Рентгенограмма, МРТ при повреждении межберцового синдесмоза
Добавил пользователь Евгений Кузнецов Обновлено: 02.11.2025
Диагностика повреждения голеностопного сустава устанавливается после травматологического обследования. Рентгенография голеностопа в прямой и боковой проекциях позволяет визуализировать переломы, но не указывает на повреждения суставно-связочного аппарата. МРТ голеностопного сустава при кисте таранной кости МРТ голеностопного сустава позволяет определить разрыв связок, воспаление, злокачественные новообразования мягких тканей, расположенный вокруг сустава. Цена магнитно-резонансной томографии в Москве около 6000 рублей, поэтому не каждый человек при отсутствии сильной боли, значительного ограничения подвижности голеностопного сустава захочет отдавать данную сумму денег. Только при появлении более серьезных проблем в последующем возникает желание, сделать МР-сканирование голеностопа. Цена при данной ситуации играет второстепенную роль. Предварительно нужно определиться с показаниями, а при необходимости не отказываться от МР-сканирования. Почему? Расскажем ниже. Ортопеды-травматологи отмечают значительное количество диагностических ошибок при использовании для диагностики лишь рентгенографии голеностопного сустава. При физикальном осмотре не всегда удается заподозрить повреждение суставно-связочного аппарата, особенно, если существенно не ограничена подвижность конечности. Практика показывает, что клиническая картина не отражает полноту всех изменений на раннем и позднем посттравматическом этапе. Использование для диагностики способа двухпроекционной планарной рентгенографии обладает низкой информативностью. Вследствие этого специалисты выставляют неполные или некачественные диагнозы. Большая вероятность диагностических ошибок при диагностике колеблется в пределах от 8 до 36%. Единственное показание для использования рентгенографии голеностопного сустава – подозрение на перелом костей. В статье будет описано, что показывает мрт голеностопного сустава. Многие современные врачи лучевой диагностики предлагают использовать обследование для верификации патологии мягкотканого компонента. Высокая информативность метода, специфичность – эти достоинства помогают своевременно установить диагноз, провести правильное лечение. Низкое качество диагностики патологии хрящевого и связочного компонента при рентгенографии голеностопного сустава не позволяет провести качественное своевременное определение патологии. Низкое качество диагностики требует поиска новых алгоритмов и способов диагностики. Скопление жидкости и рубцевания сухожилия на МРТ Внутрисуставные поражения хряща приводят к проблемам при ходьбе, поэтому рационально внедрение МРТ для определения патологии. Доступная цена исследования позволяет использовать магнитно-резонансную томографию для выявления хрящевых поражений. Нужно лишь разработать современные алгоритмы для использования МР-сканирования голеностопа. О них поговорим несколько ниже.
МРТ голеностопного сустава – цена в Москве
Где сделать МРТ голеностопного сустав в Москве: 1. «СМ-клиника» возле метро Войковская – цена 6000 рублей; 2. «Медлюкс» возле метро Первомайская – 5950 рублей; 3. «К 31» возле метро по проспекту Вернадского – цена 8160 рублей; 4. ОАО «Медицина» -- стоимость 11420 рублей; 5. Клиника «Столица» вдоль метро Смоленская – цена 4600 рублей. При проведении МР-томографии голеностопа удается обнаружить даже небольшие аномалии, расположенные в мягких тканях вдоль костных структур. При проведении магнитно-резонансной томографии удается обнаружить следующие нозологические формы – остеоартроз, травмы, воспалительные очаги, дегенерация сухожилий, болезнь Диаза, артрит, ганглиевые кисты, асептический некроз костей. Очевидно, что магнитно-резонансное сканирование голеностопа и других суставов показывает патологию аналогичную той, которая обнаруживается при рентгенографии. Возможность получения дополнительной диагностической информации при магнитно-резонансной томографии, отсутствие радиационного воздействия на пациента – эти особенности должны использоваться в медицине. Пока государственная система сможет предложить дорогостоящие методы для массового практического использования, предлагаем людям с повреждениями голеностопного сустава обращаться в клиники, несмотря на несколько высокую цену обследования.
Когда делают МРТ голеностопного сустава с контрастом
Для повышения диагностических возможностей МРТ голеностопного сустава назначается обследование с контрастом. Для проведения сканирования внутривенно вводится гадолиний – контраст с содержанием металлических компонентов, который выводится за сутки без повреждения внутренних органов. Противопоказанием к контрастированию является недостаточность почек. Другие противопоказания к магнитно-резонансной томографии: • Наличие металлических имплантов в теле; • Первые три месяца вынашивания ребенка; • Психиатрическая патология. Специалисты рекомендуют ограничивать магнитно-резонансную томографию детям до 14 лет. Практических исследований относительно вредности обследования в детском возрасте не существует, но при активном развитии клеток желательно ограничивать любое внешнее воздействие.
Что показывает МРТ голеностопного сустава с контрастом
Магнитно-резонансная томография проводится для оценки суставно-капсульного аппарата, хрящевых структур, связок, окружающих голеностоп. Большая часть клиницистов и анатомов не может по клиническим симптомам определить повреждение боковых связок, состояния межберцового синдесмоза. Совокупность латеральных связок – пяточно-малоберцовая, таранно-малоберцовые (задняя и передняя). Передняя малоберцово-таранная связка самая слабая и тонкая. Комплекс связочных структур тесно опутывает голеностопный сустав, поэтому требует существенного ограничения инверсии. Повреждение данного комплекса клинически оценивается при подворачивании стопы. Болевой синдром или нарушение ротации позволяет предположить повреждение. Самая большая связка голеностопа – дельтовидная. Структура прикрепляется к верхней части внутренней лодыжки, а затем расходится и прикрепляется к ладьевидной, таранной и пяточной кости. Анатомически на препарате сложно разделить комплекс дистальной части дельтовидной связки на отдельные группы. При исследовании томограммы также сложно выявить переднюю-таранно-большеберцовую, большеберцово-ладьевидную, таранно-большеберцовую и другие пучки. Изолированные поражения комплекса связочных структур определить достаточно сложно. Самое частое повреждение – разрыв дистального межберцового синдесмоза. На данную область приходится около 40% массы тела. При резком повороте голеностопа часто возникает разрыв, но его можно обнаружить при выполнении рентгенографии в прямой проекции. Магнитно-резонансная томография необходима для оценки изменений и определения дальнейшей тактики лечения. У детей случается отрыв передней таранно-малоберцовой связки при подвороте стопы кнутри. Без МР-сканирования нельзя оценить данную патологию. С развитием артроскопии повышается необходимость использования магнитно-резонансной томографии для исследования суставов. Комплексное исследование МРТ при травматических повреждениях конечностей также может использоваться, но требуется разработка показаний, противопоказаний к обследованию.
Магнитно-резонансная томография голеностопа – алгоритмы диагностики

При подозрении на изолированные поражения голеностопа применяется рентгенография. Способ позволяет выявить нарушения соотношений между костными структурами сустава, определить состояние капсулы, хрящевых замыкательных пластин. Магнитно-резонансная томография голеностопа при разрыве дельтовидной связки После сканирования повышается вероятность своевременной диагностики переломов, верификации костных изменений. Для определения других повреждений требуется смена режима. Суставно-связочный аппарат на томограммах хорошо визуализируется при T2-взвешенном режиме. Поражение передней таранно-малоберцовой связки позволяет визуализировать отрыв костного фрагмента. Трехмерное моделирование позволяется визуализировать суставные структуры в пространственном отношении. Картина помогает хирургу более объективно представить характер последующих оперативных вмешательств. Практические обследования показали, что магнитно-резонансная томография – это неинвазивный, безопасный метод. Исследование позволяет верифицировать практически все патологические изменения суставно-капсульного аппарата при использовании современных алгоритмов: • Предоперационная магнитно-резонансная томография характеризуется высокой степенью вариабельностью. По данным исследованиям – специфичность и чувствительность находится в пределах от 30 до 100%. Такие разбежки определяются оборудованием, квалификацией специалистов. При чтении томограмм иногда существует недооценка степени повреждения передней крестообразной связки, хрящевых структур; • МРТ голеностопного сустава с контрастом позволяет верифицировать характер внутрисуставного поражения, определить целостность тканей, исследовать связки; • Низкопольная томография обладает высокой точностью при необходимости верифицировать повреждение хряща для последующей операции; • После операции назначение МРТ голеностопа рационально даже при наличии металлических пластин, фиксаторов. Максимальная степень вариабельности повреждения передней крестообразной связки на фронтальном срезе показывает на томограмме линейные участки ослабления сигнала; • Т2-взвешенное картирование при обследовании суставного хряща позволяет выявить начальные проявления артроза голеностопного сустава; • Несмотря на высокую цену магнитно-резонансной томографии, применение стандартных алгоритмов снижает затраты на исследование примерно на 30%. В практической травматологии в Москве более распространена рентгенография и компьютерная томография, но специалисты редко используют для диагностики МР-сканирование, поэтому вероятность диагностических ошибок сохраняется на высоком уровне. Стоимость МРТ голеностопа не так высоко, чтобы игнорировать возможное повреждение тканей. Практическая ценность магнитно-резонансной томографии при артроскопии достаточно высока. По европейским стандартам для диагностики состояния пациента перед оперативным вмешательством обязательно проведение МР-сканирования. Артроскопия – это зондовое обследование внутренней суставной полости. Перед манипуляцией необходимо изучение суставных поверхностей, так как во время оперативного вмешательства возможно удаление лишних тканей, прижигание, отсасывание воспалительной жидкости. Для улучшения качества магнитно-резонансной томографии требуется использование высокопольных томографов. Согласно стандартной методике для обследования суставов требуется выполнение трехплоскостного сканирования. Для повышения качества диагностики требуется подавление сигнала от жировой ткани. Для оценки передней крестообразной связки делают наклонные томограммы. Трехмерные программы лучше использовать для анализа структуры передней крестообразной связки. Одновременно существует возможность для обследования хряща, связок. Использование МРТ-артрографии голеностопного сустава невозможно при наличии металлических имплантов. В такой ситуации рекомендуется КТ-артрография. При сочетании магнитно-резонансной томографии с рентгенографией удается оценить расположение металлических фиксаторов, поэтому такая диагностика рекомендована в послеоперационном периоде. МР-артрография используется для верификации внутрисуставной патологии при наличии клинических признаков послеоперационных изменений.
Другие статьи из раздела «МРТ суставов и костей»
Онлайн-консультация, Расшифровка снимков, Второе мнение - информационные, а не медицинские услуги.
Для постановки диагноза и назначения плана лечения следует записаться на очный прием к специалисту
Межберцовый синдесмоз

Разрыв межберцового синдесмоза — актуальная проблема современной травматологии. Причина явления в частоте и многообразии подобных повреждений, особенностях анатомии голеностопного сустава, сложностях лечения. Травмы в области голеностопа чаще встречаются у трудоспособных граждан.
При неправильной диагностике, неадекватном лечении, неоправданно ранней нагрузке на поврежденный сустав и несвоевременно начатой реабилитации в 43% случаев больных ждет неудовлетворительный результат с высокими рисками инвалидности. Чтобы не допустить подобных осложнений, важно обратиться к опытному врачу на ранних стадиях развития заболевания.
Что такое межберцовый синдесмоз
Синдесмоз — это непрерывное сочленение костей при помощи соединительной ткани («синдесмоз» с греческого — связка, связь). Межберцовый синдесмоз — это сустав, стабильность которого, особенно в нижней части, обеспечивается тремя связками. Эти структуры повреждаются при действии сил, превышающих пределы их прочности.
Связки могут быть слегка растянуты или грубо разорваны вплоть до формирования диастаза (щели) между большой и малой берцовыми костями голени. Происходит это при наружной ротации (повороте) стопы, при избыточном ее тыльном сгибании или отведении.
Наибольшая частота таких повреждений зафиксирована у артистов балета и цирка, а также у спортсменов, занимающихся высококонтактными видами спорта, такими как футбол, волейбол, баскетбол, гандбол и другие.
Симптомы разрыва межберцового синдесмоза
Травма в области межберцового синдесмоза сопровождается резкой ноющей болью, локализованной в передненаружной области голеностопа. При давлении на голень боль усиливается. Наблюдается отечность с очагами кровоизлияния. Стопа при этом имеет противоестественное положение, вывернута наружу. Похожая симптоматика сопровождает вывихи, растяжения. Грамотно проведенная диагностика важна, ведь на ее основе назначается лечение патологии.
Диагностика
Единственно верным методом, позволяющим поставить точный диагноз и определить степень повреждения связочного аппарата, является рентгенография. Сустав может быть травмирован частично или полностью. Если рентгенография дала отрицательные результаты, следует провести МРТ или КТ, чтобы подтвердить или опровергнуть первоначальный диагноз.
Классификация травм межберцового синдесмоза
Согласно общепринятой классификации различают:
- Острые повреждения. Их выявляют в первые 3 недели после травмирования. Для постановки диагноза проводятся стресс- и стандартная рентгенография в сочетании с другими методами лабораторного и инструментального исследования. Травма сустава может сопровождаться явным диастазом (расхождением синдесмоза).
- Подострые с давностью, превышающей 3 недели.
- Хронические с давностью от 3 месяцев. При этом высока вероятность развития дегенеративных изменений голеностопа.
Лечение межберцового синдесмоза
Консервативная терапия, исключающая хирургическое вмешательство, заключается в проведении ряда медицинских мероприятий. На практике часто используются следующие методы:
- новокаиновая блокада;
- крепкое сжатие травмированного участка для самозаживления связок;
- наложение гипса на срок до 1,5 месяцев.
Дальнейшая реабилитация состоит в наложении шины на срок 2 недель. Подобная схема применяется, если от момента получения травмы до обращения к врачу прошло менее 20 дней.
Если ситуация запущена или результат консервативного лечения неудовлетворительный, врач назначает МРТ и артроскопию голеностопа, что позволяет подобрать оптимальную тактику лечения. Сустав, который еще можно «спасти», реконструируют и стабилизируют. Если повреждены суставные поверхности, проводится артродез голеностопа. При необходимости выполняется пластика с использованием свежих остеохондральных аллотрансплантантов или аутологичных хондроцитов.
При осложненных видах разрыва единственным методом является хирургическая операция. Она проводится максимально оперативно, лучше до появления выраженной отечности в области сустава. При развитии отека врач рекомендует отложить вмешательство на 5—10 дней для его купирования. В хронических случаях рубцовые ткани удаляются, а после в процессе открытой операции хирург добивается анатомической репозиции поврежденного участка.
Если имеет место хроническая нестабильность межберцового синдесмоза, то проводится операция «спасения» с формированием межберцового синостоза, то есть сращения берцовых костей.
Методики лечения
Современная травматология и ортопедия располагают богатым арсеналом способов решения проблемы. Наиболее эффективные техники:
- Метод стандартной артроскопии. Позволяет дать оценку состоянию поврежденных тканей, подтвердить травму синдесмоза, выявить сопутствующие разрывы, например, близлежащих хрящей или дельтовидной связки.
- Тендопластика, гарантирующая восстановление голеностопного сустава. При ее проведении в берцовых костях высверливаются каналы, в которые врач вживляет новую связку.
- Болт-стяжки и компрессирующий винт, с которыми производится крепление и фиксация костей голени, исключающие их смещение и сращение.
- Система «пуговиц» — метод, сохраняющий физиологическую подвижность в области сочленения, создающий условия для заживления связочного аппарата.
Устройства «эндобаттон» по фиксации не уступают винтам, но обеспечивают быструю реабилитацию пациентов, в результате чего те быстрее возвращаются к обычной жизни, причем без процедуры удаления винтов.
Во время операции хирург учитывает возможность серьезного нарушения сосудов и риски тромбообразования в нижних конечностях. При необходимости он назначает медикаменты для улучшения метаболизма и целостности сосудистых стенок. Комплекс хирургических и фармакологических процедур помогает быстрейшему восстановлению пациента.

Успех лечения на 90% зависит от опыта и квалификации врача.
Бесплатная консультация и диагностика врача
- Мануальный терапевт
- Вертебролог
- Остеопат
- Невролог
На консультации мы проводим тщательную диагностику всего позвоночника и каждого сегмента. Мы точно определяем какие сегменты и нервные корешки вовлечены и вызывают симптомы боли. По итогам консультации даем подробные рекомендации по лечению и если необходимо назначаем дополнительную диагностику.
Проведем функциональную диагностику позвоночника
Выполним манипуляцию, существенно облегчающую боль
Составим индивидуальную программу лечения
Лечение болезни в клинике доктора Длина
Для лечения межберцового синдесмоза, при котором еще не произошел полный разрыв связок, в клинике доктора Длина применяются щадящие техники. В их числе:
- Остеопатические методы, мануальные методики ― восстанавливают правильную циркуляцию лимфы, нормализуют кровоснабжение в поврежденной области.
- Массаж, лечебная физкультура ― усиливают эластичность тканей, воссоздают поврежденные механизмы клеточного питания, укрепляют мышечный корсет, ускоряют регенерацию клеток.
- Тейпирование ― позволяет зафиксировать сустав в нужном положении, чтобы снизить нагрузку и восстановить баланс.
- Ди-Тазин терапия ― уникальная методика, объединяющая в себе мануальное воздействие, фотодинамическую терапию и электрофорез с применением лекарственных средств. Сначала аппликация с лекарством крепится на место локализации повреждений, а затем средство активизируется под воздействием направленного лазерного света.
В клинике доктора Длина сочетают традиционные методы лечения и авторские техники, что позволяет добиться устойчивых улучшений уже через несколько сеансов терапии. Лечебный курс прорабатывается для каждого пациента отдельно. Пройти бесплатную диагностику и получить рекомендации вы можете в нашем центре.
Реабилитация
Этап, подразумевающий регенерацию тканей стопы, улучшение кровотока в поврежденной области и нормализацию общего состояния больного. В программу включены:
- бассейн;
- ванны;
- лечебная физкультура;
- массаж.
При выполнении специальных физических упражнений нагрузка увеличивается, но постепенно. Продолжительность реабилитации зависит от результатов лечения.
Профилактика
Разрыв межберцового синдесмоза — повреждение крайне неприятное с возможными тяжелыми последствиями вплоть до выхода на группу инвалидности. Такие травмы лучше предупредить, для чего следует:
- выбирать обувь на широком и низком каблуке;
- соблюдать осторожность во время прыжков и бега, движения по гололеду;
- для укрепления связок нужно правильно питаться, заниматься посильными видами спорта.
При травмировании нижней конечности незамедлительно обращайтесь за медицинской помощью для проведения своевременной диагностики, назначения лечения.
После выписки пациенты в полном объеме восстанавливают двигательную активность голеностопного сустава, без проблем возвращаются на работу и даже продолжают заниматься спортом. Помните, что залогом долгой и счастливой жизни остаются серьезное отношение к своему здоровью, правильная расстановка жизненных приоритетов.
Рентгенограмма, МРТ при повреждении межберцового синдесмоза
Рентгенограмма, МРТ при повреждении межберцового синдесмоза
а) Синоним:
• Повреждение межберцовых связок над голеностопным суставом
б) Визуализация:
1. Рентгенография при повреждении межберцового синдесмоза:
• Отек мягких тканей:
о Располагается на уровне нижней суставной поверхности большеберцовой кости, выше, чем при повреждении связок голеностопного сустава
• Выпот в суставе
• Расширение межберцового синдесмоза:
о Передне-задняя проекция: тени малоберцовой и большеберцовой костей перекрываются менее чем на 1 см:
- Данный признак не является надежным, поскольку на величину перекрытия влияет ротация голени
о Проекция суставной щели:
- Тени малоберцовой и большеберцовой костей перекрываются менее чем на 1 см:
Перекрытие может отсутствовать и в норме, если голень избыточно ротирована внутрь
Признак избыточной внутренней ротации голени: тень медиальной лодыжки накладывается на тень шейки таранной кости
- Расширение латерального свободного пространства:
В норме величина составляет 6 мм соответствует патологическим изменениям
о Если расширение синдесмоза в стандартных проекциях не визуализируется, его можно выявить при рентгенографии с нагрузкой (в положении пациента стоя или с наружной ротацией голени)
• Перелом Фолькмана (Ирла): отрывной перелом области прикрепления задней нижней межберцовой связки (ЗНМС) к латеральной поверхности задней «лодыжки»
• Перелом Тилло-Шапута: отрывной перелом области прикрепления передней нижней межберцовой связки (ПНМС) к латеральному краю передней поверхности большеберцовой кости
• Хроническая травматизация: периостальная реакция в области повреждения синдесмоза
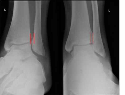
(Слева) При рентгенографии голеностопного сустава, выполненной в проекции суставной щели, определяются признаки повреждения синдесмоза: уменьшение глубины перекрытия теней большеберцовой и малоберцовой костей до менее чем 1 мм. Аналогичная картина может быть получена при избыточной внутренней ротации голени, однако при этом произошло бы наложение друг на друга теней медиальной лодыжки и тела таранной кости.
(Справа) У этого же пациента при рентгенографии голеностопного сустава в боковой проекции визуализируется отрывной перелом области прикрепления ЗНМС. Кроме того, спереди в суставе выявляется выпот. (Слева) Пациент, у которого при наружной ротации возникла нестабильность голеностопного сустава. При МРТ в коронарной плоскости на Т2 ВИ в режиме FS на срезе, проходящем через задний край голеностопного сустава, определяются частичный разрыв ЗНМС и нарушение целостности межлодыжковой связки.
(Справа) У этого же пациента при МРТ в коронарной плоскости на Т2ВИ в режиме FS на срезе, проходящем ближе кпереди, визуализируется пучок ПНМС, который сместился в область синдесмоза. Распространение жидкости краниально на расстояние >1 смог нижней суставной поверхности большеберцовой кости указывает на разрыв связки, входящей в состав синдесмоза. Выявляются повреждение дельтовидной связки и отек костного мозга медиальной лодыжки. (Слева) При МР-артрографии в коронарной плоскости на Т1ВИ в режиме FS определяются разрывы 3FIMC, межкостной и межлодыжковой связок. При МР-артрографии с контрастным усилением разрыв увидеть проще, чем при нативном исследовании.
(Справа) У этого же пациента при МР-артрографии в аксиальной плоскости на Т1ВИ в режиме FS визуализируется разрыв ПНМС. Большая часть ЗНМС располагается ниже, однако ее разрыв можно увидеть и на этом срезе.
2. МРТ при повреждении межберцового синдесмоза:
• В норме связки видны как в коронарной, так и в аксиальной плоскостях
• ПНМС обычно состоит из двух пучков:
о В аксиальной плоскости два пучка связки могут быть ошибочно расценены как части одного разорванного пучка
• ЗНМС лучше всего видна в аксиальной плоскости:
о Отрывной перелом области прикрепления к большеберцовой кости или разрыв среднего отдела связки
о Отрывной перелом встречается чаще, чем разрыв связки
• Межкостная связка лучше видна в коронарной плоскости:
о Распространение жидкости более чем на 1 см выше нижней суставной поверхности большеберцовой кости указывает на разрыв связки
• Позволяет обнаружить ротацию малоберцовой кости относительно большеберцовой кости
в) Дифференциальная диагностика повреждения межберцового синдесмоза:
1. Связка Бассетта:
• Добавочная ПНМС, располагающаяся ниже основной связки и идущая параллельно ей
• Как правило, визуализируется, но может и отсутствовать
• На томограммах в аксиальной плоскости может быть ошибочно расценена как пучок разорванной ПНМС
2. Повреждение связок голеностопного сустава:
• Повреждение латерального коллатерального комплекса связок (ЛККС) вследствие супинационной травмы
• В некоторых случаях разрыв ЛККС может сочетаться с разрывом ПНМС
г) Патология:
1. Общая характеристика:
• Этиология:
о Травма вследствие пронации стопы/наружной ротации голени
• Сопутствующие патологические изменения:
о Перелом «задней лодыжки»
о Повреждение дельтовидной связки
о Перелом медиальной лодыжки
о Перелом Мезоннева: перелом проксимального отдела малоберцовой кости
о Повреждение ЛККС
о Фрагментирование суставной поверхности купола таранной кости
2. Краткие анатомические сведения:
• Межберцовый синдесмоз состоит из трех связок:
о ПНМС:
- Направляется косо вниз и латерально
- Связка Бассетта: добавочная связка, располагающаяся ниже ПНМС; как правило, присутствует
о ЗНМС:
- Ориентирована горизонтально
- Располагается чуть ниже ПНМС
- Ее дополнительным пучком является межлодыжковая связка (поперечная связка):
Идет косо от «задней лодыжки» до верхушки малоберцовой кости
о Межкостная связка:
- Утолщение дистальной части межкостной мембраны
- Заканчивается на расстоянии 1 см выше нижней суставной поверхности большеберцовой кости
(Слева) При МРТ в аксиальной плоскости на ППВИ в режиме FS определяется хроническая травма синдесмоза, проявляющаяся периостальной реакцией кзади. Целостность ПНМС нарушена, в отличие от ЗНМС, которая характеризуется лишь растянутостью и гетерогенной структурой, обусловленной рубцеванием.
(Справа) При МРТ в аксиальной плоскости на ППВИ в режиме FS визуализируется частичная консолидация перелома «задней лодыжки». Наблюдаются разрыв ПНМСЕЗ и латеральная ротация малоберцовой кости в малоберцовой вырезке. Наличие медиально периостальной реакции свидетельствует о разрыве дельтовидной связки (не показана). (Слева) При рентгенографии голеностопного сустава, выполненной в проекции суставной щели, определяется состояние после остеосинтеза перелома малоберцовой кости типа С по Веберу и перелома медиальной лодыжки. Видно, что был установлен синдесмозный винт. Наблюдается стабильное расширение синдесмоза: глубина перекрытия теней костей составляет (Справа) У этого же пациента при КТ в аксиальной плоскости в синдесмозе визуализируется костный фрагмент, который препятствовал выполнению закрытой репозиции. Фрагмент пришлось удалить и провести открытую репозицию. КТ позволяет установить причину неэффективности репозиции. (Слева) При МРТ в коронарной плоскости на Т2ВИ в режиме FS определяется смещение кверху разорванной ПНМС. Синдесмоз расширен. Наблюдается частичный разрыв волокон глубокого слоя дельтовидной связки.
(Справа) При МРТ в аксиальной плоскости на ППВИ в режиме FS визуализируются разрывы ПНМС и ЗНМС. Малоберцовая кость ротирована латерально.
д) Клинические особенности:
1. Проявления:
• Клинический профиль:
о При травме голеностопного сустава синдесмоз повреждается в 10% случаев
о Как правило, при пронационной травме повреждается как ПНМС, так и ЗНМС
о При скручивании может возникать изолированное повреждение ПНМС или ЗНМС
2. Течение и прогноз:
• Может приводить к развитию хронической нестабильности голеностопного сустава и остеоартроза
• Результатом хронической травматизации ПНМС может стать возникновение переднелатерального импиджмент-синдрома
• Оссификация синдесмоза является признаком предшествующей травмы
е) Диагностическая памятка:
1. Следует учесть:
• При обнаружении изолированного перелома медиальной или «задней» лодыжки следует заподозрить разрыв межберцового синдесмоза
2. Советы по интерпретации изображений:
• Связка Бассетта может быть ошибочно принята за часть разорванного пучка ПНМС
• Ход связок следует прослеживать как в коронарной, так и в аксиальной плоскостях
ж) Список использованной литературы:
1. Hunt KJ et al: High ankle sprains and syndesmotic injuries in athletes. J Am Acad Orthop Surg. 23(11):661 - 73, 2015
Рентгенограмма, МРТ при повреждении межберцового синдесмоза
- Обувь по индивидуальной ортопедической колодке
Повреждение межберцового синдесмоза
Повреждение межберцового синдесмоза
Большеберцовая и малоберцовая кости соединены между собой в дистальном отделе межберцовым синдесмозом, который расположен над голеностопным суставом. Синдесмоз обеспечивает конгруентность двух суставов – дистального большеберцово-малоберцового и голеностопного, правильность соотношения и подвижность берцовых костей в нескольких плоскостях. В состав межберцового синдесмоза входят 4 связки.
Дистальная передняя связка размером 20 мм проходит под углом к горизонтальной и сагиттальной плоскости. Связка обладает наименьшей прочностью изо всех структур синдесмоза. Она удерживает обе берцовые кости, поддерживает прочность вилки берцовых костей и препятствует ротации таранной кости. Дистальная задняя связка расположена горизонтально, идет под углом к горизонтальной плоскости и имеет 2 слоя. Это самая прочная связка, которая взаимодействует с передней связкой, удерживает вилку голеностопного сустава и предотвращает трансляцию таранной кости назад. Нижняя поперечная связка покрывает край большеберцовой кости и образует заднюю хрящевую губу. Связка предохраняет берцовые кости от давления со стороны таранной кости и препятствует её трансляции. Межкостная тибио-фибулярная связка расположена между выступами большеберцовой кости над щелью голеностопного сустава. Это короткая и мощная связка шириной в 20 мм с пучками, расходящимися вперед и назад. Связка является стабилизатором дистального сочленения большеберцовой и малоберцовой костей. Связка демпферирует растяжение вилки голеностопного сустава.

Рис. 1. Анатомия межберцового синдесмоза
Обе берцовые кости вместе с верхним и нижним межберцовыми сочленениями образуют конструкцию в виде рамки. В межберцовых суставах берцовые кости совершают ротацию вдоль продольной оси голени и трансляцию в горизонтальной плоскости. Амплитуда наружной ротации большеберцовой кости при сгибании составляет 5-6°, а при ходьбе общая амплитуда ротации в 3 раза больше. Малоберцовая кость совершает движения относительно большеберцовой в трех направлениях: вперед-назад, вверх-вниз и ротируется вокруг собственной оси. При разгибании стопы блок таранной кости входит в вилку голеностопного сустава своей передней широкой частью, в результате чего вилка голеностопа расширяется до 1,5 мм, малоберцовая кость смещается назад и поворачивается наружу. При сгибании стопы блок таранной кости выходит из вилки голеностопного сустава, что вызывает сужение вилки и малоберцовая кость движется в обратном направлении. Положение стопы в голеностопном суставе влияет на нагрузку, которую испытывают связки. В нейтральном положении стопы большая часть нагрузки приходится на переднюю и межкостную связки и меньшая часть нагрузки – на заднюю связку. При разгибании стопы происходит увеличение нагрузки на заднюю связку и уменьшение нагрузки на переднюю связку, при сгибании стопы растяжение связок уменьшается. Доля нагрузки на переднюю нижнюю связку составляет 35%, на глубокую часть задней нижней связки- 33%, на межкостную - 22%, на поверхностную часть задней нижней связки- 9%. Межберцовый синдесмоз взаимодействует с мембраной, натянутой между берцовыми костями. При нагрузке по оси голени синдесмоз растягивается одновременно с мембраной, что позволяет распределить нагрузку по костям голени. Большеберцовая кость, которая располагается по оси сегмента, воспринимает 5/6 нагрузки, приходящейся на голень, а малоберцовая кость воспринимает оставшуюся 1/6 часть нагрузки.
Межберцовый синдесмоз является стабилизатором голеностопного сустава при движении стопы в сагиттальной и горизонтальной плоскости. В межберцовом синдесмозе основными стабилизаторами являются задняя, нижняя поперечная и межкостная связки. Задняя связка является самой прочной связкой, которая препятствует трансляции таранной кости назад, межкостная связка амортизирует расширение вилки берцовых костей. Синдесмоз взаимодействует со связками по медиальной и латеральной поверхности сустава. Движение малоберцовой кости ограничены связками на передней поверхности капсулы тибио-фибулярного сустава. При разгибании стопы латеральная лодыжка в дистальном тибио-фибулярном суставе смещается назад и наружу. Если стопа принимает нейтральное положение, то нагрузка на заднюю связку становится меньше, чем на переднюю связку. При сгибании стопы малоберцовая кость в межберцовом суставе смещается вперед и во внутрь, блок таранной кости устанавливается в вилке голеностопа своей узкой частью, в межберцовом синдесмозе происходит уменьшение натяжения связок, нагрузка на связки синдесмоза распределяется равномерно. Стабилизации заднего отдела стопы и ограничение нагрузки на межберцовый синдесмоз происходит благодаря напряжению трехглавой мышцы голени. При ходьбе большеберцовая и малоберцовая мышцы своим напряжением обеспечивают устойчивость берцовых костей. Мышцы одновременно сближают берцовые кости и кости предплюсны, что сдерживает расширение синдесмоза во фронтальной плоскости и противодействует колебаниям туловища.

Рис. 2. Механизм разрыва синдесмоза
Повреждение синдесмоза связано, во-первых с сочетанием наружной ротации в голеностопе с пронацией стопы в 2/3 случаев и с супинацией в 1/3 случаев, и, во-вторых, с комбинацией наружной ротации с переразгибанием в голеностопе. Чаще травма имеет место при подворачивании стопы. Реже травма происходит во время прыжка при приземлении. Когда стопа установилась на опору, голень продолжает разгибаться на фиксированной стопе, широкая часть блока таранной кости входит в вилку голеностопного сустава, раздвигает ее и травмирует связки. При разрыве передней связки диастаз между костями составляет 2 мм, при сочетании разрыва передней малоберцовой и межкостной связки диастаз увеличивается в два раза, при дефекте всех связок он достигает 7 мм. После травмы голеностопного сустава развивается нестабильность дистального тибио-фибулярного сустава и недостаточность синдесмоза. Частота растяжения синдесмоза среди всех повреждений связок голеностопа составляет 10 -17% .
Повреждение синдесмоза одновременно дестабилизирует дистальное межберцовое сочленение и голеностопный сустав, в результате чего образуется подвывих или вывих таранной кости в голеностопном суставе. Выход из строя связок синдесмоза сопровождается разрывом межкостной мембраны. Если действует ротационная сила, то повреждение межберцового синдесмоза сочетается с переломом костей. Нарушение целостности синдесмоза и межкостной мембраны наблюдают при спиралевидном переломе малоберцовой кости. Во время травмы синдесмоза у пациента возникает резкая боль, которая локализуется над голеностопным суставом. В ранние сроки после травмы острое повреждение межберцового синдесмоза имеет яркие проявления. Боль сопровождается нарушением движения в суставе. При осмотре у больного выявляют расширение вилки голеностопного сустава, смещение малоберцовой кости, наружную ротацию стопы, ограничение разгибания в голеностопном суставе. При хронической нестабильности межберцового синдесмоза жалобы носят непостоянный характер и не всегда соответствуют патологической подвижности берцовых костей.

Рис. 3. Повреждение межберцового синдесмоза, наружная ротация таранной кости, вид спереди и сзади
Для диагностики повреждения синдесмоза пользуются специальными тестами. Врач делает ротацию стопы наружу до возможного предела, а затем увеличивает степень поворота стопы, что вызывает боль по передней поверхности голени. Врач давит своим пальцем на таранную кость под внутренней лодыжкой в латеральном направлении, что вызывает смещение таранной кости наружу с крепитацией и болью. Врач сдавливает двумя руками на обе кости голени в средней трети в поперечном направлении, что вызывает боль дистальней места сдавления в области синдесмоза. Врач захватывает пальцами наружную лодыжку спереди и сзади и смещает ее в назад и вперед. При этом появляется боль над лодыжкой в области синдесмоза.
На рентгенограмме в переднее-задней проекции основными проявлениями недостаточности синдесмоза являются расширение вилки голеностопного сустава, расширение медиальной суставной щели и наклон таранной кости во фронтальной плоскости, травматическая эрозия плафона большеберцовой кости. Задний вывих малоберцовой кости в дистальной части голени виден, как заднее смещение малоберцовой кости относительно большеберцовой кости. Делают рентгенограммы с внутренней и наружной ротацией голени на которых имеется асимметрия суставной щели, расширение вилки голеностопного сустава, смещение наружной лодыжки назад и наклон таранной кости. Синдесмоз может оказаться поврежденным при отсутствии рентгенологических изменений. Самым информативным методом, который позволяет рассмотреть состояние отдельных связок, выявить дефект синдесмоза и определить соотношение костей голени является МРТ.
![]() | ![]() |
| Рис. 4. Разрыв межберцового синдесмоза, увеличено расстояние между большеберцовой и малоберцовой костями | Рис. 5. Разрыв передне-нижней связки синдесмоза на магнитно-резонансной томограмме |
В остром периоде после травмы прибегают к холодовым аппликациям для снятия отека. Накладывают лонгету на стопу и голень, или тутор - стоподержатель, который ограничивает сгибание-разгибание в голеностопном суставе, чтобы таранная кость не раздвигала вилку голеностопа и не травмировала синдесмоз. После того, как отек спадает, накладывают циркулярную гипсовую повязку сроком до 8 недель. После снятия гипса носят эластический брейс.
![]() | ![]() |
| Рис. 6. Тутор-стоподержатель ортопедический на голеностопный сустав | Рис. 7. Тутор-стоподержатель ортопедический на голеностопный сустав регулируемый |
Хирургическую операцию делают при разрыве предней и задней связок межберцового синдесмоза, разрыве связок с расхождением берцовых костей более 2 мм, разрыве связок с нарушением функции голеностопного сустава. При остром повреждении синдесмоза, который дает нестабильность, делают операцию, в ходе которой репонируют малоберцовую кость в вырезку большеберцовой и фиксируют кости винтом. При разрыве синдесмоза в сочетании с переломом берцовых костей и переломо-вывихом голеностопного сустава делают остеосинтез обеих берцовых костей и фиксацию синдесмоза путем стяжки вилки голеностопного сустава. При хронической нестабильности, вызванной разрывом синдесмоза, делают такие операции, как реконструкция передней, задней и межкостной связок синдесмоза, тенодез короткой малоберцовой мышцы, аутопластику трансплантатом из сухожилия длинной малоберцовой мышцы, аллопластику с помощью синтетических связок. После вмешательства накладывают гипсовую иммобилизацию. Для восстановления целостности синдесмоза делают операцию фиксацию межберцового синдесмоза винтами или стягивают берцовые кости с помощью связки. Кости временно свинчивают с помощью компрессионного винта на 6 недель. Нога находится в гипсовой повязке в течение 3 недель. После снятия гипса на ногу надевают ортез или тутор. Тутор ограничивает движения стопы в сагиттальной плоскости и оказывает компрессионное воздействие на лодыжки. Благодаря давлению на берцовые кости с двух сторон поддерживается необходимое расстояние между ними, что способствует срастанию связок синдесмоза.
В отдаленные сроки после операции для устойчивости ноги и уверенности в ходьбе рекомендуют ботинки с высокими голенищами или сапоги, которые ограничивают движения берцовых костей и создают умеренную компрессию лодыжек. Жесткий задник препятствует избыточному движению пяточной и таранной костей во фронтальной плоскости. В обуви имеется супинатор для установки стопы в правильном положении.

Рис. 8. Устранение разрыва межберцового синдесмоза после операции фиксации винтами
![]() | ![]() |
| Рис. 9. Тутор пластиковый Персей на голеностопный сустав и стопу | Рис. 10. Высокоинтенсивный ортез голеностопного сустава |




Рис. 11. Ботинки Персей с высокими голенищами Б 101, Б 102, Б 105, Б 108



Рис. 12. Сапоги Персей С 18, С 19, С 23
Bartonicek J. Anatomy of the tibiofibular syndesmosis and its clinical relevance. Surg Radiol Anat, 2003 (25), pp. 379-386
Elgafy H., Semaan H.B, Blessinger B., Wassef A., Ebraheim N.A. Computed tomography of normal distal tibiofibular syndesmosis. Skeletal Radiol, 2010 (39), pp. 559-564
Harper M.C. Delayed reduction and stabilization of the tibiofibular syndesmosis. Foot Ankle Int, 2001 (22), pp. 15-18.
Tourné Y., Molinier F., Andrieu M., Porta J., Barbier G. Diagnosis and treatment of tibiofibular syndesmosis lesions. Orthopaedics & Traumatology: Surgery & Research. 2019, V. 105, I. 8, Supplement, P. S275-S286
Динамический метод фиксации повреждений межберцового синдесмоза при переломе лодыжек Кнеллер Лев Олегович
Кнеллер Лев Олегович. Динамический метод фиксации повреждений межберцового синдесмоза при переломе лодыжек: диссертация . кандидата Медицинских наук: 14.01.15 / Кнеллер Лев Олегович;[Место защиты: ФГАОУ ВО «Российский университет дружбы народов»], 2019.- 121 с.
Содержание к диссертации
Глава 1. Обзор литературы 7
1.1. Функциональная анатомия голеностопного сустава 7
1.2. Механизм повреждений голеностопного сустава 14
1.3. Классификация переломов лодыжек 17
1.4.1. Консервативное лечение 20
1.4.2. Хирургическое лечение 23
1.5. Послеоперационная реабилитация 34
Глава 2. Материалы и методы исследования 37
2.1. Общая характеристика больных 37
2.2 Диагностика перелома лодыжек с повреждением межберцового синдесмоза 41
2.2.1 Рентгенологическая диагностика 41
2.2.2. МРТ голеностопного сустава 44
2.2.3. МСКТ голеностопного сустава 46
2.3. Клинический метод оценки результатов 48
2.4. Механическое исследование пуговичного фиксатора 52
2.5. Статистический анализ 55
Глава 3. Хирургический метод лечения пациентов с переломом лодыжек, сочетающихся с нестабильностью межберцового синдесмоза 56
3.1. Предоперационный период 56
3.2. Последовательность оперативного вмешательства 57
3.3. Восстановление стабильности межберцового синдесмоза 60
3.3.1. Фиксация дистального межберцового синдесмоза динамической системой фиксации 60
3.3.2. Фиксация дистального межберцового синдесмоза позиционным винтом 73
3.4. Послеоперационное ведение пациентов после фиксации межберцового синдесмоза 80
Глава 4. Оценка собственных результатов лечения пациентов 82
4.1. Функциональные результаты лечения 82
4.2 Рентгенологический анализ результатов лечения 87
4.3. Ошибки и осложнения 88
Практические рекомендации 99
Список сокращений 100
Список литературы 101
Хирургическое лечение
В наше время основным методом лечения пациентов с переломом лодыжек и повреждением межберцового синдесмоза является хирургический. Впервые оперативное лечение переломов лодыжек предложил W. L. Lane в 1894 году. Ученые международной ассоциации остеосинтеза расширили показания к хирургическому лечению, предложенные ранее W. L. Lane, A. Lambotte и R. Danis. Рекомендуется оперировать пациентов с нестабильными переломами лодыжек, пациентов с неудовлетворительным положением отломков после ручной репозиции, когда таранная кость смещена на 2 мм и более, а также при открытых переломах [76; 93; 181; 186; 189].
Для выполнения хирургического вмешательства было разработано большое количество методик и металлоконструкций.
Показания к хирургическому лечению устанавливают после клинического осмотра и изучения рентгенограмм голеностопного сустава в 3 проекциях (прямая, боковая и прямая с внутренней ротацией голени на 20 градусов). Иногда для оценки повреждения связочных структур необходимо произвести рентгенограммы здоровой ноги [174; 189]. Большинство авторов считает, что хирургическое лечение должно проводиться в максимально короткие сроки с момента полученной травмы [73; 129; 146; 189; 213]. Однако если при госпитализации пациента состояние кожных покровов неудовлетворительное, оперативное лечение следует отложить до момента заживления фликтен и спадения отека. При отсрочке операции авторы считают необходимым выполнять закрытую ручную репозицию для снижения давления на внутреннюю и наружную лодыжку, а затем фиксировать поврежденную конечность в гипсовой повязке [192]. Так как известно, что, чем точнее выполнена репозиция, тем быстрее спадет отёк [205]. Согласно M. Muller рекомендовано выполнять закрытую ручную репозицию, фиксировать гипсовой лонгетой и придавать конечности возвышенное положение [169]. Ранее ряд авторов считали, что фиксировать голеностопный сустав, нужно при помощи трансартикулярной фиксации спицами, однако от этого метода было принято решение отказаться в связи с его недостатками, такими как: нагноение вокруг спиц, что приводит к проникновению инфекции в полость сустава; повреждение суставного хряща спицами, с последующей резорбцией вокруг спиц; раннему развитию артроза [1; 36; 40; 100; 107].
Для остеосинтеза лодыжек, ряд авторов применяют аппараты для чрезкож-ного остеосинтеза [2; 5; 23; 35; 68; 75; 80; 81; 92; 97]. Их можно разделить на 2 группы:
1. К первой группе относятся аппараты для фиксации и репозиции сломанной медиальной лодыжки и разорванного межберцового синдесмоза (Н. И. Медведева, 1974; С. Г. Тинчюрина, 1975; В. М. Кишневицкий, 1984). Основным недостатком этих аппаратов является отсутствие возможности производить репозицию и фиксацию переломов малоберцовой кости (Рисунок 1.12).
2. Ко второй группе относятся аппараты для фиксации и репозиции всех структур голеностопного сустава (Рисунок 1.13) [2; 5; 23].
Аппараты наружной фиксации имеют определенные достоинства, такие как: закрытая репозиция и стабилизация отломков, возможность изменять положение отломков во время лечения, возможность полной нагрузки на поврежденную конечность [24; 38; 39; 88]. Однако использование этой методики технически труд 25 ное. Существует ряд специфических осложнений применения представленных аппаратов: воспаление в местах выхода спиц, контрактура голеностопного сустава, «спицевой» остеомиелит, повреждение малоберцового нерва.
Проблема ранних движений в голеностопном суставе при использовании внешних конструкций была решена благодаря шарнирно-дистракционным аппаратам Волкова-Оганесяна [15].
Аппараты наружной фиксации затрудняют проведение гигиенических процедур, занятия ЛФК, ношение одежды и обуви. Кроме того, необходимы частые перевязки.
Самым частым осложнением при использовании аппаратов наружной фиксации является воспаление и/или нагноение мягких тканей вокруг спиц, это происходит в 9–21,3% случаев [15; 24; 43; 46; 88]. Частота неудовлетворительных результатов лечения переломов лодыжек с использованием аппаратов внешней фиксации составляет до 20% [15; 24; 29; 38; 39; 41; 43; 47; 60].
Основным методом лечения в настоящее время считается погружной остео-синтез.
Остеосинтез наружной лодыжки выполняется разными методиками, что зависит от типа перелома. При подсиндесмозном переломе наружную лодыжку фиксируют компрессионными винтами, которые проводят через верхушку в костномозговой канал [13; 189]. Также используют интрамедуллярные стержни, однако вышеуказанные методы не являются абсолютно стабильными, так как не устраняется ротационный компонент [174]. Наиболее стабильным методом остеосинтеза данного перелома является остеосинтез двумя спицами и стягивающей проволочной петлей [174; 210].
В основном, хирургическое лечение переломов лодыжек актуально при чрез-и надсиндесмозных переломах [13; 76; 93; 159; 164]. Для стабильного остеосинтеза переломов с косоидущей линией, необходимо выполнить остеосинтез стягивающими винтами [174; 213], но для осуществления ранней нагрузки и более надежной фиксации к стягивающим винтам добавляют нейтрализующую пластину [13; 28]. B. G. Weber предложил стабилизировать надсиндесмозные переломы наружной лодыжки с помощью противоскользящей пластины по задней поверхности малоберцовой кости [210]. Ранее, фиксация наружной лодыжки кортикальными винтами при выраженном остеопорозе была затруднительна и для этого использовали спицы, которые фиксировали отломки между собой и к большеберцовой кости. Однако данный вид остеосинтеза является нестабильным, поэтому после его выполнения пациенту накладывали гипсовою повязку до рентгенологических признаков сращения перелома [13; 76; 162; 179].
Решение проблемы фиксации переломов при остеопорозе было предложено в 2001 году: в практику внедрены пластины с угловой стабильностью. Их особенностью является прочная связь между головкой винта и пластиной. Резьба отверстия пластины подходит для конической формы головки винта и его резьбы. Сохранение репозиции при использовании данных фиксаторов основано не на плотном контакте кость-пластина, а на заклинивании винта в пластине и созданием таким образом равномерного распределения нагрузки вдоль всей конструкции, что является необходимым в условиях остеопороза [190; 208].
Что касается сопутствующих переломов заднего края большеберцовой кости, то не все из них требуют фиксации при остеосинтезе лодыжек. Согласно рекомендациям W. J. McDaniel, F. C. Wilson, J. Shatzker, M. Tile, если фрагмент заднего края захватывает 33% и более суставной поверхности, то этот фрагмент необходимо фиксировать [9; 139; 145; 147; 171; 177; 209]. Фиксация заднего края производят одним или двумя спонгиозными винтами, которые проводятся в передне-заднем направлении под контролем электронно-оптического преобразователя [13; 93; 73; 189; 209; 213].
Для остеосинтеза большого фрагмента медиальной лодыжки используют фиксацию одним спонгиозным винтом и деротационной спицей Киршнера. Если фрагмент малого размера, то используют фиксацию спицами и проволокой по Weber [13; 93; 146; 172].
В настоящее время в вопросе рефиксации поврежденной дельтовидной связки имеются два противоположных мнения.
J. Schatzker и M. Tile считают, что при восстановленном латеральном комплексе отсутствует необходимость в фиксации дельтовидной связки, только если она не является интерпонентом между большеберцовой и таранной костью в медиальной щели голеностопного сустава [116; 130; 174].
Ряд других авторов (А. А. Раджабов, А. Б. Казанцев, A. P. Whittle, U. Heim) считают, что восстановление дельтовидной связки является обязательным, так как она обеспечивает стабильность в голеностопном суставе и препятствует вальгиза-ции стопы [13; 146; 182; 213].
Последовательность оперативного вмешательства
На операционном столе пациент находился на спине с валиком под ягодичной областью поврежденной стороны для обеспечения нейтрального положения стопы и предотвращения ее наружной ротации.
Так как пациенты, которые подвергались оперативному лечению в рамках нашего исследования, были с пронационно-наружноротационным типом перелома, у них в обязательном порядке имелись повреждения медиальных структур, подтвержденные на МРТ.
Первый этап оперативного вмешательства начинался с ревизии перелома внутренней лодыжки или поврежденной дельтовидной связки. Производилось удаление из сустава интерпонированных мягкотканых и других структур, таких как костные отломки, поврежденная надкостница, волокна поврежденной связки и руб-цовые ткани (Рисунок 3.2). Остеосинтез или пластика поврежденной дельтовидной связки на данном этапе не производилась.
Вторым этапом осуществлялся доступ к наружной лодыжке и выполнялось удаление гематомы и/или интерпонирующих мягкотканых структур из области перелома наружной лодыжки. Затем восстанавливалась длина и устранялось ротационное смещение наружной лодыжки под ЭОП контролем.
Третьим этапом выполнялся остеосинтез наружной лодыжки, методика которого выбиралась в зависимости от характера перелома: при многооскольчатом характере выполнялся мостовидный остеосинтез, при возможности проведения анатомич-ной репозиции выбирался метод компрессионного остеосинтеза при помощи стягивающего кортикального винта и нейтрализующей пластины (Рисунок 3.3 – а, б).
Четвертым этапом осуществлялись при необходимости репозиция и фиксация заднего края большеберцовой кости, шов дельтовидной связки или остеосин-тез внутренней лодыжки.
Пятым этапом осуществлялось стабилизация межберцового синдесмоза по одной из нижеперечисленных методик (глава 3.3).
Операция заканчивается послойным ушиванием ран. Активные и пассивные дренажи не устанавливаются, гипсовая лонгета не использовалась.
Фиксация дистального межберцового синдесмоза позиционным винтом
Позиционный межберцовый винт проводили на 3–6 см выше щели голеностопного сустава, в отверстие пластины или вне ее. Угол наклона и проведения винта, принцип репозиции не отличались от вышеизложенного. В нашей работе позиционный винт мы устанавливали через 2 кортикальных слоя малоберцовой и 1 кортикальный слой большеберцовой кости.
Первым этапом формировался канал с помощью 2,5 мм сверла, затем в трех кортикальных слоях формируется резьба и устанавливается винт. Резьба винта должна заклиниваться в резьбе большеберцовой и малоберцовой костей, в следствии чего он фиксировал кости в области межберцового синдесмоза и удерживал их в приданном соотношении.
Далее представлены клинические примеры лечения пациентов с повреждением межберцового синдесмоза позиционным кортикальным винтом.
Клинический пример № 4
Пациентка А., 57 лет. История болезни № 46825. Поступила в клинику 02.08.2016. Травма получена в быту 22.06.2016. Лечилась консервативно в РТП, где на очередном осмотре выявлен подвывих стопы кнаружи. Самотеком обратилась в приемное отделение стационара. На рентгенограммах при поступлении выявлены переломы наружной и внутренней лодыжек правой голени со смещением отломков, подвывих стопы кнаружи (4.4.В2 по классификации AO/ASIF) (Рисунок 3.27 –
07.08.2016 выполнено хирургическое вмешательство: остеосинтез наружной лодыжки правой голени 1/3-трубчатой пластиной и винтами, остеосинтез внутренней лодыжки винтом и спицей, фиксация дистального межберцового синдесмоза позиционным винтом. Операция без технических трудностей. Послеоперационные рентген-контроль (Рисунок 3.29 – а, б) и МСКТ без особенностей (Рисунок 3.30).
Клинический пример № 5
Пациентка П., 47 лет. История болезни № 81436. Поступила в клинику 27.12.2016. Травма получена в быту в результате поскальзывания и падения с высоты собственного роста за несколько часов до поступления в стационар. В приемное отделение доставлена БСМП. На рентгенограммах при поступлении выявлены оскольчатый перелом нижней трети малоберцовой кости и перелом внутренней лодыжки правой голени со смещением отломков, вывих стопы кнаружи (4.4.С2 по классификации AO/ASIF) (Рисунок 3.32 – а, б).
В приемном отделении выполнена гипсовая иммобилизация травмированной конечности U-образной и задней гипсовыми повязками. На контрольных рентгенограмма сохраняется смещение отломков, подвывих стопы кнаружи, укорочение малоберцовой кости, принято решение о госпитализации пациента в стационар для оперативного лечения (Рисунок 3.33 – а, б). а б
29.12.2016 выполнено хирургическое вмешательство: остеосинтез нижней трети малоберцовой кости правой голени 1/3-трубчатой пластиной и винтами, остеосинтез внутренней лодыжки двумя винтами, фиксация дистального межберцового синдесмоза позиционным винтом. Операция без технических трудностей. Послеоперационные МСКТ-исследование (Рисунок 3.34) и рентген-контроль (Рисунок 3.35 – а, б) показали удовлетворительное положение отломков и импланта-тов, анатомичное расположение малоберцовой кости в вырезке большеберцовой.
Послеоперационный период гладкий. На контрольный осмотр через 1,5 месяца пациентка пришла без дополнительной опоры, однако отмечает, что отказалась от неё не так давно, наблюдался незначительный отек области оперированного голеностопного сустава, балл по шкале AOFAS в данный период был равен 51, по шкале FADI – 46,2, по шкале OMAS – 15. Через три месяца отмечается рост баллов по всем трем шкалам, на рентгенограммах прослеживалась консолидация переломов, пациентка довольна результатом лечения, полностью вернулась к повседневной жизни, как до травмы. Через 6 месяцев на контрольных рентгенограммах отмечается консолидированные переломы обеих лодыжек (Рисунок 3.36 – а, в).
Результат лечения признан отличным: через 12 месяцев с момента операции пациент набрал 92 баллов по шкале AOFAS, 98.1 баллов по шкале FADI и 100 баллов по шкале OMAS. Позиционный винт не удалялся.
Ошибки и осложнения
1. Во время установки имплантата для динамической фиксации синдесмоза была допущена техническая ошибка, в ходе исправления которой одна из 4 нитей фиксатора была повреждена. Ошибочно во время оперативного вмешательства это не привлекло нашего внимания. На послеоперационных рентгенограммах и результатах МСКТ подвывих был устранен, а положение костных отломков было удовлетворительное (Рисунок 4.9).
Однако на контрольном осмотре через 1,5 месяца после операции рентгенологически выявлен рецидив наружного подвывиха стопы (Рисунок 4.10 – а–в).
Пациентке был предложен реостеосинтез, от которого она в категорической форме отказалась в связи с хорошим функциональным результатом.
2. При использовании треть трубчатых пластин производителя фирмы иной, чем производитель пуговичного фиксатора, во время установки последнего круглая пуговица не блокировалась в отверстии пластины, а иногда проваливалась на малоберцовую кость или ее разворачивало (Рисунок 4.11). В начале нами было это воспринято как осложнение, однако при дальнейшем наблюдении за пациентами было выявлено, что фиксатор полностью выполняет поставленную перед ним задачу и функциональные и рентгенологические результаты ничем не отличаются от случаев, когда пуговица блокировалась в пластине.
3. В одном наблюдении во время установки динамического фиксатора круглая пуговица последнего мигрировала на малоберцовую кость через отверстие пластины и во время затягивания фиксатора из-за оскольчатого характера перелома мигрировала между отломками, что привело к необходимости удаления фиксатора. Так как канал для проведения пуговичного фиксатора был сформирован сверлом диаметром 3.5, проводить фиксацию винтом на данном уровне было невозможно. Было принято решение о проведении фиксации синдесмоза позиционным винтом на другом уровне. Отдалённые функциональные результат оценивались как хорошие.
4. У 2 пациентов после удаления позиционного винта, произошло частичное расхождение синдесмоза, без функциональных нарушений.
5. У одного пациента произошло инфицирование в области удаления позиционного винта, которое зажило в течение 4 недель вторичным натяжением.
Читайте также:






