Рентгенограмма, МРТ при фиброме сухожильных влагалищ
Добавил пользователь Дмитрий К. Обновлено: 27.01.2026
МРТ-исследование плечевого сустава часто назначается травматологами как дополнительный метод диагностики. Оно показывает воспалительные, травматические, опухолевые, дегенеративные процессы суставных хрящей, связок, капсулы и окружающих мягких тканей. Благодаря этому магнитно-резонансная томография во многих случаях оказывается более результативной и надежной, нежели часто применяемая рентгенография плеча. Поэтому она назначается в том случае, если надо уточнить диагноз или определить заболевание, когда другие методы диагностики оказываются не эффективными.
Во время одной процедуры проводится сканирование одного сустава. Если Вам нужно обследовать оба, исследование продлится несколько дольше.
Зачем делать МРТ плечевого сустава
Боль и другие симптомы со стороны плечевого сустава могут быть следствием самых разных заболеваний, поэтому МРТ выполняют по множеству показаний:
- привычный вывих, блокирование движений, неприятные ощущения, хруст без причин или после перенесенных в прошлом травм;
- невозможность выполнить более простые исследования (рентгенография у беременных женщин);
- остеохондропатии головки плечевой кости;
- артрит, бурсит плечевого сустава;
- артрозы;
- аномалии развития плечевого сустава;
- уточнение характера жидкости в суставе (кровь, гной, воспалительный экссудат);
- опухоли сустава и окружающих мягких тканей, уточнение степени их прорастания;
- подготовка к операциям на плечевом суставе;
- свежие травмы плеча;
- признаки плечелопаточного периартрита.
МРТ считается лучшей методикой исследования плечевого сустава, так как она предназначена для изучения мягких тканей, которые и составляют основу сустава (хрящи, сухожилия, капсула). Томография позволяет зафиксировать самые небольшие изменения, например, разрывы отдельных сухожильных нитей после полученной травмы. При этом исследовании пациент не получает лучевой нагрузки, а значит, оно безопасно и может проводиться повторно. Это очень удобно в тех случаях, когда на протяжении лечения (например, после операции) нужно тщательно и регулярно отслеживать динамику выздоровления.
Плечевой сустав имеет достаточно сложное строение (несколько суставных сумок, сухожилие, проходящее внутри капсулы и т.д.). Чтобы визуализировать все его дополнительные образования, нужно иметь возможность получить снимки в разных плоскостях и с довольно большим увеличением. МРТ отличается высочайшей степенью детализации изображений и может представить самые качественные фото сустава, в том числе и в 3D-формате.
С собой необходимо взять если есть:
- направление врача;
- выписку из истории болезни или амбулаторной карты;
- снимки и описания результатов предыдущих исследований (не только МРТ, но и других);
- прочие документы, относящиеся к Вашему заболеванию.
Что получает пациент после МРТ, куда идти с результатами
После окончания процедуры МРТ Вы получите снимки и их описание.
Если Вы проходили исследование по направлению вашего врача, заключение нужно показать ему. Он назначит необходимое лечение либо даст направление к другому доктору, который займется Вашей проблемой.
В том случае, если Вы проходили МРТ по своей инициативе, выбор врача нужно будет сделать в зависимости от выявленного нарушения.
Если Вы не знаете, куда обратиться, этот вопрос можно уточнить у специалиста центра «Добрый доктор», который будет описывать Ваши результаты.
Стоимость МРТ исследований
| Номенклатура | Стоимость, руб. |
|---|---|
| Плечевой сустав | 3 700,00 |
Рекомендуется дополнительно пройти:
Адрес: г. Пенза, пр-т. Строителей, 9 (в торговом центре «Олимп»)
Режим работы: пн-сб: с 7:00 до 23:00, вс: с 8:00 до 23:00
Телефоны: 8 (8412) 202-200, 8 (8412) 305-802
ИНН: 5836632523
КПП: 583501001
ОГРН: 1085836003879
ОКПО: 88040148
Лицензия Л041-01166-58/00362786 на осуществление медицинской деятельности от 10.11.2015 г., выдана Министерством здравоохранения Пензенской области ООО «Добрый доктор».
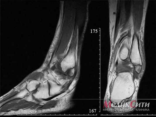
Рентгенограмма, МРТ при фиброме сухожильных влагалищ
а) Терминология:
1. Синонимы:
• Тендовагинальная фиброма
2. Определения:
• Доброкачественный фиброзный узелок, растущий около сухожилия
б) Визуализация:
(Слева) Рентгенография в боковой проекции: на ладонной поверхности средней фаланги определяется овальное мягкотканное образование без каких-либо специфических признаков.
(Справа) У этого же пациента при рентгенографии в косой проекции помимо образования, визуализируются выраженные эрозивные изменения прилежащей кости, что является не типичным для фибромы сухожильного влагалища. Утолщение кортикального слоя в области эрозивных изменений указывает на медленный рост образования. (Слева) При МРТ в коронарной плоскости на Т1 ВИ (слева) и сагиттальной плоскости на Т2 ВИ в режиме FS (справа) выявленное образование характеризуется соответственно гипоинтенсивным и негомогенно гиперинтенсивным сигналом. В сагиттальной плоскости видно, что образование прилежит к сухожилию сгибателя. На обоих изображениях хорошо заметны эрозивные изменения кости.
(Справа) У этого же пациента при МРТ с контрастным усилением в аксиальной плоскости на Т1 ВИ в режиме FS выявленное образование характеризуется умеренным контрастированием и слабо гетерогенной структурой, что является типичным для фибромы сухожильного влагалища. Методами лучевой диагностики отличить ее от гигантоклеточной опухоли сухожильного влагалища не представляется возможным. (Слева) При МРТ в сагиттальной плоскости на Т1 ВИ наладонной поверхности запястья определяется овальное образование без каких-либо специфических признаков. Образование характеризуется гомогенно изоинтенсивным по сравнению с мышцами сигналом.
(Справа) При МРТ в сагиттальной плоскости на Т2 ВИ в режиме FS овальное образование с дольчатым контуром характеризуется относительно гомогенным гиперинтенсивным сигналом. Имеется лишь слабый намек на то, что образование содержит волнистые коллагеновые волокна. Без контрастного усиления такое образование сложно отличить от ганглиозной кисты, однако в этом случае была подтверждена солидная его структура (не показано).
2. Рентгенография при фиброме сухожильных влагалищ:
• При рентгенографии изменения либо отсутствуют, либо выявляется мягкотканное образование
• В редких случаях обнаруживают эрозивные изменения костей
в) Дифференциальная диагностика фибромы сухожильных влагалищ:
1. Фиброзная гистиоцитома:
• Сходные локализация и клинические проявления
2. Узловатый фасциит:
• Может характеризоваться сходными гистологическими особенностями
• Отсутствует связь с влагалищем сухожилия
3. Гигантоклеточная опухоль сухожильного влагалища:
• Встречается чаще, чем фиброма сухожильного влагалища
• Имеет сходное расположение
• Характеризуется большей клеточностью, содержит многоядерные гигантские клетки
4. Воспалительная миксогиалиновая опухоль:
• Содержит особенные клетки, сходные по строению с клетками Березовского-Рид-Штернберга
(Слева) При МРТ в аксиальной плоскости на Т1 ВИ определяется слабо гетерогенное образование, изоинтенсивное по сравнению с прилежащими мышцами. Образование, располагаясь в глубоких отделах ладони, смещает сухожилия сгибателей и срединный нерв.
(Справа) При МРТ с контрастным усилением в аксиальной плоскости на Т1 ВИ в режиме FS выявленное образование характеризуется узловым характером контрастирования. При этом зона в центре контрастируется слабо. При резекции в данной зоне был обнаружен миксоидный субстрат, встречающийся относительно редко. (Слева) У этого же пациента при МРТ в аксиальной плоскости на Т2 ВИ в режиме FS выявленная фиброма сухожильного влагалища характеризуется преимущественно гиперинтенсивным сигналом и содержит лишь несколько зон, изоинтенсив ных по сравнению с мышцами.
(Справа) При МРТ в аксиальной плоскости на ППВИ с медиальной стороны заднего отдела стопы визуализируется образование, характеризующееся изоинтенсивным сигналом по сравнению с мышцами и наличием в центре волнистой гипоинтенсивной зоны. На медиальной поверхности ладьевидной кости выявляются эрозивные изменения. (Слева) У этого же пациента при МРТ в аксиальной плоскости на Т2 ВИ выявленное образование характеризуется гиперинтенсивным сигналом по сравнению с мышцами и наличием в центре гипоинтенсивной зоны. Образование прилежит к сухожилию задней большеберцовой мышцы, диффузно утолщенному вследствие тендиноза.
(Справа) При МРТ с контрастным усилением в аксиальной плоскости на Т1 ВИ выявленная фиброма сухожильного влагалища характеризуется выраженным контрастированием за исключением гипоинтенсивной зоны в центре, вероятно, соответствующей плотной ткани коллагенового типа.
г) Патология:
1. Общая характеристика:
• Этиология:
о Не установлена; вероятно, образование возникает в результате реактивных изменений:
- Сведения о травме в анамнезе обнаруживают лишь в 10% случаев
• Генетические особенности:
о Один случай с клональной хромосомной аномалией t(2;11) (q31—32; q12)
2. Макроскопические и хирургические особенности:
• Плотное, эластичное образование с четким контуром
• Дольчатая структура, может состоять из множества узелков
• Однородный бледно-серый или жемчужно-белый цвет
• Может характеризоваться наличием кистозного или миксоидного компонента
3. Микроскопия:
• Часто встречающиеся особенности:
о Малоклеточные узелки содержат веретеновидные клетки, напоминающие фибробласты
о Щелевидные сосудистые каналы
о Коллагеновая строма
о Выраженность митотической активности зависит от клеточности
о Положительная реакция на актин и виментин гладкомышечных клеток
• Реже встречающиеся особенности:
о Причудливые полиморфные клетки, могут иметь звездчатую форму
о Кистозный или миксоидный компонент
о Плотная гиалинизация
о Хондроидная или костная метаплазия
д) Клинические особенности:
1. Проявления:
• Типичные признаки:
о Безболезненное, медленно растущее, плотное образование
• Другие симптомы:
о Примерно у трети пациентов выявляют слабо выраженные боли и болезненность
о Уменьшение объема движения, феномен «щелкающего пальца»
о Сдавливание нерва, синдром запястного канала
2. Демография:
• Возраст:
о Любой; чаще всего 30-40 лет
• Пол:
о Преобладает мужской пол
• Эпидемиология:
о Семейная и этническая предрасположенности отсутствуют
3. Течение и прогноз:
• В четверти случаев возникает местный рецидив; может возникнуть в течение месяцев и лет после резекции
• Склонность к малигнизации отсутствует
4. Лечение:
• Резекция с сохранением прилежащего сухожилия
е) Список использованной литературы:
1. De Maeseneer М et al: Fibroma of the tendon sheath of the long head of the biceps tendon. Skeletal Radiol. 43(3):399-402, 2014
2. Glover M et al: Intra-articular fibroma of tendon sheath arising in the acromioclavicular joint. Skeletal Radiol. 43(5):681-6, 2014
3. Nishio J et at: Fibroma of tendon sheath with 11q rearrangements. Anticancer Res. 34(9):5159-62, 2014
4. Weiss SW et al: Benign fibroblastic/myofibroblastic proliferations. In Weiss SW et al: Enzinger and Weiss' Soft Tissue Tumors. 5th ed. Philadelphia: Elsevier. 203-06, 2008
5. Kransdorf MJ et al: Benign fibrous and fibrohistiocytic tumors. In Kransdorf MJ et al: Imaging of Soft Tissue Tumors. 2nd ed. Philadelphia: Lippincott
6. Farshid G et al: Elastofibroma. In Fletcher CDM et al: World Health Organization Classification of Tumours. Pathology and Genetics of Tumours of Soft Tissue and Bone. Lyon: IARC Press. 66, 2002
Магнитно-резонансная томография (МРТ) суставов
Эта акция - для наших друзей в "Одноклассниках", "ВКонтакте", "Яндекс.Дзене", YouTube и Telegram! Если вы являетесь другом или подписчиком стр.
Консультация невролога, нейрофизиолога со скидкой 20%
Пациенты, обратившиеся в нашу клинику и прошедшие исследования МРТ, рентген, ЭЭГ или РЭГ, могут получить первичную консультацию .
Для жителей районов Савеловский, Беговой, Аэропорт, Хорошевский
В этом месяце жителям районов Савеловский, Беговой, Аэропорт, Хорошевский» предоставляется скидка 5% на ВСЕ мед.
Город засыпает - просыпаются скидки!
Принимайте участие в наших акциях! Ночные скидки на МРТ! Стоимость исследования с 21.00 до 8.00 от 2 700 рублей! МРТ головного моз.
Волкова Анна Александровна
Кузьмин Михаил Владимирович
Ларина Людмила Александровна
Светчикова Екатерина Владимировна
Сильянова Евгения Викторовна
Скворцов Петр Александрович
Трушина Ольга Сергеевна
Диагностика. МРТ и рентген
Мы в Telegram и "Одноклассниках"
"Men's Health", медицинский блог (август 2016г.)
Суставы — это подвижные соединения скелета, благодаря которым мы можем жевать, разговаривать, ходить, двигать конечностями, бегать и прыгать. Словом, делать все то, на что способен здоровый человек.
В то же время суставы — одна из наиболее уязвимых составляющих нашего опорно-двигательного аппарата. Проблемы с ними имеются у каждого пятого (а по некоторым данным — у каждого третьего) жителя планеты. Виной тому — отсутствие физической активности, сидячий образ жизни, лишний вес и другие факторы, как внешние, так и внутренние. У людей же в возрасте 60+ распространенность артритов, артрозов и иных патологий достигает 80-90%.
Противопоставить этим неутешительным цифрам можно только одно — раннюю профилактику и адекватное лечение болезней суставов. Что, в свою очередь, невозможно без качественной диагностики.
В последние годы заболевания суставов значительно "омолодились" выросла необходимость в их качественной диагностике. Пройдите МРТ суставов в "МедикСити" прямо сейчас! Наши цены (весьма средние для Москвы) и акции на различные исследования вас приятно удивят.
Одним из самых информативных методов диагностики, отражающим объективную картину состояния элементов и тканей суставных соединений и близлежащих структур (сосудов, связок, хрящей, жировых отложений и т.д.) на сегодня является магнитно-резонансная томография суставов (МРТ).
Эта методика основана на использовании магнитного поля и радиоволн для исследования органов, суставов и костей и последующей послойной визуализации полученной информации с помощью специального компьютерного обеспечения.
МРТ суставов помогает обнаружить на самых ранних этапах дегенеративные изменения в суставах, разрывы мелких связок, сухожилий и мышц, различные повреждения суставных поверхностей.

МРТ голеностопа: перелом лодыжки

МРТ колена: норма

МРТ колена ребенка: норма
МРТ, рентген, УЗИ или КТ: сходства, различия, преимущества
Лечащий врач (ортопед, травматолог, ревматолог) рекомендует тот или иной диагностический метод, исходя из вида и формы заболевания, а также индивидуальных особенностей пациента.
Лучевая диагностика суставов, к которой относятся рентгенография и компьютерная томография, незаменима, когда нужно выяснить состояние костной структуры и соотношение костей, увидеть изменения формы и размеров суставной щели.
Также рентген укажет на растянутые связки, различные вывихи и травмы костей.
При диагностике изменений в мягких тканях рентген и КТ малоинформативны. В этом случае предпочтительнее МРТ или УЗИ суставов.
Учитывая различные сильные и слабые стороны каждого метода, специалисты зачастую назначают всю возможную диагностику для получения максимально точной картины.
Следует отметить, что лучевая диагностика отнюдь не безвредна и не подходит для беременных пациенток или людей, нуждающихся в повторных обследованиях (которые необходимы, например, при отслеживании динамики лечения).
УЗИ суставов применяется для определения состояния хрящевых структур, выявления воспалительных процессов и трещин.
К ультразвуковой диагностике прибегают в случае хронических и острых воспалительных заболеваний, разрывов сухожилий и связок и иных травм.
В сравнении с МРТ суставов, УЗИ гораздо доступнее по цене, однако магнитно-резонансная томография на порядок информативнее. С помощью этого метода можно получить 3D-изображение любого сустава и мягких тканей в любом срезе и любой проекции.
МРТ избавляет пациента от проведения таких болезненных методов исследования, как пункция и биопсия. Это один из оптимальных способов диагностики хронических артритов и дегенеративных заболеваний суставов.
Уникальная особенность МРТ состоит в том, что она позволяет обнаружить патологические изменения еще на той стадии, когда отсутствуют симптомы. Столь раннее выявление недуга при условии немедленно принятых и адекватных мер дает больному надежду на исцеление.
Что покажет МРТ малого таза у женщин

Магнитно-резонансная томография малого таза у женщин – это комплексное обследование женской мочеполовой системы. В рамках томографии обследуется матка, яичники, влагалище, шейка матки, маточные трубы, придатки, часть прямой кишки, мочевой пузырь. Данное обследование в диагностических центрах Санкт-Петербурга можно сделать как по направлению врача, так по личной инициативе пациентки. Чаще всего рекомендуют МРТ малого таза гинекологи, репродуктологи или онкологи. С ее помощью можно диагностировать широкий спектр заболеваний: полипы матки, кисты матки и яичников, миома, опухоли различного характера. Эта процедура носит неинвазивный характер и не сопряжена с облучением организма, поэтому может проводиться пациентам любого возраста неограниченное количество раз.
Что такое магнитно-резонансная томография органов малого таза
Принцип работы магнитно-резонансного томографа строится на явлении ядерного магнитного резонанса. В ходе исследования организм человека подвергается воздействию сильного магнитного поля и радиочастотных импульсов. В качестве ответной реакции на такое стимулирование атомы водорода в клетках органов и тканей начинают совершать колебательные движения. Этот резонанс улавливает датчик аппарата, оцифровывает его и выводит на монитор компьютера в виде трехмерных изображений исследуемой зоны. Чем больше воды содержится в обследуемых тканях, тем точнее и детальнее будут томограммы. Поскольку в органах малого таза содержание воды высокое, то МРТ является очень информативным методом сканирования репродуктивной система женщины.
Что входит в МРТ малого таза у женщин
В ходе МРТ малого таза у женщин оценивают следующие структуры:
- Матка и тело матки
- Эндометрий
- Шейка матки
- Цервикальный канал
- Яичники
- Стенки влагалища
- Мочевой пузырь
- Прямая кишка
- Нижняя часть мочеточников
- Клетчатка таза
- Лимфатические узлы
Что покажет МРТ органов малого таза у женщин
Особенно хорошо магнитно-резонансная томография органов малого таза способна проводить дифференциальную диагностику следующих заболеваний:
- доброкачественных и злокачественных опухолей, включая рак матки, рак шейки матки, рак яичников, рак влагалища;
- полипов матки;
- поликистоза яичников;
- миом матки;
- стенозов мочевыводящих путей;
- обструкции мочевого пузыря;
- новообразований мочевого пузыря.
МРТ при полипах матки
Одна из частых патологий, которую можно обнаружить МРТ органов малого таза, это полип. Чаще всего полип является доброкачественным новообразованием в виде очаговой гиперплазии эндометрия. Визуализируется он на МРТ как округлое образование с ровными контурами, форма матки при этом не деформирована. Встречается как в единственном, так и во множественном числе. Растет полип в просвете органа и особенных клинических проявлений не имеет. Клиника воспаления может появиться при инфицировании.
Причиной для образования полипа может послужить как фоновые воспалительные заболевания, так и нарушения гормонального фона. Локализуется полипозное образование в цервикальном канале, и в большинстве случаев его находят случайно. При полипах существует риск малигнизации, поэтому его ранняя диагностика на МРТ важна для профилактики раковых заболеваний у женщин.
МРТ при кисте матки и яичников
Еще одним доброкачественным образованием является киста. Появляется она из-за закупорки выводящего протока цервикальной железы, а также из-за эндометриоза. Киста, как правило, никак не беспокоит женщину, и обнаружить ее могут случайно при аппаратном диагностическом исследовании.
МРТ при миоме матки
Миома матки также не несет особого вреда и является доброкачественным новообразованием, причиной которого может стать повышенное содержание эстрогенов. Еще миому могут вызвать травмы во время операций, абортов. Развивается она из мышечного слоя матки, размеры ее могут меняться в ходе менструального цикла. На МРТ органов таза миома матки визуализируется темнее иных структур и имеет сниженную плотность. В узлах миомы могут определяться кисты и скопления солей.
Магнитно-резонансная томография органов малого таза с контрастом
В большинстве случаев нативная магнитно-резонансная томография малого таза решает все диагностические задачи. Однако при подозрении на новообразования и воспалительные очаги врач выдаст направление на МРТ органов малого таза с контрастированием. Задача данной процедуры - максимально увеличить тканевую контрастность на томограммах. Для этого пациентке перед обследованием или в ходе него вводится специальный контрастный препарат на базе гадолиния. Этот состав носит гипоаллергенный характер и легко выводится организмом в течение 24 часов через мочевыделительную систему. На контрастных снимках особенно хорошо будет видно:
- локализация и форма опухоли, ее контуры;
- размеры и степень инвазии в соседние органы;
- состав опухолевой ткани.
По типу накопления и сбрасывания контрастного препарата рентгенолог сможет судить о злокачественном потенциале объемного образования.
Подготовка
Для получения четких изображений женщине необходимо соблюдать ряд рекомендаций по подготовке к МРТ обследованию органов малого таза, иначе показания томографии могут быть искажены газами, каловыми массами и полупереваренной пищей.
За несколько дней до обследования нужно будет отказаться от брокколи, бобовых, сырых фруктов, капусты, сдобной выпечки, алкоголя, газировок и любых других продуктов, приводящих к повышенному газообразованию.
За 4 часа до начала МРТ запрещается прием любой пищи.
Если Вы страдаете метеоризмом, за день до исследования можно принять активированный уголь или таблетку эспумизана.
Перед обследованием нужно сделать так, чтобы мочевой пузырь был умеренно наполнен. До этого за 1 час до диагностики можно помочиться, затем выпить два стакана воды и уже больше не посещать туалет до процедуры.
На какой день цикла делать томографию
Чтобы получить наиболее точную и информативную визуализацию состояния женского здоровья, существуют некоторые правила выбора правильного дня для МРТ малого таза в соответствии с менструальным циклом. В большинстве случаев диагностику стоит проходить на 6-12 день после окончания менструации. В этом случае диагност сможет четко увидеть все новообразования и характерные особенности эндометрия. Если требуется проследить состояние в динамике, то МРТ проводят на 7, 15 и 23 сутки после окончания цикла. Не рекомендовано проводить магнитно-резонансную томографию во время менструации, поскольку в эти дни качественная визуализация яичников практически невозможна.
Процедура томографии
Для похода в МРТ кабинет рекомендуется выбирать одежду, в которой вам удобно лежать. Металлических элементов на одежде быть не должно (включая косточки или крючки на бюстгальтере) - они способны искажать результаты обследования. Украшения и металлические предметы Вас попросят сдать в камеру хранения, их можно будет забрать после обследования. Если Ваше нижнее белье все же содержит металлические инклюзии, мы рекомендуем взять с собой обычную хлопчатобумажную футболку, в которую можно будет переодеться в комнате подготовки к томографии. Некоторые частные медицинские клиники предлагает своим клиентам одноразовые халаты.
Само исследование на магнитно-резонансном томографе занимает в среднем 20 минут. Это время увеличивается в два раза, если проводится протокол контрастирования. Перед сканированием пациентку попросят лечь на томографический стол на спину, а на паховую зону прикрепят специальную пластиковую катушку. В подавляющем большинстве случаев МРТ органов малого таза у женщин проводится с помощью наружной катушки Body. Однако иногда магнитно-резонансную томографию назначено проводит с помощью эндовагианальной или эндоректальной катушки. Тогда небольшое пластиковое устройство врач поместит либо в задний проход, либо во влагалище женщины.
Основная задача обследуемого во время исследования – лежать без движения и выполнять простые команды оператора. От этого во многом будет зависеть качество получаемых изображений. Магнитно-резонансный томограф очень чувствителен к любому движению, если пациентке не удается сохранять неподвижность, на томограммах возникают артефакты движения, и информационная ценность обследования снижается.
Расшифровка
После окончания сканирования пациентку попросит подождать 30-40 минут, пока рентгенолог осуществляет процедуру расшифровки снимков. В ходе интерпретации он внимательно оценивает все анатомические особенности мочеполовой системы женщины и в своём письменном заключении отмечает все выявленные аномалии. На руки обследуемой выдадут пакет документов, состоящих из записи сканов, письменного заключения врача-рентгенолога и рекомендации по тому, что делать дальше.
Не нужно забывать, что рентгенолог занимается только проведением самой диагностики и дает фактическое описание той картины, которую видит. Постановка диагноза, назначение дополнительных анализов и дальнейшая терапия – все это дело рук лечащего врача, на прием к которому обязательно следует записаться после процедуры.
Пример заключения по результатам МРТ органов малого таза у женщин
На серии МР-томограмм, взвешенных по Т1-ВИ, Т2-ВИ и жироподавлении в трех плоскостях, получены изображения органов малого таза.
Матка в положении anteflexio anteversio, без признаков латерализации; тело матки размерами ~ 90х85х90мм (продольный размер; поперечный; переднезадний). Зональная анатомия матки прослеживается неотчетливо. В стенках матки отмечаются множественные интрамуральные и субсерозные миоматозные узлы округлой формы, с четкими ровными контурами, диаметром 20-40 мм, неоднородной структуры, с признаками кистозной и гиалиновой дегенерации. В периферических отделах миометрий выражено неоднородной структуры, сигнал повышен вследствие расширения сосудистых сплетений. Переходная зона неравномерно расширена. Определяются участки выраженного утолщения переходного слоя в передней (в значительно большей степени выраженности) и задней стенках матки (максимальными размерами до 57 мм в передней стенке), деформация внутреннего контура матки, с участками кистозной перестройки размерами 2-20 мм (более вероятно диффузная форма аденомиоза). Эндометрий суммарной толщиной 5-6 мм, однородной МР-структуры, изогиперинтенсивного МР-сигнала на Т2-ВИ. Полость матки не деформирована, не расширена.
Шейка матки не смещена, без выраженных особенностей. МР-сигнал от стенок шейки матки гипоинтенсивный на Т2-ВИ. В стенках визуализируются единичные Наботовы кисты с серозным и белковым содержимым, с четкими ровными контурами, диаметром 3-5 мм. Цервикальный канал не расширен.
Яичники типичного положения, прослеживаются по связке, в размерах не увеличены, строма яичников гипоинтенсивного МР-сигнала на Т2-ВИ. В яичниках определяются тонкостенные фолликулярные кисты, размерами: более мелкие, диаметром до 3 мм, а также единичные более крупные диаметром до 15 мм. В структуре левого яичника дополнительно визуализируется кистозное патологическое образование, с четкими ровными наружными контурами, размерами 25х22х26 мм, нижняя стенка утолщена до 6 мм, складывается впечатление о папиллярных разрастаниях. Также в левом яичнике выявляются 2 тонкостенные кисты (диаметром 7 мм и 17 мм), гиперинтенсивные на Т1-ВИ и Т1Fs-ИП, гипо- и гиперинтенсивного на Т2-ВИ (наиболее вероятно эндометриоидные кисты).
Стенки влагалища не утолщены, МР-сигнал от них без особенностей.
Мочевой пузырь умеренного наполнения, стенки его не утолщены. Содержимое мочевого пузыря однородной МР-структуры. Дистальные и интрамуральные отделы мочеточников не расширены, не деформированы.
Прямая кишка имеет обычное расположение, стенки ее не утолщены, однородной МР-структуры. Петли кишечника прилежат стенкам и ко дну матки.
В полости таза по ходу петель кишки имеется скопление небольшого количества жидкости.
Клетчатка таза имеет неоднородную МР-структуру за счет расширения сосудистых сплетений.
Увеличенных лимфатических узлов в зоне сканирования не определяется.
После внутривенного введения контрастного вещества участков его патологического накопления не определяется.
Заключение: МР-картина аденомиоза матки (диффузная форма), множественных миом матки. МР-признаки кистозного образования левого яичника. МР-признаки эндометриоидных кист левого яичника.
Противопоказания

Основные противопоказания к магнитно-резонансному исследованию связаны с магнитным полем томографа. Магнит имеет особенность притягивать металлические предметы, поэтому это обследование не осуществляют пациентам, у которых есть ферромагнитный металл в теле, например, стальные тазобедренные протезы, осколки, пули. Сильное магнитное поле установки может либо нагреть металл, либо спровоцировать его смещение, что может стать причиной внутреннего кровотечения или ожога. Имплантированные электронные устройства жизнеподдержания являются другим противопоказанием к МРТ. Они могут начать сбоить или полностью выйти из строя во время процедуры сканирования.
Беременность не является противопоказанием к магнитно-резонансному обследованию, если оно проводится без применения контрастного вещества. Иногда врачи не рекомендуют делать МРТ в первый триместр в качестве превентивных мер, чтобы избежать риска эмоционального всплеска у женщины из-за нахождения в замкнутом пространстве. Если пациентке необходимо сделать МРТ малого таза во время беременности, следует выбирать медицинские центры, где установлен полуоткрытый томограф (например, Toshiba Vantage Titan, Toshiba Япония - полуоткрытый контур, напряженностью 1,5 Тл; Philips Ingenia США - полуоткрытый контур, напряженностью 1,5 Тл; Siemens Espree, Siemens Германия - полуоткрытый контур, напряженностью 1,5 Тл). Конструкция данного аппарата имеет укороченную трубу длиной 70 см и более широкую апертуру 70 см в диаметре. На таких остановках беременная женщина будет чувствовать себя максимально комфортно во время исследования.
Противопоказания при контрастировании
Беременность является противопоказанием к проведению МРТ малого таза с контрастом. Дело в том, что у учёных нет подтверждённых данных о полной безопасности гадолиний-содержащего препарата для плода. Поэтому контрастную томографию стараются не проводить на протяжении всего времени вынашивания ребёнка, в период лактации просят остановить кормление грудью на 24 часа после введения контрастного препарата.
МРТ, УЗИ или КТ малого таза у женщин - что лучше
Основными аппаратными методами диагностики органов малого таза являются:
- Ультразвуковое исследование
- Магнитно-резонансная томография
- Компьютерная томография малого таза.
Сравнивая МРТ и КТ, можно отметить, что методы могут быть взаимозаменяемы, но имеют ряд отличий. Приоритетным методом сканирования репродуктивных органов у женщин и мужчин является магнитно-резонансная томография. По сравнению с компьютерной томографией она имеет лучшую тканевую контрастность и будет более информативной для выявления патологией матки и яичников. Диагностику мочевого пузыря во многих случаях более результативно делать на компьютерном томографе. КТ малого таза лучше покажет наличие канкрементов даже очень маленьких размеров. Кроме того, компьютерная томография допускает наличие шунтов, протезов из металла и кардио-имплантов и иногда назначается в случае противопоказаний к МРТ.
Несмотря на более высокую диагностическую ценность обеих томографий определение правильного метода обследования – задача лечащего врача. При выборе, что лучше сделать - МРТ или КТ малого таза, специалист обычно руководствуется сложностью и экстренностью ситуации, результатами предыдущих осмотров и наличием противопоказаний.
Как лучше сделать женскую магнитно-резонансную томографию таза
Качественная магнитно-резонансная томография органов малого таза потребует применения МРТ аппарата с индукционной мощностью не менее 1.5 Тесла. Это установки закрытого типа, которые способны создавать сильное магнитное поле. В большинстве случаев высокопольного томографа 1,5 Тл будет достаточно для качественного обследования, однако иногда врач может попросить пройти диагностику на супермощном аппарате 3 Тесла. Если Вы задаетесь вопросом, можно ли сделать качественную МРТ органов малого таза на открытом томографе, то, к сожалению, ответ будет - нет. Томографы открытого контура - это низкопольные аппараты (0,2-0,5 Тесла), и их сканирующей силы не будет хватать для того, чтобы всесторонне оценить состояние внутренних органов области паха. Даже если Вы страдаете клаустрофобией, то выбирать следует всё-таки высокопольный аппарат, но укороченного типа, или опцию пройти томографию под седацией.
Гигрома
Гигрома – осумкованное опухолевидное образование, наполненное серозно-фибринозной или серозно-слизистой жидкостью. Представляет собой доброкачественную кистозную опухоль. Располагается рядом с суставами или сухожильными влагалищами, чаще всего – в области лучезапястного сустава, на кисти, в области стопы и голеностопного сустава. Причины развития до конца не изучены, однако прослеживается наследственная предрасположенность и связь с повторной травматизацией. Небольшие гигромы обычно не причиняют никаких неудобств, кроме эстетических. При их увеличении или расположении рядом с нервами появляются боли; в некоторых случаях возможно нарушение чувствительности. Гигромы никогда не озлокачествляются и не представляют опасности для жизни больного. Консервативная терапия малоэффективна, рекомендуется хирургическое лечение – удаление гигромы.
Гигрома – доброкачественная кистозная опухоль, состоящая из плотной стенки, образованной соединительной тканью, и вязкого содержимого. Содержимое по виду напоминает прозрачное или желтоватое желе, а по характеру представляет собой серозную жидкость с примесью слизи или фибрина. Гигромы связаны с суставами или сухожильными влагалищами и располагаются поблизости от них. В зависимости от локализации могут быть либо мягкими, эластичными, либо твердыми, по плотности напоминающими кость или хрящ.
Чаще развиваются у молодых женщин. Составляют примерно 50% от всех доброкачественных опухолей лучезапястного сустава. Прогноз при гигромах благоприятный, однако, риск развития рецидивов достаточно высок по сравнению с другими видами доброкачественных опухолей.
Анатомия и механизм образования
Широко распространена точка зрения, что гигрома представляет собой обычное выпячивание неизмененной суставной капсулы или сухожильного влагалища с последующим ущемлением перешейка и образованием отдельно расположенного опухолевидного образования. Это не совсем верно.
Гигромы действительно связаны с суставами и сухожильными влагалищами, а их капсула состоит из соединительной ткани. Но есть и различия: клетки капсулы гигромы дегенеративно изменены. Предполагается, что первопричиной развития такой кисты является метаплазия (перерождение) клеток соединительной ткани. При этом возникает два вида клеток: одни (веретенообразные) образуют капсулу, другие (сферические) наполняются жидкостью, которая затем опорожняется в межклеточное пространство.
Именно поэтому консервативное лечение гигромы не обеспечивает желаемого результата, а после операций наблюдается достаточно высокий процент рецидивов. Если в области поражения остается хотя бы небольшой участок дегенеративно измененной ткани, ее клетки начинают размножаться, и болезнь рецидивирует.
Причины и частота развития
Установлено, что такие образования чаще появляются у кровных родственников, то есть, имеет место наследственная предрасположенность. Чуть более, чем в 30% случаев, возникновению гигромы предшествует однократная травма. Многие исследователи считают, что существует связь между развитием гигромы и повторной травматизацией или постоянной высокой нагрузкой на сустав или сухожилие.
У женщин гигромы наблюдаются почти в три раза чаще, чем у мужчин. При этом подавляющая часть случаев их возникновения приходится на молодой возраст – от 20 до 30 лет. У детей и пожилых людей гигромы развиваются достаточно редко.
Теоретически гигрома может появиться в любом месте, где есть соединительная ткань. Однако на практике гигромы обычно возникают в области дистальных отделов конечностей. Первое место по распространенности занимают гигромы на тыльной поверхности лучезапястного сустава. Реже встречаются гигромы на ладонной поверхности лучезапястного сустава, на кисти и пальцах, а также на стопе и голеностопном суставе.
Вначале в области сустава или сухожильного влагалища возникает небольшая локализованная опухоль, как правило, четко заметная под кожей. Обычно гигромы бывают одиночными, но в отдельных случаях наблюдается одновременное или почти одновременное возникновение нескольких гигром.
Встречаются как совсем мягкие, эластичные, так и твердые опухолевидные образования. Во всех случаях гигрома четко отграничена. Ее основание плотно связано с подлежащими тканями, а остальные поверхности подвижны и не спаяны с кожей и подкожной клетчаткой. Кожа над гигромой свободно смещается.
При давлении на область гигромы возникает острая боль. В отсутствие давления симптомы могут различаться и зависят от размера опухоли и ее расположения (например, соседства с нервами). Возможны постоянные тупые боли, иррадиирующие боли или боли, появляющиеся только после интенсивной нагрузки. Примерно в 35% случаев гигрома протекает бессимптомно.
Достаточно редко, когда гигрома расположена под связкой, она может долгое время оставаться незамеченной. В таких случаях пациенты обращаются к врачу из-за болей и неприятных ощущений при сгибании кисти или попытке обхватить рукой какой-то предмет.
Кожа над гигромой может как оставаться неизмененной, так и грубеть, приобретать красноватый оттенок и шелушиться. После активных движений гигрома может немного увеличиваться, а затем в покое снова уменьшаться.
Возможен как медленный, почти незаметный рост, так и быстрое увеличение. Обычно размер опухоли не превышает 3 см, однако в отдельных случаях гигромы достигают 6 см в диаметре. Самостоятельное рассасывание или самопроизвольное вскрытие невозможно. При этом гигромы никогда не перерождаются в рак, прогноз при них благоприятный.
Отдельные виды гигром
Гигромы в области лучезапястного сустава обычно возникают на тыльной стороне, по боковой или передней поверхности, в области тыльной поперечной связки. Как правило, они хорошо заметны под кожей. При расположении под связкой опухолевидное образование иногда становится видимым только при сильном сгибании кисти. Большинство таких гигром протекает бессимптомно и лишь у некоторых пациентов возникает незначительная боль или неприятные ощущения при движениях.
Реже гигромы появляются на ладонной поверхности лучезапястного сустава, почти в центре, чуть ближе к лучевой стороне (стороне большого пальца).
По консистенции гигромы в области лучезапястного сустава могут быть мягкими или плотноэластичными.
На тыльной стороне пальцев гигромы обычно возникают в основании дистальной фаланги или межфалангового сустава. Кожа над ними натягивается и истончается. Под кожей определяется небольшое плотное, округлое, безболезненное образование. Боли появляются только в отдельных случаях (например, при ушибе).
На ладонной стороне пальцев гигромы образуются из сухожильных влагалищ сгибателей. Они крупнее гигром, расположенных на тыльной стороне, и нередко занимают одну или две фаланги. По мере роста гигрома начинает давить на многочисленные нервные волокна в тканях ладонной поверхности пальца и нервы, расположенные по его боковым поверхностям, поэтому при такой локализации часто наблюдаются сильные боли, по своему характеру напоминающие невралгию. Иногда при пальпации гигромы выявляется флюктуация.
Реже гигромы возникают у основания пальцев. В этом отделе они мелкие, величиной с булавочную головку, болезненные при надавливании.
В дистальной (удаленной от центра) части ладони гигромы также возникают из сухожильных влагалищ сгибателей. Они отличаются небольшим размером и высокой плотностью, поэтому при осмотре их иногда путают с хрящевыми или костными образованиями. В покое обычно безболезненны. Боль появляется при попытке крепко обхватить твердый предмет, что может мешать профессиональной деятельности и доставлять неудобства в быту.
На нижней конечности гигромы обычно появляются в области стопы (на тыльной поверхности плюсны или пальцев) или на передне-наружной поверхности голеностопного сустава. Как правило, они безболезненны. Боли и воспаление могут возникать при натирании гигромы обувью. В отдельных случаях болевой синдром появляется из-за давления гигромы на расположенный поблизости нерв.
Обычно диагноз выставляется на основании анамнеза и характерных клинических проявлений. Для исключения костно-суставной патологии может быть назначена рентгенография. В сомнительных случаях выполняют УЗИ, или пункцию гигромы.
Ультразвуковое исследование дает возможность не только увидеть кисту, но и оценить ее структуру (однородная или наполненная жидкостью), определить, есть ли в стенке гигромы кровеносные сосуды и т.д. Преимуществами УЗИ являются простота, доступность, информативность и невысокая стоимость.
В прошлом гигрому пытались лечить раздавливанием или разминанием. Ряд врачей практиковали пункции, иногда – с одновременным введением энзимов или склерозирующих препаратов в полость гигромы. Применялось также физиолечение, лечебные грязи, повязки с различными мазями и т.д. Некоторые клиники используют перечисленные методики до сих пор, однако эффективность такой терапии нельзя назвать удовлетворительной.
Показания для хирургического лечения:
- Боль при движениях или в покое.
- Ограничение объема движений в суставе.
- Неэстетичный внешний вид.
- Быстрый рост образования.
Особенно рекомендовано хирургическое вмешательство при быстром росте гигромы, поскольку иссечение крупного образования сопряжено с рядом трудностей. Гигромы нередко располагаются рядом с нервами, сосудами и связками. Из-за роста опухоли эти образования начинают смещаться, и ее выделение становится более трудоемким.
Иногда хирургическое вмешательство выполняют в амбулаторных условиях. Однако во время операции возможно вскрытие сухожильного влагалища или сустава, поэтому пациентов лучше госпитализировать.
Операция обычно проводится под местным обезболиванием. Конечность обескровливают, накладывая резиновый жгут выше разреза. Обескровливание и введение анестетика в мягкие ткани вокруг гигромы позволяет четче обозначить границу между опухолевидным образованием и здоровыми тканями. При сложной локализации гигромы и образованиях большого размера возможно использование наркоза или проводниковой анестезии.
В процессе операции очень важно выделить и иссечь гигрому так, чтобы в области разреза не осталось даже небольших участков измененной ткани. В противном случае гигрома может рецидивировать.
Опухолевидное образование иссекают, уделяя особое внимание его основанию. Внимательно осматривают окружающие ткани, при обнаружении выделяют и удаляют маленькие кисты. Полость промывают, ушивают и дренируют резиновым выпускником. На область раны накладывают давящую повязку. Иммобилизация показана при больших гигромах в области суставов, а также при гигромах в области пальцев и кисти. Выпускник удаляют через 1-2 суток с момента операции. Швы снимают на 7-10 сутки.
В последние годы наряду с классической хирургической методикой иссечения гигромы многие клиники практикуют ее эндоскопическое удаление. Преимуществами данного способа лечения являются небольшой разрез, меньшая травматизация тканей и более быстрое восстановление после операции.
По всем вопросам лечения и диагностики гигром вы можете обратится к нашим врачам травматологам ортопедам
Читайте также:
