Рентгенограмма, КТ при кальцифицирующей эпителиальной одонтогенной опухоли
Добавил пользователь Дмитрий К. Обновлено: 28.11.2025
Согласно классификации ВОЗ (2005), одонтогенная кератокиста с паракератозным типом строения (примордиальная киста) называется кератокистозной одонтогенной опухолью (KZOT) и относится к подгруппе доброкачественных одонтогенных опухолей головы и шеи. В описанном в данной статье клиническом случае у 14-летнего пациента наблюдался связанный с зубом мудрости остеолитический процесс в области угла нижней челюсти, развившийся в течение 16 месяцев. В статье описывается клиника и диагностика, а также методы хирургического лечения кератокистозной одонтогенной опухоли.
В течение многих десятилетий обсуждался вопрос, относить ли «кератокисту» к одонтогенным кистам или к доброкачественным опухолям [1, 3]. В течение последних нескольких лет, согласно классификации опухолей головы и шеи ВОЗ [2], форма «одонтогенной кератокисты» с преобладанием паракератоза, которую раньше называли также примордиальной кистой, называется кератокистозной одонтогенной опухолью (KZOT) и относится к группе доброкачественных одонтогенных опухолей. Таким образом, это новообразование больше не относят к дизонтогенетическим кистам челюстей [10, 11, 15]. Реже встречающаяся форма, для которой характерен только ортокератоз, рассматривается отдельно [18] и называется одонтогенной кистой с преобладанием ортокератоза. Изменения в терминологии и в классификации были связаны с тем, что для KZOT характерен агрессивный рост и высокая вероятность возникновения рецидивов после оперативного удаления опухоли методом энуклеации [3, 10, 15, 16].
Кератокистозная одонтогенная опухоль может наблюдаться спорадически как солитарное (одиночное) образование или проявляться как один из признаков известного синдрома Горлина —
Гольтца (синдром базальноклеточных невусов, невобазоцеллюлярный синдром) [10, 13, 17]. Синдром Горлина — Гольтца характеризуется следующим симптомокоплексом [3, 10, 13, 17]:
- базалиомы и кератокистозные опухоли;
- аномалии скелета в области грудной клетки;
- аномалии в области черепа: гипертелоризм, макроцефалия, кальцификация серпа большого мозга (Falx cerebri);
- точечные пигментированные вдавления на ладонях или подошвах (pits).
Кератокистозная одонтогенная опухоль диагностируется чаще всего в двух различных возрастных периодах: от 11 до 30 лет и от 50 до 70 лет [10]. Внесиндромная форма опухоли встречается у мужчин в два раза чаще, чем у женщин [1, 9, 14].
Клинический случай
Анамнез
Четырнадцатилетний пациент был направлен лечащим врачом-ортодонтом в нашу Клинику челюстно-лицевой хирургии с целью удаления 48 зуба мудрости, а также для проведения цистэктомии в области 48 зуба. Общий и семейный анамнез юного пациента без особенностей.
Результаты клинического обследования
Экстраоральный осмотр, а также клиническое обследование полости рта и пальпация в области 48 зуба без особенностей. Холодовой тест при помощи сухого льда («углекислого снега») для определения жизнеспособности (витальности) пульпы в области 44—47 зубов положительный. Чувствительность в области иннервации N. mentalis с обеих сторон одинаковая, не снижена.
Данные рентгенологического обследования
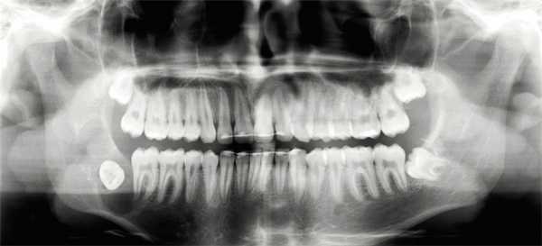
На панорамной послойной рентгенограмме (ОПТГ) в области 48 зуба мудрости определялся многокамерный очаг разрежения костной ткани с относительно четкими границами, распространяющийся до области угла и частично в область восходящей ветви нижней челюсти (рис. 1) .

Рис. 1. Рентгенограмма до операции: очаг остеолиза в области угла нижней челюсти справа, многокамерный, с относительно четкими границами. Ретенированный дистопированный 48 зуб мудрости
На рентгенограмме, изготовленной с целью контроля ортодонтического лечения 16 мес. назад, патологического процесса в области 48 зуба еще не определялось.
Лечение
После проведения местной анестезии был отслоен слизисто-надкостничный лоскут и обнажена костная ткань в области 48 зуба. Операция проводилась таким же образом, как при оперативном удалении 48 зуба [5]. После проведения остеотомии при помощи шаровидной фрезы, с охлаждением при помощи физиологического раствора NaCl, и эксплорации (ревизии) дефекта выделилось большое количество секрета желтоватого цвета. Затем было проведено оперативное удаление 48 зуба и экскохлеация кистоподобного образования, щадящим образом по отношению к N. alveolaris inferior. После этого был проведен кюретаж бывшей полости кисты. Удаленные ткани были направлены на патогистологическое исследование. Рана была ушита первичными единичными узловыми швами. Пациенту были назначены обезболивающие препараты.
После операции была снова сделана рентгенгограмма (рис. 2) .

Рис. 2. Послеоперационная контрольная рентгенограмма: состояние после оперативного удаления 48 зуба мудрости, энуклеации тканей кисты в области 48 зуба и кюретажа образовавшейся костной полости
Данные гистологического обследования
Макроскопически удаленная ткань представляла собой полостное (мешковидное) образование c мембраноподобной структурой, диаметром 2,5 см, серовато-беловатого цвета, вязко-эластичной констистенции.
Микроскопически определялись участки тканей кисты, покрытые широким пластом многослойного эпителия, с хорошо развитым базальноклеточным слоем. Расположение клеток базальноклеточного слоя напоминало частокол («палисадное»), с поверхностным ороговением по типу паракератоза. Кроме того, были выявлены слои пластинчатого ороговевшего материала, кое-где имевшего остатки ядер (рис. 3) .

Рис. 3. Фрагмент исследуемого гистологического препарата (окраска гематоксилином и эозином, оригинальное увеличение в 40 раз): равномерно структурированный эпителий с ороговением по типу паракератоза. Расположение клеток базального слоя напоминает частокол («палисадное»), отмечается интенсивное окрашивание клеточных ядер. В полости кисты определяется скопление пластинчатого ороговевшего материала
На основании гистологического исследования был поставлен диагноз кератокистозной одонтогенной опухоли (KZOT).
Контроль после лечения
В первый день после операции на основании результатов обследования на болевую чувствительность («острое-тупое») и на порог дискриминационной чувствительности (в двух точках) было установлено небольшое ограничение чувствительности в области иннервации N. alveolaris inferior [6].
Через десять дней после операции при нормальном заживлении раны были сняты швы. Родителям и самому юному пациенту было указано на то, что вероятность рецидивов кератокистозной одонтогенной опухоли довольно высока и поэтому, по крайней мере, на протяжении последующих 10 лет врач-стоматолог должен регулярно проводить клинический и рентгенологический контроль.
Дискуссии
Как правило, «кисты» являются типичным преодоперационным диагнозом при удалении зубов мудрости [4]. В большинстве случаев кератокистозные одонтогенные опухоли обнаруживаются случайно при изготовлении послойной панорамной рентгенограммы [10]. При опухолях большего размера в результате возникновения вторичной инфекции могут наблюдаться следующие симптомы: отек, боли, выделение секрета и/или нарушение чувствительности в области иннервации N. alveolaris inferior [10]. На рентгенограмме при наличии кератокистозной одонтогенной опухоли в большинстве случаев определяется очаг разрежения костной ткани с четкими границами и с одно- или многокамерной структурой. Изменения часто бывают похожи на мыльные пузыри [10]. Приблизительно в 60—70 % случаев образование встречается в области нижней челюсти, в основном в области зубов мудрости, угла нижней челюсти или восходящей ветви нижней челюсти [3, 14].
Дифференциальный диагноз
Кератокистозную одонтогенную опухоль необходимо прежде всего дифференцировать с фолликулярной кистой и с амелобластомой, особенно на рентгенограмме [8]. Поэтому следует различать признаки кератокистозной одонтогенной опухоли от амелобластомы [7]. Результаты ретроспективного клинико-патологоанатомического исследования показали, что в типичных случаях при кератокистозной одонтогенной опухоли рецидивы наблюдались чаще, чем при амелобластоме. Такую высокую вероятность возникновения рецидивов нельзя было объяснить наличием обычных маркеров клеточного цикла и миграционной/структурной модуляцией [7]. Неблагоприятный прогноз при кератокистозной одонтогеной опухоли связан с ограниченной возможностью проведения радикальной терапии и с наличием дочерних («сателлитных») опухолей [7]. Изменение названия с кератокисты на кератокистозную одонтогенную опухоль (KZOT) было проведено из следующих соображений:
- Снизить степень вероятности возникновения рецидивов при осуществлении радикального хирургического лечения.
- Обратить внимание на то, что при оперативном удалении кист в области нижней челюсти всегда имеется опасность повреждения N. alveolaris inferior, и во многих случаях могут наблюдаться стойкие изменения в области нерва [6], особенно при использовании методики удаления опухоли в сочетании с обработкой раствором Карнуа.
В представленном клиническом случае имеющийся очаг разрежения костной ткани на нижней челюсти справа в области зуба мудрости, с относительно четкими границами, можно было бы дифференцировать на рентгенограмме со следующими образованиями:
- фолликулярной кистой;
- амелобластомой;
- амелобластической фибромой;
- одонтогенной миксофибромой;
- плазмоцитомой (множественной миеломой);
- аневризматической костной кистой.
Для подтверждения диагноза кератокистозной одонтогенной опухоли необходимо проводить гистологическое исследование в виде пробной биопсии или исследования первоначально полностью удаленной капсулы кисты [10]. Можно также применять иммунно-гистохимические методы исследования [9].
В литературе описаны многочисленные варианты оперативных вмешательств при кератокистозной одонтогенной опухоли [3, 7, 10, 15—17]. Как правило, используются следующие методы лечения кератокистозной одонтогенной опухоли:
- цистотомия (как самостоятельная операция);
- цистэктомия (как самостоятельная операция);
- цистэктомия и кюретаж костной ткани;
- цистэктомия после обработки раствором Карнуа;
- цистэктомия с последующим применением криохирургических методов;
- двухэтапный метод: сначала проводится цистотомия, а затем цистэктомия;
- цистэктомия и частичная периферическая остэктомия;
- сегментарная резекция с нарушением непрерывности нижней челюсти.
Сравнить преимущества и недостатки различных методов в настоящее время не представляется возможным. Однако проводить цистотомию или цистэктомию как самостоятельные операции больше не рекомендуется [10].
Авторы выражают сердечную благодарность врачам-ортодонтам д-ру Б. Цимприх и д-ру В. Цимприх (Эсслинген) за любезное направление юного пациента к ним на лечение.
Рентгенограмма, КТ при кальцифицирующей эпителиальной одонтогенной опухоли
а) Терминология:
1. Аббревиатура:
• Кальцифицирующая эпителиальная одонтогенная опухоль (КЭОО)
2. Синоним:
• Опухоль Пиндборга
3. Определение:
• Одонтогенная эпителиальная опухоль, продуцирующая минерализованную субстанцию
б) Визуализация:
1. Общая характеристика:
• Лучший диагностический критерий:
о Одно- или многокамерное просветление в задних отделах нижней челюсти, содержащее кальцинаты
• Локализация:
о Задние отделы нижней челюсти, реже - верхней челюсти
о Редко - передние отделы челюстей
о Связь с импактным зубом или отсутствие таковой
о Описан экстраоссальный (периферический) вариант
• Размер:
о Маленькое просветление вокруг коронки непрорезавшего-ся зуба
о Может увеличиваться и поражать ветвь нижней челюсти, приводить к вздутию и распространяться в окружающие структуры
2. Рекомендации по визуализации:
• Лучший метод визуализации:
о КЛКТ:
- Оценка распространенности поражения, смещения структур, щечно-язычной распространенности

(Слева) На аксиальной КТ в костном окне у мужчины 78 лет в задних отделах верхней челюсти справа визуализируется КЭОО в виде купного экспансивною образования смешанной плотности. В опухоли определяются множественные мелкие разбросанные включения кальция, виден также крупный кальцинат.
(Справа) На аксиальной КТ в костном окне определяется КЭОО, занимающая правую верхнечелюстную пазуху, и прорастающая в полость носа справа (медиально) и крылонебную ямку (сзади).
3. КТ при кальцифицирующей эпителиальной одонтогенной опухоли:
• Четкие или расплывчатые края
• Одно- или многокамерное образование
• Разбросанные гиперденсные кальцинаты различного размера и плотности: некоторые авторы описывают их как «свежевыпавший снег»
• Кальцинаты могут группироваться возле импактного зуба, затрудняя прорезывание
• Могут присутствовать тонкие и редкие трабекулы
• Вздутие кортикальных пластинок пораженных челюстей
• Смещение канала нижнего альвеолярного нерва книзу при поражении задних отделов нижней челюсти
в) Дифференциальная диагностика кальцифицирующей эпителиальной одонтогенной опухоли:
1. Аденоматоидная одонтогенная опухоль:
• Передние отделы верхней челюсти
• Пациенты младше (второе десятилетие жизни)
• Чаще страдают женщины
2. Амелобластическая фиброодонтома:
• Задние отделы нижней челюсти
• Кальцинаты с плотностью зуба
• Второе десятилетие жизни
3. Кальцифицирующая одонтогенная киста:
• Спереди от 1-го моляра
• Пик: второе десятилетие; средний возраст: 36 лет
4. Зубная киста:
• Наиболее типичное перикорональное просветление
• Ранние перикорональные поражения (КЭОО) могут быть неотличимы

(Слева) Накорональной КЛКТ визуализируется маленькая КЭОО у вершин корней премоляра справа. Между корнями зубов видны «нежные» кальцинаты. Обратите внимание на истончение дна верхнечелюстной пазухи.
(Справа) На панорамной рентгенограмме в задних отделах нижней челюсти справа визуализируется перикорональная КЭОО. Обратите внимание на сгруппированные кальцинаты в виде «свежевыпавшегог снега». Были обнаружены патоморфологические признаки злокачественности; в конечном счете опухоль привела к гибели пациента.
г) Патология:
2. Микроскопия:
• Островки, тяжи или пласты полиэдрических эпителиальных клеток в фиброзной строме
• Островки опухоли вокруг амилоподобного материала придают решетчатый вид
• Кальцинаты в амилоподобном материале образуют концентрические кольца (кольца Лизеганга)
д) Клинические особенности:
1. Проявления:
• Типичные признаки/симптомы:
о Безболезненное, медленно нарастающее вздутие челюстей
2. Демография:
• Возраст:
о Любой, преимущественно пятое десятилетие
• Пол:
о М>Ж
3. Течение и прогноз:
• Сообщается о злокачественной трансформации вследствие утраты транскрипционной активности ТР53 (Р53)
4. Лечение:
• Локальная резекция
• Лечение при опухолях задних отделов верхней челюсти более агрессивное в связи с внутричерепным распространением
• Рецидив: 15%
е) Диагностическая памятка. Следует учесть:
• АОО может выглядеть аналогично, но в большинстве случаев поражает передние отделы верхней челюсти
• Амелобластическая фиброодонтома может выглядеть похоже, но встречается у более молодых пациентов
1. Аббревиатура:
• Кальцифицирующая одонтогенная киста (КОК)
2. Синонимы:
• Кальцифицирующая кистозная одонтогенная опухоль
• Кальцифицирующая эпителиальная одонтогенная опухоль
• Киста Горлина
3. Определение:
• Одонтогенная киста кистозно-солидного характера, содержащая различные количества обызвествленной ткани
1. Общая характеристика:
• Лучший диагностический критерий:
о Хорошо отграниченное просветление, обычно однокамерное, с различным количеством кальцинатов
• Локализация:
о Верхняя = нижняя челюсть; передние > задние отделы:
- Перикорональные кисты чаще располагаются сзади
- Сообщается о редких двухсторонних кистах
• Морфология:
о Однокамерная, округлая или овальная киста
о Редко многокамерная: 5% (обычно неопластические варианты)

(Слева) На периапикальной рентгенограмме определяется кальцифицирующаяся одонтогенная киста (КОК) с кальцинатами в центре, отграниченная кортикальной пластинкой. Просветление на периферии напоминает аденоматоидную одонтогенную опухоль, однако резорбция корня бокового резца больше типична для КОК.
(Справа) На окклюзионной рентгенограмме определяется кальцифицирующаяся одонтогенная киста (КОК), связанная с импактным левым клыком нижней челюсти. Кальцинаты сконцентрированы вокруг коронки. Обратите внимание на вздутие язычной кортикальной пластинки.
2. Рентгенография при кальцифицирующей одонтогенной кисте:
• Интраоральная рентгенография:
о Однокамерное образование с четкими границами, часто с кортикальной пластинкой, с обызвествлениями различной выраженности (от маленьких включений до крупных глыбок)
о Кальцинаты могут не обнаруживаться на рентгенограммах; киста выглядит абсолютно рентгенонегативной:
- При перикорональном расположении напоминает зубную кисту
3. КТ при кальцифицирующей одонтогенной кисте:
• КЛКТ или КТ:
о Позволяет лучше оценить разбросанные кальцинаты или вздутие кости
о Кальцинаты могут располагаться на периферии кисты
в) Дифференциальная диагностика кальцифицирующей одонтогенной кисты:
1. Аденоматоидная одонтогенная опухоль:
• Хорошо отграниченное просветление с различным количеством кальцинатов
• Может обнаруживаться периферическая рентгенонегативная зона
• Передние отделы верхней челюсти: возможно перикорональное поражение
2. Амелобластическая фиброодонтома:
• Хорошо отграниченное просветление с редкими кальцинатами
• Задние отделы нижней челюсти: возможно перикорональное поражение
3. Кальцифицирующая эпителиальная одонтогенная опухоль (Пинборга):
• Хорошо отграниченное просветление с кальцинатами, сосредоточенными возле коронки пораженного зуба
• Кальцинаты напоминают «свежевыпавший снег»
4. Зубная киста:
• Самое частое перикорональное просветление
• Неотличима от рентгенонегативной перикорональной КОК

(Слева) На периапикальной рентгенограмме в области клыка нижней челюсти слева определяется кальцифицирующаяся одонтогенная киста (КОК) с диффузными и отграниченным затемнениями. Диффузные обызвествления, обнаруживаемые в кальцифицирующих эпителиальных одонтогенных опухолях, напоминают «свежевыпавший снег».
(Справа) На окклюзионной рентгенограмме у этого же пациента определяется кальцифицирующаяся одонтогенная киста (КОК), распространяющаяся через среднюю линию нижней челюсти. Обратите внимание на кортикальную пластинку, четко отграничивающую КОК сверху.
1. Общая характеристика:
• Генетика:
о Мутация гена β-катенина
• Сопутствующие нарушения:
о Может сочетаться с одонтомой (20%), амелобластомой, амелобластической фибромой, амелобластической фиброодонтомой, ортокератической одонтогенной кистой
2. Стадирование, классификация кальцифицирующей одонтогенной кисты:
• Кистозный ненеопластический тип: простая уникистозная опухоль с амелобластоматозной пролиферацией, формирующая одонтому
• Солидный неопластический тип: зубная «призрачноклеточная» опухоль, эпителиальная одонтогенная призрачноклеточная опухоль
• Кистозная и неопластическая природа, вероятно, является отражением полипотентных свойств одонтогенного эпителия
3. Микроскопия:
• Характерные призрачные клетки в эпителиальной выстилке с дистрофическими обызвествлениями различной степени выраженности
1. Проявления:
• Типичные признаки/симптомы:
о Случайная находка в отсутствие симптоматики; или твердый отек
• Другие признаки/симптомы:
о Резорбция корня или смещение прилежащих зубов
2. Демография:
• Возраст:
о 10-30 лет; поражения верхней челюсти у пациентов старшего возраста
о Четвертое десятилетие; М>Ж (злокачественный вариант)
3. Течение и прогноз:
• Рецидивы чаще связаны с неопластическим вариантом
• Злокачественный вариант (одонтогенный плоскоклеточный рак) возникает в КОК, как рецидив КОК или de novo:
о Чаще в верхней челюсти
о Метастазирует в легкие
4. Лечение:
• Хирургическое (энуклеация) с ортодонтическим выравниванием зубов при перикорональных поражениях
• Радиографический контроль: мониторинг рецидива
е) Диагностическая памятка. Следует учесть:
• Перикорональная КОК может имитировать зубную кисту в отсутствие кальцинатов на рентгенограммах
ж) Список использованной литературы:
1. Dutra SN et al: Immunoexpression of Wnt/β-catenin signaling pathway proteins in ameloblastoma and calcifying cystic odontogenic tumor. J Clin Exp Dent. 9(1):e136-e140, 2017
2. Urs AB et al: Calcifying ghost cell odontogenic tumor (CGCOT) with predominance of clear cells: a case report with important diagnostic considerations. Oral Surg Oral Med Oral Pathol Oral Radiol. 121(2):e32-7, 2016
3. Gadipelly S et al: Bilateral calcifying odontogenic cyst: A rare entity. J Maxillofac Oral Surg. 14(3):826-31, 2015
Опухоли челюстей
Опухоли челюстей - новообразования челюстных костей, исходящие непосредственно из костной ткани или структур одонтогенного аппарата. Опухоли челюстей могут проявлять себя клинически болевым синдромом, деформацией кости, асимметрией лица, смещением и подвижностью зубов, нарушением функции ВНЧС и глотания, нередко - прорастанием в полость носа, верхнечелюстную пазуху, орбиту и т. д. Диагностика опухолей челюстей предполагает рентгенологическое обследование, КТ, сцинтиграфию; при необходимости консультации окулиста, отоларинголога, риноскопию. Лечение доброкачественных опухолей челюстей - только хирургическое (выскабливание, резекция фрагмента челюсти, удаление зубов); злокачественных – комбинированное (лучевая терапия и операция).
МКБ-10


Общие сведения
Опухоли челюстей - остеогенные и неостеогенные, доброкачественные и злокачественные новообразования челюстных костей. На долю опухолей челюстно-лицевой области приходится около 15% всех заболеваний в стоматологии. Опухоли челюстей могут возникать в любом возрасте, в т. ч. довольно часто они встречаются у детей. Опухоли челюстей разнообразны по своему гистогенезу и могут развиваться из костной и соединительной ткани, костного мозга, тканей зубного зачатка, околочелюстных мягких тканей.
По мере своего роста опухоли челюстей вызывают значительные функциональные нарушения и эстетические дефекты. Лечение опухолей челюстей представляет собой технически непростую задачу, требующую объединения усилий специалистов в области челюстно-лицевой хирургии, отоларингологии, офтальмологии, нейрохирургии.
Причины
Вопрос о причинности возникновения опухолей челюстей находится в процессе изучения. На сегодняшний день доказана связь опухолевого процесса со следующими состояниями:
- одномоментной или хронической травмой (ушибом челюсти, повреждением слизистой оболочки полости рта разрушенными кариесом зубами, зубным камнем, краями пломб, некорректно подогнанными коронками и протезами и пр.)
- длительно текущими воспалительными процессами (хроническим периодонтитом, остеомиелитом челюсти, актиномикозом, синуситами и т. д.)
- не исключается вероятность развития опухолей челюсти на фоне инородных тел верхнечелюстной пазухи: пломбировочного материала, корней зубов и пр.
- воздействием неблагоприятных физических и химических факторов (ионизирующего излучения, радиойодтерапии, курения и пр.).
Вторичные злокачественные опухоли челюстей могут являться метастазами рака молочной железы, предстательной железы, щитовидной железы, почки, результатом местного распространения рака языка и др. Рак челюсти может развиваться на фоне предраковых процессов – лейкоплакии полости рта, доброкачественных опухолей полости рта (папиллом), лейкокератоза и т. п.
Классификация
Среди опухолей челюстей различают одонтогенные (органоспецифические) новообразования, связанные с зубообразующими тканями, и неодонтогенные (органонеспецифические), связанные с костью. Одонтогенные опухоли челюстей, в свою очередь, могут быть доброкачественными и злокачественными; эпителиальными, мезенхимальными и смешанными (эпителиально-мезенхимальными).
- Доброкачественные одонтогенные опухоли челюстей представлены амелобластомой, обызвествленной (кальцифицирующейся) эпителиальной одонтогенной опухолью, дентиномой, аденоамелобластомой, амелобластической фибромой, одонтомой, одонтогенной фибромой, миксомой, цементомой, меланоамелобластомой и др.
- Злокачественные одонтогенные опухоли челюстей включают одонтогенный рак и одонтогенную саркому. К остеогенным опухолям челюстей относятся костеобразующие (остеомы, остеобластомы), хрящеобразующие (хондромы), соединительнотканные (фибромы), сосудистые (гемангиомы), костно-мозговые, гладкомышечные и др.
Симптомы опухолей челюстей
Доброкачественные одонтогенные опухоли челюстей
Амелобластома – наиболее частая одонтогенная опухоль челюстей, склонная к инвазивному, местно-деструирующему росту. Поражает преимущественно нижнюю челюсть в области ее тела, угла или ветви. Развивается внутрикостно, может прорастать в мягкие ткани дна полости рта и десны. Чаще проявляется в возрасте 20-40 лет.
В начальном периоде амелобластома протекает бессимптомно, однако по мере увеличения размеров опухоли возникает деформация челюсти, асимметрия лица. Зубы в области поражения часто становятся подвижными и смещаются, может отмечаться зубная боль. Опухоль верхней челюсти может прорастать в полость носа, гайморову пазуху, орбиту; деформировать твердое нёбо и альвеолярный отросток. Нередки случаи нагноения, рецидивирования и малигнизации амелобластомы. Клиническое течение таких опухолей челюсти, как амелобластическая фиброма и одонтоамелобластома, напоминает амелобластому.
Одонтома чаще возникает у детей в возрасте до 15 лет. Обычно опухоли имеют небольшие размеры, протекают бессимптомно, однако могут вызывать задержку прорезывания постоянных зубов, диастемы и тремы. Опухоли большой величины могут приводить к деформации челюсти, образованию свищей.
Одонтогенная фиброма развивается из соединительной ткани зубного зачатка; чаще возникает в детском возрасте. Рост опухоли медленный; локализация – на верхней или нижней челюсти. Одонтогенная фиброма обычно бессимптомна; в некоторых случаях могут отмечаться ноющие боли, ретенция зубов, воспалительные явления в области опухоли.
Цементома – доброкачественная опухоль челюсти, практически всегда спаянная с корнем зуба. Чаще развивается в области премоляров или моляров нижней челюсти. Протекает бессимптомно или с нерезко выраженной болезненностью при пальпации. Изредка встречается множественная гигантская цементома, которая может являться наследственным заболеванием.
Доброкачественные неодонтогенные опухоли челюстей
Остеома может иметь внутрикостный или поверхностный (экзофитный) рост. Опухоль может распространяться в верхнечелюстную пазуху, полость носа, глазницу; препятствовать припасовке зубных протезов. Остеомы нижнечелюстной локализации вызывают боль, асимметрию нижней части лица, нарушение подвижности челюсти; верхнечелюстной локализации – нарушения носового дыхания, экзофтальм, диплопию и другие нарушения.
Остеоид-остеома сопровождается интенсивным болевым синдромом, обостряющимся по ночам, во время приема пищи; асимметрией лица. При осмотре полости рта определяется выбухание кости (чаще в области премоляров и моляров нижней челюсти), гиперемия слизистой оболочки.
Остеобластокластома (гигантоклеточная опухоль челюсти) преимущественно встречается в молодом возрасте (до 20 лет). Развитие клинической картины характеризуется нарастанием боли в челюсти, асимметрии лица и подвижности зубов. Ткани над опухолью изъязвляются; образуются свищи; отмечается повышение температуры тела. Истончение кортикального слоя приводит к возникновению патологических переломов нижней челюсти.
Гемангиома челюсти сравнительно редко бывает изолированной и в большинстве случаев сочетается с гемангиомой мягких тканей лица и полости рта. Сосудистые опухоли челюстей проявляются повышенной кровоточивостью десен, кровотечениями из корневых каналов при лечении пульпита или периодонтита, из лунки при удалении зуба и пр. При осмотре может выявляться флюктуация, расшатанность зубов, синюшность слизистой оболочки.
Злокачественные опухоли челюстей
Злокачественные опухоли челюстей встречаются в 3-4 раза реже доброкачественных. При раке челюсти рано возникают боли, имеющие иррадиирующий характер, подвижность и выпадение зубов, возможны патологические переломы челюсти. Злокачественные опухоли челюстей разрушают костную ткань; прорастают околоушные и поднижнечелюстные железы, жевательные мышцы; метастазируют в шейные и поднижнечелюстные лимфоузлы.
Карцинома верхней челюсти может прорастать в глазницу, полость носа или решетчатый лабиринт. В этом случае отмечаются рецидивирующие носовые кровотечения, односторонний гнойный ринит, затруднение носового дыхания, головные боли, слезотечение, экзофтальм, диплопия, хемоз. При вовлечении ветвей тройничного нерва беспокоят оталгии.
Злокачественные опухоли нижней челюсти рано инфильтрируют мягкие ткани дна полости рта и щек, изъязвляются, кровоточат. Вследствие контрактур крыловидной и жевательной мышц затрудняется смыкание и размыкание зубов. Остеогенные саркомы отличаются стремительным ростом, быстро прогрессирующей инфильтрацией мягких тканей, асимметрией лица, нестерпимой болью, ранним метастазированием в легкие и другие органы.
Диагностика
В большинстве случаев опухоли челюстей диагностируются уже в поздних стадиях, что объясняется неспецифичностью симптоматики или бессимптомным течением, низкой онкологической настороженностью населения и специалистов (стоматологов, отоларингологов и др.). В выявлении опухолей челюстей могут помочь тщательный сбор анамнеза, визуальное и пальпаторное исследование мягких тканей лица и полости рта. Обязательным этапом диагностики является:
- Рентгенологическое обследование. Рентгенография и КТ челюстей, рентгенография и КТ придаточных пазух носа. Определенную диагностическую ценность может представлять сцинтиграфия, термография.
- Биопсия. При обнаружении увеличенных шейных или подчелюстных лимфоузлов выполняется пункционная биопсия лимфатического узла.
- Консультации смежных специалистов. При подозрении на злокачественную опухоль челюсти необходима консультация отоларинголога с проведением риноскопии и фарингоскопии; офтальмолога с комплексным офтальмологическим обследованием.
- Диагностические операции. В ряде случаев приходится прибегать к диагностической гайморотомии или диагностической пункции околоносовой пазухи с последующим цитологическим исследованием промывных вод. Окончательная гистологическая верификация осуществляется с помощью морфологического исследования биоптата.

Лечение опухолей челюстей
Лечение большей части доброкачественных опухолей челюстей – хирургическое. Наиболее оптимальным является удаление новообразования с резекцией челюстной кости в пределах здоровых границ; такой объем вмешательства позволяет предотвратить рецидивы и возможную малигнизацию опухоли. Зубы, прилегающие к опухоли, также часто подлежат экстракции. Возможно удаление некоторых доброкачественных опухолей челюстей, не склонных к рецидивированию, щадящим методом с помощью кюретажа.
При злокачественных опухолях челюстей используется комбинированный метод лечения: гамма-терапия с последующим хирургическим лечением (резекцией или экзартикуляцией челюсти, лимфаденэктомией, экзентерацией глазницы, операцией на околоносовых пазухах и пр.). В запущенных случаях назначается паллиативная лучевая терапия или химиотерапевтическое лечение.
В послеоперационном периоде, особенно после обширных резекций, больным может потребоваться ортопедическое лечение с помощью специальных шин, реконструктивные операции (костная пластика), длительная функциональная реабилитация для восстановления функций жевания, глотания, речи.
Прогноз
При своевременном и радикальном лечении доброкачественных одонтогенных и неодонтогенных опухолей челюстей прогноз для жизни хороший. В случае нерадикально выполненной операции или неправильной оценки характера опухоли есть вероятность рецидива или малигнизации. Течение злокачественных опухолей челюстей крайне неблагоприятное. При раке и саркоме челюсти пятилетняя выживаемость пациентов после комбинированного лечения составляет менее 20%.
Амелобластная фиброма с кальцифицирующей кистой у ребенка 8 лет
Амелобластные фибромы (АФ) являются новообразованиями одонтогенного эпителия и мезенхимальных тканей, и классифицируются как смешанные одонтогенные опухоли. Другие смешанные одонтогенные поражения, такие как амелобластные фибродонтомы и одонтомы, имеют некоторые клинические, рентгенологические и гистологические сходства с АФ. Данное новообразование встречается редко и составляет примерно 1,5–4,5% всех одонтогенных опухолей [Regezi с соавт., 1978; Cohen и Bhattacharya, 2004; Philipsen с соавт., 1997; Cargini, 2012].
Эти поражения считаются опухолями детского и подросткового возраста и практически всегда возникают в первом и втором десятилетиях жизни [Slootweg, 1981]. Было отмечено небольшое преобладание пациентов мужского пола [Philipsen с соавт., 1997; Slootweg, 1981]. Наиболее распространенным местом для опухоли является дистальный отдел нижней челюсти, за ним следует дистальный отдел верхней челюсти. Пораженный зуб может быть связан с опухолью примерно в 75% случаев [Cohen и Bhattacharya, 2004; Philipsen с соавт., 1997; Trodahl, 1972; Nasim, 2015].
Поскольку АФ может потенциально содержать различные типы тканей, которые могут повлиять на окончательный диагноз, необходимо удалить опухоль, сохранив ее целостность для точного гистологического исследования. Этим принципом следует руководствоваться также в том случае, если рентгенологически очаг поражения имеет большую протяженность. Клинический случай, приведенный ниже, показывает правильный терапевтический подход, в соответствии с принципами онкологического лечения этой редкой патологии у детей.
Клинический случай
Пациентка, 8 лет, в декабре 2015 года была госпитализирована в Отделение челюстно-лицевой хирургии Университета Л’Акуила при Городской больнице Сан-Сальваторе, из-за отека в области преддверья на верхней челюсти справа. Клиническое обследование выявило отсутствие постоянного верхнего правого первого моляра. Рентгенограмма показала контрастную область в правой верхнечелюстной пазухе и смещение первого моляра в дистальном отделе верхней челюсти (рис. 1) .
Первоначально пациентка была направлена к нам для ортодонтического лечения с проведением небного расширения, с целью вытянуть ретенированный зуб [Tecco с соавт., 2007]. Но пациентка указала на боль в дистальном отделе нижней челюсти, которая первоначально трактовалась как боль в височно-нижнечелюстном суставе [Cianetti с соавт., 2017]. Затем была назначена компьютерная томография. КТ-срезы показали образование на верхней челюсти, которое в значительной степени занимало правую верхнечелюстную пазуху, и простиралось в крыловидно-верхнечелюстную ямку с серьезной деформацией стенок верхней челюсти (рис. 2) . Первоначально предполагалось, что это образование является воспалительной гранулемой [Tecco с соавт., 2018].
Пациентка была прооперирована под общим наркозом. Поражение энуклеировали пероральным доступом с помощью оптических инструментов. Образец был отправлен на гистопатологическое исследование. Макроскопическое исследование показало плотно-кистозное образование размером 3х1,7х1,2 см (рис. 3) . Твердая часть образования была белой, в то время как кистозная часть была коричнево-белой. Твердая часть размером 1,5х0,6х0,3 см содержала коричневатое полиповидное образование. Постоянный первый моляр также был удален (рис. 4, 5) .
Гистологическая характеристика
Гистологические срезы ткани, погруженной в парафин, имели толщину 4 мкм. Они были окрашены гематоксилином и эозином, а также Конго красным.
В твердой части поражения обнаружена клеточная миксоидная строма, напоминающая примитивный зубной сосочек, смешанная с многочисленными островками амелобластного эпителия, состоящего из взаимосвязанных нитей, островков и тяжей пролиферирующего одонтогенного эпителия, внутри плотной коллагеновой стромы. Тяжи в основном имели столбчатые или кубовидные клетки, расположенные по две. Периферический слой клеток показал обратную ядерную полярность и отчетливую базальную мембрану, характерную для АФ.
Были также отложения дентиноидной ткани, прилегающие к эпителиальной выстилке. В пределах примитивного зубного сосочка наблюдались эмалевые органоподобные эпителиальные островки, которые характеризуются как амелобластная фибродонтома (АФД).
Массы мертвых клеток (МК) также наблюдались в пределах амелобластного эпителия, в области АФ. Мертвые клетки — это бледные энуклеированные клетки, с однородной эозинофильной цитоплазмой и с очень четкой центральной областью, вместо базофильного ядра. Кальцификация, по-видимому, происходит в задней части МК. Только несколько одонтогенных и неодонтогенных опухолей демонстрируют присутствие этих МК в качестве характерной черты. МК типичны для кальцифицирующих одонтогенных кист (КОК), которые обычно связаны с другими одонтогенными опухолями, в основном одонтомой, и редко с АФ. Микроскопически КОК состоит из многочисленных многогранных масс эпителиальных клеток, с четко выраженным слоем столбчатых клеток, с характерной круговой кальцификацией.
Окончательный микроскопический диагноз представлял собой смешанную одонтогенную опухоль, большую часть которой можно охарактеризовать как амелобластную фиброму, с наличием участков представленных мертвыми клетками и следами амелобластной фибродонтомы. Часть гистологических срезов содержали только ткань АФ с участками КОК.
Иммуногистохимическая характеристика
Иммуногистохимическое исследование проводили с использованием системы обнаружения EnVision FLEX и Dako, с автостейнером Link 48 и иммуностейнером Dako (Agilent Technologies). Срезы обезвоживали и обрабатывали при рН6 или 9, температуре 97°С, в течение 15 минут в термостатической ванне (PT Link Dako). Наконец, срезы охлаждали в Tris (EnVision FLEX Wash Buffer) и вводили в иммуностайнер, а затем подвергали компьютеризированному циклу обработки. Затем они были окрашены гематоксилином Карацци, промыты в воде и обезвожены.
Для подтверждения гистологического диагноза использовали следующие маркеры: CK14, CK19, CD138, Ki67, S-100, GFAP, CK5-6, коллаген IV, p63, EGFR и p53. Результаты иммуногистохимического окрашивания были следующими:
- CK14: сильное окрашивание наблюдалось в эпителии АФ, а также в элементах КОК (рис. 6) ;
- CK19: окрашивание наблюдалось в эпителиальных элементах АФ, но CK19 был более сильно выражен в элементах КОК (рис. 7) ;
- CD138: этот маркер также известен как Синдекан-1. Сильное окрашивание наблюдалось в эпителиальных элементах АФ, а также в элементах КОК;
- Ki67: экспрессия этого маркера была положительной примерно в 1% амелобластных клеток и элементов КОК. Слабая экспрессия этого маркера указывала на низкую пролиферативную скорость, дополнительно обосновывая доброкачественный характер;
- S-100: сильное окрашивание этого маркера обычно наблюдается в клетках Лангерганса и Шванна. В очаге поражения было несколько S-100 положительных клеток в очагах эпителиальных компонентов, как в области АФД, так и в области АФ;
- GFAP (глиальный фибриллярный кислый белок): окрашивание не выявлено (отрицательная экспрессия);
- CK5-6: сильное окрашивание было в эпителиальных элементах АФ, а также в элементах КОК (рис. 8) ;
- Collagen IV: положительное окрашивание;
- p63: чрезвычайно сильное окрашивание было в эпителиальных элементах АФ, меньшее окрашивание было в элементах КОК;
- EGFR: сильное окрашивание наблюдается в эпителиальных элементах и элементах КОК;
- p53: окрашивание не выявлено (отрицательная экспрессия).
В данной статье представлен правильный терапевтический подход в соответствии с принципами онкологического лечения редкой патологии у пациентов детского возраста и данными гистологической и иммуногистохимической характеристик.
АФ обычно считается истинной смешанной одонтогенной опухолью, в которой как эпителиальные, так и эктомезенхимальные компоненты являются неопластическими. Действительно, эти образования показывают истинные неопластические особенности по отношению к другим смешанным одонтогенным опухолям, которые лучше классифицируются как гамартомы и, в отличие от АФ, имеют мало шансов на рецидив или злокачественную трансформацию [Slootweg, 1981; Nelson и Folk, 2009].
В пределах наших знаний, появление мертвых клеток в АФ, как и в КОК, является еще более редким событием: в международной литературе есть только семь случаев, в которых мертвые клетки встречаются в АФ, но все эти ранее сообщенные случаи были связаны с типичными КОК [Arora с соавт., 2015]. В данном случае очаговые зоны дифференцировки МК наблюдаются в пределах неопластического эпителия, в зоне АФ. Очаг поражения, описанный в нашем случае, был в основном солидным, с характерными признаками АФ. Кроме того, в нескольких областях был обнаружен амелобластный эпителий с признаками мертвых клеток и кальцификатами.
В литературе сообщается об уникальном случае у ребенка, 3,5 года, с солидным поражением, которое включало одонтогенные нити эпителия, островки и миксоидную эктомезенхиму, с очаговыми областями дифференцировки МК и кальцификации, связанными с неопластическим эпителием [Arora с соавт., 2015]. Сравнение иммуноистохимического окрашивания зон АФ и КОК показало, что маркер p63 вызывал чрезвычайно сильное окрашивание в эпителиальных элементах АФ, а более низкая степень окрашивания была в элементах КОК. В слизистой оболочке полости рта человека р63 в основном ограничивается базальным и пара-базальным слоями нормального эпителия [Gonçalves с соавт., 2012]. Поскольку одонтогенные кистозные поражения в основном имеют эпителиальное происхождение, белок p63 может быть сильно выражен во время их роста и прогрессирования, что указывает на сохранение и целостность кистозной одонтогенной эпителиальной выстилки и, таким образом, способствует сохранению поражения.
Ближайшие события
Остается неизвестным, развиваются ли вторично те КОК, которые имеют признаки других одонтогенных опухолей, или они сами являются вторичными явлениями в ранее существовавших одонтогенных опухолях [Arora с соавт., 2015]. В нашем случае более низкое окрашивание маркера p63 в элементах КОК, по-видимому, указывает на то, что это вторичное явление по отношению к ранее существовавшей одонтогенной опухоли.
Для того, чтобы в дальнейшем охарактеризовать поражения, следующие маркеры были использованы для иммуногистохимического исследования: CK14, CK19, CD138, Ki67, S-100, GFAP, CK5-6, Collagen IV, EGFR и p53. Цитокератин 14 и 19 окрашивают одонтогенный эпителий на всех стадиях развития зубов, включая фазы зубной пластинки и звездчатого ретикулума, хотя Цитокератин 19 более заметен на поздней стадии развития зубов [Crivelini с соавт., 2003; Домингес с соавт., 2000]. Таким образом, сильная экспрессия, которую мы обнаружили для CK14 и CK19 в эпителиальных клетках, подтвердила одонтогенную природу поражения. Маркер CD138 (также известный как Синдекан-1) в нашем случае показал сильное окрашивание эпителиальных элементов АФ, а также элементов КОК. Положительная экспрессия Синдекана-1 часто встречается в эпителии эмали во время созревания, и является общей чертой как стромальных клеток, так и внеклеточного матрикса, в то время как отсутствие экспрессии Синдекана-1 в стромальных клетках и внеклеточном матриксе можно рассматривать как критический фактор для канцерогенеза и локальной инвазивности внутрикостных амелобластом [Leocata с соавт., 2007].
Слабая экспрессия Ki67 в нашем поражении указывала на низкую скорость пролиферации этой опухоли, что подтверждает ее доброкачественную природу [Sano с соавт., 1998]. В очагах эпителиальных компонентов как в области АФД, так и в области АФ было несколько маркер-положительных клеток S-100, в то время как мезенхимальные клетки, характеризующиеся дендритной или веретенообразной формой, были положительными для белка S-100, как в области АФД, так и в области АФ [Takeda с соавт., 2000]. Сильное окрашивание этого маркера обычно наблюдается в клетках Лангерганса и Шванна. Положительное окрашивание для маркера GFAP наблюдалось только в эпителиальной мезенхимальной ткани, что свидетельствует о формировании незрелого дентина. Это наблюдалось в различном количестве оххваченных клеток в АФД. В АФ не было обнаружено GFAP-положительных клеток [Heikinheimo с соавт., 1992].
Однако окрашивание GFAP было отрицательным в других мезенхимальных и эпителиальных тканях. В нашем поражении положительное окрашивание было выражено для Collagen IV. Коллаген IV типа — один из компонентов базальной мембраны, которая является организованным внеклеточным матриксом, разделяющим эпителий и смежную строму соединительной ткани. Отсутствие или разрыв базальной мембраны коррелирует с агрессивным поведением опухолей. Согласно Heikinheimo с соавт. [1992], отсутствие ламинина и коллагена IV типа в базальной мембране и присутствие фибронектина, содержащего онкофетальный домен во внеклеточном матриксе амелобластомы, может коррелировать с их агрессивным поведением.
Рецептор эпидермального фактора роста (маркер EGFR) локализован на поверхностных мембранах многих типов клеток и в основном участвует в пролиферации клеток [Vered с соавт., 2003]. EGFR часто присутствует в эпителиальных элементах зародыша зуба человека, а также в кистозных одонтогенных поражениях и одонтогенных опухолях, что предполагает его участие в нормальном одонтогенезе и развитии этих поражений [Li с соавт., 1997; Tanikawa и соавт., 1999].
В нашем случае окрашивание для маркера р53 не было выявлено. Некоторые исследования связывали инфекцию высокого риска ВПЧ-16 (HR-HPV16) с чрезмерной экспрессией или мутацией гена p53 при раке полости рта [Cutilli с соавт. 2016; Cutilli и соавт., 2016(б)]. Опухоль КОК, также известная как опухоль Пиндборга, характеризующаяся наличием амилоидной ткани, в нашем случае не была обнаружена. Клиническое, патологическое и биологическое поведение АФ требует особого внимания, особенно когда это касается детей. Радикальное хирургическое иссечение с удалением пораженных зубов является методом выбора.
Частота повторения варьируется среди источников, но считается низкой [Leider с соавт., 1992; Altini и соавт., 1985]. Однако, возможность злокачественной трансформации АФ в амелобластную фибросаркому хорошо документирована [Leider с соавт., 1992; Altini и соавт., 1985]. По этой причине регулярное наблюдение является обязательным. Очаг поражения может быть удален путем радикальной энуклеации, энуклеации со стерилизацией костных краев с помощью химических веществ (жидкий азот и др.) или механически (бор).
Томмазо Кутилли, Отделение челюстно-лицевой хирургии, Городская больница Сан-Сальваторе, Л’Акуила, Италия
T. Cutilli, Maxillofacial Surgery Operative Unit, San Salvatore City Hospital, L’Aquila, Italy
Джино Колетти Патологоанатомическое отделение, Городская больница Сан-Сальваторе, Л’Акуила, Италия
G. Coletti, Pathology Operative Unit, San Salvatore City Hospital, L’Aquila, Italy
Мохаммад Валид А. Фатер, Патологоанатомическое отделение, Городская больница Сан-Сальваторе, Л’Акуила, Италия
M. Walid A. Fatayer, Pathology Operative Unit, San Salvatore City Hospital, L’Aquila, Italy
Сильвия Карузо, Школа стоматологии Университета Л’Акуила, Италия
S. Caruso, Dental School, Department of Life, Health and Environmental Sciences, University of L’Aquila, Italy
Симона Текко, Школа стоматологии, Университет Vita-Salute San Raffaele, Милан, Италия
S. Tecco, Dental School, Vita-Salute San Raffaele University, Milan, Italy
Рoберто Гатто, Школа стоматологии Университета Л’Акуила, Италия
R. Gatto, Dental School, Department of Life, Health and Environmental Sciences, University of L’Aquila, Italy
Пьетро Леоката, Патологоанатомическое отделение, Городская больница Сан-Сальваторе, Л’Акуила, Италия
P. Leocata, Pathology Operative Unit, San Salvatore City Hospital, L’Aquila, Italy
Аннотация. Амелобластная фиброма (АФ) является редкой одонтогенной опухолью, которая может показывать агрессивное поведение и иметь потенциал для злокачественной трансформации. Дифференцировка мертвых клеток (МК) в пределах АФ встречается крайне редко. В международной литературе есть только семь случаев, в которых мертвые клетки встречаются в АФ. В этом исследовании мы сообщаем о случае пациентки, 8 лет, с плотно-кистозным новообразованием, размерами 3х1,7х1,2 см, охарактеризованным как смешанная одонтогенная опухоль, большую часть которой можно охарактеризовать как амелобластную фиброму, с наличием участков представленных мертвыми клетками и следами амелобластной фибродонтомы. Часть гистологических срезов содержали только ткань АФ с участками кальцифицирующей одонтогенной кисты. Также было проведено иммуногистохимическое исследование опухоли.
Ключевые слова: Амелобластная фиброма; кальцификация; КОК; мертвые клетки.
Keyword: Ameloblastic fibroma; calcification; COC; ghost cells.
Читайте также:
