Рентгенограмма, МРТ при POEMS
Добавил пользователь Евгений Кузнецов Обновлено: 13.12.2025
POEMS (polyneuropathy, organomegaly, endocrinopathy, monoclonal gammopathy, and skin changes) – развитие синдрома при мультицентрическом варианте течения БК, характеризующегося полинейропатией, органомегалией, эндокринопатией, повышением моноклональной гамма фракции, кожными изменениями.
Блок COP – химиотерапия в состав которой входит циклофосфамид, винкристин, преднизолон.
Блок R-CHOP – химотерапия в состав которой входит моноклональное антитело к CD20 (ритуксимаб), циклофосфамид, доксорубицин, винкристин, преднизолон.
1. Краткая информация
1.1 Определение
Болезнь Кастлемана (БК, ангиофолликулярная узловая гиперплазия, ангиофолликулярная лимфоидная гиперплазия) - поликлональное лимфопролиферативное заболевание, которое может поражать отдельные лимфоузлы или располагаться мультицентрично и сопровождаться системными проявлениями воспаления [1,2].
1.2 Этиология и патогенез
Патогенез заболевания на сегодняшний день остается нерасшифрованным. Важную роль в развитии болезни играет избыточная продукция интерлейкина 6 (ИЛ6), который в опытах индуцировал у мышей развитие подобной лимфаденопатии. У пациентов с ВИЧ-инфекцией было показано, что вирус герпеса 8 типа (HHV8) экспрессирует вирусный белок, гомологичный ИЛ6, и вызывающий аналогичные человеческому ИЛ6 эффекты. Он индуцирует ангиогенез и гемопоэз с последующеими системными проявлениями и приводит к развитию мультицентрической болезни Кастлемана. Роль HHV8 у людей без иммунодефицита остается спорной. Повышенная продукция ИЛ6 приводит и к легочной артериальной гипертензии, которая встречается у пациентов с БК 1.
1.3 Эпидемиология
Распространенность заболевания не установлена; предположительно, частота заболевания 1 на 100 000 жителей. Локализованная форма встречается наиболее часто, в литературе содержится описание около 400 больных. Тип наследования не определен, убедительных данных за наследственный характер заболевания нет. БК встречается в любой возрастной группе, 70% больных моложе 35 лет, средний возраст 40 лет, одинаково часто отмечается у лиц обоего пола 3.
1.4 Кодирование по МКБ-10
Другие иммунодефициты (D84):
D84.8 – Первичный иммунодефицит уточненный.
Другие новообразования неопределенного или неизвестного характера лимфоидной, кроветворной и родственных им тканей (D47):
D47.7 – Другие уточненные новообразования неопределенного или неизвестного характера лимфоидной, кроветворной и родственной им тканей.
1.5 Классификация
По клинической картине:
По гистологической картине:
2. Диагностика
2.1 Жалобы и анамнез
Основным проявлением БК является гипертрофия лимфатических узлов различных локализация, на которую могут жаловаться пациенты или их родители. Часто увеличение лимфоузлов присутствует как единственная жалоба. Тем не менее, нередко имеются системные признаки заболевания, в виде астения, снижение массы веса тела, периодической лихорадки. Больных периодически беспокоят боли в грудной клетке или в органах брюшной полости. Могут быть нарушения чувствительности за счет нейропатии. Нередко заболевания протекает с обострениями и эпизодами относительного благополучия.
2.2 Физикальное обследование
При осмотре некоторые больные имеют признаки гипотрофии за счет резкой потери веса. Визуально и пальпаторно отмечается увеличение лимфоузлов различных групп, которые бывают любой консистенции — от очень мягкой до каменной твердости. Всегда обнаруживается массивная спленомегалия. В большинстве случаев также обнаруживаются гепатомегалия (70%), кашель и крепитирующие хрипы в легких (65%) и отеки за счет гипоальбуминемии (55%) [4,6-10].
2.3 Лабораторная диагностика
- Рекомендуется клинический анализ крови и СОЭ 10.
Уровень убедительности рекомендаций А (уровень достоверности доказательств – 2)
Комментарии: В клиническом анализе крови нередко выявляется лейкоцитоз, анемия, тромбоцитоз, повышение СОЭ, значительно чаще при мультицентрическом варранте течения заболевания
- Рекомендуется определение в сыворотки крови уровня ИЛ6 8.
Уровень убедительности рекомендаций В (уровень достоверности доказательств – 2)
Комментарии: Уровень ИЛ6 повышается иногда при мультицентрическом варианте течения БК.
- Рекомендуется определение методом ПЦР HHV 7 и 8 типа 8.
Уровень убедительности рекомендаций С (уровень достоверности доказательств – 3)
Комментарии: HHV 7 и 8 типа может служить причиной/триггером для развития БК.
- Рекомендуется определение в биохимическом анализе крови общего белка, альбумина, креатинина, мочевины, общего билирубина, прямого блирубина, АЛАТ, АСАТ, глюкоза, ЛДГ, щелочная фосфотаза, ГГТ 8.
Уровень убедительности рекомендаций В (уровень достоверности доказательств – 2)
- Рекомендуется определение С-реактивного белка 9.
Уровень убедительности рекомендаций А (уровень достоверности доказательств – 2)
Комментарии: Уровень С-реактивного белка часто указывает на активность течения патологического процесса; чаще повышен при мультицентричеком варианте.
- Рекомендуется определение иммуноглобулинов A, M, G 9.
Уровень убедительности рекомендаций А (уровень достоверности доказательств – 2)
Комментарии: повышение уровня иммуноглобулинов в крови чаще наблюдается при мультицентрическом варианте БК.
- Рекомендуется общий анализ мочи (микроскопическое исследование осадка мочи, белок, глюкоза, определение удельного веса (относительной плотности) мочи) 7.
Уровень убедительности рекомендаций А (уровень достоверности доказательств – 2)
- Рекомендуется определение уровня гормонов в сыворотке крови (Т3,Т4, ТТГ, кортизол) 7.
Уровень убедительности рекомендаций А (уровень достоверности доказательств – 2)
Комментарии: Эндокринопатия входит в состав синдрома POEMS и развивается как осложнение при мультицентрическом варианте течения.
- Рекомендуется определение основных групп крови по системе АВ0, резус фактора 8.
Уровень убедительности рекомендаций А (уровень достоверности доказательств – 2)
- Рекомендуется определение антигена НBsAg Hepatitis B virus, антител класса M, G (IgM, IgG) к Hepatitis C virus, антител класса M, G (IgM, IgG) к Human immunodeficiency virus HIV 1 10.
Уровень убедительности рекомендаций В (уровень достоверности доказательств – 2)
Комментарии: БК чаще развивается у ВИЧ компроментированных пациентов.
- Рекомендуется определение антител класса M, G (IgM, IgG) к ННV8, HHV7, антител класса M, G (IgM, IgG) к Human immunodeficiency virus HIV 2 6.
Уровень убедительности рекомендаций А (уровень достоверности доказательств – 2)
2.4 Инструментальная диагностика
Уровень убедительности рекомендаций А (уровень достоверности доказательств – 1)
- Рекомендуется измерение артериального давления на периферических артериях 8
Уровень убедительности рекомендаций А (уровень достоверности доказательств – 1)
- Рекомендуется бронхоскопия, торакоскопия, диагностическая лапароскопия 7.
Уровень убедительности рекомендаций С (уровень достоверности доказательств – 2)
Уровень убедительности рекомендаций В (уровень достоверности доказательств – 2)
- Рекомендуется ультразвуковое исследование органов брюшной полости, почек, лимфоузлов 9.
Уровень убедительности рекомендаций А (уровень достоверности доказательств – 1)
- Рекомендуется ультразвуковое исследование мягких тканей, матки и придатков, молочных желез, щитовидной железы 8.
Уровень убедительности рекомендаций С (уровень достоверности доказательств – 2)
- Рекомендуется магнитно-резонансная томография костной ткани 10.
Уровень убедительности рекомендаций С (уровень достоверности доказательств – 2)
- Рекомендуется регистрация электрокардиограммы, эхокардиография 7.
Уровень убедительности рекомендаций А (уровень достоверности доказательств – 1)
- Рекомендуется магнитно-резонансная томография центральной нервной системы и головного мозга, органов малого таза 6.
Уровень убедительности рекомендаций А (уровень достоверности доказательств – 1)
- Рекомендуется рентгенография пораженной части костного скелета 9.
Уровень убедительности рекомендаций С (уровень достоверности доказательств – 2)
- Рекомендуется компьютерная томография шеи, органов грудной полости, органов малого таза, забрюшинного пространства 7.
Уровень убедительности рекомендаций А (уровень достоверности доказательств – 1)
Уровень убедительности рекомендаций А (уровень достоверности доказательств – 1)
- Рекомендуется позитронно-эмиссионная томография 10.
Уровень убедительности рекомендаций А (уровень достоверности доказательств – 1)
2.5 Иная диагностика
- Рекомендуется гистологическое исследование препарата костного мозга 10.
Уровень убедительности рекомендаций А (уровень достоверности доказательств – 1)
Коментарии: Исследование препаратов костного мозга проводится с целью дифференциальной диагностики.
- Рекомендуется гистологическое, иммуногистохимического исследование препарата лимфоузла, печени, легкого 10.
Уровень убедительности рекомендаций А (уровень достоверности доказательств – 1)
Комментарии: Биопсия лимфоузлов является основным методом постановки диагноза, а также отнесения заболевания к тому или иному гистологическому типу.
3. Лечение
3.1 Консервативное лечение
Консервативная терапия рекомендуется в качестве метода выбора при лечении пациентов с мультицентрическим вариантом течения болезни Кастлемана 6.
- Для терапии БК рекомендуется циклофосфамид . Доза 300-500мг/м2, внутривенно капельно. Режим введения индивидуальный.
Уровень убедительности рекомендаций А (уровень достоверности доказательств – 2)
Комментарий: Противоопухолевое средство алкилирующего действия, оказывает также иммунодепрессивное действие. Является неактивной транспортной формой, распадающейся под действием фосфатаз с образованием активного компонента непосредственно в клетках опухоли, "атакует" нуклеофильные центры белковых молекул, нарушает синтез ДНК и РНК, блокирует митотическое деление.
- Для терапии БК рекомендуется винкристин. Доза 1,5мг. Режим введения индивидуальный.
Уровень убедительности рекомендаций В (уровень достоверности доказательств – 2)
Комментарий: Противоопухолевое средство растительного происхождения, алкалоид из барвинка розового (Vinca rosea L.), блокирует метафазу митоза (связываясь с белком тубулином, приводит к разрыву митотического веретена).
- Для терапии БК рекомендуется доксорубицин. Доза 50мг. Режим введения индивидуальный.
Уровень убедительности рекомендаций В (уровень достоверности доказательств – 2)
Комментарий: Противоопухолевый антибиотик антрациклинового ряда. Оказывает антимитотическое и антипролиферативное действие. Механизм действия заключается во взаимодействии с ДНК, образовании свободных радикалов и прямом воздействии на мембраны клеток с подавлением синтеза нуклеиновых кислот. Клетки чувствительны к Доксорубицину в S- и G2-фазах.
- Для терапии БК рекомендуется этопозид. Доза 100мг. Режим введения индивидуальный.
Уровень убедительности рекомендаций В (уровень достоверности доказательств – 2).
Комментарий: Полусинтетическое производное подофиллотоксина, используемое в качестве противоопухолевого средства. Этопозид оказывает цитотоксическое действие за счет повреждения ДНК. Препарат блокирует митоз, вызывая гибель клеток в G2 фазе и поздней S-фазе митотического цикла. Высокие концентрации препарата вызывают лизис клеток в премитотической фазе.
- Для терапии БК рекомендуется винбластин. Доза 6мг. Режим введения индивидуальный.
Уровень убедительности рекомендаций В (уровень достоверности доказательств – 2)
Комментарий: Противоопухолевое средство растительного происхождения, влияющее на метаболизм аминокислот. Механизм действия связан с денатурацией тубулина, что приводит к блокаде митоза. Подавляет деление клеток на стадии метафазы, приводит к атипичным митотическим процессам.
- Для терапии БК рекомендуется тоцилизумаб. Доза максимально 600мг. Режим введения каждые 2 недели или режим индивидуальный.
Уровень убедительности рекомендаций В (уровень достоверности доказательств – 2)
Комментарий: Рекомбинантное гуманизированное моноклональное антитело к человеческому рецептору интерлейкина-6 (ИЛ-6) из подкласса иммуноглобулинов IgG1. Тоцилизумаб селективно связывается и подавляет как растворимые, так и мембранные рецепторы ИЛ-6 (sIL-6R и mIL-6R). ИЛ-6 является многофункциональным цитокином, вырабатываемым различными типами клеток, участвующих в паракринной регуляции, системных физиологических и патологических процессах, таких как стимуляция секреции Ig, активация Т-клеток, стимуляция выработки белков острой фазы в печени и стимуляция гемопоэза.
- Для терапии БК рекомендуется бортезомиб в дозе 1,4мг/м2, режим введения индивидуальный.
Уровень убедительности рекомендаций В (уровень достоверности доказательств – 2)
Комментарий: Обратимый высокоселективный ингибитор активности протеасомы 26S, присутствующей в ядре и цитозоле всех эукариотических клеток и катализирующей расщепление основных белков, участвующих в жизненном цикле клеток. Бортезомиб ингибирует химотрипси-ноподобное действие протеасомы, вызывает торможение протеолиза и приводит к апоптозу. Миеломные клетки (in vitro) в 1000 раз более восприимчивы к апоптозу, вызванному бортезомибом, чем нормальные клетки плазмы. Механизм разрушения клеток миеломы заключается в блокаде активации NF-kB, который в нормальных клетках NF-kB (существует как димер р50-р65) связан с ингибирующим белком LkB, удерживющим его в неактивной форме в цитозоли. Некоторые опухоли содержат активированные формы NF-kB. Протеасома катализирует протеолитическую генерацию подгруппы NF-kB р50 из неактивного предшественника р150 и разрушение ингибирующего белка LkB. Активированный NF-kB, проникая в ядро, влияет на выживаемость и пролиферацию клетки.
- Для терапии БК рекомендуется руксолитиниб. Доза 50 мг. Режим введения индивидуальный.
Уровень убедительности рекомендаций С (уровень достоверности доказательств – 3)
Комментарий: Противоопухолевый препарат, является ингибитором протеинкиназы.
- В качестве средства сопутствующей терапии опухолей рекомендуется ондансетрон - противорвотное средство центрального действия, избирательный антагонист серотониновых рецепторов НТ3Используется главным образом для подавления тошноты и рвоты, возникающих вследствие химиотерапии. Он действует как на периферическую, так и на центральную нервную систему, снижая активность блуждающего нерва, что подавляет рвотный рефлекс, а также блокирует рецепторы триггерной зоны головного мозга, которая запускает этот рефлекс. Режим введения индивидуальный.
Уровень убедительности рекомендаций В (уровень достоверности доказательств – 1)
- В качестве средств сопутствующей терапии опухолей рекомендуются гормоны и средства, влияющие на эндокринную систему.
Уровень убедительности рекомендаций В (уровень достоверности доказательств – 2)
Комментарий: преднизолон подавляет функции лейкоцитов и тканевых макрофагов. Ограничивает миграцию лейкоцитов в область воспаления. Нарушает способность макрофагов к фагоцитозу, а также к образованию интерлейкина-1. Способствует стабилизации лизосомальных мембран, снижая тем самым концентрацию протеолитических ферментов в области воспаления. Уменьшает проницаемость капилляров, обусловленную высвобождением гистамина. Подавляет активность фибробластов и образование коллагена.
Ингибирует активность фосфолипазы А2, что приводит к подавлению синтеза простагландинов и лейкотриенов. Подавляет высвобождение ЦОГ (главным образом ЦОГ-2), что также способствует уменьшению выработки простагландинов.
Уменьшает число циркулирующих лимфоцитов (T- и B-клеток), моноцитов, эозинофилов и базофилов вследствие их перемещения из сосудистого русла в лимфоидную ткань; подавляет образование антител.
Преднизолон подавляет высвобождение гипофизом АКТГ и ?-липотропина, но не снижает уровень циркулирующего ?-эндорфина. Угнетает секрецию ТТГ и ФСГ. При непосредственной аппликации на сосуды оказывает вазоконстрикторный эффект. Преднизолон обладает выраженным дозозависимым действием на метаболизм углеводов, белков и жиров. Стимулирует глюконеогенез, способствует захвату аминокислот печенью и почками и повышает активность ферментов глюконеогенеза. В печени преднизолон усиливает депонирование гликогена, стимулируя активность гликогенсинтетазы и синтез глюкозы из продуктов белкового обмена. Повышение содержания глюкозы в крови активизирует выделение инсулина. Преднизолон подавляет захват глюкозы жировыми клетками, что приводит к активации липолиза. Однако вследствие увеличения секреции инсулина происходит стимуляция липогенеза, что способствует накоплению жира.
- В качестве средства сопутствующей терапии опухолей рекомендуется фуросемид.
Уровень убедительности рекомендаций В (уровень достоверности доказательств – 2)
Комментарий: "петлевой" диуретик; вызывает быстро наступающий, сильный и кратковременный диурез. Обладает натрийуретическим и хлоруретическим эффектами, увеличивает выведение K+, Ca2+, Mg2+. Проникая в просвет почечного канальца в толстом сегменте восходящего колена петли Генле, блокирует реабсорбцию Na+ и Cl-. Вследствие увеличения выделения Na+ происходит вторичное (опосредованное осмотически связанной водой) усиленное выведение воды и увеличение секреции K+ в дистальной части почечного канальца. Одновременно увеличивается выведение Ca2+ и Mg2+.
- В качестве средств сопутствующей терапии опухолей рекомендуются:
Растворы, электролиты, средства коррекции кислотного равновесия, средства питания:
Рентгенограмма, МРТ при POEMS
Рентгенограмма, МРТ при POEMS
а) Определения:
• Полинейропатия, органомегалия, эндокринопатия, М-протеин (моноклональное плазмоклеточное пролиферативное расстройство), сопутствующие изменения кожи (POEMS)
б) Визуализация:
1. Общая характеристика:
• Локализация:
о Костные очаги: типичное для множественной миеломы расположение:
- Аксиальный скелет (позвоночник, ребра, грудина)
- Плоские кости (череп, таз, плечевой пояс)
- Проксимальные отделы длинных трубчатых костей

(Слева) Рентгенография в ПЗ проекции: многочисленные округлые патологические очаги, диаметром около сантиметра. Характер очагов различный: полностью склеротический или литический со склеротическими краями. Очаги со склеротическим краем являются вариантом полностью склеротических очагов, встречающихся при POEMS.
(Справа) Рентгенография в ПЗ проекции: диффузный склероз таза и нечеткие округлые очаги в шейках бедренных костей. Это вариант склеротических костных очагов при POEMS, при котором склероз характеризуется в большей степени диффузный, а не очаговый.
2. Рентгенография при POEMS:
• Костные очаги:
о Солитарное поражение 42%, 2-3 очага - 29%, >3 очагов - 29%
о В 47% случаев-только склеротические очаги; в 51% - смешанные литические и склеротические очаги:
- Округлые, полностью склеротические очаги
- Округлые литические очаги со склеротическим краем
- Диффузный склероз в области поражения; отсутствие фокальных очагов
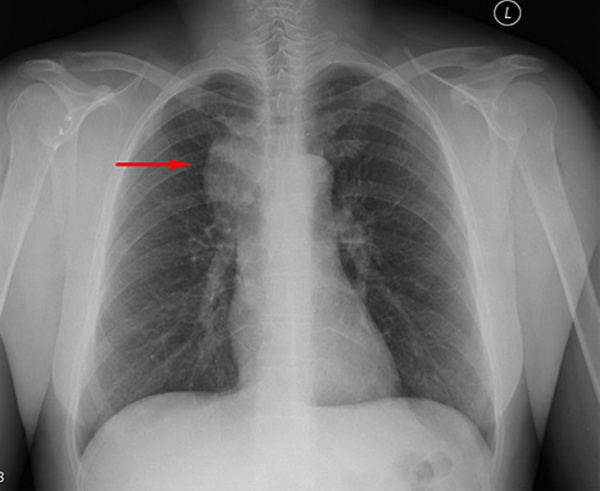
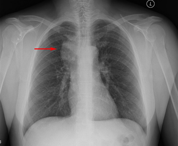
• Рентгенография органов грудной клетки:
о Плевральный выпот, высокое стояние диафрагмы, кардиомегалия (23%)
3. МРТ при POEMS:
• Костные очаги, характеризующиеся сигналом, ожидаемо соответствующим рентгенографическим признакам:
о Полностью склеротические низкоинтенсивные очаги во всех последовательностях:
- В режиме STIR, с контрастным усилением возможно периферическое повышение интенсивности сигнала
о Определяющиеся литические очаги со склеротическим краем в режиме Т1 характеризуются сигналом низкой интенсивности, а в последовательностях, чувствительных к жидкости - сигналом высокой интенсивности с низкоинтенсивным краем, а также контрастным усилением
о Часто смешанный характер патологических очагов

(Слева) МРТ, сагиттальная проекция, режим STIR: у пациента с подтвержденной плазмоклеточной пролиферацией визуализируются множественные низкоинтенсивные очаги. Некоторые из них окружены зоной высокоинтенсивного сигнала. Обычные активные миеломные (не POEMS) очаги характеризовались бы полной гиперинтенсивностью.
(Справа) МРТ, корональная проекция, режим STIR: у этого же пациента визуализируется множественное поражение грудины в виде низкоинтенсивных очагов. В режиме Т1 они характеризовались аналогичным сигналом низкой интенсивности. Рентгенографически определялись соответствующие склеротические участки. У пациента имеется склеротическое поражение костей, характерное для POEMS синдрома.
в) Дифференциальная диагностика POEMS:
1. Склеротические костные метастазы:
• Наиболее характерны для молочной и предстательной желез
2. Множественные костные островки:
• Дифференциально диагностическим признаком костного островка является наличие компактного патологического очага, сливающегося на периферии с нормальной костью
3. Остеопойкилоз:
• Скопления костных островков вокруг метафизов
г) Патология. Общая характеристика:
• Этиология: неизвестна:
о Предполагается этиологическая роль дисбаланса провоспалительных цитокинов:
- Повышение уровня интерлейкина-1β, интерлейкина-6 и фактора некроза опухоли - α
- С синдромом может ассоциироваться повышение уровня фактора роста эндотелия сосудов
о Диагностика:
- Необходимо сопоставление симптомов и признаков:
Отсутствует понимание взаимосвязи между POEMS, склеротическими очагами и болезнью Кастлемана
- Четкое представление о количестве признаков, необходимых для постановки диагноза отсутствует
о Для POEMS характерна выраженная ассоциация с плазмоклеточной дискразией и периферической нейропатией:
- У 34-50% пациентов с остеосклеротической миеломой имеются признаки нейропатии
- У 50% пациентов с миеломой и периферической нейропатией имеются склеротические костные патологические очаги:
У пациентов с классической множественной миеломой лишь в 1-8% случаев наблюдаются признаки нейропатии
о В наиболее крупном ретроспективном исследовании (клиника Мэйо) для диагностики синдрома POEMS учитывались следующие критерии:
- Основные критерии (для диагностики необходимы в 100%):
Полинейропатия: демиелинизирующее аксональное поражение
Моноклональное плазмоклеточное пролиферативное расстройство
- Второстепенные критерии (наличие хоты бы одного):
Склеротические костные очаги (присутствуют как правило: 95%)
Болезнь Кастлемана (11%)
Органомегалия (спленомегалия, гепатомегалия или лимфаденопатия): 50%
Отеки (отеки, плевральный выпот или асцит): 29%
Эндокринопатия (надпочечники, щитовидная железа, гипофиз, гонады, паращитовидные железы, поджелудочная железа): в 67% случаев наблюдается как минимум одна манифестация
Сопутствующие изменения кожи (гиперпигментация (наиболее часто), гипертрихоз, плетора, гемангиомата): 68%
д) Клинические особенности:
1. Проявления:
• Наиболее распространенный симптом: периферическая нейропатия
2. Течение и прогноз:
• На фоне лечения, POEMS характеризуется несколько большей выживаемостью, по сравнению с множественной миеломой 165 месяцев:
о Количество признаков POEMS, имеющихся на момент выявления заболевания не имеет прогностического значения
о Со временем могут появляться дополнительные признаки
о Даже при наличии множественных костных очагов или >10% плазматических клеток прогрессирование в клинически выраженную миелому может не наступить:
- У пациентов, обычно, не развиваются характерные для множественной миеломы осложнения (почечная недостаточность)
3. Лечение:
• Полиорганное заболевание, не имеющее стандартов целевой терапии:
о Лучевая терапия при солитарных костных очагах
о Может применяться высокодозная химиотерапия с использованием аутологичных стволовых клеток
• Эффект лечения варьирует от увеличения выраженности склероза до разрешения
е) Список использованной литературы:
1. Glazebrook К et al: Computed tomography assessment of bone lesions in patients with POEMS syndrome. Eur Radiol. 25(2):497-504, 2015
POEMS-синдром
Описание
СИНДРОМ СТИХИ. Это симптомокомплекс, который возникает у пациентов, страдающих онкологическими заболеваниями, в основном моноклональными гаммопатиями. Основные клинические симптомы представлены первыми буквами аббревиатуры в английской транскрипции: P - полинейропатия, O - органомегалия, E - эндокринопатия, M - наличие белка M в крови, S - кожные изменения. Диагноз устанавливается на основании клинико-лабораторного подтверждения основных компонентов синдрома. В комплексное лечение входят цитостатики, иммуномодуляторы, моноклональные антитела. Применяется лучевая терапия и трансплантация стволовых клеток.
Дополнительные факты
Синдром ПОЭМС (синдром Кроу-Фукасе, болезнь Такацуки, японское системное заболевание) впервые был описан английским врачом Р. Кроу в 1956 году. Особенность патологии заключается в раннем появлении неврологической симптоматики, поэтому пациенты обычно обращаются к неврологам. Точной информации о распространенности нет, по данным японских исследователей, заболеваемость составляет 0,3 на 100000. Чаще страдают люди в возрасте 40-60 лет. Половых различий не обнаружено. Часто наблюдается сочетание с болезнью Кастлемана.
Причины
Этиологический фактор остается неизвестным. В дебюте синдрома предполагалась роль длительной персистенции вирусов, Хронической антигенной стимуляции вируса герпеса 8 типа, однако убедительных данных в пользу этой теории получено не было. Существует четкая связь с раком (рак яичников, рак груди).
В подавляющем большинстве случаев синдром ПОЭМС связан с онкогематологическими патологиями, в частности с парапротеинемией - остеосклеротической миеломой, макроглобулинемией Вальденстрема, моноклональными гаммопатиями неизвестной этиологии. Поэтому некоторые авторы рассматривают данную нозологию как проявление паранеопластического процесса.
Патогенез
Точные патофизиологические механизмы синдрома POEMS изучены недостаточно. В ходе исследований была обнаружена корреляция между такими медиаторами, как фактор роста эндотелия сосудов (VEGF), интерлейкин-6 и фактор некроза опухоли альфа, с активностью патологического процесса - тяжестью гепатоспленомегалии, генерализованным отечным синдромом и образованием кожных гемангиом.
Неврологические симптомы в виде полинейропатии объясняются отложением иммунных комплексов в промежности и нервных сосудах, что вызывает выброс провоспалительных цитокинов, активацию моноцитарно-макрофагальной системы и проникновение металлопротеиназ через гемато-нервный барьер. Разрушение миелиновой оболочки нервных волокон.
Клиническая картина
Ведущим симптомом в клинической картине, выходящим на первый план по степени тяжести и времени появления, является хроническая прогрессирующая сенсомоторная полинейропатия «восходящего типа». Вначале появляется ощущение покалывания, холода в ногах, снижение тактильной чувствительности. Сохраняется чувствительность к температуре и боли.
Через несколько месяцев мышечная слабость сочетается с постепенным истощением, что нарушает походку. Затем аналогичные симптомы развиваются на верхних конечностях. Дерматологические симптомы POEMS включают изменение цвета, похожее на болезнь Аддисона, утолщение и потемнение волос, ярко выраженные бледные ногтевые пластины, а также утолщение и утолщение кожи.
Изменения эндокринной системы разнообразны, чаще всего проявляются гипогонадизмом. У мужчин эректильная дисфункция, низкое либидо или его отсутствие, гинекомастия, у женщин нерегулярные периоды, такие как олиго- или аменорея. Можно диагностировать сахарный диабет, гипотиреоз, надпочечниковую недостаточность.
Около половины пациентов испытывают ноющие или тупые боли, тяжесть в правом и левом подреберье, вызванные гепатоспленомегалией. Из-за повышенной проницаемости сосудов и протеинурии часто обнаруживается отечный синдром - асцит, гидроторакс, гидроперикард. Из-за атрофии мышц и истончения подкожно-жировой клетчатки пациенты значительно худеют.
Ассоциированные симптомы: Зябкость ног. Покалывание в ногах. Протеинурия. Тетрапарез.
Возможные осложнения
Синдром POEMS характеризуется широким спектром побочных эффектов. Наиболее частым осложнением является вялый тетрапарез из-за полинейропатии, которая ограничивает активные движения пациента. Распространение патологического процесса на нервные волокна, иннервирующие дыхательные мышцы, может привести к остановке дыхания. Легочная ткань часто поражается развитием легочного фиброза и легочной гипертензии.
Артериальный тромбоз различной локализации диагностируется у 20% пациентов. Поскольку парапротеинемии характеризуются признаками остеолиза, пациенты с синдромом ПОЭМС подвержены риску патологических переломов. Первичное бесплодие возникает из-за гипогонадизма. При длительном течении болезни развивается хроническая почечная недостаточность.
Диагностика
Есть диагностические критерии для СТИХОВ. Чтобы поставить диагноз, у пациента должно быть как минимум три больших критерия и один маленький критерий.
Наиболее важные критерии:
• Полинейропатия.
• Пролиферация моноклональных плазматических клеток.
• затвердевшие костные изменения.
• Повышенный VEGF.
• Болезнь Кастлемана.
Небольшие критерии:
• Органомегалия.
• Эндокринопатия.
• Отечный синдром.
• Изменения кожи.
• Отек головки зрительного нерва.
• Тромбоцитоз.
Пациенты находятся под наблюдением неврологов и гематологов. Обследование выявляет атрофию мышц рук и ног, цвет кожи и увеличение лимфатических узлов (иногда генерализованное). Определяются симптомы отечного синдрома - периферический отек, положительный симптом флюктуации, притупление перкуторного звука и затухание дыхательных звуков на нижней границе легких. Дополнительное лабораторное и инструментальное обследование направлено на диагностику компонентов синдрома:
• Лабораторные тесты. В общем анализе крови наблюдается повышение СОЭ, тромбоцитоз, иногда эритроцитоз и лейкоцитоз, в биохимическом анализе крови - гипоальбуминемия, гиперергаммаглобулинемия. В анализе мочи обнаруживается протеинурия.
• Гормональные тесты. Часто можно обнаружить снижение концентрации половых гормонов - андрогенов, эстрогенов, ФСГ, ЛГ, реже - тироксина и ТТГ. При подозрении на надпочечниковую недостаточность проводится тест на АКТГ.
• Иммунохимические исследования. При электрофорезе сыворотки с иммунофиксацией высокий градиент М и секреция парапротеинов обнаруживаются только на поздних стадиях заболевания. Белок Бенс-Джонса обнаружен в моче. Иммуногистохимический анализ показывает экспрессию аномальных белков и онкомаркеров CD.
• Инструментальные исследования. На УЗИ органов брюшной полости определяется увеличение печени и селезенки, выпот в брюшную полость, на эхокардиографии - выпот в полость перикарда. На рентгенограмме грудной клетки - плевральный выпот, на рентгенограмме черепа - остеолитические очаги. Электромиография показывает признаки демиелинизации и дегенерации аксонов (замедление, блокировка проведения нервного импульса).
• Гистологические исследования. Гистологическая картина пунктата костного мозга обычно включает неспецифические реактивные изменения - лимфоидную гиперплазию, скопления плазматических клеток, реже - лимфоплазмофитную инфильтрацию. Биопсия нерва выявляет лимфоцитарную инфильтрацию и отек периневрия.
Дифференциальная диагностика проводится с хроническими воспалительными демиелинизирующими полинейропатиями (синдром Гийена-Барре). Также необходимо отличать синдром ПОЭМС от множественной миеломы, амилоидоза, ангиофолликулярной гиперплазии лимфатических узлов и аутоиммунных полигландулярных синдромов.
Лечение
Все пациенты должны быть госпитализированы в гематологию. Специфического лечения не разработано. Терапия проводится по общим схемам в зависимости от наличия тех или иных компонентов заболевания. Существуют следующие консервативные методы лечения синдрома POEMS:
• химиотерапия. При повреждении костного мозга используются различные режимы химиотерапии в высоких дозах. Назначаются алкилирующие препараты (хлорамбуцил, циклофосфамид), цитостатики (мелфалан), противоопухолевые антибиотики (доксорубицин).
• Противовоспалительная терапия. Глюкокортикостероиды (преднизон, дексаметазон) используются в составе комплексной химиотерапии для патогенетического контроля полинейропатии (подавления воспаления) и уменьшения выраженности протеинурии.
• Иммуномодулирующая терапия. Такие препараты, как талидомид, левалиномид и моноклональные антитела, эффективно снижают уровень VEGF, тем самым снижая активность патологического процесса.
• Гормональная заместительная терапия. При обнаружении дефицита того или иного гормона рекомендуется пожизненный прием гормональных препаратов - L-тироксина, гидрокортизона, флудрокортизона, пероральных контрацептивов и.
• Устранение отечного синдрома. Для удаления лишней внесосудистой жидкости используются петлевые (фуросемид, торасемид) и тиазидные (гидрохлоротиазид) диуретики.
• Лучевая терапия. Местная лучевая терапия успешно применяется у больных с единичными остеосклеротическими очагами.
Высокодозная химиотерапия часто дополняется аутотрансплантацией костного мозга, то есть трансплантацией собственных стволовых клеток пациента. Этот метод позволяет избежать многих осложнений химиотерапии (тяжелая анемия, массивное кровотечение, добавление тяжелых бактериальных, грибковых или вирусных инфекций) благодаря более быстрому восстановлению кроветворных функций костного мозга.
До сих пор ведутся работы по поиску эффективного препарата для лечения этого синдрома. Некоторые авторы сообщают, что у некоторых пациентов при применении тамоксифена и интерферона наблюдался клинико-гематологический регресс заболевания - уменьшение выраженности полинейропатии и органегалии, нормализация уровня провоспалительных цитокинов.
Прогноз
Синдром ПОЭМС - тяжелая патология с хроническим течением и высокой летальностью. Средняя продолжительность жизни пациентов после постановки диагноза - 10-15 лет. Основные причины смерти - дыхательная недостаточность из-за паралича дыхательной мускулатуры или пневмофиброза, инфекционные осложнения.
Эффективных методов первичной профилактики не разработано. Есть только рекомендации по снижению вероятности осложнений от лечения опухоли, такие как регулярные клинические анализы крови во время химиотерапии. Следует по возможности избегать применения препаратов с нейротоксичностью при возникновении побочных эффектов (бортезомиб).
Список литературы
1. Японская системная болезнь (POEMS-синдром)/ Гордеев А.В., Мутовина З.Ю., Рыжко В.В. И // Терапевтический архив – 2006 - №12.
2. POEMS-синдром (описание наблюдения и обзор литературы)/ Клодзинский А.А., Рыжко В.В., Соркина О.М., Капланская И.Б., Семенова Е.А., Варламова Е.Ю., Алексанян М.Ж., Сатаева М.С.// Клиническая онкогематология — 2008 — Т.1, №2.
3. M protein, and skin changes: the POEMS syndrome. Report on two cases and a review of the literature/ Bardwick P.A., Zvaifler N.J., Gill G.N. Plasma cell dyscrasia with polyneuropathy, organomegaly, endocrinopathy// Medicine (Baltimore) — 1980 — №4.
4. POEMS syndrome: definitions and long-term outcome/ Dispenzieri A., Kyle R.A., Lacy M.Q. Еt al// Blood — 2003 — V.101.
POEMS-синдром
Пациент Г., 54 года, с декабря 2016 года стал отмечать появление онемения дистальных отделов кистей рук. В феврале 2017 года возникло ощущение онемения, жжения и слабости в обеих стопах. В связи с нарастанием слабости, возникновением боли в обеих икроножных мышцах был госпитализирован в НМХЦ им. Н.И. Пирогова в июле 2017 г. В отделении неврологии проводился поиск причин нижнего вялого парапареза. Были проведены исследования:
- МРТ головного мозга: данных за объемное образование головного мозга не получено.
- По данным МРТ грудного, пояснично-крестцового отделов позвоночника — МР-признаки дегенеративных изменений грудного, пояснично-крестцового отделов позвоночника, протрузия диска Th11-Th12; протрузии дисков L3-S1.
- При МРТ пояснично-крестцового сплетения с контрастным усилением: МР-признаки периневральной арахноидальной кисты седалищного нерва справа.
- Электромиография (ЭНМГ, ЭМГ) с нижних конечностей: выявлены ЭМГ признаки поражения нижнего ствола пояснично-крестцового сплетения. В тестируемых миотомах спонтанная активность в виде ПОВ, ПФ; сенсорные ответы и моторные ниже уровня поражения достоверно не воспроизводятся.
Через 2 недели было проведено ЭНМГ нижних конечностей в динамике
Заключение: ЭМГ — признаки хронической демиелинизирующей воспалительной полиневропатии с развитием выраженной острой аксонопатии по длинным нервам нижних конечностей.
Установлен диагноз: Хроническая воспалительная демиелинизирующая полинейропатия.
Назначено лечение: метилпреднизолон из расчета 1 мг/кг массы тела 80 мг/сут. В связи с постоянным приемом глюкокортикостероидов консультирован эндокринологом: установлен диагноз — сахарный диабет 2 типа, впервые выявленный. Проведен подбор гипогликемиеческой терапии.
После выписки из стационара несмотря на проводимую терапию сохранялся нижний вялый парапарез, затруднения при ходьбе. Вследствие низкого эффекта терапии глюкокортикостероидами был госпитализирован повторно.
При повторной госпитализации был проведен ряд исследований
Однако, причина стойкой резистентности к терапии глюкокортикостероидами оставалась неясной. В связи с чем решено воздержаться от дополнительных методов лечения (плазмоферез, терапия цитостатиками) и продолжить дифференциально-диагностический поиск:
- Иммунохимическое исследование сыворотки крови и мочи: следовая моноклональная секреция А-лямбда. Иммунодефицита нет. b2 микроглобулин 3.23 (N
- Анализ крови на антитела к ганглиозидам: антитела к ганглиозидам не обнаружены.
- Сцинтиграфия костей скелета: Сцинтиграфических признаков mts-поражения костной системы на момент исследования не выявлено.
Консультирован гематологом, по данным миелограммы плазмоклеточной инфильтрации не выявлено, однако, учитывая выявление моноклональной секреции Аλ у пациента с хронической воспалительной демиелинизирующей полинейропатией, в сочетании сахарным диабетом необходимо исключение POEMS-синдрома, определение VEGF-эндотелиального фактора роста, повышение которого может рассматриваться как дополнительный «большой» критерий POEMS-синдрома.
Дальнейшие диагностические мероприятия
Гистологическое исследование костного мозга ГНЦ 5380/17: морфологическая картина характеризует вторичные изменения.
Анализ на определение VEGF-А эндотелиального фактора роста: 520 пг/мл (N Консультирован гематологом, диагностирован POEMS-синдром.
Переведен в отделение гематологии для проведения лечения.
Проведена иммунотерапия в/в инфузией иммуноглобулна IgG 0,4 мг/кг.
В феврале 2018 г. после контрольного дообследования в связи с низкой эффективностью глюкокортикостероидов, было решено провести смену терапии: 1 курс ПХТ по схеме VCD (бортезомиб 2,5 мг в 1, 4, 8, 11 дни, циклофосфан 560 мг в 1, 8, 15, 22 дни, дексаметазон 40 мг в
В межкурсовом периоде отмечал уменьшение шаткости походки, снижения выраженности пареза.
POEMS-синдром
Редкое аутоимунное заболевание, характеризующийся периферической полиневропатией и наличием моноклональной гаммапатии.
Аббревиатура POEMS была предложена по первым буквам основных симптомов (Polyneuropathy, Organomegaly, Endocrinopathy, М-protein, and Skin Changes — полинейропатия, органомегалия, эндокринопатия, М-протеин, кожные изменения).
POEMS-синдром включает несколько групп диагностических критериев
- Полинейропатия;
- Моноклональная плазмоцитарная инфильтрация костного мозга, секреция парапротеина (практически всегда λ-типа);
- Склеротические изменения костной ткани или болезнь Кастлемана;
- Повышение уровня фактора роста эндотелия сосудов (VEGF).
- Органомегалия (гепатоспленомегалия или лимфаденопатия);
- Генерализованный отечный синдром (отеки, плевральный выпот или асцит);
- Эндокринопатия;
- Кожные изменения (гипертрихоз, гиперпигментация,плетора, акроцианоз, гиперемия кожи, гломерулярная гемангиома кожи, лейконихия);
- Отек диска зрительного нерва;
- Тромбоцитоз/полицитемия.
- Утолщение дистальных фаланг пальцев рук, снижение массы тела, легочная гипертензия;
- Рестриктивные заболевания легких, тромботические нарушения, диарея, снижение уровня витамина В12.
Диагноз является достоверным при наличии не менее трех больших критериев (причем полинейропатия и моноклональная гаммапатия являются обязательными) и одного малого.
Клинически полинейропатия при POEMS-синдроме не отличается от таковой при тяжелой форме хронической воспалительной демиелинизирующей полинейропатии (ХВДП).
- Оба заболевания диагностируются по результатам оценки цереброспинальной жидкости альбуминоцитологической диссоциации и электрофизиологических данных о демиелинизации: увеличение латентности f-волн, замедленной скоростью проводимости и временной дисперсией.
- Заподозрить у пациента POEMS-синдром можно только после присоединения системных проявлений.
В терапии используются лучевая терапия, цитостатики (мелфалан, бортезомиб), иммуномодулирующие агенты (леналидомид, талидомид), моноклональные антитела к VEGF (бевацизумаб) и аутотрансплантация стволовых клеток периферической крови.
Лечение различается для случаев без поражения костного мозга (в частности, при плазмоцитоме проводится локальная лучевая терапия) и с таковым (применяются химиотерапия, иммуномодуляторы, моноклональные антитела, высокодозная химиотерапия с аутологичной трансплантацией стволовых гемопоэтических клеток) . Назначение талидомида и бортезомибана спорно, поскольку ключевым побочным эффектом препарата является сенсорная, моторная и вегетативная нейропатия.
POEMS-синдром относится к числу редких болезней. В зарубежной литературе описано немногим более 200 случаев, в отечественной единичные. Возможно, это заболевание встречается чаще, чем диагностируется, в связи с плохой информированностью врачей различных специальностей, особенно неврологов, в поле зрения которых в первую очередь попадают эти пациенты.
В среднем у 30% пациентов с ХВДП диагностируется лимфопролиферативное заболевание, что возможно связано с этиопатогенезом данных состояний.
© 2022 ФГБУ «НМХЦ им. Н.И. Пирогова» Минздрава России. Использование материалов сайта полностью или частично без письменного разрешения строго запрещено.
Болезнь Кастлемана ( Ангиофолликулярная лимфоидная гиперплазия )
Болезнь Кастлемана – это лимфопролиферативное заболевание, которое поражает одну или несколько групп лимфатических узлов. Патология имеет невыясненную этиологию, среди факторов риска выделяют ВИЧ-инфекцию, аутоиммунные процессы, инфицирование герпесвирусами. Заболевание проявляется увеличением одного или нескольких лимфатических узлов, интоксикационным синдромом, диспепсическими и дизурическими явлениями. Для диагностики болезни Кастлемана проводится инструментальная визуализация (УЗИ, КТ, МРТ), биопсия лимфатических узлов. Лечение включает хирургическое удаление очагов гиперплазии, полихимиотерапию и иммунотерапию.
МКБ-10



Общие сведения
Необычные клинические проявления были впервые описаны американским патологом В. Кастлеманом в 1954 году. Спустя 2 года на основе полученных данных выделена нозологическая единица, которая получила название болезнь Кастлемана (БК), или ангиофолликулярная лимфоидная гиперплазия. В 1972 году установлены морфологические особенности заболевания и произведено его разделение на гистологические типы. Предполагаемая частота встречаемости – 1 случай на 100 тыс. населения, всего в литературе описано около 400 больных. У 70% пациентов симптоматика развивается в возрасте до 35 лет.

Причины
При изучении медицинских историй пациентов с БК установлен ряд ассоциированных патологий, которые повышают вероятность лимфопролиферативного синдрома. Болезнь Кастлемана сочетается с аутоиммунными процессами, множественной миеломой, POEMS-синдромом (11-24% случаев) и заболеваниями кожных покровов (13%). Независимым фактором риска называют ВИЧ-инфекцию, особенно ее терминальную стадию при уменьшении уровня CD4-лимфоцитов менее 200 клеток/мкл.
Патогенез
Ключевым звеном формирования болезни Кастлемана называют гиперпродукцию интерлейкина-6 (IL-6). Вещество участвует в иммунном ответе, процессах кроветворения и развитии острофазовой воспалительной реакции. Интерлейкин вырабатывается разными типами клеток в гиперплазированных лимфатических узлах. С его эффектами на лимфоциты и кровеносные сосуды связывают общие симптомы интоксикации, которые возникают при мультицентрической форме БК.
Такими же механизмами объясняется вирусная этиология заболевания. HHV-8 выделяет вирусный интерлейкин-6, который может напрямую связываться с клеточными рецепторами и вызывать ряд неопластических изменений. Вирус стимулирует выработку сосудистого эндотелиального фактора роста, который отвечает за увеличение проницаемости капилляров и повышенный неоангиогенез.
Классификация
По расположению очагов лимфатической гиперплазии разделяют локализованную и мультицентрическую формы. В зависимости от морфологии ранее выделяли два варианта болезни Кастлемана: гиалино-васкулярный (ГВВ) и плазмоклеточный (ПКВ). После уточнения причинных факторов заболевания была принята новая гистопатогенетическая классификация, согласно который признано существование 4-х варианта БК:

Симптомы болезни Кастлемана
Чаще всего заболевание поражает лимфатические узлы средостения. К типичным локализациям гиперплазии также относят шейные, подмышечные и забрюшинные лимфоузлы. Лимфатический узел имеет диаметр 1-25 см, чаще всего диагностируются опухоли размером 6-7 см. Кожа над ним не изменена, субъективные неприятные ощущения отсутствуют, поэтому пациенты редко обращаются к врачу на раннем этапе.
Мультицентрический и плазмоклеточный варианты патологии зачастую вызывают системные нарушения здоровья. У больных возникает субфебрильная лихорадка, повышенная потливость, мышечная слабость. Аппетит снижается, поэтому пациенты постепенно худеют. Гепатомегалия возникает у 63% людей с болезнью Кастлемана, в 33-79% случаев она сочетается с увеличением селезенки.
На поздних стадиях заболевания клинические проявления зависят от локализации гиперплазированной лимфатической ткани. Поражение узлов средостения сопровождается охриплостью голоса, затруднением дыхания и глотания, болями в грудной клетке. Разрастание внутрибрюшных лимфоузлов вызывает боли в животе, диспепсические расстройства, нарушения мочеиспускания.
Осложнения
Наиболее опасной признана мультицентрическая форма, которая зачастую сопровождается полиорганной недостаточностью – основной причиной гибели пациентов с синдромом Кастлемана. Ситуация ухудшается при сочетании болезни с саркомой Капоши и ВИЧ-инфекцией, на фоне которых присоединяются оппортунистические инфекции. Общая 5-летняя выживаемость находится на уровне 55%.
При локальных формах основной проблемой остается нарушение функции соседних органов. Поражение внутрибрюшных узлов чревато развитием механической кишечной непроходимости, нарушением поступления желчи в 12-перстную кишку. При поражении средостения возможна дыхательная недостаточность. При этом показатели выживаемости намного лучше: 94,5% пациентов живут дольше 5 лет после постановки диагноза.
Диагностика
При болезни Кастлемана требуется консультация врача-онкогематолога. Сначала проводится сбор жалоб и анамнеза, далее выполняется физикальный осмотр, Визуально и пальпаторно определяется лимфаденопатия, причем узлы могут быть разной плотности – от мягкой до каменисто твердой. В программу расширенной лабораторно-инструментальной диагностики входят следующие методы:
- УЗИ лимфатических узлов. Ультразвуковая диагностика назначается на первом этапе обследования, чтобы дифференцировать воспалительные и опухолевые процессы. С помощью сонографии удается изучить размеры, контуры и внутреннюю структуру лимфоузла.
- КТ и МРТ. Инструментальная визуализация используется для выявления лимфоидной гиперплазии, определения размеров и локализации пораженных лимфоузлов. На снимках опухолевая масса выглядит как гомогенное новообразование с четкими контурами и интенсивным накоплением контрастного вещества.
- Биопсия лимфоузлов. Для изучения гистологической структуры опухоли и верификации диагноза назначается эксцизионная биопсия, поскольку тонкоигольная пункционная биопсия недостаточно информативна. Уточнить диагноз позволяет иммуногистохимическое исследование образца ткани.
- Анализы крови. В гемограмме обнаруживают лейкоцитоз, тромбоцитоз, анемию и повышение СОЭ. Характерно возрастание уровня С-реактивного белка и других острофазовых показателей. В иммунограмме выявляют повышение интерлейкина-6, при мультицентрическом варианте определяют высокий уровень иммуноглобулином А, М G.
Дифференциальная диагностика
Для постановки диагноза болезни Кастлемана выполняется сложная дифференциальная диагностика между разными лимфопролиферативными патологиями. Необходимо исключить:
- ходжкинские и неходжкинские лимфомы;
- саркоидоз;
- гранулематоз Вегенера;
- гистиоцитоз Х.
При выраженном интоксикационном синдроме исключают реактивные иммунолимфопролиферативные процессы при вирусных, бактериальных и паразитарных инвазиях.

Лечение болезни Кастлемана
Консервативная терапия
Медикаментозное лечение – метод выбора при мультицентрических формах патологии Ситуация осложняется отсутствием единых клинических рекомендаций, поэтому методы терапии подбираются онкогематологами в индивидуальном порядке с учетом клинических особенностей каждого случая. На современном этапе развития медицины назначают такие группы препаратов:
- Цитостатики. Чтобы остановить клеточную пролиферацию, при используются препараты алкилирующего действия, противоопухолевые антибиотики антрациклинового ряда, полусинтетические производные подофиллотоксина.
- Моноклональные антитела. Наиболее изучена активность анти-CD20-антител (ритусуксимаб), которые обеспечивают стойкую ремиссию у 71% пациентов с тяжелыми формами синдрома Кастлемана. К новым направлениям терапии относят прием анти-IL-6-антител.
- Ингибиторы протеосом. Медикаменты снижают уровень интерлейкина 6 в плазме крови, тем самым уменьшая выраженность клинических симптомов и усиливая ответ на комбинированную терапию.
- Противовирусные лекарства. При доказанной корреляции болезни Кастлемана с инфицированием герпесвирусами назначаются этиотропные препараты. ВИЧ-положительным пациентам обязательно проводится антиретровирусная терапия по одной из стандартных схем.
Хирургическое лечение
При локализованных формах заболевания рекомендовано радикальное оперативное вмешательство – удаление пораженного лимфоузла с последующей гистоморфологической диагностикой. Наилучших результатов достигают при гиалино-васкулярном типе опухоли, которая не дает рецидивов. При мультицентрическом процессе хирургическое лечение назначается для удаления особо крупных очагов, которые вызывают компрессию соседних органов.
Прогноз и профилактика
У большинства пациентов с локализованными формами болезни Кастлемана удается достичь полного излечения. При мультицентрических вариантах прогноз менее благоприятный, особенно в группе больных со сниженным иммунным статусом. После лечения пациенты находятся под диспансерным наблюдением врача в течение 3 лет. Поскольку этиологические факторы заболевания точно не установлены, специфических профилактических мероприятий не разработано.
3. Болезнь Кастлемана (обзор литературы)/ А.Л. Меликян, Е.К. Егорова// Онкогематология. – 2016. – №2.
4. Клинико-морфологические особенности различных вариантов болезни Кастлемана/ А.Л. Меликян, Е.К. Егорова, А.М. Ковригина, И.Н. Суборцева// Терапевтический архив. – 2015. – №7.
Читайте также:
