Рентгенограмма, МРТ при светлоклеточной хондросаркоме
Добавил пользователь Евгений Кузнецов Обновлено: 23.11.2025
Злокачественное заболевание хрящевой ткани костного скелета организма человека называется хондросаркомой. Эта патология обычно развивается в период между средним и пожилым возрастом, от 30 до 60 лет, наибольшее распространение имеет среди мужской половины человечества. Из общего числа раковых заболеваний костей хондросаркома составляет около 10-20% (по разным статистическим данным), встречается в 2 раза чаще, чем саркома Юинга, и в 2 раза реже, чем остеогенная саркома.
Мужчины болеют хондросаркомой в 1,5-2 раза чаще, чем женщины. Самым молодым больным хондросаркомой был мальчик 6 лет, самым старым – мужчина 80 лет. Хондросаркома растет очень медленно, но может достигать огромных размеров. Обычно больной до последнего не знает о своем заболевании, ведь рак кости долгое время может не доставлять никакого дискомфорта.
В Израиле диагностике онкологических патологий уделяют повышенное внимание – от своевременности и правильности поставленного диагноза зависит ход и результат дальнейшей терапии. Примерно 50% больных хондросаркомой после хирургического вмешательства излечиваются, но одной только операции недостаточно: рак кости – рецидивирующее заболевание. Поэтому врачи в онкоцентрах Израиля для лечения хондросаркомы применяют специальные тактики комплексной и реабилитационной терапии, чтобы навсегда избавить пациента от такого страшного заболевания.
Классификация
Различают первичную и вторичную формы хондросарком.
Первичная – обнаруживается гораздо чаще (90% встречаемости) и бывает 3-х видов. В зависимости от локализации выделяют:
- Центральная хондросаркома – новообразование располагается внутри костной ткани;
- Периостальная – наружная локализация опухоли;
- Периферическая – раковый процесс развивается в поверхностном слое костной ткани по периферии.
Вторичная – хондросаркома возникает в результате перерождения клеток уже имевшейся доброкачественной опухоли: хондрома, хондробластома, костно-хрящевые экзостозы, хондроматоз, хондромиксоидная фиброма.
По гистологическому строению хондросаркома бывает светлоклеточной, типичной и анапластической или недифференцированной.
Этиология и клиническая картина хондросаркомы
Причины заболевания, как и во многих других случаях рака, до конца не изучены. Но одним из предрасполагающих факторов является отсутствие или недостаточное лечение доброкачественных опухолей костей, а также неполное их удаление.
Раковый процесс обычно развивается в плечевых, тазовых, бедренных костях или ребрах. Период скрытого течения заболевания, от момента образования раковой опухоли до момента появления первых клинических признаков, может длиться от нескольких недель до 3 месяцев.
В зависимости от злокачественности процесса, симптоматика хондросаркомы выглядит так:
- ночные боли в месте поражения слабой интенсивности в начале, со временем усиливаются и приобретают завидное постоянство. Болезненность не исчезает даже после отдыха и приема анальгетиков;
- боль в бедре может быть довольно сильной. Причина – раковая опухоль давит на седалищный нерв;
- заметное ограничение подвижности сустава;
- в области расположения хондросаркомы кожа краснеет, отекает и лоснится (блестит);
- повышение местной температуры (кожа в месте поражения горячая на ощупь);
- яркая, хорошо видимая сеть мелких кровеносных сосудов на коже в месте локализации опухоли.
Хондросаркома с током крови может метастазировать в почки, легкие, головной мозг и другие отдаленные органы.
Диагностика хондросаркомы в Израиле
Не лишним будет повторить, что раннее обнаружение опухоли способствует успешному лечению, именно поэтому в Израиле на оказание консультативно-диагностической помощи населению власти не жалеют ни средств, ни сил, ни возможностей.
Хондросаркому необходимо дифференцировать с другими повреждениями и заболеваниями костей. Для этого в Израиле, кроме осмотра пациента онкологом и лабораторных анализов крови и мочи, применяются следующие методы:
- УЗИ – исследование, позволяющее определить локализацию опухоли и ее размеры, а также оценить состояние других органов и тканей пациента. Отличается своей абсолютной безопасностью для человека;
- КТ – способ получения информации о состоянии органов и тканей в трехмерном изображении, об имеющихся дефектах и нарушениях в организме больного;
- МРТ – послойный просмотр опухоли и окружающих костей скелета. Информирует о структуре, размере, плотности и степени распространения новообразования;
КТ и МРТ – современные диагностические методы исследования, позволяющие выявить наличие самой раковой опухоли и даже отдаленных ее метастазов.
