Рентгенограмма при несовершенном амелогенезе
Добавил пользователь Евгений Кузнецов Обновлено: 02.11.2025
Похожие темы научных работ по клинической медицине , автор научной работы — Еловиков В.А., Виноградов А.Б., Горст Н.Х.
Стоматологическая реабилитация пациентов с несовершенным амелогенезом. Обзор двух клинических случаев
Клинические исследования и реабилитация полости рта пациентов, страдающих несовершенным амелогенезом (amelogenesis imperfecta)
Изменения волновой структуры сердечного ритма у подростков с синдромом повышенного артериального давления
Текст научной работы на тему «Несовершенный амелогенез как редкая врожденная патология, поддающаяся только симптоматическому лечению»
витием ОКС и ИМ была гипертриглицеридемия. Больные мужского пола с ги-пертриглицеридемией, поступившие в стационар с ОКС, были достоверно моложе. У мужчин с СД 2 типа налюдалась тенденция к преимущественному варианту течения ОКС с развитием ИМбШТ. У больных без МС, при развитии у них ОКС, чаще применялись эндоваскулярные технологии.
Ключевые слова: инсулинорезистентность, полисегментарное поражение, ги-пертриглицеридемия.
^y words: insulin resistance, polysegmental defeat, hypertriglyceridemia. УДК 616-036.17
Еловиков В.А., Виноградов А.Б., Горст Н.Х.
НЕСОВЕРШЕННЫЙ АМЕЛОГЕНЕЗ КАК РЕДКАЯ ВРОЖДЕННАЯ ПАТОЛОГИЯ, ПОДДАЮЩАЯСЯ ТОЛЬКО СИМПТОМАТИЧЕСКОМУ ЛЕЧЕНИЮ9
ГБОУ ВПО «Пермская государственная медицинская академия
В наше время открыто огромное количество наследственных заболеваний и их список постоянно пополняется. Ученые всего мира открывают все новые синдромы, описывают их в литературе, проводят лечение и определяют их происхождение. Многие наследственные заболевания проявляются серьезными отклонениями от нормы. Исключениями не является и заболевание, о котором речь пойдет ниже - это несовершенный амелогенез (НА).
Изучение специальной литературы по этиологии, патогенезу, клинике, диагностике, методам лечения несовершенного амелогенеза. Изучение архива кафедры детской стоматологии и ортодонтии ПГМА им. ак. Е.А. Вагнера за последние 10 лет, с целью выявления клинических примеров указанной патологии.
Итак, НА - это наследственное нарушение развития эмали зубов. Единой клинической картины нет. Выделяют 2 варианта клинической картины у этих
пациентов. Первый - на зубах выражены небольшие количественные и качественные нарушения в эмали. Люди с такими зубами практически здоровы. Размеры зубов уменьшены, между ними могут быть промежутки. Эмаль таких зубов гладкая, блестящая, но окрашена в желтый или коричневый цвет. Корни зубов имеют нормальные длину и форму [5]. Каналы и полости зубов на рентгенограмме не изменены. При микроскопическом исследовании на недекальци-нированных срезах зуба отмечается нормальное строение эмали, она покрыта кутикулой. Эмалево-дентинная граница неровная. Дентин, пульпа и цемент развиты нормально [3].
Второй - нарушения в строении эмали значительные. Зубы имеют коническую или цилиндрическую форму, коричневого цвета. Поверхность коронок таких зубов шероховатая, так как эмаль на них сохраняется только в виде небольших островков. С возрастом эти зубы темнеют за счет восприятия красящих веществ из пищи. Дентин, полость зуба и каналы имеют нормальное строение [6].
Данное заболевание наследуется по аутосомно-доминантному, аутосомно -рецессивному и Х-сцепленному с полом типам [1]. В ходе изучения литературы мы нашли исследование, в котором участвовали 24 пробанда. Были проанализированы их родословные, из них в двух семьях наблюдался аутосомно-рецесивный тип наследования, в одиннадцати - аутосомно-доминантный, в пяти - по Х-сцепленному типу. В шести семьях тип наследования авторы не выявили.
Страдают женщины и мужчины, однако, по данным некоторых авторов, это заболевание встречается у женщин в 1,5 раза чаще, чем у мужчин, так как му-тантный ген, кодирующий это заболевание, вызывает у мужчин не только нарушение структуры эмали, но и другие несовместимые с жизнью последствия, что вызывает гибель плода или новорожденного в неонатальном периоде [2].
У большинства больных, страдающим несовершенным амелогенезом, изменена структура только зубов другие органы не поражены. В ходе исследования нами были проанализированы данные из истории болезни о пациентке 17 лет с несовершенным амелогенезом всех зубов. По данным терапевтического обследования, со стороны внутренних органов патологических изменений не обнаружено, при биохимическом анализе крови содержание кальция и фосфора в сыворотке не нарушено. На панорамных рентгенограммах обращает на себя внимание прозрачность эмали по сравнению с дентином зубов, что подтверждает диагноз.
Несовершенный амелогенез вызывает выраженные эстетические нарушения: желтый цвет эмали, шероховатая поверхность зубов, непрочная эмаль, которая легко подвергается стираемости при пережевывании пищи, что приводит к развитию комплекса неполноценности, снижению прикуса, преждевременной потере зубов [4].
Больные с несовершенным амелогенезом нуждаются в длительном, трудоемком лечении, которое включает полноценную санацию (оздоровление) полости рта, включающее лечение всех зубов, оставшихся корней с одновременным проведением экзогенной реминерализации фтористо-кальциевыми препаратами, проводят также восстановление анатомической формы и цвета зубов композиционными пломбировочными материалами или изготовление зубных протезов и коронок [5].
Результаты и обсуждение. Несовершенный амелогенез является генетически обусловленным заболеванием с различными типами наследования. Лечение этих заболеваний преимущественно симптоматическое, довольно продолжительное и трудоемкое. Этиологическое лечение данной патологии практически невозможно. Изучение методов их лечения целесообразно для дальнейшего совершенствования этого вида помощи детям и молодым людям и повышения их качества жизни.
НА относится к сравнительно редким заболеваниям. Он сопровождается изменениями цвета зубов, их формы и быстрым стиранием твердых тканей, что приводит к снижению жевательной эффективности и эстетическим нарушениям. Неполноценность тканей зубов способствует ранней дистрофии пульпы и возникновению на этом фоне периапикальных очагов. Все это отрицательно влияет на общее состояние здоровья и качество жизни людей.
1. Боровский Е.В., Леус П.А. Редкий случай неполного развития эмали зубов (Amelogenesis imperfecta). // Стоматология - 1973. - №4. -С. 77.
2. Детская терапевтическая стоматология. Национальное руководство / Под
ред. В.К. Леонтьева, Л.П. Кисельниковой. - М. : ГЭОТАР-Медиа, 2010. - 896 с.
3. Жулев Е.Н., Приемский В.Е. Ортопедическое лечение при отсутствии эмали. // Стоматология. - 1980. - №4. С. 72.
4. Наследственные синдромы и медико-генетическое консультирование / С.И. Козлова [и др.]. Л.: Медицина, 1987. 318 с.
5. Терапевтическая стоматология. Кариесология и заболевания твердых тканей зубов. Эндодонтия : руководство к практ. занят. : учеб. пособие / Ю. М. Максимовский, А. В. Митронин; под общей ред. Ю. М. Максимовского. - М.: ГЭОТАР-Медиа, 2014 - 480 с.
6. Чупрынина Н.М. Наследственное нарушение развития тканей зубов. // Стоматология. - 1972. - №5. - С. 54-57.
Ключевые слова: Несовершенный амелогенез, врожденная патология, симптоматическое лечение.
Keywords: Amelogenesis imperfecta, congenital pathology, symptomatic treatment. УДК 616.1
Ефимова Н.В., Штыкова О.В.
ИЗМЕНЕНИЯ ВОЛНОВОЙ СТРУКТУРЫ СЕРДЕЧНОГО РИТМА У ПОДРОСТКОВ С СИНДРОМОМ ПОВЫШЕННОГО АРТЕРИАЛЬНОГО ДАВЛЕНИЯ10
Северный государственный медицинский университет, Архангельск, Россия,
Артериальная гипертензия (АГ) является важнейшим фактором риска основных сердечно-сосудистых заболеваний и занимает ведущее место среди причин смертности и инвалидности [1,2]. По мнению ряда авторов, АГ манифестирует преимущественно в подростковом возрасте. Этиология и патогенез заболевания сложны: доказано влияние наследственности, перинатального программирования, избыточной массы тела и ожирения [2,3]. А также в основе становления АГ у детей и подростков лежит вегетативная дисфункция [4,5].
Рентгенограмма при несовершенном амелогенезе
Рентгенограмма при несовершенном амелогенезе
а) Определения:
• Несовершенный амелогенез: группа состояний, характеризующихся врожденным нарушением структуры эмали:
о Гипопластический несовершенный амелогенез (I тип): недостаток матрикса эмали
о Гипоматурационный несовершенный амелогенез (II тип): нарушение созревания нормального матрикса эмали
о Гипоминерализационный несовершенный амелогенез (III тип): нарушение минерализации нормального матрикса эмали
о Гипоматурационный/гипопластический несовершенный амелогенез (IV тип): сочетание недостатка матрикса эмали с дефектом его созревания, часто в совокупности с тауродонтизмом
б) Визуализация:
1. Общая характеристика:
• Лучший диагностический критерий:
о Тонкая эмаль
о Одинаковая плотность эмали и дентина
• Морфология:
о Гипопластический тип:
- Тонкий периферический слой рентгеноконтрастной эмали
- Открытые контакты: свободное пространство между зубами:
Зубы выглядят «подготовленными к протезированию коронок» (процедура подготовки к установке протеза, при которой удаляется часть коронки)
- Часто обнаруживается резорбция непрорезавшихся зубов
о Агенезия эмали: отсутствие рентгеноконтрастной эмали, покрывающей дентин
о Гипоматурационный тип: плотность эмали равна плотности дентина
о Гипоминерализационный тип:
- Эмаль имеет такую же плотность, как и дентин
- Присутствуют непрорезавшиеся зубы
- Волнистый, неравномерный слой эмали на окклюзионных поверхностях
о Гипоматурационный/гипопластический тип:
- Тонкая, но рентгеноконтрастная эмаль или
- Эмаль нормальной толщины, но одинаковой плотности с дентином
- Иногда обнаруживается тауродонтизм

(Слева) На кадрированной панорамной рентгенограмме у мальчика определяются признаки гипопластического варианта несовершенного амелогенеза. Визуализируются множественные непрорезавшиеся зубы и патологически измененные корни. Кроме того, определяется легкое увеличение нескольких зубных фолликулов.
(Справа) На кадрированной панорамной рентгенограмме определяются признаки гипопластического варианта несовершенного амелогенеза у сестры предыдущего пациента. Аналогично поражены временные и постоянные зубы.
2. Рекомендации по визуализации несовершенного амелогенеза:
• Лучший метод визуализации:
о Интраоральные рентгенограммы: периапикальные и с межзубным фиксатором:
- Оптимально для детальной визуализации эмали и дентина
о Панорамные рентгенограммы:
- Позволяют оценить картину в целом
- А также несоответствие окклюзионных поверхностей: открытый передний прикус
о КЛКТ:
- Сложно различить тонкие детали из-за артефактов от металлических материалов для восстановления зубов
в) Дифференциальная диагностика несовершенного амелогенеза:
1. Дефекты эмали в результате внешних влияний:
• Гипоплазия:
о Ямки или канавки
о Обширные области отсутствия эмали
• Диффузные затемнения:
о Нормальная толщина эмали
о Повышение плотности без четкой границы с прилежащей эмалью
• Отграниченные затемнения:
о Нормальная толщина эмали
о Повышение плотности с четкой границей с прилежащей эмалью
• Системное распределение в соответствии с временем поражения:
о Первые два года жизни: передние зубы, первые моляры
о Четвертый и пятый годы жизни: клыки, премоляры, вторые моляры
• Множественные причины:
о Травма
о Химические вещества или лекарства
о Инфекционные агенты
2. Флюороз зубов:
• Гипоминерализация эмали
• Белая, «известковая» эмаль; возможно, с ямками
• Двухстороннее симметричное распределение, соотносящееся со временем воздействия
3. Волосо-зубо-костный синдром:
• Аутосомно-доминантное заболевание
• Остеосклероз основания черепа и сосцевидного отростка
• Укорочение ветви и тупой угол нижней челюсти
• Кудрявые волосы и ломкие ногти
• Тонкая эмаль одинаковой рентгеновской плотности с дентином
• Большие пульповые камеры, тауродонтизм
4. Синдром Моркио:
• Мукополисахаридоз IV типа
• У пациентов часто наблюдаются психические нарушения, множественные дизостозы, заболевания сердца и сосудов, аномалии глаз, утолщение кожи
• К изменениям эмали относится генерализованная гипоплазия, имитирующая несовершенный амелогенез

(Слева) На фотографии видна тонкая шероховатая поверхность остатков эмали коричневого цвета у пациента с гипоминерализационным несовершенным амелогенезом. Обратите внимание на передний открытый прикус.
(Справа) На кадрированной панорамной рентгенограмме визуализируется эмаль такой же рентгеновской плотности, как и подлежащий дентин, что характерно для гипоминерализационного и гипоматурационного типов. Зубы выглядят заостренными, проксимальные контакты отсутствуют.
г) Патология:
1. Общая характеристика:
• Генетика:
о В большинстве случаев аутосомно-доминантный тип
о Аутосомно-рецессивный: 1 форма гипоминерализационного, гипоматурационного, гипопластического типов
о Х-сцепленный доминантный: 1 форма гипопластического типа
о Х-сцепленный рецессивный: 1 форма гипоматурационного типа
2. Стадирование, классификация несовершенного амелогенеза:
• Гипопластический тип:
о Картина генерализованных вдавлений эмали:
- Вдавления на поверхности зубов размером от острия булавки до булавочной головки
- Не соотносятся с картиной повреждений от внешних воздействий
- Эмаль, не имеющая вдавлений, не изменена о Картина местных вдавлений эмали:
- Горизонтальные ряды ямок, вытянутые канавки, либо одна большая область гипоплазии эмали, окруженная зоной гипоминерализации
- В средней трети щечных поверхностей:
Резцовые/оккпюзионные области интактны
- Возможно поражение временных зубов либо временных и постоянных зубов
- Могут поражаться все зубы или только один
о Диффузный гладкий тип:
- Тонкий слой гладкой и твердой эмали на всех зубах
- Маленькие заостренные зубы с открытыми контактами
- Цвет зубов колеблется от матового белого до глянцевого коричневого
о Х-сцепленный доминантный диффузный гладкий тип:
- Мужчины: тонкая гладкая и блестящая эмаль всех временных и постоянных зубов
- Женщины: вертикальные канавки истонченной эмали, чередующиеся с грядами нормальной эмали
о Диффузный шероховатый тип:
- Тонкая твердая и шероховатая эмаль всех зубов
- Эмаль плотнее, чем при гладких типах
- Маленькие заостренные зубы с открытыми контактами
о Агенезия эмали:
- Редкое аутосомно-рецессивное состояние
- Полное отсутствие эмали
- Форма и цвет зубов соответствуют дентину
• Гипоматурационный тип:
о Пигментная картина:
- Коричневые пятна на эмали
- Мягкая, легко повреждаемая зондом-эксплорером эмаль
о Х-сцепленная картина:
- Мужчины:
Временные зубы белого матового цвета с глянцевыми пятнами
Постоянные зубы белого матового цвета с желтоватым опенком, темнеют с возрастом
Эмаль легко откалывается и может быть повреждена зондом-эксплорером
- Женщины:
Одинаковая картина временных и постоянных зубов
Беспорядочные асимметричные гряды белой матовой эмали и нормальной блестящей эмали
Изменения могут быть неочевидными под обычным светом; необходима трансиллюминация
Изменения неочевидны на рентгенограммах
о Картина «заснеженных вершин»:
- Матовая белая эмаль на резцовых или окклюзионных участках коронок (от 1/4 до 1/3)
- Поражаются временные и постоянные зубы
• Гипоминерализационный тип:
о Зубы обычной формы с желтовато-оранжевой эмалью, окрашивающейся затем в коричневый цвет
о Эмаль мягкая и легко стирается
о Быстро возникает зубной камень
• Гипоматурационный-гипопластический тип:
о Картина нарушения созревания-гипоплазии:
- Пятнистая желтоватая эмаль нормальной толщины
- Углубления с щечной стороны
- Крупные пульповые камеры
- Тауродонтизм различной степени
о Картина гипоплазии-нарушения созревания:
- Тонкая эмаль
- Возможны крупные пульповые каналы
- Тауродонтизм различной степени

(Слева) На рентгенограмме с использованием межзубного фикса тора эмаль практически не определяется. Обратите внимание на кариозные поражения и очевидную резорбцию окклюзионных поверхностей частично прорезавшегося третьего моляра. Резорбция непрорезавшихся зубов наблюдается при гипопла-стическом типе несовершенного амелогенеза.
(Справа) На периапикальной рентгенограмме резцов нижней челюсти визуализируется очень тонкий слой эмали - типичный признак гипопластического типа несовершенного амелогенеза. Обратите внимание на открытые контакты и левый боковой резец в виде прямоугольника.
д) Клинические особенности несовершенного амелогенеза:
1. Проявления:
• Типичные признаки/симптомы:
о Изменение цвета эмали, ее истончение, и/или наличие ямок на всех зубах
• Другие признаки/симптомы:
о Значительный износ резцовых и окклюзионных поверхностей
2. Демография:
• Эпидемиология:
о Частота варьирует от 1:700 до 1:14000
3. Лечение:
• Список проблем:
о Эстетические нарушения
о Чувствительность зубов
о Уменьшение высоты зубов
о Высокая заболеваемость кариесом
о Открытый передний прикус
о Непрорезавшиеся зубы
• Полное протезирование коронок сразу же, как это возможно
• Съемные зубные протезы в случаях существенного износа или утраты зубов
• Коррекция эстетических нарушений (бондинг, виниры) в менее тяжелых случаях
Несовершенный амелогенез

Несовершенный амелогенез (amelogenesis imperfecta) — это тяжёлое наследственное нарушение эмалеобразования, которое выражается в нарушении структуры и минерализации временных и постоянных зубов, изменении их цвета и последующей частичной или полной потерей ткани. НА относится к числу наиболее редких и недостаточно изученных пороков развития твёрдых тканей зубов, имеет различные формы, разные клинические проявления, а также разные типы наследования. Распространённость варьирует от 1:700 до 1:14000 в зависимости от исследуемой популяции.
Минерализация, формирование и созревание эмали являются сложными процессами и находятся под контролем многих белков и ферментов, важнейшими из которых являются энамелин (ENAM), амелогенин (AMELX), амелобластин, амелотин, туфтелин, дентинный сиалофосфопротеин, калликреин-4 (KLK4) и матриксная металлопротеиназа 20 (MMP20 или энамелизин). Когда изменяется структура и функционирование этих белков, нарушаются минерализация и дальнейшее созревание эмали, что приводит к изменению цвета эмали, её истончению, уменьшению величины коронок зубов, появлению на поверхности коронок ямок, углублений и бороздок. Было показано, что в Х-сцепленном типе наследования имеются мутации в гене AMELX, а при аутосомно-доминантном/рецессивном типе наследовании — в гене ENAM. Интересно, что до сих пор ни одна мутация в гене амелотина не была связана с несовершенным амелогенезом.
В основе классификации НА лежит фенотип и тип наследования. Возникновение той или иной формы НА обусловлено нарушениями, происходящими в матрице эмали. Клиническая картина зависит от формы заболевания и типов наследования:
- Гипопластическая форма (рис.1)
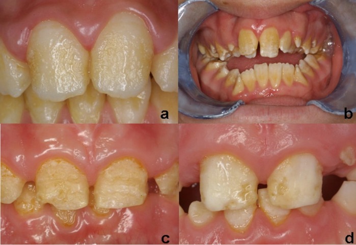
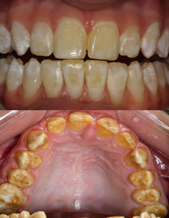
Имеются количественные изменения в процессе формирования матрицы. То есть, эмаль правильно сформировалась, но она имеет недостаточную толщину. Эта форма наследуются аутосомно-доминантно/рецессивно и Х-сцепленно. Поражённые участки эмали чаще локализованы на вестибулярной (щёчной) поверхности зубов. Видны ямки (или овальные углубления) различных размеров и глубины, бороздки различной протяжённости, имеющие продольное направление. Эмаль достаточно твердая, и её поверхность может быть гладкой, шероховатой, гранулообразной, но непоражённые участки сохраняют свой блеск. Стоит отметить, что глубина дефекта определяет интенсивность окраски эмали (чем глубже дефект, тем интенсивнее окрашивается истонченная эмаль и обнажённый дентин). Эмаль становится светло-желтой или светло-коричневой. Наблюдается гиперестезия (на холод и горячее), скол эмали, уменьшение величины зуба, тремы между зубами (не всегда). Гипопластическая форма встречается чаще остальных форм НА (61,2 %)

Рисунок 1 | Гипопластическая форма

Рисунок 2 | Гипоматурационная форма

Рисунок 3 | Гипоминерализованная форма
Диагностика дефектов эмали, особенно НА несложна в силу вышеописанных характерных клинических проявлений, но его часто приходится дифференциально диагностировать от флюороза, у которого немного другие клинические проявления, анамнез и рентгенограмма зубов.
В норме эмаль имеет высокую рентгеноконтрастность по сравнению с дентином. При гипоматурационной форме НА эмаль и дентин имеют равную рентгеноконтрастность, а при гипоминерализованной форме — рентгеноконтрастность дентина выше. При гипопластической форме на рентгенограмме сразу виден тонкий слой эмали.
Клинические данные и реабилитация пациентов с наследственным несовершенным амелогенезом. Исследование серии клинических случаев
Наследственный несовершенный амелогенез (ННА) у детей часто сопровождается многочисленными проблемами полости рта, в том числе повышенной чувствительностью зубов и их неудовлетворительным эстетическим видом. Поскольку методы лечения ННА у детей в значительной мере ограничены, было проведено исследование для оценки клинической эффективности проведения профилактических и восстановительных мероприятий.
Наследственный несовершенный амелогенез (ННА) — это совокупность генетически и клинически различных форм наследственных нарушений, влияющих в первую очередь на структуру и состав эмали, а также на размер ее кристаллов (Witkop, 1988).
Согласно данным последних исследований, распространенность ННА в значительной степени варьируется среди населения начиная от 1:14000 в США до 1:4000 в Швеции (Witkop, 1988; Sundell, 1986).
Тип наследования заболевания может быть аутосомно-доминантным, аутосомно-рецессивным либо Х-сцепленным (Bailleul — Forestier et al., 2008).
Несмотря на то что были предложены различные варианты классификации ННА, чаще всего применяется система классификации Witkop (Witkop, 1986), базирующаяся на родословной и фенотипе. Согласно классификации Witkop, пересмотренной Nusier и соавт. (2004), существует четыре основных типа ННА: гипоплазия, гипокальцификация, гипоматурация и ННА в сочетании с тауродонтизмом. Различия между типами ННА обусловлены этапом формирования эмали, во время которого произошло нарушение. ННА гипопластического типа характеризуется нарушением секреторной деятельности амелобластов, в результате чего эмаль истончается, становится пористой, при этом структура и состав эмали могут быть сохранены либо подвергнуться изменениям. ННА гипокальцифицированного типа является результатом неспособности к адекватному формированию кристаллов эмали, что становится причиной аномального роста кристаллитов и уменьшения минеральной составляющей эмали. Аномальное формирование матричных протеинов при образовании эмали приводит к ее гипоматурации как одной из форм ННА, при этом возможно как аномальное расщепление эмалевых матричных протеинов, так и аномальная протеиназная активность. Несмотря на то что ННА традиционно принято считать результатом мутации генов, вовлеченных в процесс формирования эмали, данное заболевание также может сопровождаться другими нарушениями, не связанными с развитием эмали (Collins et al., 1999).
До сих пор остается открытым вопрос, являются ли аномалии, не связанные с развитием эмали, результатом непосредственно тканеспецифичной экспрессии генов либо они могут быть определены в качестве вторичных эффектов ННА. Следует отметить, что причиной появления некоторых аномалий, сопровождающих ННА и не связанных с развитием эмали, также могут быть гены-модификаторы либо факторы внешней среды (Collins et al., 1999).
ННА часто сопровождается следующими аномалиями: тауродонтизм (Seow, 1993), преждевременное прорезывание и/или задержка прорезывания зубов, резорбция коронковой части зуба и кальцификация пульпы.
Кроме того, ННА может встречаться в комбинации с аномалиями челюстно-лицевой области, приводящими к возникновению нестабильности окклюзии: суженная зубная дуга верхней челюсти (омегообразная зубная дуга), обратная кривая Шпее, вертикальный тип роста челюстей и скелетный открытый прикус с образованием свободного межокклюзионного пространства во фронтальном отделе или без него (Aren et al., 2003.; Row ley et al., 1982).
Отмечаются значительные вариации клинической картины ННА в зависимости от его типа. Наиболее тяжелой формой ННА является гипоплазия эмали, при которой во время проведения клинического и рентгенографического обследования выявляется практически полное отсутствие слоя эмали.
Однако чаще всего при гипопластическом типе ННА слой эмали становится истонченным, испещренным бороздками, приобретает желто-коричневый оттенок и грубую пористую текстуру. Наличие мягкой, непрозрачной эмали крапчато-белого, желтого или коричневого оттенка свидетельствует о ННА гипоматурационного типа. При гипокальцифицированном типе ННА эмаль, как правило, сильно стирается и с легкостью отделяется от подлежащего дентина. Утрата эмали при гипопластическом ННА сопровождается гистологическими изменениями дентина, который становится гиперминерализованным; таким образом, морфологическая структура пораженного дентина аналогична структуре склеротического дентина (Sanchez-Quevedo et al., 2004).
Основные клинические проблемы пациентов с ННА вне зависимости от его типа заключаются в неудовлетворительной эстетике зубного ряда, повышенной чувствительности и утрате вертикальной высоты прикуса вследствие повышенной стираемости твердых тканей зубов (Seow, 1993).
Пациенты с ННА испытывают трудности в поддержании адекватной гигиены полости рта, не уверены в себе и считают, что качество жизни в значительной мере является результатом состояния полости рта (Coffield et al., 2005). ННА достаточно сложно диагностировать ввиду отсутствия объективных рентгенографических и клинических критериев.
Реабилитация пациентов с ННА исключительно важна не только с точки зрения функции и эстетики, но и по причине возможных психологических последствий.
В настоящее время до сих пор нет стандартной формулы, протокола или каких-либо руководящих принципов, обеспечивающих получение гарантированно успешного результата лечения ННА. Прочность сцепления композитного материала (КМ) с тканями зубов, пораженных амелогенезом, в значительной степени зависит от реакции эмали на кислотное травление (Seow and Amaratunge, 1998). При проведении кислотного травления зубов у детей следует использовать максимально щадящие методы для сохранения остаточной эмали.
В имеющихся литературных источниках описание клинического и ортопедического этапов лечения ННА ограничивается, как правило, только анализом конкретных клинических случаев.
Несмотря на то что лечение большинства пациентов может быть проведено с помощью консервативных методов, в некоторых клинических случаях достижение стабильного функционального и эстетического результата представляет собой исключительно сложную задачу.
Таким образом, целью настоящего исследования является оценка состояния полости рта и клинической эффективности проведенной профилактики и лечения детей с ННА.
Материалы и методы
Нерандомизированная нерепрезентативная выборка состояла из 12 детей с ННА. Пациенты с дефектами развития эмали другого происхождения, а также аномалиями, не связанными с ННА, были исключены из выборки. Дополнительным критерием для включения пациентов в исследование было их наблюдение в Клинике детской стоматологии (г. Белград) на постоянной основе.
Медицинский анамнез каждого пациента был изучен с максимальной тщательностью для исключения из выборки пациентов с системными заболеваниями, расстройствами питания или другими наследственными факторами, способными имитировать признаки ННА.
Кроме того, был собран медицинский анамнез всех членов семьи каждого пациента (мать, отец, братья, сестры).
Были зафиксированы все стоматологические процедуры и время их выполнения.
После оценки стоматологического статуса пациентов для каждого из них был разработан комплекс профилактических мероприятий.
По завершении стоматологического лечения пациентам было назначено проведение контрольных клинических осмотров с интервалом в
3 месяца.
Клинико-рентгенологическое обследование пациентов проводилось в одной стоматологической клинике.
Определение типа ННА было выполнено в соответствии с классификацией Witkop (Witkop, 1988). Постановка диагноза проводилась одним и тем же стоматологом-терапевтом. Фотографии каждого пациента были сделаны во время их первого визита в клинику. Для установления и подтверждения диагноза были привлечены еще два эксперта (TP и BP). Отметим, что первичное диагностическое обследование выполнялось слепым методом.
Оценка согласованности заключений специалистов проводилась с применением индекса Каппа, показатель которого оказался равным 0,89.
Во время первого визита пациентов в стоматологическую клинику были зафиксированы основные жалобы и проведена диагностика кариозного поражения зубов согласно критериям ВОЗ (1997).
Состояние полости рта и десневых тканей оценивали с помощью упрощенного индекса гигиены полости рта (OHI) (Green and Vermillion, 1964) и десневого индекса (GI) (Loe, 1967) соответственно.
Диагностика аномалий зубочелюстной системы у всех 12 пациентов с ННА проводилась с помощью панорамной рентгенографии.
В рентгенологическое обследование были включены все постоянные зубы, за исключением третьих моляров. Для подтверждения наличия тауродонтизма, гиподонтии, задержки прорезывания зубов, патологической резорбции корней и кальцификации пульпы было проведено томографическое обследование зубочелюстной системы.
Диагноз «тауродонтизм» ставится в случае, если размер пульпарной камеры превышает половину ширины снимка в коронально-апикальном направлении вследствие апикального смещения области фуркации корней. Зуб классифицируется в качестве врожденно отсутствующего после подтверждения диагноза с помощью рентгенограмм и при отсутствии данных об удалении зуба.
Задержка прорезывания диагностируется при обнаружении полностью сформированных зубов непосредственно под слизистой оболочкой десны. Диагноз «резорбция коронковой части зуба» ставится при наличии видимых только у непрорезавшихся зубов фрагментов коронковой части зуба с неравномерными, нечетко очерченными (изъеденными) контурами. Очевидным признаком резорбции корня зуба является видимое отсутствие корня у полностью прорезавшегося постоянного зуба.
Кальцификация пульпы может быть диагностирована как у прорезавшихся, так и непрорезавшихся зубов при выявлении непрозрачных белых очагов в пределах пульпарной камеры.
Благодаря применению междисциплинарного подхода при диагностике и планировании лечения для каждого пациента был разработан индивидуальный комплекс профилактических и терапевтических мероприятий. Рекомендуемый план лечения был согласован с родителями каждого пациента.
Все ортопедические манипуляции выполнялись одним и тем же стоматологом-ортопедом (DM), однако проведение профилактических мероприятий было распределено между двумя стоматологами-терапевтами (TP и ВР).
В обсуждении проводимых профилактических мер принимали участие все три стоматолога, изначально задействованные в данном исследовании.
Во время последующего периода наблюдения оценка клинической эффективности проведенного лечения и степени удовлетворенности пациентов результатом была выполнена стоматологом-ортопедом.
Эффективность оценивалась по следующим критериям: функциональная целостность реставраций (неповрежденные/поврежденные реставрации, подвижные/отсутствующие реставрации), наличие вторичного кариеса (локализация кариозного поражения в непосредственной близости от края установленной реставрации, диагностируется при помощи визуального осмотра и зондирования), признаки патологии пульпы (чувствительность, боль или отек) и эстетическая реабилитация.
Оценка степени удовлетворенности пациентов результатами лечения производилась по прошествии двух недель после завершения каждого очередного этапа лечения.
Клинические случаи
Выборка состояла из 12 пациентов
(5 мальчиков и 7 девочек) в возрасте 4—17 лет (10,6 ± 4,6 года) на момент обращения в стоматологическую клинику.
Во всех клинических случаях был собран медицинский анамнез членов семьи. Наличие аналогичных дефектов эмали у других членов семьи было выявлено в 9 клинических случаях.
У 8 из 12 пациентов был обнаружен ННА гипопластического типа, в 2 из 12 случаев был диагностирован ННА гипоматурационного типа, еще в 2 клинических случаях был выявлен ННА гипокальцифицированного типа. Основные жалобы пациентов были связаны с неудовлетворительным эстетическим видом зубов и их повышенной чувствительностью. Состояние полости рта пациентов на момент включения в исследование показано в таблице № 1 .
Таблица № 1. Состояние полости рта группы детей сербского происхождения с ННА на момент включения в исследование и протокол первичного стоматологического лечения
Тест по Стоматологии (ИГА)

14. Возраст ребенка, начиная с которого можно проводить пломбирование постоянных резцов композиционными материалами при гипоплазии зубов:
- 1. пульпит
- 2. периодонтит
- 3. пародонтит
- 4. несовершенное развитие дентина
- 5. пародонтолиз
- 1. наследственный фактор
- 2. заболевания матери в период беременности
- 3. травма плода
- 4. заболевания ребенка на первом году жизни
- 5. множественный кариес молочных зубов
- 1. флюороз
- 2. системная гипоплазия
- 3. местная гипоплазия
- 4. синдром Стентона-Капдепона
- 5. несовершенный амелогенез
- 1. соблюдение правил гигиены полости рта
- 2. дневной свет
- 3. прием витаминов внутрь
- 4. люминесцентный свет
- 5. прием препаратов кальция
- 1. недостаточное содержание фтора в воде
- 2. передача патологии по наследству
- 3. избыточное содержание фтора в воде
- 4. отсутствие фтора в воде
- 5. фторидсодержащие зубные пасты
- 1. системная гипоплазия
- 2. флюороз
- 3. местная гипоплазия
- 4. несовершенный дентиногенез
- 5. «тетрациклиновые» зубы
- 1. только дентина
- 2. только эмали
- 3. эмали и дентина
- 4. пульпы
- 5. полости зуба и корневых каналов (облитерация)
- 1. окрашивание коронок зубов в желтый цвет
- 2. изменение цвета эмали зубов разного периода минерализации в различных участках коронки зуба
- 3. симметричные пятна и дефекты на коронках зубов одного периода минерализации
- 4. меловидные пятна в пришеечной области зубов разного срока минерализаЦИИ
- 5. хрупкая, слущивающаяся эмаль
- 1. «рифленая» эмаль
- 2. дисплазия Капдепона
- 3. бороздчатая эмаль
- 4. меловидно-крапчатая эмаль
- 5. слущивающаяся эмаль
- 1. изменений нет
- 2. полость зуба и корневые каналы облитерированы
- 3. полость зуба и просвет каналов расширены
- 4. корни короткие, каналы широкие
- 5. расширение периодонтальной щели
- 1. флюороз
- 2. «тетрациклиновые» зубы
- 3. несовершенное строение эмали и дентина
- 4. системная гипоплазия эмали
- 5. местная гипоплазия эмали
- 1. «гипсового» цвета эмали
- 2. вертикальных борозд от режущего края до шеек зубов
- 3. стираемости эмали и обнажения дентина водянистого цвета
- 4. изменений на рентгенограмме
- 5. меловидные пятна в пришеечной области
- 1. хронический периодонтит молочного зуба
- 2. интоксикация фтором
- 3. заболевания, нарушающие минеральный обмен В период формирования эмали
- 4. передача патологии твердых тканей по наследству
- 5. множественный кариес молочных зубов
- 1. молочные моляры
- 2. постоянные резцы, клыки и первые моляры
- 3. молочные резцы
- 4. премоляры
- 5. постоянные резцы и клыки
- 1. наследственность
- 2. сроки прорезывания пораженной группы зубца
- 3. возраст, в котором ребенок перенес причинное заболевание
- 4. заболевания, приведшие к формированию гипоплазии
- 5. район, где ребенок проживал в период формирования зубрв
- 1. 0,5
- 2. 1
- 3. 2-3
- 4. 4-6
- 5. 7-9 и выше
- 1. ночные боли в зубах
- 2. косметический дефект
- 3. боли от температурных раздражителей
- 4. боли при накусывании на зуб
- 5. иррадиирующие боли
- 1. гипоплазии эмали
- 2. флюороза
- 3. несовершенного амелогенеза
- 4. несовершенного дентиногенеза
- 5. несовершенного одонтогенеза
- 1. все молочные зубы
- 2. молочные и постоянные моляры
- 3. молочные и постоянные резцы
- 4. все молочные и постоянные зубы
- 5. только постоянные зубы
- 1. наличие ночных болей
- 2. стираемость твердых тканей зуба без обнажения пульпы
- 3. «рифленые» зубы
- 4. «гипсовые» зубы
- 5. меловидные пятна, крапинки
- 1. пломбирование кариозных полостей
- 2. депульпирование зуба
- 3. удаление зуба
- 4. восстановление анатомической формы коронки зуба с помощью композитов
- 5. шинирование зубов
- 1. гипоплазия эмали
- 2. флюороз
- 3. отлом коронки в результате травмы
- 4. несовершенный амелогенез
- 5. тетрациклиновое окрашивание
- 1. пигментированное пятно и углубление в эмали одного зуба
- 2. белые пятна и крапинки на поверхности эмали на зубах разного периода минерализации
- 3. слущивание эмали с обнажением дентина на всех зубах
- 4. меловидные пятна в пришеечной области зубов разного срока минерализации
- 5. стирание твердых тканей до шейки без вскрытия полости зуба
- 1. пигментированное пятно и углубление в эмали одного зуба
- 2. белые пятна и крапинки на поверхности эмали на зубах разного периода минерализации
- 3. слущивание эмали с обнажением дентина на всех зубах
- 4. меловидные пятна в пришеечной области зубов разного срока минерализации
- 5. стирание твердых тканей до шейки без вскрытия полости зуба
- 1. окрашивание коронок зубов в желтый цвет
- 2. изменения цвета эмали зубов разного периода минерализации в различных участках коронки зуба
- 3. симметричные пятна и дефекты на коронках зубов одного периода минерализации
- 4. меловидные пятна в пришеечной области зубов разного срока минерализации
- 5. стирание твердых тканей до шейки без вскрытия полости зуба
- 1. окрашивание коронок зубов в желтый цвет
- 2. изменения цвета эмали зубов разного периода минерализации в различных участках коронки зуба
- 3. симметричные пятна и дефекты на коронках зубов одного периода минерализации
- 4. меловидные пятна в пришеечной области зубов разного срока минерализации
- 5. стирание твердых тканей до шейки без вскрытия полости зуба
- 1. хронический периодонтит молочного зуба
- 2. интоксикация фтором
- 3. заболевания, нарушающие минеральный обмен в период формирования эмали
- 4. наследственность
- 5. вколоченный вывих молочных зубов
- 1. хронический периодонтит молочного зуба
- 2. интоксикация фтором
- 3. заболевания, нарушающие минеральный обмен в период формирования эмали
- 4. наследственность
- 5. отсутствие фтора в питьевой воде
- 1. хронический периодонтит молочного зуба
- 2. интоксикация фтором
- 3. заболевания, нарушающие минеральный обмен в период формирования эмали
- 4. наследственность
- 5. прием тетрациклина в период формирования зачатков зубов
44. Рациональный метод лечения гипоплазии твердых тканей постоянных фронтальных зубов у ребенка 8 лет:
Читайте также:
