Рентгенограмма, МРТ при переломе локтевого отростка
Добавил пользователь Евгений Кузнецов Обновлено: 29.01.2026
Рентген локтя назначается пациентам, чтобы быстро и объективно оценить состояние костей, выявить признаки травмы или хронического заболевания. Рентгенография на современных аппаратах обладает высокой информативностью, поэтому зачастую по результатам диагностики врачу сразу же удается поставить точный диагноз.
Для удобства пациентов рентгенографию можно пройти в «СМ-Клиника» по предварительной записи без ожидания в очереди. Исследование проводится на оборудовании экспертного класса, а готовые снимки выдаются на руки в течение 20-30 минут.
Рентгенография в «СМ-Клиника» это
Цели рентгенодиагностики
Сделать рентген локтевого сустава – самый быстрый и доступный способ оценить состояние костных структур. Такая диагностика не требует дополнительного введения контрастного вещества, поскольку плотная костная ткань задерживает рентгеновские лучи и хорошо визуализируется.
Рентгенограммы помогают подтвердить/исключить наличие таких патологических изменений:
- признаки неправильно сросшегося перелома;
- вывих или подвывих локтя – смещение суставных поверхностей относительно друг друга;
- воспалительные процессы, которые могут указывать на артрит, остеомиелит;
- дегенеративно-дистрофические изменения структур локтевого сустава, которые типичны для артроза, остеопороза, ревматических болезней;
- объемные образования костной ткани, которые свидетельствуют о доброкачественной или злокачественной опухоли.
Исследование помогает врачу-травматологу быстро определить характер перелома после травмы: сильного удара, падения на локоть, сильного выкручивания или загиба руки. В таком случае при проведении рентгена локтевого сустава на снимках удается обнаружить надмыщелковый или чрезмыщелковый перелом плеча, перелом отростков локтевой кости, перелом Монтеджи (перелом локтевой кости в области локтевого сустава с одновременным вывихом лучевой кости) и другие варианты повреждения костей.
Показания
Чаще всего на рентгенологическое обследование пациента направляет травматолог-ортопед, ревматолог или хирург. На снимках врач может рассмотреть состояние всех 3-х костей, образующих локоть: плечевой, локтевой и лучевой, а также оценить их взаиморасположение, конфигурацию сустава, косвенные признаки патологии мышечной или хрящевой ткани.
Диагностика проводится при наличии характерных жалоб:
- боли в области локтя во время движений или в покое;
- уменьшение подвижности в локтевом суставе, неприятные «щелчки» при сгибании-разгибании руки;
- покраснение и отечность кожи вокруг локтя;
- повышение температуры кожи над локтевым суставом;
- деформация и/или неестественное положение руки.
Цена рентгена локтевого сустава невысока, данное исследование назначают не только на этапе первичной диагностики, но и для контроля динамики заболевания, подготовки к оперативному вмешательству, подтверждения полного выздоровления.
Исследование также может применяться при симптомах поражения нервов верхней конечности: онемении пальцев, покалывании и чувстве ползания «мурашек» по коже, слабости кистей рук, нарушениях мелкой моторики. Рентгенодиагностика позволяет выявить костные изменения, которые могли стать причиной сдавливания нервных стволов.
Переломы локтевого отростка
Анатомия перелома локтевого отростка
Перелом локтевого отростка происходит в основном при падении на локоть с высоты собственного роста. Существуют случаи, когда данному перелому характерен вариант со смещением. Чаще всего он происходит на уровне верхушки отростка, но иногда несет за собой внесуставное повреждение. Именно к этому участку крепится сухожилие трехглавой мышцы плеча (трицепса), которое “тянет” отломанные элементы проксимально (в сторону плеча), тем самым создавая диастаз промежуток между отломками, что является серьезным препятствием для сращения перелома.
Симптомы при переломе локтевого отростка
При обращении к врачу пациент жалуется на болевой синдром и нарушение функции локтевого сустава.
При осмотре и физикальном обследовании существуют следующие признаки перелома локтевого отростка:
• Деформация и отечность локтевого сустава;
• Ограничение разгибание и сгибание предплечья (при смещении разгибание ограничено, так как трехглавая мышца тянет только отломанный фрагмент);
• Гемартроз (Кровоизлияние в сустав);
• Боль при пальпации отростка;
• При переломе локтевого отростка со смещением определяется западение кожи вместо привычного костного возвышения.
Дигностика переломов локтевого отростка со смещением и без
В случае перелома локтевого отростка без смещения или с допустимым смещением, деформации локтевого сустава не определяется. Движения ограничены только болью, то есть функция руки не страдает. Поэтому нельзя с уверенностью говорить об отсутствии перелома при нормальной функции.
Для определения перелома выполняется рентгенография локтевого сустава в двух проекциях. Этого исследования достаточно в большинстве случаев. Для более детального исследования характера перелома выполняют компьютерную томографию (КТ). С её помощью можно определить насколько разрушен отросток и определиться с тактикой лечения. Выполнять ли операцию и с использованием какой металлоконструкции. Все эти ньюансы очень важны для лучшей фиксации и наилучшего исхода лечения.
Лечение перелома локтевого отростка
Консервативная терапия
Перелом локтевого отростка без смещения обычно требует консервативного лечения. Первые 6 дней после травмы отек может нарастать и сохраняться, поэтому накладывается задняя гипсовая лонгетная повязка в положении сгибания предплечья в локтевом суставе под углом 80-90 градусов (см. рисунок ниже). Повязка должна быть от верхней трети плечевой кости, до лучезапястного сустава, при этом предплечье должно быть в положении супинации (ладонью вверх). Иммобилизация руки в косыночной повязке продолжается 3 недели с момента травмы. Иммобилизацию можно продолжить в лонгете, периодически снимая её для разработки локтевого сустава. Либо заменить гипс на ортез жесткой фиксации с регулировкой амплитуды движений.
Хирургическое лечение в нашей клинике
Перелом локтевого отростка, имеющий выраженное смещение осколков, требует обязательного оперативного вмешательства хирурга-травматолога. Иначе предплечье не будет полностью разгибаться, это серьезное нарушение функции верхней конечности. Успех операции зависит от точного сопоставления костных отломков и их фиксации в правильном анатомическом положении. А в дальнейшем успех зависит от правильной разработки локтевого сустава.
Наилучшим методом лечения внутрисуставного перелома локтевого отростка, позволяющим сохранить движения в суставе – это остеосинтез (устранение смещения и фиксация отломков металлоконструкцией). Операцию выполняют сразу после поступления пациента. Это ускорит реабилитацию и позволит сохранить полный объем движений в локтевом суставе. Локтевой сустав очень капризный в плане реабилитации. Если иммобилизация продолжается 4 недели и более, то практически во всех случаях у взрослых пациентов развивается контрактура.то есть движения ограничены на всю жизнь. Если перелом локтевого отростка произошел одним фрагментом, то возможна классическая операция, одна из самых простых и надежных методик - остеосинтез локтевого отростка по Веберу. Выполняется она при помощи двух титановых спиц и титановой проволоки.
До операции:
После операции:
В случае оскольчатого перелома со смещением и отрыве верхушки отростка локтевой кости, выполняют фиксацию осколков специальной титановой конструкцией, восстанавливая целость локтевого отростка и суставной поверхности локтевой кости.
Итак, лечение перелома локтевого отростка, заключается в следующем:
• Восстановление разрушенного участка локтевого сустава в норму;
• Фиксация положения травмированного участка, пока не произойдет сращение.
Для фиксации травмированной кости используют следующие методы:
• Ортез или гипсовая повязка (лонгет);
• Титановая пластина с винтами для фиксации (операция);
• Винты без дополнительного удерживающего элемента (операция);
-Фиксация спицами и стягивающей петлей (остеосинтез по Веберу).
В нашей клинике мы используем все три метода фиксации фрагментов локтевой кости, выбор которого зависит от характера перелома. Например, оскольчатый перелом можно зафиксировать только пластиной и винтами.После операции, пациенты на следующий день могут приступать к восстановлению функции конечности. В нашем отделении с каждым пациентом работает инструктор ЛФК. Проводят гимнастику, массаж, физиолечение. Пациенты после операции в кратчайшие сроки возвращаются к повседневной жизни.
Реабилитация после перелома локтевого отростка
Существую следующие виды реабилитации после перелома локтевого отростка:
1. Упражнения начинают выполнять в первые дни после травмы в пальцах рук, так как мышцы, отвечающие за функционирование пальцев, начинаются от области локтевого сустава (от надмыщелков).
2. Под контролем врача выполняется ранняя разработка после операции.
3. Полноценная разработка в локтевом суставе производится после снятия гипса или ортеза. Она не сложная в техническом плане, но очень требовательная в плане амплитуды и частоты повторений. Сшибание и разгибание руки в локтевом суставе. Спонация и супинация кисти (ладонью вверх и вниз).
От пациента требуется огромный труд и сила воли. Операция это только полдела.
Пренебрегая данными рекомендациями существует риск развития артроза в локтевом суставе и других достаточно серьезных осложнений.
Рентгенограмма, МРТ при переломе локтевого отростка
Рентгенограмма, МРТ при переломе локтевого отростка
а) Определения:
• Перелом через локтевой отросток локтевой кости в результате:
о Прямого удара
о Растягивающей травмы в месте прикрепления
б) Визуализация:
1. Общая характеристика:
• Лучший диагностический критерий:
о Линейный перелом через локтевой отросток на боковой рентгенограмме локтевого сустава
• Локализация:
о От основания до верхушки локтевого отростка
о В большинстве случаев внутрисуставной
• Размер:
о Размеры отломка зависят от локализации перелома
• Морфология:
о Линия перелома, как правило, в осевой плоскости
о Может быть поперечным, косым или оскольчатым
о Может распространиться медиально с захватом выступающего бугорка:
- Медиальный край венечного отростка
- Место прикрепления переднего пучка локтевой коллатеральной связки
- Захват бугорка, ассоциированный с повышенной нестабильностью
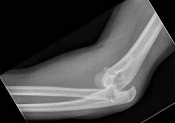
(Слева) На боковой рентгенограмме локтевого сустава визуализируется небольшой отломок перелома кончика локтевого отростка. Края отломка неправильной формы, что отличает это повреждение от несросшегося центра оссификации апофиза.
(Справа) На боковой рентгенограмме у ребенка после падения определяется косой перелом через среднюю точку локтевого отростка с незначительным смещением. Напротив, зона роста локтевого отростка волнистая с выраженным кортикальным слоем по краям. (Слева) На боковой рентгенограмме локтевого сустава после падения на вытянутую руку при согнутом локтевом суставе виден смещенный отломок, оторвавшийся от кончика локтевого отростка. Степень смещения свидетельствует о значительном повреждении трехглавой мышцы.
(Справа) На сагиттальной МРТ PDBИ определяется частичный отрыв сухожилия трехглавой мышцы с небольшим оторвавшимся костным отломком МРТ может быть информативна при оценке степени повреждения трехглавой мышцы. (Слева) На сагиттальной КТ с реформатированием можно видеть раздробление локтевого отростка после падения на локтевой сустав. Перелом открывается на суставную поверхность в нескольких местах.
(Справа) На сагиттальной КТ с реформатированием со схемой мягких тканей у этого же пациента визуализируется прикрепление сухожилия трехглавой мышцы и смещение околосуставных жировых подушек. Несмотря на то, что КТ может помочь оценить целостность трехглавой мышцы, МРТ является более точным метом визуализации.
2. Рентгенография при переломе локтевого отростка:
• Может быть разными от едва заметной линии перелома без смещения до сильного раздробления и смещения
• Обычно виден на боковой проекции
• Мелкий отломок со значительным смещением свидетельствует об отрыве трехглавой мышцы
• Может перейти на венечный отросток
3. МРТ при переломе локтевого отростка:
• Линия перелома лучше видна на сагиттальной и фронтальной Т1ВИ и Т2ВИ FS
• Стрессовое повреждение может определяться только по отеку костного мозга без линии перелома
• На МРТ можно не заметить небольшие переломы кончика
4. Рекомендации по визуализации:
• Лучший метод визуализации:
о Боковая рентгенограмма
о МРТ для оценки целостности трехглавой мышцы
• Рекомендация по протоколу:
о Рентгенограммы: боковая проекция для оценки размера и положения отломка (ов)
о КТ: сагиттальная с реформатированием для оценки величины щели между суставными поверхностями
о МРТ: сагиттальная и осевая Т2ВИ для оценки перелома и целостности трехглавой мышцы
(Слева) На боковой рентгенограмме локтевого сустава у женщины 73 лет после незначительной травмы локтевого сустава определяется дистракционный перелом локтевого отростка. Край смещенною отломка плохо определяется, а весь отломок и конец собственной локтевой кости несколько прозрачные, что свидетельствует о наличии опухоли. Это был патологический перелом через миеломный очаг.
(Справа) На передне-задней рентгенограмме у этой же пациентки видны медиально смещенные отломки расширяющейся опухоли локтевого отростка. (Слева) На боковой рентгенограмме можно видеть раздробленные оторвавшиеся отломки, исходящие из проксимальною кончика локтевого отростка, что указывает на разрыв трехглавой мышцы.
(Справа) На осевой КТ виден перелом медиального края локтевою отростка без смещения. Продольные переломы проксимальною конца локтевой кости без смещения иногда очень сложно обнаружить на рентгенограммах. (Слева) На фронтальной МРТ Т1ВИ у этою же пациента видна линия неполною перелома с низким сигналом в локтевом отростке.
(Справа) На осевой MPT PDBИ FS у этого же пациента определяется перелом, окруженный отеком костного мозга с высоким сигналом. Повреждение этой области локтевого отростка у спортсменов-метателей, применяющих верхний бросок, не является редкостью и поэтому ею следует учитывать при дифференциальной диагностике боли в локтевом суставе у этих пациентов.
в) Дифференциальная диагностика перелома локтевого отростка:
1. Разрыв трехглавой мышцы без костного компонента (редкий):
• Боль и отек в области верхушки локтевого отростка
• Невозможность разгибания локтевого сустава
• Отсутствие патологических изменений костей на рентгенограмме
2. Блоковая борозда:
• Анатомический вариант нормы в большой сигмовидной вырезке блока
3. Нормальный центр оссификации:
• Хорошо очерченные, склеротические края
• Сливается в возрасте 14-18 лет
• Дорсальная надблоковая кость: несрастание
4. Сесамовидная кость локтевого сустава (patella cubiti):
• Удлиненная сесамовидная кость в дистальной части трехглавой мышцы по латеральному краю
• Гладкий кортикальный слой
• Синоним: двуразделенный локтевой отросток
5. Повреждение Монтеджи:
• Перелом проксимальной трети диафиза локтевой кости (внесуставной)
• Вывих лучеголовчатого сустава
6. Бурсит локтевого отростка:
• Проявляется болевым симптомом над локтевым отростком
• Отсутствие костной патологии на рентгенограмме
• Выступающая локальная припухлость мягких тканей
7. Остеотомия:
• Поперечная остеотомия через локтевой отросток является частым открытым хирургическим доступом к локтевому суставу или дистальному концу плечевой кости
• Прямая, поперечная линия просветления локтевого отростка с фиксацией (шурупом или восьмиобразной стягивающей проволочной петлей)
(Слева) В латеральной проекции у мальчика 10 лет определяется крупный перелом периостальной манжеты локтевого отростка. Это необычное повреждение, при котором надкостница и подвижный отломок кортикальною слоя оторвались от кости. Обратите внимание, что центр оссификации локтевого отростка перемещается вместе с костным отломком. Это перелом Салтера-Харриса II.
(Справа) В боковой проекции локтевого отростка после открытой репозиции с внутренней фиксацией перелома локтевого отростка видна фиксирующая пластина и шурупы для фиксации. Эти пластины разработаны специально для данной локализации перелома. (Слева) На передне-задней рентгенограмме у этою же пациента дополнительно можно видеть форму пластины, фиксирующей проксимальный конец локтевой кости. Этот метод лечения приобретает популярность в силу небольшою числа осложнений.
(Справа) На сагиттальной MPT Т2 FS у питчера 12 лет с болью в локтевом суставе определяется отек вдоль зоны роста локтевою отростка, что соответствует апофизиту/стресс перелому локтевого отростка. Это нечастый компонент локтя игрока малой лиги. (Слева) На осевой МРТ Т2 FS у этою же пациента также виден острый отрыв медиальною надмыщелка с небольшим смещением, повреждение, которое стало показанием для МРТ. Жидкость в области зоны роста патологическая. Отрыв произошел во время метания мяча.
(Справа) На сагиттальной МРТ Т2ВИ видна нормальная блоковая борозда (вырезка) в средней части суставной поверхности локтевого отростка. Это «обнаженная область» в суставном хряще и ее не следует принимать за перелом.
г) Патология:
1. Общая характеристика:
• Этиология:
о Повреждение прямым ударом:
- Падение на локтевой отросток
- Непосредственное сдавливание предметом
о Растяжение:
- Падение на согнутый локтевой сустав
- Разгибание локтевого отростка против сопротивления
о Переразгибание:
- Локтевой отросток вдавливается в заднюю блоковую борозду
о Вальгусное давление:
- Сдавливающая травма у спортсменов-метателей, применяющих верхний бросок
- Захватывает медиальный край
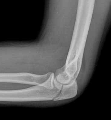
Боковая проекция локтевого сустава позволяет увидеть перелом локтевого отростка с минимальным смещением без признаков перехода на венечный отросток. Лучеголовчатый и локтевой суставы сохранены. Здесь можно видеть боковую проекцию у этого же пациента. Проведена фиксация стягивающей проволокой. Стягивающую проволоку протянули в виде восьмерки и закрепили двумя спицами Киршнера. При простых переломах локтевого отростка это эффективное лечение, хотя осложнения, связанные с металлоконструкцией, наблюдаются часто. В боковой проекции локтевого сустава определяется сложный перелом дистального конца плечевой кости. Локтевой отросток интактен. Фиксация перелома плечевой кости потребует остеотомии локтевого отростка для доступа к плечевой кости. Здесь можно видеть боковую проекцию у этого же пациента после оперативной репозиции двухмыщелкового перелом плечевой кости. После остеотомии локтевого отростка наложена пластина и выполнена фиксация шурупами.
2. Стадирование, градации и классификация перелома локтевого отростка:
• Ассоциация классификации остеосинтеза:
о Тип А: внесуставной перелом
о Тип В: внутрисуставной перелом
о Тип С: внутрисуставные переломы как локтевого отростка, так и головки лучевой кости
• Классификация Шацкера:
о Тип А: простой поперечный перелом
о Тип В: поперечный вдавленный перелом
о Тип С: косой перелом
о Тип D: оскольчатый перелом
о Тип Е: более дистальный перелом (внесуставной)
о Тип F: переломовывих
д) Клинические особенности:
1. Демография:
• Возраст:
о Взрослые > дети
• Эпидемиология:
о 20% переломов локтевого сустава у взрослых
о 6% переломов локтевого сустава у детей
2. Течение и прогноз:
• Осложнения:
о Ограниченный объем движений
о Остеоартрит
о Осложнения, связанные с металлической конструкцией:
- До 80% при стягивающей фиксации
о Гетеротопная оссификация (13-14%)
о Несрастание (< 5%)
о Повреждение локтевого нерва (10%)
о Инфекция (0-6%)
3. Лечение перелома локтевого отростка:
• Переломы без смещения лечатся консервативно
• Операция при смещении >2 мм:
о Хирургические методики должны превышать существенную силу натяжения в месте прикрепления трехглавой мышцы
о Удаление отломка и перемещения трехглавой мышцы:
- Пожилые пациенты с остеопорозом
- Невозможность первичной репозиции отломка
о Стягивание проволокой:
- Исторически самый безопасный и простейший метод
- В настоящее время применяется реже
о Фиксация пластиной:
- Оскольчатые переломы
- Переломы с захватом клювовидного отростка
- Повреждения Монтеджи
- Пластины приобретают все большую популярность с развитием блокирующих пластин для этой области
о Фиксация костномозговым шурупом:
- Часто в сочетании со стягиванием проволокой
е) Диагностическая памятка:
1. Следует учесть:
• Разрыв трехглавой мышцы
• Повреждение Монтеджи
• Другие сопуствтующие переломы
2. Советы по интерпретации изображений:
• В передне-задней проекции изменения могут быть едва заметными или отсутствовать
3. Рекомендации по отчетности:
• Описывают размер и смещение отломка(ов)
• Оценивают другие переломы
• Внутрисуставной в сравнении с внесуставным
• Повреждение выступающего бугорка
Перелом локтевого отростка
Перелом локтевого отростка – это нарушение целостности локтевого отростка локтевой кости в результате травматического воздействия.
Проявляется отеком, болезненностью, гематомой и ограничением движений.
Патология диагностируется с учетом жалоб, данных внешнего осмотра и результатов рентгенологического исследования. В сомнительных случаях назначается КТ или МРТ.
Лечение переломов без смещения консервативное.
При переломах со смещением требуется операция – чрезкостный шов, фиксация отломка при помощи металлоконструкции или резекция локтевого отростка.
Перелом локтевого отростка – достаточно распространенное повреждение. Такие травмы составляют около 1% от общего числа переломов костей конечностей и 6-30% от общего числа внутрисуставных переломов локтевого сустава. Чаще выявляются у людей молодого и среднего возраста. У детей в возрасте до 10 лет наблюдаются очень редко.
В большинстве случаев сопровождаются смещением отломков и образованием диастаза между локтевой костью и «оторвавшимся» фрагментом локтевого отростка, что вызвано силой трёгхлавой мышцы плеча .
- прямой:
- падение на локоть в положении его сгибания
- проникающие повреждения локтевого сустава
- падение на предплечье (локтевой отросток вдавливается в дистальный отдел плечевой кости путем чрезмерного разгибания локтя на вытянутой руке)
- резкое сжатие трицепса отрывает локтевой отросток.
- стресс-перелом встречается реже и наблюдается преимущественно у спортсменов по метанию (например, в бейсболе) с постепенным появлением боли, усиливающейся при повторяющихся бросательных движениях
В некоторых случаях могут возникать переломы с элементами компрессии, в этом случае сминается участок губчатой кости, из которой состоит локтевой отросток. Возможны закрытые и открытые повреждения со смещением либо без смещения фрагментов. Большинство переломов – внутрисуставные.
- тип 1 или повреждения без смещения: тип 1А (неоскольчатый), тип 1В (оскольчатый);
- тип 2 или стабильные повреждения со смещением: тип 2А (неоскольчатый), тип 2В (оскольчатый). Смещение фрагмента составляет более 2-3 мм, при этом сохраняется стабильность костей предплечья относительно плеча. Коллатеральные связки не повреждены;
- тип 3 или нестабильные повреждения со смещением: тип 3А (неоскольчатый) и тип 3В (оскольчатый). Относятся к категории подвывихов или переломовывихов.
Реже возникает при непрямой травме – падении на руку при напряженной трехглавой мышце. В последнем случае образуются косые или поперечные повреждения с различной степенью смещения.
Жалобы на резкую боль в области локтевого отростка и придерживание полусогнутой больной руки здоровой во избежание случайных болезненных движений. При частичных разрывах сухожилия трицепса и повреждениях со смещением невозможно активное разгибание предплечья. Локтевой сустав отёчен (преимущественно по задней поверхности), нередко выявляются кровоизлияния. Пальпация резко болезненна, в ряде случаев удается нащупать щель между костными фрагментами.
Для уточнения диагноза назначают рентгенографию локтевого сустава. Лучше всего такие переломы видны на боковых снимках при сгибании предплечья под углом 90 градусов. На рентгенограммах обычно четко определяется характер и количество отломков, а также величина диастаза между ними. Дополнительные исследования, как правило, не требуются. В отдельных случаях для детализации плотных структур больных направляют на КТ или МРТ локтевого сустава. Переломы локтевого отростка могут сопровождаться повреждением локтевого нерва, поэтому при наличии неврологической симптоматики необходима консультация невролога.
Лечение перелома локтевого отростка
При повреждениях без смещения и со смещением, не превышающем 2-3 мм, возможно консервативное лечение – иммобилизация гипсовой лангетой. Руку сгибают под углом 50-90 градусов, предплечье выводят в нейтральное положение. В первые дни назначают противовоспалительные препараты. После спадания отека (через 7-10 дней) выполняют контрольную рентгенографию, при отсутствии вторичного смещения – продолжается консервативное лечение.
Затем используют поддерживающую повязку и назначают ЛФК, постепенно наращивая нагрузку. Полная консолидация, как правило, наступает в течение 6-7 недель.
Возможно применение тепловых процедур, магнитотерапии, массаж мышц предплечья и плеча. На этапе реабилитации используют механотерапию.
Повреждение локтевого отростка со смещением является показанием к операции. Хирургическое вмешательство осуществляется в условиях стационара. В зависимости от локализации и характера перелома может применяться остеосинтез винтами, остеосинтез спицами в сочетании с восьмиобразной петлей по Веберу, остеосинтез пластиной и винтами или резекция проксимального отломка с анкерной рефиксацией сухожилья трицепса плеча.
Последний способ используется при повреждениях у пожилых пациентов, а также при многооскольчатых и несросшихся переломах. Его преимуществом является устранение возможности несрастания фрагментов, недостатками – наличие небольшого косметического дефекта (отсутствие локтевого выступа под кожей) и некоторое снижение эффективности локтевого сустава.
При наличии одного отломка обычно используют различные варианты петлевого шва, при оскольчатых повреждениях – пластины с винтами. Если приходится удалять мелкие отломки, остеосинтез сочетают с пластикой костным аутотрансплантатом или аутотрансплантатом.
После операции возможны два варианта. При остеосинтезе с использованием металлоконструкции гипс не накладывают, в течение 2-3 недель используют поддерживающую косыночную повязку, ЛФК начинают в зависимости от рекомендаций лечащего врача (зависит от выбранной оперативной методики). При резекции локтевого отростка на 3 недели накладывают заднюю лангету. ЛФК начинают на 7-10 день, снимая повязку во время упражнений.
Прогноз и профилактика
Прогноз обычно благоприятный. В процессе реабилитации стоит учитывать, что локтевой сустав – один из самых «капризных». Даже после непродолжительной иммобилизации в нем могут возникать ограничения движений. Он достаточно тяжело разрабатывается, срок полного восстановления может занимать несколько месяцев. Гарантией полной реабилитации является упорство и регулярные занятия лечебной физкультурой в точном соответствии с рекомендациями врача и инструктора ЛФК.
Травмы локтевого сустава
Основным методом диагностики травм локтевого сустава традиционно является рентгенологический. Дополнительное значение имеет МРТ. Роль МРТ состоит в выявлении признаков артроза, повреждения связок, мышц и выявлении эпикондилита а также кубитального тоннельного синдрома.
Дислокации локтевого сустава
Дислокации локтевого сустава без перелома рассматриваются как простые, с переломом – как комплексные. Наиболее типичные переломы – это головки лучевой кости и переломы локтевого отростка. В некоторых случаях наблюдается триада из перелома головки лучевой кости, перелома венечного отростка локтевой кости и подвывиха назад.
![страшная триада-обр]()
Триада: перелом головки лучевой кости, перелом венечного отростка и подвывих назад. Рентгенограмма в боковой проекции.
![перелом локтевого отростка-обр.]()
Перелом локтевого отростка локтевой кости. Рентгенограмма в боковой проекции.
Переломы области локтевого сустава
В области локтевого сустава встречаются дистальные переломы плечевой кости. У детей это чаще всего простые надмыщелковые (супракондилярные) переломы. Они делятся на три типа: тип 1 -без смещения, тип 2 – со смещением, но без повреждения кортикального слоя, и тип 3 – с полным смещением. Поскольку не всегда удается увидеть линию перелома, следует обращать внимание приподнимание переднего комка жировой клетчатки и расположение передней линии плеча. Она в норме пересекает на боковых снимках головку в средней ее трети. Реже встречаются медиальные эпикондилярные переломы и латеральные эпикондилярные переломы.
Помимо переломов плечевой кости наблюдаются переломы лучевой и локтевой кости. Эти типы переломов характерны для взрослых. Обычно переломы головки лучевой кости изолированные, но могут быть и в сочетании с переломом венечного отростка локтевой кости и повреждением связочного аппарата. Изредка встречаются переломы локтевого отростка локтевой кости, обычно при прямом ударе или падении на локоть.
На МРТ локтевого сустава при любом переломе видна реакция костного мозга. Это помогает в диагностике, если перелом сразу не виден на рентгенограмме. В дальнейшем можно прицельно дообследовать подозрительную область. При консолидировавшихся переломах на МРТ остается видна линия перелома, а окружающий костный мозг нередко подвергается жировой дегенерации. МРТ в СПб стало необходимым компонентом обследования пациентов с травмой суставов и осуществимо в высоких полях или открытом МРТ. МРТ СПб дает возможность исследовать методом МРТ локтевой сустав в разных центрах, однако, наш опыт позволяет рекомендовать обследование именно у нас.
![loktevaya-sustavnaya-mysh]()
Рентгенограмма (слева) и МРТ локтевого сустава (справа). Суставная мышь (стрелка). Выпот и синовит на Т2-взвешенной МРТ.
Хронические и острые повреждения мягких тканей
При однотипных движениях нередко встречаются эпикондилиты и синдром складки локтевого сустава. Эти патологии хорошо видны при МРТ локтевого сустава. При МРТ в СПб, мы особо обращаем внимание на состояние мягких тканей, так как их изменения еще могут быть причиной тоннельных синдромов. Кроме того вследствие травмы при МРТ области локтевого сустава наблюдаются повреждения мышц.
![razryv-bicepsa]()
МРТ локтевого сустава. Т2-взвешенная МРТ, аксиальный срез ниже суставной щели. Разрыв двуглавой мышцы плеча (стрелка).
![razryv-kruglogo-pronatora]()
МРТ локтевого сустава. Т2-взвешенная аксиальная МРТ. Разрыв круглого пронатора (стрелка).
Читайте также:





