Рентгенограмма, МРТ при остеонекрозе лучезапястного сустава
Добавил пользователь Евгений Кузнецов Обновлено: 15.12.2025
(аваскулярный некроз, асептический некроз, ишемический некроз кости)
, MD, PhD, Stanford University
- Этиология
- Патофизиология
- Клинические проявления
- Диагностика
- Лечение
- Профилактика
- Основные положения
Остеонекроз – это очаговый некроз кости, который может возникать как под влиянием определенных этиологических факторов, так и быть идиопатическим. Он может вызывать боль, ограничение подвижности, коллапс сустава и вторичный остеоартроз. Для диагностики применяется рентгеновское исследование и МРТ. На ранней стадии хирургическое лечение может замедлить или предотвратить прогрессирование. На более поздних стадиях с целью облегчения боли и поддержания функции может потребоваться эндопротезирование.
В США ежегодно регистрируют около 20 000 новых случаев остеонекроза. Наиболее часто поражается головка бедренной кости, реже – коленный и плечевой суставы (головка плечевой кости). Реже поражаются лучезапястный и голеностопный суставы. Обычно остеонекроз плечевого сустава и других, более редких локализаций, не возникает при отсутствии поражения тазобедренного сустава. Остеонекроз челюсти Остеонекроз челюсти (ОНЧ) Остеонекроз челюсти является поражением полости рта с вовлечением нижнечелюстной или верхнечелюстной кости. Он может вызвать боль или протекать бессимптомно. Диагноз устанавливается при наличии. Прочитайте дополнительные сведения редко ассоциируется с антирезорбтивной терапией остеопороза Сохранение костной массы Остеопороз – прогрессирующее метаболическое заболевание кости, при котором происходит снижение ее минерализации (массы костной ткани на единицу объема), сопровождающееся нарушением ее структуры. Прочитайте дополнительные сведенияЭтиология остеонекроза
Наиболее частой причиной остеонекроза является травма. Нетравматический остеонекроз у мужчин возникает чаще, чем у женщин, бывает двусторонним более чем ( > ) 60% случаев и отмечается преимущественно в возрасте 30–50 лет.
Травматический остеонекроз
Наиболее частой причиной травматического остеонекроза является субкапитальный перелом проксимального отдела бедра Переломы тазобедренного сустава Переломы бедренной кости могут произойти в области головки, шейки, или области между или ниже вертелов (бугристостей) бедренной кости. Эти переломы типичны для пожилых, особенно на фоне остеопороза. Прочитайте дополнительные сведенияНетравматический остеонекроз
Факторы, вызывающие нетравматический остеонекроз или способствующие его возникновению, перечислены в таблице . Наиболее характерные факторы:
длительное использование глюкокортикоидов;
чрезмерное употребление алкоголя
Риск остеонекроза повышается, если доза преднизона или эквивалентная доза другого кортикостероида составляет более ( > ) 20 мг/день в течение нескольких недель или месяцев, с накоплением кумулятивной дозы обычно более ( > ) 2000 мг, хотя в отчетах о клинических случаях описан остеонекроз после гораздо меньшего воздействия кортикостероидов. Примечательно то, что кортикостероид-ассоциированный остеонекроз часто является мультифокальным и может поражать как опорные, так и не опорные суставы, такие как плечевые. Риск остеонекроза также повышается при употреблении более ( > ) 3 доз алкоголя/день (более ( > ) 500 мл этанола/неделю) в течение нескольких лет. Некоторые генетические факторы повышают предрасположенность к остеонекрозу. Небольшие нарушения свертывания, связанные с дефицитом протеина С, протеина S, антитромбина III или наличием антител к кардиолипину (см. Обзор тромботических заболеваний [Overview of Thrombotic Disorders] Обзор тромботических заболеваний (Overview of Thrombotic Disorders) У здоровых людей гомеостатическое равновесие находится между прокоагулянтными (свертывание), антикоагулянтными и фибринолитическими силами. Многочисленные генетические, приобретенные и внешние. Прочитайте дополнительные сведения ), выявляются у значительной части больных остеонекрозом.
Для лечения некоторых заболеваний,часто сопутствующих остеонекрозу (например, системной красной волчанки), используют глюкокортикоиды. Судя по имеющимся данным, в таких случаях риск остеонекроза связан прежде всего с назначением кортикостероидов, а не с самим заболеванием. Около 20% случаев остеонекроза являются идиопатическими. Описаны случаи остеонекроза челюсти Остеонекроз челюсти (ОНЧ) Остеонекроз челюсти является поражением полости рта с вовлечением нижнечелюстной или верхнечелюстной кости. Он может вызвать боль или протекать бессимптомно. Диагноз устанавливается при наличии. Прочитайте дополнительные сведения у некоторых пациентов, получавших высокие дозы бисфосфонатов внутривенно. Нетравматический остеонекроз тазобедренного сустава примерно у 60% случаев бывает двусторонним.
Спонтанный остеонекроз коленного сустава (СОНК) - это процесс, локализованный в мыщелке бедра или в большеберцовой кости у пожилых женщи (иногда мужчин). Считается, что СОНК может быть обусловлен переломом, связанным с остеопорозом, возникающем при незначительной травме. Однако остеонекроз коленного сустава также может быть результатом травмы или любых других нетравматических факторов риска развития остеонекроза Нетравматические факторы риска остеонекроза .
Патофизиология остеонекроза
Остеонекроз связан с гибелью клеточного вещества и костного мозга. Развитие нетравматического остеонекроза может быть обусловлено эмболией сгустками крови или каплями жира, внутрисосудистым тромбозом и внесосудистой компрессией.
После сосудистого эпизода развивается репаративный процесс, направленный на удаление некротизированной кости и костного мозга и замещение их живой тканью. Например, если зона инфаркта в области бедра невелика и не подвергается значительной нагрузке, процессы восстановления протекают успешно, а головка бедренной кости остается округлой. Тем не менее примерно у 80% пациентов, особенно при обширном инфаркте и в зоне нагрузки, коллапс инфарктной зоны опережает попытки восстановления и этот участок отмирает. Головка бедренной кости больше не округлая.
Так как остеонекроз обычно поражает дистальные участки (эпифизы и метафизы) трубчатых костей, суставная поверхность хряща становится уплощенной и неровной с участками коллапса, что в конечном счете может привести к развитию остеоартрита Остеоартроз (ОА) Остеоартроз представляет собой хроническую артропатию, характеризующуюся поражением и разрушением суставного хряща, сочетающуюся с другими суставными изменениями, в т. ч. гипертрофией костной. Прочитайте дополнительные сведенияДля получения дополнительной информации о патофизиологии остеонекроза, см. Osteonecrosis: Overview of New Paradigms in the Etiology and Treatment.
Симптомы и признаки остеонекроза
Общая симптоматика
Области, пораженные остеонекрозом, могут оставаться бессимптомными в течение недель или месяцев после сосудистого эпизода. Обычно после этого постепенно развивается боль, но она может возникнуть и остро. По мере прогрессирования компрессии сустава боль нарастает, усиливается при нагрузке и уменьшается в покое.
Поскольку многие факторы риска развития остеонекроза действуют системно (например, длительный прием кортикостероидов, чрезмерное потребление алкоголя, серповидноклеточная анемия), остеонекроз может быть многоочаговым. При серповидноклеточной анемии Серповидно-клеточная анемия Серповидноклеточная анемия ( гемоглобинопатия) является причиной хронической гемолитической анемии, которая наблюдается практически исключительно у представителей негроидной расы. Она вызвана. Прочитайте дополнительные сведенияСпецифические симптомы
Остеонекроз тазобедренного сустава вызывает боли в области паха, которые могут иррадиировать в бедро или ягодицу. Подвижность сустава ограничивается, появляется хромота.
СОНК обычно сопровождается внезапной болью в колене без предшествующей травмы; внезапное начало и локализация боли могут помочь отличить его от классического ОН. Боль чаще локализована на внутренней поверхности сустава, при этом наблюдаются болезненность, невоспалительные экссудативные изменения сустава и хромота.
Остеонекроз головки плечевой кости часто вызывает меньше боли и ограничения функции, чем поражение тазобедренных и коленных суставов, но боль и ограничение функции могут быть выраженными у пациентов, которые используют костыли для переноса веса.
В прогрессирующей стадии остеонекроза отмечаются боли и ограничение подвижности, при этом пассивные движения ограничиваются в меньшей степени, чем активные. Может возникнуть синовиальный выпот с клиническими проявлениями, особенно в коленном суставе; синовиальная жидкость имеет невоспалительный характер.
Диагностика остеонекроза
Остеонекроз следует предполагать в следующих случаях:
Предыдущие переломы (например, субкапитальные переломы головки бедренной кости со смещением), вывихи суставов (например, вывихи бедра) или другие факторы риска (например, лечение кортикостероидами, гемоглобинопатии), особенно если боль сохраняется или усиливается
при персистирующих спонтанных болях в тазобедренном, коленном или плечевом суставе, особенно если имеются факторы риска остеонекроза
На начальном этапе следует выполнить простое рентгенологическое исследование. Рентгенологическая картина может быть нормальной в течение нескольких месяцев. Ранние рентгенологические признаки включают локализованные очаги склероза и просветления. Позднее может появиться субхондральный симптом полулуния из-за перелома эпифиза. Затем развивается коллапс кости и уплощение суставной поверхности с последующим развитием дегенеративных изменений.
Когда клиническое подозрение высоко, но данные рентгенографии нормальные или диагностически незначимы, МРТ, которая является более чувствительной и более специфичной, нужно сделать на ранних этапах диагностики, чтобы избежать продолжающегося повреждения суставов, несущих вес, что ограничит успех суставосохраняющих операций. Необходимо исследовать оба тазобедренных сустава. Сцинтиграфия костей менее чувствительна и менее специфична, чем МРТ, и в настоящее время выполняется редко. КТ требуется редко, хотя иногда она может быть полезна для выявления коллапса сустава, который не определяется на обычной рентгенограмме, а иногда не виден даже на МРТ.
Лабораторные анализы, как правило, в норме и имеют небольшое значение для диагностики ОН. Однако с их помощью можно обнаружить первопричинное заболевание (например, нарушение коагуляции, гемоглобинопатию, липидные изменения).
Справочные материалы по диагностике
1. Boontanapibul K, Steere JT, Amanatullah DF, et al: Diagnosis of osteonecrosis of the femoral head: too little, too late, and independent of etiology. J Arthroplasty 35(9):2342-2349, 2020. doi: 10.1016/j.arth.2020.04.092
Лечение остеонекроза
Симптоматические мероприятия (например, покой, ЛФК, нестероидные противовоспалительные препараты [НПВП])
Хирургическая декомпрессия и другие процедуры, стимулирующие репарацию
Эндопротезирование тазобедренного сустава
Нехирургическое лечение
Небольшие асимптоматические поражения, диагностированные на ранней стадии, особенно те, которые не находятся в зонах, несущих весовую нагрузку, могут спонтанно заживляться и не нуждаться в лечении. Несмотря на это, остеонекроз, с целью увеличения шансов на заживление без коллапса суставов, часто лечат (например, с помощью такой простой процедуры, как Core-декомпрессия Хирургическое лечение ). Для ускорения заживления следует минимизировать влияние причинных факторов (например, прекратить использование кортикостероидов), в сочетании с другим лечением или без него.
Более крупные очаги, как симптоматические, так и асимптоматические, без лечения имеют худший прогноз, особенно если они локализуются а головке бедра. Желательно рано начинать лечение направленное на замедление или пред-отвращение прогрессирования очага и сохранение сустава. В настоящее время не существует методов, позволяющих полностью излечить эту патологию. Нехирургическое лечение включает медикаменты (например, бисфосфонаты) и физические методы (электромагнитные поля и акустичесике волны). Он дает обнадеживающие результаты в ограниченных исследованиях, но пока не нашло широкого применения. Ограничение нагрузки не позволяет улучшить долгосрочный исход.
СОНК обычно лечится без хирургического вмешательства, а боли, как правило, прекращаются самопроизвольно.
Хирургическое лечение
Хирургическое лечение остеонекроза наиболее эффективно, если разрушения кости не произошло. Они чаще используются при остеонекрозе тазобедренного сустава, где прогноз при отсутствии лечения хуже, чем при остеонекрозе в других областях.
К другим методам относятся различные проксимальные остеотомии бедра и применение костных трансплантатов, как васкуляризованных, так и неваскуляризованных. Эти процедуры технически сложны, требуют ограничения нагрузки в течение 6 месяцев и в США выполняются нечасто. Существуют разные мнения о показаниях к их проведению и эффективности. Такие процедуры надо выполнять в отдельных центрах, имеющих опыт их использования и необходимое оснащение для получения оптимальных результатов.
Если значительное разрушение головки бедра и дегенеративные изменения вертлужной впадины вызывают сильные боли и нарушение движений, то артропластика обычно является наиболее надежным способом эффективного снятия боли и увеличения подвижности. Общепринятый метод – тотальное эндопротезирование тазобедренного сустава. Хорошие и отличные результаты при эндопротезировании тазобедренного и коленного суставов наблюдаются в 95% случаев, и больным удается в основном восстановить повседневную активность в течение 3 месяцев. В большинстве случаев срок службы эндопротезов тазобедренного и коленного суставов составляет более > 15–20 лет.
Существует две альтернативы тотальному эндопротезированию – поверхностная артропластика (ПА) и полу-ПА. ПА предусматривает установку двух металлических чашек, одну из которых фиксируют в вертлужной впадине, а вторую на головке бедренной кости с образованием сочленения металл-металл. При выполнении полу-ПА металлическую чашку устанавливают только на головку бедра. В настоящее время такие процедуры редко показаны, поскольку они связаны с высокой частотой локальных осложнений, несостоятельности протеза и опасений относительно возможного длительного воздействия ионов металла на организм.
При остеонекрозе коленного и плечевого суставов нехирургическое лечение проводится чаще, чем при поражении тазобедренного сустава. Опыт использования декомпрессии и остеопластики невелик, но дает обнадеживающие результаты. На поздних стадиях может быть показано частичное или тотальное эндопротезирование суставов. Однако, спонтанный остеонекроз коленного сустава (СОНК) обычно разрешается без хирургического лечения.
Справочные материалы по лечению
3. Zhang C, Fang X, Huang Z, et al: Addition of bone marrow stem cells therapy achieves better clinical outcomes and lower rates of disease progression compared with core decompression alone for early stage osteonecrosis of the femoral head: A systematic review and meta-analysis. J Am Acad Orthop Surg, 2020. doi: 10.5435/JAAOS-D-19-00816 Epub 2020 February 28.
4. Mont MA, Salem HS, Piuzzi NS, et al: Nontraumatic osteonecrosis of the femoral head: where do we stand today? A 5-year update. J Bone Joint Surg Am 102(12):1084-1099, 2020. doi: 10.2106/JBJS.19.01271
Профилактика остеонекроза
Риск остеонекроза, связанный с назначением глюкокортикоидов, может быть снижен при назначении их только по строгим показаниям в минимально допустимой дозировке в течение как можно более короткого времени.
Следует избегать чрезмерного употребления алкоголя и курения. Изучается эффективность использования различных препаратов (например, антикоагулянтов, вазодилататоров, липидоснижающих средств) для профилактики остеонекроза у больных с высоким риском. В настоящее время доказательства этих методов лечения ограниченны и неубедительны.
Основные положения
Остеонекроз чаще всего возникает вследствие осложнения при субкапитальном переломе шейки бедра со смещением, но факторы, которые нарушают костный кровоток (например, серповидно-клеточная анемия), повышают риск нетравматического остеонекроза.
Остеонекроз следует предполагать у пациентов с необъяснимой нетравматической болью в тазобедренном, коленном или плечевом суставе (иногда в лучезапястном или голеностопном суставе) и после некоторых переломов, если боль сохраняется или усиливается.
Рентгенография позволяет подтвердить диагноз, но МРТ более чувствительна и специфична.
Небольшие повреждения регенерируют самостоятельно, но большинство крупных поражений, особенно в тазобедренном суставе, прогрессируют без лечения.
Нехирургическое лечение пока не получило широкого распространения, поскольку его эффективность еще не доказана.
Хирургическое лечение часто показано для предупреждения прогрессии и/или для облегчения симптомов, в частности, для ОН тазобедренного сустава.
Авторское право © 2022 Merck & Co., Inc., Rahway, NJ, США и ее аффилированные лица. Все права сохранены.
Рентгенограмма, МРТ при остеонекрозе лучезапястного сустава
а) Терминология:
1. Синонимы:
• Ишемический/асептический/аваскулярный некроз
2. Определения:
• Болезнь Прейзера: остеонекроз ладьевидной кости без травмы
• Болезнь Кинбека: остеонекроз/маляция полулунной кости
б) Визуализация:
1. Общая характеристика:
• Лучший диагностический критерий:
о Склероз ± фрагментация, коллапс
2. Рекомендации по визуализации:
• Лучший метод визуализации:
о МРТ является наиболее чувствительным и специфичным методом диагностики
(Слева) Рентгенография левого лучезапястного сустава в ПЗ проекции: повышение плотности полулунной костив. Нет потери высоты и фрагментации. Признаки соответствуют II стадии болезни Кинбека.
(Справа) Фронтальная Т1ВИ МР-И: неоднородный гипоинтенсивный до темного сигнал в полулунной кости. Темный сигнал соответствует склерозу/фиброзу при прогрессировании заболевания. Структурные изменения визуализируются и на других изображениях, что указывают на III стадию болезни Кинбека. (Слева) Рентгенография в ЗП проекции: неоднородный склероз полулунной кости со значительным коллапсом проксимальной суставной поверхности. Несмотря на выраженные изменения, было выполнено укорочение лучевой кости. Операция выполнена для коррекции отрицательного локтелучевого индекса в попытке уменьшения механической нагрузки на деформированную полулунную кость.
(Справа) Рентгенография в ЗП проекции, этот же пациент после лечения по поводу хронического болевого синдрома. Полулунная кость была резицирована и выполнен ограниченный (головчато-крючковидный) остеосинтез. (Слева) Фронтальная Т2ВИ FS МР-И: I стадия болезни Кинбека. Отрицательный локтелучевой индекс. Отек костного мозга в полулунной и головчатой костях. Отек головчатой кости возможен на фоне нарушения осевой механической нагрузки вследствие короткой локтевой кости.
(Справа) Фронтальная T1 ВИ МР-И, этот же пациент: отек костного мозга в полулунной кости. Главная ось нагрузки проходит от лучевой кости к полулунной и головчатой до среднего пальца, ее легко оценить. Нормальная рентгенологическая картина говорит о I стадии маляции полулунной кости.
3. Рентгенография при остеонекрозе лучезапястного сустава:
• Основные признаки:
о Изначально нормальная плотность кости и структура → повышение плотности → кисты, фрагментация, коллапс суставной поверхности → вторичный остеоартрит
• Сопутствующие признаки:
о Головчатая кость: поперечный перелом средней трети
о Полулунная кость: отрицательный локтелучевой индекс, редко положительный; при коллапсе полулунной кости, головка сдвигается проксимальнее
о Ладьевидная кость: перелом проксимальной части или тела ± несращение с округлыми, склеротическими изломанными краями
4. МРТ при остеонекрозе лучезапястного сустава:
• Т1 ВИ: ↓ интенсивности сигнала, в зоне перелома может визуализироваться линия низкого сигнала
• Последовательности, чувствительные к жидкости: изменения сигнала достаточно вариабельны; характерно раннее ↑ сигнала, позднее ↓ сигнала:
о Линия перелома темная или яркая, визуализируется не всегда
• Т1 ВИ С+: недостаток усиления предполагает наличие нежизнеспособных фрагментов:
о Не всегда является специфичной; позже может произойти реваскуляризация
• Распределение изменений сигнала достаточно вариабельно:
о Могут вовлекаться мелкие сегменты или кость целиком, может быть очаговое или диффузное, изменяется между последовательностями
о При вторичном остеонекрозе, визуализируются субхондральные изменения в прилегающих костях
• Специфичные признаки:
о Полулунная кость: ранний коллапс вдоль проксимальной границы с лучевой костью; при отрицательном локтелучевом индексе развивается маляция полулунной кости, треугольный фиброхрящевой комплекс может быть утолщен или порван
о Ладьевидная кость: визуализируется несросшийся перелом в виде неоднородности трабекулярности кости, сигнал от жидкости в линии перелома
5. Радионуклидные исследования:
• Сцинтиграфия, ранняя стадия: отсутствие накопления; поздняя: нормальный или ↑ захват
(Слева) Фронтальная Т2 ВИ с подавлением сигнала от жира: неоднородный отек костного мозга в полулунной кости без структурных изменений. Отрицательный локтелучевой индекс. Признаки не специфичны, следует иметь ввиду раннюю стадию развития остеонекроза.
(Справа) Рентгенография в ЗП проекции: многоочаговый остеонекроз вследствие применения стероидов. Полулунная кость имеет неоднородную плотность и коллапс проксимальной суставной поверхности. Проксимальный полюс ладьевидной кости уплощен. Однако остеонекроз ладьевидной кости является, как правило, посттравматическим, прием стероидов является фактором риска. (Слева) Рентгенография в ЗП проекции: несросшаяся линия перелома ладьевидной кости. Это, вероятное всего, истинное несращение, так как края перелома склерозированы, с субхондральной кистозной дегенерацией. Нет выраженного склероза проксимального полюса.
(Справа) Фронтальная Т1 МР-И, этот же случай: неоднородный низкий сигнал в проксимальном и дистальном отделах ладьевидной кости. Линия перелома видна нечетко. (Слева) Фронтальная T1FS постконтрастная МР-И: усиление дистального полюса, но низкий сигнал проксимального полюса, что указывает на отсутствие кровоснабжения. Несмотря на то, что здесь, вероятно, нежизнеспособные ткани, коллапса нет; оперативное лечение может иметь успех.
(Справа) Рентгенография запястья в ЗП проекции: у пациента с СКВ и остеонекрозом наблюдается коллапс проксимального полюса ладьевидной костив Определяется неровность суставной поверхности лучевого края полулунной кости и субхондральный перелом. При болезни Кинбека изменения со стороны лучевого края кости более характерны, чем со стороны локтевого края.
в) Дифференциальная диагностика остеонекроза лучезапястного сустава:
1. Полулунная кость; туннельный синдром локтевого нерва:
• Как правило, положительный локтелучевой индекс
• Хондромаляция, остеофиты или субхондральные кисты
2. Ладьевидная кость: несросшийся перелом без остеонекроза:
• Проксимальный полюс или тело ладьевидной кости могут не иметь сращения перелома, без развития остеонекроза
г) Патология:
1. Общая характеристика:
• Этиология:
о Головчатая кость: редко; вторичные изменения на фоне тяжелой травмы и перелом в средней трети
о Полулунная кость: хроническая рецидивирующая травма:
- Факторы риска: отрицательный локтелучевой индекс, редко положительный; продолговатая или квадратная форма полулунной кости; редко сопутствует системная красная волчанка, прием стероидов
о Ладьевидная кость: чаще посттравматическая этиология:
- Практически все переломы проксимального полюса приводят к развитию остеонекроза; в 30% случаев перелома тела ладьевидной кости развивается остеонекроз; смещение отломков при переломе повышает риск развития остеонекроза
2. Стадирование и классификация остеонекроза лучезапястного сустава:
• Маляция полулунной кости: классификация Lichtman:
о Стадия I: нормальная рентгенологическая картина ± перелом
о Стадия II: склероз без коллапса
о Стадия III: фрагментация -1-коллапс (IIIA = нет нестабильности запястного сустава, IIIB = нестабильность)
о Стадия IV: склероз, коллапс + перилунарный остеоартрит
3. Макроскопические и хирургические особенности:
• Кровоснабжение ладьевидной кости начинается в среднем отделе; перелом проксимальной части/тела кости отделяет проксимальный полюс от кровоснабжения
д) Клинические особенности:
1. Проявления:
• Типичные симптомы/признаки:
о Боль, ограниченная амплитуда движений, слабое сжатие
2. Демография:
• Возраст: 20-40 лет
3. Течение и прогноз:
• Хронический болевой синдром, артроз лучезапястного и среднезапястного суставов
4. Лечение:
• Полулунная кость: укорочение лучевой кости на I и II стадиях для уменьшения механической нагрузки и замедления прогрессирования заболевания
• Ладьевидная кость: приоритет имеет хирургическое лечение для несросшихся переломов для исключения остеонекроза в проксимальном фрагменте
• Нет общепринятого алгоритма лечения
о Хирургическое лечение, как правило, применяется при прогрессировании заболевания:
- Реваскуляризация, трансплантат кости, остеотомия
- Резекция аваскулярной части кости ± ограниченная или расширенная резекция запястья; ограниченный или расширенный остеосинтез запястья
е) Список использованной литературы:
1. Bervian MR et al: Scaphoid fracture nonunion: correlation of radiographic imaging, proximal fragment histologic viability evaluation, and estimation of viability at surgery: diagnosis of scaphoid pseudarthrosis. Int Orthop. 39(1):67-72, 2015
МРТ лучезапястного сустава
Наш диагностический центр «МРТ Балашиха» проводит МРТ лучезапястного сустава на современном оборудовании экспертного класса (Siemens Magnetom Harmony Expert).
У нас установлен комфортный высокопольный томограф с коротким тоннелем (160 см) и автономной системой вентиляции. Во время процедуры Вам предложат воспользоваться наушниками с музыкой для комфортного проведения МРТ.
На руки Вы получаете CD диск с записью всего исследования и заключение врача на бумажном носителе.
МРТ лучезапястного сустава по времени длится 25-30 минут. Цена - 3 900 рублей.
Внимание: описание исследования длиться до 1 часа. При необходимости результаты исследования могут быть направлены Вам на электронную почту.
Запись на МРТ лучезапястного сустава по тел:
Мы находимся по адресу: г.Балашиха ул. Советская д.42 к.2 2 подъезд 1 этаж (как добраться?)
О центре МРТ в цифрах
Медицинский диагностический центр «МРТ Балашиха» проводит обследование лучезапястного сустава методом магнитно-резонансной томографии с целью выявления патологических процессов в костях, связках и сухожилий в данной области.
Неприятные ощущения и сильные боли в области лучезапястного сустава являются симптомами многих заболеваний, которые ухудшают работоспособность руки, ограничивая человека в нормальном образе жизни и активности.
Диагностировать изменения в лучезапястном суставе при обычном осмотре очень сложно, поэтому назначают МРТ. Процедура МРТ лучезапястного сустава абсолютно безопасна и безболезненна, проводить ее можно на любой стадии заболевания и необходимое количество раз, лучевой нагрузки на организм она не несет.
Как проходит МРТ кисти и лучезапястного сустава
Показания к проведению МРТ лучезапястного сустава
Магнитно-резонансная томография лучезапястного сустава назначается при наличии следующих заболеваний и симптомов у пациента:
- Артриты и артрозы.
- Инфекционные и воспалительные процессы лучезапястного сустава.
- Поражение сустава красной волчанкой или ревматоидным артритом.
- Подозрение на скопление гноя или крови в суставе.
- Травмы и повреждения сухожилий и связок сустава, суставной капсулы.
- Переломы и трещины костей сустава.
- Гипоплазия и аномалии развития кисти.
- При вывихах.
- Хронические отеки и боли в кисти.
- Скованность лучезапястного сустава.
- Нарушение кровообращения.
- Доброкачественные и злокачественные опухоли, метастазы мягких тканей и костей сустава.
- Подозрение на ущемление срединного нерва.
- Подозрение на заболевания сухожилий.
МРТ лучезапястного сустава назначают перед операционным вмешательством, в период реабилитации после операции и для оценки эффективности назначенного лечения.
Что показывает МРТ лучезапястного сустава?
Процедура МРТ лучезапястного сустава выявляет все воспалительные, инфекционные процессы, патологии развития сустава и заболевания:
- Бурсит.
- Синовит.
- Остиомиелит.
- Остеонекроз.
- Опухоли и новообразования, метастазы.
- Туннельный синдром.
Ранняя диагностика заболеваний лучезапястного сустава позволяет врачу назначить своевременное лечение.
МРТ кисти: когда назначается?
Все виды повреждения кисти можно разделить на несколько групп. Начнем с МР-диагностики травматических повреждений кисти и а.При клиническом обследовании больных с ушибами лучезапястного сустава и кисти, как правило, определяются болезненность при пальпации, увеличение объема окружающих мягких тканей, а объективно и рентгенологически изменения отсутствуют. Наиболее часто встречаются ушибы метаэпифиза лучевой и локтевой костей, а также полулунной и ладьевидной костей. Ушибы (контузионные поражения) кисти определяются только при МРТ-исследовании, особенно хорошо видно на программах с подавлением сигнала от жира. Морфологически ушиб кости проявляется нарушением целостности трабекул костной ткани с кровоизлиянием и отеком костного мозга. Однако, несмотря на повреждение трабекул костной ткани, рентгенологические исследования, включая КТ, не позволяют обнаружить патологические изменения. Клинические проявления у пациента: боль и ограничение движений после падения на вытянутую руку 4 месяца н
Магнитно-резонансная томография кисти
Все виды повреждения кисти можно разделить на несколько групп.
Начнем с МР-диагностики травматических повреждений кисти и лучезапястного сустава.
При клиническом обследовании больных с ушибами лучезапястного сустава и кисти, как правило, определяются болезненность при пальпации, увеличение объема окружающих мягких тканей, а объективно и рентгенологически изменения отсутствуют. Наиболее часто встречаются ушибы метаэпифиза лучевой и локтевой костей, а также полулунной и ладьевидной костей. Ушибы (контузионные поражения) кисти определяются только при МРТ-исследовании, особенно хорошо видно на программах с подавлением сигнала от жира. Морфологически ушиб кости проявляется нарушением целостности трабекул костной ткани с кровоизлиянием и отеком костного мозга. Однако, несмотря на повреждение трабекул костной ткани, рентгенологические исследования, включая КТ, не позволяют обнаружить патологические изменения.
Клинические проявления у пациента: боль и ограничение движений после падения на вытянутую руку 4 месяца назад.
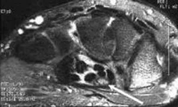
Перелом ладьевидной кости с явлениями асептического некроза проксимального полюса и, связанного с ним, остеоартрита. Ладьевидный перелом обычно происходит из-за падения на вытянутую руку, которое приводит к гиперэкстензии лучезапястного сустава.

Аваскулярный (асептический) некроз нередко сопутствует переломам проксимальной части ладьевидной и переломам полулунной кости, а также неадекватно репонированным и иммобилизированным переломам этих костей. Основная причина – нарушение трофики участка кости при повреждении питающих артерий.
Методом выбора в диагностике и стадировании остеонекроза костей кисти является МРТ.
Скрытые переломы
Этот термин применяется для обозначения переломов, которые первично не были выявлены рентгенологически, а обнаружены только методом МРТ. Только через 5-10 дней после травмы на отсроченных рентгенограммах появляется линия перелома. Через 1,5-2 мес. после травмы ретгенография и СКТ у пациентов со скрытыми переломами позволяют визуализировать незначительные облаковидные остеосклеротические изменения по ходу линии перелома, как проявление репаративного процесса.

Синдром повреждения связочного аппарата
Лучевая диагностика повреждений связочного аппарата лучезапястного сустава и кисти представляет наибольшие трудности в связи со сложностью анатомии и малыми размерами данной области. Возможности рентгенографии и КТ в диагностике повреждений связок ограничены. О них судят по наличию косвенных признаков. Вследствие относительно малых размеров связок, УЗИ затруднительно. Методом выбора при исследовании связочного аппарата является МРТ.
Клинически: Острая боль. В анамнезе нет травмы или чрезмерной нагрузки. Увеличение диаметра и повышение МР-сигнала в проекции сухожилия разгибателя.

МРТ показывает веретенообразное расширение нерва, которое вызвано утолщением нервных пучков и жировой и фиброзной пролиферацией. МРТ характеристики фибролипоматозной гамартомы являются патогномоничным, что исключает необходимость в биопсии для диагностики.

Кистозное образование в проекции тыльных межзапястной и лучезапястной связок; незначительный синовит.
Синдром повреждения сухожилий
Синдром повреждения сухожилий включают частичные и полные их разрывы, проявления теносиновита и посттравматического тендиноза. Основную долю составляют теносиновиты, возникающие изолированно или на фоне повреждения костей и связок. Морфологически теносиновиты характеризуются скоплением синовиальной жидкости под оболочками сухожилия. Рентгенодиагностика в диагностике теносиновитов неинформативна. Наиболее информативны в диагностике теносиновита УЗИ и МРТ.

Теносиновит сухожилий глубокого сгибателя пальцев кисти и длинного сгибателя большого пальца.
Липома сухожилия
Клинически: Отек левой руки, сохраняющийся длительное время, в настоящий момент пациент начал жаловаться на нарушение чувствительности боковых трех пальцев.

Капсулированная масса прикреплена к сухожилиям поверхностного и глубокого сгибателей указательного пальца. Липома из сухожилия (гистологически доказано).
Синдром повреждения суставов
Большинство травм лучезапястного сустава и кисти сопровождается симптомами сопутствующего экссудативного синовита; его выраженность зависит от тяжести травм. На МРТ выявляется суставной выпот. Кроме того, иногда определяется отек костного мозга в субхондральных отделах эпифизов костей, отек периартикулярных мягких тканей.


Ревматоидный артрит. Субхондральные эрозии, гипертрофия синовиальной оболочки.

Ревматоидный артрит. Анкилозирование костей запястья, деструкция эпифизов лучевой и локтевой костей.
Остеомиелит костей

Хронический остеомиелит ладьевидной кости.
Кистевой /карпальный/ туннельный синдром
Этиология
Кистевой туннельный синдром может быть спровоцирован целым рядом причин. Существует два механизма формирования данного синдрома. Первый – уменьшение в размерах самого карпального канала. Сюда относят такие причины, как артроз, травмы, акромегалия, и чрезмерное механическое воздействие. Второй механизм – увеличение в размерах содержимого карпального канала. Например, при ганглиевых кистах, опухолях нерва, отложение веществ (например, амилоида), или синовиальной гипертрофии при ревматоидном артрите. Также некоторые индивидуальные факторы, такие как размер и форма запястья и форма срединного нерва, могут способствовать развитию синдрома запястного канала.
Клиническая картина
Клинически проявляется болью и нарушениями чувствительности. Типичным является брахиалгия, парастезии, или ночные восходящие боли, исходящие из запястья. Кроме того, определяется слабость в руке. Слабость, чаще всего, является поздним симптомом.

На основании всего вышеизложенного, можно сделать вывод, что магнитно-резонансная томография кисти – высокоинформативное исследование, позволяющее оценить изменения самого различного характера и происхождения.
Рентген, МРТ или КТ челюсти - отличия исследований

Для обследования челюсти в арсенале врачей есть ряд аппаратных форм диагностики:
Каждый из видов обследования имеет свои преимущества, сильные и слабые стороны. В этой статье мы более детально разберем вопрос, что и когда лучше выбирать - МРТ, КТ или рентген челюсти.
Рентген, МРТ или КТ челюсти - отличия исследований
Основное отличие рентгена, МРТ и КТ верхней и нижней челюсти заключается в способе получения изображения. КТ исследование и рентген - это рентгенологические обследования. Физика получения изображения здесь строится на использовании способности Rg лучей с разной скоростью проходить и задерживаться в тканях разной плотности. В магнитно-резонансной томографии принцип визуализации основывается на явлении ядерного магнитного резонанса, когда атомы водорода в клетках тканей под воздействием электромагнитного поля начинают совершать колебательные движения. Этот резонанс улавливает компьютер томографа, оцифровывает и строит трехмерные изображения тканей.
Что входит в МСКТ челюсти
В стандартный протокол КТ челюсти входит обследование следующих структур:
КТ верхней челюсти
- адентия зуба
- лунка зуба
- альвеолярный отросток
- зубы
- шейка зуба
- периодонтальные щели
- парадонтальный карман
- слизистая оболочка
- правая верхнечелюстная пазуха
- жидкость в полости пазухи
- верхнечелюстная пазуха,
КТ нижней челюсти
- адентия зуба
- лунка зуба
- плотность кости
- альвеолярный отросток
- канал корня
- парадонтальный карман.
Что входит в МРТ височно-нижнечелюстного сустава
В стандартный протокол МРТ височно-нижнечелюстного сустава входит обследование следующих структур:
- головка мыщелкового отростка
- нижней челюсти
- височная кость
- суставная щель
- костный мозг
- суставной диск
- видимые отделы околоносовых синусов.
Отличия МРТ и КТ челюсти
КТ зубов и челюсти является приоритетной формой диагностики костей, поскольку в костных тканях рентгеновские лучи задерживаются в большем объеме. Если перед врачом стоит диагностическая задача оценить структуру зубов и челюсти, он выберет рентгенологические метод диагностики. КТ челюсти хорошо покажет травматические повреждения костей лица, остеонекроз, остеоартроз, остеоартрит, остеомиелит. МРТ челюсти фокусируется на качественной визуализации мягких тканей и состояния височно-нижнечелюстного сустава. С ее помощью можно хорошо оценить воспаления суставных тканей, дисфункции ВНЧС, новообразования. Поскольку в костных структурах содержится мало воды, добиться хорошего резонанса в них сложно, поэтому кости на МРТ снимках отображаются с наименьшей точностью.
Чем КТ челюсти лучше рентгена
КТ челюсти и рентген строят визуализацию на одном и том же принципе, однако точность обследования и уровень детализации на компьютерной томографии в разы выше, чем на рентгенограммах. В ходе рентгена челюсти аппарат посылает пучки рентгеновского излучения из одной точки. В результате есть возможность создать двухмерные изображения, на которых органы и структур накладываются друг на друга. Это снижает диагностическую точность исследования. В компьютерном томографе рентгеновские лучи посылаются несколькими излучателями, которые движутся по периметру кольца гентри. За счет такого конструктивного решения есть возможность получить множественные снимки исследуемых сегментов под разными ракурсами и на базе них выстроить детальную трехмерную объемную реконструкцию.
Когда назначают панорамное 3d КТ челюсти
Иногда пациент может запутаться в различиях в ряде рентгенологических обследований, которые назначают в стоматологии:
- панорамный снимки зубов;
- КТ зубов;
- 3d КТ обеих челюстей.
Панорамный снимок зубов или ортопантомограмма – это рентгенологическое обследование. С ее помощью врачи получают двухмерные изображения корней зубов. Данный вид диагностики чаще всего применяют при лечении сложных кариесов, протезировании, планировании имплантации.
КТ 3D снимок зубов выполняется на специальном аппарате, называемом конусно-лучевым компьютерным томографом. Конусно-лучевой компьютерный томограф (КЛКТ) представляет собой один из видов КТ оборудования, при котором выполняются множественные послойные снимки низкодозированным рентгеновским облучением в различных плоскостях. Преимущество 3D снимка зубов в получении изображения без искажений, а так же возможности детализированного просмотра зубов со всех сторон в трехмерной проекции.
КТ челюсти - это обследование на мультиспиральном компьютерном томографе (МСКТ). Задача этого сканирования в отображении состояния верхней и нижней челюсти, зубов, гайморовых пазух, челюстных суставов и прилегающих мягких тканей.
панорамный снимок зубов
Как делают КТ челюсти
КТ челюсти обычно проводят по направлению врача стоматолога, хирурга или ортопеда-травматолога. В клиниках ее могут осуществлять по следующим протоколам:
- КТ двух челюстей
- КТ верхней челюсти
- КТ нижней челюсти
- КТ челюсти с контрастом
Сделать данное обследование можно как взрослым, так и детям. Поскольку компьютерная томография сопряжена с лучевой нагрузкой, ее стараются не осуществлять детям до 3 лет. В более старшем возрасте ребенку это исследование проводят только при наличии направления от лечащего врача и не чаще одно раза в год. Взрослым пациентам компьютерное сканирование можно сделать как по личной инициативе, так и по направлению врача. Не осуществляют КТ только при беременности. Из-за лучевого облучения КТ во время вынашивания младенца опасно делать на любом сроке. Облучение вредно для здоровья малыша, поскольку может вызывать необратимые мутации и стать причиной выкидыша или замершей беременности.
Лучевая нагрузка при КТ челюсти
Уровень лучевой нагрузки на организм пациента при КТ челюсти зависит от:
В большинстве медицинских центрах Санкт-Петербурга такое сканирование осуществляют на мультиспиральных компьютерных томографах со срезовой мощностью не менее 16 срезов. Средняя доза облучения составляет 1-3 мЗв за сеанс сканирования.
- Винерский П.М. Профилактика осложнений при лечении переломов нижней челюсти в области угла // Стоматология: Респ. сб. Киев, 1990.-Вып.25. - С.70-72.
- Григорьянц А. A. Патогенез, диагностика и лечение гнойно-воспалительных осложнений при сочетанной челюстно-лицевой и черепно-мозговой травме (клинико-иммунологические и иммуногенетические аспекты): Дис. д-ра мед. наук. М, 1992. - 48 с.
- Гюльназарова С.В., Казак Л.А., Машинская Т.М. // Травматология, ортопедия, протезирование. 1991. - № 9. - С.21 -23.
- Кокоткина А.С. Особенности клиники и лечения больных с переломами нижней челюсти при пародонтозе: Автореф. дис. канд. мед. наук. -М., 1969.
- Колмакова А.А. Наружный внеочаговый компрессионный остео-синтез при переломах нижней челюсти (Экспериментально-клиническое исследование): Дис. .д-ра мед. наук. Ростов-на Дону, 1970. - 401 с.
- Кравцова Г.Н. Лечение больных с переломами нижней челюсти, осложненными травматическим остеомиелитом: Автореф. дисс. . канд. мед. наук. Омск, 1993. - 19 с.
- Оноприенко Г.А. Васкуляризация костей при переломах и дефектах. М: Медицина, 1995. - 220 с.
- Рабухина Н.А. Рентгенодиагностика некоторых заболеваний зубо-челюстной системы. М.'Медицина, 1974. 280 с.
- Рентгенодиагностика заболеваний челюстно-лицевой области: Руководство для врачей / Под ред. Н.А. Рабухиной, Н.М. Чупрыниной. М.: Медицина, 1991. - 368 с.
- Чудаков О.П., Бармуцкая А.З. Лечение травматических переломов нижней челюсти, осложненных травматическими остеомиелитами // 1-й Белорусский междунар. конгр. хирургов. Витебск, 1996. - С. 127-129.
Информационные статьи о диагностике

КТ челюсти (альтернативное название КТ верхней и нижней челюсти, КТ челюсти и гайморовых пазух, КТ зубов и челюсти) - это рентгенологическое обследование. Делают КТ двух челюстей обычно с использованием современного мультиспирального томографа со срезовыми возможности 16 срезов и выше.

При подозрении на коронавирус могут назначить сделать КТ легких. Стоит сразу сказать, что КТ при COVID-19 проводится не в поточном порядке. Томографию целесообразно применять в ситуации, когда заболевание развивается с осложнениями в виде воспаления легких. Легкая форма коронавируса обычно проходит без признаков пневмонии, и делать компьютерную томографию при таком течении болезни не целесообразно.

КТ и МРТ височно-челюстного сустава дает возможность своевременно выявлять разнообразные патологии костей, зубов и суставных тканей этой части челюсти. К таким болезням относят: остеомиелит, гнойные поражения нижней челюсти, флюсы, артрозы, некрозы. Если у Вас стали возникать проблемы с закрытием рта, появился инородный звук при движении челюстью, есть неприятные ощущения в челюстных суставах, следует обратиться к челюстно-
Читайте также:
