Рентгенограмма, КТ при фиброзной дисплазии челюсти
Добавил пользователь Владимир З. Обновлено: 08.01.2026
Под термином «дисплазия костной ткани» подразумевается патологическое замещение кости фиброзной тканью с включением кальцификатов. Дефект носит преимущественно врожденный характер. Реже встречается развитие аномалии у взрослых или в постнатальный период.
Общая характеристика
Дисплазия челюсти – замещение кости челюсти соединительной тканью, содержащей элементы цементноподобных кальцификатов. Фиброзная масса состоит из клеток, отвечающих за синтез коллагена, эластина и иных компонентов.
Пораженные челюстные кости теряют нормальную структуру, прочность, изменяется состав и морфология. Патологический процесс приводит к возникновению факторов:
- Изменения формы кости.
- Асимметрии лица.
- Переломов.
- Деструкции окружающих областей.
- Появления воспалительного процесса, болезненности и других клинических признаков.
В большинстве случаев заболевание отличается бессимптомным течением.
Первый случай патологии был описан Реклингаузеном – патологоанатомом из Германии в 1891 году.
Среди врачей отсутствует единое мнение насчет классификации, стадий и видов указанной аномалии. В статье описаны общепризнанные формулировки и характеристики.
Локализация очагов и распространенность заболевания обусловлены его видом. Женщины более подвержены указанной аномалии в сравнении с мужчинами. Средняя частота заболеваемости – 1-6 %.
Ключевая причина возникновения - генные мутации ненаследственного характера, которые нарушают нормальный процесс формирования кости.
Классификация
Врачи выделяют три вида дисплазии челюсти. Подробнее о каждом рассказывается ниже.
Фиброзная
Аномалия при которой происходит замена костной массы на соединительную, состоящую из фибробластов и коллагена. Допускается содержание костных и остеоидных элементов.
По объему поражения дисплазия бывает:
- монооссальная или однокостная (МФД);
- полиоссальная или многокостная (ПФД).
Происходит увеличение и деформация альвеолярного отростка. Появляется подвижность зубных элементов. Отсутствует увеличение лимфоузлов, изменение кожи или слизистых.
Верхняя челюсть более подвержена заболеванию. Деструктивный процесс охватывает гайморову пазуху. Возникает нарушение дыхания, сужение глазной щели.
Заболевание характерно для детей в возрасте от 3 до 15 лет. Выраженность клинических симптомов обусловлена распространенностью и локализацией пораженных участков. Из-за выбухания кости возникает деформация, не вызывающая боли. Пораженный участок отличается хрупкостью и склонностью к переломам.
Клинические проявления: болезненность, нарушение дыхательной функции.
Заболевание отличается доброкачественным течением. Менее чем в 1% случаев происходит малигнизация.
Цементно-костная
Распространенная форма болезни. Нормальная ткань замещается коллагеном, кальцификатами и фибробластами. Локализация: зубные сегменты челюстей.
- Фокальная (очаговая). Отличается одиночностью поражения. Очаг, размером до 1,5 см возникает в любой области челюстей. Бессимптомное течение.
- Периапикальная. Дефект располагается в переднем отделе НЧ. Возникают множественные или единичные очаги. Сохраняется кровообращение и иннервация единиц. Размер очагов – до 1 см.
- Цветущая. Отличается обнажением во рту желтой, аваскулярной кости. Множественные очаги симметричной формы. Расположение: нижняя челюсть. Происходит деструкция всех сегментов ряда. Возможно бессимптомное течение или появление болезненности. Характерно появление свищей на альвеолярных отростках.
Для всех форм ЦКД характерен идентичный результат гистологии.
Оссифицирующая фиброма
Нераспространенная аномалия. Относится к истинным опухолям. Внешний облик на рентгенограмме идентичен фиброзной патологии.

Клинические проявления
Симптомы болезни обусловлены ее формой, стадией, расположением.
ЦКД отличается бессимптомным течением. Дефект выявляется случайным образом при проведении рентген диагностики по другому поводу. Реже появляются симптомы:
- Болезненность в пораженной области.
- Хронический остеомиелит.
- Свищи на альвеолярном отростке, обнажение аваскулярной ткани.
- Отмирание патологических областей ткани.
При фиброзном типе дефекта клинические проявления ярко выражены:
- Деформация лица.
- Повреждение зубных элементов, глазного яблока.
- Нарушение носовых проходов.
- Головные боли.
- Повреждение косточек среднего уха, зрительного и черепно-мозгового нерва.
- Утрата слуха и зрения.
- Переломы патологически измененных челюстей.
Редко встречается малигнизация.
Диагностика
Выявить болезнь способен опытный и дантист. Применяются следующие виды диагностики:
- Клинический осмотр пациента. Оценка симметричности лица. Изучение анамнеза и жалоб.
- Рентгенография.
- КТ, МРТ.
- Пункция с гистологией.
Лабораторные исследования не информативны.
Лечебный процесс
Хирургическое лечение с иссечением патологических тканей проводится при наличии ярко-выраженных симптомов. При бессимптомном течении болезни выбирается выжидательная тактика с регулярными осмотрами врача. Требуется соблюдение гигиены полости рта, соблюдение мероприятий по предотвращению утраты зубов. Воспалительный процесс купируется антибиотикотерапией.
Прогноз
Лечение стоматологической болезни отличается благоприятным прогнозом. Результат лечебных мероприятий зависит от своевременности обращения к врачу, локализации очага, степени поражения и грамотной диагностики.
Рентгенограмма, КТ при фиброзной дисплазии челюсти
а) Терминология:
1. Сокращения:
• Фиброзная дисплазия (ФД)
2. Синонимы:
• Черепно-лицевая фиброзная дисплазия (ЧЛД), фиброзный остеит, фиброзная остеодистрофия
• Синдром Мак-Кьюна-Олбрайта (СМО): один из наиболее частых синдромов фиброзной дисплазии (ФД)
• Дисплазия Яффе-Лихтенштейна (моностозная фиброзная дисплазия (ФД))
3. Определение:
• Врожденное заболевание, характеризующееся наличием увеличивающихся в размерах поражений, состоящих из смеси фиброзной ткани, грубоволокнистой костной ткани
• Дефект дифференцировки, созревание остеобластов
• Одно из наиболее частых фиброзно-костных поражений
б) Визуализация:
1. Общие характеристики фиброзной дисплазии:
• Лучший диагностический критерий:
о Структура поражения кости по типу «матового стекла» по данным КТ
• Локализация:
о Могут поражаться любые отделы черепа
о ЧЛД: у большинства поражается > одной кости:
- Наиболее часто поражение верхней челюсти, глазницы и лобной кости в одном случае; поражение решетчатой и клиновидной костей - в другом
2. Рентгенологические признаки:
• Рентгенография:
о Утолщение костных структур по типу «матового стекла» о ЧЛД: аномалии прикуса в 20% случаев

(Слева) КТ, костное окно, аксиальный срез: у девятилетней пациентки наблюдается кистозный вариант фиброзной диспла -зии. Обратите внимание на зоны явной кистозной трансформации в области более характерных изменений по типу «матового стекла» и в смежных с ними отделах.
(Справа) КТ, костный режим, корональный срез: у этой же пациентки определяется экспансивная фиброзная дисплазия (ФД) носорешетчатой области; поражения имеют кистозные структуры, которые характеризуются тонкими, но скперозированными стенками..
3. КТ признаки фиброзной дисплазии:
• Бесконтрастная КТ:
о КТ-картина зависит от относительного содержания фиброзной и костной ткани
о Поражение кости с ее утолщением, утолщение диплоическо-го пространства
о Склеротические, кистозные, смешанные изменения костей, а также изменение из структуры по типу «матового стекла»
- При кистозном характере может иметь толстую склеротическую "кожуру”
4. МРТ признаки фиброзной дисплазии:
• Т1-ВИ:
о Обычный: ↓ интенсивности сигнала
• Т2-ВИ:
о Обычный: ↓ интенсивности сигнала от всего образования (при солидной его структуре) или по типу ободка (при его кистозной структуре)
о ↑ клинико-патоморфологической активности приводит к ↑ интенсивности сигнала
• Постконтрастные Т1-ВИ:
о Характер контрастного усиления зависит от характера поражения (кольцевидного, диффузного характера или отсутствует)
5. Радионуклидная диагностика:
• Остеосцинтиграфия:
о Вариабельная степень поглощения радионуклида: перфузионная/отсроченная фазы
о Неспецифический, но чувствительный метод к степени поражения скелета при полиостозной фиброзной дисплазии (ФД)
• ПЭТ:
о Накопление 11С-МЕТ
о Возможно обнаружение горячего очага вариабельной степени выраженности при ПЭТ с ФДГ:
- Не следует путать с метастатическим поражением
- Помогает корреляция с рентгенограммой, КТ
6. Рекомендации по визуализации:
• Лучший инструмент визуализации:
о КТ в костном режиме
• Совет по протоколу исследования:
о КТ или МРТ для определения протяженности локальных изменений
о Остеосцинтиграфия для поиска дополнительных поражений других костных структур

(Слева) МРТ, Т1 -ВИ, сагиттальный срез: у юноши 77 лет с медленно увеличивающейся в размерах «шишкой на волосистой части головы» определяется объемное образование свода черепа, которое имеет умеренно гипоинтенсивный сигнал.
(Справа) МРТ, Т2-ВИ, режим подавления сигнала от жира, аксиальный срез: у этого же пациента отмечается, что поражение имеет слегка неоднородный гипоинтенсивный сигнал.
в) Дифференциальная диагностика фиброзной дисплазии:
1. Болезнь Педжета:
• Педжетоидный характер «матового стекла» при ФД имитирует болезнь Педжета
• Болезнь Педжета: вовлечение свода черепа, а не мозгового и лицевого его отделов; «череп из ваты» на КТ-изображениях
2. Склерозирующий остеомиелит Гарре:
• Увеличение в размерах костных структур, имеющих неоднородную склеротическую структуру; ± истончение до полного исчезновения коркового слоя кости; ± периостальная реакция
3. Синдром Яффе-Кампаначчи (СЯК):
• Неоссифицирующие фибромы, веснушки в подмышечной области и пятна на коже по типу «кофе с молоком» (при отсутствии нейрофибром)
• Имитирует полиостозную форму фиброзной дисплазии (ФД)
о Пятна по типу «кофе с молоком» при СЯК: побережье Калифорнии (как при нейрофиброматозе 1 типа)
о Пятна по типу «кофе с молоком» при СМО: побережье штата Мэн
4. Черепно-метафизеальная дисплазия:
• Гиперостоз и склероз костей лицевого и мозгового черепа → деформация лица, компрессия черепных нервов
• Аномальное моделирование метафизов длинных трубчатых костей; выпуклость стенок околоносовых пазух
5. Менингиома:
• Гиперостоз при менингиоме имитирует фиброзную дисплазию (ФД)
• МР-спектроскопия: характерный пик аланина
6. Другие заболевания, характеризующиеся утолщением и аномальной плотностью костных структур:
• Талассемия: характерно вовлечение в процесс придаточных пазух носа; периостальная реакция по типу «волос дыбом»
• Остеопетроз: вовлечение всех костей
• Нейрокожные заболевания: кистозно-фиброзный остеит:
о Туберозный склероз
о Нейрофиброматоз 1 типа
• Хроническая почечная недостаточность: почечная остеодистрофия может имитировать краниосклероз
• Гиперостоз внутренней пластинки лобной кости при синдроме Морганьи:
о Женщины постменопаузного возраста, изменения ограничены лобной костью

(Слева) МРТ, постконтрастное Т1-ВИ, сагиттальный срез: у этого же пациента определяется два поражения свода черепа, умеренно интенсивно, но гетерогенно накапливающие контрастное вещество.
(Справа) МРТ, постконтрастное Т1 -ВИ, режим подавления сигнала от жира, аксиальный срез: интенсивное, но гетерогенное контрастное усиление поражений. Данные рентгенологические признаки характерны для активной фиброзной дисплазии.
г) Патология:
1. Общие характеристики фиброзной дисплазии:
• Этиология:
о Мутация гена белка Gsa в клетках-предшественниках остеобластов приводит к ↑ их пролиферации; аномальная дифференцировка клеток
• Генетика:
о Описаны многочисленные позитивно/негативно регулируемые гены:
- Мутации в регуляторном белке Gsa (кодируются геном GNAS1) часто наблюдаются при моностозной, полиостозной формах фиброзной дисплазии (ФД) и СМО
При фиброзной дисплазии (ФД) наблюдается чрезмерная экспрессия гена ADAMTS2 в тканях
2. Стадирование и классификация фиброзной дисплазии:
• Моноостозная и полиостозная формы
• Специфическая форма поражения (педжетоидная, склеротическая, кистозная) обусловлена активностью болезни:
о Считается, что активность форм фиброзной дисплазии убывает в следующем порядке: кистозная, педжетоидная и склеротическая:
- Кистозная фиброзная дисплазия (ФД) (11-21 %): гиподенсная структура поражения (за исключением его наружных отделов)
- Педжетоидная смешанная фиброзная дисплазия (ФД) (56%): «матовое стекло» + кистозные изменения
- Однородная склеротическая фиброзная дисплазия (ФД) (23-34%)
3. Макроскопические и хирургические особенности:
• Фиброзная ткань, имеющая «песчаную» структуру и цвет от желтовато-коричневого до серого
• Вариабельная консистенция, которая зависит от фиброзного и костного компонентов
• Грубоволокнистая костная ткань незрелая, непрочная, склонна к переломам
• Могут присутствовать геморрагические, кистозные изменения
4. Микроскопия:
• Фиброзная строма, обычно бессосудистая, низкая целлюлярность
• Метаплазия костей: костные трабекулы, состоящие из незрелой, грубоволокнистой костной ткани, которые выглядят как фигуры необычной формы, «плавающие» в фиброзной строме
о Похожи на «китайские иероглифы» или «алфавитный суп»
д) Клиническая картина:
1. Проявления фиброзной дисплазии:
• Наиболее частые признаки/симптомы:
о Отек и/или деформация, боль
• Клинический профиль:
о Экзофтальм, нейропатия черепных нервов (диплопия, потеря слуха, слепота), атипичная лицевая боль или онемение, головная боль
о Множественные эндокринные расстройства характерны для тяжелой полиостозной фиброзной дисплазии
• Проявления: моностозная, полиостозная, черепно-лицевая (ЧЛД), синдромальные (многие известные синдромы) формы:
о Моностозная фиброзная дисплазия (ФД):
- 70% всех случаев фиброзной дисплазии (ФД); поражение одной костной области:
Вовлечение в процесс мозгового, лицевого черепа в 27% случаев
о Наиболее часто: верхняя челюсть (особенно скуловой отросток), нижняя челюсть (молярная область):
Менее часто: лобная > решетчатая, клиновидная > височные > затылочная кости
- Дети старшего возраста/молодые взрослые (у 75% пациентов заболевание проявляется в возрасте < 30 лет)
о Полиостозная фиброзная дисплазия (ФД):
- 30% всех случаев ФД; включает > 2 отдельных областей
- Вовлечение в процесс мозгового, лицевого черепа в 50% случаев
- Более молодой возраст, у 2/3 симптомы появляются в возрасте до 10 лет
о ЧЛД:
- Аутосомно-доминантный тип наследования, стабилизируется по мере созревания скелета
о Синдром Мак-Кьюна-Олбрайта:
- Подтип односторонней полиостозной фиброзной дисплазии (ФД): клиническая триада, включающая полиостозную фиброзную дисплазию (ФД), гиперфункциональные эндокринопатии, пятна «кофе с молоком»
- 5% случаев фиброзной дисплазии (ФД); проявляется в более раннем возрасте; поражается большее количество костей, состояние имеет более высокую степень тяжести
- Потеря фосфатов почками (50%), связанная с повышением циркулирующего фактора FGF-23; может приводить к рахиту и остеомаляции
о Синдром Мазабрауда:
- Полиостозная ФД, внутримышечная миксома
о Херувизм: семейная двусторонняя ФД челюсти
о Нанизм MULIBREY (muscle-liver-brain-eye): тяжелое прогрессирующее нарушение роста; констриктивный перикардит; встречается преимущественно в Финляндии:
Muscle-liver-brain-eye (мышцы, печень, головной мозг, глаза) = треугольное лицо, желтый пигмент в глазном дне, гипопластический язык, своеобразный высокий голос, пламенеющий невус (65%)
Фиброзная дисплазия (ФД) длинных костей в 25% случаях
2. Демография:
• Возраст:
о < 6 лет (39%), 6-10 лет (27%), >10 лет (39%)
• Пол:
о СМО обычно (но не исключительно) встречается у женщин
• Эпидемиология:
о Реальная встречаемость неизвестна:
- Моноостозная форма фиброзной дисплазии (ФД) встречается в шесть раз чаще полиостозной
- Отличие поражения свода черепа: полиостозная ФД (50%) > моностозная ФД (25%)
- Моноостозная ФД (75%): в 25% случаев наблюдаются поражения мозгового и лицевого черепа
- Полиостозная ФД (25%): в 50% случаев наблюдаются поражения мозгового и лицевого черепа
3. Течение и прогноз:
• До фибро-, остео-, хондро- и мезенхимальной саркомы прогрессирует редко:
о Обычно полиостозная/синдромальная формы
о Практически 1/2 возникают после лучевой терапии (заметное увеличение при злокачественном потенциале)
• Моностозная черепно-лицевая ФД имеет очень благоприятный прогноз
• Большинство спонтанно «исчезают» в подростковом возрасте, в возрасте до 30 лет
4. Лечение фиброзной дисплазии:
• Агрессивная резекция используется при потере зрения, наличии выраженной деформации (свод черепа более доступен, чем его основание)
• Отсутствие лучевой терапии → злокачественное перерождение
• Лечение алендронатом не приводит к изменению количества баллов по шкале оценки боли, баллов бремени заболеваний скелетной системы или функциональных параметров
е) Диагностическая памятка:
1. Обратите внимание:
• Моноостозная и полиостозная фиброзная дисплазия (ФД), вероятно, представляют собой компоненты одного и того же спектра фенотипической экспрессии; рассмотрите возможность генетического тестирования для предсказания осложнений
2. Советы по интерпретации изображений:
• Характерны изменения потипу «матового стекла» при рентгенографии или КТ, однородное уменьшение сигнала на Т2-ВИ
ж) Список литературы:
1. Bowers СА et al: Surgical treatment of craniofacial fibrous dysplasia in adults. Neurosurg Rev. 37(1):47—53, 2014
2. Boyce AM et al: A randomized, double blind, placebo-controlled trial of alendronate treatment for fibrous dysplasia of bone. J Clin Endocrinol Metab. 99(11):4133—40, 2014
3. Frisch CD et al: Fibrous dysplasia of the temporal bone: A review of 66 cases. Laryngoscope. ePub, 2014
4. Neelakantan A et al: Benign and malignant diseases of the clivus. Clin Radiol. 69(12)4295-303, 2014
5. Rossi DC et al: Extensive fibrous dysplasia of skull base: case report. Neurol Sci. ePub, 2014
6. Thomsen MD et al: Clinical and radiological observations in a case series of 26 patients with fibrous dysplasia. Calcif Tissue Int. 94(4):384-95, 2014
7. Zhou SH et al: Gene expression profiling of craniofacial fibrous dysplasia reveals ADAMTS2 overexpression as a potential marker. Int J Clin Exp Pathol. 7(12):8532—41, 2014
1. Аббревиатура:
• Фиброзная дисплазия (ФД)
2. Синонимы:
• Фиброзный остеит, фиброзная остеодистрофия, фиброзная остеома, фиброзная остеодисплазия
3. Определения:
• Доброкачественное фиброзно-костное поражение
• Замещение нормальной губчатой кости клеточной фиброзной тканью с очагами незрелой перепончатой ретикулофиброзной кости
1. Общая характеристика:
• Лучший диагностический критерий:
о Экспансивный очаг с матриксом в виде «матового стекла» у молодого пациента
о Смещение нижнечелюстного канала кверху—патогно-моничный признак ФД
• Локализация:
о Верхняя > нижняя челюсть:
- Обычно одностороннее поражение преимущественно задних отделов
о Любая кость, в т.ч. свод и основание черепа, лицевой скелет
о Редко наблюдается поражение ВНЧС (мыщелка)
о Из околоносовых пазух чаще всего поражается клиновидная
• Размер:
о Варьирует от маленького неэкспансивного поражения, не различимого клинически, до тяжелой деформации лица
• Морфология:
о Вздутие кости с сохранением ее формы в целом о Нечеткие края, постепенно переходящие в окружающую нормальную кость
о Поражения костей за пределами челюсти или очаги у молодых пациентов могут быть лучше отграничены
2. Рекомендации по визуализации:
• Лучший метод визуализации:
о Интраоральная или панорамная рентгенография -информативные методы оценки картины костной ткани и распространенности поражения челюстей
о КТ в костном окне или КЛКТ для определения сопутствующего внутричерепного поражения, с целью мониторинга прогрессирования, реактивации, злокачественной трансформации
о МРТ для оценки сдавления органов нервной системы, выявления кистозной дегенерации или аневризматической костной кисты
о МРТ как дополнение к КТ при подозрении на вторичную злокачественную опухоль
(Слева) На кадрированной панорамной рентгенограмме определяется ФД нижней челюсти справа. Смещение кверху нижнечелюстного канала - патогномоничный признак. Нижний край нижней челюсти вздут, кортикальные пластинки изменены в соответствии с картиной поражения костной ткани. Формирующийся третий моляр смещен кзади.
(Справа) На аксиальной КТ в костном окне определяется картина «матового стекла», характерная для ФД, с вздутием альвеолярного отроака верхней челюсти слева. Щечная и язычная кортикальные пластинки неразличимы. Патологический очаг не пересекает среднюю линию. (Слева) На корональной КЛКТ определяется полиостотическая ФД нижней и верхней челюсти, клиновидной кости, скуловой кости справа. Зернистая картина поражения костной ткани сочетается с «матовым стеклом». Пораженные кости увеличены, но их форма в целом сохранена.
(Справа) На корональной КТ в костном окне определяется ФД, окружающая левую верхнечелюстную пазуху, приводящая к уменьшению ее объема и элевации дна носовой ямки слева. Поражение также распространяется кверху и приводит к смещению кверху дна глазницы. (Слева) На панорамной рентгенограмме определяется ФД в виде «апельсиновой кожуры» между корнями премоляров нижней челюсти слева. Очаг имеет четкие края и смещает корни зубов в стороны.
(Справа) На КЛКТ у этого же пациента определяется истончение и вздутие щечной кортикальной пластинки. Обратите внимание на изменение твердой пластинки и верхней кортикальной пластинки нижнечелюстного канала в соответавии с картиной поражения кости. Канал не смещен и не сдавлен.
3. Рентгенография при фиброзной дисплазии челюсти:
• Интраоральная рентгенография:
о Плотность и картина трабекул варьируют в зависимости от зрелости поражения и количества диспластической костной ткани:
- Ранние поражения могут быть более рентгенонегативными, чем созревшие
- Очаг может быть рентгенонегативным, рентгеноконтрастным, смешанным
о Возможна зернистая (матовое стекло), напоминающая апельсиновую кожуру, вихревая (отпечаток пальца), дымчатая (хлопковая вата) или плотная аморфная картина поражения костной ткани
о Пространства периодонтальной связки могут выглядеть узкими
о Твердая пластинка изменяется в соответствии с картиной поражения кости
о Зубы смещены или импактны:
- Возможен гиперцементоз зубов
- Резорбция корня нетипична
- Возможно сочетание с гипоплазией эмали, дисплазией дентина, тауродонтизмом
• Экстраоральная рентгенография:
о Вздутие с истончением кортикальных пластинок или изменение их в соответствии с картиной поражения костной ткани
о В зрелых очагах ФД может сформироваться простая костная киста: одно (и больше) просветление в сочетании с вздутием
4. КТ при фиброзной дисплазии челюсти:
• КТ в костном окне:
о Экспансивное поражение губчатой кости различной плотности:
- Смешанная картина: просветления и затемнения (или матовое стекло)
о Картины поражений на КТ могут перекрываться/сочетаться:
- В зависимости от преобладающей ткани (костной/фиброзной)
о Возможно утолщение кортикальных пластинок костей черепа при их вовлечении
о Стенки пораженных околоносовых пазух утолщаются, однако пазухи в целом сохраняют свою форму
5. МРТ при фиброзной дисплазии челюсти:
• Т1 ВИ:
о Экспансивное поражение с сигналом низкой-промежуточной интенсивности в костном и/или фиброзном компоненте
• Т2 ВИ:
о Экспансивное поражение с гипоинтенсивным сигналом из-за многочисленных костных трабекул
о Иногда (в ранней фазе резорбции костной ткани) сигнал высокой интенсивности
о В активной фазе часто наблюдается неоднородный сигнал:
- «Пятнистые» гиперинтенсивные включения в очагах, выглядящих рентгенонегативными на КТ в костном окне
• Т1 ВИ С+:
о Наиболее интенсивно контрастируются участки, выглядящие гиперинтенсивными на Т2 и рентгенонегативными на КТ в костном окне
• Интенсивность сигнала и размеры контрастирующихся участков на Т1-Т2 ВИ зависят от количества/степени выраженности фиброзной ткани, костных трабекул, целлюлярности, геморрагического компонента
(Слева) На трехмерной КЛКТ (вид спереди) у женщины 49 лет с синдромом МакКьюна-Олбрайта определяется увеличение и деформация нижней челюсти и большинства костей лицевого скелета. Обратите внимание на относительную сохранность левой скуловой кости и передних отделов верхней челюсти с наличием крупного дефекта в передних отделах нижней челюсти с измененной картиной костной ткани.
(Справа) На сагиттальной реформатированной КЛКТ (по средней линии) у этой же пациентки определяется измененная картина костной ткани нижней челюсти резорбция корня резца нижней челюсти, вздутие ската с наличием неизмененной кости в верхней челюсти по средней линии. (Слева) На трехмерной реформатированной КЛКТ (вид справа) у этой же пациентки определяется увеличение нижней челюсти и скуловой кости с сохранением правого мыщелка. Обратите внимание, что увеличенная нижняя челюсть в целом сохраняет свою форму.
(Справа) На трехмерной реформатированной КЛКТ (вид сбоку слева) у этой же пациентки в нижней челюсти определяется крупный дефект с волнистыми контурами, обусловленный простой костной кистой. Двухстороннее вздутие и диффузное поражение костей типично для синдрома МакКьюна-Олбрайта. (Слева) На панорамной реформатированной КЛКТ у этой же пациентки определяется смешанная (зернистая, рентгенонегативная, аморфная) картина поражения костной ткани вздутой нижней челюсти. Рентгенонегативные участки представляют собой простые костные кисты. Мыщелок не изменен.
(Справа) На панорамной реформатированной КЛКТ у этой же пациентки определяется поражение нижней и верхней челюсти с зернистой картиной костной ткани левого мыщелка и его шейки. Задние отделы нижней челюсти заняты простой костной кистой.
в) Дифференциальная диагностика фиброзной дисплазии челюсти:
1. Болезнь Педжета:
• Диффузное двухстороннее поражение костной ткани; ФД обычно односторонняя
• Характерна для старшей (по сравнению с ФД) возрастной группы
2. Остеомиелит:
• Может приводить к увеличению челюстей, формированию костной ткани из периоста со скоплением ее по наружному краю; кортикальная пластинка может оставаться различимой:
о ФД возникает в трабекулярной кости, приводит к истончению или деформации кортикальной пластинки в соответствии с картиной поражения костной ткани
• Для остеомиелита характерна секвестрация
3. Остеосаркома:
• Картина поражения костной ткани аналогична ФД, имеются другие признаки злокачественности
• Остеосаркома может проявляться типичной периостальной реакцией
4. Оссифицирующая фиброма:
• Опухолеподобное концентрическое вздутие, моностотиче-ское поражение
• Четкие края, часто с рентгенонегативным «ободком»
1. Общая характеристика:
• Генетика:
о Спорадическая мутация гена GNAS:
- Ген находится в хромосоме 20q13
• Сопутствующие нарушения:
о ± эндокринные заболевания, пятна «кофе с молоком»
2. Стадирование, классификация фиброзной дисплазии челюсти:
• Моностотический тип (80%):
о С преимущественным поражением челюстей
• Одно- или двухсторонний полиостотический тип:
о Поражение черепа, лицевого скелета, таза, позвоночника, плечевого сустава
о При поражении верхней челюсти часто вовлекаются смежные кости (скуловая, клиновидная)
• Краниофациальная ФД поражение клиновидной, скуловой, лобной кости, костей носа, основания черепа
• Синдром МакКьюна-Олбрайта = полиостотическая ФД с пигментацией кожи (пятна «кофе с молоком») и эндокринными нарушениями (преждевременное половое созревание)
• Синдром Мазабрауда = ФД с миксомами в мягких тканях
3. Макроскопические и хирургические особенности:
• Желто-коричневое-белое, плотное (как резина), зернистое образование
4. Микроскопия:
• Укороченные, беспорядочно ориентированные трабекулы неправильной формы («китайские иероглифы») ретикулофиброзной костной ткани в фиброзной соединительнотканной строме
• Количество и распределение костной ткани в очагах, целлюлярность и васкуляризация стромы варьируют
(Слева) На аксиальной трехмерной реформатированной КЛКТ у этой же пациентки определяется асимметричное увеличение нижней челюсти. Простая костная киста образует крупный дефект слева. Обратите внимание на увеличение правой скуловой дуги в сравнении с противоположной стороной.
(Справа) На аксиальной реформатированной КЛКТ у этой же пациентки определяются простые костные кисты с фестончатыми краями с обеих сторон. Кортикальная пластинка замещена зернистой костной тканью. (Слева) На сагиттальной реформатированной КЛКТ у этой же пациентки определяется поражение венечною отростка и суставного бугорка справа на фоне сохранного мыщелка. Остеофит на передней поверхности мыщелка обусловлен артрозом.
(Справа) На корональной реформатированной КЛКТ у этой же пациентки определяется диффузная зернистость и увеличение костей основания черепа с поражением верхнечелюстных пазух с обеих сторон и уменьшением их объема. Слизистая оболочка задней стенки левой верхнечелюстной пазухи утолщена. (Слева) На сагиттальной реформатированной КЛКТ у этой же пациентки определяется замещение большей части объема пазухи диспластической костной тканью и мягкоткаными включениями, что может быть следствием нарушения оттока от пазухи.
(Справа) На реформатированной КЛКТ у этой же пациентки определяется неоднородная картина «матового пекла» в области клыков верхней челюсти. Обратите внимание на отсутствие твердой пластинки и сужение пропранств периодонтальной связки.
д) Клинические особенности:
1. Проявления:
• Типичные признаки/симптомы:
о Часто случайная находка или бессимптомный отек лица
о Симптомы зависят от локализации очагов ФД:
- Краниофациальная ФД: увеличение/асимметрия лица
- ФД челюстей: увеличение альвеолярного отростка, смещение зуба
• Другие признаки/симптомы:
о При распространенном поражении - воздействие на отверстия, пропускающие нервы, с возникновением неврологического дефицита
о Нетипичная боль в лице, головная боль; симптомы, напоминающие синусит; иногда слепота при сдавлении зрительного нерва
2. Демография:
• Возраст:
о ФД может обнаруживаться в любом возрасте, но наиболее часто до 30 лет
о Полиостотическая форма типична для детей (средний возраст: 8 лет):
- Более тяжелое поражение скелета, черепа, лицевого скелета
о Моностотический тип часто выявляется в 20-30 лет, т.к. обычно протекает бессимптомно
• Пол:
о М = Ж
о Синдром МакКьюна-Олбрайта: Ж>М
• Эпидемиология:
о Моностотический тип (75%)
3. Течение и прогноз:
• После завершения роста тела прекращается и рост очагов ФД:
о Очаги ФД могут продолжать расти, особенно при полиосготическом типе
о Рецидив/реактивация (18%)
о Рост очагов может быть спровоцирован беременностью, использованием оральных контрацептивов, хирургическим вмешательством у пациентов младшего возраста
• Злокачественная трансформация наблюдается редко (<1%): ± лучевая терапия в анамнезе:
о Злокачественная трансформация чаще наблюдается при ФД полиостотического типа, редко в области черепа и лицевого скелета
• Возможно формирование вторичной простой костной кисты, центральной гигантоклеточной гранулемы, аневризматической костной кисты
4. Лечение:
• Мониторинг-консервативное лечение-радикальная резекция
• Устранение косметических нарушений и восстановление функции
• Иногда используются бисфосфонаты
• Лучевая терапия противопоказана: риск злокачественной трансформации
е) Диагностическая памятка:
1. Следует учесть:
• Плохо отграниченное экспансивное поражение >1 кости: полиостотическая ФД
2. Советы по интерпретации изображений:
• Вздутие кости за счет губчатого компонента, истончение кортикальных пластинок
• Оцените воздействие на отверстия, пропускающие нервы и кровеносные сосуды
3. Заключение:
• При поражении обеих челюстей на рентгенограммах необходима КТ в костном окне или КЛКТ для обнаружения очагов поражения вне челюстей
ж) Список использованной литературы:
1. Atalar МН et al: СТ and MR imaging in a large series of patients with craniofacial fibrous dysplasia. Pol J Radiol. 80:232-40, 2015
2. Wu H et al: Clinical characteristics of craniomaxillofacial fibrous dysplasia. J CraniomaxillofacSurg. 42(7):1450-5, 2014
3. Akintoye SO et al: Dental perspectives in fibrous dysplasia and McCune- Albright syndrome. Oral Surg Oral Med Oral Pathol Oral Radiol. 116(3):e 149-55, 2013
4. Cheng J et al: Spontaneous malignant transformation in craniomaxillofacial fibrous dysplasia. J CraniofacSurg. 24(1): 141-5, 2013
5. Hanifi В et al: Craniofacial fibrous dysplasia. Clin Imaging. 37(6): 1109-15, 2013
6. Menon S et al: Craniofacial fibrous dysplasia: surgery and literature review. Ann Maxillofac Surg. 3(1):66-71, 2013
7. Nadaf A et al: Monostostic fibrous dysplasia with nonspecific cystic degeneration: Acase report and review of literature. J Oral Maxillofac Pathol. 17(2):274-80, 2013
8. Sontakke SA et al: Computed tomographic features of fibrous dysplasia of maxillofacial region. Imaging Sci Dent. 41(1):23-8, 2011
Фиброзная дисплазия
Фиброзная дисплазия — это заболевание, характеризующееся нарушением развития скелета, при котором нормальная кость замещается фиброзной тканью с элементами диспластически изменённой кости.
Фиброзная дисплазия расценивается как опухолеполобная гиперплазия в одной или одновременно в нескольких костях, которая сопровождается и внескелетными аномалиями.
Терминология
- Фиброзная дисплазия делится на следующие подтипы
- монооссальная ФД — в 70-80% случаях. Чаще в промежутке от 20-30 лет
- краниальная ФД
- черубизм (СЕМЕЙНАЯ ФИБРОЗНАЯ ДИСПЛАЗИЯ ЧЕЛЮСТИ) — неистинная ФД — поражение верхней и нижней челюсти
Эпидемиология
Встречается до 30 лет в 75% случаях, с наибольшей частотой встречаемости в промежутке от 3 до 15 лет. Взаимосвязи с полом нет.
Ассоциация
- Хотя фиброзная дисплазия обычно спорадическая, ряд ассоциаций давно доказаны:
- Синдром МакКьюн-Олбрайт — 2-3% случаях полиостальной формы.
- Изолированная форма с эндокринопатией без Синдром МакКьюн-Олбрайт у девочек — гипертиреоз, гиперпаратиреоз, акромегалия, сахарный диабет.
- Синдром Кушинга: остеопороз, акне, задержка роста
- Синдром Mazabraud: миксомы мягких тканей (редко); обычно множественные внутримышечные поражения в непосредственной близости от наиболее пострадавшей кости
Клиническая картина
- Пациент обращается за помощью, когда
- Появляется асимметрия, например, парных костей или костей лица
- Появляется боль
- Появляются нарушения двигательной функции
- Появляются патологические переломы
![klinika]()
Патология
Макроскопические изменения
- При макроскопическом исследовании определяются беловато-красные опухолевые очаги разной плотности, в зависимости от степени выраженности их минерализации. Имеются многочисленные кисты, заполненные желтоватой или красноватой жидкостью, и полупрозрачные участки хряща до 3 см в диаметре.
![makro]()
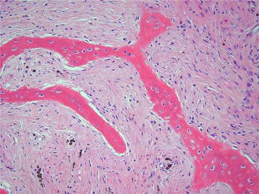
Микроскопические изменения
- Многочисленные остеоидные балки неправильной формы, лежащие в фиброзной ткани с небольшим числом остеобластов. Остеоидные балки представляют собой большей частью волокнистую, но не компактную кость.
- Мелкие участки остеоида могут быть обызвествлены. Известь откладывается, как правило, в центре балки. Имеются многоядерные клетки типа остеокластов, окаймляющие некоторые балки.
- В периферических отделах очаг фиброзной дисплазии без резкого перехода сливается с реактивной костью. Фиброзная строма местами коллагенизирована, кое-где миксоматозна, то богата клеточными элементами, то почти лишена их.
- Фибробласты имеют то крупные овальные, то вытянутые и как бы сморщенные ядра. Между разрастаниями фиброзной ткани и остеоида встречаются островки хряща, обызвествленные по периферии. Принято думать, что такая картина весьма стабильна и сохраняется на протяжении многих лет и у детей, и у взрослых лиц.
- Хрящевые островки присутствуют в 10% случаях, что является отличительной чертой от хондросаркомы
- При ФД нет ободка остеобластов, что позволяет дифференцировать от оссифицирующей фибромы
![mikro]()
Подтипы
- монооссальная ФД — в 70-80% случаях. Чаще в промежутке от 20-30 лет
- полиоссальная ФД — 20-30% случаях. Чаще проявляется до 8 лет
Типичная локализация
![1]()
- Монооссальная ФД
- ребер: 28%, наиболее распространенных 6,7
- проксимальный отдел бедренной кости: 23%
- голень
- черепно-лицевая кость: 10-25% 4
- плечо
- Полиоссальная ФД
- часто односторонних: в пределах одной конечности 6
- бедра: 91%
- голени: 81%
- таз: 78%
- ноги: 73%
- ребра
- черепа и кости лица: 50% 4
- верхняя конечность
- поясничный отдел позвоночника: 14%
- ключица: 10%
- шейный отдел позвоночника: 7%
Радиологические находки
- Рентгенологическая картина фиброзной дисплазии разнообразна.
- Патологические участки могут быть то более плотными, то более прозрачными по сравнению с окружающей костью, иногда имеют вид «матового стекла».
- Одни очаги четко отграничены зоной склероза, контуры других расплывчатые, что особенно характерно для костей черепа.
- Нередко выявляются узуры в кортикальном слое, а при наличии перелома — отчетливая периостальная реакция.
КТ
- затемнение по типу матового стекла: 56% 4
- очаг однородный склеротический: 23%
- очаг кистозный: 21%
- очаг с четко определенными границами
- расширение костей с интактными вышележащими костями
МРТ
- МРТ не является методом 100% в дифференциации фиброзной дисплазии от злокачественных образований
- Т1: неоднородный сигнал, как правило, промежуточный
- Т2: неоднородный сигнал, обычно гипоинтенсивный, но бывает с гиперинтенсивными участками
- Т1 с+ (Gd): гетерогенное контрастирование 4
Ядерная медицина
- Визуализируется увеличение индикаторного поглощения Tc99 при сканирование костей
- (очаги остаются метаболически активными и во взрослой жизни).
![nuklear]()
Осложнения
- Дедифференциация до
- остеосаркомы — наиболее чаще
- фибросаркомы
- злокачественной фиброзной гистиоцитомы
- реже до хондросаркомы
Дифференциальный диагноз
- Болезнь Педжета
- гистологически мозаичные включения в костях
- радиографическимогут быть схожи
- Нейрофиброматоз 1 типа
- Остеофиброзная дисплазия
- Не-оссифицирующая фиброма
- Гигантско-клеточная опухоль
Клинические случаи
Этот 23-летний мужчина упомянул, чтобы была травма и теперь жалуется на боль и отек левой голени.
Этот 33-летний мужчина жалуется на невыносимые головные боли.
Источник
4. Chong VF, Khoo JB, Fan YF. Fibrous dysplasia involving the base of the skull. AJR Am J Roentgenol. 2002;178 (3): 717-20. AJR Am J Roentgenol (full text) — Pubmed citation
5. Brown EW, Megerian CA, Mckenna MJ et-al. Fibrous dysplasia of the temporal bone: imaging findings. AJR Am J Roentgenol. 1995;164 (3): 679-82. AJR Am J Roentgenol (abstract) — Pubmed citation
6. Fitzpatrick KA, Taljanovic MS, Speer DP et-al. Imaging findings of fibrous dysplasia with histopathologic and intraoperative correlation. AJR Am J Roentgenol. 2004;182 (6): 1389-98. AJR Am J Roentgenol (full text) — Pubmed citation
7. Kransdorf MJ, Murphey MD. Diagnosis please. Case 12: Mazabraud syndrome. Radiology. 1999;212 (1): 129-32. Radiology (full text) — Pubmed citation
98. Maramattom BV. Leontiasis ossea and post traumatic cervical cord contusion in polyostotic fibrous dysplasia. Head & Face Medicine. 2006;2 (1): 24. doi:10.1186/1746-160X-2-24 — Free text at pubmed — Pubmed citation
9. Larheim TA, Westesson P. Maxillofacial Imaging. Springer Verlag. (2008) ISBN:3540786856. Read it at Google Books — Find it at Amazon
killФиброзная дисплазия ( Болезнь Лихтенштейна , Болезнь Лихтенштейна-Брайцова , Болезнь Лихтенштейна-Яффе )
Фиброзная дисплазия – это поражение кости, при котором участок нормальной костной ткани замещается соединительной тканью с включением костных трабекул. Относится к категории опухолеподобных заболеваний, может быть локальной или распространенной, поражать одну или несколько костей. Проявляется болями, деформацией, укорочением или удлинением сегмента и патологическими переломами. Диагноз выставляется на основании рентгенографии, МРТ, КТ и других исследований. Лечение обычно хирургическое – резекция пораженного участка кости с замещением дефекта.
МКБ-10
Общие сведения
Фиброзная дисплазия (болезнь Лихтенштейна, болезнь Лихтенштейна-Яффе или болезнь Лихтенштейна-Брайцова) – системное поражение скелета. Симптомы обычно выявляются еще в детстве, но возможно и позднее начало. В литературе описаны случаи, когда монооссальная фиброзная дисплазия впервые диагностировалась у людей пенсионного возраста. Женщины болеют чаще мужчин. Возможно перерождение в доброкачественную опухоль; озлокачествление наблюдается редко.
Заболевание впервые было описано в первой половине 20 века. В 1927 году российский хирург Брайцов сделал доклад о клинических, микроскопических и рентгенологических признаках очагового фиброзного перерождения кости. В 1937 году Олбрайт описал многоочаговую фиброзную дисплазию, сочетающуюся с эндокринными нарушениями и характерными изменениями кожи. В том же году Альбрехтом была описана многоочаговая дисплазия в сочетании с преждевременным половым созреванием и нечеткой кожной пигментацией. Чуть позже Яффе и Лихтенштейн исследовали одноочаговые поражения и опубликовали выводы о причинах их возникновения.
Причины
Фиброзная дисплазия относится к категории опухолеподобных заболеваний, но не является истинной опухолью костей. Возникает вследствие неправильного развития остеогенной мезенхимы (ткани, из которой в последующем образуется кость). Причины развития не ясны, не исключена генетическая предрасположенность.
В травматологии и ортопедии выделяют две основные формы фиброзной дисплазии: монооссальную (с поражением одной кости) и полиоссальную (с поражением нескольких костей, обычно расположенных на одной стороне тела). Полиоссальная форма развивается в детском возрасте и может сочетаться с эндокринными нарушениями и меланозом кожи (синдром Олбрайта). Монооссальная форма может манифестировать в любом возрасте, эндокринопатий и пигментации кожи у пациентов не наблюдается. Российские специалисты используют клиническую классификацию Зацепина, включающую следующие формы заболевания:
- Внутрикостная форма. Может быть монооссальной или полиоссальной. В кости образуются единичные или множественные очаги фиброзной ткани, в ряде случаев наблюдается перерождение кости на всем протяжении, однако структура коркового слоя сохранена, поэтому деформации отсутствуют.
- Тотальное поражение кости. Страдают все элементы, включая кортикальный слой и область костномозгового канала. Из-за тотального поражения постепенно формируются деформации, часто возникают усталостные переломы. Обычно наблюдается полиоссальное поражение длинных трубчатых костей.
- Опухолевая форма. Сопровождается разрастанием очагов фиброзной ткани, которые иногда достигают значительных размеров. Выявляется редко.
- Синдром Олбрайта. Проявляется полиоссальным или практически генерализованным поражением костей в сочетании с эндокринными расстройствами, преждевременным половым созреванием у девочек, нарушением пропорций тела, очаговой пигментацией кожи, тяжелыми деформациями конечностей и костей туловища. Сопровождается прогрессирующими нарушениями со стороны различных органов и систем.
- Фиброзно-хрящевая дисплазия. Появляется преимущественным перерождением хряща, нередко наблюдается трансформация в хондросаркому.
- Обызвествляющая фиброма. Особая форма фиброзной дисплазии, встречается очень редко, обычно поражает большеберцовую кость.
Симптомы фиброзной дисплазии
Выраженные врожденные деформации обычно отсутствуют. При полиоссальной форме первые симптомы появляются в детстве. Поражение костей сопровождается эндокринопатиями, пигментацией кожи и нарушением деятельности сердечно-сосудистой системы. Проявления болезни достаточно разнообразны, наиболее постоянными признаками являются незначительные боли (обычно в бедрах) и прогрессирующие деформации. Иногда болезнь диагностируется только при возникновении патологического перелома.
Обычно при полиоссальной форме наблюдается поражение трубчатых костей: большеберцовой, бедренной, малоберцовой, плечевой, лучевой и локтевой. Из плоских костей чаще страдают кости таза, кости черепа, позвоночник, ребра и лопатка. Нередко выявляется поражение костей кистей и стоп, при этом кости запястья остаются интактными. Степень деформации зависит от локализации очагов фиброзной дисплазии. При возникновении процесса в трубчатых костях верхних конечностей обычно наблюдается только их булавовидное расширение. При поражении фаланг пальцы укорачиваются, выглядят «обрубленными».
Кости нижних конечностей искривляются под тяжестью тела, возникают характерные деформации. Особенно резко деформируется бедренная кость, в половине случаев выявляется ее укорочение. Из-за прогрессирующего искривления проксимальных отделов кость приобретает форму бумеранга (пастушьего посоха, хоккейной клюшки), большой вертел «сдвигается» вверх, иногда достигая уровня тазовых костей. Шейка бедра деформируется, возникает хромота. Укорочение бедра может составлять от 1 до 10 см.
При формировании очага в малоберцовой кости деформация конечности отсутствует, при поражении большеберцовой кости может наблюдаться саблевидное искривление голени или замедление роста кости в длину. Укорочение обычно менее выражено, чем при очаге в бедренной кости. Фиброзная дисплазия подвздошной и седалищной костей вызывает деформацию тазового кольца. Это, в свою очередь, негативно влияет на позвоночник, провоцируя нарушения осанки, сколиоз или кифоз. Ситуация усугубляется, если процесс одновременно поражает бедро и кости таза, поскольку в подобных случаях ось тела еще больше нарушается, а нагрузка на позвоночник – увеличивается.
Монооссальная форма протекает более благоприятно, внекостные патологические проявления отсутствуют. Выраженность и характер деформаций сильно варьируют в зависимости от локализации, размера очага и особенностей поражения (тотальное или внутрикостное). Могут наблюдаться боли, хромота и повышенная утомляемость после нагрузки пораженного сегмента. Как и при полиоссальной форме, возможны патологические переломы.
Диагностика
Диагноз выставляется ортопедом-травматологом на основании клинической картины и данных рентгенологического исследования. На начальном этапе на рентгеновских снимках в области диафиза или метафиза пораженной кости выявляются зоны, по виду напоминающие матовое стекло. Затем пораженный участок приобретает характерный крапчатый вид: очаги уплотнения чередуются с участками просветления. Хорошо видна деформация.
При обнаружении одиночного очага необходимо исключить множественное поражение костей, которое на начальных стадиях может протекать бессимптомно, поэтому больных направляют на денситометрию. При наличии подозрительных участков выполняют рентгенографию, при необходимости используют КТ кости.
Следует учитывать, что фиброзная дисплазия, особенно монооссальная, может представлять значительные трудности в процессе диагностики. При нерезко выраженной клинической симптоматике нередко требуется длительное динамическое наблюдение. Для исключения других заболеваний и оценки состояния различных органов и систем могут потребоваться консультации фтизиатра, онколога и терапевта. В отдельных случаях показан осмотр кардиолога, эндокринолога или иных специалистов.
Лечение фиброзной дисплазии
Лечение преимущественно хирургическое – полная сегментарная резекция пораженного участка кости в пределах здоровых тканей и замещение дефекта костным трансплантатом. При патологическом переломе накладывают аппарат Илизарова. При множественных поражениях проводят профилактические мероприятия, направленные на предотвращение деформаций и патологических переломов.
Прогноз и профилактика
Прогноз для жизни благоприятный. В отсутствие лечения, особенно при полиоссальной форме, могут возникать грубые калечащие деформации. Иногда очаги дисплазии перерождаются в доброкачественные опухоли (гигантоклеточную опухоль или неоссифицирующую фиброму). У взрослых описано несколько случаев злокачественного перерождения в остеогенную саркому. Специфическая профилактика отсутствует из-за неясной этиологии заболевания.
2. Фиброзная дисплазия. Клинические рекомендации / Общероссийская общественная организация Ассоциация травматологов-ортопедов России (АТОР) - 2016
Читайте также:
- монооссальная ФД — в 70-80% случаях. Чаще в промежутке от 20-30 лет





