Рентгенограмма, КТ, МРТ при вывихе предплечья
Добавил пользователь Евгений Кузнецов Обновлено: 30.01.2026
Вывих – полное разъединение суставных концов костей вследствие повреждения сустава, при котором происходит смещение соприкасающихся в его полости суставных концов костей с выходом одной из них через разрыв капсулы из полости сустава в окружающие ткани [1].
Соотношение кодов МКБ-10 и МКБ-9:
| МКБ-10 | МКБ-9 | ||
| Код | Название | Код | Название |
| S53.0 | Вывих головки лучевой кости | 79.82 | |
Закрытое вправление вывиха предплечья
Другие виды локального иссечения или деструкции пораженного участка сустава локтя
Дата разработки/пересмотра протокола: 2016 год.
Пользователи протокола: врачи общей практики, врачи/фельдшеры скорой помощи, фельдшеры, хирурги, травматологи.
Категория пациентов: взрослые.
Шкала уровня доказательности:
| А | Высококачественный мета-анализ, систематический обзор РКИ или крупное РКИ с очень низкой вероятностью (++) систематической ошибки результаты которых могут быть распространены на соответствующую популяцию. |
| В | Высококачественный (++) систематический обзор когортных или исследований случай-контроль или высококачественное (++) когортное или исследований случай-контроль с очень низким риском систематической ошибки или РКИ с невысоким (+) риском систематической ошибки, результаты которых могут быть распространены на соответствующую популяцию. |
| С | Когортное или исследование случай-контроль или контролируемое исследование без рандомизации с невысоким риском систематической ошибки (+). Результаты которых могут быть распространены на соответствующую популяцию или РКИ с очень низким или невысоким риском систематической ошибки (++ или +), результаты которых не могут быть непосредственно распространены на соответствующую популяцию. |
| D | Описание серии случаев или неконтролируемое исследование или мнение экспертов. |

Автоматизация клиники: быстро и недорого!
- Подключено 300 клиник из 4 стран
- 800 RUB / 4500 KZT / 27 BYN - 1 рабочее место в месяц

Автоматизация клиники: быстро и недорого!
- Подключено 300 клиник из 4 стран
- 1 место - 800 RUB / 4500 KZT / 27 BYN в месяц
Мне интересно! Свяжитесь со мной
13-15 октября, Алматы, "Атакент"
600 брендов, более 150 компаний-участников из 20 стран.
Новинки рынка стоматологии. Цены от производителей
Классификация
Классификация [1,3,7]:
· полный (суставные поверхности костей перестают соприкасаться друг с другом);
· неполный (подвывих–между суставными поверхностями имеется частичное соприкосновение);
· задний;
· передний;
· внутренний;
· наружный;
· дивергирующий;
· вывих головки лучевой кости.
Диагностика (амбулатория)
ДИАГНОСТИКА НА АМБУЛАТОРНОМ УРОВНЕ
Диагностические критерии
Жалобы и анамнез
Жалобы:
· боли в области локтевого сустава;
· нарушение двигательной функции в локтевом суставе.
Анамнез:
· наличие травмы с непрямым механизмом (падение на вытянутую руку с чрезмерным разгибанием в локтевом суставе или падение на локоть с чрезмерным сгибанием предплечья).
Физикальное обследование:
При осмотре отмечается:
· вынужденное положение верхней конечности (предплечье разогнуто и часто поддерживается здоровой рукой);
· деформация локтевого сустава (при заднем вывихе отмечается выстояние локтевого отростка и западение мягких тканей над локтевым отростком; при переднем вывихе по задней поверхности локтевого сустава подкожно выступает дистальный конец плечевой кости; при боковых и дивергирующем вывихе отмечается расширение локтевого сустава);
· отек в области локтевого сустава;
· ограничение активных и пассивных движений в локтевом суставе;
· кровоизлияние в окружающие ткани в области локтевого сустава.
При пальпации отмечается:
· сильная боль в области локтевого сустава;
· болезненность, усиливающая при движениях в локтевом суставе;
· положителен симптом «пружинистого сопротивления»;
· деформация треугольника Гютера.
Лабораторные исследования: нет.
Инструментальные исследования:
· рентгенография локтевого сустава в двух проекциях: нарушение конгруэнтности суставных поверхностей.
Диагностический алгоритм

Диагностика (стационар)
ДИАГНОСТИКА НА СТАЦИОНАРНОМ УРОВНЕ
Диагностические критерии на стационарном уровне:
Жалобы и анамнез: см. амбулаторный уровень.
Физикальное обследование: см. амбулаторный уровень.
Инструментальные исследования: см. амбулаторный уровень.
Диагностический алгоритм: см. амбулаторный уровень.
Перечень основных диагностических мероприятий:
· определение времени свертываемости.
Перечень дополнительных диагностических мероприятий:
· общий анализ крови;
· кровь на микрореакцию;
· определение группы крови;
· определение резус-фактора;
· биохимический анализ крови (билирубин общий АЛаТ, АСаТ, мочевина, креатинин, белок общий);
· общий анализ мочи;
· рентгенография локтевого сустава в двух проекциях.
· ЭКГ.
Дифференциальный диагноз
| Диагноз | Обоснование для дифференциальной диагностики | Обследования | Критерии исключения диагноза |
| Вывих предплечья | боль; ограничение активных и пассивных движений в локтевом суставе. | рентгенография сустава в 2-х проекциях. | нарушение конгруэнтности суставных поверхностей; наличие симптома «пружинистого сопротивления»; деформация треугольника Гютера. |
| Перелом проксимального отдела лучевой, локтевой костей | боль; затруднения при движении в локтевом суставе. | рентген снимок в переднезадней и боковой проекциях; | треугольник Гютера не нарушается. при пальпации: крепитация костных отломков; наличие линии перелома в кости. |
| Перелом нижнего отдела плечевой кости |
Лечение
Препараты (действующие вещества), применяющиеся при лечении
| Ванкомицин (Vancomycin) |
| Кетопрофен (Ketoprofen) |
| Кеторолак (Ketorolac) |
| Линкомицин (Lincomycin) |
| Прокаин (Procaine) |
| Трамадол (Tramadol) |
| Цефазолин (Cefazolin) |
| Цефтазидим (Ceftazidime) |
| Цефуроксим (Cefuroxime) |
Лечение (амбулатория)
ЛЕЧЕНИЕ НА АМБУЛАТОРНОМ УРОВНЕ
Тактика лечения:
Вправление вывиха предплечья проводится под местной анестезией. После вправления вывиха обязательна рентгенография сустава в двух проекциях.
Немедикаментозное лечение:
· режим III;
· диета №15;
· ношение иммобилизационных средств (шины, мягкие косыночные повязки, гипсовая лонгета) на 2-3 недели;
· физиолечение (аппликации с электрофорезом, ЛФК).
Медикаментозное лечение:
Нестероидные противовоспалительные средства для купирования болевого синдрома.
· кетопрофен;
· кеторолак;
Опиоидный анальгетик
· трамадол
Показания для консультации специалистов:
· консультация специалистов при наличии сопутствующих заболеваний.
Профилактические мероприятия:
· соблюдение техники безопасности на производстве;
· соблюдение правил дорожного движения;
· соблюдение мер по профилактике уличного травматизма;
· создание безопасной среды на улице, в быту (гололедица, установление дорожных знаков и.т.д.);
· проведение информационно-разъяснительной работы среди населения о мерах профилактики травматизма;
· снизить вероятность вывиха на спортивных занятиях и соревнованиях, использование средств защиты (налокотники);
· проведение полноценной разминки перед физической нагрузкой.
Мониторинг состояния пациента:
· индивидуальная карта наблюдения пациента;
Индикаторы эффективности лечения:
· устранение боли;
· восстановление двигательной функции локтевого сустава;
· индекс Бартела – выше 85 баллов;
· MRC- scale – от 3 баллов;
· индекс Карновского – 80 баллов;
· гониометрия – менее 80% от нормы.
Лечение (скорая помощь)
ДИАГНОСТИКА И ЛЕЧЕНИЕ НА ЭТАПЕ СКОРОЙ НЕОТЛОЖНОЙ ПОМОЩИ
Диагностические мероприятия:
· сбор жалоб и анамнеза;
· физикальное обследование.
Медикаментозное лечение

Первая помощь при вывихе локтя:
NB! Если у пострадавшего отмечается посинение пальцев руки или нарушение их чувствительности, его необходимо срочно доставить в травматологическое отделение стационара.
Лечение (стационар)
ЛЕЧЕНИЕ НА СТАЦИОНАРНОМ УРОВНЕ
Тактика лечения: под местной или общей анестезией осуществляют вправление вывиха предплечья.
После вправления вывиха обязательна рентгенография сустава в двух проекциях. Возникновение рецидива вывиха при сгибании и разгибании, выраженная лучевая или локтевая нестабильность, а также отрыв связочного аппарата с костным фрагментом являются показанием к оперативному лечению. Показаниями к неотложной операции являются повреждения локтевой артерии, а также двигательные или чувствительные нарушения, открытый вывих или неудачи при вправлении вывиха.
Немедикаментозное лечение:
· режим II, III;
· диета №15;
· ношение иммобилизационных средств (шины, мягкие косыночные повязки, гипсовая лонгета) на 2-3 недели;
· физиолечение (аппликации с электрофорезом, ЛФК).
Медикаментозное лечение:
Ненаркотические и наркотические анальгетики применяются с целью обезболивания и предоперационной премедикации (таблица 1). НПВС в целях обезболивания назначается перорально, в целях послеоперационного обезболивания следует начинать за 30-60 мин до предполагаемого окончания операции внутривенно.
NB! Не показано внутримышечное введение НПВС для послеоперационного обезболивания из-за изменчивости концентраций препаратов в сыворотке крови и боли, вызванной инъекцией, исключением является кеторолак (возможно внутримышечное введение). НПВС противопоказаны пациентам с язвенными поражениями и кровотечениями из желудочно-кишечного тракта в анамнезе.
Антибактериальные средства используются для проведения периоперационной антибиотикопрофилактики при открытом оперативном вправлении вывиха и в качестве терапии при инфицировании послеоперационной раны (таблица 1). Изменение перечня антибиотиков должно проводиться с учетом микробиологического мониторинга в стационаре.
Перечень основных лекарственных средств
Местноанестезирующие препараты:
· прокаин;
Периоперационная антибиотикопрофилактика
· цефазолин;
или
· ванкомицин;
Антибиотикотерапия:
· цефуроксим;
или
· линкомицин;
или
· цефтазидим;
Опиоидные анальгетики:
· трамадол;
Нестероидные противовоспалительные средства
· кетопрофен;
· кеторолак.
Перечень дополнительных лекарственных средств: нет.
Таблица - 1. Лекарственные средства, применяемые при вывихе костей предплечья
| № | Препарат, формы выпуска | Дозирование | Длительность применения | Уровень доказательности |
| Местноанестезирующие препараты | ||||
| 1 | Прокаин | |||
Хирургическое лечение
Название оперативного вмешательства: артротомия и открытое вправление вывиха.
Цель оперативного вмешательства: открытое вправление вывиха и восстановление поврежденных связок и капсулы сустава.
Показания:
· рецидив вывиха предплечья;
· лучевая/локтевая нестабильность;
· повреждения локтевой артерии, двигательные/чувствительные нарушения конечности;
· открытый вывих предплечья;
· безуспешность одномоментного вправления вывиха.
Противопоказания:
· гнойничковые заболевания кожи в области локтевого сустава;
Другие виды лечения:
· ЛФК;
· физиолечение.
Показания для консультации специалистов:
· консультация специалистов при обострении сопутствующих заболеваний и при осложнениях угрожающей жизни.
Показания для перевода в отделение интенсивной терапии и реанимации:
наличие жизнеугрожающего состояния, требующее проведения интенсивной терапии и реанимации, нарушение дыхательной и сердечной деятельности.
Индикаторы эффективности лечения.
· устранение боли;
· восстановление двигательной функции локтевого сустава.
· индекс Бартела – выше 85 баллов;
· MRC- scale – от 3 баллов;
· индекс Карновского – 80 баллов;
· гониометрия – менее 80% от нормы.
Дальнейшее ведение: проводится комплекс реабилитационных мероприятий с целью восстановления функции конечности.
Мягкие косыночные повязки, брейс, ортез при вывихе локтя ношение иммобилизационных средств, жестко фиксирующих локтевой сустав.
NB! После снятия иммобилизационной повязки рекомендуется своевременная правильная разработка всех движений верхней конечностью, с целью восстановления полного объема физиологических движений.
МЕДИЦИНСКАЯ РЕАБИЛИТАЦИЯ: смотрите протокол по реабилитации по профилю «Травматология».
Госпитализация
Показания для плановой госпитализации:
· рецидивы вывиха предплечья;
· лучевая или локтевая нестабильность.
Показания для экстренной госпитализации:
· повреждения локтевой артерии;
· двигательные/чувствительные нарушения;
· открытый вывих предплечья;
· безуспешность одномоментного вправления вывиха
Информация
Источники и литература
Информация
| MRC Medical Research Council | – | медицинский научно-исследовательский совет |
| АЛТ | – | аланинаминотрансфераза |
| АСТ | – | аспартатаминотрансфераза |
| НПВС | – | нестероидные противовоспалительные средства |
| ОАК | – | общий анализ крови |
| ОАМ | – | общий анализ мочи |
| ЭКГ | – | электрокардиограмма |
Список разработчиков протокола с указанием квалификационных данных:
1) Баймагамбетов Шалгинбай Абыжанович – доктор медицинских наук, заместитель директора по клинической работе РГП на ПХВ «Научно-исследовательский институт травматологии и ортопедии» МЗСР РК.
2) Мурсалов Нагмет Капанович – кандидат медицинских наук, заведующий отделением травматологии №5 РГП на ПХВ «Научно-исследовательский институт травматологии и ортопедии» МЗСР РК.
3) Тажин Кайрат Болатович – кандидат медицинских наук, заведующий отделением ортопедии №2 РГП на ПХВ «Научно-исследовательский институт травматологии и ортопедии» МЗСР РК.
4) Ихамбаева Айнур Ныгымановна – врач клинический фармаколог АО «Национальный центр нейрохирургии».
Указание на отсутствие конфликта интересов: нет.
Список рецензентов: Дюсупов Ахметкали Зейнолдаевич – доктор медицинских наук, профессор, заведующий кафедрой медицина катастроф РГП на ПХВ «Государственный медицинский университет города Семей» МЗСР РК.
Указание условий пересмотра протокола: пересмотр протокола через 3 года после его опубликования и с даты его вступления в действие или при наличии новых методов с уровнем доказательности.
Рентгенограмма, КТ, МРТ при вывихе предплечья
а) Терминология:
1. Синоним:
• Локтеплечевой вывих
2. Определения:
• Локтевая кость вывихнута относительно плечевой кости:
о Вывих локтевой кости обычно ассоциирован с вывихом луче-головчатого сустава
о Изолированный вывих локтевой кости -необычная патология
• Изолированный вывих лучеголовчатого сустав не является истинным вывихом предплечья:
о Может встречаться у детей:
- «Нянькин локоть»: подвывих лучеголовчатого сустава
о Редко у взрослых:
- Часто ассоциирован с переломом проксимального конца локтевой кости (повреждение Монтеджи)
б) Визуализация:
1. Общая характеристика:
• Лучший диагностический критерий:
о Потеря соединения между локтевой костью и блоком:
- Часто сочетается с разрывом лучеголовчатого сустава
о В боковой проекции видна пустая полулунная вырезка локтевого отростка
• Морфология:
о Задний, передний, заднебоковой или заднемедиальный вывих локтевой кости относительно плечевой кости:
- 90% задних или заднебоковых вывихов
- Передний или медиальный вывих у - Расходящийся вывих (лучевая и локтевая кости расходятся в противоположных направлениях) встречается редко
- ± вдавленные или отрывные переломы
- ± разрывы связок
о Вывих головки лучевой кости наиболее часто встречается у детей:
- Изолированный вывих лучеголовчатого сустава считается необычным явлением
- Обычно ассоциирован с вывихом предплечья или переломом локтевой кости
(Слева) На боковой рентгенограмме определяется задний вывих предплечья, в том числе локтевого отростка и головки лучевой кости. Большой отломок головки лучевой кости расположен кпереди от головки мыщелка плечевой кости.
(Справа) На передне-задней рентгенограмме определяется латеральное направление типичного вывиха. Видна вывихнутая головка лучевой кости с большим дефектом, вывихнутая локтевая костью и отломок перелома головки лучевой кости. Примерно 90% вывихов предплечья являются заднебоковыми по направлению. (Слева) На боковой рентгенограмме у подростка 11 лет определяется задний вывих локтевого и лучеголовчатого суставов. Отломки находятся в суставе.
(Справа) На передне-задней рентгенограмме у этого же пациента можно видеть медиальное смещение лучевой и локтевой костей. Примерно 90% вывихов локтевого сустава являются заднебоковыми. Видимые в боковой проекции отломки исходят из головки мыщелка плечевой кости и головки лучевой кости. (Слева) В передне-задней проекции локтевого сустава после попытки закрытого вправления заднебокового вывиха предплечья видны отломки головки лучевой кости и венечного отростка.
(Справа) На боковой проекции у этого же пациента определяется задний вывих лучеголовчатого сустава с множеством костным отломков в суставе и дефект в головке лучевой кости. Локтевой сустав неконгруэнтный, что указывает на неполное вправление.
2. Рентгенография при вывихе предплечья:
• Полная потеря сочленения между блоком и локтевой костью:
о Обычно смещение локтевой кости кзади
• Сопутствующий вывих головки лучевой кости
• Сопутствующие переломы
3. КТ при вывихе предплечья:
• После вправления:
о Ищут ущемленные костные отломки и донорские участки
о Маленькие костные отломки лучше видны на КТ, чем на МРТ
4. МРТ при вывихе предплечья:
• Информативна для характеристики сопутствующего повреждения связок:
о Латеральная локтевая коллатеральная связка
о Лучевая коллатеральная связка
о Локтевая коллатеральная связка
• Помогает выявить костно-хрящевые дефекты:
о Чаще встречаются в случае отсроченного вправления
5. Рекомендации по визуализации:
• Лучший метод визуализации:
о Рентгенография: передне-задняя, боковая и косая
о КТ при ущемленных отломках и едва заметных переломах
о МРТ при повреждениях связок, нестабильности
• Рекомендация по протоколу:
о Для оценки смещенных или зажатых после вправления отломков выполняют повторную рентгенографию
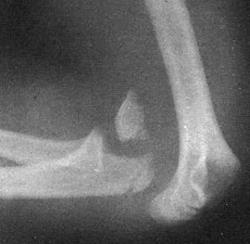
(Слева) На сагиттальной КТ с реформатированием у этого же пациента определяется оскольчатый перелом головки лучевой кости и хронический задний подвывих лучеголовчатого сустава.
(Справа) На сагиттальном изображении с реформатированием более медиально у этого же пациента определяется хронический задний подвывих локтевого сустава и перелом венечного отростка со смещением. Вывих предплечья, сочетающийся с переломами головки лучевой кости и венечного отростка называется «несчастная триада» в связи с плохим прогнозом. (Слева) На передне-задней рентгенограмме у спортсмена 14 лет после травмы локтевого сустава определяется заднебоковой вывих локтевого и лучеголовчатого суставов. По медиальному краю сустава имеется отломок без заметного донорского участка.
(Справа) На боковой рентгенограмме у этого же пациента более четко определяется вывих и виден ущемленный отломок. Хорошо определяемые края отломка и возраст пациента являются признаками возможного отрыва медиального надмыщелка плечевой кости. (Слева) На фронтальной КТ с реформатированием у этого же пациента визуализируется ущемленный отломок и донорский участок медиального надмыщелка. Предполагается, что край надмыщелка покрыт гладким кортикальным слоем; отсутствие прилежащего к нему ожидаемого центра оссификации надмыщелка следует рассматривать как основание для постановки этого диагноза.
(Справа) На сагиттальной КТ с реформатированием у этого же пациента определяется выраженный кортикальный слой ущемленных отломков медиального надмыщелка, что помогает подтвердить их происхождение.
в) Дифференциальная диагностика вывиха предплечья:
1. Дети:
• Полное отделение дистального эпифиза плечевой кости:
о Сохраняется нормальное взаимоотношение между локтевой костью и эпифизом плечевой кости
о Медиальное смещение костей предплечья относительно плечевой кости
• Врожденный вывих головки лучевой кости:
о Дисплазия и смещение головки лучевой кости
• Хронический вывих головки лучевой кости:
о Если встречается в детском возрасте, то головка лучевой кости будет маленькой
2. Взрослые:
• Перелом/вывих Монтеджи:
о Вывих лучеголовчатого сустава + перелом проксимальной трети диафиза локтевой кости с угловым отклонением
г) Патология:
1. Общая характеристика:
• Этиология:
о Падение на вытянутую руку с локтевым суставом в положении переразгибания
о Вальгусный несущий угол локтевого сустава приводит к:
- Осевой латеральной компрессии
- Медиальному растяжению
• Сопутствующие патологические изменения:
о 20-56% вывихов предплечья ассоциированы с переломами:
- Медиальный мыщелок плечевой кости (наиболее частый)
Может быть отрыв медиального надмыщелка, особенно, у детей
Ущемленный отломок может помешать вправлению
- Головка и шейка лучевой кости (вторая по частоте):
10% случаев
«Несчастная триада»: перелом венечного отростка + перелом головки лучевой кости + задний вывих
- Венечный отросток:
Вывих является наиболее частой причиной перелома венечного отростка
Венечный отросток чаще всего является ущемленным отломком у взрослых
- Латеральный мыщелок плечевой кости
- Локтевой отросток
- Костно-хрящевое повреждение
- Перелом дистального конца лучевой кости (Коллиса и др.)
о Разрыв связок:
- Разрыв латеральной локтевой коллатеральной связки:
Наиболее частый
Приводит к заднебоковой нестабильности локтевого сустава
- Разрыв локтевой коллатеральной связки
- Разрыв лучевой коллатеральной связки
о Нервно-сосудистое повреждение:
- Ущемление срединного нерва:
Наиболее часто у детей
Парез срединного нерва
Обычно сочетается с переломом медиального надмыщелка
Ущемление срединного нерва в локтевом суставе после закрытого вправления
Вызывает рентгенологическое помутнение медиального края дистального метафиза плечевой кости
- Повреждение плечевой артерии:
Встречается редко
Более вероятно при открытой травме
Сочетается с отрывом медиального надмыщелка
2. Стадирование, градации и классификация вывиха предплечья:
• Стадии Одрисколла заднебоковой нестабильности локтевого сустава:
о I стадия:
- Разрыв латеральной локтевой коллатеральной связки
- Заднелатеральный подвывих локтевого сустава
о II стадия:
- Дальнейшее повреждение комплекса латеральной коллатеральной связки
- Венечный отросток упирается в блок
о III стадия:
- Полный задний вывих + разрыв локтевой коллатеральной связки
(Слева) На боковой рентгенограмме определяется слабовыраженная неконгруэнтность локтевого сустава. Лучевая кость и головка мыщелка плечевой кости расположены нормально Перелом не виден.
(Справа) На передне-задней рентгенограмме у этого же пациента определяется боковой вывих локтевого и лучеголовчатого суставов. Прямой боковой вывих предплечья является очень необычным явлением. Костные отломки, вероятно, отходят от латерального мыщелка. (Слева) На рисунке показан задний вывих локтевого отростка и лучевой кош с разрывом комплекса локтевой коллатеральной связки. Поперечный пучок остается интактным.
(Справа) На фронтальной МРТ Т2ВИ FS после вывиха предплечья определяется разрыв переднего пучка локтевой коллатеральной связки с отрывом выступающего бугорка и разрывом кольцевой и лучевой коллатеральной связки и латеральной локтевой коллатеральной связки. (Слева) На передне-задней рентгенограмме ребенка определяется полное смещение дистального эпифиза плечевой кости от дистальной трети диафиза плечевой кости. Чтобы отличить его от вывиха плеча, следует обратить внимание на сохранение нормального расположения луче-головчатого и локтеблокового суставов.
(Справа) На боковой рентгенограмме шестилетнего ребенка без травмы в анамнезе, который жаловался на ограниченную пронацию локтевого сустава, определяется врожденный вывих головки лучевой кош Это находка двусторонняя.
д) Клинические особенности:
1. Проявления:
• Типичные признаки/симптомы:
о Боль, отек и деформация локтевого сустава:
- Задний вывих: сгибание локтевого сустава, чрезмерное выступание локтевого отростка
- Передний вывих: локтевой сустав в положении полного разгибания; предплечье в положении супинации
2. Демография:
• Возраст:
о Активные молодые пациенты; средний возраст: 30 лет
• Пол:
о М:Ж = 2-2,5:1
• Эпидемиология:
о Частота: 6 случаев на 100000 человек
о 10-50% случаев связаны со спортом
о Второй по частоте вывих у взрослых
о Наиболее частый вывих у детей
3. Течение и прогноз:
• При неосложненном течении у 60% возникают поздние симптомы боли
• Повторный вывих:
о Вывих предплечья в отличие от вывиха плеча не предрасполагает к последующим вывихам
о Ассоциирован с плохим исходом
4. Лечение вывиха предплечья:
• Требуется раннее вправление для снижения риска:
о Повреждения нервно-сосудистого пучка
о Костно-хрящевого повреждения
• Консервативное:
о Вправление и фиксация в положении пронации
о Защищенная мобилизация
• Хирургическое:
о Пластика разрывов связок и сухожилий
о Сохранение головки лучевой кости по возможности:
- При сильном раздроблении головку удаляют
о Иссечение интерполированных мягких тканей или костнохрящевых отломков
• Осложнения:
о Ранние:
- Неудачное вправление вследствие ущемленных отломков:
Дети: медиальный надмыщелок плечевой кости
о Поздние:
- Заднелатеральная нестабильность:
Разрыв латеральной локтевой коллатеральной связки
Сочетание с переломом венечного отростка
- Гетеротопная оссификация: 3-5%:
Обычно локализуется кпереди
Может появиться в течение 3-4 недель
Значительно чаще при сопутствующем повреждении головки лучевой кости
- Сгибательная контрактура
- Нейропраксия: до 20%:
Срединный нерв
Локтевой нерв
е) Диагностическая памятка:
1. Следует учесть:
• Сопутствующие переломы как до, так и после вправления:
о Тщательно оценивают величину и локализацию переломов венечного отростка
о КТ может быть информативна при определении локализации отломков, если вправление неудовлетворительное
• Нестабильность:
о МРТ в амбулаторных условиях может выявить разрыв связок и сухожилий
• Повреждение нерва и сосудов
2. Советы по интерпретации изображений:
• Ищут внутрисуставные отломки, которые могут помешать полному вправлению
• Рентгенограммы после вправления: обычно в гипсе и в положении сгибания:
о Передне - задняя проекция полезна только при грубых изменениях
о Следует тщательно изучить латеральную проекцию через гипс, чтобы оценить расширение как локтеплечевой, так и лучеголовчатой щели, которое может быть единственным симптомом неполного вправления/ущемленных отломков
3. Рекомендации по отчетности:
• Описывают направление вывиха ± дезартикуляция лучеголовчатого сустава
ж) Список использованной литературы:
1. Little KJ: Elbow fractures and dislocations. Orthop Clin North Am. 45(3):327-40, 2014
2. Wang ML et al.: Management of radial head fracture with elbow dislocation. J Hand Surg Am. 40(4):813-6, 2014
3. Dodds SO etal: Terrible triad of the elbow. Orthop Clin North Am. 44(1):47-58, 2013
4. Englert C et al: Elbow dislocations: a review ranging from soft tissue injuries to complex elbow fracture dislocations. Adv Orthop. 2013:951397, 2013
5. Wang X et al: Anteromedial coronoid facet fractures. Eur J Orthop Surg Traumatol. 23(3):251-5, 2013
6. de Haan J et al: Simple elbow dislocations: a systematic review of the literature. Arch Orthop Trauma Surg. 130(2):241-9, 2010
7. Parsons BO et al: Acute elbow dislocations in athletes. Clin Sports Med. 29(4):599-609, 2010
8. Seijas R et al: Terrible triad of the elbow. J Orthop Surg (Hong Kong). 17(3):335-9, 2009
МРТ или КТ плечевого сустава
МРТ и КТ плечевого сустава являются двумя основными высокоинформативными способами диагностировать патологии в области плеча. У многих пациентов возникает вопрос, в чем же отличия между МРТ и КТ (МСКТ) плеча
МРТ и КТ плечевого сустава являются двумя основными высокоинформативными способами диагностировать патологии в области плеча. У многих пациентов возникает вопрос, в чем же отличия между МРТ и КТ (МСКТ) плеча, и что лучше: сделать МРТ плечевого сустава или КТ. Давайте разбираться вместе.
Методы диагностики плечевого сустава
Для диагностики повреждений плечевого сустава используют различные методы визуализации, включая:
- рентгенологические исследование;
- компьютерную томографию (МСКТ);
- ультразвуковое исследование (УЗИ);
- магнитно-резонансную томографию (МРТ).
У каждого способа обследования имеются свои преимущества и недостатки. На сегодняшний день ведущую роль в визуализации вне- и внутрисуставных структур плечевого сустава играет МРТ, которая позволяет выявлять мягкотканные и костные повреждения в суставах. Она может осуществляться по двум базовым протоколам - бесконтрастная томография и МРТ плечевого сустава с применением парамагнитных контрастных веществ (она же МР артрография). Лидирующую роль в оценке состояния костей плеча играет спиральная компьютерная томография.

Сведение об исследовании
- Продолжительность: 30-40 минут
- Требование к подготовке: Нет
- Назначение врача: Не требуется
- Применение контраста: По назначению врача
- Противопоказания и ограничения: Есть
- Рекомендуемая мощность аппарата: Любая
- Время выдачи результатов: 30-40 минут
- Что входит в стоимость: Заключение + запись снимков

- Продолжительность: 3-7 минут
- Требование к подготовке: Нет
- Назначение врача: Не требуется
- Применение контраста: По назначению врача
- Противопоказания и ограничения: Есть
- Минимальная мощность аппарата: Любая
- Время выдачи результатов: 30-40 минут
- Что входит в стоимость: Заключение + запись снимков
КТ и МРТ плечевого сустава - в чем разница
В принципе действия компьютерной и магнитной томографии существует серьезная разница. При проведении КТ (МСКТ) плечевого сустав рентгеновские лучи воздействуют на исследуемую область человеческого организма. В ходе магнитно-резонансной томографии никакой дозы облучения нет. Изображения получаются от эффекта ядерного магнитно резонанса - то есть, колебания атомов водорода в клетках ткани при воздействии на них сильным магнитным полем и радиочастотными импульсами.
Когда МРТ плечевого сустава лучше, чем КТ плеча
В медицинских центрах СПб обследование плечевого сустава с помощью магнитного резонанса является профилирующим диагностическим исследованием патологий суставных тканей. Именно МРТ плечевого сустава дает возможность получить данные о состоянии суставов, мягких тканей и хрящей. Томография плеча хорошо покажет:
- причины непонятной боли в плече, хруста в плече;
- последствия травмы в области плечевого сустава, перелома;
- место разрыва связок, периодических вывихов;
- причины припухлости в области плеча;
- ущемление нервов, сухожилий.
МРТ также позволяет отличить здоровые ткани от поврежденных при предположении на опухоль или раковые метастазы, помогает оценить картину травм и их месторасположение.
В отличие от КТ плеча, МРТ может многократно применяться при исследовании состояния здоровья детей и беременных женщин. По времени для проведения МРТ плечевого сустава может понадобиться от десяти до двадцати минут нахождения пациента в неподвижном состоянии в условиях замкнутого пространства камеры МРТ. КТ плечевого сустава занимает всего до десяти секунд, что по времени проведения исследования предпочтительно для людей, страдающих клаустрофобией или боязнью замкнутых пространств.
Магнитно-резонансное исследование имеет ряд абсолютных противопоказаний, к которым в настоящее время относятся: наличие у человека кардиостимулятора, электронных или ферромагнитных имплантатов среднего уха, больших металлических имплантатов и ферромагнитные осколков, а также наличие больших кровоостанавливающих клипс сосудов головного мозга.
Когда КТ плечевого сустава лучше, чем МРТ плеча
Компьютерное рентгеновское исследование плеча больше рекомендовано при проведении диагностики костной составляющей человеческого организма, а именно: травматических повреждений костей плеча человека; неправильно сросшиеся кости, наличие костных шпор; поражений костей опухолевой природы как первичных, так и вторичных; атеросклеротических изменений сосудов.
Противопоказаниями для проведения МСКТ могут являться беременность и кормление ребенка грудью. Также метод компьютерной томографии не рекомендован маленьким детям без серьезных медицинских показаний из-за лучевой нагрузки.
Вывих предплечья
Вывих предплечья - это смещение суставных поверхностей локтевой, лучевой и плечевой кости относительно друг друга. Повреждение сопровождается резкой болью, деформацией и значительным отеком сустава. Движения невозможны. Диагноз устанавливается на основании данных осмотра и результатов рентгенологического исследования. При необходимости уточнения характера травмы дополнительно выполняется МРТ или КТ. Лечение вывихов предплечья осуществляется путем их вправления и последующей фиксации сустава гипсовой повязкой в течение 2-3 недель. После снятия гипса проводится восстановительная терапия : физиолечение, массаж, ЛФК.
МКБ-10
Общие сведения
Вывих предплечья занимает второе место по частоте и составляет от 18 до 27% от общего числа вывихов. У детей вывих предплечья встречается чаще, нередко сочетается с переломом костей плеча и предплечья. Вывих предплечья может быть неполным (суставные поверхности частично соприкасаются) или полным (соприкосновение суставных поверхностей отсутствует). В абсолютном большинстве случаев (более 90%) в результате травмы вывихиваются обе кости предплечья. Изолированные вывихи одной из двух костей предплечья наблюдаются редко.
Патанатомия
Локтевой сустав образован суставными поверхностями плечевой, лучевой и локтевой костей и окружен тонкой суставной капсулой, которая по бокам укреплена двумя прочными связками.
В травматологии и ортопедии выделяют следующие виды вывихов обеих костей предплечья:
- задние;
- передние;
- кнутри;
- кнаружи;
- расходящиеся вывихи.
Кроме того, могут наблюдаться изолированные вывихи лучевой кости (кзади, кпереди, кнаружи) и изолированные вывихи локтевой кости.
Виды вывиха предплечья
Задний вывих
Возникает в результате непрямой травмы (падения на переразогнутую в локтевом суставе вытянутую руку). Капсула локтевого сустава при этом разрывается, нижняя часть плеча смещается вперед. Задний вывих предплечья может сочетаться с переломом мыщелков плечевой кости у взрослых или с переломом надмыщелков плеча у детей.
Пациент с задним вывихом предплечья жалуется на резкую боль в области повреждения. Рука находится в вынужденном положении легкого сгибания. Сустав деформирован, увеличен в объеме, активные движения в локтевом суставе невозможны, при попытке пассивных движений определяется характерное пружинящее сопротивление. При осмотре спереди предплечье выглядит укороченным. Локтевой отросток смещен кверху и кзади. В области локтевого сгиба пальпируется нижняя часть плечевой кости.
Передний вывих

Встречается редко. Причиной переднего вывиха предплечья становится прямой удар в область локтевого сустава при согнутой в суставе руке. Такие вывихи могут сочетаться с переломом локтевого отростка. Травма сопровождается резкой болью. При осмотре выявляется удлинение предплечья на стороне поражения, западение в области локтевого отростка. Активные движения в локтевом суставе невозможны, при попытке пассивных возникает пружинящее сопротивление. Функция сустава ограничена меньше, чем при задних вывихах предплечья.
Боковые вывихи
Наблюдаются редко. Могут сочетаться с повреждением срединного или локтевого нерва с выпадением чувствительности в зоне иннервации. Как и другие вывихи, сопровождаются резкой болезненностью, невозможностью активных движений в суставе и пружинящим сопротивлением при попытке пассивных движений.
Наружный вывих предплечья возникает в результате прямого воздействия на локтевой сустав изнутри кнаружи. Редко бывает полным. Сопровождается деформацией, отеком, смещением оси сустава кнаружи. Вывих предплечья кнутри также возникает в результате прямого удара, только в этом случае удар направлен снаружи внутрь. Пациент предъявляет жалобы на резкую боль. Локтевой сустав отечен, деформирован, ось сустава смещена кнутри.
Лечение вывиха предплечья
На этапе оказания первой помощи производится фиксация поврежденной конечности. Необходимая длина шины – от кончиков пальцев до верхней трети плеча пострадавшего. Больному вводят анальгетики и транспортируют в отделение травматологии.
Вправление вывихов предплечья производится травматологом-ортопедом под общим наркозом или местной анестезией. Выбор метода вправления вывиха зависит от вида вывиха предплечья. После вправления передних и задних вывихов гипсовая повязка накладывается на 1-2 недели, после вправления боковых вывихов – на срок до 3 недель. По окончании этого срока назначают физиопроцедуры (СМТ, парафинолечение, электрофорез) и лечебную гимнастику.
Изолированные вывихи и подвывихи у детей
Такие вывихи встречаются достаточно редко. Исключение – подвывих головки лучевой кости у детей в возрасте до 5 лет. Преобладающий возраст пострадавших – от 1 до 3 лет. Повреждение возникает в результате резкого дерганья, потягивания за руку или попытки удержать ребенка за руку во время падения. Ребенок жалуется на умеренную боль в области сустава. Рука вытянута вдоль туловища, сгибание в суставе резко болезненно. Определяется болезненность при пальпации локтевого сустава, лучезапястного сустава и предплечья.
Рентгенологические исследования при данной травме малоинформативны, поэтому проводятся только в сомнительных случаях. Для вправления головки врач плавно тянет за предплечье, постепенно сгибает руку в локтевом суставе и поворачивает ладонью вниз, одновременно надавливая на головку лучевой кости. В момент вправления можно услышать характерный негромкий щелчок. Вправление подвывиха головки лучевой кости у детей производится легко, мягко и практически безболезненно. Анестезия места повреждения не требуется, поскольку доставляет ребенку больше неприятных ощущений, чем само вправление.
Вывихи на МРТ
Вывихи являются последствиями травм и представляют собой смещение суставных поверхностей костей относительно друг друга. В большинстве случаев смещение происходит из-за механического воздействия на сустав. Такие болезни, как артрит и туберкулез, вызывают повреждения сустава, что может приводить к увеличению вероятности вывиха.
Повреждения костей успешно диагностируются при помощи КТ и рентгенографии, но при вывихах также травмируются связки в суставах, которые с высокой точностью показывает МРТ. Рассмотрим наиболее распространенные вывихи, при которых может быть назначена магнитно-резонансная томография: МРТ плечевого, локтевого, коленного и голеностопного суставов.
Вывих плеча на МРТ
Вывих плеча – одна из самых часто случающихся травм верхних конечностей. Он может быть первичным (свежим) и привычным. Магнитно-резонансная томография позволяет выявить повреждения в суставе и его связочном аппарате при обоих видах вывиха.
Первичный вывих плеча на МРТ

Первичный вывих плеча – это травма, возникшая, как правило, при механическом воздействии на сустав, в том числе, полученная в результате интенсивных физических нагрузок. Первичный вывих часто называют свежим. МРТ плечевого сустава визуализирует структуру сустава, соединяющего плечевую кость с костями, образующими пояс верхней конечности (ключица, лопатка), а также окружающих его тканей. На снимках, полученных в ходе МРТ, видны связки, мышцы, сухожилия, сосуды и нервы.
Привычный вывих плеча на МРТ
Привычный вывих плеча – одно из проявлений патологических процессов, происходящих в связочном аппарате сустава. Привычный вывих способна вызвать даже минимальная травма или повседневные действия. В таком случае обследование может быть проведено для определения степени разрыва капсулы сустава, связок и мышц или уточнения результатов рентгенографии и КТ, которые диагностируют повреждения костей наряду с МРТ. Признаками привычного вывиха плеча являются: травма сухожилий и подлопаточной мышцы, разрыв сегмента суставной губы и синовит. При вывихе МРТ необходима также для диагностики сдавливания сосудов и нервов плеча.
Вывих локтевого сустава на МРТ

Вывих локтевого сустава по частоте распространенности и выявлений уступает только повреждению плеча или пальцев. Вывих локтевого сустава, как правило, становится следствием падения пациента на вытянутую руку или приобретается в результате автомобильной аварии. Некоторые заболевания (артрит и артроз), вызывающие повреждения суставов, также могут увеличить вероятность вывиха локтевого сустава. В случае если пациент получил внутрисуставный перелом, при котором происходит повреждение связочного аппарата, желательно пройти магнитно-резонансное исследование. МРТ локтевого сустава даст представление об изменениях в суставе, вызванных переломом, в том числе о состоянии хряща, связок, окружающих тканей, полную информацию о которых нельзя получить при КТ-диагностике.
При травмах локтевого сустава могут быть повреждены его сосуды, мышцы, нервы, капсулы, связки, сухожилия, синовиальные сумки и другие важные структуры. Перечисленные повреждения могут повлечь за собой ограничение движения пациента и требуют вправления кости и безотлагательного накладывания гипса/фиксирующей повязки.
Вывих коленного сустава на МРТ

Вывих коленного сустава – болезненная травма нижней конечности, которая сопровождается повреждением капсульно-связочного аппрата. Вывих коленного сустава также может быть свежим (впервые полученный) или привычным (периодически повторяющийся, часто сочетающийся с полным разрывом передней крестообразной связки).
МРТ коленного сустава проводится в трех взаимно перпендикулярных плоскостях, что делает возможным выявить любые изменения в коленном суставе, например, повреждения внутрисуставного хряща, капсульно-связочного аппарата, менисков, ушиба костного мозга и околосуставных мягких тканей.
Вывих голеностопного сустава на МРТ
На голеностопный сустав приходится самая большая нагрузка, что делает его наиболее уязвимым по сравнению с другими суставами. Вывих голеностопного сустава – это нарушение костных взаимоотношений в суставе, сопровождающееся полным либо частичным повреждением капсульно-связочного аппарата.
При первичном вывихе суставов травматолог обычно назначает пациенту рентгенографию, которая не выявляет повреждений капсульно-связочного аппарата, контузионных ушибов костного мозга (микропереломов), а иногда и макропереломов, поэтому желательно проведение магнитно-резонансной томографии для детальной оценки пострадавшего сустава. Если у пациента имеется привычный вывих в суставе, то проведение МРТ следует считать обязательной процедурой, способной указать на его причину.
Читайте также:
- Рентгенограмма, КТ, сцинтиграмма остеоид-остеомы позвоночника
- Супраокклюзия и инфраокклюзия. Мезиальное и дистальное положение зуба.
- Лабораторное обследование в психиатрии. Показатели нормы анализов
- Контрастирование внутривисочного сегмента лицевого нерва - лучевая диагностика
- Влагалище с точки зрения хирургии.
