным поражением мелких суставов по типу эрозивно-деструктивного полиартрита.
- В детском возрасте протекает в виде ювенильного ревматоидного артрита, характеризующегося хроническим прогрессирующим течением с вовлечением в процесс воспаления суставов, а также внутренних органов.
- Ревматоидный артрит поражает 2% от всей популяции
- Пик частоты (диагностики) на 4-5-м десятилетии жизни
- У детей ревматоидный артрит встречается от 6 до 19 случаев на 100 000 детского населения
- Женщины поражаются в 3-4 раза чаще, чем мужчины
- Увеличение частоты семейных случаев
- До 70% пациентов имеют НLА-антиген DR4.
Причины:
- Хроническое воспалительное заболевание суставов
- Предрасположенность к поражению синовиальной мембраны
- При прогрессировании ревматоидной артропатии - деструкция кости в области пораженного сустава
- Этиология многофакторная и не полностью изучена
- Клеточная иммунная реакция против неидентифицированного антигена
- Синовиальная оболочка является первичной мишенью различных иммунологических каскадов, которая реагирует воспалительными пролиферативными изменениями (паннус)
- Вторичная деструкция капсуло-связочного комплекса, хрящевой ткани и кости.
КТ и МРТ диагностика ревматоидного артрита
Методы выбора диагностики ревматоидного артрита
Что покажет рентген при псориатическом артрите
- В ранней стадии заболевания определяемые рентгенологически изменения скелета отсутствуют
- Часто двусторонняя, симметричная структура поражения с развитием полиартрита
- Места наиболее частого возникновения: суставы фаланг пальцев кистей и стоп, так же как и запястья
- Признаки на основании классификации, предложенной Дилманом, разделяются на три группы:
1) Припухлость мягких тканей, выпот в полости сустава, синовит
2) Коллатеральный феномен при ревматоидном артрите суставов: полосовидные участки юкстаартикулярного остеопороза
3) Прямые признаки:
- расширение суставной щели (преимущественно в связи с выпотом в полости сустава)
- Симметричное сужение суставной щели является непрямым признаком деструкции сустава (особенно выражено между костями запястья)
- Эрозирование чаще всего возникает в области кисти (II-V пястно-фаланговые суставы), проксимальные межфаланговые суставы, кости запястья, шиловидный отросток локтевой кости), стопа (II-V плюснефаланговые суставы, межфаланговые суставы)
- Ранняя визуализация разрушения субхондральной замыкательной пластинки кости
- Субхондральные кисты
- Локтевая девиация пальцев
- Петлевидная деформация пальцев
- Анкилоз является конечной стадией заболевания.
- При поражении шейного отдела позвоночника - деформация в виде ступенек лестницы, вывих в атлантоаксиальном сочленении и псевдобазилярная инвагинация.

Длительно текущий ревматоидный артрит. Рентгенологическое исследование обеих кистей рук. Генерализованная остеопения. Симметричная структура поражения запястья, пястно-фаланговых суставов и незначительное поражение проксимальных фаланговых суставов. Полная деструкция сустава в некоторых местах или только сужение суставной щели. Вторичные дегенеративные изменения. Уменьшение высоты запястья с левой стороны и локтевое смещение запястья
Что покажут снимки МРТ суставов при ревматоидном поражении
- Характерна симметричная структура поражения (см. рентгенологические признаки; дифференциальная диагностика: дегенеративные изменения, псориатический артрит, подагра)
- Определение синовита при контрастно усиленном изображении дает возможность ранней диагностики, оценки активности заболевания и раннего лечения, возможно, до развития деструкции кости
- Нарушение сигнала аналогично отеку костного мозга (особенно на Т2-взвешенной последовательности с подавлением МР-сигнала от жировой ткани), который не имеет соответствующих признаков при рентгенологическом исследовании, представленные преэрозивными изменениями, все еще потенциально обратимыми
- Воспалительный процесс в оболочках сухожилий определяется как повышение интенсивности сигнала на Т2-взвешенном изображении
- Прямая визуализация деструкции хрящевой ткани
- Динамическая контраст-усиленная последовательность с быстрым временем изображения (менее 10 с на каждый снимок) отражает активность заболевания при воспалительных изменениях, поражающих синовиальную мембрану.
а, b Ревматоидный артрит . МРТ: A) Т1 - взвешенная SЕ-последовательность с подавлением МР-сигнала от жировой ткани после введения контрастного вещества. Накопле Накопление контрастного вещества синовиальной оболочкой области запястья, так же как лучезапястного и дистального локтезапястного сустава. Поражение ладьевидно-полулунной связки и эрозирование ладьевидной кости; b) Динамическая контрастно-усиленная МРТ у другого пациента. Раннее артериальное контрастное усиление вокруг II—V пястно-фаланговых суставов и суставов запястья, являющееся признаком выраженного воспалительного процесса.

Структура поражений при ревматоидном артрите.
Зачем проводят сцинтиграфию при подозрении на ревматоидный артрит
- Трехфазное сканирование кости
- Описание структуры поражений
- Может обеспечить оценку заболевания при отрицательных рентгенологических признаках.
Что покажет УЗИ суставов при ревматоидном поражении
- Паннус (пролиферация синовиальной оболочки, гиперэхогенные образования)
- Выпот в полости сустава
- Описание оболочек сухожилий (потенциальная цель для введения противовоспалительных препаратов)
- Кисты Бейкера
- Разрывы сухожилий
- Цветное допплеровское изображение: оценка перфузии (повышенное кровоснабжение синовиальной оболочки - признак активного воспалительного процесса).
Клинические проявления
Типичные проявления артрита :
- Неспецифические генерализованные симптомы системных заболевания соединительной ткани
- Болезненная припухлость суставов с ограничением подвижности (признак Ганелена: боль при надавливании)
- Ревматоидные узелки — основной признак ревматоидного артрита пальцев рук
- В поздней стадии — выраженная деформация, подвывих и фиброзный анкилоз
- Типичны периоды обострения и ремиссии
- Редко - выраженные генерализованные признаки заболевания, повышение температуры тела или возникновение внесуставных поражений.
Методы лечения воспалительных заболеваний суставов на примере ревматоидного артрита
- Активная и пассивная физиотерапия (тепловое лечение, криотерапия, лечебная физкультура, массаж, аппаратные методы).
- Медикаментозное лечение ревматоидного артрита направлено на купирование основных симптомов и торможение воспалительного процесса (НПВС, глюкокортикоиды, а также использование препаратов и биологических добавок).
- Лучевая синовийэктомия, хирургическая синовийэктомия.
- Реконструктивные хирургические вмешательства на суставах и протезирование суставов.
Течение и прогноз
- Неблагоприятные прогностические признаки: наличие полиартрита, высокий титр ревматоидного фактора, высокий уровень СРБ, высокая СОЭ
- У одной трети пациентов изменения суставов в течение нескольких лет приводят к инвалидности
- Продолжительность жизни уменьшается при возникновении осложнений (вторичный [системный реактивный] амилоидоз с нефротическим синдромом и развитием почечной недостаточности).
Что хотел бы знать лечащий врач
- Стадию и локализацию процесса
- Мониторинг лечения (прекратилась или прогрессирует деструкция сустава на фоне лечения?).
Какие заболевания имеют симптомы, схожие с ревматоидным артритом
Псориаз
- Поражение крестцово-подвздошного сочленения и всего позвоночника
- Энтезит (воспаление мышцы или сухожилия в месте прикрепления к кости)
- Обычно асимметричное поражение суставов
- Сочетание пролиферативных и эрозивных изменений
Синдром Рейтера
- Асимметричный олигоартрит, особенно нижних конечностей
- Анамнез пациента: связь с инфекционными поражениями кишечника/урогенитального тракта
- Обычно одностороннее поражение крестцово-подвздошного сочленения
Полиартроз/ полиартрит пальцев кисти
- Обычно более выраженное поражение дистальных межфаланговых суставов, чем проксимальных; отсутствие поражения пястно-фаланговых суставов
- Отсутствие эрозирования, кроме эрозивных форм заболевания («признак чайки»)
Коллагеноз
- Обычно выраженная деформация суставов запястья и пальцев, отсутствие деструкции кости
Советы и ошибки
Ошибочная интерпретация ревматоидного артрита как одного из заболеваний, представленных в разделе дифференциальной диагностики.
Рентгенограмма, КТ, МРТ при ревматоидном артрите плечевого и локтевого суставов
а) Терминология:
1. Аббревиатуры:
• Ревматоидный артрит (РА)
• Разрыв вращательной манжеты (РВМ)
2. Определение:
• Хроническое прогрессирующее системное воспалительное заболевание с преимущественным поражением суставов
б) Визуализация:
1. Общая характеристика:
• Лучший диагностический критерий:
о Исключительно эрозивная артропатия
о Общее истончение хряща
о Остеопороз
• Локализация:
о Наиболее ранние изменения в синовиальной оболочке, с последующим поражением хряща и кости
(Слева) Рентгенография в ПЗ проекции: тяжелый, длительно текущий РА с эрозированием ключицы, суставной впадины лопатки и головки плечевой кости.
(Справа) МРТ, корональная проекция, режим протонной плотности с подавлением сигнала от жира: ретракция сухожилия подобной мышцы, что является составляющей хронического повреждения вращательной манжеты, наблюдаемого, как правило, на поздней стадии РА. Визуализируется умеренно выраженный отек в структуре головки плечевой кости. Плечевой сустав растянут, синовиальная жидкость с сигналом низкой интенсивности заполняет подмышечную сумку и проникает через вращательную манжету в подакромиальную сумку. Обратите внимание на высокое стояние головки плечевой кости. (Слева) МРТ, корональная проекция, режим TV. типичные признаки РА плечевого сустава. Визуализируются субхондральные кисты, имеющие сигнал низкой интенсивности, а также краевые эрозии головки плечевой коти.
(Справа) МРТ, аксиальная проекция, режим протонной плотности, импульсная последовательность быстрого спин эха, с подавлением сигнала от жира: субхондральные кисты и краевая эрозия. Обратите внимание на тонкое, поврежденное сухожилие подлопаточной мышцы с жидкостью, визуализирующейся в плечевом суставе и поддельтовидной сумке. Это примечательно тем, что рентгенография в данном случае не выявила изменений. (Слева) Рентгенография в ПЗ проекции: визуализируются только признаки остеопении и небольшой краевой эрозии у пациента с РА. Остеопения, визуализирующаяся при рентгенографии у пациентов с РА часто скрывает истинную величину эрозивного поражения и субхондральных кист.
(Справа) МРТ, корональная проекция, режим Т2 с подавлением сигнала от жира: признаки значительно выраженного синовита в плечевом суставе и подакромиальной/поддельтовидной сумке у того же пациента. Диффузно расположенные узловые образования с сигналом низкой интенсивности среди жидкости - воспалительно измененная синовиальная оболочка.
2. Рентгенография при ревматоидном артрите плечевого и локтевого суставов:
• Акромиально-ключичный (АК) сустав:
о Эрозии по обеим сторонам сустава
о На поздней стадии истончение ключицы по типу заточенного карандаша
о Возможна резорбция ключицы в области прикрепления клювовидно-ключичных связок
• Плечевой сустав:
о Общее истончение хряща
о Эрозии:
- Наиболее крупные и ранние-по краю (место перехода покрытой хрящом головки в большой бугорок)
- Со временем эрозии распространяются на головку плечевой кости и суставную впадину лопатки
- На поздней стадии разрушение головки и суставной впадины лопатки
о Субхондральные кисты могут быть крупными, но остеопороз подлежащей кости может скрывать их истинные размеры
о Высокое стояние головки плечевой кости в результате РВМ:
- В хроническом состоянии головка начинает артикулировать с нижней поверхностью акромиона, формируя на нем выемку
о Клиновидная механическая эрозия медиального отдела хирургической шейки плечевой кости:
- На фоне хронического высокого стояния головки плечевой кости и воздействия нижней частью суставной впадины лопатки на остеопорозную шейку плечевой кости
- Увеличивает риск возникновения патологического перелома хирургической шейки плечевой кости
о Может иметь место рельефный отек сустава в результате истечения синовиальной жидкости через разрыв вращательной манжеты в подакромиальную/поддельтовидную сумку
• Локтевой сустав:
о Выпот в суставе (высокое расположение переднего и заднего жировых тел)
о Отек вокруг сустава:
- В области локтевого отростка: бурсит локтевого отростка часто встречается при РА
- В другом месте на фоне истечения синовиальной жидкости через капсулу в двуглаво-лучевую сумку
о Распространение эрозий по всей площади сустава:
- Одинаково поражается головка мыщелка плечевой кости, блок, локтевая кость и головка/шейка лучевой кости
- На поздней стадии разрушение костных структур
2. КТ при ревматоидном артрите плечевого и локтевого суставов:
• Визуализируются те же признаки костного поражения, что и при рентгенографии:
о Эрозии и субхондральные кисты отображаются более четко
• Воспаленная синовиальная оболочка контрастируется
3. МРТ при ревматоидном артрите плечевого и локтевого суставов:
• Режим Т1:
о Утолщенный паннус, выпот, эрозии и субхондральные кисты имеют сигнал низкой интенсивности
о При сопутствующем амилоидозе, отложения имеют сигнал низкой интенсивности:
- Внутри сустава или в структуре утолщенных сухожилий
• Последовательности, чувствительные к жидкости:
о Выпот имеет сигнал высокой интенсивности
о Утолщенный паннус выстилает синовиальную оболочку и имеет сигнал низкой интенсивности о Рисовые тела в выпоте имеют сигнал низкой интенсивности о Эрозии и субхондральные кисты имеют сигнал высокой интенсивности
о Субхондральный отек костного мозга о Полный или частичный РВМ
о Хорошая визуализация истечения синовиального выпота
- Плечевой сустав: обычно через РВМ в подакромиальную/поддельтовидную сумку
- Локтевой сустав: в двуглаво-лучевую сумку или в близлежащие мягкие ткани
о При наличии амилоидных отложений может сохраняться сигнал низкой интенсивности
о Повышение интенсивности сигнала от локтевого нерва при локтевом импиджменте
• Режим Т1 с контрастированием, с подавлением сигнала от жира:
о Интенсивное контрастирование утолщенного паннуса вдоль синовиальной оболочки
о Субхондральные кисты и эрозии имеют сигнал высокой интенсивности, окружающий скопления жидкости с низкоинтенсивным сигналом
4. Рекомендации по визуализации:
• Лучшие методы визуализации:
о Рентгенография обычно позволяет установить правильный диагноз
о МРТ часто предоставляет дополнительную информацию:
- Целостность вращательной манжеты
- Ранний (дорентгенологический) диагноз: синовит
- Ранняя фаза костной деструкции: более точная оценка эрозий и субхондральных кист
(Слева) МРТ, сагиттальная проекция, режим Т2 с подавлением сигнала от жира: признаки значительно выраженного синовита в плечевом суставе и подакро-миальной/поддельтовидной сумке у этого же пациента. Хорошо визуализируется как признаки синовита, так и субхондральной кисты, распространяющейся вниз в структуре кости.
(Справа) МРТ, аксиальная проекция, режим протонной плотности с подавлением сигнала от жира: визуализируется размер эрозий у этого же пациента. Примечательно то, что при рентгенографии были выявлены только признаки остеопении и небольшой эрозии, даже при ретроспективном анализе. Метафиз этой плечевой кости подвержен риску перелома. (Слева) МРТ, корональная проекция с контрастным усилением, с подавлением сигнала от жира: у того же пациента подтверждаются патологические изменения костной ткани в виде эрозий и субхондральных кист с сигналом низкой интенсивности от жидкости, окруженной накапливающей контраст синовиальной оболочкой. Также визуализируется повреждение вращательной манжеты с ретракцией надостной мышцы.
(Справа) Рентгенография в боковой проекции: диффузная остеопения и отек мягких тканей в области локтевого отростка. Локализация характерна для бурсита локтевого отростка, развившегося, в данном случае, на фоне РА. (Слева) Рентгенография в ПЗ проекции: типичные признаки тяжелого, длительно текущего РА. Визуализируется симметричное эрозивное поражение дистального отдела плечевой кости, проксимального отдела лучевой кости и проксимального отдела локтевой кости на фоне остеопении.
(Справа) Рентгенография в боковой проекции: подтверждаются признаки эрозивного поражения, а также наличие механической эрозии проксимального отдела диафиза локтевой кости, в месте контакта с остатком головки лучевой кости. Симметричность патологического процесса и исключительно эрозивная природа заболевания подтверждают диагноз РА.
в) Дифференциальная диагностика ревматоидного артрита плечевого и локтевого суставов:
1. Септический артрит:
• Дифференцируется с ранним РА
• Нарастающий синовит, выпот
• Отек костного мозга или ранние эрозии
2. Нейроостеоартропатия (Шарко):
• Дифференцируется с поздней стадией РА плечевого сустава
• Деструкция головки плечевой кости и суставной впадины лопатки
• Массивный выпот, истечение в поддельтовидную сумку через РВМ
• Наличие костного дебриса и отсутствие паннуса способствует дифференцировке
• Обычно одностороннее поражение; этиологический фактор - серингомиелия
3. Спондилоартропатии:
• При анкилозирующем спондилите и энтеритном спондилите часто поражаются крупные проксимальные суставы (плечевой, тазобедренный)
• На ранней стадии заболевания могут появляться признаки тяжелого воспаления с развитием синовита и образованием эрозий
• На более поздних стадиях обычно имеет место смешанный эрозивно/продуктивный характер патологического процесса
• Поражение суставов позвоночника и крестцово-подвздошных сочленений позволяет дифференцировать этот патологический процессе РА
(Слева) Рентгенография в ПЗ проекции: истончение хряща по всей площади локтевого сустава и субхондральные эрозии в области венечного отростка. Визуализируется выраженный отек мягких тканей и диффузная остеопения. Продуктивных изменений не определяется. Картина типична для ревматоидного артрита.
(Справа) МРТ, сагиттальная проекция, режим Т2 с подавлением сигнала от жира: полная утрата хряща и истончение кортекса в области головки мыщелка плечевой кости у этого же пациента с РА. Вся жидкость находится в чрезмерно растянутом суставе и содержит включения, характеризующиеся сигналом низкой интенсивности, которые называю рисовыми телами. (Слева) Рентгенография в ПЗ проекции: латеральное мягкотканное образование без иных изменений у пациента с РА.
(Справа) МРТ, аксиальная проекция, режим протонной плотности с подавлением сигнала от жира, выполнена для оценки мягкотканного образования у этого же пациента: признаки синовита и жидкость вокруг головки лучевой кости. Визуализируется тонкий перешеек жидкости, распространяющийся из сустава к мягкотканному образованию. Это подтверждает, что образование представлено всего лишь жидкостью из сустава, которая попала в латеральные мягкие ткани в результате декомпрессии, что случается в ущемленных суставах с активным синовитом. (Слева) МРТ, сагиттальная проекция, режим Т2: признаки воспаления двуглаво-лучевой сумки на фоне РА. Визуализируются признаки лобулярного синовита двуглаво-лучевой сумки вокруг сухожилия двухглавой мышцы. Жидкость и синовит также наблюдаются в локтевом суставе.
(Справа) МРТ, сагиттальная проекция, режим Т2: признаки деструкции сустава, значительный выпот и патологический сигнал от костного мозга у пациента с РА. Эти изменения могли бы быть просто признаками поздней стадии РА, однако здесь необходимо учитывать возможность инфекционного процесса.
г) Патология:
1. Общая характеристика:
• Этиология:
о Этиология неизвестна
о Предполагается патофизиологическая связь со стойким иммунным ответом генетически восприимчивого хозяина к некоторому неизвестному антигену
• Генетика:
о Генетическая предрасположенность:
- Конкордантность в парах монозиготных близнецов (25%)
- Частота возникновения РА у родственников первой степени родства в четыре раза выше, чем в общей популяции
о Маловероятно, что этот патологический процесс будет выявлен у членов семьи пациента
• Сопутствующие нарушения:
о Подкожные ревматоидные узелки у 30%:
- Разгибательные поверхности (область локтевой кости, ахиллова сухожилия) и пальцы
о Отложения амилоида
о Плевральная полость: выпот, ревматоидные узелки, редко интерстициальный фиброз
о Васкулиты
о Синдром Фелти: РА + спленомегалия + лейкопения
о Синдром Шегрена: РА + кератоконьюнктивит + ксеростомия
о Высокий риск развития лимфомы
о Системное воспаление может являться причиной повышенного риска сердечно-сосудистых заболеваний, почечной недостаточности и инфекции
о Высокий уровень смертности, сокращение продолжительности жизни на 10-18 лет
2. Макроскопические и хирургические особенности:
• Синовиальная оболочка гипертрофирована, отечна
• Отечность суставов, эрозии костей, деструкция хряща
• Рисовые тела: отделившиеся синовиальные ворсинки
3. Микроскопия:
• Организованное скопление хелперных Т-клеток субпопуляции CD4, антиген презентирующих клеток, лимфоидных фолликулов
• Выделение большого количества иммуноглобулина, включая ревматоидный фактор
• Ангиогенез в синовиальной оболочке
д) Клинические особенности:
1. Проявления:
• Типичные признаки/симптомы:
о Симметричный полиартрит, особенно малых суставов
о Системные симптомы: утомляемость, субфебрилитет
о Обычно развиваются в течение недель или месяцев; иногда скоротечное течение болезни
• Другие признаки/симптомы:
о Плечевой/локтевой суставы:
- Боль, отек, ограничение объема движений
- Симптомы повреждения вращательной манжеты
2. Демография:
• Возраст:
о Пик начала заболевания приходится на 4-5 десятилетия
• Пол:
о М:Ж= 1:3
• Эпидемиология:
о РА: 1 % в мировой популяции:
- 5% в некоторых популяциях коренных американцев о У 60% пациентов с РА поражается плечевой сустав
о У 50% пациентов с РА поражается акромиально-ключичный сустав
о У 50% пациентов с РА поражается локтевой сустав
3. Течение и прогноз:
• До 60% случаев переходят в ремиссию:
о При интенсивной комбинированной терапии рецептурными препаратами в большинстве случаев наступает улучшение
• Обширное эрозирование и повреждение вращательной манжеты ухудшают прогноз относительно функции плечевого сустава
• Лечение РА: обычно комбинированное, направленное на облегчение болевого синдрома и незамедлительная нарастающая терапия для подавления заболевания до разрушения суставов:
о Нестероидные противовоспалительные средства:
- Симптоматическое облегчение боли; не влияют на патологический процесс
о Глюкокортикоиды (перорально или интраартикулярно):
- Тормозят воспаление; дают возможность наращивания эффекта медленно действующим препаратам
о Базисные противоревматические препараты, модифицирующие течение болезни:
- Препятствуют деструкции суставов (например, метотрексат, сульфасалазин, противомалярийные препараты, препараты золота)
о Биологические препараты: ингибиторы фактора некроза опухоли альфа, антиинтерлейкин-1:
- Установлена роль цитокинов (особенно фактора некроза опухоли альфа и интерлейкина-1) в патофизиологии РА
• Хирургическое лечение:
о Синовэктомия может останавливать/замедлять прогрессирование
о Плечевой сустав:
- Плохой прогноз для восстановления повреждений вращательной манжеты
- Эндопротезирование: из-за повреждения вращательной манжеты часто отдается предпочтение реверсивному эндопротезу:
У пациентов с РА очень высок риск возникновения перипротезного перелома, особенно акромиального отростка
о Локтевой сустав:
- Резекция головки лучевой кости — симптоматическое улучшение
- Эндопротезирование часто бывает неудачным (нестабильность, перипротезные переломы) по причине остеопороза
е) Диагностическая памятка. Следует учесть:
• Другие этиологические факторы развития синовита, особенно инфекционный, при односуставном поражении
1. Аббревиатура:
• Ревматоидный артрит (РА)
2. Определения:
• Хроническое прогрессирующее системное воспалительное заболевание с преимущественным поражением суставов:
о Атланто-аксиальный подвывих = подвывих С1-С2 = АА подвывих
о Атлантоаксиальная импакция = краниальное погружение = импакция С1-С2 = АА импакция
1. Общая характеристика:
• Лучший диагностический критерий:
о Исключительно эрозивный патологический процесс с преимущественным поражением С1-С2 сочленения
• Локализация:
о С1-С2 дугоотростчатые суставы, унковертебральные суставы, зуб, сумка зубовидного отростка
о Субаксиальное (ниже С2) поражение дугоотростчатых и унковертебральных суставов шейного отдела позвоночника о Грудинно-ключичные суставы поражаются у 30% пациентов с РА, однако патологические признаки трудно различимы на рентгенограммах
о Грудопоясничный отдел позвоночника и крестцово-подвздошные сочленения могут иметь микроскопические очаги поражения без рентгенологических проявлений
• Размер:
о Варьирует от умеренного формирования паннуса до выраженной нестабильности с поражением спинного мозга
(Слева) Рентгенография в боковой проекции: АА подвывих. Еще более важно то, что передняя дуга атланта находится в низком, по отношению к зубовидному отростку положению. Это указывает на АА импакцию. Истинная импакция с трудом поддается визуализации на рентгенограмме по причине наложения сосцевидного отростка.
(Справа) Рентгенография в боковой проекции, этот же пациент спустя один год: передняя дуга атланта расположена на уровне тела зубовидного отростка. Выраженная АА импакция. (Слева) КТ, сагиттальная проекция: типичная картина краниального погружения при РА на фоне АА импакции. Наблюдается верхняя транслокация зуба по отношению к большому затылочному отверстию. Определяется аномалия линии Вакенхейма. Также имеется эрозия зуба и АА подвывих.
(Справа) МРТ, сагиттальная проекция, режим STIR: импакция зуба В и сужение субарахноидального пространства в области большого затылочного отверстия с компрессией спинного мозга между зубом и опистионом у этого же пациента. (Слева) КТ, сагиттальная проекция, без контрастного усиления: выраженные эрозивные изменения С1 позвонка и зубовидного отростка. Положение остаточной части передней дуги С1 позвонка напротив тела С2 позвонка указывает на АА импакцию.
(Справа) КТ, корональная проекция, без контрастного усиления: импакция верхушки эрозированного зубовидного отростка. Также визуализируются эрозии и коллапс боковых масс (дугоотростчатых суставов) сегмента С1-С2. Сравните их с нормальными дугоотростчатыми суставами субаксиального отдела. Результатом коллапса боковых масс стала АА импакция.
2. Рентгенография:
• Эрозии зуба:
о В результате воспалительного паннуса в окружающей сумке
о Визуализируется на боковой рентгенограмме или изображении, полученном в проекции зубовидного отростка через открытый рот
• АА подвывих:
о В результате разрушения поперечной связки воспалительным паннусом
о В норме расстояние между нижним краем передней дуги атланта и зубом не превышает 4 мм:
- АА подвывих, как правило, не имеет патологических проявлений, пока дистанция не достигнет 9 мм
о Оценка на боковой рентгенограмме:
- Может не визуализироваться без выполнения рентгенографии в положении сгибания-разгибания:
Сгибание обычно выявляет максимальный подвывих
Разгибание может указывать на паннус, препятствующий полному вправлению
• АА импакция:
о В результате эрозий и коллапса дугоотростчатых суставов на уровне С1-С2:
- Двухсторонний коллапс может привести к протрузии зубовидного отростка в большое затылочное отверстие с развитием симптомов поражения спинного мозга
о Оценка на боковой рентгенограмме:
- Передняя дуга атланта в норме должна находиться на одной линии с верхней частью зуба:
Расположение передней дуги на уровне тела зуба или тела С2 позвонка указывает на АА импакцию
- На боковой рентгенограмме, визуализации импакции зуба через большое затылочное отверстие может препятствовать накладывающийся сосцевидный отросток:
Если импакция предполагается по расположению передней дуги атланта, относительно С2, КТ позволит оценить протяженность отростка
• Односторонняя АА импакция:
о В результате эрозирования и коллапса одного дугоотростчатого сустава С1-С2:
- Односторонний коллапс приводит к развитию острой кривошеи
• Субаксиальный подвывих:
о На фоне сочетания нестабильности связок, эрозирования дугоотростчатых и унковертебральных суставов и остеопороза:
- Эрозии и разрушение связок способствуют патологической подвижности поперек замыкательных пластинок тел позвонков — подвывиху
- Паннус унковертебральных суставов в сочетании с остеопорозом и патологической подвижностью → разрушение замыкательных пластинок
о При рентгенографии в боковой проекции визуализируется как ступенчатая деформация:
- Сопутствующее разрушение замыкательной пластинки может свидетельствовать об инфекционном процессе
о Сращение позвонков у взрослых пациентов с РА наблюдается крайне редко, однако может наступать на фоне разрушения замыкательных пластинок
(Слева) КТ, сагиттальная проекция, костный режим: эрозии шейного отдела позвоночника на различных уровнях у пациента с РА, которые привели к атланто-затылочной нестабильности, АА подвывиху, АА импакции (краниальному погружению), а также к эрозии замыкательных пла -стинок и унковертебральных суставов на более нижних уровнях. Такое диффузное поражение встречается часто.
(Справа) Рентгенография в ПЗ проекции: ангуляция нижней челюсти у пациента с РА. Шейный отдел позвоночника выпрямлен. Такой перекос нижней челюсти свидетельствует в пользу односторонней АА импакции. (Слева) Рентгенография в проекции зубовидного отростка через открытый рот: нормальные фасетки в сегменте С1-С2 справа, но эрозированные фасетки того же сегмента слева В у пациента с РА и острой кривошеей. Такое несоответствие может явиться результатом одностороннего коллапса сустава с развитием односторонней болезненной кривошеи.
(Справа) КТ, корональная проекция, котный режим: у того же пациента подтверждается наличие эрозий и коллапс дугоотростчатого сустава слева, в сравнении с неизмененным суставом справа. Обратите внимание на то, что атланто-затылочные суставы также не поражены. (Слева) КТ, сагиттальная проекция, костный режим: эрозии и коллапс дугоотростчатого сустава сегмента С1-С2 слева у этого же пациента.
(Справа) Для сравнения представлен нормальный правый дугоотростчатый сустав сегмента С1-С2 этого же пациента. Дугоотростчатые суставы подвержены риску эрозивною поражения на любом уровне позвоночного столба. Однако фасетки сегмента С1-С2 особенно подвержены такому риску. При двухстороннем эрозировании и коллапсе дугоотростчатых суставов сегмента С1-С2 у пациента может развиться АА импакция. При одностороннем коллапсе у пациента возникает болезненная кривошея.
3. КТ при ревматоидном артрите осевого скелета:
• Более точное определение протяженности эрозивного процесса
• Можно видеть паннус вокруг зубовидного отростка
• Корональные и сагиттальные проекции демонстрируют протяженность эрозий дугоотростчатых и унковертебральных суставов
• АА импакция может быть гораздо более очевидной:
о Проекция зуба >5 мм надлинией Чемберлена (проходит от твердого неба к опистиону)
о Пересечение зуба с линией Вакенхейма (проходит вдоль ската на сагиттальных изображениях)
• Примите во внимание, что на КТ изображениях АА может быть редуцирован (и поэтому недооценен), поскольку пациент во время исследования находится на спине
4. МРТ при ревматоидном артрите осевого скелета:
• Режим Т1:
о Паннус в виде объемного образования имеет сигнал низкой интенсивности
• Режим Т2:
о Паннус имеет гетерогенный сигнал высокой и низкой интенсивности
о Высокоинтенсивный сигнал исходит от синовиальной жидкости в дугоотростчатых и унковертебральных суставах
о Эрозии и отек костного мозга характеризуются сигналом высокой интенсивности
• Режим STIR:
о Аналогичен режиму Т2, однако патологический сигнал от спинного мозга может быть более четким:
- Контузия или киста
• Режим Т1 с контрастным усилением и подавлением сигнала от жира:
о Повышенная чувствительность при диагностике РА на ранней стадии
о Паннус демонстрирует интенсивное контрастирование
о Раннее определение эрозий
5. Рекомендации по визуализации:
• Лучшие методы визуализации:
о Рентгенография, включая исследование в боковой проекции со сгибанием-разгибанием
о КТ: дополнительно к рентгенографии:
- Лучшая визуализация протяженности эрозий
- Хорошее отображение АА импакции
о МРТ: дополнительно к рентгенографии:
- Отчетливо визуализируется паннус, обычно вокруг зубовидного отростка
- Непосредственная визуализация компрессии и повреждения спинного мозга
(Слева) Рентгенография в боковой проекции: множественные эрозивные изменения дугоотростчатых суставов у пациента с РА и нормальными АА структурами. Это еще не привело к нарушению соосности и разрушению замыкательных пластинок.
(Справа) Рентгенография в боковой проекции: тяжелое эрозивное поражение у пациента с РА, приведшее к АА подвывиху, эрозированию дугоотростчатых суставов и вероятному разрушению связок. Такое сочетание приводит к нарушению соосности и последующему возникновению механических эрозий замыкательных пластинок и дистракции диска. (Слева) КТ, сагиттальная проекция, без контрастного усиления: импакция сегмента С1-C2. Зубовидный отросток эрозирован. Субаксиальный отдел позвоночника демонстрирует отчетливые признаки диффузной дегенерации дисков и замыкательных пластинок на фоне комбинации разрушения связок и эрозивного поражения дугоотрост-чатых/унковертебральных суставов.
(Справа) МРТ, сагиттальная проекция, режим STIR: структура паннуса, вызывающего тяжелую компрессию спинного мозга. Выражены подвывих и импакция сегмента С1-С2. Многоуровневые подвывихи в субаксиальном отделе позвоночника отражают вовлечение в патологический процесс дугоотростчатых и унковертебральных суставов. (Слева) КТ, сагиттальная проекция: импакция сегмента С1-С2 у пациента с РА. Обратите внимание на сращение тел нескольких позвонков. Сращение при РА встречается редко, однако может наступать в зоне механического эрозирования и дегенерации диска.
(Справа) Рентгенография в боковой проекции: легкий АА подвывих и выраженная АА импакция. Также обратите внимание на типичное для РА многоуровневое эрозирование дугоотростчатых суставов и истончение остистых отростков. У пациента отмечаются умеренно выраженные лестничные подвывихи тел позвонков, развившиеся на фоне патологической подвижности и остеопороза.
в) Дифференциальная диагностика ревматоидного артрита осевого скелета:
1. Атланто-аксиальный подвывих:
• Серонегативные спондилоартропатии:
о Подвывих может наблюдаться при акнилозирующем спондилите, энтеропатическом спондилите, псориатическом спондилите или хроническом реактивном спондилите
о Синдесмофиты указывают на спондилоартропатию
о Сращение тел позвонков или дугоотросчатых суставов указывает на спондилоартропатию; у взрослых пациентов с РА сращение наступает крайне редко
• Ювенильный идиопатический артрит:
о Часто наблюдаются уровни сращения с сужением гипопластических тел
2. Аномалии замыкательных пластинок:
• Инфекция полости диска:
о Одноуровневое поражение свидетельствует в пользу инфекции
о Нормальная плотность костной ткани на сопряженных уровнях свидетельствует в пользу инфекции
• Гемодиализная спондилоартропатия:
о Разрушение замыкательной пластинки, часто с листезом
о Может быть многоуровневой
о Обычно не затрагивает сегмент С1-С2
1. Общая характеристика:
• Этиология:
о Этиология РА неизвестна
о Предполагается патофизиологическая связь со стойким иммунным ответом генетически восприимчивого хозяина к некоторому неизвестному антигену
• Генетика:
о Генетическая предрасположенность:
- Конкордантность в парах монозиготных близнецов (25%)
- Частота возникновения РА у родственников первой степени родства в четыре раза выше, чем в общей популяции
о Однако маловероятно, что у членов семьи пациента будут выявлены аналогичные патологические изменения
2. Макроскопические и хирургические особенности:
• Синовиальная оболочка гипертрофирована, отечна
• Отечность суставов, эрозии костей, деструкция хряща
1. Проявления:
• Типичные признаки/симптомы:
о У пациентов с поражением осевого скелета редко выявляются сопутствующие симптомы до поздней стадии:
- Симптомы поражения спинного мозга на фоне АА импакции
- Симптомы поражения спинного мозга на фоне значительного АА подвывиха (>9 мм)
- Болезненная кривошея на фоне одностороннего коллапса фасетки С1-С2
о Пациенты с аксиальной патологией практически всегда имеют признаки периферического поражения (кисти рук/стопы)
2. Демография:
• Возраст:
о Пик начала заболевания приходится на 4-5 десятилетие
• Пол:
о М:Ж=1:3
• Эпидемиология:
о РА: 1 % человек в мировой популяции:
- 5% в некоторых популяциях коренных американцев
о У 50% пациентов с РА поражается шейный отдел позвоночника
3. Течение и прогноз:
• При тяжелом поражении могут развиваться радикулопатия или шейная миелопатия
• Тяжелое течение заболевания и высокая летальность при наличии у пациента краниоцервикальной нестабильности
4. Лечение:
• Лечение РА: как правило, комбинированное, направленное на облегчение болевого синдрома и незамедлительная нарастающая терапия для подавления заболевания еще до разрушения суставов:
о Нестероидные противовоспалительные средства:
- Симптоматическое облегчение боли; не влияет на патологический процесс
о Глюкокортикоиды (перорально или интраартикулярно):
- Замедляют воспаление; дает возможность наращивания эффекта медленнодействующим препаратам
о Базисные противоревматические препараты, модифицирующие течение болезни:
- Препятствуют деструкции суставов (например, метотрексат, сульфасалазин, противомалярийные препараты, препараты золота)
о Биологические препараты: ингибиторы фактора некроза опухоли альфа, антиинтерлейкин-1:
- Установлена роль цитокинов (особенно фактора некроза опухоли альфа и интерлейкина-1) в патофизиологии РА
• Лечение симптоматической нестабильности шейного отдела позвоночника:
о Трансоральная одонтоидэктомия
о Задний спондилодез сегмента С1-С2 с фиксацией затылочной кости
о Ламинэктомия и фиксация дугоотросчатых суставов
• Некоторые авторы считают, что щадящий хирургический подход при нестабильности сегмента С1-С2 может увеличивать тяжесть заболевания и летальность
е) Диагностическая памятка. Рекомендации по интерпретации изображений:
• Оцените положение передней дуги атланта относительно зуба для определения атланто-аксиальной импакции
• Учитывайте, что атланто-аксиальный подвывих может быть недооценен на боковой рентгенограмме и томограмме полученной в нейтральном положении
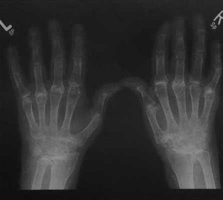
Стадии рентгенологических изменений в суставах при ревматоидном артрите
Для цитирования: Смирнов А.В., Каратеев Д.Е. Стадии рентгенологических изменений в суставах при ревматоидном артрите. РМЖ. 2014;7:551.
Костно-суставная система кистей и дистальных отделов стоп является основным объектом исследования для постановки диагноза и определения стадии ревматоидного артрита (РА) и проведения дифференциального диагноза с другими заболеваниями ревматической и неревматической природы.
Синовиальная оболочка периферических суставов является органом-мишенью, где при РА разворачивается хроническое аутоиммунное воспаление, приводящее в дальнейшем к характерному для РА множественному и симметричному поражению суставов. Симметричность изменений в суставах кистей и стоп является отличительной особенностью РА. Типичные признаки РА – симметричное поражение пястно-фаланговых и плюсне-фаланговых суставов, суставов запястий, проксимальных межфаланговых суставов кистей. Первые рентгенологические симптомы артрита, в т. ч. и появление первых эрозий, могут обнаруживаться во 2-х и 3-х пястно-фаланговых суставах, 3-х проксимальных межфаланговых суставах кистей, суставах запястий, лучезапястных суставах, шиловидных отростках локтевых костей, 5-х плюсне-фаланговых суставах. При более выраженных стадиях РА изменения могут обнаруживаться в дистальных межфаланговых суставах кистей и стоп. РА никогда не начинается с поражения дистальных межфаланговых суставов кистей и стоп, проксимальных межфаланговых суставов стоп.
Наиболее часто в повседневной практике применяется рентгенологическая классификация, основанная на делении РА на модифицированные стадии по Штейнброкеру с использованием обзорных рентгенограмм кистей и дистальных отделов стоп в прямой проекции.
Выделяются 4 рентгенологические стадии РА, отражающие прогрессирование симптомов артрита в суставах кистей и дистальных отделов стоп.
К 1-й стадии (ранним рентгенологическим изменениям) РА относятся периартикулярное утолщение и уплотнение мягких тканей, околосуставной остеопороз (повышение рентгенпрозрачности костной ткани), единичные кистовидные просветления костной ткани и сужение отдельных суставных щелей в типичных для начального РА суставах. Рентгенологические симптомы 1-й стадии неспецифичны для РА и могут быть обнаружены при других ревматических заболеваниях, что требует обязательного учета клинико-лабораторных показателей заболевания.
Стадия 2 характеризуется нарастанием околосуставного остеопороза, появлением множественных кистовидных просветлений костной ткани в эпифизах коротких трубчатых костей и костях запястий в сочетании с множественными сужениями суставных щелей, эрозивными изменениями в суставах и небольшими краевыми деформациями костей. Эта стадия подразделяется на неэрозивную и эрозивную формы в зависимости от отсутствия или наличия деструктивных изменений в суставах. Как правило, первые эрозии появляются во 2–3-х пястно-фаланговых, 5-х плюсне-фаланговых суставах, костях запястий, в области шиловидного отростка локтевой кости. Отличительная особенность 2-й стадии РА – отсутствие умеренных или выраженных деформационных изменений, подвывихов, вывихов и костных анкилозов суставов.
Стадия 3 характеризуется нарастанием рентгенологических симптомов, выявляемых при 2-й стадии. Деструктивные изменения выраженные, определяются во многих суставах кистей и дистальных отделов стоп. Преобладают в типичных для РА суставах. Отличительная особенность 3-й стадии – умеренные и выраженные деформации эпифизов костей, подвывихи и вывихи в отдельных или многих суставах.
4-я стадия характеризуется симптомами 3-й стадии и появлением костных анкилозов суставов. Для РА типичны анкилозы в суставах запястий (межзапястных, 2–5-х запястно-пястных суставах). Крайне редко выявляются анкилозы в проксимальных межфаланговых суставах кистей и лучезапястных суставах. Выраженные деструктивные изменения в костях запястий могут приводить к коллапсу запястий, который характеризуется снижением высоты запястий, выраженными деформациями, уменьшением размеров или остеолизом костей запястий. Остеолитические изменения могут выявляться в пястно-фаланговых и, реже, плюсне-фаланговых суставах. Рентгенологические стадии РА представлены на рисунках 1–11.
Контент доступен под лицензией Creative Commons «Attribution» («Атрибуция») 4.0 Всемирная.
Артрит плечевого сустава
Артрит плечевого сустава – это воспалительный процесс в области сочленения головки плечевой кости с суставной впадиной лопатки. Течение артрита сопровождается болями различной степени интенсивности, затруднением движения, крепитацией при движении, припухлостью в области сустава. Артрит диагностируется по результатам рентгенографии плечевого сустава, УЗИ, МРТ, артроскопии, биохимического анализа крови и исследования синовиальной жидкости. Лечение предполагает прием противовоспалительных, анальгезирующих препаратов, проведение внутрисуставных инъекций, массажа, ЛФК, физиопроцедур.
МКБ-10



Общие сведения
Артрит плечевого сустава – группа заболеваний лопаточно-торакального (плечевого) сустава воспалительного характера. Патология плечевого сустава разнообразна и включает в себя пороки развития (гипоплазию головки плечевой кости, врожденный подвывих и вывих плечевой кости), повреждения элементов сустава (ушибы, растяжения, разрывы связок и капсулы, сухожилий и мышц, вывихи плеча, переломы), заболевания (артрит, периартрит, остеоартроз, опухоли, анкилоз и др.). Среди различных поражений плечевого сустава артрит занимает одно из ведущих мест, встречаясь преимущественно у лиц среднего и старшего возраста. Артрит может являться изолированной патологией или проявлением системных заболеваний, поэтому рассматривается как в рамках травматологии, так и клинической ревматологии.

Причины артрита
Плечевые суставы могут поражаться при инфекционных, системных, метаболических заболеваниях, травмах:
- Посттравматический артрит развивается в результате перенесенных травм плеча (трещин и переломов суставных поверхностей костей, вывиха, разрыва вращательной манжеты плеча и др.).
- В основе ревматоидного артрита лежит аутоиммунное воспаление, сопровождающееся синовитом, формированием грануляционной ткани, деструкцией хряща, фиброзным и костным анкилозом. Ключевые факторы, запускающие ревматоидный артрит, неизвестны; рассматривается пусковая роль инфекционных агентов, врожденного дефекта клеточного иммунитета, семейно-наследственной предрасположенности и др.
- Остеоартрит является, главным образом, следствием возрастных дегенеративных процессов, приводящих к «изнашиванию» суставного хряща.
- Неинфекционные артриты также могут развиваться у больных псориазом и подагрой.
- Гнойный артрит может быть обусловлен прямым попаданием инфекции (например, при ранениях и травмах плеча, проведении лечебно-диагностических пункций) либо лимфогенным или гематогенным проникновением возбудителей из других септических очагов (при флегмоне подмышечной области, остеомиелите плечевой кости, гнойном бурсите и др.).
- Частные формы инфекционного артрита могут быть этиологически связаны с внелегочным туберкулезом (туберкулезом костей и суставов), ИППП (гонореей, сифилисом).
Факторами, провоцирующими развитие или обострение артрита, часто выступают переохлаждение, физическая перегрузка плечевого сустава, гипокинезия, стресс и др.
Анатомия
Плечевой сустав относится к шаровидным суставам, представляющим собой сочленение чашеобразного углубления (суставной впадины лопатки) и шарообразной головки плечевой кости. Плечевой сустав обеспечивает широкий диапазон движений: сгибание и разгибание, отведение и приведение, круговые вращения верхней конечности. Снаружи плечевой сустав окружен эластичной капсулой, стабилизирован мощной клювовидно-акромиальной связкой и окружающими мышцами - дельтовидной, подлопаточной, над- и подостными, малой и большой круглыми. Большая свобода движений верхней конечности во многом обеспечивается особенностями строения плечевого сустава.
Классификация
Течение артрита плечевого сустава может носить острый или хронический характер. В зависимости от причинной обусловленности артриты могут иметь инфекционно-воспалительное и неинфекционное происхождение.
- К числу инфекционных артритов относятся острый гнойный артрит, туберкулезный артрит, сифилитический артрит, гонорейный артрит и др.
- Неинфекционные артриты представлены подагрическим, ревматоидным, посттравматическим, псориатическим артритом, остеоартритом и пр.

Симптомы артрита
Определяющими симптомами артрита являются боль в плече, ограничение подвижности и припухлость в области сустава. В зависимости от выраженности данных и других признаков различают три степени артрита плечевого сустава.
Первая степень
На ранних стадиях боли в плечевом суставе непродолжительные и нестойкие; обычно возникают в связи с повышенной физической нагрузкой, а после ее прекращения быстро стихают. Особенностью ревматоидного артрита служит симметричность поражения плечевых суставов. В этой стадии пациенты редко обращаются за медицинской помощью.
Вторая степень
Вторая степень характеризуется болями, как при нагрузке, так и в покое. Типично возникновение болевых приступов в ночные часы. Появляется ограничение подвижности суставов; пациент с трудом может поднять руку. При движениях сустава в различной плоскости слышен крепитирующий хруст. При обострении артрита кожные покровы в области плечевого сустава становятся гиперемированными, отечными, горячими на ощупь.
Третья степень
Артрит третьей степени сопровождается резкой болью при пальпации плеча, деформацией сустава и полной потерей подвижности в суставе. Выраженные дегенеративные изменения хрящевой ткани могут привести к инвалидности.
Гнойный артрит
При гнойном артрите определяется флюктуирующая припухлость сустава. Характерная поза – больная рука согнута в локтевом суставе и приведена к туловищу; плечо слегка опущено и отклонено кпереди. В случае прорыва гноя в параартикулярные ткани образуются глубокие затеки и флегмоны. Общее состояние больного тяжелое, температура повышена до 39-40°С. Исходом флегмоны суставной сумки в большинстве случаев служит анкилоз плечевого сустава. В тяжелых случаях может развиваться сепсис.
Диагностика
Появление вышеописанных признаков требует очной консультации врача-ревматолога, артролога или травматолога. Первичное физикальное обследование включает осмотр, пальпацию, исследование активных и пассивных движений плечевого пояса. Для получения детальной характеристики патологического процесса проводится комплекс визуализирующих исследований:
- УЗИ;
- термография;
- рентгенография плечевых суставов;
- контрастная артрография;
- МРТ сустава;
- сцинтиграфия.
С целью исследования синовиальной жидкости проводится диагностическая пункция плечевого сустава. При необходимости получения биоптата прибегают к диагностической артроскопии плечевого сустава. Для уточнения формы артрита исследуется содержание в плазме крови фибриногена, ревматоидного фактора, СРБ, аутоантител к тканям суставов.
Дифференциальная диагностика
При проведении дифференциальной диагностики артрит плечевого сустава следует отличать от синдрома болезненного плеча, связанного со стенокардией, инфарктом миокарда, пневмонией, раком верхушки легкого (синдромом Панкоста), холециститом. Также следует исключить другие возможные заболевания плечевого сустава и периартикулярных тканей:
- тендинит;
- бурсит;
- плече-лопаточный периартрит;
- артроз и др.

Лечение артрита плечевого сустава
Начальное лечение артрита всегда консервативное. В острой фазе рекомендуется щадящий режим, смена вида деятельности для устранения ситуаций, провоцирующих боль, в некоторых случаях – иммобилизация сустава. Лечение может включать:
- Лекарственную терапию. Направлена на снижение уровня воспаления, устранение причины артрита, восстановление функций плечевого сустава и включает назначение НПВС, анальгетиков, гормональных препаратов, хондропротекторов, витаминов и т. д.
- Лечебные блокады и пункции. Предполагают внутрисуставное введение дипроспана и других глюкокортикоидов, препаратов гиалуроновой кислоты, периартикулярные блокады. Консервативное ведение гнойного артрита включает антибиотикотерапию, серию лечебных пункций с аспирацией гноя, промыванием полости плечевого сустава антисептиками и введением в полость протеолитических ферментов (лаваж сустава).
- Физиотерапию. Наряду с медикаментозным воздействием используется физиотерапия (СМТ, УВЧ, магнитотерапия, лазеротерапия), бальнеотерапия, ЛФК, массаж, мануальная терапия, криотерапия.
- Хирургические методы. При запущенном и осложненном течении артрита может быть показано оперативное лечение: артротомия, резекция плечевого сустава, эндопротезирование (тотальная артропластика или гемиартропластика) и др.
Прогноз и профилактика
При отсутствии лечения артрит плечевого сустава сильно ограничивает или даже исключает подвижность плечевого пояса и верхней конечности, серьезно ухудшая качество жизни пациента. В тяжелых случаях единственным способом лечения остается дорогостоящая операция с длительным периодом реабилитации, поэтому крайне важно вовремя распознать первые признаки заболевания и начать терапию на ранней стадии. Профилактике артрита способствует исключение повышенных физических нагрузок и травм плечевого сустава, своевременная терапия сопутствующих заболеваний, рациональное питание.
2. Инфекционный артрит плечевого сустава после артроскопического шва вращательной манжеты (случай из клинической практики)/ Рязанцев М.С., Ильин Д.О., Магнитская Н.Е., Афанасьев А.П.// Травматология и ортопедия России. - 2019.
3. Боли в плечевом суставе – подходы к диагностике и лечению/ Шостак Н.А., Клименко А.А.// Клиницист. - 2013.
Читайте также:
