Рентгенограмма, КТ при зубной кисте
Добавил пользователь Владимир З. Обновлено: 28.11.2025
Киста зуба – это воспалительное образование округлой формы, представляющее из себя полость в костной ткани, которая выстлана изнутри фиброзной капсулой и заполнена гнойным содержимым (рис.1). В стоматологии для обозначения этой патологии чаще всего используются термины «корневая киста зуба» или «радикулярная киста» (от слова radix – корень). Это связано с тем, что наиболее частое место ее образования – это область верхушки корня зуба.
Образование кисты на корне зуба связано с инфекцией в корневых каналах. Чаще всего она появляется – 1) либо при отсутствии своевременного лечения пульпита или периодонтита зуба, 2) либо является следствием некачественного пломбирования корневых каналов. Формирование кисты происходит постепенно и длительно. Сначала у верхушки корня под воздействием инфекции в корневых каналах – образуется небольшая апикальная гранулема, которая в последствии увеличивается в размерах и трансформируется в кисту, заполненную гноем.
Как выглядит киста зуба: фото
Обратите внимание как киста на корне зуба выглядит на рентгеновском снимке – она имеет вид интенсивного затемнения у верхушки коня (для вашего удобства мы ограничили эту зону стрелками). Такое интенсивное затемнение у верхушки корня зуба – говорит о наличии в костной ткани участка разрушения кости в виде полости. На рис.3 вы можете увидеть – как выглядит киста на верхушке корня удаленного зуба (как мешочек, заполненный гноем).
Эта статья написана для пациентов, и поэтому в ней будет излишних медицинских подробностей. Но для полноты картины стоит добавить, что киста зуба может локализоваться не только на верхушке корня зуба, но и на боковой поверхности корня, а также между корнями у многокорневых зубов – в зоне бифуркации корней. Но такие локализации корневых кист встречаются достаточно редко, и поэтому подробнее мы разберем именно симптомы и лечение кисты зуба, имеющей локализацию у верхушки корня.
Вид кисты на корне удаленного зуба (видео 1) –
Киста зуба: симптомы
При возникновении кисты зуба – симптомы долгое время могут вообще отсутствовать. В этом случае кисты челюстей диагностируются случайно, например, при плановом рентгенологическом обследовании перед началом протезирования (обычно для этого делается панорамный снимок зубов – ортопантомограмма). Но незначительные симптомы все же могут иметь место. Например, могут быть периодические незначительные боли при накусывании на причинный зуб или небольшая болезненность при надавливании на десну в проекции корня зуба.
Причем такие симптомы пациент будет чувствовать непостоянно, а только периодически. Например, они могут возникать после переохлаждения, на фоне снижения иммунитета и простудных заболеваний. В совсем редких случаях могут появиться острые боли при накусывании на причинный зуб, на фоне которых также могут наблюдаться припухлость десны и даже мягких тканей лица. На фоне обострения также может появиться небольшая подвижность зуба с кистой. Также, как правило, такое обострение может сопровождаться в том числе небольшой температурой и слабостью.
В ряде случаев кисту зуба можно заподозрить не только по этим второстепенным признакам. Порой ее можно даже увидеть, конечно, если она достигает больших размеров. При отсутствии лечения – размер кист медленно увеличивается, что связано с постоянной продукцией гноя в полость кисты. Увеличение количества гноя в полости кисты приводит к увеличению давления кисты на стенки, окружающей ее костной полости. Под таким давлением костная ткань медленно резорбируется, а киста расширяется. Мной были прооперирован ряд пациентов, размер кист у которых достигал 3-4 см в диаметре.
На верхней челюсти корневые кисты увеличиваются в размерах значительно быстрее, чем на верхней челюсти. Это связано с тем, что костная ткань верхней челюсти более мягкая и пористая по структуре, и поэтому ее резорбция всегда происходит быстрее. Если корневая киста возникает у премоляров и моляров верхней челюсти (4-5-6-7-8 зубы) – киста может даже занять весь объем гайморовой пазухи, а удаление кисты зуба в этом случае потребует проведения гайморотомии. В ряде случаев корневые кисты больших размеров могут быть видны при осмотре полости рта, а не только на прицельном или панорамном рентгеновском снимке.
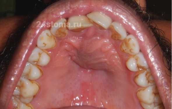
Корневая киста на верхней челюсти (вид в полости рта) –

Обратите внимание, что как в данном случае киста деформировала твердое небо. Такие деформации могут наблюдаться не только на небе, но и с передней стороны альвеолярного отростка верхней и нижней челюсти. Очень часто кисты больших размеров приводят к тому, что происходит полное разрушение костной ткани на передней поверхности альвеолярного отростка челюсти (в проекции корня причинного зуба). И получается так, что под слизистой оболочкой в этом участке будет находиться фиброзная оболочка кисты. В этом случае при пальпации вы не почувствуете твердой кости, палец будет немного проваливаться внутрь.
В каких случаях вы можете заподозрить у себя корневую кисту –
Во-первых, если у вас в одном из зубов периодически возникает дискомфорт или небольшая болезненность при накусывании (в этом случае дискомфорт вызовет и несильное постукивание по зубу). Но такие симптомы обычно характерны и для апикального периодонтита, который, кстати, тоже нужно срочно лечить. Но вот что для обычного апикального периодонтита не характерно, но характерно для корневой кисты – это болезненность при пальпации десны в проекции корня причинного зуба.
Рентгенологическая диагностика –
Как мы уже сказали выше – окончательный диагноз можно поставить только по рентгеновскому снимку, на котором полостное образование в костной ткани всегда будет выглядеть – как затемнение округлой формы. На рентгеновских снимках ниже мы представили вам 3 варианта локализации корневых кист. Самая частая локализация – это корневые кисты у верхушки корня зуба, а вот кисты на боковой поверхности корня или расположенные между корнями многокорневых зубов – встречаются значительно реже.
Рентгенограммы корневых кист разной локализации –
Киста на корне зуба: причины возникновения
Как мы уже сказали выше – образование кисты на корне зуба связано с инфекцией в корневых каналах. Корневые каналы открываются на верхушках корней небольшими отверстиями, а это означает, что при воспалении бактерии и их токсины будут попадать за пределы зуба, формируя очаги воспаления у верхушек корней. На первом этапе у верхушки корня сначала формируется так называемая апикальная гранулема (размером до 0,5 см), которая представляет из себя участок грануляционной ткани, окруженный неплотной фиброзной капсулой.
Такая гранулема еще не имеет внутри полости с гноем, но при дальнейшем увеличении ее размера (свыше 0,5 см) – внутри нее формируется полость, выстланная изнутри эпителиальными клетками. Такое полостное образование уже соответствует понятию «корневая киста», хотя в стоматологии небольшие корневые кисты размером от 0,5 до 1,0 см – часто еще называют переходным термином «кистогранулемы». А собственно корневой кистой чаще всего называют образования диаметром более 1,0 см. Внутри полости кисты содержится гной, который продуцируется ее внутренней оболочкой.
Подробно о причинах развития кисты у верхушки корня зуба –
Инфекция в корневых каналах возникает не сама по себе, и это вам не какая-то психосоматика и связанная с ней, например, бронхиальная астма. Инфекция в полости зуба и корневых каналах появляется в двух следующих ситуациях:
- Не вылеченные вовремя кариес, пульпит и периодонтит –
пораженные кариесом ткани содержат большое количество кариесогенных микроорганизмов. Если кариес не лечится, то постепенно бактерии попадают в пульпу зуба (сосудисто-нервный пучок), вызывая в ней воспаление – пульпит. Если пульпит вовремя не лечится, что должно заключаться в удалении инфицированной пульпы и пломбировании корневых каналов – инфекция проникает через корневые каналы за пределы зуба. Это приводит к развитию очага воспаления у верхушки корня зуба, с последующим формированием корневой кисты (рис.5).
В норме каждый корневой канал зуба должен пломбироваться до верхушки корня. Если же канал пломбируется не до верхушки корня, то в недопломбированной части канала развивается инфекция, которая проникает за пределы зуба и также вызывает образование кисты. На рис.6-7 вы можете увидеть рентгенограммы зубов, корневые каналы которых были плохо запломбированы, что и вызвало в обоих случаях образование кисты зуба. На рис.6 белыми стрелками отмечены недопломбированные участки корневых каналов. На рис.7 в корневом канале видны только следы пломбировочного материала, т.е. корневой канал запломбирован неплотно и не на всем протяжении.
Причины развития корневых кист других локализаций –
Появление корневой кисты на боковой поверхности зуба обычно связано с тем, что от основного корневого канала в корне зуба всегда отходят многочисленные мелкие ответвления (открывающиеся отверстиями на боковой поверхности корня). Поэтому даже при качественном пломбировании основного корневого канала – есть очень маленький риск появления гранулемы или кисты на боковой поверхности корня.
Немного чаще можно встретить кисту еще одной локализации – между корнями у многокорневых зубов (в бифуркации корней). Такая киста обычно возникает, если нарушена целостность твердых тканей дна полости зуба, например, в результате возникновения трещины или перфорации дна полости зуба, либо перфорации верхней половины одного из корневых каналов. Такие осложнения чаще всего являются следствием ошибок стоматолога при лечении пульпита и периодонтита.
Киста зуба: лечение
Если у вас возникла киста на корне зуба – лечение может быть консервативным (терапевтическим) и хирургическим. Консервативное лечение будет заключаться в воздействии на кисту – специальной лечебной пастой на основе гидроокиси кальция, которой временно будут пломбироваться корневые каналы. Соответственно, если корневые каналы ее не были запломбированы – перед этим проводится вскрытие зуба и механическая обработка корневых каналов. Если же корневые каналы уже были запломбированы, но некачественно – сначала проводится их распломбировка.
Ниже мы покажем – как проводится терапевтическое лечение кисты зуба на конкретном примере. Нужно отметить, что хорошие результаты консервативной терапии могут быть достигнуты – даже при лечении кист достаточно больших размеров. Тем не менее существуют ситуации, когда консервативная терапия менее оптимальна, чем хирургическое удаление кисты.
Хирургическое лечение разумно применять, если…
- Если корневой канал запломбирован, но в нем стоит штифт, и существует риск перелома корня зуба при извлечении штифта из канала.
- Если корневой канал запломбирован, и на зубе есть искусственная коронка или он является опорой мостовидного протеза (после терапевтического лечения кисты коронки придется переделывать заново, а это стоит денег).
- При кистах большого размера.
- Если киста возникла в результате перфорации корня зуба.
- Если киста часто нагнаивается, например, каждый раз при попытке временного пломбирования корневых каналов лечебной пастой.
Обязательное условие (в том числе при наличии штифта и коронки) – корневой канал должен быть хорошо запломбирован как минимум на 2/3 его длины. Это позволит отсечь верхушку корня с недопломбированной частью канала, удалив ее вместе с оболочкой кисты, и при этом сохранить достаточную длину корня для того, чтобы он выдерживал жевательную нагрузку. Очень важный момент – удобство оперативного доступа, поэтому хирургическое удаление кисты редко проводится, например, у 6-7 зубов.
Терапевтическое лечение кисты на конкретном примере –
Сразу скажем, что такой метод лечения очень долгий (не меньше 2-3 месяцев), он потребует многочисленных визитов к стоматологу, а также он самый финансово-затратный. Последовательность действий будет следующей (ниже мы опишем основные этапы):
- Работа с корневыми каналами зуба –
если корневые каналы зуба не были ранее запломбированы, то на первом этапе из зуба удаляется погибшая пульпа и проводится инструментальная обработка корневых каналов. Если корневые каналы ранее уже были запломбированы, то сначала проводится их распломбировка. В данном случае киста возникла из-за недопломбировки корневого канала до верхушки корня (рис.8).
Т.к. канал ранее был запломбирован, то сначала его необходимо распломбировать, что и было сделано (рис.9). На самом деле в данной ситуации – намного проще и дешевле для пациента было провести операцию резекции. Она длилась бы около 30 минут, и о кисте можно было бы забыть. Но пациентка отказалась от хирургического метода лечения из-за боязни.
После окончательно пломбирования корневых каналов и постановки пломбы – пациент с периодичностью раз в несколько месяцев должен приходить к доктору и делать контрольный рентгеновский снимок. По снимку хорошо видна динамика уменьшения кисты и восстановления костной ткани. Сравните рентгеновский снимок на рис.12 (сделанный через 2,5 месяца после начала лечения) – со снимком до начала лечения на рис.8. Невооруженным глазом видно уменьшение размера кисты и восстановление костных балочек.
Неотложная помощь при обострении воспаления –
Выше мы уже говорили, что обычно для кисты зуба характерно хроническое вялотекущее течение воспалительного процесса. Однако в ряде случаев может произойти резкое обострение процесса – с появлением острых болей при накусывании на зуб и/или припухлости десны в проекции кисты. Когда пациент обращается на фоне обострения к стоматологу, то ему сразу проводят вскрытие зуба, чтобы дать отток гноя из полости кисты (через корневые каналы). Как это происходит – вы можете увидеть на видео 1.
Если при этом на десне есть припухлость, то пациента отправляют к хирургу-стоматологу для проведения разреза десны. Как проводится разрез десны – вы можете посмотреть на видео 2. После этого зуб оставляется открытым, а пациенту назначаются антибиотики, антисептические полоскания, нестероидные противовоспалительные средства.
Ну и в заключение хочется сказать о том – чем опасна киста зуба, если ее не лечить. Корневые кисты медленно увеличиваются в размерах, и представьте, что в вашей голове есть 2-3 см полость, заполненная гноем. Растущая киста, например, может захватывать корни соседних зубов, что потребует и в них пломбирования каналов. Кроме того киста может прорастать в гайморову пазуху и делать много других плохих вещей. Надеемся, что наша статья на тему: Киста зуба лечение – оказалась Вам полезной!
Источники:
1. Стоматологическое образование автора статьи,
2. На основе личного опыта работы врачом-стоматологом,
3. National Library of Medicine (USA),
4. «Амбулаторная хирургическая стоматология» (Безруков В.),
5. «Терапевтическая стоматология: Учебник» (Боровский Е.).
Рентгенограмма, КТ при зубной кисте
а) Терминология:
1. Синоним:
• Фолликулярная киста
2. Определение:
• Доброкачественная киста челюсти, связанная с коронкой непрорезавшегося/импактного зуба
б) Визуализация:
1. Общая характеристика:
• Лучший диагностический критерий:
о Экспансивное однокамерное просветление, обычно хорошо ограниченное кортикальной пластинкой, вокруг коронки непрорезавшегося или импактного зуба (перикорональное)
• Локализация:
о 75% в нижней челюсти
о Третьи моляры нижней челюсти > третьи моляры верхней челюсти > клыки верхней челюсти; сверхкомплектные зубы = 5%:
- Редко двухсторонние/множественные и несиндромные
• Размер:
о >чем фолликул в норме (3 мм), может быть огромной
• Морфология:
о Однокамерное образование с признаками гидравлической экспансии
(Слева) На панорамной рентгенограмме определяется четко отграниченное перикорональное просветление, связанное с коронкой импактного третьего моляра нижней челюсти слева. Маленькую зубную кисту невозможно отличить от других перикорональных рентгенонегативных очагов.
(Справа) На панорамной рентгенограмме у этого же пациента четыре года спустя определяется увеличение размеров очага, истончение краевой кортикальной пластинки, гидравлическая экспансия, характерная для зубной кисты. Обратите внимание на смещение корней пораженного третьею моляра сквозь нижний край нижней челюсти. (Слева) На сагиттальной КЛКТ вокруг коронки инвертированного мезиоденса (сверхкомплектного зуба в передних отделах верхней челюсти) определяется большое просветление, отграниченное кортикальной пластинкой. Патологический очаг, прикрепляющийся к ЦЭС, обусловливает легкое вздутие щечной кортикальной пластинки и дна полости носа.
(Справа) На аксиальной КЛКТ у этот же пациента определяется, что патологический очаг доходит до правого клыка и левой верхнечелюстной пазухи. Обратите внимание, что очаг является однокамерным и не содержит кальцинатов. Зуб выглядит как высокоплотное включение в центре очага. (Слева) На аксиальной КЛКТ визуализируются импактные третьи моляры нижней челюсти; справа увеличен зубной фолликул, что сопоставимо с зубной кистой. Сравните с противоположной стороной (норма). Место прикрепления - ЦЭС или область возле него.
(Справа) На аксиальной КТ с КУ в мягкотканном окне визуализируется зубная киста связанная с импактным третьим моляром верхней челюсти справа. Контрастное усиление, позволяющее предположить солидное новообразование, отсутствует. Обратите внимание на край кисты, образованный кортикальной пластинкой, что означает его прорастание в верхнечелюстную пазуху.
2. Рентгенография при зубной кисте:
• Интраоральные и панорамные рентгенограммы:
о Хорошо отграниченное однокамерное перикорональное просветление
о Может обнаруживаться значительное смещение связанного зуба
о Тенденция к резорбции корней соседних зубов
3. КТ при зубной кисте:
• КЛКТ и КТ в костном окне:
о Полностью рентгенопрозрачный просвет (без плотных включений)
о Позволяет оценить вздутие щечной и язычной кортикальных пластинок и связь с верхнечелюстной пазухой и нижнечелюстным каналом
4. МРТ при зубной кисте:
• Т1ВИ:
о Киста с сигналом низкой-промежуточной интенсивности
о Связанный зуб выглядит как локальный участок выпадения сигнала
• Т2ВИ:
о Киста с гиперинтенсивным сигналом
в) Дифференциальная диагностика зубной кисты:
1. Муральная амелобластома:
• Возникает в стенке существующей кисты: контрастирующийся узелок
• Может быть однокамерным или многокамерным экспансивным образованием
• Возможна агрессивная резорбция корней
2. Одонтогенная кератокиста:
• Одно- или многокамерная: не всегда перикорональная
• Менее выраженное вздутие кости, меньшая вероятность резорбции зубов
3. Амелобластическая фиброма:
• Одно- или многокамерная
• Средний возраст: 15 лет
4. Незрелая одонтома:
• Рентгеноконтрастные включения могут не быть рентгенологически очевидными на ранних стадиях
(Слева) На панорамной реформатированной КЛКТ определяются перикоронарные просветления вокруг второго и третьего моляров нижней челюсти справа, являющиеся двумя отдельными патологическими очагами: ОКК, связанной с третьим моляром, и зубной кистой, связанной со вторым моляром.
(Справа) На аксиальной КЛКТ у этого же пациента определяется смещение второго моляра с дистально ориентированной коронкой в щечную сторону. Зубная киста прикрепляется к ЦЭС. (Слева) На корональной КТ в костном окне определяется огромная зубная киста, связанная с третьим моляром верхней челюсти слева. Значительное смещение связанного зуба, особенно в верхнечелюстную пазуху, - типичный признак зубных кист. Обратите внимание на отсутствие латеральной стенки пазухи.
(Справа) На MPT (Т1 ВИ) у этого же пациента визуализируется зуб в виде участка выпадения сигнала. Латеральная стенка пазухи сохранена, однако на этом срезе определяется распроаранение патологического очага вдоль неба. (Слева) На аксиальной КТ в костном окне визуализируется вторично инфицированная зубная киаа, связанная с третьим моляром нижней челюсти слева. Обратите внимание на периостальную реакцию со стороны щечной и язычной кортикальной пластинки.
(Справа) На корональной КТ в костном окне у этот же пациента определяется нарушение целостности щечной кортикальной пластинки, обусловленное синусным трактом, на фоне периостальной реакции с щечной стороны. Обратите внимание на отсутствие отграничивающей кортикальной пластинки, что позволяет предположить инфекцию или другой патологический процесс. Склероз окружающей кости означает воспалительный ответ.
г) Патология:
1. Общая характеристика:
• Этиология:
о Скопление жидкости между редуцированным эмалевым эпителием и поверхностью коронки → перикорональная киста
• Сопутствующие нарушения:
о Множественные зубные кисты обнаруживаются при синдроме Марото-Лами (мукополисахаридоз VI типа)
о Могут возникать совместно с одонтомой и (редко) одонтогенной кератокистой и кальцифицирующей одонтогенной кистой
2. Микроскопия:
• Плоский многослойный неороговевающий эпителий:
о Крепится к цементо-эмалевому соединению
о Может содержать клетки острого или хронического воспаления
д) Клинические особенности:
1. Проявления:
• Типичные признаки/симптомы:
о Задержка прорезывания вовлеченного зуба
• Другие признаки/симптомы:
о Симптомы возникают при инфицировании кисты или переломе
2. Демография:
• Возраст:
о Наиболее часто 10-30 лет
• Пол:
о М:Ж = 3:2
• Эпидемиология:
о Вторая наиболее распространенная киста челюстей после радикулярной
о Заболеваемость: люди с белой кожей > темной кожей (или азиаты)
3. Течение и прогноз:
• Эпителий фолликула обладает способностью к резорбции костной ткани, вследствие чего кисты могут достигать очень больших размеров; экспрессия СОХ-2 в эпителии может способствовать пролиферации клеток
• В выстилке могут возникать муральные амелобластомы, плоскоклеточный рак, мукоэпидермоидный рак:
о Киста может принимать вид вторичного очага
4. Лечение:
• Энуклеация кисты и удаление зуба или марсупиализация и ортодонтическое вмешательство
• Для исключения иной патологии требуется биопсия
е) Диагностическая памятка:
1. Следует учесть:
• Перикорональные образования с плотными включениями(напр., одонтома) могут выглядеть полностью рентгенопрозрачными изначально
2. Советы по интерпретации изображений:
• Размер фолликула >3 мм крайне подозрителен на патологические изменения
• Отсутствие отграничивающей кортикальной пластинки позволяет предположить инфекцию или иное поражение
ж) Список использованной литературы:
1. Alsaegh MA et al: Odontogenic epithelial proliferation is correlated with COX-2 expression in dentigerous cyst and ameloblastoma. ExpTher Med. 13(1):247-253, 2017
1. Аббревиатура:
• Одонтогенная кератокиста (ОКК)
2. Синоним:
• Ранее использовавшийся термин: кератокистозная одонтогенная опухоль
3. Определение:
• Одонтогенная киста с место агрессивным характером и высоким уровнем рецидивов
1. Общая характеристика:
• Лучший диагностический критерий:
о Хорошо отграниченное кистозное образование, приводящее к минимальному вздутию задних отделов нижней челюсти в соответствии со своим размером
• Локализация:
о Нижняя: верхняя челюсть = 2:1:
- Наиболее типично поражение задних отделов обеих челюстей:
Особенно области третьего моляра
Распространение в ветвь
о Участки, несущие зубы:
- Эпицентр над каналом нижнего альвеолярного нерва в нижней челюсти
о Часто перикоронально по отношению к непрорезавшемуся зубу
• Размер:
о Мелкое однокамерное-крупное многокамерное образование, растущее вдоль длинника нижней челюсти, в т.ч. ее ветви
• Морфология:
о Наиболее часто однокамерная киста
о Большие кисты могут быть многокамерными:
- Камеры (при их наличии) обычно крупные и немногочисленные
- Многокамерные кисты часто придают фестончатый характер краям

(Слева) На кадрированной панорамной рентгенограмме определяется большая ОКК вокруг коронки смещенного импактного третьего моляра нижней челюсти, занимающая ветвь целиком. Края выглядят фестончатыми внутри кисты визуализируются несколько небольших перегородок.
(Справа) На аксиальной КТ в костном окне у этого же пациента определяется гиподенсная киста, приводящая к вздутию язычной кортикальной пластинки нижней челюсти. Определяется периостальная реакция вдоль щечной кортикальной пластинки, означающая вторичную инфекцию.
2. Рентгенография при одонтогенной кератокисте:
• Форма:
о Гидравлическая экспансия или фестончатые края
• Края:
о Четкие, с кортикальной пластинкой
• Внутреннее содержимое:
о Полностью рентгенопрозрачное
о Маленькие перегородки могут придавать кисте вид многокамерной
• Воздействие на окружающие структуры:
о Иногда смещение зуба и резорбция корней
о Апикальное смещение зуба при перикорональном положении
о Распространение в верхнечелюстную пазуху с ее заполнением
о Смещение канала нижнечелюстного нерва книзу
3. КТ при одонтогенной кератокисте:
• КТ в костном окне/КЛКТ:
о Гидравлическая экспансия верхней челюсти и ее ветви:
- Менее выраженная экспансия тела нижней челюсти:
Рост кисты вдоль кости
о Фестончатая эндостальная поверхность кортикальных пластинок:
- Напоминает простую костную кисту
- Ищите дополнительные признаки агрессивности ОКК
о Также обнаруживается перфорация кортикальных пластинок:
- Показатель вероятного вовлечения мягких тканей
• КТ в мягкотканном окне:
о Участки повышенной плотности внутри кисты
• КТ с КУ:
о Отсутствие накопления контраста внутри кисты
4. МРТ при одонтогенной кератокисте:
• Т1 ВИ:
о Сигнал промежуточной интенсивности:
- Обусловленный кератиновым дебрисом
• Т2 ВИ:
о Неоднородный сигнал низкой - высокой интенсивности
• ДВИ:
о Низкие значения измеряемого коэффициента диффузии в кисте:
- Означает повышение вязкости
• Т1 ВИ С+:
о Тонкий/почти отсутствующий контрастирующийся «ободок»
о Отсутствие солидного объемного образования
5. Рекомендации по визуализации:
• Лучший метод визуализации:
о Костный алгоритм лучше всего подходит для оценки краев
о КТ с КУ для исключения контрастирующегося солидного компонента
о МРТ позволяет отличить ОКК от других поражений
• Выбор протокола:
о Тонкосрезовая КТ/КЛКТ с мультипланарным реформатированием

(Слева) На сагиттальной КЛКТ (под углом) и профильных срезах определяется ОКК в виде хорошо отграниченного гиподенсного кистозного образования с фестончатыми краями и единственной перегородкой внутри. Вздутие выражено минимально, но нижнечелюстной канал смещен книзу.
(Справа) На корональной КТ в костном окне определяется ОКК, подвергнутая марсупиализации. Определяются костные наслоения, заполняющие кисту, начиная с кортикальных пластинок на периферии (в области, где осущеавлялось вмешательство) с наличием дефекта минимального размера.
в) Дифференциальная диагностика одонтогенной кератокисты:
1. Зубная киста:
• Всегда окружает коронку непрорезавшегося зуба
• Перикорональная ОКК может имитировать зубную кисту
• Перегородки или минимальное вздутие подозрительны на ОКК
• МРТ: более однородный гиперинтенсивный Т2 сигнал
2. Амелобластома:
• Многокамерное образование с большим количеством более толстых перегородок:
о Однокамерная кистозная амелобластома больше напоминает ОКК
• Более выраженное вздутие
• Чаще приводит к резорбции и смещению зубов
• МРТ: более толстые стенки, накапливающие контраст; солидное контрастирующееся образование
• Значения измеряемого коэффициента диффузии в кистозных участках выше, чем в ОКК
3. Радикулярная киста:
• Однокамерная
• Центрирована у вершины зуба
• Связана с нежизнеспособным зубом:
о С кариозной полостью, большими реставрированными участками, после эндодонтического лечения
о В области вершины пораженного зуба отсутствует твердая пластинка
4. Простая костная киста:
• Также приводит к минимальному вздутию и имеет фестончатые края:
о Как и ОКК, может проникать между корнями зубов
• Хуже отграничена кортикальной пластинкой
• Не смещает зубы и не приводит к их резорбции:
о Твердая пластинка остается интактной
• Нижнечелюстной канал не смещен

(Слева) На аксиальной МРТ (Т2 ВИ FSE) визуализируется ОКК, заполняющая правую верхнечелюстную пазуху и смещающая медиальную стенку. Киста имеет гиперинтенсивный сигнал с небольшим включением с сигналом промежуточной интенсивности (дебрис). Т2 сигнал в ОКК варьирует в зависимости от количества дебриса в ней.
(Справа) На аксиальной MPT (Т1 ВИ С+ FS) у этого же пациента определяется волнообразное расширение альвеолярного отростка верхней челюсти. Определяется участок с сигналом низкой интенсивности с тонким контрастирующимся «ободком» на периферии. Солидные объемные образования отсутствуют.
1. Общая характеристика:
• Этиология:
о Возникает из остатков зубной пластинки
о Несмотря на то, что аберрантная клеточная пролиферация подозрительна на новообразование, клинически проявляет себя как киста и требует соответствующего лечения:
- Следовательно, классифицируется как одонтогенная киста
• Генетика:
о Нормальная функция гена-супрессора опухоли РТСН (хромосома 9q22.3)
• Сопутствующие нарушения:
о Множественные ОКК при синдроме базальноклеточного невуса:
- 5% пациентов с ОКК
- Другие признаки:
Множественные базальноклеточные карциномы
Врожденные аномалии скелета
Обызвествление серповидной связки мозга
Вдавления на ладонях и стопах
о 5% ОКК множественные и не связаны с синдромом
2. Стадирование, классификация одонтогенной кератокисты:
• ОКК считается отдельной формой, не связанной с одонтогенной ортокератокистой
3. Макроскопические и хирургические особенности:
• Рыхлая киста с тонкой стенкой, содержащая жидкость и кератиновый дебрис:
о Внутреннее содержимое, полученное при аспирации или энуклеации:
- Жидкость соломенного цвета → гнойная жидкость → «творожистое» объемное образование
4. Микроскопия:
• Тонкий многослойный плоский эпителий толщиной 6-8 клеток
• «Рифленая» поверхность с признаками паракератоза
• Отчетливый базальный слой с палисадным расположением клеток
• Промежуток между плоским эпителием и соединительной тканью:
о Часто с отслоением эпителия
• Разрастающийся базальный слой и дочерние кисты в стенке
• Воспаление может нарушать характерную архитектуру и делать невозможной гистологическую диагностику
1. Проявления:
• Типичные признаки/симптомы:
о Большинство кист бессимптомны или проявляются увеличением челюсти
• Другие признаки/симптомы:
о Боль, отек или отделяемое:
- Более вероятны при вторичном инфицировании
- Рентгенологические признаки инфекции:
Толстый склеротический «ободок» вокруг кисты
Слоистые периостальные наложения
2. Демография:
• Возраст:
о Широко варьирует:
- Пик приходится на 10-30 лет
• Пол:
о М>Ж
• Эпидемиология:
о 5-10% кист челюстей
3. Течение и прогноз:
• Высокий уровень рецидивов:
о Средний: 30% (до 60%)
о Большинство рецидивов возникают в течение пяти лет, но могут и позже
о Требуется долговременное наблюдение
• Причины возникновения рецидива:
о Неполное удаление рыхлой эпителиальной выстилки
о Формирование дочерних кист
• Рецидив вероятнее возникает рядом с зубами:
о Часто требуется удаление вовлеченных зубов
4. Лечение:
• Энуклеация с периферической остеотомией или использованием раствора Карнуа (химический фиксатор): более благоприятный исход
• Резекция единым блоком:
о Более агрессивное удаление тканей:
- Не рекомендуется у детей
- Сложность реконструкции
• Марсупиализация (декомпрессия) с последующей энуклеацией:
о Хирургическое обнажение кисты и введение дренажа
о Необходимо, чтобы пациент имел возможность ежедневного промывания
о Методы визуализации важны для обеспечения успешного лечения после марсупиализации:
- КТ в костном окне/КЛ КТ -лучшие методы
- Заполнение происходит от периферии к центру
• Рекомендуется долгосрочный контроль рецидивов
1. Следует учесть:
• При множественных ОКК предполагайте синдром базальноклеточного невуса:
о Ищите кальцинаты в твердой мозговой оболочке (напр., в серповидной связке) на этих же КТ-сканах
2. Советы по интерпретации изображений:
• Поражение, хорошо отграниченное кортикальной пластинкой, с немногочисленными перегородками, растущее вдоль кости (а не приводящее к вздутию) подозрительно на ОКК
3. Заключение:
• Идентифицируйте пораженные зубы
• Отметьте перфорацию кортикальных пластинок
• Оцените положение по отношению к каналу нижнечелюстного нерва
ж) Список использованной литературы:
1. Abdi I et al: The effect of ameloblastoma and keratocystic odontogenic tumor on the displacement pattern of inferior alveolar canal in CBCT examinations. J Dent Res Dent Clin Dent Prospects. 10(3):155-61, 2016
2. Gotmare SS et al: Keratocystic odontogenic tumor with ossification and calcification: a case report with unusual histological findings. Indian J Dent Res. 27(4):441-444, 2016
3. Gupta RK et al: A rare simultaneous occurrence of odontogenic keratocyst and unicystic ameloblastoma in mandible: a case report. J Clin Diagn Res. 10(8):ZD01-4, 2016
4. Kaushik Ret al: Giant keratocystic odontogenic tumor: a challenging diagnosis. Autops Case Rep. 6(3):41-46, 2016
5. Kakimoto N et al: Contrast-enhanced multidetector computerized tomography for odontogenic cysts and cystic-appearing tumors of the jaws: is it useful? Oral Surg Oral Med Oral Pathol Oral Radiol. 115(1):104-13, 2013
Компьютерная томография зубов
Компьютерная томография зубов (КТ) – это относительно новый для стоматологии метод рентгенологического обследования зубов, челюстей и мягких тканей лица, который позволяет получить трехмерный 3D снимок зубов пациента. Трехмерный снимок на экране компьютера возникает в результате объединения большого количества послойных двухмерных снимков в единое целое, что становится возможным благодаря сложному программному обеспечению.
Этот метод обычно значительно информативней традиционной двухмерной плоской рентгенографии зубов, но это относится только к снимкам с высоким разрешением. Аппараты компьютерной томографии стоят очень дорого, клиники стараются эксплуатировать их до последнего, и поэтому очень часто приходится видеть и малоинформативные снимки с небольшим разрешением.
Пример аппарата КТ для стоматологии –


К традиционной двухмерной рентгенографии относят –
Если снимок КТ сделан в хорошем разрешении, то в сравнении с двухмерными традиционными рентгеновскими снимками – трехмерная цифровая компьютерная томография безусловно позволяет во много раз повысить качество диагностики, снизить риск постановки неправильного диагноза. Все это обеспечивается более высоким разрешением таких снимков, а также возможностью послойно исследовать объект на экране компьютера.
Показания к проведению КТ зубов и челюстей –
- диагностика при лечении корневых каналов,
- поиск трещин и перфораций корня зуба,
- планирование имплантации зубов,
- по направлению ортодонта,
- диагностика воспаления пазух,
- диагностика заболеваний височно-нижнечелюстного сустава,
- диагностика опухолей костей и мягких тканей лица.
Типы аппаратов для проведения КТ –
Это очень важный момент! Существует несколько видов аппаратов для проведения КТ зубов и челюстей. Очень важно знать – на каком именно аппарате вам будут делать КТ, т.к. некоторые из них обладают слишком высокой лучевой нагрузкой, а другие просто не смогут дать качественного изображения (в зависимости от того – снимаете ли вы костную ткань или мягкие ткани лица).
- Пошаговая компьютерная томография зубов –
это один из первых типов томографов, которые появились очень давно. Его отличает низкое разрешение изображения, низкая четкость структур костной ткани. Кроме того, лучевая нагрузка за 1 полное обследование челюстно-лицевой области будет составлять 1500 мкЗв (это в 1,5 раза превышает безопасную дозу в 1000 мкЗв в год).
- Мульти-спиральная компьютерная томография (МСКТ) –
на спиральном томографе лучевая нагрузка намного меньше – около 300-400 мкЗв, но все-равно она достаточно опасна. Как и у пошаговых томографов здесь присутствует низкое разрешение изображения, низкая четкость структур костной ткани. Но при этом спиральные томографы лучше всего подходят для проведения исследования мягких тканей лица (слюнных желез, мышц, лимфоузлов).
Важно : для просмотра получаемых трехмерных снимков используются специальные программы, совместимые с персональным компьютером. Такие программы содержат набор инструментов для обработки изображения в 2D- и 3D-форматах. Системы компьютерной томографии даже одного типа будут отличаться друг от друга как минимум по удобству программного обеспечения, что в конечном итоге определяет возможности врача для анализа изображения.
Таким образом, эффективность даже суперсовременной конуснолучевой компьютерной томографии может быть разной, и зависеть от возможностей программного обеспечения (отличающимся у разных производителей КЛКТ). Поэтому важен не только выбор типа КТ, но и конкретного производителя.
Компьютерная томография зубов: видео
Какие аппараты для КТ зубов будут лучшими –
Эта статья написана практикующим стоматологом, специализирующимся на хирургии и имплантации зубов. Нам не хочется, чтобы нас обвиняли в рекламе конкретного производителя, но многолетний опыт проб и ошибок позволяет нам сделать однозначный выбор в пользу «SIRONA Galileos», а на второе место мы бы поставили аппарат «PICASSO».
Важно : если вы делаете снимок для имплантации, то обязательно снимок должен быть сделан с разметкой в области отсутствующих зубов (запомните эту фразу)! Без разметки ваш снимок будет малоинформативен и практически бесполезен, поэтому об этом вы должны договариваться еще до проведения КТ. Не менее важно, чтобы в идеале разметка была сделана не рентген-лаборантом (это подразумевает среднее мед.образование), а именно врачом-рентгенологом.
В этом случае можно быть уверенным, что разметка будет сделана правильно, и во время операции ни врача, ни пациента не будут ждать неприятные сюрпризы. Если вы живете в Москве, то такие правильные снимки с разметкой мы отправляем пациентов делать в один из медицинских центров Москвы (к конкретному врачу-рентгенологу, с которым мы давно сотрудничаем), либо в сеть центров рентгенодиагностики «Picasso».
Компьютерная томография челюсти: цена в Москве
Стоимость КТ зубов в Москве прежде всего будет зависеть от размера исследуемой области, типа используемого аппарата, а также от того – необходимо ли вам распечатывать снимок на пленке (это будет дороже) или достаточно записи снимка на CD-диск. На КТ зубов цена, указанная ниже, уже включает запись снимка на CD, а также письменный анализ снимка врачом-рентгенологом.
Конусно-лучевая компьютерная томография зубов: цена
- КТ области 6*6 см (3 зуба) – 1700 руб.
- КТ области 6*10 см (1 челюсть с одной стороны) – 2900 руб.
- КТ области 7.5*10.0 см (2 челюсти с одной стороны) – 3700 руб.
- КТ области 7,5*14,5 см (обе челюсти) – 4200 руб.
- КТ придаточных пазух носа – 3900 руб.
- КТ 13.00*14.5 см (обе челюсти, придаточные пазухи носа, ВНЧС) – 4500 руб.
- КТ обоих височно-нижнечелюстных суставов – 6000 рублей (а вот если такой снимок будет сделан не с помощью конусно-лучевой томографии, а при помощи более дешевого линейного томографа, то его цена будет около 1500 рублей).
Как проводится КТ зубов –
Процедура может проводиться стоя или лежа, что будет зависеть от типа используемого аппарата для компьютерной томографии. Рентгенолог поставит вас таким образом, чтобы лучи аппарата точно фокусировались на исследуемой области лица. Вам будет предложено не двигаться пока источник и детектор рентгеновского излучения вращаются вокруг вас. Обычно это может занять от 20 до 40 секунд – для полного обследования всех зубов и челюстей, и менее 10 секунд – когда необходимо изучить только небольшую область челюсти или несколько зубов.
Во время конусно-лучевой компьютерной томографии вокруг головы пациента будет вращаться источник излучения и его детектор. Источник и детектор рентгеновского излучения монтируются на противоположных сторонах и вращаются в унисон. Только за один оборот вокруг головы детектор может генерировать от 150 до 200 двумерных (двухмерных) изображений с высоким разрешением, которые затем комбинируются программным обеспечением в трехмерное 3D-изображение.
Как мне подготовиться к процедуре?
Исследование КТ для челюстно-лицевой области не требует специальной подготовки. Перед процедурой вас могут попросить снять все предметы, которые могут помешать работе аппарата: металлические предметы, ювелирные изделия, очки, шпильки для волос, слуховые аппараты. При наличии во рту съемных зубных протезов с металлическими элементами – их также будет необходимо снять.
Также нужно предупредить врача рентгенолога о наличии в полости рта несъемных металлокерамических и цельнометаллических коронок. Это необходимо, чтобы рентгенолог поменял настройки аппарата для уменьшения величины искажения изображений в результате присутствия металлических изделий во время исследования. Женщины также должны всегда сообщать, если есть малейшая вероятность того, что они беременны.
Важно : перед началом исследования рентгенолог должен обязательно надеть на вас просвинцованный фартук, который закрывает грудную клетку. Кроме того, важным моментом является то, что исследование должен проводить именно рентгенолог, а не обычная медсестра, которая выполняет его роль. Поэтому немаловажно спросить – имеет ли специалист удостоверение о повышении квалификации по специальности «Рентгенология в стоматологии», а также попросить предъявить его копию.
К сожалению, очень в России часто можно встретить ситуацию, когда в стоматологических клиниках (в том числе государственных) снимки делают обычные медсестры, без специальной подготовки. Это безусловно грозит увеличением лучевой нагрузки на пациента, некачественными снимками, которые раз за разом приходится переделывать. Надеемся, что статья: 3Д снимок зубов цена отзывы – оказалась Вам полезной!
1. Стоматологическое образование автора статьи,
2. National Library of Medicine (USA),
3. «Лучевая диагностика в стоматологической имплантологии (Серова Н.),
4. « Конусно-лучевая томография в дентальной имплантологии (Нечаева Н. ).
Киста зуба, обнаруженная на компьютерной томограмме зубов
Проблема: пациентке «Диал-Дент» сделали компьютерную томограмму зубов, так как планировалась имплантация зубов. На КТ зубов обнаружена киста зуба на нижней челюсти, которая никак не проявлялась, и пациентка даже не догадывалась, что у корней зуба происходит воспаление, результатом которого может стать потеря зуба.

Решение: выполнено лечение канала зуба под микроскопом, в следствие чего полностью удалена киста зуба.

Диагностика по КТ зубов
Компьютерная томограмма зубов (КТ зубов) - информативный инструмент диагностики для стоматологов. По КТ зубов можно определить точное количество корней у зуба, ответвления, раздвоение корней, наличие ретинированных зубов, наличие воспаления у корней зубов (периодонтит), состояние костной ткани, достаточность кости для установки зубных имплантов, местоположение челюстного нерва и многое другое. В «Диал-Дент» есть собственный томограф, поэтому КТ делается прямо в клинике, за несколько минут. Врач сразу может просмотреть результат КТ и поставить правильный диагноз.
Достаточно часто по результатам КТ зубов выявляются проблемы, о которых пациент даже не догадывался. В данном случае КТ зубов сделано перед установкой имплантов. На КТ зубов обнаружено воспаление у корней, которое со временем могло привести к расшатыванию зуба и его потере. Пациентка даже не помнила, что этот зуб когда-то болел. В данный момент ничего не беспокоило, и только внимательность стоматолога-ортопеда С.В. Цукора помогла вовремя заметить проблему. В «Диал-Дент» перед протезированием зубов всегда делают полную компьютерную томограмму, чтобы видеть состояние всей полости рта и не упустить бессимптомные заболевания, которые могут снизить качество протезирования.
Фрагмент КТ зубов, на котором отчетливо видна киста:

Киста зуба – причина
В данном случае могло быть две причины возникновения кисты зуба. Первая – перегрев зуба при подготовке его под винир (зуб закрыт виниром). Это маловероятная причина, так как современные методы препарирования зубов практически исключают перегрев тканей зуба, поэтому можно устанавливать коронки на живые зубы, в которых нерв не удалялся. Вторая – травма зуба из-за глубокого прикуса. Эта причина более вероятна, поэтому при дальнейшем протезировании зубов будет сбалансирована нагрузка на данный зуб, чтобы исключить его перегрузку.
Киста зуба лечение
Киста зуба долгое время была показанием к удалению зуба. Только так можно было предотвратить распространение воспаления в кости на корни соседних зубов, тем самым сохранив остальные зубы. Современные стоматологи используют микроскоп и специальные эндодонтические инструменты, которые проходят в самые тонкие каналы зуба. В «Диал-Дент» лечат зубы только с микроскопом. С применением микроскопа стало возможно лечение кисты зуба без удаления. Нехирургическое лечение кисты зуба состоит в лечении корневых каналов, устранении воспаления внутри зуба, что останавливает воспаление у корней, герметичной пломбировке каналов.
Лечением каналов зуба занимается стоматолог-эндодонтист. Эндодонтист работает с микроскопом, знает современные инструменты и методики, необходимые для успешного лечения каналов. Применение микроскопа увеличивает видимость рабочего поля за счет оптического увеличения и дополнительной подсветки. Медицина развивается стремительно, поэтому, чтобы оказать своим пациентам самую высококачественную помощь, эндодонтисты «Диал-Дент» постоянно повышают свою квалификацию, посещают лекции и семинары ведущих мировых специалистов по лечению каналов зубов, проходят обучение по работе с новым оборудованием.

Для лечения кисты зуба потребовалось два посещения клиники. В первое посещение канал был очищен от воспаленных тканей, промыт противомикробными растворами, в канал помещено лекарство для полного уничтожения инфекции в зубе и у корней, зуб закрыт временной пломбой. Примерно через 2 недели был второй визит. Канал зуба промыт, просушен. Выполнен рентген зуба, чтобы определить точную длину канала. Канал герметично запломбирован горячей гуттаперчей (качество пломбировки проверяется рентгеновским снимком). Рентген зуба проводится прямо в кресле, пациенту не надо никуда ходить, так как рентгеновский аппарат есть в каждом кабинете «Диал-Дент». Полость зуба закрыта пломбой.
На КТ зубов, выполненной через 6 месяцев после лечения кисты зуба видно, что кость около корня восстановилась, никаких признаков кисты больше нет:

Стоимость лечения одноканального зуба (на май 2022 г.) - 17200 рублей.
Другие примеры лечения каналов зубов под микроскопом смотрите тут.
Читайте также:
- Строение скелетной мышечной ткани. Регенерация скелетной мышечной ткани.
- Показания для шва и реконструкции сухожилия трехглавой мышцы
- Схемы химиотерапии болезни Ходжкина - монохимиотерапия, полихимиотерапия
- Ксантоматоз: признаки и причины
- Многоплодная беременность. Частота многоплодной беременности.