- Рентгенография – привычный способ диагностики, с помощью которого можно обнаружить нарушения в структуре костной ткани;
- Остеосцинтиграфия – исследование костного скелета с контрастным веществом для лучшей визуализации опухоли;
- Биопсия – забор биоматериала для гистологического анализа. По результатам гистологии можно судить о злокачественности процесса и степени его распространенности.
Лечение хондросаркомы в Израиле
Основным и самым эффективным методом лечения хондросаркомы в Израиле было и есть хирургическое вмешательство. Радиотерапия и лечение химиопрепаратами являются лишь дополнительными средствами в терапии рака кости – для остановки роста опухоли и улучшения общего состояния больного.
При оперативном лечении в Израиле хирурги стремятся выполнить удаление пораженного участка (костная и мягкотканая опухоль) с одновременным иссечением окружающей здоровой ткани. Такая операция «единым блоком» позволяет предотвратить попадание единичных раковых клеток в открытую рану во время хирургической процедуры.
Если опухоль расположена в трубчатых костях скелета, показана резекция суставных концов этих костей или полное удаление кости с последующим эндопротезированием. Современные имплантаты (эндопротезы) изготовлены из безопасных и качественных материалов, хорошо приживаются, не разрушаются и не доставляют человеку никаких неудобств.
При лопаточной или тазовой локализации хондросаркомы выполняют межлопаточно-грудную или межподвздошно-брюшную резекцию.
Экзартикуляция (ампутация) делается в том случае, когда раковая опухоль имеет слишком большие размеры.
При технически не досягаемой для «скальпеля хирурга» локализации хондросаркомы (крестец, позвоночник) применяются альтернативные методы лечения – химио- и радиотерапия.
Раковые клетки хондросаркомы очень «отзывчивы» к лучевой терапии, особенно, в начальных стадиях заболевания. Прицельное облучение позволяет уничтожать опухоль, не повреждая здоровую ткань. А применение современных химиопрепаратов существенно замедляет рост опухоли вплоть до полной его остановки.
Что именно из методов и препаратов будет эффективно, израильские врачи-онкологи решают отдельно в каждом конкретном случае. Они используют все возможные из невозможных, самые эффективные из лучших техники и методики лечения хондросаркомы.
Именно поэтому в этой стране такие высокие показатели излечения рака кости.
Именно поэтому только в Израиле могут дать гарантию на долгую и счастливую жизнь каждому пролечившемуся здесь пациенту.
Именно поэтому в Израиле из года в год наплыв больных хондросаркомой не становится меньше.
Хотите узнать больше? Отправьте нам прилагаемую ниже заявку, внимательно заполнив все поля формы. Наш специалист свяжется с Вами по указанному номеру телефона.
Рентгенограмма, МРТ при светлоклеточной хондросаркоме
Рентгенограмма, МРТ при светлоклеточной хондросаркоме
а) Определение:
• Редкий вариант хондросаркомы низкой степени злокачественности, имеющей, как правило, эпифизарное происхождение
б) Визуализация:
1. Общая характеристика:
• Локализация:
о 2/3 новообразований развиваются в головке плечевой или бедренной кости:
- В литературе имеются разрозненные сведения о возможности поражении большинства других костей
о В литературе имеются сведения о множественном синхронном поражении

(Слева) КТ, аксиальная проекция, без контрастного усиления: светлоклеточная хондросаркома. Хорошо отграниченный эпифизарный очаг имеет склерозированный край и содержит сла-бовыраженный хрящевой матрикс. Данные признаки не позволяют проводить дифференциальную диагностику с хондробластомой, наличие которой статистически более вероятно.
(Справа) МРТ, аксиальная проекция, режим Т1, с подавлением сигнала от жира, с контрастным усилением: у этого же пациента визуализируется толстый неравномерный ободок контрастного вещества. Учитывая данные признаки здесь также необходимо проводить дифференциальную диагностику между хондробластомой и светлоклеточной хондросаркомой (которая получила гистологческое подтверждение).
2. Рентгенография при светлоклеточной хондросаркоме:
• Классическим признаком является наличие хорошо отграниченного литического эпифизарного очага:
о Край может быть склерозирован
о Прорыв кортикального слоя и мягкотканный компонент, как правило, отсутствуют
о Периостальная реакция, как правило, отсутствует
• Может иметь более агрессивный вид без четких границ:
о В таком случае эпифизарное происхождение имеет диагностическое значение
• Может содержать точечный хрящевой матрикс
3. МРТ при светлоклеточной хондросаркоме:
• Режим Т1: однородный сигнал средней интенсивности
• Последовательности, чувствительные к жидкости: неоднородный гиперинтенсивный сигнал
• Кистозные зоны являются нехарактерным признаком, однако их наличие может вводить в заблуждение, имитируя аневризмальную костную кисту

(Слева) Рентгенография в ПЗ проекции: светлоклеточная хондросаркома, представленная смешанным литически-склеротическим очагом, распространяющимся от головки плечевой кости в метадиафизарную зону. В проксимальной части виден слабовыраженный хрящевой матрикс.
(Справа) МРТ, сагиттальная проекция, режим Т2 с подавлением сигнала от жира: крупный интрамедуллярный очаг, поражающий головку и проксимальный отдел диафиза плечевой кости, характеризуется гиперинтенсивным сигналом по отношению к скелетной мышце. Наличие низкоинтенсивного хрящевого матрикса является признаком хондросаркомы. Эпифизарное происхождение опухоли предполагает ее светлоклеточный вариант.
в) Дифференциальная диагностика:
1. Хондробластома:
• Очень схожие лучевые признаки:
о Может иметь идентичное эпифизарное расположение
о Может содержать хрящевой матрикс
о Аналогичные слабо или умеренно выраженные аггрессивные признаки
• Хондробластома (ХБ) развивается, как правило, в более молодой возрастной группе
• ХБ гистологически значительно отличается от светлоклеточной хондросаркомы:
о При наличии лучевых признаков хондробластомы, которая не нашла своего гистологического подтверждения следует предполагать наличие светлоклеточной хондросаркомы
2. Гистиоцитоз из клеток Лангерганса:
• Может иметь аналогичную эпифизарную локализацию
• Полностью литический очаг
• Аналогичные слабо или умеренно агрессивные признаки
• Гистиоцитоз из клеток Лангерганса развивается, как правило, в более молодом, чем светлоклеточная хондросаркома возрасте
3. Эпифизарный остеомиелит:
• Нехарактерная для остеомиелита локализация, за исключением детей
• Литический деструктивный очаг может характеризоваться аналогичными рентгенографическими признаками
• МРТ позволяет визуализировать зону абсцесса, что является отличительным признаком
4. Дегенеративная киста при остеоартрозе:
• Может иметь большой размер и склерозированный край
• Может имитировать эпифизарную опухоль и напротив, эпифизарная опухоль может имитировать дегенеративную кисту
5. Гигантоклеточная опухоль:
• Развивается в метафизе, однако часто, к моменту обнаружения, распространяется на субхондральную кость
о Может имитировать эпифизарный очаг
• Полностью литический, четко отграниченный очаг, но без склерозированного края
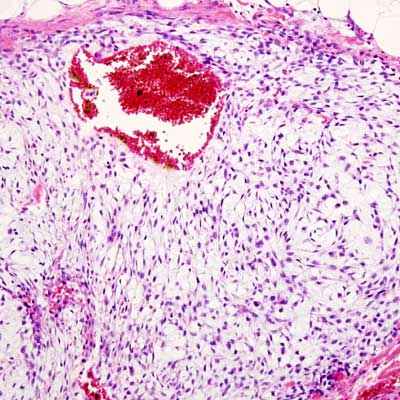
г) Патология. Микроскопия:
• Дольчатые скопления круглых клеток, содержащих прозрачную цитоплазму, видимую в материале клеточных блоков
• Крупные плазмацитоидные клетки с пенистой цитоплазмой, а также экстрацелюллярное вещество хондроидного типа
• В 50% случаев имеются участки обычной хондросаркомы низкой степени злокачественности
д) Клинические особенности:
1. Проявления:
• Типичные признаки/симптомы:
о Боль в суставе, выпот и ограничение движений в нем
2. Демография:
• Возраст:
о В большинстве случаев развивается в возрасте 25-50 лет
• Пол:
о М:Ж=3:1
• Эпидемиология:
о 2% от всех хондросарком
3. Течение и прогноз:
• Широкая резекция является оптимальным методом лечения
• Краевая резекция или кюретаж — 86% рецидивов
о Смертность достигает 15%, метастазирует в легкие и кости
о Возможно позднее метастазирование (через 20 лет)
• В литературе имеются сведения о редких случаях дедифференцировки в саркому высокой степени злокачественности
е) Диагностическая памятка:
1. Следует учесть:
• По данным одного исследования в половине случаев природа опухоли недооценивается
2. Советы по интерпретации изображений:
• Отличительным признаком данного новообразования является его эпифизарное расположение:
о Сравнительно немногие другие новообразования имеют первичное эпифизарное расположение
• Дифференциальная диагностика проводится в основном с доброкачественными новообразованиями (хондробластома, дегенеративная киста, гигантоклеточная опухоль), поэтому неправильная диагностика влечет за собой неверный подход в лечении злокачественной опухоли:
о Обращайте внимание на любые нехарактерные признаки эпифизарных очагов, которые могут указывать на этот необычный тип саркомы
ж) Список использованной литературы:
1. Jiang XS et al: Clear cell chondrosarcoma: Cytologic findings in six cases. Diagn Cytopathol. 42(9)784-91, 2014
2. Douis H et al: The imaging of cartilaginous bone tumours. II. Chondrosarcoma. Skeletal Radiol. 42(5):611-26, 2013
Хондросаркома

«Это распространенное новообразование чаще всего имеет низкий степень злокачественности и появляется более, чем у 15% людей, страдающих хроническими заболеваниями костей. Позитивный прогноз может ожидать тех пациентов, кто своевременно прошел диагностику и получил полный объем лечения. Лучевая терапия нередко используется именно при этом диагнозе и дает хорошие результаты в TomoClinic».
Что такое хондросаркома?
Хондросаркома — злокачественная опухоль скелета, формирующаяся из хрящевой ткани. Чаще всего развивается в плоской плечевой кости и тазобедренном суставе, но допустимы случаи образования хондросаркомы в области трубчатых костей.
Злокачественное новообразование представляет собой плотную опухоль, прилегающую к кортикальному слою кости, иногда наблюдается прорастание хондросаркомы в кость. Может иметь очаги оссификации и петрификаты. При диагностических исследованиях не всегда удается определить четкие границы новообразования.

Опухоль является одной из наиболее распространенных онкологических патологий в костях и суставах. Чаще всего саркома развивается у людей 45-80 лет, т.е. в преклонном возрасте. В одинаковом процентном соотношении поражает женщин и мужчин.
Более чем у 15% пациентов перед появлением хондросаркомы были хронические заболевания костей.
На ранних стадиях заболевание протекает бессимптомно, а от момента образования опухоли до появления первых метастаз может пройти более пяти лет. Первичными очагами развития метастаз являются печень, легкие и желудок. На поздних стадиях хондросаркома склонна полностью разрушить хрящевую ткань.
Степень злокачественности опухоли при заболевании относительно низкий, что позволяет при своевременной диагностике и лечении рассчитывать на благоприятный прогноз.
Типы хондросаркомы:
Первичная хондросаркома является распространенным видом заболевания, диагностируется в 85% случаев от общего числа пациентов.
Отличительной чертой вторичной хондросаркомы является возраст пациентов: как правило болезнь развивается преимущественно у пациентов пенсионного возраста. Эта особенность связана с заболеваниями, которые провоцируют развитие хондросаркомы — хондрома, дисхондроплазия. Также часто рак возникает вследствие хондроматоза, болезни Олье-Маффучи и хондробластомы.
Заболевание вторичного типа не является распространенным и встречается несколько реже, нежели первичная хондросаркома.
С учетом особенности строения различают виды хондросаркомы:
- Типичная.
- Анапластическая.
- Светлоклеточная.
- Недифференцированная.
Помимо видов онкологического заболевания классификация хондросарком предусматривает разделение на степени злокачественности. Зависит от строения опухоли и срока ее жизни. Определяется при гистологическом исследовании образцов.
Хондросаркома бывает:
- 1 степени злокачественности. При первой степени характеризуется наличием межклеточного вещества, состоящего из хондроидной ткани, признаки миоза отсутствуют.
- 2 степени. Наблюдается межклеточное вещество миксоидного типа, увеличенные ядра и одиночные фигуры миотоза, присутствуют одиночные участки некроза.
- 3 степени. При третьей степени злокачественности отмечается миксоидное межклеточное вещество, много клеток с увеличенными ядрами, присутствуют обширные некротические участки.
Причины
Точные причины возникновения хондросаркомы пока не известны. Но есть ряд факторов, которые могут влиять на развитие болезни, среди них:
- генетическая предрасположенность (особенно если в семейном анамнезе присутствуют множественные экзостозы, синдром Маффучи);
- неправильное, некорректное или неполноценное лечение хондромы кости;
- хронические воспалительные процессы костно-хрящевой системы;
- аномалии роста костей скелета, которые происходят при болезни Педжета;
- болезнь Вильямса.
Неприятная особенность хондросаркомы заключается в том, что в большинстве случаев болезнь протекает бессимптомно. Отсутствие симптомов негативно сказывается на своевременной диагностике и эффективном лечении.
Симптомы хондросаркомы
Основные признаки заболевания:
- дискомфорт в месте локализации опухоли, который со временем перерождается в сильную боль (болевые ощущения преимущественно возникают в ночной период);
- иррадиация боли в плечо, ягодицы, поясницу;
- истощение кости, что делает ее более подверженной к переломам;
- болезненное мочеиспускание, наличие сгустков крови в моче;
- постоянное чувство слабости, быстрая утомляемость;
- повышенная температура тела.
Из-за сдавления растущей опухолью нервных окончаний и сосудов в соседнем суставе развивается отечность. Это провоцирует ограниченность движения.
Общие данные, стадирование и классификация
Первичные опухоли костей редкая и разнородная группа новообразований человека. В структуре заболеваемости злокачественными новообразованиями они составляют менее 1 % у взрослых и до 10% — у детей. В последние два десятилетия достигнут большой прогресс в лечении этих заболеваний. Благодаря современной химиотерапии, совершенствованию методов визуализации опухолей костей и успехам онкологической ортопедии в настоящее время большинство пациентов могут быть излечены, при этом конечность удается сохранить более чем в 80% случаев.
Биология первичных злокачественных опухолей костей
Биологическая активность сарком костей (остеосарком) и вероятность их метастазирования во многом зависит от морфологических особенностей, в частности степени полиморфизма, атипии, количества митозов и зон спонтанного некроза. Учет этих критериев позволяет выделить остеосаркомы высокой, промежуточной и низкой степени злокачественности.
Саркомы костей формируют в рамках того или иного анатомического отдела опухолевые массы, которые по периферии отличаются наименьшей степенью дифференцировки. Они отделены от внескелетных тканей псевдокапсулой или реактивной зоной, состоящей из клеток опухоли, элементов фиброзной ткани и воспалительного компонента, коррелирующего со степенью злокачественности. В результате прогрессирующего роста остеосаркома выходит за рамки одного отдела и вовлекает анатомические структуры соседнего отдела.
У большинства пациентов в момент установления диагноза остеосаркома поражены два анатомических отдела. Близлежащие суставные поверхности вовлекаются в опухолевый процесс редко, чаще это наступает при патологических переломах.
Саркомы костей высокой степени злокачественности метастазируют преимущественно гематогенно. Чаще всего метастазами поражаются легкие (более 80%), причем уже на ранних стадиях развития заболевания, т.е. до начала лечения. Костные метастазы наблюдаются редко (до 10%), особенно при запущенных опухолях. Метастатические поражения регионарных лимфатических узлов встречается в 7—10% случаев.
Стадирование
Процесс стадирования, влияющего на выбор тактики лечения, вида операции и оценку прогноза, включает определение степени злокачественности остеосаркомы, степени местной распространенности и наличия отдаленных метастазов.
Стандартная рентгенография — наиболее распространенный и доступный метод визуализации сарком костей (рис. 1). В специализированных клиниках точность установления диагноза и стадии процесса превышает 80%.
Рис. 1. Стандартная рентгенограмма больного с остеосаркомой большеберцовой кости
Компьютерная томография позволяет более точно оценить степень деструкции кости и структурные особенности внутрикостного и внекостного компонентов опухоли (рис. 2). КТ органов грудной клетки дает представление о наличии метастазов в легких и лимфатических узлах средостения.

Рис. 2. КТ бедренной кости у больного с остеосаркомой
С помощью МРТ удается лучше оценить распространение опухоли внутри кости а также степень вовлечения внескелетных тканей (рис. 3).

Рис. 3. МРТ в диагностике и стадировании сарком костей.
При местно-распространенных опухолях, когда есть подозрения в отношении вовлечения магистральных сосудов, выполняется ангиография (рис. 4).
Рис. 4. Роль ангиографии в диагностике и стадировании сарком костей
Планарная сцинтиграфия дает возможность определить распространенность опухоли по длине кости, а также выявляет отдаленные метастазы остеосаркомы в скелете (рис. 5).

Рис. 5. Радиоизотопное исследование скелета при саркомах костей
При саркоме Юинга более точно наличие костных метастазов можно установить с помощью ПЭТили ПЭТ/КТ (рис. 6).

Рис. 6. ПЭТ/КТ в стадировании сарком скелета
Широкое распространение среди специалистов получила классификация, разработанная в начале 80-х годов прошлого века американским исследователем W. Enneking. Впоследствии она была одобрена американским и европейским обществами по изучению костно-мышечных опухолей в качестве рабочей классификации. При стадировании опухолей костей по Enneking учитываются следующие критерии: G — степень злокачественности (G1-2 — низкая степень; G3-4 — высокая). Т — местная распространенность (Т1 — в пределах кости; Т2 — выход за пределы кортикального слоя) М — отдаленные метастазы (М0 — без метастазов; М1 — отдаленные метастазы). В таблице 1. представлена система стадирования опухолей костей по W. Enneking.
| Таблица 1. Стадирование опухолей костей по Enneking | |||
|---|---|---|---|
| Стадия IА | G1, 2 | T1 | М0 |
| Стадия IВ | G1, 2 | T2 | М0 |
| Стадия IIА | G3, 4 | T1 | М0 |
| Стадия IIB | G3, 4 | T2 | М0 |
| Стадия IIIА | G3, 4 | T1 | М1 |
| Стадия IIIВ | G3, 4 | T2 | М1 |
Классическая остеосаркома, опухоли семейства саркомы Юинга, а также ЗФГ относятся по определению к G3-4, т. е. ко II-ой стадии.
Для стадирования и определения тактики лечения остеосаркомы используется также классификация по системе TNM (табл. 2).
T — Первичная опухоль
ТX — Недостаточно данных для оценки первичной опухоли
Т0 — Первичная опухоль не определяется
Т1 — Опухоль ограничена кортикальным слоем
Т2 — Опухоль распространяется за кортикальный слой
Как в классификации Enneking, так и в системе стадирования ВОЗ выделение критериев T3 и T4 признано нецелесообразным.
N — Регионарные лимфатические узлы
NX — Недостаточно данных для определения регионарных лимфатических узлов
N0 — Нет признаков метастатического поражения регионарных лимфатических узлов
N1 — Регионарные лимфатические узлы поражены метастазами
M — Отдаленные метастазы
МX — Недостаточно данных для определения отдаленных метастазов
М0 — Нет признаков отдаленных метастазов
М1 — Имеются отдаленные метастазы
Также учитывается степень дифференцировки опухоли (критерий G)
GX — Степень дифференцировки не может быть установлена
G1 — Высокая степень дифференцировки
G2 — Средняя степень дифференцировки
G3 — Низкая степень дифференцировки
G4 — Недифференцированные опухоли
| Таблица 2. Группировка опухолей костей по стадиям | ||||
|---|---|---|---|---|
| Стадия IА | G1, 2 | T1 | N0 | M0 |
| Стадия IВ | G1, 2 | T2 | N0 | M0 |
| Стадия IIА | G3, 4 | T1 | N0 | M0 |
| Стадия IIB | G3, 4 | T2 | N0 | M0 |
| Стадия III | Не определяется | |||
| Стадия IVА | любое G | любое Т | N1 | M0 |
| Стадия IVВ | любое G | любое Т | любое N | М1 |
Гистологическая классификация первичных злокачественных опухолей костей
Практически все злокачественные новообразования скелета в связи с их относительной редкостью создают в клинической практике значительные трудности, как в диагностическом, так и лечебном отношении. Врачи первичной лечебной сети в массе своей вообще плохо знакомы с этой областью онкопатологии, что нередко ведет на первых этапах обращения больных с нечеткими клиническими симптомами к постановке ошибочных диагнозов и назначению неадекватных лечебных мероприятий. Одной из главных проблем в этой области патологии является морфологическая верификация диагноза, которая абсолютно необходима для выбора режима ведения больных с саркомой костей, назначения лечебных мероприятий, осуществления контроля их эффективности и оценки прогноза заболевания.
В клинической онкологии особое значение приобрели вопросы классификации или уточненной нозологической систематики отдельных форм опухолевого поражения. В диагностическом и лечебном отношении эти классификационные схемы совершенно необходимы. Основным принципом классификаций опухолей является их гистологическое строение, которое в значительной мере отражает их гистогенез или тканевую принадлежность и в части случаев позволяет судить о степени их злокачественности. Классификации унифицируют признаки опухолей, что позволяет различным специалистам оценивать их с общих позиций и избегать разногласий в диагностической и лечебной трактовке.
Наиболее распространенной классификацией сарком костей в настоящее время считается классификация ВОЗ пересмотра 2002 года.
Следует особо подчеркнуть, что каждый патологоанатом, приступая к диагностике поражений скелета и, в первую очередь, костных опухолей, непременно должен лично ознакомиться с радиологическими данными (рентгенограммы, КТ и МРТ). До начала гистологического исследования патолог должен иметь представление о локализации поражения в пределах кости, его размерах, форме, степени разрушения костной структуры, наличии или отсутствии реактивных изменений в надкостнице и прилежащих мягких тканях. Полученная таким образом информация может в большинстве случаев оказаться весьма важной при диагностическом исследовании тканевого материала из очага поражения под микроскопом.
Как определить некроз головки бедра?
Некроз головки бедра представляет собой процесс разрушения костевой массы в рамках нарушения кровообращения.
Как появляется некроз головки бедра?
Некроз головки бедра или асептический остеонекроз — это тяжёлое заболевание костных структур тазобедренного сустава. По причине нарушенного кровообращения костей появляется нехватка кислорода и питательных веществ. Костная ткань на суставной поверхности отмирает, что приводит к локальной деструкции головки бедренной кости.
Причины некроза головки бедра
Причины данного заболевания могут быть разные - некоторые из них до сих пор неизвестны. Некроз головки бедра - это омертвления кости без какой-либо инфекции. Не будет вовремя проведено соответствующее стадии болезни лечение , возникают необратимые разрушения тазобедренного сустава, которые риводят к ускоренному развитию артроза, даже если в хряще и не наблюдается нарушение кровообращения. Разрушения наступают в основном из-за уменьшения прочности, отмирающей под хрящом головки бедра, при этом хрящ надламывается, что может привести к артрозу. При отсутствии лечения у 85% пациентов наступает провал головки бедра и артроз тазобедренного сустава (коксартроз).
В результате нарушения кровообращения происходит отмирание клеток костей, т.к. кровеносные сосуды, снабжающие головку, остаются закупоренными.
В результате очень сильно ограничевается снабжение кости тазобедренного сустава кислородом, минеральными и питательными веществами.
Основной функцией клеток костей является сохранение баланса между уменьшением и увеличением кости при процессе ее адаптации к изменяющимся нагрузкам. Отмершие костевые ткани тазобедренного сустава не могут больше поддерживать этот натуральный процесс.
Как результат, пролегающие внутри костей костные балки, отвечающие за стабильность и форму больше не обновляются: затронутые некрозом кости из-за недостаточной прочности проламываются. В кости под хрящом образуется яма. Пролегающий сверху хрящ может быть сильно поврежден и возникает опасность возникновения артроза тазобедренного сустава. Результатом является необратимое повреждение бедра и костевой массы.
Сравнивая с замершей поверхностью озера, где лед проламывается там, где его слой недостаточно толстый, также проламывается кость в самом тонком месте.
Самая большая проблема состоит в том, что болезнь затрагивает регионы, прилегающие к суставу и поэтому приводит к его разрушению. Костевые инфаркты, которые часто диагностируются на рентгеновских снимках, пролегают внутри кости в дали от сустава и поэтому не играют большую роль.
Причины некроза головки бедра у взрослых:
- Травмы от несчастных случаев с повреждением суставов, напр. после перелома шейки бедра (посттравматический некроз) тазобедренного сустава с травмами хряща и костных структур
- Деформация головки бедренной кости вследствие злоупотребления алкоголем (этилтокцичный некроз)
- Радиационное нарушение (пострадиальный некроз)
- Повреждения костей, вызванные применением кортизона (глюкокортикоидный некроз)
- Цитостатические (противораковые) средства
- Деформации при нырянии, из-за пузырьков газа при слишком быстром всплытии (кессоновая или декомпрессионная болезнь)
- Профессиональные заболевания у водолазов и горных рабочих
- Нарушения кровообращения вследствие неоптимального метаболизма (повышенное содержание жёлчной кислоты, сахара в крови, нарушение липидного обмена)
- Заболевания почек
- Нарушение свёртывания крови (коагулопатия)
- Онкологические заболевания
Несмотря на современные методы диагностики и хорошую базу исследований не все причины заболевания уже известны. Регулярно к нам в клинику обращаются пациенты, имеющие нарушения кровообращения и все признаки омертвления головки бедра, но у которых не прослеживается ни одна из выше названных причин.
Некроз головки бедра у детей: болезнь Пертеса
В детском и подростковом возрасте при так называемом Morbus Perthes обычно ожидается более сильная перестроечная реакция организма и процесс самоизлечения более активен, т.к. кость имеет более высокий потенциал самовосстановления. При такой болезни у взрослых эти возможности намного ограничены. Самоизлечение при применении консервативного лечения маловероятно.
У детей старше 7-ми лет своевременная диагностика болезни даёт самые хорошие шансы на самовосстановление. Чем старше ребёнок, тем сложнее специалисту Геленк Клиники вылечить его при помощи консервативных методик.
Симптомы некроза головки бедра

При некрозе головки бедра боль в бедре и паху развивается медленно. © yodiyim, Fotolia
Некроз головки бедра на ранней стадии проявляется в постепенно возникающих тянущих болях в паху или боли в бедре. Начальные жалобы как правило не указывают на причину. Тазобедренный сустав перестает справляться с повседневными нагрузками. К тому же часто наблюдается ограниченная подвижность при движениях вовнутрь.
Сильные боли в бедре или паху наступают как правило уже при провале головки бедра.
Поэтому постановка диагноза и начало лечения наступают часто с опозданием.
Как проводится диагностика?
Во время приема врачи Геленк Клиники рассматривают жалобы пациента и анализируют возможные факторы риска заболевания.
Затем проводится точный анамнез болей и клиническое обследование.
- подвижность тазобедренного сустава
- болевые зоны
- позиции, в которых могут быть спровоцированы боли
- мышечная масса и сила ягодичной тазобедренной мускулатуры
- походка
Многолетний опыт специалистов Геленк Клиники позволяет правильно оценить симптомы и своевременно начать лечение.
В ортопедии применяется ряд различных аппаратных методов диагностики. С помощью рентгеновских снимков и магнитно-резонансной томографии (MRT) можно подтвердить, либо опровергнуть диагноз.
Рентген
Дигитальные рентгеновские снимки являются современным малоизлучающим методом обследования, но для диагноза на ранних стадиях болезни не очень подходит, т.к. на рентгеновских снимках видны лишь изменения структуры кости.
Костевые балки начинают разрушаться лишь через недели после того, как произошло омертвление (отмирание клеток из-за недостаточного кровообращения) . Поэтому некроз головки бедра не может быть установлен с помощью рентгеновских снимков на ранних стадиях заболевания.
С помощью МРТ возможна постановка диагноза и на ранних стадиях болезни. В то же время это единственный метод ранней диагностики заболевания, при которой возможно полное выздоровление или хотя бы сохранение тазобедренного сустава.
Компьютерная томография определяет также как и рентген только изменение структуры костей и поэтому эффективна лишь на поздних стадиях болезни.
Все три метода успешно применяются для определения природы и масштабов заболевания, а также для создания эффективного плана лечения.
Лечение некроза головки бедренной кости

Сверление головки бедренной кости снижает давление. Так восстанавливают кровообращение. © Gelenk-Klinik
При выборе метода лечения обязательно происходит классификация болезни по так называемой международной классификации ARCO:
- ARCO 0: Все снимки при всех обследованиях отрицательны
- ARCO I: МРТ и сцинтиграфия костей показывает некроз
- ARCO II: рентгеновские снимки и КТ показывают незначительную декальцинацию, обследование с помощью МРТ показывает типичную область поражения некрозом.
- ARCO III: рентгеновские снимки и КТ показывают пролом под хрящом, позднее происходит деформация головки бедра.
- ARCO IV: признаки износа сустава (вторичный артроз тазобедренного сустава)
Для принятия решения о лечении обязательно проводится классификация в ARCO. При этом очень важен возраст пациента, степень и локализация некроза. У взрослых, в отличие от детей с диагнозом некроз головки бедра (М. Perthes), самоизлечение невозможно. Состояние тазобедренного сустава, общее состояние больного, дополнительные заболевания, предполагаемая продолжительность жизни также учитываются в процессе принятия решение о лечении.
Снижение нагрузки на тазобедренный сустав с помощью физиотерапии, бережное отношение при воздержании от спорта, иммобилизация тазобедренного сустава (например, ортопедический протез) способствуют скорейшему выздоровлению.
- Операции на бедре с просверливанием отверстий в тазобедренных костях (например, приди-отверстия)
- Операции на бедре с трансплантацией костного хряща
- Операции на бедре такие как- остеотомия (например, варизатионсостеотомия по М. Пертесу)
- Искусственный тазобедренный сустав с помощью эндопротезирования при проломленной головки бедра.
Какие заболевания следует отличать от некроза головки бедра?
Нужно различать повреждения тазобедренного сустава при некрозе, вызванные воспалениями (септический). Причиной в этом случае являются как правило бактерии. Остеомиелит или нагноение кости, опухоли и новообразования (редкие злокачественные опухоли, светлоклеточная хондросаркома, доброкачественные опухоли (хондроматозная остеокластома), возникновение опухолей при других раковых патологиях (метастазы в кости). Цисты кости головки бедра в рамках износа бедра (артроз тазобедренного сустава)
Доверительные отношения врачей и пациентов всегда были особенностью Геленк Клиники в Германии. Опытные ортопеды будут рады проконсультировать Вас и составить для Вас индивидуальный план лечения.
Читайте также:
