Контрастирование внутривисочного сегмента лицевого нерва - лучевая диагностика
Добавил пользователь Владимир З. Обновлено: 30.01.2026
Лицевой нерв отвечает за функционирование мимических мышц лица и обеспечивает их взаимодействие с центральной нервной системой. Воспаления или другие патологические процессы могут влиять на работу лицевого нерва. Нарушения могут проявляться визуальными дефектами (например, ассиметричностью лица) и болевыми ощущениями. Чтобы правильно поставить диагноз и приступить к лечению, необходимо провести диагностику. Обследование лицевого нерва обычно проводится при помощи магнитно-резонансной томографии.
Преимущества и недостатки
Магнитно-резонансная томография — уникальная процедура, при помощи которой можно получить серию снимков в различных проекциях, в том числе в срезе. Это позволяет специалисту визуализировать конкретную область и выявить патологические процессы. Благодаря высокому качеству снимков можно диагностировать даже минимальные признаки патологических процессов. Для многих пациентов существенными плюсами являются такие факторы:
- Пациентам не требуется ничего делать – но нужно сохранять абсолютно неподвижное состояние.
- Во время магнитно-резонансной томографии нет боли или дискомфорта.
- Перед МРТ не нужна сложная подготовка, достаточно ознакомиться с некоторыми рекомендациями врача.
- Делать магнитно-резонансную томографию не вредно для здоровья, поскольку лучевая нагрузка при проведении процедуры отсутствует.
- Вы сможете получить снимки и заключение врача буквально через 1,5 часа после диагностики.
- Из недостатков можно отметить только тот факт, что МРТ обычно имеет более высокую стоимость, чем другие неинвазивные методы диагностики.
Показания к проведению МРТ
Врач может назначить проведение магнитно-резонансной томографии при подозрении на воспаление лицевого нерва или другие патологические процессы. Диагностика назначается при наличии следующих жалоб со стороны пациента:
- Болевые ощущения в заушной зоне;
- Заметная ассиметрия лица;
- Онемение части лица;
- Слезотечение;
- Повышенное слюноотделение;
- Опущение века или невозможность полностью закрыть глаз;
- Разглаживание морщин в в области носогубного треугольника и лба;
- Нарушение чувства вкуса;
- Сухость во рту.
Противопоказания
Процедура диагностики при помощи магнитных волн имеет некоторые ограничения:
- Нельзя проходить обследование людям с кардиостимуляторами, установленными штифтами, спицами, имплантами;
- Врачи не рекомендуют делать МРТ беременным, т.к. исследований влияния магнитных волн на плод и течение беременности не проводилось;
- Патологические состояния, при которых человек не может находиться в условиях замкнутого пространства или не способен сохранять неподвижное состояние.
Магнитно-резонансная томография с контрастированием не проводится при лактации, беременности, почечной недостаточности, аллергической реакции на используемые препараты.
Подготовка
Магнитно-резонансная томография лицевого нерва может осуществляться без предварительной подготовки. Для повышения информативности процедуры необходимо ознакомиться с некоторыми рекомендациями от врача:
- Контрастное МРТ осуществляется исключительно натощак;
- Если ранее вы проходили диагностику лицевого нерва, постарайтесь найти и принести с собой результаты или снимки;
- Во время диагностики на пациенте не должно быть ничего металлического, поэтому лучше заранее снять украшения и другие аксессуары, содержащие металл;
- Во время проведения процедуры постарайтесь максимально расслабиться. При необходимости перед обследованием можно принять седативные растительные препараты. Особенно это актуально для тех, кого пугает необходимость находиться в замкнутом пространстве;
- При записи уточните, нужно ли брать с собой домашнюю одежду, или вам выдадут одноразовый халат.
Как проводят МРТ лицевого нерва
- При входе в кабинет нужно отключить мобильный телефон и выложить из карманов монеты, банковские карты и металлические изделия.
- Если на вашей одежде есть металлическая фурнитура, необходимо будет переодеться.
- Если это требуется, пациенту в вену вводят контрастный препарат.
- Затем автоматический выдвижной стол заезжает внутрь томографа, двери закрываются, обследование начинается.
- Длительность процедуры обычно не превышает 40 минут. Как только исследование закончится, выдвижной стол покинет пределы томографа, после чего можно будет переодеваться и ждать результатов.
Особенности МРТ
Непосредственно перед началом обследования специалист должен провести небольшой инструктаж. В первую очередь нужно сообщить о том, что внутри томографа будет слышен громкий и ритмичный шум. Не беспокойтесь, внутри томографа хорошее освещение, там есть вентиляция, громкая связь и кнопка тревоги. Кнопку нажимают в том случае, если стало плохо, пациент ощущает сильный страх, тревожность, головокружение или тошноту. Случается это довольно редко, большинство людей хорошо переносят процедуру.
МРТ с использованием контрастных веществ
Контрастные вещества представляют собой инъекции для внутривенного введения. Они хорошо переносятся организмом и не накапливаются в тканях. Буквально через 24 часа вещество полностью выйдет естественным путем.
МРТ с дополнительным контрастным усилением актуально в том случае, если есть подозрение на наличие новообразований или сосудистых патологий, которые могут сдавливать лицевые нервы, нарушая их работу. Введение препарата осуществляется непосредственно перед началом магнитно-резонансной томографии.
Интерпретация результатов
После того как снимки сделаны, врачу предстоит их расшифровать. Заключение будет выдано буквально через 1-1.5 часа в печатном или цифровом виде.
В ходе диагностики часто удаётся диагностировать:
- Неврит лицевого нерва;
- Наличие новообразований;
- Травмы лицевого нерва.
Неврит – это воспаление лицевого нерва. Это распространенная патология, которая может возникнуть из-за сильного переохлаждения, инфекционного или воспалительного заболевания. Часто неврит провоцируют сильные интоксикации организма и рост новообразований. При выявлении патологических процессов дополнительно может быть назначено МРТ головного мозга.
Если вас беспокоят тревожные симптомы — не затягивайте с походом к доктору. Ранняя диагностика повышает шансы вернуть прежний вид лицу и забыть о проблемах. Будьте здоровы!
Контрастирование внутривисочного сегмента лицевого нерва - лучевая диагностика
КТ, МРТ при контрастировании внутривисочного сегмента лицевого нерва
а) Определение:
• Нормальное контрастное усиление (КУ) на MPT Т1 С+ по ходу внутривисочного сегмента лицевого нерва (ЧН VII) без патологических изменений костей
б) Визуализация:
• Лучший диагностический критерий:
о МРТ Т1 С+: КУ коленчатого ганглия, барабанного и сосцевидного сегментов без изменений костного канала ЧН VII
• Локализация:
о Коленчатый ганглий, барабанный, сосцевидный сегменты

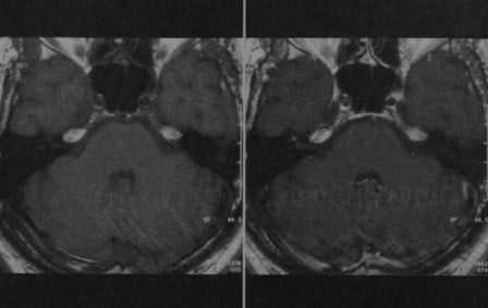
(Слева) При аксиальной МРТ Т1 ВИ С+ FS на уровне внутренних слуховых каналов определяется нормальное контрастное усиление коленчатого ганглия и переднего барабанного сегмента ЧН VII слева. Справа определяется нормальное контрастное усиление переднего барабанного сегмента.
(Справа) При аксиальной MPT Т1 ВИ С+ FS у пациента с правосторонней вестибулярной шванномой определяется повышенное контрастирование лабиринтного, переднего тимпанического сегмента ЧН VII, и коленчатого ганглия.
1. КТ при контрастировании внутривисочного сегмента лицевого нерва:
• КТ в костном окне:
о Нормальный костный канал ЧН VII в височной кости
2. МРТ при контрастировании внутривисочного сегмента лицевого нерва:
• Т1 ВИ:
о ЧН VII в норме обладает гиперинтенсивным сигналом на Т1 С+ по сравнению с окружающими костными структурами
• Т1 ВИ С+:
о Нормальное КУ частей ЧН VII (1,5Т спин-эхо СЕТ1):
- Сосцевидный > коленчатый ганглий >барабанный сегмент
- Обычно симметричное с обеих сторон
• МРТ: напряженность поля и последовательности:
о МРТ 1,5 Т: КУ каналикулярного и лабиринтного сегментов ЧН VII не определяется
о МРТ 3,0 Т: КУ ЧН VII может в норме определяться в любом сегменте, включая каналикулярный (15%) и лабиринтный (5%)
- Сосцевидный (100%), коленчатый (75%), барабанный (40%)
о Сравнение КУ при спин-эхо с КУ при инверсии-восстановлении-подготовленном быстром градиентном эхо с очищением (IR-FSPGR):
- IR-FSPGR: выше интенсивность сигнала всех сегментов ЧН VII
- В отсутствие нейропатии лицевого нерва и при двухсторонней симметрии эта находка должна расцениваться как норма
3. Рекомендации по визуализации:
• Лучший метод визуализации:
о Нормальное КУ лучше всего определяется на 3 мм аксиальной и корональной МРТ Т1 С+ (спин-эхо) при ЗТ

(Слева) При корональной МРТ Т1 ВИ С+ FS на уровне преддверий определяется нормальное контрастирование среднего барабанного сегмента лицевых нервов.
(Справа) При корональной МРТ Т1ВИ С+ FS у этого же пациента определяется нормальное контрастирование коленчатого ганглия сразу же над улиткой. Обратите внимание на мышцы, напрягающие барабанную перепонку, накапливающие контраст с обеих сторон. При ЗТ нормальное контрастное усиление структур височной кости более выражено.
в) Дифференциальная диагностика контрастирования внутривисочного сегмента лицевого нерва:
1. Паралич Белла:
• Клиника: острый односторонний периферический паралич ЧН VII
• МРТ Т1 С+: интенсивное контрастирование ЧН VII в височной кости:
о Контрастное усиление в виде «холмика» в области дна внутреннего слухового канала - крайне подозрительный признак
• КТ в костном окне: нормальный костный канал ЧН VII
2. Периневральная паротидная опухоль внутривисочного сегмента ЧН VII:
• Клиника: паротидная опухоль ± паралич ЧН VII
• МРТ Т1 С+: локальное контрастное усиление, распространяющееся от инвазивной паротидной опухоли в сосцевидный сегмент ЧН VII
3. Шваннома лицевого нерва (внутривисочный сегмент ЧН VII):
• Клиника: тугоухость ± поздний периферический парез ЧН VII
• Чаще всего обнаруживается в ямке коленчатого ганглия
• МРТ Т1 С+: контрастирующаяся опухоль по ходу ЧН VII
• КТ в костном окне: расширение канала ЧН VII в височной кости
г) Патология:
1. Общая характеристика:
• Эмбриология/анатомия:
о Развитое артериовенозное сплетение вокруг ЧН VII в височной кости:
- Лабиринтный сегмент меньше всего васкуляризован
2. Макроскопические и хирургические особенности:
• Артериовенозное сплетение образовано относительно крупными артериями и венами среди капилляров
3. Микроскопия:
• Плотное артериовенозное сплетение ЧН VII, преимущественно расположенное в области коленчатого ганглия, барабанного и сосцевидного сегментов ± большого поверхностного каменистого нерва
д) Клинические особенности:
1. Проявления:
• Типичные признаки/симптомы:
о Симптомы отсутствуют по определению
• Клинический профиль:
о Контрастирование ЧН VII в норме обнаруживается случайно при МРТ Т1 С+, выполненной по поводу несвязанной симптоматики
2. Демография:
• Эпидемиология:
о У большинства пациентов в норме наблюдается КУ ≥ одного сегмента ЧН VII в височной кости
3. Течение и прогноз:
• Контрастное усиление ЧН VII в норме не изменяется со временем
4. Лечение:
• Нет; не следует путать с параличом Белла
• КТ в костном окне: при асимметричном контрастировании ЧН VII для исключения изменений прилежащих костей
е) Диагностическая памятка. Следует учесть:
• Выраженное КУ по ходу цистернального, лабиринтного сегмента или внечерепного сосцевидного сегмента ЧН VII не является нормальным
• Более сильное поле (ЗТ) и МР-последовательности IR-FSPGR делают нормальное КУ ЧН VII более подозрительным
• При вестибулярной шванноме дна лабиринтный сегмент ЧН VII может в норме накапливать контраст
о Вероятная причина - застой в артерио-венозном сплетении
КТ, МРТ при пролабировании лицевого нерва в среднее ухо
а) Определения:
• Выбухание среднего барабанного сегмента лицевого нерва (ЧН VII) через дефект в кости
• Зияние ЧН VII означает лишь отсутствие костной пластинки над сегментом ЧН VII
• Протрузия ЧН VII: выбухание ЧН VII через дефект
б) Визуализация:
1. Общая характеристика:
• Лучший диагностический критерий:
о КТ: вытянутая мягкотканная структура, продолжающаяся от средней части барабанного сегмента ЧН VII до ниши овального окна
• Локализация:
о Нижняя поверхность латерального полукружного канала (ЛП-КК) → ниша овального окна
• Размер:
о Варьирует; едва различимое или опухолевидное образование (2-3 мм) в нише овального окна
• Морфология:
о Ровная трубчатая структура

(Слева) При корональной КТ левой височной кости определяется нормальный барабанный сегмент лицевого нерва (поперечный срез) рядом с нижней поверхностью латерального полукружного канала. Обратите внимание на едва заметную костную стенку канала; оцените отношение к нише овального окна.
(Справа) При корональной КТ левой височной кости визуализируется очаговое объемное образование, исходящее из средней части барабанного сегмента лицевого нерва. Образование - выбухающий лицевой нерв, не шваннома. Выбухание лицевого нерва может приводить к значительным сложностям при стапедэктомии.
2. КТ при пролабировании лицевого нерва в среднее ухо:
• КТ в костном окне:
о Корональная: мягкотканное образование в нише овального окна:
- Вдоль нижней поверхности ЛПКК
- Соприкасается со средним барабанным сегментом ЧН VII
о Аксиальная: ЧН VII в виде «гамака» в полости среднего уха под ЛПКК
о Простой дефект (непокрытый ЧН VII) плохо определяется, если ЧН VII не выбухает в дефект
3. МРТ при пролабировании лицевого нерва в среднее ухо:
• Патология не определяется
• Т1 С+: норма, за исключением шванномы лицевого нерва
4. Рекомендации по визуализации:
• Лучший метод визуализации:
о Аксиальная и корональная тонкосрезовая КТ височных костей:
- Визуализация лучше в корональной плоскости на уровне овального окна
• Выбор протокола:
о Если выбухающий ЧН VII напоминает опухоль, используйте MPT С+ для исключения шванномы ЧН VII:
- Шваннома лицевого нерва контрастируется

(Слева) При аксиальной КТ в костном окне у этого же пациента определяется протрузия барабанного сегмента ЧН VII в виде «гамака», натянутого в полости среднего уха. Обратите внимание на ЧН VII, достигающего ножки стремечка, что объясняет кондуктивную тугоухость.
(Справа) При корональной КТ левой височной кости визуализируется округлая мягкотканная структура, выбухающая из среднего барабанного сегмента ЧH VII. МРТ С+ позволяет различить протру-зию ЧH VII (не контрастируем) и шванному лицевого нерва (контрастируем).
в) Дифференциальная диагностика пролабирования лицевого нерва в среднее ухо:
1. Внутривисочная шваннома лицевого нерва:
• Клиника: тугоухость > > паралич лицевого нерва
• КТ: тубулярное расширение канала ЧН VII:
о Ямка коленчатого ганглия > барабанный > сосцевидный сегмент
• МРТ: контрастирующееся вытянутое образование, расширяющее канал ЧН VII
2. Атрезия овального окна:
• Клиника: кондуктивная тугоухость
• ± атрезия НСК
• КТ: эктопия тимпанического сегмента лицевого нерва:
о Барабанный сегмент ЧН VII в нише овального окна
3. Врожденная холестеатома в канале лицевого нерва:
• Редкий врожденный тип холестеатомы
• КТ: расширение костного канала ЧН VII:
о Чаще всего в области коленчатого ганглия
4. Персистирующая стременная артерия:
• Бессимптомный сосудистый вариант
• КТ: отсутствие остистого отверстия:
о Трубчатая структура на мысе улитки
о Увеличенный передний барабанный сегмент ЧН VII
г) Патология. Общая характеристика:
• Этиология:
о Врожденное состояние/вариант развития
о Приобретенное в результате холестеатомы
1. Проявления:
• Типичные признаки/симптомы:
о Чаще всего симптоматики нет
о Редко кондуктивная тугоухость из-за воздействия на стремечко
• Клинический профиль:
о Случайная находка на КТ височных костей:
- Крайне важно донести о ее наличии до хирурга перед эксплоративным вмешательством на среднем ухе
- При пролабировании ЧН VII лицевой нерв легко можно повредить при стапедэктомии
2. Демография:
• Возраст:
о Любой; врожденное нарушение
• Эпидемиология:
о Простой дефект без протрузии: 50% случаев
о Выбухание лицевого нерва (редко) (1% случаев)
3. Течение и прогноз:
• Благоприятный при невмешательстве
4. Лечение:
• Недопущение повреждения нерва при операциях на среднем ухе
е) Диагностическая памятка:
1. Советы по интерпретации изображений:
• Выбухание часто сочетается с отсутствием выемки вдоль нижней поверхности ЛПКК
• Если выемка видна, следует предположить альтернативное объяснение
2. Рекомендации по отчетности:
• Внимание: выбухающий ЧН VII может повреждаться при стапедэктомии
• Необходимо указать это в заключении и сообщить хирургу
ж) Список использованной литературы:
1. Yetiser S: The dehiscent facial nerve canal. IntJ Otolaryngol. 679708, 2012
2. Yu Z et al: The value of preoperative CT scan of tympanic facial nerve canal in tympanomastoid surgery. Acta Otolaryngol. 131 (7):774-8, 2011
3. Di Martino E et al: Fallopian canal dehiscences: a survey of clinical and anatomical findings. Eur Arch Otorhinolaryngol. 262(2):120-6, 2005
4. Park GC et al: Dehiscence of the tympanic segment of the facial nerve. Otolaryngol Head NeckSurg. 123(4):522, 2000
5. Tange RA et al: Dehiscences of the horizontal segment of the facial canal in otosclerosis. ORL J Otorhinolaryngol Relat Spec. 59(5):277-9, 1997
6. Swartz JD: The facial nerve canal: CT analysis of the protruding tympanic segment. Radiology. 153(2):443-7, 1984
МРТ и КТ диагностика патологии лицевого нерва
Первичное поражение лицевого нерва: Вероятно, имеет вирусную этиологию (вирус простого герпеса); острое периферическое повреждение VII черепного нерва.
Вторичное поражение лицевого нерва: Опухоли (невринома, шваннома), сдавление объемным образованием (особенно опухолями околоушной слюнной железы), саркоидоз, болезнь Лайма, холестеатома или диссеминированный энцефаломиелит.
Клинические проявления
- Внезапно возникающий паралич лицевого нерва
- Возможен продромальный период, включающий нарушения вкуса или односторонние боли в области лица.
Признаки неврита лицевого нерва на КТ и МРТ снимках
Метод выбор
В каких случаях проводят КТ лицевого нерва при неврите
- При идиопатической нейропатии лицевого нерва (паралич Белла) отклонений от нормы не выявляется
- Объемное образование во внутреннем слуховом проходе
- Деструкция или объемное образование в пирамиде височной кости
- Перелом, проходящий через канал лицевого нерва
- Опухоль околоушной слюнной железы.
Что покажут снимки МРТ при неврите лицевого нерва
- Линейное или очаговое усиление вдоль канала лицевого нерва, особенно в сосцевидной части
- Объемное образование (например, невринома).
Отличительные признаки
- Выраженное усиление после введения гадолиния во внутреннем слуховом проходе, наружном колене лицевого нерва или его сосцевидной части.
Что хотел бы знать лечащий врач
- Усиление сигнала от лицевого нерва
- Исключение других причин
Какие заболевания имеют симптомы, схожие с невритом лицевого нерва
Невринома лицевого нерва
- Интенсивное усиление, четко очерченное объемное образование во внутреннем слуховом проходе или канале лицевого нерва.
Нормальное усиление
- Незначительное линейное увеличение интенсивности сигнала после введения гадолиния, но не в пирамиде височной кости или сосцевидном отростке.
Лечение
- Симптоматическое лечение
- Стероидная или противовирусная терапия
- При вторичном поражении лицевого нерва - лечение основного заболевания.
Врачи каких специальностей диагностируют и лечат паралич лица
- Невропатолог (первичное обращение пациента, лечение)
Прогноз
- Симптомы обычно подвергаются обратному развитию в течение нескольких дней или недель
Возможные осложнения и последствия
- Неврит лицевого нерва сохраняется в 10-20% случаев.

Усиление по ходу лицевого нерва после введения гадолиния у мальчика 15 лет с остро возникшим невритом правого лицевого нерва.

CISS-последовательность: незначительный отек канала лицевого нерва. Фронтальная проекция: выраженное усиление лицевого нерва в его канале.
Надо ли делать МРТ при неврите лицевого нерва?
Отвечает Черкасова С.А.:
врач-рентгенолог высшей категории
При данной патологии проведение МРТ необходимо в первую очередь для исключения опухоли. МРТ головного мозга при неврите лицевого нерва проходит в два этапа: сначала проводится стандартное исследование для оценки состояния головного мозга, а затем лицевой нерв исследуется более тонкими срезами (1,2 мм) в 3D импульсной последовательности в аксиальной плоскости.
Опытные врачи

Врач высшей категории

Пашкова Анна Александровна
Кандидат медицинских наук



Александров Тимофей Александрович

Томограф экспертного класса

- Напряженность магнитного
поля — 1,5 Тл (высокопольный) - Высокое качество изображения
- Тонкие срезы
- Все виды МРТ-исследований
Как проходит процедура МРТ-исследования
Запись исследования на ваш выбор*| на диск | на пленку | на флешку |
Частые вопросы о МРТ-исследованиях

Артефакты (от лат. artefactum) - это погрешности, допущенные человеком, в процессе исследования. Артефакты значительно ухудшают качество изображения. Существует обширная группа физиологических (другими словами, относящихся к поведению человека) артефактов: двигательные, дыхательные, артефакты от глотания, моргания, случайных неуправляемых движений (тремор, гипертонус). Все артефакты, связанные с человеческим фактором, легко преодолеваются, если человек в процессе исследования полностью расслаблен, дышит ровно и свободно, без глубоких глотательных движений и частых морганий. Однако в медицинской практике нередки случаи использования легкого наркоза.
Магнитно-резонансная томография не имеет возрастных ограничений, поэтому ее можно проводить детям с самого рождения. Но ввиду того, что во время процедуры МРТ необходимо соблюдать неподвижность, обследование маленьких детей проводится в условиях анестезиологического пособия (поверхностного наркоза). В нашем центре исследование под наркозом не осуществляется, поэтому мы обследуем детей исключительно с семилетнего возраста.
Все противопоказания к проведению МРТ можно разделить на абсолютные и относительные.
Абсолютными противопоказаниями к проведению МРТ являются следующие особенности пациента: наличие у него кардиостимулятора (водителя ритма сердца) и других вживляемых электронных устройств, присутствие ферримагнитных (железосодержащих) и электрических протезов стремечка (после реконструктивных операций на среднем ухе), гемостатических клипс после операций на сосудах головного мозга, брюшной полости или легких, металлических осколков в области глазницы, крупных осколков, дроби или пуль вблизи сосудисто-нервных пучков и жизненно важных органов, а также беременность до трех месяцев.
К относительным противопоказаниям относятся: клаустрофобия (боязнь замкнутого пространства), наличие в теле пациента массивных не ферримагнитных металлических конструкций и протезов, наличие ВМС (внутриматочной спирали). Кроме того, все пациенты с магнитосовместимыми (не ферримагнитными) металлическими конструкциями могут обследоваться только по прошествии месяца после проведенного оперативного вмешательства.
Направление врача - необязательное условие посещения центра МРТ. Нам важна Ваша забота о своем здоровье, согласие на проведение обследования, а также отсутствие противопоказаний для проведения МРТ.
Любому человеку знакома головная боль, но если она повторяется подозрительно часто, безусловно, это нельзя оставить без внимания. Мы рекомендуем пациенту с сильными головными болями пройти МРТ головного мозга и его сосудов. В отдельных случаях этого может быть недостаточно, потому как не всегда причина головных болей связана именно с патологией головного мозга. Головные боли могут быть следствием шейного остеохондроза, поэтому наши специалисты дополнительно советуют пройти МРТ шейного отдела позвоночника и сосудов шеи.
Средняя продолжительность одного исследования в нашем центре составляет от 10 до 20 минут, однако, все зависит от выявленных изменений: иногда для уточнения заболевания врач-рентгенолог может расширить протокол исследования и прибегнуть к использованию контрастного усиления. В таких случаях время исследования увеличивается.
Магнитно-резонансная томография – это полностью безвредный и безопасный метод лучевой диагностики. В основе получения изображения МРТ отсутствует ионизирующие излучение, свойственное методу компьютерной томографии (КТ). Но существуют противопоказания, с которыми необходимо ознакомиться, перед тем как записаться на обследование.
Абсолютным противопоказанием к МРТ является беременность до трех месяцев. При подозрении на ургентные (угрожающие жизни) заболевания женщины решение о проведении МРТ в ранние сроки беременности принимает врач-гинеколог.
В нашем центре можно пройти МРТ во время беременности во втором и третьем триместре – для этого необходимо предоставить направление от лечащего врача, назначившего МРТ, а также справку от акушера-гинеколога о том, что проведение магнитно-резонансной томографии разрешено.
Читайте также:
